폐섬유증
"오늘의AI위키"의 AI를 통해 더욱 풍부하고 폭넓은 지식 경험을 누리세요.
1. 개요
폐섬유증은 폐 조직이 흉터 조직으로 대체되어 폐 기능이 저하되는 질환이다. 주요 증상으로는 호흡 곤란, 만성 기침, 피로감, 흉통, 체중 감소 등이 나타나며, 흉부 엑스레이나 고해상도 CT를 통해 진단한다. 폐섬유증은 특발성 또는 다른 질병의 합병증으로 발생할 수 있으며, 석면 노출, 자가면역 질환, 특정 약물 등이 원인이 될 수 있다. 현재 완치법은 없으며, 치료는 증상 완화와 질병 진행 억제에 초점을 맞춘다. 약물 치료, 산소 치료, 폐 이식 등이 사용되며, 연구를 통해 새로운 치료법 개발이 진행 중이다.
더 읽어볼만한 페이지
| 폐섬유증 | |
|---|---|
| 질병 개요 | |
| 질병 이름 | 폐섬유증 |
| 다른 이름 | 간질성 폐섬유증 |
![]() | |
![]() | |
| 진료 분야 | 폐병학 |
| 증상 및 합병증 | |
| 증상 | 숨가쁨 마른 기침 피로감 체중 감소 손톱 곤봉화 |
| 합병증 | 폐고혈압 호흡 부전 기흉 폐암 |
| 원인 및 위험 요인 | |
| 원인 | 흡연 환경 오염 특정 약물 결합 조직 질환 간질성 폐 질환 원인 불명 |
| 진단 및 치료 | |
| 치료 | 산소 요법 폐 재활 폐 이식 |
| 약물 | 피르페니돈 닌테다니브 |
| 예후 및 빈도 | |
| 예후 | 불량 |
| 빈도 | 5백만 명 이상 |
2. 징후 및 증상
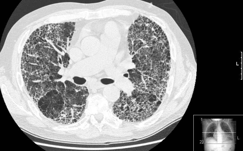
폐섬유증의 주요 증상은 호흡곤란(특히 운동 시), 만성적인 마른 기침, 피로감, 가슴 통증을 동반한 답답함, 식욕 부진 및 급격한 체중 감소 등이다.[46][1] 이러한 증상은 과로와 함께 진행되며, 청진 시 폐 기저부에서 미세한 흡기 시 딱딱거리는 소리(수포음)가 들리기도 한다. 흉부 엑스레이는 정상 또는 비정상으로 나타날 수 있지만, 고해상도 CT에서는 비정상적인 폐의 모습을 확인할 수 있다.[47][3]
2. 1. 일반적인 증상
호흡곤란(특히 운동 시 악화)[46][1], 만성적인 마른 기침[46][1], 피로감 및 쇠약[46][1], 흉부 불편감, 흉통[46][1], 식욕 부진 및 급격한 체중 감소[46][1] 등의 증상이 주로 나타난다. 폐섬유증은 과로와 함께 진행되는 호흡곤란 증상으로 진찰될 수 있다. 때때로 청진 시 폐 기저부에서 미세한 흡기의 딱딱한 소리가 들릴 수 있다. 흉부 엑스레이는 정상 또는 비정상으로 나타날 수 있지만 고해상도 CT에서는 비정상적인 폐의 모습을 볼 수 있다.[47][3]2. 2. 진찰 소견
폐섬유증은 활동 시 진행성 호흡곤란으로 진찰될 수 있다. 때때로 청진 시 폐 기저부에서 미세한 흡기성 수포음(딱딱거리는 소리)이 들릴 수 있다.[47][3] 흉부 엑스레이는 정상일 수 있지만, 고해상도 CT는 종종 이상 소견을 보인다.[3]3. 원인
폐섬유증은 다양한 원인에 의해 발생할 수 있으며, 크게 특발성과 이차성으로 구분된다.
특발성 폐섬유증은 원인이 밝혀지지 않은 경우를 말하며, 이차성 폐섬유증은 다른 질병, 환경적 요인, 특정 약물, 방사선 치료 등에 의해 발생하는 경우를 말한다.
이차성 폐섬유증의 주요 원인
| 원인 | 내용 |
|---|---|
| 질병 | 간질성 폐 질환으로 분류되는 자가면역 질환, 바이러스 감염, 결핵과 같은 세균 감염 등이 폐의 섬유성 변화를 일으킬 수 있다. 류마티스 관절염, 강직성 척추염, SLE, 경피증과 같은 일부 전형적인 결합 조직 질환, 유육종증 및 다발혈관염을 동반한 육종과 같은 결합조직질환, COVID-19를 포함한 감염이 이에 해당한다.[48][47][49] |
| 환경 및 직업적 요인 | 석면폐증, 규폐증과 같이 직업이나 환경적으로 금속이나 특정 기체에 노출되는 경우, 특히 광부, 선박 노동자 등은 더 높은 위험에 노출되어 있다. 세균, 곰팡이 또는 동물성 제품으로 오염된 먼지를 흡입하여 발생하는 과민성 폐렴도 원인이 될 수 있다.[51][47][49] |
| 기타 | 흡연은 폐섬유증을 유발하거나 병세를 악화시킬 수 있다.[48] 아미오다론, 블레오마이신, 부설판, 메토트렉세이트[48], 아포모르핀, 니트로푸란토인[52] 등 특정 약물 및 흉부 방사선 치료도 원인이 될 수 있다. |
3. 1. 특발성 폐 섬유증
폐 섬유증은 원인이 밝혀지지 않은 채로 나타나기도 하는데, 이러한 경우를 "특발성"이라고 한다.[48] 대부분의 특발성 사례는 특발성 폐섬유증으로 진단된다. 이는 통상 간질성 폐렴으로 알려진 일련의 조직학적/병리학적 특징을 배제한다. 두 경우 모두 환자의 하위 집합에서 유전적 소인을 가리키는 증거가 늘어나고 있다. 예를 들어, 계면활성제 단백질 (SP-C)의 돌연변이는 폐 섬유증의 가족력이 있는 일부 환자에서 발견되었다.[49] 텔로머라제를 코딩하는 TERC 또는 TERT 유전자의 상염색체 우성 돌연변이가 폐 섬유증 환자의 약 15%에서 확인되었다.[50]3. 2. 이차성 폐 섬유증
폐섬유증은 다른 질병의 합병증, 환경적 요인, 특정 약물, 방사선 치료 등 다양한 원인에 의해 발생할 수 있다. 다른 질병으로 인해 발생하는 경우, 대부분 간질성 폐 질환으로 분류되며, 자가면역 질환, 바이러스 감염, 결핵 등이 이에 해당한다. 원인이 밝혀지지 않은 경우를 '특발성'이라고 하며, 대부분 특발성 폐섬유증으로 진단된다.[48]일부 환자에게서는 유전적 소인이 발견되기도 한다. 예를 들어, 계면활성제 단백질 C (SP-C)의 돌연변이나 텔로머라제를 암호화하는 TERC 또는 TERT 유전자의 상염색체 우성 돌연변이가 발견되는 경우가 있다.[49][50]
3. 2. 1. 질병
폐섬유증은 다른 질병의 합병증으로 나타날 수 있다. 이러한 질병들 대부분은 간질성 폐 질환으로 분류된다. 예를 들어 자가면역 질환, 바이러스 감염, 결핵과 같은 세균 감염은 폐의 상엽 또는 하엽에 섬유성 변화를 일으키고 폐에 미세한 손상을 줄 수 있다. 그러나 알려진 원인 없이 폐섬유증이 나타나는 경우도 있는데, 이를 "특발성"이라고 한다.[48] 대부분의 특발성 사례는 특발성 폐섬유증으로 진단된다.폐섬유증을 유발할 수 있는 질병 및 상태는 다음과 같다:[47][49]
- 석면폐증, 규폐증과 같이 직업이나 환경적으로 금속이나 특정 기체에 노출되는 경우.[51] 특히 광부, 선박 노동자 등은 더 높은 위험에 노출되어 있다.
- 세균, 곰팡이 또는 동물성 제품으로 오염된 먼지를 흡입하여 발생하는 과민성 폐렴.
- 흡연은 섬유증을 유발하거나 병세를 악화시킬 수 있다.[48]
- 류마티스 관절염, 강직성 척추염, SLE, 경피증과 같은 일부 전형적인 결합 조직 질환.[48]
- 유육종증 및 다발혈관염을 동반한 육종과 같은 결합조직질환.
- COVID-19를 포함한 감염.
- 아미오다론, 블레오마이신, 부설판, 메토트렉세이트[48], 아포모르핀, 니트로푸란토인[52] 등 특정 약물.
- 가슴 부위 방사선 치료.
3. 2. 2. 환경 및 직업적 요인
직업 및 환경적 요인으로 인해 발생하는 폐섬유증에는 석면폐증과 규폐증이 있다.[51] 특히 광부나 선박 노동자들은 이러한 질병에 걸릴 위험이 더 높다.[47][49] 세균, 곰팡이, 동물성 제품 등으로 오염된 먼지를 흡입하면 과민성 폐렴이 발생할 수 있다.3. 2. 3. 기타
흡연은 폐섬유증을 악화시킬 수 있으며, 아미오다론, 블레오마이신, 부설판, 메토트렉세이트, 아포모르핀, 니트로푸란토인과 같은 특정 약물[48][52] 및 흉부 방사선 치료 또한 폐섬유증을 유발할 수 있다.[48]4. 병의 발생
폐섬유증은 정상적인 폐 조직이 점진적으로 섬유성 조직으로 대체되는 것을 포함한다. 이러한 흉터 조직은 산소 확산 능력을 돌이킬 수 없이 감소시키며, 이로 인한 경직 또는 순응도 감소는 폐섬유증을 제한성 폐 질환으로 만든다.[14] 폐섬유증은 만성적인 염증이 아닌 비정상적인 상처 치유에 의해 악화된다.[15] 이는 폐 실질에 내재된 제한성 폐 질환의 주요 원인이다.
섬유증과 관련된 일반적인 유전자로는 형질전환 성장 인자 베타 (TGF-β),[18] 결합 조직 성장 인자 (CTGF),[19] 상피 성장 인자 수용체 (EGFR),[20] 인터루킨-13 (IL-13),[21] 혈소판 유래 성장 인자 (PDGF),[22] Wnt/β-카테닌 신호 전달 경로,[23] 및 TNIK가 있다.[24]
- TGF-β는 세포 외 기질 (ECM) 생성 및 세포 분화 조절에 중요한 역할을 하는 사이토카인이다.[26] 이는 섬유증의 강력한 자극제이며, TGF-β 신호 전달의 증가는 다양한 장기에서 섬유증의 발달과 관련이 있다.
- CTGF는 ECM 생성 및 리모델링에 관여하는 매트리셀 단백질이다.[26] TGF-β에 반응하여 상향 조절되며, 폐 섬유증의 발달과 관련이 있다.[18]
- EGFR은 세포 증식, 분화 및 생존에 역할을 하는 막 횡단 수용체이다. 조절 장애 EGFR 신호 전달은 폐 섬유증의 발달과 관련이 있으며, EGFR을 표적으로 하는 약물은 이 질환 치료에 잠재적인 치료 효과를 보이는 것으로 나타났다.[20]
- IL-13은 면역 반응 조절에 관여하는 사이토카인이다.[21] 이는 ECM 단백질의 생산을 자극하고 조직 손상 부위로 섬유아세포를 모집함으로써 폐에서 섬유증을 촉진하는 것으로 나타났다.
- PDGF는 세포 증식 및 이동 조절에 핵심적인 역할을 하는 사이토카인이다.[22] 이는 폐에서 조직 손상 부위로 섬유아세포를 모집하는 데 관여하며, PDGF 신호 전달의 증가는 폐 섬유증의 발달 및 진행과 관련이 있다.
- Wnt/β-카테닌 신호 전달은 조직 복구 및 재생에 중요한 역할을 하며, 조절 장애 Wnt/β-카테닌 신호 전달은 폐 섬유증의 발달과 관련이 있다.[23]
5. 진단
폐 섬유증은 폐 생검을 통해 확진할 수 있다.[47] 정확한 진단을 내리기 위해 전신 마취 하 비디오 흉강경 수술(VATS)이 필요할 수 있다. 이러한 종류의 생검은 흉벽을 통해 여러 개의 튜브를 삽입하는 것으로, 그 중 하나는 평가를 위해 폐 조직 조각을 잘라내는 데 사용된다. 제거된 조직은 조직병리학적으로 검사하여 섬유증의 존재 및 패턴과 특정 유형의 광물 먼지 또는 치료에 대한 가능한 반응과 같은 다른 특징을 확인한다.[3]
폐 섬유증이 드문 질환은 아니지만 각 유형이 흔하지 않고, 이러한 질환을 가진 환자의 평가는 복잡하며 다학제적 접근이 필요하기 때문에 오진이 흔하다. 전문가조차도 일부 사례의 분류에 대해 의견이 일치하지 않을 수 있다.[27]
폐활량 측정법에서 제한성 폐 질환으로, FEV1(1초 강제 호기량)과 FVC(강제 폐활량) 모두 감소하므로, FEV1/FVC 비율은 정상 또는 심지어 증가한다. 이는 비율이 감소하는 폐쇄성 폐 질환과 대조적이다. 잔기량 및 총 폐 용량 값은 일반적으로 제한성 폐 질환에서 감소한다.[28]
6. 치료
폐섬유증은 현재까지 완치 방법이 없으며, 흉터는 영구적이다. 치료는 원인에 따라 질병의 진행을 늦추고 증상을 완화하는 데 초점을 맞춘다.
특발성 폐섬유증의 경우 현재까지 효과가 입증된 치료법은 제한적이다. 폐 이식은 고려될 수 있는 치료법이다. 면역억제제는 섬유증을 유발하는 과정을 늦추기 위해 처방될 수 있다.
과민성 폐렴은 원인 물질과의 접촉을 피함으로써 악화되는 것을 예방할 수 있다.
6. 1. 약물 치료
폐섬유증의 흉터는 영구적이며, 진행을 늦추는 방법은 원인에 따라 달라진다.특발성 폐섬유증의 치료법은 매우 제한적이다. 연구가 진행 중이지만, 상태를 뚜렷하게 호전시키는 약물은 아직 보고되지 않았다. 심각한 경우 폐 이식이 유일한 선택지이다. 일부 폐섬유증은 프레드니손 같은 코르티코스테로이드 및 기타 면역억제제에 반응할 수 있으므로, 이러한 약물은 섬유증 진행을 늦추기 위해 처방되기도 한다.[58]
면역 체계는 여러 형태의 폐섬유증 발병에 중요한 역할을 하는 것으로 보인다. 코르티코스테로이드 같은 면역억제제 치료는 폐 염증과 흉터를 줄이는 것을 목표로 한다. 특발성 폐섬유증은 뚜렷한 치료법이 없기 때문에, 면역억제 치료에 호전되는 환자는 특발성 폐섬유증이 아닐 가능성이 높다.
경미한 특발성 섬유증에서 흉터 예방에 사용되는 약물로는 피르페니돈이 있다. 피르페니돈은 걷기 테스트에서 효과를 보였지만, 호흡기 증상에는 영향을 미치지 않았다. 닌테다닙은 다양한 티로신 인산화효소 수용체를 억제하여 효과를 나타내며, 임상 시험에서 폐 기능 저하와 급성 악화를 감소시키는 것으로 나타났다.[59]
항염증제는 섬유화 과정을 늦추는 데 제한적인 효과를 보인다. 특정하지 않은 간질성 폐렴과 같은 일부 다른 유형의 섬유증은 코르티코스테로이드 같은 면역억제 요법에 반응할 수 있다. 그러나 소수의 환자만이 코르티코스테로이드 단독으로 반응하므로, 사이클로포스파미드, 아자티오프린, 메토트렉세이트, 페니실라민, 사이클로스포린과 같은 추가 면역억제제를 사용할 수 있다. 콜히친 또한 제한적으로 사용되었다.[47] IFN-γ와 같은 새로운 약물에 대한 실험도 진행 중이다.
과민성 폐렴은 원인 물질과의 접촉을 피함으로써 악화되는 것을 막을 수 있다.
6. 2. 비약물 치료
폐섬유증은 흉터 조직을 만들고, 흉터는 일단 생기면 영구적이다.[29]- 산소 치료는 폐 손상을 회복시키지는 않지만 다음과 같은 효과가 있다.[30]
- * 호흡과 운동을 더 쉽게 만든다.
- * 낮은 혈중 산소 수치로 인한 합병증을 예방하거나 줄인다.
- * 혈압을 낮춘다.
- * 수면과 웰빙 감각을 향상시킨다.
- 폐 이식은 심각한 경우에 사용할 수 있는 유일한 치료 옵션이며, 환자의 삶의 질을 향상시킬 수 있다.[30]
6. 3. 기타 치료
항염증제는 섬유화 과정을 늦추는 데 제한적인 효과를 보였다.[47] 비특이적 간질성 폐렴과 같은 일부 다른 유형의 섬유증은 코르티코스테로이드와 같은 면역억제 요법에 반응할 수 있다. 그러나 소수의 환자만이 코르티코스테로이드 단독으로 반응하므로 사이클로포스파미드, 아자티오프린, 메토트렉세이트, 페니실라민, 사이클로스포린과 같은 추가 면역억제제를 사용할 수 있다. 콜히친 또한 제한적으로 사용되었다.[47] IFN-γ와 같은 새로운 약물에 대한 실험도 진행 중이다.[47]7. 예후
폐섬유증으로 인한 저산소증은 폐고혈압을 유발할 수 있으며, 이는 차례로 우심실의 심부전으로 이어질 수 있다. 저산소증은 산소 보충으로 예방할 수 있다.[47]
또한 폐섬유증은 폐색전증의 위험을 증가시킬 수 있다.[47]
8. 역학
전 세계적으로 500만 명 이상이 폐 섬유증을 앓고 있다.[36] 폐 섬유증의 유병률과 발생률은 연구마다 다르지만, 미국에서는 10만 명당 14.0-63.0명, 발생률은 10만 인년당 6.8-17.4명으로 보고된다.[36] 일반적으로 40-50대에 진단되며, 50세 이후 특발성 폐섬유증 발생률이 급격히 증가한다.[41]
| 발생률 | 유병률 | 모집단 | 대상 연도 |
|---|---|---|---|
| 6.8–16.3 | 14.0–42.7 | 미국 건강 보험 청구 처리 시스템 | 1996–2000 |
| 8.8–17.4 | 27.9–63.0 | 미네소타주 올름스테드 카운티 | 1997–2005 |
| 27.5 | 30.3 | 뉴멕시코주 버날릴로 카운티 남성 | 1988–1990 |
| 11.5 | 14.5 | 여성 |
코로나19 팬데믹 이후, 폐 기능의 급격한 손실로 인해 폐 섬유증 환자의 사망자가 증가했다. 한 연구에 따르면 코로나19 환자의 40%가 폐 섬유증의 한 형태를 겪고 있으며, 그중 20%는 심각한 수준이다.[43]
9. 전망
몇몇 연구에서 줄기세포, 특히 중간엽 줄기 세포를 환자의 정맥 내로 투여하여 폐섬유증 치료에 사용한 최근 임상 시험이 이루어졌고 폐 기능이 증가함을 관찰한 바 있다.[53] 이러한 중간엽 줄기 세포를 통한 효과는 손상된 세포를 이들 세포가 대체하기 때문이라고 여겨졌으나, 최근 연구에서 일련의 사이토카인이나 세포 외 소포로 구성된 Secretome|세크레톰영어의 직접적인 세포 간 상호작용 또는 분비를 통해 조직 복구를 촉진 및 면역조절 효과를 나타낸다고 보고했다.[64] 또한 Fibroblast_growth_factor|섬유아세포 성장인자영어(FGF), Hepatocyte_growth_factor|간세포 성장인자영어(HGF), Epidermal_growth_factor|표피 성장인자영어(EGF) 등의 성장 인자를 분비하여 재상피화 및 혈관신생을 촉진한다.
또 다른 연구에서는 중간엽 줄기 세포에서 손상된 세포로의 커넥신 매개 세포간 채널 또는 세포외 소포를 통한 직접적인 미토콘드리아 전달을 통해 수용 세포의 ATP 저장을 회복하고 세포 기능을 복구할 수 있다는 증거를 제시했다.[65]
최근 오가노이드에 대한 연구가 활발히 이어지고 있고, 이는 폐 섬유증 뿐만 아니라 다양한 질병 모델을 만드는 데 있어서 도움을 줄 것으로 기대된다. 최종적으로는 환자의 세포로부터 유도된 유도만능줄기세포를 이용하여 인공 폐를 생성하고 이식할 수 있는 기술에 도달할 것으로 보인다.
또한 폐 섬유증에 대해 Fibroblast activation protein|Fibroblast activation protein영어 등의 세포 막 발현 단백질에 대한 연구가 이어지고 있으며 또한 대식세포의 유형에 따른 섬유증 유발에 대한 연구도 활발히 진행 중에 있다.[66]
참조
[1]
웹사이트
Pulmonary Fibrosis
https://medlineplus.[...]
2019-12-20
[2]
웹사이트
Pulmonary fibrosis – Symptoms and causes
https://www.mayoclin[...]
2019-12-20
[3]
웹사이트
Pulmonary Fibrosis
http://www.medicinen[...]
MedicineNet, Inc.
2014-07-26
[4]
논문
Post COVID-19 fibrosis, an emerging complicationof SARS-CoV-2 infection
2020-12-31
[5]
웹사이트
Pulmonary fibrosis – Diagnosis and treatment – Mayo Clinic
https://www.mayoclin[...]
2019-12-20
[6]
웹사이트
American Thoracic Society – General Information about Pulmonary Fibrosis
https://www.thoracic[...]
2019-12-20
[7]
웹사이트
Causes
http://www.mayoclini[...]
Mayo Foundation for Medical Education and Research
2014-07-26
[8]
웹사이트
Idiopathic pulmonary fibrosis
https://ghr.nlm.nih.[...]
[9]
논문
Risk of cryptogenic fibrosing alveolitis in metal workers.
2000
[10]
웹사이트
MedlinePlus > Pulmonary Fibrosis
https://www.nlm.nih.[...]
[11]
논문
Smoking-Related Interstitial Fibrosis (SRIF) in Patients Presenting With Diffuse Parenchymal Lung Disease
2022-12
[12]
웹사이트
Not Found – BIDMC
http://bidmc.org/You[...]
2018-04-29
[13]
논문
Nitrofurantoin-induced pulmonary fibrosis: a case report
[14]
웹사이트
Complications
http://www.mayoclini[...]
Mayo Foundation for Medical Education and Research
2014-07-26
[15]
논문
Idiopathic pulmonary fibrosis
2001
[16]
논문
Improved pulmonary function in chronic quadriplegics after pulmonary therapy and arm ergometry
1989-08
[17]
웹사이트
eMedicine Specialties > Pulmonology > Interstitial Lung Diseases > Restrictive Lung Disease
http://emedicine.med[...]
[18]
논문
TGF-β Signaling in Lung Health and Disease
2018-08
[19]
논문
Activated alveolar epithelial cells initiate fibrosis through autocrine and paracrine secretion of connective tissue growth factor
2014-04-15
[20]
논문
EGFR Signaling in Lung Fibrosis
2022-01
[21]
논문
Interleukin-13 Induces Tissue Fibrosis by Selectively Stimulating and Activating Transforming Growth Factor β1
https://doi.org/10.1[...]
2001-09-17
[22]
논문
Role of platelet-derived growth factors in physiology and medicine
http://genesdev.cshl[...]
2008-05-15
[23]
논문
Wnt/β-catenin signalling: function, biological mechanisms, and therapeutic opportunities
2022-01-03
[24]
논문
A small-molecule TNIK inhibitor targets fibrosis in preclinical and clinical models
https://www.nature.c[...]
2024-03-08
[25]
논문
Preclinical evidence in the assembly of mammalian SWI/SNF complexes: Epigenetic insights and clinical perspectives in human lung disease therapy
https://doi.org/10.1[...]
2024-06-22
[26]
논문
Molecular and cellular mechanisms of pulmonary fibrosis
2012-07-23
[27]
웹사이트
Tests and diagnosis
http://www.mayoclini[...]
Mayo Foundation for Medical Education and Research
2014-07-26
[28]
웹사이트
spirXpert.com
http://www.spirxpert[...]
[29]
웹사이트
Pulmonary Fibrosis
http://www.medicinen[...]
MedicineNet, Inc.
2014-07-26
[30]
웹사이트
Pulmonary fibrosis – Diagnosis and treatment – Mayo Clinic
https://www.mayoclin[...]
2019-12-20
[31]
웹사이트
Pulmonary Fibrosis
http://www.medicinen[...]
MedicineNet, Inc.
2014-07-26
[32]
논문
A phase 3 trial of pirfenidone in patients with idiopathic pulmonary fibrosis.
http://espace.librar[...]
2014-05
[33]
논문
Efficacy of a tyrosine kinase inhibitor in idiopathic pulmonary fibrosis
2011
[34]
논문
Efficacy and Safety of Nintedanib in Idiopathic Pulmonary Fibrosis
https://usiena-air.u[...]
2014-05
[35]
논문
PEAR1 regulates expansion of activated fibroblasts and deposition of extracellular matrix in pulmonary fibrosis
2022-11
[36]
논문
Epidemiology of Idiopathic Pulmonary Fibrosis
2013
[37]
논문
Pulmonary fibrosis in the aftermath of the COVID-19 era (Review)
2020-09
[38]
논문
Incidence and Prevalence of Idiopathic Pulmonary Fibrosis
2006
[39]
논문
Incidence, Prevalence, and Clinical Course of Idiopathic Pulmonary Fibrosis: A Population-Based Study
2010-01
[40]
논문
The Epidemiology of Interstitial Lung Diseases
1994-10
[41]
문서
[42]
문서
[43]
문서
[44]
웹인용
Definition [of pulmonary fibrosis]
http://www.mayoclini[...]
Mayo Foundation for Medical Education and Research
2014-07-26
[45]
웹인용
Pulmonary Fibrosis
http://www.medicinen[...]
MedicineNet, Inc.
2014-07-26
[46]
웹인용
Symptoms
https://www.mayoclin[...]
[47]
웹인용
Pulmonary Fibrosis
https://www.medicine[...]
[48]
웹인용
Pulmonary Fibrosis
https://medlineplus.[...]
[49]
웹인용
Causes
https://www.mayoclin[...]
[50]
웹인용
Idiopathic pulmonary fibrosis
https://medlineplus.[...]
[51]
저널 인용
https://pubmed.ncbi.[...]
[52]
저널 인용
https://pubmed.ncbi.[...]
[53]
저널 인용
https://pubmed.ncbi.[...]
[54]
저널 인용
https://pubmed.ncbi.[...]
[55]
저널 인용
https://pubmed.ncbi.[...]
[56]
웹인용
Complications
https://www.mayoclin[...]
[57]
웹인용
Pulmonary fibrosis - Diagnosis and treatment - Mayo Clinic
https://www.mayoclin[...]
2022-04-27
[58]
저널 인용
https://pubmed.ncbi.[...]
[59]
저널 인용
https://pubmed.ncbi.[...]
[60]
저널 인용
https://pubmed.ncbi.[...]
[61]
저널 인용
https://pubmed.ncbi.[...]
[62]
저널 인용
https://pubmed.ncbi.[...]
[63]
저널 인용
https://pubmed.ncbi.[...]
[64]
저널 인용
https://pubmed.ncbi.[...]
[65]
저널 인용
https://pubmed.ncbi.[...]
[66]
저널 인용
https://pubmed.ncbi.[...]
본 사이트는 AI가 위키백과와 뉴스 기사,정부 간행물,학술 논문등을 바탕으로 정보를 가공하여 제공하는 백과사전형 서비스입니다.
모든 문서는 AI에 의해 자동 생성되며, CC BY-SA 4.0 라이선스에 따라 이용할 수 있습니다.
하지만, 위키백과나 뉴스 기사 자체에 오류, 부정확한 정보, 또는 가짜 뉴스가 포함될 수 있으며, AI는 이러한 내용을 완벽하게 걸러내지 못할 수 있습니다.
따라서 제공되는 정보에 일부 오류나 편향이 있을 수 있으므로, 중요한 정보는 반드시 다른 출처를 통해 교차 검증하시기 바랍니다.
문의하기 : help@durumis.com
