리스테리아 모노사이토제네스
"오늘의AI위키"의 AI를 통해 더욱 풍부하고 폭넓은 지식 경험을 누리세요.
1. 개요
''리스테리아 모노사이토제네스''(Listeria monocytogenes)는 그람 양성, 비 포자 형성, 운동성, 통성 혐기성 세균으로, 리스테리아증을 유발하는 병원성 세균이다. 이 세균은 식품 매개 질병의 주요 원인으로, 감염 시 패혈증, 수막염, 뇌염, 임산부의 유산 등을 일으킬 수 있다. ''L. monocytogenes''는 냉장 온도에서도 증식하며, 1981년 캐나다 핼리팩스에서 콜슬로를 통한 집단 발병 이후 식품 안전의 중요한 위험 요소로 인식되고 있다. 치료는 항생제(페니실린, 암피실린)를 사용하며, 예방을 위해 식품 안전 관리 및 개인 위생 관리가 중요하다.
더 읽어볼만한 페이지
- 간균목 - 리스테리아
리스테리아속은 조지프 리스터를 기리기 위해 명명된 리스테리아과의 그람 양성균으로, 리스테리아 모노사이토제네스를 포함한 28종이 있으며 일부는 리스테리아증을 유발하고 자연 환경에 널리 분포하며 저온에서도 생존 및 증식하여 식품 위생 관리에 주의가 필요한 균이다. - 1940년 기재된 세균 - 리스테리아
리스테리아속은 조지프 리스터를 기리기 위해 명명된 리스테리아과의 그람 양성균으로, 리스테리아 모노사이토제네스를 포함한 28종이 있으며 일부는 리스테리아증을 유발하고 자연 환경에 널리 분포하며 저온에서도 생존 및 증식하여 식품 위생 관리에 주의가 필요한 균이다. - 제목이 라틴어 학명인 문서 - 호모 에렉투스
호모 에렉투스는 약 200만 년 전부터 10만 년 전까지 생존하며 직립 보행을 하고 아슐리안 석기를 제작했으며 불을 사용한 최초의 인류로 추정되는 종이다. - 제목이 라틴어 학명인 문서 - 인디고페라 틴토리아
인디고페라 틴토리아는 열대 아프리카와 아시아에 분포하며 인디고 염료의 원료로 재배되는 1~2m 높이의 관목으로, 밝은 녹색 잎과 분홍색 또는 보라색 꽃이 피고, 짙은 청색을 내는 천연 염료를 제공하며, 토양 개량 피복 작물 및 역사적으로 중요한 염료 식물로서의 가치를 지닌다.
| 리스테리아 모노사이토제네스 - [생물]에 관한 문서 | |
|---|---|
| 기본 정보 | |
![]() | |
| 학명 | Listeria monocytogenes |
| 명명자 | (E. Murray et al. 1926) Pirie 1940 |
| 과학적 분류 | |
| 역 | 세균 |
| 문 | 후벽균문 |
| 강 | 바킬루스강 |
| 목 | 바킬루스목 |
| 과 | 리스테리아과 |
| 속 | 리스테리아속 |
2. 분류
''리스테리아 모노사이토제네스''(''L. monocytogenes'')는 그람 양성의, 포자 형성을 하지 않는 운동성, 통성 혐기성, 막대 모양의 세균이다. 이 세균은 카탈라아제 양성, 산화 효소 음성이며, 적혈구 파괴를 유발하는 베타 용혈소를 발현한다. 광학 현미경으로 관찰 시 특징적인 텀블링 운동성을 보인다.[11] 실온(20~25 °C)에서 주모성 편모를 통해 활발하게 운동하지만, 체온(37 °C)에서는 편모를 합성하지 않는다.[12]
''리스테리아 모노사이토제네스''(L. monocytogenes)는 1924년 E.G.D. 머레이(Everitt George Dunne Murray)가 어린 토끼의 급사 6건을 바탕으로 처음 기술하여, 1926년 동료들과 함께 논문을 발표했다.[16] 머레이는 이 미생물을 ''Bacterium monocytogenes''라고 불렀으나, 1940년 하비 피리가 속명을 ''Listeria''로 변경했다.[17] 1920년대에 동물 및 사람 감염에 대한 임상적 설명이 발표되었지만, 신생아 감염, 패혈증, 수막염의 주요 원인으로 인식된 것은 1952년 동독에서였다.[18]
''L. 모노사이토제네스''에 의한 침습성 감염은 리스테리아증을 유발하며, 비침습성 감염의 경우 발열성 위장염을 일으킨다. 리스테리아증의 주요 증상으로는 패혈증,[22] 수막염 (또는 수막뇌염),[22] 뇌염,[23] 각막 궤양,[24] 폐렴,[25] 등이 있으며, 임산부의 경우 유산 (임신 2~3분기) 또는 사산으로 이어질 수 있다.[26]
리스테리아(''Listeria'') 속은 바실리(Bacilli) 강 바실라레(Bacillales) 목에 속하며, 여기에는 ''바실러스''(''Bacillus'')와 ''포도상구균''(''Staphylococcus'')도 포함된다. 현재 ''Listeria''는 27개의 종을 포함한다.[13] 이전에 ''Listeria'' 속의 일부로 여겨졌던 ''L. denitrificans''는 새로운 속인 ''Jonesia''로 재분류되었다.[13] ''L. ivanovii''와 ''L. monocytogenes''는 모두 쥐에게 병원성이 있지만, 인간의 질병과 일관되게 연관된 것은 ''L. monocytogenes''뿐이다.[14] ''L. monocytogenes''는 13개의 혈청형을 가지지만, 인간에게서 분리되는 균주의 90% 이상은 세 가지 혈청형(1/2a, 1/2b, 4b)에 속한다. ''L. monocytogenes'' 혈청형 4b 균주는 전 세계적으로 산발적인 인간 사례의 33~35%를 차지하며, 1980년대 이후 유럽과 북미에서 발생한 모든 주요 식중독 발생의 원인이 된다.[15]
3. 역사
''L. 모노사이토제네스''가 식품 매개 질병의 원인으로 확인된 것은 1981년이었다. 캐나다 노바스코샤주 핼리팩스에서 임산부와 신생아를 중심으로 41건의 리스테리아증 발병 사례와 18명의 사망자가 발생했는데, 이는 ''L. 모노사이토제네스''에 오염된 양 배설물이 섞인 양배추 섭취와 역학적으로 관련 있었다.[20]
4. 병원성
''L. 모노사이토제네스''는 숙주 세포벽의 D-갈락토스 수용체에 부착할 수 있는 D-갈락토스 잔기를 표면에 가지고 있다. 이 숙주 세포는 일반적으로 M 세포와 장 점막의 파이어판이다. 이 세포에 부착되면 ''L. 모노사이토제네스''는 장 막을 지나 신체로 이동할 수 있다. 또는 위장 상피의 구조적 손상(예: 작은 열상)으로 인해 위장관에서 혈류로 침투할 수도 있다.
''L. 모노사이토제네스''의 감염량은 균주와 피해자의 감수성에 따라 다르다. 생우유 또는 살균 처리된 우유를 통해 감염된 사례에서, 감수성이 있는 사람의 경우 총 1,000개 미만의 유기체가 질병을 유발할 수 있다고 추정할 수 있다. ''L. 모노사이토제네스''는 숙주의 단핵구, 대식세포 또는 다형핵 백혈구에 들어가면 혈액을 통해 전파(패혈증)되고 증식할 수 있다. 식세포 내에 존재하면 뇌로의 접근을 허용하고 임산부의 태아로의 경태반 이동을 허용할 수 있는데, 이 과정은 "트로이 목마 메커니즘"으로 알려져 있다.
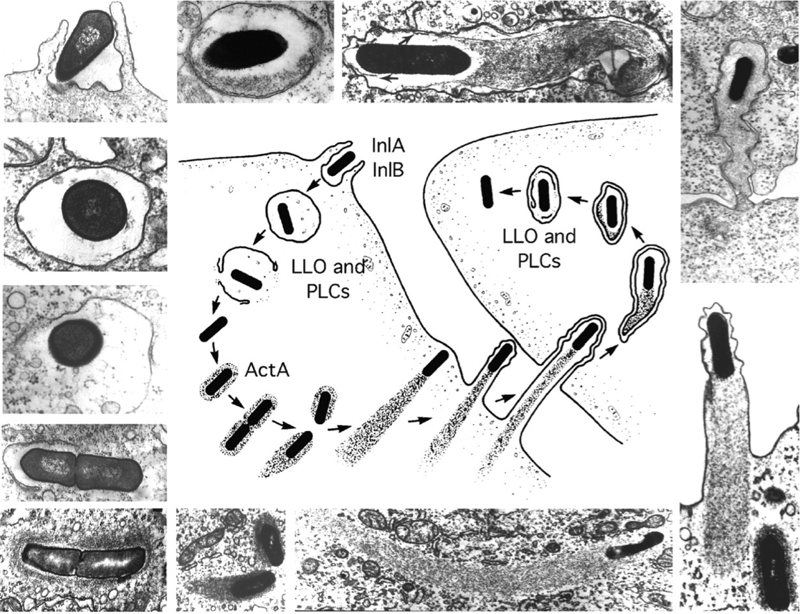
''L. 모노사이토제네스''의 병원성은 식세포 숙주 세포에서 생존하고 증식하는 능력에 중점을 둔다. 리스테리아는 원래 세포 내 감염으로서 장 막을 침입하도록 진화했으며, 이를 위한 화학적 메커니즘을 개발한 것으로 보인다. 여기에는 세균 단백질 인터날린(InlA/InlB)이 포함되며, 이는 장 세포막의 단백질 "카데린"에 부착되어 세균이 지퍼 메커니즘을 통해 세포를 침입할 수 있도록 한다. 이러한 부착 분자는 인간의 다른 두 개의 장벽인 혈액-뇌 장벽과 태아-태반 장벽에서도 발견되며, 이는 ''L. 모노사이토제네스''가 수막염을 유발하고 ''자궁 내''에서 아기에게 영향을 미치는 이유를 설명할 수 있다.
일단 세포 내부에 들어가면 ''L. 모노사이토제네스''는 세포 진입 동안 형성된 액포의 루멘을 빠르게 산성화하여 리스테리올리신 O를 활성화한다. 이 리스테리올리신 O는 콜레스테롤 의존성 세포 용해소로 액포 막을 파괴하여 병원체가 세포의 세포질에 접근할 수 있도록 한다.[30] 세포 내 공간에서의 운동성은 액틴 중합 유도 단백질에 의해 제공되며, 이는 세균이 숙주 세포의 액틴 중합 기계를 사용하여 세포 골격을 중합하여 세포 내에서 이동하고, 세포에서 세포로 이동할 수 있도록 한다.[31]
''L. 모노사이토제네스''는 환경에 따라 부생생물 또는 병원체로 작용할 수 있다. 숙주 유기체 내에 존재할 때, 쿼럼 감지 및 기타 신호는 여러 독성 유전자의 상향 조절을 유발한다. SigB는 대체 시그마 인자로, 장 내에서 ''Vir'' 유전자를 상향 조절하는 반면, PrfA는 박테리아가 혈액에 존재할 때 유전자 발현을 상향 조절한다.[32][33][34][35] ''L. 모노사이토제네스''는 또한 사용 가능한 영양원을 검사하여 숙주로의 진입을 감지한다. 예를 들어, 숙주 내에서 풍부한 질소원인 L-글루타민은 ''L. 모노사이토제네스''에서 독성 유전자의 발현을 유도한다.[36]
''L. 모노사이토제네스''는 서로 다른 진화적 역사와 병원성을 가진 세 가지 뚜렷한 계통으로 나뉜다.
4. 1. 리스테리아증
''리스테리아 모노사이토제네스'' 감염에 의한 질병을 리스테리아증이라고 한다. 감염이 침습성이 아닌 경우 열성 위장염이 된다. 리스테리아증은 패혈증, 수막염(또는 수막뇌염)[79], 뇌염[80], 각막 궤양[81], 폐렴[82], 임신 중 여성의 자궁 내 또는 자궁 경부 감염[79] 등의 증상을 일으킨다. 임신 중 감염은 자연 유산이나 사산의 원인이 될 수 있으며, 신생아는 패혈성 유아 육아종증으로 전신에 화농성 육아종이 생겨 신체 발육 장애가 발생할 위험이 있다.[79] 이러한 증상에 앞서 인플루엔자와 같은 지속적인 발열이 나타나기도 한다. 메스꺼움, 구토, 설사 등의 위장 증상은 더 심각한 리스테리아증의 전조 증상일 수 있으며, 제산제나 시메티딘 사용과 관련이 있다고 알려져 있다.
심각한 리스테리아증의 잠복기는 며칠에서 3주 정도로 추정되지만, 정확히 밝혀지지 않았다. 위장 증상의 잠복기 역시 불분명하지만, 12시간 이상 경과 후 나타나는 것으로 여겨진다.
리스테리아증은 사람보다 수의학 분야에서 더 자주 발생하며, 특히 반추동물에서 수막뇌염을 일으키는 원인균으로 알려져 있다. 신생아는 경질 감염으로 수막염을 앓을 수 있으며, 신생아 수막염의 세 번째로 흔한 원인이다.[76]
''리스테리아 모노사이토제네스''는 사람의 뇌, 척수막, 혈류에 감염될 수 있으며[77], 저온 살균되지 않은 유제품 및 가공되지 않은 식품이 감염 경로이다.[78] 브리 치즈, 카망베르 치즈, 페타 치즈, 케소 블랑코 등의 연성 치즈는 ''리스테리아 모노사이토제네스''를 포함할 수 있어 임산부는 섭취하지 않도록 권고받는다.[76]
''리스테리아 모노사이토제네스''는 숙주의 장관 점막 M세포나 페이어판의 D-갈락토스 수용체에 결합하여 장관 점막을 통과해 체내로 침입한다. 감염에 필요한 세균 수는 균주 및 숙주의 민감도에 따라 다르다. 건강한 성인은 많은 양의 균을 섭취해야 발병하지만, 민감도가 높은 사람은 1,000개 미만의 세포 수에서도 감염될 수 있다.[63]
''리스테리아 모노사이토제네스''는 장 상피, 단핵구, 대식세포, 다형핵 백혈구 등에 침입하여 혈액을 통해 전신으로 퍼질 수 있다. 뇌로 감염되거나 임산부의 경우 태반을 통해 태아에게 전달될 수 있다. 이 세균은 인터널린(InlA/InlB)을 통해 장 세포막의 카데린에 결합하고, 리스테리올리신 O를 활성화시켜 식포를 파괴하고 세포질로 탈출하여 숙주 세포 내에서 생존 및 증식한다.[86]
일본에서는 리스테리아증 환자가 연간 약 200명(2011년)으로 추정된다.[63] 미국에서는 매년 약 1,600건의 감염과 260명의 사망이 보고되며, 이는 식품 매개 세균 감염으로 인한 사망 원인 중 살모넬라, 보툴리누스균 다음으로 세 번째로 많다.[64] 미국에서의 리스테리아증 사망률은 다른 식품 매개 감염증보다 높다. EU에서는 2008년 이후 리스테리아증 발병 건수가 증가하여, 2014년에는 2,161건의 발병과 210건의 사망이 보고되었다.[74][75]
4. 2. 감염 경로
''리스테리아 모노사이토제네스''는 주로 오염된 식품 섭취를 통해 감염된다. 감염원으로 확인된 식품에는 생 우유, 살균 액상 우유,[51] 치즈(특히 연성 숙성 치즈), 삶은 달걀,[52] 아이스크림, 생 채소, 발효 생육 소시지, 생 및 조리된 가금류, 생고기(모든 종류), 생선 및 훈제 생선 등이 있다.[63]
''L. 모노사이토제네스''는 0°C와 같이 낮은 온도에서도 성장할 수 있어 냉장 보관된 식품에서도 증식할 수 있다. 4°C와 같은 냉장 온도에서 철 이온의 양은 ''L. 모노사이토제네스''의 성장에 영향을 미칠 수 있다.[53][88]
4. 3. 감염 사례
1981년, 캐나다 동부 노바스코샤주 핼리팩스에서 콜슬로를 통해 리스테리아증이 대유행했다. 주로 임산부와 신생아 41명이 감염되었고, 18명이 사망했다. 원인은 콜슬로에 사용된 양배추에 뿌려진 오염된 양 분이었다.[72] 이 사건으로 ''리스테리아 모노사이토제네스''가 식품 매개성 질병임이 증명되었다.[89]
2001년 3월, 홋카이도에서 리스테리아 모노사이토제네스에 의한 내추럴 치즈 집단 식중독이 발생했다.[90][91] 이는 일본에서 식품 유래 감염이 확인된 첫 사례이다.
2015년 3월, 미국의 유명 낙농 브랜드가 아이스크림을 대량 리콜했다. 미국 식품의약국(FDA) 발표에 따르면, 캔자스주의 한 병원에서 해당 회사의 아이스크림을 먹은 환자 5명이 리스테리아증 치료를 받았으며, 그 중 3명이 사망했다.[92]
4. 4. 병원성 기전

''리스테리아 모노사이토제네스''(''L. 모노사이토제네스'')는 숙주 세포에 침입하여 리스테리아증을 유발한다. 이 세균은 숙주 세포 내에서 생존하고 증식하는 능력이 뛰어나며, 다양한 기전을 통해 병원성을 나타낸다.
''L. 모노사이토제네스''는 먼저 숙주 세포 표면에 부착한다. 이 세균은 D-갈락토스 잔기를 세포 표면에 가지고 있어, 숙주 장관 점막의 M 세포나 파이어판의 D-갈락토스 수용체에 결합할 수 있다.[77] 이 결합을 통해 장관 점막을 통과하여 숙주 체내로 침입한다.
''L. 모노사이토제네스''의 감염량은 균주와 숙주의 감수성에 따라 다르다. 민감한 사람의 경우 1,000개 미만의 세포 수에서도 감염될 수 있다.[63]
세균이 숙주의 단핵구, 대식세포, 다형핵 백혈구에 침입하면 혈액을 통해 전신으로 퍼질 수 있다. 또한, 뇌로 감염되거나 임산부의 경우 태반을 통해 태아에게 전달될 수 있다.[77]
''L. 모노사이토제네스''는 세포 내 침입, 식포 탈출, 액틴 중합을 통한 세포 내 이동 등의 단계를 거친다.
''리스테리아 모노사이토제네스''의 주요 병원성 인자는 다음과 같다.
''리스테리아 모노사이토제네스''는 담즙에 대한 저항성이 강하며, 이는 핵산 절제 복구 단백질인 UvrA 덕분이다. UvrA는 담즙산에 의해 유발된 DNA 손상을 복구하는 데 필요하다.[58]
4. 5. 병원성 조절
''리스테리아 모노사이토제네스''(''L. monocytogenes'')는 환경에 따라 부생생물 또는 병원체로 작용할 수 있다. 이 박테리아가 숙주 유기체 내에 존재할 때, 쿼럼 감지 및 기타 신호는 여러 독성 유전자의 상향 조절을 유발한다. 박테리아가 숙주 유기체 내에서 위치하는 곳에 따라, 다른 활성 인자가 독성 유전자를 상향 조절한다. SigB는 대체 시그마 인자로, 장 내에서 ''Vir'' 유전자를 상향 조절하는 반면, PrfA는 박테리아가 혈액에 존재할 때 유전자 발현을 상향 조절한다.[32][33][34][35] ''L. monocytogenes''는 또한 사용 가능한 영양원을 검사하여 숙주로의 진입을 감지한다. 예를 들어, 숙주 내에서 풍부한 질소원인 L-글루타민은 ''L. monocytogenes''에서 독성 유전자의 발현을 유도한다.[36] 이 박테리아가 부생생물과 병원체 사이에서 어떻게 전환하는지에 대해서는 알려진 바가 거의 없지만, 몇몇 비코딩 RNA가 이러한 변화를 유도하는 데 필요한 것으로 생각된다.
4. 6. 계통
''L. 모노사이토제네스''는 서로 다른 진화적 역사와 병원성을 가진 세 가지 뚜렷한 계통으로 나뉜다.[37][108] 각 계통별 특징은 다음과 같다.
5. 검출
안톤 시험(Anton test)을 통해 ''L. monocytogenes''를 식별할 수 있다. 토끼나 기니피그의 결막낭에 배양액을 주입하면 24시간 이내에 심한 각결막염이 발생한다.[39][40]
리스테리아 모노사이토제네스는 뮬러-힌톤 한천 배지와 같은 배지에서 자란다. 양 혈액이 함유된 한천에서 일차 배양을 하면 식별이 향상되는데, 집락 주변과 아래에서 특징적인 작은 용혈 영역을 관찰할 수 있기 때문이다. 조직을 세균학적 배지에 접종하기 전에 며칠 동안 4°C로 보관하면 분리가 향상될 수 있다. 이 유기체는 다양한 탄수화물을 발효할 때 가스가 아닌 산을 생성한다.[41] 실온에서의 운동성과 용혈소 생성은 리스테리아를 코리네박테리움과 구별하는 데 도움이 되는 주요 발견 사항이다.[42]
식품 분석 방법은 복잡하고 시간이 오래 걸린다. 1990년 9월에 개정된 미국 식품의약국(FDA)의 방법은 24시간과 48시간의 증식을 요구하며, 그 뒤에 다양한 다른 검사가 따르는데, 식별까지 총 5~7일이 걸린다.[43]
6. 치료
리스테리아 수막염이 발생하면 전체적인 사망률은 70%에 달할 수 있으며, 패혈증으로 인한 사망률은 50%, 주산기/신생아 감염으로 인한 사망률은 80% 이상이다. 임신 중 감염의 경우, 산모는 대개 생존한다. 비경구 페니실린 또는 암피실린으로 성공적인 치료를 했다는 보고가 있다.[44] 트리메토프림-설파메톡사졸은 페니실린 알레르기가 있는 환자에게 효과적인 것으로 나타났다.[44]
세균 박테리오파지인 ''리스테리아 파지 P100''은 ''L. 모노사이토제네스''를 제어하기 위한 식품 첨가물로 제안되었다.[45] 여러 회사에서 박테리오파지 치료법을 개발했다. EBI 푸드 세이프티(EBI Food Safety)와 인트라리틱스(Intralytix) 모두 이 세균 치료에 적합한 제품을 가지고 있다. 미국 식품의약국(FDA)은 인트라리틱스의 6가지 박테리오파지 칵테일과 EBI 푸드 세이프티의 ''L. 모노사이토제네스''를 죽이도록 설계된 한 종류의 파지 제품을 승인했다. 잠재적인 사용법으로는 과일과 슬라이스 햄, 칠면조와 같은 즉석 섭취 식품에 살포하는 것을 포함한다.[46]
7. 예방 및 관리
국제식품규격위원회는 2007년부터 섭취 전에 가열이 필요 없는 생식용 식품(Ready-to-eat 식품: RTE 식품)에 대해 '리스테리아 모노사이토제네스'의 기준치를 설정했다. 한국에서는 후생노동성이 비가열 식육 제품 및 내추럴 치즈에 대해 성분 규격으로 기준치 100 (cfu/g) 이하를 설정했다.[115]
박테리오파지인 '리스테리아 파지 P100'은 '리스테리아 모노사이토제네스'를 제어하기 위한 식품 첨가물로 제안되고 있다.[115] 박테리오파지를 이용한 치료법은 여러 회사에서 개발되고 있다. 미국 식품의약국(FDA)은 Intralytix사의 박테리오파지 6종 혼합물과 EBI Food Safety사가 '리스테리아 모노사이토제네스'를 살상하도록 설계한 파지 제품을 승인했다. 용도로는 슬라이스 햄과 같이 판매 형태 그대로 즉석에서 먹을 수 있는 육류나 과일에 분무하는 것이 예상된다.[116]
8. 기타 응용
''리스테리아 모노사이토제네스''는 세포 내 세균이기 때문에 일부 연구에서 이 세균을 생체 외 유전자 전달 벡터로 사용한다. 현재 형질 감염 효율은 여전히 낮다. ''리스테리아 모노사이토제네스''를 ''생체 외'' 전달 기술에 성공적으로 사용한 사례 중 하나는 낭성 섬유증 환자를 위한 유전자 치료법을 전달하는 것이다.[47]
''리스테리아 모노사이토제네스''는 여러 종류의 암에 대한 암 면역 치료법으로 연구되고 있다.[48][49] 생체 약독화된 ''리스테리아 모노사이토제네스'' 암 백신인 ADXS11-001은 자궁경부암 치료제로 개발 중이다.[50]
참조
[1]
논문
Listeria--review of epidemiology and pathogenesis
http://www.sochinf.c[...]
2010-09-05
[2]
논문
Microbe Profile: Listeria monocytogenes: a paradigm among intracellular bacterial pathogens
[3]
논문
Microbe Profile: Listeria monocytogenes: a paradigm among intracellular bacterial pathogens
2019-07-01
[4]
웹사이트
Campylobacter and Listeria infections still rising in the EU – say EFSA and ECDC - European Food Safety Authority
http://www.efsa.euro[...]
2015-12-17
[5]
논문
The European Union summary report on trends and sources of zoonoses, zoonotic agents and food-borne outbreaks in 2014
[6]
논문
Listeria monocytogenes regulates flagellar motility gene expression through MogR, a transcriptional repressor required for virulence
2004-08
[7]
논문
From hot dogs to host cells: how the bacterial pathogen Listeria monocytogenes regulates virulence gene expression
https://doi.org/10.2[...]
2006-06-26
[8]
논문
Growth and survival of Listeria monocytogenes in market cheeses stored at 4 to 30 degrees C
[9]
웹사이트
Listeriosis (Listeria infection)
https://www.health.n[...]
2015-11-16
[10]
웹사이트
CDC - Sources - Listeriosis
https://www.cdc.gov/[...]
2015-11-16
[11]
논문
Listeria monocytogenes, a food-borne pathogen
1991-09
[12]
서적
Todar's Online Textbook of Bacteriology
2009-01-28
[13]
논문
Phylogenetic analysis of the genus Listeria based on reverse transcriptase sequencing of 16S rRNA
1991-04
[14]
서적
Compendium of Fish and Fishery Product Processes, Hazards, and Controls
Seafood HACCP Alliance
2009-01-28
[15]
논문
Intraspecific phylogeny and lineage group identification based on the prfA virulence gene cluster of Listeria monocytogenes
2004-08
[16]
논문
A disease of rabbits characterized by a large mononuclear leucocytosis, caused by a hitherto undescribed bacillus Bacterium monocytogenes (n. sp.)
[17]
논문
Listeria: change of name for a genus of bacteria
[18]
논문
Zur Granulomatosis infantiseptica.
1952
[19]
논문
Foodborne listeriosis
2000-09
[20]
논문
Epidemic listeriosis--evidence for transmission by food
1983-01
[21]
서적
Listeria, Listeriosis, and Food. Safety
Marcel Dekker
1999
[22]
논문
Listeria monocytogenes and listeric infections
1966-06
[23]
논문
Brainstem encephalitis (rhombencephalitis) due to Listeria monocytogenes: case report and review
1993-05
[24]
논문
Corneal ulcer due to Listeria monocytogenes
[25]
논문
Listeria pneumonia. A case report
1989-02
[26]
논문
Case 13-2022: A 56-Year-Old Man with Myalgias, Fever, and Bradycardia
https://www.nejm.org[...]
2022-04-27
[27]
논문
Isolation, characterization, and biological properties of an endotoxin-like material from the gram-positive organism Listeria monocytogenes
1979-03
[28]
논문
Biochemistry of the cell surface of Listeria strains: a locating general view
[29]
논문
Listeria monocytogenes, a food-borne pathogen
1991-09
[30]
논문
Listeriolysin O: a genuine cytolysin optimized for an intracellular parasite
2002-03
[31]
논문
Actin filaments and the growth, movement, and spread of the intracellular bacterial parasite, Listeria monocytogenes
1989-10
[32]
논문
Pleiotropic control of Listeria monocytogenes virulence factors by a gene that is autoregulated
1991-09
[33]
논문
Identification of a gene that positively regulates expression of listeriolysin, the major virulence factor of listeria monocytogenes
1990-11
[34]
논문
Sigma B contributes to Listeria monocytogenes gastrointestinal infection but not to systemic spread in the guinea pig infection model
2006-02
[35]
논문
VirR, a response regulator critical for Listeria monocytogenes virulence
2005-09
[36]
논문
L-glutamine Induces Expression of Listeria monocytogenes Virulence Genes
2017-01
[37]
논문
Comparative genetic characterization of Listeria monocytogenes isolates from human and animal listeriosis cases
2001-05
[38]
논문
Listeria monocytogenes isolates from foods and humans form distinct but overlapping populations
2004-10
[39]
웹사이트
Anton test - definition of Anton test in the Medical dictionary - by the Free Online Medical Dictionary, Thesaurus and Encyclopedia
http://medical-dicti[...]
Medical-dictionary.thefreedictionary.com
2013-08-05
[40]
웹사이트
Anton's eye test
http://www.whonamedi[...]
Whonamedit
2013-08-05
[41]
서적
Jawetz, Melnick, & Adelberg's Medical Microbiology
The McGraw-Hill Companies
[42]
논문
Clinical microbiology of coryneform bacteria
1997-01
[43]
웹사이트
103051F-EN-RevC
http://www.hologic.c[...]
2016-06-16
[44]
논문
Treatment of listeriosis
2000-05
[45]
논문
Bacteriophage P100 for control of Listeria monocytogenes in foods: genome sequence, bioinformatic analyses, oral toxicity study, and application
2005-12
[46]
간행물
U.S. FDA/CFSAN: Agency Response Letter, GRAS Notice No. 000198
[47]
논문
Listeria monocytogenes mediated CFTR transgene transfer to mammalian cells
[48]
논문
Nonviral oncogenic antigens and the inflammatory signals driving early cancer development as targets for cancer immunoprevention
2015-04
[49]
논문
Cancer immunotherapy using recombinant Listeria monocytogenes: transition from bench to clinic
2011-05
[50]
논문
Live Listeria Vaccine Proves Safe Against End-Stage Cervical Ca in Human Trial
2008-05-15
[51]
논문
Pasteurized milk as a vehicle of infection in an outbreak of listeriosis
1985-02
[52]
웹사이트
Outbreak of Listeria Infections Linked to Hard-boiled Eggs
https://www.cdc.gov/[...]
2020-03-04
[53]
논문
Influence of interactions between temperature, ferric ammonium citrate and glycine betaine on the growth of Listeria monocytogenes in a defined medium
[54]
논문
Evolutionary history of the genus Listeria and its virulence genes
2005-01
[55]
논문
Genome diversification in phylogenetic lineages I and II of Listeria monocytogenes: identification of segments unique to lineage II populations
2003-09
[56]
논문
Listeria monocytogenes exploits normal host cell processes to spread from cell to cell
1999-09
[57]
논문
Effect of bile salts on the DNA and membrane integrity of enteric bacteria
2009-12
[58]
논문
Role of uvrA in the growth and survival of Listeria monocytogenes under UV radiation and acid and bile stress
2006-12
[59]
논문
リステリアのエスケープ機構と感染宿主応答
[60]
논문
Listeria monocytogenes, a food-borne pathogen
http://mmbr.asm.org/[...]
1991-09
[61]
웹사이트
"Listeria monocytogenes"
http://textbookofbac[...]
2008
[62]
논문
Listeria monocytogenes regulates flagellar motility gene expression through MogR, a transcriptional repressor required for virulence
[63]
웹사이트
リステリアによる食中毒
https://www.mhlw.go.[...]
厚生労働省
2018-08-19
[64]
논문
Journal of microbiology, immunology, and infection.
http://www.sochinf.c[...]
2007-02
[65]
논문
Phylogenetic Analysis of the Genus ''Listeria'' Based on Reverse Transcriptase Sequencing of 16S rRNA
1991-04
[66]
웹사이트
"Compendium of Fish and Fishery Product Processes, Hazards, and Controls, Chapter 15: ''Listeria monocytogenes''"
http://seafood.ucdav[...]
2007
[67]
논문
Intraspecific Phylogeny and Lineage Group Identification Based on the prfA Virulence Gene Cluster of Listeria monocytogenes
[68]
논문
A disease of rabbits characterized by a large mononuclear leucocytosis, caused by a hitherto undescribed bacillus Bacterium monocytogenes (n. sp.)
[69]
논문
Listeria: change of name for a genus of bacteria
[70]
문서
Zur Granulomatosis infantiseptica
[71]
학술지
Foodborne listeriosis
[72]
학술지
Epidemic listeriosis--evidence for transmission by food
1983-01
[73]
서적
Listeria, Listeriosis, and Food. Safety, 2nd edn
Marcel Dekker, New York
[74]
웹사이트
Campylobacter and Listeria infections still rising in the EU – say EFSA and ECDC - European Food Safety Authority
http://www.efsa.euro[...]
2018-07-31
[75]
URL
https://efsa.onlinel[...]
[76]
학술지
Growth and survival of Listeria monocytogenes in market cheeses stored at 4 to 30 degrees C
[77]
웹사이트
Listeriosis (Listeria infection)
https://www.health.n[...]
2015-11-16
[78]
웹사이트
CDC - Sources - Listeriosis
https://www.cdc.gov/[...]
2015-11-16
[79]
학술지
Listeria monocytogenes and listeric infection
[80]
학술지
Brainstem encephalitis (Rhombencephalitis) due to Listeria monocytogenes: case report and review
[81]
학술지
Corneal ulcer due to Listeria monocytogenes
[82]
학술지
Listeria pneumonia. A case report
[83]
학술지
Isolation, characterization, and biological properties of an endotoxin-like material from the gram-positive organism Listeria monocytogenes
[84]
학술지
Biochemistry of the cell surface of Listeria strains: a locating general view
[85]
학술지
Listeria monocytogenes, a food-borne pathogen
[86]
학술지
Listeriolysin O
2002-03-18
[87]
학술지
Pasteurized milk as a vehicle of infection in an outbreak of listeriosis
[88]
학술지
Influence of interactions between temperature, ferric ammonium citrate and glycine betaine on the growth of ''Listeria monocytogenes'' in a defined medium
[89]
웹사이트
リステリアによる食中毒について
http://www.fsc.go.jp[...]
食品安全委員会
2018-08-19
[90]
뉴스
リステリア菌食中毒を確認/国内初、北海道で3年半前
https://www.shikoku-[...]
2018-08-19
[91]
학술지
食品由来のリステリア菌の健康被害に関する研究(総括研究報告書)
https://mhlw-grants.[...]
[92]
웹사이트
新たに制定されたリステリア・モノサイトゲネスの成分規格
http://www.kenko-ken[...]
一般財団法人東京顕微鏡院 食と環境の科学センター
2015-04-03
[93]
학술지
Nucleotide sequence of the listeriolysin gene from a Listeria monocytogenes serotype 1/2a strain
1989-08-11
[94]
학술지
Molecular determinants of Listeria monocytogenes pathogenesis
[95]
학술지
Detection of a gene encoding a phosphatidylinositol-specific phospholipase C that is co-ordinately expressed with listeriolysin in Listeria monocytogenes
[96]
학술지
Induction of cytokine gene expression by listeriolysin O and roles of macrophages and NK cells
[97]
학술지
The amino-terminal part of ActA is critical for the actin-based motility of Listeria monocytogenes; the central proline-rich region acts as a stimulator
[98]
학술지
Identification of four new members of the internalin multigene family of Listeria monocytogenes EGD
[99]
학술지
Immunodominant and subdominant CTL responses to Listeria monocytogenes infection
[100]
학술지
リステリアのエスケープ機構と感染宿主応答
[101]
학술지
Evolutionary history of the genus ''Listeria'' and its virulence genes
[102]
학술지
Genome Diversification in Phylogenetic Lineages I and II of Listeria monocytogenes: Identification of Segments Unique to Lineage II Populations
[103]
학술지
Listeria monocytogenes Exploits Normal Host Cell Processes to Spread from Cell to Cell
[104]
학술지
Pleiotropic control of Listeria monocytogenes virulence factors by a gene that is autoregulated
[105]
학술지
Identification of a gene that positively regulates expression of listeriolysin, the major virulence factor of listeria monocytogenes
[106]
논문
Sigma B Contributes to Listeria monocytogenes Gastrointestinal Infection but Not to Systemic Spread in the Guinea Pig Infection Model
[107]
논문
VirR, a response regulator critical for Listeria monocytogenes virulence
[108]
논문
Comparative genetic characterization of ''Listeria monocytogenes'' isolates from human and animal listeriosis cases
[109]
논문
Listeria monocytogenes Isolates from Foods and Humans Form Distinct but Overlapping Populations
null
[110]
웹사이트
Anton test - definition of Anton test in the Medical dictionary - by the Free Online Medical Dictionary, Thesaurus and Encyclopedia
http://medical-dicti[...]
Medical-dictionary.thefreedictionary.com
2013-08-05
[111]
웹사이트
Anton's eye test
https://www.whonamed[...]
Whonamedit
2013-08-05
[112]
서적
Chapter 13. Non-Spore-Forming Gram-Positive Bacilli: Corynebacterium, Propionibacterium, Listeria, Erysipelothrix, Actinomycetes, & Related Pathogens ,Jawetz, Melnick, & Adelberg's Medical Microbiology, 24th Edition ,The McGraw-Hill Companies
[113]
웹사이트
103051F-EN-RevC
http://www.hologic.c[...]
2016-06-16
[114]
논문
Treatment of listeriosis.
2000-05
[115]
논문
Bacteriophage P100 for control of Listeria monocytogenes in foods: Genome sequence, bioinformatic analyses, oral toxicity study, and application
[116]
간행물
U.S. FDA/CFSAN: Agency Response Letter, GRAS Notice No. 000198
[117]
논문
Listeria monocytogenes mediated CFTR transgene transfer to mammalian cells
[118]
논문
Nonviral oncogenic antigens and the inflammatory signals driving early cancer development as targets for cancer immunoprevention
2015-04-01
[119]
논문
Cancer immunotherapy using recombinant Listeria monocytogenes: transition from bench to clinic
2011-05-01
[120]
뉴스
Live Listeria Vaccine Proves Safe Against End-Stage Cervical Ca in Human Trial
2008-05-15
본 사이트는 AI가 위키백과와 뉴스 기사,정부 간행물,학술 논문등을 바탕으로 정보를 가공하여 제공하는 백과사전형 서비스입니다.
모든 문서는 AI에 의해 자동 생성되며, CC BY-SA 4.0 라이선스에 따라 이용할 수 있습니다.
하지만, 위키백과나 뉴스 기사 자체에 오류, 부정확한 정보, 또는 가짜 뉴스가 포함될 수 있으며, AI는 이러한 내용을 완벽하게 걸러내지 못할 수 있습니다.
따라서 제공되는 정보에 일부 오류나 편향이 있을 수 있으므로, 중요한 정보는 반드시 다른 출처를 통해 교차 검증하시기 바랍니다.
문의하기 : help@durumis.com
