포도막염
"오늘의AI위키"의 AI를 통해 더욱 풍부하고 폭넓은 지식 경험을 누리세요.
1. 개요
포도막염은 눈의 포도막에 발생하는 염증성 질환으로, 눈의 부위에 따라 전방, 중간, 후방, 전체 포도막염으로 분류된다. 다양한 원인에 의해 발생하며, 자가면역 질환, 전신 질환, 감염 등이 관련될 수 있다. 급성 및 만성으로 나타나며, 충혈, 통증, 시력 저하 등의 증상을 동반한다. 진단은 눈 검사, 혈액 검사, 유전자 검사 등을 통해 이루어지며, 치료는 스테로이드, 면역 억제제, 항바이러스제 등을 사용한다. 조기 진단과 치료가 중요하며, 치료하지 않으면 백내장, 녹내장, 시력 저하 등의 합병증을 유발할 수 있다.
더 읽어볼만한 페이지
- 스테로이드 반응성 염증성 질환 - 천식
천식은 만성적인 기도 염증으로 쌕쌕거림, 호흡곤란, 가슴 답답함, 기침 등의 증상을 유발하며 유전적, 환경적 요인이 복합적으로 작용하여 발생하고, 폐활량 검사로 진단하며, 유발 요인 회피와 약물 요법으로 증상 조절 및 삶의 질 향상이 가능하다. - 스테로이드 반응성 염증성 질환 - 전신 홍반성 루푸스
전신 홍반성 루푸스는 면역계가 자신의 조직을 공격하는 만성 자가면역 질환으로, 특징적인 피부 증상과 함께 다양한 증상을 나타내며 유전적, 환경적 요인이 복합적으로 작용하여 발병하고, 증상 완화와 질병 진행 억제를 목표로 치료한다. - 염증 - 신장염
신장염은 콩팥에 발생한 염증으로, 자가면역질환, 요로감염, 루푸스, 격렬한 운동 등이 원인이 되어 혈뇨, 핍뇨, 요독증, 고혈압 등의 증상을 유발하며, 혈액 검사, X레이, 초음파 등으로 진단하고 원인에 따라 치료한다. - 염증 - 신우신염
신우신염은 신장의 신우와 신실질에 발생하는 감염으로, 급성(고열, 배뇨통, 옆구리 통증)과 만성(지속적인 옆구리 통증, 체중 감소)으로 나뉘며, 대장균과 장구균이 주요 원인균이고, 항생제로 치료하며, 요로의 구조적 이상, 당뇨병, 면역 저하 등이 위험 요인이다.
| 포도막염 | |
|---|---|
| 질병 개요 | |
![]() | |
| 발음 | /ˌjuːvi.ˈaɪtɪs/ |
| 진료 분야 | 안과학 검안 |
| 증상 | 두통 충혈 흐릿한 시야 눈부심 눈의 화끈거림 및 충혈 |
| 발병 시기 | 눈 뒤쪽의 압박감 |
| 지속 기간 | 평생 |
| 유형 | 홍채 섬모체 |
| 원인 | 베체트병 크론병 푹스 이색질환 섬모체염 다발혈관염 동반 육아종증 HLA-B27 관련 포도막염 소아 특발성 관절염 사르코이드증 척추관절염 교감성 안염 세뇨관 간질 신염 및 포도막염 증후군 브루셀라증 헤르페스 바이러스 렙토스피라증 라임병 추정 안구 히스토플라스마증 증후군 매독 톡소카라증 톡소포자충 망막맥락막염 결핵 지카열 |
| 합병증 | 당뇨병 |
| 진단 및 치료 | |
| 통계 | |
| 외부 링크 | |
| DiseasesDB | 13676 |
| ICD-10 | H20-H15 |
| ICD-9 | 364 |
| MedlinePlus | 001005 |
| eMedicine 주제 | oph/580 |
| eMedicine 멀티 | emerg/284 |
| MeSH ID | D014605 |
2. 분류
포도막염은 주로 영향을 미치는 눈의 부위에 따라 해부학적으로 전방, 중간, 후방, 전체 포도막염으로 나뉜다.[33] 20세기 이전에 포도막염은 일반적으로 안염(ophthalmia)이라고 불렀다.[34] 또한, 염증의 양상에 따라 육아종성, 비육아종성 포도막염으로 분류된다.
2. 1. 해부학적 분류
포도막염은 주로 영향을 미치는 눈의 부위에 따라 해부학적으로 전방, 중간, 후방, 전체 포도막염으로 나뉜다.[33] 20세기 이전에 포도막염은 일반적으로 안염(ophthalmia)이라고 불렀다.[34]- '''전방 포도막염'''(앞포도막염, Anterior uveitis)에는 홍채모양체염과 홍채염이 포함된다. 홍채염은 전방과 홍채의 염증이다. 홍채모양체염은 홍채와 모양체의 염증으로, 주로 모양체에 국한된 염증을 특징으로 한다. 포도막염 사례의 66%에서 90%가 전방(홍채염)에 위치한다.[4] 이 질환은 단일 에피소드로 발생하여 적절한 치료로 가라앉을 수 있으며, 재발성 또는 만성적인 성격을 띨 수도 있다.
- '''중간 포도막염'''(intermediate uveitis)은 파스 플라니티스라고도 하며, 유리체염으로 구성되는데, 이는 유리체 내 세포의 염증이며, 때로는 '스노우뱅킹'(snowbanking) 또는 파스 플라나에 염증성 물질이 침착되는 현상이 나타나기도 한다. 또한 유리체 내에는 염증 세포 덩어리인 "스노우볼"이 존재한다.
- '''후방 포도막염'''(뒤포도막염, Posterior uveitis) 또는 맥락망막염은 망막과 맥락막의 염증이다.
- '''범포도막염'''(Pan-uveitis)은 포도막의 모든 층의 염증이다.
2. 2. 염증의 양상에 따른 분류
포도막염은 염증의 양상에 따라 크게 두 가지로 분류된다.- 육아종성(granulomatous) 포도막염
- 비육아종성(non-granulomatous) 포도막염
3. 원인
포도막염은 단독 질환으로 발생하기도 하지만, 다른 여러 질병과 관련되어 나타날 수도 있다.[1] 전방 포도막염의 경우, 약 절반 정도는 특정 질환이나 증후군과 관련 없이 발생한다. 그러나 전방 포도막염은 HLA-B27과 관련된 증후군과 연관되는 경우가 많다. HLA 대립 유전자형을 가진 사람은 이 질병에 걸릴 상대 위험도가 약 15% 정도 증가한다.[5]
가장 흔한 포도막염의 형태는 급성 전방 포도막염(AAU)이다. 이 유형은 HLA-B27과 관련이 깊으며, 몇 가지 중요한 특징을 가진다. HLA-B27 AAU는 안구 염증만 단독으로 일으키거나 전신 질환과 함께 나타날 수 있다. HLA-B27 AAU는 남성에게 더 많이 발생하고, 한쪽 눈에 번갈아 가며 급성으로 나타나며, 비육아종성 양상을 보이고, 재발이 잦은 경향이 있다. 반면 HLA-B27 음성 AAU는 남녀 발병률이 비슷하고, 양쪽 눈에 만성적으로 나타나며, 육아종성 양상을 보이는 경우가 더 많다. 류마티스 관절염은 아시아에서 포도막염과 관련이 있는 드물지 않은 질환이다.[6]
사르코이드증, 하라다병, 교감성안염, 결핵, 매독, 헤르페스 바이러스 감염증, 톡소플라스마증, 렙토스피라, 베체트병, 강직성 척추염 등 다양한 질환이 포도막염의 원인이 될 수 있다.
3. 1. 비감염성 또는 자가면역 원인
- 교감성 안염
- 베체트병
- 크론병
- 푸크스 이색홍채모양체염
- 육아종성 혈관염
- HLA-B27 관련 포도막염
- 척추관절병증 (특히 강직성 척추염에서 나타남)
- 소아 특발성 관절염
- 사르코이드증
- 세뇨관간질성 신염 및 포도막염 증후군
- 류마티스 관절염
- 라이터 증후군
- 궤양성 대장염
- 당뇨병
3. 2. 전신 질환과 관련된 경우
다음은 포도막염과 연관될 수 있는 전신 질환들이다.[7][8]| 질환명 |
|---|
| 골부착부염 |
| 강직성 척추염 |
| 소아 류마티스 관절염 |
| 건선성 관절염 |
| 반응성 관절염 |
| 베체트병 |
| 염증성 장 질환 |
| 휘플병 |
| 전신성 홍반성 루푸스 |
| 결절성 다발 동맥염 |
| 가와사키병 |
| 만성 육아종 질환 |
| 사르코이드증 |
| 다발성 경화증 |
| 보크트-고야나기-하라다병 |
| 하라다병 |
| 교감성안염 |
| 결핵 |
| 매독 |
| 헤르페스 바이러스 감염증 |
| 톡소플라스마증 |
| 렙토스피라 |
| 류마티스 관절염 |
| 라이터 증후군 |
| 궤양성 대장염 |
| 크론병 |
| 당뇨병 |
3. 3. 감염성 원인
포도막염은 눈 속 유기체에 의해 유발된 감염과 싸우기 위한 면역 반응일 수 있다. 이는 비감염성 원인보다 드물며, 염증 조절 외에 항균/항바이러스/항기생충 치료가 필요하다. 전 세계적으로 부담이 큰 순서대로 감염성 원인은 다음과 같다.
3. 4. 약물 관련 부작용
리파부틴은 리팜핀의 유도체로, 포도막염을 유발하는 것으로 나타났다.[10] 여러 보고에 따르면 퀴놀론, 특히 목시플록사신의 사용이 포도막염으로 이어질 수 있다고 한다.[11]3. 5. 백점 증후군
백점 증후군은 때때로 포도막염이 전신 질환과 관련 없이 눈에만 염증이 나타나고, 그 원인이 알려지지 않은 경우를 말한다. 이러한 경우 눈의 증상이 특정 증후군의 특징을 나타내는데, 이를 백점 증후군이라고 한다. 백점 증후군에는 다음과 같은 질환들이 포함된다.- 급성 후다발성 플라코이드 색소 상피병증
- 조류 사격 맥락망막병증
- 다초점 맥락막염 및 범포도막염
- 다발성 일과성 백점 증후군
- 점상 내 맥락막염
- 사행성 맥락막염
- 급성 구역성 잠재성 외 망막병증
3. 6. 가면 증후군
가면 증후군은 안구 내에 세포가 있지만 면역 매개 포도막염이 아닌 다른 원인으로 인해 발생하는 질환을 의미한다. 가면 증후군은 신생물성과 비신생물성 상태로 나눌 수 있다.4. 증상
포도막염의 증상은 질병의 경과, 해부학적 구조, 측면성에 따라 매우 다양하게 나타날 수 있으며, 이는 진단과 치료에 중요한 고려 요소이다. 포도막염은 급성(3개월 미만의 갑작스러운 발병) 및 단상성, 급성 및 재발성, 또는 만성으로 구분될 수 있다.[12] 주요 증상은 다음과 같다:[1]
- 삼차 신경 자극에 의한 충혈, 눈부심, 통증, 눈물, 시력 저하, 비문증(날파리증), 조절 장애
- 모양체 충혈, 전방의 염증, 전방 축농, 축동, 유리체 혼탁, 유두 부종, 백내장, 안압 상승, 녹내장




4. 1. 일반적인 증상
포도막염의 징후와 증상은 다음과 같을 수 있다.[1]
- 삼차 신경 자극에 의한 충혈, 눈부심, 통증, 눈물, 시력 저하, 비문증, 조절 장애
- 모양충혈, 전방의 염증, 전방축농, 축동, 유리체 혼탁, 유두 부종, 백내장, 안압 상승, 녹내장
질병의 경과, 해부학적 구조, 측면성은 매우 다양할 수 있으며, 진단 및 치료에 있어 고려해야 할 중요한 요소이다. 포도막염은 급성(3개월 미만의 갑작스러운 발병) 및 단상성, 급성 및 재발성 또는 만성일 수 있다.[12]
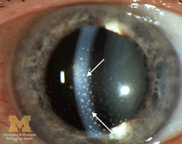
4. 2. 전방 포도막염의 추가 증상
전방 포도막염의 추가 증상은 다음과 같다.- 눈의 통증
- 눈의 충혈
- 흐린 시야
- 눈부심
- 불규칙한 동공
- 확장된 모양체 혈관, 전방 내의 세포 및 플레어(flare)의 존재, 각막 침착물("KP")이 각막 후면에 나타나는 현상[13]
- 심한 염증의 경우 전방축농[13]
- 오래된 포도막염은 렌즈의 색소 침착, KP, 동공 확장에 따른 가장자리 동공으로 식별 가능[13]
- 푸크스 이색 홍채모양체염 (FHI)과 같은 육아종성 전방 포도막염에서 홍채 표면에 위치한 염증성 결절인 ''Busacca 결절''[13]
- 유착: 홍채가 각막에 유착(전방 유착)되거나, 렌즈에 유착(후방 유착)되는 현상[13]
- 삼차 신경 자극에 의한 충혈, 눈부심, 통증, 눈물, 시력 저하, 비문증, 조절 장애[13]
- 모양체 충혈, 전방의 염증, 전방축농, 축동, 유리체 혼탁, 유두 부종, 백내장, 안압 상승, 녹내장[13]
- 주로 홍채에 발생하는 경우 홍채모양체염 또는 홍채염으로 부르기도 한다.[13]
4. 3. 중간 포도막염의 추가 증상
중간 포도막염은 보통 한쪽 눈에 영향을 미친다. 통증과 광선공포증이 나타나는 경우는 드물다.[14]4. 4. 후방 포도막염의 추가 증상
눈 뒤쪽의 염증은 일반적으로 다음과 같은 특징을 보인다.- 비문증
- 흐린 시야
모양체 충혈, 전방 염증, 전방축농, 축동, 유리체 혼탁, 유두 부종, 백내장, 안압 상승, 녹내장 등이 나타날 수 있다.
5. 병태 생리
포도막염의 발병은 눈 면역계의 실패로 인해 나타나며, 염증과 조직 파괴를 동반한다. 이 질환은 눈에서 발견되는 단백질에 특이적인 T 세포 수용체를 가진 Th17 T 세포에 의해 유발된다. 이러한 T 세포는 눈의 항원이 흉선에 제시되지 않거나 자가 표적화를 방지하기 위해 무반응 상태가 유도되어 중심적으로 삭제되지 않는 경우가 많다.
일반적으로 자가 반응성 T 세포는 눈의 미세아교세포와 수지상 세포에 의해 생성되는 억제 환경에 의해 억제된다. 이 세포들은 염증을 감소시키고 T 세포가 유도성 T 조절 세포로 분화하도록 유도하여 눈에 대한 손상을 방지하기 위해 다량의 TGF 베타 및 기타 억제 사이토카인 (예: IL-10)을 생성한다.
감염 등의 원인으로 이러한 균형이 깨지면 자가 반응성 T 세포가 증식하여 눈으로 이동할 수 있다. 눈에 들어간 후, 이 세포들은 미세아교세포에서 생성된 IL-10 및 TGF-베타에 의해 유도성 Treg 상태로 돌아갈 수 있지만, 이 과정이 실패하면 중성구 및 기타 백혈구가 IL-17 분비를 통해 유입된다. 조직 파괴는 비특이적 대식세포 활성화와 그 결과로 발생하는 사이토카인 연쇄 반응에 의해 매개된다.[15] 혈청 TNF-α는 이 질환에서 유의하게 상승하며, IL-6 및 IL-8은 활성 및 비활성 포도막염 환자의 방수에서 더 많은 양으로 존재한다.[16]
5. 1. 면역학적 요인
포도막염의 발병은 일반적으로 눈 면역계의 실패로 묘사될 수 있으며, 이 질환은 염증과 조직 파괴의 결과로 나타난다. 포도막염은 눈에서 발견되는 단백질에 특이적인 T 세포 수용체를 가진 Th17 T 세포 하위 집단에 의해 유발된다. 이는 종종 눈의 항원이 흉선에 제시되지 않거나 (따라서 음성 선택되지 않음) 자가 표적화를 방지하기 위해 무반응 상태가 유도되기 때문에 중심적으로 삭제되지 않는다.자가 반응성 T 세포는 일반적으로 눈의 미세아교세포와 수지상 세포에 의해 생성되는 억제 환경에 의해 억제되어야 한다. 이 세포들은 염증을 감소시키고 T 세포가 유도성 T 조절 세포로 분화하도록 유도하여 눈에 대한 손상을 방지하기 위해 다량의 TGF 베타 및 기타 억제 사이토카인 (예: IL-10)을 생성한다. 세균 및 세포 스트레스에 의한 선천 면역 자극은 일반적으로 골수 억제에 의해 억제되는 반면, 유도성 T 조절 세포는 눈에 손상을 일으킬 가능성이 있는 자가 반응성 Th1 및 Th17 세포의 활성화 및 클론 확장을 방지한다.
감염 또는 다른 원인으로 인해 이러한 균형이 깨질 수 있으며 자가 반응성 T 세포가 증식하여 눈으로 이동할 수 있다. 눈에 들어간 후, 이 세포들은 미세아교세포에서 생성된 IL-10 및 TGF-베타의 존재에 의해 유도성 Treg 상태로 다시 돌아갈 수 있다. 이 메커니즘의 실패는 중성구 및 기타 백혈구가 IL-17 분비를 통해 말초 혈액에서 유입되게 한다. 조직 파괴는 비특이적 대식세포 활성화와 그 결과로 발생하는 사이토카인 연쇄 반응에 의해 매개된다.[15] 혈청 TNF-α는 이 질환에서 유의하게 상승하며, IL-6 및 IL-8은 활성 및 비활성 포도막염 환자의 방수에서 유의하게 더 많은 양으로 존재한다.[16] 이들은 국소 대식세포를 비특이적으로 활성화하여 조직 손상을 일으키는 염증성 지표이다.
5. 2. 유전적 요인
비감염성 포도막염의 원인은 알려져 있지 않지만, 질병 발병에 취약하게 만드는 강력한 유전적 요인이 존재하며, 여기에는 HLA-B27[17][18] 및 PTPN22 유전자형이 포함된다.[19]5. 3. 감염원
포도막염은 눈 속 유기체에 의한 감염에 대응하기 위한 면역 반응일 수 있다. 이는 비감염성 원인보다 드물게 나타나며, 염증 조절 외에도 항균제, 항바이러스제, 항기생충제 치료가 필요하다. 전 세계적으로 질병 부담이 큰 순서대로 주요 감염성 원인은 다음과 같다.최근 연구에 따르면, 이전에는 특발성 전방 포도막염으로 분류되었던 질환의 발병에 단순 헤르페스, 수두 대상 포진 및 기타 바이러스의 재활성화가 중요한 원인으로 작용한다는 증거가 제시되었다.[20] 세균 감염 또한 포도막염 발병의 또 다른 주요 원인이다.[21]
6. 진단
포도막염은 산동 검사의 일부로 평가된다.[1] 진단에는 후부 포도막염을 배제하기 위한 산동 검안이 포함되며, 이는 망막 전체에 흰 반점과 함께 망막염 및 혈관염을 나타낸다.[1]
일반적으로 류마티스 검사(예: 항핵항체, 류마티스 인자) 및 감염성 질환에 대한 혈청 검사(매독, 톡소플라스마증, 결핵)를 포함하여 특정 기저 질환을 진단하기 위해 실험실 검사가 사용된다.
주요 조직 적합성 항원 검사는 포도막염에 대한 유전적 감수성을 조사하기 위해 수행될 수 있다. 가장 흔한 항원으로는 HLA-B27, HLA-A29(조류총망막맥락망막병증) 및 HLA-B51(베체트병)이 있다.
방사선 X-레이는 동반된 관절염을 보여주기 위해 사용될 수 있으며, 흉부 X-레이는 사르코이드증에 도움이 될 수 있다.
7. 치료
포도막염은 보통 당질 코르티코이드를 국소 점안액(프레드니솔론 아세테이트)이나 구강 요법으로 치료할 수 있다.[35] 글루코코르티코이드 스테로이드를 사용하기도 한다.[22] 코르티코스테로이드 투여 전에는 형광 염료 검사를 통해 각막 궤양을 배제해야 한다.[23] 코르티코스테로이드 외에도 아트로핀 또는 호마트로핀과 같은 국소 안구마비제를 사용할 수 있다. 활동성 포도막염의 성공적인 치료는 눈의 T 조절 세포를 증가시켜 질병의 퇴행에 기여할 가능성이 높다.[24]
심한 경우에는 눈의 부기를 줄이기 위해 후방 테논하 트리암시놀론 아세테이트 주사를 투여할 수도 있다.[25] 스테로이드의 유리체 내 주사는 매일 점안액을 사용할 필요 없이 더 오랫동안 염증을 조절하는 데 유용한 방법으로, 덱사메타손과 플루오시놀론 아세토니드는 비감염성 포도막염에 더 일반적으로 사용되는 두 가지 옵션이다.[26]
성인의 비감염성 포도막염에 대한 비생물학적, 스테로이드 절약 요법으로는 질병 수정 항류마티스 약물(DMARD)인 메토트렉세이트, 미코페놀레이트, 사이클로스포린, 아자티오프린 및 타크로리무스가 있다.[27] 메토트렉세이트는 대부분의 범포도막염 형태에서 염증 조절에 있어 미코페놀레이트보다 더 효과적이며, 안전성 결과에 거의 차이가 없었다.[27]
항대사 약물인 메토트렉세이트는 종종 난치성 또는 더 공격적인 포도막염에 사용된다. 인플릭시맙 또는 기타 항-TNF 주입을 사용한 실험적 치료법이 도움이 될 수 있다. 항당뇨병제인 메트포르민은 포도막염에서 염증을 유발하는 과정을 억제하는 것으로 보고되었다.[28]
헤르페스 포도막염의 경우 원인 바이러스 감염을 치료하기 위해 발라시클로비르 또는 아시클로비르와 같은 항바이러스제를 투여할 수 있다.[29] 원인 질환을 치료하는 동시에 눈 국소 치료도 진행한다. 포도막염은 눈의 국소 염증이 발생하므로, 스테로이드 점안, 경구 투여, 주사 또는 비스테로이드성 소염 진통제 점안을 시행한다. 항생제나 항바이러스제를 사용하기도 한다. 염증이 심한 경우, 안압 상승을 보이거나, 홍채가 수정체에 유착될 수 있다. 따라서 전자의 경우 녹내장 치료제를, 후자의 경우에는 예방 및 치료를 위해 산동제를 사용하기도 한다.
8. 역학
포도막염은 인구 4,500명 중 약 1명에게 발생하며, 20세에서 60세 사이에 가장 흔하게 나타나고 남녀의 발병률은 비슷하다. 서구 국가에서는 전방 포도막염이 전체 포도막염 사례의 50%에서 90%를 차지하는 반면, 아시아 국가에서는 28%에서 50% 사이이다.[30] 포도막염은 미국에서 발생하는 실명의 약 10%에서 20%를 차지하는 것으로 추정된다.[31]
비감염성 포도막염의 경우, 여성이 남성보다 더 영향을 받기 쉬운데(57%), 이는 자가면역 질환의 유병률이 여성에게서 더 높기 때문일 수 있다.[32] 비타민 D 결핍과 흡연은 비감염성 포도막염의 위험 요인으로 알려져 있다.[32]
9. 예후
일반적으로 신속한 진단과 치료를 받는 사람들에게는 예후가 좋지만, 치료하지 않고 방치할 경우 백내장, 포도막염 녹내장, 띠각막병증, 황반 부종, 영구적인 시력 손실과 같은 심각한 합병증이 발생할 수 있다.[1] 포도막염의 유형, 심각성, 지속 기간, 치료 반응 및 관련 질환 등 모든 요소가 예후에 영향을 미친다.[1]
참조
[1]
웹사이트
Uveitis
https://www.nei.nih.[...]
National Eye Institute, US National Institutes of Health
2021-11-16
[2]
논문
Standardization of uveitis nomenclature for reporting clinical data. Results of the First International Workshop
[3]
저널
Evolution and impact of eye and vision terms in written English
http://oculistmd.wor[...]
2013-12
[4]
저널
Anterior uveitis
https://linkinghub.e[...]
2018-01
[5]
서적
Robbins Basic Pathology
Saunders
[6]
저널
Systemic Manifestations of Iridocyclitis
https://www.research[...]
[7]
웹사이트
Uveitis
http://www.allaboutv[...]
2006-08-20
[8]
저널
A proposed classification of the immunological diseases
2006-08
[9]
웹사이트
Zika Can Also Strike Eyes of Adults: Report
https://consumer.hea[...]
[10]
웹사이트
Uveitis Associated with Rifabutin Therapy
https://www.cdc.gov/[...]
Morbidity and Mortality Weekly Report
1994-09-09
[11]
저널
Risk for uveitis with oral moxifloxacin: a comparative safety study
2015-01
[12]
저널
Uveitis for the non-ophthalmologist
https://www.bmj.com/[...]
2021-02-03
[13]
저널
Uveitis, Anterior, Granulomatous
http://emedicine.med[...]
eMedicine from WebMD
2010-02-25
[14]
저널
Intermediate uveitis
2010-01-02
[15]
저널
Tumour necrosis factor-mediated macrophage activation in the target organ is critical for clinical manifestation of uveitis
2012-05
[16]
저널
Intraocular and serum cytokine profiles in patients with intermediate uveitis
[17]
저널
What is new HLA-B27 acute anterior uveitis?
2011-04
[18]
저널
A look at autoimmunity and inflammation in the eye
2010-09
[19]
저널
Why is PTPN22 a good candidate susceptibility gene for autoimmune disease?
2011-12
[20]
저널
Viral anterior uveitis
2011-11
[21]
저널
Road to fulfilment: taming the immune response to restore vision
2012-01-01
[22]
저널
Systematic review on the effectiveness of immunosuppressants and biological therapies in the treatment of autoimmune posterior uveitis
2011-02
[23]
웹사이트
Fluorescein eye stain
https://www.nlm.nih.[...]
NIH
[24]
저널
Treg lymphocytes in autoimmune uveitis
2012-08
[25]
간행물
BNF
British National Formulary
2003-03
[26]
저널
Efficacy and safety of intravitreal and periocular injection of corticosteroids in noninfectious uveitis: a systematic review
https://linkinghub.e[...]
2022-07
[27]
저널
Non-biologic, steroid-sparing therapies for non-infectious intermediate, posterior, and panuveitis in adults
2022-10-31
[28]
웹사이트
Diabetes drug could treat leading cause of blindness
http://www.antaranew[...]
2012-05-08
[29]
웹사이트
Unsupported Browser
https://www.inkling.[...]
[30]
저널
Uveitis: a global perspective
2002-12
[31]
저널
Incidence and prevalence of uveitis in Northern California; the Northern California Epidemiology of Uveitis Study
2004-03
[32]
저널
Epidemiology and Risk Factors in Non-infectious Uveitis: A Systematic Review
2021-09-10
[33]
논문
Standardization of uveitis nomenclature for reporting clinical data. Results of the First International Workshop
[34]
저널
Evolution and impact of eye and vision terms in written English
http://oculistmd.wor[...]
[35]
저널
Systematic review on the effectiveness of immunosuppressants and biological therapies in the treatment of autoimmune posterior uveitis
2011-02
본 사이트는 AI가 위키백과와 뉴스 기사,정부 간행물,학술 논문등을 바탕으로 정보를 가공하여 제공하는 백과사전형 서비스입니다.
모든 문서는 AI에 의해 자동 생성되며, CC BY-SA 4.0 라이선스에 따라 이용할 수 있습니다.
하지만, 위키백과나 뉴스 기사 자체에 오류, 부정확한 정보, 또는 가짜 뉴스가 포함될 수 있으며, AI는 이러한 내용을 완벽하게 걸러내지 못할 수 있습니다.
따라서 제공되는 정보에 일부 오류나 편향이 있을 수 있으므로, 중요한 정보는 반드시 다른 출처를 통해 교차 검증하시기 바랍니다.
문의하기 : help@durumis.com
