알파-시누클레인
"오늘의AI위키"의 AI를 통해 더욱 풍부하고 폭넓은 지식 경험을 누리세요.
1. 개요
알파-시누클레인은 뇌 세포에서 주로 발견되는 단백질로, 시냅스 소포의 이동 조절, DNA 복구, SNARE 복합체 형성 등 다양한 기능을 수행한다. 이 단백질은 세 가지 도메인으로 구성되며, 뇌의 여러 부위와 장 신경계에서 발현된다. 알파-시누클레인은 파킨슨병, 레비 소체 치매, 다발성계통위축증과 같은 시누클레인병증의 주요 원인 단백질로, 이러한 질환에서 응집되어 불용성 원섬유를 형성한다. 현재 알파-시누클레인의 응집을 억제하는 치료 전략이 연구되고 있으며, 도파민 수송체, 파킨, 타우 단백질 등 다양한 단백질과 상호작용한다.
더 읽어볼만한 페이지
- 표재성 막 단백질 - 신경독
신경독은 신경계에 손상을 일으키는 다양한 종류의 물질로, 중금속, 유기용매, 살충제, 생물 유래 독소 등이 있으며, 이들은 다양한 작용 메커니즘을 통해 신경계에 손상을 유발하여 신경퇴행성 질환, 인지 기능 저하, 정신 질환, 발달 장애 등 다양한 건강 문제를 야기하므로 예방과 치료를 위한 노력이 필요하고 신경과학 연구에도 활용된다. - 표재성 막 단백질 - 트롬빈
트롬빈은 혈액 응고 과정에서 중요한 세린 프로테아제 효소로서, 프로트롬빈 활성화를 통해 피브리노겐을 피브린으로 전환시켜 혈전 형성을 촉진하고, 혈소판 활성화, 혈관 수축, 단백질 C 활성화, 질병 발병 등 다양한 생리활성과 의학 및 식품 분야 응용 가능성을 가진다. - 인간 4번 염색체상 유전자 - 알코올 탈수소효소
알코올 탈수소효소(ADH)는 알코올을 알데히드 또는 케톤으로 산화시키는 효소 그룹으로, 에탄올 대사에 중요한 역할을 하며 알코올 발효, 카이랄 알코올 합성 등 다양한 분야에 응용된다. - 인간 4번 염색체상 유전자 - 피브리노겐
피브리노겐은 간에서 생성되어 혈액 응고 과정에서 트롬빈에 의해 피브린으로 전환되어 혈병 형성에 기여하는 혈장 단백질이다.
| 알파-시누클레인 | |
|---|---|
| 기본 정보 | |
![]() | |
| 유전자 기호 | SNCA |
| 유전자 이름 | 시누클레인 알파 |
| 로커스 | 4q22.1 |
| 다른 이름 | NACP PARK1 PARK4 |
| 염색체 | 4 |
| OMIM | 163890 |
| 유전자좌 | 4q22.1 |
| 단백질 | 알파-시누클레인 |
| 로마자 표기 | alpha-synuclein |
| 기능 | 신경 전달 물질 수송과 시냅스 소포 기능 조절 |
| 관련 질병 | 파킨슨병 루이체 치매 다계통 위축증 |
| 분자 특성 | |
| 아미노산 수 | 140 |
| 분자량 | 14 kDa |
| 구조 | 비정형 단백질 N 말단 알파 나선 구조 |
| 상호작용 | 튜불린 시냅신 VAMP2 지질 |
| 유전자 구조 및 발현 | |
| 유전자 길이 | 111 kb |
| 엑손 개수 | 6 |
| 전사 시작 위치 | 78 bp |
| 프로모터 영역 | GC-rich |
| 발현 | 뇌, 특히 신경 말단에서 높게 발현 |
| 단백질 | 140 아미노산으로 구성된 단백질 |
| 대체 스플라이싱 | 다양한 형태의 스플라이싱 변이체 존재 |
| 생물학적 역할 및 관련 질병 | |
| 주요 기능 | 신경 전달 물질 수송 및 시냅스 소포 기능 조절 |
| 신경퇴행성 질환과의 연관성 | 파킨슨병 루이체 치매 다계통 위축증 알츠하이머병 |
| 축적 형태 | 루이 소체 (Lewy bodies) 루이 신경돌기 (Lewy neurites) |
| 병리학적 특징 | 신경 세포 내 축적 및 응집체 형성 |
| 세포 독성 | 신경 세포 손상 유발 세포 내 기능 장애 초래 |
| 연구 분야 | 질병 기전 연구 및 치료제 개발 목표 |
| 기타 정보 | |
| 추가 정보 | 미토콘드리아 기능 장애 및 산화 스트레스와 관련 유전자 복제 수 증가는 질병 발병 위험 증가 인산화, 유비퀴틴화 등 다양한 번역 후 변형 |
| 유전자 위치 | 4번 염색체 장완 |
2. 구조
알파-시누클레인은 140개의 아미노산으로 구성된 단백질이다. 용액 상태의 알파-시누클레인은 본질적으로 무질서한 단백질로 간주되는데,[25][26] 이는 단일 안정적인 3차원 구조가 없다는 뜻이다. 그러나 2014년 현재, 알파-시누클레인의 용액 구조에서 부분적인 구조 또는 주로 구조화된 올리고머 상태가 존재한다는 보고가 늘고 있다.[27]
알파-시누클레인의 일차 구조는 일반적으로 세 가지 영역으로 나뉜다.
2. 1. N-말단 영역 (잔기 1-60)
알파-시누클레인 단백질의 N-말단 영역(잔기 1-60)은 양쪽성을 띠는 부분으로, KTKEGV 컨센서스 서열을 포함한 11개 잔기 반복 서열이 4개 존재한다.[68] 이 반복 서열은 아포리포단백질 결합 도메인과 유사하게 구조적인 알파 나선을 형성하는 경향이 있다.[68]이 영역은 산성 지질 막과의 상호작용에 매우 중요한 역할을 하는 것으로 알려져 있다.[69] 실제로 알파-시누클레인 유전자(SNCA)에서 발견되는 모든 점 돌연변이는 이 N-말단 영역 내에 위치한다.[69]
2. 2. NAC 영역 (잔기 61-95)
알파-시누클레인 일차 구조의 잔기 61-95 영역은 비(非)아밀로이드-β 성분(Non-Amyloid-β Component, NAC)이라고 불리는 중앙 소수성 영역이다.[6] 이 영역은 단백질 응집에 관여하며,[6] 시누클레인 계열 중 알파-시누클레인에만 고유하다.[70]2. 3. C-말단 영역 (잔기 96-140)
알파-시누클레인 잔기 96-140은 특징적인 구조적 경향성이 없는 고도로 산성이고 프롤린이 풍부한 영역이다.[71][33] 이 영역은 알파-시누클레인의 기능, 용해도 및 다른 단백질과의 상호 작용에 중요한 역할을 한다.[71][33] 어떤 종류의 키나아제에 의한 티로신 125와 세린 129의 인산화는 α-시누클레인의 기능 조절에 관여한다.[166][167][168]3. 기능
알파-시누클레인은 시냅스 기능 조절, DNA 손상 복구, 신경세포 보호 등 여러 가지 기능을 가지고 있는 것으로 알려져 있다.
학습에 따른 시냅스 재구축 시, α-시누클레인의 시냅스 전 종말에서의 수가 특이적으로 상향 조절(어떤 자극에 의해 유전자 발현이 가속화되어 단백질 생산이 증가하는 조절)된다.[152] α-시누클레인은 튜불린과 상호작용하며,[140] 타우 단백질처럼 미세소관 결합 단백질이 될 수 있는 활성을 가진다는 것이 제시되었다.[153] α-시누클레인이 신경세포의 골지체나 소포 수송 기능에 관여하고 있다는 증거도 늘어나고 있다.[157]
3. 1. 시냅스 기능 조절
알파-시누클레인은 시냅스 소포의 이동성을 제한하여 시냅스 소포 재활용 및 신경전달물질 방출을 감소시키는 역할을 하는 것으로 보인다.[53][54][55][56][57][58][59] 반면, 알파-시누클레인은 VAMP2(일종의 시냅토브레빈)에 결합하여 SNARE 복합체를 안정화시킨다는 견해도 있다.[33][60][61][62][63] 하지만 최근 연구에 따르면 알파-시누클레인-VAMP2 결합은 알파-시누클레인이 매개하는 시냅스 소포 재활용 감소에 중요하며, 이 두 가지 상반된 견해를 연결하는 것으로 나타났다.[59] 또한 자발적 및 불수의적 운동의 시작과 정지를 조절하는 데 중요한 신경전달물질인 도파민의 방출을 조절하는 데에도 도움이 될 수 있다.[1]SNARE 단백질 복합체(신경전달물질 방출에 있어 시냅스 소포와 세포막의 융합에 관여하는 물질) 형성 시, 알파-시누클레인이 분자 샤페론으로 작용하고 있을 가능성이 시사되고 있다.[154][155] 특히, N 말단 도메인에서 세포막의 인지질과, C 말단 도메인에서 시냅토브레빈-2(SNARE 단백질의 일종)와 동시에 결합하지만, 이것은 시냅스 활성화 시에 특히 중요하다.[156]
3. 2. DNA 손상 복구
알파-시누클레인은 DNA 복구 과정, 특히 이중 가닥 절단(DSBs) 복구를 조절한다.[64] DNA 손상 반응 표지자는 인간 세포와 생쥐 뇌에서 알파-시누클레인과 공동으로 국소화되어 별개의 병소를 형성한다. 인간 세포에서 알파-시누클레인을 고갈시키면 블레오마이신에 노출된 후 DNA DSBs의 유입이 증가하고 이러한 DSBs를 복구하는 능력이 감소한다. 또한 알파-시누클레인 녹아웃 마우스는 더 높은 수준의 DSBs를 나타내며, 이 문제는 인간 알파-시누클레인의 형질전환적 재도입을 통해 완화될 수 있다. 알파-시누클레인은 비상동 말단 연결이라고 하는 DSB 복구 경로를 촉진한다.[2] 알파-시누클레인의 DNA 복구 기능은 레비 소체 포함 뉴런에서 손상되는 것으로 보이며, 이는 세포 사멸을 유발할 수 있다.3. 3. 신경세포 보호
일부 연구에서는 알파-시누클레인이 여러 유형의 세포자멸사 자극에 의해 유도된 세포자멸사를 억제하거나, 세포자멸사 경로에 관여하는 단백질의 발현을 조절함으로써 신경보호 효과를 나타내는 것으로 입증되었다. 실제로 생리적인 알파-시누클레인(Snca)은 신경세포를 보호하는 역할을 한다.[66]최근 연구에 따르면, 해마 치아이랑(일생 동안 새로운 뉴런이 생성되는 신경 발생 틈새)에서 알파-시누클레인의 상향 조절이 조기 신경 노화 모델에서 줄기 세포를 활성화한다는 것이 밝혀졌다. 이 모델은 노화 과정에서 생리적으로 관찰되는 것처럼 알파-시누클레인의 발현 감소와 줄기 세포 증식 감소를 보여준다. 해마 치아이랑에서 외인성 알파-시누클레인은 이러한 결함을 회복시킬 수 있다. 또한 알파-시누클레인은 야생형 어린 생쥐에서 치아이랑 전구 신경 세포의 증식을 촉진한다. 따라서 알파-시누클레인은 신경 줄기 세포 및 전구 세포 활성화를 위한 효과기이다.[66]
알파-시누클레인은 SVZ(측뇌실하대, 또 다른 신경 발생 틈새)의 줄기 세포를 순환 상태로 유지하는 데에도 필요한 것으로 밝혀졌다.[67]
3. 4. 기타 기능
알파-시누클레인은 DNA 복구 과정, 특히 이중 가닥 절단(DSBs) 복구를 조절한다.[64] DNA 손상 반응 표지자는 인간 세포와 생쥐 뇌에서 알파-시누클레인과 공동으로 국소화되어 별개의 병소를 형성한다. 인간 세포에서 알파-시누클레인을 고갈시키면 블레오마이신에 노출된 후 DNA DSBs의 유입이 증가하고 이러한 DSBs를 복구하는 능력이 감소한다. 또한 알파-시누클레인 녹아웃 마우스는 더 높은 수준의 DSBs를 나타내며, 이 문제는 인간 알파-시누클레인의 형질전환적 재도입을 통해 완화될 수 있다. 알파-시누클레인은 비상동 말단 연결이라고 하는 DSB 복구 경로를 촉진한다.[2] 알파-시누클레인의 DNA 복구 기능은 레비 소체 포함 뉴런에서 손상되는 것으로 보이며, 이는 세포 사멸을 유발할 수 있다.학습에 따른 시냅스 재구축 시, α-시누클레인의 시냅스 전 종말에서의 수가 특이적으로 상향 조절(어떤 자극에 의해 유전자 발현이 가속화되어 단백질 생산이 증가하는 조절)된다.[152] α-시누클레인은 튜불린과 상호작용하며,[140] ((타우 단백질처럼) 미세소관 결합 단백질이 될 수 있는 활성을 가진다는 것이 제시되었다.[153]
SNARE 단백질 복합체(신경전달물질 방출에 있어 시냅스 소포와 세포막의 융합에 관여하는 물질) 형성 시, α-시누클레인이 분자 샤페론으로 작용하고 있을 가능성이 시사되고 있다.[154][155] 특히, N 말단 도메인에서 세포막의 인지질과, C 말단 도메인에서 시냅토브레빈-2(SNARE 단백질의 일종)와 동시에 결합하지만, 이것은 시냅스 활성화 시에 특히 중요하다.[156] α-시누클레인이 신경세포의 골지체나 소포 수송 기능에 관여하고 있다는 증거는 증가하고 있다.[157]
4. 조직 발현
멜라닌 세포에서는 SNCA 단백질 발현이 미세안구증 관련 전사 인자(MITF)에 의해 조절될 수 있다.[12]
대체 스플라이싱을 통해 적어도 세 가지 시누클레인 이소형이 생성된다.[18] 가장 많이 연구된 주요 단백질 형태는 140개의 아미노산으로 구성된 전체 길이 단백질이다. 다른 이소형으로는 엑손 3의 손실로 인해 잔기 41-54가 없는 알파-시누클레인-126과,[19] 엑손 5의 손실로 인해 잔기 103-130이 없는 알파-시누클레인-112가 있다.[18]
4. 1. 뇌
알파-시누클레인은 주로 신경 조직에서 발견되는 시누클레인 단백질로, 뇌 세포질의 모든 단백질 중 최대 1%를 차지한다.[10] 전전두엽 피질, 해마, 선조체, 흑질, 시상, 그리고 후각망울의 뉴런에서 고도로 발현되지만,[10] 비뉴런성 신경교 세포에서도 발견될 수 있다.[11]알파-시누클레인이 포유류 뇌 뉴런의 핵에 광범위하게 국한되어 있다는 것이 밝혀졌으며, 이는 핵에서 알파-시누클레인의 역할을 시사한다.[13] 그러나 시누클레인은 주로 자유 형태 또는 막 결합 형태 모두에서 시냅스 전 종말에서 발견되며,[14] 뉴런에서 약 15%의 시누클레인이 항상 막에 결합되어 있다.[15]
알파-시누클레인이 뉴런 미토콘드리아에 국한되어 있다는 것도 밝혀졌다.[16][17] 알파-시누클레인은 후각망울, 해마, 선조체 및 시상의 미토콘드리아에서 고도로 발현되며, 세포질 알파-시누클레인도 풍부하다. 그러나 대뇌 피질과 소뇌는 두 가지 예외인데, 풍부한 세포질 알파-시누클레인을 함유하지만 미토콘드리아 알파-시누클레인의 수준은 매우 낮다. 알파-시누클레인이 미토콘드리아 내막에 국한되어 있으며, 미토콘드리아 호흡 사슬의 복합체 I 활성에 대한 알파-시누클레인의 억제 효과는 용량 의존적이라는 것이 밝혀졌다. 따라서 미토콘드리아의 알파-시누클레인은 뇌 영역에 따라 다르게 발현되며, 미토콘드리아 알파-시누클레인의 배경 수준은 미토콘드리아 기능에 영향을 미치고 일부 뉴런의 퇴행을 유발할 수 있는 잠재적 요인일 수 있다고 제안된다.[17]
4. 2. 장 신경계 (ENS)
파킨슨병 환자의 장 신경계(ENS)에서 α-시누클레인(α-syn) 응집체가 발견된다는 사실은 1980년대 후반 부검 표본을 통해 처음 밝혀졌다.[20] 파킨슨병과 관련된 미생물 군집 변화가 질병 과정, 주요 병태생리, 또는 둘 다의 결과인지는 아직 밝혀지지 않았다.[21]여러 시누클레오파티 환자들은 운동 기능 장애가 나타나기 수년 전부터 변비 및 기타 위장 기능 장애를 겪는 경우가 많다.[22]
알파-시누클레인은 파킨슨병 환자의 장-뇌 축을 연결할 가능성이 있는 물질이다. 흔한 유전성 파킨슨병은 알파-시누클레인 (SNCA) 유전자의 돌연변이와 관련이 있으며, 시드 핵 생성 과정에서 알파-시누클레인은 다른 아밀로이드와 유사한 교차 시트 구조를 갖게 된다.[20]
인간 장내에 흔한 ''장내세균과''는 기능성 아밀로이드 단백질인 커리를 생성할 수 있다. 세균이 분비하여 생물막을 생성하는 접히지 않은 아밀로이드 CsgA는 상피 세포 부착을 매개하고 박테리오파지 방어에 도움을 주며, 커리 섬유를 형성한다. 커리 생성 세균을 경구 주입하면 노령 쥐와 선형동물에서 아밀로이드 단백질 Syn의 형성과 응집을 증가시킬 수 있다. 장관 및 말초의 숙주 염증 반응은 커리 노출에 의해 조절된다. 생화학 연구에 따르면 커리의 내인성 세균성 샤페론은 Syn과 잠깐 상호 작용하여 응집을 조절할 수 있다.[22]
임상 및 병리학적 소견은 파킨슨병에서 α-시누클레인 질환이 장-뇌 경로를 통해 발생한다는 가설을 뒷받침한다. 따라서 α-시누클레인 생성 및 전파 단계에서 조기 진단 및 조기 관리를 위해 위장관(GIT) 생검과 같이 소화기계에서 병원성 α-시누클레인을 확인하는 것이 매우 중요하다.[20]
장내 미생물 불균형은 장 투과성, 위장 염증, asyn의 응집 및 확산을 촉진하여 파킨슨병 발생에 중요한 요인이 될 수 있다는 연구 결과가 늘어나고 있다.[20]
중추신경계뿐만 아니라 위장관(GIT)과 같은 다른 말초 조직에도 생리적 α-시누클레인 발현과 인산화 변이체가 존재한다.[23] Borghammer와 Van Den Berge (2019)는 말초 신경계(PNS) 우선 또는 중추신경계 우선 경로를 포함한 다양한 α-시누클레인 전파 방법을 가진 파킨슨병(PD) 아형의 가능성을 제시했다.[24]
위장관은 자폐 스펙트럼, 우울증, 불안, 알츠하이머병과 같은 다른 신경 질환과도 관련이 있지만, 장에서의 단백질 응집 및/또는 염증은 시누클레오파티 연구의 새로운 주제이다.[22]
5. 임상적 의의

알파-시누클레인(α-시누클레인)은 파킨슨병, 레비소체 치매, 다발성계통위축증과 같은 질환에서 중요한 역할을 하는 단백질이다. 이들 질환은 '시누클레인병증'이라고 불리며, 알파-시누클레인이 비정상적으로 응집되어 레비소체라고 불리는 불용성 덩어리를 형성하는 것이 특징이다.[212][213]
알파-시누클레인은 원래 구조가 없는 단백질로 알려져 있었으나, 최근 연구에서는 안정적으로 접힌 사량체(4개의 단백질 분자가 결합한 형태)를 형성하여 응집에 저항한다는 주장도 제기되고 있다.[205] 그러나 이 주장은 아직 논란의 여지가 있다.[209][210][211]
알파-시누클레인의 응집 과정은 아직 명확하게 밝혀지지 않았지만, 베타-시트 구조를 많이 포함하는 중간 단계를 거쳐 응집이 일어난다는 증거가 있다.[217]
에프스타인-바 바이러스가 시누클레인병증과 관련이 있다는 연구 결과도 있다.[220]
드물게 가족성 파킨슨병의 경우, 알파-시누클레인 유전자에 돌연변이가 발견되기도 한다. 현재까지 A53T, A30P, E46K, H50Q, G51D 등 5개의 점 돌연변이가 확인되었다.[221][222][223][224][225] 또한, 유전자 복제 및 삼중복합체도 파킨슨병의 원인이 될 수 있다.[226]
- '''왼쪽 그림''': 위에서 설명한 경로에서의 알려진 변형을 나타낸다. 신경 내부의 전기적 활동은 α-시누클레인과 소포와의 결합 상태를 변화시키고, PLK2 (폴로 유사 키나아제, 세포주기 조절에 관여하는 세린-트레오닌 키나아제)를 자극하여 세린 129를 인산화한다. 이 외에도 다른 단백질 키나아제의 관여를 주장하는 설도 있다. 인산화 외에도, 칼파인에 의한 절단이나, 아마도 NO (일산화질소)를 비롯한 염증 반응 중에 존재하는 활성 질소종 등에 의해서도 응집성을 높이는 변형이 일어난다. 레비 소체의 유비퀴틴화 (작은 검은 원으로 도식화)도 침착의 2차적인 과정으로 추정된다.
- '''오른쪽 그림''': α-시누클레인에 의한 독성의 세포 내 표적 가설을 보여준다. 위에서부터 순서대로, 소포체-골지체 수송 (수송 저해로 인한 소포체 스트레스 및 골지체 단편화 발생), 시냅스 소포 (신경 전달 물질 방출 감소), 미토콘드리아 (에너지 생산 손상 및 아폽토시스 유도), 리소좀 및 기타 단백질 분해 기구 (샤페론 매개 자가포식 기질 축적, 프로테아좀 손상)가 있다. 각각의 경우, 괄호 안에 제시된 것과 같은 유해한 영향을 미치는 것으로 생각되지만, 신경 독성에 대해 필요충분하게 설명할 수 있는지는 확실하지 않다.
]]
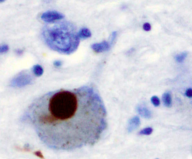
5. 1. 시누클레인병증
파킨슨병, 레비소체 치매, 다발성계통위축증과 같이 레비소체를 특징으로 하는 병적 상태에서 알파-시누클레인은 집합되어 불용성 원섬유를 형성한다.[212][213][93][94] 이러한 질환들은 시누클레인병증(synucleinopathies)으로 알려져 있다. 알파-시누클레인은 레비 소체 원섬유의 주요 구조골격 성분이다.[214] 때때로 레비 소체는 타우 단백질을 포함하지만,[214] 알파-시누클레인과 타우는 동일한 봉입체에 있는 두 개의 독특한 서브 세트 필라멘트를 구성한다.[215] 알파-시누클레인 병리는 알츠하이머병의 산발적인 경우와 가족력이 있는 경우 모두에서 발견된다.[216]
알파-시누클레인의 응집 메커니즘은 불확실하다. 응집체의 전구체, 궁극적으로 레비 소체가 될 수 있는 구조화된 중간체가 베타 구조에 풍부하다는 증거가 있다.[217] 2008년 단일 분자 연구는 알파-시누클레인이 평형상태에서 비정형의 알파-나선과 베타-시트가 풍부한 이형태의 혼합으로 존재한다고 제안한다. 응집을 개선한다고 알려진 돌연변이 또는 완충 조건은 베타 이형체(conformer)를 숫적으로 매우 증가시킨다. 따라서 이것은 병원성 응집에 관련된 입체형일 것이라고 제안된다.[218]
시누클레인병증의 ''in vitro'' 모델은 알파-시누클레인의 응집이 미세소관 장애, 시냅스 및 미토콘드리아 기능 장애, 산화 스트레스뿐만 아니라 칼슘 신호 전달, 프로테아좀 및 리소좀 경로의 조절 장애를 포함한 다양한 세포 장애로 이어질 수 있음을 보여주었다.[95]
시누클레인병증의 치료 전략 중에는 알파-시누클레인의 응집을 억제하는 화합물이 있다. 저분자 쿠민알데하이드 (cuminaldehyde)는 알파-시누클레인의 섬유화를 억제하는 것으로 밝혀졌다.[219] 엡스타인-바 바이러스(Epstein-Barrvirus)는 이들 질환에 연루되어 있다.[220]
파킨슨병 가족력의 드문 경우, 알파-시누클레인의 유전자 코딩에 돌연변이가 있다. 지금까지 A53T,[221] A30P,[222] E46K,[223] H50Q,[224] 그리고 G51D[225]의 5개의 점돌연변이가 확인되었다. 비록 다른 계통의 질환에서는 점돌연변이에 비해 더 일반적이기는 하지만, 게놈 복제와 그 유전자의 삼배수화는 파킨슨병의 드문 원인으로 보인다.[226] 그러므로 알파-시누클레인의 특정 돌연변이는 파킨슨병 발생에 기여하는 아밀로이드-유사 원섬유를 형성하는 원인이 될 수 있다.
5. 2. 파킨슨병과의 관련성
파킨슨병과 같이 레비소체를 특징으로 하는 병적 상태에서 알파-시누클레인(α-시누클레인)은 응집되어 불용성 원섬유를 형성한다.[212][213] 이러한 질환들을 시누클레오파티라고 한다. 알파-시누클레인은 레비 소체 원섬유의 주요 구조 성분이다.[93][94] 레비 소체는 때때로 타우 단백질을 포함하지만,[214] 알파-시누클레인과 타우는 동일한 봉입체에 있는 두 개의 독특한 서브 세트 필라멘트를 구성한다.[215] 알파-시누클레인 병리는 알츠하이머병의 산발적인 경우와 가족력이 있는 경우 모두에서 발견된다.[98]
알파-시누클레인의 응집 메커니즘은 불확실하다. 응집체의 전구체가 될 수 있고 궁극적으로 레비소체가 될 수 있는 베타 구조가 풍부한 구조화된 중간체가 있다는 증거가 있다.[99] 2008년 단일 분자 연구는 알파-시누클레인이 비구조화, 알파-나선 및 베타-시트가 풍부한 형태의 혼합물로 평형 상태에 존재한다는 것을 시사한다. 응집을 개선하는 것으로 알려진 돌연변이나 완충액 조건은 베타 형태의 개체군을 크게 증가시켜 병원성 응집과 관련된 형태일 수 있음을 시사한다.[100]
시누클레이노패티 치료 전략에는 알파-시누클레인의 응집을 억제하는 화합물이 있다. 소분자 쿠미날데히드가 알파-시누클레인의 섬유화를 억제한다는 것이 입증되었다.[102] 에프스타인-바 바이러스가 이러한 장애와 관련이 있는 것으로 나타났다.[103]
파킨슨병 가족력의 드문 경우, 알파-시누클레인의 유전자 코딩에 돌연변이가 있다. 지금까지 A53T,[221] A30P,[222] E46K,[223] H50Q,[224] 그리고 G51D[225]의 5개 점 돌연변이가 확인되었다. 유전자의 게놈 복제와 삼중복합체는 파킨슨병의 드문 원인으로 보이지만, 점 돌연변이보다 더 일반적이다.[226] 그러므로 알파-시누클레인의 특정 돌연변이는 파킨슨병 발생에 기여하는 아밀로이드 유사 원섬유를 형성하는 원인이 될 수 있다.
5. 3. 기타 질환과의 관련성
파킨슨병, 레비소체 치매, 다발성계통위축증과 같은 레비소체를 특징으로 하는 질환에서 알파-시누클레인은 응집되어 불용성 원섬유를 형성한다.[212][213] 이러한 질환들은 시누클레오파티로 알려져 있다. 알파-시누클레인은 레비소체 원섬유의 주요 구조 성분이다. 때때로 레비소체는 타우 단백질을 포함하지만,[214] 알파-시누클레인과 타우는 동일한 봉입체에 있는 두 개의 독특한 하위 집합 필라멘트를 구성한다.[215] 알파-시누클레인 병리는 알츠하이머병의 산발적인 경우와 가족력이 있는 경우 모두에서 발견된다.[216]자폐 스펙트럼 장애, 우울증, 불안 등 다른 신경 질환과 관련하여, 장에서의 단백질 응집 또는 염증은 시누클레오파티 연구의 새로운 주제이다.[22]
6. 치료 전략
알파-시누클레인 응집 억제, 알파-시누클레인 생성 감소, 알파-시누클레인 제거 촉진 등 다양한 치료 전략이 연구되고 있다. 소분자 화합물, 항체 치료, 유전자 치료 등 다양한 접근법이 시도되고 있다.
7. 단백질 간 상호작용
알파-시누클레인은 도파민 수송체[124][125][187][188], 파킨(리가제)[126][127][189][190], 포스포리파제 D1[128][191], 시누클레인 상호작용 단백질(Synphilin-1)[129][130][131][132][192][193][194][195], 타우 단백질[133][134][135][196][197], 베타 아밀로이드[136][198] 등 다양한 단백질과 상호 작용하는 것으로 알려져 있다. 파킨은 유전성 파킨슨병의 원인이 되는 리가아제의 일종이다.
참조
[1]
웹사이트
Genetics Home Reference: SNCA
http://ghr.nlm.nih.g[...]
U.S. National Library of Medicine
2013-11-12
[2]
논문
A broken alpha -helix in folded alpha -synuclein
2003-04-01
[3]
논문
Synapsins regulate α-synuclein functions
2019-06-01
[4]
논문
α-Synuclein in Lewy bodies
1997-08-28
[5]
서적
Neurobiology of brain disorders : biological basis of neurological and psychiatric disorders
https://www.worldcat[...]
2015-01-01
[6]
논문
Molecular cloning of cDNA encoding an unrecognized component of amyloid in Alzheimer disease
1993-12-01
[7]
논문
Characterization of the human alpha-synuclein gene: Genomic structure, transcription start site, promoter region and polymorphisms
http://iospress.meta[...]
2001-10-01
[8]
논문
Characterization of the human alpha-synuclein gene: Genomic structure, transcription start site, promoter region and polymorphisms: Erratum p489 Fig 3
http://iospress.meta[...]
[9]
논문
Identification of two distinct synucleins from human brain
1994-05-01
[10]
논문
The precursor protein of non-A beta component of Alzheimer's disease amyloid is a presynaptic protein of the central nervous system
1995-02-01
[11]
논문
α-Synuclein and Glia in Parkinson's Disease: A Beneficial or a Detrimental Duet for the Endo-Lysosomal System?
2019-03-01
[12]
논문
Novel MITF targets identified using a two-step DNA microarray strategy
2008-12-01
[13]
논문
Extensive nuclear localization of alpha-synuclein in normal rat brain neurons revealed by a novel monoclonal antibody
2007-03-01
[14]
논문
Membrane association and protein conformation of alpha-synuclein in intact neurons. Effect of Parkinson's disease-linked mutations
2000-03-01
[15]
논문
Membrane-bound alpha-synuclein has a high aggregation propensity and the ability to seed the aggregation of the cytosolic form
2002-01-01
[16]
논문
Semi-quantitative analysis of alpha-synuclein in subcellular pools of rat brain neurons: an immunogold electron microscopic study using a C-terminal specific monoclonal antibody
2008-12-01
[17]
논문
alpha-Synuclein is differentially expressed in mitochondria from different rat brain regions and dose-dependently down-regulates complex I activity
2009-05-01
[18]
논문
Alpha-synuclein structure, posttranslational modification and alternative splicing as aggregation enhancers
2006-09-01
[19]
논문
Tissue-dependent alternative splicing of mRNA for NACP, the precursor of non-A beta component of Alzheimer's disease amyloid
1994-12-01
[20]
논문
Alpha Synuclein Connects the Gut-Brain Axis in Parkinson's Disease Patients - A View on Clinical Aspects, Cellular Pathology and Analytical Methodology
2020-01-01
[21]
논문
Digesting recent findings: gut alpha-synuclein, microbiome changes in Parkinson's disease
2022-02-01
[22]
논문
A gut bacterial amyloid promotes α-synuclein aggregation and motor impairment in mice
2020-02-01
[23]
논문
Distinct pattern of enteric phospho-alpha-synuclein aggregates and gene expression profiles in patients with Parkinson's disease
2017-01-01
[24]
논문
Brain-First versus Gut-First Parkinson's Disease: A Hypothesis
2019-10-30
[25]
논문
Tryptophan fluorescence reveals structural features of alpha-synuclein oligomers
https://ris.utwente.[...]
2009-12-01
[26]
논문
NACP, a protein implicated in Alzheimer's disease and learning, is natively unfolded
1996-10-01
[27]
논문
Diverse metastable structures formed by small oligomers of α-synuclein probed by force spectroscopy
2014-01-01
[28]
논문
Characterization of a novel protein regulated during the critical period for song learning in the zebra finch
1995-08-01
[29]
논문
Tubulin seeds alpha-synuclein fibril formation
2002-01-01
[30]
논문
Demonstration of a role for alpha-synuclein as a functional microtubule-associated protein
2004-08-01
[31]
논문
Snaring the function of alpha-synuclein
2005-11-01
[32]
논문
Alpha-synuclein cooperates with CSPalpha in preventing neurodegeneration
2005-11-01
[33]
논문
Alpha-synuclein promotes SNARE-complex assembly in vivo and in vitro
2010-09-01
[34]
논문
Alpha-synuclein blocks ER-Golgi traffic and Rab1 rescues neuron loss in Parkinson's models
2006-07-01
[35]
논문
α-Synuclein knockout mice have cognitive impairments
2012-05-01
[36]
논문
Alpha-Synuclein Toxicity is Caused by Mitochondrial Dysfunction
https://ir.lib.uwo.c[...]
2019-02-04
[37]
논문
Yeast genes that enhance the toxicity of a mutant huntingtin fragment or alpha-synuclein
2003-12
[38]
논문
Neuropathology, biochemistry, and biophysics of alpha-synuclein aggregation
2007-10
[39]
논문
Structure of membrane-bound alpha-synuclein from site-directed spin labeling and computational refinement
2008-12
[40]
논문
The association of alpha-synuclein with membranes affects bilayer structure, stability, and fibril formation
2003-10
[41]
논문
A study of the regional effects of alpha-synuclein on the organization and stability of phospholipid bilayers
2006-05
[42]
논문
Membrane curvature induction and tubulation are common features of synucleins and apolipoproteins
2010-10
[43]
논문
Remodeling of lipid vesicles into cylindrical micelles by α-synuclein in an extended α-helical conformation
2012-08
[44]
논문
α-Synuclein oligomers with broken helical conformation form lipoprotein nanoparticles
2013-06
[45]
논문
Membrane remodeling by amyloidogenic and non-amyloidogenic proteins studied by EPR
2017-07
[46]
논문
Alpha-synuclein can function as an antioxidant preventing oxidation of unsaturated lipid in vesicles
2006-07
[47]
논문
Membranes as modulators of amyloid protein misfolding and target of toxicity
2018-09
[48]
논문
Ultrasensitive Measurement of Ca2+ Influx into Lipid Vesicles Induced by Protein Aggregates
2017-06
[49]
논문
The formation of highly soluble oligomers of alpha-synuclein is regulated by fatty acids and enhanced in Parkinson's disease
2003-02
[50]
논문
Inhibitors of alpha-synuclein oligomerization and toxicity: a future therapeutic strategy for Parkinson's disease and related disorders
2006-08
[51]
논문
Alpha-synuclein, lipids and Parkinson's disease
2010-10
[52]
논문
Lipid peroxidation is essential for α-synuclein-induced cell death
2015-05
[53]
논문
Alpha-synuclein overexpression in PC12 and chromaffin cells impairs catecholamine release by interfering with a late step in exocytosis
2006-11
[54]
논문
Increased expression of alpha-synuclein reduces neurotransmitter release by inhibiting synaptic vesicle reclustering after endocytosis
2010-01
[55]
논문
A pathologic cascade leading to synaptic dysfunction in alpha-synuclein-induced neurodegeneration
2010-06
[56]
논문
α-Synuclein inhibits intersynaptic vesicle mobility and maintains recycling-pool homeostasis
2012-07
[57]
논문
Synucleins regulate the kinetics of synaptic vesicle endocytosis
2014-07
[58]
논문
α-synuclein multimers cluster synaptic vesicles and attenuate recycling
2014-10
[59]
논문
Functional cooperation of α-synuclein and VAMP2 in synaptic vesicle recycling
2019-06
[60]
논문
Cell Biology and Pathophysiology of α-Synuclein
2018-03
[61]
논문
Systematic mutagenesis of α-synuclein reveals distinct sequence requirements for physiological and pathological activities
2012-10
[62]
논문
α-Synuclein assembles into higher-order multimers upon membrane binding to promote SNARE complex formation
2014-10
[63]
논문
Native α-synuclein induces clustering of synaptic-vesicle mimics via binding to phospholipids and synaptobrevin-2/VAMP2
2013-04
[64]
논문
Alpha-synuclein is a DNA binding protein that modulates DNA repair with implications for Lewy body disorders
2019-07
[65]
논문
A Focus on the Beneficial Effects of Alpha Synuclein and a Re-Appraisal of Synucleinopathies
[66]
논문
Transcriptome Analysis in a Mouse Model of Premature Aging of Dentate Gyrus: Rescue of Alpha-Synuclein Deficit by Virus-Driven Expression or by Running Restores the Defective Neurogenesis
[67]
논문
Synaptic Regulator α-Synuclein in Dopaminergic Fibers Is Essentially Required for the Maintenance of Subependymal Neural Stem Cells
2018-01
[68]
논문
The synucleins: a family of proteins involved in synaptic function, plasticity, neurodegeneration and disease
1998-06
[69]
논문
A structural and functional role for 11-mer repeats in alpha-synuclein and other exchangeable lipid binding proteins
2003-06
[70]
논문
Propagation of alpha-synuclein pathology: hypotheses, discoveries, and yet unresolved questions from experimental and human brain studies
2016-01
[71]
논문
Carboxy-terminal truncations of mouse α-synuclein alter aggregation and prion-like seeding
2020-04-01
[72]
논문
Autoproteolytic fragments are intermediates in the oligomerization/aggregation of the Parkinson's disease protein alpha-synuclein as revealed by ion mobility mass spectrometry
2011-12-01
[73]
논문
Protein Misfolding, Amyloid Formation, and Human Disease: A Summary of Progress Over the Last Decade
2017-06-01
[74]
논문
Half a century of amyloids: past, present and future
2020-08-01
[75]
논문
Isoelectric point-amyloid formation of α-synuclein extends the generality of the solubility and supersaturation-limited mechanism
2020-01-01
[76]
논문
Physicochemical properties of cells and their effects on intrinsically disordered proteins (IDPs)
2014-07-01
[77]
논문
The amyloid state of proteins in human diseases
2012-03-01
[78]
논문
α-Synuclein occurs physiologically as a helically folded tetramer that resists aggregation
2011-08-01
[79]
논문
A soluble α-synuclein construct forms a dynamic tetramer
2011-10-01
[80]
논문
In vivo cross-linking reveals principally oligomeric forms of α-synuclein and β-synuclein in neurons and non-neural cells
2013-03-01
[81]
논문
Monomeric synucleins generate membrane curvature
2013-01-01
[82]
논문
N-Terminal acetylation is critical for forming α-helical oligomer of α-synuclein
2012-05-01
[83]
논문
Bacterial in-cell NMR of human α-synuclein: a disordered monomer by nature?
2012-10-01
[84]
논문
High-resolution characterization of intrinsic disorder in proteins: expanding the suite of (13)C-detected NMR spectroscopy experiments to determine key observables
2011-10-01
[85]
논문
In-cell NMR characterization of the secondary structure populations of a disordered conformation of α-synuclein within E. coli cells
2013-08-26
[86]
논문
Protein dynamics in living cells studied by in-cell NMR spectroscopy
2013-04-01
[87]
논문
Molecular Crowding Stabilizes Both the Intrinsically Disordered Calcium-Free State and the Folded Calcium-Bound State of an RTX Protein: Implication for Toxin Secretion
2014-01-01
[88]
논문
Rapid distinction of intracellular and extracellular proteins using NMR diffusion measurements
https://discovery.uc[...]
2012-07-01
[89]
논문
Hydrogen exchange of monomeric alpha-synuclein shows unfolded structure persists at physiological temperature and is independent of molecular crowding in Escherichia coli
2008-08-01
[90]
논문
α-Synuclein in central nervous system and from erythrocytes, mammalian cells, and Escherichia coli exists predominantly as disordered monomer
2012-05-01
[91]
논문
Properties of native brain α-synuclein
2013-06-01
[92]
논문
Structural disorder of monomeric α-synuclein persists in mammalian cells
https://repository.p[...]
2016-02-01
[93]
논문
Alpha-synuclein in Lewy bodies
1997-08-01
[94]
논문
Alpha synuclein in neurodegenerative disorders: murderer or accomplice?
https://zenodo.org/r[...]
1998-07-01
[95]
논문
In vitro models of synucleinopathies: informing on molecular mechanisms and protective strategies
2019-09-01
[96]
논문
Cellular co-localization of phosphorylated tau- and NACP/alpha-synuclein-epitopes in lewy bodies in sporadic Parkinson's disease and in dementia with Lewy bodies
1999-10-01
[97]
논문
NACP/alpha-synuclein and tau constitute two distinctive subsets of filaments in the same neuronal inclusions in brains from a family of parkinsonism and dementia with Lewy bodies: double-immunolabeling fluorescence and electron microscopic studies
2000-08-01
[98]
논문
NACP/alpha-synuclein, NAC, and beta-amyloid pathology of familial Alzheimer's disease with the E184D presenilin-1 mutation: a clinicopathological study of two autopsy cases
2002-12-01
[99]
논문
Correlation of amyloid fibril beta-structure with the unfolded state of alpha-synuclein
2007-09-01
[100]
논문
Conformational equilibria in monomeric alpha-synuclein at the single-molecule level
2008-01-01
[101]
논문
The synaptic pathology of alpha-synuclein aggregation in dementia with Lewy bodies, Parkinson's disease and Parkinson's disease dementia
2010-08-01
[102]
논문
The Inhibitory Effects of Cuminaldehyde on Amyloid Fibrillation and Cytotoxicity of Alpha-synuclein
2012-01-01
[103]
논문
Monoclonal antibodies against Epstein-Barr virus cross-react with alpha-synuclein in human brain
2000-11-01
[104]
논문
Mutation in the alpha-synuclein gene identified in families with Parkinson's disease
https://zenodo.org/r[...]
1997-06-01
[105]
논문
Ala30Pro mutation in the gene encoding alpha-synuclein in Parkinson's disease
1998-02-01
[106]
논문
The new mutation, E46K, of alpha-synuclein causes Parkinson and Lewy body dementia
2004-02-01
[107]
논문
Alpha-synuclein p.H50Q, a novel pathogenic mutation for Parkinson's disease
2013-06-01
[108]
논문
G51D α-synuclein mutation causes a novel parkinsonian-pyramidal syndrome
2013-04-01
[109]
논문
A new alpha-synuclein missense variant (Thr72Met) in two Turkish families with Parkinson's disease
2021-08-01
[110]
논문
Mutant and wild type human alpha-synucleins assemble into elongated filaments with distinct morphologies in vitro
1999-03-01
[111]
논문
Mutations associated with familial Parkinson's disease alter the initiation and amplification steps of α-synuclein aggregation
2016-09-01
[112]
논문
alpha-Synuclein locus triplication causes Parkinson's disease
https://zenodo.org/r[...]
2003-10-01
[113]
논문
Alpha-synuclein locus duplication as a cause of familial Parkinson's disease
2004-01-01
[114]
논문
Long-term consequences of human alpha-synuclein overexpression in the primate ventral midbrain
2007-03-01
[115]
논문
Initiation and synergistic fibrillization of tau and alpha-synuclein
2003-04-01
[116]
논문
C-terminal alpha-synuclein immunoreactivity in structures other than Lewy bodies in neurodegenerative disorders
2000-03-01
[117]
논문
Differential cross-seeding properties of tau and α-synuclein in mouse models of tauopathy and synucleinopathy
2020-07-01
[118]
논문
Evidence for α-synuclein prions causing multiple system atrophy in humans with parkinsonism
2015-09-01
[119]
웹사이트
New Type of Prion May Cause, Transmit Neurodegeneration
http://www.ucsf.edu/[...]
2015-08-31
[120]
웹사이트
Another Fatal Brain Disease May Come from the Spread of 'Prion' Proteins
http://www.livescien[...]
2015-08-31
[121]
논문
alpha-Synuclein and neuronal cell death
2009-02-01
[122]
논문
Novel self-replicating α-synuclein polymorphs that escape ThT monitoring can spontaneously emerge and acutely spread in neurons
2020-10-01
[123]
논문
alpha-Synuclein is phosphorylated in synucleinopathy lesions
2002-02-01
[124]
논문
Attenuation of dopamine transporter activity by alpha-synuclein
2003-04-01
[125]
논문
Direct binding and functional coupling of alpha-synuclein to the dopamine transporters accelerate dopamine-induced apoptosis
2001-04-01
[126]
논문
Co-association of parkin and alpha-synuclein
2001-09-01
[127]
논문
alpha-Synuclein aggregates interfere with Parkin solubility and distribution: role in the pathogenesis of Parkinson disease
2008-03-01
[128]
논문
alpha-Synuclein interacts with phospholipase D isozymes and inhibits pervanadate-induced phospholipase D activation in human embryonic kidney-293 cells
2002-04-01
[129]
논문
Analysis of synphilin-1 and synuclein interactions by yeast two-hybrid beta-galactosidase liquid assay
2002-06-01
[130]
논문
Differential expression of bcl2 protooncogene in neuroblastoma and other human tumor cell lines of neural origin
1991-12-01
[131]
논문
Interaction of alpha-synuclein and synphilin-1: effect of Parkinson's disease-associated mutations
2001-05-01
[132]
논문
Synphilin-1 associates with alpha-synuclein and promotes the formation of cytosolic inclusions
1999-05-01
[133]
논문
More than just two peas in a pod: common amyloidogenic properties of tau and alpha-synuclein in neurodegenerative diseases
2004-03-01
[134]
논문
alpha-synuclein binds to Tau and stimulates the protein kinase A-catalyzed tau phosphorylation of serine residues 262 and 356
1999-09-01
[135]
논문
Interactions of amyloidogenic proteins
[136]
논문
Cross-seeding effects of amyloid β-protein and α-synuclein
https://kanazawa-u.r[...]
2012-09-01
[137]
논문
Molecular cloning of cDNA encoding an unrecognized component of amyloid in Alzheimer disease
http://www.pnas.org/[...]
[138]
논문
Characterization of the human alpha-synuclein gene: Genomic structure, transcription start site, promoter region and polymorphisms
http://iospress.meta[...]
[139]
논문
Characterization of the human alpha-synuclein gene: Genomic structure, transcription start site, promoter region and polymorphisms: Erratum p489 Fig 3
http://iospress.meta[...]
[140]
논문
Tubulin seeds alpha-synuclein fibril formation.
[141]
논문
Alpha-synuclein structure, posttranslational modification and alternative splicing as aggregation enhancers
[142]
논문
The precursor protein of non-A beta component of Alzheimer's disease amyloid is a presynaptic protein of the central nervous system
[143]
논문
Demonstration of alpha-synuclein immunoreactivity in neuronal and glial cytoplasm in normal human brain tissue using proteinase K and formic acid pretreatment
[144]
논문
Novel MITF targets identified using a two-step DNA microarray strategy
http://onlinelibrary[...]
[145]
논문
Extensive nuclear localization of alpha-synuclein in normal rat brain neurons revealed by a novel monoclonal antibody
[146]
논문
Membrane association and protein conformation of alpha-synuclein in intact neurons. Effect of Parkinson's disease-linked mutations
http://www.jbc.org/c[...]
[147]
논문
Stabilization of alpha-synuclein secondary structure upon binding to synthetic membranes
http://www.jbc.org/c[...]
[148]
논문
Membrane-bound alpha-synuclein has a high aggregation propensity and the ability to seed the aggregation of the cytosolic form
http://www.jbc.org/c[...]
[149]
논문
Semi-quantitative analysis of alpha-synuclein in subcellular pools of rat brain neurons: an immunogold electron microscopic study using a C-terminal specific monoclonal antibody
[150]
논문
Alpha-Synuclein is differentially expressed in mitochondria from different rat brain regions and dose-dependently down-regulates complex I activity
[151]
논문
Tissue-dependent alternative splicing of mRNA for NACP, the precursor of non-A beta component of Alzheimer's disease amyloid.
[152]
논문
Characterization of a novel protein regulated during the critical period for song learning in the zebra finch
[153]
논문
Demonstration of a role for alpha-synuclein as a functional microtubule-associated protein
[154]
논문
Snaring the function of alpha-synuclein
[155]
논문
Alpha-synuclein cooperates with CSPalpha in preventing neurodegeneration
[156]
논문
Alpha-synuclein promotes SNARE-complex assembly in vivo and in vitro
http://www.ncbi.nlm.[...]
[157]
논문
Alpha-synuclein blocks ER-golgi traffic and Rab1 rescues neuron loss in Parkinson’s models
[158]
논문
Yeast genes that enhance the toxicity of a mutant huntingtin fragment or alpha-synuclein
[159]
논문
Neuropathology, biochemistry, and biophysics of alpha-synuclein aggregation
[160]
논문
Structure of membrane-bound alpha-synuclein from site-directed spin labeling and computational refinement
http://www.ncbi.nlm.[...]
[161]
논문
The association of alpha-synuclein with membranes affects bilayer structure, stability, and fibril formation
[162]
논문
A study of the regional effects of alpha-synuclein on the organization and stability of phospholipid bilayers
[163]
논문
Membrane curvature induction and tubulation is a common feature of synucleins and apolipoproteins
[164]
논문
Alpha-synuclein can function as an antioxidant preventing oxidation of unsaturated lipid in vesicles
[165]
논문
The synucleins: a family of proteins involved in synaptic function, plasticity, neurodegeneration and disease
[166]
논문
Multiple phosphorylation of alpha-synuclein by protein tyrosine kinase Syk prevents eosin-induced aggregation
http://www.fasebj.or[...]
[167]
논문
Constitutive phosphorylation of the Parkinson's disease associated alpha-synuclein
http://www.jbc.org/c[...]
[168]
논문
α-Synuclein Is Phosphorylated by Members of the Src Family of Protein-tyrosine Kinases
http://www.jbc.org/c[...]
[169]
논문
Autoproteolytic fragments are intermediates in the oligomerization/aggregation of the Parkinson's disease protein alpha-synuclein as revealed by ion mobility mass spectrometry
[170]
논문
α-Synuclein occurs physiologically as a helically folded tetramer that resists aggregation
[171]
논문
Immunoelectron-microscopic demonstration of NACP/alpha-synuclein-epitopes on the filamentous component of Lewy bodies in Parkinson's disease and in dementia with Lewy bodies
[172]
논문
NACP/alpha-synuclein immunoreactivity in fibrillary components of neuronal and oligodendroglial cytoplasmic inclusions in the pontine nuclei in multiple system atrophy
[173]
논문
Cellular co-localization of phosphorylated tau- and NACP/alpha-synuclein-epitopes in Lewy bodies in sporadic Parkinson's disease and in dementia with Lewy bodies
[174]
논문
NACP/alpha-synuclein and tau constitute two distinctive subsets of filaments in the same neuronal inclusions in brains from a family of parkinsonism and dementia with Lewy bodies: double-immunolabeling fluorescence and electron microscopic studies
[175]
논문
NACP/alpha-synuclein, NAC, and beta-amyloid pathology of familial Alzheimer's disease with the E184D presenilin-1 mutation: a clinicopathological study of two autopsy cases
[176]
논문
Correlation of amyloid fibril beta-structure with the unfolded state of alpha-synuclein
[177]
논문
Conformational equilibria in monomeric α-synuclein at the single-molecule level
[178]
논문
The Inhibitory Effects of Cuminaldehyde on Amyloid Fibrillation and Cytotoxicity of Alpha-synuclein
http://mjms.journals[...]
[179]
논문
Monoclonal antibodies against Epstein-Barr virus cross-react with alpha-synuclein in human brain.
2000-11-14
[180]
논문
Mutation in the alpha-synuclein gene identified in families with Parkinson's disease
[181]
논문
Effect of familial Parkinson's disease point mutations A30P and A53T on the structural properties, aggregation, and fibrillation of human alpha-synuclein
[182]
논문
The new mutation, E46K, of alpha-synuclein causes Parkinson and Lewy body dementia
[183]
논문
alpha-Synuclein locus triplication causes Parkinson's disease
[184]
논문
alpha-Synuclein is phosphorylated in synucleinopathy lesions
[185]
논문
C-terminal alpha-synuclein immunoreactivity in structures other than Lewy bodies in neurodegenerative disorders
[186]
논문
alpha-Synuclein and neuronal cell death
[187]
논문
Attenuation of dopamine transporter activity by alpha-synuclein
[188]
논문
Direct binding and functional coupling of alpha-synuclein to the dopamine transporters accelerate dopamine-induced apoptosis
[189]
논문
Co-association of parkin and alpha-synuclein
[190]
논문
alpha-Synuclein aggregates interfere with Parkin solubility and distribution: role in the pathogenesis of Parkinson disease
[191]
논문
alpha-Synuclein interacts with phospholipase D isozymes and inhibits pervanadate-induced phospholipase D activation in human embryonic kidney-293 cells
[192]
논문
Analysis of synphilin-1 and synuclein interactions by yeast two-hybrid beta-galactosidase liquid assay
[193]
논문
Differential expression of bcl2 protooncogene in neuroblastoma and other human tumor cell lines of neural origin
[194]
논문
Interaction of alpha-synuclein and synphilin-1: effect of Parkinson's disease-associated mutations
[195]
논문
Synphilin-1 associates with alpha-synuclein and promotes the formation of cytosolic inclusions
[196]
논문
alpha-synuclein binds to Tau and stimulates the protein kinase A-catalyzed tau phosphorylation of serine residues 262 and 356
[197]
논문
Interactions of amyloidogenic proteins
[198]
논문
Cross-seeding effects of amyloid β-protein and α-synuclein
https://pubmed.ncbi.[...]
2013-02-13
[199]
웹인용
Genetics Home Reference: SNCA
http://ghr.nlm.nih.g[...]
U.S. National Library of Medicine
2013-11-14
[200]
논문
A broken alpha -helix in folded alpha -Synuclein
2003-04-01
[201]
논문
Native α-synuclein induces clustering of synaptic-vesicle mimics via binding to phospholipids and synaptobrevin-2/VAMP2
[202]
논문
Molecular cloning of cDNA encoding an unrecognized component of amyloid in Alzheimer disease
http://www.pnas.org/[...]
1993-12-01
[203]
논문
Characterization of the human alpha-synuclein gene: Genomic structure, transcription start site, promoter region and polymorphisms
http://iospress.meta[...]
2016-08-03
[204]
논문
Characterization of the human alpha-synuclein gene: Genomic structure, transcription start site, promoter region and polymorphisms: Erratum p489 Fig 3
http://iospress.meta[...]
2016-08-03
[205]
논문
α-Synuclein occurs physiologically as a helically folded tetramer that resists aggregation
2011-09-01
[206]
논문
In Vivo Cross-linking Reveals Principally Oligomeric Forms of -Synuclein and -Synuclein in Neurons and Non-neural Cells
[207]
논문
Monomeric Synucleins Generate Membrane Curvature
[208]
논문
N-terminal acetylation is critical for forming α-helical oligomer of α-synuclein
[209]
논문
-Synuclein in Central Nervous System and from Erythrocytes, Mammalian Cells, and Escherichia coli Exists Predominantly as Disordered Monomer
[210]
논문
Properties of native brain α-synuclein
[211]
저널
Structural disorder of monomeric α-synuclein persists in mammalian cells
[212]
저널
Alpha-synuclein in Lewy bodies
1997-08-01
[213]
저널
Alpha synuclein in neurodegenerative disorders: murderer or accomplice?
1998-07-01
[214]
저널
Cellular co-localization of phosphorylated tau- and NACP/alpha-synuclein-epitopes in lewy bodies in sporadic Parkinson's disease and in dementia with Lewy bodies
1999-10-01
[215]
저널
NACP/alpha-synuclein and tau constitute two distinctive subsets of filaments in the same neuronal inclusions in brains from a family of parkinsonism and dementia with Lewy bodies: double-immunolabeling fluorescence and electron microscopic studies
https://archive.org/[...]
2000-08-01
[216]
저널
NACP/alpha-synuclein, NAC, and beta-amyloid pathology of familial Alzheimer's disease with the E184D presenilin-1 mutation: a clinicopathological study of two autopsy cases
2002-12-01
[217]
저널
Correlation of amyloid fibril beta-structure with the unfolded state of alpha-synuclein
2007-09-01
[218]
저널
Conformational equilibria in monomeric alpha-synuclein at the single-molecule level
2008-01-01
[219]
저널
The Inhibitory Effects of Cuminaldehyde on Amyloid Fibrillation and Cytotoxicity of Alpha-synuclein
2012-03-01
[220]
저널
Monoclonal antibodies against Epstein-Barr virus cross-react with alpha-synuclein in human brain
2000-11-01
[221]
저널
Mutation in the alpha-synuclein gene identified in families with Parkinson's disease
1997-06-01
[222]
저널
Ala30Pro mutation in the gene encoding alpha-synuclein in Parkinson's disease
1998-02-01
[223]
저널
The new mutation, E46K, of alpha-synuclein causes Parkinson and Lewy body dementia
https://archive.org/[...]
2004-02-01
[224]
저널
Alpha-synuclein p.H50Q, a novel pathogenic mutation for Parkinson's disease
2013-06-01
[225]
저널
G51D α-synuclein mutation causes a novel parkinsonian-pyramidal syndrome
https://archive.org/[...]
2013-04-01
[226]
저널
alpha-Synuclein locus triplication causes Parkinson's disease
2003-10-01
본 사이트는 AI가 위키백과와 뉴스 기사,정부 간행물,학술 논문등을 바탕으로 정보를 가공하여 제공하는 백과사전형 서비스입니다.
모든 문서는 AI에 의해 자동 생성되며, CC BY-SA 4.0 라이선스에 따라 이용할 수 있습니다.
하지만, 위키백과나 뉴스 기사 자체에 오류, 부정확한 정보, 또는 가짜 뉴스가 포함될 수 있으며, AI는 이러한 내용을 완벽하게 걸러내지 못할 수 있습니다.
따라서 제공되는 정보에 일부 오류나 편향이 있을 수 있으므로, 중요한 정보는 반드시 다른 출처를 통해 교차 검증하시기 바랍니다.
문의하기 : help@durumis.com
