맨위로가기

군발 두통

"오늘의AI위키"는 AI 기술로 일관성 있고 체계적인 최신 지식을 제공하는 혁신 플랫폼입니다.
"오늘의AI위키"의 AI를 통해 더욱 풍부하고 폭넓은 지식 경험을 누리세요.

1. 개요

군발 두통은 극심한 일방적 두통이 반복적으로 나타나는 질환으로, 발작은 15분에서 180분 동안 지속될 수 있다. 통증은 눈 주위, 관자놀이 등에서 발생하며, 다른 두통보다 훨씬 심하고 자살 충동을 느낄 정도로 고통스럽다. 환자는 심한 측두통, 자율 신경 증상, 불안정, 광과민증 등의 증상을 겪을 수 있으며, 재발의 규칙성으로 인해 "자명종 두통"이라고 불리기도 한다. 정확한 원인은 밝혀지지 않았지만, 시상 하부의 관련성이 제기되며, 흡연과도 연관될 수 있다. 진단은 상세한 병력 청취를 통해 이루어지며, 편두통이나 부비동염으로 오진될 수 있다. 치료는 산소, 트리프탄, 베라파밀 등의 약물과 신경 자극술, 수술 등이 사용되며, 환각제 사용에 대한 연구도 진행 중이다.

더 읽어볼만한 페이지

  • 통증 관리 - 침술
    침술은 폄석에서 유래한 침을 사용하여 경혈을 자극하는 고대 의술로, 통증 완화 등에 효과가 있는 것으로 알려져 있으나 과학적 근거 부족 논란이 있으며, 안전을 위해 멸균된 침 사용 및 숙련된 시술이 중요하다.
  • 통증 관리 - 만성 통증
    만성 통증은 원인이 불분명하거나 제거 후에도 지속되는 생물학적 가치가 없는 통증으로, 다양한 종류가 있으며 심리적, 사회적 요인과 관련되어 삶의 질을 저하시키므로 다각적인 치료와 자가 관리가 필요하다.
  • 두통 - 숙취
    숙취는 과도한 알코올 섭취 후 두통, 피로, 메스꺼움, 인지 기능 저하 등의 불쾌한 증상들이 나타나는 현상으로, 아세트알데히드 축적, 탈수, 저혈당, 면역 체계 불균형 등 다양한 요인이 복합적으로 작용하여 발생하며, 개인의 요인에 따라 다르게 나타나 사회 경제적 손실을 초래하기도 한다.
  • 두통 - 편두통
    편두통은 신경혈관 질환으로, 심한 박동성 두통과 함께 메스꺼움, 광과민성 등을 동반하며, 유전적 요인과 환경적 요인이 복합적으로 작용하여 발병하는 것으로 추정된다.
  • 원인 불명의 질병 - 파킨슨병
    파킨슨병은 뇌의 흑질에서 도파민을 생성하는 신경세포 손실로 발생하는 신경퇴행성 질환으로, 진전, 서동증, 근육 강직, 자세 불안정과 같은 운동 증상과 신경정신 증상, 인지 장애, 자율신경계 장애와 같은 비운동 증상이 나타나며, 증상 관리를 위한 약물 치료, 심부 뇌 자극술, 재활 치료 등이 시행된다.
  • 원인 불명의 질병 - 섬유근육통
    섬유근육통은 중추신경계의 통증 신호 처리 이상으로 발생하는 만성 전신 통증 질환으로, 만성적인 전신 통증, 피로, 수면 장애가 주요 증상이며, 삶의 질 저하를 초래한다.
군발 두통
질병 개요
분야신경학
증상재발성, 심한 두통이 머리의 한쪽에 발생, 눈물, 코막힘1
발병 연령20세에서 40세 사이2
지속 시간15분에서 3시간2
유형삽화성, 만성2
합병증해당사항 없음
사망해당사항 없음
빈도평생 동안 약 0.1%3
원인 및 위험 요인
원인알 수 없음2
위험 요인담배 연기, 가족력2
진단 및 감별 진단
진단증상에 근거2
감별 진단편두통, 삼차 신경통, 기타 삼차 자율신경 두통4
예방 및 치료
예방베라파밀, 갈카네주맙, 경구 글루코코르티코이드, 스테로이드 주사, 시바미드5
치료산소 요법, 트립탄25
추가 정보
질병 데이터베이스2850
국제 질병 분류 (ICD-9), ,
온라인 멘델 유전형질 데이터베이스 (OMIM)해당사항 없음
메들라인플러스000786
이메디신 주제EMERG/229, NEURO/67
메시 (MeSH)D003027
기타
삼차 신경
삼차 신경
PET 스캔
PET 스캔에 의한, 군발 두통 발생 중에 활발해진 뇌 부분을 나타내는 그림.

2. 징후와 증상

군발 두통은 머리 한쪽, 특히 눈 주위에 극심한 통증이 주기적으로 나타나는 것이 특징이다.[92][8][9] 통증 발작은 보통 전조 없이 갑작스럽게 시작되며,[96][12] 15분에서 180분 정도 지속된다.[94][4] 통증의 강도는 매우 격렬하여 편두통 등 다른 두통과 비교할 수 없을 정도로 심하며,[98][15] 환자들은 타는 듯하거나 찌르는 듯한 고통을 호소한다.[98][15]

두통 발작 시에는 통증이 있는 쪽에 다양한 자율신경 증상이 동반되는 경우가 많다. 대표적인 증상으로는 결막 충혈, 눈물, 코막힘이나 비루(콧물), 눈꺼풀 부종, 이마나 얼굴의 발한 또는 홍조, 동공수축(축동), 안검하수 등이 있다.[108][26][83]

또한, 발작 중에는 가만히 있지 못하고 안절부절못하는 행동(예: 서성이거나 몸을 흔듦)을 보이는 경우가 흔하며,[38][83][92] 빛이나 소리에 민감해지는 광과민증이나 음과민증이 나타나기도 한다.[8][92] 메스꺼움은 드물지만 보고된 바 있다.[8][92] 극심한 통증과 반복되는 발작은 환자에게 신체적 피로뿐 아니라 불안, 우울, 사회적 위축 등 심리적인 어려움을 초래할 수 있다.[38][102][103][104][105]

군발 두통은 특정 기간에 발작이 집중적으로 발생하는 '군발기'와 증상이 없는 '관해기'가 반복되는 양상을 보인다. 군발기는 며칠에서 몇 달간 지속될 수 있으며, 하루에도 여러 차례(보통 1~8회) 발작이 나타날 수 있다.[94][108][4][26][83] 발작이 특정 시간대(특히 새벽)에 규칙적으로 나타나는 경우가 많아 "알람 시계 두통"이라고도 불리며,[106][23] 계절 변화와 관련성을 보이기도 한다.[106][23] 이러한 주기성은 신체의 생체 시계를 조절하는 시상하부와의 관련성을 시사한다.[106][107][23][24] 대부분은 증상이 없는 기간이 있는 삽화성 군발 두통이지만, 약 10~15%는 관해 기간 없이 두통이 지속되는 만성 군발 두통을 겪는다.[25][108][26]

2. 1. 통증

군발 두통은 극단적인 강도의 격렬한 일방적 두통 발작[92]이 반복되는 것이 특징이다.[93][8][9] 전형적인 군발 두통 발작의 지속 시간은 약 15분에서 180분 사이이며,[94][4] 치료받지 않은 발작의 약 75%는 60분 미만으로 지속된다.[95][10] 다만, 여성의 경우 남성보다 더 길고 심한 군발 두통을 겪을 수 있다는 보고가 있다.[11]

발작은 편두통과 달리 전조 없이 신속하게 시작되는 경우가 많다.[96][12] 일부 환자는 실제 발작이 시작되기 전에 해당 부위에 통증의 예비 감각을 느끼기도 하는데, 이를 "그림자(shadow)"라고 부른다. 이 증상은 발작이 끝난 후에도 지속될 수 있다.[96][12] 군발 두통은 엄격하게 한쪽에서만 나타나는 것이 일반적이지만, 드물게 군발 기간 사이에 통증의 위치가 반대쪽으로 바뀌는 "측면 이동(side-shift)" 현상이 나타나거나,[97][13] 매우 드물게는 양쪽에서 동시에 통증이 발생하는 경우도 보고되었다.[97][14]

통증은 주로 머리의 한쪽(일방성), 특히 눈 주위(안와), 눈 위(안와상), 관자놀이(측두) 또는 이 부위들의 조합으로 발생한다.[98][15] 통증의 강도는 심한 편두통을 포함한 다른 어떤 두통보다 훨씬 극심한 것으로 알려져 있다.[98][15] 환자들은 통증을 흔히 타는 듯한 느낌, 찌르는 듯한 느낌, 후벼 파는 듯한 느낌, 쥐어짜는 듯한 느낌 등으로 묘사하며, 주로 눈 근처나 눈 뒤쪽에 위치한다고 말한다.[98][15]

고통이 너무 극심하여 일부 환자들은 발작 중에 자살 충동을 느끼기도 한다.[99][100][38][16] 이 때문에 군발 두통은 "자살 두통(suicide headache)"이라는 별칭으로 불리기도 하며,[38][16] 의학계에서 알려진 가장 고통스러운 질환 중 하나로 여겨진다.[101][17][18]

피터 고즈비(Peter Goadsby) 런던 대학교 임상 신경학 교수는 군발 두통 연구의 선구자 중 한 명으로, 이 질환의 고통에 대해 "군발 두통은 아마도 인간이 겪는 최악의 고통일 것입니다. 다소 강한 발언일 수 있지만, 군발 두통 환자에게 이보다 더 심한 경험을 했는지 물어보면, 예외 없이 그렇지 않다고 대답할 것입니다. 군발 두통을 앓는 여성들은 발작이 출산보다 더 심하다고 말할 것입니다. 그러니 이런 사람들이 하루에 한두 번, 6주, 8주 또는 10주 동안 마취 없이 출산을 하고, 그 다음에 휴식을 취한다고 상상해 보세요. 정말 끔찍합니다."[19] 라고 언급했다.

진단상 중요한 임상 소견은 다음과 같다.[83]

  • 통증 강도: 일차성 두통 중 가장 극심한 통증을 보인다.
  • 통증 위치: 통증은 항상 머리의 정해진 한쪽 측면에서 나타난다.
  • 발작 빈도: 하루에 1회에서 8회까지 다양하게 발생한다.
  • 발작 지속 시간: 1회 발작은 15분에서 180분 동안 지속된다.
  • 군발기: 두통 발작이 반복되는 기간(군발기)은 1개월 미만에서 수개월까지 이어질 수 있다.
  • 군발기 주기: 군발기는 수년에 1회에서 1년에 수 회 나타난다(만성 군발 두통 제외).
  • 동반 증상: 발작 중 통증이 있는 쪽에서 결막 충혈, 눈물, 코막힘, 콧물, 눈꺼풀 부종, 이마 및 얼굴의 발한 또는 홍조, 귀가 먹먹한 느낌(이폐색감), 동공수축(축동), 안검하수 등이 나타날 수 있다.
  • 알코올 유발: 군발기 동안에는 알코올 음료를 마시면 두통 발작이 유발될 수 있으나, 증상이 없는 관해기(비군발기)에는 유발되지 않는다.
  • 행동 변화: 발작 중에는 안절부절못하거나 흥분한 모습을 보이는 경우가 많다.


진단상 참고가 되는 임상 소견은 다음과 같다.

  • 남성에게 더 흔하게 발생한다.
  • 여성의 경우 임신 중에는 두통 발작이 줄어드는 경향이 있다.
  • 20~40세 사이에 발병하는 경우가 많다. 일본의 보고에 따르면 평균 발병 연령은 남성 29~40세, 여성 24~40세이다.
  • 군발기에는 알코올 음료, 니트로글리세린, 히스타민 등에 의해 발작이 유발될 수 있다.
  • 환자 중에는 애주가나 흡연자가 많은 경향이 있다.

2. 2. 다른 증상

군발 두통 발작 중에는 편두통과 유사하게 빛에 대한 과민증(광과민증)이나 소리에 대한 과민증(음과민증)이 나타날 수 있다.[8][92] 메스꺼움은 드문 증상이지만 보고된 바 있다.[8][92]

또한, 환자는 발작 중에 가만히 있지 못하고 안절부절못하는 모습(예: 서성이거나 몸을 앞뒤로 흔드는 행동)을 보일 수 있다.[38][83][92]

두통 발작은 다음과 같은 2차적인 영향을 미칠 수도 있다:[38][102]

  • 사고나 계획을 정리하는 능력 저하
  • 신체적 피로감
  • 혼란스러움
  • 흥분 상태나 공격적인 모습
  • 우울증 및 불안


군발 두통 환자들은 또 다른 두통 발작이 올 것을 두려워하며, 이로 인해 일상적인 신체 활동이나 사회적 활동을 미리 조정하기도 한다.[38] 통증 때문에 평범한 일을 하는 데에도 다른 사람의 도움을 구하거나, 계획 세우기를 주저할 수 있다. 통증이 규칙적으로 올 때도, 혹은 예측 불가능하게 올 때도 마찬가지이다.[38] 이러한 요인들은 일반화된 불안 장애, 공황 장애[38][103], 심각한 우울 장애[20][104], 사회적 위축 및 고립으로 이어질 수 있다.[21][105]

최근에는 군발 두통이 폐쇄성 수면 무호흡증과 관련이 있다는 연구 결과도 있다.[22]

2. 3. 재발

군발 두통은 재발의 규칙성 때문에 때때로 "알람 시계 두통"이라고 불리기도 한다.[106] 군발 두통 발작은 종종 수면 중인 사람을 깨우며, 개별 발작과 군발기(두통이 집중적으로 발생하는 기간) 모두 규칙적인 양상을 보일 수 있다. 발작은 매일 아침이나 밤의 특정 시간에 발생하는 경향이 있다.[106][23] 이러한 규칙성과 계절적 발생 경향(예: 동지춘분 전후[106][23]) 때문에 연구자들은 신체의 "생체 시계"와 일주기 리듬을 조절하는 시상하부의 기능 이상이나 관련성을 추측하고 있다.[106][107][23][24] 반면, 발작 빈도가 예측 불가능하고 주기성이 전혀 없는 경우도 있다.[106][23]

군발 두통은 재발 양상에 따라 크게 삽화성(Episodic)과 만성(Chronic)으로 나뉜다.

  • 삽화성 군발 두통: 국제 두통 학회(IHS) 진단 기준에 따르면, 두통 발작 사이에 1개월 이상 통증이 없는 관해 기간을 가지며, 7일에서 1년(365일)까지 지속되는 군발기가 두 번 이상 나타나는 경우 삽화성으로 분류된다.[108][26] 삽화성 군발 두통 환자는 며칠에서 몇 주 동안 매일 한 번 이상, 종종 같은 시간에 발작을 경험한 후, 몇 주, 몇 달, 또는 몇 년 동안 두통이 없는 기간을 보낸다.[25]
  • 만성 군발 두통: IHS 기준에 따르면, 두통 발작이 최소 1개월[108] 또는 3개월[26]의 통증 없는 관해 기간 없이 1년 이상 지속되는 경우 만성으로 분류된다. 만성 군발 두통은 군발기 사이에 뚜렷한 완화 기간 없이 발생하고 재발한다.[27] 군발 두통 환자의 약 10~15%가 만성 형태를 겪으며, 때로는 완화 없이 매일 여러 차례 두통이 수년간 지속되기도 한다.[25]


만성 군발 두통의 경우에도 주기에 변동이 있을 수 있어, 일정 기간 동안 발작의 빈도와 심각도가 예측 불가능하게 변할 수 있다. 환자가 경험하는 두통 발작의 빈도, 심각성, 지속 시간은 개인마다 다르며, 삽화성 형태처럼 완전한 관해를 보이지는 않는다. 상태는 만성에서 삽화성으로, 또는 삽화성에서 만성으로 예측할 수 없이 변하기도 한다.[109][27]

다음은 군발 두통의 재발과 관련된 진단상 중요한 임상 소견이다.[83]

; 두통 발작 빈도 : 1일 1회에서 8회까지 다양하다.

; 군발기 : 두통 발작을 반복하는 기간으로, 1개월 미만에서 수개월까지 지속될 수 있다.

; 군발기 빈도 : 수년에 1회에서 1년에 수 회 나타난다 (만성 군발 두통 제외).

; 군발기 유발 요인 : 군발기 중에는 음주, 니트로글리세린, 히스타민 등이 두통을 유발할 수 있지만, 관해기(비군발기)에는 유발되지 않는다.

3. 원인

군발 두통의 구체적인 원인과 발병 기전은 아직 완전히 밝혀지지 않았다.[3] 국제 두통 학회(IHS)의 국제 두통 질환 분류 제3판에서는 군발 두통을 삼차 신경 자율 두통에 속하는 것으로 분류한다.[28]

일부 전문가들은 뒤쪽 시상 하부가 군발 두통의 발병 기전에 중요하다고 본다. 이는 뒤쪽 시상 하부의 회백질에 대한 뇌 심부 자극술 치료의 비교적 높은 성공률로 뒷받침된다.[3] 군발 두통의 발병에는 신경계, 유전적 요인, 시상하부의 기능 이상 등 다양한 요인이 복합적으로 작용하는 것으로 추정되며, 이에 대한 연구가 진행 중이다.

3. 1. 신경

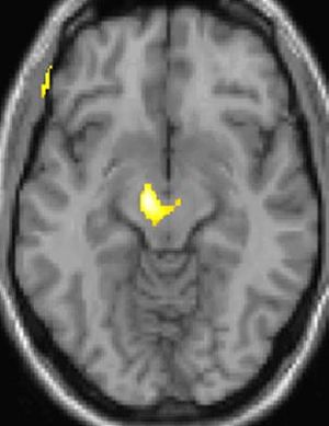
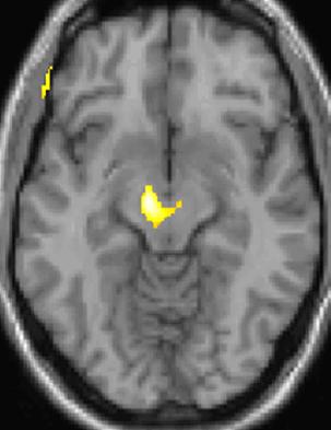
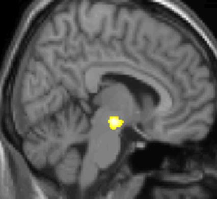
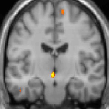
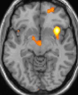
양전자 방출 단층 촬영술(PET) 이미지 1: 통증 중 활성화되는 뇌 영역


양전자 방출 단층 촬영술(PET) 이미지 2: 통증 중 활성화되는 뇌 영역


양전자 방출 단층 촬영술(PET) 이미지 3: 통증 중 활성화되는 뇌 영역


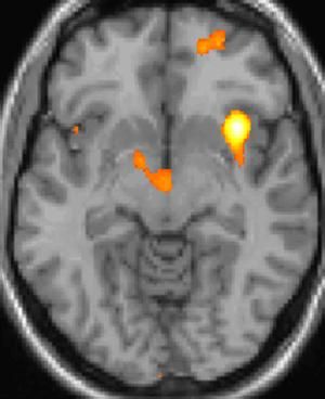
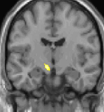
복셀 기반 형태 계측법 이미지 1: 뇌 영역의 구조적 차이


복셀 기반 형태 계측법 이미지 2: 뇌 영역의 구조적 차이


복셀 기반 형태 계측법 이미지 3: 뇌 영역의 구조적 차이


군발 두통의 구체적인 원인과 발병 기전은 아직 완전히 밝혀지지 않았다.[3] 국제 두통 질환 분류 제3판에서는 군발 두통을 삼차 신경 자율 두통으로 분류한다.[28]

일부 전문가들은 뒤쪽 시상 하부가 군발 두통 발병에 중요한 역할을 한다고 본다. 뒤쪽 시상 하부의 회백질에 대한 뇌 심부 자극술 치료 성공률이 비교적 높다는 점이 이를 뒷받침한다.[3]

미주신경(뇌신경 X)과 대후두신경에 작용하는 치료법이 군발 두통 관리에 효과를 보였지만, 이 신경들의 구체적인 역할은 아직 명확하지 않다.[3] 삼차 신경과 안면 신경 역시 군발 두통에서 중요한 역할을 하는 것으로 여겨진다.[29]

3. 2. 유전

군발 두통은 일부 가족에게서 상염색체 우성 유전 패턴으로 나타날 수 있다.[30][31] 이 질환을 앓는 가까운 친척이 있는 사람은 그렇지 않은 사람보다 군발 두통에 걸릴 확률이 약 14배에서 48배 더 높으며,[2] 군발 두통 환자 중 약 8%에서 10%는 가족력이 있는 것으로 알려져 있다.[30][32] 여러 연구에서 여성 환자의 친척 중에서 군발 두통 환자가 더 많이 발견된다는 결과가 나왔지만,[32] 다른 연구에서는 이것이 연구에 참여한 여성의 수가 적기 때문일 수 있다고 지적하기도 했다.[32] 군발 두통의 유전적 요인에 대해서는 추가적인 연구가 필요하며, 현재까지 유전적 원인에 대한 증거는 제한적이다.[31]

군발 두통 발병에 관여하는 것으로 추정되는 유전자로는 하이포크레틴/오렉신 수용체 2형(HCRTR2), 알코올 탈수소 효소 4(ADH4), G 단백질 베타 3(GNB3), 뇌하수체 아데닐산 시클라제 활성화 폴리펩타이드 I형 수용체(ADCYAP1R1), 막 금속 단백질 분해 효소(MME) 유전자 등이 있다.[30]

3. 3. 시상하부

군발 두통은 발작이 매우 규칙적으로 나타나는 경향이 있어 "자명종 두통"이라고도 불린다. 특정 시간, 특히 밤에 잠에서 깰 정도로 정확한 시간에 발작이 시작될 수 있으며, 이러한 군집 기간 자체도 봄이나 가을의 춘분 무렵에 더 자주 발생하는 등 계절성을 보이기도 한다. 이러한 일정한 주기성은 연구자들이 군발 두통의 원인으로 인체의 "생물학적 시계" 역할을 하는 시상하부의 기능 이상을 주목하게 만들었다.[106][107] 시상하부는 활동일 주기를 조절하는 중요한 뇌 영역이다.

실제로 양전자 방출 단층 촬영술(PET) 스캔 연구 결과, 군발 두통 발작 중에 통증이 없을 때와 비교하여 시상하부의 특정 영역이 활성화되는 것이 관찰되었다. 또한, 복셀 기반 형태 계측법(VBM)을 이용한 연구에서는 군발 두통 환자와 그렇지 않은 사람 사이에 뇌 구조를 비교했을 때, 시상하부의 일부 영역에서 구조적인 차이가 발견되기도 했다.[35] 이러한 영상 연구 결과는 시상하부가 군발 두통의 발생과 관련이 깊다는 가설을 뒷받침한다.

일부 전문가들은 특히 후부 시상하부의 회백질이 군발 두통 발병 기전에 중요한 역할을 할 것으로 보고 있으며, 이 부위에 대한 뇌 심부 자극술 치료가 비교적 높은 성공률을 보이는 것이 이를 뒷받침하는 근거로 제시된다.[3] 또한, 군발 두통의 일중 및 계절적 리듬을 고려할 때, 인체의 주요 생체 시계인 시교차상핵이 시상하부와 함께 관여할 수 있다는 연구 결과도 있다.[34]

군발 두통의 정확한 원인과 발병 과정은 아직 완전히 밝혀지지 않았지만[3], 국제 두통 학회(IHS)의 분류에 따르면 삼차 신경 자율 두통의 하나로 분류된다.[28] 군발 두통은 크게 두 가지 형태로 나뉜다. '일시성 군발 두통'은 7일에서 1년까지 지속되는 군발 기간 사이에 최소 1개월 이상의 통증 없는 완화 기간이 있는 경우를 말한다. 반면, '만성 군발 두통'은 1년 이상 통증 없는 완화 기간이 1개월 미만이거나 전혀 없이 발작이 지속되는 경우를 의미한다.[108] 만성 형태는 군발 두통 환자의 약 10-15%를 차지하며, 때로는 완화 기간 없이 수년간 매일 여러 차례 두통을 겪기도 한다. 이러한 상태는 예측 불가능하게 일시성에서 만성으로, 또는 만성에서 일시성으로 변하기도 한다.[109]

3. 4. 흡연

군발 두통 환자의 약 65%가 현재 흡연을 하거나 과거에 흡연 경험이 있는 것으로 알려져 있다.[2] 하지만 흡연을 중단한다고 해서 군발 두통 증상이 반드시 호전되는 것은 아니며, 담배를 전혀 피우지 않은 사람에게도 군발 두통이 발생할 수 있다.[2] 이러한 이유로 흡연이 군발 두통의 직접적인 원인일 가능성은 낮다고 여겨진다.[2] 다만, 군발 두통 환자들이 흡연을 포함한 특정 생활 습관을 가질 경향이 있다는 보고가 있으며,[33] 진단 시 참고 사항으로 군발 두통 환자 중에는 술을 즐겨 마시거나 담배를 많이 피우는 사람이 많은 경향이 있다.

4. 진단

군발 두통 진단은 유사한 증상을 보이는 이차성 두통과의 감별이 중요하며,[26] 확진 검사가 없어 환자의 상세한 병력 청취와 두통 일지 등이 진단에 활용된다.[36] 그러나 군발 두통은 드물고 증상이 다른 질환과 혼동되기 쉬워 진단이 어려운 경우가 많다.[10] 이로 인해 많은 환자들이 정확한 진단을 받기까지 평균 7년이 소요되는 등[41] 심각한 진단 지연을 겪는다.[39] 진단 지연의 주요 원인으로는 의료 전문가의 인식 부족과 함께, 목, 치아, 턱, 부비동 문제 등으로 오진되어 불필요한 검사나 치료를 받는 경우가 많기 때문이다.[40] 군발 두통 발작 자체는 생명을 위협하지 않지만, 극심한 통증으로 인해 자살 생각이 보고되기도 한다.[38]

4. 1. 감별 진단

군발 두통과 유사한 증상을 보이는 두통은 군발 두통이 아닌 이차성 두통일 수 있으므로 감별 진단이 중요하다.[26] 군발 두통에 대한 확진 검사가 없기 때문에, 환자의 상세한 병력 청취가 정확한 감별 진단에 중요한 역할을 한다. 통증의 발생 시점과 위치, 강도, 지속 시간 등을 기록하는 두통 일지가 유용할 수 있다. 환자가 통증에 대처한 방식에 대한 기록 역시 두통 유형을 구별하는 데 도움이 되며, 발작의 빈도, 심각도, 지속 시간에 대한 데이터는 정확한 초기 진단을 위한 필수적인 도구이다.[36]

그러나 군발 두통은 드문 질환이고, 첫 발작이 나타났을 때 환자가 찾은 의료진이 해당 질환에 대한 경험이 부족할 수 있어 정확한 진단이 어려울 수 있다.[10] 경험이 풍부한 응급실 의료진은 때때로 두통 유형을 감별하도록 훈련받기도 한다.[37] 군발 두통 발작 자체는 생명을 직접 위협하지 않지만, 심한 통증으로 인해 자살 생각이 보고된 바 있다.[38]

군발 두통 환자들은 정확한 진단을 받기까지 상당한 진단 지연을 겪는 경우가 많다.[39] 목, 치아, 턱, 부비동 등의 증상을 호소하여 오진을 받기 쉬우며, 이로 인해 불필요하게 수년간 이비인후과에서 부비동 검사를 받거나, 치과 의사에게 치아 평가를 받고, 카이로프랙터나 수기 치료사에게 치료를 받거나, 정신과 의사, 심리학자 등 다른 분야의 진료를 전전하는 경우가 발생한다.[40] 유럽미국의 연구에 따르면, 의료 전문가들의 군발 두통에 대한 인식 부족으로 인해 진단까지 평균 7년이 소요되는 것으로 나타났다.[41]

군발 두통은 편두통이나 부비동염으로 오진되기도 한다.[41] 다른 유형의 두통이 군발 두통으로 잘못 진단되거나, 증상이 군발 두통과 매우 유사할 수도 있다. "군발 편두통"과 같은 잘못된 용어는 두통 유형 간의 혼동을 야기하고 감별 진단을 어렵게 만들어, 결국 적절한 전문 치료를 지연시키는 원인이 된다.[42]

군발 두통과 혼동될 수 있는 다른 유형의 두통은 다음과 같다.

두통 유형주요 특징비고
만성 발작성 반두통일측성 두통. 군발 두통과 달리 남성 우세 현상이 뚜렷하지 않음. 발작성 반두통 역시 간헐적일 수 있으나, 통증 발작 기간이 군발 두통보다 짧은 경향.항염증제인도메타신 치료에 "절대적으로" 반응하는 특징이 있어, 인도메타신 반응 여부가 군발 두통과의 감별에 중요한 진단 도구가 됨 (군발 두통은 대부분 인도메타신에 반응하지 않음).[26][43][44]
지속성 반두통[45]
결막 충혈 및 눈물 동반 단기 일측 신경통성 두통(SUNCT)삼차 자율신경 두통(TAC) 그룹에 속하는 두통 증후군.[26][46]
삼차 신경통일측성 두통 증후군. 때때로 "군발성" 양상을 보일 수 있음.[40][47]


5. 치료

군발 두통의 치료는 크게 급성기 치료, 과도기 치료, 예방 치료의 세 가지 주요 범주로 나뉜다.[48] 군발 두통은 발작이 연일 지속되는 경우가 많아, 급성기 치료 약물인 트립탄을 자주 사용하면 효과가 떨어질 수 있으므로 예방 치료의 중요성이 매우 크다.[8] 예방 치료는 군발 두통 발작의 빈도와 강도를 줄이거나 없애는 것을 목표로 하며, 일반적으로 급성기 및 과도기 치료와 함께 사용된다.[8] 또한, 군발 두통은 치료 약물에 대한 플라세보 효과가 잘 나타나지 않는 것으로 알려져 있다.[8]

급성 군발 두통의 주요 치료법은 산소트립탄이지만,[4] 이 증후군이 다른 질환으로 오진되는 경우가 많아 제대로 사용되지 못하는 경우도 있다.[8] 두통 발작 시에는 알코올, 니트로글리세린, 낮잠과 같은 유발 요인을 피하는 것이 좋다.[10]

영국 국립 보건 임상 연구원(NICE)의 가이드라인에서는 돌발성 군발 두통에 대해 아세트아미노펜, NSAIDs, 오피오이드, 에르고타민, 경구 트립탄은 처방해서는 안 된다고 명시하고 있다.

5. 1. 급성기 치료

군발 두통의 급성 발작을 멈추기 위한 치료는 매우 중요하다. 예방약의 효과가 높지만, 두통이 연일 계속될 경우 트립탄과 같은 약물을 자주 사용하게 되어 효과가 떨어질 수 있기 때문이다. 또한, 군발 두통은 플러시보 효과가 잘 나타나지 않는 것으로 알려져 있다.

급성 군발 두통 발작 시에는 주요 유발 요인인 알코올, 니트로글리세린, 낮잠 등을 피해야 한다.[10]

급성기 치료의 주요 방법은 산소 요법과 트립탄 계열 약물이다.[4] 하지만 군발 두통이 다른 질환으로 오진되는 경우가 많아 이러한 치료법이 제대로 활용되지 못하는 경우가 있다.[8]

=== 산소 요법 ===

산소 요법은 발작을 멈추는 데 효과적일 수 있지만, 향후 발작을 예방하지는 못한다.[4] 일반적으로 비재호흡 마스크를 통해 분당 12~15리터의 속도로 100% 산소를 15~20분간 흡입하는 방식으로 이루어진다.[4][86] 일부에서는 분당 7~8리터로 15분 정도 흡입해도 효과가 나오는 경우가 많다고 한다. 한 연구에 따르면 환자의 약 70%가 15분 이내에 증상이 호전되었다.[10] 그러나 100% 산소 흡입의 효과에 대한 증거는 아직 부족하다는 의견도 있다.[10][58] 가정 산소 요법으로 실시하는 것도 가능하지만, 고농도 산소라는 점에 주의해야 한다.[86] 대기압의 약 2배 압력에서 시행하는 고압 산소 요법 역시 군발 두통 완화에 도움이 될 수 있다.[58]

=== 약물 치료 ===

==== 트립탄 제제 ====

급성 발작에 권장되는 또 다른 주요 치료법은 트립탄 계열 약물, 특히 수마트립탄이다.[49][59] 두통이 시작될 때 가능한 한 빨리 투여해야 효과적이며, 피하 주사 형태가 가장 효과가 빠르다.[83] 수마트립탄 피하 주사는 투여 후 약 10분 만에 효과가 나타날 수 있다.[83] 비강 분무 형태의 수마트립탄이나 졸미트립탄도 증상 개선에 효과가 있으며, 특히 발작의 징조가 있을 때 투여하면 효과적인 경우가 있다. 연구에 따르면 수마트립탄이 졸미트립탄보다 더 우수한 효과를 보였다.[60] 그러나 트립탄 제제는 혈관을 수축시키는 부작용이 있어 허혈성 심장 질환 환자에게는 사용이 금기될 수 있다.[4]

==== 기타 약물 ====

  • '''에르고타민''': 맥각 화합물인 에르고타민도 혈관 수축 작용을 통해 도움이 될 수 있지만,[10] 급성 발작에 대한 효과 연구는 충분하지 않다.[60]
  • '''리도카인''': 비강 내 리도카인 분무(통증이 있는 쪽 코에 뿌림)는 일반적인 치료에 반응하지 않는 환자에게 효과적인 대안이 될 수 있다.[11]
  • '''옥트레오티드''': 피하 주사하는 옥트레오티드는 위약보다 급성 발작 치료에 더 효과적인 것으로 나타났다.[65]
  • '''스테로이드 주사''': 후두 아래쪽(후두하)에 스테로이드를 주사하는 것도 효과를 보였으며, 장기적인 예방 요법을 시작할 때 일시적인 통증 완화를 위한 전환 치료로 권장된다.[66]


==== 권장되지 않는 치료법 ====

영국 국립 보건 임상 연구원(NICE) 가이드라인에서는 돌발성 군발 두통에 대해, 아세트아미노펜·NSAIDs·오피오이드·에르고타민·경구 트리탄은 처방해서는 안 된다고 하고 있다. 특히 오피오이드 약물은 군발 두통 관리에 권장되지 않으며[64] 두통 증상을 악화시킬 수 있다.[61][62] 장기간의 오피오이드 사용은 잘 알려진 의존성, 중독, 금단 증후군과 관련이 있다.[63] 오피오이드 약물의 처방은 추가적으로 감별 진단의 지연, 과소 치료 및 부적절한 관리로 이어질 수 있다.[64]

5. 2. 예방 치료

군발 두통의 관리는 급성기 치료, 과도기 치료, 예방 치료의 세 가지 주요 범주로 나뉜다.[48] 예방 치료는 군발 두통 발작의 빈도와 강도를 줄이거나 없애는 것을 목표로 하며, 일반적으로 급성기 및 과도기 치료와 함께 사용된다.[8] 군발 두통은 발작이 연일 지속되는 경우가 많아 트립탄 계열의 급성기 치료 약물을 자주 사용하면 효과가 떨어질 수 있으므로, 예방 치료의 중요성이 특히 크다. 또한, 군발 두통은 치료 약물에 대한 플라세보 효과가 잘 나타나지 않는 것으로 알려져 있다.[8] 일주기 리듬의 교정도 고려될 수 있다.[84]

예방 치료에 사용되는 주요 약물은 다음과 같다.

약물종류일반적 용량비고
베라파밀칼슘 채널 차단제160~720mg/일 (평균 240mg/일)[50]1차 권고 약물.[4][49] 효과 발현까지 삽화성 평균 1.7주, 만성 평균 5주 소요.[50] 생체 리듬 및 CGRP 방출 조절 통해 효과 추정.[50] 과거 사용 빈도 낮았음.[8]
스테로이드 (글루코코르티코이드)스테로이드프레드니손 60~80mg/일 시작 후 감량[51] 또는 PSL 60~100mg/일 5일 투여 후 감량[85]다른 약물 효과 발현까지 단기적(약 3일)으로 효과적.[4] 만성 환자의 발작 주기 차단 목적 사용.[51] 일반적으로 8~10일 사용 후 중단.[8] 장기 효과 증거 부족.[4] 필수 약물은 아님.[85]
리튬기분 안정제탄산 리튬 600~900mg/일[85]권장되는 대체 치료법.[49][55]
메티세르지드에르고타민 유도체권장되는 대체 치료법[49][55]이나, 사용을 뒷받침하는 증거는 부족.[4][56]
토피라메이트항경련제75mg/일[85]권장되는 대체 치료법[49][55]이나, 사용을 뒷받침하는 증거는 부족.[4][56]
발프로산항경련제400~600mg/일[85]일부 자료에서는 일반 예방약으로 언급되나,[85] 다른 자료에서는 예방 조치로 권장되지 않음.[4]
보툴리눔 독소신경독소일부에서 예방약으로 언급되나, 제한적인 성공을 보였으며[57] 증거는 불분명.[56]



그 외 티아넵틴, 멜라토닌, 에르고타민 등은 예방 효과에 대한 증거가 부족하며,[4] 수마트립탄과 산소는 예방 목적으로 권장되지 않는다.[4] 바클로펜, 캡사이신에 대한 증거도 불분명하다.[56]

임상 현장에서는 통증 치료약과 예방약을 조합하여 치료하는 경우가 많다.[85] 영국 국립 보건 임상 연구소(NICE)의 가이드라인에서는 예방 치료로 베라파밀을 우선 권고하며, 효과가 없을 경우 전문가의 도움을 받도록 하고 있다.

5. 3. 수술

약물 치료로 호전되지 않는 소수의 환자에게는 신경 자극기가 선택지가 될 수 있다.[52][53] 심부 뇌 자극술 또는 후두 신경 자극술 두 가지 시술이 유용할 수 있으며,[4] 초기 경험에 따르면 약 60%의 사례에서 효과가 나타난다.[54] 일반적으로 이러한 효과가 나타나기까지는 몇 주 또는 몇 달이 걸린다.[53] 경피 전기 신경 자극 (TENS)을 사용하는 비침습적 방법도 연구되고 있다.[53]

신경근 절제술 또는 미세 혈관 감압술과 같은 여러 외과적 수술도 고려할 수 있지만,[53] 이를 뒷받침하는 증거는 제한적이며, 이러한 시술 후에 증상이 악화된 사례도 있다.[53]

6. 연구 동향

하버드 대학교 연구자인 존 헐펀은 군발 두통 치료에 대한 연구를 진행하고 있다. 2006년, 군발 두통 환자들을 대상으로 한 면담 조사에서 실로시빈 사용자 19명 중 18명과 LSD 사용자 5명 중 4명이 증상이 나타나지 않는 관해 기간이 연장되었다고 보고하여, 이들 물질에 대한 추가 연구의 필요성이 제기되었다.[87][110] 예를 들어, 한 남성은 버섯(실로시빈 함유) 사용 후 3년 동안 두통이 발생하지 않았다고 보고했다.[88] 그러나 이 조사는 연구 대상자들의 기억에 의존하고 특정 사용자만 선택되었을 가능성이 있는 등 연구 설계상의 한계점을 가지고 있다.[75]

일부 증례 보고에 따르면 실로시빈, LSD, 또는 DMT와 같은 트립타민 계열 약물 섭취가 발작을 중단시키고 군발 두통 주기를 멈출 수 있다는 가능성이 제시되었다.[75][76] 특히 환각 작용을 일으키는 DMT는 편두통 치료에 사용되는 수마트립탄과 화학 구조가 유사하여, 군발 두통 치료에도 비슷한 원리로 작용할 수 있다는 추측이 있다.[51] 현재 실로시빈의 안전성과 효능에 대한 연구가 진행 중이며, 한 무작위 대조 시험의 연장 연구에서는 실로시빈을 3회 투여한 후 군발 두통 발작 부담이 감소하는 긍정적인 결과가 관찰되었다.[77][78][79]

2010년, 존 헐펀 연구팀은 환각 작용은 없지만 화학 구조가 유사한 2-Bromo-LSD(BOL-148)를 이용한 사례 연구를 진행했다.[111][89] 이 연구에서는 30년 동안 일주일에 40번의 발작을 겪던 환자가 약물 투여 후 발작 횟수가 주 0회로 줄어드는 등 주목할 만한 개선 효과가 보고되었다.[112][90] 이러한 연구들은 과학 잡지나 내셔널 지오그래픽 채널 등에서도 소개되었지만, 대형 제약 회사들의 큰 관심을 받지는 못했다. 이에 존 헐펀은 entheogen이라는 회사를 설립하여 2-Bromo-LSD의 공식적인 승인을 받기 위한 연구 자금을 직접 모으고 있다.[113][91]

한편, 칼시토닌 유전자 관련 펩타이드(CGRP)를 표적으로 하는 인간화 단일클론 항체 약물인 프레마네주맙은 군발 두통 치료 효과를 확인하기 위한 3상 임상 시험이 진행되었으나, 성공 가능성이 낮다는 중간 분석 결과에 따라 조기에 중단되었다.[80][81]

7. 역학

군발 두통은 평생 동안 일반 인구의 약 0.1%에게 영향을 미치는 것으로 추정된다.[7] 남성이 여성보다 약 4배 더 자주 영향을 받는 경향이 있다.[7] 이 질환은 대개 20세에서 50세 사이에 시작되지만, 모든 연령대에서 발생할 가능성이 있다.[2] 성인 환자 5명 중 약 1명은 10세에서 19세 사이의 청소년기에 군발 두통을 처음 경험했다고 보고한다.[67]

8. 역사

군발 두통에 대한 최초의 완전한 설명은 1926년 런던의 신경과 의사인 윌프레드 해리스에 의해 이루어졌으며, 그는 이 질환을 "편두통 신경통"이라고 명명했다.[68][69][70] 군발 두통에 대한 묘사는 1745년까지 거슬러 올라가며, 그 이전에도 있었을 것으로 추정된다.[71]

이 질환은 원래 미국 신경과 의사인 베야드 테일러 호튼의 이름을 따서 호튼 두통으로 명명되었으며, 그는 이 질환의 발병 기전에 대한 최초의 이론을 제시했다. 그의 최초 논문은 두통의 심각성에 대해, 정상적인 남성들이 자살을 시도하거나 자살에 이르도록 할 수 있다고 묘사했다. 그의 1939년 논문에서는 다음과 같이 언급했다.

: "우리 환자들은 이 질환으로 인해 고통받았으며, 일주일에 두 번에서 스무 번까지 발작적인 통증을 겪었다. 그들은 일반적인 치료 방법으로는 아무런 완화도 찾지 못했다. 그들의 통증은 너무 심해서 자살을 시도할까 봐 지속적으로 감시해야 했다. 그들 대부분은 통증을 완화할 수 있는 수술이라면 어떤 것이든 기꺼이 받으려고 했다."[72]

군발 두통(CH)은 또한 빙의 적안통, 섬모 신경통, 두부 홍색통, 호튼 두통, 히스타민성 두통, 암석 신경통, 접형구개 신경통, 비디안 신경통, 슬러더 신경통, 슬러더 증후군, 그리고 반두통 혈관마비증으로 불리기도 했다.[73]

9. 사회와 문화

신경학 교수 로버트 샤피로(Robert Shapiro)는 군발 두통이 다발성 경화증과 비슷한 수준의 장애를 유발하며 발병 빈도도 유사하지만, 연구 지원 규모에서는 큰 차이가 있다고 지적한다.[8] 2013년 기준으로 미국 국립 보건원(NIH)은 10년간 다발성 경화증 연구에 18.72억달러를 지원한 반면, 군발 두통 연구에는 25년간 200만달러 미만을 지원하는 데 그쳤다.[8] 이는 군발 두통에 대한 사회적 인식과 관심이 상대적으로 부족함을 보여주는 사례로 여겨진다.

9. 1. 속설

북미 원주민과 스칸디나비아 일부 지역에서는, 일정 주기마다 눈물을 동반하는 강렬한 두통을 나타내는 사람을 악마가 씌었다고 여겨 퇴마 의식을 행하거나 처형하기도 했다. 오늘날에는 이것이 군발 두통 증상이었을 가능성이 제기된다.

중국 후베이성 일부 지역에는 군발 두통으로 보이는 증상을 나타내는 사람이 유독 많이 사는 곳이 존재한다. 왜 해당 지역에서 이러한 증상이 다른 곳보다 많이 나타나는지에 대한 의학적 근거는 아직 불명확하다. 이 지역에서도 과거에는 이러한 증상을 악마에 씌었거나 빙의된 것으로 생각했다. 또한, 그 지역의 속설에 따르면 증상을 겪는 사람 대부분이 키가 크고 머리가 좋은 젊은 남성이었으며, 성적 매력이 넘치는 경우가 많아 성병의 일종으로 오인되기도 했다.

참조

[1] 논문 Headache. 2017-09-20
[2] 논문 Cluster headache
[3] 서적 Harrison's Principles of Internal Medicine McGraw Hill
[4] 논문 Cluster headache http://www.aafp.org/[...] 2017-07-24
[5] 논문 Treatment of Cluster Headache: The American Headache Society Evidence-Based Guidelines
[6] 논문 Cluster Headache Clinical Features and Therapeutic Options
[7] 논문 The Incidence and Prevalence of Cluster Headache: A Meta-Analysis of Population-Based Studies
[8] Review Management of cluster headache http://www.aafp.org/[...] 2005-02
[9] 논문 Diagnosis and Treatment of Cluster Headache
[10] 논문 Diagnosis and Management of the Primary Headache Disorders in the Emergency Department Setting
[11] 논문 Migraine and cluster headache - the common link. 2018
[12] 논문 Interictal pain in cluster headache
[13] 논문 Lateralization in cluster headache: A Nordic multicenter study
[14] 논문 Cluster headache: A prospective clinical study with diagnostic implications
[15] 서적 Head, Face, and Neck Pain Science, Evaluation, and Management: An Interdisciplinary Approach https://books.google[...] John Wiley & Sons 2011-09-20
[16] 서적 The 5-Minute Sports Medicine Consult https://books.google[...] Lippincott Williams & Wilkins 2012
[17] 논문 Cluster Headache
[18] 논문 Cluster headache: Focus on emerging therapies
[19] 웹사이트 Cluster Headaches https://www.abc.net.[...] Australian Broadcasting Corporation
[20] 논문 Cluster headache is associated with an increased risk of depression: A nationwide population-based cohort study
[21] 논문 Burden of Cluster Headache
[22] 논문 Right-to-left shunt and obstructive sleep apnea in cluster headache https://www.sciencex[...] 2021-01-22
[23] 논문 Cluster Headache: Evidence for a Disorder of Circadian Rhythm and Hypothalamic Function
[24] 논문 Clinical, Anatomical, and Physiologic Relationship Between Sleep and Headache
[25] 웹사이트 Cluster headaches:Pattern of attacks https://www.nhs.uk/c[...] Gov.UK 2018-12-13
[26] 웹사이트 IHS Classification ICHD-3 3.1.2 Cluster headache https://ichd-3.org/3[...] The International Headache Society 2024-02-08
[27] 논문 What predicts evolution from episodic to chronic cluster headache?
[28] 논문 The International Classification of Headache Disorders, 3rd edition (beta version) https://www.zora.uzh[...] 2019-08-16
[29] 논문 Cluster headache: insights from resting-state functional magnetic resonance imaging 2019
[30] 논문 Family History of Cluster HeadacheA Systematic Review 2020
[31] 논문 Genetics of cluster headache: An update
[32] 논문 Prevalence of familial cluster headache: a systematic review and meta-analysis 2020-04-25
[33] 논문 Cluster headache and lifestyle habits
[34] 논문 Cluster headache: evidence for a disorder of circadian rhythm and hypothalamic function 2002-02
[35] 논문 Cluster headache: A review of neuroimaging findings
[36] 웹사이트 Headache diary: helping you manage your headache http://www.nps.org.a[...] NPS.org.au 2014-01-02
[37] 논문 Ability of a nurse specialist to diagnose simple headache disorders compared with consultant neurologists
[38] 논문 The Psychiatric Comorbidities of Cluster Headache
[39] 논문 Diagnostic delays and mis-management in cluster headache
[40] 논문 Diagnostic and therapeutic trajectory of cluster headache patients in Flanders
[41] 논문 Management of Cluster Headache
[42] 논문 The Misdiagnosis of Cluster Headache: A Nonclinic, Population-Based, Internet Survey
[43] 논문 Cluster headache responsive to indomethacin: Case reports and a critical review of the literature
[44] 논문 Indomethacin responsive headache syndromes: Chronic paroxysmal hemicrania and Hemicrania continua. How they were discovered and what we have learned since
[45] 논문 Cluster headache responsive to indomethacin: Case reports and a critical review of the literature 2010
[46] 논문 Headache 2017-09
[47] 논문 Trigeminal autonomic cephalgias
[48] 서적 Essentials of palliative care https://books.google[...] Springer 2012-11-28
[49] 논문 EFNS guidelines on the treatment of cluster headache and other trigeminal-autonomic cephalalgias
[50] 논문 Verapamil and Cluster Headache: Still a Mystery. A Narrative Review of Efficacy, Mechanisms and Perspectives 2019
[51] 서적 What you need to know about headaches https://www.abc-clio[...] Greenwood 2022-09-19
[52] 서적 Peripheral Nerve Stimulation
[53] 논문 Neuromodulation of chronic headaches: Position statement from the European Headache Federation
[54] 논문 Neurostimulation approaches to primary headache disorders
[55] 논문 Pharmacotherapy of cluster headache
[56] 논문 Cluster headache 2010-02-09
[57] 논문 The role of nerve blocks and botulinum toxin injections in the management of cluster headaches
[58] 서적 Cochrane Database of Systematic Reviews
[59] 웹사이트 Cluster headache https://www.nlm.nih.[...] MedlinePlus Medical Encyclopedia 2012-11-02
[60] 서적 Cochrane Database of Systematic Reviews
[61] 논문 Medication-overuse headache and opioid-induced hyperalgesia: A review of mechanisms, a neuroimmune hypothesis and a novel approach to treatment
[62] 논문 The "Toll" of Opioid-Induced Glial Activation: Improving the Clinical Efficacy of Opioids by Targeting Glia
[63] 논문 Medication Overuse Headache: History, Features, Prevention and Management Strategies
[64] 논문 Medication-overuse headache in patients with cluster headache
[65] 논문 Cluster headache
[66] 논문 Cluster Headache: Rapid Evidence Review https://www.aafp.org[...] 2022-10-30
[67] 서적 Headache in Children and Adolescents: A Case-Based Approach https://books.google[...] Springer International Publishing Switzerland 2016
[68] 서적 Neuritis and Neuralgia Oxford University Press
[69] 논문 The periodic migrainous neuralgia of Wilfred Harris
[70] 논문 Wilfred Harris' Early Description of Cluster Headache
[71] 논문 Gerardi van Swieten: Descriptions of episodic cluster headache
[72] 논문 A new syndrome of vascular headache: results of treatment with histamine: preliminary report
[73] 서적 Headache in Clinical Practice Taylor & Francis
[74] 뉴스 Researcher works to unlock mysteries of migraines https://www.usatoday[...] 2013-05-16
[75] 논문 Alternative Headache Treatments: Nutraceuticals, Behavioral and Physical Treatments
[76] 논문 The neurobiology of psychedelic drugs: Implications for the treatment of mood disorders
[77] 논문 Pharmacotherapy for Cluster Headache 2020-02-01
[78] 웹사이트 Psilocybin for the Treatment of Cluster Headache - Full Text View - ClinicalTrials.gov https://clinicaltria[...] 2020-02-15
[79] 논문 Psilocybin pulse regimen reduces cluster headache attack frequency in the blinded extension phase of a randomized controlled trial https://doi.org/10.1[...] 2024-05
[80] 논문 A Study Comparing the Efficacy and Safety of TEV-48125 (Fremanezumab) for the Prevention of Chronic Cluster Headache (CCH) https://clinicaltria[...] 2021-01-28
[81] 논문 A Study to Evaluate the Efficacy and Safety of TEV-48125 (Fremanezumab) for the Prevention of Episodic Cluster Headache (ECH) https://clinicaltria[...] 2020-07-02
[82] 문서 日本頭痛学会・国際頭痛分類委員会. 国際頭痛分類第3版beta版. 東京:医学書院;2014. p.28-35.
[83] 문서 慢性頭痛の診療ガイドライン作成委員会編集.[https://www.jhsnet.net/guideline_GL2013.html 慢性頭痛の診療ガイドライン2013] 東京:医学書院;2013.p. 215-238. https://www.jhsnet.n[...]
[84] 논문 群発頭痛に対する治療 http://www.pieronlin[...] 医歯薬出版
[85] 논문 群発頭痛の臨床現場の実際 https://doi.org/10.5[...] 日本神経学会
[86] 논문 2005-09
[87] 논문 Response of cluster headache to psilocybin and LSD
[88] 서적 マイコフィリア―きのこ愛好症―知られざるキノコの不思議世界 パイインターナショナル 2016
[89] 논문 The non-hallucinogen 2-bromo-lysergic acid diethylamide as preventative treatment for cluster headache: An open, non-randomized case series
[90] 뉴스 Harvard’s headache cure: LSD? http://www.bizjourna[...] 2010-12-05
[91] 웹사이트 entheogen http://www.entheogen[...]
[92] 논문 Management of cluster headache http://www.aafp.org/[...] 2005-02
[93] 논문 Diagnosis and treatment of cluster headache 2006-04
[94] 논문 Cluster headache 2013-07-15
[95] 논문 Diagnosis and management of the primary headache disorders in the emergency department setting 2009-02
[96] 논문 Interictal pain in cluster headache 2010-12
[97] 논문 Lateralization in cluster headache: a Nordic multicenter study 2009-08
[98] 서적 Head, Face, and Neck Pain Science, Evaluation, and Management: An Interdisciplinary Approach https://books.google[...] John Wiley & Sons 2011-09-20
[99] 논문 The psychiatric comorbidities of cluster headache. 2013-02
[100] 서적 The 5-Minute Sports Medicine Consult https://books.google[...] Lippincott Williams & Wilkins 2012
[101] 논문 Cluster headache: focus on emerging therapies. 2004-09
[102] 논문 The psychiatric comorbidities of cluster headache 2013-02
[103] 논문 The psychiatric comorbidities of cluster headache 2013-02
[104] 논문 Cluster headache is associated with an increased risk of depression: a nationwide population-based cohort study 2013-02
[105] 논문 Burden of cluster headache 2007-06
[106] 논문 Cluster headache: evidence for a disorder of circadian rhythm and hypothalamic function 2002-02
[107] 논문 Clinical, anatomical, and physiologic relationship between sleep and headache https://archive.org/[...] 2003-03
[108] 웹인용 IHS Classification ICHD-II 3.1 Cluster headache http://www.ihs-class[...] The International Headache Society 2014-01-03
[109] 논문 What predicts evolution from episodic to chronic cluster headache? 2002-02
[110] 논문 Response of cluster headache to psilocybin and LSD
[111] 논문 The non-hallucinogen 2-bromo-lysergic acid diethylamide as preventative treatment for cluster headache: An open, non-randomized case series
[112] 뉴스 Harvard's headache cure: LSD? http://www.bizjourna[...] 2010-12-05
[113] 웹사이트 entheogen http://www.entheogen[...]



본 사이트는 AI가 위키백과와 뉴스 기사,정부 간행물,학술 논문등을 바탕으로 정보를 가공하여 제공하는 백과사전형 서비스입니다.
모든 문서는 AI에 의해 자동 생성되며, CC BY-SA 4.0 라이선스에 따라 이용할 수 있습니다.
하지만, 위키백과나 뉴스 기사 자체에 오류, 부정확한 정보, 또는 가짜 뉴스가 포함될 수 있으며, AI는 이러한 내용을 완벽하게 걸러내지 못할 수 있습니다.
따라서 제공되는 정보에 일부 오류나 편향이 있을 수 있으므로, 중요한 정보는 반드시 다른 출처를 통해 교차 검증하시기 바랍니다.

문의하기 : help@durumis.com