유비저
"오늘의AI위키"의 AI를 통해 더욱 풍부하고 폭넓은 지식 경험을 누리세요.
1. 개요
유비저는 그람 음성 세균인 ''Burkholderia pseudomallei''에 의해 발생하는 감염성 질환으로, 주로 열대 지역에서 발생한다. 이 세균은 토양과 물에서 발견되며, 상처, 흡입 또는 섭취를 통해 인체에 침투하여 폐렴, 패혈증, 농양 등 다양한 증상을 유발한다. 유비저는 급성, 만성, 잠복 형태를 보이며, 잠복기는 수 시간에서 수십 년까지 다양하다. 진단은 세균 배양, 혈액 및 생화학 검사, 혈청학적 검사, 현미경 검사, 영상 검사 등을 통해 이루어진다. 현재 예방 백신은 없으며, 항생제를 이용한 치료가 이루어진다. 치료는 집중 치료 단계와 박멸 치료 단계로 나뉘며, 적절한 치료를 받으면 사망 위험을 줄일 수 있다.
유비저는 유비저균(Burkholderia pseudomallei|label=영어)이라는 그람 음성 간균에 의해 발생하는 질병이다.[107] 주로 흙이나 물에 서식하는 유비저균에 감염되어 나타나며, 잠복기는 1일에서 수십 년까지 매우 다양하다. 유비저균은 주로 물에 있기 때문에, 오염된 물을 마시거나 상처가 난 피부가 오염된 물에 닿으면 감염될 수 있다.
감염증법상 삼종 병원체로 지정되어 있으며, 당뇨병이나 면역 부전 외 기초 질환군에서 검출되기 쉽다.[107] 폐렴이나 패혈증을 일으키는데, 패혈증 상태에서의 치사율은 50%에서 90%로 매우 높다.[107]
유비저의 증상은 감염 경로, 숙주의 면역 상태 등에 따라 다양하게 나타난다. 잠복기는 1일에서 수십 년까지로 매우 폭넓으며, 평균 잠복기는 1~21일 정도이다. 잠복기 후에는 발열, 기침, 근육통 등 감기와 유사한 증상이 나타난다.[4] 감염이 진행되면 폐렴, 패혈증 등 심각한 증상으로 이어질 수 있으며, 발병까지의 기간은 수 시간에서 수십 년까지 다양하다.
2. 원인
최근에는 유비저가 원래 발생하던 지역 외의 다른 나라로도 퍼지고 있는 추세이다.
2. 1. 세균
유비저균(`Burkholderia pseudomallei|Burkholderia pseudomallei영어`)은 그람 음성, 호기성 간균이며 토양 세균이다.[107] 주로 동남아시아, 오세아니아 북부의 토양, 물가에 널리 분포하는 자연 토양 세균으로, 일본에는 분포하지 않는다. 유비저균은 감염증법의 특정 병원체 제3종으로 지정되어 있으며, BSL3, CDC category B로 분류된다.
대부분의 동물에게서 급성 증상으로 발열, 식욕 부진 등이 나타나고, 만성 증상으로는 식욕 부진, 기력 저하가 관찰된다. 돼지에게서는 불현성 감염을 보인다. 전신의 림프절과 여러 장기에 건락화 결절이나 농양을 형성한다(비저양 결절). 백신은 존재하지 않으며, 감염된 가축은 치료하지 않고 도살하는 것이 최선이다. 치료에는 미노사이클린이나 피페라실린 등이 효과적이다.[107] 감염에서 발병까지의 기간은 일정하지 않으며, 수 시간에서 20여 년까지 폭이 넓다.
2. 2. 전파
유비저균은 주로 토양과 지표수에 존재하며, 오염된 물이나 흙과의 접촉, 흡입, 섭취를 통해 전파된다. 사람 간 전염은 드물지만, 동물에서 인간으로의 전염 가능성도 있다. 주로 설치류의 감염증이지만, 종종 사람을 포함한 다양한 동물에 감염된다.[107] 수돗물 염소 처리가 부적절한 경우, 유비저균 발생과 관련이 있을 수 있다.
주로 동남아시아, 오세아니아 북부의 토양, 물가에 널리 분포하는 자연 토양 세균이다. 유비저균(Burkholderia pseudomallei|label=영어)은 그람 음성균이며 토양 세균이다. 오염된 토양이나 물로부터 경피적 또는 경구적으로 감염된다.
3. 병원성
4. 증상

만성 유비저는 증상이 2개월 이상 지속되는 경우로, 전체 환자의 약 10%에서 발생한다. 발열, 체중 감소, 객혈(피가 섞인 가래)을 동반하거나 동반하지 않는 기침 등 결핵과 유사한 증상이 나타날 수 있다.[1]
4. 1. 급성
평균 잠복기는 9일(범위 1~21일)이다.[1] 거의 익사한 경우에는 24시간 내에 증상이 나타날 수 있다.[43] 발열, 기침, 근육통 등 감기와 유사한 증상이 나타나며, 폐렴, 패혈증, 농양 등 심각한 증상으로 진행될 수 있다. 간, 비장, 폐, 전립선, 신장 등 다양한 장기에 영향을 미치며, 뇌척수염, 뇌 농양, 급성 신우신염, 패혈성 관절염, 골수염 등 심각한 합병증을 유발할 수 있다.[1]


감염 경과에 따라 다른 심각한 증상이 발생한다. 감염된 사람의 약 1~5%가 뇌척수염 또는 뇌 농양을 앓고, 14~28%는 급성 신우신염, 신장 농양 또는 전립선 농양을 앓고, 0~30%는 목 또는 이하선 농양을 앓고, 10~33%는 간, 비장 또는 장 주위 농양을 앓고, 4~14%는 패혈성 관절염 및 골수염을 앓는다.[1]
4. 2. 만성
만성 유비저는 증상이 2개월 이상 지속되는 경우를 말하며, 환자의 약 10%에서 발생한다.[1] 발열, 체중 감소, 객혈을 동반하거나 동반하지 않는 기침 등 결핵과 유사한 증상이 나타날 수 있다. 폐문의 림프절 비대 시에는 결핵을 고려해야 하며, 유비저에 의한 폐렴은 결핵과 달리 폐의 흉터 및 석회화를 드물게 유발한다. 또한 여러 신체 부위에 장기간 지속되는 농양이 나타나기도 한다.[16][7]
4. 3. 잠복
베트남 전쟁에 참전한 미국 군인들 사이에서 잠복기의 연장 가능성이 인식되었고, 이는 "베트남 시한폭탄"이라고 불렸다.[16] 처음에는 추정 노출과 임상 증상 발현 사이의 가장 긴 기간이 버마-태국-말레이시아의 포로에서 62년인 것으로 생각되었다.[8] 그러나 베트남 참전 용사에게서 분리된 세균의 후속 유전자형 분석 결과, 그 분리균이 동남아시아가 아닌 남아메리카에서 온 것일 수 있음이 밝혀졌다.[9] 이는 멜리오이드증의 최장 잠복기를 29년으로 보고한 또 다른 보고서를 재확인하는 것이다.[10] 잠복 멜리오이드증 환자는 수십 년 동안 증상이 없을 수 있다.[8] 모든 멜리오이드증 사례의 5% 미만이 잠복기 이후에 활성화된다.[1] 당뇨병, 신부전, 알코올 중독과 같은 다양한 동반 질환이 멜리오이드증의 재활성화를 유발할 수 있다.[16]
5. 진단
유비저 진단은 세균 배양, 혈액학적 검사, 혈청학적 검사, 현미경 검사, 영상 검사 등 다양한 방법으로 이루어진다. 유비저균 감염이 의심되면 가래, 소변, 혈액 검사로 확인 후 확진한다.[4] 감염증법상 제3급 감염병으로, 당뇨병이나 면역 저하 등 기저 질환이 있는 사람에게서 주로 발생한다.[107] 폐렴이나 패혈증을 일으키며, 패혈증의 경우 치사율이 50~90%로 매우 높다.[107]
일반 혈액 검사에서는 백혈구 수 감소, 간 효소 수치 상승, 빌리루빈 수치 증가, 요소 및 크레아티닌 수치 상승 등이 나타난다.[12] 낮은 혈당과 산증은 좋지 않은 예후를 의미한다.[12]
혈청 검사 중 하나인 간접 혈구 응집 반응 검사(IHA)로 유비저균 항체를 검출할 수 있지만, 지역별로 해석에 차이가 있을 수 있다.[1][14]
그람 염색 시 유비저균은 안전핀 모양의 양극성 염색을 보이는 그람 음성 막대균으로 관찰된다. 그러나 광학 현미경 검사는 특이도와 민감도가 모두 낮다.[1]
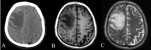
흉부 X선 촬영에서는 다양한 결절 병변, 융합되는 결절, 공동 등이 나타날 수 있다. CT 스캔은 간 농양에서 특징적인 "벌집 징후"를 보여주며, 뇌 유비저의 경우 MRI가 CT보다 병변 진단에 더 유용하다.[7]
5. 1. 배양
세균 배양은 유비저 진단의 표준 방법이지만, 민감도가 60% 정도로 제한적이다.[22] 유비저균(''B. pseudomallei'')은 인체 상재균이 아니므로, 세균 증식은 유비저를 진단할 수 있다. 혈액, 가래, 소변, 농양 등 다양한 검체에서 유비저균을 배양할 수 있다.[1] 그러나 뇌척수액 배양은 어려운데, 한 연구에서 신경유비저 환자의 29%만이 배양 양성이었다.[7] 유비저가 강력히 의심되지만 세균이 증식하지 않으면 반복 배양 검사를 해야 한다.[1]유비저균은 모든 혈액 한천 배지, 맥콘키 한천, Ashdown 배지(겐타마이신 함유),[7] Ashdown 배양액(콜리스틴 함유)[14]에서 배양할 수 있다.[7] 유비저 검사를 위한 한천 배지는 37°C의 공기 중에서[16] 4일 동안 매일 검사한다. 한천 배지에서 유비저균은 2일 배양 후 크림색의 비용혈성 콜로니를 형성하고, 4일 후에는 건조하고 주름진 모양을 나타낸다.[1] Francis 배지(겐타마이신 농도를 높이고 지시약을 변경한 Ashdown 배지의 변형)에서 배양된 유비저균의 콜로니는 노란색이다.[23] Ashdown 배지를 사용할 수 없는 경우 ''Burkholderia cepacia'' 선택적 한천을 사용할 수 있다.[16]
세균 증식을 ''Pseudomonas'' 또는 ''Bacillus'' 종으로 오인하지 않는 것이 중요하다. 그람 염색, 산화 효소 검사, 특정 항생제에 대한 내성을 결합한 API 20NE 또는 20E 생화학 키트 등 다른 생화학적 도구도 유비저균 검출에 사용될 수 있다.[14] API 20NE 키트는 유비저균 식별에 99% 민감도를 보인다.[7]
16S rDNA 염기서열 분석, 다중 중합효소 연쇄 반응(PCR), 실시간 PCR과 같은 분자 방법도 배양에서 유비저균을 식별하는 데 사용될 수 있다.[1][24][25][26] 다른 세균 유전자(fliC, rpsU, TTS 유전자 등)도 검출에 사용되었으며, TTS1 유전자 검출을 위한 다중 교차 치환 증폭은 한 시간 내에 결과를 생성한다.[26]
5. 2. 혈액 및 생화학 검사
유비저균 감염이 의심되면 가래, 소변, 혈액 검사를 통해 확진한다.[4] 일반 혈액 검사에서 멜리오이드증 환자는 백혈구 수 감소(감염 징후), 간 효소 수치 상승, 빌리루빈 수치 증가(간 기능 장애 징후), 요소 및 크레아티닌 수치 상승(신장 기능 장애 징후)을 보인다.[12] 낮은 혈당과 산증은 좋지 않은 예후를 시사한다.[12] 그러나 C-반응 단백질, 프로칼시토닌 수치와 같은 검사들은 멜리오이드증 감염 심각도를 예측하는 데는 신뢰성이 떨어진다.[12]5. 3. 혈청학적 검사


혈청 검사의 일종인 간접 혈구 응집 반응 검사(IHA)는 유비저균(''B. pseudomallei'')에 대한 항체를 검출하는 데 사용된다. 그러나 이 검사의 해석은 지역에 따라 다를 수 있다. 예를 들어, 호주에서는 인구의 5% 미만이 유비저균 항체를 가지고 있어 낮은 항체 수치도 유비저를 시사할 수 있지만, 태국과 같이 유비저균 항체 보유자가 많은 지역에서는 혈청 검사만으로 유비저를 진단하기 어렵다.[1][14] 간접 면역 형광 검사(IFAT)는 ''B. pseudomallei'' 또는 ''B. thailandensis'' 항원을 사용하여 혈청 내 총 항체 수를 확인하지만, 노동 집약적이어서 대규모 조사에는 적합하지 않다.[27]
항원 검출 검사는 유비저를 신속하게 진단할 수 있게 해준다. 라텍스 응집 반응 검사와 ELISA가 그 예이다. 라텍스 응집 반응은 라텍스 비드에 코팅된 항체를 이용하여 고체 또는 액체 배지에서 ''B. pseudomallei'' 항원을 검출하지만, 모든 검사가 다른 ''Burkholderia'' 종을 검출할 수 있는 것은 아니다.[28] 라텍스 응집 반응은 ''B. pseudomallei'' 콜로니가 의심되는 경우 선별 검사에 유용하다.[1] IgG 및 IgM ELISA는 ''B. pseudomallei''의 지질다당류(LPS) 항원을 검출하는 데 사용되지만, 민감도가 낮아 문제가 있다.[29] 유비저에 대한 상업용 ELISA 키트는 낮은 민감도 때문에 더 이상 판매되지 않는다.[7] 그러나 항원 검출 검사는 세심한 환자에게 유용할 수 있는데, 이는 박테리아 부하가 검출될 정도로 높기 때문이다. 단클론 항체를 사용하는 직접 면역 형광법, 항체 샌드위치 ELISA 및 측면 유동 검사와 같은 다른 항원 검출 방법도 있다.[29]
5. 4. 현미경 검사
그람 음성 및 막대 모양의 유비저균(''B. pseudomallei'')은 현미경 검사를 통해 관찰할 수 있으며, 안전핀과 유사한 양극성 염색을 보인다. 그러나 광학 현미경 검사로 식별하는 것은 특이적이지도, 민감하지도 않다.[1] 임상 검체에서 박테리아를 직접 검출하는 데 사용되는 면역형광 현미경은 매우 특이적이지만, 민감도는 50% 미만이다.[1][14]5. 5. 영상 검사
흉부 X-ray는 다발성 결절 병변이나 융합되는 결절, 공동을 보여줄 수 있다. 혈류 확산이 없는 급성 유비저의 경우, 흉부 X-ray는 상엽 경결 또는 공동을 보여준다.[7] 만성 유비저에서는 폐의 상엽 경결이 서서히 진행되어 결핵과 유사하다.[7] 폐 이외의 간과 비장 농양의 경우, CT 스캔이 초음파 스캔보다 더 민감하다. CT 스캔은 간 농양에서 "벌집 징후"(얇은 중격으로 분리된 격실이 있는 농양)를 보여준다.[7] 뇌를 침범하는 유비저의 경우, MRI가 CT 스캔보다 병변 진단에 더 민감하며, 고리 강화 병변을 보여준다.[7]6. 예방
유비저 예방을 위해 다양한 노력이 필요하다. 현재 예방 백신은 개발되지 않았지만,[7] 열대 지역 여행 시 물을 자주 끓여 먹고 비가 온 뒤 물웅덩이를 피하는 등 감염 예방 수칙을 지켜야 한다. 유비저 발생 국가에서는 맨발로 다니지 말고, 면역력이 약한 어린이, 노약자, 만성 질환자, 임산부는 해당 국가 여행을 자제하는 것이 좋다.
6. 1. 일반적 예방
유비저는 호주에서 보고 의무 질환이며[7], 태국에서는 2016년부터 보고 의무 질환이다.[7][30] 호주는 질병 감시 및 유행 억제를 위해 보고 의무 질환으로 지정하고, 지역 사회의 이해를 높이기 위한 인식 개선 캠페인도 시작했다.[7]일반적인 예방 조치는 다음과 같다.
- 물 안전 관리:
- 호주에서는 대규모 수돗물 염소 소독을 통해 물 속의 유비저균을 줄이는 데 성공했다.[34][1]
- 중·저소득 국가에서는 물을 끓여 마시는 것이 권장된다.[1]
- 고소득 국가에서는 유비저 감염 위험이 있는 사람들을 위해 자외선으로 물을 처리할 수 있다.[35][1]
- 개인 위생 관리:
- 유행 지역에서는 흙과의 직접 접촉, 폭우나 먼지 구름 노출을 피해야 한다.[36][1]
- 생수나 끓인 물을 마시는 것이 좋다.[36][1]
- 유비저균과 접촉 위험이 높은 사람은 작업 시 부츠, 장갑 등 보호 장비를 착용해야 한다.[1]
- 의료 서비스 제공자는 손 위생을 실천하고 보편적 주의를 기울여야 한다.[1]
하지만 2014년부터 2018년까지 수행된 연구에 따르면, 이러한 행동 변화가 유비저 감염 위험을 유의미하게 줄이는지는 확실하지 않다. 따라서 행동 변화를 수정하거나 더 자주 중재해야 할 수도 있다.[37]
6. 2. 항생제 예방
유비저균에 노출된 후(특히 실험실 사고, 관통상, 오염 물질 또는 에어로졸에 입과 눈이 노출된 후) 항생제 치료는 약물의 부작용 위험과 멜리오이드증에 걸릴 위험을 신중하게 비교하여 선택된 개인에게만 투여한다. 이 경우 코트리목사졸을 사용할 수 있다. 코아목시클라브와 독시사이클린은 코트리목사졸에 내성이 있는 사람에게 사용할 수 있다. 위험이 낮은 사람은 빈번한 모니터링을 받게 된다.[39] 투석 환자의 경우 우기 동안 주 3회 코트리목사졸을 투여하는 것은 멜리오이드증 예방에 뚜렷한 이점이 없다. 또한 이 약물의 높은 비용과 부작용으로 인해 멜리오이드증에 걸릴 위험이 높은 사람에게만 사용이 제한된다.[38]6. 3. 백신
현재까지 사람에게 사용 가능한 유비저 백신은 없다.[7] 여러 백신 후보가 동물 모델에서 시험되었지만, 사람에게 시도된 백신 후보는 없다.[7] 백신 개발의 주요 걸림돌은 동물 모델에서의 제한된 효능, 사람에게 최적의 백신 투여 방법 확립, 유행 지역에서 인체 실험을 실시하는 데 따르는 물류 및 재정 문제 등이다.[7]7. 치료
유비저 치료는 정맥 투여를 통한 집중 치료와 재발 방지를 위한 박멸 치료의 두 단계로 나뉜다.[1] 1989년 이전에는 클로람페니콜, 코트리목사졸, 독시사이클린을 함께 사용하는 치료법이 표준이었으나, 사망률이 80%에 달해 현재는 다른 대안이 없을 때만 사용된다.[41]
세프타지딤, 메로페넴, 이미페넴, 아목시실린-클라불란산염 등의 항생제가 일반적으로 유비저균(''B. pseudomallei'')을 죽이는 데 사용된다.[1] 독시사이클린, 클로람페니콜, 코트리목사졸 등은 세균의 성장을 억제하는 효과가 있다.[1] 그러나 유비저균은 페니실린, 암피실린, 1세대 및 2세대 세팔로스포린, 겐타마이신, 스트렙토마이신, 토브라마이신, 마크로라이드, 폴리믹신에는 내성을 보인다.[1]
급성 유비저는 폐렴이나 패혈증을 일으키며, 패혈증 상태에서의 치사율은 50%에서 90%로 매우 높다.[107] 만성 유비저는 수술로 고름을 제거하고 술폰아미드와 같은 항생제를 사용하면 거의 완치된다.[107]
7. 1. 집중 치료
정맥 투여 세프타지딤은 현재 급성 유비저 치료에 선택되는 약물이며 최소 10~14일 동안 투여해야 한다.[1] 메로페넴, 이미페넴, 세포페라존-설박탐 복합제(술페라존) 또한 효과적이다.[1] 이 약물들 중 어느 것도 사용할 수 없는 경우, 정맥 투여 아목시실린-클라불란산염(코-아목시클라브)을 사용할 수 있다.[1] 코-아목시클라브는 세프타지딤과 마찬가지로 유비저로 인한 사망을 예방한다.[43] 정맥 항생제는 최소 10~14일 동안 투여하며, 유비저의 평균 발열 소실 시간은 9일이다.[1]메로페넴은 신경계 유비저 환자와 패혈성 쇼크로 중환자실에 입원한 환자에게 선호되는 항생제 치료법이다. 신경계 유비저, 골수염, 패혈성 관절염, 피부 및 위장관 감염, 깊숙한 부위의 농양에는 세프타지딤 외에 코트리목사졸이 권장된다.[46]
7. 2. 박멸 치료
급성 질환 치료 후, 코트리목사졸을 이용한 근절 치료가 선택 약물이며 3개월(12주) 동안 사용해야 한다.[49] 신경계 멜리오이드증 및 골수염 환자의 경우 6개월 이상 약물을 투여해야 한다. 코아목시클라브와 독시사이클린은 두 번째 선택 약물이다. 포도당-6-인산 탈수소 효소 결핍증 환자에게는 용혈성 빈혈을 유발할 수 있으므로 코트리목사졸을 사용해서는 안 된다.[1] 그러나 태국에서는 코트리목사졸 사용 시 G6PD 검사를 동반하지 않는다.[1] 발진, 고칼륨혈증, 신장 기능 부전, 위장 증상과 같은 다른 부작용이 나타나면 코트리목사졸의 용량을 줄여야 한다. 클로람페니콜은 더 이상 이 목적으로 일상적으로 권장되지 않는다. 코아목시클라브는 코트리목사졸과 독시사이클린을 복용할 수 없는 환자(예: 임산부와 12세 미만 어린이)에게 대안이 될 수 있지만, 효과가 떨어지고 재발률이 더 높다. 경구 근절 단계에서 플루오로퀴놀론 단독 치료(예: 시프로플록사신) 또는 독시사이클린은 효과가 없다.[1]호주에서는 코트리목사졸이 임신 12주 이후의 어린이와 임산부에게 사용된다. 한편, 태국에서는 코아목시클라브가 어린이와 임산부에게 선택되는 약물이다.[1] ''B. pseudomallei''는 코아목시클라브를 사용할 때 드물게 내성을 획득한다.[47] 근절 단계에서 코트리목사졸(트리메토프림/설파메톡사졸)의 투여 요법은 다음과 같다.
- 어린이: 최대 240mg
- 체중 40~60 kg 성인: 240mg
- 체중 60 kg 초과 성인: 320mg
위 용량을 12시간마다 경구 투여한다.[46] 태국과 호주 모두에서 코트리목사졸은 엽산과 함께 복용한다(어린이의 경우 0.1mg/kg, 최대 5 mg).[1][46] 또한 내부 장기나 패혈증의 관여 없이 피부 증상만 있는 경우, 집중 치료를 거치지 않고 3개월 동안 코트리목사졸로 멜리오이드증을 성공적으로 치료한 사례도 있다.[1] 아시아에서는 코트리목사졸에 대한 내성이 드물다.[50]
7. 3. 수술
간, 근육, 전립선에 생긴 단일 대형 농양은 수술적 배농이 필요할 수 있다.[1] 패혈성 관절염의 경우 관절 절개술 세척 및 배농, 변연 절제술이 필요할 수 있다.[1] 진균성 동맥류 환자는 인공 혈관 이식 수술이 필요하다.[53] 대부분의 농양은 항생제 치료로 해결되므로 다른 농양은 드물게 배농이 필요하다.[1] 전립선 농양은 정기적인 영상 검사가 필요할 수 있으며, 10~15mm 이상인 경우에만 수술적 배농이 필요하다.[54][55][56]7. 4. 기타 치료
과립구 집락 자극 인자(G-CSF) 투여는 패혈성 쇼크 환자에게 면역 조절 치료법으로 권장되며, 배양 검사 결과가 ''Burkholderia pseudomallei''로 판명되는 즉시 매일 300µg을 투여한다.[46] G-CSF 투여의 주요 금기 사항은 심장 관련 사건이다. G-CSF는 임상 반응에 따라 또는 백혈구 수치가 50,000 X106/L를 초과하는 등의 금기 사항이 발생할 때까지 10일 동안 계속 투여한다.[46]항-PDI (프로그램된 세포 사멸) 제제는 특히 패혈성 쇼크 환자의 유비저 치료에 유용할 수 있는데, 이는 ''Burkholderia pseudomallei'' 박테리아가 유비저와 싸우는 데 필수적인 T 세포 형성을 조절하고 억제하는 PDI-1의 발현을 증가시키기 때문이다.[57]
8. 예후
적절한 치료를 받으면 사망 위험을 10%까지 낮출 수 있지만, 자원 빈곤 환경에서는 사망 위험이 40%를 넘는다.[1] 재발성 유비저는 재감염 또는 박멸 치료 후 재발로 인해 발생할 수 있다. 재감염은 새로운 ''B. pseudomallei'' 박테리아 균주로 인해 발생하며, 재발은 박멸 치료 후 감염을 제거하지 못해 발생한다. 2014년 이후 항생제 치료 개선과 치료 집중 단계 연장으로 인해 재발성 유비저는 드물다.[58]
악화는 박멸 치료 중 증상이 나타나는 환자에게서 나타나며, 완전한 박멸 치료 과정을 준수함으로써 개선될 수 있다.[59]
당뇨병, 만성 신장 질환, 암과 같은 기저 질환은 감염에서 회복된 환자의 장기 생존과 장애를 악화시킬 수 있다. 유비저의 합병증 중 하나는 뇌척수염이다. 이는 사지마비(모든 사지의 근력 약화), 부분적 이완성 하지 마비(두 다리의 근력 약화), 또는 족하수를 유발할 수 있다. 과거 유비저 관련 뼈 및 관절 감염이 있었던 환자의 경우, 누관 감염, 제한된 운동 범위의 뼈 및 관절 변형과 같은 합병증이 발생할 수 있다.[1] 폐렴이나 패혈증을 일으키기도 하며 패혈증 상태에서의 치사율은 50% - 90%로 매우 높다.[107]
9. 역학
유비저는 개발도상국에서 여전히 풍토병으로 남아있는 연구가 부족한 질병이다. 2016년 통계 모델에 따르면, 연간 165,000건의 발병이 예측되며 그중 절반가량(54%)이 사망할 것으로 예상된다.[1] 동남아시아 (태국,[63] 라오스,[64] 싱가포르,[65] 브루나이,[66] 말레이시아,[67] 미얀마,[68] 및 베트남[69] 포함), 중국 남부,[70] 대만,[71] 호주 북부,[72], 인도,[73] 그리고 남아메리카[74] 지역에 유행한다.
미국에서는 해외여행과 관련 없는 유비저 사례가 보고되고 있으며,[14][77] 오염된 아로마 테라피 스프레이,[78] 수족관 열대어 감염 사례도 있다.[79]
모든 연령대에서 발생할 수 있으며,[1] 호주와 태국에서는 감염 환자의 중간 연령이 50세이고, 환자의 5~10%가 15세 미만이다.[1] 당뇨병이 가장 큰 위험 요인이며,[81] 유비저 환자의 50% 이상이 당뇨병을 앓고 있고, 당뇨병 환자는 유비저에 걸릴 위험이 12배 더 높다.[1] 그 외 위험 요인으로는 위험한 알코올 섭취, 만성 신장 질환, 만성 폐 질환 등이 있다.[81]
이 질병은 강수량 증가와 관련이 있으며, 심한 강우는 표토에서 세균의 농도를 증가시켜 공기를 통한 세균 전파를 증가시킨다.[7]
10. 역사
1912년, 병리학자 알프레드 휘트모어(Alfred Whitmore)와 그의 조수 크리슈나스와미는 당시 미얀마의 랑군에서 부검을 통해 거지와 모르핀 중독자들 사이에서 유비저를 처음 보고했다.[83] 휘트모어는 이 병원체를 배양하고 ''Bacillus pseudomallei''로 명명했지만, 추가 연구는 수행하지 않았다.[84]
1917년, 말라야 연방 의학 연구소(IMR)의 의사 윌리엄 플레처와 앰브로스 토마스 스탠튼은 타밀 고무 농장 노동자로부터 휘트모어의 바실루스와 유사한 병원체를 분리하여 새로운 세균 종의 존재를 확인했다.[84] 1921년에는 "유비저"라는 용어가 처음 만들어졌는데, 이는 그리스어 ''melis''(당나귀의 질병)와 접미사 -oid(유사한), -osis(상태)를 합쳐 "말라리아와 유사한 상태"를 의미한다.[86]
1937년, 물이 ''B. pseudomallei''의 서식지로 처음 확인되었다.[91] 1949년에는 호주 노스 퀸즐랜드에서 양에게 발생한 유비저가 처음 보고되었고,[92] 1950년 타운스빌에서 인간 유비저의 첫 사례가 발생했다.[92]
1967년부터 1973년까지 베트남 전쟁 동안 343명의 미국 군인이 유비저에 감염된 것으로 보고되었다.[93]
1989년, 태국에서 수행된 연구를 통해 세프타지딤이 유비저에 효과적인 항생제로 입증되었다.[89] 세프타지딤은 유비저로 인한 사망 위험을 74%에서 37%로 감소시키는 것으로 나타났다.[95]
2002년, ''B. pseudomallei''는 "카테고리 B 에이전트"로 분류되었고,[97] 2012년에는 미국 질병통제예방센터에 의해 "Tier 1 선택 에이전트"로 분류되었다.[98]
11. 생물학 무기
유비저가 생물학적 무기로 개발될 가능성이 있어 관심이 쏠리고 있다. 또 다른 유사한 세균인 Burkholderia mallei|버크홀데리아 말레이영어(''Burkholderia mallei'')는 제1차 세계 대전 당시 독일군에 의해 연합국으로 수송되는 가축을 감염시키는 데 사용되었다.[105] 제2차 세계 대전 중 일본군은 중국 핑팡 구(Pingfang District)에서 ''B. mallei''를 사용하여 인간 포로와 동물을 고의적으로 감염시켰다.[12] 소련은 1982년과 1984년 소련-아프가니스탄 전쟁 당시 ''B. mallei''를 사용한 것으로 알려졌다.[105] ''B. pseudomallei''는 ''B. mallei''와 마찬가지로 미국[104]과 소련 모두 잠재적인 생물학적 무기 물질로 연구했지만, 무기화되지는 않았다.[105] 이란, 이라크, 북한, 시리아 등 다른 국가들도 생물학 무기용으로 ''B. pseudomallei''의 특성을 조사했을 수 있다.[16] 이 세균은 환경에서 쉽게 구할 수 있으며, 에어로졸화되어 흡입을 통해 전염될 수 있다.[16] 그러나 ''B. pseudomallei''는 생물학전에 사용된 적이 없다.[16] ''B. pseudomallei'' 또는 ''B. mallei''의 고의적인 살포에 대한 실제 위험은 알려져 있지 않다.[106]
참조
[1]
논문
Melioidosis
2018-02
[2]
논문
Trimethoprim+Sulfamethoxazole Reduces Rates of Melioidosis in High-Risk Hemodialysis Patients
2018-01
[3]
논문
Predicted global distribution of ''Burkholderia pseudomallei'' and burden of melioidosis
2016-01
[4]
논문
Melioidosis
https://en.wikiversi[...]
2022
[5]
논문
Cutaneous melioidosis: a review of the literature
2019-02
[6]
논문
The Darwin Prospective Melioidosis Study: a 30-year prospective, observational investigation
https://ora.ox.ac.uk[...]
2021-12
[7]
논문
Human Melioidosis
2020-03
[8]
논문
Cutaneous melioidosis in a man who was taken as a prisoner of war by the Japanese during World War II
2005-02
[9]
논문
Phylogeography of Burkholderia pseudomallei Isolates, Western Hemisphere
2017-07
[10]
논문
Septicemia and suppuration in a Vietnam veteran
1997-05
[11]
논문
Melioidosis: An updated review
2019-05
[12]
논문
Melioidosis: epidemiology, pathophysiology, and management
2005-04
[13]
논문
Global and regional dissemination and evolution of Burkholderia pseudomallei
2017-01
[14]
논문
Melioidosis: evolving concepts in epidemiology, pathogenesis, and treatment
2015-02
[15]
논문
Structural flexibility in the Burkholderia mallei genome
2004-09
[16]
논문
Melioidosis: a review
2014-10-30
[17]
논문
A cluster of melioidosis cases from an endemic region is clonal and is linked to the water supply using molecular typing of Burkholderia pseudomallei isolates
2001-09
[18]
논문
Acute melioidosis outbreak in Western Australia
1999-12
[19]
논문
Melioidosis caused by Burkholderia pseudomallei in drinking water, Thailand, 2012
2014-02
[20]
논문
Molecular phylogeny of Burkholderia pseudomallei from a remote region of Papua New Guinea
2011-03
[21]
논문
Melioidosis of the central nervous system; impact of the bimABm allele on patient presentation and outcome
2022-02
[22]
논문
Defining the true sensitivity of culture for the diagnosis of melioidosis using Bayesian latent class models
2010-08
[23]
논문
An improved selective and differential medium for the isolation of Burkholderia pseudomallei from clinical specimens
2006-06
[24]
논문
Development of a multiplex PCR assay for rapid identification of Burkholderia pseudomallei, Burkholderia thailandensis, Burkholderia mallei and Burkholderia cepacia complex
2012-09
[25]
논문
Use of 16S rRNA gene sequencing for rapid identification and differentiation of Burkholderia pseudomallei and B. mallei
2003-10
[26]
논문
Reliable detection of Burkholderia pseudomallei using multiple cross displacement amplification label-based biosensor
2022-03
[27]
논문
Potential immunogenic polypeptides of Burkholderia pseudomallei identified by shotgun expression library and evaluation of their efficacy for serodiagnosis of melioidosis
2013
[28]
논문
Accuracy of Burkholderia pseudomallei identification using the API 20NE system and a latex agglutination test
2007-11
[29]
논문
Laboratory diagnosis of melioidosis: past, present and future
2015-06
[30]
논문
Clinical Epidemiology of 7126 Melioidosis Patients in Thailand and the Implications for a National Notifiable Diseases Surveillance System
2019-12
[31]
논문
Imported melioidosis in the United Kingdom: Increasing incidence but continued under-reporting
2020-10
[32]
서적
Biosafety in Microbiological and Biomedical Laboratories
National Institutes of Health
[33]
논문
Burkholderia pseudomallei: Challenges for the Clinical Microbiology Laboratory-a Response from the Front Line
2017-03
[34]
논문
The effect of free chlorine on Burkholderia pseudomallei in potable water
https://researchrepo[...]
2003-11
[35]
논문
Melioidosis from contaminated bore water and successful UV sterilization
2013-08
[36]
논문
Activities of daily living associated with acquisition of melioidosis in northeast Thailand: a matched case-control study
2013
[37]
논문
Effectiveness of a multifaceted prevention programme for melioidosis in diabetics (PREMEL): A stepped-wedge cluster-randomised controlled trial
2021-06
[38]
논문
Antibiotic Prophylaxis for Melioidosis in Patients Receiving Hemodialysis in the Tropics? One Size Does Not Fit All
2018-09
[39]
논문
Workshop on treatment of and postexposure prophylaxis for Burkholderia pseudomallei and B. mallei Infection, 2010
2012-12
[40]
논문
Burkholderia pseudomallei isolates from Sarawak, Malaysian Borneo, are predominantly susceptible to aminoglycosides and macrolides
2014-01
[41]
논문
Halving of mortality of severe melioidosis by ceftazidime
1989-09
[42]
논문
Interactions in vitro between agents used to treat melioidosis
1989-09
[43]
서적
Mandell, Douglas, and Bennett's Principles and Practice of Infectious Diseases
Elsevier
2015
[44]
논문
Consensus guidelines for dosing of amoxicillin-clavulanate in melioidosis
2008-02
[45]
논문
Ceftazidime vs. amoxicillin/clavulanate in the treatment of severe melioidosis
1994-11
[46]
논문
2020 Review and revision of the 2015 Darwin melioidosis treatment guideline; paradigm drift not shift
2020-09
[47]
논문
Treatment and prophylaxis of melioidosis
2014-04
[48]
논문
The role of cefoperazone-sulbactam for treatment of severe melioidosis
2002-03
[49]
논문
A Comparison Between 12 Versus 20 Weeks of Trimethoprim-sulfamethoxazole as Oral Eradication Treatment for Melioidosis: An Open-label, Pragmatic, Multicenter, Non-inferiority, Randomized Controlled Trial
2021-12
[50]
논문
Trimethoprim/sulfamethoxazole resistance in Burkholderia pseudomallei
2014-10
[51]
논문
Trimethoprim/sulfamethoxazole resistance in clinical isolates of Burkholderia pseudomallei from Thailand
2015-05
[52]
논문
Interpreting Burkholderia pseudomallei disc diffusion susceptibility test results by the EUCAST method
2021-06
[53]
논문
Mycotic aneurysm due to Burkholderia pseudomallei infection: case reports and literature review
2005-01
[54]
논문
Prostatic Abscess due to ''Burkholderia pseudomallei'': Facilitating Diagnosis to Optimize Management
2018-01
[55]
논문
Melioidotic prostatic abscess in Pahang
2009-04
[56]
논문
Prostatic abscess due to Burkholderia pseudomallei: 81 cases from a 19-year prospective melioidosis study
2009-08
[57]
논문
Programmed death ligand 1 on Burkholderia pseudomallei-infected human polymorphonuclear neutrophils impairs T cell functions
2015-05
[58]
논문
Recurrent Melioidosis in the Darwin Prospective Melioidosis Study: Improving Therapies Mean that Relapse Cases Are Now Rare
2014-02
[59]
논문
Intravenous Therapy Duration and Outcomes in Melioidosis: A New Treatment Paradigm
2015-03-26
[60]
논문
Predicted global distribution of Burkholderia pseudomallei and burden of melioidosis
2016-01-11
[61]
논문
Global burden of melioidosis in 2015: a systematic review and data synthesis
2019-08
[62]
논문
A call to action: time to recognise melioidosis as a neglected tropical disease
https://researchonli[...]
2022-06-22
[63]
논문
Melioidosis in Thailand: Present and Future
2018-04-08
[64]
논문
Melioidosis in the Lao People's Democratic Republic
2018-02-19
[65]
논문
Melioidosis in Singapore: Clinical, Veterinary, and Environmental Perspectives
2018-03-12
[66]
논문
Melioidosis in Brunei Darussalam
2018-02-19
[67]
논문
Melioidosis in Malaysia: Incidence, Clinical Challenges, and Advances in Understanding Pathogenesis
2018-02-27
[68]
논문
Melioidosis in Myanmar
2018-03-01
[69]
논문
Melioidosis in Vietnam: Recently Improved Recognition but still an Uncertain Disease Burden after Almost a Century of Reporting
2018-04-09
[70]
논문
Endemic Melioidosis in Southern China: Past and Present
2019-02-25
[71]
논문
Transmission Modes of Melioidosis in Taiwan
2018-02-28
[72]
논문
Melioidosis: An Australian Perspective
2018-03-01
[73]
논문
Melioidosis in South Asia (India, Nepal, Pakistan, Bhutan and Afghanistan)
2018-05-22
[74]
논문
Melioidosis in South America
2018-06-05
[75]
논문
Melioidosis in Bangladesh: A Clinical and Epidemiological Analysis of Culture-Confirmed Cases
2018-04-09
[76]
논문
Melioidosis in Africa: Time to Uncover the True Disease Load
2018-06-10
[77]
논문
Melioidosis in a Resident of Texas with No Recent Travel History, United States
2020-06
[78]
논문
Multistate Outbreak of Melioidosis Associated with Imported Aromatherapy Spray
2022-03
[79]
논문
Human Melioidosis Caused by Novel Transmission of Burkholderia pseudomallei from Freshwater Home Aquarium, United States
2021-12
[80]
논문
A review of melioidosis cases imported into Europe
2019-03-25
[81]
논문
Risk factors for melioidosis and bacteremic melioidosis
[82]
웹사이트
Melioidosis Locally Endemic in Areas of the Mississippi Gulf Coast after Burkholderia pseudomallei Isolated in Soil and Water and Linked to Two Cases – Mississippi, 2020 and 2022
https://www.emergenc[...]
CDC
2022-08-05
[83]
논문
A Hitherto Undescribed Infective Disease in Rangoon
1912
[84]
논문
Melioidosis, the Vietnamese time bomb
2020-06-04
[85]
논문
Sherlock Holmes and a biological weapon
http://www.jrsm.org/[...]
2002-02
[86]
서적
Far Eastern Association of Tropical Medicine: Transactions of the Fourth Congress
Javasche Boekhandel en Drukkerij
[87]
논문
Multilocus sequence typing and evolutionary relationships among the causative agents of melioidosis and glanders, Burkholderia pseudomallei and Burkholderia mallei
2003-05
[88]
논문
Melioidosis
1959-04-11
[89]
서적
Melioidosis: A Century of Observation and Research
Elsevier B.V.
[90]
논문
Autochthonous Melioidosis in Humans, Madagascar, 2012 and 2013
2014-10
[91]
논문
Systematic Review and Consensus Guidelines for Environmental Sampling of Burkholderia pseudomallei
2013
[92]
논문
The epidemiology of melioidosis in Australia and Papua New Guinea
2000-02
[93]
논문
Melioidosis—a military medical problem?
1963
[94]
논문
'L'affaire du Jardin des plantes' ou comment le mélioïdose fit son apparition en France
[95]
논문
Halving of mortality of severe melioidosis by ceftazidime
[96]
논문
Proposal of Burkholderia gen. nov. and transfer of seven species of the genus Pseudomonas homology group II to the new genus, with the type species Burkholderia cepacia (Palleroni and Holmes 1981) comb. nov
[97]
논문
Public Health Assessment of Potential Biological Terrorism Agents
2002-02
[98]
논문
Tracing melioidosis back to the source: using whole-genome sequencing to investigate an outbreak originating from a contaminated domestic water supply
2015-04
[99]
논문
Trimethoprim-sulfamethoxazole versus trimethoprim-sulfamethoxazole plus doxycycline as oral eradicative treatment for melioidosis (MERTH): a multicentre, double-blind, non-inferiority, randomised controlled trial
2014-03-01
[100]
논문
Earth, wind, rain, and melioidosis
2018-08-01
[101]
웹사이트
Rise in melioidosis rates in NT
http://www.abc.net.a[...]
Australian Broadcasting Corporation
2005-06-19
[102]
논문
Melioidosis strikes Singapore
2004-11
[103]
논문
Morphia injector's septicæmia (Whitmore's Disease)
https://zenodo.org/r[...]
1916-06
[104]
서적
USAMRIID's Medical Management of Biological Casualties Handbook
https://usamriid.hea[...]
U.S. Army Medical Institute of Infectious Diseases
[105]
논문
Glanders and Melioidosis
https://www.ncbi.nlm[...]
StatPearls Publishing
2018-10-27
[106]
논문
"''Burkholderia mallei'' and ''Burkholderia pseudomallei'' as bioterrorism agents: national aspects of emergency preparedness"
[107]
웹사이트
http://www.jscm.org/[...]
본 사이트는 AI가 위키백과와 뉴스 기사,정부 간행물,학술 논문등을 바탕으로 정보를 가공하여 제공하는 백과사전형 서비스입니다.
모든 문서는 AI에 의해 자동 생성되며, CC BY-SA 4.0 라이선스에 따라 이용할 수 있습니다.
하지만, 위키백과나 뉴스 기사 자체에 오류, 부정확한 정보, 또는 가짜 뉴스가 포함될 수 있으며, AI는 이러한 내용을 완벽하게 걸러내지 못할 수 있습니다.
따라서 제공되는 정보에 일부 오류나 편향이 있을 수 있으므로, 중요한 정보는 반드시 다른 출처를 통해 교차 검증하시기 바랍니다.
문의하기 : help@durumis.com