생식기 사마귀
"오늘의AI위키"의 AI를 통해 더욱 풍부하고 폭넓은 지식 경험을 누리세요.
1. 개요
생식기 사마귀는 항문이나 생식기 부위에 나타나는 사마귀로, 인유두종 바이러스(HPV) 감염이 주된 원인이다. 사마귀의 크기와 모양은 다양하며, 가려움이나 불편함을 동반하기도 한다. HPV는 성관계를 통해 전염되며, 콘돔 사용이 예방에 도움이 될 수 있다. 치료는 사마귀 제거에 초점을 맞추며, 물리적 절제와 국소 제제 치료법이 있다.
더 읽어볼만한 페이지
- 바이러스성 피부 질환 - 천연두
천연두는 두창바이러스과에 속하는 천연두 바이러스에 의해 발생하는 치명적인 전염병으로, 발열과 발진 증상을 보이며 예방접종을 통해 예방 가능했으나 현재는 백신 접종이 중단되었다. - 바이러스성 피부 질환 - 홍역
홍역은 홍역 바이러스에 의해 발생하는 전염성이 매우 강한 급성 바이러스성 질환으로, 발열, 기침, 콧물, 결막염, 코플릭 반점, 홍반 반점구진성 발진 등의 증상을 보이며, 폐렴, 중이염, 뇌염 등의 합병증을 유발할 수 있고, MMR 백신 접종으로 예방이 가능하지만, 전 세계적으로 여전히 주요 사망 원인이며 반백신 운동으로 발생률이 증가하는 추세이다. - 감염성 암원 - 결핵
결핵은 결핵균에 의해 발생하는 감염성 질환으로, 주로 폐에 영향을 미치며 기침, 객혈 등의 증상을 보이지만 무증상일 수도 있고, 호흡기 비말 전파를 통해 감염되며, 항생제 치료를 하지만 약물 내성 문제로 인해 공중 보건 문제로 남아있다. - 감염성 암원 - 자궁경부암
자궁경부암은 인유두종바이러스 감염이 주원인인 자궁 경부의 악성 종양으로, 초기에는 증상이 미미하지만 진행 시 질 분비물 증가, 성교통, 골반통이 나타날 수 있으며, 자궁경부 세포진 검사, 조직 생검 등으로 진단하고 수술, 방사선 치료, 항암 치료 등으로 치료하며, HPV 백신 접종과 정기 검진으로 예방이 가능하다.
| 생식기 사마귀 | |
|---|---|
| 질병 정보 | |
| 이름 | 생식기 사마귀 |
| 다른 이름 | 곤지름 성기 사마귀 항문 사마귀 성병 사마귀 |
| 라틴어 이름 | condylomata acuminata 콘딜로마타 아쿠미나타 |
| 분야 | 감염병 |
| 증상 및 발병 | |
| 증상 | 작은 돌기가 성기 부위 피부에 나타남 다양한 크기와 형태를 보이며, 전형적으로 융기됨 가려움 화끈거림 |
| 발병 시기 | 노출 후 1~8개월 |
| 원인 및 위험 요인 | |
| 원인 | 사람 유두종 바이러스 (HPV) 6형 및 11형 |
| 위험 요인 | 성관계 면역 결핍 |
| 진단 및 감별 진단 | |
| 진단 | 증상 기반, 필요한 경우 조직 생검으로 확인 |
| 감별 진단 | 물사마귀 쥐젖 매독성 콘딜로마 편평 세포 암종 |
| 예방 및 치료 | |
| 예방 | HPV 백신 콘돔 |
| 치료 | 약물 냉동 요법 수술 |
| 약물 치료 | 포도필린 이미퀴모드 트리클로로아세트산 |
| 기타 정보 | |
| 유병률 | 미국에서 약 1% |
| 사망률 | 해당 사항 없음 |
2. 징후 및 증상
인유두종 바이러스(HPV)에는 180종 이상의 바이러스 유형이 있으며, 곤지름(생식기 사마귀)의 주요 원인은 90%의 환자에게서 점막형 HPV 6형과 11형으로 나타난다. 이들은 발암성 저위험군(양성[37])에 속한다. 발암성 고위험군(악성)인 16형이나 18형이 함께 감염되는 경우도 있다. 분만 시 산모로부터 아이에게 감염되어 유아가 어린선유두종증을 앓는 경우가 있으나, 이를 막기 위한 제왕 절개의 효과는 불분명하므로 권장되지 않는다.[37] 손발에 생기는 사마귀는 HPV 2형, 27형, 57형이 주로 일으키는데, 이는 생식기 사마귀를 일으키는 HPV 유형과는 다르다.


생식기 사마귀는 항문이나 생식기 부위 어디에서나 발견될 수 있으며, 음경 몸통, 음낭, 질의 대음순을 포함한 신체 외부 표면이나 요도 구멍, 질 내부, 자궁 경부, 항문과 같은 내부 표면에서도 발생할 수 있다.[48]
사마귀의 크기는 지름 1~5mm 정도로 작을 수 있지만, 생식기나 항문 부위에서 커지거나 넓게 퍼져 큰 덩어리를 형성할 수도 있다. 작은 줄기처럼 보이기도 하며, 딱딱하거나 부드러울 수 있고, 색상은 다양하며 때로는 출혈이 동반될 수 있다.[49]
대부분 사마귀 자체 외에 다른 HPV 감염 증상은 없지만, 항문 주변에 발생할 경우 가려움, 발적, 불편함을 유발할 수 있다. 생식기 사마귀는 불안과 같은 심리적 고통을 유발하기도 한다.[54]
주로 음경, 귀두, 음낭, 항문, 소음순, 대음순, 질, 회음부, 대퇴 부위에 발생하며, 드물게 입술이나 구강 내에 유두 모양 또는 닭 볏 모양으로 생기기도 한다.
평균 2.8개월(3주에서 8개월)의 잠복기를 거치며, 볏이나 꽃양배추 모양으로 음부에 사마귀가 생긴다. 커지면서 갈색을 띠기도 하며, 치료하지 않아도 40~60%는 1년 안에 자연 치유되지만, 그대로 있거나 증가하기도 한다.[38][37] 잠복기 때문에 감염원을 특정하기 어려운 경우가 많다.
일반적으로 통증이나 가려움은 없지만 일부에서는 나타나기도 한다. 짧은 기간 안에 잇달아 새로운 사마귀가 생기며 증식하고, 치료 후에도 다른 부위로 전이되어 재발하는 경우가 많다.
드물게 사우나나 공중 목욕탕 등에서도 감염될 수 있으며, 감염 후 무증상으로 1년 정도 지나면 면역력에 의해 자연 치유되기도 한다.
3. 원인
3. 1. 전염
인유두종 바이러스(HPV)는 삽입 성교를 통해 가장 일반적으로 전염되지만, 비삽입 성행위를 통해서도 전염될 수 있다. 다만, 성교를 통한 것보다는 덜 전염된다.[50] HPV는 주로 성행위에 의해 감염되므로 성병이다.[38] 드물게 육아 등을 통해 감염되기도 한다. 항문 감염은 항문 성교 (받는 쪽)가 주요 원인이 되지만, 반드시 그런 것은 아니다.[37]
콘돔 사용이 저위험 HPV 전파를 줄이는 데 효과적인지에 대해서는 상반된 연구 결과가 존재한다. 일부 연구에서는 콘돔이 효과적이라고 주장하는 반면,[50] 다른 연구에서는 콘돔이 생식기 사마귀를 유발하는 저위험 HPV 변종의 전염을 예방하는 데 효과적이지 않다고 주장한다.[50] 콘돔이 HPV 전염에 미치는 영향은 성별에 따라 다를 수 있는데, 콘돔이 여성보다 남성의 감염 예방에 더 효과적이라는 증거가 있다.[57] 일반적으로 콘돔 사용을 통한 예방이 중요하나, 콘돔이 덮이지 않은 부분에 대한 감염 위험은 여전히 존재한다.[37]
사마귀를 유발하는 HPV 유형은 전염성이 매우 높다. 사마귀 환자의 파트너 4명 중 약 3명은 8개월 이내에 사마귀가 발생한다.[57] 한쪽 파트너에게 눈에 보이는 사마귀가 있는 커플의 HPV 일치율이 더 높다는 연구 결과도 있다.[50]
HPV 감염의 90%는 감염 후 2년 이내에 신체에서 제거되지만, 감염된 세포는 잠복기를 거쳐 처음 발생하거나 몇 달 또는 몇 년 후에 증상이 재발할 수 있다.[44] 잠복 HPV는 외부 증상이 없더라도 성 파트너에게 전염될 수 있다. 감염된 파트너와 보호되지 않은 성관계를 가졌다면 감염될 확률은 70%이다. 이전에 HPV 감염 병력이 있는 사람들에게서 새로운 사마귀가 나타났다면, HPV에 새로 감염된 것이거나 이전 감염이 재발한 것일 수 있다. 사마귀를 가진 사람들 중 1/3은 재발을 겪게 된다.[51]
항문 또는 생식기 사마귀는 출생 중에 전염될 수 있다. 어린아이들의 생식기에 사마귀 같은 병변이 있다는 것은 성적 학대의 지표로 제안되기도 한다. 그러나 생식기 사마귀는 때때로 손과 같은 신체의 다른 곳에서 사마귀에 의한 자가 접종으로 인해 발생할 수 있다.[55] 수영복, 속옷, 목욕타월 등을 함께 사용하거나 기저귀 갈기 등의 일상적인 관리 중 성적인 접촉을 하지 않는 경우에도 감염이 보고된 바 있다. 어린이의 생식기 사마귀는 성인보다 HPV 6과 11에 의해 유발될 가능성이 적고 신체의 다른 곳에서 사마귀를 유발하는 HPV 유형("피부 유형")에 의해 유발될 가능성이 더 높다. 아동학대 전문가인 소아과 의사를 대상으로 한 설문조사에 따르면 4세 미만 아동의 경우 새로운 항문 또는 생식기 사마귀의 출현 자체가 성적 학대의 지표로 간주될 수 있는지 여부에 대한 합의가 없다.[53]
인유두종 바이러스(HPV)에는 180종 이상의 바이러스 유형이 있으며, 곤지름의 주요 원인은 90%의 사람에서 점막형으로 발암성 저위험(양성[37])인 HPV 6형과 11형이 원인이 된다. 발암성 고위험(악성)인 16형이나 18형이 동시 감염되는 경우도 있다. 분만 시의 모자 감염으로, 유아가 어린선유두종증을 발병하는 경우가 있다. 그러나 이를 억제할 수 있는지는 불분명하므로, 그 목적으로 제왕 절개를 해서는 안 된다.[37] 손발에 감염되기 쉬운 HPV는 2형, 27형, 57형으로, 유형이 다르다.
3. 2. 잠복기와 재발
HPV 감염의 90%는 감염 후 2년 이내에 신체에서 제거되지만, 감염된 세포는 잠복기(휴지기)를 가질 수 있으며 처음 발생하거나 몇 달 또는 몇 년 후에 증상이 재발한다.[44] 잠복 HPV는 외부 증상이 없더라도 성 파트너에게 전염될 수 있다. 감염된 파트너와 콘돔을 사용하지 않고 성관계를 가졌다면, 그 사람도 감염될 확률이 70%이다.
이전에 HPV 감염 병력이 있는 사람에게서 새로운 사마귀가 나타났다면, HPV에 새로 감염된 것이거나 이전 감염이 재발한 것일 수 있다. 사마귀를 가진 사람들 중 1/3은 재발을 겪게 된다.[51] 재발은 25% 전후로 일반적이므로 최소 3개월은 치료 판정을 기다려야 한다. 3개월 이내에 재발하기 쉽다.[37]
3. 3. 어린이 감염
항문 또는 생식기 사마귀는 출생 중에 전염될 수 있다. 어린아이의 생식기에 사마귀 같은 병변이 있는 것은 성적 학대의 지표로 제안되었으나,[55] 생식기 사마귀는 손과 같은 신체의 다른 곳에서 사마귀에 의한 자가 접종으로 인해 발생할 수도 있다.[55] 수영복, 속옷, 목욕 수건 등을 함께 사용하거나 기저귀를 가는 등의 일상적인 관리 중 성적인 접촉을 하지 않는 경우에도 감염이 보고된 바 있다. 어린이의 생식기 사마귀는 성인보다 HPV 6과 11에 의해 유발될 가능성이 적고, 신체의 다른 곳에서 사마귀를 유발하는 HPV 유형("피부 유형")에 의해 유발될 가능성이 더 높다. 아동 학대 전문 소아과 의사를 대상으로 한 설문 조사에 따르면, 4세 미만 아동의 경우 새로운 항문 또는 생식기 사마귀의 출현 자체가 성적 학대의 지표로 간주될 수 있는지에 대한 합의가 없다.[53]
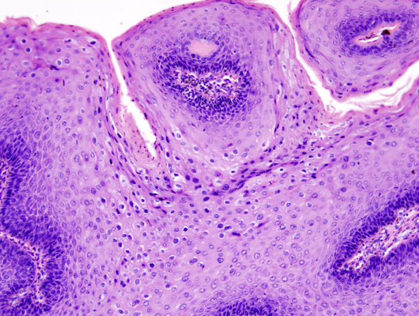
4. 진단
생식기 사마귀는 대부분 육안으로 진단하지만, 필요한 경우 생검을 통해 확진하기도 한다.[52] 작은 사마귀는 전염성 연속종과 혼동될 수 있으므로 주의해야 한다.[53] 조직병리학적으로 생식기 사마귀는 진피 유두가 확대되어 피부 표면 위로 솟아오르는 특징을 보이며, 부전각화증과 HPV 감염의 특징적인 핵 변화(핵주위 부분이 사라지고 핵이 확대됨)를 나타낸다.
고위험 HPV 감염 여부는 DNA 검사로 확인할 수 있다. 그러나 생식기 사마귀는 저위험 HPV 유형에 의해 발생하므로, DNA 검사가 생식기 사마귀 자체를 진단하는 데 사용되지는 않는다.[44]
일부 의사들은 아세트산 용액을 사용하여 작은 사마귀("무증상 병변")를 찾기도 하지만, 이 방법은 논란의 여지가 있다.[54] 2007년 영국 지침에서는 아세트산 사용이 질병 경과에 큰 영향을 주지 않고, 더 정확한 검사로 확인이 가능하다는 이유로 권장하지 않는다.[55]
남성의 경우, 귀두 주변에 생기는 사마귀는 첨규 콘딜로마로 오인될 수 있지만, 대부분은 문제가 없는 포다이스 반점이나 진주양 음경 구진과 같은 생리 현상이다. 진주양 음경 구진은 음경 관상구에 따라 작은 돌기가 늘어선 형태로 나타나며, 성인 남성의 20%에서 관찰된다. 포다이스 반점은 피지선의 독립된 형태로, 성인 남성의 65%에서 관찰되며 바이러스와 관련이 없다.
여성의 경우, Vestibular papillomatosis|전정 유두종증영어는 질 입구 주변에 주름 또는 유두 모양으로 나타나며, 첨규 콘딜로마로 오진될 수 있다. 이는 "요정의 주름"이라고도 불리는 정상적인 변화로, 소음순 안쪽 등에 좌우 대칭으로 발생하며 유두가 규칙적이고 내부에 혈관이 보이지 않는다는 특징이 있다.
성관계 경험이 없는 경우에는 이러한 생리 현상을 의심해 볼 수 있다.
생식기 사마귀는 표피나 점막 상피에 감염되므로 혈액 검사는 일반적으로 필요하지 않다. 그러나 수술 등이 필요한 경우에는 건강 상태 확인을 위해 채혈을 할 수 있다.
가장 확실한 진단 방법은 조직을 채취하여 병리 진단을 하는 것이다. 국소 마취 후 조직을 채취하며, 이를 통해 전정 유두종과의 감별이 가능하다. 곤지름은 low risk 그룹의 HPV 감염으로 인해 발생하므로, 자궁경부암의 원인인 high risk HPV를 검출하는 검사로는 검출할 수 없다. HPV 6, 11형을 검출해야 하며, 일반적인 부인과에서는 검사할 수 없다. 그러나 외음부에 곤지름이 있는 여성은 높은 확률로 자궁경부에도 HPV 감염(high risk HPV)이 있는 것으로 알려져 있다. 남성의 경우도 HPV 감염에 의한 음경암은 매우 드물지만, 여성과 같은 검사 방법이 적용된다.
5. 예방
HPV 백신은 안전하고 효과가 매우 뛰어나다.[22] 이 백신은 생식기 사마귀를 예방하며, 특히 4가 및 9가 백신은 거의 완전한 보호를 제공한다.[8] 2022년 기준으로 125개 국가에서 소녀들을 위한 정기 예방 접종에 HPV 백신을 포함하고 있으며, 47개 국가에서는 소년들에게도 HPV 백신을 권장한다.[22]
Merck & Co.에서 판매하는 가다실은 인유두종바이러스 유형 6, 11, 16, 18을 예방하는 백신이다. 6형과 11형은 생식기 사마귀를 유발하고 16형과 18형은 자궁경부암을 유발한다. 미국 식품의약국(FDA)은 이 백신을 9세부터 남성과 여성 모두에게 사용하도록 승인했다.[56] 9가 백신인 가다실 9도 있다. 이 백신들은 치료제가 아닌 예방 백신이므로, 바이러스 유형에 노출되기 전, 이상적으로는 성행위 시작 전에 접종해야 효과가 있다.[23]
글락소스미스클라인의 HPV 감염 예방 백신 '서바릭스'는 16, 18형을 예방하며, 곤지름의 주된 원인인 6, 11형은 예방하지 않는다(미국에서는 서바릭스의 판매가 중단되었다). HPV에 감염되지 않은 여성을 대상으로 한 대규모 임상 시험에서는 80%에 가까운 예방 효과가 있었다고 보고되었다. 이미 감염된 HPV를 제거하는 효과는 없다[37]。
일본에서 1,600명을 대상으로 한 임상 검사에서는 백신으로 곤지름이 100% 억제되었다고 보고되었다[40]。 일본은 후생노동성이 승인하지 않았지만, 곤지름 억제를 위해 45세까지의 남성에게 HPV 백신 투여가 세계적으로 권장되고 있다.
5. 1. 콘돔
콘돔이 저위험 인유두종 바이러스(HPV) 전파에 미치는 영향에 대해서는 상반된 연구 결과가 있다. 일부 연구에서는 콘돔이 전파를 줄이는 데 효과적이라고 제시했지만,[16] 다른 연구에서는 콘돔이 생식기 사마귀를 유발하는 저위험 HPV 변종의 전파를 막는 데 효과적이지 않다고 나타났다.[17] 콘돔이 HPV 전파에 미치는 영향은 성별에 따라 다를 수 있는데, 콘돔은 여성보다 남성의 감염을 예방하는 데 더 효과적이라는 증거가 있다.[17]일반적으로 콘돔 사용을 통해 HPV 감염을 예방하는 것이 중요하다. 그러나 콘돔이 덮이지 않는 부분에 대한 감염 위험은 여전히 존재하며,[37] 완치될 때까지 성행위는 피해야 한다.[37]
6. 치료
HPV 감염 자체를 치료하는 방법은 없다.[54] 의사는 사마귀의 수, 크기, 위치 등에 따라 여러 치료법을 선택할 수 있다.[54][58] 모든 치료는 탈색, 가려움증, 통증, 흉터를 유발할 수 있다.[15][26]
치료는 크게 물리적 절제와 국소 약물 사용으로 나뉜다. 물리적 절제는 초기 사마귀 제거에 효과적이지만 재발률이 높다.[15][19]
민간 요법을 포함한 많은 치료법이 있지만, 효과와 안전성에 대한 근거 기반 의학적 증거가 부족한 경우가 많다.[27]
미국 질병 예방 통제 센터(CDC)의 2015년 가이드라인에서는 특정 치료법이 우월하다는 증거가 없으므로, 환자의 선호도, 비용, 사마귀의 특징을 고려하여 치료법을 선택한다.[37] 국소 약물은 환자가 직접 사용할 수 있어 일부 환자들이 선호하며, 이 경우 치료 효과와 부작용 관리를 위해 의사의 지시가 필요하다.[37]
외용약, 냉동 요법, 레이저 치료의 완치율은 60~90% 정도이지만, 재발률도 낮지 않다. 재발은 25% 전후로 흔하며, 최소 3개월은 경과를 관찰해야 한다. 3개월 이내에 재발하는 경우가 많으므로, 완치까지 오랜 시간이 걸릴 수 있다.[37]
AIDS 환자 등 면역력이 저하된 환자는 치료가 어렵고 재발이 잦다.
6. 1. 물리적 절제
물리적 절제 방법은 각질화된 사마귀에 더 효과적일 가능성이 높다. 또한 비교적 작고 사마귀 수가 적은 환자에게 가장 적합하다.[55]- 국소마취 하 절제: 가위를 사용하는 등의 간단한 절제는 매우 효과적이다.[54]
- 액체 질소 냉동 요법: 일반적으로 매주 간격으로 시행된다. 효과적이고 저렴하며 임신 중에도 안전하고, 보통 흉터를 남기지 않는다.[54]
- 전기소작 (LEEP): 오랜 사용 역사를 가지며 효과적인 것으로 알려져 있다.[54]
- 레이저 절제: 사용을 뒷받침하는 증거가 적고, 다른 절제 방법보다 덜 효과적일 수 있다.[55] 매우 비싸며, 종종 최후의 수단으로 사용된다.[59]
- 전신 마취 또는 척추 마취 하 수술: 전문의가 시행하며, 더 크거나 광범위한 사마귀, 항문 내 사마귀, 또는 어린이의 사마귀에 필요할 수 있다.[54] 다른 방법보다 흉터가 남을 위험이 더 크다.[58]
6. 2. 국소 제제
- 포도필로톡신(포도필록스)은 0.15~0.5% 젤 또는 크림 형태로, 환자가 직접 바를 수 있고 씻어낼 필요가 없다. 포도필린의 정제, 표준화된 활성 성분으로, 포도필린보다 안전하고 효과적이다.[60] 이미퀴모드 및 시네카테킨보다 피부 미란 및 통증이 더 흔하게 나타난다.[62] 3일 동안 하루 2번 사용 후 4-7일 휴식하며, 4주기만 사용해야 한다는 연구 결과도 있다.[60]
- 이미퀴모드는 국소 면역 반응 크림으로, 포도필록스보다 국소 자극이 적지만 곰팡이 감염(11%) 및 독감 유사 증상(5% 미만)을 유발할 수 있다.[62] 새로운 사마귀 발생이나 전신 반응에 큰 영향을 미치지 않는다.[28] 일본에서는 베르세나 크림(2007년 승인)으로 판매되며, 사이토카인 생성 촉진을 통한 바이러스 증식 억제 및 세포성 면역 응답 활성화를 통해 바이러스 감염 세포를 장애한다. 자가 치료로 격일로 바르며, 흉터가 덜 남지만 치료 기간이 길다.
- 시네카테킨은 녹차 등에서 추출한 카테킨(55% 에피갈로카테킨 갈레이트[59]) 연고이다. 작용 기전은 아직 밝혀지지 않았지만,[61] 포도필로톡신, 이미퀴모드보다 제거율이 높고 국소 자극이 적다. 단, 이미퀴모드보다 제거에 시간이 더 걸린다.[62] 미국에서는 치료제로 승인되어 1일 3회 사용한다.[37]
- 트리클로로아세트산(TCA)은 냉동 요법보다 효과가 떨어지며,[60] 질, 자궁 경부, 요도 구멍에는 사용하지 않는다.[31] 병원에서 주 1회 처치하며 중화가 필요하다.
- 인터페론은 효과적이지만 비용이 비싸고 효과가 일정하지 않다.[60]
미국 질병 예방 통제 센터(CDC) 2015년 가이드라인에 따르면, 특정 치료법의 우월성에 대한 증거는 없으므로 환자 선호도, 비용, 사마귀 상태에 따라 치료법을 선택한다.[37] 국소 약물은 자가 치료가 가능해 프라이버시를 중시하는 환자에게 선호되지만,[37] 치료 효과 및 부작용 관리를 위해 의사 지시가 필요하다.[37]
CDC 권장 환자 자가 치료법은 이미퀴모드, 포도필로톡신, 시네카테킨이다.[37] 포도필로톡신은 1일 2-3회 도포하며, 넓은 면적에 사용 불가, 중등도 통증, 독성 등의 단점이 있다.[37]
시네카테킨, 이미퀴모드, 포도필로톡신은 1차 치료제이나, 사용 부위(요도, 질, 항문 내[37]) 및 임신 여부에 따라 사용이 제한되므로 임신 검사가 필요하다.[38] 이미퀴모드는 동물 실험에서 저위험, 포도필로톡신은 금기이나,[37] 3가지 약물 모두 임산부 대상 데이터가 충분하지 않아 사용을 피해야 한다.[37]
6. 3. 경구 제제
이소트레티노인 경구 투여는 자궁경부의 난치성 첨규 콘딜로마 치료에 효과가 있는 것으로 알려져 있다.[39] 소규모 연구에서는 율무 복용이 난치성 콘딜로마에 36.4% 정도 유효한 것으로 나타났다.7. 역학
생식기 인유두종 바이러스(HPV) 감염은 미국에서 10~20%의 유병률을 보이며, 성적으로 활동적인 성인 인구의 1%에서 임상 증상이 나타나는 것으로 추정된다.[33] 1975년에서 2006년 사이에 미국의 HPV 감염 발생률은 증가했다.[33] 감염자의 약 80%는 17세에서 33세 사이이다.[33] 치료법으로 사마귀를 제거할 수는 있지만 HPV 자체를 제거하지는 못하므로, 치료 후에도 사마귀가 재발할 수 있다(약 50~73%의 경우[32]). 사마귀는 치료 유무와 관계없이 자연적으로 없어지기도 한다.[33]
전통적인 이론에서는 바이러스가 평생 동안 신체에 남아있다고 가정했지만, 민감한 DNA 기법을 사용한 연구에 따르면 면역 반응을 통해 바이러스가 제거되거나 중합효소 연쇄 반응(PCR) 검사로 측정할 수 있는 수준 이하로 억제될 수 있다. PCR을 사용하여 임상 이전 HPV를 검사하기 위해 생식기 피부를 검사한 한 연구에서는 10%의 유병률을 발견했다.[33]
8. 어원
''콘딜로마 아큐미나툼''(condyloma acuminatum)은 단일 생식기 사마귀이며, ''콘딜로마타 아큐미나타''(condylomata acuminata)는 여러 개의 생식기 사마귀를 의미한다. 이 단어의 어원은 '뾰족한 사마귀'라는 뜻으로, κόνδυλος|콘딜로스grc ('관절'), -ωμα|-오마grc ('질병'), 라틴어 ''acuminatum''(아큐미나툼, '뾰족한')에서 유래되었다. 이름은 비슷하지만, 2차 매독의 합병증인 콘딜로마 라툼과는 다르다.
참조
[1]
서적
Andrews' Diseases of the Skin: Clinical Dermatology
Elsevier
2020
[2]
서적
Immunopathology, Diagnosis and Treatment of HPV induced Malignancies
Elsevier
2022
[3]
서적
Ferri's Clinical Advisor 2018
Elsevier
2018
[4]
서적
Goldman-Cecil Medicine
Elsevier
2020
[5]
웹사이트
CDC - Genital Warts - 2010 STD Treatment Guidelines
https://www.cdc.gov/[...]
2018-01-02
[6]
서적
Great Relationships and Sex Education
https://books.google[...]
Taylor and Francis
2023-07-11
[7]
웹사이트
HPV and Cancer
http://www.cancer.go[...]
2018-01-02
[8]
웹사이트
Human papillomavirus vaccines (HPV)
https://www.who.int/[...]
2024-10-01
[9]
웹사이트
Genital warts
https://www.nhs.uk/c[...]
2017-08-21
[10]
논문
Human papillomavirus: clinical manifestations and prevention.
2010-11-15
[11]
웹사이트
Genital HPV Infection - Fact Sheet
https://www.cdc.gov/[...]
2017-11-16
[12]
서적
Papillomavirus infections in human pathology
Wiley
2000
[13]
웹사이트
Condylomata acuminata (anogenital warts) in adults: Epidemiology, pathogenesis, clinical features, and diagnosis
https://www.uptodate[...]
2017-01-04
[14]
웹사이트
Condylomata Acuminata (Genital Warts)
https://www.lecturio[...]
2021-07-10
[15]
논문
2012 European guideline for the management of anogenital warts.
2012-03-12
[16]
논문
Factors affecting transmission of mucosal human papillomavirus.
2010-12
[17]
논문
Human papillomavirus-related genital disease in the immunocompromised host: Part I.
2012-06
[18]
논문
Cutaneous manifestations of human papillomaviruses: a review.
2011-09
[19]
웹사이트
United Kingdom National Guideline on the Management of Anogenital Warts, 2007
http://www.bashh.org[...]
British Association for Sexual Health and HIV
2013-08-03
[20]
논문
Venereal warts in children.
2011-03
[21]
서적
Sexually Transmitted Diseases Treatment Guidelines, 2010
https://www.cdc.gov/[...]
United States Centers for Disease Control
[22]
논문
Human papillomavirus vaccines: WHO position paper (2022 update)
2022-12
[23]
웹사이트
Gardasil
https://www.fda.gov/[...]
2013-01-01
[24]
웹사이트
Your guide to the HPV vaccination from September 2012
http://www.dh.gov.uk[...]
2013-01-01
[25]
웹사이트
Human papillomavirus vaccine Cervarix: safety review shows balance of risks and benefits remains clearly positive
http://www.mhra.gov.[...]
2013-01-01
[26]
논문
Management of genital warts
http://www.aafp.org/[...]
2009-05-30
[27]
논문
An armamentarium of wart treatments.
2006-12
[28]
논문
Imiquimod for anogenital warts in non-immunocompromised adults
http://dx.doi.org/10[...]
2014-11-01
[29]
웹사이트
Veregen label information
http://www.accessdat[...]
2013-01-01
[30]
논문
Green tea catechins for treatment of external genital warts
http://www.escholars[...]
2009-03
[31]
논문
Modern management of external genital warts
2008-07
[32]
간행물
REPORT TO CONGRESS: Prevention of Genital Human Papillomavirus Infection
https://www.cdc.gov/[...]
CDC
2004
[33]
논문
An evidence-based review of medical and surgical treatments of genital warts
http://dermatology.c[...]
[34]
문서
https://www.mochida.co.jp/ibonnu/04/05.html
[35]
웹사이트
히토파필로마바이러스 감염증(자궁경암 등) - Know VPD!
https://www.know-vpd[...]
2021-10-06
[36]
웹사이트
HPVワクチン(子宮頸がんワクチン)男性への接種について {{!}} みうら泌尿器科クリニック
https://muc-kobe.jp/[...]
2022-03-12
[37]
웹사이트
Anogenital Warts / 2015 STD Treatment Guidelines
https://www.cdc.gov/[...]
アメリカ疾病予防管理センター
2015-06-04
[38]
저널
New approach to managing genital warts
http://www.cfp.ca/co[...]
2013-07
[39]
저널
ヨクイニンによる難治性尖圭コンジロームの治療
https://doi.org/10.2[...]
2000
[40]
PDF
ガーダシル添付文書
https://pins.japic.o[...]
[41]
웹인용
Genital warts
https://www.nhs.uk/c[...]
2017-08-21
[42]
서적
Ferri's Clinical Advisor 2018 E-Book: 5 Books in 1
https://books.google[...]
Elsevier Health Sciences
2017
[43]
웹인용
CDC - Genital Warts - 2010 STD Treatment Guidelines
https://www.cdc.gov/[...]
2011-01-28
[44]
저널
Human papillomavirus: clinical manifestations and prevention.
https://archive.org/[...]
2010-11-15
[45]
웹인용
HPV and Cancer
http://www.cancer.go[...]
[46]
웹인용
Genital HPV Infection - Fact Sheet
https://www.cdc.gov/[...]
[47]
서적
Papillomavirus infections in human pathology
Wiley
2000
[48]
웹인용
Condylomata acuminata (anogenital warts) in adults: Epidemiology, pathogenesis, clinical features, and diagnosis
https://www.uptodate[...]
2017-01-04
[49]
웹인용
Condylomata Acuminata (Genital Warts)
https://www.lecturio[...]
[50]
저널
Factors affecting transmission of mucosal human papillomavirus.
2010-12
[51]
저널
Cutaneous manifestations of human papillomaviruses: a review.
2011-09
[52]
서적
Sexually Transmitted Diseases Treatment Guidelines, 2010
https://www.cdc.gov/[...]
United States Centers for Disease Control
[53]
저널
Venereal warts in children.
2011-03
[54]
저널
2012 European guideline for the management of anogenital warts.
2012-03-12
[55]
웹인용
United Kingdom National Guideline on the Management of Anogenital Warts, 2007
http://www.bashh.org[...]
British Association for Sexual Health and HIV
[56]
웹인용
Gardasil
https://www.fda.gov/[...]
[57]
저널
Human papillomavirus-related genital disease in the immunocompromised host: Part I.
2012-06
[58]
저널
Management of genital warts
http://www.aafp.org/[...]
2004-12
[59]
저널
Modern management of external genital warts
2008-07
[60]
저널
An evidence-based review of medical and surgical treatments of genital warts
http://dermatology.c[...]
2006
[61]
웹인용
Veregen label information
http://www.accessdat[...]
[62]
저널
Green tea catechins for treatment of external genital warts
http://www.escholars[...]
2009-03
본 사이트는 AI가 위키백과와 뉴스 기사,정부 간행물,학술 논문등을 바탕으로 정보를 가공하여 제공하는 백과사전형 서비스입니다.
모든 문서는 AI에 의해 자동 생성되며, CC BY-SA 4.0 라이선스에 따라 이용할 수 있습니다.
하지만, 위키백과나 뉴스 기사 자체에 오류, 부정확한 정보, 또는 가짜 뉴스가 포함될 수 있으며, AI는 이러한 내용을 완벽하게 걸러내지 못할 수 있습니다.
따라서 제공되는 정보에 일부 오류나 편향이 있을 수 있으므로, 중요한 정보는 반드시 다른 출처를 통해 교차 검증하시기 바랍니다.
문의하기 : help@durumis.com