실내 공기질
"오늘의AI위키"의 AI를 통해 더욱 풍부하고 폭넓은 지식 경험을 누리세요.
1. 개요
실내 공기질은 건강을 위해 화학 물질과 독성 물질이 최대한 없는 깨끗한 공기를 의미하며, 사람이 실내에서 많은 시간을 보내기 때문에 중요한 요소이다. 실내 공기질이 나쁘면 건강에 악영향을 미치며, WHO는 실내 공기 오염으로 매년 수백만 명이 조기 사망한다고 추정한다. 주요 오염원으로는 호흡, 흡연, 건축 자재, 요리, 난방 등이 있으며, 휘발성 유기 화합물(VOCs), 석면 섬유, 미세 플라스틱, 오존, 일산화탄소, 간접흡연, 미세먼지, 곰팡이, 세균, 바이러스 등이 실내 공기를 오염시키는 물질로 작용한다. 실내 공기질을 개선하기 위해 환기 시스템 설계, 공기 필터 사용, 오염원 제어 등의 조치가 필요하며, 각국 정부는 관련 기준을 마련하고 모니터링 시스템을 구축하여 관리하고 있다.
더 읽어볼만한 페이지
- 산업 위생 - 레지오넬라증
레지오넬라증은 레지오넬라 뉴모필라균에 의해 오염된 물의 에어로졸을 흡입하여 발생하는 감염병으로, 레지오넬라 폐렴과 폰티악 열 두 가지 형태로 나타나며, 항생제로 치료하고 상수 안전 계획과 위생 관리로 예방할 수 있다. - 산업 위생 - 레지오넬라
레지오넬라는 냉각탑 등 인공 수계 환경에서 증식하여 에어로졸 형태로 사람에게 흡입되어 폐렴인 레지오넬라증과 폰티악열을 유발하는 세균이며, 항생제로 치료하고 급수 시스템 개선 및 증식 조절을 통해 예방한다. - 산업의학 - 산업용 로봇
산업용 로봇은 자동 제어 기술을 활용하여 제조 공정의 자동화를 구현하는 기계이며, 다양한 형태와 기능을 갖추고 용접, 도장, 조립 등 다양한 작업에 활용되며, 전 세계적으로 428만 대가 가동 중이고 안전 규제가 중요하다. - 산업의학 - 감전
감전은 전류가 인체를 통과하며 발생하는 전기적 충격으로, 다양한 요인에 따라 위험성이 달라지며 심각한 경우 사망에 이를 수 있고, 예방을 위해 안전 수칙 준수가 필수적이지만, 의료적 목적으로 활용되기도 하며 윤리적 논란의 여지도 있다. - HVAC - 스크린도어
스크린도어는 철도 승강장에서 승객의 안전을 위해 설치되는 설비로, 열차 사고 예방, 무인 운전 가능, 쾌적한 승강장 유지를 위해 다양한 종류로 설치되며, 설치 및 유지 보수 비용, 열차 지연 등의 문제점도 존재한다. - HVAC - 냉매
냉매는 냉동 및 공조 시스템에서 열을 운반하는 물질로, 다양한 특성을 가지며 환경에 미치는 영향이 적어야 하고, 오존층 파괴 물질인 염화불화탄소 대체 냉매로 수소염화불화탄소, 수소불화탄소 등이 개발되었고 최근에는 지구온난화지수가 낮은 탄화수소 및 수소불화올레핀 냉매의 사용이 확대되고 있다.
| 실내 공기질 | |
|---|---|
| 개요 | |
| 정의 | 실내, 특히 주거 및 상업 공간 내의 공기 질. 실외 대기 질의 영향을 받으며, 건물 자재, 난방 및 조리 시스템, 인간 활동 등 다양한 요인에 의해 영향을 받음. |
| 관련 지표 | 이산화탄소 (CO2) 농도 미세먼지 (PM2.5, PM10) 농도 휘발성 유기 화합물 (VOCs) 농도 곰팡이 및 세균 온도 및 습도 |
| 영향 요인 | |
| 외부 요인 | 대기 오염 교통량 산업 활동 건설 활동 |
| 내부 요인 | 건축 자재 (예: 포름알데히드 방출) 가구 및 카펫 청소 용품 난방 및 조리 시스템 환기 시스템 부족 흡연 인간 활동 (예: 요리, 청소) 애완동물 |
| 건강 영향 | |
| 단기적 영향 | 눈, 코, 목 자극 두통 피로 알레르기 반응 천식 증상 악화 |
| 장기적 영향 | 호흡기 질환 (예: 천식, 만성 폐쇄성 폐질환) 심혈관 질환 암 신경계 문제 인지 기능 저하 |
| 개선 전략 | |
| 환기 | 자연 환기 (창문 열기) 기계 환기 (환기 시스템 사용) |
| 공기 청정 | 공기 청정기 사용 (HEPA 필터 포함) 실내 공기 정화 식물 활용 |
| 오염원 제어 | 저VOC 페인트 및 접착제 사용 친환경 청소 용품 사용 정기적인 청소 및 먼지 제거 흡연 금지 적절한 습도 유지 (곰팡이 성장 방지) |
| 실내 활동 조절 | 요리 시 환기 청소 시 환기 애완동물 관리 |
| 관련 법규 및 기준 | |
| 국내 | 실내공기질 관리법 |
| 국제 | 세계 보건 기구(WHO) 가이드라인 미국 환경 보호청(EPA) 기준 |
| 측정 및 평가 | |
| 측정 방법 | 휴대용 측정기 사용 전문 기관 의뢰 |
| 평가 기준 | 관련 법규 및 가이드라인 참고 |
| 사회적 영향 | |
| 학교 | 학습 능력 저하, 결석 증가 |
| 사무실 | 생산성 감소, 질병 발생 증가 |
| 주거 | 건강 악화, 삶의 질 저하 |
| 기타 | |
| 관련 용어 | IEQ(실내 환경 질) 빌딩 증후군 |
2. 정의
건강상의 이유로 화학 물질과 독성 물질이 최대한 없는 깨끗한 공기를 마시는 것이 중요하다. 인간은 평생의 약 90%를 실내에서 보내는 것으로 추정되며[8], 일부 지역의 실내 공기 오염은 주변 공기보다 훨씬 심각할 수 있다.[9][10]
인간은 실내에서 많은 시간을 보내기 때문에 실내 공기질(IAQ)은 건강에 중요하다. 미국인과 유럽인은 평균적으로 시간의 약 90%를 실내에서 보낸다.[11][12]
실내 공기질 전문가들 사이에서는 '허용 가능한' 실내 공기질에 대한 정의에 대해 많은 논쟁이 있어 왔다.
3. 건강에 미치는 영향
세계 보건 기구(WHO)는 실내 요리 등으로 인한 실내 공기 오염으로 인해 매년 320만 명이 조기 사망하며, 이 중 23만 7천 명 이상이 5세 미만 어린이인 것으로 추정한다. 이는 전 세계 허혈성 심장 질환, 뇌졸중, 폐암 사망의 약 8분의 1을 차지한다. WHO는 2019년에 실내 공기질 불량으로 인해 8,600만 건강 수명이 손실된 것으로 추산했다.[13]
영국과 유럽의 연구에 따르면 실내 공기 오염 물질, 화학 물질 및 생물학적 오염에 노출되면 상부 기도 시스템을 자극하고, 천식 및 기타 호흡기 또는 심혈관 질환을 유발하거나 악화시키며, 심지어 발암 효과를 가질 수 있다.[14][15][16][17][18][19]
실내 공기질 불량은 빌딩 증후군을 유발할 수 있으며, 주요 증상으로는 눈의 화끈거림, 목의 통증, 코 막힘, 두통 등이 있다.[20]
4. 일반적인 오염 물질

실내 공기질에 영향을 미치는 일반적인 오염 물질로는 사람의 호흡, 담배 흡연, 건축 자재(새집증후군), 요리 및 난방 사용(연료로 가스나 장작(목질 연료) 사용) 등이 있다. 또한, 오염된 실외 공기(대기 오염)나 환기 능력 부족도 실내 공기질과 밀접하게 관련되어 있다.
특히 개발도상국에서는 환기 설비가 없거나 불충분한 상태에서의 실내 요리, 그루터기, 쓰레기 등의 폐기물 노천 소각이 주요 오염원이다.[131]
한국의 경우, 도시 지역은 실외보다 실내 공기가 더 오염된 경우가 많다. 건축 자재에서 발생하는 휘발성 유기 화합물, 요리, 흡연 등이 주요 원인으로 환기 설비 설치 및 운용이 중요하다.[132]
업태별로는 편의점보다 레스토랑 내부의 이산화탄소(CO2) 농도가 높은데, 이는 가스레인지 사용과 흡연 때문이다.[133]
4. 1. 실내 연소로 인한 오염 물질
실내 연소는 취사나 난방을 위해 사용되며, 실내 대기 오염의 주요 원인 중 하나이다. 이는 심각한 건강 피해와 조기 사망을 유발할 수 있다. 탄화수소 화재는 대기 오염을 일으키는데, 다양한 종류의 바이오매스와 화석 연료가 사용되지만, 일부 연료는 다른 연료보다 더 해롭다.
실내 화재는 블랙 카본 입자, 질소 산화물, 황 산화물, 수은 화합물 등을 생성한다.[21] 약 30억 명은 노천 화로나 조잡한 스토브에서 요리하며, 석탄, 나무, 동물 배설물, 작물 잔여물 등을 연료로 사용한다.[22] 이러한 관행은 개발 도상국에서 특히 문제가 되는데, 실내 공기질(IAQ)이 매우 우려스럽다.[23]
천연 가스를 이용한 요리는 실내 공기질을 악화시킬 수 있다. 가스 연소는 이산화 질소와 일산화탄소를 발생시키며, 가정 내 이산화 질소 농도를 높여 호흡기 질환을 유발할 수 있다.[24][25]
한국의 조사에 따르면, 도시 지역에서는 실외보다 실내 공기가 더 오염되어 있으며, 건축 자재에서 나오는 휘발성 유기 화합물과 요리가 주요 원인으로 꼽힌다. 따라서 환기 설비 설치 및 운용이 중요하다.[132]
4. 1. 1. 일산화탄소
일산화 탄소(CO)는 불완전 연소 과정에서 발생하는 무색, 무취의 유독성 기체이다. 선진국에서는 주로 결함이 있거나 잘못 설치 또는 관리되는 화석 연료 연소 조리 및 난방 기기가 주요 발생원이며, 개발 도상국에서는 바이오 연료 연소와 담배 연기가 주된 원인이다.[27]
일산화 탄소에 급성으로 노출되면 뇌로 가는 산소 공급이 차단되어 신경계(두통, 메스꺼움, 현기증, 의식 변화), 심혈관 및 호흡기 계통(심근 경색, 호흡 곤란, 호흡 부전)에 영향을 미친다. 심각한 중독은 의식 불명, 혼수상태, 사망을 초래할 수 있다.[28][26] 저농도의 일산화 탄소에 만성적으로 노출되면 무기력증, 두통, 메스꺼움, 감기 유사 증상, 신경심리학적 및 심혈관 문제가 나타날 수 있다.[28][26]
세계보건기구(WHO)가 권장하는 실내 일산화 탄소 농도는 24시간 평균 4mg/m3이다.[29] 급성 노출 기준은 8시간 동안 10mg/m3, 1시간 동안 35mg/m3, 15분 동안 100mg/m3를 초과하지 않아야 한다.[27]
대한민국에서는 겨울철 난방기 사용 증가로 일산화탄소 중독 사고가 빈번하게 발생하므로, 예방 교육과 안전 점검이 중요하다.
4. 1. 2. 간접흡연
주요 오염원에는 사람의 호흡, 담배 흡연 등이 있다.[131] 한국에서의 조사에 따르면, 특히 도시에서는 실외 공기보다 실내 공기가 더 오염되어 있는데, 흡연에 의한 것이 많은 부분을 차지한다고 한다.[132] 업태별 데이터에서는, 편의점 내보다 레스토랑 내의 CO2 농도가 높은데, 이는 흡연에 의한 오염이 원인으로 추정된다.[133]
4. 1. 3. 미세먼지
미세먼지(입자상 물질)는 입자 크기가 매우 작아 폐와 혈류를 통해 뇌 깊숙이 침투하여 심혈관 질환, 호흡기 질환, 암, 조산과 같은 건강 문제를 일으킬 수 있다.[39] 이러한 입자는 크기가 매우 다양하며, 나노미터(연소원에서 배출되는 나노 입자/초미세 입자)에서 마이크로미터(재부유 먼지)까지 다양하다.[36]
입자상 물질은 요리 활동을 통해서도 생성될 수 있는데, 튀김 요리는 끓이거나 굽는 것보다, 육류 요리는 채소 요리보다 더 높은 농도를 생성한다.[37] 추수감사절 저녁 식사를 준비하면 입자상 물질의 농도가 매우 높아져 300 μg/m3을 초과할 수 있다.[38] 주요 오염원은 인간의 호흡, 담배 흡연, 건축 자재(새집증후군), 요리 및 난방 사용(연료로 가스나 장작(목질 연료) 사용) 등이 있다. 특히 개발도상국에서는 환기 설비가 없거나 불충분한 상태에서의 실내 요리, 그루터기, 쓰레기 등의 폐기물 노천 소각이 오염원으로서 많은 부분을 차지한다.[131]
한국에서의 조사에 따르면, 특히 도시에서는 실외 공기보다 실내 공기가 더 오염되어 있다. 건축 자재에서 발생하는 휘발성 유기 화합물이나, 요리, 흡연에 의한 것이 많은 부분을 차지한다고 한다. 따라서 환기 설비의 설치와 그 운용이 중요하다고 여겨진다.[132]
4. 2. 건축 자재, 가구 및 소비재에서 발생하는 오염 물질
한국에서는 도시의 실내 공기가 실외보다 더 오염된 경우가 많다. 새집증후군의 원인인 건축 자재의 휘발성 유기 화합물(VOCs), 요리, 흡연 등이 주요 원인이다.[132] 환기 설비 설치 및 운용이 중요하다.[132]
편의점보다 레스토랑 내부의 이산화탄소(CO2) 농도가 높은데, 이는 가스레인지 사용과 흡연 때문이다.[133]
미국은 실내 체류 시간이 길고 건축 자재 관련 라돈 오염이 심각하여 실내 공기질에 관심이 높다. 미국 환경 보호청(EPA)은 미국 폐 협회 등과 협력하여 실내 공기질 개선 노력을 한다.[136]
4. 2. 1. 휘발성 유기 화합물(VOCs)
휘발성 유기 화합물(VOC)은 다양한 화학 물질을 포함하며, 일부는 단기적 및 장기적으로 건강에 해로운 영향을 미칠 수 있다. 실내에는 VOC의 출처가 많아 실내 농도가 실외보다 최대 10배까지 높게 나타난다.[40] 건강에 해로운 VOC에는 벤젠, 포름알데히드, 테트라클로로에틸렌, 트리클로로에틸렌 등이 있다.[43]
VOC는 페인트, 바니시, 왁스 및 래커, 페인트 제거제, 청소 및 개인 관리 제품, 살충제, 건축 자재 및 가구, 복사기 및 프린터와 같은 사무 기기, 수정액 및 노트 용지, 접착제, 영구 마커, 사진 용액 등 수천 가지 실내 제품에서 배출된다.[44] 염소 처리된 식수는 가정에서 뜨거운 물을 사용할 때 클로로포름을 방출하며, 벤젠은 연결된 차고에 보관된 연료에서 배출될 수 있다.
요리 및 청소와 같은 활동도 VOC를 배출한다.[45][46] 요리는 기름을 가열할 때 장쇄 알데히드와 알칸을, 향신료를 준비하거나 요리할 때 테르펜을 방출할 수 있다.[45] 청소 제품에는 모노테르펜, 세스퀴테르펜, 알코올 및 에스터를 포함한 다양한 VOC가 포함되어 있으며, 공기 중으로 방출되면 오존 및 수산화 라디칼과 반응하여 포름알데히드와 같은 다른 VOC를 생성할 수 있다.[46]
VOC는 눈, 코, 인후 자극, 두통, 운동 조절 능력 상실, 메스꺼움 등을 유발할 수 있으며, 간 손상, 신장 손상, 신경 독성, 중추 신경계 손상과도 관련이 있다.[48]
실내 건축 자재에서 배출되는 물질에 대한 시험은 바닥재, 페인트 및 기타 실내 건축 자재 및 마감재에 대해 점점 더 보편화되고 있다.[49] 석고 보드 또는 카펫과 같은 실내 재료는 VOC 증기를 장기간 가두어두고 탈기를 통해 방출함으로써 VOC '싱크' 역할을 하며, VOC는 오존과의 상호 작용을 통해 표면에서 변형될 수도 있다.[42] 이러한 지연된 배출은 VOC에 대한 만성적이고 낮은 수준의 노출을 초래할 수 있다.[50]
유럽에는 EMICODE,[51] M1,[52] 블루 엔젤,[53] Indoor Air Comfort[54]와 같이 낮은 VOC 배출 기준을 포함하는 많은 자발적 친환경 라벨 및 등급 시스템이 있으며, 미국에는 캘리포니아 표준 CDPH 섹션 01350[55] 및 여러 시스템이 존재한다. 이러한 이니셔티브로 인해 배출량이 적은 제품의 구매가 증가하고 있다.
1-옥텐-3-올(버섯 알코올), 3-메틸푸란, 2-펜탄올, 2-헥사논, 2-헵타논, 3-옥타논, 3-옥탄올, 2-옥텐-1-올, 1-옥텐, 2-펜타논, 2-노나논, 보르네올, 지오스민, 1-부탄올, 3-메틸-1-부탄올, 3-메틸-2-부탄올, 투요프센을 포함하여 최소 18개의 미생물 VOC(MVOC)가 특성화되었다.[56][57]
일본에서는 실내 공기질에 대한 기준치는 설정되어 있지 않지만, 환경 기준이나 대기 오염 방지법, 악취 방지법, 소음 규제법 등 각종 규제법에 준거하여 보호가 제공된다. 일반 주택에 대해서는 건축 기준법에 의해 "새집 증후군 대책"이 의무화되어 있다.[134]
4. 2. 2. 석면 섬유
1975년 이전에 사용된 많은 일반적인 건축 자재에는 석면이 포함되어 있었다. 예를 들어 일부 바닥 타일, 천장 타일, 지붕널, 방화재, 난방 시스템, 파이프 랩, 테이핑 머드, 매스틱 및 기타 단열재 등이 있다.[136] 일반적으로 건축 자재가 절단, 샌딩, 드릴링 또는 건물 개조와 같이 손상되지 않는 한 석면 섬유가 상당량 방출되지 않는다.[136] 석면 함유 자재를 제거하는 것이 항상 최적의 방법은 아닌데, 제거 과정에서 섬유가 공기 중으로 확산될 수 있기 때문이다.[136] 대신 온전한 석면 함유 자재에 대한 관리 프로그램이 종종 권장된다.[136]
석면 함유 자재가 손상되거나 부서지면 미세 섬유가 공기 중으로 흩어진다.[136] 석면 섬유를 장기간 흡입하면 폐암, 중피종, 석면폐의 발생률이 증가한다.[136] 석면 섬유 흡입으로 인한 폐암의 위험은 흡연자에게서 훨씬 더 크다.[136] 질병의 증상은 일반적으로 석면에 처음 노출된 후 약 20~30년이 지나야 나타난다.[136]
모든 석면이 유해한 것은 아니지만, 부스러지기 쉬운 제품(예: 분무 코팅 및 단열재)은 섬유를 공기 중으로 더 쉽게 방출하므로 위험이 훨씬 더 높다.[136]
4. 2. 3. 미세 플라스틱
미세 플라스틱은 공기 중의 입자상 물질의 한 종류로, 공기 중에 널리 퍼져 있는 것으로 밝혀졌다.[59][60][61][62] 2017년 연구에 따르면 실내 공기 중의 미세 섬유 농도는 입방 미터당 1.0~60.0개의 미세 섬유였으며, 이 중 33%가 미세 플라스틱으로 밝혀졌다.[63] 공기 중의 미세 플라스틱 먼지는 개보수, 건물, 교량 및 도로 공사 프로젝트[64]와 전동 공구 사용 중에 발생할 수 있다.[65]
4. 2. 4. 오존
실내 오존(O3)은 특정 고전압 전기 장치(예: 공기 이온화기)나 다른 유형의 오염 부산물로 생성된다. 실내 오존 농도는 실외보다 낮으며, 일반적으로 실외 농도의 0.2-0.7배 수준이다.[66] 실내에서 오존은 주로 공기 중 반응보다는 표면 반응으로 소멸되는데, 이는 실내의 큰 표면적 대 부피 비율 때문이다.[67]
환기를 위해 사용되는 실외 공기는 일반적인 실내 오염 물질, 피부 기름, 기타 일반적인 실내 공기 화학 물질 또는 표면과 반응할 수 있는 오존을 포함할 수 있다. 특히 감귤류나 테르펜 추출물 기반의 "친환경" 청소 제품을 사용할 때는 주의해야 한다. 이러한 화학 물질은 오존과 빠르게 반응하여 유독하고 자극적인 화학 물질[46]뿐만 아니라 미세 및 극미세 입자를 생성하기 때문이다.[68] 오존 농도가 높은 실외 공기를 이용한 환기는 실내 공기질 개선을 어렵게 만들 수 있다.[69]
WHO의 오존 농도 기준은 장기간 노출 시 60μg/m3이며, 8시간 평균 최대치는 100μg/m3이다.[29] EPA의 오존 농도 기준은 8시간 평균 0.07ppm이다.[70]
4. 3. 생물학적 오염 물질
실내 공기질과 관련된 생물학적 오염 물질에는 곰팡이, 세균, 바이러스 등이 있다. 이러한 오염 물질은 다양한 경로를 통해 실내로 유입되어 건강 문제를 일으킬 수 있다.
이 섹션에서는 주요 생물학적 오염 물질의 종류와 발생 원인, 그리고 건강에 미치는 영향 등을 간략하게 다룬다.
4. 3. 1. 곰팡이 및 기타 알레르겐
건물 거주자는 곰팡이 포자, 세포 조각 또는 마이코톡신에 노출될 수 있다. 이는 과도한 수분으로 인한 곰팡이 군체의 성장이나 동물 비듬, 식물 꽃가루와 같이 공기 중으로 방출되는 자연 물질이 원인일 수 있다.[71]
곰팡이 성장은 높은 습도와 관련이 있지만,[72] 높은 습도 외에도 적절한 온도, pH, 영양분 등의 조건이 맞아야 성장할 가능성이 높다.[73] 곰팡이는 주로 표면에서 자라며, 포자를 방출하여 번식하고, 이 포자는 이동하여 다른 위치에 정착할 수 있다. 포자가 적절한 조건을 만나면 발아하여 균사체 성장을 유발할 수 있다.[74] 곰팡이 종류에 따라 발아 및 성장에 유리한 환경 조건이 다르며, 일부는 친수성(상대 습도가 높은 수준에서 성장)이고 다른 일부는 건성균(상대 습도가 75~80%로 낮은 수준에서 성장)이다.[74][75]
곰팡이 성장은 표면의 상대 습도를 75% 미만으로 유지함으로써 억제할 수 있다. 이는 일반적으로 실내 공기의 상대 습도가 60% 미만으로 유지되는 것을 의미하며, 쾌적한 실내 환경을 위해 권장되는 상대 습도 40~60%와 일치한다. 건물 내 습기 축적은 건축 외피 또는 재료의 침투, 배관 누수, 빗물 또는 지하수 침투, 부적절한 환기, 불충분한 난방 또는 건물 외피의 열악한 품질로 인한 결로에서 발생할 수 있다.[76] 심지어 난방기에서 실내에서 옷을 말리는 것과 같은 간단한 일도 환기를 통해 발생한 습기가 건물 밖으로 배출되지 않으면 곰팡이 성장의 위험을 증가시킬 수 있다.[77]
곰팡이는 주로 기도와 폐에 영향을 미친다. 곰팡이가 건강에 미치는 영향으로는 천식 발병 및 악화가 있으며,[78] 어린이와 노인은 더 심각한 건강 영향을 받을 위험이 더 높다.[79] 곰팡이가 있는 집의 유아는 천식 및 알레르기성 비염 발병 위험이 훨씬 더 높다.[80][71] 곰팡이가 있거나 습한 건물에서 일하는 성인 노동자의 절반 이상이 곰팡이 노출로 인해 코 또는 부비동 증상을 겪는다.[71] 일부 곰팡이 종류에는 독성 화합물 (마이코톡신)이 포함되어 있지만, 흡입을 통한 유해한 수준의 마이코톡신 노출은 대부분의 경우 불가능하다. 독소는 곰팡이 몸체에 의해 생성되며 방출된 포자에는 상당한 수준으로 존재하지 않기 때문이다.
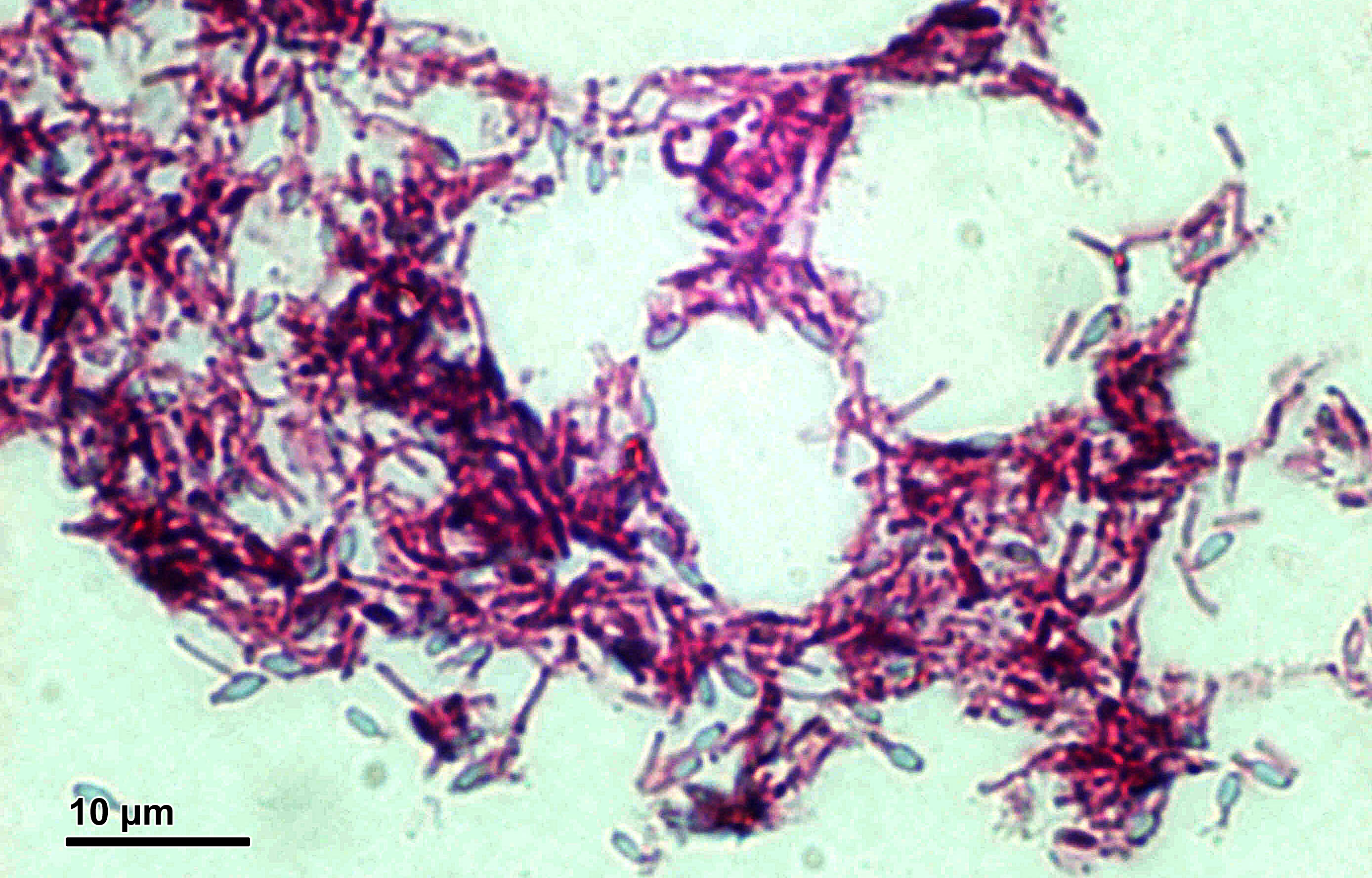
4. 3. 2. 레지오넬라균
레지오넬라증은 정체되어 있거나 느리게 흐르는 따뜻한 물에서 가장 잘 자라는 수인성 세균인 레지오넬라에 의해 발생한다.[1] 주요 노출 경로는 에어로졸이며, 증발 냉각탑이나 샤워 헤드에서 가장 흔하게 발생한다.[1] 상업용 건물에서 레지오넬라의 흔한 발생원은 부적절하게 배치되거나 유지 관리되는 증발 냉각탑으로, 이는 종종 근처 환기 흡입구로 들어갈 수 있는 에어로졸 형태로 물을 배출한다.[1]
레지오넬라 검사는 일반적으로 증발 냉각 분지, 샤워 헤드, 수도꼭지 및 따뜻한 물이 고이는 기타 위치에서 물 샘플 및 표면 스왑을 수집하는 것을 포함한다.[1] 그런 다음 샘플을 배양하고 레지오넬라의 집락 형성 단위(cfu)를 cfu/리터로 정량화한다.[1]
레지오넬라는 아메바와 같은 원생동물의 기생충이며, 따라서 두 유기체 모두에 적합한 조건이 필요하다.[1] 이 세균은 염소를 포함한 화학적 및 항균 처리에 내성이 있는 생물막을 형성한다.[1] 상업용 건물에서 레지오넬라 발생에 대한 개선 조치는 다양하지만, 종종 매우 뜨거운 물 세척(약 71.1°C), 증발 냉각 분지의 고인 물 살균, 샤워 헤드 교체, 그리고 어떤 경우에는 중금속 염 세척을 포함한다.[1] 예방 조치로는 수도꼭지에서 약 48.9°C를 유지하기 위해 일반 온수 수준을 조정하고, 시설 설계 레이아웃을 평가하고, 수도꼭지 에어레이터를 제거하고, 의심되는 지역에서 정기적인 검사를 수행하는 것이 있다.[1]
4. 3. 3. 기타 세균

실내 공기 및 실내 표면에는 건강에 중요한 여러 세균이 존재한다. 실내 환경에서 미생물의 역할은 환경 시료에 대한 현대적인 유전자 기반 분석을 통해 점점 더 많이 연구되고 있다. 현재 미생물 생태학자와 실내 공기 과학자 간의 협력을 통해 분석을 위한 새로운 방법을 개발하고 결과를 더 잘 해석하기 위한 노력이 진행 중이다.[81]
실내 공기와 먼지에서 발견되는 세균의 상당수는 사람에게서 배출된다. 실내 공기에서 발생하는 것으로 알려진 주요 세균에는 결핵균(Mycobacterium tuberculosis), 황색포도상구균(Staphylococcus aureus), 폐렴연쇄상구균(Streptococcus pneumoniae) 등이 있다.
4. 3. 4. 바이러스
바이러스는 실내 공기질에 대한 우려를 야기할 수 있다. 2002–2004년 사스 유행 당시, 바이러스가 포함된 에어로졸이 욕실 배수구를 통해 유입되어 욕실 배기 팬 작동으로 인해 홍콩 아모이 가든에서 사스(SARS, 중증 급성 호흡기 증후군)가 빠르게 확산되었다.[82][83] 홍콩의 다른 지역에서도 사스 코로나바이러스(SARS-CoV) RNA가 카펫과 공기 흡입구 환풍구에서 발견되었는데, 이는 2차 환경 오염이 전염성 에어로졸을 생성하여 대규모 확산을 초래할 수 있음을 보여주었다.[84]
5. 이산화탄소
인간은 대부분의 건물에서 이산화 탄소의 주요 실내 발생원이다. 실내 이산화 탄소 수준은 실내 점유 밀도 및 대사 활동에 따른 외부 공기 환기의 적절성을 나타내는 지표이다.[85]
실내 이산화 탄소 농도가 500ppm을 초과하면 혈압과 심박수가 높아지고 말초 혈액 순환이 증가할 수 있다.[85] 1000ppm을 초과하면 인지 능력이 저하될 수 있으며, 특히 복잡한 작업을 수행할 때 의사 결정 및 문제 해결 속도가 느려지지만 정확도가 떨어지지는 않는다.[86][87] 그러나 더 낮은 농도에서의 이산화 탄소의 건강 영향에 대한 증거는 상충되며, 5000ppm 미만의 노출에서 이산화 탄소와 건강 영향의 연관성을 파악하기는 어렵다. 보고된 건강 결과는 인체 생체 유출물 및 부적절한 환기와 관련된 기타 실내 공기 오염 물질의 존재 때문일 수 있다.[88]
실내 이산화 탄소 농도는 실내 또는 건물의 환기 품질을 평가하는 데 사용할 수 있다.[89] 이산화 탄소로 인한 대부분의 불만을 해소하기 위해 총 실내 이산화 탄소 수준은 외부 수준보다 700ppm을 초과하지 않도록 감소시켜야 한다.[90] 국립 산업 안전 보건 연구원(NIOSH)은 1000ppm을 초과하는 실내 이산화 탄소 농도를 부적절한 환기를 나타내는 지표로 간주한다.[91] 영국의 학교 기준에 따르면 이산화 탄소 수준이 800ppm 이하이면 실내 환기가 잘 된다는 것을 나타낸다.[92] 전 세계의 규정 및 표준에 따르면 이산화 탄소 수준이 1000ppm 미만이면 양호한 실내 공기질을, 1000~1500ppm 사이이면 보통의 실내 공기질을, 1500ppm을 초과하면 불량한 실내 공기질을 나타낸다.[88]
밀폐된 공간의 이산화 탄소 농도는 밀폐 후 45분 이내에 1,000ppm까지 증가할 수 있다. 예를 들어, 3.5x 크기의 사무실에서 환기 중단 및 창문과 문을 닫은 후 45분 이내에 대기 중 이산화 탄소 농도가 500ppm에서 1,000ppm 이상으로 증가했다.[93]
주요 오염원은 인간의 호흡, 담배 흡연, 건축 자재(새집증후군), 요리 및 난방 사용(연료로 가스나 장작(목질 연료) 사용) 등이 있다.
6. 라돈
라돈은 보이지 않는 방사성 원자 가스로, 라듐의 방사성 붕괴로 생성되며, 건물 아래의 암반 지층이나 특정 건축 자재 자체에서 발견될 수 있다.
라돈은 미국과 유럽에서 실내 공기에서 가장 널리 퍼진 심각한 위험 요인일 가능성이 높다. 이는 폐암의 주요 원인이며, 국가별로 3~14%의 사례를 차지하여 수만 명의 사망자를 발생시킨다.[94]
라돈 가스는 토양 가스로 건물에 유입된다. 무거운 가스이기 때문에 가장 낮은 수준에 축적되는 경향이 있다. 라돈은 또한 특히 욕실 샤워에서 식수를 통해 건물에 유입될 수 있다. 건축 자재는 라돈의 드문 원인이 될 수 있지만, 건축 현장에 반입되는 석재, 암석 또는 타일 제품에 대한 검사는 거의 수행되지 않으며, 라돈 축적은 단열이 잘 된 가정에서 가장 크다.[94] 라돈 가스 검사를 위한 간단한 자가 진단 키트가 있지만, 면허를 가진 전문가도 가정을 점검할 수 있다.
라돈의 반감기는 3.8일로, 라돈 발생원을 제거하면 몇 주 안에 위험이 크게 줄어든다는 것을 의미한다. 라돈 저감 방법에는 콘크리트 슬래브 바닥, 지하실 기초, 물 배수 시스템을 밀봉하거나 통풍을 증가시키는 방법이 있다.[95]
라돈은 공기 리터당 피코큐리 (pCi/L) 또는 입방 미터당 베크렐 (Bq m-3)로 측정된다. 둘 다 방사능 측정 단위이다. 세계 보건 기구 (WHO)는 이상적인 실내 라돈 수준을 100 Bq/m-3로 설정한다. 미국에서는 라돈 수준이 4 pCi/L 이상인 가정을 수리하는 것이 권장된다. 동시에 2 pCi/L와 4 pCi/L 사이의 라돈 수준에 대해 가정을 수리하는 것을 고려하도록 권장한다.[96] 영국에서는 실내 라돈의 이상적인 수준이 100 Bq/m-3이다. 200 Bq/m−3 이상의 가정에서는 조치를 취해야 한다.[97]
라돈의 영향을 받는 지역에 대한 대화형 지도가 세계 여러 지역과 국가에서 제공된다.[98][99][100]
7. 실내 공기질과 기후 변화
기후 변화에 관한 정부간 패널(IPCC)은 미래의 기후 변화를 예측하는 다양한 시나리오를 제시한다.[101] 기후 변화는 산불 발생 시 나타나는 오존 및 미세 입자 물질과 같은 실외 대기 오염 물질의 농도를 증가시켜 실내 공기질에 영향을 줄 수 있다. 이러한 현상은 폭염과 가뭄으로 인해 발생한다.[102][103]
탄소 중립 과제는 신축 및 개조 건물 모두의 성능에 상당한 변화를 요구한다. 그러나 저에너지 주택이 늘어나면서 실내외에서 발생한 오염 물질이 실내에 갇혀 사람이 오염에 노출될 위험이 커질 수 있다.[109][110]
8. 실내 공기질 기준 및 모니터링
공기 질은 공기 중의 성분을 계측하여 그 조성을 통해 판단하며, 악화될 경우 인체에 악영향을 미치므로 건강과 위생 관점에서 주목받는다. 박물관 등 시설의 문화재에도 영향을 미쳐, 박물관에서는 수장고나 전시 환경의 공기 질을 습도, 조명과 함께 철저히 관리한다. 시설 설립 단계부터 안전한 건자재를 검토하고, 공조 설비에 필터를 설치하여 공기를 정화한다.
평가 항목은 가스 성분, 진드기, 세균, 조류 침입 여부, 환기 시스템 및 청소 도구 유무 등 다양하며, 세계 보건 기구(WHO)의 기준 외에도 각국이 독자적인 기준을 채택하기도 한다.
8. 1. 품질 지침 및 표준
대한민국은 '실내공기질 관리법'을 통해 다중이용시설, 신축 공동주택 등의 실내 공기질 기준을 설정하고, 이를 준수하도록 관리하고 있다. 세계 보건 기구(WHO)는 옥외 및 실내 공기에 모두 적용되는 일반 인구를 위한 건강 기반의 세계 공기질 가이드라인[29]과 특정 화합물에 대한 WHO IAQ 가이드라인[111]을 제시하고 있으며, 각 국가는 이를 참고하여 자체적인 기준을 마련하고 있다.8. 2. 실시간 모니터링
실내 공기 오염 물질은 인체 건강에 해로운 영향을 미칠 수 있으므로 실시간 실내 공기질 평가/모니터링 시스템을 갖추는 것이 중요하다. 이 시스템은 실내 공기질 개선에 기여할 뿐만 아니라 작업 환경에서 누출이나 유출을 감지하고 난방, 환기 및 공조 (HVAC) 시스템에 실시간 피드백을 제공하여 건물의 에너지 효율성을 높이는 데 도움이 될 수 있다.[116] 또한, 열악한 실내 공기질과 사무실 환경에서 근무자의 업무 수행 능력 및 생산성 저하 간의 상관관계를 강조하는 충분한 연구가 진행되어 왔다.[117]사물 인터넷 (IoT) 기술과 실시간 IAQ 모니터링 시스템을 결합하는 것이 크게 성장하고 인기를 얻고 있으며, 실시간 센서 데이터를 기반으로 개입이 가능하여 IAQ 개선에 도움이 될 수 있다.[118] 공기 중의 성분을 계측하여 그 조성을 통해 공기의 질을 판단한다.
9. 개선 조치
실내 공기질은 신축 건물 설계 과정에서 개선하거나 유지할 수 있으며, 기존 건물의 완화 조치를 통해서도 가능하다. 대기 질 관리 연구소에서는 오염원 제거 및 배출 감소, 오염원과 사람 사이의 경로 차단, 오염 물질 노출로부터 사람들을 보호, 실내 공기질이 좋지 않은 구역으로부터 사람들을 이동시키는 등의 조치를 제안했다.[119] 독일 사회 재해 보험 직업 안전 보건 연구소의 지원을 받은 보고서는 실내 작업장에서 발생하는 개별 건강 문제에 대한 체계적인 조사와 실질적인 해결책을 찾는 데 도움을 줄 수 있다.[120]
공기 중의 성분을 계측하여 그 조성을 통해 공기의 질을 판단한다. 공기 질이 악화되면 인체에 악영향을 미치므로 건강과 위생 관점에서 중요하게 다뤄진다. 또한, 박물관 등 시설의 문화재에도 영향을 미치므로, 습도나 조명과 함께 철저하게 관리된다. 박물관에서는 수장고나 전시 환경에서의 공기 질 관리를 위해 시설 설립 단계부터 안전한 건자재를 검토하고, 공조 설비에 필터를 설치하여 공기를 정화한다.
실내 공기질 평가 항목은 다양하며, 단순한 가스 성분뿐만 아니라 진드기, 세균, 조류의 침입 여부, 환기 시스템 유무, 청소 도구 유무 등 종합적으로 판단한다. WHO가 구체적인 판단 기준을 작성했지만, 각국은 독자적인 기준을 채택하는 경우도 많다.
9. 1. 오염원 제어
주요 오염원은 인간의 호흡, 담배 흡연, 건축 자재(새집증후군), 요리 및 난방 사용(연료로 가스나 장작(목질 연료) 사용) 등이 있다.[131]한국에서의 조사에 따르면, 특히 도시에서는 실외 공기보다 실내 공기가 더 오염되어 있으며, 건축 자재에서 발생하는 휘발성 유기 화합물이나 요리, 흡연에 의한 것이 많은 부분을 차지한다고 한다. 따라서 환기 설비의 설치와 그 운용이 중요하다고 여겨진다.[132]
업태별 데이터에서는 편의점 내보다 레스토랑 내의 이산화탄소(CO2) 농도가 높다. 가스레인지나 흡연에 의한 오염이 원인으로 추정된다.[133]
9. 2. HVAC 설계
환경적으로 지속 가능한 디자인 개념에는 상업 및 주거용 난방, 환기 및 공조(HVAC) 기술의 측면이 포함된다. 이 중 실내 공기질 문제는 건물 수명 주기의 설계 및 건설 단계에서 중요한 고려 사항 중 하나이다.적절한 공기질을 유지하면서 에너지 소비를 줄이는 한 가지 기술은 요구 제어 환기이다. 이 방식은 고정된 공기 교체율 대신, 이산화탄소 센서를 사용하여 건물 사용자의 배출량을 기반으로 환기 속도를 동적으로 제어한다.[121]
실내 공기의 건강을 정량적으로 보장하는 방법 중 하나는 외부 공기로 교체하여 실내 공기를 순환시키는 빈도를 조절하는 것이다. 영국의 경우, 교실에는 시간당 2.5회의 실외 공기 교환이 요구된다. 강당, 체육관, 식당, 물리 치료 공간에서는 환기를 통해 이산화탄소 농도를 1,500ppm으로 제한해야 한다. 미국의 경우, 교실 환기는 시간당 공기 교환 횟수가 아닌, 점유자당 실외 공기량과 바닥 면적 단위당 실외 공기량을 기준으로 한다. 실내 이산화탄소는 점유자와 실외 공기에서 발생하므로, 점유자당 환기의 적절성은 실내 농도에서 실외 농도를 뺀 값으로 표시된다. 실외 농도보다 615ppm 높은 값은 실외 공기에 400ppm 이상이 포함된 사무실에서 앉아서 일하는 성인 점유자당 약 15 입방 피트/분의 실외 공기를 나타낸다.
실외 공기가 오염된 경우에는 더 많은 실외 공기를 유입하면 실내 공기의 질이 악화될 수 있다. 일반적으로 실외의 시골 공기는 실내의 도시 공기보다 좋다.
공기 필터를 사용하면 일부 공기 오염 물질을 제거할 수 있다. 환기가 불량하거나 실외 공기에 PM 2.5가 높은 경우, HEPA 필터가 있는 휴대용 실내 공기 청정기를 사용할 수 있다.[120] 공기 필터는 습식 코일에 도달하는 먼지의 양을 줄여 곰팡이 번식을 막고 코일 효율을 유지하는 데 도움이 된다.
창문에 미세 환기구를 사용하면 지속적인 환기를 유지하여 곰팡이와 알레르겐 축적을 방지하고, 일부 호흡기 감염 확산을 줄일 수 있다.[122]
습기 관리 및 습도 제어는 HVAC 시스템 설계에 중요한 요소이다. 습기 관리 및 습도 제어는 때때로 냉방이 필요한 기후 조건에서 에너지를 절약하기 위해 더 높은 온도를 사용하는 대신, 더 낮은 온도에서 보충 공기를 공급하도록 시스템을 설정해야 한다. 그러나 미국의 대부분 지역과 유럽 및 일본의 많은 지역에서는 연중 대부분 실외 기온이 충분히 시원하여 추가 냉각이 필요하지 않다. 하지만 실외의 높은 습도는 실내 습도에 대한 세심한 주의를 필요로 한다. 높은 습도는 곰팡이 성장을 유발하고, 실내 습기는 사용자의 호흡기 문제 발생률 증가와 관련이 있다.
이슬점 온도는 공기 중 수분량을 측정하는 척도이다. 일부 시설은 이슬점을 약 10.0°C 이하로 설계하고, 일부는 약 4.4°C 후반 또는 초반으로 설계한다. 일부 시설은 가스 연소 히터가 있는 제습 휠을 사용하여 필요한 이슬점을 얻을 수 있도록 휠을 건조하도록 설계되었다. 이러한 시스템에서는 보충 공기에서 수분을 제거한 후 냉각 코일을 사용하여 온도를 원하는 수준으로 낮춘다.
상업용 건물과 때로는 주거용 건물은 침투를 줄이기 위해 실외보다 약간 양압으로 유지되는 경우가 많다. 침투를 제한하면 습기 관리 및 습도 제어에 도움이 된다.
실내 오염 물질을 실외 공기로 희석하는 것은 실외 공기에 유해한 오염 물질이 없을 때 효과적이다. 실외 공기 중 오존은 실내에서 농도가 감소하는데, 이는 오존이 실내 화학 물질과 반응성이 높기 때문이다. 오존과 실내 오염 물질 간의 반응 생성물에는 포름알데히드, 고분자량 알데히드, 산성 에어로졸, 미세 및 초미세 입자 등이 포함될 수 있으며, 이는 더 냄새가 나거나 자극적이거나 독성이 있을 수 있다. 실외 환기율이 높을수록 실내 오존 농도가 높아져 반응 가능성이 커지지만, 낮은 수준에서도 반응이 일어난다. 따라서 특히 실외 오존 농도가 높은 지역에서는 환기 공기에서 오존을 제거해야 한다.
9. 3. 실내 식물의 영향
실내 식물은 재배되는 매개체와 함께 실내 공기 오염 물질, 특히 휘발성 유기 화합물(VOC)인 벤젠, 톨루엔, 자일렌을 줄일 수 있다. 식물은 이산화탄소(CO2)를 제거하고 산소와 물을 방출하지만, 실내 식물의 정량적 영향은 미미하다. VOC 제거를 위해 화분에 심은 식물을 사용하는 것에 대한 관심은 미국 항공 우주국(NASA)에서 우주 정거장 환경을 재현하도록 설계된 밀폐된 챔버에서 수행한 1989년 NASA 연구로 인해 촉발되었다. 그러나 이러한 결과는 재현성이 낮았으며[123], 일반적인 건물에는 적용할 수 없다. 일반적인 건물에서는 실외 공기가 실내로 유입되어 VOC를 건물 바닥 면적 1m2당 10~1000개의 식물을 배치하는 것과 같은 속도로 이미 제거한다.[124]
식물은 또한 공기 중 미생물과 곰팡이를 줄이고 습도를 높이는 것으로 보인다.[125] 그러나 습도 증가는 곰팡이 수준과 VOC 수준을 증가시킬 수 있다.[126]
극도로 높은 습도는 곰팡이 성장 증가, 알레르기 반응 및 호흡기 반응과 관련이 있으므로, 부적절한 물주기가 이루어지는 경우 실내 식물에서 발생하는 추가적인 수분은 모든 실내 환경에서 바람직하지 않을 수 있다.[127]
10. 제도적 프로그램
미국에서는 미국 환경 보호국(EPA)이 교육 기관의 실내 환경 조건을 개선하기 위해 "학교를 위한 IAQ 도구" 프로그램을 개발했다. 국립 직업 안전 보건 연구소(NIOSH)는 고용인, 고용인의 권한을 위임받은 대리인 또는 고용주의 요청에 따라 작업장에서 실내 공기질을 포함하여 작업 장소에서 일반적으로 발견되는 물질이 잠재적으로 유해한 영향을 미치는지 여부를 결정하기 위해 건강 위험 평가(HHE)를 수행한다.[128]
영국에서는 환경, 식량 및 농촌부(DEFRA) 산하의 대기 질 전문가 그룹이 실내 공기질에 대한 현재 지식을 고려하고 정부 및 자치 정부 장관에게 조언을 제공한다.[129]
국제적으로는 1991년에 설립된 국제 실내 공기질 및 기후 학회(ISIAQ)가 실내 공기 및 건강한 건물 시리즈의 두 가지 주요 회의를 조직한다.[130]
일본에서는 실내 공기질에 대한 기준치는 설정되어 있지 않다. 그렇지만, 환경 기준이나 대기 오염 방지법, 악취 방지법, 소음 규제법, 분진 규제 등의 각종 규제법이 존재하기 때문에, 이에 준거하는 형태로 보호가 제공된다. 일반 주택에 대해서는 건축 기준법에 의해 "새집 증후군 대책"이 의무화되어 있다.[134] 학교 시설이나 노동 환경 등은 휘발성 유기 화합물, 환기량, 조도나 소음 등 포괄적인 지침이 제정되어 있다.[135]
참조
[1]
논문
Increased CO2 levels in the operating room correlate with the number of healthcare workers present: an imperative for intentional crowd control
2022
[2]
간행물
' ANSI/ASHRAE Standard 62.1, Ventilation for Acceptable Indoor Air Quality'
ASHRAE, Inc.
[3]
논문
Outdoor PM2. 5 air filtration: optimising indoor air quality and energy
2022
[4]
웹사이트
What's Your IQ on IAQ and IEQ?
https://www.kmccontr[...]
2021-04-12
[5]
논문
Indoor air pollution in developing countries: a major environmental and public health challenge.
2000
[6]
웹사이트
Household air pollution and health: fact sheet
https://www.who.int/[...]
2020-11-21
[7]
논문
Access to Energy
https://ourworldinda[...]
2021-04-01
[8]
논문
The National Human Activity Pattern Survey (NHAPS): a resource for assessing exposure to environmental pollutants
https://digital.libr[...]
2024-03-30
[9]
간행물
Office equipment: design, indoor air emissions, and pollution prevention opportunities.
U.S. Environmental Protection Agency. Air and Energy Engineering Research Laboratory
1995
[10]
간행물
Unfinished business: a comparative assessment of environmental problems, EPA-230/2-87-025a-e (NTIS PB88-127030).
U.S. Environmental Protection Agency. Office of Policy, Planning and Evaluation
1987
[11]
논문
The National Human Activity Pattern Survey (NHAPS): a resource for assessing exposure to environmental pollutants
https://www.nature.c[...]
2023-11-13
[12]
논문
Combined or multiple exposure to health stressors in indoor built environments: an evidence-based review prepared for the WHO training workshop "Multiple environmental exposures and risks": 16–18 October 2013, Bonn, Germany
https://iris.who.int[...]
2024-04-10
[13]
웹사이트
Household air pollution
https://www.who.int/[...]
2024-04-10
[14]
논문
The Burden of Respiratory Disease from Formaldehyde, Damp and Mould in English Housing
2023-08-02
[15]
웹사이트
Chief Medical Officer (CMO): annual reports
https://www.gov.uk/g[...]
2024-05-05
[16]
웹사이트
"Project information {{!}} Indoor air quality at home {{!}} Quality standards {{!}} NICE"
https://www.nice.org[...]
2024-05-05
[17]
웹사이트
The inside story: Health effects of indoor air quality on children and young people
https://www.rcpch.ac[...]
2024-05-05
[18]
논문
Chemicals in European residences – Part I: A review of emissions, concentrations and health effects of volatile organic compounds (VOCs)
https://doi.org/10.1[...]
2022-09-15
[19]
웹사이트
Literature review on chemical pollutants in indoor air in public settings for children and overview of their health effects with a focus on schools, kindergartens and day-care centres
https://www.who.int/[...]
2024-05-05
[20]
논문
Sick building syndrome
2004-02
[21]
논문
Household air pollution and its effects on health.
2016
[22]
웹사이트
Improved Clean Cookstoves
https://www.drawdown[...]
2020-12-05
[23]
서적
WHO indoor air quality guidelines: household fuel combustion
World Health Organization
[24]
웹사이트
Clearing the Air: Gas Cooking and Pollution in European Homes
https://www.clasp.ng[...]
2024-05-05
[25]
웹사이트
Gas Stoves: Health and Air Quality Impacts and Solutions
https://rmi.org/insi[...]
2024-05-05
[26]
서적
The efficient operation of regulation and legislation: An holistic approach to understanding the effect of Carbon Monoxide on mortality
https://www.coresear[...]
CO Research Trust
2022-02
[27]
간행물
Carbon monoxide
https://www.ncbi.nlm[...]
World Health Organization
2024-03-18
[28]
웹사이트
Carbon monoxide: toxicological overview
https://www.gov.uk/g[...]
2024-04-17
[29]
서적
WHO global air quality guidelines: particulate matter (PM2.5 and PM10), ozone, nitrogen dioxide, sulfur dioxide and carbon monoxide
https://iris.who.int[...]
World Health Organization
2021
[30]
논문
Content of toxic components of cigarette, cigarette smoke vs cigarette butts: A comprehensive systematic review
2022-03
[31]
웹사이트
Considering smoking as an air pollution problem for environmental health | Environmental Performance Index
http://archive.epi.y[...]
2018-03-21
[32]
논문
Secondhand and thirdhand smoke: a review on chemical contents, exposure routes, and protective strategies
2023-06-12
[33]
논문
Secondhand and thirdhand smoke: a review on chemical contents, exposure routes, and protective strategies
2023-06-12
[34]
웹사이트
Smoking and Tobacco Use; Fact Sheet; Secondhand Smoke
https://www.cdc.gov/[...]
2019-01-14
[35]
논문
Particulate Matter from Electronic Cigarettes and Conventional Cigarettes: a Systematic Review and Observational Study.
2015-12
[36]
서적
Indoor Air Pollution
The Royal Society of Chemistry
2019-05-08
[37]
논문
Emissions and indoor concentrations of particulate matter and its specific chemical components from cooking: A review
https://linkinghub.e[...]
2024-04-11
[38]
논문
Indoor Particulate Matter during HOMEChem: Concentrations, Size Distributions, and Exposures
https://pubs.acs.org[...]
2024-04-11
[39]
논문
Recent Insights into Particulate Matter (PM2.5)-Mediated Toxicity in Humans: An Overview
2022-06-19
[40]
논문
A review of indoor Gaseous organic compounds and human chemical Exposure: Insights from Real-time measurements
2022-11-04
[41]
논문
Indoor Chemistry
https://pubs.acs.org[...]
2024-04-11
[42]
논문
A Modelling Study of Indoor Air Chemistry: The Surface Interactions of Ozone and Hydrogen Peroxide
2023-01-16
[43]
논문
An overview of health hazards of volatile organic compounds regulated as indoor air pollutants
2019-03-26
[44]
웹사이트
U.S. EPA IAQ – Organic chemicals
http://www.epa.gov/i[...]
Epa.gov
2012-03-02
[45]
논문
A measurement and modelling investigation of the indoor air chemistry following cooking activities
http://xlink.rsc.org[...]
2023-08-14
[46]
논문
Does green mean clean? Volatile organic emissions from regular versus green cleaning products
http://xlink.rsc.org[...]
2024-01-23
[47]
논문
Composition, Emissions, and Air Quality Impacts of Hazardous Air Pollutants in Unburned Natural Gas from Residential Stoves in California
2022-11-15
[48]
웹사이트
Volatile Organic Compounds' Impact on Indoor Air Quality
https://www.epa.gov/[...]
2024-05-23
[49]
웹사이트
About VOCs
http://cal-iaq.org/s[...]
2019-09-16
[50]
서적
Advanced Air and Noise Pollution Control
2005
[51]
웹사이트
Emicode
http://www.eurofins.[...]
Eurofins.com
2012-03-02
[52]
웹사이트
M1
http://www.eurofins.[...]
Eurofins.com
2012-03-02
[53]
웹사이트
Blue Angel
http://www.eurofins.[...]
Eurofins.com
2012-03-02
[54]
웹사이트
Indoor Air Comfort
http://www.indoor-ai[...]
Indoor Air Comfort
2012-03-02
[55]
웹사이트
CDPH Section 01350
http://www.eurofins.[...]
Eurofins.com
2012-03-02
[56]
웹사이트
Smelly Moldy Houses
http://www.bioidea.n[...]
2014-08-02
[57]
논문
Rapid identification of microbial VOCs from tobacco molds using closed-loop stripping and gas chromatography/time-of-flight mass spectrometry
2004-11
[58]
논문
Atmospheric carbon dioxide passes 400 ppm everywhere
2016
[59]
논문
Inhalable microplastics prevails in air: Exploring the size detection limit
2022-04
[60]
논문
Widespread distribution of PET and PC microplastics in dust in urban China and their estimated human exposure
2019-07
[61]
논문
Microplastic: A particulate matter(PM) generated by deterioration of building materials
Elsevier BV
[62]
논문
Systematic review of microplastics and nanoplastics in indoor and outdoor air: identifying a framework and data needs for quantifying human inhalation exposures
https://www.nature.c[...]
Springer Science and Business Media LLC
2024-12-19
[63]
논문
Microplastics in air: Are we breathing it in?
https://hal-enpc.arc[...]
2019-07-11
[64]
논문
Microplastics in construction and built environment
Elsevier BV
[65]
웹사이트
Ventnor introduces ordinance to control microplastics contamination
https://downbeach.co[...]
2024-10-02
[66]
논문
Ozone in Indoor Environments: Concentration and Chemistry: Ozone in Indoor Environments
http://doi.wiley.com[...]
2024-04-11
[67]
논문
Human skin oil: a major ozone reactant indoors
http://xlink.rsc.org[...]
2024-04-11
[68]
논문
An overview of methods of fine and ultrafine particle collection for physicochemical characterisation and toxicity assessments
2021-02-20
[69]
논문
Outdoor ozone and building-related symptoms in the BASE study
2008-04
[70]
웹사이트
Eight-hour Average Ozone Concentrations
https://www3.epa.gov[...]
2019-09-16
[71]
논문
Meta-Mold exposure and respiratory health in damp indoor environments
[72]
웹사이트
CDC – Mold – General Information – Facts About Mold and Dampness
https://www.cdc.gov/[...]
2018-12-04
[73]
서적
Building Mycology
https://www.taylorfr[...]
Taylor & Francis
[74]
논문
A technique for the prediction of the conditions leading to mould growth in buildings
https://linkinghub.e[...]
1999-01-20
[75]
논문
Review of mould prediction models and their influence on mould risk evaluation
https://linkinghub.e[...]
2011-11-15
[76]
서적
BS 5250:2021 - Management of moisture in buildings. Code of practice
British Standards Institution (BSI)
2021-10-31
[77]
논문
The problem of clothes drying in new homes in the UK
https://www.emerald.[...]
2016-08-08
[78]
웹사이트
Health and Moisture in Buildings
https://ukcmb.org/wp[...]
2017
[79]
웹사이트
Understanding and addressing the health risks of damp and mould in the home
https://www.gov.uk/g[...]
2023-09-07
[80]
논문
The Burden of Respiratory Disease from Formaldehyde, Damp and Mould in English Housing
2023-08-02
[81]
웹사이트
Microbiology of the Indoor Environment
http://www.microbe.n[...]
2011-07-23
[82]
url
http://www.info.gov.[...]
[83]
url
https://www.info.gov[...]
[84]
웹사이트
Progress in Global Surveillance and Response Capacity 10 Years after Severe Acute Respiratory Syndrome
https://wwwnc.cdc.go[...]
[85]
논문
Effects of low-level inhalation exposure to carbon dioxide in indoor environments: A short review on human health and psychomotor performance
2018-12
[86]
논문
Indoor CO2 concentrations and cognitive function: A critical review
2020-06-19
[87]
논문
Short-term exposure to indoor carbon dioxide and cognitive task performance: A systematic review and meta-analysis
2023-06-01
[88]
논문
Low Level Carbon Dioxide Indoors—A Pollution Indicator or a Pollutant? A Health-Based Perspective
2021-11-16
[89]
논문
Development and application of an indoor carbon dioxide metric
2022-07
[90]
웹사이트
Indoor Environmental Quality: HVAC Management
https://www.cdc.gov/[...]
2022-02-25
[91]
웹사이트
Indoor Environmental Quality: Building Ventilation
https://www.cdc.gov/[...]
2022-01-20
[92]
웹사이트
SAMHE - Schools' Air quality Monitoring for Health and Education
https://samhe.org.uk[...]
[93]
웹사이트
Document Display
https://nepis.epa.go[...]
[94]
웹사이트
Air pollution
http://www.eoearth.o[...]
National Council for Science and the Environment
2010
[95]
웹사이트
Radon Mitigation Methods
http://radon-solutio[...]
Radon Solution—Raising Radon Awareness
2008-12-02
[96]
웹사이트
Basic radon facts
https://www.wvdhhr.o[...]
US Environmental Protection Agency
2018-09-18
[97]
웹사이트
Radon Action Level and Target Level
https://www.ukradon.[...]
[98]
웹사이트
Radon Zone Map (with State Information)
https://gispub.epa.g[...]
[99]
웹사이트
UK maps of radon
https://www.ukradon.[...]
[100]
웹사이트
Radon map of Australia
https://www.arpansa.[...]
[101]
웹사이트
Climate Change 2021: The Physical Science Basis
https://www.ipcc.ch/[...]
[102]
논문
Continuous wildfires threaten public and ecosystem health under climate change across continents
https://link.springe[...]
2024-07-19
[103]
논문
Impact of Climate Change on Indoor Air Quality
https://linkinghub.e[...]
2023-11-14
[104]
논문
Particulate matter air pollution in Europe in a +2 °C warming world
https://linkinghub.e[...]
2017-02-01
[105]
논문
Ozone photochemistry and elevated isoprene during the UK heatwave of august 2003
https://linkinghub.e[...]
2006-09-26
[106]
논문
Future trends in ambient air pollution and climate in Germany – Implications for the indoor environment
2018-08-07
[107]
논문
Indoor ozone and climate change
https://linkinghub.e[...]
2024-04-15
[108]
논문
Long-term prediction of the effects of climate change on indoor climate and air quality
2023-12-09
[109]
논문
Latest Trends in Pollutant Accumulations at Threatening Levels in Energy-Efficient Residential Buildings with and without Mechanical Ventilation: A Review
2022-03-16
[110]
서적
Health Effects of Climate Change (HECC) in the UK: 2023 report
https://www.gov.uk/g[...]
[111]
서적
Who guidelines for indoor air quality: selected pollutants
https://www.worldcat[...]
WHO
2010
[112]
웹사이트
Air quality: UK guidelines for volatile organic compounds in indoor spaces
https://www.gov.uk/g[...]
2024-04-17
[113]
웹사이트
Home - IEQ Guidelines
https://ieqguideline[...]
2024-04-17
[114]
논문
Open database for international and national indoor environmental quality guidelines
2022-04-19
[115]
논문
Indoor air quality guidelines from across the world: An appraisal considering energy saving, health, productivity, and comfort
https://linkinghub.e[...]
2023-08-04
[116]
논문
Monitoring Indoor Air Quality for Enhanced Occupational Health
2017-02
[117]
논문
The effects of indoor air quality on performance and productivity: The effects of IAQ on performance and productivity
2004-08
[118]
논문
Perceived air quality and satisfaction during implementation of an automated indoor air quality monitoring and control system
2023-09
[119]
서적
Indoor Air Quality Guidance: Assessment, Monitoring, Modelling and Mitigation
https://iaqm.co.uk/w[...]
Institute of Air Quality Management
[120]
웹사이트
Indoor workplaces – Recommended procedure for the investigation of working environment
https://www.dguv.de/[...]
2020-06-10
[121]
웹사이트
Climate Change: Atmospheric Carbon Dioxide {{!}} NOAA Climate.gov
http://www.climate.g[...]
2024-05-06
[122]
웹사이트
Ventilation to reduce the spread of respiratory infections, including COVID-19
https://www.gov.uk/g[...]
2024-04-15
[123]
논문
Can ornamental potted plants remove volatile organic compounds from indoor air? — a review
2014-12
[124]
논문
Potted plants do not improve indoor air quality: a review and analysis of reported VOC removal efficiencies
2020-03
[125]
논문
Interior plants: their influence on airborne microbes inside energy-efficient buildings
1996
[126]
웹사이트
Mold
https://www.epa.gov/[...]
2019-09-16
[127]
서적
Damp Indoor Spaces and Health
https://www.ncbi.nlm[...]
National Academies Press
2024-03-30
[128]
웹사이트
Indoor Environmental Quality
https://www.cdc.gov/[...]
US National Institute for Occupational Safety and Health
2013-05-17
[129]
간행물
Indoor Air Quality
https://uk-air.defra[...]
Air Quality Expert Group
2024-04-15
[130]
웹사이트
Isiaq.Org
http://isiaq.org/
International Society of Indoor Air Quality and Climate
2012-03-02
[131]
웹사이트
大気汚染関連疾患 - 07. 肺と気道の病気 - MSDマニュアル家庭版
https://www.msdmanua[...]
[132]
웹사이트
室内空気と屋外空気、どちらがキレイ? | 知的財産ニュース - 知的財産に関する情報 - 韓国 - アジア - 国・地域別に見る - ジェトロ
https://www.jetro.go[...]
[133]
웹사이트
道路沿いの商店の屋内空気質への屋外二酸化窒素の寄与 | CiNii Research
https://cir.nii.ac.j[...]
[134]
웹사이트
建築:建築基準法に基づくシックハウス対策について - 国土交通省
https://www.mlit.go.[...]
[135]
웹사이트
学校環境衛生管理マニュアル
https://www.mext.go.[...]
文部科学省
2021-02-06
[136]
웹사이트
アメリカ環境保護庁、室内空気質の改善へ主要8団体と協力合意|環境ニュース[海外]|EICネット
https://www.eic.or.j[...]
본 사이트는 AI가 위키백과와 뉴스 기사,정부 간행물,학술 논문등을 바탕으로 정보를 가공하여 제공하는 백과사전형 서비스입니다.
모든 문서는 AI에 의해 자동 생성되며, CC BY-SA 4.0 라이선스에 따라 이용할 수 있습니다.
하지만, 위키백과나 뉴스 기사 자체에 오류, 부정확한 정보, 또는 가짜 뉴스가 포함될 수 있으며, AI는 이러한 내용을 완벽하게 걸러내지 못할 수 있습니다.
따라서 제공되는 정보에 일부 오류나 편향이 있을 수 있으므로, 중요한 정보는 반드시 다른 출처를 통해 교차 검증하시기 바랍니다.
문의하기 : help@durumis.com