요통
"오늘의AI위키"의 AI를 통해 더욱 풍부하고 폭넓은 지식 경험을 누리세요.
1. 개요
요통은 다양한 원인으로 발생하는 흔한 증상으로, 기계적, 비기계적, 내장기관 연관통으로 분류된다. 기계적 요통이 가장 흔하며, 증상 지속 기간에 따라 급성, 아급성, 만성으로 구분된다. 진단은 신체 검사와 영상 검사를 통해 이루어지며, 심각한 질환을 시사하는 적신호가 있는 경우 추가 검사가 필요하다. 치료는 활동 유지, 자가 관리, 약물 치료, 물리 치료, 수술 등 다양한 방법이 사용되며, 비약물 치료가 우선적으로 권장된다. 요통은 경제적 손실을 초래하며, 사회적 문제로도 인식된다. 예방을 위한 운동, 바른 자세 유지, 스트레스 관리 등이 중요하며, 다학제적 접근을 통한 치료가 효과적일 수 있다.
더 읽어볼만한 페이지
- 근골격계 증상 및 징후 - 좌골신경통
좌골신경통은 척추 신경근 압박 또는 자극으로 허리, 엉덩이, 다리, 발까지 통증이 나타나는 질환으로, 추간판 탈출증, 척추관 협착증 등이 원인이며, 신체 검사 및 영상 검사를 통해 진단하고, 보존적 치료를 우선적으로 시행한다. - 근골격계 증상 및 징후 - 쥐 (의학)
쥐(의학)은 다양한 원인으로 발생하는 근육의 비자발적 수축 현상으로, 스트레칭, 마사지 등으로 치료하고 컨디셔닝, 수분 및 전해질 균형 유지로 예방할 수 있다. - 장애 - 유니버설 디자인
유니버설 디자인은 모든 사람이 제품, 환경, 서비스를 편리하게 이용하도록 설계하는 개념이며, 7가지 원칙을 통해 공평한 사용을 추구하며 다양한 분야에 적용된다. - 장애 - 백치
백치는 고대 그리스어에서 유래하여 일반 시민을 뜻했으나, 시간이 지나 무지함이나 심각한 지적 장애를 의미하는 부정적 용어로 변화되었고, 일본의 '아호'와 유사하게 문학에서 풍자적 장치로도 사용된다. - 통증 - 진통제
진통제는 통증을 완화하는 약물로, 비스테로이드성 항염증제, 오피오이드, COX-2 억제제 등 종류가 다양하며, 통증 종류와 강도에 따라 적절한 선택과 전문가의 처방이 중요하고, 알코올, 의료용 대마, 침술 등의 사용은 신중해야 한다. - 통증 - 치욕
치욕은 자신을 낮춰보는 주관적 감정으로, 심리적 불안과 사회적 지위 상실을 초래하며 역사적으로 억압의 수단으로 사용되었고 사회 불안정과 폭력으로 이어질 수 있는 심각한 문제이다.
2. 종류
요통은 여러 가지 방법으로 분류할 수 있지만, 어떤 방법이 가장 좋은지에 대한 명확한 합의는 없다.[3]
주요 분류 방법은 다음과 같다.
- 원인에 따른 분류: 요통은 원인에 따라 크게 기계적 요통, 비기계적 요통, 연관통 세 가지로 나눌 수 있다.[3]
- 기계적 요통: 비특이적 근골격계 염좌, 디스크 탈출증, 압박된 신경근, 퇴행성 디스크 질환, 퇴행성 관절 질환, 척추뼈 골절 등이 원인이다. 대부분의 요통(약 90% 이상)이 여기에 해당하며,[3][38] 그중 상당수(약 75%)는 명확한 원인을 찾기 어려운 비특이적 요통으로, 근육 염좌나 인대 부상 때문으로 추정된다.[3][38]
- 비기계적 요통: 종양, 척추관절병증과 같은 염증성 질환, 감염 등이 원인이다.
- 연관통: 담낭 질환(담도산통), 신장 결석, 신장 감염, 대동맥류 등 내부 장기의 문제로 인해 허리에 통증이 느껴지는 경우이다.[3]
- 드물게 섬유근육통이나 신체형 장애 같은 전신적 또는 심리적 문제로 인해 발생하기도 한다.[38]
- 징후와 증상에 따른 분류: 통증의 양상에 따라 분류할 수도 있다.[3]
- 비특이적 요통: 특정 움직임에 따라 통증이 변하지 않고 엉덩이 너머로 방사되지 않는 국소적인 통증이다. 가장 흔한 유형이다.[3]
- 방사통: 통증이 다리 아래(무릎까지 또는 그 이하)로 뻗어 나가는 경우이다. 한쪽 다리(주로 디스크 탈출증) 또는 양쪽 다리(척추관 협착증)로 나타날 수 있으며, 특정 자세나 움직임에 따라 통증 강도가 변한다. 전체 요통 사례의 약 7%를 차지한다.[3]
- 위험 신호 동반 요통: 외상, 발열, 암 병력, 심각한 근력 약화 등 위험 신호(red flags)가 동반되는 경우이다. 이는 심각한 기저 질환을 시사할 수 있어 즉각적인 의학적 평가나 전문적인 치료가 필요하다.[3]
- 지속 기간에 따른 분류: 통증이 지속된 기간에 따라 분류하며, 이는 치료 방법과 예후 결정에 영향을 미친다.[2]
- 급성 요통: 통증이 시작된 지 6주 미만인 경우.
- 아급성 요통: 통증이 6주에서 12주 사이인 경우.
- 만성 요통: 통증이 12주 이상 지속되는 경우.
2. 1. 비특이적 요통

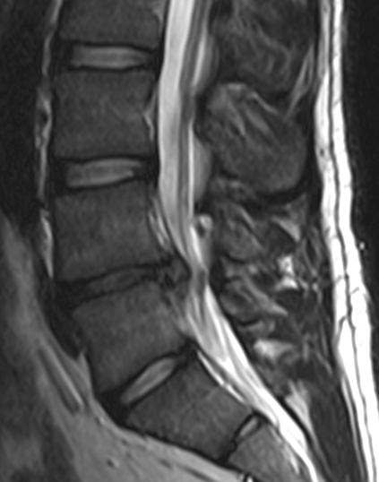
요통은 원인에 따라 기계적 요통, 비기계적 요통, 내장 기관에서 오는 연관통 등으로 분류할 수 있다.[3] 이 중 기계적 또는 근골격계 문제가 약 90% 이상을 차지하며,[3][38] 대부분(약 75%)은 근육 염좌나 인대 부상 등으로 추정되지만 명확한 원인을 특정하기 어려운 비특이적 요통에 해당한다.[3][38] 실제로 골절, 감염, 암 등 원인이 명확한 경우는 전체 요통의 약 15%에 불과하며, 나머지 85%는 비특이적 요통으로 분류된다.[145] 따라서 MRI 등 영상 검사에서 디스크 이상 등이 발견되더라도 그것이 반드시 요통의 직접적인 원인이라고 단정하기는 어렵다.[145]
비특이적 요통은 징후와 증상을 기준으로 분류할 때, 특정 움직임에 따라 통증이 변하지 않고 엉덩이를 넘어 다른 부위로 뻗어 나가지 않는 국소적인 통증을 특징으로 한다.[3] 이는 요통의 가장 흔한 형태이다.[3]
급성 비특이적 요통의 경우, 무거운 물건을 들거나, 허리를 비틀거나, 앞으로 구부리는 동작 후에 통증이 발생하는 경우가 많다.[5] 증상은 해당 동작 직후에 나타나기도 하고, 다음 날 아침에 일어났을 때 시작되기도 한다.[5] 통증 양상은 특정 지점에 국한된 압통부터 허리 전체에 걸친 광범위한 통증까지 다양하게 나타날 수 있다.[5] 앉거나 서는 자세, 또는 다리를 들어 올리는 특정 동작에 의해 통증이 심해질 수도 있지만, 그렇지 않은 경우도 있다.[5] 때로는 다리로 통증이 뻗어 나가는 좌골 신경통 증상이 동반되기도 한다.[5] 이러한 급성 요통은 대개 20세에서 40세 사이에 처음 경험하는 경우가 많으며, 성인이 된 후 처음으로 병원을 찾는 이유가 되기도 한다.[5] 비특이적 요통은 재발하기 쉬워 절반 이상의 사람들이 재발을 경험하며,[128] 반복될수록 통증이 더 심해지는 경향이 있다.[5]
최근 연구에서는 비특이적 요통의 원인이 허리 자체보다는 뇌 기능과 관련이 있을 수 있다는 가능성이 제기되었다. 노스웨스턴 대학교의 바니아 아프카리안(Vania Apkarian) 박사 연구에 따르면, 비특이적 요통 환자의 경우 통증 신호를 처리하는 뇌의 시상 부위가 활성화되지 않고 전두엽의 일부만 활성화되는 양상을 보였다.[227] 이는 허리 타박상과 같은 명확한 원인이 있는 급성 요통에서 통증 정보가 시상을 거쳐 뇌의 여러 부위를 활성화시키는 것과는 다른 패턴이다.[227] 이는 비특이적 요통의 경우, 말초 신경(허리)이나 시상이 통증 발생에 주된 역할을 하지 않을 수 있음을 시사한다.[227]
비특이적 요통이 12주 이상 지속되는 만성 요통으로 발전하면 다른 문제를 동반할 수 있다. 만성 요통 환자들은 잠드는 데 시간이 오래 걸리거나, 수면 중 자주 깨고, 총 수면 시간이 짧아지는 등 수면의 질 저하를 겪는 경우가 많다.[26] 또한, 만성 요통 환자의 상당수가 우울증[15]이나 불안 증상을 함께 겪는 것으로 보고된다.[18]
2. 2. 특이적 요통

요통 중 골절, 감염증, 암, 변성 질환 등 원인이 명확하게 밝혀진 경우를 특이적 요통이라고 한다. 이는 전체 요통의 약 15% 정도를 차지한다[145][145]. 나머지 85%는 원인이 뚜렷하지 않은 비특이적 요통이다. 특이적 요통은 영상 검사 등에서 발견된 이상 소견이 요통의 직접적인 원인일 가능성이 있지만, 영상 소견과 실제 통증이 항상 일치하는 것은 아니므로 진단에 주의가 필요하다[147]. 때로는 통증의 원인이 허리 자체의 문제가 아니라, 허리 주변에 위치한 소화기나 비뇨기 계통 장기의 질병일 수도 있다[146].
특이적 요통은 원인 질환에 따라 각각 다른 치료가 필요하다. 예를 들어, 골다공증으로 인한 요추의 압박 골절의 경우, 골절 부위를 일정 기간 고정하고 진통제를 투여하며, 근본 원인인 골다공증을 치료해야 한다. 경우에 따라 수술이 필요할 수도 있다. 일반적으로 병력 청취와 신체 진찰을 통해 특이적 질환의 가능성을 평가하며, MRI와 같은 영상 진단은 요통이 만성화되거나 일반적인 치료에 반응하지 않는 경우에 신중하게 고려하는 것이 좋다.
아래 표는 특이적 요통을 유발할 수 있는 주요 질환들을 보여준다.
추간판 탈출증이나 요부 척추관 협착증은 특히 노인에게서 영상 진단상 흔하게 발견되지만, 이것이 반드시 요통의 직접적인 원인은 아닐 수 있다[147]. 이러한 영상 소견만을 근거로 수술을 결정하는 것은 신중해야 하며, 수술 후에도 통증이 만족스럽게 개선되지 않는 경우도 적지 않다는 점을 고려해야 한다[147]. 특히 추간판 탈출증의 경우, 약 90%는 수술 없이도 시간이 지나면서 자연적으로 호전된다는 보고도 있다[148].
일부 요통은 즉각적인 의학적 주의가 필요한 심각한 상태를 나타낼 수 있다. 예를 들어, 치명적일 수 있는 복부 대동맥류나 대동맥 박리, 신경색, 급성 췌장염 등이 있으며, 배뇨나 배변 장애를 동반하는 마미 증후군도 응급 상황에 해당한다. 또한 다음과 같은 질환들도 주의 깊게 감별해야 한다.
- 척추 감염증: 화농성 척추염, 결핵성 척추염, 경막외 농양, 추간판염 등
- 악성 종양: 다발성 골수종, 다른 암의 뼈 전이 등
- 복부 감염증: 장요근 농양, 대장 게실염, 신우신염 등
2. 3. 긴장성 요통 (근육성 요통)
근육 등에 과도한 스트레스가 가해져 근육이 긴장하면서 발생하는 요통을 말한다. 과도한 스트레스를 받으면 교감 신경이 지속적으로 활성화되어 긴장을 유발하고, 이 과정에서 불필요한 다른 근육에도 힘이 들어가게 된다. 이렇게 무너진 신체 균형을 조절하려는 과정에서 허리 근육에 부담이 커져 결국 요통으로 이어지게 된다.2. 4. 만성 요통

요통이 3개월 이상 지속될 경우 만성 요통이라고 한다. 만성 요통은 불안이나 스트레스와 같은 심리적 요인의 영향이 크며, 급성 요통이 만성 요통으로 이어지는 과정은 종종 의원성(치료 과정에서 발생하는 문제)인 경우도 있다.[149] 일단 요통이 발생하면, 통증은 그림과 같은 악순환 구조에 빠져 만성화될 수 있다.[161][162]
불안 회피 모델(Fear-avoidance model영어)은 불안에 기반한 회피 행동이 만성적인 근골격계 통증을 유발하는 과정을 설명하는 심리 모델이다. 1983년 레템(Lethem) 등이 처음 제안했으며, 허리에 특별한 병변이 없는데도 심한 통증을 느끼는 현상을 설명하는 데 사용된다.[163]
이 모델에 따르면, 사람이 허리에 급성 통증이나 불쾌감을 느꼈을 때, 회피 행동을 통해 일시적으로 통증을 멈추게 되면, 통증이 없는 상태가 보상으로 작용하여 회피 행동을 더욱 강화한다. 이러한 과정이 반복되면 정적 피드백이 발생하여 허리의 이상에 더욱 민감해지고, 통증을 느끼는 역치는 낮아지며, 불쾌한 자극을 피하려는 회피 행동은 더욱 강화된다. 반면, 통증을 불안한 것으로 여기지 않거나 일시적인 것으로 판단하면, 통증 유발 상황을 올바르게 인식하고 급성 통증에서 벗어날 수 있다.[164]
회피 행동 자체는 본래 몸을 보호하고 부상을 막기 위한 건강한 반응이다. 하지만 급성 병변이 치유된 후에도 이러한 회피 행동이 지속되어 활동을 방해한다면 해로운 것이 될 수 있다. 허리에 대한 과도한 민감성으로 몸의 움직임이 제한되면, 조직의 정상적인 기능이 저하되고 신체적, 정신적으로 악영향을 미칠 수 있다. 이러한 악순환에서 벗어나기 위해서는 먼저 이러한 구조가 존재함을 인지하고, 자신의 불안에 직면하며, 불안과 회피 행동을 극복하기 위한 연습이 필요하다.[165] 예를 들어, 몸을 조금씩 움직여보면서 "몸을 움직여도 괜찮다. 요통은 무섭지 않다"는 사실을 반복적으로 확인하는 것이 도움이 될 수 있다.
1993년 워델(Waddell) 등은 '불안-회피 신념 설문지'를 개발했다. 이 설문지를 이용한 연구 결과, 몸을 움직이는 것에 대한 불안-회피 신념은 노동 손실(일을 하지 못하게 되는 것)과 강한 상관관계가 있는 것으로 나타났다.[166]
2. 5. 심인성 요통
비특이성 요통의 책임 부위는 허리가 아니라 뇌라는 주장이 있다. 비특이성 요통에서는 뇌의 시상이 활성화되지 않고, 전두엽의 일부만 활성화된다는 연구 결과가 있다(노스웨스턴 대학교의 바니아 아프카리안 박사).[227] 이에 반해, 허리 타박상에 의한 급성 요통에서는 허리에서 오는 통증 정보가 뇌의 시상에 전달되어 시상이 활성화되고, 뇌의 다른 부위도 활성화된다. 즉, 모든 감각 정보는 일단 시상을 거쳐 뇌의 각 부위로 전달되는 것이 일반적이지만, 비특이성 요통의 경우 말초(허리)와 시상은 허리 통증에 그다지 관여하지 않는 것으로 보인다.요통이 3개월 이상 지속되는 경우, 만성 요통이라고 한다. 만성 요통에서는 불안이나 스트레스 등의 심리적인 요인의 관여가 크다. 급성 요통이 만성 요통으로 이행하는 과정이 의학적 처치 과정에서 비롯되는 경우(의원성)도 종종 있다.[149]
어떤 조사에 따르면, 요통 환자 중 38%에게 심리학적 장애가 인정되었다. 후쿠시마현립의과대학의 정형외과와 정신과는 공동으로 심인성 요통 여부를 판정하는 간단한 질문지인 BS-POP를 개발했다.[150][151] 심인성 요통의 경우, 심신증 또는 신경증, 또는 우울증 치료가 효과를 볼 수 있다.[152]
뉴욕 대학교의 존 사르노(John E. Sarno) 의사는 요통을 심신증으로 간주하고 치료하여, 절반 이상의 환자에게 효과가 있었다고 주장했다.[153] 그는 "요통의 대부분은 허리에 원인이 있는 것이 아니라, 뇌에 원인이 있다. 분노, 불안, 스트레스가 원인이다. 그것을 깨닫고 직면하면, 요통은 낫는다"고 주장했다.[154]
작가 나쓰키 시즈코 또한 오랜 요통을 심신증으로 접근하여 치료받은 후 증상이 경감되었다고 알려져 있다.[155]
3. 원인
요통은 특정 질환이 아니라 다양한 심각도를 가진 여러 기저 문제로 인해 발생할 수 있는 증상이다.[27] 대부분의 요통은 명확한 원인을 찾기 어렵지만,[5] 염좌나 좌상과 같은 심각하지 않은 근육 또는 골격 문제에서 비롯된 것으로 여겨진다.[28] 비만, 흡연, 임신 중 체중 증가, 스트레스, 좋지 않은 신체 상태, 잘못된 수면 자세 등도 요통의 원인이 될 수 있다.[28] 척추 자세나 특정 신체 활동이 요통의 직접적인 원인인지에 대해서는 아직 전문가들 사이에서도 의견이 일치하지 않는다.[29]
요통을 유발할 수 있는 가능한 원인은 매우 다양하며, 드문 질환들도 포함된다.[3] 신체적인 원인으로는 골관절염, 척추 사이 디스크의 퇴행, 추간판 탈출증, 척추 골절(예: 골다공증으로 인한 골절) 등이 있으며, 드물게는 척추 감염이나 종양이 원인이 되기도 한다.[30]
여성의 경우, 자궁내막증, 난소 낭종, 난소암, 자궁 근종과 같은 여성 생식 기관 질환이 급성 요통을 유발할 수 있다.[31] 임신 중에는 자세 변화와 무게 중심 이동으로 근육과 인대에 무리가 가기 때문에, 임산부의 거의 절반 가량이 요통을 경험한다.[32]
요통은 크게 네 가지 주요 범주로 나눌 수 있다.[33]
- 근골격계 원인: 기계적 문제(근육 좌상, 근육 경련, 골관절염 포함), 추간판 탈출증, 척추관 협착증, 압박 골절 등.
- 염증성 원인: 강직성 척추염, 반응성 관절염, 건선성 관절염 등 HLA-B27 관련 관절염, 생식 기관 염증, 염증성 장 질환.
- 악성 종양: 폐, 유방, 전립선, 갑상선 등 다른 부위에서 전이된 뼈 전이.
- 감염성 원인: 골수염, 농양, 요로 감염.
비특이성 요통의 경우, 통증의 책임 부위가 허리 자체가 아니라 뇌일 수 있다는 연구 결과가 있다. 노스웨스턴 대학교의 바니아 아프카리안 박사에 따르면, 비특이성 요통 환자는 뇌의 시상이 활성화되지 않고 전두엽 일부만 활성화된다.[227] 이는 허리 타박상으로 인한 급성 요통 시 통증 정보가 시상을 거쳐 뇌의 여러 부위로 전달되는 것과 대조적이다. 즉, 비특이성 요통에서는 말초(허리)나 시상이 통증에 크게 관여하지 않을 수 있다는 것이다. 또한, 허리 부위의 소화기 계통 장기나 요로·비뇨기 계통 장기의 질병이 요통의 원인이 되는 경우도 있다.[146]
특이성 요통은 각 원인 질환에 맞는 특이적인 치료가 필요하다. 예를 들어, 요추 압박 골절의 경우 골절 부위를 고정하고 진통제를 투여하며, 기저 질환인 골다공증 치료가 필요할 수 있고, 경우에 따라 수술이 필요할 수도 있다. 일반적으로 병력 청취와 신체 진찰을 통해 특이적 질환 가능성을 배제할 수 있으므로, 영상 진단 같은 고비용 검사는 만성화되거나 치료에 반응하지 않는 경우에 고려하는 것이 보통이다.
추간판 헤르니아나 척추관 협착은 노인에게 매우 흔하게 나타나며, 영상 진단에서 발견되더라도 실제 요통의 원인이 아닌 경우가 많다.[147] 이러한 소견이 수술의 근거가 되기도 하지만, 수술 후 요통이 최종적으로 경감되는 경우는 드물다고 알려져 있다.[147] 특히 추간판 헤르니아는 약 90%가 자연적으로 치유된다는 보고도 있다.[148]
통증의 양상에 따라 근육 긴장으로 인한 긴장성 요통과 둔한 통증이 지속되는 만성 요통으로 나눌 수 있다. 근육에 과도한 스트레스가 가해지면 교감 신경이 활성화되어 근육이 긴장하고, 불필요한 근육에도 힘이 들어가면서 자세 균형이 무너져 허리 근육에 부담이 커져 요통이 발생할 수 있다. 요통이 3개월 이상 지속되면 만성 요통으로 분류하며, 여기에는 불안이나 스트레스 같은 심리적 요인이 크게 작용한다. 급성 요통이 만성 요통으로 이행되는 과정에는 부적절한 의료적 개입(의원성)이 영향을 미치는 경우도 있다.[149]
심리적 요인이 요통에 미치는 영향도 중요하다. 한 조사에서는 요통 환자의 38%에게 심리학적 장애가 발견되었다. 후쿠시마현립의과대학에서는 정형외과와 정신과가 협력하여 심인성 요통 여부를 판별하는 간단한 질문지(BS-POP)를 개발하기도 했다.[150][151] 심인성 요통의 경우, 심신증, 신경증, 또는 우울증 치료가 효과를 보일 수 있다.[152] 뉴욕 대학교의 사르노(Sarno) 박사는 "요통의 대부분은 허리가 아닌 뇌에 원인이 있으며, 분노, 불안, 스트레스가 원인이다. 이를 깨닫고 직면하면 요통이 낫는다"고 주장하며, 요통을 심신증으로 접근하여 치료했을 때 절반 이상의 환자에게 효과가 있었다고 보고했다.[153][154] 작가 나츠키 시즈코 역시 오랜 요통을 심신증 치료를 통해 경감시킨 사례가 있다.[155] 스탠포드 대학교의 유진 캐러지(Eugene Carragee) 박사 연구에 따르면, "기분이 가라앉기 쉽다"거나 "불안해서 가만히 있지 못한다"고 느끼는 사람은 그렇지 않은 사람에 비해 요통 발생 위험이 30배나 높다고 한다.[227]
요통 발생 위험을 높이는 요인들은 다음과 같다.[228][156]
- 심리적 요인: 직장 불만, 불안, 스트레스, 우울증
- 비만: 높은 BMI 수치
- 임신 후기 (출산 후에는 완화되는 경향)
- 연령: 35세 ~ 55세 사이에서 호발
- 직업: 무거운 물건 운반, 간병, 장시간 운전 등 허리에 부담이 가는 직업
- 운동 부족
좌우 다리 길이 차이는 요통의 직접적인 원인이 되는 경우는 드물며, 요통 발생에 큰 성별 차이는 없다. 유럽의 가이드라인에서는 요통을 질환이 아닌 증상으로 보지만, 비특이성 요통은 하나의 독립된 질병으로 봐야 한다는 견해도 있다.
허리에 부담을 주는 동작으로 인한 요추, 추간판, 신경 등의 손상은 요통의 주요 원인이 된다. 1976년 정형외과 의사 나켐손(Nachemson)은 다양한 자세에서 허리에 가해지는 부담을 측정하여 요통의 원인을 규명하려 했다.[157] 1999년 빌케(Wilke) 등은 더 세분화된 약 30가지 동작에 대한 부하를 측정하여 나켐손의 연구를 보완하고 추인했다.[158]
- ''참고: 위 표의 부하 값은 상대적인 비율이며, 바로 서 있는 자세를 100으로 기준했을 때의 값이다. 실제 허리에 가해지는 힘(kg)은 개인의 체중 및 드는 물건의 무게에 따라 크게 달라진다.''
일단 요통이 발생하면, 통증 자체가 또 다른 스트레스 요인이 되어 통증의 악순환에 빠져 만성화될 수 있다.[161][162]
불안 회피 모델(Fear-avoidance modeleng)은 만성적인 근골격계 통증이 발생하는 과정을 설명하는 심리적 모델이다. 1983년 레템(Lethem) 등이 제안했으며, 허리에 실제 병변이 없는데도 심한 통증을 느끼는 기전을 설명한다.[163] 이 모델에 따르면, 급성 통증을 경험한 사람이 통증을 피하기 위한 행동(예: 특정 동작 회피)을 하고, 이로 인해 일시적으로 통증이 멈추면 그 회피 행동이 강화된다. 이러한 과정이 반복되면 요부의 작은 이상에도 민감해지고 통증을 느끼는 역치가 낮아지며, 회피 행동은 더욱 강화되는 정적 피드백(positive feedback)이 발생한다. 반면, 통증을 불안하게 여기지 않거나 일시적인 것으로 판단하면, 통증 유발 상황을 올바르게 인식하고 급성 통증에서 벗어날 수 있다.[164]
회피 행동은 본래 몸을 보호하기 위한 건강한 반응이지만, 급성 병변이 치유된 후에도 지속되어 활동을 제약한다면 오히려 해로울 수 있다. 허리에 대한 과도한 민감성으로 움직임이 제한되면 조직의 정상적인 기능이 저하되고 신체적, 정신적으로 악영향을 미칠 수 있다. 이 악순환에서 벗어나려면, 먼저 이러한 불안 회피 모델의 존재를 인지하고, 자신의 불안에 직면하며, 불안과 회피 행동을 극복하기 위한 연습(예: 점진적으로 몸을 움직이며 "움직여도 괜찮다"는 경험 쌓기)이 필요하다.[165] 1993년 와델(Waddell) 등은 "불안-회피 신념 설문지"를 개발했는데, 이 설문지를 이용한 연구 결과, 몸을 움직이는 것에 대한 불안-회피 신념이 강할수록 노동 손실(결근 등)과 강한 상관관계를 보였다.[166]
4. 진단
허리의 구조는 복잡하고 통증에 대한 보고는 주관적이며 사회적 요인의 영향을 받기 때문에 요통의 진단은 간단하지 않다.[3] 대부분의 요통은 근육 및 관절 문제에서 비롯되지만, 신경학적 문제, 척추 종양, 척추 골절, 감염 등 다른 심각한 원인과 구별하는 것이 중요하다.[2][5] 요통에 대한 ICD-10 코드는 M54.5이다.
진단 과정에서는 위험 신호(Red Flags)라고 불리는 특정 징후를 확인하여 심각한 기저 질환의 가능성을 평가한다. 이러한 위험 신호가 발견되면 추가 검사가 필요할 수 있지만,[168][169] 위험 신호가 있다고 해서 반드시 심각한 질환이 있다는 의미는 아니다.[170][171] 실제로 위험 신호가 있는 대부분의 사람에게는 특별한 문제가 발견되지 않는다.[172][139] 위험 신호가 없다면, 증상 발생 초기(첫 4주 이내)에 진단 영상 촬영이나 다른 임상 검사를 시행하는 것은 일반적으로 불필요하며 유용성이 떨어진다는 연구 결과가 있다.[168]
일상적인 영상 검사(X-ray, CT, MRI)는 비용이 많이 들고, 때로는 불필요한 수술로 이어질 수 있으며[181][182], 방사선 노출의 위험도 있다.[181] 영상 검사에서 통증의 명확한 원인을 밝혀내는 경우는 드물며(1% 미만)[176], 오히려 우연히 발견된 무해한 이상 소견으로 인해 환자의 불안감을 높이고 불필요한 추가 검사를 유발할 수도 있다.[176] 그럼에도 불구하고 영상 검사 건수는 과거에 비해 크게 증가하는 경향을 보인다.[183]
다른 심각한 원인이 배제된 비특이적 요통의 경우, 명확한 원인을 특정하기보다는 증상을 완화하는 대증적 치료를 우선적으로 시행하는 것이 일반적이다.[172][139] 우울증이나 약물 남용과 같이 진단을 복잡하게 만들 수 있는 요인이나 보험 관련 문제 등을 고려하는 것이 도움이 될 수 있다.[168]
4. 1. 위험 신호 (Red Flags)
요통에서 특정 징후, 즉 위험 신호(Red Flags)가 나타나는 경우, 즉각적이거나 특별한 치료가 필요할 수 있는 더 심각한 기저 질환이 있는지 확인하기 위해 추가 검사가 필요할 수 있다.[3][40][168][169] 그러나 위험 신호가 있다고 해서 반드시 심각한 문제가 있다는 의미는 아니다. 이는 단지 가능성을 시사하는 것일 뿐이며,[41][42][170][171] 실제로 위험 신호가 있는 대부분의 사람에게는 심각한 기저 질환이 발견되지 않는다.[2][5][172][139] 위험 신호가 없다면, 증상이 시작된 후 첫 4주 동안 진단 영상 촬영이나 실험실 검사를 시행하는 것은 유용하지 않은 것으로 나타났다.[3][168]
많은 위험 신호의 유용성은 근거에 의해 충분히 뒷받침되지 못하고 있다.[43][41][173] 골절을 발견하는 데 가장 유용한 단서는 고령, 코르티코스테로이드 사용, 그리고 피부에 흔적을 남기는 심각한 외상 등이다.[43][173] 암의 존재를 가장 잘 예측하는 것은 해당 환자의 암 병력이다.[43][173]
다른 심각한 원인이 배제된 경우, 비특이적 요통 환자는 대개 원인을 정확히 밝히지 않고 증상에 따라 치료(대증 요법)한다.[2][5][172][139] 우울증, 약물 남용, 또는 보험금 청구와 같은 문제가 진단을 복잡하게 만들 수 있으므로, 이러한 요인을 파악하려는 노력이 도움이 될 수 있다.[3][168]
긴급한 처치가 필요한 요통의 원인으로는 치명적일 수 있는 복부 대동맥류, 대동맥 박리, 신경색, 급성 췌장염 등이 있으며, 배뇨나 배변 장애를 동반할 수 있는 마미 증후군도 이에 해당한다.
그 외 주의해야 할 요통의 원인이 되는 질환의 예는 다음과 같다.
일본의 가이드라인에서는 다음과 같은 상태를 위험 신호로 간주한다.
- 발병 연령이 20세 미만 또는 50세 이상
- 시간이나 활동과 관계없는 요통
- 흉부 통증
- 암, 스테로이드 치료, HIV 감염의 병력
- 영양 불량
- 체중 감소
- 광범위한 신경 증상 (예: 하지 저림, 근력 저하 등)
- 구축성 척추 변형 (예: 원배)
- 발열
4. 2. 검사


요통은 사람들이 의사를 찾는 가장 흔한 이유 중 하나이지만[45][46], 대부분의 경우 통증은 몇 주 내에 저절로 호전된다.[47] 따라서 환자의 병력 청취와 신체 검사를 통해 특정 질환이 강력히 의심되지 않는 한, 의학 학회에서는 초기 단계에서 X-ray, CT 스캔, MRI와 같은 영상 검사를 일상적으로 시행하는 것을 권장하지 않는다.[46]
영상 검사적색 경고 징후(Red flags)가 있거나, 신경학적 증상이 호전되지 않고 지속되거나, 통증이 계속되거나 악화되는 경우에는 영상 검사가 필요하다.[3] 특히 암, 감염, 또는 마미 증후군과 같은 심각한 상태가 의심될 때는 조기에 MRI나 CT 검사를 시행하는 것이 권장된다.[3] MRI는 추간판 질환을 식별하는 데 CT보다 약간 더 우수하며, 두 검사 모두 척추관 협착증 진단에는 비슷한 유용성을 보인다.[3]
환자들이 영상 검사를 원할 수 있지만, 적색 경고 징후가 없다면[48][49] 이러한 검사는 불필요한 의료 서비스일 수 있다.[45][47] 일상적인 영상 검사는 의료 비용을 증가시키고, 전반적인 치료 결과 개선 없이 수술률을 높일 수 있으며,[50][51] 검사 과정에서의 방사선 노출은 건강에 해로울 수 있다.[50] 영상 검사로 통증의 원인을 특정할 수 있는 경우는 1% 미만이다.[45] 또한, 영상 검사에서 우연히 발견되는 무해한 이상 소견 때문에 환자들이 불필요한 추가 검사를 받거나 과도한 걱정을 하게 될 수도 있다.[45] 그럼에도 불구하고 미국에서는 요추 MRI 검사 건수가 1994년부터 2006년까지 300% 이상 증가했다.[7]
적색 경고 징후 (Red Flags)적색 경고 징후는 요통의 원인이 될 수 있는 심각한 기저 질환의 가능성을 시사하는 경고 신호이다. 이러한 징후가 발견되면 추가적인 검사가 필요할 수 있다.[168][169] 하지만 레드 플래그가 있다고 해서 반드시 심각한 질환이 있다는 의미는 아니며, 가능성이 있다는 신호일 뿐이다.[170][171] 실제로 레드 플래그를 가진 사람 대부분은 심각한 문제를 가지고 있지 않다.[172][139] 만약 레드 플래그가 전혀 없다면, 증상 발생 후 4주 이내에 영상 검사나 추가적인 임상 검사를 시행하는 것은 일반적으로 불필요하다.[168]
많은 레드 플래그의 실제 진단적 유용성에 대해서는 근거가 부족하다는 지적도 있다.[173] 예를 들어, 골절을 의심할 만한 가장 중요한 단서는 고령, 스테로이드 사용 이력, 피부에 흉터를 남길 정도의 심한 외상 등이다.[173] 암의 경우, 환자의 과거 병력이 가장 중요한 단서가 된다.[173]
신체 진단 검사 및 기타 검사몇 가지 신체 진단 검사는 요통의 원인을 감별하는 데 유용하다.[3] 하지 직거상 검사는 추간판 탈출증 환자에게서 거의 항상 양성 반응을 보인다.[3] 요추 도발 디스코그래피는 만성적인 심한 요통 환자에서 통증을 유발하는 특정 추간판을 식별하는 데 도움이 될 수 있다.[44] 신경 차단술과 같은 치료적 시술 역시 통증의 구체적인 원인을 파악하는 데 사용될 수 있다.[3] 일부 연구는 후관절 주사, 추간공 경막외 주사, 천장관절 주사 등을 진단 목적으로 사용하는 것을 지지한다.[3] 반면, 척추 측만증 여부 확인, 근육 약화나 위축 평가, 신경 반사 검사 등 대부분의 다른 신체 검사는 요통 원인 감별에 있어 유용성이 낮은 것으로 평가된다.[3]
다른 심각한 원인이 배제된 비특이적 요통의 경우, 명확한 원인을 특정하기보다는 증상을 완화하는 대증 치료를 우선적으로 시행한다.[172][139] 우울증이나 약물 남용과 같이 진단을 복잡하게 만들 수 있는 요인을 파악하고, 보험 관련 문제를 해결하려는 노력도 도움이 될 수 있다.[168]
5. 예방
요통을 예방하는 효과적인 방법은 아직 충분히 개발되지 않았다.[238] 그러나 운동은 요통 예방에 유용하며, 특히 6주 이상 통증이 지속된 환자의 재발을 막는 데 효과적일 수 있다.[239][240][241][52][132][53] 운동만 하거나 교육과 함께 병행하는 것이 좋다.[52][132]
생활 환경에서는 중간 정도의 단단한 매트리스가 딱딱한 매트리스보다 만성 통증 완화에 더 도움이 될 수 있다는 연구 결과가 있지만,[242][54] 매트리스 경도에 대한 명확한 결론을 내리기에는 연구가 부족하다는 의견도 있다.[55] 등 벨트(허리 보호대)나 깔창은 요통 예방에 거의 또는 전혀 도움이 되지 않는다는 증거가 많다.[243][244][52][132][56]
심리적인 요인 관리도 중요하다. 통증과 기능 장애를 줄이기 위한 치료는 환자의 회복 동기와 태도를 개선하기 위한 심리적 접근과 함께 이루어져야 한다. 부상과 그 영향에 대한 교육은 신체 재활만큼 중요하다. 이러한 모든 과정은 구조화된 치료적 운동 프로그램과 전문가의 도움을 받아 진행하는 것이 좋다.[9] 근육에 과도한 스트레스가 가해지면 교감 신경이 활성화되어 근육 긴장을 유발하고, 이는 허리 근육에 부담을 주어 요통으로 이어질 수 있다.
요통 발생 위험을 높이는 요인은 다음과 같다.
- 심리적 요인: 직장 불만, 불안, 스트레스, 우울증[228] ("기분이 가라앉기 쉽다"거나 "불안해서 가만히 있을 수 없다"는 사람은 그렇지 않은 사람에 비해 30배나 허리 통증이 생기기 쉽다는 연구 결과도 있다.[227])
- 비만 (BMI 수치 높음)
- 임신 후기 (출산 후에는 통증이 완화되는 경우가 많다)
- 연령 (주로 35세 ~ 55세)
- 허리에 부담이 가는 직업 (무거운 물건 운반, 간병, 장시간 운전 등)
- 운동 부족[156]
좌우 다리 길이 차이나 성별은 허리 통증 발생과 큰 관련이 없다.[227]
정형외과 의사 나케무손은 1976년, 특정 자세가 허리에 주는 부담을 수치화하여 요통의 원인을 설명했다.[157] 이후 1999년 빌케 등은 더 다양한 동작에 대한 부하를 측정하여 나케무손의 연구를 보완했다.[158]
- ''표의 수치는 상대적인 부하 정도를 나타냄.''
나케무손은 요통 예방을 위해 허리에 부담을 주는 동작을 피하도록 교육하고, 노동 재해 인정 기준을 개선하여 산업재해보상보험 제도의 허점을 보완해야 한다고 주장했다. 일본에서는 이러한 논의를 거쳐 1976년 업무상 요통 인정 기준이 개정되었다.[160]
일단 요통이 발생하면 통증으로 인한 활동 제한, 근력 약화, 심리적 위축 등이 서로 영향을 주며 만성화되는 악순환에 빠질 수 있다.[161][162] 이를 설명하는 모델 중 하나가 '불안 회피 모델'이다. 이 모델은 통증을 두려워하여 특정 활동을 피하게 되고, 이로 인해 오히려 통증이 만성화되는 과정을 설명한다.[163] 통증을 느끼더라도 그것이 위험하지 않다고 인식하고 점진적으로 활동을 늘리는 것이 중요하다.[164][165] 몸을 움직이는 것에 대한 불안감이 클수록 노동 손실과 같은 부정적인 결과와 관련이 깊다는 연구도 있다.[166]
요통이 있을 때 안정은 반드시 좋은 치료법이 아니다. 오히려 통증이 있더라도 가능한 범위 내에서 활동성을 유지하는 것이 통증 완화와 기능 회복에 더 효과적이다. 운동은 통증을 줄이고 우울증을 억제하는 효과도 있다. 걷기 또한 좋은 방법인데, 걷는 동안 뇌가 다른 곳에 집중하게 되어 통증을 덜 느끼게 하고, 앉아 있을 때의 나쁜 자세(척추 C자형)를 바로 서는 좋은 자세(척추 S자형)로 바꾸는 데 도움이 된다.[227]

운동 치료는 요통 예방에 효과적이며, 이미 요통이 발생한 경우에도 활동성을 유지하거나 업무 내용을 조절하여 조기에 복귀하는 것이 만성화를 막는 데 도움이 된다. 권장되는 운동으로는 스트레칭(관절 가동 범위 훈련), 요가(균형 훈련), 근육 트레이닝(근력 강화 훈련), 올바른 자세 유지, 유산소 운동 등이 있다. 특히 복근과 등 근육(배근)을 단련하는 것이 중요하다.
반면, 코르셋이나 허리 벨트 같은 지지 요법은 장기간 사용 시 오히려 근육 약화나 골다공증을 유발할 수 있어 권장되지 않는다. 여러 국가의 가이드라인에서도 비특이성 요통 치료에 지지 기구 사용을 권장하지 않는다. 급성 요통의 경우에도 침상 안정보다는 통증에 따라 활동성을 유지하는 것이 회복에 더 유리하다.[186]
장시간 같은 자세로 일하는 사람은 특히 운동이나 체조를 통해 요통을 예방하는 것이 좋다. 운동 부족은 복근 약화로 이어질 수 있고, 과도한 운동은 척추 분리증과 같은 부상 위험을 높일 수 있으므로 적절한 강도의 운동이 중요하다.
다음은 요통 예방 및 관리에 도움이 되는 간단한 운동 예시이다.
- '''몸 앞으로 굽히기''': 등과 다리 뒤쪽 근육을 스트레칭한다. 무릎은 펴고 가능한 범위까지만 굽힌다.
- '''등 근육 스트레칭''': 누워서 양 무릎을 가슴 쪽으로 당긴다. 발끝을 벌리면 더 편할 수 있다. 무리하지 않는 범위에서 당긴다.
- '''복근 훈련''': 누워서 무릎을 굽힌 상태로 상체를 일으킨다. 발끝을 고정해도 좋다. 요통이 있다면 머리만 살짝 들어 올리는 정도로 한다.
- '''등 근육 강화 운동''': 엎드려서 상체를 들어 가슴을 편다. 요통이 있다면 머리만 살짝 들어 올리는 정도로 한다.
6. 치료
대부분의 급성 또는 아급성 요통 환자는 특별한 치료 없이도 시간이 지나면서 호전되는 경향이 있으며[11], 첫 달 안에 상태가 좋아지는 경우가 많다.[11] 요통에 대한 두려움 때문에 활동을 피하는 경우가 있는데, 이는 오히려 더 큰 장애로 이어질 수 있으므로[132], 통증이 허용하는 범위 내에서 활동을 유지하고, 통증을 악화시키는 활동은 피하며, 증상을 스스로 관리하는 방법을 이해하는 것이 권장된다.[11]
요통 관리는 그 원인이 기계적인 문제인지, 비기계적인 문제인지, 혹은 다른 부위의 문제로 인해 허리에 통증이 나타나는 연관통인지에 따라 달라진다.[57] 경미하거나 중간 정도의 급성 통증의 경우, 치료 목표는 정상적인 기능을 회복하고, 직장으로 복귀하며, 통증을 최소화하는 것이다. 이러한 상태는 대개 심각하지 않으며, 별다른 조치 없이도 자연적으로 해결되는 경우가 많다. 통증의 한계 내에서 가능한 한 빨리 정상적인 활동으로 복귀하는 것이 회복을 촉진할 수 있다.[2] 환자에게 이러한 사실을 알려 안심시키고 대처 기술을 제공하는 것이 회복 속도를 높이는 데 도움이 된다.[5]
만성 또는 아급성 요통 환자의 경우에는 여러 분야 전문가가 협력하는 다학제적 치료 프로그램이 도움이 될 수 있다.[58] 일반적으로 초기에는 운동, 온열 치료 등 비약물적 치료가 권장되며[11], 이러한 방법으로 충분한 효과를 보지 못할 경우 비스테로이드성 소염 진통제(NSAIDs)와 같은 약물 치료를 고려할 수 있다.[11]
특정 질환이 원인이 되는 특이적 요통의 경우, 해당 질환에 맞는 각각의 치료가 필요하다. 예를 들어 요추의 압박 골절이 있다면 골절 부위 고정, 진통제 투여, 골다공증 치료 등이 필요하며 수술이 필요할 수도 있다. 하지만 대부분의 요통은 특별한 원인 없이 발생하는 비특이적 요통에 해당한다.
진단 시에는 병력 청취와 신체 진찰을 통해 심각한 특정 질환의 가능성을 먼저 확인하며, MRI나 CT 같은 영상 검사는 만성화되었거나 치료에 잘 반응하지 않는 경우, 또는 암, 감염, 마미 증후군과 같은 중증 질환(레드 플래그)이 의심되는 특정 상황에서 주로 고려된다.[168] 일반적인 비특이적 요통의 경우, 불필요한 영상 검사는 비용 문제뿐 아니라 환자의 불안감을 높이고 불필요한 추가 검사나 치료로 이어질 수 있어 권장되지 않는다.[176][181]
의료 지침에서 권장하는 치료 방법과 실제 전 세계 요통 환자들이 받는 진료 사이에는 차이가 있을 수 있는데, 이는 치료법의 가용성, 접근성, 보험 및 의료 시스템과 같은 요인 때문이다.[61]
6. 1. 비특이적 요통 치료
대부분의 급성 또는 아급성 요통 환자는 치료 여부와 관계없이 시간이 지나면서 호전되며[11], 첫 달 안에 호전되는 경우가 많다.[11] 요통에 대한 공포심은 활동 회피로 이어지기 쉬우나, 이는 오히려 더 큰 장애를 유발할 수 있다.[132] 따라서 활동을 유지하고, 통증을 악화시키는 활동은 피하며, 증상을 스스로 관리하는 방법을 이해하는 것이 권장된다.[11] 요통 관리는 원인이 기계적 문제, 비기계적 문제, 또는 연관통 중 어디에 해당하는지에 따라 달라진다.[57] 경미하거나 중간 정도의 급성 통증의 목표는 정상 기능 회복, 직장 복귀, 통증 최소화이다. 급성 요통은 대개 심각하지 않으며 별다른 조치 없이 해결되는 경우가 많고, 통증이 허용하는 범위 내에서 가능한 한 빨리 정상 활동으로 복귀하는 것이 회복을 촉진한다.[2] 이러한 사실을 환자에게 인지시키고 대처 기술을 제공하는 것이 회복 속도를 높이는 데 도움이 된다.[5]만성 또는 아급성 요통 환자에게는 다학제적 치료 프로그램이 도움이 될 수 있다.[58] 초기에는 비약물적 치료가 권장되며[11], 여기에는 표면적인 온열 치료, 마사지, 침술, 또는 척추 지압 등이 포함된다.[11] 이러한 치료로 충분한 효과를 보지 못하면 비스테로이드성 소염 진통제(NSAIDs) 사용이 권장된다.[11] 아세트아미노펜과 전신 스테로이드는 급성 또는 아급성 요통의 통증 개선 효과가 없어 권장되지 않는다.[11]
허리 척추에 대한 물리 치료 안정화 운동 및 수기 치료는 통증 증상 감소 효과가 있으며, 일반 운동보다 우수한 효과를 보인다.[59] 요통 증상 개선에 가장 효과적인 운동은 코어 강화 및 혼합 운동 유형이며, 권장되는 적절한 운동 프로그램은 8주간 12시간의 유산소 운동이다.[60]
요통으로 인한 심리적 고통은 전체 통증 및 장애 경험에 큰 영향을 미치므로, 인지 행동 치료(CBT)와 같이 신념과 행동 변화를 목표로 하는 치료 전략이 유용할 수 있다.[132]
의료 지침에서 권장하는 치료 접근 방식과 실제 전 세계 요통 환자들이 받는 진료 사이에는 상당한 차이가 있으며, 이는 치료법의 가용성, 접근성, 지불 모델(보험, 의료 시스템 등)과 같은 요인 때문이다.[61]
비약물 치료
- 운동 및 활동:
- 일반적인 신체 활동 증가는 권장되지만, 급성 요통 치료 시 통증, 장애, 직장 복귀와의 명확한 연관성은 밝혀지지 않았다.[53][62][63] 급성 통증의 경우, 걷기는 낮은 수준에서 중간 수준의 근거로 뒷받침된다.[64]
- 점진적 걷기와 같은 유산소 운동은 아급성 및 급성 요통에 유용하며, 만성 요통과 수술 후에도 강력히 권장된다.[55]
- 통증을 제한하려는 방향성 운동(맥켄지 방법 등)은 아급성, 만성 및 방사통성 요통에 권장되지만, 통증을 제한하는 경우에만 효과가 있다.[55] 맥켄지 방법은 재발성 급성 요통에 다소 효과적일 수 있으나, 단기적 이점은 뚜렷하지 않다.[5]
- 운동 치료는 만성 요통 환자의 통증 감소, 신체 기능 개선, 몸통 근력 강화, 정신 건강 개선에 효과적이다.[72] 또한 장기적인 기능 개선을 보이며[66], 프로그램 완료 후 최대 6개월까지 재발률을 감소시키는 것으로 보인다.[73] 운동 치료는 무치료, 일반 치료, 위약과 비교했을 때 통증 개선 효과가 있었으나(낮은 신뢰도 증거), 기능 제한 개선 효과는 미미했다(중간 신뢰도 증거).[72] 특정 유형의 운동 치료가 다른 유형보다 더 효과적이라는 증거는 없으므로[74][75], 환자나 시술자의 선호도, 접근성, 비용에 따라 운동 형태를 선택할 수 있다.
- 스트레칭만 포함하는 운동 프로그램은 급성 요통에 권장되지 않으며, 특히 제한된 운동 범위의 스트레칭은 치료 진행을 방해할 수 있다.[55]
- 요가와 태극권은 만성 요통 환자가 의욕이 있다면 치료로 권장되지만, 급성 또는 아급성 요통 치료에는 권장되지 않는다.[55] 알렉산더 테크닉은 만성 요통에 유용한 것으로 보이며[76], 요가 사용의 작은 이점을 뒷받침하는 일부 증거가 있다.[77][78]
- 운동 조절 운동(Motor control exercise)은 최대 20주까지 통증과 기능을 개선하지만, 수기 치료나 다른 형태의 운동과 비교했을 때 큰 차이는 없었다.[79] 수기 치료와 함께 운동 조절 운동을 해도 일반적인 근력 및 컨디셔닝 운동과 비교하여 통증 강도는 유사하게 감소하지만, 후자만이 근육 지구력과 근력을 개선하고 자가 보고 장애를 감소시켰다.[80]
- 수중 치료는 극심한 비만, 퇴행성 관절 질환 등 점진적 보행을 제한하는 다른 질환이 있는 만성 및 아급성 요통 환자에게 옵션으로 권장된다. 이러한 기존 질환이 없는 사람에게는 권장되지 않는다.[55]
- 필라테스는 통증 및 장애 감소 효과에 대한 낮은 수준에서 중간 수준의 증거가 있지만[55][81], 다른 형태의 운동보다 우수하다는 결정적인 증거는 없다.[81]
- '''안정은 반드시 유효한 치료법이라고 할 수 없다'''. 급성 요통에 대해 통증에 따라 활동성을 유지하는 것은 침상 안정보다 통증 경감 및 기능 회복에 효과적이며, 직업성 요통에서도 더 빠른 통증 개선, 휴업 기간 단축, 재발 예방에 효과적이다. 여러 국가의 급성 요통 가이드라인에서 안정을 권장하는 경우는 찾아보기 어렵다.[186]
- 온열/냉각 요법:
- 급성 및 아급성 요통에 온열 요법 사용을 뒷받침하는 잠정적인 근거가 있으며, 위약과 비교하여 통증 및 장애 기간을 단축시키는 것으로 나타났다.[66]
- 만성 통증에 대한 온열 또는 냉각 요법 사용 근거는 거의 없다.[66]
- '''요통에 대한 냉각 요법은 권장되지 않는다'''. 근거가 부족하며, 냉각으로 인한 혈관 수축 및 혈류 저하가 허혈을 일으키고 통증 물질 방출을 유발하여 정상적인 회복 과정을 방해하고 통증을 악화시킬 수 있다.
- 기타 비약물 치료:
- 척추 교정술(Spinal manipulation)은 급성 및 만성 요통에 고려될 수 있다. (미국 내과학회 가이드라인 참고)
- 마사지는 만성 요통에 고려될 수 있다. (미국 내과학회 가이드라인 참고)
- 침술은 만성 요통에 대해 여러 국가의 가이드라인 및 세계 보건 기구(WHO)에서 효과를 인정하고 있다.[185] 오피오이드와 유사한 약한 효과가 있을 수 있다. 한국에서는 건강보험 적용이 가능하나, 의사의 동의서가 필요한 경우가 있다.
- 허리 벨트(코르셋)가 결근 일수를 줄일 수 있다는 약한 근거는 있으나, 통증 완화 효과에 대한 근거는 없으며[67] '''권장되지 않는다'''. WHO, 영국 NICE, 유럽 위원회 등 여러 기관에서 장기 사용의 부작용(골다공증, 복근 약화 등)을 지적하며 사용을 권장하지 않는다.
- 초음파 및 충격파 치료는 효과가 없는 것으로 나타나 권장되지 않는다.[68][69]
- 요추 견인술은 방사성 요통에 효과가 없다.[70] 요추 지지대의 효과 여부도 불분명하다.[71]
- 말초 신경 자극은 다른 치료에 반응하지 않는 만성 요통에 유용할 수 있으나 근거는 결정적이지 않으며 다리까지 방사되는 통증에는 효과적이지 않다.[83]
- 경피 전기 신경 자극(TENS)은 만성 요통에 효과적인 것으로 밝혀지지 않았다.[84]
- 신발 깔창의 치료적 사용에 대한 증거는 결정적이지 않다.[56]
- 요추 신전 기계 사용을 뒷받침하는 연구가 거의 없어 권장되지 않는다.[55]
- 다학제적 생물심리사회적 재활(MBR) 프로그램은 만성 요통 환자의 통증과 장애를 줄이고 작업 상태에 긍정적인 영향을 미칠 수 있으나, 효과는 미미하며 프로그램의 시간 및 자원 요구 사항을 고려해야 한다.[82]
약물 치료약물 치료는 요통에 효과가 있을 경우 사용될 수 있다. 만성 요통의 경우, 치료 목표는 통증 완치가 아닌 통증 조절 및 기능 회복으로 바뀔 수 있으며, 약물 효과에는 한계가 있어 기대치를 조절할 필요가 있다.[215]
- 1차 선택 약물:
- 아세트아미노펜이나 비스테로이드성 소염 진통제(NSAIDs)가 일반적으로 처음 권장된다.
- 아세트아미노펜은 표준 용량에서 안전하지만 과량 복용 시 간 손상 위험이 있다.[215] 2015년 연구에서는 효과에 의문을 제기하기도 했다.[188]
- NSAIDs는 급성 요통에 아세트아미노펜보다 약간 더 효과적일 수 있으나 신부전, 위궤양, 심장 질환 등의 부작용 위험이 더 크다. 따라서 아세트아미노펜 효과가 없을 때 고려되며, 여러 종류 중 COX-2 억제제가 다른 NSAIDs보다 더 효과적이라는 증거는 없다.[215] 안전성 측면에서는 나프로센이 고려될 수 있으나[187], 소화성 궤양 등이 있는 경우 적합하지 않다.
- 근이완제는 효과적일 수 있다.[215]
- 2차 선택 및 기타 약물:
- 통증 조절이 충분하지 않을 경우, 오피오이드(예: 모르핀, 트라마돌)의 단기간 사용이 효과적일 수 있으나[189], 의존증 위험, 다른 약물과의 상호작용, 어지럼증, 메스꺼움, 변비 등 부작용 위험이 크다. 심각한 급성 통증이 큰 문제를 일으킬 경우에만 단기간 사용하는 것이 적절하며[215], 전문가들은 만성 요통에 대한 장기간 사용을 권장하지 않는다.[215][190] 만성 요통 고령 환자 중 NSAIDs 사용 위험이 큰 경우나 특정 신경병성 통증 환자에게는 오피오이드가 도움이 될 수 있다.[191]
- 항우울제(예: 삼환계 항우울제(TCA), 둘록세틴)는 만성 요통, 특히 우울 증상이 동반된 경우 효과가 있을 수 있으나 부작용 위험이 있다. 미국 내과학회 가이드라인에서는 둘록세틴을 약물 치료의 2차 선택지로 제시한다.
- 항경련제(가바펜틴, 카르바마제핀)는 만성 요통에 가끔 사용되지만, 좌골 신경통 개선 가능성 외에는 근거가 불충분하다.[215]
- 벤조디아제핀류는 급성 및 만성 요통에 사용될 수 있으나 의존성 등의 문제가 있다. (미국 내과학회 가이드라인 참고)
- 스테로이드 경구 투여는 요통에 적합하지 않다.[172][215]
주사 요법
- 추간 관절 주사나 추간판 스테로이드 주사는 만성 비신경근성 통증에는 효과가 없지만, 좌골 신경통에는 고려될 수 있다.[192]
- 경막 외 스테로이드 주사는 좌골 신경통에 대해 약간의 단기적 개선 효과만 있을 뿐 장기적 이점은 없으며[193], 부작용 위험이 있다.[194]
- 척추 관절 주사의 효과에 대해서는 논란이 있으며, WHO, 유럽 위원회, 영국 NHS 등 여러 기관에서 효과를 인정하지 않거나 권장하지 않는다. 이들 주사는 감염, 출혈, 신경 손상 등의 위험이 있으며, 위약 효과가 크다는 지적도 있다. 반면, 일본 통증 클리닉 학회 등에서는 효과가 있다고 주장하기도 한다.[196]
심리적 요인 및 접근비특이적 요통의 원인이 허리가 아닌 뇌의 기능과 관련될 수 있다는 주장이 있다. 노스웨스턴 대학교 바니아 아프카리안 박사의 연구에 따르면, 비특이적 요통에서는 뇌의 시상이 활성화되지 않고 전두엽 일부만 활성화되는 반면, 허리 타박상에 의한 급성 요통에서는 통증 정보가 시상을 거쳐 뇌의 여러 부위로 전달된다.[227] 이는 비특이적 요통에서 말초(허리)와 시상의 관여가 적을 수 있음을 시사한다.
과도한 스트레스로 인한 근육 긴장도 요통의 원인이 될 수 있다. 스트레스는 교감 신경을 활성화시켜 불필요한 근육 긴장을 유발하고, 이로 인해 허리 근육에 부담이 커져 통증이 발생할 수 있다.
3개월 이상 지속되는 만성 요통은 불안, 스트레스 등 심리적 요인의 영향이 크며, 급성 요통이 만성화되는 데는 의원성 요인이 작용하기도 한다.[149] 한 조사에서는 요통 환자의 38%에게 심리학적 장애가 발견되었다. 심인성 요통의 경우, 심신증, 신경증, 우울증 치료가 효과를 볼 수 있다.[152] 뉴욕 대학교의 존 사르노 박사는 요통을 심신증으로 보고 치료하여 효과를 보았다고 주장하며, 분노, 불안, 스트레스 등 뇌의 문제 해결이 중요하다고 강조했다.[153][154]
요통 발생에 영향을 미치는 요인으로는 심리적 요인(직장 불만, 불안, 스트레스, 우울증)[228], 비만, 임신 후기, 특정 연령대(35~55세), 허리에 부담이 가는 직업, 운동 부족[156] 등이 있다. "기분이 가라앉기 쉽다"거나 "불안해서 가만히 있을 수 없다"는 사람은 그렇지 않은 사람에 비해 요통 발생 위험이 30배 높다는 연구 결과도 있다.[227]
'불안 회피 모델'(Fear-avoidance modeleng)은 불안에 기반한 회피 행동이 만성 근골격계 통증을 유발하는 과정을 설명한다.[163] 통증을 피하려는 행동이 일시적으로 통증을 줄여주면 그 행동이 강화되고, 통증에 더욱 민감해지며 회피 행동이 심화되는 악순환이 발생한다. 이 악순환에서 벗어나려면 통증에 대한 인식을 바꾸고, 불안에 직면하며, 점진적으로 활동을 늘려 "움직여도 괜찮다"는 경험을 하는 것이 중요하다.[165] 몸을 움직이는 것에 대한 불안-회피 신념은 노동 손실과 강한 상관관계가 있다.[166]
진료 지침 및 예후진료 시에는 먼저 진단적 분류(비특이적 요통, 신경근 증후군, 기타 중증 질환 감별)를 시행하고[174], 레드 플래그(Red flags, 중증 질환 시사 징후)를 확인하며, 신경학적 검진(하지직거상 검사 포함)을 실시한다. 증상이 개선되지 않으면 정신적 요인(옐로 플래그, Yellow flags, 만성화 위험 요인)을 고려해야 한다. 비특이적 요통에 대한 일상적인 영상 검사는 불필요하다.
자가 관리 및 환자 교육(정보 제공)은 중요하다. "몸의 활동성을 유지하고, 운동하며, 너무 쉬지 않고, 일을 계속하라"는 조언은 요통 예후를 개선한다.[184] 올바른 정보를 제공하고 안심시키는 것은 예후를 개선하지만, 겁을 주어 불안하게 하면 예후가 악화된다.[186]
일반적으로 급성 요통의 예후는 양호하여, 통증과 기능 장애는 대개 처음 6주 이내에 크게 개선되며, 40~90%는 완전히 회복한다.[140] 대부분 1년 후에는 통증과 기능 장애가 거의 없다. 그러나 6주 후에도 증상이 지속되면 회복이 더뎌지고 1년 후에는 회복이 미미하다. 장기 예후는 초기 통증 정도, 과거 요통 경험, 직업 만족도 등에 영향을 받는다.[140] 우울증, 실직 등 정신사회적 문제가 있으면 요통이 오래 지속될 수 있다.[215]
요통 재발률은 절반 이상으로 높지만[216], 재발된 요통의 단기 예후도 양호하다. 만성 요통 환자는 1년 후에도 중등도의 통증과 기능 장애를 겪는 경우가 많다.[140] 장기적인 기능 장애 위험이 높은 사람은 요통 대처 능력이 부족하거나, 움직임을 두려워하거나(1년 후 기능 장애 2.5배 증가[217]), 기능 장애가 심하거나, 전반적인 건강 상태가 나쁘거나, 통증에 정신심리적 요소(Waddell 징후)가 있는 경우이다.[217]
미국 하버드 대학교 랜던 교수는 "비특이성 요통의 경우 대부분 3개월 이내에 통증이 자연적으로 사라지며, 영상 검사, 약물 주입, 수술 등은 장기 예후에 거의 영향을 미치지 않고 오히려 악화시킬 수 있다"고 지적했다.[219] WHO 역시 "비특이성 요통은 대부분 2~3주 내에 자연 치유되지만, 만성화되면 효과적인 치료법이 거의 없으므로 만성화 방지가 치료의 주요 목적"이라고 강조하며, 운동 프로그램의 중요성을 언급하고 스테로이드나 추간관절 주사의 이점은 거의 없다고 밝혔다.
6. 2. 특이적 요통 치료
특이적 요통은 특정 질환이 원인이 되어 발생하는 요통을 의미하며, 각 질환별로 특수한 치료가 필요하다. 예를 들어, 요추의 압박 골절의 경우, 골절 부위를 일정 기간 고정하고 진통제를 투여하며, 기저 질환인 골다공증을 치료해야 할 수 있다. 경우에 따라 수술이 필요할 수도 있다.일반적으로 병력 청취와 신체 진찰을 통해 특이적 질환의 가능성을 어느 정도 배제할 수 있다. 따라서 MRI나 CT 같은 영상 진단은 만성화되었거나 치료에 잘 반응하지 않는 경우, 또는 아래에 언급될 레드 플래그 증상이 있는 경우에 고려하는 것이 보통이다.[168] 영상 진단은 암, 감염, 마미 증후군 등이 의심될 때 조기에 시행하는 것이 권장된다.[168] 추간판 탈출증 진단에는 CT보다 MRI가 약간 더 유용하며, 척추관 협착증 진단에는 두 검사 모두 유용하다.[168] 하지 직거상 검사는 추간판 탈출증 진단에 도움이 될 수 있다.[168] 지속적인 심한 요통의 원인이 되는 추간판을 특정하기 위해 추간판 조영술이 사용될 수 있으며,[175] 신경 차단술과 같은 치료적 기법이 통증 부위 파악에 도움을 줄 수도 있다.[168]
그러나 영상 검사에서 발견되는 추간판 탈출증이나 척추관 협착증 같은 변화는 노화에 따른 자연스러운 현상일 수 있으며, 반드시 요통의 직접적인 원인은 아니다.[147] 불필요한 영상 검사는 비용 문제뿐 아니라, 환자에게 추가적인 불안감을 유발하고 불필요한 추가 검사나 효과 없는 수술로 이어질 수 있다.[176][181][182] 이러한 영상 소견만으로 수술을 결정하는 것은 신중해야 하며, 수술 후에도 통증이 지속될 수 있다.[147] 특히 추간판 탈출증은 90% 정도가 자연적으로 호전된다.[148]
다음은 특이적 요통의 원인이 될 수 있는 주요 질환 및 상태이다.
주의해야 할 요통 (레드 플래그)다음과 같은 질환은 심각한 결과를 초래할 수 있으므로 즉각적인 진단과 치료가 필요하다. 레드 플래그 증상이 있거나 이러한 질환이 의심될 경우, 신속한 영상 검사와 전문의 진료가 필수적이다.
- 척추 감염증: 화농성 척추염, 결핵성 척추염, 경막외 농양, 추간판염
- 악성 종양: 다발성 골수종, 종양 골 전이
- 복부 질환: 복부 대동맥류, 대동맥 박리, 신장 경색, 급성 췌장염, 장요근 농양, 대장 게실염, 신우신염
- 마미 증후군: 배뇨·배변 장애를 동반할 수 있다.
수술적 치료수술은 다음과 같은 특정 경우에 유용할 수 있다.[14][197]
- 추간판 탈출증: 다리로 방사되는 심한 통증, 심각한 다리 약화, 방광 문제 또는 배변 조절 상실을 유발하는 경우.
- 척추관 협착증: 보존적 치료에 반응하지 않는 경우.[13][198]
이러한 경우가 아니면 수술의 이점에 대한 명확한 증거는 부족하다.[14][197][148]
- 추간판 절제술: 다리 통증을 유발하는 디스크 일부를 제거하는 수술이다. 비수술적 치료보다 빠른 통증 완화를 제공할 수 있으나, 장기적인 결과(4~10년 후)는 비수술적 치료와 큰 차이가 없을 수 있다.[14][197] 미세 추간판 절제술은 기존 방식과 비교하여 비슷한 결과를 보인다.[14][197]
- 척추 유합술: 디스크 변성으로 인한 요통이나 보존적 치료에 반응하지 않는 분리성 척추전방전위증 환자에게 고려될 수 있다.[14][13] 그러나 집중적인 물리 치료와 효과가 비슷하며,[13][198] 좋은 결과를 얻는 경우는 제한적이다.[198] 다양한 수술 방법이 있지만 특정 방법이 더 우수하다는 증거는 부족하며,[106] 수술 중 임플란트 장치를 추가하는 것은 위험을 높일 뿐 통증이나 기능 개선에 추가적인 효과가 없다.[7][183]
특이적 요통이 의심되는 경우, 특히 레드 플래그 증상이 있거나 신경학적 증상이 악화되는 경우에는 척추·척수 전문의의 조기 진료가 중요하다. 장기간 방치하면 치료가 어려워질 수 있다.
7. 사회와 문화
하루 이상 지속되고 활동을 제한하는 요통은 흔한 증상이다.[25][144] 전 세계적으로 약 40%의 사람들이 일생 중 요통을 겪으며,[25][144] 선진국에서는 그 비율이 80%에 달하는 것으로 추정된다.[24][222] 특정 시점에서는 전 세계 인구의 약 9~12%(2020년 기준 6억 3,200만 명, 인구 10만 명당 7,460명)가 요통을 겪고 있으며,[22] 약 23.2%는 최근 한 달 내에 요통을 경험했다고 보고했다.[25][23][144][223]
요통은 주로 20세에서 40세 사이에 시작되는 경우가 많지만,[5][172] 나이가 들수록 점점 더 흔해져 85세 연령대에서 가장 높은 유병률을 보인다.[22] 고령층은 요통으로 인해 이동성과 독립성을 잃을 가능성이 더 높고, 사회 및 가족 활동 참여가 저하될 수 있다.[22]
여성은 모든 연령대에서 남성보다 요통 발생률이 더 높으며, 특히 고령층(75세 이상)에서 그 차이가 두드러진다.[22] 이는 여성의 골다공증, 월경, 임신 관련 통증 발생률이 더 높거나, 여성이 통증을 더 적극적으로 보고하는 경향 때문일 수 있다.[25][144] 임신 중인 여성의 약 70%가 요통을 경험하며, 임신 기간이 길어질수록 발생률은 더 높아진다.[131][224]
요통의 상당수는 특별한 원인을 찾기 어려운 비특이성 요통이지만, 직업적 요인(인체 공학), 흡연, 비만 등은 약 30%의 경우에서 요통과 관련이 있다.[22] 낮은 신체 활동 수준 역시 요통과 연관된다.[132] 직업적 요인으로는 물건 들어올리기, 구부리기, 진동 노출, 육체적으로 힘든 작업, 장시간 앉거나 서 있는 자세, 부자연스러운 자세 등이 있다.[22] 현재 흡연자, 특히 청소년 흡연자는 과거 흡연자나 비흡연자에 비해 요통 발생 가능성이 더 높다.[133][225]
세계 보건 기구(WHO)는 요통의 유병률이 전 세계적으로 비슷하며, 휴업의 주요 원인이라고 밝혔다.[226] 다만, 수렵 채집 생활을 하는 탄자니아의 하자족처럼 신체 활동량이 매우 높은 집단에서는 외상성 급성 요통 외에 만성 요통 환자는 거의 없다는 보고도 있다.[227]
요통 환자 수는 인구 증가와 고령화로 인해 계속 증가할 것으로 예상되며,[22] 특히 저소득 및 중간 소득 국가에서 증가 폭이 클 것으로 보인다.[132]
요통은 막대한 경제적 비용을 유발한다. 미국에서 요통은 성인이 겪는 가장 흔한 통증이자 결근의 주요 원인이며, 응급실 방문의 가장 흔한 근골격계 문제이다.[27][232] 1998년 미국에서 요통 관련 연간 의료 비용은 900억달러로 추산되었으며, 소수(5%)의 환자가 전체 비용의 대부분(75%)을 발생시켰다.[27][232] 또한 요통은 소득 감소 및 생산성 저하를 야기하며, 미국 전체 결근 일수의 40%를 차지한다.[136][233] 캐나다, 영국, 네덜란드, 스웨덴 등 일부 국가에서는 미국이나 독일보다 요통으로 인한 노동력 손실 비율이 더 높다.[136][233] 1990년부터 2001년 사이 미국에서는 척추 유합술 건수가 2배 이상 증가했는데, 이는 수술 적응증의 변화나 효과에 대한 새로운 증거 없이 이루어진 현상이었다.[7][183] 미국에서 요통은 1990년부터 2016년까지 주요 질병 및 부상으로 인한 장애보정손실년수(YLD) 순위에서 지속적으로 상위를 차지했다.[137]
일본에서는 후생노동성의 2015년 국민 생활 기초 조사 결과, 요통이 남성의 유소자율 1위, 여성 2위(여성 1위는 어깨 결림)를 차지했다. 일본인의 80% 이상이 평생 한 번은 요통을 경험하며, 이 중 80%는 원인이 명확하지 않은 비특이성 요통으로 분류된다.
직장에서 부상으로 급성 요통을 겪은 노동자는 고용주로부터 X선 검사를 요구받을 수 있다.[138][234] 그러나 의학적인 위험 신호(red flag)가 없는 한, 다른 경우와 마찬가지로 영상 검사는 일반적으로 권장되지 않는다.[138][234] 법적 책임에 대한 고용주의 우려가 의학적 필요성을 대체하거나 권장되지 않는 검사를 정당화해서는 안 된다.[138][234]
=== 예방 및 대책 ===
1976년 스웨덴의 정형외과 의사 알프 나케무손은 허리에 부담을 주는 동작이 요통의 주요 원인 중 하나임을 지적하며 예방의 중요성을 강조했다.[160] 그는 정형외과 의사 등을 대상으로 관련 지식 보급과 예방 교육 강화를 주장했다.
'''노 리프팅 케어 (No-lifting care)'''는 간호사나 간병인이 환자를 옮길 때 "밀기, 당기기, 들어 올리기, 비틀기, 운반하기" 등의 동작을 최소화하고 가능한 한 보조 기구를 활용하는 간호 방식이다. 이는 간호 인력의 요통 발생률 증가와 이직 문제에 대한 대책으로 호주에서 시작되었다.[220] 이 방식은 돌봄을 받는 사람에게는 피부 손상 및 이동 시 불쾌감 감소, 낙상 위험 방지, 와상 합병증 예방 등의 이점을 제공한다. 돌봄 제공자에게는 통증 및 신체 부담 경감, 명확한 업무 지침 확보 등의 장점이 있다. 또한 기관 차원에서는 산업 재해 관련 비용 절감, 인력 부족 완화, 서비스 표준화, 문제점 조기 발견 등의 효과를 기대할 수 있다.[221]
=== 노동 관련 문제 및 제도 ===
알프 나케무손은 과거 일본의 산업재해보상보험 제도가 요통을 "이전 직장의 지병"으로 간주하여 보상 대상에서 영구히 제외하는 문제점을 지적하며, 사회 보장 제도의 사각지대를 해소하기 위한 정책 전환을 촉구했다. 이에 일본 정부는 전문가 논의를 거쳐 1976년 10월, 업무상 작업이나 자세로 인한 요통을 산업 재해로 인정하고, 전문의 소견을 존중하며, 동일 부위 재발도 보상 대상에 포함하도록 제도를 개선했다.[160]
일본 후생노동성은 1994년 "직장에서의 요통 예방 대책 지침"을 제정하고 2013년에 개정했다.[235] 개정 당시, 휴업 4일 이상의 요통 재해가 전체 직업성 질병의 60%를 차지했으며, 특히 사회복지 시설에서의 발생 건수가 10년간 2.7배 증가한 상황이 배경이 되었다. 운수교통업, 소매업 등에서도 요통 발생이 많아 실효성 있는 예방 대책 마련이 시급했다. 2023년 제정된 "제14차 노동 재해 방지 계획"에서도 육상 화물 운송업, 보건 위생업 등에서의 요통 다발, 장기 휴업, 저연차 노동자의 높은 재해율 등을 지적하며 작업 특성에 맞는 예방 대책 강화를 요구하고 있다.[236]
직장 내 요통 예방을 위해서는 사업주의 리더십 하에 작업 관리, 작업 환경 관리, 건강 관리와 노동 위생 교육을 체계적으로 실시하는 것이 중요하다. 이를 위해 위생 위원회, 총괄 안전 위생 관리자, 산업 의사, 위생 관리자 등의 역할이 중요하며, 리스크 평가 기법이나 노동 안전 보건 매니지먼트 시스템을 도입하고, 필요시 외부 전문가(노동 위생 컨설턴트, 보건사, 간호사 등)와 협력하는 것이 효과적이다.[237]
산업 재해 인정을 위해서는 몇 가지 유의사항이 있다.
- 진료 기록 확보: 재직 중 요통 관련 진료 기록이 없으면 산업 재해나 장애 연금 신청이 어려울 수 있으므로, 증상 발생 시 또는 재직 중에 산업 재해 지정 병원에서 진료를 받는 것이 중요하다.
- 지속적인 통원: 산업 재해 신청에는 회사의 증명 외에 의사의 진단서 등 의학적 소견이 필수적이므로 꾸준한 치료와 기록 관리가 필요하다.
- 작업 환경 증거: 지방 고용 노동청 등에 작업 환경의 위험성을 입증할 사진 등의 자료를 제출하는 것이 도움이 될 수 있다.
- 동료 사례: 비슷한 업무를 하던 동료가 산업 재해를 인정받은 사례가 있다면 심사 과정에 참고가 될 수 있다.
무거운 물건을 다루는 직종(건설, 공장, 창고, 물류, 공항, 항만 등)은 요통으로 인한 산업 재해 위험이 높다. 일부 사업장에서는 정규직의 휴직이나 퇴직에 따른 비용 부담을 피하기 위해 기간제 근로자, 파견 사원, 위탁 사원 등 비정규직 노동자에게 중량물 작업을 집중시키는 경우가 있다. 이 과정에서 산업 재해 신청을 의도적으로 방해하는 경우도 발생하는데, 이는 법적 분쟁의 소지가 있으며 민사 소송 등을 통해 업무상 재해로 인정받을 가능성이 있다.
구조 조정이나 노동조합 활동 탄압 등의 목적으로 부당하게 중노동 부서로 배치 전환하는 경우도 있다. 해당 업무에 필요한 충분한 훈련, 숙련도, 신체 조건 등이 갖춰지지 않은 상태에서의 무리한 배치 전환은 직장 내 괴롭힘이나 부당 노동 행위에 해당할 수 있다.
산업 재해 신청, 장애 연금 신청(퇴직 후 증상 고정 시 신청 가능, 소멸 시효 주의), 손해배상 청구 소송(고용주의 불법 행위 입증 필요, 소멸 시효 주의, 관련 판례 존재: 오사카 지방재판소 쇼와 49년(와) 제879호) 등 다양한 권리 구제 방법이 있다. 산업 재해 신청 절차가 지연되거나 불승인되어 생계에 어려움을 겪는 경우, 거주지 관할 행정기관에 생활 보호를 신청하는 것을 고려할 수 있다. 생활 보호 제도에는 치료비, 교통비 등을 지원하는 의료 부조가 포함되어 있다.
8. 연구
대체 치료가 비만성 요통에 유용한지는 불분명하다.[108] 카이로프랙틱 치료 또는 척추 지압술(SMT)은 다른 권장 치료법과 유사한 효과를 보이는 것으로 나타났다.[109][110][20] 국가별 지침은 서로 다르며, 일부는 SMT를 권장하지 않고, 일부는 지압술을 선택 사항으로 설명하며, 다른 일부는 다른 치료법으로 호전되지 않는 환자에게 단기 과정을 권장한다.[2] 2017년 검토에서는 낮은 품질의 증거를 바탕으로 SMT를 권장했다.[11] 마취 하 지압술 또는 의학적 지원 지압술을 권장할 증거는 불충분하다.[111] SMT는 운동 조절 운동에 비해 유의미한 이점을 제공하지 않는다.[112]
임상적으로 유익한 급성 및 만성 통증 완화를 제공하는 침술 치료를 뒷받침하는 증거는 매우 미약하다.[113] '가짜' 치료와 비교했을 때, 통증 완화 또는 환자의 삶의 질 개선에 차이가 발견되지 않았다.[113] 침술이 즉각적인 완화에 전혀 치료하지 않는 것보다 나을 수 있다는 매우 미약한 증거가 있다.[113] 2012년 체계적 검토에서는 만성 통증 환자의 경우 침술이 무(無) 치료보다 통증을 조금 더 개선할 수 있고 약물과 거의 동일하지만, 장애에는 도움이 되지 않는다는 결과를 보고했다.[114] 이러한 통증 이점은 치료 직후에만 나타나며 추적 관찰에서는 나타나지 않는다.[114] 침술은 보존적 치료와 약물과 같은 다른 치료에 반응하지 않는 만성 통증 환자에게 옵션이 될 수 있지만,[5][115] 이는 환자의 선호도, 비용, 침술의 접근성에 따라 달라진다.[113]
마사지 치료는 급성 요통에 큰 도움이 되지 않는 것으로 보인다.[5] 마사지 치료는 무(無) 치료보다 급성 요통에 더 효과적인 것으로 나타났지만, 그 이점은 단기간에 국한되었고[116] 기능 개선에는 효과가 없었다.[116] 만성 요통의 경우, 마사지 치료는 통증과 기능 모두에서 무(無) 치료보다 낫지 않았지만, 단기간에만 효과가 있었다.[116] 전반적인 증거의 질은 낮았고, 저자들은 마사지 치료가 일반적으로 요통에 효과적인 치료법이 아니라고 결론 내렸다.[116] 마사지 치료는 아급성 및 만성 요통 환자 중 일부에게 권장되지만, 유산소 운동 또는 근력 운동과 같은 다른 형태의 치료법과 함께 사용해야 한다. 급성 또는 만성 신경근 통증 증후군의 경우, 요통이 증상으로 간주되는 경우에만 마사지 치료가 권장된다. 기계적 마사지 도구는 모든 형태의 요통 치료에 권장되지 않는다.[55]
프롤로테라피 - 염증을 유발하여 신체의 치유 반응을 자극하기 위해 관절(또는 기타 부위)에 용액을 주사하는 행위 - 는 단독으로는 효과가 없는 것으로 밝혀졌지만, 다른 치료법에 추가하면 도움이 될 수 있다.[18]
전반적으로, 생약은 증거의 뒷받침을 거의 받지 못한다.[117] 생약 치료법인 조롱박풀 및 흰 버드나무는 높은 수준의 통증을 보고하는 개인의 수를 줄일 수 있지만, 진통제를 복용하는 환자에게는 이러한 차이가 유의미하지 않다.[18] 고추는 젤 또는 석고 형태로 통증을 줄이고 기능을 향상시키는 것으로 나타났다.[18]
행동 치료는 만성 통증에 유용할 수 있다.[16] 바람직하지 않은 행동을 줄이고 바람직한 행동을 늘리기 위해 강화를 사용하는 조작적 조건 형성, 부정적인 사고와 행동을 파악하고 수정하는 데 도움이 되는 인지 행동 치료, 그리고 개인의 통증에 대한 생리적 반응을 수정할 수 있는 반응적 조건 형성 등 여러 유형이 있다.[18] 그러나 이점은 작다.[118] 의료 제공자는 행동 치료를 통합한 프로그램을 개발할 수 있다.[18] 마음챙김 기반 스트레스 감소가 만성 요통의 강도 또는 관련 장애를 줄이는지 여부에 대한 증거는 결정적이지 않지만, 기존 통증의 수용을 개선하는 데 유용할 수 있음을 시사한다.[119][120]
미미한 증거가 귀와 등에 작은 금속 조각을 피부 바로 아래에 배치하는 신경 반사 요법(NRT)을 비특이적 요통에 뒷받침한다.[121][122][18] 신체적 및 심리적 측면을 목표로 하는 다학제 생물심리사회적 재활(MBR)은 요통을 개선할 수 있지만, 증거는 제한적이다.[123] 통증 완화를 위한 고주파 신경 절제술의 사용을 뒷받침할 양질의 증거가 부족하다.[124]
KT 테이프는 다른 확립된 통증 관리 전략과 비교했을 때 만성 비특이적 요통 관리에 차이가 없는 것으로 밝혀졌다.[125]
전체 디스크 치환술은 실험적인 방법이지만,[36] 요추 융합술보다 유용하다는 유의미한 증거는 없다.[14] 연구자들은 주입된 인간 성장 인자, 이식된 물질, 세포 치료 및 조직 공학을 사용하여 새로운 추간 구조를 성장시킬 가능성을 조사하고 있다.[36]
요통에 대한 이해와 치료법 연구는 오랜 역사를 가지고 있다. 인류는 청동기 시대 이래로 요통과 함께 해왔다. 가장 오래된 외과 논문 중 하나인 에드윈 스미스 파피루스(기원전 1500년경)에는 척추 염좌를 진단하기 위한 검사에 대해 언급하고 있다. 히포크라테스(기원전 460년 ~ 370년)는 처음으로 좌골 신경통과 요통이라는 단어를 사용했다. 또한, 2세기 중후반에 활약한 갈레노스는 요통의 개념에 대해 다소 자세하게 기록했다. 인류의 첫 천 년 말까지 의사들은 등에 대한 수술을 시도하지 않고 환자에게 주의 깊게 관찰하고 기다리도록 권했다. 중세 시대를 거쳐, 실제 의료 종사자들은 요통이 정신에서 비롯된다고 생각하고 의료 행위를 했다.[229]
20세기 초에는 의사들은 요통이 신경염이나 신경 손상으로 인해 발생한다고 생각했다.[229] 당시 의학 논문에는 신경염이나 신경통이라는 단어가 자주 등장했다.[230] 그러나 20세기 말에는 요통이 그렇게 일어난다는 생각을 지지하는 사람이 줄었다.[230] 20세기 초, 미국의 뇌신경외과 의사인 하비 쿠싱은 요통의 외과적 치료가 세상에 받아들여지는 데 기여했다.[231] 1920년대부터 1930년대에 걸쳐 요통의 원인에 대한 새로운 생각이 나타났다. 의사들은 신경계와 정신적 요인의 조합(신경 쇠약이나 여성의 히스테리 등)으로 요통이 발생한다는 생각을 제안했다.[229] 근육 류마티스(현재는 결합 조직염이라고 불린다)도 논문에 등장하는 빈도가 증가했다.[230]
X선 사진과 같은 새로운 기술로 의사들은 진단을 위한 새로운 수단을 얻었다. X선 사진은 어떤 경우에는 추간판이 요통의 원인이 된다는 것을 밝혀냈다. 1938년 정형외과 의사 조셉 S. 바는 추간판이 관련된 좌골 신경통이 수술로 개선되었다고 보고했다.[230] 이 연구 보고서로 인해 1940년대에는 요통의 추간판 모델이 지배적이 되었고,[229] CT와 MRI 등의 새로운 영상 진단의 도움을 받아 1980년대 문헌의 주류가 되었다.[230] 그 후 추간판 문제는 요통의 원인으로 비교적 드물다는 것이 연구를 통해 밝혀졌고, 추간판에 대한 논의는 수그러들었다. 그 이후로 의사들은 많은 경우 요통의 원인이 특정되지 않는다는 것을 알게 되었고, 또한 대부분의 경우 치료 여부와 관계없이 6주에서 12주 이내에 통증이 낫는다는 것을 알게 되었다.[229]
참조
[1]
웹사이트
Low Back Pain Fact Sheet
http://www.ninds.nih[...]
2016-03-05
[2]
논문
An updated overview of clinical guidelines for the management of non-specific low back pain in primary care
2010-12
[3]
논문
Evaluation and diagnosis of low back pain
2012-09
[4]
논문
The prognosis of acute and persistent low-back pain: a meta-analysis
2012-08
[5]
논문
Diagnosis and treatment of acute low back pain
2012-02
[6]
웹사이트
Imaging for Low Back Pain
https://www.aafp.org[...]
2023
[7]
논문
Overtreating chronic back pain: time to back off?
[8]
논문
The physiology of low back pain
2012-09
[9]
논문
Effects of Lifestyle Interventions on the Improvement of Chronic Non-Specific Low Back Pain: A Systematic Review and Network Meta-Analysis
2024-02-20
[10]
서적
WHO guideline for non-surgical management of chronic primary low back pain in adults in primary and community care settings
https://www.who.int/[...]
World Health Organization
2023
[11]
논문
Noninvasive Treatments for Acute, Subacute, and Chronic Low Back Pain: A Clinical Practice Guideline From the American College of Physicians
2017-04
[12]
논문
Pharmacological treatments for low back pain in adults: an overview of Cochrane Reviews
2023-04-04
[13]
논문
Surgery for low back pain: a review of the evidence for an American Pain Society Clinical Practice Guideline
2009-05
[14]
논문
Surgical treatment of low back pain
2012-09
[15]
논문
Low back pain: pharmacologic management
2012-09
[16]
논문
Behavioural treatment for chronic low-back pain
2010-07
[17]
논문
A Cochrane review of combined chiropractic interventions for low-back pain
2011-02
[18]
논문
Complementary and alternative medicine treatments for low back pain
2012-09
[19]
논문
NASS Contemporary Concepts in Spine Care: spinal manipulation therapy for acute low back pain
2010-10
[20]
논문
Spinal manipulative therapy for chronic low-back pain
2011-02
[21]
논문
Spinal manipulative therapy for acute low-back pain
2012-09
[22]
논문
Global, regional, and national burden of low back pain, 1990-2020, its attributable risk factors, and projections to 2050: a systematic analysis of the Global Burden of Disease Study 2021
2023-06
[23]
논문
Years lived with disability (YLDs) for 1160 sequelae of 289 diseases and injuries 1990-2010: a systematic analysis for the Global Burden of Disease Study 2010
2012-12
[24]
서적
Yao and Artusio's Anesthesiology: Problem-Oriented Patient Management
https://books.google[...]
Lippincott Williams & Wilkins
[25]
논문
A systematic review of the global prevalence of low back pain
2012-06
[26]
논문
The association between chronic low back pain and sleep: a systematic review
2011-02
[27]
논문
An evidence-based approach to the evaluation and treatment of low back pain in the emergency department
http://www.ebmedicin[...]
2013-07
[28]
웹사이트
Low Back Pain Fact Sheet
http://www.ninds.nih[...]
National Institute of Health
2013-07-12
[29]
논문
No consensus on causality of spine postures or physical exposure and low back pain: A systematic review of systematic reviews
2020-03
[30]
웹사이트
Fast Facts About Back Pain
http://www.niams.nih[...]
National Institute of Health
2009-09
[31]
웹사이트
Low back pain – acute
https://www.nlm.nih.[...]
U.S. Department of Health and Human Services – National Institutes of Health
2013-04-01
[32]
논문
"[Low back pain in pregnant women]"
2010-11
[33]
논문
Diagnosis and management of urinary tract infection and pyelonephritis
2011-08
[34]
서적
Manual of structural kinesiology
McGraw-Hill Humanities/Social Sciences/Languages
[35]
논문
The role of the lumbar multifidus in chronic low back pain: a review
2010-02
[36]
논문
The pathogenesis of degeneration of the intervertebral disc and emerging therapies in the management of back pain
http://www.boneandjo[...]
2012-10
[37]
서적
Guide to Pain Management in Low-Resource Settings
[38]
논문
Management of low back pain
2008-12
[39]
간행물
American College of Radiology ACR Appropriateness Criteria – Low Back Pain
http://www.acr.org/~[...]
[40]
Citation
Five Things Physicians and Patients Should Question
http://www.choosingw[...]
North American Spine Society
2013-02
[41]
논문
Red flags to screen for vertebral fracture in patients presenting with low-back pain
2023-11-28
[42]
논문
Red flags to screen for malignancy in patients with low-back pain
2013-02
[43]
논문
Red flags to screen for malignancy and fracture in patients with low back pain: systematic review
2013-12
[44]
논문
Systematic review of lumbar discography as a diagnostic test for chronic low back pain
[45]
웹사이트
Use of imaging studies for low back pain: percentage of members with a primary diagnosis of low back pain who did not have an imaging study (plain x-ray, MRI, CT scan) within 28 days of the diagnosis
http://www.qualityme[...]
2013-06-11
[46]
Citation
Ten Things Physicians and Patients Should Question
http://www.choosingw[...]
"[[American Academy of Family Physicians]]"
[47]
Citation
Five Things Physicians and Patients Should Question
http://www.choosingw[...]
"[[American College of Physicians]]"
[48]
논문
Imaging strategies for low-back pain: systematic review and meta-analysis
2009-02
[49]
논문
Appropriate and safe use of diagnostic imaging
2013-04
[50]
논문
Diagnostic imaging for low back pain: advice for high-value health care from the American College of Physicians
2011-02
[51]
논문
Appropriate use of diagnostic imaging in low back pain: a reminder that unnecessary imaging may do as much harm as good
2011-11
[52]
논문
Prevention of Low Back Pain: A Systematic Review and Meta-analysis
2016-02
[53]
논문
Exercises for prevention of recurrences of low-back pain
2010-01
[54]
논문
Diagnosis and treatment of low back pain: a joint clinical practice guideline from the American College of Physicians and the American Pain Society
2007-10
[55]
논문
Non-Invasive and Minimally Invasive Management of Low Back Disorders
2020-03
[56]
논문
Insoles for prevention and treatment of back pain: a systematic review within the framework of the Cochrane Collaboration Back Review Group
2009-04
[57]
논문
Treatment: current treatment recommendations for acute and chronic undifferentiated low back pain
2012-09
[58]
논문
Multidisciplinary team care in rehabilitation: an overview of reviews
2012-11
[59]
논문
Stabilization exercise compared to general exercises or manual therapy for the management of low back pain: A systematic review and meta-analysis
2017-01
[60]
논문
Exercise therapy for chronic low back pain
2021-09-28
[61]
논문
Prevention and treatment of low back pain: evidence, challenges, and promising directions
http://dx.doi.org/10[...]
2018
[62]
논문
The relationship between physical activity and low back pain outcomes: a systematic review of observational studies
2011-03
[63]
논문
Physical conditioning as part of a return to work strategy to reduce sickness absence for workers with back pain
2013-08
[64]
논문
The effectiveness of walking as an intervention for low back pain: a systematic review
2010-10
[65]
논문
Superficial heat or cold for low back pain
2006-01
[66]
논문
A systematic review on the effectiveness of physical and rehabilitation interventions for chronic non-specific low back pain
2011-01
[67]
논문
Mechanical therapy for low back pain
2012-09
[68]
논문
Therapeutic ultrasound for chronic low back pain
2020-07
[69]
서적
Low back pain and sciatica in over 16s: assessment and management.
https://www.worldcat[...]
National Institute for Health and Care Excellence (NICE)
2016
[70]
서적
Noninvasive Treatments for Low Back Pain
https://www.ncbi.nlm[...]
Agency for Healthcare Research and Quality (US)
2016
[71]
논문
Lumbar supports for prevention and treatment of low back pain
2008-04
[72]
논문
Exercise therapy for chronic low back pain
2021-09
[73]
논문
The treatment effect of exercise programmes for chronic low back pain
2010-06
[74]
논문
Exercise therapy for chronic nonspecific low-back pain
2010-04
[75]
논문
Aerobic vs. resistance exercise for chronic non-specific low back pain: A systematic review and meta-analysis
2018-10-25
[76]
논문
Evidence for the effectiveness of Alexander Technique lessons in medical and health-related conditions: a systematic review
2012-01
[77]
논문
Yoga for low back pain: a systematic review of randomized clinical trials
2011-09
[78]
논문
Yoga for chronic non-specific low back pain
2022-11
[79]
논문
Motor control exercise for chronic non-specific low-back pain
2016-01
[80]
논문
Randomized Trial of General Strength and Conditioning Versus Motor Control and Manual Therapy for Chronic Low Back Pain on Physical and Self-Report Outcomes
2020-06
[81]
논문
Pilates for low back pain
2015-07
[82]
논문
Multidisciplinary biopsychosocial rehabilitation for chronic low back pain
2014-09
[83]
논문
Invasive stimulation therapies for the treatment of refractory pain
2012-10
[84]
논문
Assessment: efficacy of transcutaneous electric nerve stimulation in the treatment of pain in neurologic disorders (an evidence-based review): report of the Therapeutics and Technology Assessment Subcommittee of the American Academy of Neurology
2010-01
[85]
논문
Acute low back pain without radiculopathy
https://english.pres[...]
2019-10
[86]
논문
Non-steroidal anti-inflammatory drugs for spinal pain: a systematic review and meta-analysis
2017-07
[87]
논문
Non-steroidal anti-inflammatory drugs for acute low back pain
2020-04
[88]
논문
Paracetamol for low back pain
2016-06
[89]
논문
Efficacy and safety of paracetamol for spinal pain and osteoarthritis: systematic review and meta-analysis of randomised placebo controlled trials
2015-03
[90]
논문
Non-steroidal anti-inflammatory drugs for chronic low back pain
2016-02
[91]
논문
Vascular and upper gastrointestinal effects of non-steroidal anti-inflammatory drugs: meta-analyses of individual participant data from randomised trials
2013-08
[92]
논문
Systemic corticosteroids for radicular and non-radicular low back pain
2022-10
[93]
논문
CDC Clinical Practice Guideline for Prescribing Opioids for Pain – United States, 2022
2022-11
[94]
논문
Opioids for low back pain
2015-01
[95]
논문
Opioids for chronic noncancer pain: a position paper of the American Academy of Neurology
2014-09
[96]
논문
Opioids compared with placebo or other treatments for chronic low back pain: an update of the Cochrane Review
2014-04
[97]
논문
CDC Guideline for Prescribing Opioids for Chronic Pain – United States, 2016
2016-03
[98]
논문
Illicit Substance Use in US Adults With Chronic Low Back Pain
2016-09
[99]
논문
Efficacy, Tolerability, and Dose-Dependent Effects of Opioid Analgesics for Low Back Pain: A Systematic Review and Meta-analysis
2016-07
[100]
논문
Opioids for chronic pain: new evidence, new strategies, safe prescribing
2013-03
[101]
논문
Anticonvulsants in the treatment of low back pain and lumbar radicular pain: a systematic review and meta-analysis
2018-07
[102]
논문
Interventional therapies, surgery, and interdisciplinary rehabilitation for low back pain: an evidence-based clinical practice guideline from the American Pain Society
2009-05
[103]
논문
Epidural corticosteroid injections in the management of sciatica: a systematic review and meta-analysis
2012-12
[104]
웹사이트
Epidural Corticosteroid Injection: Drug Safety Communication – Risk of Rare But Serious Neurologic Problems
https://www.fda.gov/[...]
2014-04-23
[105]
논문
Total disc replacement for chronic back pain in the presence of disc degeneration
2012-09
[106]
논문
Fusion rates of instrumented lumbar spinal arthrodesis according to surgical approach: a systematic review of randomized trials
2011-03
[107]
논문
Spinal cord stimulation for low back pain
2023-03-07
[108]
논문
Complementary therapies in addition to medication for patients with nonchronic, nonradicular low back pain: a systematic review
https://zenodo.org/r[...]
2017-01
[109]
논문
Benefits and harms of spinal manipulative therapy for the treatment of chronic low back pain: systematic review and meta-analysis of randomised controlled trials
2019-03
[110]
논문
Spinal manipulative therapy for acute low-back pain
2012-09
[111]
논문
Evidence-informed management of chronic low back pain with medicine-assisted manipulation
[112]
논문
Motor control exercise for acute non-specific low back pain
2016-02
[113]
논문
Acupuncture for chronic nonspecific low back pain
2020-12
[114]
논문
A systematic review and meta-analysis of efficacy, cost-effectiveness, and safety of selected complementary and alternative medicine for neck and low-back pain
[115]
논문
Cost-effectiveness of guideline-endorsed treatments for low back pain: a systematic review
2011-07
[116]
논문
Massage for low-back pain
2015-09
[117]
논문
Herbal Medicine for Low Back Pain: A Cochrane Review
2016-01
[118]
논문
Cognitive and Mind-Body Therapies for Chronic Low Back Pain and Neck Pain: Effectiveness and Value
2018-04
[119]
논문
Mindfulness-based stress reduction for low back pain. A systematic review
2012-09
[120]
논문
Mindfulness-Based Stress Reduction for Treating Low Back Pain: A Systematic Review and Meta-analysis
2017-06
[121]
논문
Neuroreflexotherapy for non-specific low-back pain
2004-04-19
[122]
논문
Neuroreflexotherapy for nonspecific low back pain: a systematic review
2005-03
[123]
논문
Multidisciplinary biopsychosocial rehabilitation for subacute low back pain
2017-06
[124]
논문
Radiofrequency denervation for chronic low back pain
2015-10
[125]
논문
Effectiveness of Kinesio Taping in Patients With Chronic Nonspecific Low Back Pain: A Systematic Review With Meta-analysis
2019-01
[126]
논문
Individual patient education for low back pain
2008-01
[127]
논문
Manual material handling advice and assistive devices for preventing and treating back pain in workers
2011-06
[128]
논문
How do we define the condition 'recurrent low back pain'? A systematic review
2010-04
[129]
논문
Will this patient develop persistent disabling low back pain?
2010-04
[130]
논문
Individual recovery expectations and prognosis of outcomes in non-specific low back pain: prognostic factor review
2019-11
[131]
서적
Williams Obstetrics
https://books.google[...]
McGraw Hill Professional
[132]
논문
What low back pain is and why we need to pay attention
http://dx.doi.org/10[...]
2018-06
[133]
논문
The association between smoking and low back pain: a meta-analysis
2010-01
[134]
논문
The history of lower back pain: a look "back" through the centuries
2012-09
[135]
논문
Looking back on back pain: trial and error of diagnoses in the 20th century
2003-08
[136]
논문
Comprehensive review of epidemiology, scope, and impact of spinal pain
[137]
논문
The State of US Health, 1990-2016: Burden of Diseases, Injuries, and Risk Factors Among US States
2018-04
[138]
간행물
Five Things Physicians and Patients Should Question
http://www.choosingw[...]
American College of Occupational and Environmental Medicine
2014-02-24
[139]
논문
An updated overview of clinical guidelines for the management of non-specific low back pain in primary care.
2010-12
[140]
논문
The prognosis of acute and persistent low-back pain: a meta-analysis.
2012-08-07
[141]
논문
Years lived with disability (YLDs) for 1160 sequelae of 289 diseases and injuries 1990–2010: a systematic analysis for the Global Burden of Disease Study 2010.
2012-12-15
[142]
서적
Yao and Artusio's Anesthesiology: Problem-Oriented Patient Management
https://books.google[...]
Lippincott Williams & Wilkins
[143]
웹사이트
Low Back Pain Fact Sheet
http://www.ninds.nih[...]
2015-11-03
[144]
논문
A systematic review of the global prevalence of low back pain
2012-06
[145]
간행물
腰痛対策
https://www.mhlw.go.[...]
厚生労働省
[146]
간행물
腰痛
https://www.msdmanua[...]
MSDマニュアル家庭版
[147]
간행물
Low Back Pain
http://www.who.int/b[...]
WHO文書
2003
[148]
간행물
NHK 治療革命腰痛
http://www.nhk.or.jp[...]
[149]
논문
Back pain
[150]
간행물
心因性の腰痛が増えている
http://www.ntt-west.[...]
NTT西日本大阪病院
[151]
간행물
問診表
http://asahi.co.jp/h[...]
[152]
간행물
心因性腰痛
http://www.e-clinici[...]
[153]
서적
心はなぜ腰痛を選ぶのか - サーノ博士の心身症治療プログラム
春秋社
2003
[154]
Youtube
Dr. John Sarno Healing Back Pain
https://www.youtube.[...]
米国ABC放送(英語)
[155]
서적
腰痛放浪記 椅子がこわい
2003
[156]
간행물
MedlinePlus
http://www.nlm.nih.g[...]
[157]
논문
The lumbar spine an orthopedic challenge
http://journals.lww.[...]
1976
[158]
논문
New in vivo measurements of pressures in the intervertebral disc in daily life
[159]
서적
筋骨格系のキネシオロジー
医歯薬出版
2005
[160]
간행물
業務上腰痛の認定基準等について
http://www.joshrc.or[...]
[161]
간행물
筋・骨格系疾患
http://www.research1[...]
労働者健康福祉機構、産業医に役立つ最新の研究報告、松平浩
[162]
간행물
The Fear-Avoidance Model of Musculoskeletal Pain
https://lirias.kuleu[...]
J of Behav. Med. Vol.30 No.1 2007
[163]
논문
Outline of a Fear-Avoidance Model of exaggerated pain perception--I
[164]
논문
The fear-avoidance model of musculoskeletal pain: current state of scientific evidence
[165]
간행물
Avoidance of Anxiety as Self-Sabotage: How Running Away Can Bite You in the Behind
https://www.psycholo[...]
Psychology Today
2010-05-04
[166]
논문
A Fear-Avoidance Beliefs Questionnaire (FABQ) and the role of fear-avoidance beliefs in chronic low back pain and disability
[167]
논문
American College of Radiology ACR Appropriateness Criteria ? Low Back Pain
http://www.acr.org/~[...]
[168]
논문
Evaluation and diagnosis of low back pain
2012-09
[169]
간행물
Five Things Physicians and Patients Should Question
http://www.choosingw[...]
North American Spine Society
2013-02
[170]
논문
Red flags to screen for vertebral fracture in patients presenting with low-back pain
[171]
논문
Red flags to screen for malignancy in patients with low-back pain
[172]
논문
Diagnosis and treatment of acute low back pain
2012-02-15
[173]
논문
Red flags to screen for malignancy and fracture in patients with low back pain: systematic review
2013-12-11
[174]
간행물
各国のガイドラインの比較
http://www.ncbi.nlm.[...]
Eur Spine J. 2010 Dec; 19(12):2075-2094
[175]
논문
Systematic review of lumbar discography as a diagnostic test for chronic low back pain
[176]
논문
Use of imaging studies for low back pain: percentage of members with a primary diagnosis of low back pain who did not have an imaging study (plain x-ray, MRI, CT scan) within 28 days of the diagnosis
http://www.qualityme[...]
Agency for Healthcare Research and Quality
2013
[177]
간행물
Ten Things Physicians and Patients Should Question
http://www.choosingw[...]
American Academy of Family Physicians
[178]
간행물
Five Things Physicians and Patients Should Question
http://www.choosingw[...]
American College of Physicians
2013-09-05
[179]
논문
Imaging strategies for low-back pain: systematic review and meta-analysis.
2009-02-07
[180]
논문
Appropriate and safe use of diagnostic imaging
2013-04
[181]
논문
Diagnostic imaging for low back pain: advice for high-value health care from the American College of Physicians
2011-02-01
[182]
논문
Appropriate use of diagnostic imaging in low back pain: a reminder that unnecessary imaging may do as much harm as good
2011-11
[183]
논문
Overtreating Chronic Back Pain: Time to Back Off?
[184]
논문
2001 Volvo Award Winner in Clinical Studies: Effects of a media campaign on back pain beliefs and its potential influence on management of low back pain in general practice
[185]
웹사이트
Drug-free solutions for pain
https://www.health.h[...]
2022-11-01
[186]
웹사이트
労災疾患研究普及サイト
http://www.research1[...]
[187]
논문
Vascular and upper gastrointestinal effects of non-steroidal anti-inflammatory drugs: meta-analyses of individual participant data from randomised trials.
2013-08-31
[188]
논문
Efficacy and safety of paracetamol for spinal pain and osteoarthritis: systematic review and meta-analysis of randomised placebo controlled trials.
2015-03-31
[189]
논문
Opioids compared with placebo or other treatments for chronic low back pain: an update of the Cochrane Review.
2014-04-01
[190]
논문
Opioids for chronic noncancer pain: A position paper of the American Academy of Neurology
2014-09-29
[191]
논문
Opioids for chronic pain: new evidence, new strategies, safe prescribing
2013-03
[192]
논문
Interventional therapies, surgery, and interdisciplinary rehabilitation for low back pain: An evidence-based clinical practice guideline from the American Pain Society
[193]
논문
Epidural corticosteroid injections in the management of sciatica: a systematic review and meta-analysis.
2012-12-18
[194]
웹사이트
Epidural Corticosteroid Injection: Drug Safety Communication - Risk of Rare But Serious Neurologic Problems
http://www.fda.gov/S[...]
2014-04-23
[195]
논문
Back pain
2003
[196]
웹사이트
痛み治療ガイドライン
http://minds4.jcqhc.[...]
[197]
논문
Surgical treatment of low back pain.
2012-09
[198]
논문
Surgery for low back pain: a review of the evidence for an American Pain Society Clinical Practice Guideline
2009-05
[199]
논문
Fusion rates of instrumented lumbar spinal arthrodesis according to surgical approach: a systematic review of randomized trials.
2011-03
[200]
논문
Exercises for prevention of recurrences of low-back pain
[201]
논문
The relationship between physical activity and low back pain outcomes: a systematic review of observational studies
2011-03
[202]
논문
The effectiveness of walking as an intervention for low back pain: a systematic review
2010-10
[203]
논문
Superficial heat or cold for low back pain.
[204]
논문
A systematic review on the effectiveness of physical and rehabilitation interventions for chronic non-specific low back pain
[205]
논문
Mechanical therapy for low back pain
2012-09
[206]
논문
The efficacy, safety, effectiveness, and cost-effectiveness of ultrasound and shock wave therapies for low back pain: a systematic review
2011-10
[207]
논문
Therapeutic ultrasound for chronic low-back pain.
[208]
논문
The treatment effect of exercise programmes for chronic low back pain
[209]
논문
Exercise therapy for chronic nonspecific low-back pain
[210]
논문
Evidence for the effectiveness of Alexander Technique lessons in medical and health-related conditions: a systematic review.
2012-01
[211]
논문
Yoga for low back pain: a systematic review of randomized clinical trials.
2011-09
[212]
논문
Assessment: Efficacy of transcutaneous electric nerve stimulation in the treatment of pain in neurologic disorders (an evidence-based review): Report of the Therapeutics and Technology Assessment Subcommittee of the American Academy of Neurology
[213]
논문
Insoles for prevention and treatment of back pain: a systematic review within the framework of the Cochrane Collaboration Back Review Group
2009-04
[214]
논문
Invasive stimulation therapies for the treatment of refractory pain
2012-10
[215]
논문
Low back pain: pharmacologic management
2012-09
[216]
논문
How do we define the condition 'recurrent low back pain'? A systematic review.
2010-04
[217]
논문
Will this patient develop persistent disabling low back pain?
[218]
서적
가이드라인외래진료2009
https://medical.nikk[...]
日経BP
2009-03
[219]
뉴스
腰痛は過剰に診断され過剰に治療される
http://www.health.ha[...]
ハーバード大学のハーバード健康ブログ
2013-07-31
[220]
웹사이트
"ノーリフティングケアとは {{!}} ノーリフトケア・ノーリフティングケアの日本ノーリフト協会"
https://www.nolift.j[...]
2022-11-28
[221]
웹사이트
令和元年度 第三次産業労働災害防止対策支援事業(保健衛生業)腰痛予防対策講習会~予防は治療に勝る~
https://www.mhlw.go.[...]
厚生労働省
2022-11-28
[222]
서적
Yao and Artusio's Anesthesiology: Problem-Oriented Patient Management
https://books.google[...]
Lippincott Williams & Wilkins
[223]
논문
Years lived with disability (YLDs) for 1160 sequelae of 289 diseases and injuries 1990–2010: a systematic analysis for the Global Burden of Disease Study 2010.
2012-12-15
[224]
서적
Williams Obstetrics
https://books.google[...]
McGraw Hill Professional
[225]
논문
The association between smoking and low back pain: a meta-analysis
2010-01
[226]
논문
Low back pain
[227]
기타
NHKスペシャル病の起源3、腰痛
https://www.nhk-onde[...]
[228]
간행물
Back Ground Paper, Low Back Pain
http://www.who.int/m[...]
W.H.O.文書
2013
[229]
논문
The history of lower back pain: a look "back" through the centuries
2012-09
[230]
논문
Looking back on back pain: trial and error of diagnoses in the 20th century
2003-08
[231]
논문
Surgical treatment of low back pain.
2012-09
[232]
논문
An Evidence-Based Approach to the Evaluation and Treatment of Low Back Pin in the Emergency Department
http://www.ebmedicin[...]
2013-07
[233]
논문
Comprehensive review of epidemiology, scope, and impact of spinal pain
[234]
기타
Five Things Physicians and Patients Should Question
http://www.choosingw[...]
American College of Occupational and Environmental Medicine
2014-02
[235]
웹사이트
職場における腰痛予防の取組を!~19年ぶりに「職場における腰痛予防対策指針」を改訂~
https://www.mhlw.go.[...]
厚生労働省
[236]
웹사이트
労働災害防止計画について
https://www.mhlw.go.[...]
厚生労働省
[237]
웹사이트
職場における腰痛予防対策指針及び解説
https://www.mhlw.go.[...]
厚生労働省
[238]
논문
2012-06
[239]
논문
2012-02-15
[240]
논문
[241]
웹인용
https://m.post.naver[...]
2023-08-29
[242]
논문
2007-10
[243]
논문
2012-09
[244]
논문
2009-04
본 사이트는 AI가 위키백과와 뉴스 기사,정부 간행물,학술 논문등을 바탕으로 정보를 가공하여 제공하는 백과사전형 서비스입니다.
모든 문서는 AI에 의해 자동 생성되며, CC BY-SA 4.0 라이선스에 따라 이용할 수 있습니다.
하지만, 위키백과나 뉴스 기사 자체에 오류, 부정확한 정보, 또는 가짜 뉴스가 포함될 수 있으며, AI는 이러한 내용을 완벽하게 걸러내지 못할 수 있습니다.
따라서 제공되는 정보에 일부 오류나 편향이 있을 수 있으므로, 중요한 정보는 반드시 다른 출처를 통해 교차 검증하시기 바랍니다.
문의하기 : help@durumis.com