급성호흡곤란증후군
"오늘의AI위키"의 AI를 통해 더욱 풍부하고 폭넓은 지식 경험을 누리세요.
1. 개요
급성 호흡 곤란 증후군(ARDS)은 폐에 급성 손상이 발생하여 호흡 부전을 일으키는 질환이다. 1967년에 처음 기술되었으며, 2012년 베를린 정의가 ARDS의 임상적 및 연구적 분류에 대한 국제적 합의 지침으로 사용된다. 폐렴, 패혈증, 외상, 수혈 등이 ARDS의 주요 원인이며, 폐부종, 폐포 손상, 저산소혈증 등의 병태생리를 보인다. 주요 증상으로는 호흡곤란, 빈호흡, 저산소증 등이 나타나며, 흉부 X선 촬영에서 침윤을 확인할 수 있다. 치료는 기계 환기를 통해 이루어지며, 저일회호흡량 환기, PEEP, 엎드린 자세, ECMO 등이 사용될 수 있다. ARDS의 예후는 좋지 않아 사망률이 높으며, 연간 발생률은 인구 10만 명당 13~23명 수준이다.
더 읽어볼만한 페이지
- 호흡생리학 - 헤모글로빈
헤모글로빈은 척추동물 혈액에서 산소를 운반하는 주요 단백질로, 헴과 글로빈이 결합된 4개의 소단위체로 구성된 사량체 구조를 가지며, 헴의 철 성분이 산소와 결합하여 폐에서 조직으로 산소를, 조직에서 이산화탄소와 양성자를 운반하고, 산소 결합은 여러 요인에 의해 영향을 받으며, 유전자 돌연변이는 헤모글로빈병증을 유발하고, 농도와 기능은 질병 진단에 활용되며, 다양한 생물종에서 발견된다. - 호흡생리학 - 메트헤모글로빈
메트헤모글로빈은 헤모글로빈의 일종으로, 헴 철 이온이 산화된 Fe3+ 상태로 존재하여 산소 결합 능력을 상실한 상태를 말하며, 후천적으로는 환경적 요인이나 약물에 의해, 선천적으로는 유전적 결함으로 인해 발생할 수 있다. - 사인별 죽음 - 뇌졸중
뇌졸중은 뇌로 가는 혈액 공급이 막혀 뇌세포가 손상되는 질환으로, 허혈성 뇌졸중과 출혈성 뇌졸중으로 나뉘며, 조기 진단과 치료, 그리고 위험 요인 관리를 통한 예방이 중요하다. - 사인별 죽음 - 감전
감전은 전류가 인체를 통과하며 발생하는 전기적 충격으로, 다양한 요인에 따라 위험성이 달라지며 심각한 경우 사망에 이를 수 있고, 예방을 위해 안전 수칙 준수가 필수적이지만, 의료적 목적으로 활용되기도 하며 윤리적 논란의 여지도 있다. - 증후군 - 쇼그렌 증후군
쇼그렌 증후군은 자가면역 반응으로 발생하는 만성 염증성 질환으로, 침샘과 눈물샘 등에서 분비물 감소를 유발하여 건성안, 구강건조증 등 다양한 증상을 나타낸다. - 증후군 - 수근관 증후군
수근관 증후군은 손목터널 내 정중신경 압박으로 인해 저림, 통증을 유발하며 유전적 요인, 당뇨병, 반복적인 손목 사용 등이 원인이 될 수 있고, 보존적 치료나 수술적 치료를 고려한다.
2. 역사
급성 호흡곤란 증후군(ARDS)은 1967년 애시보(Ashbaugh) 등에 의해 처음으로 기술되었다.[65][48][49] 초기에는 명확하게 확립된 정의가 없어 ARDS의 발병률과 사망률에 대한 논란이 있었다. 1988년에는 생리학적 호흡 기능 손상을 정량화한 확장된 정의가 제안되기도 했다.
1994년, 미국-유럽 합의 컨퍼런스(American-European Consensus Conference, AECC) 위원회는 폐 손상의 심각성이 다양하다는 점을 인지하고 새로운 정의를 권고했다.[66][50][48] 이 정의는 다음 기준을 충족해야 했다.
- 급성으로 발병하며 지속적인 호흡 곤란이 있을 것
- 폐부종과 일치하는 소견으로, 흉부 X-선 사진에서 양쪽 폐에 침윤이 보일 것
- 저산소혈증: PaO2/FiO2 비율이 200 mmHg (26.7 kPa) 미만일 것
- 좌심방 고혈압 부재
- 폐동맥 쐐기압(PAWP) < 18 mmHg (폐동맥 카테터 삽입술로 측정)
- PAWP 측정이 없는 경우, 좌심방 압력 상승을 시사하는 다른 임상적 증거가 없어야 함
또한, PaO2/FiO2 비율이 300 mmHg (40 kPa) 미만인 경우는 "급성 폐 손상"(Acute Lung Injury, ALI)으로 분류하도록 권고했다. 이 기준에 따라 공식적인 진단을 위해서는 동맥혈 가스 분석 및 흉부 X-선 검사가 필요했다. 그러나 1994년 정의는 '급성'의 정확한 정의 부족, 비특이적인 영상 기준, 양압 환기(PEEP) 적용 여부에 따른 PaO2/FiO2 비율 해석의 어려움, 명확한 근거 없이 임의로 설정된 PaO2/FiO2 임계값 등의 한계점을 가지고 있었다.[52]
2012년, 유럽 중환자 의학회(ESICM)는 미국 흉부 학회(ATS)와 중환자 의학회(SCCM)의 지지를 받아 ARDS에 대한 베를린 정의(Berlin Criteria)를 새로 발표했다.[67][14] 이는 임상적 유용성을 높이기 위해 분류 기준을 개선하고 용어를 명확히 하려는 노력이었다. 특히, 베를린 정의에서는 "급성 폐 손상"(ALI)이라는 용어가 덜 심각한 정도의 폐 손상을 나타내는 데 자주 오용되고 있었기 때문에 사용하지 않도록 권고했다. 대신, 동맥혈 산소화 정도(PaO2/FiO2 비율)에 따라 ARDS의 중증도를 경증(mild), 중등도(moderate), 중증(severe)으로 분류할 것을 제안했다.[14] 베를린 정의는 현재 ARDS의 임상적 및 연구적 분류에 대한 국제적인 합의 지침으로 받아들여지고 있다.
3. 원인
급성 호흡 곤란 증후군(ARDS)의 원인은 폐가 직접적인 영향을 받는지 여부에 따라 '직접적인 원인'과 '간접적인 원인'으로 나눌 수 있다.
직접적인 원인폐에 직접 손상을 주는 경우이다.
간접적인 원인전신 상태 악화로 인해 폐가 이차적으로 손상받는 경우이다.
주요 원인별 설명
- 패혈증: ARDS의 가장 흔한 원인이다. 특히 알코올 의존 병력이 있는 경우 사망률이 두 배로 높아질 수 있다. 이는 글루타티온 결핍으로 인한 산화 스트레스 증가와 백혈구의 폐 조직 부착 항진과 관련이 있는 것으로 생각된다.
- 외상: 양쪽 폐좌상이나 다발성 장기 부전을 일으키는 심한 외상이 원인이 될 수 있다. APACHE II 점수(중환자 중증도 분류 체계)가 16점 이상이면 9점 미만인 경우보다 ARDS 발생 위험이 2.5배, 20점 이상이면 3배 높아진다는 연구 결과가 있다.
- 대량 수혈: 수혈 관련 급성 폐 손상(TRALI: transfusion-related acute lung injuryeng)을 유발할 수 있다. TRALI 발생률은 수혈된 혈액의 총량보다는 수혈 횟수(수혈 백 개수)에 비례하는 경향이 있다. 즉, 같은 양이라도 여러 번 나누어 수혈하면 발생률이 높아질 수 있다. 특정 조건에서는 발생 위험이 더 커지는데, 예를 들어 헌혈자가 출산 경험이 있는 여성이었거나, 수혈 제제를 가온 또는 방사선 조사 후 시간이 오래 경과한 뒤 주입한 경우, 백혈구 제거 처리를 하지 않은 혈액 제제를 사용한 경우 등이다. 또한, TRALI가 발생한 환자에게 추가로 적혈구를 수혈하면 증상이 더 심해질 수 있다.[59]
심부전으로 인한 폐부종과 동반되는 경우도 있지만, ARDS는 일반적으로 더 심각한 상태이므로 명확하게 구별해야 한다.
병태생리ARDS를 유발하는 기저 질환이 있는 환자의 혈액에는 종양괴사인자(TNF)나 인터루킨 1, 6, 8과 같은 염증 매개 물질이 증가한다. 폐는 온몸을 순환하는 혈액이 반드시 통과하는 장기이므로 이러한 염증 매개 물질의 영향을 받기 쉽다. 이 물질들은 호중구라는 백혈구를 폐로 유인하고, 활성화된 호중구는 폐 조직에서 활성 산소나 단백질 분해 효소(프로테아제)를 방출하여 폐포 모세혈관과 폐포 상피 세포를 손상시킨다. 폐에 자리 잡은 호중구는 과립구 집락 자극 인자(G-CSF)나 과립구 대식세포 집락 자극 인자(GM-CSF)를 추가로 방출하여 국소 염증 반응을 더욱 증폭시킨다. 결과적으로 혈관 투과성이 증가하여 혈액 성분이 포함된 삼출액이 폐 간질 조직과 폐포 안까지 차오르게 된다.
이렇게 폐포가 삼출액으로 차거나(초기) 폐 조직이 딱딱하게 굳어지면(후기, 섬유화), 폐의 탄력성(컴플라이언스)이 떨어져 폐가 경화된다. 이로 인해 환자는 숨쉬기 힘들어지고, 이산화탄소(CO2)를 배출하기 위해 평소보다 더 많은 환기가 필요하게 되며, 종종 높은 압력의 인공호흡기 치료가 필요하게 된다. 또한, 폐포 모세혈관은 환기가 잘 안 되는 부위에서 수축하여 환기가 잘 되는 부위로 혈류를 보내는 기능이 있는데, ARDS에서는 폐의 광범위한 부위에서 환기가 나빠지므로 많은 모세혈관이 수축하여 폐고혈압을 유발하기도 한다.
4. 병태생리

급성호흡곤란증후군(ARDS)은 심부전으로 설명되지 않는 폐부종, 즉 비심인성 폐부종의 한 형태이다.[11] 이는 주로 산소와 이산화탄소 같은 기체 교환을 담당하는 폐포에 급성 손상이 발생하여 발생한다. ARDS의 주요 특징으로는 폐포의 부분적인 허탈(무기폐)과 혈중 산소 농도 저하(저산소혈증)가 있다.
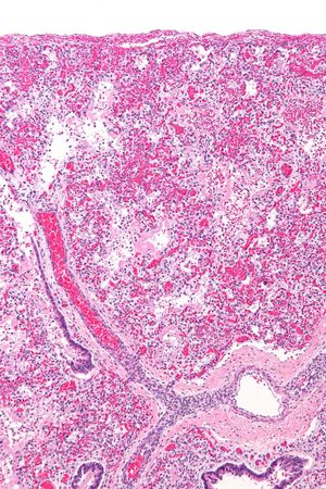
임상적으로 ARDS는 폐렴, 호산구성 폐렴, 특발성 폐렴, 급성 섬유성 폐렴 등 다양한 병리학적 소견과 연관될 수 있으며, 그중 가장 흔한 것은 미만성 폐포 손상(diffuse alveolar damage, DAD)이다. DAD는 폐 조직의 광범위한 염증을 특징으로 한다. 폐 손상을 유발하는 초기 자극은 일반적으로 국소 상피세포와 내피세포에서 사이토카인 및 기타 염증 매개체의 분비를 촉발한다.
이후 호중구와 일부 T-림프구가 염증이 발생한 폐 조직으로 빠르게 이동하여 염증 반응을 증폭시킨다. 조직학적으로는 미만성 폐포 손상과 함께 폐포벽에 유리질 막(hyaline membrane)이 형성되는 것이 특징이다. 이러한 병태생리의 정확한 유발 기전은 아직 완전히 밝혀지지 않았지만, 염증 반응과 기계적 스트레스의 역할에 대한 연구가 진행 중이다.
패혈증, 심각한 외상(특히 양쪽 폐 좌상이나 다발성 장기 부전을 동반하는 경우), 대량 수혈(TRALI, transfusion-related acute lung injury|eng), 중증 폐렴, 흉부 외상, 폐색전증, 인공 호흡, 순수 산소 흡입, 급성 췌장염 등 다양한 원인이 ARDS를 유발할 수 있다.[59] 이러한 배경 요인이 있는 환자의 혈류에는 종양 괴사 인자(TNF) 및 인터류킨 1, 6, 8과 같은 염증성 사이토카인이 방출된다. 폐는 체내 모든 혈액이 통과하는 장기이므로 이러한 염증 매개체의 영향을 받기 쉽다.
방출된 사이토카인은 호중구를 폐로 유인하고, 유인된 호중구는 폐 조직에서 활성 산소와 단백질 분해 효소(프로테아제)를 방출하여 폐포 모세혈관의 내피세포와 폐포 상피세포를 손상시킨다. 폐에 자리 잡은 호중구는 추가로 G-CSF 및 GM-CSF와 같은 물질을 방출하여 국소 염증 반응을 더욱 증폭시킨다. 이 과정에서 혈관 투과성이 증가하여 혈액 성분이 포함된 삼출액이 간질 조직과 폐포 내부로 유출되어 폐부종을 일으킨다.
이렇게 폐포가 삼출액으로 채워지거나 후기에 폐 조직이 섬유화되면 폐의 탄력성(compliance)이 감소하여 폐가 딱딱해진다. 이로 인해 환자는 숨쉬기가 어려워지고, 인공 호흡기 치료 시 더 높은 압력이 필요하게 된다. 또한, 손상된 폐포는 기체 교환 기능을 제대로 수행하지 못해 환기-관류 불균형이 발생하고, 환기가 되지 않는 폐포 공간(사강, 死腔)이 증가한다. 이 때문에 체내 이산화탄소(CO₂)를 효과적으로 배출하기 위해 정상보다 더 많은 환기가 필요하게 된다.
정상적인 폐에서는 환기가 잘 안 되는 부위의 모세혈관이 수축하여 혈류를 환기가 잘 되는 부위로 보내는 조절 기능이 있다. 하지만 ARDS에서는 폐의 광범위한 부위에서 환기가 나빠지기 때문에 많은 모세혈관이 수축하게 되고, 이는 폐고혈압을 유발할 수 있다.
한편, 한 연구 그룹은 후기 ARDS 환자의 기관지 폐포 세척액에서 트리코모나스가 종종 발견되며,[12] 이 기생충이 아메바 형태(특징적인 편모가 없는 형태)를 띠어 현미경으로 식별하기 어려울 수 있다고 보고했다.[13]
ARDS는 심부전으로 인한 폐수종과 증상이 유사할 수 있지만, 일반적으로 더 심각하며 명확한 감별이 필요하다.
5. 증상
급성호흡곤란증후군(ARDS)의 증상은 유발 사건 발생 후 2시간 이내에 시작되는 경우가 많지만, 1~3일 후에 나타날 수도 있다.[68][69][6][7] 진단 기준에 따르면 증후군 발생 7일 이내에 알려진 손상이 있어야 한다.[6][7]
주요 증상으로는 비정상적인 환기로 인한 호흡곤란, 빈호흡, 그리고 혈액 내 저산소증(저산소혈증)이 있다.[68][69][6][7] 이 외에도 근육 피로와 전반적인 쇠약, 저혈압, 마른 기침, 발열 등이 흔하게 나타날 수 있다.[8]
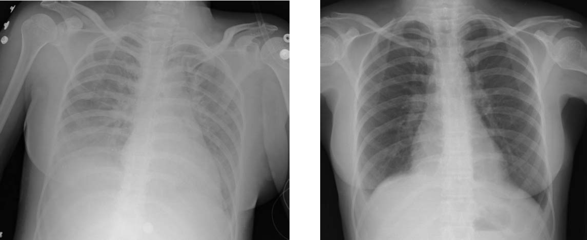
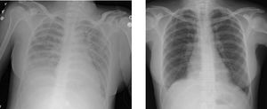
임상적으로는 빈호흡과 함께 1회 환기량 감소가 관찰된다. 산소 포화도와 동맥혈 산소 분압(PaO2)은 급격히 감소한다.[60] 북미 및 유럽 컨센서스 회의(NAECC)에서는 P/F 비율(동맥혈 산소 분압(PaO2, mmHg)을 흡입 공기 중 산소 분율(FiO2)로 나눈 값)이 200 이하일 경우 ARDS로 정의했다.[60] 참고로 P/F 비율이 300 이하인 경우는 급성 폐 손상(ALI)으로 정의하며, ALI 환자의 약 4분의 1은 7일 이내에 ARDS로 진행될 수 있다.[60] 그 외에 수치로 나타내야 할 명확한 진단 기준은 아직 정해지지 않았다.[61] 흉부 X선 검사에서는 폐에 현저한 침윤 소견이 보인다.
6. 진단

급성 호흡 곤란 증후군(ARDS)의 진단 기준은 병태생리에 대한 이해가 발전하면서 시간이 지남에 따라 변화해 왔다. 가장 최신 국제 합의 기준은 2012년에 업데이트된 "베를린 정의"이다.[14][15] 이 정의는 이전 1994년 합의 기준[50]과 비교하여 진단 기준을 넓혔으며, "급성 폐 손상"이라는 용어 대신 혈액 내 산소 부족 정도에 따라 ARDS의 심각도 등급을 정의하도록 권장한다.[14][16]
2012년 베를린 정의에 따른 성인 ARDS의 진단 기준은 다음과 같다.[17]
- '''급성 발병''': 명확한 임상적 손상 후 1주일 이내에 호흡기 증상이 나타나거나 악화된다.
- '''영상 소견''': 흉부 X선이나 CT 스캔에서 양쪽 폐에 불투명 음영(불투과성)이 나타나며, 이는 흉막 삼출액, 폐엽/폐허탈, 또는 결절 등으로 설명되지 않아야 한다.
- '''부종의 원인''': 호흡 부전이 심부전이나 체액 과다로 설명되지 않아야 한다. (필요시 객관적인 평가, 예: 심장초음파)
- '''산소 공급 상태''': PaO2/FiO2 비율이 감소한다. (이는 폐가 혈액으로 산소를 얼마나 효과적으로 전달하는지를 나타내는 지표이다.) 베를린 정의에서는 이 비율을 평가하기 위해 최소 호기말 양압(PEEP)이 5 cmH2O 이상 적용되어야 한다고 명시한다. 경도 ARDS 진단을 위해서는 이 정도의 PEEP를 CPAP 같은 비침습적 방법으로 적용할 수도 있다.
2012년 "베를린 기준"은 이전의 1994년 합의 회의 정의를 수정한 것이다(''역사'' 참조).[48]
의료 영상 검사는 오랫동안 ARDS 진단의 중요한 기준이었다. 초기에는 흉부 X-선 소견이 필수였으나, 현재는 CT나 초음파 소견도 진단에 활용된다. 일반적으로 심부전과 같은 심장 혈관 압력 증가와 관련이 없는, 양쪽 폐에 영향을 미치는 체액 축적(폐부종)의 방사선 소견이 ARDS를 시사할 수 있다.[18]
ARDS를 시사하는 폐 초음파 소견은 다음과 같다.[19]
- 전방 늑막 하 경화(Consolidation)
- 폐 미끄러짐(Lung sliding)의 부재 또는 감소
- 정상 폐 실질이 부분적으로 보존된 영역("spared areas")
- 흉막 라인 이상 (불규칙하고 두꺼워진 분절된 흉막 라인)
- B-라인의 비균질 분포 (폐의 체액 축적을 시사하는 특징적인 초음파 소견)
임상적으로는 산소 포화도와 동맥혈 산소 분압이 급격히 감소한다. 또한 빈호흡(호흡 빨라짐)과 1회 환기량 감소가 나타날 수 있다. 흉부 X선 사진에서는 양쪽 폐에 현저한 침윤(허옇게 보이는 부분)이 관찰된다.
7. 합병증
급성호흡곤란증후군(ARDS)은 심각한 상태로 여러 합병증을 유발할 수 있다.[63][1] 주요 합병증은 다음과 같다.
- 폐 관련 합병증:
- 기압 외상(용적 외상): 인공호흡기 사용으로 인한 폐 손상.[1]
- 기흉: 폐에 구멍이 생겨 공기가 새어 나가는 상태. 폐동맥 카테터 삽입이나 높은 환기압으로 인해 발생할 수 있다.[1] 폐 조직의 취약성 및 고압 인공호흡으로 인해 폐기종, 종격동 기종, 공기 색전증 등도 유발될 수 있다.
- 폐색전증 (PE): 폐동맥이 혈전 등으로 막히는 상태.[63][1]
- 폐섬유증: 폐 조직이 점차 굳어지는 상태.[63][1]
- 인공호흡기 관련 폐렴 (VAP): 장기간의 기관 삽관 및 인공호흡기 사용으로 인한 폐렴.[63][1]
- 무기폐: 폐의 일부 또는 전체가 허탈되어 공기가 들어가지 못하는 상태.[8]
- 폐 고혈압: 폐동맥의 혈압이 비정상적으로 높아지는 상태. 기계적 환기 등으로 인한 염증 및 혈관 수축과 관련될 수 있다.[8]
- 위장관계 합병증:
- 출혈: 스트레스 궤양 등으로 인한 위장관 출혈.[63][1]
- 운동 장애: 위장관의 정상적인 운동 기능 저하.[63][1]
- 기복증: 복강 내에 비정상적으로 공기가 차는 상태.[63][1]
- 세균 전이: 장 내 세균이 다른 부위로 이동하여 감염을 유발하는 것.[63][1]
- 심장 관련 합병증:
- 부정맥: 비정상적인 심장 박동.[63][1]
- 심근 기능 장애: 심장 근육의 기능 저하.[63][1]
- 영양 및 대사 합병증:
- 영양실조(이화 상태로 인한): 이화 작용 상태로 인한 영양 부족.[63][1]
- 전해질 이상: 체내 전해질 불균형.[63][1]
- 기타 합병증:
- 혈관 손상: 카테터 삽입 등 시술 관련 혈관 손상.[63][1]
- 기관 손상/협착: 기관 내 삽관이나 기관 내 튜브 자극으로 인한 손상 또는 좁아짐.[1]
- 병원 관련 합병증: 장기간 부동으로 인한 혈전 형성, 호흡근 약화, 스트레스 궤양, 정신 건강 문제 (우울증 등).[8]
- 다발성 장기 부전: 여러 장기의 기능이 동시에 저하되는 상태.[8]
8. 치료

급성호흡곤란증후군(ARDS)은 일반적으로 중환자실에서 관리하며, 기계환기가 주된 치료법이다. 기계환기는 보통 입을 통해 기도로 관을 삽입하는 기관내 삽관 방식으로 이루어진다. 만약 2주 이상 장기간 기계환기가 필요할 것으로 예상되면 목 부위를 절개하여 관을 삽입하는 기관 절개술을 시행하기도 한다. 마스크 등을 이용하는 비침습적 환기는 증상이 심하지 않은 초기 단계나, 비정형 폐렴, 폐 타박상, 큰 수술 후 등 ARDS 발생 위험이 높은 환자에게 예방적으로 제한적인 상황에서 사용될 수 있다.
ARDS 치료의 핵심 목표 중 하나는 기계환기로 인해 폐가 추가적으로 손상되는 것을 막는 것이다. 이를 위해 저일회호흡량 환기 전략이 매우 중요하며, 사망률을 낮춘다는 강력한 증거가 있다.[70] 과거에는 일회 호흡량(''V''t)을 이상 체중 1 kg당 12~15 ml로 설정했지만, 연구 결과 높은 일회호흡량이 폐포를 과도하게 팽창시켜 폐 손상(용적 외상)을 유발할 수 있다는 사실이 밝혀졌다. 따라서 최근에는 이상 체중 1 kg당 6 ml 정도의 낮은 일회호흡량으로 환기하는 것이 권장된다. 낮은 일회호흡량은 혈액 내 이산화탄소 수치가 다소 높아지거나(허용성 고탄산혈증) 일부 폐포가 찌그러지는(무기폐) 경향이 있을 수 있지만, 사망률 감소 효과가 더 크다고 본다.[48][21] 기계환기 시 고원 압력(폐포가 최대로 팽창했을 때의 압력)은 폐포의 과도한 팽창을 예측하는 중요한 지표로, 일반적으로 30 cmH2O 미만으로 유지하는 것을 목표로 한다.[20] 하지만 낮은 일회호흡량 자체가 고원 압력 수치와 관계없이 환자 예후 개선에 더 중요한 요인으로 여겨진다.[21] 특정 기계환기 모드가 다른 모드보다 ARDS 사망률 개선에 더 효과적이라는 증거는 아직 없다.[22]
호기말 양압(PEEP)은 숨을 내쉰 후에도 폐 안에 약간의 압력을 유지하여 폐포가 찌그러지는 것을 막고 산소 공급을 개선하기 위해 사용된다. ARDS 환자의 폐에는 정상 폐포, 완전히 손상되어 기능하지 못하는 폐포, 그리고 PEEP을 통해 기능을 회복(모집)할 수 있는 폐포가 섞여 있다. 적절한 PEEP 수준을 찾는 것이 중요하며, 너무 높은 PEEP은 정상 폐포를 손상시킬 수 있다. 최적의 PEEP을 찾기 위해 압력-용적 곡선을 분석하거나, 일시적으로 높은 압력(예: 50 cmH2O(4.9 kPa))을 가해 폐포를 최대한 열어준 뒤(모집 기동) 산소 수치를 유지하면서 PEEP을 단계적으로 낮추는 방법을 사용하기도 한다. 하지만 모집 기동과 높은 PEEP 설정이 기흉 발생 위험을 높이고 사망률을 증가시킬 수 있다는 연구 결과도 있어 주의가 필요하다.[26] 또한, 환자 스스로 숨을 쉬면서 발생하는 내인성 PEEP(iPEEP) 또는 자가-PEEP도 전체 PEEP 수준에 영향을 줄 수 있으므로 고려해야 한다.
일부 의료진은 기도 압력 해제 환기법(APRV)를 선호하기도 한다. APRV는 기도 압력을 낮추고 환자의 자발 호흡을 도우며, 진정제 사용을 줄이는 등의 장점이 보고되었다.[23][24] APRV를 사용하면 기계환기 기간을 단축할 수 있다는 주장도 있다.[25]
ARDS를 유발한 근본 원인에 대한 치료도 동시에 이루어져야 한다. 세균 감염이 의심되거나 혈액 배양 검사 결과가 나오면 신속하게 적절한 항생제를 투여해야 한다. 필요한 경우 원인균이 밝혀지기 전에 경험적 항생제를 사용하기도 한다. 패혈증이 동반된 경우에는 관련 가이드라인에 따라 치료한다.
기계환기 외에도 다음과 같은 치료법들이 사용되거나 연구되고 있다.
- 엎드린 자세: 환자를 엎드리게 하는 자세는 폐 아래쪽에 몰려 있던 공기가 잘 통하지 않던 부분(무기폐)을 펴지게 하고 혈류를 개선하여 산소 공급을 향상시키는 효과가 있다. 특히 중증 ARDS 환자의 치료 초기에 엎드린 자세를 적용하면 사망률을 낮출 수 있다는 연구 결과가 있다.[27][28]
- 수액 관리: 체내 수분량이 과도하면 폐 기능이 악화될 수 있다. 따라서 이뇨제를 사용하거나 수분 섭취를 제한하여 체액 균형을 조절하는 것이 폐 기능 개선에 도움이 될 수 있다.[48]
- 약물 치료:
- 코르티코스테로이드: 염증을 줄이는 약물로, 전체 생존율을 향상시키는지는 아직 불확실하지만, 기계환기 필요 기간을 줄이는 데 도움이 될 수 있다는 보고가 있다.[39] 덱사메타손과 같은 약물이 사용될 수 있다.[29]
- 흡입 산화 질소(NO): 폐 혈관을 확장시켜 산소 교환을 개선할 수 있지만, 사망률 감소 효과는 입증되지 않았고 콩팥 손상 위험이 있어 일반적으로 권장되지 않는다.[31][32]
- 기타 연구 중인 약물: 엘라스타제 억제제(시벨레스타트), 교감신경 β2 수용체 작용제 등이 연구되고 있다.
- 효과 미입증 치료법: 폐 계면활성제 투여, 스타틴, 베타 차단제, 아세틸시스테인 등은 현재까지 ARDS 환자의 사망률이나 기계환기 기간 감소에 효과가 있다는 증거가 부족하다.[39]
- 체외막 산소 공급(ECMO): 기계환기만으로 충분한 산소 공급이 어려운 매우 중증의 ARDS 환자에게 사용될 수 있다. 환자의 혈액을 몸 밖으로 빼내어 산소를 공급하고 이산화탄소를 제거한 뒤 다시 몸 안으로 넣어주는 장치이다. 주로 호흡 지원만을 위한 정맥-정맥(VV) ECMO가 사용된다. 여러 연구에서 ECMO가 중증 ARDS 환자의 생존율을 향상시키는 데 효과가 있음을 보여주었다.[34][35][36][37][38]
이 외에도 폐동맥 카테터는 심부전이 동반되지 않은 경우에는 일반적으로 사용하지 않으며, 기도 내 분비물을 효과적으로 제거하는 것도 중요한 관리 요소이다.
9. 예후
급성 호흡 곤란 증후군(ARDS)의 전체적인 예후는 좋지 않으며, 사망률은 약 40%에 달한다.[39] 사망률이 높은 이유는 기저 질환과 ARDS로 인한 호흡 부전이 서로 악영향을 미치며 상태를 악화시키는 경우가 많기 때문이다. 치료 시작 시기가 예후에 중요한 영향을 미친다. 또한, 산소는 세포 손상을 일으켜 폐의 섬유화를 촉진할 수 있으므로, 발병 후 며칠이 지나도 인공 호흡기의 산소 농도를 50% 이하로 낮추지 못하는 환자는 예후가 좋지 않은 경향이 있다.
회복된 환자의 경우, 폐 섬유화가 어느 정도는 회복될 수 있으며 호흡기 관련 후유증은 비교적 경미하게 남는 편이다. 그러나 중증의 저산소증을 경험했던 경우에는 고위 뇌 기능 장애가 영구적으로 남을 수도 있다.
10. 역학
급성 호흡 곤란 증후군(ARDS)의 연간 발생률은 일반 인구 10만 명당 13~23명 수준이다.[40] 인공호흡을 받는 환자에게서 더 흔하게 발생하는데, 인공호흡 환자의 약 16%에서 나타나는 것으로 보고된다.[40] 또한, 중환자실 입원 환자의 약 15%, 인공호흡 치료를 받는 환자의 약 20%가 ARDS를 경험하는 것으로 알려져 있다. COVID-19 팬데믹 기간인 2020년에는 발생률이 증가했으며, 일부 사례는 고산 폐부종과 유사한 양상을 보이기도 했다.[41][42]
전 세계적으로 심각한 패혈증이 ARDS를 유발하는 가장 흔한 원인이다.[43] 폐렴 역시 주요 원인 중 하나로, 환자의 최대 60%에서 발견되며 ARDS의 원인이 되거나 합병증으로 발생할 수 있다.[43] 그 외 다른 원인으로는 인공호흡 자체, 길크리스트병, 익사, 순환 쇼크, 폐 흡인, 외상(특히 폐 타박상), 주요 수술, 대량 수혈,[44] 연기 흡입, 특정 약물 반응 또는 과다 복용, 지방 색전증, 폐 이식 또는 폐색전 절제술 후 발생하는 재관류 폐부종 등이 있다.[43]
과도한 알코올 섭취는 ARDS 발병 위험을 높이는 요인으로 지목된다.[45] 당뇨병은 과거 ARDS 위험을 낮춘다고 여겨졌으나, 이는 폐부종 위험 증가와 관련된 것으로 밝혀졌다.[46][47] 또한, 어떤 원인이든 복부 내 압력 증가는 ARDS 발생의 잠재적 위험 요인으로 간주되며, 특히 기계 환기 중에 그럴 가능성이 있다. 하지만 이러한 위험 요인을 가진 모든 사람이 ARDS를 겪는 것은 아니며, 특정 개인에게 ARDS가 발병하는 정확한 이유는 아직 완전히 밝혀지지 않았다.
참조
[1]
웹사이트
ARDS
https://www.mayoclin[...]
Mayo Clinic
2022-06-04
[2]
논문
Pediatric ARDS
2017-05-25
[3]
논문
Acute Respiratory Distress Syndrome: Advances in Diagnosis and Treatment
2018-02-20
[4]
논문
Mechanisms and clinical consequences of acute lung injury
2015-03-01
[5]
논문
Acute respiratory distress syndrome.
2019-03-14
[6]
논문
Acute lung injury and the acute respiratory distress syndrome in the injured patient
2012-08
[7]
서적
Marino
2006
[8]
논문
Acute lung injury and the acute respiratory distress syndrome in the injured patient
2012-08-10
[9]
논문
Prevalence and Outcome of Acute Respiratory Distress Syndrome in Traumatic Brain Injury: A Systematic Review and Meta-Analysis
2021-12
[10]
논문
Traumatic Hemorrhagic Shock: Advances In Fluid Management
2011-11
[11]
논문
Pharmacological treatments in ARDS; a state-of-the-art update
2013-08
[12]
논문
Pulmonary Superinfection by Trichomonads in the Course of Acute Respiratory Distress Syndrome
https://link.springe[...]
2007-09
[13]
논문
SARS-CoV-2 and superimposed infection by trichomonads
2021-03
[14]
논문
Acute respiratory distress syndrome: the Berlin Definition. ARDS Definition Task Force
2012-06
[15]
논문
The Berlin definition of ARDS: an expanded rationale, justification, and supplementary material
2012-10
[16]
간행물
Acute Respiratory Distress Syndrome
https://www.ncbi.nlm[...]
StatPearls Publishing
2024-11-29
[17]
웹사이트
Acute Respiratory Distress Syndrome (ARDS)
https://www.dynamed.[...]
2024-11-29
[18]
웹사이트
Acute Respiratory Distress Syndrome
https://www.lecturio[...]
2021-06-27
[19]
논문
International evidence-based recommendations for point-of-care lung ultrasound
2012-04-01
[20]
논문
Low-tidal-volume ventilation in the acute respiratory distress syndrome
2007
[21]
논문
Tidal volume reduction in patients with acute lung injury when plateau pressures are not high
2005-11
[22]
논문
The standard of care of patients with ARDS: ventilatory settings and rescue therapies for refractory hypoxemia
2016
[23]
논문
Airway Pressure Release Ventilation: Theory and Practice
2001-05
[24]
논문
Airway pressure release ventilation increases cardiac performance in patients with acute lung injury/adult respiratory distress syndrome
2001-07-02
[25]
논문
Airway pressure release ventilation during acute hypoxemic respiratory failure: a systematic review and meta-analysis of randomized controlled trials
2019-04-04
[26]
논문
Effect of Lung Recruitment and Titrated Positive End-Expiratory Pressure (PEEP) vs Low PEEP on Mortality in Patients With Acute Respiratory Distress Syndrome: A Randomized Clinical Trial
2017-10-10
[27]
논문
Effect of prone positioning during mechanical ventilation on mortality among patients with acute respiratory distress syndrome: a systematic review and meta-analysis
2014-07-08
[28]
논문
Positioning for acute respiratory distress in hospitalised infants and children
2022-06-06
[29]
논문
Dexamethasone treatment for the acute respiratory distress syndrome: A multicentre, randomised controlled trial
2020
[30]
논문
Ascorbic acid, corticosteroids, and thiamine in sepsis: a review of the biologic rationale and the present state of clinical evaluation.
2018-10-29
[31]
논문
Effect of nitric oxide on oxygenation and mortality in acute lung injury: systematic review and meta-analysis
2007-04-14
[32]
Systematic Review & Meta-Analysis
Inhaled nitric oxide does not reduce mortality in patients with acute respiratory distress syndrome regardless of severity: systematic review and meta-analysis
2014-02
[33]
서적
Novel Pharmacologic Approaches for the Treatment of ARDS
2014
[34]
논문
Extra Corporeal Membrane Oxygenation (ECMO) review of a lifesaving technology
2015-07
[35]
논문
Extracorporeal life support for severe acute respiratory distress syndrome in adults
2004-10
[36]
논문
Extracorporeal membrane oxygenation in adults with severe respiratory failure: a multi-center database
2009-12
[37]
논문
Efficacy and economic assessment of conventional ventilatory support versus extracorporeal membrane oxygenation for severe adult respiratory failure (CESAR): a multicentre randomised controlled trial
2009-10-17
[38]
서적
ECMO-Extracorporeal Life Support in Adults
Springer
2014
[39]
논문
Pharmacological agents for adults with acute respiratory distress syndrome
2019-07-23
[40]
논문
Epidemiology of ARDS
[41]
논문
The origin, transmission and clinical therapies on coronavirus disease 2019 (COVID-19) outbreak - an update on the status.
2020-03-13
[42]
논문
Acetazolamide, Nifedipine and Phosphodiesterase Inhibitors: Rationale for Their Utilization as Adjunctive Countermeasures in the Treatment of Coronavirus Disease 2019 (COVID-19).
2020-03-20
[43]
서적
Goldman's Cecil Medicine
Elsevier Saunders
[44]
논문
Risk factors and outcome of transfusion-related acute lung injury in the critically ill: A nested case–control study*
2010-03
[45]
논문
The role of chronic alcohol abuse in the development of acute respiratory distress syndrome in adults
[46]
논문
Diabetic patients have a decreased incidence of acute respiratory distress syndrome
[47]
논문
In the critically ill patient, diabetes predicts mortality independent of statin therapy but is not associated with acute lung injury: A cohort study
[48]
서적
Irwin and Rippe's Intensive Care Medicine
Lippincott Williams & Wilkins
[49]
논문
Acute respiratory distress in adults
[50]
논문
The American-European Consensus Conference on ARDS. Definitions, mechanisms, relevant outcomes, and clinical trial coordination
[51]
논문
The acute respiratory distress syndrome
[52]
논문
Consensus conference definitions for sepsis, septic shock, acute lung injury, and acute respiratory distress syndrome: Time for a reevaluation
2000-01
[53]
웹사이트
Meet the New ARDS: Expert panel announces new definition, severity classes
https://pulmccm.org/[...]
2012-12-30
[54]
논문
Paediatric acute respiratory distress syndrome incidence and epidemiology (PARDIE): an international, observational study.
[55]
논문
Pediatric acute respiratory distress syndrome: consensus recommendations from the Pediatric Acute Lung Injury Consensus Conference.
2015-06
[56]
논문
The effect of intravenous interferon-beta-1a (FP-1201) on lung CD73 expression and on acute respiratory distress syndrome mortality: an open-label study
2014-02
[57]
논문
IFN-β protects from vascular leakage via up-regulation of CD73
2007-11
[58]
웹사이트
PulmCrit- CITRIS-ALI: Can a secondary endpoint stage a coup d'état?
https://emcrit.org/p[...]
2019-10-01
[59]
간행물
Association of RBC transfusion with mortality in patients with acute lung injury.
Chest.
2007-10
[60]
간행물
Incidence and outcomes of acute lung injury.
NEJM.
2005
[61]
간행물
Epidemiology and Outcomes of Acute Lung Injury.
Chest.
2007
[62]
논문
Acute Respiratory Distress Syndrome: Advances in Diagnosis and Treatment
2018-02-20
[63]
웹인용
급성호흡곤란증후군(ARDS) 임상진료지침
http://www.medric.or[...]
2020-02-02
[64]
저널
급성호흡곤란증후군
http://www.ekjm.org/[...]
2020-02-02
[65]
서적
Irwin and Rippe's Intensive Care Medicine
https://archive.org/[...]
Lippincott Williams & Wilkins
[66]
저널
The American-European Consensus Conference on ARDS. Definitions, mechanisms, relevant outcomes, and clinical trial coordination
[67]
저널
Acute respiratory distress syndrome: the Berlin Definition. ARDS Definition Task Force
https://semanticscho[...]
2012-06
[68]
저널
Acute lung injury and the acute respiratory distress syndrome in the injured patient
http://www.sjtrem.co[...]
2012-08
[69]
문서
Marino (2006), pp 435
[70]
저널
Low-Tidal-Volume Ventilation in the Acute Respiratory Distress Syndrome
2020-02-02
본 사이트는 AI가 위키백과와 뉴스 기사,정부 간행물,학술 논문등을 바탕으로 정보를 가공하여 제공하는 백과사전형 서비스입니다.
모든 문서는 AI에 의해 자동 생성되며, CC BY-SA 4.0 라이선스에 따라 이용할 수 있습니다.
하지만, 위키백과나 뉴스 기사 자체에 오류, 부정확한 정보, 또는 가짜 뉴스가 포함될 수 있으며, AI는 이러한 내용을 완벽하게 걸러내지 못할 수 있습니다.
따라서 제공되는 정보에 일부 오류나 편향이 있을 수 있으므로, 중요한 정보는 반드시 다른 출처를 통해 교차 검증하시기 바랍니다.
문의하기 : help@durumis.com
