맨위로가기

보조생식기술

"오늘의AI위키"는 AI 기술로 일관성 있고 체계적인 최신 지식을 제공하는 혁신 플랫폼입니다.
"오늘의AI위키"의 AI를 통해 더욱 풍부하고 폭넓은 지식 경험을 누리세요.

1. 개요

보조생식기술은 불임 부부의 임신을 돕기 위한 다양한 기술을 포괄하며, 인공수정, 체외 수정(시험관 아기) 등이 대표적이다. 체외 수정은 정자와 난자를 체외에서 수정시켜 자궁에 이식하는 기술로, 다양한 관련 기술들이 성공률을 높이기 위해 사용된다. 이러한 기술의 발전으로 보조생식술의 사용은 증가하고 있지만, 선천적 결함, 조산, 산후 우울증 등 잠재적인 위험과 윤리적 논쟁도 존재한다. 1978년 세계 최초의 시험관 아기 출생 이후 기술이 발전해 왔으며, 각 국가별로 보조생식술에 대한 법규와 지원 정책이 다르다.

더 읽어볼만한 페이지

  • 재생산권 - 초야권
    초야권은 영주가 농노 딸이나 신부의 첫날밤을 가질 수 있는 권리라는 의미로 알려진 용어로, 역사적 근거는 부족하지만 다양한 지역에서 유사한 풍습이 있었다는 주장이 있으며, 문학 작품 등에서 소재로 사용되어 왔지만 그 진위 여부에 대한 논쟁이 있다.
  • 재생산권 - 화학적 거세
    화학적 거세는 성욕 감퇴를 위해 항남성호르몬제를 사용하는 방법으로, 성범죄자 치료 및 호르몬 의존성 암 치료에 사용되며, 부작용과 윤리적 논쟁의 대상이 되기도 한다.
  • 응용유전학 - 가족력
    가족력은 가족 구성원의 의학적 병력으로, 질병 위험 평가 및 건강 관리에 중요하며, 특정 질병 발병 위험 예측과 맞춤형 예방 및 조기 진단 전략 수립에 활용된다.
  • 응용유전학 - 23andMe
  • 보조생식술 - 인공수정
    인공수정은 정자를 인위적으로 자궁에 주입하여 임신을 유도하는 방법으로, 난임 치료에 사용되며 윤리적, 사회적 문제 및 법적 제한과 관련이 있고, 동물 인공수정은 가축 개량 등에 활용된다.
  • 보조생식술 - LGBT 생식
    LGBT 생식은 성소수자들이 아이를 갖기 위해 대리모, 체외 수정, 인공 수정 등의 다양한 기술을 활용하는 것을 포괄하며, 윤리적, 법적, 사회적 문제와 기술 발전을 동반한다.
보조생식기술
개요
난임 치료에 사용되는 다양한 생식 보조 기술의 예
난임 치료에 사용되는 다양한 생식 보조 기술의 예
정의인공 또는 부분적으로 인공적인 방법으로 임신을 유도하는 기술
종류
주요 기술체외 수정 (IVF)
난세포질 내 정자 주입 (ICSI)
배아 이식
인공 수정 (AI)
기타 기술보조 부화 (Assisted Hatching)
착상 전 유전 진단 (PGD)
미성숙 난자 체외 배양 (IVM)
난자 동결 보존
정자 동결 보존
대리모
시술 과정 (일반적인 IVF 기준)
1단계배란 유도: 여성의 난소에서 여러 개의 난자를 성숙시키기 위해 호르몬 주사 등을 투여
2단계난자 채취: 질 초음파를 통해 성숙한 난자를 채취
3단계수정: 채취된 난자와 정자를 시험관 내에서 수정
4단계배양: 수정된 난자를 배양액에서 배양
5단계배아 이식: 배양된 배아를 여성의 자궁 내로 이식
윤리적 쟁점
주요 쟁점다태아 임신: 배아 이식 시 여러 개의 배아를 이식하여 발생 가능
선택적 유산: 다태아 임신 시 태아 수를 줄이기 위해 시행될 수 있음
배아의 지위: 배아를 생명으로 볼 것인지에 대한 논쟁
대리모의 권리: 대리모와 의뢰 부모 간의 권리 관계
고령 임신: 여성의 고령 임신으로 인한 위험성 증가
관련 법규 (대한민국)
생명윤리 및 안전에 관한 법률생식 보조 기술의 시술 범위 및 윤리적 기준 규정
참고 자료
관련 협회일반 사단 법인 일본 생식 의학회
관련 서적인구 대사전: "생식 보조 기술: 종류와 윤리적 쟁점" (한성현·서경(2016), 한국인구학회 편, 통계청, 275-279쪽)

2. 종류

보조생식기술(Assisted Reproductive Technology, ART)은 일반적으로 성관계 과정을 거치지 않고 실험실 환경에서 난자수정이 이루어지는 다양한 의학적 시술들을 통칭한다. 미국의 질병통제예방센터(CDC)는 ART를 "난자와 정자 모두를 다루는 모든 불임 치료"로 정의하며[1], 유럽[2][3]과 세계 보건 기구(WHO) 역시 비슷한 기준으로 정의하고 있다.[4] 따라서 난자를 직접 다루지 않는 인공수정이나 약물만을 이용한 배란 유도는 엄밀한 의미의 ART 범주에 포함되지 않기도 한다.

보조생식기술에는 다양한 종류가 있으며, 주요 기술들은 다음과 같다. 각 기술은 불임의 원인과 개인의 상황에 따라 적용된다.


  • 배란 유도: 불임 치료제를 사용하여 난소난포 발달을 자극하는 방법이다.[5][6][7]
  • 인공수정: 남성의 정액을 채취하여 여성의 자궁이나 질에 직접 주입하는 시술이다.[69] (상기 정의에 따라 ART로 분류되지 않기도 함)
  • 체외 수정 (IVF, 시험관 아기 시술): 여성의 몸 밖에서 난자정자를 수정시켜 배아를 만든 뒤, 이를 여성의 자궁에 이식하는 가장 대표적인 보조생식기술이다.[69] 세포질 내 정자 직접 주입술(ICSI)이나 착상 전 유전자 진단(PGD) 등 다양한 관련 기술이 포함될 수 있다.
  • 난자 나팔관 내 이식 (GIFT): 정자난자의 혼합물을 여성의 나팔관에 직접 이식하는 방법이다.
  • 세포질 내 정자 직접 주입술 (ICSI): 미세 바늘을 사용하여 단일 정자난자세포질 내에 직접 주입하는 기술로, 주로 남성불임의 경우에 사용된다.[69]
  • 착상 전 유전자 진단 (PGD): 체외 수정으로 생성된 배아를 자궁에 이식하기 전에 유전적 이상 여부를 검사하는 기술이다.[9]
  • 배아복제: 인간의 정자난자수정을 통하지 않고 인공적으로 수정란을 분할하거나 체세포를 이용하여 배아를 만드는 방식이다.[69]
  • 미토콘드리아 치환술 (MRT): 미토콘드리아 질환의 유전을 방지하기 위해 제3자의 건강한 미토콘드리아를 이용하는 기술이다.[10][11][12]
  • 생식 수술: 나팔관 폐쇄, 정관 폐쇄 등 생식 기관의 구조적 문제를 수술로 교정하거나 정관 절제술을 복원하는 방법, 또는 수술적 정자 채취 (SSR) 등을 포함한다.
  • 극저온 보존: 난자, 정자, 배아 또는 생식 조직을 초저온 상태로 냉동 보존하여 추후 임신 시도에 사용하는 기술이다.

2. 1. 인공수정

인공수정은 임신을 원하는 여성의 배란 시기에 맞추어 남성의 정액을 채취하거나 미리 채취하여 냉동 보관했던 정액을 해동한 뒤, 가느다란 관을 통해 여성의 자궁 또는 질에 직접 주입하는 시술이다.[69]

일반적으로 보조생식기술(ART)은 체외 수정처럼 실험실 환경에서 난자정자를 모두 다루어 수정을 유도하는 기술을 의미한다. 미국의 질병통제예방센터(CDC)는 ART를 "난자와 정자 모두를 다루는 모든 불임 치료"로 정의하며, 난자를 채취하지 않고 정자만 주입하는 인공수정은 ART의 범주에 포함하지 않는다.[1] 유럽[2][3]과 세계 보건 기구(WHO) 역시 인공수정을 ART와 구분하여 정의하고 있다.[4]

2. 2. 체외수정 (시험관 아기)

체외 수정(IVF)은 여성의 몸 밖, 즉 시험관(in vitro) 환경에서 난자정자를 수정시켜 배아를 만드는 기술이다. 이렇게 형성된 배아는 최대 7일까지 배양된 후 여성의 자궁에 직접 이식되거나, 추후 이식을 위해 동결 보존될 수 있다. 이 때문에 흔히 시험관 아기 시술 또는 시험관 수정이라고도 불린다.[69]

이 과정의 핵심 단계 중 하나인 배아 이식은 체외에서 수정되어 분열 중인 수정란을 착상 전 단계에서 여성의 자궁으로 옮겨 임신을 유도하는 기술적 과정을 포함한다.[69] 체외수정은 보조생식기술(ART)의 대표적인 방법 중 하나로, 성관계를 통하지 않고 실험실 환경에서 생식 세포의 수정을 가능하게 한다.

2. 2. 1. 체외수정 관련 기술

IVF 치료 단계


체외 수정(IVF)은 여성의 몸 밖에서 남성과 여성의 생식 세포(정자난자)를 수정시키는 기술이다. 이 과정의 성공률을 높이거나 특정 문제를 해결하기 위해 다음과 같은 다양한 관련 기술들이 활용될 수 있다.

  • 경질 난자 채취 (OVR, Transvaginal oocyte retrieval): 초음파 유도 하에 질 뒤쪽으로 가느다란 바늘을 삽입하여 난소난포에서 난자가 포함된 액체를 채취하는 과정이다.
  • 배아 이식 (Embryo transfer): 임신을 목표로 하나 이상의 배아를 여성의 자궁으로 옮기는 과정이다.
  • 보조 부화 (AZH, Assisted hatching): 배아를 자궁으로 이식하기 직전에 시행된다. 배아가 부화하여 착상하는 과정을 돕기 위해, 배아를 둘러싼 투명대(zona pellucida)에 작은 구멍을 만드는 기술이다.
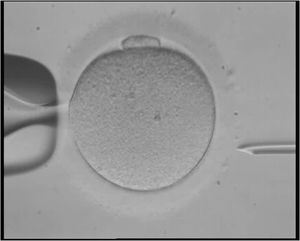
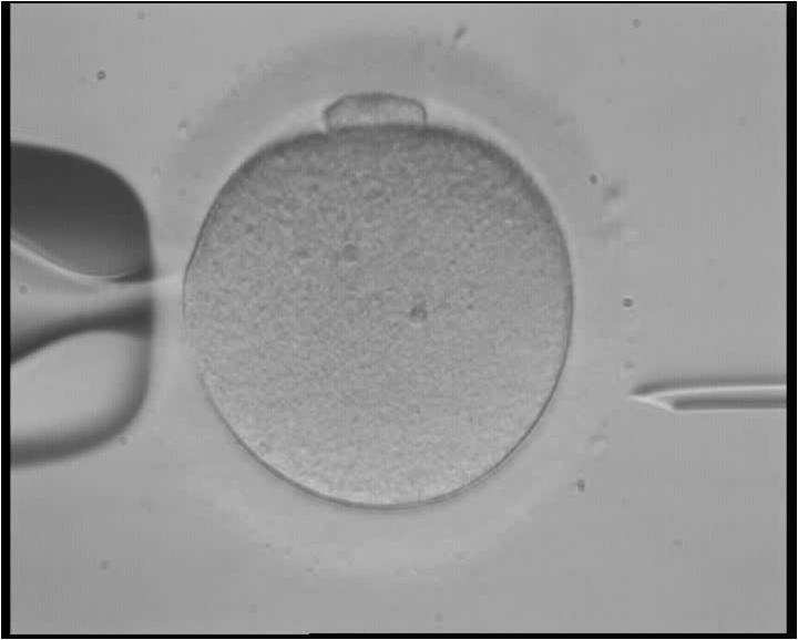
  • 세포질 내 정자 주입 (ICSI, Intracytoplasmic sperm injection):
    세포질 내 정자 주입(ICSI)
    남성 요인 불임(정자 수가 매우 적거나 운동성이 낮은 경우)이나 이전 체외 수정 시도에서 수정 실패 경험이 있는 경우에 주로 사용된다. 미세한 바늘을 사용하여 단 하나의 정자를 난자의 세포질 안으로 직접 주입하는 방식이다. 이 방법을 사용하면 난자 하나당 정자 하나만 필요하며, 기증받은 정자를 사용할 때도 적용될 수 있다.
  • 자가 자궁 내막 공동 배양 (Autologous endometrial coculture): 이전 체외 수정 시도에 실패했거나 배아의 질이 낮은 환자에게 적용될 수 있는 방법이다. 환자 본인의 자궁 내막 세포를 배양하여 그 위에서 수정란을 키움으로써, 배아 발달에 더 자연스러운 환경을 제공하고자 하는 기술이다.
  • 자이고트 난관 내 이식 (ZIFT, Zygote intrafallopian transfer): 여성의 난소에서 난자를 채취하여 체외에서 수정한 뒤, 수정란(접합자, Zygote) 단계에서 나팔관(난관)으로 직접 이식하는 방법이다.
  • 세포질 이식 (Cytoplasmic transfer): 난자의 질이 좋지 않은 경우, 건강한 난자 공여자의 세포질 일부를 환자의 난자에 주입하여 수정 능력을 개선하려는 기술이다.
  • 난자 공여 (Oocyte donation): 난소 기능 저하, 조기 폐경, 유전 질환, 고령 등의 이유로 자신의 난자를 사용하기 어려운 여성이 다른 여성에게서 난자를 기증받아 임신을 시도하는 방법이다. 기증받은 난자를 파트너의 정자(또는 기증 정자)와 수정시켜 생성된 배아를 수혜자의 자궁에 이식한다.
  • 정자 기증 (Sperm donation): 남성 파트너가 무정자증이거나 심각한 정자 이상이 있는 경우, 유전 질환의 위험이 있는 경우, 또는 여성 혼자 임신을 원하는 경우 등에 기증받은 정자를 사용하여 체외 수정을 진행한다.
  • 착상 전 유전 진단 (PGD, Preimplantation genetic diagnosis): 체외 수정으로 생성된 배아를 자궁에 이식하기 전에 유전 질환이나 염색체 이상 여부를 검사하는 기술이다. 형광 동소 보합법(FISH)이나 비교 유전체 혼성화(CGH) 등의 방법을 사용하여 유전적으로 건강한 배아를 선별하여 이식함으로써 유전 질환의 대물림을 방지하고 임신 성공률을 높이는 데 목적이 있다.
  • 배아 분할 (Embryo splitting): 초기 단계의 배아를 인위적으로 분할하여 유전적으로 동일한 여러 개의 배아(일란성 쌍둥이)를 만드는 기술이다. 이식 가능한 배아의 수를 늘리기 위한 목적으로 연구되거나 사용될 수 있다.[8]

2. 3. 기타 보조생식술

극저온 보존은 난자, 정자 및 생식 조직을 나중에 체외 수정을 위해 보존할 수 있도록 하는 기술이다.

2. 3. 1. 난관 내 배우자 이식 (GIFT)

난자 나팔관 내 이식(GIFT, Gamete intrafallopian transfer)은 정자난자를 채취하여 혼합한 뒤, 복강경 검사를 통해 여성의 나팔관 안으로 직접 넣어주는 보조생식술 방법이다. 이 과정은 보통 질을 통해 난자를 채취한 후에 이루어진다.

2. 3. 2. 생식 수술

생식 수술은 나팔관 폐쇄나 정관 폐쇄와 같이 불임을 유발할 수 있는 해부학적 문제를 치료하거나, 정관 절제술을 받은 경우 정관 복원술을 통해 이를 되돌리는 수술이다. 또한, 수술적 정자 채취(SSR)는 생식 비뇨기과 전문의가 짧은 외래 절차를 통해 정관, 부고환 또는 고환에서 직접 정자를 얻는 방법이다.

2. 3. 3. 미토콘드리아 치환술

미토콘드리아 치환술(MRT, Mitochondrial Replacement Therapy)은 때때로 미토콘드리아 기증이라고도 불리며, 질병을 예방하거나 개선하기 위해 하나 이상의 세포에서 미토콘드리아를 대체하는 기술이다. MRT는 미래 아기의 일부 또는 전체 미토콘드리아 DNA가 제3자로부터 오는 IVF의 특별한 형태로 시작되었다. 이 기술은 주로 어머니가 미토콘드리아 질환의 유전자를 가지고 있을 때, 이를 자녀에게 유전시키지 않기 위해 사용된다. 이 치료법은 영국에서 사용이 승인되었다.[10][11][12]

2. 3. 4. 배아 복제

배아복제는 인간의 정자난자수정을 통하지 않고 인공적으로 수정란을 분할하거나 혈액·살점 등에 들어 있는 체세포만을 이용해 아이를 복제하는 방식이다.[69]

2. 3. 5. 세포질 내 정자 직접 주입술(ICSI)



세포질 내 정자 직접 주입술(Intracytoplasmic Sperm Injection|ICSIeng)은 과거에 해결할 수 없었던 중증의 남성불임으로 수정 실패 또는 수정률이 낮았던 경험이 있는 환자, 또는 항 정자 항체의 역가가 높아 정상적인 체외 수정이 불가능한 경우에 시술하는 방법이다.[69]

정자 수가 매우 적거나 이전 체외 수정(IVF) 시도에서 수정에 실패한 남성불임의 경우에 특히 유용하다. ICSI 절차는 미세 바늘을 사용하여 단일 정자난자의 중심에 조심스럽게 주입하는 것을 포함한다. ICSI를 사용하면 난자정자 1개만 필요하며, 이는 ICSI가 없을 때 필요한 50,000~100,000개의 정자와 비교된다. 이 방법은 공여 정자를 사용할 때도 사용된다.[8]

2. 3. 6. 유전자 진단

유전자 진단은 인간의 혈액, 체액, 조직에서 추출한 DNA 검사를 통해 질병이나 장애를 파악하는 기술이다.[69][70]

착상 전 유전자 진단(PGD)은 착상하기 전의 배아에 대해 유전적 검사를 시행하는 절차로, 일종의 배아 프로파일링으로 볼 수 있다. 때로는 수정난자를 대상으로 하기도 한다. PGD는 산전 진단과 유사하게 간주되며, 보조생식기술(ART) 과정의 일부로 이루어진다. PGD를 위해서는 체외 수정을 통해 난자나 배아를 얻어야 평가가 가능하다. 배아 검사를 위한 생검은 보통 할구 단계 또는 배반포 단계에서 진행된다. 배아 발달 5일 또는 6일째에 배반포 생검을 하는 것이 배아에 가해지는 손상이 덜한 것으로 알려져 있어 더 선호되는 방식이다.[9]

성 감별은 X 염색체와 관련된 유전 질환을 피하기 위해 특정 성별의 자녀를 선택하려는 시도를 의미한다. 이는 배아의 착상 전후, 출생 시 등 다양한 시점에서 여러 방법으로 수행될 수 있다. 착상 전에 이루어지는 성 감별 기술에는 PGD뿐만 아니라 정자 분류 방법도 포함된다.

3. 시술 과정

보조생식기술(ART)은 성관계를 거치지 않고 실험실 환경에서 난자정자를 수정시키는 다양한 시술을 포함한다. 미국 질병통제예방센터(CDC)는 ART를 "난자와 정자 모두를 다루는 모든 불임 치료"로 정의하며, 일반적으로 여성의 몸에서 난자를 채취하여 실험실에서 수정한 뒤 다시 여성의 몸으로 옮기는 과정을 포함한다고 설명한다. 단순히 정자만 다루는 인공 수정이나 약물만 사용하는 배란 유도는 ART 범위에 포함하지 않는다.[1] 유럽[2][3]과 세계 보건 기구(WHO)[4] 역시 유사한 정의를 사용한다.

보조생식술의 일반적인 과정은 다음과 같은 주요 단계로 이루어진다.

1. 배란 유도: 약물을 사용하여 여성의 난소에서 여러 개의 난자가 성숙하도록 자극한다. 이 과정은 의료진의 면밀한 관찰 하에 진행된다.[5][6][7]

2. 난자 채취 및 정자 준비: 충분히 성숙한 난자를 여성의 몸에서 채취하고, 남성 파트너 또는 기증자로부터 정자를 확보하여 처리한다.[1]

3. 체외 수정(IVF) 및 배양: 실험실에서 채취된 난자와 준비된 정자를 수정시킨다. 수정된 배아는 자궁에 이식하기 적합한 단계까지 며칠간 배양된다. 필요에 따라 세포질 내 정자 주입(ICSI) 등 특수한 기술이 사용되기도 한다.[8]

4. 배아 이식: 건강하게 배양된 배아를 여성의 자궁 내로 이식하여 임신을 시도한다.

각 단계에 대한 더 자세한 내용은 해당 하위 섹션에서 다룬다.

3. 1. 배란 유도

배란 유도는 주로 무배란이나 희발 배란을 치료하기 위해 사용되는 생식 보조 기술 중 하나이다. 이 과정에서는 불임 치료제를 사용하여 난소 난포의 발달을 인위적으로 자극한다.[5][6][7] 일반적으로 이 약물은 8일에서 14일 동안 주사 형태로 투여된다. 의료진은 질식 초음파 검사와 혈액 검사를 통해 난자의 발달 과정을 면밀히 관찰하며, 난포의 성장과 난소에서 분비되는 에스트로겐 수치를 평가한다. 난포가 충분히 자라고 난자가 성숙했다고 판단되면, hCG 주사를 투여하여 배란을 유도한다. 난자 채취는 일반적으로 hCG 주사 후 34시간에서 36시간 사이에 이루어진다.

3. 2. 난자 및 정자 채취

보조생식기술(ART) 절차는 일반적으로 여성의 난소에서 수술적으로 난자를 채취하는 과정을 포함한다.[1] 체외 수정(IVF)에서 사용되는 대표적인 난자 채취 방법은 경질 난자 채취(OVR)이다.

  • 경질 난자 채취 (OVR): 뒤쪽으로 작은 바늘을 삽입하여 초음파 유도 하에 난소난포에 접근한다. 이 바늘을 통해 난자가 들어 있는 난포액을 채취한다.


정자의 경우, 일반적으로 남성 파트너로부터 직접 채취하거나 필요한 경우 정자 기증을 통해 얻을 수 있다. 정자 기증은 남성 파트너가 정자를 생산하지 못하거나 유전성 질환을 가지고 있는 경우, 또는 시술을 받는 여성이 남성 파트너가 없는 경우에 활용될 수 있다.[8] 세포질 내 정자 주입(ICSI)과 같은 특정 기술에서는 단 하나의 정자만 필요하기도 하다.

3. 3. 수정 및 배양

체외 수정(IVF)은 여성의 몸 밖, 즉 실험실 환경에서 남성의 정자와 여성의 난자를 수정시키는 기술이다. 이는 보조생식기술(ART)의 핵심적인 부분이다.

체외 수정 과정에는 여러 기술이 포함된다. 먼저, 경질 난자 채취(OVR)를 통해 여성의 난소에서 난자를 채취한다. 이는 질 뒤쪽으로 작은 바늘을 삽입하여 초음파 유도 하에 난포액과 함께 난자를 얻는 방식이다.

채취된 난자와 정자는 실험실에서 수정시킨다. 수정된 배아는 배양 과정을 거쳐 여성의 자궁으로 옮겨지는데, 이를 배아 이식이라고 한다.

수정 및 배양 과정에는 다음과 같은 특정 기술들이 활용될 수 있다.

  • 세포질 내 정자 주입 (ICSI): 남성의 정자 수가 매우 적거나 이전 IVF 시도에서 수정에 실패한 경우 주로 사용된다. 미세 바늘을 이용해 단 하나의 정자를 난자 중심부에 직접 주입하는 방식이다. 일반적인 체외 수정에서는 난자 하나당 5만 개 이상의 정자가 필요하지만, ICSI는 단 하나의 정자만으로 수정이 가능하다. 기증받은 정자를 사용할 때도 이 방법이 쓰인다.
  • 보조 부화 (AZH): 배아를 자궁으로 옮기기 직전에 시행된다. 배아를 둘러싼 투명대(난막)에 작은 구멍을 만들어 배아가 부화하고 자궁 내막에 착상하는 것을 돕는다.
  • 자가 자궁 내막 공동 배양: 이전 IVF 시도에 실패했거나 배아의 질이 좋지 않은 경우 고려될 수 있다. 환자 자신의 자궁 내막 세포를 배양하여 그 위에서 수정란을 배양함으로써, 배아 발달에 더 자연스러운 환경을 제공하려는 시도이다.
  • 자이고트 난관 내 이식 (ZIFT): 난자를 체외에서 수정한 뒤, 배아 단계가 아닌 수정 직후의 접합자(자이고트) 상태에서 여성의 나팔관으로 이식하는 방법이다.
  • 세포질 이식: 난자의 질이 좋지 않은 경우, 건강한 난자 공여자의 난자 세포질 일부를 환자의 난자에 주입한 후 수정시키는 기술이다.
  • 난자 기증: 선천적 또는 후천적 요인(수술, 화학 요법 등)으로 난자가 없거나 질이 낮은 경우, 유전 질환이 우려되는 경우, 고령 임신이거나 반복적인 IVF 실패 시 활용된다. 공여자의 난자를 받아 파트너의 정자(또는 기증 정자)와 수정시킨 후, 배아를 수혜자의 자궁에 이식한다.
  • 정자 기증: 남성 파트너가 정자를 생산하지 못하거나 유전 질환이 있는 경우, 또는 여성이 남성 파트너 없이 임신을 원하는 경우 등에 기증받은 정자를 사용한다.
  • 착상 전 유전 진단 (PGD): 배아를 자궁에 이식하기 전에 유전적 이상 여부를 검사하는 기술이다. 형광 제자리 부합법(FISH)이나 비교 유전체 혼성화(CGH) 등의 방법을 사용하여 유전적으로 건강한 배아를 선별하고 임신 성공률을 높이는 데 목적이 있다.
  • 배아 분할: 하나의 배아를 인위적으로 분할하여 일란성 쌍둥이처럼 유전적으로 동일한 배아를 여러 개 만드는 기술이다. 이식 가능한 배아 수를 늘리는 데 사용될 수 있다.[8]

3. 4. 배아 이식

배아 이식은 임신을 목표로 하나 이상의 배아를 여성의 자궁에 넣는 과정이다.

4. 위험성

보조생식술(ART)은 난임 문제를 해결하는 데 중요한 역할을 하지만, 다양한 의학적 및 윤리적 위험성을 내포하고 있다.[16] 시술 과정에서 발생할 수 있는 의학적 문제로는 태아의 선천적 결손, 저체중 출생, 조산 등의 위험 증가 가능성이 제기되며,[14][15][19][21] 산모 역시 자간전증, 심혈관 질환, 급성 신장 손상 등 건강상의 위험에 노출될 수 있다.[16][27][28]

일부 연구에서는 체외 수정(IVF)으로 태어난 아이의 주요 선천적 결함 비율이 자연 임신아보다 다소 높다는 결과를 보고하기도 했으며,[13][17] 이소성 임신의 위험도 존재한다.[18] 또한 시술에 사용된 기술과 부모의 기존 건강 상태에 따라 자녀의 소아암 위험 증가 가능성도 언급된다.[25]

그러나 모든 연구 결과가 일치하는 것은 아니다. 정자 기증의 경우 오히려 선천적 결함 발생률이 낮다는 보고가 있으며, 동물 실험 및 인간 대상 연구에서 보조생식술이 돌연변이 빈도를 유의미하게 높이지 않아 유전적 안정성 측면에서 비교적 안전하다는 결과도 있다.[1] 또한, 보조생식술로 태어난 아이의 신경 발달이 자연 임신으로 태어난 아이와 유사하다는 연구 결과도 보고되었다.[26] 산모의 산후 우울증 위험 역시 크게 증가하지 않는 것으로 나타났으나,[23] 일부에서는 남녀 모두의 성 건강에 부정적인 영향을 미칠 수 있다는 연구 결과도 있다.[24]

이처럼 보조생식술은 잠재적인 이점과 함께 다양한 위험 요인을 동시에 가지고 있으며, 이에 대한 의학적, 윤리적 논의가 계속되고 있다.

4. 1. 의학적 위험성

대부분의 시험관 아기(IVF)로 잉태된 영아는 선천적 결함을 가지고 태어나지 않는다.[13] 그러나 일부 연구에서는 보조생식술(ART)이 선천적 결함의 위험 증가와 관련이 있을 수 있다고 제시한다.[14][15] 보조생식술의 이용이 늘어나면서, 초기 연구들은 산모와 아기 모두에게 의료적 합병증 위험이 증가할 수 있음을 시사했다. 여기에는 저체중, 태반 기능 부전, 염색체 질환, 조산, 임신성 당뇨병, 자간전증 등이 포함된다.[16]

미국에서 주 전체의 선천적 결함 등록 자료를 활용한 대규모 연구 결과,[17] 시험관 아기로 잉태된 아이의 6.2%가 주요 결함을 가지고 있었으며, 이는 모체 연령 및 기타 요인을 조정한 자연 임신아의 4.4%보다 높은 수치였다(승산비, 1.3; 95% 신뢰 구간, 1.00~1.67).[13] 또한 보조생식술은 이소성 임신(자궁 내 임신과 자궁 외 임신이 동시에 발생하는 경우 포함)의 위험을 수반한다.[18]

주요 위험은 다음과 같다.

  • 유전 질환
  • 저체중 출생:[19] 시험관 아기(IVF) 및 ICSI 시술에서 위험 요인 중 하나로 에너지 대사 관련 단백질인 페리틴 경쇄 및 ATP5A1의 발현 감소가 지목된다.[20]
  • 조산: 저체중 출생과 조산은 시각 장애뇌성마비와 같은 여러 건강 문제와 밀접하게 연관되어 있다. 시험관 아기 시술 후 태어난 아이는 뇌성마비 발생 확률이 약 2배 더 높다는 연구 결과가 있다.[21]


정자 기증을 통한 임신의 경우, 일반 인구에 비해 선천적 결함 발생률이 약 5분의 1 수준으로 낮게 나타나는 예외적인 경향을 보인다. 이는 정자 은행이 정자 수가 많은 기증자만을 선별하기 때문일 수 있다.

생쥐의 생식 세포는 일반적으로 같은 개체의 체세포보다 자발적인 점 돌연변이 발생 빈도가 5~10배 낮다.[22] 이러한 낮은 빈도는 다음 세대에 점 돌연변이 빈도가 낮은 배아로 이어진다. 자연 임신 태아와 보조 생식 기술로 생성된 태아 사이의 돌연변이 빈도나 종류에서 유의미한 차이는 관찰되지 않았다.[1] 이는 유전적 안정성 측면에서 보조 생식 기술이 비교적 안전함을 시사한다.[1]

현재까지의 데이터는 보조생식술을 이용한 여성에게 산후 우울증 위험이 증가하지 않거나 미미하게 증가함을 나타낸다.[23] 일부 연구 결과에 따르면 보조생식술은 여성과 남성의 성 건강에 부정적인 영향을 미칠 수 있다.[24]

배란 유도 및 체외 수정을 포함한 보조 생식 기술의 사용은 자녀의 소아암 위험 증가와 관련될 수 있다는 주장이 있다. 이는 임신을 시도한 부모의 불임 또는 부분 불임을 유발한 원래의 질병이나 상태와 연관될 가능성이 제기된다.[25] 그럼에도 불구하고, Jacques Balayla 등의 연구에서는 보조생식술 후 태어난 영아가 자연 임신 후 태어난 영아와 유사한 신경 발달을 보인다는 점을 확인했다.[26]

보조생식술은 산모에게도 위험을 초래할 수 있다. 미국의 대규모 데이터베이스 연구에서 106,000건의 보조 생식 임신과 3,400만 건의 자연 임신 결과를 비교한 결과, 보조 생식 임신은 심혈관 질환, 급성 신장 손상, 부정맥을 포함한 여러 건강 문제의 위험 증가와 관련이 있는 것으로 나타났다. 또한 보조 생식 임신은 제왕 절개조산의 위험도 더 높았다.[27][28]

4. 2. 윤리적 문제

보조생식술(ART)은 많은 부부에게 희망을 주지만, 윤리적인 문제와 함께 다양한 의학적 위험성을 동반할 수 있다. 대부분의 체외 수정(IVF)으로 태어난 아기는 선천적 결손 없이 건강하게 태어난다.[13] 그러나 일부 연구에서는 보조생식술이 선천적 결함의 위험을 높일 수 있다고 지적한다.[14][15] 기술 접근성이 높아지면서 초기 연구들은 산모와 아기 모두에게 의료 합병증 위험이 증가할 수 있음을 시사하는데, 여기에는 저체중 출생, 태반 기능 부전, 염색체 질환, 조산, 임신성 당뇨병, 자간전증 등이 포함된다.[16]

미국에서 진행된 대규모 연구에 따르면, 체외 수정(IVF)으로 태어난 아이의 6.2%가 주요 선천적 결함을 가졌는데, 이는 모체 연령 등 다른 요인을 고려한 자연 임신아의 4.4%보다 높은 수치이다(승산비, 1.3; 95% 신뢰 구간, 1.00~1.67).[13][17] 또한 보조생식술은 자궁 내 임신과 자궁 외 임신이 동시에 발생하는 이소성 임신의 위험도 수반한다.[18]

주요 위험은 다음과 같다.

  • 유전 질환
  • 저체중 출생:[19] 체외 수정(IVF) 및 세포질내 정자 주입술(ICSI)의 경우, 에너지 대사에 관여하는 단백질(페리틴 경쇄 및 ATP5A1) 발현 감소가 위험 요인으로 작용할 수 있다.[20]
  • 조산: 저체중 출생과 조산은 시각 장애뇌성마비와 같은 심각한 건강 문제와 밀접하게 연관되어 있다. 체외 수정(IVF)으로 태어난 아이는 뇌성마비 발생 확률이 약 2배 높다는 보고도 있다.[21]


흥미롭게도 정자 기증의 경우는 예외적으로, 일반 인구에 비해 선천적 결함 발생률이 약 5분의 1 수준으로 낮다. 이는 정자 은행이 정자 수가 많은 건강한 남성만을 기증자로 허용하기 때문일 수 있다.

유전적 안전성 측면에서는, 생쥐를 이용한 연구에서 생식 세포의 자발적 점 돌연변이 빈도가 체세포보다 5~10배 낮게 나타났다.[22] 이러한 낮은 생식 계열 돌연변이 빈도는 다음 세대 배아의 돌연변이 빈도를 낮추는 결과로 이어진다. 현재까지 자연 임신 태아와 보조 생식 태아 사이의 돌연변이 빈도나 종류에서 유의미한 차이는 관찰되지 않았으며,[1] 이는 보조 생식이 유전적 무결성 유지 측면에서 비교적 안전함을 시사한다.[1]

산모에게 미치는 영향에 대한 연구도 진행 중이다. 현재 데이터는 보조생식술을 이용한 여성에게 산후 우울증 위험이 거의 증가하지 않거나 약간 증가하는 수준임을 보여준다.[23] 하지만 일부 연구에서는 보조생식술이 여성과 남성 모두의 성 건강에 부정적인 영향을 미칠 수 있다고 보고했다.[24] 또한, 배란 유도나 체외 수정과 같은 기술 사용이 자녀의 소아암 위험 증가와 관련될 수 있다는 연구 결과도 있는데, 이는 불임이나 부분 불임을 유발한 원래의 질병이나 상태와 연관될 가능성이 있다.[25] 미국의 대규모 데이터베이스 연구에서는 보조 생식 임신이 자연 임신에 비해 심혈관 질환, 급성 신장 손상, 부정맥 등의 위험 증가와 관련이 있으며, 제왕 절개조산의 위험도 더 높다고 밝혔다.[27][28]

긍정적인 측면도 있다. Jacques Balayla 등의 연구에서는 보조생식술로 태어난 아기가 자연 임신으로 태어난 아기와 유사한 신경 발달을 보인다는 점을 확인했다.[26]

이론적으로 보조생식술은 특정 배우자나 배아 기증을 통해 자궁 부재 등 극히 일부 경우를 제외한 거의 모든 생식 문제를 해결할 잠재력을 지닌다. 그러나 이것이 모든 여성이 치료를 받을 수 있거나, 치료받은 모든 여성이 임신에 성공한다는 의미는 아니다. 때로는 예후가 매우 좋지 않음에도 불구하고 치료를 중단하기 어려워하는 부부들이 있어, 의학적으로 무의미한 치료로 이어질 가능성도 존재한다. 이는 의료진에게 치료 지속 여부를 결정해야 하는 윤리적 딜레마를 안겨준다.[55] 일부 보조생식술은 산모와 아이 모두에게 심리적, 신체적 건강 위험을 초래할 수 있으며, 이는 치료의 지속적인 사용 여부 결정에 영향을 미친다. 이스라엘에서는 IVF 과정에서 재활용된 실험실 재료를 활용하는 등 보조생식술 과정에서 여성이 겪는 복합적인 감정을 극복하도록 돕는 연구도 진행되고 있다.[56][57][58][59]

5. 사용 현황

전 세계적으로 보조생식술(Assisted Reproductive Technology, ART) 이용이 증가하는 추세이며, 특히 선진국에서 이러한 경향이 두드러진다. 미국에서는 지난 10년간 ART 시술 건수가 두 배 이상 증가했으며,[30] 호주에서는 2000년대 후반에 태어난 아이들의 3.1%가 ART 시술을 통해 태어났다.[31]

그러나 여러 가지 이유로 불임 치료를 중단하는 경우도 많다. 치료 중단의 가장 흔한 이유로는 치료를 미루는 경우(39%), 신체적 및 심리적 부담(19%), 관계 및 개인적 문제(17%), 치료 자체에 대한 거부감(13%), 병원 예약 등 조직적인 문제(12%), 클리닉 관련 문제(8%) 등이 있다.[32]

국가별로 보조생식술에 대한 접근성, 관련 법률, 비용 지원 정책 등은 매우 다양하다. 미국유럽의 구체적인 현황은 각 하위 섹션에서 자세히 다루고 있다.

다른 주요 국가들의 상황은 다음과 같다.


  • '''캐나다''': 온타리오주에서는 특정 조건(양쪽 나팔관 막힘, 40세 미만 여성)을 만족하면 공공 건강 보험(OHIP)에서 치료 비용 일부를 지원하지만, 검사 비용(약 3천캐나다 달러–4천캐나다 달러) 등은 본인이 부담해야 하는 경우가 많다.[44] 다른 주의 보장 범위는 각각 다르다.
  • '''이스라엘''': 국민 건강 보험이 의무이며, 거의 모든 종류의 불임 치료 비용을 보장한다. 특히 체외 수정(IVF) 비용은 미혼 여성과 레즈비언 커플을 포함한 모든 이스라엘 여성이 두 자녀를 낳을 때까지 전액 지원된다. 대리모를 통한 배아 이식 비용 또한 보장된다.[45]
  • '''쿠바''': 현지 소식통에 따르면 보조생식기술은 완전히 합법이며 무료로 제공된다.[50][51]
  • '''인도''': 2021년, 인도 정부는 대리모 규제법과 보조생식 기술(규제)법을 제정하여 ART 시행을 관리하고 있다.[52] 이전에는 2005년 보건가족복지부가 발표한 국가 지침이 이 분야를 규제했다.[53] 인도 법은 성인 미혼 여성이 ART를 통해 자녀를 가질 권리를 인정한다.[54]

5. 1. 대한민국

(주어진 원본 소스에는 대한민국 관련 내용이 포함되어 있지 않아 해당 섹션을 작성할 수 없습니다.)

5. 2. 미국

1992년 생식 클리닉 성공률 및 인증법에 따라, 미국 질병통제예방센터(CDC)는 미국 내 생식 클리닉의 연간 보조생식술(ART) 성공률을 의무적으로 발표해야 한다.[29] 미국에서 시행되는 보조생식술은 지난 10년 동안 두 배 이상 증가하여 2006년에는 14만 건의 시술이 이루어졌으며,[30] 이를 통해 5만 5천 명의 아기가 태어났다.[30]

그러나 많은 미국인들은 불임 검사 및 치료에 대한 보험 혜택을 받지 못하는 실정이다. 최근 많은 주에서 불임 치료에 대한 보험 적용을 의무화하기 시작했으며, 실제로 완전한 보험 적용이 이루어지는 주에서는 보조생식술 이용률이 그렇지 않은 주보다 278% 더 높은 것으로 나타났다.[33] 일부 건강 보험 회사는 불임 진단 비용은 보장하지만, 진단 이후의 치료 비용은 전혀 보장하지 않는 경우도 있다.

미국 내 보조생식술 관련 대략적인 치료 및 진단 비용은 다음과 같다 (2005년 기준):

항목비용 (미국 달러)
초기 검사 (자궁경 검사, 자궁난관조영술, 혈액 검사)~ 2000USD
자궁초음파조영술(SHG)600USD–1000USD
클로미펜 시트르산염 주기200USD–500USD
체외 수정(IVF) 주기10000USD–30000USD
대리모 이용계약 조건에 따라 상이함



비용을 단순히 시술당 비용이 아닌, 임신 성공까지의 예상 비용으로 계산해 볼 수도 있다. 예를 들어, 클로미펜 치료의 주기당 임신 성공률이 8%이고 비용이 500USD라면, 임신 성공까지 드는 총 예상 비용은 6000USD이다. 반면, 체외 수정(IVF) 주기의 임신 성공률이 40%이고 비용이 12000USD라면, 예상 비용은 30000USD가 된다.

사회 전체적인 관점에서 보면, 체외 수정(IVF)에 드는 비용은 이를 통해 태어난 사람이 미래에 경제 활동을 통해 납부하는 세금으로 평균 700% 회수된다는 연구 결과도 있다.[34]

5. 3. 유럽

유럽의 보조생식기술 주기 수(1997-2014)


유럽에서는 2015년 유럽 인간생식발생학회(ESHRE)의 보고에 따르면 약 157,500명의 아이가 보조생식기술(ART)을 통해 태어났다.[35] 그러나 유럽 대륙 전체에 걸쳐 관련 법률에는 상당한 차이가 존재한다. 유럽 지침은 인간 조직과 세포 사용에 관한 표준을 설정하고 있지만,[37] ART와 관련된 모든 윤리적, 법적 문제는 여전히 개별 EU 회원국의 고유 권한으로 남아 있다.

유럽 각국의 보조생식기술 조건: 초록색 계열은 레즈비언 커플 또는 미혼 여성에게 ART를 허용하는 국가, 보라색은 금지하는 국가를 나타낸다.


유럽 전역에서 ART 이용 자격에 대한 법적 기준은 다양하다.[39] 11개국에서는 모든 여성이 ART 시술을 받을 수 있는 반면, 다른 8개국에서는 이성애 커플에게만 허용된다. 7개국에서는 미혼 여성에게만 허용되며, 오스트리아독일 2개국에서는 레즈비언 커플에게만 해당된다. 스페인은 1977년 최초의 정자 은행 개설과 함께 모든 여성에게 ART를 허용한 최초의 유럽 국가였다. 프랑스에서는 2019년부터 모든 여성이 ART 시술을 받을 권리를 갖게 되었다. 지난 15년간 관련 법률은 빠르게 변화했다. 예를 들어, 포르투갈은 2006년 프랑스와 유사한 조건으로 ART 접근을 허용했다가 2016년 법을 개정하여 레즈비언 커플과 미혼 여성도 이용할 수 있도록 확대했다. 반면, 이탈리아는 2004년 유럽에서 가장 엄격한 법 중 하나를 채택하여, 기혼 여부와 관계없이 이성애 커플에게만 ART를 허용하고 정자 기증은 금지하고 있다.

현재 21개 유럽 국가가 ART 치료 비용의 일부를 공적으로 지원한다. 지원하지 않는 7개국은 아일랜드, 키프로스, 에스토니아, 라트비아, 룩셈부르크, 몰타, 루마니아이다.

이러한 공적 지원에는 조건이 따른다. 예를 들어, 벨기에에서는 체외 수정(IVF) 과정의 각 주기에 대해 1073EUR의 고정 금액을 지급한다. 여성은 43세 미만이어야 하며, ART 시술은 6주기를 초과할 수 없다. 이식 가능한 배아 수에도 연령과 시술 주기에 따라 제한이 있다. 프랑스에서는 43세 미만 여성에 대해 국가 건강 보험에서 ART 비용 전액을 지원하며, IVF는 4회, 인공 수정은 6회까지로 제한된다. 독일은 2004년 공적 자금 지원 조건을 강화했는데, 이로 인해 ART 시술 건수가 2003년 102,000건 이상에서 이듬해 57,000건 미만으로 급격히 감소했다. 이후 시술 건수는 안정적으로 유지되고 있다.

17개국은 여성의 연령을 기준으로 ART 접근을 제한한다. 이 중 10개국은 상한 연령을 설정했는데, 이는 40세(핀란드, 네덜란드)에서 50세(스페인, 그리스, 에스토니아 등)까지 다양하다. 1994년부터 프랑스는 독일, 스페인, 영국 등과 함께 다소 모호한 '자연 출산 연령'이라는 개념을 사용해왔다. 2017년 프랑스 생명 의학청 운영 위원회는 ART 이용 여성의 연령 상한을 43세로 설정했다. 오스트리아, 헝가리, 이탈리아, 폴란드를 포함한 10개국은 ART에 대한 연령 제한이 없다.

대부분의 유럽 국가에서는 제3자의 생식 세포 기증을 허용하지만, 정자와 난자에 따라 상황이 다르다. 정자 기증은 20개 EU 회원국에서 허용되며, 이 중 11개국에서는 익명 기증이 가능하다. 난자 기증은 17개국에서 가능하며, 8개국에서는 익명 조건 하에 이루어진다. 4월 12일, 유럽 평의회는 익명 기증을 중단할 것을 권고하는 결의안을 채택했다.[40] 영국에서는 2005년에 익명 정자 기증이 종료되었으며, 태어난 아이는 성인이 되면 기증자의 신원에 접근할 권리가 있다. 프랑스에서는 2011년 생명 윤리 법에서 익명 정자 또는 배아 기증 원칙이 유지되었으나, 현재 논의 중인 새로운 법안에 따라 변경될 가능성이 있다.[41]

영국에서는 모든 환자가 국민 보건 서비스(NHS)에서 무료로 제공하는 예비 검사를 받을 권리가 있다. 그러나 실제 치료는 NHS에서 널리 제공되지 않으며 대기자 명단이 길 수 있어, 많은 환자들이 NHS 내에서 즉각적인 치료를 받기 위해 비용을 지불하거나 사립 클리닉을 이용한다. 2013년, 국립 보건 및 임상 연구원(NICE)은 잉글랜드와 웨일스에서 NHS의 체외 수정(IVF) 치료 대상에 대한 새로운 지침을 발표했다.[42] 이 지침에 따르면, 40세에서 42세 사이의 여성은 특정 조건(이전 IVF 치료 경험 부재, 난소 기능 저하 증거 부재, 관련 정보 숙지) 하에 NHS에서 한 번의 IVF 주기를 제공받아야 한다. 그러나 검사 결과 IVF가 임신을 위한 유일한 방법으로 나타나면 즉시 의뢰되어야 한다. 하지만 이러한 국가 지침은 종종 지역 임상 위탁 그룹(CCG)에 의해 수정되는데, 이는 환자가 NICE 권장 약물 및 치료를 받을 권리를 명시한 영국 NHS 헌장과 상충될 수 있다. 예를 들어, 체셔, 머지사이드 및 웨스트 랭커셔 CCG는 40세 이전 치료 시작, 특정 체질량 지수(BMI) 범위(19-29), 부부 모두 생존 자녀 부재(입양 포함), 불임이 불임 시술의 직접적 결과가 아닐 것 등의 추가 조건을 요구한다.[43]

독일에서는 2009년 1월 27일, 연방 헌법 재판소가 건강 보험 회사가 체외 수정(IVF) 비용의 50%만 부담하도록 한 규정이 위헌이라고 판결했다.[46] 이후 2012년 3월 2일, 연방 의회는 연방 정부가 비용의 25%를 추가로 보조하는 법안을 승인하여 부부의 부담을 25%로 줄였다.[47] 2017년 7월 독일의 동성 결혼이 합법화됨에 따라, 결혼한 레즈비언 부부도 보조 생식 기술을 이용할 수 있게 되었다.

2020년 7월, 프랑스 의회는 레즈비언 커플과 미혼 여성에게도 보조생식기술 접근을 허용하는 법안을 통과시켰다.[48][49]

6. 윤리적, 사회적 논쟁

어떤 부부들은 매우 나쁜 예후에도 불구하고 보조생식술 치료를 중단하는 것을 어려워하며, 이는 때때로 무의미한 치료로 이어질 수 있다. 이러한 상황은 보조생식술 제공자에게 치료 지속 여부를 결정해야 하는 어려운 윤리적 딜레마를 안겨준다.[55]

일부 보조생식술은 산모와 아이 모두에게 해로울 수 있으며, 심리적 및 신체적 건강 위험을 초래할 가능성이 있어 이러한 치료법의 지속적인 사용에 대한 우려를 낳는다.

보조생식기술을 둘러싼 감정적 어려움은 중요한 사회적 문제로 부각되고 있다. 기술이 수십 년간 존재했음에도 불구하고, 2000년대 후반부터 이러한 감정적 측면을 묘사하는 영화나 다른 허구적 창작물이 증가하는 추세를 보였다.[60] 보조생식기술(ART)의 활용이 늘면서, 어떤 방식으로든 개인적인 경험을 통해 이와 관련된 사람들의 수도 증가하고 있다.[60]

구체적인 윤리적 논쟁은 관련 항목에서 더 자세히 다루고 있다. 예: 대리모, 정자 공여, 생식 클리닉.

7. 역사

1978년 7월 25일, 체외 수정(IVF) 시술을 통해 루이스 브라운이 태어났다. 이는 세계 최초로 보조생식기술을 통해 성공적으로 태어난 아기였다. 이 시술은 영국 올덤 로이턴의 닥터 커쇼 코티지 병원(현재 닥터 커쇼 호스피스)에서 이루어졌으며, 산부인과 의사 패트릭 스텝토와 생리학자 로버트 에드워즈 (생리학자)가 함께 체외 수정 기술을 개발한 결과였다.[61] 스텝토는 새로운 난자 추출 방법을, 에드워즈는 실험실에서 난자를 수정하는 방법을 연구했다. 로버트 G. 에드워즈는 이러한 공로로 2010년 노벨 생리학·의학상을 수상했다. 하지만 노벨상은 사후에 수여되지 않기 때문에, 그 이전에 사망한 스텝토는 상을 받지 못했다.[62]

이후 1992년 1월 14일에는 정자 세포질 내 주입술(ICSI, Intracytoplasmic sperm injection)을 통한 첫 아기가 태어났다. 이 기술은 벨기에 브뤼셀에 있는 브뤼셀 자유 대학교 생식 의학 센터의 잔피에로 D. 팔레르모가 개발했다. 흥미롭게도 이 발견은 원래 정자를 세포질에 넣는 과정에서 발생한 실수에서 비롯되었다고 알려져 있다.[63]

참조

[1] 웹사이트 What is Assisted Reproductive Technology? {{!}} Reproductive Health {{!}} CDC https://www.cdc.gov/[...] CDC 2014-11-14
[2] 논문 Assisted reproductive technology in Europe, 2012: results generated from European registers by ESHRE. 2016-08
[3] 논문 ART in the European Union http://www.euro.who.[...] 2006-Autumn
[4] 논문 International Committee for Monitoring Assisted Reproductive Technology (ICMART) and the World Health Organization (WHO) revised glossary of ART terminology, 2009. https://www.who.int/[...] 2009-11
[5] 웹사이트 Ovulation Problems and Infertility: Treatment of ovulation problems with Clomid and other fertility drugs. http://www.advancedf[...] Advanced Fertility Center of Chicago. Gurnee & Crystal Lake, Illinois
[6] 웹사이트 Flinders reproductive medicine > Ovulation Induction http://www.flindersi[...]
[7] 웹사이트 fertilityLifeLines > Ovulation Induction http://www.fertility[...]
[8] 논문 Human embryo twinning with applications in reproductive medicine 2009-02
[9] 논문 Preimplantation Genetic Screening and Preimplantation Genetic Diagnosis. 2018-03
[10] 논문 A Mitochondrial Story: Mitochondrial Replacement, Identity and Narrative https://pubmed.ncbi.[...] 2017-01
[11] 서적 Mitochondrial Replacement Techniques: Ethical, Social, and Policy Considerations https://www.nap.edu/[...] National Academies Press 2016
[12] 논문 Mitochondrial replacement: from basic research to assisted reproductive technology portfolio tool-technicalities and possible risks. 2015-01
[13] 논문 Clinical practice. In vitro fertilization
[14] 논문 The risk of birth defects in children born after assisted reproductive technologies
[15] 논문 Assisted reproductive technologies and the risk of birth defects—a systematic review
[16] 논문 Fetal and Maternal Consequences of Pregnancies Conceived Using Art
[17] 논문 In vitro fertilization is associated with an increase in major birth defects
[18] 웹사이트 What you should know about heterotopic pregnancy : OBG Management http://www.obgmanage[...] 2016-07-28
[19] 웹사이트 In vitro fertilization (IVF): MedlinePlus Medical Encyclopedia https://medlineplus.[...] 2018-11-07
[20] 논문 Comparative proteomic analysis of human placenta derived from assisted reproductive technology 2008-09
[21] 논문 Cerebral palsy, autism spectrum disorders, and developmental delay in children born after assisted conception: a systematic review and meta-analysis
[22] 문서 McCarrey JR. Maintenance of genetic integrity during natural and assisted reproduction. Reprod Biomed Online. 2009;18 Suppl 2:51-5. doi: 10.1016/s1472-6483(10)60449-x. PMID 19406032
[23] 논문 Risk for postpartum depression associated with assisted reproductive technologies and multiple births: A systematic review
[24] 논문 A literature review on the relationship between infertility and sexual dysfunction: Does fun end with baby making? http://www.tandfonli[...] 2014-08
[25] 논문 Fertility treatment and childhood cancer risk: A systematic meta-analysis
[26] 문서 Balayla, Jacques, Odile Sheehy, William D. Fraser, Jean R. Séguin, Jacquetta Trasler, Patricia Monnier, Andrea A. MacLeod, Marie-Noëlle Simard, Gina Muckle, and Anick Bérard. "Neurodevelopmental Outcomes After Assisted Reproductive Technologies." Obstetrics & Gynecology (2017).
[27] 논문 Assisted conception is linked to cardiovascular disease and birth complications https://evidence.nih[...] 2022-09-20
[28] 논문 In-Hospital Complications in Pregnancies Conceived by Assisted Reproductive Technology 2022-02-22
[29] 웹사이트 Policy Document {{!}} Assisted Reproductive Technology (ART) {{!}} Reproductive Health {{!}} CDC https://www.cdc.gov/[...] 2019-11-14
[30] 뉴스 chicagotribune.com Infertility by the numbers http://www.chicagotr[...] Colleen Mastony 2009-06-21
[31] 뉴스 'More IVF babies but less multiple births' http://www.theaustra[...] THE AUSTRALIAN 2009-09-24
[32] 논문 Why do patients discontinue fertility treatment? A systematic review of reasons and predictors of discontinuation in fertility treatment
[33] 논문 Insurance coverage and outcomes of ''in vitro'' fertilization 2002-08
[34] 논문 Long-term economic benefits attributed to IVF-conceived children: a lifetime tax calculation http://www.ajmc.com/[...] 2008-09
[35] 뉴스 How does assisted reproductive technology work in Europe? https://www.european[...] Alternatives Economiques/EDJNet 2019-11-29
[36] 논문 ART in Europe, 2014: results generated from European registries by ESHRE: The European IVF-monitoring Consortium (EIM) for the European Society of Human Reproduction and Embryology (ESHRE) 2018-09
[37] 웹사이트 Directive 2004/23/EC of the European Parliament and of the Council of 31 March 2004 on setting standards of quality and safety for the donation, procurement, testing, processing, preservation, storage and distribution of human tissues and cells https://eur-lex.euro[...] 2019-12-03
[38] 웹사이트 Rainbow Map https://www.rainbow-[...] ILGA-Europe 2019-11-12
[39] 웹사이트 Encadrement juridique international dans les différents domaines de la bioéthique https://www.ieb-eib.[...] Agence de la biomédecine 2019-11-04
[40] 웹사이트 Recommendation 2156 (2019) - Anonymous donation of sperm and oocytes: balancing the rights of parents, donors and children http://assembly.coe.[...] 2019-11-12
[41] 웹사이트 PMA: panique dans la filiation https://www.alternat[...] 2019-09-23
[42] 웹사이트 IVF http://www.nhs.uk/co[...] NHS Choices 2014-04-19
[43] 웹사이트 Services & how we can help http://www.thehewitt[...] Liverpool Women's NHS Foundation Trust 2014-04-19
[44] 웹사이트 IVF Canada http://www.ivfcanada[...]
[45] 서적 Birthing a Mother: the Surrogate Body and the Pregnant Self. https://web.archive.[...] University of California Press 2009-11-21
[46] 웹사이트 Zuschüsse der Krankenversicherung für eine künstliche Befruchtung https://web.archive.[...] 2013-01-02
[47] 웹사이트 Finanzierung künstlicher Befruchtung https://web.archive.[...] 2013-01-02
[48] 뉴스 Queer.de: Frankreich: Künstliche Befruchtung auch für lesbische Paare (german) https://www.queer.de[...] 2020-07-21
[49] 뉴스 NOZ.de: Beifall im Parlament: Frankreich legalisiert künstliche Befruchtung für alle Frauen (german) https://www.noz.de/d[...] 2020-07-31
[50] 뉴스 http://www.ahora.cu/[...] Ahora
[51] 뉴스 http://www.granma.cu[...] Granma.cu
[52] 웹사이트 Govt notifies laws to regulate surrogacy, assisted reproductive technology https://www.business[...] 2022-01-26
[53] 웹사이트 IVF Clinics https://pib.gov.in/n[...] 2022-02-03
[54] 웹사이트 Need to understand the rights of a single mother by choice. https://www.legalbay[...] 2022-02-03
[55] 논문 Fertility treatment when the prognosis is very poor or futile
[56] 문서 Dr. Katan, Seven news, 14.1.2022, Hebrew https://www.inn.co.i[...]
[57] 문서 Gilat Kupietzky-Sacks, IVF Embryologist and initiator of the project and Miriam Kupietzky, Art Therapist run a women's workshop using recycled lab material. https://ivfcreativea[...]
[58] 문서 Workshop on the Use of Life Cycle Concepts https://www.epa.gov/[...]
[59] 문서 "Works of ART: on creativity, infertility and Assisted Reproductive Technology." In Art, 25.7.2016. Article on art produced in response to IVF treatment https://www.wheelerc[...]
[60] 웹사이트 Heartache of infertility shared on stage, screen https://archive.toda[...] 2009-06-21
[61] 뉴스 1978: First 'test tube baby' born http://news.bbc.co.u[...] 1978-07-25
[62] 웹사이트 The Nobel Prize in Physiology or Medicine 2010 https://www.nobelpri[...]
[63] 논문 Pregnancies after intracytoplasmic injection of single spermatozoon into an oocyte
[64] 웹사이트 一般のみなさまへ - 生殖医療Q&A(旧 不妊症Q&A):Q11.生殖補助医療にはどんな種類があり、どこに行くと受けられますか? http://www.jsrm.or.j[...] 一般社団法人日本生殖医学会 2021-06-21
[65] 문서 ヒトに関する生殖医療、遺伝子治療および胚研究の法的規制:日独の刑法の観点から(2・完) https://hdl.handle.n[...] 2019
[66] 웹사이트 日本生殖医学会(Japan Society for Reproductive Medicine) http://www.jsrm.or.j[...]
[67] 웹사이트 Assisted Reproductive Medicine - American Society for Reproductive Medicine(生殖補助医学 - アメリカ生殖補助医学会) https://www.asrm.org[...]
[68] 문서 대한의협 의학용어 사전 https://www.kmle.co.[...]
[69] 서적 인구대사전: "생식보조기술: 종류와 윤리적 쟁점" 통계청
[70] 서적 生殖バイオテクノロジ―の發展 培風館



본 사이트는 AI가 위키백과와 뉴스 기사,정부 간행물,학술 논문등을 바탕으로 정보를 가공하여 제공하는 백과사전형 서비스입니다.
모든 문서는 AI에 의해 자동 생성되며, CC BY-SA 4.0 라이선스에 따라 이용할 수 있습니다.
하지만, 위키백과나 뉴스 기사 자체에 오류, 부정확한 정보, 또는 가짜 뉴스가 포함될 수 있으며, AI는 이러한 내용을 완벽하게 걸러내지 못할 수 있습니다.
따라서 제공되는 정보에 일부 오류나 편향이 있을 수 있으므로, 중요한 정보는 반드시 다른 출처를 통해 교차 검증하시기 바랍니다.

문의하기 : help@durumis.com