기관내삽관
"오늘의AI위키"의 AI를 통해 더욱 풍부하고 폭넓은 지식 경험을 누리세요.
1. 개요
기관내삽관은 환자의 기도 유지, 기도 보호, 호흡 및 산소 공급 유지를 위해 기관에 튜브를 삽입하는 시술이다. 의식 수준 저하, 저산소혈증, 기도 폐쇄, 기도 조작, 신생아 등 다양한 상황에서 적응증이 되며, 후두경, 스타일렛, 기관 튜브 등의 장비를 사용한다. 기관 튜브의 위치 확인 및 유지가 중요하며, 합병증 발생 위험이 있어 주의가 필요하다. 응급 상황에서는 신속 기관 삽관, 윤상갑상 연골 절개술 등이 사용될 수 있으며, 기관 절개술은 장기적인 기도 확보가 필요할 때 시행된다. 소아 및 신생아 환자에게는 기도 해부학적 특징을 고려하여 시술해야 하며, 삽관 곤란을 예측하기 위한 평가가 이루어진다. 기관내삽관은 다양한 합병증을 유발할 수 있으며, 대체 수단으로 후두 마스크 기도, CPAP 마스크 등이 있다. 기관내삽관은 오랜 역사를 가지고 있으며, 의사, 응급구조사 등을 대상으로 교육이 이루어진다.
더 읽어볼만한 페이지
- 집중 치료 의학 - 산소 중독
산소 중독은 고농도의 산소 흡입으로 발생하는 유독한 상태로, 폴 베르의 연구로 밝혀진 후 초고압 산소요법 발전과 함께 폐, 중추신경계, 눈 등에 미치는 영향이 연구되었으며, 발작, 염증, 미숙아 망막증 등의 증상을 유발하고 수중 잠수, 고압산소치료, 의료적 산소 공급 등이 원인이 되며, 현재 산소 분압 조절, 노출 시간 단축, 항산화제 등을 통한 관리 및 치료법이 연구 중이다. - 집중 치료 의학 - 글래스고 혼수척도
글래스고 혼수척도는 눈 뜨기, 언어 반응, 운동 반응을 평가하여 의식 수준을 측정하는 신경학적 척도로, 총점 3점에서 15점으로 표시되며 점수가 낮을수록 의식 수준이 낮고, 뇌 손상 환자 평가에 널리 사용되지만 비판도 존재하며, 대한민국에서는 일본 혼수척도와 함께 사용되고 2세 미만 어린이는 소아 글래스고 혼수척도를 사용한다. - 응급처치 - 구급 상자
구급 상자는 부상 시 응급 처치를 위해 붕대, 소독약 등 의약품과 처치용 재료 등을 담아두는 상자이며, 녹색 바탕에 흰색 십자가 표식이 국제 표준이며, 대한민국에서는 관련 법률에 따라 사업장에 비치가 의무화되어 있다. - 응급처치 - 반창고
반창고는 상처를 보호하고 치유를 돕기 위해 사용되는 접착성 드레싱이며, 18세기 고약에서 시작되어 밴드에이드 개발을 통해 현대적인 형태로 발전했고, 현재는 다양한 종류와 스마트 반창고 연구가 이루어지고 있다. - 의학적 치료 - 면역억제
면역억제는 면역계의 활동을 감소시키는 현상으로, 의도적으로는 장기 이식 거부 반응 방지나 자가면역 질환 치료를 위해 면역억제제를 사용하고, 비의도적으로는 질병으로 인해 발생하며 면역결핍질환을 유발할 수 있다. - 의학적 치료 - 최면
최면은 집중된 주의력, 심신의 이완, 제안성을 특징으로 하는 상태이며, 최면 유도 기법을 통해 유발되어 암시를 통해 다양한 반응을 이끌어낼 수 있고, 의학, 심리 치료 등 다양한 분야에 응용된다.
| 기관내삽관 | |
|---|---|
| 시술 개요 | |
![]() | |
| 국제질병분류 (ICD-9) | 96.04 |
| 독일 수술 및 시술 코드 (OPS301) | 8-701 |
| MeSH ID | D007442 |
| MedlinePlus | 003449 |
2. 적응증
기관내삽관은 환자의 기도 유지, 기도 보호, 호흡 불안정, 혈액 내 산소 공급 부족 등 다양한 상황에서 시행된다. 이러한 상황은 질병이나 의료 절차로 인해 발생할 수 있으며, 단순 안면 마스크를 이용한 산소 공급만으로는 불충분하여 기관내삽관이나 기관절개술 등의 추가적인 조치가 필요하다.
기관내삽관이 필요한 주요 상황은 다음과 같다.
- 의식 수준 저하: 뇌 손상, 마취 등으로 인해 의식이 저하된 경우 기도 확보 및 호흡 유지를 위해 기관내삽관이 필요하다.
- 저산소혈증: 호흡 부전, 폐 질환 등으로 인해 혈액 내 산소 농도가 낮은 경우 기관내삽관을 통해 산소 공급을 원활하게 한다.
- 기도 폐쇄: 이물질, 외상, 염증 등으로 인해 기도가 막히거나 막힐 위험이 있는 경우 기관내삽관을 통해 기도를 확보한다.
- 기도 조작: 기관지경술, 레이저 치료, 기관지 스텐트 삽입술 등 기도 조작 과정에서 호흡 유지를 위해 기관내삽관이 필요하다.
- 신생아: 신생아 호흡 곤란 증후군, 선천성 심장 질환 등 신생아의 호흡 문제를 해결하기 위해 기관내삽관 및 기계환기가 필요할 수 있다.
2. 1. 의식 수준 저하
의식 수준 저하는 뇌 손상, 마취 등 다양한 원인으로 발생하며, 기도 확보 및 호흡 유지를 위해 기관내삽관이 필요할 수 있다.마취 과정에서 기관내삽관은 흡입 마취제(아산화질소 및 휘발성 마취제 등) 투여, 산소 공급, 위 내용물 역류 방지 등의 역할을 한다.[80] 전신마취제, 아편유사제, 신경근 차단제는 호흡을 억제하거나 없앨 수 있으므로, 기관내삽관을 통해 안정적인 산소 공급과 환기를 유지하고 역류 및 폐 흡인을 막는다.[81][82]
뇌 손상(예: 대규모 뇌졸중, 폐쇄성 뇌손상, 중독)으로 인한 의식 수준 저하는 혼미 또는 혼수(글래스고 혼수척도 8 미만)를 유발할 수 있다.[83] 이 경우 기도 근육 붕괴로 기도가 막히고, 삼키기, 기침 등의 기도 보호 반사가 약해지거나 사라져 기관내삽관이 필요하다.[79][84] 기관내삽관은 기도를 열어주고 위 내용물이 폐로 흡인되는 것을 막는다.
2. 2. 저산소혈증
호흡이 부적절하거나(환기저하), 정지되었거나(무호흡), 폐가 산소를 혈액으로 충분히 전달할 수 없어 혈액의 산소 함량 및 산소 포화도가 감소한 환자의 경우 기관내삽관이 필요할 수 있다.[85] 저산소혈증이면서 의식이 있는 환자는 일반적으로 다기관 질환을 앓고 있거나 심각한 부상으로 인해 위독한 상태인 경우가 많다. 호흡이 부적절할 가능성이 높은 질환이나 상황으로는 척수 손상, 갈비뼈 골절, 연가양흉, 중증 폐렴, 급성 호흡곤란 증후군(ARDS), 익사 직전 등이 있다.흡입산소농도(FIO2)가 50% 이상이면서 동맥의 산소 분압(PaO2)이 60mmHg 미만인 경우 삽관을 고려할 수 있다.[13] 동맥 이산화탄소가 증가한 환자의 경우 산혈증에서 동맥 CO2 분압(PaCO2)이 45mmHg보다 높은 경우, 특히 측정 결과에서 호흡성 산증 악화가 입증될 경우 빠른 시간 내에 삽관이 필요하다. 실험값에 관계없이 항상 임상적 맥락에서 해석되어야 한다.
2. 3. 기도 폐쇄
기도 폐쇄가 진행 중이거나 예상될 때는 기관내삽관을 시행해야 한다. 이물질이 기도에 쌓이면 기도 폐쇄가 발생하여 생명을 위협할 수 있으며, 이는 특히 영유아에게 흔하다. 둔기외상, 관통상 등으로 인해 얼굴이나 목이 심하게 손상되었을 경우 부기와 혈종 확장, 후두, 기관, 기관지 손상을 동반할 수 있다. 기도 폐쇄는 연기 흡입, 기도 내부나 근처의 화상, 후두개염으로 인해서도 흔히 발생한다. 지속되는 전신 발작과 혈관 부종은 기도 폐쇄의 원인 중 하나이며, 이 때에도 기도 확보를 위해 기관내삽관이 필요할 수 있다.2. 4. 기도 조작
기관지경술, 레이저 시술, 기관지 스텐트 삽입술 등 기도를 조작하는 과정에서 간헐적으로 호흡 능력을 방해할 수 있으므로 기관내삽관이 필요할 수 있다. 기관 내 삽관은 질병이나 의학적 시술로 인해 환자가 명확한 기도 유지, 호흡 및 혈액 산소화를 유지하지 못하는 다양한 상황에서 적응증이 된다. 단순 안면 마스크를 이용한 산소 치료만으로는 충분하지 않은 경우이다. 기관지경 검사, 레이저 치료, 스텐트를 이용한 기관지 시술 등은 일시적으로 호흡 능력을 방해할 수 있으므로, 이러한 상황에서 삽관이 필요하다.2. 5. 신생아
신생아 호흡 곤란 증후군, 선천성 심장 질환, 기흉, 쇼크 등의 증상은 신생아의 호흡 문제로 이어져, 기관내삽관 및 기계환기가 필요할 수 있다.[86] 신생아에게 전신마취를 시행하여 수술하는 동안에도 기관내삽관이 필요하다.[86]3. 장비
기관내삽관에는 다양한 장비가 사용된다. 일반적인 후두경은 조명과 손잡이 내의 배터리, 직선이나 곡선 모양의 교체 가능한 블레이드 세트로 구성되어 있다. 이 장치는 후두경 검사자가 후두를 직접 볼 수 있도록 설계되었다.[87]
기관 삽관용 스타일렛은 특정 환자의 상기도 해부학에 맞게 튜브의 형태를 조절하는 데 사용되는 연성 금속 와이어이다. 이 보조 기구는 후두경 검사가 어려운 경우에 흔히 사용된다. 후두경 블레이드와 마찬가지로 여러 종류의 스타일렛이 있다.
에쉬만 기관 튜브 삽입기( "검 엘라스틱 부지"라고도 함)는 어려운 기관 삽관을 용이하게 하기 위해 사용되는 특수 유형의 스타일렛이다. 이 유연한 장치는 길이가 60cm이며, 프렌치 15(5 mm 직경)이고 먼 끝에 작은 "하키 스틱" 각도가 있다. 일반적인 기관 삽관용 스타일렛과 달리, 에쉬만 기관 튜브 삽입기는 일반적으로 기관에 직접 삽입된 다음 기관 내 튜브를 통과시키는 가이드로 사용된다 (젤딩거 테크닉과 유사한 방식).
기관 튜브 교환기는 후두경 검사 없이 기관 튜브를 제거하고 교체하는 데 사용할 수 있는 길이 56cm에서 81cm의 속이 빈 카테터이다. 이 장치에는 루멘 (속이 빈 채널)이 있어 이를 통해 산소를 투여할 수 있다.
투시법의 원리를 사용하여 맹목적인 구강 기관 삽관을 용이하게 하는 장치로는 조명 스타일렛이 있다.
3. 1. 후두경
기관내삽관에는 한 가지 이상의 시야 확보 기구를 사용한다. 현대의 일반적인 후두경은 전구를 켜는 배터리와 교체 가능한 블레이드로 구성된 손잡이로 구성되며, 블레이드는 직선형 또는 곡선형이다. 이 장치는 후두경 검사자가 후두를 직접 볼 수 있도록 설계되었다. 이러한 장치의 광범위한 보급으로 인해 오늘날에는 기관의 맹(盲) 삽관 기술은 거의 사용되지 않지만, 자연 재해나 인위적 재해와 같은 특정 응급 상황에서는 여전히 유용할 수 있다. 병원 전 응급 처치 상황에서 환자가 직접 후두경 검사를 할 수 없는 자세에 있는 경우, 손가락을 이용한 삽관이 필요할 수 있다. 예를 들어, 구급대원은 환자가 차량 충돌 사고 후 차량 내부에 거꾸로 갇혀서 구조 시간이 오래 걸리는 경우 손가락을 이용한 삽관을 시행할 수 있다.
직선형 또는 곡선형 후두경 블레이드를 사용할지는 기도의 해부학적 특징이나 후두경 검사자의 개인적인 경험 및 선호도에 따라 결정된다. 직선형으로 길쭉하고 끝이 굽은 형태가 특징인 밀러 블레이드는 입이 잘 벌어지지 않거나 후두가 높은 환자와 같이 기도 해부학이 어려운 환자에게 자주 사용된다. 이 디자인은 후두덮개(epiglottis)를 직접 볼 수 있도록 하여 정확한 성문 노출을 용이하게 한다.
반대로, "C" 또는 "J"와 유사한 곡선 형태의 매킨토시 블레이드는 정상적인 기도 해부학을 가진 환자의 일반적인 삽관에 선호된다. 곡선형 디자인은 간접 후두경 검사를 가능하게 하여 대부분의 성인 환자에서 성대와 성문을 더 잘 볼 수 있게 해준다.
매킨토시 블레이드는 가장 일반적으로 사용되는 곡선형 후두경 블레이드이지만, 밀러 블레이드는 직선형 블레이드 삽관에 선호되는 옵션이다. 두 블레이드 모두 다양한 크기로 제공되며, 크기 0(유아)에서 크기 4(성인용 대형)까지 다양한 연령대와 해부학적 구조를 가진 환자를 수용할 수 있다. 또한, 마취과 의사와 이비인후과 의사가 수술실에서 주로 사용하는 산소 공급용 포트와 시야 확보를 위한 거울을 포함한 고유한 기능이 있는 수많은 특수 블레이드가 존재한다.[3]
1990년대 이후로 광섬유 후두경이 점점 더 많이 보급되었다. 일반적인 후두경과 달리 이러한 장치를 사용하면 후두경 검사자가 후두를 간접적으로 볼 수 있다. 이는 시술자가 성문을 보기 위해 급격한 굴곡 부위를 살펴봐야 하고, 그렇지 않으면 어려운 삽관을 처리해야 하는 상황에서 상당한 이점을 제공한다. 비디오 후두경은 디지털 비디오 카메라 센서를 사용하여 시술자가 비디오 모니터에서 성문과 후두를 볼 수 있도록 하는 특수 광섬유 후두경이다.
3. 2. 스타일렛
스타일렛(stylet|스타일렛영어)은 기관 튜브에 삽입하여 특정 환자의 상기도 해부학에 맞게 튜브의 형태를 조절하는 데 사용되는 연성 금속 와이어이다. 이 보조 기구는 후두경 검사가 어려운 경우에 흔히 사용된다. 후두경 블레이드와 마찬가지로 여러 종류의 스타일렛이 있으며, 예를 들어 글라이드스코프 비디오 후두경의 60° 블레이드 각도에 맞게 특별히 설계된 베라손 스타일렛이 있다.3. 3. 기관 튜브
기관 내 삽관 튜브는 기도를 확보하고 유지하기 위해 기관에 삽입하는 카테터이다. 전신 마취, 중환자 관리, 기계 환기 및 응급 의학 환경에서 기도 관리에 자주 사용된다. 다양한 특정 용도에 적합한 여러 유형의 기관 내 삽관 튜브가 있다. 기관 내 삽관 튜브는 입(구강 삽관) 또는 코(비강 삽관)를 통해 삽입되는 기관 내 삽관 튜브의 특정 유형이다. 이는 폐의 기계적 양압 환기를 수행하고 흡인 또는 기도 폐쇄의 가능성을 방지하기 위해 중상을 입거나, 아프거나, 마취된 환자의 기도에 배치하도록 설계된 호흡 도관이다. 기관 내 삽관 튜브에는 산소와 같은 가압 가스원에 연결하도록 설계된 피팅이 있다. 다른 쪽 끝에는 그러한 가스가 폐로 향하는 구멍이 있으며 풍선(커프라고 함)이 포함될 수도 있다. 기관 내 삽관 튜브의 팁은 기관 융기 위(기관이 각 폐로 분할되기 전)에 위치하며 기관 내에서 밀봉되어 폐가 동일하게 환기될 수 있다.기관 내 삽관 튜브는 적절한 가스 교환의 확보, 공기보다 더 높은 농도로 산소 전달, 또는 헬륨, 산화 질소, 아산화 질소, 제논, 또는 데스플루란, 이소플루란, 또는 세보플루란과 같은 특정 휘발성 마취제와 같은 다른 가스를 투여하는 데 사용할 수 있다. 또한 기관지 확장제, 흡입 코르티코스테로이드, 그리고 아트로핀, 에피네프린, 리도카인 및 바소프레신과 같은 심정지 치료에 사용되는 약물과 같은 특정 약물을 투여하는 경로로 사용할 수도 있다.
원래 천연 고무로 만들어졌지만, 오늘날 대부분의 현대식 기관 내 삽관 튜브는 폴리염화비닐로 제작되었다. 실리콘 고무, 와이어 보강 실리콘 고무 또는 스테인리스강으로 제작된 튜브도 특수 용도로 사용할 수 있다. 인체 사용의 경우, 튜브의 크기는 내경 2mm 에서 10.5mm이다. 환자의 체격을 기준으로 크기를 선택하며, 작은 크기는 영유아에게 사용된다.
대부분의 기관 내 삽관 튜브에는 호흡 가스의 누출과 위 내용물, 혈액, 분비물 및 기타 체액의 폐 흡인을 방지하기 위해 기관지 트리(tracheobronchial tree)를 밀봉하는 팽창식 커프가 있다. 커프가 없는 튜브도 사용할 수 있지만, 그 사용은 주로 어린이로 제한된다(어린이의 경우 윤상 연골이 기도의 가장 좁은 부분이며 일반적으로 기계적 환기에 적절한 밀봉을 제공한다).
4. 기관 튜브의 관리
기관 튜브는 삽입 후에도 지속적인 관리가 필요하며, 합병증 예방 및 환자 안전을 위해 세심한 주의가 필요하다.
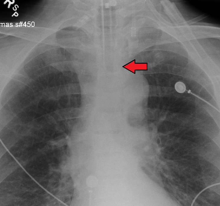
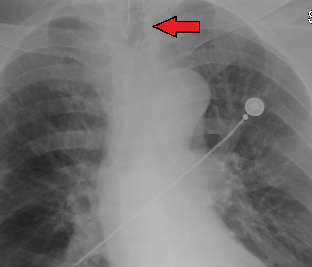
기관 튜브가 제 위치에 있는지 확인하기 위해 여러 방법을 사용한다. 캡노그래피는 기관 내 튜브 설치 확인을 위한 골드 스탠다드로 사용되고 있다. 튜브의 위치는 흉부 X선 촬영으로도 확인할 수 있는데, 기관 분기부에서 약 2cm 위에 위치하는 것이 이상적이다.
기관 내 튜브는 기관 삽관의 원인이 해소되면 발관된다.[18] 수술 후 환자가 각성하여 자발 호흡이 가능해지면 튜브를 제거한다. 그러나 중증 질환 등의 경우에는 인공 호흡기 지원을 서서히 줄여가며 발관을 시도한다.[19]
장기간 기관 삽관이 필요할 것으로 예상되거나 발관이 어려운 경우에는 기관 절개를 시행하여 기관 절개 튜브로 교체하는 것이 좋다.[20][21]
4. 1. 기관 튜브의 위치 확인법
기관 튜브는 기관 내에 적절한 위치에 위치해야 적절한 환기가 이루어지며, 이 상태가 장시간 지속되면 치명적이다. 기관 튜브의 위치를 확인하는 방법으로 100% 신뢰할 수 있는 것은 없다. 따라서 기관 튜브가 올바르게 삽입되었는지 확인하기 위해 여러 방법을 사용하는 것이 현재 널리 표준 치료로 간주된다.| 방법 | 설명 |
|---|---|
| 직접 확인 | 기관 튜브의 선단이 성대를 통과하는 것을 직접 확인하거나, 기관지경 등의 장치를 사용하여 기관 내에 기관 튜브가 있는 것을 비디오 화면으로 확인한다. |
| 청진 | 청진기로 흉부를 청진하면 양쪽의 호흡음이 동일하게 들리고, 명치를 청진하면 소리가 들리지 않거나 약하게 들린다. |
| 흉부 움직임 관찰 | 호흡음에 따라 흉벽이 좌우 균등하게 오르내리는 것으로도 확인할 수 있다. |
| 수증기 확인 | 호기 때마다 기관 튜브 내에 소량의 수증기가 관찰되지만, 기관 튜브 내에 위 내용물이 존재하지는 않는다. |


기관 튜브의 삽입을 확인하기 위한 방법 중 최소한 하나는 측정 기기가 있는 것이 이상적이다. 파형 캡노그래피는 기관 내에 튜브가 설치되었는지 확인하기 위한 골드 스탠다드로 등장했다. 그 외의 측정기를 사용하는 방법으로는 비색식 호기말 이산화탄소 검출기, 자기 팽창식 식도 밸브, 식도 검출 장치 등이 있다.
적절한 위치에 있는 기관 튜브의 원위단은, 기관 분기부에서 약 2cm 위에 위치하며, 이는 흉부 X선 촬영으로 확인할 수 있다. 기관이 기관 분기부보다 너무 깊이 들어가면, 기관 튜브의 선단이 우측 주 기관지 안으로 들어갈 수 있다 ('''한쪽 폐 삽관'''이라고 불린다). 이 상황에서는, 좌측 폐가 환기에 관여할 수 없게 되어, 환기 혈류 불균형에 의한 저산소혈증에 빠질 수 있다.
4. 2. 기관 튜브의 유지 및 발관
기관 내 튜브는 기관 삽관의 원인이 해소되면 발관된다. 이를 '''발관'''(extubation영어)이라고 한다.[18] 전신 마취 하 수술에서는 수술 중 마취제가 계속 투여되고, 유지된 기관 튜브를 통해 인공 호흡(기계 환기)이 지속된다. 수술 종료 후 환자가 각성하여 자발 호흡이 재개되고 인공 호흡이 필요 없어지면 기관 튜브는 발관된다. 마취제는 수년에 걸쳐 개량되어 반감기가 짧아졌고, 최근에는 수술 종료 후 몇 분 만에 각성되어 발관되는 경우도 드물지 않다.[18]수술 이외의 상황, 예를 들어 인공 호흡이 필요한 중증 질환이나 고도 외상 환자의 경우, 질환이나 외상이 개선되어 인공 호흡이 필요 없어지면 발관된다. 그러나 장기간 치료 중에는 와상 상태가 계속되기 때문에 호흡 근력이 저하되고, 투여된 진정제도 축적되어 전신 마취 후만큼 빠르게 호흡 상태가 회복되지 않는다. 따라서 인공 호흡기에 의한 지원을 서서히 줄여 몸을 적응시킨 다음 발관한다. 이 과정, '''이탈'''('''위닝''')은 일반적으로 집중 치료실에서 이루어지지만, 그 기간은 수일에서 수십 일에 이른다.[19]
기관 삽관 기간이 장기화될 전망이거나 발관이 불가능하면, 기관 절개를 시행하여 입을 통한 기관 튜브에서 기관 절개 튜브로 교체하는 것이 권장된다.[20][21] 경구 삽관보다 기관 절개가 환자의 고통이 적고, 진정의 필요성이 낮다는 등, 조기 이환에 유리하기 때문이다.[20]
5. 특수한 상황
기관내삽관은 환자가 의식이 있는 경우, 일반적으로 전신 마취 하에 시행되지만, 신경 차단에 의한 진통으로 시행되는 경우도 있다. 응급 상황, 신속한 기도 확보가 필요한 경우, 윤상갑상 연골 절개술, 기관 절개술, 소아 및 신생아 등 다양한 특수한 상황에서 시행될 수 있다.
- '''응급'''
기도 폐쇄가 진행 중이거나 예상될 때는 기관내삽관을 시행해야 한다. 이물질, 둔기외상, 관통상 등으로 인해 기도 폐쇄가 발생하면 생명이 위험할 수 있으며, 연기 흡입, 기도 화상, 후두개염, 전신 발작, 혈관부종 등으로 인해서도 발생할 수 있다. 이때 기도 확보를 위해 기관내삽관이 필요하다. 뇌졸중, 관통하지 않는 머리 부상, 중독 또는 독극물과 같은 뇌 손상은 의식 저하를 초래할 수 있다. 혼미 또는 혼수 상태(글래스고우 혼수 척도 점수 8점 미만)가 되면, 기도 근육이 이완되어 기도가 막히고, 기침과 연하 같은 기도 보호 반사가 감소하거나 사라질 수 있다. 이때 기도를 확보하고 위 내용물의 폐 흡인을 막기 위해 기관 삽관이 필요하다.
- '''윤상갑상 연골 절개술'''
이물질에 의한 기도 폐쇄, 혈관부종 또는 심각한 안면 외상과 같은 특정 생명을 위협하는 상황에서 개방된 기도를 확보하기 위해 피부와 윤상갑상 막을 통해 이루어지는 절개이다. 기관절개술보다 수행하기 쉽고 빠르며, 경추를 조작할 필요가 없고, 합병증 발생이 적다.
- '''기관 절개술'''
목 앞쪽을 절개하여 기관을 절개하여 직접 기도를 여는 시술이다. 이 개구부는 기도 단독으로 사용하거나, 기관절개 튜브를 삽입하는 장소로 사용할 수 있다. 이 튜브를 통해 사람은 코나 입을 사용하지 않고 호흡할 수 있다. 급성기에는 기관절개술의 적응증은 윤상갑상 인대 절개의 적응증과 유사하며, 만성기에는 장기간의 인공 호흡과 기관 분비물 제거의 필요성(예: 혼수 상태의 환자, 머리와 목의 확대 수술)이다.
- '''소아'''
어린이와 성인은 기도 해부학과 호흡 생리학에 상당한 차이가 있으므로, 소아 환자에게 기관 내 삽관을 수행하기 전에 이러한 사항을 신중하게 고려해야 한다. 이러한 차이는 영아에게 매우 뚜렷하게 나타나며, 신체가 성숙한 연령과 체질량 지수에 가까워짐에 따라 점차 사라진다.
- '''신생아'''
신생아 호흡 곤란 증후군, 선천성 심장 질환, 기흉, 쇼크 등의 증상은 신생아의 호흡 문제를 일으켜 기관내삽관 및 기계환기가 필요할 수 있다.[86] 전신마취를 시행하여 수술하는 동안에도 신생아에게 기관내삽관이 필요하다.[86]

신생아의 기관 내 삽관 시에는 자유로운 산소 공급이 권장되었으나, 효과에 대한 증거가 없어 2011년 NRP 지침에서는 더 이상 권장하지 않는다.[5]
신생아의 경우, 출생 체중이나 재태 주수에 따라 기관 튜브의 크기를 결정한다.[25]
| 출생 체중 | 튜브 내경(mm) | 삽입 길이(cm) 기준 |
|---|---|---|
| 1000g 미만 | 2.0 또는 2.5 | 6cm + 체중(kg) 보다 짧게 |
| 1000~2000g | 2.5 또는 3.0 | 6cm + 체중(kg) |
| 2000~3000g | 3.0 또는 3.5 | 6cm + 체중(kg) |
| 3000g 이상 | 3.5 | 6cm + 체중(kg) |
5. 1. 응급
기도 폐쇄가 진행 중이거나 예상될 때는 기관내삽관을 시행해야 한다. 이물질, 둔기외상, 관통상 등으로 인해 기도 폐쇄가 발생하면 생명이 위험할 수 있다. 기도 폐쇄는 연기 흡입, 기도 화상, 후두개염, 전신 발작, 혈관부종 등으로 인해 발생할 수 있으며, 이 때에도 기도 확보를 위해 기관내삽관이 필요하다.뇌졸중, 관통하지 않는 머리 부상, 중독 또는 독극물과 같은 뇌 손상은 의식 저하를 초래할 수 있다. 혼미 또는 혼수 상태(글래스고우 혼수 척도 점수 8점 미만)가 되면, 기도 근육이 이완되어 기도가 막히고, 기침과 연하 같은 기도 보호 반사가 감소하거나 사라질 수 있다. 이때 기도를 확보하고 위 내용물의 폐 흡인을 막기 위해 기관 삽관이 필요하다.
응급 상황에서 기관내 삽관은 기도 내 혈액, 구토물, 분비물과 환자의 협조 부족으로 인해 기관지 내시경으로는 어려울 수 있다. 따라서 심각한 안면 부상, 완전한 상기도 폐쇄, 심각하게 감소된 환기, 또는 상기도 출혈이 심한 환자는 기관지 내시경 삽관에 적합하지 않다. 응급실에서 기관지 내시경 기술을 사용했을 때 성공률은 83~87%에 불과했으며, 최대 22%의 환자에서 심각한 코피가 발생했다.
직접 후두경 검사에 숙련된 인력이 없는 경우, 후두 마스크 기도, 커프가 있는 인두 기도 및 콤비튜브 같은 특수 장치를 사용하여 기도 확보를 위한 가교 역할을 할 수 있다. 강성 스타일렛, 라이트와드(맹검 기술) 및 불라드 스코프, 업셔 스코프 및 우스코프와 같은 간접 기관지 내시경 강성 스타일렛과 같은 다른 장치도 직접 후두경 검사의 대안으로 사용할 수 있다.
5. 1. 1. 신속 기도 관리 (Rapid-Sequence Induction and Intubation, RSI)
신속 서열 유도 및 기관 내 삽관(RSI)은 응급 수술 및 환자가 위가 가득 찬 것으로 간주되는 기타 상황에서 일반적으로 사용되는 특정 전신 마취 유도 방법이다. RSI의 목적은 전신 마취 유도 및 후속 기관 내 삽관 중 역류 및 위 내용물의 폐 흡인 가능성을 최소화하는 것이다. RSI는 전통적으로 밀착된 산소 마스크로 폐를 사전 산소화한 다음, 기관 내 삽관 전에 정맥 수면 유도제와 로쿠로늄, 석시닐콜린, 또는 시사트라쿠륨 베실레이트와 같은 빠르게 작용하는 신경근 차단제를 순차적으로 투여하는 것을 포함한다.RSI와 일반적인 기관 내 삽관의 한 가지 중요한 차이점은 시술자가 전신 마취 및 호흡 중단이 시작된 후 기관이 삽관되고 커프가 팽창될 때까지 폐의 환기를 수동으로 보조하지 않는다는 것이다. RSI의 또 다른 주요 특징은 기도를 조작하고 기관 내 삽관하기 전에 윤상 연골에 수동으로 '윤상 연골 압박'(셀릭 수기)을 가하는 것이다.
1961년에 이 절차를 처음 설명한 영국의 마취과 의사 브라이언 아서 셀릭(Brian Arthur Sellick, 1918–1996)의 이름을 따서 명명되었으며, 윤상 연골 압박의 목표는 위 내용물의 역류 및 폐 흡인 가능성을 최소화하는 것이다. 윤상 연골 압박은 이 관행을 뒷받침할 만한 설득력 있는 증거가 부족함에도 불구하고 거의 50년 동안 RSI 동안 널리 사용되었다. 셀릭의 초기 논문은 높은 일회 호흡량, 머리 아래쪽 위치 및 바르비투르산염 마취가 일반적이었던 시기에 작은 표본 크기를 기반으로 했다. 2000년경부터 윤상 연골 압박의 효과에 의문을 제기하는 상당한 양의 증거가 축적되었다. 윤상 연골 압박을 가하면 셀릭이 설명한 대로 식도를 압박하는 대신 실제로 측면으로 이동시킬 수 있다. 윤상 연골 압박은 또한 후두개 압박을 할 수 있으며, 이는 후두경 검사자의 시야를 방해하고 실제로 기도를 확보하는 데 지연을 일으킬 수 있다.
윤상 연골 압박은 종종 "BURP"(뒤로, 위로, 오른쪽 압박) 조작과 혼동된다. 이 두 가지 모두 후두 장치의 앞쪽(앞면)에 손가락 압박을 가하는 것이지만, 후자의 목적은 역류를 방지하는 것이 아니라 후두경 검사 및 기관 내 삽관 중 후두개의 시야를 개선하는 것이다. 윤상 연골 압박과 BURP 조작 모두 후두경 검사를 악화시킬 수 있다.[4]
RSI는 환자가 의식이 있지만 호흡 부전이 임박한 응급 상황(예: 극심한 외상)에도 사용할 수 있다. 이 절차는 일반적으로 비행 응급 의료 종사자가 수행한다. 비행 응급 의료 종사자는 환경적 요인으로 인해 고정익 또는 회전익 항공기에서 이동 중인 상태에서 기관 내 삽관을 수행하기가 매우 어렵기 때문에 일반적으로 이송 전에 RSI를 사용하여 기관 내 삽관을 수행한다. 환자는 항공기로 이송되기 전에 지상에서 마비되고 기관 내 삽관된다.
5. 1. 2. 윤상갑상 연골 절개술
윤상갑상 연골 절개술은 이물질에 의한 기도 폐쇄, 혈관부종 또는 심각한 안면 외상과 같은 특정 생명을 위협하는 상황에서 개방된 기도를 확보하기 위해 피부와 윤상갑상 막을 통해 이루어지는 절개이다. 윤상갑상 연골 절개술은 구강 및 비강 기관 내 삽관이 불가능하거나 금기인 경우 거의 항상 최후의 수단으로 수행된다. 윤상갑상 연골 절개술은 기관절개술보다 수행하기 쉽고 빠르며, 경추를 조작할 필요가 없고, 합병증 발생이 적다.
이 기술을 수행하는 가장 쉬운 방법은 바늘 윤상갑상 연골 절개술(또는 경피적 확장 윤상갑상 연골 절개술이라고도 함)이다. 이 절차에서는 대구경(12–14 게이지) 정맥 카테터를 사용하여 윤상갑상 막을 천자한다. 그런 다음 이 카테터를 통해 제트 주입 방식으로 산소를 투여할 수 있다. 그러나 바늘 윤상갑상 연골 절개술은 극단적인 상황에서 생명을 구할 수 있지만, 이 기술은 확실한 기도를 확보할 때까지 임시 조치로만 사용된다. 바늘 윤상갑상 연골 절개술은 적절한 산소 공급을 제공할 수 있지만, 윤상갑상 연골 절개술 카테터의 작은 직경으로는 이산화탄소를 제거하는 데(환기) 충분하지 않다. 바늘 윤상갑상 연골 절개술을 통한 무호흡 산소 공급 1시간 후에는 산소 포화도가 98% 이상임에도 불구하고 PaCO2가 250 mmHg 이상, 동맥 pH가 6.72 미만이 될 것으로 예상할 수 있다. 더 확실한 기도는 기관 내 튜브 또는 기관 절개술 튜브를 더 큰 절개를 통해 삽입하여 외과적 윤상갑상 연골 절개술을 수행함으로써 확보할 수 있다.
여러 제조업체에서 윤상갑상 연골 절개술 키트를 사전 포장하여 판매하고 있으며, 이를 통해 와이어 유도 경피적 확장(Seldinger) 기술 또는 고전적인 외과적 기술을 사용하여 윤상갑상 막을 통해 폴리염화비닐 카테터를 삽입할 수 있다. 이 키트는 병원 응급실 및 수술실뿐만 아니라 구급차 및 기타 선택된 구급 전 환경에도 비치될 수 있다.
5. 2. 기관 절개술
'''기관절개술'''은 목 앞쪽을 절개하여 기관을 절개하여 직접 기도를 여는 시술이다. 이 개구부는 기도 단독으로 사용하거나, 기관절개 튜브를 삽입하는 장소로 사용할 수 있다. 이 튜브를 통해 사람은 코나 입을 사용하지 않고 호흡할 수 있다. 개구부는 메스 또는 바늘(각각 외과적 및 경피적이라고 함)로 만들 수 있으며, 두 가지 기술 모두 현재 임상에서 널리 사용된다. 반회 신경(성대를 지배하는 신경)의 손상 위험을 줄이기 위해 기관절개술은 가능한 한 기관의 높은 위치에서 수행된다. 이 신경 중 한쪽만 손상된 경우 환자의 목소리가 손상되고, 두 신경 모두 손상된 경우 환자는 말을 할 수 없게 된다 (실성증). 급성기에는 기관절개술의 적응증은 윤상갑상 인대 절개의 적응증과 유사하다. 만성기에는 기관절개술의 적응증은 장기간의 인공 호흡과 기관 분비물 제거의 필요성(예: 혼수 상태의 환자, 머리와 목의 확대 수술)이다. 기도의 협착이나 폐쇄가 있는 환자, 하기도의 분비물 저류, 배출 곤란으로 인한 빈번한 흡인이 필요한 환자, 구강 영역 및 인두 영역 수술 시 기도 확보, 신경 질환 및 근육 질환 등으로 인한 호흡 근육 감약이 있는 환자, 지연되는 의식 장애로 기도 확보 및 흡인 예방이 필요한 환자에서 장기 기도 관리가 필요한 경우 기관절개술이 시행된다[24]。5. 3. 소아
어린이와 성인은 기도 해부학과 호흡 생리학에 상당한 차이가 있으므로, 소아 환자에게 기관 내 삽관을 수행하기 전에 이러한 사항을 신중하게 고려해야 한다. 이러한 차이는 영아에게 매우 뚜렷하게 나타나며, 신체가 성숙한 연령과 체질량 지수에 가까워짐에 따라 점차 사라진다.영아 및 어린 소아의 경우, 경구 삽관이 비강 삽관보다 더 쉽다. 비강 삽관은 인두 편도의 탈락과 비출혈의 위험을 수반한다. 더 어려움에도 불구하고, 비강 삽관은 집중 치료를 받고 장기간 삽관이 필요한 어린이에게 선호되는데, 이는 이 경로가 튜브의 더 안전한 고정을 가능하게 하기 때문이다. 성인과 마찬가지로 어린이의 어려운 기관 내 삽관을 돕기 위해 특별히 설계된 여러 장치가 있다. 기관 튜브의 적절한 위치 확인은 성인 환자와 마찬가지로 수행된다.
어린이의 기도는 좁기 때문에 소량의 성문 또는 기관 부종이 치명적인 폐쇄를 유발할 수 있다. 기관의 직경에 비해 너무 큰 튜브를 삽입하면 부종이 발생할 수 있다. 반대로, 너무 작은 튜브를 삽입하면 성문을 통해 가스가 역류하여 입과 코 밖으로 빠져나가 효과적인 양압 환기를 달성하지 못할 수 있다(종종 튜브 주위의 "누출"이라고 함). 과도한 누출은 일반적으로 더 큰 튜브 또는 커프가 있는 튜브를 삽입하여 수정할 수 있다.
적절하게 위치한 기관 튜브의 팁은 쇄골 사이의 전후면 흉부 방사선 사진에서 중간 기관에 위치한다. 튜브의 적절한 직경은 약 25cm 수압에서 약간의 누출이 발생하는 직경이다. 기관 내 튜브의 적절한 내경은 아이의 새끼손가락과 대략 같은 직경으로 추정된다. 기관 내 튜브의 적절한 길이는 아이 입의 모서리에서 귓구멍까지의 거리를 두 배로 하여 추정할 수 있다. 생후 1년 이상 된 정상적으로 영양 상태가 좋은 어린이의 경우, 기관 내 삽관에 적절한 직경과 깊이를 추정하기 위해 두 가지 공식이 사용된다. 튜브의 내경(mm)은 (환자의 나이 + 16) / 4이고, 적절한 삽입 깊이(cm)는 12 + (환자의 나이 / 2)이다.
5. 4. 신생아
신생아 호흡 곤란 증후군, 선천성 심장 질환, 기흉, 쇼크 등의 증상은 신생아의 호흡 문제를 일으켜 기관내삽관 및 기계환기가 필요할 수 있다.[86] 전신마취를 시행하여 수술하는 동안에도 신생아에게 기관내삽관이 필요하다.[86]영아 및 어린 소아의 경우, 구강 삽관이 비강 삽관보다 더 쉽다. 비강 삽관은 인두 편도의 탈락과 비출혈의 위험을 수반한다.
신생아의 기도는 좁기 때문에 소량의 성문 또는 기관 부종이 치명적인 폐쇄를 유발할 수 있다. 기관의 직경에 비해 너무 큰 튜브를 삽입하면 부종이 발생할 수 있고, 반대로 너무 작은 튜브를 삽입하면 성문을 통해 가스가 역류하여 효과적인 양압 환기를 달성하지 못할 수 있다.
미숙아의 경우 2.5mm 내경의 기관 튜브가 적절하며, 정상적인 임신 기간의 영아의 경우 3mm 내경이 적절한 크기이다.
신생아의 기관 내 삽관 시에는 자유로운 산소 공급이 권장되었으나, 효과에 대한 증거가 없어 2011년 NRP 지침에서는 더 이상 권장하지 않는다.[5]
신생아의 경우, 출생 체중이나 재태 주수에 따라 기관 튜브의 크기를 결정한다.[25]
| 출생 체중 | 튜브 내경(mm) | 삽입 길이(cm) 기준 |
|---|---|---|
| 1000g 미만 | 2.0 또는 2.5 | 6cm + 체중(kg) 보다 짧게 |
| 1000~2000g | 2.5 또는 3.0 | 6cm + 체중(kg) |
| 2000~3000g | 3.0 또는 3.5 | 6cm + 체중(kg) |
| 3000g 이상 | 3.5 | 6cm + 체중(kg) |
6. 삽관 곤란의 예측
기관내 삽관은 간단한 절차가 아니며, 실패하면 심각한 결과를 초래할 수 있다. 따라서 사전에 환자를 주의 깊게 평가하여 어려움이나 합병증 가능성을 확인해야 한다. 여기에는 환자의 병력 청취와 신체 검사가 포함되며, 그 결과는 여러 분류 시스템과 비교하여 점수를 매길 수 있다. 예정된 수술(머리와 목 부위 수술이나 bariatric surgery|비만 수술영어) 때문에 삽관이 어려울 것으로 예상되는 경우가 있다. 목이나 턱의 움직임이 제한된 사람, 종양이 있는 사람, 혈종이나 angioedema|혈관부종영어으로 인한 기도 주변 부종, 턱 발달 이상, 얼굴이나 목의 과도한 지방 조직 등 기도 해부학이 비정상적인 사람도 적지 않다. 이러한 환자에서는 기존 후두경을 사용한 기관내 삽관이 어렵거나 불가능할 수도 있다. 따라서 기관내 삽관을 시행하는 모든 의료 종사자는 기도를 확보하기 위한 대체 기술에 익숙해야 한다.
환자의 병력을 조사할 때, dysphonia|발성 장애|label=목소리가 나오기 어려움영어이나 숨쉬기 어려움과 같은 증상은 심각한 징후를 시사한다. 이는 상기도, 후두, 기관, 기관지의 다양한 위치에 있는 폐쇄성 lesion|병변영어을 나타낼 수 있다. 또한 머리와 목 부위나 종격의 수술(예: Anterior cervical discectomy and fusion|경추 전방 추간판 제거 및 유합술영어), 외상, 방사선 치료, 종양 등의 과거력도 삽관이 어려워질 가능성을 시사하는 단서가 된다. 기관내 삽관의 과거 경험, 특히 삽관 어려움, 장기간 삽관(예: 중환자실), 기관 절개술 과거력도 주의해야 한다.
기도의 상세한 신체 검사가 중요하며, 특히 다음 사항을 확인해야 한다:
- 경추 가동 범위: 머리를 뒤로 젖히고 앞으로 젖혀 턱이 가슴에 닿도록 할 수 있는지 확인한다.
- 턱(턱관절) 가동 범위: 환자의 손가락 3개가 위아래 앞니 사이에 들어가는지 확인한다.
- 상악과 하악의 크기와 형태: 특히 상악 형성 부전(상악이 미발달), Micrognathism|소악증영어(턱이 비정상적으로 작음), Retrognathism|후퇴 턱영어(상악과 하악이 어긋남) 등의 문제가 없는지 확인한다.
- 갑상설골 간 거리: 환자의 손가락 3개가 thyroid cartilage|갑상연골|label=목젖영어과 턱 끝 사이에 들어가는지 확인한다.
- 입 크기에 대한 혀와 구개의 크기와 형태.
- 치아, 특히 상악 앞니가 눈에 띄는지(소위 돌출 치아), 치아가 흔들리지 않는지, 손상되지 않았는지, 크라운이 있는지 확인한다.
기관내 삽관의 난이도를 예측하기 위해 코맥 분류, 삽관 곤란도 척도, 말람파티 분류 등 많은 분류 시스템이 개발되었다. 말람파티 분류는 혀 뿌리의 크기가 삽관 곤란에 영향을 미친다는 관찰에서 비롯되었다. 구강 내 해부학적 구조, 특히 구개수 기저부, Fauces (anatomy)|협부영어, 연구개의 보임 정도를 관찰하여 결정된다. 이러한 의학적 점수 시스템은 환자 평가에 도움이 될 수 있지만, 단일 점수나 점수 조합으로 삽관이 어려운 환자를 모두 찾아내고 다른 환자를 제외하는 것은 불가능하다. 또한, 숙련된 마취과 의사를 대상으로 한 코맥 분류에 관한 연구에서, 동일 환자에 대해 장기간 일관된 점수를 매길 수 없으며, 코맥 분류의 4등급을 모두 정확하게 평가할 수 있는 사람은 25%에 불과하다고 밝혔다. 응급 상황(예: 중증 두부 외상 또는 경추 손상 의심)에서는 이러한 신체 검사 및 다양한 분류 시스템을 충분히 활용하기 어려울 수 있다. 이러한 경우 기도를 확보하기 위한 대체 기술을 쉽게 수행할 수 있도록 해야 한다.
기도 확보 곤란을 예측·평가하는 지표는 다음과 같다.
{| class="wikitable"
|+ 기도 확보 곤란 예측/평가 지표
|-
! 지표 !! 설명
|-
| 말람파티 분류
| 수술 전 기관내 삽관의 어려움을 추정하기 위한 진찰 소견 중 하나이다. 1985년 Seshagiri Mallampati가 보고했다.[28] 환자를 기립 또는 좌위로 진찰하고, 자발적으로 입을 벌리게 하여 가능한 한 혀를 내민 상태에서 인두를 관찰한다. 보이는 정도를 4단계로 나누며, 개구 시 구개궁, 연구개, 구개수가 잘 안 보일수록 삽관이 어려워질 확률이 높다.[29]
| 클래스 | 설명 |
|---|---|
| I | 구개궁, 연구개, 구개수가 보인다. |
| II | 구개궁, 연구개는 보이지만, 구개수는 혀 뿌리에 가려 보이지 않는다. |
| III | 연구개만 보인다. |
| IV | 위의 모든 것이 보이지 않는다. |
|-
| 코맥 분류
| 후두를 펼친 후 성문의 시야를 분류하며, 4단계로 구분된다. 3단계, 4단계에서는 튜브를 기관에 삽입하기 어렵다고 판단된다.
| 단계 | 설명 |
|---|---|
| 1 | 성문의 거의 전체가 관찰 가능하다. |
| 2 | 성문의 일부가 관찰 가능하다. |
| 3 | 피열 연골이나 성문은 보이지 않지만, 후두개는 관찰 가능하다. |
| 4 | 성문도 후두개도 관찰 불가능하다. |
|-
| 하악 가동 범위 (Upper lip bite test)
| 턱을 앞으로 이동하게 하여 아래 치열이 윗입술을 물 수 있는지 확인한다. C의 경우 마스크 환기도 기관 삽관도 어려울 수 있다.
| 등급 | 설명 |
|---|---|
| A | 아래 치열이 윗입술을 완전히 물 수 있으며, 윗입술이 보이지 않음 |
| B | 아래 치열이 윗입술을 부분적으로 물 수 있으며, 윗입술의 일부가 보임 |
| C | 아래 치열이 윗입술을 물 수 없음 |
|-
| Kheterpal 모델
| Kheterpal 모델을 일부 수정한 것이다.[30] 마스크 환기 불능, 기관내 삽관 불능('''CVCI''': cannot ventilate, cannot intubate)이 동시에 발생하면 치명적이다. CVCI 발생 원인에는 12가지 위험 인자가 있으며, 많을수록 CVCI 발생 위험이 높아진다.[29]
| 위험 인자 |
|---|
|}
7. 합병증
기관내삽관은 여러 합병증을 유발할 수 있다. 흔한 합병증으로는 인후통, 입술, 잇몸, 상기도 내 다른 구조의 열상, 치아 손상, 코 손상 등이 있다.
더 심각한 합병증으로는 후두 경련, 기관 또는 기관지 천공, 위 내용물 흡인, 혈중 산소 농도 감소, 혈중 이산화탄소 농도 증가, 성대 마비 등이 있다. 비강 경로를 통한 기관내삽관은 아데노이드 손상 및 심각한 코피의 위험을 수반한다.
장기간 삽관 또는 기관절개술과 관련된 합병증으로는 무명동맥(기관무명 누공) 또는 식도(기관식도루)와의 비정상적인 연결, 기관 강성 상실, 인공호흡기 관련 폐렴, 기도 협착 등이 있다.
기도 확보 실패 및 산소 공급, 환기 실패는 즉시 교정하지 않으면 저산소혈증, 뇌 손상, 심혈관 허탈 및 사망으로 이어지는 생명을 위협하는 합병증이다. 부적절하게 수행된 경우, 인식되지 않은 식도 삽관과 같은 합병증은 치명적일 수 있다.
의도하지 않은 식도 삽관은 흔하며(경험이 없는 경우 25% 빈도), 유해하거나 치명적인 결과를 초래할 수 있다. 산소가 폐가 아닌 위로 들어가 순환계에서 흡수될 수 없게 된다. 이 상황이 즉시 확인되고 수정되지 않으면 뇌 및 심장 무산소증으로 인해 사망한다.
ASA의 폐쇄 청구 프로젝트 데이터베이스에 따르면, 기도 손상 관련 청구 중 87%는 일시적이었고, 5%는 영구적 또는 무능력, 8%는 사망으로 이어졌다. 어려운 삽관, 60세 이상, 여성은 식도 또는 인두 천공 청구와 관련이 있었다.
SARS 및 코로나19 범유행 동안, 환자가 호흡 곤란을 겪는 심각한 경우에 기관내삽관이 인공호흡기와 함께 사용되었으며, 이 절차를 수행하면 간병인이 감염될 위험이 있다.[8][9][10]
8. 대체 수단
기관내삽관은 역류 및 폐 흡인에 대한 최고의 보호 기능을 제공하지만, 기도를 확보하기 위한 유일한 수단은 아니다. 기도 관리 및 산소, 휘발성 마취제 또는 기타 호흡 가스 전달을 위한 대체 기술에는 후두 마스크 기도, i-gel, 커프 구강 인두 기도, 지속적 상기도 양압 (CPAP 마스크), 비강 BiPAP 마스크, 단순 안면 마스크 및 비강 캐뉼라가 포함된다.
전신 마취는 시술 시간이 짧거나, 마취 깊이가 환기 기능에 심각한 손상을 일으키지 않는 경우와 같이 일부 경우에 기관내 삽관 없이 투여되는 경우가 많다. 더 긴 시간 동안 또는 더 침습적인 시술의 경우에도 환자를 신중하게 선택하고, 위험-편익 분석 비율이 유리하다면(즉, 보호되지 않은 기도와 관련된 위험이 기관내 삽관의 위험보다 적다고 판단되는 경우) 기관을 삽관하지 않고도 전신 마취를 투여할 수 있다.
기도 관리는 사용되는 환기 시스템에 따라 폐쇄형 또는 개방형 기술로 분류할 수 있다. 기관내 삽관은 폐쇄 회로를 사용하여 환기가 이루어지므로 전형적인 폐쇄형 기술의 예이다. 자발적 환기, 무호흡 환기 또는 제트 환기와 같은 여러 가지 개방형 기술이 존재하며, 각각 고유한 장단점이 있어 사용 시기를 결정한다.
자발적 환기는 전통적으로 흡입제(예: 할로테인 또는 세보플루란을 사용한 가스 유도 또는 흡입 유도)로 수행되었지만, 정맥 마취(예: 프로포폴, 케타민 또는 덱스메데토미딘)를 사용하여 수행할 수도 있다. 정맥 마취 및 고유량 비강 산소를 사용한 자발적 호흡(STRIVE Hi)은 마취 깊은 수준에서 환기를 유지하는 프로포폴의 상향 적정을 사용하는 개방형 기도 기술이다. 기관내 삽관의 대안으로 기도 수술에 사용되었다.[11]
9. 역사
기관내삽관은 오랜 역사를 지니고 있으며, 수 세기에 걸쳐 발전해 왔다.
; 기관절개술
기관 절개술에 대한 가장 오래된 기록은 기원전 3600년경 이집트 석판에서 발견된다. 기원전 1550년경의 에버스 파피루스에도 기관절개술이 언급되어 있다. 기원전 2000년경 인더스 문명의 리그베다에도 묘사되어 있다. 기원전 400년경의 수쉬루타 삼히타는 기관절개술을 언급하는 또 다른 문헌이다. 비티니아의 아스클레피아데스는 비응급 기관절개술을 처음으로 시행한 의사로 알려져 있다. 갈레노스는 기관의 해부학을 밝히고 후두가 목소리를 생성한다는 것을 처음으로 입증했다. 갈레노스는 죽은 동물의 폐에 공기를 불어넣는 실험을 했다. 아비센나는 ''의학 정전''에서 호흡을 돕기 위한 기관내삽관을 묘사했다. 이븐 주르는 ''알-타이시르''에서 기관절개술에 대한 정확한 묘사를 제공했다.
안드레아스 베살리우스는 기관내삽관과 인공 호흡에 대한 최초의 상세한 묘사를 남겼다. 그의 저서 ''인체의 구조에 관하여''에서 그는 죽어가는 동물의 기관에 갈대를 삽입하고 바람을 불어넣는 실험을 묘사했다. 안토니오 무사 브라사볼라는 편도 주위 농양 환자를 기관절개술로 성공적으로 치료했다. 히에로니무스 파브리시우스는 기관절개술에 대한 유용한 기술을 묘사했지만, 실제로 시행하지는 않았다. 니콜라스 아비코트는 네 번의 성공적인 기관절개술을 보고했다. 게오르크 데타르딩은 익사한 희생자에게 기관절개술을 시행했다.
19세기 초가 되어서야 기관절개술이 심각한 기도 폐쇄를 치료하는 방법으로 인정받기 시작했다. 아르망 트루소는 169건의 기관절개술 사례를 발표했다. 파리에서 350건 이상의 기관절개술이 시행되었으며, 대부분 공립 병원에서 시행되었고 생존율은 20–25%에 불과했다.
프리드리히 트렌델렌부르크는 전신 마취 투여를 목적으로 시행된 최초의 성공적인 기관절개술에 대한 논문을 발표했다. 모렐 매켄지는 기관절개술의 적응증에 대해 논의하는 책을 출판했다. 20세기 초, 기관절개술은 마비성 소아마비 환자에게 생명을 구하는 치료법이 되었다. 체발리에 잭슨은 오늘날까지 사용되는 기관절개술 기법을 묘사했다.
; 후두경 검사 및 비수술적 기법
마누엘 파트리시오 로드리게스 가르시아는 살아있는 인간의 기능하는 성문을 처음으로 관찰한 사람이 되었다. 외젠 부슈는 디프테리아 관련 가성막으로 인한 후두 폐쇄를 우회하기 위한 새로운 비수술적 경구 기도 삽관 기술을 개발했다. 윌리엄 매큐언은 후두 부종 환자의 호흡을 돕기 위해, 그리고 클로로포름을 사용한 전신 마취 상태에서 기관절개술의 대안으로 경구 기도 삽관을 사용한 사례를 보고했다. 알프레드 키르슈타인은 성대를 직접 시각화하는 방법을 처음으로 묘사했는데, 그는 이 장치를 자경이라고 불렀다.
체발리에 잭슨은 기관 삽관의 수단으로 직접 후두경 검사를 사용하는 것에 대한 높은 성공률을 처음으로 보고했다. 잭슨은 새로운 후두경 블레이드를 도입했다. 헨리 H. 재너웨이는 최근 개발한 후두경을 사용하여 얻은 결과를 발표했다. 이반 매길은 각성 상태에서 맹목적으로 코를 통해 삽관하는 기술, 매길 겸자, 매길 후두경 블레이드, 그리고 휘발성 마취제를 투여하기 위한 여러 장치를 개발했다. 로버트 매킨토시는 1943년에 곡선형 후두경 블레이드를 도입했는데, 매킨토시 블레이드는 오늘날까지 경구 기도 삽관에 가장 널리 사용되는 후두경 블레이드이다.
광학 공학자들은 루돌프 쉰들러의 이전 연구를 바탕으로 최초의 위 카메라를 개발했다. 광섬유 기술은 최초의 유연한 섬유 내시경을 제작하는데 적용되었다. 식도 위 십이지장 내시경 검사에 사용되었던 이 장치는 영국의 마취과 의사 피터 머피에 의해 처음으로 후두경 검사 및 기관 삽관에 사용되었다. 경구 기도 튜브를 교체하거나 교환하기 위해 스타일렛을 사용하는 개념은 중심 정맥 카테터를 사용하여 소개되었다.
1980년대 중반까지, 유연한 섬유 기관지경은 폐 전문의와 마취과에서 필수적인 도구가 되었다. 21세기의 정보 시대는 기관 삽관에 새로운 기술을 가져왔다. 여러 제조업체는 CMOS 능동형 픽셀 센서를 사용하여 성문의 시야를 생성하여 기관을 삽관할 수 있는 비디오 후두경을 개발했다.
10. 교육
기관내삽관은 숙련된 기술을 요하는 의료 행위이므로, 충분한 교육과 훈련이 필요하다. 비디오 후두경의 발전으로 교육에 큰 변화가 있었으며, 기존 후두경은 "'''골동경'''"이라고 불리기도 한다.[45][46]
10. 1. 의사의 교육
기관 삽관 훈련은 기도 확보 훈련의 일환으로 의료 종사자를 대상으로 실시된다(기관 삽관에 앞서 실시되는 마스크 환기도 중요하기 때문에[39]). 의학부에서는 실제 환자를 대상으로 하기 전에 기도 확보 훈련 전용 마네킹을 이용한 실습이 진행되어 왔다[40][41]。과거에는 해부학적 구조를 모방한 마네킹만 사용되었지만, 최근에는 심전도 등의 모니터가 표시되고, 의료 행위에 따라 발생하는 활력 징후의 변화도 시뮬레이션할 수 있는 마네킹이 개발되어 실제로 사용되고 있다. 이를 고기능 시뮬레이터라고 한다[42][43]。비디오 후두경의 발전도 기도 확보 교육에 큰 역할을 하고 있다. 과거에는 후두 전개를 통한 성문 확인은 삽관을 시행하는 당사자 외에는 어려웠지만, 비디오 후두경에서는 시야를 지도자와 훈련자가 공유할 수 있기 때문에[44], 안전성 및 삽관 성공률 향상이 보고되고 있다[42]。
기관 삽관은 일본 의학부의 학생 교육에서는 "지도 의사의 실시 보조·견학 등에 국한해야 한다"고 규정하고 있다[47]。수련의에게는 습득해야 할 기술 중 하나로 간주되며, 2년간의 수련 기간 동안 기관 삽관 기회가 비교적 많은 응급 의학과 또는 마취과에서의 수련을 통해 습득이 의무화되어 있다[48]。하지만 수련 종료 후 선택하는 전문 진료과에 따라 기관 삽관을 거의 하지 않게 되는 경우도 있어, 기관 삽관 기술을 모든 의사가 지속적으로 유지하기는 어렵다[39]。따라서 의료기관에서 기관 삽관이 필요한 상황 또는 그 적응증 유무를 판단해야 할 경우, 기관 삽관 기술에 뛰어난 마취과, 응급 의학과, 중환자 의학과 의사에게 의뢰하거나, 이들 전문가로 구성된 Rapid response team (medicine)|라피드 레스폰스 팀영어[49]의 지원을 받는 체제를 갖춘 시설이 최근 증가하고 있다[50]。
10. 2. 응급구조사의 교육
한국에서는 응급구조사도 심정지 환자의 기도 확보를 위해 기관내삽관을 시행할 수 있다.[60][61] 응급구조사는 소정의 교육과 실습을 거쳐 기관내삽관 자격을 취득해야 하며, 지속적인 훈련과 평가를 통해 기술을 유지해야 한다.응급구조사는 소방학교나 응급구조사 양성소 등에서 기관내삽관에 관한 강습을 수강한 후, 도도부현의 메디컬 컨트롤 협의회(MC)에 의해 인증된 의료기관에서 전신 마취 증례에서의 기관내삽관을 30례 이상 성공적으로 실시하고, 병원 실습 수료증을 받아야 한다.[63] 이후 MC로부터 인정을 받으면 "기관내삽관 인정 응급구조사"가 된다.[63]
일본에서는 2004년 7월 1일부터 응급구조사가 심폐 정지 상태의 환자에게 기관내삽관을 할 수 있게 되었다.[60][61] 이는 2001년 아키타시 소방본부에서 응급구조사의 기관내삽관이 위법임에도 불구하고 용인되었던 사건[64]이 계기가 되었다. 이 사건은 의료법 위반으로 지적되었지만, 사회적 문제로 대두되면서[66] 비교적 동정적인 여론에 따라[67][68][69][70][71] 법률이 정비되었다.[72][73][74][75]
하지만, 응급구조사의 기관내삽관 허용 이후 2007년 아이치현[77]과 후쿠오카현[76]에서 오삽관(식도 삽관) 사고가 발생하여 환자가 사망하는 사건이 발생하면서 유효성과 안전성에 대한 추가적인 검증이 요구되기도 하였다.
참조
[1]
웹사이트
Prehospital endotracheal intubation in cardiac arrest by BASICS Scotland clinicians
https://rgdoi.net/10[...]
2022
[2]
간행물
Frequency of endotracheal suctioning for the prevention of respiratory morbidity in ventilated newborns
2016-03-07
[3]
서적
Clinical anesthesia
Wolters Kluwer
2017
[4]
간행물
Laryngeal view during laryngoscopy: a randomized trial comparing cricoid pressure, backward-upward-rightward pressure, and bimanual laryngoscopy
2006-06
[5]
간행물
Neonatal Resuscitation Program (NRP) 2011: new science, new strategies.
2011-02
[6]
간행물
Airway physical examination tests for detection of difficult airway management in apparently normal adult patients
2018-05
[7]
간행물
Advanced airway management in out of hospital cardiac arrest: A systematic review and meta-analysis
https://espace.libra[...]
2018-12
[8]
간행물
Expert Recommendations for Tracheal Intubation in Critically ill Patients with Noval Coronavirus Disease 2019
2020
[9]
웹사이트
World Federation Of Societies of Anaesthesiologists - Coronavirus
https://www.wfsahq.o[...]
2020-06-25
[10]
웹사이트
Clinical management of severe acute respiratory infections when novel coronavirus is suspected: What to do and what not to do
https://www.who.int/[...]
World Health Organization
[11]
간행물
SponTaneous Respiration using IntraVEnous anaesthesia and Hi-flow nasal oxygen (STRIVE Hi) maintains oxygenation and airway patency during management of the obstructed airway: an observational study
2017-03-01
[12]
웹사이트
日本麻酔科学会気道管理ガイドライン 2014(日本語訳) より安全な麻酔導入のために
https://anesth.or.jp[...]
公益社団法人日本麻酔科学会
2023-06-09
[13]
간행물
Prehospital endotracheal intubation in cardiac arrest by BASICS Scotland clinicians
https://rgdoi.net/10[...]
2022
[14]
간행물
Frequency of endotracheal suctioning for the prevention of respiratory morbidity in ventilated newborns
2016-03-07
[15]
간행물
Digital intubation
https://doi.org/10.1[...]
1984-01
[16]
웹사이트
MPIファイバーオプティック喉頭鏡
https://www.pmda.go.[...]
2024-02-26
[17]
웹사이트
MPIファイバーオプティック喉頭鏡
https://www.pmda.go.[...]
2024-02-26
[18]
간행물
デスフルラン・セボフルラン麻酔からの覚醒時間 ─レミフェンタニル持続投与下でも デスフルランからの覚醒は早いのか?─
https://doi.org/10.2[...]
[19]
간행물
Efficacy and safety of a paired sedation and ventilator weaning protocol for mechanically ventilated patients in intensive care (Awakening and Breathing Controlled trial): a randomised controlled trial
https://doi.org/10.1[...]
2008-01
[20]
간행물
Should tracheostomy be performed as early as 72 hours in patients requiring prolonged mechanical ventilation?
https://pubmed.ncbi.[...]
2010-01
[21]
간행물
Tracheostomy: Epidemiology, Indications, Timing, Technique, and OutcomesDiscussion
https://rc.rcjournal[...]
2014-06-01
[22]
서적
ビジュアル麻酔の手引き
メディカルサイエンスインターナショナル
2015-09-30
[23]
간행물
Laryngeal view during laryngoscopy: a randomized trial comparing cricoid pressure, backward-upward-rightward pressure, and bimanual laryngoscopy
2006-06
[24]
서적
外科的気道確保マニュアル
https://www.worldcat[...]
金原出版
2009
[25]
서적
日本版救急蘇生ガイドライン2020に基づく 新生児蘇生法テキスト
メジカルビュー社
2021-03-28
[26]
간행물
Neonatal Resuscitation Program (NRP) 2011: new science, new strategies.
2011-02
[27]
간행물
Airway physical examination tests for detection of difficult airway management in apparently normal adult patients
2018-05
[28]
간행물
A clinical sign to predict difficult tracheal intubation: a prospective study
1985-07
[29]
문서
周術期管理チームテキスト 第3版
公益社団法人 日本麻酔科学会(発行)
2016年8月10日発行
[30]
문서
Kheterpal S, Healy D, Aziz MF, Shanks AM, Freundlich RE, Linton F, Martin LD, Linton J, Epps JL, Fernandez-Bustamante A, Jameson LC, Tremper T, Tremper KK; Multicenter Perioperative Outcomes Group (MPOG) Perioperative Clinical Research Committee. Incidence, predictors, and outcome of difficult mask ventilation combined with difficult laryngoscopy: a report from the multicenter perioperative outcomes group. Anesthesiology 2013; 119: 1360-9.
[31]
간행물
Advanced airway management in out of hospital cardiac arrest: A systematic review and meta-analysis
https://espace.libra[...]
2018-12
[32]
간행물
Expert Recommendations for Tracheal Intubation in Critically ill Patients with Noval Coronavirus Disease 2019
2020
[33]
웹사이트
World Federation Of Societies of Anaesthesiologists - Coronavirus
https://www.wfsahq.o[...]
2023-05-01
[34]
웹사이트
Clinical management of severe acute respiratory infections when novel coronavirus is suspected: What to do and what not to do
https://www.who.int/[...]
世界保健機関
2023-05-01
[35]
간행물
SponTaneous Respiration using IntraVEnous anaesthesia and Hi-flow nasal oxygen (STRIVE Hi) maintains oxygenation and airway patency during management of the obstructed airway: an observational study
2017-03-01
[36]
논문
新しい気道確保器具エアウェイスコープ® とエアトラック®
https://www.jstage.j[...]
2008
[37]
논문
Rudolf Schindler (1888 - 1968)- „Vater” der Gastroskopie
http://www.thieme-co[...]
2004-06
[38]
웹사이트
The History of ESD: Gastrointestinal Endoscope
https://www.olympus-[...]
Olympus
2023-05-03
[39]
논문
別冊春号 2019のシェヘラザードたち 第13夜 麻酔科研修における気管挿管指導法-喉頭鏡の素振りが効く"SANUKI Method"
https://doi.org/10.1[...]
株式会社医学書院
2019-04
[40]
논문
卒前教育におけるlevering laryngoscopeの実用性の評価
https://pubmed.ncbi.[...]
[41]
논문
医学・医療におけるシミュレータの進歩と普及(Vol.29)気道管理トレーナー
https://search.jamas[...]
医歯薬出版
2019-09
[42]
논문
Efficacy of the Airway Scope (Pentax-AWS) for training in pediatric intubation: Efficacy of the Pentax Airway Scope
https://onlinelibrar[...]
2015-04
[43]
논문
医療シミュレーションの潮流と展望─進化する教育ツールと教育手法,そして教育人材について─
https://doi.org/10.2[...]
日本臨床麻酔学会
[44]
논문
気管挿管実習者にとって喉頭や気道を正しく識別することは難しい
https://pubmed.ncbi.[...]
[45]
논문
第14夜 骨董鏡勇退を夢見て—SUZY鉗子開発秘話
[46]
웹사이트
マッキントッシュ型喉頭鏡はもう古い!?
https://medical.nikk[...]
日経メディカル
2019-03-07
[47]
웹사이트
診療参加型臨床実習のための医学生の医行為水準策定 平成27年12月 改訂版
https://www.asahikaw[...]
旭川医科大学
2023-07-27
[48]
웹사이트
医師臨床研修指導ガイドライン-2020 年度版-
https://www.mhlw.go.[...]
厚生労働省
2020-03
[49]
웹사이트
RRS(Rapid Response System)
https://www.ihecj.jp[...]
2017-11-13
[50]
웹사이트
厚生労働科学研究費補助金(地域医療基盤開発推進研究事業)分担研究報告書 - Rapid Response System (RRS)、Rapid Response Team (RRT)、Medical Emergency Team(MET)に関する文献調査
https://mhlw-grants.[...]
厚生労働省
2019-05-29
[51]
논문
並列麻酔の是非
https://www.jstage.j[...]
2012
[52]
웹사이트
Complications of endotracheal intubation and other airway management procedures
https://www.semantic[...]
Semantic Scholar
2023-08-03
[53]
웹사이트
A Japanese Perspective on Patient Safety
https://www.apsf.org[...]
2023-08-05
[54]
논문
特殊環境下 (雪山) における気管挿管訓練の有用性
https://www.jstage.j[...]
2021
[55]
웹사이트
救急救命士の各種認定数「令和3年版 救急・救助の状況」より抜粋
https://www.mhlw.go.[...]
厚生労働省
2023-08-03
[56]
간행물
北日本の救急救命士の院外気管挿管に関する実態調査報告書
http://ir.fmu.ac.jp/[...]
福島県立医科大学救命救急センター
[57]
웹사이트
救急救命士気管挿管・ビデオ硬性喉頭鏡による気管挿管実習マニュアル
https://anesth.or.jp[...]
公益社団法人日本麻酔科学会
2023-08-03
[58]
논문
救急救命士の気管挿管指導
https://www.jstage.j[...]
2006
[59]
웹사이트
医政看発1001第1号 看護師等が行う診療の補助行為及びその研修の推進について
https://www.mhlw.go.[...]
厚生労働省
2015-10-01
[60]
웹사이트
救急救命士気管挿管・ビデオ硬性喉頭鏡による気管挿管実習マニュアル
https://anesth.or.jp[...]
公益社団法人日本麻酔科学会
2023-06-05
[61]
웹사이트
"・救急救命士の気管内チューブによる気道確保の実施について(◆平成16年03月23日医政発第323001号)"
https://www.mhlw.go.[...]
2023-06-05
[62]
웹사이트
救急救命士の気管内チューブによる気道確保の実施のための講習及び実施要領について
http://kyumeisi.com/[...]
2014 救急救命士の処置範囲に係る研究班
2023-06-05
[63]
웹사이트
メディカルコントロール協議会の実態調査
https://www.fdma.go.[...]
総務省消防庁
2013-01-30
[64]
논문
秋田市の救急救命士による気管挿管に関する4学会合同調査報告書
https://doi.org/10.1[...]
日本蘇生学会
[65]
뉴스
山形でも救命士が挿管 過去7年で142件 酒田地区消防組合
2001-12-13
[66]
뉴스
救命士の「挿管」無資格処置の疑い、1508件 秋田県内5年半
2001-11-27
[67]
뉴스
病院前救護体制の基盤整備を 気管内挿管で知事が国に要請へ/秋田
2001-12-08
[68]
뉴스
「全力尽くした事実支え」 気管内挿管、悩み深い救命士 秋田
20001-12-09
[69]
뉴스
全国的論議、声高まる 救急救命士の気管内挿管 /秋田
2001-12-14
[70]
뉴스
気管内挿管 救命士法の改正急務(2001取材メモから) /秋田
2001-12-19
[71]
뉴스
救命士制度、秋田も見直し意見書 市議会2会派が提案へ /秋田
2001-12-20
[72]
뉴스
知事「法改正もっていくべき」 厚労省が救命士業務拡大検討/秋田
2002-01-29
[73]
뉴스
気管内挿管、救急救命士もOK 訓練など条件に厚労相方針
2002-03-15
[74]
뉴스
救急救命士の気管挿管、04年に容認 除細動器は来春から
2002-12-11
[75]
뉴스
救命士の気管挿管、04年容認 秋田市消防、法か命か終止符/秋田
2002-12-12
[76]
뉴스
救命士、挿管ミスか 人工呼吸器を心肺停止男性に 福岡・中間 【西部】
2007-06-05
[77]
웹사이트
名古屋市気管挿管誤挿管に関する検証と再発防止のための検討会結果報告書
https://mhlw-grants.[...]
2007-06-05
[78]
저널
응급의료센터 기관내 삽관 환자의 적절한 커프(cuff) 압력 유지를 위한 무저항 주사기 (Loss of Resistance Syringe)의 적용
https://jksem.org/up[...]
대한응급의학회
2012-12
[79]
저널
중환자실에서의 기도 관리
https://www.jacs.or.[...]
2012-10
[80]
웹인용
General-KSA
https://general.anes[...]
2023-09-07
[81]
문서
Benumof (2007)], Ezri T and Warters RD, ''Chapter 15: Indications for tracheal intubation'', pp. 371–8
[82]
저널
2005 International Consensus on Cardiopulmonary Resuscitation and Emergency Cardiovascular Care Science with Treatment Recommendations. Part 4: Advanced life support
2005
[83]
문서
Advanced Trauma Life Support Program for Doctors (2004)], Committee on Trauma, American College of Surgeons, ''Head Trauma'', pp. 151–76
[84]
저널
Videos in clinical medicine: orotracheal intubation
[85]
저널
Prehospital endotracheal intubation in cardiac arrest by BASICS Scotland clinicians
https://rgdoi.net/10[...]
2022
[86]
저널
Frequency of endotracheal suctioning for the prevention of respiratory morbidity in ventilated newborns
null
2016-03-07
[87]
저널
커프팽창을 이용한 맹목적 경비기관내 삽관법에 대한 연구
https://ekja.org/upl[...]
대한마취과학회지
1995
본 사이트는 AI가 위키백과와 뉴스 기사,정부 간행물,학술 논문등을 바탕으로 정보를 가공하여 제공하는 백과사전형 서비스입니다.
모든 문서는 AI에 의해 자동 생성되며, CC BY-SA 4.0 라이선스에 따라 이용할 수 있습니다.
하지만, 위키백과나 뉴스 기사 자체에 오류, 부정확한 정보, 또는 가짜 뉴스가 포함될 수 있으며, AI는 이러한 내용을 완벽하게 걸러내지 못할 수 있습니다.
따라서 제공되는 정보에 일부 오류나 편향이 있을 수 있으므로, 중요한 정보는 반드시 다른 출처를 통해 교차 검증하시기 바랍니다.
문의하기 : help@durumis.com
