광우병 문제
"오늘의AI위키"의 AI를 통해 더욱 풍부하고 폭넓은 지식 경험을 누리세요.
1. 개요
광우병은 소 해면상 뇌병증(BSE)으로, 변형된 프리온 단백질이 뇌에 축적되어 신경 세포를 파괴하는 질병이다. 1980년대 영국에서 육골분 사료를 통해 발생하여 전 세계로 확산되었으며, 인간에게는 변종 크로이츠펠트-야코프병(vCJD)을 유발할 수 있다. 주요 증상으로는 소의 행동 변화, 신경학적 증상, 치매 등이 있으며, 진단은 뇌 조직 검사를 통해 이루어진다. 예방 및 관리를 위해 육골분 사료 사용 금지, 특정 위험 부위 제거, 감염된 소 도살 등의 조치가 시행되었다. 광우병 발생은 쇠고기 소비 감소, 수출 중단, 식품 안전에 대한 불신 등 사회경제적 영향을 미쳤으며, 각 국가별로 상이한 대응과 사회적 논란을 야기했다.
더 읽어볼만한 페이지
- 식품 안전 - 식중독
식중독은 부적절한 식품 취급, 조리, 보관으로 인해 세균, 바이러스, 기생충, 자연독, 화학 물질 등에 의해 발생하는 질병으로, 구토, 설사, 복통, 발열 등의 증상을 유발하며 심각한 경우 사망에 이를 수 있어 철저한 위생 관리가 필요하고, 전 세계적으로 사회적, 경제적 손실을 초래하므로 예방을 위한 지속적인 노력과 교육이 요구된다. - 식품 안전 - 저온 살균법
저온 살균법은 액체 식품을 낮은 온도에서 가열하여 미생물을 제거, 보존성을 높이는 방법으로, 와인 산패 방지에서 시작되어 우유 등 다양한 식품에 적용되며, 온도와 시간에 따라 여러 방식으로 나뉜다. - 사회 문제 - 프라이버시
프라이버시는 사생활 보호 및 자기 정보 통제권으로, 철학적, 역사적 기원을 가지며 기술 발전과 함께 침해 가능성이 커져 법적, 제도적 기반이 마련되었지만, 여전히 인간 존엄성과 자유를 위한 철학적, 사회적, 기술적 과제로 남아있다. - 사회 문제 - 자해
자해는 자살 의도 없이 스스로에게 상처를 입히는 행위로, 정신적 고통 완화나 도움 요청의 수단이 될 수 있으며, 다양한 정신 질환과 관련이 있고, 정신사회적 치료법으로 치료하며, 사회적 문제로 인식되어 예방 노력이 이루어지고 있다.
광우병 문제 | |
---|---|
개요 | |
![]() | |
질병 이름 | 소해면상뇌증 (BSE) |
다른 이름 | 광우병 |
영향 | 주로 소에게 영향을 미침 |
원인 | 프리온 단백질의 변형 |
진단 방법 | 뇌 조직 검사 |
예방 | 위험 물질 제거 사료 관리 |
치료 | 현재 치료법 없음 |
사망률 | 100% |
역사적 맥락 | |
최초 보고 | 1986년, 영국 |
주요 발생 시기 | 1990년대 |
역학 | |
감염 경로 | 오염된 사료 섭취 |
인간에게 미치는 영향 | 변종 크로이츠펠트-야콥병(vCJD) 유발 가능성 |
사회경제적 영향 | |
주요 영향 | 농업 경제 타격 소비자 신뢰도 하락 국제 무역 제한 |
관련 산업 | 축산업 식품 산업 제약 산업 |
정치적 쟁점 | |
주요 쟁점 | 식품 안전 정책 국제 무역 협상 정부의 대응 방식 |
관련 인물 | 각국 정부 관계자 과학자 축산업 관계자 |
추가 정보 | |
관련 질병 | 스크래피, 만성 소모성 질병(CWD) |
진단 | 뇌 조직 검사 |
예방 | 특정 위험 물질 (SRM) 제거, 사료 관리 강화 |
치료법 | 없음 (대증 요법) |
관련 사건 | |
연도별 주요 사건 | 1986년: 영국에서 최초 보고 1990년대: 유럽 전역으로 확산 2000년대: 한국, 일본 등 아시아 국가 발생 |
사회적 반응 | 집단 시위 정부 정책 비판 식품 안전에 대한 우려 증가 |
과학적 연구 | |
주요 연구 분야 | 프리온 단백질 연구 질병 발생 기전 연구 진단 및 치료법 개발 연구 |
관련 연구 기관 | 각국 대학 연구소 정부 출연 연구 기관 국제 기구 (WHO, OIE) |
2. 역사
1984년 최초로 광우병으로 의심되는 소가 발견된 이후, 1986년 11월 영국에서 소 해면상 뇌병증(BSE), 일명 광우병이 처음 확인되었다. 영국 정부는 광우병의 심각성을 인정하였고,[64] 이듬해 이 질병이 육골분을 반추동물 사료에 섞어 넣으면서 발생했다는 사실이 밝혀졌다.[18]
광우병 유행은 도축장에서 동물의 사체를 재활용하는 과정에서 비롯되었다. 사람의 식용으로 사용되지 않는 뼈와 고기 부위, 농장에서 수집된 죽은 동물은 소고기 산업의 주요 폐기물이며, 가루로 만들기 전에 요리를 통해 지방에서 분리된다. BSE 발병 전에는 육골분이 소 사료에 널리 사용되었다. 이것은 에너지와 단백질이 풍부하며 반추 동물에게 쉽게 소화되어, 특히 젖소에게 널리 사용되었다.[10] 소가 뇌와 척수와 같은 소 또는 양의 (가설에 따라) 소각된 조직으로 만들어지고 BSE 병원체로 오염된 육골분을 섭취한 것이 유행병 발병의 원인이었다.[7]
BSE 병원체의 기원은 불확실하며, 널리 지지받는 두 가지 가설은 다음과 같다.
- 첫 번째 가설: 스크래피로부터 종간 오염을 통해 시작되었다.[7]
- 두 번째 가설: 소 종에 토착화되어 있었으며, 1980년대 중반에 증폭되기 전에는 매우 드물게 퍼져 있었다.[7]
스크래피의 종간 전파 가능성은 실험적으로 입증되었지만, 이 질병과 관련된 임상적 및 신경병리학적 질환은 소 해면상 뇌증의 질환과 다르다. 1883년 수의학 저널에 소의 스크래피 사례에 대한 설명은 두 번째 가설을 옹호하는 사람들이 사용하는 논거이지만, 이 사례는 완전히 다른 신경 질환에 해당할 수 있다.[9]
1988년부터 영국에서는 BSE가 보고 의무 질병이 되었으며, 모든 BSE 감염 소는 예방 조치로 도살 및 폐기해야 했다. 영국 당국은 소에게 육골분 사료를 주는 것을 금지했다. 1989년, 영국 정부는 내장(뇌, 내장, 척수 등)의 특정 부위 섭취를 금지하는 등 추가 조치를 취했다.[18]
1990년대에 들어서면서 광우병은 영국을 넘어 유럽, 북미, 일본 등 전 세계로 확산되었다.[14] 각국 정부는 육골분 사용 금지, 특정 위험 부위(SRM) 제거, 도축장에서 소 전수 검사 등 다양한 예방 및 관리 조치를 시행했다.[9] 1996년에는 광우병이 인간에게 변종 크로이츠펠트-야코프병(vCJD)을 유발할 수 있다는 사실이 밝혀지면서,[1] 쇠고기 소비 감소와 국제적인 무역 분쟁 등 경제적, 사회적 파장이 커졌다.
1996년, 유럽 공동체는 영국산 육류에 대한 수출 금지를 선언했고, 이는 우지와 젤라틴과 같은 다른 동물성 제품으로 확대되었다. 1999년, 유럽 연합은 특정 조건 하에 육류에 대한 금지 조치를 해제했지만,[7] 프랑스는 사전 예방 원칙에 따라 영국산 육류에 대한 금지 조치를 유지했다.[42]
일본에서는 2001년 9월 지바현에서 처음으로 광우병 감염 소가 확인된 이후, 농림수산성은 식용 소의 전수 검사를 도입했다. 이 과정에서 외국산 쇠고기를 국산으로 위장하는 등의 쇠고기 위장 사건이 잇따라 발생하여 큰 사회 문제가 되었다.[52] 요시노야는 규동 판매를 2004년부터 2008년까지 중단하기도 했다.
2008년 영국에서 37건의 소 광우병 사례가 진단되었지만, 현재는 이러한 유행이 거의 완전히 통제되고 있다.[1] 2016년 3월 23일, 프랑스 아르덴 주에서 새로운 광우병 사례가 발견되었는데, 이는 2015년 이후 유럽에서 발견된 세 번째 광우병 사례였다.[2] 광우병의 잠복기가 길 수 있기 때문에, 앞으로도 새로운 인간 감염 사례가 나타날 가능성이 있으며, 광우병 위기를 통해 도축장에서 시체의 특정 부분을 제거하고 동물 추적성을 강화하는 등 쇠고기 산업의 관행이 개선되었다.[12] 또한, 공중 보건 측면에서 사전 예방 원칙이 강화되는 결과를 낳았다.[12]
일본에서는 2009년 1월에 마지막 광우병 감염 소(국내 36번째)가 확인된 이후 추가 발생은 없다. 2013년 5월, 세계동물보건기구(OIE) 총회에서 일본은 "광우병의 리스크를 무시할 수 있는 국가"(청정국)로 인정받았다.[57]
2. 1. 1980년대: 영국에서의 발병과 확산
1984년 최초로 광우병으로 의심되는 133마리의 소가 발견되었다.[64] 1985년 광우병이 의심되는 소의 뇌에서 BSE가 발견되었다. 1986년 11월 영국 정부는 광우병의 심각성을 인정하였다.[64]BSE 병원체의 기원은 불확실하다. 널리 지지받는 두 가지 가설은 다음과 같다.
- 첫 번째 가설: 스크래피로부터 종간 오염을 통해 시작되었다.[7]
- 두 번째 가설: 소 종에 토착화되어 있었으며, 1980년대 중반에 증폭되기 전에는 매우 মৃদু하게 퍼져 있었다.[7]
스크래피의 종간 전파 가능성은 실험적으로 입증되었지만, 이 질병과 관련된 임상적 및 신경병리학적 질환은 소 해면상 뇌증의 질환과 다르다. 1883년 수의학 저널에 소의 스크래피 사례에 대한 설명은 두 번째 가설을 옹호하는 사람들이 사용하는 논거이지만, 이 사례는 완전히 다른 신경 질환에 해당할 수 있다.[9]
광우병 유행은 도축장에서 동물의 사체를 재활용하는 데서 비롯되었다. 사람의 식용으로 사용되지 않는 뼈와 고기 부위, 농장에서 수집된 죽은 동물은 소고기 산업의 주요 폐기물이며, 가루로 만들기 전에 요리를 통해 지방에서 분리된다. BSE 발병 전에는 육골분이 소 사료에 널리 사용되었다. 이것은 에너지와 단백질이 풍부하며 반추 동물에게 쉽게 소화된다.[10] 소가 뇌와 척수와 같은 소 또는 양의 (가설에 따라) 소각된 조직으로 만들어지고 BSE 병원체로 오염된 육골분을 섭취한 것이 유행병 발병의 원인이었다.[7]
처음에는 밀가루 제조 과정에서 고온 살균과 유기 용매를 사용하는 지방 추출 단계를 사용했는데, 이는 프리온을 파괴했다. 그러나 1970년대 중반, 많은 영국 기술자들이 완제품의 영양학적 품질을 향상시키기 위해 이러한 밀가루의 온도와 건조 시간을 낮추기로 결정했다. 환경적 고려 사항(환경으로의 헥산 배출)으로 인해 1981년에는 용매 지방 추출 단계가 제거되었다. 이러한 프로토콜 변경은 1973년과 1979년의 두 차례의 석유 파동 이후 급증한 용매 및 에너지 비용을 줄여 경제적 수익성을 개선하기 위해 고안되었다.[11]
소 해면상 뇌병증은 1986년 11월 영국에서 처음 발생했는데, 영국의 중앙 수의 연구소가 서리주의 한 농장에서 비정형적인 신경 증상을 보이는 소를 발견하면서 시작되었다. 그 소의 신경 조직을 검사한 결과, 특정 뉴런의 공포화 현상이 나타나 스크래피의 특징적인 병변이 형성되었다. 연구자들은 새로운 형태의 전파성 해면상 뇌병증 (TSE)이 소에게 감염을 일으키고 있다고 결론 내렸다. 그 결과 "광우병"으로도 알려진 소 해면상 뇌병증 (BSE)이 발생했다.[9]
1986년 말에는 발병 건수가 적었지만, 빠르게 증가했다. 1988년 중반에는 주당 50건, 같은 해 10월에는 주당 80건으로 증가했다. 주간 발병률은 계속 증가하여 1989년 말에는 주당 200건, 1990년에는 300건에 달했으며, 1992년과 1993년에 정점을 찍어 주당 700건 이상의 새로운 발병과 1992년에만 37,280마리의 동물이 감염되었다. 1993년 이후 전염병은 급격히 감소하기 시작했다.
1993년 변종 크로이츠펠트-야코프병(vCJD)이 최초로 발견되었다. 당초 영국 정부는 변종 크로이츠펠트-야코프병과 쇠고기와의 인과관계를 부정하였다. 하지만, 언론 보도가 계속되면서 결국 소에서 유래한 물질이 유력한 원인이라고 밝혔다. 언론은 영국 정부의 미흡한 대비를 연일 크게 보도했다. 영국 정부는 30개월 이상의 소를 모두 식품 공급망으로부터 완전히 격리시키는 정책을 시행해, 약 3,700,000마리를 소각 처분하였다.[64]
육골분은 19세기 후반부터 소 사료로 사용되었다. 1985년 9월, 영국 농무부 장관의 수의 연구소가 영국 소에게서 이상한 증상을 보이는 새로운 질병의 출현을 보고하면서 모든 것이 시작되었다. 1986년 11월이 되어서야 이 새로운 질병이 소 해면상 뇌병증(BSE)으로 확인되었다. 이듬해 이 질병이 육골분을 반추동물 사료에 섞어 넣으면서 발생했다는 사실이 밝혀졌다.[18]
1988년부터 영국에서는 BSE가 보고 의무 질병이 되었으며, 모든 BSE 감염 소는 예방 조치로 도살 및 폐기해야 했다. 영국 당국은 소에게 육골분 사료를 주는 것을 금지했다. 1989년, 영국 정부는 내장(뇌, 내장, 척수 등)의 특정 부위 섭취를 금지하는 등 추가 조치를 취했다.[18]
2. 2. 1990년대 ~ 2000년대: 전 세계적 확산과 대응
1990년대에 들어서면서 광우병은 영국을 넘어 유럽, 북미, 일본 등 전 세계로 확산되었다.[14] 각국 정부는 육골분 사용 금지, 특정 위험 부위(SRM) 제거, 도축장에서 소 전수 검사 등 다양한 예방 및 관리 조치를 시행했다.[9] 1996년에는 광우병이 인간에게 변종 크로이츠펠트-야코프병(vCJD)을 유발할 수 있다는 사실이 밝혀지면서,[1] 쇠고기 소비 감소와 국제적인 무역 분쟁 등 경제적, 사회적 파장이 커졌다.1989년부터 이 질병은 영국에서 해외로 수출되었으며, 아일랜드에서 15건의 발병 사례가 발생했다. 1989년과 2004년 사이에 영국 외 지역에서 총 4,950건의 발병 사례가 보고되었으며, 주로 유럽 대륙에서 발생했다.[14]
영국 외에 가장 많은 영향을 받은 국가는 다음과 같다.[14]
국가 | 발병 건수 |
---|---|
아일랜드 | 1,488건 |
포르투갈 | 954건 |
프랑스 | 951건 |
스페인 | 538건 |
스위스 | 457건 |
독일 | 369건 |
이 외에도 이스라엘(2002년 1건), 캐나다(4건), 일본(2002년과 2004년 사이에 13건), 미국(2004년과 2005년 사이에 2건, 2006년 1건) 등에서도 광우병이 발생했다.[14]
1996년, 유럽 공동체는 영국산 육류에 대한 수출 금지를 선언했다. 이 금지 조치는 우지와 젤라틴과 같은 다른 동물성 제품으로 확대되었다. 1999년, 유럽 연합은 특정 조건 하에 육류에 대한 금지 조치를 해제했다.[7] 그러나 프랑스는 사전 예방 원칙에 따라 영국산 육류에 대한 금지 조치를 유지했다.[42]
일본에서는 2001년 9월 지바현에서 처음으로 광우병 감염 소가 확인된 이후, 농림수산성은 식용 소의 전수 검사를 도입했다. 이 과정에서 외국산 쇠고기를 국산으로 위장하는 등의 쇠고기 위장 사건이 잇따라 발생하여 큰 사회 문제가 되었다.[52] 유키지루시 쇼쿠힌의 유키지루시 쇠고기 위장 사건,[52] 일본 햄의 쇠고기 원산지 위장 사건, 한난 사건,[53] 후지치쿠의 쇠고기 위장 사건[54][55] 등은 기업 범죄로 인해 식품 안전에 대한 국민의 신뢰를 크게 떨어뜨렸다. 요시노야는 규동 판매를 2004년부터 2008년까지 중단하기도 했다.
2. 3. 2010년대 이후: 통제와 감시 지속
2008년 영국에서 37건의 소 광우병 사례가 진단되었지만, 현재는 이러한 유행이 거의 완전히 통제되고 있다.[1] 2016년 3월 23일, 프랑스 아르덴 주에서 새로운 광우병 사례가 발견되었는데, 이는 2015년 이후 유럽에서 발견된 세 번째 광우병 사례였다.[2]광우병의 잠복기가 길 수 있기 때문에, 앞으로도 새로운 인간 감염 사례가 나타날 가능성이 있다. 광우병 위기를 통해 도축장에서 시체의 특정 부분을 제거하고 동물 추적성을 강화하는 등 쇠고기 산업의 관행이 개선되었다.[12] 또한, 공중 보건 측면에서 사전 예방 원칙이 강화되는 결과를 낳았다.[12]
일본에서는 2009년 1월에 마지막 광우병 감염 소(국내 36번째)가 확인된 이후 추가 발생은 없다. 2013년 5월, 세계동물보건기구(OIE) 총회에서 일본은 오스트레일리아, 뉴질랜드 등과 함께 "광우병의 리스크를 무시할 수 있는 국가"(청정국)로 인정받았다.[57]
3. 원인과 전파 경로
광우병(BSE)은 소의 중추신경계에 이상이 생겨 발생하는 질병으로, 양이나 염소에게서 나타나는 스크래피와 비슷한 질병이다. 이 병은 프리온이라는 변형된 단백질 때문에 발생한다. 1986년부터 2000년대 사이에 영국에서 크게 유행했고, 다른 나라들에서도 발생했다.
이 병이 퍼진 주된 원인은 소의 사료에 육골분을 사용했기 때문이다. 육골분은 소와 다른 동물들의 시체에서 얻은 것이다. 1996년에 과학자들은 이 병이 고기를 통해 사람에게도 전염될 수 있다는 것을 알게 되었다.
2017년 1월 24일까지 이 병으로 인해 전 세계에서 223명이 사망했고(영국 177명, 프랑스 27명 포함)[1], 크로이츠펠트-야콥병과 비슷한 증상을 보였다.
프리온은 단백질이기 때문에 스스로 활동하지 않으며, 냉동, 건조, 일반적인 요리 온도, 심지어 멸균 온도에도 파괴되지 않는다. 실제로 파괴하려면 프리온을 3기압에서 133°C로 20분 동안 가열해야 한다.
BSE 병원체의 기원은 확실하지 않다. 널리 알려진 두 가지 가설이 있는데, 첫 번째는 스크래피로부터 종간 오염을 통해 시작되었다는 것이다. 두 번째 가설은 이 질병이 소 종에 토착화되어 있다는 것이다.[7]
광우병 유행은 도축장에서 동물의 사체를 재활용하면서 시작되었다. 사람이 먹지 않는 뼈와 고기 부위, 농장에서 죽은 동물들은 가루로 만들기 전에 요리하여 지방을 분리한다.
BSE 발병 전에는 육골분이 소 사료에 널리 사용되었다. 이것은 반추 동물에게 쉽게 소화되는 에너지와 단백질이 풍부하기 때문이었다.[10] 소가 뇌와 척수와 같은 소나 양의 조직으로 만들어지고 BSE 병원체로 오염된 육골분을 섭취한 것이 유행병 발병의 원인이었다.[7]
처음에는 밀가루 제조 과정에서 고온 살균과 유기 용매를 사용하는 지방 추출 단계를 거쳤는데, 이는 프리온을 파괴했다. 그러나 1970년대 중반, 많은 영국 기술자들이 완제품의 영양 품질을 높이기 위해 밀가루의 온도와 건조 시간을 낮추기로 결정했다. 1981년에는 환경 문제로 인해 용매 지방 추출 단계가 제거되었다. 이러한 변화는 두 차례의 석유 파동 이후 급등한 비용을 줄이기 위한 것이었다.[11]
제조 공정의 변화는 영국의 한 육골분 공장에서 발생한 사고로 인해 빨라졌고, 이로 인해 안전 조치가 강화되었다. 이러한 변화가 유행병의 원인으로 보인다. 프리온은 육골분으로 재활용된 다음 소 사료에 대규모로 배포되었고, 오염된 동물은 다시 가루로 갈려 문제가 더 커졌다.[6]
어미 소에서 송아지로 전염되는 경우도 있는데, 이는 최대 10%의 오염을 설명할 수 있다.[5]
과학자들은 사료 진드기에 의한 오염, 도축장에서 오염된 물, 육골분 기반의 비료가 살포된 토양을 통한 오염 등 다른 경로를 의심했지만, 확실한 증거는 없다.[12]
4. 증상
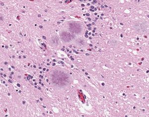
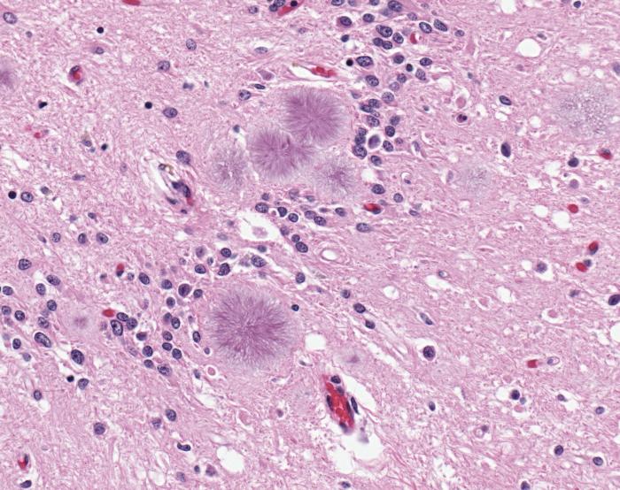
소 해면상 뇌병증(BSE)은 소의 뇌와 척수에 영향을 미치는 질병이다. 광학 현미경으로 관찰하면 뇌에 해면 모양의 변화가 나타나는데, 이는 뉴런의 공포화(vacuolation) 현상 때문이다. 뉴런은 다양한 정도로 손실되고, 별세포와 미세아교세포(면역 기능을 가진 뇌 세포)가 증식한다. 병원체는 특징적인 아밀로이드 플라크를 형성하지만, 다른 전염성 해면상 뇌병증보다는 덜 흔하게 나타난다.[3]
감염원 자체에 대해서는 여러 논쟁이 있지만, 현재 과학계에서 널리 받아들여지는 이론은 프리온이라는 단백질에 관한 것이다. 이 이론에 따르면, 광우병의 경우 비정상적인 구조를 가진 프리온이 다른 건강한 프리온 단백질로 전파될 수 있다. 또 다른 이론은 바이러스성 감염원을 제시하는데, 이는 감염원이 여러 변종을 생성하는 능력을 더 쉽게 설명할 수 있다. 질병을 일으키는 것은 프리온의 저항성 형태(PrPSc, PrPRes, PrPD 또는 PrPBSE)이며, 이 단백질은 뇌에 축적되어 신경 세포의 죽음과 아밀로이드 플라크 형성을 유발한다.
프리온은 단백질이므로 자체적인 대사 작용이 없어 냉동, 건조 및 일반적인 요리 온도, 심지어 살균 및 멸균 온도에도 저항성이 있다. 프리온을 파괴하려면 3기압에서 133°C로 20분 동안 가열해야 한다.
4. 1. 소의 증상
광우병(BSE)에 걸린 소는 초기에는 행동 변화를 보인다. 여기에는 신경 과민, 공격성,[4] 불안감, 외부 자극(소리, 촉각, 눈부심)에 대한 과민 반응, 무리로부터 고립되는 행동 등이 있다. 우유 생산량과 체중은 감소하지만, 식욕은 일반적으로 유지된다.병이 진행되면서 소는 운동 장애를 겪게 된다. 균형을 잃고 넘어지며, 심한 경우 다시 일어서지 못하게 된다.[5]
생리학적으로는 빈맥이 나타나지만, 열은 동반되지 않는다. 그러나 이러한 증상만으로는 광우병을 확진하기 어렵다. 풀 테타니와 같은 다른 질병에서도 유사한 운동 장애가 나타날 수 있기 때문이다.[5]
일반적으로 외부 증상은 오염 후 4~5년 후에 나타나며, 주로 2세 이상(보통 3~7세)의 소에게서 발생한다. 질병의 진행 기간은 1주에서 1년까지 다양하며, 동물마다 다르게 나타난다.
4. 2. 인간의 증상 (변종 크로이츠펠트-야코프병)
프리온의 축적을 특징으로 하는 신경퇴행성 질환인 크로이츠펠트-야코프병(CJD)은 인간에게 특정한 전파성 해면상뇌증의 한 형태이다. 잠복기는 수년에서 수십 년에 이르며, 균형 감각 및 감각 이상이 나타난 후 치매가 발생한다. 결과는 거의 항상 1년 이내에 치명적이다.[67]이 질병은 여러 가지 원인이 있다. 대부분의 사례는 산발적으로 발생하며, 그 기원이 알려져 있지 않다. 또한 유전적 전파(사례의 10%)와 의인성 오염(예: 수술 과정으로 인한)이 있는데, 이는 호르몬 사용(프랑스의 성장 호르몬 사건과 같이) 또는 시신으로부터 얻은 뇌 조직 장기 이식(경막) 이식, 또는 제대로 소독되지 않은 수술 기구(전극)의 사용과 관련이 있다.
1996년, 런던 북쪽에 살던 두 명의 영국인이 처음 보기에는 크로이츠펠트-야코프병으로 보이는 질병으로 사망하면서 모든 것이 시작되었다. 각각 19세와 25세인 스티븐 처칠과 니나 시노트는 노인에게만 영향을 미치는 이 질병에 걸리기에는 매우 젊었다. 이것이 연구자들이 "변종 크로이츠펠트-야코프병"을 의미하는 nvCJD라는 새로운 질병의 방향으로 이끌었다.
동물 질병인 BSE와 인간 질병인 변종 크로이츠펠트-야코프병 사이의 연관성이 곧 의심되었다. 이 연관성은 질병에 감염된 원숭이의 뇌와 질병으로 사망한 젊은이의 뇌에서 발견된 아밀로이드 플라크를 비교하여 실험실에서 입증되었으며, 이는 엄격하게 동일한 것으로 밝혀졌다. BSE의 인간 형태는 크로이츠펠트-야코프병과 대체로 유사하지만, 여러 임상적 및 해부학적 측면에서 다르다. 예를 들어, 더 젊은 환자(평균 연령 29세, 고전적인 질병의 경우 65세)에게 영향을 미치며 비교적 더 긴 경과(중간값 14개월, 4.5개월)를 보인다.[7] 이 질병은 오염된 동물에서 유래한 고위험 조직(근육, 즉 고기는 위험하지 않음)을 섭취하면 인간에게 전파될 수 있다.[9]
2012년 7월 현재, 이 질병은 영국에서 173명, 프랑스에서 27명, 스페인에서 5명, 아일랜드에서 4명, 미국에서 3명, 네덜란드에서 3명, 포르투갈에서 2명을 포함하여 약 224명의 희생자를 냈다. 일본, 사우디 아라비아, 캐나다, 이탈리아는 각각 1건의 사례가 있었다.[16]
수혈 또한 이 질병의 전염을 허용하는 것으로 의심된다. 1999년 8월, 캐나다는 1980년에서 1996년 사이에 영국에서 6개월 이상을 보낸 사람을 헌혈 금지 대상에 포함하기로 결정했으며, 2000년 8월에는 이 결정을 같은 기간 동안 프랑스 거주자에게까지 확대했다. 미국도 유사한 조치를 취하고 있다. 프랑스는 광우병 발병 기간(1980-1996) 동안 6개월 이상 영국에 거주한 사람은 헌혈을 금지하고 있다. 이러한 우려는 수혈로 질병이 전염될 수 있음을 보여주는 양에 대한 실험을 바탕으로 했으며,[47] 2004년과 2006년에 헌혈 후 질병에 걸린 사람에게 수혈을 받은 후 새로운 변종 CJD로 사망한 세 명의 영국 환자에 대한 연구가 발표되면서 이러한 우려는 대체로 확인되었다.[48]
5. 진단
소의 경우, 도축장에서 소뇌에 있는 작은 V자 모양의 숨뇌 조각인 후두부를 채취하여 BSE 감염 여부를 확인한다.[43][44] 이 샘플은 ELISA형 면역학적 검사를 통해 실험실에서 분석된다.[43][44]
프랑스에서는 리옹의 전문 실험실에서 후두부의 남은 부분을 사용하여 두 번째 확인 검사를 수행하며, 이 검사 결과는 일주일 후에 확인할 수 있다.[43][44] 그러나 소 사체는 위생상의 이유로 냉장 보관할 수 없어 결과가 나오기 전에 파괴된다.[43][44] 프리온에 의해 오염될 가능성이 있는 시체는 부산물(내장, 우지, 가죽 등)과 함께 사람 및 동물 사료 사슬에서 제거된다.
6. 예방 및 관리
광우병 예방 및 관리의 핵심은 오염된 육골분 사료 사용 금지와 특정 위험 부위(SRM) 제거이다. 1988년 7월, 영국은 소 사료에 동물성 단백질 사용을 금지했고, 프랑스 등 다른 국가들도 1990년에 이를 따랐다.[37] 1990년 10월, 프랑스는 육골분 제조에 고위험 물질(뇌, 척수 등) 사용을 금지했다.[37]
1989년부터 영국은 사람에게 위험한 소의 특정 조직과 장기 판매를 금지했다. 여기에는 척추, 뇌, 눈, 편도, 척수, 비장 등이 포함된다.[41] 2000년에는 금지 목록에 회장, 나머지 장, 흉선이 추가되었다.[29]
감염된 소를 조기에 발견하고 식품 공급망에서 제외하기 위해 도축되는 모든 소에 대한 검사가 중요하다. 프랑스는 48개월 이상 된 도축 동물에 대한 체계적인 검사를 선택했다.[37] 소 도축장에서는 후두부를 샘플링하여 면역학적 검사로 광우병을 감지한다.[43][44]
추가적인 예방 조치로 동물성 사료의 교차 오염 방지, 도축 시설 위생 관리 강화 등이 필요하다. 추적성은 육류 제품의 원산지를 추적하여 식품 위험을 예방하고 소비자에게 정보를 제공한다.[9] 광우병 사태 이후 유럽은 동물 식별 및 추적성 관련 조치를 강화했다.
수혈은 광우병 전염의 원인으로 의심되어, 1999년 8월 캐나다는 1980~1996년 영국에서 6개월 이상 체류한 사람의 헌혈을 금지했다.[47]
7. 국가별 사례
캐나다는 1997년 동물성 사료 사용을 금지했다.[65] 2003년 5월 캐나다에서 광우병이 발생하자, 대한민국과 미국은 캐나다산 소고기 수입을 금지했다.[64] 2007년 미국은 캐나다의 광우병 위험 노출도가 낮다고 판단하고 수입 규제를 완화했다.[64]
2003년 12월 9일 워싱턴주에서 광우병 의심 소가 발견되었고, 12월 23일 미국 농무부는 양성 반응을 확인했다. 2003년 12월 26일 중국과 일본, 12월 27일 대한민국이 수입 금지를 결정했다. 2005년 12월 일본은 21개월 미만 미국산 쇠고기(뼈 등 제외) 수입을 재개했으나, 2006년 1월 뉴욕주 선적 쇠고기에서 뼛조각이 발견되어 모든 미국산 쇠고기 수입을 중단했다.
2001년 9월 10일 일본 농수성은 지바현에서 광우병 의심 소를 발견했고, 9월 21일 일본 최초 광우병 사례로 확정했다. 2001년 10월 18일 소 전수검사가 도입되었다. 2002년 유지지루시 식품의 산지 위장 사건은 광우병 논란을 가중시키고 쇠고기 관련 업종에 큰 타격을 주었다. 2003년 말, 일본은 모든 미국산 쇠고기 수입을 중단했다가 2005년 12월, 21개월 미만 쇠고기(뼈 제외) 수입을 재개했으나, 2006년 1월 검역 과정에서 뼛조각이 발견되어 다시 수입이 전면 중단되었다.
2008년 한국에서는 미국산 쇠고기 수입 협상과 관련하여 큰 논란이 있었다.
7. 1. 영국
1984년 최초로 광우병으로 의심되는 소 133마리가 발견되었다. 1985년 광우병이 의심되는 소의 뇌에서 BSE가 발견되었고, 1986년 11월 영국 정부는 광우병의 심각성을 인정하였다.[64] 영국의 중앙 수의 연구소는 서리주의 한 농장에서 비정형적인 신경 증상을 보이는 소를 발견했는데, 그 소의 신경 조직을 검사한 결과 특정 뉴런의 공포화 현상이 나타나 스크래피의 특징적인 병변이 형성되었다. 연구자들은 새로운 형태의 전파성 해면상 뇌병증(TSE)이 소에게 감염을 일으키고 있다고 결론 내렸고, 그 결과 '광우병'으로도 알려진 소 해면상 뇌병증(BSE)이 발생했다.[9]1986년 말에는 발병 건수가 적었지만 빠르게 증가하여, 1988년 중반에는 주당 50건, 같은 해 10월에는 주당 80건으로 늘어났다. 주간 발병률은 계속 증가하여 1989년 말에는 주당 200건, 1990년에는 300건에 달했으며, 1992년과 1993년에는 주당 700건 이상의 새로운 발병과 함께 1992년에만 37,280마리의 동물이 감염되어 정점을 찍었다. 1993년 이후 전염병은 급격히 감소하기 시작했다.[13]
1993년 변종 크로이츠펠트-야코프병(vCJD)이 최초로 발견되었다. 당초 영국 정부는 변종 크로이츠펠트-야코프병과 쇠고기와의 인과관계를 부정하였으나, 언론 보도가 계속되면서 소에서 유래한 물질이 유력한 원인이라고 밝혔다. 언론은 영국 정부의 미흡한 대비를 연일 크게 보도했다. 영국 정부는 30개월 이상의 소를 모두 식품 공급망으로부터 완전히 격리시키는 정책을 시행하여 약 370만 마리를 소각 처분하였다.[64]
20년이 지난 후에도 이 질병은 영국에서 완전히 사라지지 않아, 2007년에는 67건, 2008년에는 37건이 기록되었다. 영국에서 총 184,588마리 이상의 동물이 이 질병에 걸렸다.[13]
2000년 광우병 진단 키트가 인증된 후 검사 샘플 수를 대폭 늘려 검사한 결과, 광우병에 걸린 소가 약 179,000마리 발견되었다. 동시에 영국 정부는 식품 안전 기관을 조직하여 올바른 지식을 퍼뜨리고 언론에 이성적인 보도를 계속 요청했다. 현재는 특정 위험 부위 격리 정책이 효과를 내어 광우병이 발견되는 수도 감소하고 있으나, 의료계와 프리온 질병 전문 과학자들은 잠복 기간이 길고 감염 경로도 정확히 밝혀지지 않아 장기간의 감시가 필요하다고 강조한다.[64]
2009년 2월 혈장 수혈로 인간 광우병에 걸린 최초의 사례가 발견되었다.[64]
7. 2. 일본
- 2001년 9월 10일 일본 농수성은 치바현에서 광우병이 의심되는 소가 발견되었다고 발표했다.[64]
- 2001년 9월 21일 일본 농수성은 일본 최초 광우병 사례로 확정 발표하였다.[64]
- 2001년 10월 18일 출하되는 소에 전수검사가 도입되었다.
- 2002년 유지지루시 식품이 쇠고기 원산지를 위장하는 사건이 발생하여 광우병 논란을 가중시켰고, 쇠고기 관련 업종에 큰 타격을 주었다.
- 2003년 7월 10일 내각부에 식품 안전 위원회를 설치하였다.
- 2003년 말, 일본은 모든 미국산 쇠고기의 수입을 중단했다. 이는 장기간의 미국과의 무역 분쟁으로 이어졌다.
- 2005년 12월, 일본은 뼈를 제외한 21개월 미만 미국산 쇠고기 수입을 재개했다.
- 2006년 1월, 검역과정에서 뉴욕주에서 선적한 쇠고기에서 뼛조각이 발견되어 수입이 전면 중단되었다.
- 2008년 3월 24일, 농림수산성은 3월 17일 홋카이도 루모이시의 농장에서 죽은 7살 5개월 된 흑모화종 수소를 일본에서 광우병에 걸린 35번째 소라고 발표했다.
- 일본에서는 2009년 1월 홋카이도에서 BSE 환축(2000년생)이 발견된 것을 마지막으로, BSE 환축 발생은 더 이상 보이지 않게 되었다. 홋카이도 이외에서 태어난 소는 2004년 2월 가나가와현에서 BSE 양성으로 판정된 젖소(1996년생)가 마지막이었다.
7. 3. 미국
2003년 12월 9일 워싱턴주에서 광우병으로 의심되는 홀스타인종 소 한 마리가 발견되었다.[64] 2003년 12월 23일 미국 농무부는 해당 소가 광우병 검사 결과 양성 반응을 보였다고 밝혔다. 이는 미국에서 처음으로 광우병이 확인된 사례였다.[64]이후 미국 정부는 광우병 검사 시스템을 강화하고, 특정 위험 부위 제거 등의 조치를 취했으나, 검사 체제의 실효성에 대한 논란은 계속되었다.[64]
2005년 6월 24일, 미국 농무부 장관은 기자 회견을 통해 텍사스주에서 발견된 8살 소가 광우병에 감염된 것으로 확인되었다고 발표했다. 이 소는 미국에서 태어난 소 중 처음으로 광우병 확진 판정을 받은 사례였다.[64]
2003년 미국에서 광우병이 발생하자, 대한민국을 포함한 여러 국가들이 미국산 쇠고기 수입을 금지하거나 제한하는 조치를 취했다.[64]
국가 | 조치 |
---|---|
대한민국 | 2003년 12월 27일 수입 금지 결정[64] |
중국, 일본 | 2003년 12월 26일 수입 금지 결정[64] |
멕시코, 러시아, 브라질, 오스트레일리아, 중화민국, 싱가포르, 타이, 말레이시아, 칠레, 콜롬비아, 홍콩 등 | 2003년 12월 말 수입 금지 또는 일시 수입 금지 결정[64] |
2008년 대한민국과의 쇠고기 수입 협상 과정에서 광우병 위험에 대한 논란이 불거졌고, 이는 한국에서 대규모 촛불 시위로 이어졌다.
7. 4. 대한민국
2008년 미국산 쇠고기 수입 협상과 관련하여 광우병 위험에 대한 국민적 우려가 커지면서 대규모 촛불 시위가 발생했다.[64] 당시에는 '광우병'이라는 단어를 언급하는 것조차 정치적인 의도로 해석될 정도로 논란이 컸으며, 이는 이명박 퇴진 운동이 벌어지는 직·간접적 원인이 되기도 했다. 이명박 정부는 추가 협상을 통해 30개월 이상 쇠고기 수입 금지 등의 조치를 취했으나, 논란은 쉽게 가라앉지 않았다. 이후 대한민국 정부는 광우병 감시 체계를 강화하고, 수입 쇠고기에 대한 검역을 철저히 시행하고 있다.8. 사회경제적 영향
광우병(BSE) 발생은 사회경제적으로 광범위한 영향을 미쳤다. 1996년, 광우병이 인간에게 전염될 수 있다는 사실이 알려지면서 쇠고기 소비가 급감하고, 축산업계는 큰 타격을 입었다.[1] 특히, 2008년 대한민국 미국산 쇠고기 수입 협상 논란 당시에는 '광우병'이라는 단어 언급 자체가 정치적으로 해석될 정도로 논란이 컸으며, 이는 2008년 대한민국 촛불 시위로 이어지기도 했다.
쇠고기 소비 감소 및 축산업 위축:광우병 발생 초기, 독일 소비자들은 쇠고기 소비를 11% 줄였으며,[15] 영국에서도 1995년 12월까지 전년 대비 15~25% 감소했다. 1996년 프랑스에서는 1인당 쇠고기 소비량이 약 15% 감소했고, 광우병이 다른 종으로 전염된다는 발표 이후에는 25%까지 감소했다.[28]
국제 무역 분쟁:광우병 발생은 국가 간 무역에도 영향을 미쳤다. 영국은 유럽 국가들로부터 쇠고기 수출 금지 조치를 당했으며,[28] 미국에서 광우병이 발생했을 때에도 아시아 국가들을 중심으로 수입 금지 조치가 내려졌다.[33]
식품 안전 불신 및 사회적 갈등:광우병 사태는 식품 안전에 대한 국민들의 불신을 증폭시켰다. 특히, 일본에서는 2001년 광우병 발생 이후, 육류 관련 기업들이 외국산 쇠고기를 국산으로 위장하여 국가에 매입하게 하는 등의 사건이 잇따라 발생하면서 사회 문제가 되었다. 이는 유키지루시 쇠고기 위장 사건으로 이어졌고, 유키지루시 유업은 일본 밀크 커뮤니티에 통합되었다. 일본 햄 등 대형 식품 회사의 식품 위장 사건도 발생하여, 식품 안전에 대한 국민의 신뢰가 크게 흔들렸다.
외식 산업 및 기타 산업 영향:요시노야는 2004년부터 2008년까지 규동 판매를 중단하는 등 외식 산업에도 큰 영향을 미쳤다. 항공사의 기내식에서도 비프 콘소메 수프 제공이 중단되기도 했다.
경제적 손실:광우병 방역 조치는 막대한 비용을 수반했다. 프랑스의 경우, 위기 기간 동안 연간 총 방역 조치 비용은 8.5억유로에 달했다.[6] 영국 정부는 산업 연구 및 보상 계획에 2.88억파운드의 공적 자금을 할당했다.[49]
윤리적 문제:광우병 사태는 공장식 축산과 동물 복지 문제에 대한 사회적 관심을 불러일으켰다. 철학자 엘리자베스 드 퐁트네는 이 위기를 "동물에 대한 망각"을 드러내는 윤리적 문제로 간주했다.[34] 힌두교에서는 광우병을 서구의 동물 섭취에 대한 신의 벌로 해석하기도 했다.[36]
정부 대응 및 비판:영국 정부는 정보를 은폐하고 다른 국가들을 오도했다는 비난을 받았으며,[51] 유럽 의회는 질병 확산에 대한 영국 정부의 책임을 강조했다.[9] 프랑스 정부는 유럽 규정보다 늦게 대응했다는 비판을 받았다.[9] 유럽 연합 역시 늦장 대응과 인체 건강에 대한 중요성 부족으로 비판받았다.[9]
참조
[1]
웹사이트
Un cas atypique de variant de la maladie de Creutzfeldt-Jakob
https://www.lemonde.[...]
2017-01-24
[2]
웹사이트
Un cas de vache folle confirmé dans les Ardennes
http://www.liberatio[...]
2016
[3]
논문
Le diagnostic des encéphalopathies spongiformes chez les ruminants
2004
[4]
논문
Crise de la « vache folle » et déclin de la raison sacrificielle*
2002
[5]
서적
Maladies des bovins : manuel pratique
France Agricole
[6]
웹사이트
L'Encéphalopathie spongiforme bovine : ESB
http://www.univ-bres[...]
2009-03-30
[7]
웹사이트
Encéphalopathie spongiforme bovine (ESB)
http://www.who.int/m[...]
2009-03-26
[8]
웹사이트
8 questions que vous pourriez poser à votre boucher
http://www.doctissim[...]
2009-03-28
[9]
웹사이트
Rapport de la commission d'enquête sur les conditions d'utilisation des farines animales dans l'alimentation des animaux d'élevage et les conséquences qui en résultent pour la santé des consommateurs
http://www.senat.fr/[...]
2009-04-02
[10]
웹사이트
Le problème des farines animales
http://www.doctissim[...]
2009-03-28
[11]
서적
Histoire de la vache folle
Presses Universitaires de France
[12]
웹사이트
Les risques sanitaires liés aux différents usages des farines et graisses d'origine animale et aux conditions de leur traitement et de leur élimination.
http://www.afssa.fr/[...]
2009-04-02
[13]
웹사이트
Nombre de cas d'encéphalopathie spongiforme bovine (ESB) signalés au Royaume-Uni
http://www.oie.int/f[...]
2009-04-03
[14]
웹사이트
Nombre de cas d'encéphalopathie spongiforme bovine (ESB) signalés chez les bovins d'élevage dans le monde*, hors Royaume-Uni
http://www.oie.int/f[...]
2009-04-29
[15]
서적
À l'abattoir : travail et relations professionnelles face au risque sanitaire
https://books.google[...]
Quae
[16]
웹사이트
VARIANT CREUTZFELDT-JAKOB DISEASE CURRENT DATA (FEBRUARY 2009)
http://www.cjd.ed.ac[...]
2015-04-30
[17]
서적
Microbes and Man
Cambridge University Press
[18]
웹사이트
La crise de la vache folle de 1985 à 2004
http://www.vie-publi[...]
2009-07-02
[19]
서적
Élevage bovin et développement durable
Courrier de l'environnement de l'INRA
[20]
웹사이트
L'affaire de la treizième vache
http://vachefolle.es[...]
2009-04-14
[21]
논문
Vache folle : les médias sous pression
2004
[22]
웹사이트
Que nous prépare la vache folle ?
https://www.humanite[...]
2000
[23]
웹사이트
La famille d'un jeune malade témoigne pour la première fois
http://www.leparisie[...]
2000
[24]
뉴스
Vache Folle : des vérités dérangeantes
2000
[25]
웹사이트
Vache Folle : les médias sous pression – D'une crise à l'autre
http://www7.inra.fr/[...]
2004
[26]
논문
La Crise sociale de l'ESB
2004
[27]
웹사이트
2. Une couverture médiatique parfois excessive
http://www.senat.fr/[...]
2009-04-21
[28]
웹사이트
5. Les retombées économiques de la crise de la vache folle
http://www.inra.fr/d[...]
2009-04-24
[29]
웹사이트
Le bœuf ne fera plus l'andouille
http://www.doctissim[...]
2009-03-28
[30]
뉴스
Les Quinze vont augmenter les stocks de viande bovine
1996
[31]
뉴스
La crise de la " vache folle " reste menaçante pour les éleveurs
1996
[32]
웹사이트
VACHE FOLLE : d'un embargo à l'autre ?
http://www.cite-scie[...]
2009-04-14
[33]
웹사이트
Statistics provided by U.S. government & compiled by US Meat Export Federation
http://www.usmef.org[...]
2023-09-21
[34]
서적
Sans offenser le genre humain. Réflexions sur la cause animale
Bibliothèque Albin Michel des idées
[35]
서적
Lettres à l'ashram, protection de la vache
[36]
뉴스
Right-wing Hindus revel in 'mad cow' scare
http://www.cnn.com/W[...]
CNN
[37]
웹사이트
La viande française est-elle vraiment plus sûre ?
http://www.doctissim[...]
2009-03-28
[38]
웹사이트
"3R special": development of the BSE epidemic among cattle in France
http://www.internati[...]
2009-06-22
[39]
논문
Épidémiologie de la tremblante et de l'encéphalopathie spongiforme bovine en France
2004
[40]
뉴스
Bruxelles réfléchit à un retour des farines animales
https://www.lefigaro[...]
lefigaro.fr
2008
[41]
웹사이트
Viande bovine française : quels contrôles ?
http://www.doctissim[...]
2009-03-29
[42]
웹사이트
La vache folle : analyse d'une crise et perspectives d'avenir
http://www.science-d[...]
2009-04-02
[43]
웹사이트
Epidémiosurveillance de l'ESB en France
http://www.tracenews[...]
2002
[44]
웹사이트
Les étapes d'abattage
https://www.smac-cor[...]
2024-10-11
[45]
웹사이트
La traçabilité
http://www.amibev.or[...]
2009-04-17
[46]
웹사이트
Vache folle : le rapport qui accuse les autorités anglo-saxonnes
http://www.doctissim[...]
2009-03-29
[47]
논문
Compelling transgenic evidence for transmission of bovine spongiform encephalopathy prions to humans
http://www.pnas.org/[...]
1999
[48]
논문
Clinical presentation and pre-mortem diagnosis of variant Creutzfeldt-Jakob disease associated with blood transfusion: a case report
2006
[49]
서적
The BSE inquiry : Economic Impact and International Trade
[50]
논문
Équarrissage : la ceinture et les bretelles
http://www.inra.fr/i[...]
2004
[51]
논문
R A P P O R T: sur les allégations d'infraction ou de mauvaise administration dans l'application du droit communautaire en matière d'ESB, sans préjudice des compétences des juridictions communautaires et nationales
https://www.europarl[...]
1997-02-07
[52]
뉴스
食肉偽装事件で有罪の元社長の「天下り」~福岡食肉市場(株)子会社へ
https://www.data-max[...]
データ・マックス
2012-07-05
[53]
뉴스
フジチク元会長、懲役8年確定へ 牛肉偽装、上告を棄却
https://www.nikkei.c[...]
日本経済新聞
2010-10-14
[54]
뉴스
【BSE問題】愛知でも牛肉偽装か 「フジチク」会長を聴取
http://www.asahi.com[...]
朝日新聞
2004-10-15
[55]
뉴스
【BSE問題】輸入肉193トンはフジチク元専務が買い付け 牛肉偽装
http://www.asahi.com[...]
朝日新聞
2004-11-12
[56]
웹사이트
米国産牛肉輸入問題とBSE
https://www.ndl.go.j[...]
国立国会図書館
2019-06-03
[57]
뉴스
読売新聞
2013-06-29
[58]
웹사이트
米国産牛肉の対日輸出に関するマイク・ジョハンズ農務長官の声明
http://japan.usembas[...]
駐日アメリカ合衆国大使館
2006-01-20
[59]
웹사이트
STATEMENT BY AGRICULTURE SECRETARY MIKE JOHANNS REGARDING U.S. BEEF EXPORTS TO JAPAN(同上)
http://www.usda.gov/[...]
[60]
간행물
農水省プレスリリース2012年12月8日
https://www.mhlw.go.[...]
2012-12-08
[61]
뉴스
産経ニュース
https://web.archive.[...]
産経ニュース
2013-02-01
[62]
보고서
農業情報研究所 2004年4月レポート
2004-04
[63]
뉴스
스페인 모자, 인간광우병 사망 확인
http://www.ytn.co.kr[...]
YTN
2008-09-26
[64]
뉴스
영국서 혈장 수혈 후 인간광우병 감염 첫 발견
http://news.mk.co.kr[...]
매일경제
2009-02-15
[65]
뉴스
캐나다, 15번째 광우병 소 발생 확인
http://media.daum.ne[...]
연합뉴스
2008-11-18
[66]
뉴스
캐나다 광우병 소 공식 확인..2003년이후 13번째
http://app.yonhapnew[...]
연합뉴스
2008-06-24
[67]
뉴스
`광우병 사망자' 모친 "英 정부가 아들 죽여"
http://media.daum.ne[...]
연합뉴스
2008-11-12
본 사이트는 AI가 위키백과와 뉴스 기사,정부 간행물,학술 논문등을 바탕으로 정보를 가공하여 제공하는 백과사전형 서비스입니다.
모든 문서는 AI에 의해 자동 생성되며, CC BY-SA 4.0 라이선스에 따라 이용할 수 있습니다.
하지만, 위키백과나 뉴스 기사 자체에 오류, 부정확한 정보, 또는 가짜 뉴스가 포함될 수 있으며, AI는 이러한 내용을 완벽하게 걸러내지 못할 수 있습니다.
따라서 제공되는 정보에 일부 오류나 편향이 있을 수 있으므로, 중요한 정보는 반드시 다른 출처를 통해 교차 검증하시기 바랍니다.
문의하기 : help@durumis.com