니만픽 병
"오늘의AI위키"의 AI를 통해 더욱 풍부하고 폭넓은 지식 경험을 누리세요.
1. 개요
니만-픽 병은 스핑고미엘린이나 콜레스테롤 등 지질이 비정상적으로 축적되어 발생하는 드문 유전 질환으로, A형, B형, C형 등으로 분류된다. A형과 B형은 스핑고미엘린 분해 효소의 결핍으로, C형은 콜레스테롤 수송 단백질의 이상으로 발생하며, 각 유형에 따라 증상, 발병 연령, 예후가 다르다. A형은 영아기에 심각한 신경 증상을 보이며 생존 기간이 짧고, B형은 내장 증상이 주로 나타나며, C형은 다양한 연령대에서 신경학적 증상과 정신 증상을 보인다. 현재 완치법은 없으며, 각 유형에 맞는 대증 요법과 미글루스타트, 사이클로덱스트린 등의 치료법이 사용된다.
더 읽어볼만한 페이지
- 신경변성 질환 - 파킨슨병
파킨슨병은 뇌의 흑질에서 도파민을 생성하는 신경세포 손실로 발생하는 신경퇴행성 질환으로, 진전, 서동증, 근육 강직, 자세 불안정과 같은 운동 증상과 신경정신 증상, 인지 장애, 자율신경계 장애와 같은 비운동 증상이 나타나며, 증상 관리를 위한 약물 치료, 심부 뇌 자극술, 재활 치료 등이 시행된다. - 신경변성 질환 - 알츠하이머병
알츠하이머병은 뇌의 아밀로이드 플라크와 신경원섬유 엉킴 축적을 특징으로 하는 진행성 신경퇴행성 질환으로, 인지 기능 저하, 일상생활 기능 장애, 기억 상실, 언어 장애 등을 동반하며 완치법은 없지만 증상 완화 치료와 관리가 중요하다. - 상염색체 열성 질환 - 윌슨병
윌슨병은 구리가 간과 뇌에 축적되어 발생하는 유전 질환으로, ATP7B 유전자 돌연변이가 원인이며, 간 기능 장애, 신경정신과적 증상, 카이저-플라이셔 고리 등의 증상이 나타난다. - 상염색체 열성 질환 - 색소성 건피증
색소성 건피증은 자외선에 손상된 DNA 복구 기능 저하로 발생하는 유전 질환으로, 햇빛 과민반응, 피부암, 신경계 이상을 유발하며, 자외선 차단과 피부암 예방을 주요 치료 목표로 하는 '어둠의 아이들'이라고도 불리는 질환이다. - 희귀질환 - 쇼그렌 증후군
쇼그렌 증후군은 자가면역 반응으로 발생하는 만성 염증성 질환으로, 침샘과 눈물샘 등에서 분비물 감소를 유발하여 건성안, 구강건조증 등 다양한 증상을 나타낸다. - 희귀질환 - 헌팅턴병
헌팅턴병은 헌팅턴 유전자 내 CAG 삼염기 반복 서열의 이상으로 인해 발생하는 진행성 신경퇴행성 질환으로, 운동, 인지, 정신 기능에 다양한 증상을 유발하며, 상염색체 우성 유전 방식으로 유전된다.
2. 역사
알베르트 니만은 1914년 현재 니만-픽 병 A형으로 알려진 질병에 대한 최초의 설명을 발표했다.[66]。그는 이 사례를 고셔병과 유사하지만 신경 증상이 고셔병과 일치하지 않는다고 평가했다.[51]。이후 1926년 독일 과학자 루드비히 픽/루트비히 픽de이 알베르트 니만이 보고한 사례가 고셔병과는 조직학적으로 다르다는 것을 밝혔다.[52]。이후 그들의 이름을 따서 "니만-피크병"이라고 불리게 되었다.[53]
1930년대 일련의 논문에서 이 질병의 병리를 설명했다.[22][23][24] 1961년, 니만-픽 병을 A형, B형 및 C형으로 분류하는 것이 도입되었으며, "노바스코샤형"이라고 불리는 D형도 포함되었다.[25][26] 유전자 연구에 따르면 D형은 C1형과 동일한 유전자에 의해 발생하며, D형 지정은 더 이상 사용되지 않는다.[7]
분류가 진행됨에 따라 병인의 해석도 진행되었다. 1934년 클렌크(Klenk)가 환자 조직에 축적된 물질을 스핑고미엘린과 동일하게 확인했다.[66][57]。1966년 브래디(Brady)에 의해 스핑고미엘린을 분해하는 효소인 산성 스핑고미엘리나아제가 환자 조직에서 결손되어 있음이 밝혀졌다.[66][58]。더욱이 레브란(Levran) 등에 의해 유전자 ''SMPD1''의 변이가 1991년에 발견되었으며[70][59], 1992년에는 아키타 대학의 다카하시 츠토무 등에 의해 니만-피크병 A형 및 B형이 이 ''SMPD1''의 변이로 인해 발생한다고 보고되었다.[70][59][60]。C형에 대해서도 1997년 카르스테아(Carstea) 등에 의해 사례의 90% 이상에 특징적인 유전자가 확인되어 ''NPC-1''으로 명명되었다.[61]。더욱이 2000년에는 나우레키네(Naureckiene) 등에 의해 C형의 또 다른 원인 유전자 ''NPC2''가 보고되었다.[62]。
치료법으로는 EU에서 니만-피크병 C형 치료제 미글루스타트가 2009년에 승인되었으며,[63] 일본에서도 2012년에 승인되었다.[64]
'''한국에서의 역사'''
1992년 아키타 대학의 다카하시 츠토무 등은 니만-픽 병 A형 및 B형의 원인 유전자인 ''SMPD1'' 변이를 보고했다.[70][59][60] 한국에서는 니만-픽 병 C형 환자 가족 모임이 결성되어 환자 지원 및 연구 촉진 활동을 하고 있다.
2. 1. 한국에서의 역사
1992년 아키타 대학의 다카하시 츠토무 등은 니만-픽 병 A형 및 B형의 원인 유전자인 ''SMPD1'' 변이를 보고했다.[70][59][60] 한국에서는 니만-픽 병 C형 환자 가족 모임이 결성되어 환자 지원 및 연구 촉진 활동을 하고 있다.3. 분류
니만-픽 병은 크게 A형, B형, C형으로 분류된다. 산성 스핑고미엘린분해효소(ASM) 결핍 환자는 A형과 B형으로 분류된다. A형 환자는 영아기에 간비종대와 심각한 중추 신경계 침범을 보이며, 2세 이상 생존할 수 없다.[12] B형 환자는 또한 간비종대와 폐의 병리학적 변화를 보이지만, 일반적으로 중추 신경계 침범은 없다. 일부는 간부전, 출혈, 산소 의존성, 폐 감염, 비장 파열을 포함한 생명을 위협하는 심각한 합병증이 발생할 수 있다. 일부는 관상 동맥 또는 판막성 심장 질환을 앓기도 한다. 종적 자연 경과 연구에서 환자의 거의 20%가 사망했다.[12] C형으로 분류된 환자는 경미한 간비종대가 있을 수 있지만, 중추 신경계가 심각하게 영향을 받는다.[12]
- 니만-픽 병, SMPD1 관련, A형 및 B형 포함
:* 니만-픽 병 A형: 전형적인 영아형
:* 니만-픽 병 B형: 내장형
니만-픽 병 D형(또는 노바스코샤형)은 현재 니만-픽 병, C형과 동일한 상태로 여겨진다.[9] 특징이 잘 밝혀지지 않은 두 가지 형태의 니만-픽 병이 E형과 F형으로도 설명되어 있다.[10] A~F형으로 분류되며, D~F형은 극히 드물고, D형은 C형으로 묶이는 경우가 많다.
3. 1. A형 (급성 신경형)
니만-픽 병 A형은 ''SMPD1'' 유전자 변이로 인해 산성 스핑고미엘린분해효소(ASM) 활성이 5% 이하로 결핍되어 발생하는 중증형이다.[66][71] 주로 영아기에 발병하며, 간비종대와 심각한 중추 신경계 침범을 보인다.[12] 예후가 매우 좋지 않아 대부분 3세 이전에 사망한다.3. 2. B형 (만성 비신경형)
B형 (만성 비신경형)은 ''SMPD1'' 유전자 변이로 발생하지만, 스핑고미엘린분해효소 (ASM) 활성이 일부 남아있어 신경 증상은 거의 나타나지 않는다.[47][71] 주로 간비종대와 폐의 병리학적 변화를 보이지만, 일반적으로 중추 신경계 침범은 없다.[12] 일부 환자는 간부전, 출혈, 산소 의존성, 폐 감염, 비장 파열을 포함한 생명을 위협하는 심각한 합병증이 발생할 수 있으며, 관상 동맥 또는 판막성 심장 질환을 앓기도 한다.[12] 종적 자연 경과 연구에서 환자의 거의 20%가 사망했다.[12]3. 3. C형 (만성 신경형)
니만픽 병 C형은 세포 내 콜레스테롤 수송 장애로 인해 발생하며, ''NPC1'' 또는 ''NPC2'' 유전자 변이가 원인이다.[67][68] 다양한 연령대에서 발병하며, 비장 비대, 운동 실조, 연하 곤란, 발작, 치매 등의 신경학적 증상과 정신 증상을 보인다. C1형은 ''NPC1'' 변이,[67] C2형은 ''NPC2'' 변이가 원인이다.[68] C형은 이 질환의 가장 흔한 형태이며,[7] C2형은 드물게 발생한다.[8] 니만-픽 병 D형(또는 노바스코샤형)은 현재 니만-픽 병 C형과 동일한 것으로 간주된다.[9]4. 원인 및 병태 생리
SMPD1 유전자의 돌연변이는 니만-픽 병 A형과 B형을 유발한다. 이들은 리소좀 효소인 산성 스핑고마이엘린 분해 효소의 활성 결핍을 유발하며, 이 효소는 지질 스핑고마이엘린을 분해한다.[7]
NPC1 또는 NPC2의 돌연변이는 지질 수송에 사용되는 단백질에 영향을 미치는 니만-픽 병 C형 (NPC)을 유발한다.[7]
D형은 원래 공통적인 노바스코샤 혈통을 공유하는, 동일한 질환을 가진 환자 그룹을 구분하기 위해 C형과 분리되었다. 이 그룹의 환자는 ''NPC1'' 유전자에서 특정 돌연변이를 공유하는 것으로 알려져 있어 NPC가 두 그룹 모두에 사용된다.
니만-픽 병은 상염색체 열성 유전 방식으로 유전되며,[3][4] 이는 질병을 유발하려면 유전자의 두 사본, 즉 두 대립 유전자 모두 결함이 있어야 함을 의미한다.
니만-픽병은 해로운 양의 지방 물질 또는 지질이 비장, 간, 폐, 골수, 뇌에 축적되는 지질 축적 질환의 하위 그룹인 스핑고지질증에 속한다.
전형적인 영아기 A형 변종의 경우, 미스센스 돌연변이로 인해 스핑고미엘린분해효소가 완전히 결핍된다. 스핑고미엘린은 세포막과 세포 소기관 막의 구성 요소이므로 효소 결핍은 지질의 분해를 막아 대식세포의 리소좀 내에 스핑고미엘린이 축적되게 한다. 영향을 받는 세포는 비대해져 때로는 직경이 90μm까지 커지는데, 이는 스핑고미엘린과 콜레스테롤로 인해 리소좀이 팽창하기 때문이다.
4. 1. A형 및 B형
SMPD1 유전자 돌연변이는 니만-픽 병 A형과 B형을 유발한다.[7] 이들은 리소좀 효소인 산성 스핑고마이엘린 분해 효소의 활성 결핍을 유발하며, 이 효소는 지질 스핑고마이엘린을 분해한다.[7] 니만-픽병은 상염색체 열성 유전 방식으로 유전된다.[3][4]니만-픽병 A형 및 B형은 신경 조직의 세포막을 구성하는 인지질인 스핑고미엘린이 축적되어 발생한다.[44] 신경 섬유는 세포체와 축삭으로 구성되어 있다. 축삭에는 미엘린이라고 하는 절연성 인지질이 존재하며, 이를 통해 사람은 중추 신경계 등을 보호[47]하고, 전도 속도를 확보한다. 이 미엘린을 구성하는 것이 스핑고미엘린이며, 그 양의 균형을 합성 경로와 분해 경로를 통해 유지한다. 스핑고미엘린의 대사 경로에서 세포 내 리소좀에 존재하는 가수분해 효소 중 하나인 산성 스핑고미엘리나제(ASM, 또는 스핑고미엘린 포스포디에스테라제;SMPD)가 중요한 역할을 한다. 산성 스핑고미엘리나제는 포스포리파제 C의 일종이며, 스핑고미엘린의 일부를 제거하여 세라미드로 분해한다.[47]
니만-픽병 A형, B형의 원인은 유전자 이상으로 인해 산성 스핑고미엘리나제가 결손되는 것이다.[44] 대사되지 않고 남은 스핑고미엘린이 신경 세포나 제거하려 모인 대식세포에 축적된다. 모인 대식세포는 지질 소적이나 입자로 넘쳐나며, 세포질 내에 미세한 공포(空胞)나 포말(泡沫)이 형성된다.[44] 이러한 포말이 형성된 세포를 니만-픽 세포라고 부른다.[50] 또한, 스핑고미엘린이 분해되지 않으므로 분해 산물인 세라미드도 생성되지 않는다. 세라미드와 세라미드를 더 분해하여 생성되는 스핑고신은 세포 사멸 촉진 작용이 있다.[47]
원인 유전자는 산성 스핑고미엘린 분해 효소(스핑고미엘린·포스포디에스테라제 1;Sphingomyelin phosphodiesterase 1(en))이며, ''SMPD1''이라고 명명되어 있다[71].''SMPD1''은 산성 스핑고미엘린 분해 효소(ASM)를 암호화하는 유전자이다[59]。1991년에 이 유전자의 전체 길이 상보적 DNA 배열이 보고되었고[79], 같은 해 Levran 등에 의해 니만-픽 병 A형 및 B형에서 ''SMPD1'' 변이가 발견되었다[59]。
4. 2. C형
니만-픽 병 C형(NPC)은 ''NPC1'' 또는 ''NPC2'' 유전자의 돌연변이로 인해 발생하며, 지질 수송에 사용되는 단백질에 영향을 미친다.[7] 이 질환은 스핑고지질증의 일종으로, 해로운 양의 지방 물질(지질)이 비장, 간, 폐, 골수, 뇌에 축적되는 특징을 보인다.
C형은 A형 및 B형과 병태가 다르다. 간이나 비장에서 스핑고마이엘린 외에 콜레스테롤이나 그 외의 당지질 등이 축적되며, 뇌에서는 특히 GM2, GM3 강글리오시드라고 불리는 당지질의 축적이 보인다.[72]
C형의 경우, 체내에 흡수된 콜레스테롤은 LDL (악성 콜레스테롤) 형태로 LDL 수용체를 통해 간 등의 세포 내로 흡수된다. 이 흡수는 엔도사이토시스라는 방법으로 이루어지며, 흡수된 LDL은 엔도솜이라는 소포를 형성하고, 이 소포는 리소좀 내 효소에 의해 분해된다.[74] 그러나 니만-픽 병 C형에서는 유전자 이상으로 리소좀에서 콜레스테롤을 배출할 수 없어[74] 콜레스테롤이 분해되지 않고 세포질 내에 축적된다.[75] A형이나 B형과 마찬가지로 골수 중에 니만-픽 세포가 존재한다.[76]
원인 유전자는 ''NPC1'' 및 ''NPC2''로 명명되었으며,[77] 대부분의 사례는 ''NPC1'' 변이가 차지한다.[44] ''NPC1'' 유전자는 18번 염색체 장완 q11-q12에 존재하며, 미스센스 돌연변이, 삽입, 결실, 중복 등 240개 이상의 변이가 보고되었다.[78] ''NPC2'' 유전자는 14번 염색체 장완 q24.3에 존재한다.[78]
1980년대 후반부터 원인 유전자 검색이 이루어졌고, 1991년에 C형의 대부분(90% 이상)에 특징적인 유전자가 동정되어 ''NPC-1''으로 명명되었다. NPC1 단백질은 리소좀 및 후기 엔도솜에 존재하는 막 단백질이며,[79] 콜레스테롤의 항상성 유지에 관여한다고 생각된다.[78] NPC1은 세포 내 콜레스테롤 수송의 중요한 분자로 여겨지지만, 병태에의 관여 메커니즘은 명확하지 않다.[80]
NPC2는 리소좀 내 콜레스테롤 결합 단백질이며, NPC1과 상보적으로 기능한다고 생각된다.[79] ''NPC2''는 인간 부고환 분비 단백질인 HE1을 생산하는 유전자이며, 2000년에 니만-픽 병 C형의 소수형에서 변이가 확인되었다고 보고되었다.[62] 리소좀 내 콜레스테롤은 먼저 HE1(NPC2)과 결합하고, 다음에 막 단백질인 NPC1으로 전달되어 리소좀 밖으로 운반될 것으로 예상된다.[62] NPC1과 NPC2는 중복되는 작용은 없다고 알려져 있지만, 각각의 정확한 기능은 충분히 밝혀지지 않았다.[81]
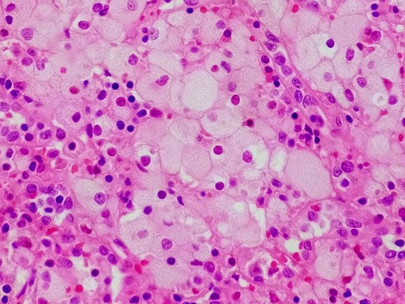
4. 3. 니만-픽 세포
니만-픽 병에서는 축적된 스핑고미엘린 등의 당지질을 탐식한 대식세포 내부가 지질 소적이나 입자로 가득 차서 세포질 내에 미세한 공포나 거품이 형성된다.[44] 이러한 거품이 형성된 세포를 니만-픽 세포라고 부른다.[50] 주로 골수나 비장에서 관찰되며, 림프관, 폐동맥, 폐포로의 침윤도 나타날 수 있다.[86]
니만-픽 세포는 단핵이며, 많은 지방 방울을 포함하고 있다.[86] 지방 방울의 크기는 거의 균일하다.[86] 수단 블랙 B나 오일 레드 O라고 불리는 염색으로 염색되며, 슐츠의 콜레스테롤 염색법(슐츠 반응)이 양성으로 나타난다.[50] PAS 염색에서도 약한 염색을 나타낸다.[86] 이러한 점을 통해 같은 선천성 대사 이상의 하나인 고셔병에서의 고셔 세포(봉입체)와 구별이 가능하다.[86] (고셔 세포에서는 슐츠 반응이 음성, PAS 염색이 양성으로 나타난다.)
5. 역학
니만-픽 병은 전 세계적으로 드물게 발생하는 질환이며, 정확한 유병률은 알려져 있지 않다. A형은 특히 동유럽계 유대인 인구 집단에서 40,000명 중 1명 정도로 더 높은 빈도로 발생한다.[7][65] 다른 모든 인구 집단에서 니만-픽 병 A형과 B형의 유병률은 250,000명 중 1명으로 추정된다.[7] 니만-픽 병 C형의 유병률은 150,000명 중 1명으로 추정된다.[7]
발병에는 남녀 차이가 없다.[45] A형 및 B형의 발병률은 대략 10만 명 중 1명이다. 모든 인종에서 나타나지만, A형은 특히 동유럽계 유대인에게 많다.[47] 원인 유전자 ''SMPD1''의 변이는 유대인에게 고빈도로 존재한다.[79] 발병 빈도가 적은 유대인 이외의 인종에서는 B형의 유전자 변이 일부가 고빈도로 존재한다.[79]
C형은 서구에서는 12만 명 중 1명의 빈도로 생각되며, 일본인에서의 빈도는 명확하지 않지만, 서구와 거의 동일하다고 생각된다.[85] 일본에서는 리소좀 축적병의 하나로서 특정 질환(난치병)으로 지정되어[82] 있어, 일정 기준에 따라 치료비는 공비로 부담된다.[83]
6. 증상
증상은 스핑고마이엘린이 축적되는 기관에 따라 다양하게 나타난다. 간, 비장 확장은 식욕 감퇴, 비정상적 팽창, 통증을 유발할 수 있다. 비장 확장은 혈액 내의 낮은 혈소판 수치를 유발할 수 있다.
중추신경계통에 스핑고마이엘린이 쌓이면, 불안정한 걸음걸이(운동 실조), 분명하지 못한 발음, 삼키는 행동의 어려움 등이 나타난다. 대뇌기저핵 기능 장애는 사지, 코, 얼굴의 비정상적인 모습을 유발한다. 뇌간 질환은 서로 맞지 않는 자발적이고 빠른 눈동자 움직임이 나타난다. 더 많이 나타나는, 대뇌피질과 피질하 조직을 포함하는 질환은 치매와 발작을 일으키는 지적 능력의 점진적 상실을 유발한다.
중추 신경계(소뇌 포함) 내 스핑고마이엘린의 축적은 불안정한 보행(운동실조), 어눌한 발음(구음장애), 삼킴 곤란(연하곤란)을 유발한다. 기저핵 기능 이상은 사지, 몸통 및 얼굴의 비정상적인 자세(근긴장이상)를 유발한다. 상위 뇌간 질환은 자발적인 빠른 안구 운동 장애(핵상 시선 마비)를 유발한다. 대뇌 피질 및 피질하 구조를 포함하는 더 광범위한 질환은 점진적인 지적 능력 상실을 유발하여 치매 및 발작을 유발한다.
뼈 또한 영향을 받을 수 있으며, 이 질환은 골수강 비대, 얇아진 피질 골, 또는 고관절 내반증이라고 불리는 엉덩이 뼈의 변형을 유발한다. 수면 반전, 낮 동안의 졸림 및 밤 동안의 각성과 같은 수면 관련 장애도 발생한다. 영향을 받은 환자가 웃을 때 근육 긴장의 갑작스러운 상실인 젤라성 탈력 발작도 나타난다.
비장, 간, 골수, 림프절, 폐 등이 가장 큰 영향을 받으며, 그중에서도 비장이 비대해지는 비종이 특징적이다. 이는 스핑고마이엘린을 탐식한 대식세포의 영향이다.[44] 그 외, 피부 이상으로는 얼굴의 황색조 변화 외에, 다한증, 황색종, 자반, 카페오레 반점[45] 등 다양하다. 골수에서는 니만-픽 세포가 관찰된다.[50]
6. 1. A형
니만픽 병 A형은 급성 신경형이라고 불린다.[50] 생후 수개월에 간장이나 비장의 종대로부터 발증하는 경우가 많다.[87] 간비종대(간비종대)는 식욕 감소, 복부 팽만 및 통증을 유발할 수 있다. 비장의 비대(비장비대)는 혈액 내 혈소판 수치 감소(혈소판 감소증)를 유발할 수 있다.[86] 이어서 신경 증상으로 포유 장애가 일어나고, 이 무렵에 근긴장 저하가 생긴다.[87] 또한, 반복적인 구토가 나타나며,[87] 골수나 신경절을 포함한 모든 중추 신경계가 영향을 받기 때문에, 심각한 신경학적 이상이 생긴다.[44] 중추신경계통에 스핑고마이엘린이 쌓이면, 불안정한 걸음걸이(운동 실조), 분명하지 못한 발음, 삼키는 행동의 어려움 등이 나타난다. 대뇌기저핵 기능 장애는 사지, 코, 얼굴의 비정상적인 모습을 유발한다. 뇌간 질환은 서로 맞지 않는 자발적이고 빠른 눈동자 움직임이 나타난다. 대뇌피질과 피질하 조직을 포함하는 질환은 치매와 발작을 일으키는 지적 능력의 점진적 상실을 유발한다.생후 6개월 이후, 운동 발달 지연이 뚜렷해지고, 진행되면 근긴장에 의해 생기는 경축과 강직이 현저해진다.[66] 근긴장 저하에 의해, 앉을 수 있게 된 이후의 발달은 보이지 않고, 목을 가누는 등 이미 할 수 있게 되었던 것도 서서히 할 수 없게 된다.[87] 건 반사는 약해지거나, 소실되는 경우가 많다.[86] 안저에는 체리레드 반점(cherry-red spot)이라고 불리는 황반이 붉게 보이는 증상이 약 절반의 환자에게 나타난다.[86]

진행되면, 야위고 손발이 가늘어지고, 복부만 눈에 띄게 된다.[86] 경성 등의 증상도 나타나, 주변에 대한 반응도 없어진다.[86] 피부가 노란색이나 황토색을 띠고, 황색종이 생기는 경우도 있다.[86] 보통, 생후 3년 정도에 사망한다.[50]
A형 환자의 뇌는 전체적으로 작고, 특히 소뇌의 장애가 심하다[86]。일부 신경 세포는 팽창하고, 그 내부에는 큰 봉입체가 보이는 경우도 있다[86]。또한, 신경 세포의 수초 형성 부전을 보이는 경우도 있으며, 탈수초를 보인다[86]。
6. 2. B형
B형은 주로 소아기에 간비종대로 발견되며, 폐 침윤, 간경변 등의 증상이 나타날 수 있다.[50][86] 신경학적 증상은 거의 없거나 경미하다.[44] 1세부터 2세경에 간비종으로 발견되어 간경변을 나타내지만, 성년기까지 생존하는 경우가 있다.[50]B형은 발병 시기 및 임상 경과에 있어 A형에 비해 편차가 크다.[86] 일반적인 건강 검진 등으로 유아기부터 영유아기에 발견되는 경우도 있고, 성인이 되고 나서 비종으로 진단되는 예도 있다.[86] 간비종은 소아기에는 눈에 띄지만, 성장하면서 눈에 띄지 않게 된다.[86] 대부분의 경우, 폐 엑스선 사진에서 폐 침윤 소견이 보인다.[86] 나이가 들면서 노작 시 호흡 곤란, 폐성심 (심장의 우심실 비대)이 생기는 경우도 있다.[86]
A형과 마찬가지로 망막에 체리레드 반점이 나타나는 경우나, 말초 신경의 슈반 세포에 이상을 보이는 경우, 소뇌성 운동 실조를 동반하는 예도 보고되고 있지만, 신경 증상이 나타나지 않는 것이 특징이다.[86]
6. 3. C형
니만-픽병 C형은 발병 시기에 따라 주산기형, 영아 초기형, 영아 후기형, 청소년형, 성인형 등으로 나뉘며 다양한 증상을 보인다.[90] 만성 신경형이라고도 불리며,[50] 주로 소아기에 발병하지만 모든 연령대에서 발병할 수 있다.[88][93]공통적으로 간비종대가 나타나 식욕 감소, 복부 팽만, 통증을 유발할 수 있으며, 비장비대는 혈소판 감소증을 유발할 수 있다. 중추 신경계에 스핑고마이엘린이 축적되면 운동실조, 구음장애, 연하곤란 등이 나타난다. 기저핵 기능 이상은 근긴장이상을, 상위 뇌간 질환은 핵상 시선 마비를 유발하며, 대뇌 피질 및 피질하 구조를 포함하는 질환은 치매와 발작을 일으킨다. 뼈에도 영향을 미쳐 골수강 비대, 얇아진 피질 골, 고관절 내반증을 유발할 수 있으며, 수면 반전, 탈력 발작도 나타날 수 있다.
신경 증상으로는 실조, 치매, 수직 안구 운동 장애가 모든 연령대에서 나타나며,[91] 연하 곤란은 흡인성 폐렴으로 이어져 예후에 영향을 미칠 수 있다.[89]
주산기형은 담즙 울체나 황달로 발견되며, 일부는 간부전으로 진행되어 사망할 수 있다. 영아 초기·후기형은 간비종대 외에 발달 장애, 운동 장애, 탈력발작이 발생한다.[90][92] 소아기에는 근육긴장이상증, 학업 부진, 지적 퇴행, 문제 행동이 나타난다.[93] 청소년형은 글쓰기 곤란, 집중력 저하, 운동 장애, 연하 곤란, 마비 등이 나타날 수 있다.[90] 사춘기·성인형은 망상, 환시, 환청 등의 정신 증상, 공격성, 근육긴장이상증, 무도병, 파킨슨 증후군과 비슷한 증상을 보인다.[90]
7. 진단
A형과 B형의 경우, 혈액 샘플을 통해 스핑고마이엘린분해효소 수치를 측정할 수 있다. C형의 진단을 위해서는 피부 샘플을 채취하여 형광 염색을 통해 비에스테르화 콜레스테롤 축적을 감지하는 필리핀 검사를 통해 수송체에 문제가 있는지 확인할 수 있다.[5] [6]
가장 일반적인 검사는 골수 천자[94]이지만, 환자에게 부담이 크다. 비장 비대 등의 특징적인 증상이 보이고, 니만-픽 병이 의심되는 경우에 실시한다. 골수 천자는 바늘을 골반의 후장골극(소아의 경우 전장골능에서도 가능)에 찔러 넣어 골수액을 흡인 채취한다[95][96]。채취 후 골수액을 얇게 펴서 표본으로 만든 골수 도말 표본에서, 앞서 언급한 거품 세포(니만-픽 세포)가 관찰된다[97]。 또한 A형에서는 안저 검사에서 약 반수에서 앞서 언급한 체리레드 반점을 확인할 수 있다[66]。망막의 색소 이상을 일으키는 경우도 있으며, 망막 전위도(ERG)에서 이상이 보이는 경우가 많다[86]。말초 신경에서의 전도 속도는 느려진다[86]。호흡 장애는 뚜렷하지 않지만, 폐 엑스선 사진에서는 폐 침윤 등의 소견이 보이는 경우가 많다[86]。C형에서는 골수 검사 및 유전자 검사 이외의 임상 검사(혈액 검사 등)에서의 특징적인 이상은 확인되지 않는다[90]。
그 외 병리 조직학적으로, 비장에서는 비동이라고 불리는 부위에서 거품 세포(니만-픽 세포)의 침윤을 보이며, 간에서도 공포를 가진 대형의 쿠퍼 세포(간에 존재하는 대식세포)가 나타난다[86]。폐의 무게도 증가하며, 림프관, 폐동맥, 폐포로의 거품 세포 침윤이 보인다[86]。
7. 1. A형 및 B형
니만-픽 병 A형 및 B형은 혈액 샘플을 통해 스핑고마이엘린분해효소 수치를 측정하여 진단할 수 있다.[5] [6] A형은 간비종, 발달 퇴행, 건 반사 감소 또는 소실, 체리 레드 반점, 흉부 X선 검사, 망막 전위도(ERG), 말초 신경 전도 속도, 골수 천자에 의한 니만-픽 세포 유무 확인으로 진단한다.[98] B형은 신경 증상이 없어 간비종, 흉부 X선 검사, 골수 천자로 니만-픽 세포를 확인하여 의심한다.[66]확진을 위해 배양 피부 섬유아세포에서 산성 스핑고미엘리나제(ASM)의 효소 진단을 실시하며, ''SMPD1'' 유전자 변이 분석으로도 진단이 가능하다.[66]
출생 전 진단은 유전자 검사 및 효소 분석 등으로 가능하다. 유전자 분석은 부모 및 형제의 유전자 분석을 통해 동일한 유전자 변이를 확인한다.[98] 효소 검사는 A형・B형의 경우 산성 스핑고미엘린 분해효소 활성을 효소 측정[44]한다.
7. 2. C형
C형 니만픽 병은 조기 치료를 통해 예후를 개선할 수 있지만, 특이적인 증상이 적고 질환 자체가 드물어 진단이 어렵다.[99] 따라서 일반 임상의를 위한 스크리닝 도구인 "니만-픽 병 C형 의심 지표"(NP-C-SI)가 개발되어 활용되고 있다.[99]C형의 진단은 골수 검사를 통해 니만-픽 세포를 확인하거나,[103] 피부 섬유아세포 배양 후 필리핀 염색을 통해 세포 내 콜레스테롤 축적을 확인하는 방식으로 이루어진다.[104][105] 확진을 위해서는 ''NPC1'' 또는 ''NPC2'' 유전자 변이를 분석한다.[90] 배양 세포의 필리핀 염색은 시간이 오래 걸리고 성인 환자에게는 위양성 가능성이 있어, 혈청을 이용한 염색법도 제안되고 있다.[103]
최근에는 혈청 옥시스테롤 검사가 높은 특이도와 민감도를 보여 진단에 활용되고 있다.[103] 다만, 시트린 결핍증과의 감별이 필요하다.[106]
유전자 검사 및 효소 분석 등을 통해 출생 전 진단이 가능하다.[98]
7. 3. 감별 진단
8. 치료
니만-픽 병의 치료는 유형과 증상에 따라 다르며, 완치법은 아직 없다.
A형 및 B형과 C형은 원인이 다르므로, 치료 및 예후도 다르다.
; A형 및 B형
니만픽 병 A형 및 B형의 경우, 근본적인 치료법은 아직 없으며, 증상 완화 및 합병증 관리를 위한 대증 요법이 주된 치료이다.[108] B형 성인 환자의 경우, 콜레스테롤 수치를 정상 수준으로 유지하고, 비장 비대 및 혈소판 수치 감소에 따른 출혈 시 혈액 제제 수혈이 필요할 수 있다. 간질성 폐 질환 증상이 있는 경우 산소 공급이 필요하다.[11]
효소 대체 요법으로는 올리푸다제 알파(Xenpozyme)가 2022년 3월 일본에서 의료용으로 승인되었다.[16] 2021년, 사노피 주식회사(Sanofi S.A.)는 올리푸다제 알파에 대해 성인 및 소아에서의 비중추 신경계 병변에 대한 치료법으로 일본에서 승인 신청을 했다고 발표했다. 골수 이식은 B형에서 시도되었으나,[12] 비장 및 간 비대 축소, 간 내 스핑고마이엘린 감소 등의 효과는 있었지만, 중추 신경계에는 효과가 없었고,[66] 사망을 피할 수는 없었다.[50] 효소 대체 요법 또한 쥐 실험 단계에서는 중추 신경계에 대한 효과가 확인되지 않아, 치료를 통한 생명 예후 개선은 어려웠다.[107]
A형은 예후가 매우 좋지 않아 생후 3년 정도에 사망하며, B형은 증상에 따라 성년기까지 생존하는 경우도 있다.[50]
; C형
미글루스타트(상품명 "브레저베스")는 글루코실세라미드의 생성을 억제하여 니만-픽 C형 질환에서 축적되는 대사 물질을 줄인다.[110] 이를 통해 신경 증상 발현을 지연시키고 생존 기간을 연장하며, 뇌에서의 강글리오사이드 축적을 억제하는 효과가 있는 것으로 알려져 있다.[110] 신경 증상 발현 전에 사용하면 발병을 예방할 가능성도 보고되고 있다.[111] 미글루스타트 투여로 생존율이 크게 개선되었다.[89] 다만, 장내 가스 축적으로 인한 고창, 설사, 체중 증가 부진, 진전 등의 부작용이 있으며, 간비종 등에 대한 효과는 없다.[72] 2009년 1월, 미글루스타트는 니만-픽 C형 질환이 있는 사람들의 진행성 신경학적 증상 치료를 위해 유럽 연합에서 승인되었다.[13][14] 이 약물은 미국에서는 실험적인 방식으로 사용할 수 있다. 2010년 3월, 미국 식품의약국(FDA)은 니만-픽 C형 질환에 대한 미국 내 승인에 대한 최종 결정을 내리기 전에 Actelion에 미글루스타트에 대한 추가적인 전임상 및 임상 정보를 요청했다.[15]
사이클로덱스트린은 임상 시험 중 인도적 사용(Compassionate Use)으로 미국 식품의약국(FDA)으로부터 승인되었으며, 미글루스타트와의 병용으로 간비종 축소 등이 보고되고 있다.[106] 2001년 애리조나 대학교 연구진은 니만-픽 C1형 질환 치료를 위해 2-히드록시프로필-β-사이클로덱스트린의 사용을 처음 제안했다.[35] 연구진은 2-히드록시프로필 치환 수준이 다양한 HPBCD가 니만-픽 마우스 모델에서 신경학적 증상을 지연시키고 간 콜레스테롤 축적을 감소시키는 효과가 있다는 것을 확인했다. 이후, 텍사스 대학교 사우스웨스턴 메디컬 센터의 연구진은 니만-픽 C형 마우스가 생후 7일 때 2-히드록시프로필-β-사이클로덱스트린(HPbCD)을 주입받았을 때, 간 기능이 현저히 개선되고, 신경 퇴행이 훨씬 적게 나타났으며, 궁극적으로 이 치료를 받지 않은 마우스보다 더 오래 생존했다는 것을 발견했다. 이러한 결과는 HPbCD가 NPC에서 관찰되는 축적 결함을 급성으로 역전시킨다는 것을 시사한다.[36] 2011년 4월, 미국 국립 보건원은 희귀 및 소외 질환 치료 프로그램과 협력하여[37] 니만-픽 C1형 환자를 위한 HPbCD를 사용한 임상 시험을 개발하고 있다고 발표했다. Vtesse, LLC가 실시한 임상 시험은 2013년 1월에 시작되어 2017년 3월에 완료되었다.[38] 2013년 4월 26일, 유럽 의약품청은 영국 국제 니만-픽 질환 연합에 니만-픽 질환 C형 치료를 위한 HPbCD에 대한 희귀 의약품 지정을 승인했다.[39]
그 외, 대증 요법으로 연하 곤란이 나타나는 경우의 위루, 기관 절개 및 안구 건조를 막기 위한 점안 등이 고려된다.[72] 신경 증상 중 하나인 연하 곤란에 따른 합병증으로 흡인성 폐렴이 있으며, 치료를 하지 않을 경우 사망 위험이 높지만, 치료제 개발로 크게 개선되고 있다.[89]
아리모클로몰 (Miplyffa)은 2024년 9월 미국에서 의료용으로 승인되었다.[17] 이는 FDA가 니만-픽 병 C형 치료를 위해 승인한 첫 번째 약물이다.[17]
레바세틸류신 (Aqneursa)은 2024년 9월 미국에서 의료용으로 승인되었다.[18] 레바세틸류신은 니만-픽 C형 질환 치료를 위해 FDA가 승인한 두 번째 약물이다.[18]
8. 1. A형 및 B형
니만픽 병 A형 및 B형의 경우, 근본적인 치료법은 아직 없으며, 증상 완화 및 합병증 관리를 위한 대증 요법이 주된 치료이다.[108] B형 성인 환자의 경우, 콜레스테롤 수치를 정상 수준으로 유지하고, 비장 비대 및 혈소판 수치 감소에 따른 출혈 시 혈액 제제 수혈이 필요할 수 있다. 간질성 폐 질환 증상이 있는 경우 산소 공급이 필요하다.[11]효소 대체 요법으로는 올리푸다제 알파 (Xenpozyme)가 2022년 3월 일본에서 의료용으로 승인되었다.[16] 2021년, 사노피 주식회사(Sanofi S.A.)는 올리푸다제 알파에 대해 성인 및 소아에서의 비중추 신경계 병변에 대한 치료법으로 일본에서 승인 신청을 했다고 발표했다. 골수 이식은 B형에서 시도되었으나,[12] 비장 및 간 비대 축소, 간 내 스핑고마이엘린 감소 등의 효과는 있었지만, 중추 신경계에는 효과가 없었고,[66] 사망을 피할 수는 없었다.[50] 효소 대체 요법 또한 쥐 실험 단계에서는 중추 신경계에 대한 효과가 확인되지 않아, 치료를 통한 생명 예후 개선은 어려웠다.[107]
A형은 예후가 매우 좋지 않아 생후 3년 정도에 사망하며, B형은 증상에 따라 성년기까지 생존하는 경우도 있다.[50]
8. 2. C형
미글루스타트(상품명 "브레저베스")는 글루코실세라미드의 생성을 억제하여 니만-픽 C형 질환에서 축적되는 대사 물질을 줄인다.[110] 이를 통해 신경 증상 발현을 지연시키고 생존 기간을 연장하며, 뇌에서의 강글리오사이드 축적을 억제하는 효과가 있는 것으로 알려져 있다.[110] 신경 증상 발현 전에 사용하면 발병을 예방할 가능성도 보고되고 있다.[111] 미글루스타트 투여로 생존율이 크게 개선되었다.[89] 다만, 장내 가스 축적으로 인한 고창, 설사, 체중 증가 부진, 진전 등의 부작용이 있으며, 간비종 등에 대한 효과는 없다.[72] 2009년 1월, 미글루스타트는 니만-픽 C형 질환이 있는 사람들의 진행성 신경학적 증상 치료를 위해 유럽 연합에서 승인되었다.[13][14] 이 약물은 미국에서는 실험적인 방식으로 사용할 수 있다. 2010년 3월, 미국 식품의약국(FDA)은 니만-픽 C형 질환에 대한 미국 내 승인에 대한 최종 결정을 내리기 전에 Actelion에 미글루스타트에 대한 추가적인 전임상 및 임상 정보를 요청했다.[15]사이클로덱스트린은 임상 시험 중 인도적 사용(Compassionate Use)으로 미국 식품의약국(FDA)으로부터 승인되었으며, 미글루스타트와의 병용으로 간비종 축소 등이 보고되고 있다.[106] 2001년 애리조나 대학교 연구진은 니만-픽 C1형 질환 치료를 위해 2-히드록시프로필-β-사이클로덱스트린의 사용을 처음 제안했다.[35] 연구진은 2-히드록시프로필 치환 수준이 다양한 HPBCD가 니만-픽 마우스 모델에서 신경학적 증상을 지연시키고 간 콜레스테롤 축적을 감소시키는 효과가 있다는 것을 확인했다. 이후, 텍사스 대학교 사우스웨스턴 메디컬 센터의 연구진은 니만-픽 C형 마우스가 생후 7일 때 2-히드록시프로필-β-사이클로덱스트린(HPbCD)을 주입받았을 때, 간 기능이 현저히 개선되고, 신경 퇴행이 훨씬 적게 나타났으며, 궁극적으로 이 치료를 받지 않은 마우스보다 더 오래 생존했다는 것을 발견했다. 이러한 결과는 HPbCD가 NPC에서 관찰되는 축적 결함을 급성으로 역전시킨다는 것을 시사한다.[36] 2011년 4월, 미국 국립 보건원은 희귀 및 소외 질환 치료 프로그램과 협력하여[37] 니만-픽 C1형 환자를 위한 HPbCD를 사용한 임상 시험을 개발하고 있다고 발표했다. Vtesse, LLC가 실시한 임상 시험은 2013년 1월에 시작되어 2017년 3월에 완료되었다.[38] 2013년 4월 26일, 유럽 의약품청은 영국 국제 니만-픽 질환 연합에 니만-픽 질환 C형 치료를 위한 HPbCD에 대한 희귀 의약품 지정을 승인했다.[39]
그 외, 대증 요법으로 연하 곤란이 나타나는 경우의 위루, 기관 절개 및 안구 건조를 막기 위한 점안 등이 고려된다.[72] 신경 증상 중 하나인 연하 곤란에 따른 합병증으로 흡인성 폐렴이 있으며, 치료를 하지 않을 경우 사망 위험이 높지만, 치료제 개발로 크게 개선되고 있다.[89]
아리모클로몰 (Miplyffa)은 2024년 9월 미국에서 의료용으로 승인되었다.[17] 이는 FDA가 니만-픽 병 C형 치료를 위해 승인한 첫 번째 약물이다.[17]
레바세틸류신 (Aqneursa)은 2024년 9월 미국에서 의료용으로 승인되었다.[18] 레바세틸류신은 니만-픽 C형 질환 치료를 위해 FDA가 승인한 두 번째 약물이다.[18]
9. 예후
니만-픽 병의 예후는 유형과 중증도에 따라 다르다. A형 (영아 신경 내장 니만-픽 병)은 대개 3세 이전에 사망한다. B형은 중증도가 매우 다양하며, 많은 환자들이 성인기까지 생존한다. 70대에 진단이 내려지기도 한다. C형은 예후가 매우 다양하다.
10. 관련 작품
오 마이 금비는 니만픽 병을 소재로 한 드라마이다.
11. 연구 동향
니만-픽병의 치료법 개선을 위한 연구가 지속적으로 진행되고 있지만, 현재까지는 치료법이 없다.[27]
2014년, 유럽 의약품청은 니만-픽 C형 치료를 위해 아리모클로몰에 희귀 의약품 지정을 부여했다.[32] 2015년에는 미국 식품의약국이 뒤를 이었다.[33] 2016년, 아리모클로몰을 사용하여 니만-픽 C형 치료(C1형 및 C2형 환자 모두)를 조사하는 위약 대조 2/3상 임상 시험의 투여가 시작되었다.[34]
2001년 애리조나 대학교 연구진은 니만-픽 C1형 질환 치료를 위해 2-히드록시프로필-β-사이클로덱스트린의 사용을 처음 제안했다.[35] 연구진은 2-히드록시프로필 치환 수준이 다양한 HPBCD가 니만-픽 마우스 모델에서 신경학적 증상을 지연시키고 간 콜레스테롤 축적을 감소시키는 효과가 있다는 것을 확인했다. 이후, 텍사스 대학교 사우스웨스턴 메디컬 센터의 연구진은 니만-픽 C형 마우스가 생후 7일 때 2-히드록시프로필-β-사이클로덱스트린(HPbCD)을 주입받았을 때, 간 기능이 현저히 개선되고, 신경 퇴행이 훨씬 적게 나타났으며, 궁극적으로 이 치료를 받지 않은 마우스보다 더 오래 생존했다는 것을 발견했다. 이러한 결과는 HPbCD가 NPC에서 관찰되는 축적 결함을 급성으로 역전시킨다는 것을 시사한다.[36]
2011년 4월, 미국 국립 보건원은 희귀 및 소외 질환 치료 프로그램과 협력하여[37] 니만-픽 C1형 환자를 위한 HPbCD를 사용한 임상 시험을 개발하고 있다고 발표했다. Vtesse, LLC가 실시한 임상 시험은 2013년 1월에 시작되어 2017년 3월에 완료되었다.[38]
2013년 4월 26일, 유럽 의약품청은 영국 국제 니만-픽 질환 연합에 니만-픽 질환 C형 치료를 위한 HPbCD에 대한 희귀 의약품 지정을 승인했다.[39]
유전자 치료는 혈우병 및 척수성 근위축증을 포함한 유전 질환을 치료하는 데 임상적으로 사용되고 있다. 이는 니만-픽병 C형의 마우스 모델에서 아데노 연관 바이러스에서 파생된 바이러스 벡터를 사용하여 전임상적으로 사용되었으며, 신생아 뇌의 외측 뇌실에 주사한 후 수명을 연장하는 것으로 나타났다.[40] 별도의 개념 증명 연구에서는 유사한 벡터를 사용했지만, 수정된 캡시드를 사용하여 약 4주령의 니만-픽병 C형 마우스에게 정맥 내 주사했다. 이로 인해 수명이 연장되고 체중 증가가 개선되었다.[41] 유전자 치료는 또한 니만-픽병 A형의 마우스 모델에서 전임상적으로 사용되었다. 7주령에 대수조에 주사하면 운동 및 기억력 손상과 뉴런 세포 사멸을 예방했다.[42]
참조
[1]
OED
Niemann–Pick
[2]
서적
Andrews' Diseases of the Skin: clinical Dermatology
Saunders Elsevier
[3]
웹사이트
Niemann-Pick disease
https://ghr.nlm.nih.[...]
[4]
웹사이트
Niemann-Pick - Symptoms and causes
https://www.mayoclin[...]
[5]
웹사이트
Niemann-Pick - Diagnosis and treatment - Mayo Clinic
https://www.mayoclin[...]
[6]
서적
Lysosomes and Lysosomal Diseases
https://pubmed.ncbi.[...]
[7]
웹사이트
Neimann-Pick Disease
http://ghr.nlm.nih.g[...]
NIH
2008-01
[8]
EMedicine
Sphingomyelinase Deficiency
[9]
웹사이트
Niemann Pick Disease Type C
https://rarediseases[...]
[10]
웹사이트
NIEMANN-PICK DISEASE, TYPE B
http://omim.org/entr[...]
2019-04-09
[11]
EMedicine
Sphingomyelinase Deficiency
[12]
간행물
Types a and B Niemann-Pick disease
[13]
웹사이트
Zavesca EPAR
https://www.ema.euro[...]
2000-10-18
[14]
웹사이트
Miglustat Product information
https://ec.europa.eu[...]
2002-11-21
[15]
보도자료
Actelion receives FDA complete response letter for Zavesca (miglustat) for the treatment of Niemann-Pick type C disease
https://www.drugs.co[...]
2010-03-09
[16]
보도자료
Xenpozyme (olipudase alfa) approved in Japan, first and only approved therapy indicated to treat acid sphingomyelinase deficiency
https://www.sanofi.c[...]
Sanofi
2022-03-28
[17]
보도자료
FDA Approves First Treatment for Niemann-Pick Disease, Type C
https://www.fda.gov/[...]
2024-09-20
[18]
문서
r from merge
[19]
간행물
Niemann-Pick disease type B presenting with hepatosplenomegaly and thrombocytopenia
2008-11
[20]
간행물
Morbidity and mortality in type B Niemann-Pick disease
2013-08
[21]
간행물
Cause of death in patients with chronic visceral and chronic neurovisceral acid sphingomyelinase deficiency (Niemann-Pick disease type B and B variant): Literature review and report of new cases
2016-07
[22]
WhoNamedIt
[23]
간행물
Ein unbekanntes Krankheitsbild
[24]
간행물
Der Morbus Gaucher und die ihm ähnlichen Krankheiten (die lipoidzellige Splenohepatomegalie Typus Niemann und die diabetische Lipoidzellenhypoplasie der Milz)
[25]
간행물
The Cerebral Defect in Tay-Sachs Disease and Niemann-Pick Disease
[26]
OMIM
Niemann–Pick Disease, Type C1; NPC1
[27]
Citation
Niemann-Pick Disease Type C
http://www.ncbi.nlm.[...]
University of Washington, Seattle
2023-07-30
[28]
간행물
Decreased expression of myelin gene regulatory factor in Niemann-Pick type C 1 mouse
[29]
간행물
Myelin Gene Regulatory Factor is Required for Maintenance of Myelin and Mature Oligodendrocyte Identity in the Adult CNS
[30]
간행물
Ebola virus entry requires the cholesterol transporter Niemann–Pick C1
[31]
간행물
Small molecule inhibitors reveal Niemann–Pick C1 is essential for Ebola virus infection
[32]
웹사이트
European Medicines Agency - - EU/3/14/1376
http://www.ema.europ[...]
2018-09-17
[33]
웹사이트
Search Orphan Drug Designations and Approvals
https://www.accessda[...]
[34]
간행물
Arimoclomol Prospective Study in Patients Diagnosed With NiemannPick Disease Type C - Full Text View - ClinicalTrials.gov
https://clinicaltria[...]
2021-04-14
[35]
간행물
Cyclodextrins in the treatment of a mouse model of Niemann-Pick C disease
[36]
논문
Reversal of defective lysosomal transport in NPC disease ameliorates liver dysfunction and neurodegeneration in the npc1-/- mouse
[37]
웹사이트
Therapeutics for Rare and Neglected Diseases Program
http://rarediseases.[...]
U.S. National Institutes of Health
2017-11
[38]
논문
Hydroxypropyl Beta Cyclodextrin for Niemann-Pick Type C1 Disease
https://clinicaltria[...]
NIH
2021-07-19
[39]
웹사이트
EU/3/13/1124
https://www.ema.euro[...]
2018-09-17
[40]
논문
AAV9 intracerebroventricular gene therapy improves lifespan, locomotor function and pathology in a mouse model of Niemann–Pick type C1 disease
https://doi.org/10.1[...]
2018-09-01
[41]
논문
Improved systemic AAV gene therapy with a neurotrophic capsid in Niemann–Pick disease type C1 mice
2021-10-01
[42]
논문
Adeno-associated viral vector serotype 9–based gene therapy for Niemann-Pick disease type A
2019-08-21
[43]
서적
ロビンス基礎病理学 原著8版
丸善出版
[44]
서적
ロビンス基礎病理学 原著8版
丸善出版
[45]
서적
標準皮膚科学 第9版
医学書院
[46]
문서
リソソーム
http://bsd.neuroinf.[...]
2015-10
[47]
서적
リッピンコット イラストレイテッド生化学 原著6版
丸善出版
[48]
서적
Andrews' Diseases of the Skin: clinical Dermatology
Saunders Elsevier
[49]
간행물
ニーマンピック病C型-早期診断と治療
メディカルレビュー社
[50]
서적
STEP小児科 第3版
海馬書房
[51]
웹사이트
Niemann-Pick disease (Ludwig Pick)
https://www.whonamed[...]
[52]
웹사이트
Ludwig Pick
https://www.whonamed[...]
[53]
웹사이트
Niemann-Pick disease (Ludwig Pick)
https://www.whonamed[...]
[54]
웹사이트
"#257220 NIEMANN-PICK DISEASE, TYPE C1; NPC1"
https://omim.org/ent[...]
[55]
논문
A new form of Niemann-Pick disease characterised by temperature-labile sphingomyelinase.
https://www.ncbi.nlm[...]
1978-10
[56]
논문
A new form of Niemann-Pick disease characterised by temperature-labile sphingomyelinase.
https://www.ncbi.nlm[...]
1978-10
[57]
논문
1934
[58]
논문
1966
[59]
웹사이트
"#257200 NIEMANN-PICK DISEASE, TYPE A"
https://omim.org/ent[...]
[60]
웹사이트
高橋 勉
https://researchmap.[...]
[61]
간행물
2つのニーマンピック病C型原因遺伝子と細胞内コレステロール輸送
The Pharmaceutical Society of Japan
[62]
간행물
2つのニーマンピック病C型原因遺伝子と細胞内コレステロール輸送
The Pharmaceutical Society of Japan
[63]
뉴스
ブレーザベス:ニーマン・ピック病C型の治療薬
https://medical.nikk[...]
2012-06
[64]
뉴스
ニーマン・ピック病C型治療薬ミグルスタット厚生労働省から製造販売承認を取得
http://www1.actelion[...]
アクテリオン ファーマシューティカルズ ジャパン株式会社
2012
[65]
웹사이트
Niemann-Pick disease
http://ghr.nlm.nih.g[...]
U.S. National Library of Medicine
2015-01
[66]
보고서
ニーマンピック病A、B型
http://www.japan-lsd[...]
厚生労働省難治性疾患等政策研究事業に関する調査研究班
[67]
웹사이트
NPC1
http://ghr.nlm.nih.g[...]
U.S. National Library of Medicine
2015-01
[68]
웹사이트
NPC2
http://ghr.nlm.nih.g[...]
U.S. National Library of Medicine
2015-01
[69]
웹사이트
ニーマン・ピックC型とは?
http://www.npcj.net/[...]
[70]
웹사이트
"#607616 NIEMANN-PICK DISEASE, TYPE B"
https://omim.org/ent[...]
[71]
웹사이트
SMPD1
http://ghr.nlm.nih.g[...]
2015-01-01
[72]
간행물
ライソゾーム病6:Niemmann-Pick病C型
診断と治療社
[73]
서적
リッピンコット イラストレイテッド生化学 原著6版
丸善出版
[74]
서적
リッピンコット イラストレイテッド生化学 原著6版
丸善出版
[75]
간행물
ニーマン・ピック病C型原因遺伝子 -細胞内コレステロール輸送関連タンパク-
羊土社
[76]
간행물
先天代謝異常症: 遺伝子クローニング以降の展開 -ニーマンピック病を中心に-
秋田大学
[77]
웹사이트
NPC1 GENE; NPC1
https://omim.org/ent[...]
[78]
간행물
ニーマン・ピック病
メディカルレビュー社
[79]
간행물
先天代謝異常症: 遺伝子クローニング以降の展開 -ニーマンピック病を中心に-
秋田大学
[80]
간행물
ニーマン-ピック病におけるミエリン化の異常
金原一郎記念医学医療振興財団・医学書院
[81]
간행물
Niemann-Pick病とリポ蛋白
メディカルレビュー社
[82]
웹사이트
難病医学研究財団/難病情報センター
http://www.nanbyou.o[...]
[83]
웹사이트
難病医学研究財団/難病情報センター「ライソゾーム病」
http://www.nanbyou.o[...]
[84]
웹사이트
ニーマン・ピック病C型患者家族の会とは
http://www.npcj.net/[...]
[85]
웹사이트
ニーマンピック病C型
http://www.japan-lsd[...]
[86]
간행물
ニーマン・ピック病[A型, B型]
日本臨牀社
[87]
간행물
ニーマン・ピック病[A型, B型]
日本臨牀社
[88]
간행물
ニーマン・ピック病C型の分子生物学と治療的展望
日本マススクリーニング学会
[89]
간행물
ニーマンピック病C型-早期診断と治療
メディカルレビュー社
[90]
간행물
ライソゾーム病6:Niemmann-Pick病C型
診断と治療社
[91]
간행물
ニーマン・ピック病C型原因遺伝子 -細胞内コレステロール輸送関連タンパク-
羊土社
[92]
간행물
ニーマンピック病C型-早期診断と治療
メディカルレビュー社
[93]
간행물
ニーマンピック病C型-早期診断と治療
メディカルレビュー社
[94]
간행물
骨髄穿刺
診断と治療社
[95]
웹사이트
成人に対する骨髄穿刺の穿刺部位に関する注意
http://www.jshem.or.[...]
2009-01-01 # Provide a default date as the year is provided in the title
[96]
간행물
骨髄検査
診断と治療社
[97]
간행물
骨髄検査
診断と治療社
[98]
간행물
ニーマン・ピック病[A型, B型]
日本臨牀社
[99]
웹사이트
NP-C Suspicion Index(NP-Cを疑う指標)の開発
http://www.npc-si.jp[...]
2013-04-19
[100]
웹사이트
会社案内
http://www1.actelion[...]
2016-02-01 # Provide a default date as the month is provided in the title
[101]
웹사이트
NP-C Suspicion Indexへようこそ
http://www.npc-si.jp[...]
2015-11-01 # Provide a default date as the month is provided in the title
[102]
웹사이트
NP-C Suspicion Index
http://www.npc-si.jp[...]
2015-11-01 # Provide a default date as the month is provided in the title
[103]
간행물
ニーマンピック病C型-早期診断と治療
メディカルレビュー社
[104]
간행물
先天代謝異常症: 遺伝子クローニング以降の展開 -ニーマンピック病を中心に-
秋田大学
[105]
웹사이트
ニーマン・ピックC型の診断方法
http://www.npcj.net/[...]
[106]
간행물
ニーマンピック病C型-早期診断と治療
メディカルレビュー社
2015
[107]
논문
先天代謝異常症: 遺伝子クローニング以降の展開 -ニーマンピック病を中心に-
秋田大学
2008
[108]
웹사이트
Sphingomyelinase Deficiency Treatment & Management
http://emedicine.med[...]
2014-03-27
[109]
논문
Dysphagia as a risk factor for mortality in Niemann-Pick disease type C: systematic literature review and evidence from studies with miglustat
2012
[110]
웹사이트
ブレザーベスカプセル
http://database.japi[...]
アクテリオン ファーマシューティカルズ ジャパン株式会社
[111]
간행물
ライソゾーム病6:Niemmann-Pick病C型
診断と治療社
2014
본 사이트는 AI가 위키백과와 뉴스 기사,정부 간행물,학술 논문등을 바탕으로 정보를 가공하여 제공하는 백과사전형 서비스입니다.
모든 문서는 AI에 의해 자동 생성되며, CC BY-SA 4.0 라이선스에 따라 이용할 수 있습니다.
하지만, 위키백과나 뉴스 기사 자체에 오류, 부정확한 정보, 또는 가짜 뉴스가 포함될 수 있으며, AI는 이러한 내용을 완벽하게 걸러내지 못할 수 있습니다.
따라서 제공되는 정보에 일부 오류나 편향이 있을 수 있으므로, 중요한 정보는 반드시 다른 출처를 통해 교차 검증하시기 바랍니다.
문의하기 : help@durumis.com
