시신경염
"오늘의AI위키"의 AI를 통해 더욱 풍부하고 폭넓은 지식 경험을 누리세요.
1. 개요
시신경염은 시신경에 염증이 생겨 시력 상실을 유발하는 질환이다. 다양한 원인으로 발생하며, 특발성, 탈수초성 질환(다발성 경화증, 시신경척수염 등), 감염, 자가면역 질환, 허혈성 시신경병증, 약물 및 중독, 외상 등이 있다. 주요 증상으로는 갑작스러운 시력 상실, 시야 흐림, 안구 통증, 색각 이상 등이 나타나며, 진단을 위해 병력 청취, 신체 검사, 영상 검사(MRI, OCT), 혈액 검사 등을 시행한다. 치료는 스테로이드, 면역 억제제, 진통제 등을 사용하며, 원인 질환에 대한 치료도 병행한다. 예후는 양호한 편이나, 다발성 경화증이나 시신경척수염과 관련된 경우 재발 가능성이 있다.
더 읽어볼만한 페이지
- 시신경 및 시각경로 장애 - 레베르 유전성 시신경병증
레베르 유전성 시신경병증은 미토콘드리아 DNA 돌연변이로 시신경 기능이 저하되어 시력 상실을 유발하는 유전 질환으로, 청년기에 주로 발병하며 남성에게 더 흔하고, 이데베논과 에스트로겐 대체 요법이 연구 중이며 다른 질환과의 감별이 필요하다. - 면역 질환 - 알레르기
알레르기는 면역 체계가 무해한 물질에 과도하게 반응하여 아토피 피부염, 비염, 천식, 두드러기 등 다양한 증상을 일으키는 질환으로, Gell과 Coombs 분류법에 따라 여러 유형으로 나뉘며, 심각한 경우 아나필락시스를 유발할 수 있고, 유전적, 환경적 요인이 복합적으로 작용하여 발생하며, 알레르겐 회피, 약물, 면역요법 등으로 치료한다. - 면역 질환 - 기회감염
기회감염은 면역 체계가 약화된 사람에게 다양한 병원체에 의해 발생하는 감염으로, 면역력 저하, HIV 감염, 치료 등의 원인에 의해 발생하며, 예방을 위해 면역력 회복, 감염원 회피, 예방적 약물 사용 등의 조치를 취하고, 치료는 원인균에 따라 적절한 약제를 사용하는 것이 중요하다. - 자가 면역 질환 - 류마티스 관절염
류마티스 관절염은 관절 활막의 만성 염증성 질환으로, 조기 진단과 적극적인 치료를 통해 질병 진행을 늦추고 삶의 질을 향상시키는 것이 중요하며, 진단에는 류마티스 인자와 항CCP 항체가 사용되고 메토트렉세이트 등의 약물로 치료한다. - 자가 면역 질환 - 크론병
크론병은 위장관에 만성 염증을 일으키는 질환으로, 유전적 요인, 면역계 이상, 환경적 요인이 복합적으로 작용하며 복통, 설사, 합병증 등을 유발할 수 있고, 약물 요법, 영양 요법, 수술 등으로 치료하며 완치 치료법은 없다.
| 시신경염 | |
|---|---|
| 질병 개요 | |
| 분야 | 안과학, 검안학, 신경학 |
| 증상 | 시력 상실, 색각 상실, 눈 운동 시 악화되는 통증 |
| 합병증 | 다발성 경화증, MOG 질환, NMO (시신경 척수염) |
| 발병 | 아급성 |
| 지속 기간 | 1-3개월 |
| 유형 | MS-ON, MOG-ON, AQP4-ON, CRMP5-ON, SION, RION, CRION, 감염 후 시신경염, 백신 접종 후 시신경염, 전신 질환 또는 약물 합병증으로 인한 시신경염 |
| 원인 | 자가면역, 감염, 백신 접종, 약물 |
| 위험 요인 | 유전적 요인 |
| 진단 | 진단 기준 |
| 감별 진단 | 해당 사항 없음 |
| 예방 | 해당 사항 없음 |
| 치료 | 해당 사항 없음 |
| 약물 | 해당 사항 없음 |
| 예후 | 시신경염 아형에 따라 예후가 달라짐 |
| 빈도 | 재발 가능 |
| 사망 | 해당 사항 없음 |
![]() | |
2. 원인
시신경에 염증이 발생하는 시신경염의 원인은 매우 다양하다. 염증은 시신경을 감싸는 수초(미엘린)를 붓게 하거나 파괴하여 시력 손실을 유발할 수 있으며, 축삭 자체에 손상을 주기도 한다.
가장 흔한 원인으로는 다발성 경화증(MS)과 시신경으로 가는 혈류가 막히는 허혈성 시신경병증이 꼽힌다.[13][14] 다발성 경화증 환자의 상당수가 시신경염을 경험하며, 일부에서는 시신경염이 다발성 경화증의 첫 증상으로 나타나기도 한다.
그 외 주요 원인들은 다음과 같이 분류할 수 있다.
- 탈수초성 질환: 다발성 경화증 외에도 시신경척수염, MOG 항체 질환 등이 시신경의 수초 손상을 동반하는 시신경염을 일으킬 수 있다.
- 감염: 매독, 라임병, 대상포진과 같은 세균 및 바이러스 감염, 또한 치아 농양이나 고양이 할큄병 등도 원인이 될 수 있다.[15][19]
- 자가 면역 질환: 전신성 홍반성 루푸스, 사르코이드증, 쇼그렌 증후군 등 자가면역 질환들이 시신경염을 유발할 수 있다.[15][19]
- 약물 및 중독: 에탐부톨, 클로람페니콜과 같은 특정 약물이나 메탄올 중독 등이 원인이 될 수 있다.[15]
- 영양 결핍: 비타민 B12 결핍증이나 티아민 결핍증 등도 시신경염과 관련될 수 있다.[15]
- 외상: 눈이나 머리의 부상, 외상성 뇌 손상 등이 시신경 손상을 일으켜 염증을 유발할 수 있다.[15]
- 기타 질환: 당뇨병, 간 질환, 신장 질환, 뇌종양, 수막염, 유두 부종 등 다양한 전신 질환이나 신경계 질환이 시신경염의 원인이 될 수 있다.[15]
원인을 명확히 알 수 없는 경우도 있으며, 이를 특발성 시신경염이라고 한다. 특발성 시신경염은 바이러스 감염이나 자가 면역 반응 등이 관여할 것으로 추정된다.
2. 1. 특발성 시신경염
특발성 시신경염은 바이러스 감염, 자가 면역 등이 관여하는 것으로 생각되지만 원인은 불명확하다.2. 2. 탈수초성 질환
탈수초성 질환은 신경을 감싸 보호하는 수초(미엘린)가 손상되는 질병을 의미하며, 시신경염의 주요 원인 중 하나이다. 대표적인 탈수초성 질환으로는 다발성 경화증, 시신경척수염, 항-MOG 항체 관련 질환 등이 있다. 시신경에 염증이 생기면 수초가 붓거나 파괴되어 시력 저하를 유발할 수 있다.2019년의 한 검토에서는 시신경염을 다음과 같이 분류하기도 했다.[19]
- 전형적인 시신경염: 다발성 경화증과 관련된 특발성 탈수초성 질환.
- 비정형적인 시신경염: 다른 염증성, 감염성 또는 자가면역 질환의 결과.
=== 다발성 경화증 (MS) ===
다발성 경화증은 시신경염의 가장 흔한 원인 중 하나이다.[13][14] 다발성 경화증 환자의 약 50%가 시신경염을 경험하며,[18] 약 20~30%의 환자에게서는 시신경염이 첫 증상으로 나타나기도 한다. 시신경염 발병 시 뇌 MRI 검사에서 백색질에 탈수초성 병변이 발견되는 경우, 임상적으로 다발성 경화증으로 진행될 가능성이 매우 높은 것으로 알려져 있다. 실제로 시신경염 환자의 거의 절반에서 다발성 경화증과 일치하는 백색질 병변이 발견된다.
=== 시신경척수염 (NMO) ===
시신경척수염은 시신경과 척수에 염증을 일으키는 질환으로 시신경염을 유발할 수 있다. 과거에는 다발성 경화증의 한 형태로 여겨졌으나, 현재는 별개의 질환으로 분류된다. 시신경척수염 환자에게서는 AQP4 자가항체 수치가 시신경염 발생과 관련이 있는 것으로 보고되었다.[16] 또한, 반복적으로 발생하는 특발성 시신경염 환자 중 탈수초 병변이 동반되는 경우, 항-MOG 항체와 AQP4 항체가 모두 음성인 시신경척수염과 관련이 있을 수 있다는 연구 결과도 있다.[20]
=== 항-MOG 항체 관련 질환 ===
MOG 항체 질환은 MOG(Myelin Oligodendrocyte Glycoprotein) 항체라는 특정 자가항체와 관련된 자가면역 질환이다. 이 질환은 시신경염, 척수염 등을 일으킬 수 있으며, 시신경염이 발생할 경우 수초가 손상되는 탈수초화 현상이 나타난다. 이는 항-MOG 관련 염증성 탈수초성 질환으로 분류된다.[19] 반복적인 특발성 시신경염 중 탈수초화를 보이는 경우, 항-MOG 항체 음성 시신경척수염과 관련될 가능성이 있다.[20]
2. 3. 감염
다양한 종류의 감염이 시신경염의 원인이 될 수 있다. 세균 감염으로는 매독, 라임병, 결핵 등이 있으며, 바이러스 감염으로는 대상포진, 헤르페스 바이러스, 거대세포 바이러스, 홍역 바이러스, 볼거리, 수두, 백일해, 전염성 단핵구증, EB 바이러스 등이 알려져 있다.[19] 또한 위턱의 치아 농양[15], 고양이 할큄병, 크립토코쿠스 수막염(특히 HIV/AIDS 환자에게서) 등도 시신경염을 유발할 수 있다.[19]감염과 관련된 시신경염은 크게 두 가지로 분류할 수 있다.[19]
- 준감염성 시신경염: 홍역, 볼거리, 수두, 백일해, 전염성 단핵구증과 같은 바이러스 질환 이후에 발생한다.
- 감염성 시신경염: 부비동염이나 고양이 할큄병, 결핵, 라임병, 크립토코쿠스 수막염(주로 HIV/AIDS 환자) 등 특정 감염과 직접적으로 관련되어 발생한다.
감염으로 인한 시신경염은 원인균에 따라 항생제나 다른 항미생물 약물로 치료할 수 있으며, 일반적으로 예후는 좋은 편이다.[17]
2. 4. 자가면역 질환
시신경염의 원인 중 하나로 다양한 자가 면역 질환이 있다. 대표적인 관련 질환으로는 전신성 홍반성 루푸스(SLE 또는 루푸스), 쇼그렌 증후군, 사르코이드증(신경 사르코이드증 포함), 결절성 다발 동맥염, 육아종성 다발 혈관염, 시신경척수염, MOG 항체 질환 등이 알려져 있다.[19] 시신경척수염의 경우, AQP4 자가항체 수치가 시신경염 발생과 관련이 있는 것으로 보고되었다.[16]2. 5. 허혈성 시신경병증
허혈성 시신경병증은 시신경에 혈액을 공급하는 혈관에 혈전증이나 색전증이 발생하여 혈류가 막히는 질환이다.[13][14] 이는 다발성 경화증과 함께 시신경염의 가장 흔한 원인 중 하나로 꼽힌다.[13][14] 미국의 2011년 자료에 따르면, 시신경의 혈전으로 인해 시신경염이 발생하는 경우는 전체 시신경염 사례의 약 5%를 차지하는 것으로 추정된다.[17] 허혈성 시신경병증은 조기에 발견하여 혈류 감소로 인한 영구적인 손상이 발생하기 전에 치료하면 회복될 수 있다.[17]2. 6. 약물 및 중독
시신경염은 특정 약물 복용이나 중독, 영양 결핍 등에 의해서도 발생할 수 있다. 예를 들어, 클로람페니콜이나 에탐부톨과 같은 약물은 시신경염의 원인이 될 수 있다. 또한 메탄올 중독이나 비타민 B12 결핍증, 티아민 결핍증 등도 시신경염을 유발하는 요인으로 알려져 있다.[15]2. 7. 외상
눈이나 머리 부위에 가해지는 외상은 시신경 손상을 일으켜 시신경염의 원인이 될 수 있다.[15] 특히 외상성 뇌 손상이나 이로 인한 출혈도 시신경염을 유발할 수 있는 요인으로 꼽힌다.2. 8. 기타
시신경염은 다발성 경화증 외에도 다양한 원인에 의해 발생할 수 있다.덜 흔한 원인으로는 유두 부종, 후두 부위의 뇌종양 또는 뇌 농양, 외상성 뇌 손상이나 출혈, 수막염, 거미막 유착, 부비동 혈전증 등이 있다.[15] 또한 간 질환이나 말기 신장 질환도 시신경염을 유발할 수 있다.[15] 당뇨병 역시 시신경염의 원인이 될 수 있다.[15]
그 외에도 다음과 같은 다양한 요인이 시신경염과 관련될 수 있다.[19]
- 준감염성 시신경염: 홍역, 볼거리, 수두, 백일해, 전염성 단핵구증과 같은 바이러스 질환과 관련된다.
- 감염성 시신경염: 부비동 관련 감염이나 고양이 할큄병, 결핵, 라임병, 크립토코쿠스 수막염(특히 HIV/AIDS 환자), 매독, 대상포진 등과 관련된다.[15] 위턱의 치아 농양도 원인이 될 수 있다.[15]
- 자가면역 질환: 사르코이드증, 전신성 홍반성 루푸스, 결절성 다발 동맥염, MOG 항체 질환, 육아종성 다발 혈관염, 신경 사르코이드증, 시신경척수염 등이 원인이 될 수 있다.[15]
- 영양 결핍 및 대사 이상: 비타민 B12 결핍증, 티아민 결핍증, 낮은 인 수치, 고칼륨혈증 등도 관련될 수 있다.[15][19]
- 중독: 메탄올 중독이 원인이 될 수 있다.[15]
- 약제: 클로람페니콜, 에탐부톨과 같은 약물로 인한 맥관염도 원인이 될 수 있다.
- 기타: 자율신경 부전(자율 신경계 기능 장애), 눈의 부상 등도 원인으로 언급된다.[15]
원인이 명확하지 않은 경우 특발성 시신경염으로 분류하며, 바이러스 감염이나 자가 면역 등이 관여하는 것으로 추정된다.
3. 증상
시신경염의 주요 증상으로는 갑자기 시력을 잃거나 시야가 흐려지는 것, 눈을 움직일 때 통증을 느끼는 것 등이 있다.[31][4][5][2] 많은 환자들이 색각 이상, 특히 붉은색을 잘 구분하지 못하게 되며, 색이 바랜 것처럼 보인다고 느낀다.[31] 깊이 인지 장애(Pulfrich 효과), 체온 상승 시 일시적 시력 악화(Uhthoff 현상), 눈부심 등 다른 불편함을 겪기도 한다.
그러나 모든 시신경염 환자가 시력 문제를 경험하는 것은 아니다.[6] 증상은 주로 한쪽 눈에만 나타나는 경우가 많아, 검사를 받기 전까지 색각 이상 등을 스스로 알아차리지 못할 수도 있다. 소아 환자의 경우 성인과 달리 통증이 없는 경우가 많고(약 60%), 양쪽 눈에 증상이 나타나는 경우가 더 흔하다.[7][8]
의학적 검사 시 검안경으로 시신경의 이상 부위를 확인할 수도 있지만, 때로는 특별한 이상 소견이 관찰되지 않기도 한다.
3. 1. 시력 저하
시신경염의 가장 흔한 증상은 갑작스러운 시력 저하이다. 이는 부분적인 시력 상실일 수도 있고, 완전히 시력을 잃는 경우도 있다.[31] 시야가 갑자기 흐릿하거나 뿌옇게 보이는 증상도 나타난다.[4][5][2] 또한, 영향을 받은 눈을 움직일 때 통증을 느끼는 경우가 많다.[4][5][2] 한 연구에 따르면 시신경염 환자의 92.2%가 통증을 경험했으며, 39.5%는 시력 상실로 이어졌다.[31]
상당수의 환자는 영향을 받은 눈의 색각 능력, 특히 붉은색을 인지하는 능력이 저하될 수 있다.[4][5][2] 이 경우 다른 쪽 눈과 비교했을 때 색이 약간 바랜 것처럼 보이게 된다. 환자는 깊이감을 인지하는 데 어려움을 겪을 수도 있는데, 이는 Pulfrich 효과라고 하며 운전이나 운동 중에 특히 문제가 될 수 있다. 또한 체온이 상승하면 일시적으로 시력이 더 나빠지는 Uhthoff 현상이나 눈부심 장애를 겪는 경우도 흔하다.
그러나 시신경염이 있다고 해서 모든 환자가 시력 문제를 경험하는 것은 아니다.[6] 조사가 필요한 초기 증상으로는 다발성 경화증의 다른 증상들(예: 경련, 협응력 부족, 어눌한 발음)과 함께 나타나는 잦은 부분적 시력 상실이나 흐릿한 시야가 있을 수 있다. 시야가 흐릿해지는 것보다 "혼탁해지거나 검게 변하는" 증상은 더 진행된 상태를 의미할 수 있어 추가적인 시력 상실을 막기 위해 즉각적인 치료가 필요하다. 그 외 초기 증상으로는 저하된 야맹증, 광과민증, 충혈된 눈 등이 나타날 수 있다.
많은 경우 한쪽 눈에만 증상이 나타나기 때문에, 의사가 검사를 위해 한쪽 눈을 가리기 전까지는 색각 이상 등을 스스로 인지하지 못하는 경우도 있다. 소아 환자의 경우 성인과 달리 통증이 없는 경우가 많고(약 60%), 가장 흔하게 보고된 증상은 단순히 시야가 '흐릿함'이다.[7][8] 또한 성인은 한쪽 눈에만 발생하는 경우가 흔하지만(편측성), 소아는 양쪽 눈 모두에 발생하는 경우(양측성)가 훨씬 더 많다는 차이가 있다.
3. 2. 시야 흐림
시신경염의 주요 증상 중 하나는 갑작스럽게 시야가 흐릿해지거나 "안개가 낀" 것처럼 보이는 것이다.[4][5][2] 이는 갑작스러운 시력 상실(부분적 또는 완전)과 함께 나타날 수 있으며, 해당 눈을 움직일 때 통증을 동반하는 경우가 많다.[4][5][2] 한 연구에서는 환자의 39.5%가 시력 상실을 경험했다고 보고했다.[31]시신경염 환자 중 상당수는 영향을 받은 눈의 색각에도 이상을 느낄 수 있는데, 특히 빨간색이 다른 눈에 비해 미묘하게 바랜 것처럼 보일 수 있다.[31] 또한 깊이 감각이 저하되어 움직임을 판단하는 데 어려움을 겪을 수 있으며, 이는 운전이나 스포츠 활동 시 문제가 될 수 있다(Pulfrich 효과). 체온이 상승할 때 일시적으로 시력이 악화되는 Uhthoff 현상이나 눈부심 장애 역시 흔하게 나타나는 증상이다.
그러나 시신경염이 있다고 해서 모든 환자가 시력 문제를 경험하는 것은 아니다.[6] 때로는 다발성 경화증의 초기 증상으로 부분적인 시력 상실이나 흐릿한 시력 발작이 자주 나타날 수 있다. 시야가 단순히 흐릿한 것을 넘어 "혼탁해지거나 검게 변하는" 증상이 나타나면 중등도 단계를 의미할 수 있으므로 추가적인 시력 손실을 막기 위해 즉각적인 진료가 필요하다.
소아 환자의 경우, 성인과 증상 양상이 다소 다를 수 있다. 여러 사례 연구에 따르면 소아 환자의 약 60%는 통증을 느끼지 않았으며, 가장 흔하게 호소하는 증상은 단순히 "흐릿함"이었다.[7][8]
3. 3. 색각 이상
시신경염 환자 중 상당수는 색각 이상을 경험할 수 있다. 특히 붉은색을 구별하는 능력이 저하될 수 있으며, 영향을 받지 않은 다른 쪽 눈과 비교했을 때 색상이 미묘하게 바랜 것처럼 보일 수 있다.[31] 많은 경우 한쪽 눈에만 증상이 나타나기 때문에, 의사가 검사를 위해 한쪽 눈을 가리기 전까지 환자 스스로 색각 이상을 인지하지 못하는 경우도 있다.또한, 깊이 감각에 문제가 생겨 움직이는 물체의 거리를 판단하기 어려워지는 Pulfrich 효과가 나타날 수 있으며, 이는 운전이나 운동 중에 특히 문제가 될 수 있다. 마찬가지로, 체온이 상승하면 일시적으로 시력이 악화되는 Uhthoff 현상이나 눈부심 장애도 흔하게 나타나는 증상이다. 그러나 시신경염이 있는 모든 환자가 시력 문제를 겪는 것은 아니다.[6]
3. 4. 안구 통증
시신경염의 주된 증상 중 하나는 해당 눈을 움직일 때 통증이 발생하는 것이다.[4][5][2] 실제로 한 연구에서는 시신경염 환자의 92.2%가 통증을 경험했다고 보고했다.[31]3. 5. 기타 증상
시신경염 환자는 주 증상 외에도 다양한 증상을 경험할 수 있다. 깊이 인지 장애(Pulfrich 효과)로 인해 운전이나 스포츠 활동 시 어려움을 겪을 수 있으며, 체온 상승 시 일시적으로 시력이 악화되는 Uhthoff 현상이나 눈부심 장애를 호소하기도 한다.[4][5][2] 영향을 받은 눈의 색각 이상, 특히 붉은색이 다른 눈에 비해 미묘하게 바래 보이는 증상도 나타날 수 있다.[31]빛 간섭 단층 촬영(OCT) 검사에서 시신경 유두 주변 망막 신경 섬유층(RNFL) 두께의 양안 비대칭은 시신경염의 강력한 지표로 제시된다.[9][10][11]
소아 환자는 성인과 다른 임상 양상을 보인다. 성인에게는 한쪽 눈에만 발생하는 편측 시신경염이 흔하지만, 소아는 양쪽 눈 모두에 발생하는 양측 시신경염이 더 우세하다. 또한, 소아 환자의 약 60%는 통증을 느끼지 않으며, 주로 시야가 "흐릿함"을 호소하는 경우가 많다.[7][8]
그러나 시신경염이 있는 모든 사람이 시력 문제를 경험하는 것은 아니다.[6]
4. 진단
세계 보건 기구(WHO)의 ICD-11 분류에는 시신경염이 포함되어 있으나,[2] 2022년 검토에 따르면 아직 국제적으로 통일된 분류나 명확한 진단 기준은 확립되지 않았다.[3]
시신경염 진단은 기본적으로 유사한 증상을 보이는 다른 질환들을 배제하는 과정을 통해 이루어진다. 포도막염, 유전성 질환(레버병 등), 전방 허혈성 시신경병증(AION), 약물(에탐부톨 등) 또는 중독성 원인(신너, 알코올 등), 종양성 질환(뇌종양 등), 동맥류, 뇌하수체 졸중 등 다양한 가능성을 감별하는 것이 중요하다.[1] 이를 위해 환자의 병력 청취, 안과적 검사(안저 검사 등), 두부 MRI와 같은 영상 검사, 필요시 추가적인 검사를 시행하여 탈수초성 질환이나 자가면역성 질환, 감염증, 사르코이드증 등 다른 원인이 없음을 확인한다.[1]
다른 원인이 배제된 경우 특발성 시신경염으로 진단할 수 있다. 특발성 시신경염은 주로 20세에서 50세 사이의 여성에게서 발병하며, 갑작스러운 시력 저하와 함께 눈 주위 통증, 특히 눈 뒤쪽의 통증(구후통)이나 눈을 움직일 때 심해지는 통증을 동반하는 경우가 많다.[1]
4. 1. 병력 청취
시신경염 진단 과정의 첫 단계는 환자가 겪고 있는 증상을 상세히 파악하는 것이다. 특히 특발성 시신경염의 경우, 다음과 같은 주요 증상들이 나타날 수 있으므로 병력 청취 시 주의 깊게 확인해야 한다.[3]- 시력 저하: 한쪽 또는 양쪽 눈에서 발생할 수 있다. 한쪽 눈의 시력 저하가 뚜렷하더라도, 시력이 정상으로 보이는 다른 쪽 눈에서도 시야 장애와 같은 시기능 이상이 동반되는 경우가 많아, 실제로는 양쪽 눈에 영향을 미치는 질환으로 간주된다.[3]
- 안구 통증: 시력 저하 외에도 눈의 통증을 호소하는 경우가 많다. 특히 눈 뒤쪽에서 느껴지는 통증(구후통)이나 눈을 움직일 때 심해지는 통증이 특징적으로 나타날 수 있다.[3]
이러한 증상에 대한 자세한 정보는 이후 진행될 검사와 정확한 진단 방향을 설정하는 데 중요한 기초 자료가 된다.
4. 2. 신체 검사
신체 검사 시 세극등 현미경과 높은 플러스 렌즈 또는 직접 검안경을 사용하여 시신경 유두를 관찰한다. 시신경염의 경우 시신경 유두의 이상이 관찰되지 않는 후구 시신경염 형태가 흔하지만, 일부 환자에서는 시신경 유두가 부어 있는 전두 유두염이나 더 광범위한 시신경염 소견이 나타날 수도 있다.
많은 경우 한쪽 눈에만 증상이 나타나는데, 환자 본인은 건강한 눈을 가리기 전까지 색상 시력 저하를 인지하지 못할 수 있으므로 주의 깊은 검사가 필요하다.
시신경염 진단을 위해 다음과 같은 검사들을 시행한다.
- 시력 및 시야 검사: 시력 저하 정도와 시야 결손 범위를 확인한다.
- 안저 검사: 검안경 등을 이용해 눈 속 망막과 시신경 유두 상태를 직접 관찰한다.
- 색각 검사: 색상을 구별하는 능력의 저하 여부를 평가한다.
- 동공 반응 검사: 빛 자극에 대한 동공의 반응을 확인하며, 특히 상대적 구심로 동공 장애(RAPD) 유무를 평가한다.
- 중심 융합 빈도 (CFF, Central Fusion Frequency): 깜빡이는 불연속적인 빛을 연속적인 빛으로 느끼기 시작하는 빈도(주파수)를 측정한다. 정상치는 35Hz 이상이며, 시신경염 급성기에는 이 수치가 저하된다. CFF는 시력 저하 등 다른 임상 증상보다 먼저 나타나고, 회복은 시력보다 늦게 이루어지는 경향이 있다.
- 빛 간섭 단층 촬영(OCT): 망막 신경절 세포 축삭층(RNFL, Retinal Nerve Fiber Layer)의 두께를 측정한다. 시신경염을 앓았던 경우 RNFL 두께가 감소하며, 특히 다발성 경화증보다 시신경척수염에서 더 현저하게 얇아지는 경향을 보인다.
- 상대적 구심로 동공 장애(RAPD): 마커스 건 동공(Marcus Gunn pupil)이라고도 불리며, 양쪽 눈에 번갈아 빛을 비추었을 때 병변이 있는 쪽 눈의 동공 반응이 상대적으로 저하되는 현상을 확인한다.
- 두부 자기공명영상(MRI): 뇌와 시신경의 구조적 이상, 특히 탈수초성 질환의 유무를 평가하는 데 중요하다.
그 외 시신경 유두의 부종과 관련된 소견으로 다음을 감별해야 한다.
- 울혈 유두 (Papilledema): 두개내압 상승으로 인해 시신경 유두가 붓는 상태를 말한다. 성인의 경우 주로 맹점 확대로 나타나며 시력 저하를 동반하는 경우는 드물다.
- 유두 부종 (Disk swelling): 염증, 혈관 장애, 포도막염 등 다양한 원인에 의해 후천적으로 시신경 유두가 혼탁해지고 융기된 상태를 의미한다. 발적을 동반하지 않을 수도 있다.
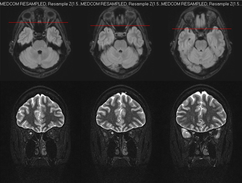
4. 3. 영상 검사
시신경염 진단에는 영상 검사가 중요한 역할을 한다. 주요 검사 방법으로는 MRI와 OCT가 있다.
자기 공명 영상 (MRI)MRI 촬영 시, 시신경염의 영향을 받은 쪽 시신경에서 신호가 증가하는 소견이 나타난다.[1] 특히 급성기에는 조영제를 사용한 MRI 검사를 통해 시신경 및 신경초의 염증이나 부종을 확인할 수 있다.[1] 시간이 지나 발병 3개월 이상 경과하면 시신경 내부의 신호가 증가하여 밝게 보이기도 한다.[1] 또한, 두부 MRI는 탈수초성 질환과 같은 다른 신경계 질환의 동반 여부를 평가하는 데에도 유용하다.

광학 단층 촬영법 (OCT)OCT는 시신경 손상을 매우 민감하게 파악할 수 있는 정밀 영상 검사 방법이다.[1] OCT 검사를 통해 급성기에는 시신경 유두의 부종을 확인할 수 있으며, 발병 후 3개월 이상 지나면 눈과 뇌를 연결하는 신경 세포와 신경의 두께, 특히 망막 신경 섬유층(RNFL)의 두께가 감소하는 것을 관찰할 수 있다. 이때 양쪽 눈의 RNFL 두께 차이가 4-5% 이상 나타나기도 한다.[1] RNFL 두께의 양안 비대칭은 시신경염을 나타내는 강력한 지표로 제안되었다.[9][10][11] 또한, OCT 검사는 다발성 경화증과 시신경척수염을 감별하는 데 도움을 줄 수 있는데, 시신경척수염에서 RNFL의 얇아짐이 더 뚜렷하게 나타나는 경향이 있다.
4. 4. 혈액 검사
(내용 없음 - 제공된 원본 소스에는 '혈액 검사'에 대한 정보가 포함되어 있지 않습니다.)4. 5. 기타 검사
특발성 시신경염의 진단은 다른 질환이 아님을 확인하는 방식으로 이루어진다. 하라다병과 같은 포도막염, 레버병 등 유전성 질환, 전방 허혈성 시신경병증(AION), 에탐부톨 등 약물에 의한 시신경 손상, 신너, 알코올, 비타민 부족 등 중독성 질환, 뇌종양과 같은 종양성 질환, 동맥류, 뇌하수체 졸중 등이 시신경염과 증상이 유사하여 감별해야 할 질환들이다.[1]두부 MRI 검사를 통해 탈수초성 질환 여부를 평가하고, 자가면역성 질환이나 감염증, 사르코이드증 등이 없음을 확인하여 이러한 질환들을 배제할 수 있다면 특발성 시신경염으로 진단하게 된다.[1]
5. 치료
시신경염의 치료는 원인에 따라 달라지며, 주로 염증을 줄이고 시력 회복을 돕는 것을 목표로 한다. 많은 환자가 완전히 회복되지만, 일부는 지속적인 후유증을 겪을 수 있다.[5][23][24]
주요 치료 방법으로는 코르티코스테로이드(스테로이드) 투여, 면역억제제 사용, 통증 완화 등이 있다.[5] 코르티코스테로이드는 정맥 주사나 경구 투여 방식으로 사용될 수 있으며,[5] 다발성 경화증 관련 여부나 특발성 시신경염 등 원인에 따라 치료 효과나 접근 방식에 차이가 있을 수 있다.[1][26] 다발성 경화증, 시신경 척수염, 루푸스(SLE) 등 특정 원인에 의한 시신경염에는 면역학적 치료가 고려된다. 통증 관리를 위한 치료도 병행될 수 있다.[5]
5. 1. 스테로이드 치료
고용량의 스테로이드는 정맥 주사 또는 경구 투여 방식으로 사용될 수 있다.[5]
대부분의 다발성 경화증(MS)과 관련된 시신경염은 발생 후 2~3개월에 걸쳐 시각 기능이 자연적으로 회복되는 경향이 있다. 코르티코스테로이드 치료가 장기적인 시력 예후에 영향을 미치지 않는다는 연구 결과도 있다. 그러나 다발성 경화증과 관련 없는 비정형 시신경염의 경우에는 증거가 명확하지 않아, 정맥 내 코르티코스테로이드 치료 기준이 상대적으로 낮게 적용된다.[1] 정맥 내 코르티코스테로이드 치료는 MRI에서 병변이 발견된 환자의 경우, 향후 2년 동안 다발성 경화증 발병 위험을 줄이는 효과가 있지만, 이러한 효과는 3년째 추적 관찰에서는 사라지는 것으로 나타났다.[25]
역설적으로, 경구 코르티코스테로이드 단독 투여는 치료받지 않은 환자보다 오히려 재발률을 높일 수 있다는 연구 결과가 있다. 다만, 일반적으로 정맥 주사 치료 후 약물 용량을 서서히 줄이기 위해 경구 스테로이드를 처방하는 경우는 있다. 이러한 코르티코스테로이드의 효과는 시신경염에 특이적인 것으로 보이며, 다른 질환의 코르티코스테로이드 치료에서는 관찰되지 않았다.[26]
코크란 체계적 문헌 고찰에서는 급성 시신경염 환자에 대한 코르티코스테로이드 치료 효과를 분석했다.[27] 연구 대상에는 정맥 및 경구 투여용 메틸프레드니솔론과 경구 프레드니손이 포함되었다. 연구진은 현재까지의 증거로는 정맥 주사든 경구 투여든 코르티코스테로이드가 시력, 대비 감도, 시야 등 시력 회복 속도에 뚜렷한 이점을 제공하지 못한다고 결론지었다.[27] 이러한 결과가 나타나는 데에는 여러 이유가 있을 수 있다.[25][28]
특발성 시신경염의 경우, 스테로이드 치료가 시력 회복 속도를 빠르게 하는 데는 효과가 있지만, 최종적인 시력 개선에는 영향을 미치지 않는 것으로 알려져 있다. 비타민제가 함께 처방되기도 한다. 반면, 다발성 경화증, 시신경 척수염, 루푸스(SLE) 등 면역 질환에 의한 시신경염에서는 면역학적 치료가 효과적이다.
5. 2. 면역 억제제 치료
면역억제제 또한 치료에 사용될 수 있다.[5]시신경염의 원인에 따라 치료법과 효과가 다를 수 있다. 특발성 시신경염의 경우 스테로이드 치료가 시력 회복 속도를 높이는 데는 도움이 될 수 있지만, 최종적인 시력 개선 효과는 없는 것으로 알려져 있다. 때로는 비타민제가 함께 처방되기도 한다.
반면, 다발성 경화증, 시신경 척수염, 루푸스(SLE)와 같은 자가면역 질환으로 인해 발생한 시신경염에는 면역학적 치료가 효과적이다.
5. 3. 기타 치료
통증 완화를 위해 진통제 등을 사용할 수 있다.[5]
시신경염의 원인에 따라 추가적인 치료가 필요할 수 있다. 예를 들어 다발성 경화증, 시신경 척수염, 루푸스(SLE) 등에 의해 발생한 시신경염에는 면역학적 치료법이 적용될 수 있다.
특별한 원인을 찾기 어려운 특발성 시신경염의 경우, 스테로이드 치료가 시력 회복 속도를 높이는 데는 효과가 있을 수 있으나 최종 시력 개선에는 큰 영향을 미치지 못한다는 연구 결과가 있다. 비타민제가 보조적으로 사용되기도 한다.
6. 예후
많은 환자가 완전히 회복되지만, 일부는 지속적인 후유증을 겪는다.[5][23][24]
특발성 시신경염은 회복 경향이 강하며, 시력 예후도 좋은 편이다. 10년 후 추적 관찰 결과, 환자의 74%는 시력이 1.0 이상으로 회복되었다. 그러나 일부 환자(수 %)는 시력이 0.1 이하에 머무르기도 한다.
7. 합병증
많은 환자가 시신경염 발병 후 완전히 회복되지만, 일부 환자에게는 지속적인 후유증이 남을 수 있다.[5][23][24] 특발성 시신경염의 경우 회복 가능성이 비교적 높아, 10년 후 추적 관찰 시 약 74%의 환자가 1.0 이상의 시력을 회복하는 것으로 알려져 있다. 그러나 소수의 환자(수 %)에서는 시력이 0.1 이하로 영구적으로 저하되는 심각한 시력 손상이 합병증으로 남기도 한다.
8. 관련 질환
시신경염은 다양한 질환과 연관되어 발생할 수 있으며, 크게 다발성 경화증과 관련된 전형적인 시신경염과 다른 염증성, 감염성, 자가면역 질환의 결과로 나타나는 비정형적인 시신경염으로 나눌 수 있다.
가장 흔한 원인 질환은 다발성 경화증(MS)이다. MS 환자의 최대 50%가 시신경염 증상을 경험하며, 20~30%의 환자에서는 시신경염이 MS의 첫 번째 징후로 나타나기도 한다. 시신경염 발병 시 뇌 MRI 검사에서 탈수초성 백색질 병변이 발견되면, 임상적으로 확실한 MS로 진행될 가능성이 매우 높다. 실제로 시신경염 환자의 거의 절반에서 MS와 일치하는 백색질 병변이 관찰된다.[13][14]
또 다른 흔한 원인으로는 시신경에 혈액을 공급하는 혈관이 막히는 혈전증이나 색전증으로 인해 발생하는 허혈성 시신경병증이 있다.[13][14]
그 외 시신경염을 유발할 수 있는 다양한 원인들은 다음과 같다.
- 감염성 질환: 위턱의 치아 농양, 매독, 라임병, 대상 포진과 같은 세균 및 바이러스 감염이 원인이 될 수 있다.[15] 또한, 홍역, 볼거리, 수두, 백일해, 전염성 단핵구증과 같은 바이러스 질환과 관련된 준감염성 시신경염도 발생할 수 있다. 부비동 관련 감염이나 고양이 할큄병, 결핵, 라임병, 그리고 HIV/AIDS 환자에게서 나타나는 크립토코쿠스 수막염 등도 감염성 시신경염의 원인이 된다.[19]
- 자가면역 질환: 전신성 홍반성 루푸스(루푸스), 신경 사르코이드증, 시신경척수염, 사르코이드증, 결절성 다발 동맥염, MOG 항체 질환, 육아종성 다발 혈관염 등이 시신경염을 유발할 수 있다.[15][19] 특히 시신경척수염의 경우, 아쿠아포린-4(AQP4) 자가항체 수치가 시신경염 발생과 관련이 있는 것으로 밝혀졌다.[16]
- 중독 및 영양 결핍: 메탄올 중독, 비타민 B12 결핍증, 티아민 결핍증도 원인이 될 수 있다.[15]
- 대사 및 내분비 질환: 당뇨병, 낮은 인 수치, 고칼륨혈증 등도 시신경염과 관련될 수 있다.[15][19]
- 기타 신경계 문제: 자율신경 부전(자율 신경계 기능 장애)이나 눈의 직접적인 부상도 시신경염을 일으킬 수 있다.[15]
- 덜 흔한 원인: 유두 부종, 후두엽 부위의 뇌종양 또는 뇌 농양, 외상성 뇌 손상 또는 출혈, 수막염, 거미막 유착, 부비동 혈전증, 간 질환, 말기 신장 질환 등도 드물지만 시신경염의 원인이 될 수 있다.
9. 사회 및 문화
찰스 디킨스의 소설 『황폐한 집』에서 주인공 에스터 서머빌은 일시적인 시력 상실을 겪는데, 이는 시신경염 환자에게서도 나타나는 증상이다.[30] 법률 역사가 윌리엄 시얼 홀즈워스는 『황폐한 집』의 사건이 1827년에 일어났다고 추정했다.
드라마 『닥터 퀸, 여의사』의 한 에피소드("기적의 계절", 시즌 5)에서 티모시 존슨 목사는 1872년 크리스마스에 시신경염으로 시력을 잃는다. 그는 시리즈가 끝날 때까지 시력을 회복하지 못한다.
참조
[1]
논문
Diagnosis and classification of optic neuritis
https://discovery.uc[...]
2022-12
[2]
웹사이트
ICD-11 for Mortality and Morbidity Statistics
https://icd.who.int/[...]
[3]
웹사이트
Diagnosis and classification of optic neuritis - The Lancet Neurology
https://www.thelance[...]
[4]
웹사이트
Optic neuritis
https://www.mayoclin[...]
Mayo Clinic
[5]
웹사이트
Optic neuritis
https://www.rnib.org[...]
[6]
웹사이트
Optic Neuritis
https://www.hopkinsm[...]
2024-03-22
[7]
논문
Risk factors for developing multiple sclerosis after childhood optic neuritis
1997-11
[8]
논문
The clinical profile of childhood optic neuritis
2001-06
[9]
논문
Optimal Intereye Difference Thresholds in Retinal Nerve Fiber Layer Thickness for Predicting a Unilateral Optic Nerve Lesion in Multiple Sclerosis
2018-12
[10]
논문
Advances in ophthalmic structural and functional measures in multiple sclerosis: do the potential ocular biomarkers meet the unmet needs?
2021-02
[11]
논문
Retinal inter-eye difference and atrophy progression in multiple sclerosis diagnostics
2022-02
[12]
웹사이트
Critical review: Typical and atypical optic neuritis - Survey of Ophthalmology
https://www.surveyop[...]
[13]
논문
Optic neuritis and ischemic optic neuropathy. Overlapping clinical profiles
1991-12
[14]
논문
Ischemic Optic Neuropathies
2015-06
[15]
논문
Clinical assessment of optic nerve disorders
2004-11
[16]
논문
Clinical relevance of serum aquaporin-4 antibody levels in neuromyelitis optica
2013
[17]
논문
Vertical modelling: Analysis of competing risks data with missing causes of failure
2015-12
[18]
서적
Black's Medical Dictionary
A&C Black
[19]
서적
Comprehensive Ophthalmology
Jaypee Brothers Medical Publishers
[20]
논문
Recurrent Optic Neuritis (rON) is characterised by Anti-MOG Antibodies: A follow-up study
http://www.neurology[...]
[21]
논문
Chronic relapsing inflammatory optic neuropathy (CRION)
2003-02
[22]
논문
Unique characteristics of optical coherence tomography (OCT) results and visual acuity testing in myelin oligodendrocyte glycoprotein (MOG) antibody positive pediatric patients
2018-11
[23]
웹사이트
Optic Neuritis - Symptoms, Treatment & Recovery | MS Society
https://www.mssociet[...]
[24]
PDF
https://mft.nhs.uk/a[...]
2024-08
[25]
논문
The effect of corticosteroids for acute optic neuritis on the subsequent development of multiple sclerosis. The Optic Neuritis Study Group
1993-12
[26]
논문
A randomized, controlled trial of corticosteroids in the treatment of acute optic neuritis. The Optic Neuritis Study Group
1992-02
[27]
논문
Corticosteroids for treating optic neuritis
2015-08
[28]
논문
Case for a new corticosteroid treatment trial in optic neuritis: review of updated evidence
2020-01
[29]
논문
Optic neuritis: a population-based study in Olmsted County, Minnesota
1995-02
[30]
논문
Optic Neuritis: Another Dickensian Diagnosis
[31]
저널
본 사이트는 AI가 위키백과와 뉴스 기사,정부 간행물,학술 논문등을 바탕으로 정보를 가공하여 제공하는 백과사전형 서비스입니다.
모든 문서는 AI에 의해 자동 생성되며, CC BY-SA 4.0 라이선스에 따라 이용할 수 있습니다.
하지만, 위키백과나 뉴스 기사 자체에 오류, 부정확한 정보, 또는 가짜 뉴스가 포함될 수 있으며, AI는 이러한 내용을 완벽하게 걸러내지 못할 수 있습니다.
따라서 제공되는 정보에 일부 오류나 편향이 있을 수 있으므로, 중요한 정보는 반드시 다른 출처를 통해 교차 검증하시기 바랍니다.
문의하기 : help@durumis.com
