일반 혈액 검사
"오늘의AI위키"의 AI를 통해 더욱 풍부하고 폭넓은 지식 경험을 누리세요.
1. 개요
일반 혈액 검사는 전반적인 건강 상태를 평가하고 다양한 질환을 선별하거나 진단하는 데 사용되는 의학적 검사이다. 혈액의 액체 성분인 혈장과 적혈구, 백혈구, 혈소판으로 구성된 세포 성분을 평가하며, 빈혈, 감염, 출혈 질환 등을 진단하는 데 활용된다. 검사 절차는 팔의 정맥에서 혈액을 채취하여 자동 분석기를 통해 세포 수, 헤모글로빈 농도, 백혈구 감별 계산 등을 수행하거나, 필요에 따라 수동 검사를 시행한다. 검사 결과는 각 항목별 정상 범위와 비교하여 해석하며, 혈구 수의 변화는 다양한 질병의 징후를 나타낼 수 있다. 한국에서는 건강검진의 필수 항목으로 널리 시행되고 있다.
더 읽어볼만한 페이지
2. 의학적 사용
일반 혈액 검사는 전반적인 건강 상태를 평가하고, 빈혈, 감염, 염증, 출혈 장애, 백혈병 등 다양한 질환을 선별하거나 진단하는 데 사용된다.[282] 또한 치료 효과를 모니터링하고, 수혈이 필요한 환자의 경우 수혈량 결정에 도움을 줄 수 있다.[283]
혈액은 혈장이라는 액체 부분과 적혈구, 백혈구, 혈소판을 포함하는 세포 부분으로 구성된다.[5] 전혈구 계산은 혈액의 세 가지 세포 성분을 평가하며,[203] 많은 기관 계통의 변화는 혈액에 영향을 미칠 수 있으므로 광범위한 상태를 조사하는 데 유용하다.[6][7][8]
일반 혈액 검사는 다음과 같은 경우에 사용된다.
- 질병 선별 검사[9]
- 감염, 출혈 장애, 암 등 혈구를 공격하는 질병이 의심되는 경우[4]
- 혈구 수에 영향을 미치는 질환으로 진단받았거나 치료를 받고 있는 경우[9]
- 입원 환자의 건강 상태 모니터링 (매일 수행되는 경우도 있음)[10]
- 수혈 또는 혈소판 수혈 필요성 확인[11]
- 수술 전 빈혈 및 감염 확인, 혈소판 수치 확인, 수술 후 혈액 손실 모니터링[34][12][9][13]
- 응급 의학에서 발열, 복통, 호흡 곤란과 같은 증상 조사, 출혈 및 주요 외상 평가[14][15][16][17][18]
- 화학 요법이나 방사선 요법을 받는 환자의 골수 억제로 인한 혈구 수치 변화 모니터링[19]
- 클로자핀, 카르바마제핀 등 일부 정신과 약물 복용자의 무과립구증 발생 여부 확인[20][21]
- 산전 관리 중 산모와 아기의 건강에 영향을 줄 수 있는 빈혈 확인[22]
- 신생아의 신생아 황달 조사, 백혈구 감별 계산을 통한 미성숙 세포 수 확인 (패혈증 지표)[23][24]
일반 혈액 검사는 혈액학의 필수 도구로, 혈액 관련 질병의 원인, 예후, 치료, 예방 연구에 사용된다.[25] 골수를 포함한 조혈 시스템의 기능을 반영하며,[6][26] 범혈구 감소증, 급성 백혈병, 림프종, 골수증식성 질환, 림프증식성 질환 등의 진단에 활용된다.[27][26] 또한 영양 결핍, 골수 질환, 후천성 용혈성 빈혈, 겸상 적혈구 빈혈, 지중해 빈혈 등 빈혈의 원인을 구별하는 데 도움이 된다.[28][29]
다혈증은 헤모글로빈 농도가 비정상적으로 상승하는 상태(남성 18g/dL 이상, 여성 16g/dL 이상)로, 적혈구 수, 헤마토크리트 수치도 함께 높게 나타난다.[248]
- 보상성 증가: 청색증성 선천성 심장 질환, 만성 폐쇄성 폐 질환, 흡연, 고지대 거주 등에서 저산소혈증에 적응하기 위해 적혈구 생산이 증가하는 경우 (이차성 다혈증)
- 종양성 증가: 진성 다혈증은 조혈 줄기 세포 이상으로 적혈구, 백혈구, 혈소판이 모두 비정상적으로 증식하는 질환
- 에리스로포이에틴 생성 항진: 드물게 조혈 촉진 사이토카인인 에리스로포이에틴이 악성 종양 등에 의해 생성되는 경우
- 상대적 증가: 탈수(구토, 설사, 화상, 수분 섭취 부족 등)로 체액량이 감소하여 혈액이 농축, 헤모글로빈 농도 등이 상대적으로 높아지는 경우 (상대적 다혈증)
2. 1. 절차
일반 혈액 검사는 보통 팔의 정맥에서 채혈 전문의가 피를 뽑아 진행한다. 이때 피를 뽑는 시험관에는 혈액이 굳는 것을 막는 항응고제(주로 EDTA)가 들어있다.[37] 채취된 혈액은 검사실로 옮겨져 자동 분석기를 통해 검사하거나, 필요에 따라 수동 검사를 하기도 한다.2. 1. 1. 자동 혈액 검사
자동 혈액 분석기는 혈액 세포를 계수하고, 헤모글로빈 농도를 측정하며, 백혈구 감별 계산 등을 수행한다. 유세포 분석, 전기 임피던스, 광산란 등의 기술을 사용하여 세포의 수, 크기, 형태, 내부 구조 등을 분석한다.[284]자동 분석기는 채취한 혈액을 사용하여 검사를 진행한다. 먼저, 채취한 혈액을 잘 섞은 후(흔들지 않음) 분석기 선반에 올린다. 자동 분석기는 세포를 흘려보내면서 광도계와 관을 통해 혈액 내 요소를 검사한다. 세포를 세는 부분은 혈액 내 세포 수와 종류를 측정한다. 결과는 인쇄물이나 컴퓨터로 전송되어 검토된다.[284]
세포계수기는 가느다란 관으로 극미량의 표본을 흡입하여 레이저 유세포분석기로 전달한다. 레이저 감지기는 미세한 관을 지나는 세포 수를 세고, 세포의 종류를 구분한다. 이를 유세포분석이라 한다. 유세포분석기의 주요 감지기는 빛 감지기와 전기적 임피던스 감지기로 나뉜다. 일부 분석 기기는 세포의 크기와 빛 산란 특성에 따라 세포를 분석하고, 기타 세포 특성에 따라 세포를 분류한다.[284]
자동 세포계수기는 많은 세포를 세기 때문에 결과가 정밀하다. 하지만 혈액에 비정상적인 세포가 있을 때는 제대로 확인하지 못할 수 있으므로, 사람이 기기 결과를 확인하고 비정상 세포를 분류해야 한다.[284]
자동 혈액 분석기는 혈액과 각 적혈구에 있는 헤모글로빈 양을 측정한다. 적혈구는 희석액에 용해되어 분광분석기 큐벳으로 이동한다. 용해물의 색 변화에 따라 혈중 헤모글로빈 양을 측정한다. 이 정보는 빈혈 원인 규명에 사용된다. 적혈구 크기나 균일성 여부에 따라 추가 검사 방향을 정하거나 진단에 도움을 주어 환자가 빠른 치료를 받도록 돕는다.[284]
검체는 자연적인 응고를 막기 위해 항응고제(일반적으로 EDTA)가 들어있는 튜브에 혈액을 채취하여 수집한다.[37] 혈액은 일반적으로 정맥에서 채취하지만, 어려울 경우 모세혈관 혈액에서 손가락 채혈 또는 유아의 경우 발뒤꿈치 찌르기로 채취할 수 있다.[38][39] 검사는 주로 자동 분석기를 사용하여 수행하지만, 이상 결과 조사를 위해 혈액 도말 검사 또는 수동 혈구 용적 검사와 같은 수동 기술을 사용할 수 있다.[40] 자동화 기기를 사용할 수 없는 실험실에서는 세포 수와 헤모글로빈 측정을 수동으로 수행한다.[41]
분석기 내부에서 시료는 세포가 균일하게 분포되도록 교반된 후 희석되어 최소 두 개의 채널로 분할된다. 하나는 적혈구와 혈소판 계산에, 다른 하나는 백혈구 계산과 헤모글로빈 농도 측정에 사용된다. 일부 기기는 별도 채널에서 헤모글로빈을 측정하며, 망상 적혈구 수치, 혈소판 특수 측정, 백혈구 감별 계산에 추가 채널이 사용될 수 있다.[42][43][44] 세포는 유세포 분석법 기술에서 센서를 지나면서 특성이 측정된다. 더 정확한 결과를 위해 유체역학적 초점을 사용하여 개별 세포를 분리할 수 있다. 희석된 시료는 저압 유체 흐름에 주입되어 층류를 통해 세포가 일렬로 정렬된다.[49][50]


헤모글로빈 농도 측정을 위해, 시약 화학 물질이 적혈구 수치에 사용되는 채널과는 별도로 적혈구를 파괴(용해)하기 위해 시료에 첨가된다. 헤모글로빈 측정과 동일 채널에서 백혈구 수치를 수행하는 분석기는 백혈구를 더 쉽게 계산할 수 있다.[51] 혈액 분석기는 분광광도법을 사용하여 헤모글로빈을 측정하며, 빛의 흡광도와 헤모글로빈 양 사이의 선형 관계를 기반으로 한다. 화학 물질은 옥시헤모글로빈, 카르복시헤모글로빈과 같은 헤모글로빈의 다양한 형태를 일반적으로 시아노메트헤모글로빈과 같은 하나의 안정된 형태로 변환하고 영구적인 색 변화를 생성한다. 결과 색상의 흡광도는 특정 파장(일반적으로 540 나노미터)에서 측정될 때 헤모글로빈 농도와 일치한다.[52][53]
센서는 전기 임피던스와 광산란의 두 가지 주요 원리를 사용하여 시료 내 세포를 계산하고 식별한다.[54] 임피던스 기반 세포 계수는 Coulter 원리를 기반으로 작동한다. 세포는 전류를 전달하는 유체에 부유되어 있으며, 작은 구멍(조리개)을 통과하면서 불량한 전기 전도도로 인해 전류가 감소한다. 세포가 조리개를 통과할 때 생성되는 전압 펄스의 진폭은 세포가 변위시키는 유체의 양, 즉 세포의 부피와 관련이 있으며,[55][56] 펄스의 총 수는 시료 내 세포의 수와 관련이 있다. 세포 부피의 분포는 히스토그램에 표시되며, 각 세포 유형의 전형적인 크기를 기반으로 부피 임계값을 설정함으로써 서로 다른 세포 집단을 식별하고 계산할 수 있다.[57]
광산란 기술에서는 레이저 또는 텅스텐 할로겐 램프에서 나오는 빛이 세포 흐름에 향하여 크기와 구조에 대한 정보를 수집한다. 세포는 빔을 통과하면서 서로 다른 각도로 빛을 산란시키며, 이는 광전관을 사용하여 감지된다.[58] 빔 축을 따라 산란되는 빛의 양을 나타내는 전방 산란은 주로 빛의 회절에 의해 발생하며 세포 크기와 관련이 있는 반면, 측면 산란(90도 각도로 산란되는 빛)은 반사 및 굴절에 의해 발생하며 세포 복잡성에 대한 정보를 제공한다.[58][59]
무선 주파수 기반 방법은 임피던스와 함께 사용될 수 있다. 이 기술은 세포가 조리개를 통과할 때 전류 중단을 측정하는 동일 원리로 작동하지만, 고주파 RF 전류가 세포 내부로 침투하기 때문에 결과 펄스의 진폭은 세포 핵의 상대적인 크기, 핵 구조, 세포질 내 과립의 양과 같은 요인과 관련이 있다.[60][61] 혈소판과 크기가 유사한 작은 적혈구 및 세포 파편은 혈소판 수치에 간섭을 일으킬 수 있으며, 큰 혈소판은 정확하게 계산되지 않을 수 있으므로 일부 분석기는 형광 염색, 다각도 광산란 및 단클론 항체 태깅과 같은 추가 기술을 사용하여 혈소판을 측정한다.[44]
대부분의 분석기는 적혈구의 평균 크기인 평균 적혈구 용적(MCV)을 직접 측정하고, 적혈구 수에 MCV를 곱하여 헤마토크릿을 계산한다. 일부는 적혈구의 총 부피를 채취된 혈액의 부피와 비교하여 헤마토크릿을 측정하고, 헤마토크릿과 적혈구 수치로부터 MCV를 계산한다.[86] 헤모글로빈 농도, 적혈구 수, 헤마토크릿은 각 적혈구 내 헤모글로빈의 평균량인 평균 적혈구 헤모글로빈(MCH) 및 그 농도인 평균 적혈구 헤모글로빈 농도(MCHC)를 계산하는 데 사용된다.[62] 또 다른 계산인 적혈구 분포 폭(RDW)은 평균 세포 부피의 표준 편차에서 파생되며 세포 크기의 변화를 반영한다.[63]

시약으로 처리된 후, 백혈구는 히스토그램에 부피를 표시할 때 세 개의 뚜렷한 피크를 형성한다. 이 피크는 대략 과립구, 림프구 및 기타 단핵 세포 집단에 해당하여 세포 부피만으로 삼중 감별을 수행할 수 있다.[64][65] 더 진보된 분석기는 빛 산란 또는 무선 주파수 분석과 같은 추가 기술을 사용하여 5~7중 감별을 제공하거나,[65] 세포 내부의 특정 화학 물질을 염색하기 위한 염료를 사용한다. 예를 들어, 미성숙 세포에서 더 높은 농도로 발견되는 핵산[66] 또는 미엘로과산화효소는 골수계 세포에서 발견되는 효소이다.[67][68] 호염기구는 다른 백혈구를 파괴하고 호염기구를 손상시키지 않는 시약을 사용하는 별도의 채널에서 계산될 수 있다. 이러한 측정에서 수집된 데이터는 분석되어 분포도에 표시되며, 여기서 각 백혈구 유형과 관련된 클러스터를 형성한다.[65][67] 감별 계산을 자동화하는 또 다른 방법은 인공 지능을 사용하여 혈액 도말의 현미경 사진에서 백혈구를 분류하는 디지털 현미경 소프트웨어를 사용하는 것이다.[69] 세포 이미지는 필요한 경우 세포를 수동으로 재분류할 수 있는 인간 운영자에게 표시된다.[70]
대부분의 분석기는 전체 혈구 계산에서 모든 테스트를 실행하는 데 1분도 채 걸리지 않는다.[54] 분석기는 많은 개별 세포를 샘플링하고 계산하므로 결과가 매우 정확하다.[71] 그러나 일부 비정상적인 세포는 정확하게 식별되지 않을 수 있으며, 기기 결과에 대한 수동 검토와 기기가 분류할 수 없는 비정상적인 세포를 다른 방법으로 식별해야 한다.[72][73]
현장 검사는 검사실 환경이 아닌, 환자의 병상이나 진료소 등에서 수행되는 검사를 말한다.[75][74] 이러한 검사 방법은 기존 방식보다 빠르고 혈액을 적게 사용하며, 특별한 훈련을 받은 인력이 필요하지 않아 응급 상황이나 자원 접근성이 제한적인 지역에서 유용하다. 현장 혈액 검사에 흔히 사용되는 기기로는 시료의 헤모글로빈 농도를 분광 광도법으로 측정하는 휴대용 분석기인 HemoCue와 혈액 전도율을 통해 적혈구 농도를 추정하여 헤모글로빈 수치를 얻는 i-STAT가 있다.[74] 헤모글로빈과 헤마토크리트는 동맥혈 가스 검사를 위해 설계된 현장 검사 장치로 측정할 수 있지만, 이러한 측정값은 때때로 표준 방법을 통해 얻은 값과 상관관계가 낮을 수 있다.[75] 진료소에서 사용할 수 있도록 설계된 간소화된 혈액학 분석기 버전이 있으며, 이는 전체 혈구 계산과 감별 계산을 제공할 수 있다.[76]
2. 1. 2. 수동 혈액 검사


자동 분석기의 결과를 신뢰할 수 없거나, 추가적인 정보가 필요한 경우 수동 검사를 시행한다. 자동화 장비가 없거나 분석기 결과에 대한 추가 조사가 필요할 때에도 수동 검사를 할 수 있다.[41] 이때 혈구계, 현미경, 혈액 도말 표본 등을 이용하여 혈액 세포의 수와 형태를 직접 관찰하고 분석한다.
혈구계는 격자 선이 그려져 있는 특수한 슬라이드로, 혈구계산판에 희석한 혈액을 일정한 부피 올리고 혈구를 센다. 희석 비율에 따라 혈액 리터 당 적혈구와 백혈구 수를 계산한다. 수동 세포 계수는 자동화된 방법에 비해 노동 집약적이고 부정확하므로 자동화 분석기에 접근할 수 없는 실험실을 제외하고는 거의 사용되지 않는다.[41][87]
백혈구를 감별계산하기 위해서는 혈액 도말을 하여 백혈구를 최소한 100개 이상 센다. 이에 따라 각 백혈구별로 분율을 계산하고 백혈구 총수를 곱하면 각 백혈구의 개수를 얻을 수 있다.[83][84] 수동 계수는 자동 분석에 비해 세포 수가 적기 때문에 표본 추출 오차가 발생하기 쉽지만,[71] 분석기가 감지할 수 없는 급성 백혈병에서 보이는 아세포와 같은 비정상적인 세포를 식별할 수 있다.[67][73][153] 또한 백혈구의 현미경 검사에서 독성 과립 및 공포 형성과 같은 임상적으로 중요한 특징을 확인할 수 있다.[85]
자동 분석기의 결과를 신뢰할 수 없을 때, 혈중에 비정상적인 세포가 존재하거나 특정 혈액학적 상황에서만 말초 혈액에 존재하는 세포는 자동 분석기가 제대로 분석하지 못할 수 있어 수동 혈구 계산법이 유용하다.
자동화된 결과는 10~25%의 경우 수동 혈액 도말 검토를 위해 플래그가 지정되는데,[72] 이는 분석기가 제대로 계산할 수 없는 비정상적인 세포 집단,[72] 정확하지 않을 수 있다는 분석기에서 생성된 내부 플래그,[77] 또는 설정된 임계값을 벗어나는 수치 결과 때문일 수 있다.[73] 이러한 문제를 조사하기 위해 혈액을 현미경 슬라이드에 펴서 로마노프스키 염색으로 염색하고 현미경으로 검사한다.[78] 적혈구, 백혈구, 혈소판의 외관을 평가하고, 이상이 있는 경우 질적 이상을 보고한다.[79]
비정상적인 백혈구뿐만 아니라 적혈구의 모양 변화도 중요한 진단 도구이다. 자동 분석기는 적혈구의 수나 평균 크기, 크기의 편차에 관계없이 빠르고 믿을 수 있는 결과를 제공하지만, 적혈구의 모양을 감지하지는 않는다. 예를 들어 낫 모양 세포의 존재는 겸상 적혈구 빈혈을 나타내고, 파편화된 적혈구(분열 적혈구)가 많은 것은 미세혈관성 용혈성 빈혈을 시사할 수 있으므로 긴급 조사가 필요하다.[80] 다발성 골수종과 같은 단클론감마병증이나 일부 염증성 질환에서는 혈액 내 단백질 수치가 높아 루로 현상이 발생하여 적혈구가 도말 표본에서 함께 쌓여 나타날 수 있다.[81]
말라리아 및 바베시아증과 같은 일부 기생충 질환은 혈액 도말에서 원인균을 발견하여 감지할 수 있으며,[82] 자동 혈소판 수가 정확하지 않은 경우 혈액 도말로부터 혈소판 수를 추정할 수 있다.[73] 어떤 환자의 혈소판은 항응고제 EDTA를 첨가한 혈액에서 덩어리로 모이기 때문에 자동 분석기가 본래 혈소판 수보다 적게 결과를 출력할 수도 있는데, 이때 검사자는 혈소판이 덩어리지는 양상을 보고 혈소판 수치를 추정할 수 있다.
혈구 용적은 혈액으로 모세관을 채우고, 원심 분리하고, 적혈구로 구성된 혈액의 비율을 측정하여 수동으로 수행할 수 있다.[86] 이는 적혈구 증가증[86] 또는 심각한 백혈구 증가증[190]과 같이 자동 혈구 용적 결과가 부정확할 수 있는 일부 조건에서 유용하다.
적혈구, 백혈구 및 혈소판은 혈구 계수기를 사용하여 계수할 수 있으며, 혈구 계수기는 지정된 양의 희석된 혈액을 담는 챔버가 있는 현미경 슬라이드이다. 혈구 계수기의 챔버는 세포 계수를 돕기 위해 보정된 그리드로 에칭되어 있다. 그리드에서 보이는 세포를 세고 검사한 혈액의 부피로 나누어, 그리드의 정사각형 수를 기준으로 결정하여 표본 내 세포의 농도를 얻는다.[41][87] 백혈구를 계수하려면 옥살산 암모늄, 아세트산 또는 염산과 같이 적혈구를 용해하는 화합물이 포함된 액체를 사용하여 표본을 희석한다.[88] 때로는 백혈구의 핵을 강조하여 식별을 용이하게 하는 염료가 희석제에 첨가된다. 수동 혈소판 계수는 유사한 방식으로 수행되지만, 일부 방법에서는 적혈구를 손상시키지 않는다. 위상차 현미경을 광학 현미경 대신 사용하면 혈소판을 더 쉽게 식별할 수 있다.[89] 수동 적혈구 계수는 부정확하고, 헤모글로빈 측정법 및 수동 혈구 용적과 같은 다른 방법으로 적혈구를 평가할 수 있으므로 거의 수행되지 않지만, 필요하다면 생리 식염수로 희석한 혈액에서 적혈구를 계수할 수 있다.[90]
헤모글로빈은 분광 광도계 또는 색도계를 사용하여 수동으로 측정할 수 있다. 헤모글로빈을 수동으로 측정하려면 적혈구를 파괴하여 헤모글로빈을 방출하는 시약을 사용하여 표본을 희석한다. 다른 화학 물질을 사용하여 다양한 유형의 헤모글로빈을 하나의 형태로 변환하여 쉽게 측정할 수 있도록 한다. 그런 다음 용액을 측정 큐벳에 넣고 특정 파장에서 흡광도를 측정하며, 이는 사용된 시약의 유형에 따라 달라진다. 알려진 양의 헤모글로빈이 포함된 기준 표준을 사용하여 흡광도와 헤모글로빈 농도 간의 관계를 결정하여 표본의 헤모글로빈 수치를 측정할 수 있다.[91]
3. 검사 항목

일반 혈액 검사(CBC)는 혈장과 적혈구, 백혈구, 혈소판을 포함하는 세포 부분으로 구성된 혈액을 검사한다.[5] 빈혈이나 혈소판 감소증과 같이 혈구 수의 변화로 정의되는 질병들이나, 여러 기관 계통의 변화는 혈액에 영향을 미치므로, 일반 혈액 검사 결과는 광범위한 상태를 조사하는 데 유용하며, 가장 일반적으로 수행되는 의학 실험실 검사 중 하나이다.[6][7][8]
일반 혈액 검사는 질병 선별 검사나, 감염, 출혈 장애, 암과 같이 혈구를 공격하는 질병이 의심되는 경우, 또는 그러한 치료를 받는 환자의 건강을 모니터링하는 데 사용된다.[4][9] 또한, 수혈이나 혈소판 수혈의 필요성을 나타낼 수 있다.[11]
일반 혈액 검사는 응급 의학에서 발열, 복통, 호흡 곤란과 같은 증상을 조사하고, 출혈 및 주요 외상을 평가하는 데 사용된다.[14][15][16][17][18] 화학 요법이나 방사선 요법을 받는 사람들은 골수 억제로 인해 혈구 수치가 낮아질 수 있으므로, 면밀한 혈구 수 모니터링이 필요하다.[19] 클로자핀이나 카르바마제핀과 같은 일부 정신과 약물은 드물게 무과립구증을 유발할 수 있으므로 정기적인 CBC가 필요하다.[20][21] 임신 중 빈혈은 산모와 아기에게 나쁜 결과를 초래할 수 있으므로, 일반 혈액 검사는 산전 관리의 일상적인 부분이다.[22] 신생아의 경우, 신생아 황달을 조사하거나 백혈구 감별 계산에서 미성숙 세포의 수를 세는 데 CBC가 필요할 수 있으며, 이는 패혈증의 지표가 될 수 있다.[23][24]
일반 혈액 검사는 조혈 시스템의 기능을 반영하며, 혈액 질환 연구에 필수적인 도구이다.[6][25][26] 예를 들어, 세 가지 세포 유형 모두 수치가 낮은 범혈구 감소증은 골수 질환을 시사할 수 있으며, 골수 검사를 통해 원인을 확인할 수 있다.[27] 혈액 도말에서 비정상 세포는 급성 백혈병이나 림프종을 나타낼 수 있으며,[26] 호중구나 림프구의 비정상적으로 높은 수는 골수증식성 질환이나 림프증식성 질환을 의심하게 한다. CBC 결과 및 혈액 도말 검사는 영양 결핍, 골수 질환, 후천성 용혈성 빈혈과 같은 빈혈의 원인과 겸상 적혈구 빈혈, 지중해 빈혈과 같은 유전 질환을 구별하는 데 도움을 줄 수 있다.[28][29]
일반 혈액 검사의 혈액 검사 참조 범위는 건강한 사람의 95%에서 발견되는 결과 범위를 나타내지만,[176] 결과의 5%는 자연적 변동으로 인해 범위를 벗어날 수 있다.[31] 특히 이전 결과와 일치하거나 다른 관련 이상이 없는 경우, 참조 범위에서 약간 벗어난 결과는 의학적 문제를 의미하지 않을 수 있다.[32] 건강한 인구에서 검사를 수행하면 임상적으로 중요하지 않은 이상 수치가 질병을 나타내는 결과보다 많을 수 있다.[33]
3. 1. 적혈구 관련 항목
자동 혈액 분석기는 혈액과 각 적혈구에 있는 헤모글로빈의 양을 측정한다.[284] 적혈구가 희석액에 용해되어 분광분석기 큐벳으로 이동하며, 용해물의 색 변화에 따라 혈중 헤모글로빈 양을 정한다. 빈혈의 원인을 규명하고자 할 때 이 정보를 사용한다. 적혈구가 정상보다 크거나 작은지, 혹은 적혈구마다 크기가 균일하지 않고 차이가 심한지에 따라 추가적인 검사 방향을 정하거나 진단 과정에 도움을 주어 환자가 빠른 치료를 받도록 할 수 있다.- 총 적혈구 수: 리터 당 적혈구 수로 나타낸다.[286] 철 결핍성 빈혈은 적혈구의 수가 적다.
- 헤모글로빈: 혈액에 있는 헤모글로빈의 양을 그램 당 데시리터(g/dL)로 나타낸다.[286] 헤모글로빈 수치가 낮으면 빈혈 징후로 본다.
- 적혈구용적률 또는 농축세포용적(PCV): 전체 혈액 중에서 적혈구가 차지하는 비율이다.[286]
- 적혈구지수: 적혈구의 크기와 헤모글로빈 함량을 검사한다. 빈혈 여부 및 비정상값에 따라 빈혈의 종류를 알 수 있다.[285]
- 평균 적혈구 용적(MCV): 펨토리터 단위로 측정하는 적혈구의 평균 부피.[286] 평균 적혈구 용적이 정상 범위보다 작으면 작은적혈구빈혈, 크면 큰적혈구빈혈로 분류한다. 평균 적혈구 용적이 정상 범위에 속하는 빈혈은 정상적혈구빈혈로 분류한다. 평균 적혈구 용적에 영향을 미치는 기타 조건에는 지중해빈혈, 그물적혈구증가증, 알코올중독, 화학요법, 비타민 B12 결핍, 엽산 결핍 등이 있다.
- 평균 적혈구 헤모글로빈(MCH): 적혈구 당 헤모글로빈의 평균적인 양을 피코그램 단위로 나타낸다.[286]
- 평균 적혈구 헤모글로빈 농도(MCHC): 적혈구에 있는 헤모글로빈의 평균 농도.
- 적혈구 크기 분포(RDW): 적혈구 개별 부피 차이를 나타낸다.

적혈구는 혈색소인 헤모글로빈에 의해 생체의 산소 운반을 담당하는 혈액 세포이며, 핵을 가지지 않고 양면이 오목한 원반형의 특징적인 형태를 띤다. 직경은 6~9 μm 정도이다. 건강한 성인의 경우 1초에 200만 개의 적혈구가 생성된다.[262] 적혈구는 혈액 세포 중 수명이 길며, 120일 정도이다.[248]
적혈구 수, 헤모글로빈 농도, 헤마토크리트는 모두 혈액의 산소 운반 기능을 반영한다. 이들은 평행하게 증감한다(헤모글로빈 농도는 적혈구 수(백만/μL)의 3배 정도, 헤마토크리트는 헤모글로빈 농도의 3배 정도[245]). 하지만, 셋 중 가장 중요한 것은 산소 운반 기능을 담당하는 헤모글로빈이다.[278]
연령에 따라 차이가 있으며, 신생아기에 가장 높고, 소아기는 성인보다 낮으며 성별 차이는 없다. 성인에서는 남성이 더 높다. 고령자는 낮은 수치를 보이는 경향이 있다. 적혈구 수 등은 임신 중후반기에 감소하지만, 이는 순환 혈장량이 증가하여 희석된 결과이다. 그 외, 흡연이나 고지대 거주로 인해 대상적으로 상승한다.[253]
빈혈은 헤모글로빈 농도의 비정상적인 저하로 인해 산소 운반 기능이 저하된 상태로 정의된다. 헤마토크리트 및 적혈구 수도 동시에 저하되는 경우가 많지만, 예외적으로 지중해 빈혈(이형 접합체)에서는 빈혈에도 불구하고 적혈구 수는 정상 또는 오히려 증가하는 경우가 있다.[268]
빈혈은 적혈구의 생산 저하에 의한 것(망상 적혈구 감소)과 적혈구의 파괴/상실에 의한 것(적혈구의 생산·망상 적혈구는 증대)으로 크게 분류된다.[277] 빈혈의 원인 규명에 가장 중요한 적혈구 지수는 MCV이며, MCV가 100 이상이면 대구성 빈혈, 80에서 100이면 정구성 빈혈, 80 이하이면 소구성 빈혈로 분류하여 감별 진단이 이루어진다.[261] 또한, 빈혈의 감별 진단에는 혈구의 형태학적인 정보가 중요하므로, 말초 혈액 도말 검사를 함께 실시하는 것이 권장된다.[276]
[271][232]
MCHC(평균 적혈구 혈색소 농도, Mean Corpuscular Hemoglobin Concentration)는 다음 식으로 산출한다.
:MCHC(g/dL) = (헤모글로빈(g/dL) × 100) / 헤마토크리트(%)
말초 혈액 도말 검사에서 보이는 적혈구의 색소량(정색소성/저색소성)과 비슷하며, 임상적 의의도 거의 같다. MCHC가 32에서 36 g/dL 정도가 정색소성에 해당한다.[266] MCHC의 단위는, 종전에는 %가 사용되었지만, 최근에는 헤모글로빈 농도에 준하여 g/dL가 사용되는 경우가 많아지고 있다.[255]
철 결핍성 빈혈, 지중해 빈혈, 철아구성 빈혈, 만성 염증 관련 빈혈 등 저색소성 빈혈에 포함되는 질환이 있다.[266][248]
적혈구 내 헤모글로빈 농도는 약 36 g/dL로 포화 상태이며, MCHC가 높은 값을 나타내는 경우는 원래는 없어야 한다.[266] 그러나 예외적으로 유전성 구상 적혈구증에서는 36-38 g/dL 정도가 될 수 있다(자동 혈구 계수기로 MCV를 측정할 때 정상 적혈구는 엽연초 모양으로 변형되지만, 유전성 구상 적혈구증에서는 적혈구 변형이 불충분하여 MCV가 낮게 산출되기 때문이다). MCHC 높은값이 나타나면 우선 유전성 구상 적혈구증을 의심한다.[246] 그 외, 적혈구 응집에 의해 MCHC가 가짜로 높은값을 나타낼 수 있다.[266]
MCH(평균 적혈구 혈색소량, Mean Corpuscular Hemoglobin)는 MCV, MCHC에 비해 임상적 의의가 적어 잘 사용되지 않는다.[266]
:MCH(pg) = ( 헤모글로빈(g/dL) × 10 ) / 적혈구 수(106/μL)
적혈구 분포폭(RDW)은 자동 혈구 계산기로 산출되는 개별 적혈구 용적의 변동(현미경 검사에서의 적혈구 크기 부동)을 나타내는 지표이며, 표현 방법으로는 변동 계수(표준 편차 × 100 / 평균)를 사용하는 RDW-CV와 표준 편차를 사용하는 RDW-SD가 있다. 문헌에 따라 기재는 다르지만, 건강한 사람의 RDW-CV는 11-16%, RDW-SD는 39-46 fL 정도이다.[260]
RDW는 빈혈의 감별에 유용하다. 예를 들어, 지중해 빈혈과 철 결핍성 빈혈은 모두 소구성(적혈구의 직경/용적이 작음) 빈혈을 일으키지만, 지중해 빈혈에서는 RDW가 보통 정상인 데 반해 철 결핍성 빈혈에서는 RDW가 상승, 즉, 적혈구 용적의 변동이 커진다. 또한, RDW 상승은 빈혈의 조기 징후일 수 있다. 영양 결핍성 빈혈에서는 헤모글로빈 저하나 MCV의 이상(철 결핍성 빈혈의 경우 감소, 비타민 B12나 엽산의 경우에는 상승)보다 먼저 RDW의 높은값이 나타난다. 그 외, RDW의 상승은 파쇄 적혈구, 적혈구 응집 등의 존재를 의심하는 계기가 된다.[261][245]
망상 적혈구(망상 적혈구[240])는 적아구가 핵을 잃은 직후의 미성숙 적혈구이다. 말초 혈액에서 1, 2일 이내에 세포막의 20-30%, 그리고 리보솜, 미토콘드리아 등의 세포 내 소기관을 잃고 성숙 적혈구가 된다.[262] 망상 적혈구는 성숙 적혈구보다 약간 크고 세포 내에는 리보솜 등이 잔존하며, 초생체 염색[241]에서는 청색의 망상 구조물로 염색된다.[265] 또한, 로마노프스키 염색에서는 망상 적혈구는 푸른색을 띠는 대형 적혈구로 보인다(말초 혈액 도말 검사에서는 망상 적혈구는 다염성 적혈구라고 불린다).
망상 적혈구는 전체 적혈구 중 망상 적혈구의 비율로 보고되는 것이 보통이지만, 적혈구 수는 수혈 등으로 인해 변동하므로 임상적으로는 절대 수(적혈구 수 × 망상 적혈구 비율)로 판단할 필요가 있다.[253][248][239] 문헌에 따라 기준치는 다르지만, 건강한 성인에서는 0.2-2.6%[248], 또는 0.5-2%[265][266], 절대 수에서는 2.5만-10만 /μL[248] 정도이다. 신생아에서는 높은치를 보이지만, 생후 얼마 지나지 않아 성인의 값에 가까워진다.[257]
망상 적혈구는 빈혈 감별에 필수적인 검사이다. 망상 적혈구의 증가는 적혈구 형성의 항진을 의미한다. 빈혈에서 망상 적혈구가 증가하면 골수의 적혈구 형성(조혈 기능)은 정상이며 출혈이나 용혈 등에 의해 빈혈이 일어나고 있다고 추측할 수 있다. 반대로, 빈혈이 지속되고 있음에도 불구하고 망상 적혈구가 증가하지 않으면 골수의 조혈 기능에 이상이 있다고 추정된다.[268]
자동 혈구 계산기 중에는 RNA(리보솜 핵산)의 염색에 의해 망상 적혈구를 카운트하는 기능을 가진 것도 있으며, 필요에 따라 혈구 계산에 추가하여 검사한다.[261][274] (망상 적혈구 수는 혈구 계산 관련 항목 중에서도 자동화가 늦어져 육안으로 카운트가 계속되었지만, 오늘날에는 주로 자동 혈구 계산기가 사용된다.)
또한, 자동 혈구 계산기 기종에 따라 RNA 함량이 높은 유약 망상 적혈구 분획을 계측할 수 있는 것도 있으며, 조혈 항진 유무의 판단에 유용하다고 여겨진다.[266][265][274] 또한, 기종에 따라 산출되는 망상 적혈구의 헤모글로빈 함량도 철 결핍의 우수한 지표로 여겨진다.[261]
유핵 적혈구는 말초 혈액 속의 핵을 가진 적혈구, 즉 적아구이다. 출생 직후를 제외하면, 유핵 적혈구가 발견되면 반드시 이상이며, 급격한 적혈구 형성의 항진(대량 출혈 후 등), 각종 골수 장애, 수외 조혈, 비장 적출 후, 각종 중증 질환 등이 고려된다. 자동 혈구 계산기 중에는 유핵 적혈구를 인식하여 보고할 수 있는 것도 있지만, 백혈구로 오인하는 기종도 있어 주의해야 한다.[260][247]
파쇄 적혈구는 조각나서 초승달 모양, 삼각형, 헬멧 모양 등을 나타내는 적혈구이다. 혈관 내 혈전(혈전성 혈소판 감소성 자반병(TTP), 파종성 혈관 내 응고 증후군(DIC), 혈전성 미세 혈관 병증(TMA), 용혈성 요독 증후군(HUS), HELLP 증후군)이나 심장 인공 판막 등으로 인해 적혈구가 파쇄되어 발생한다고 여겨진다. 자동 혈구 계산기 중에는 파쇄 적혈구의 비율을 산출할 수 있는 것이 있으며, 전체 적혈구의 0.6% 이상이면 유의미하다고 여겨진다.[274]

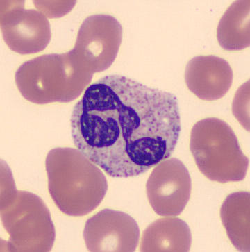
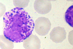
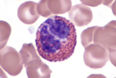
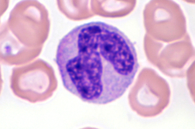
3. 2. 백혈구 관련 항목
백혈구는 주로 생체 방어 및 면역에 관여하는 핵을 가진 혈액 세포이다. 적혈구와 달리 무염색에서는 무색이므로 "백"혈구라고 불린다. 일반적으로 호중구, 림프구, 단구, 호산구, 호염기구의 5종류로 분획(분류)된다.
자동 혈구 계수기는 백혈구를 5분획( 호중구, 림프구, 단핵구, 호산구, 호염기구)으로 나누어 계수하는 기능을 갖춘 경우가 많으며, 혈구 계산과 동시에 측정 및 보고된다.[261][274]
백혈구는 말초혈액 속에 4,000~8,000/μL 정도 존재하지만, 생리적 변동과 개인차[242]도 크다. 고도의 이상치가 아닌 이상, 단 한 번의 백혈구 수치만으로는 임상적 의미를 판단하기 어렵고, 이전 값과의 비교나 임상적 상황과의 대조가 필요하다. 또한, 백혈구 분획으로 어떤 분획의 백혈구가 증가했는지 확인할 필요가 있다.[276] 자동 혈구 계산기에서는 골수아구 등 종양성 세포의 확실한 검출이 어렵기 때문에,[234] 원인 불명의 백혈구 수치 이상을 정밀 검사하려면 말초혈액도말검사가 필요하다.[276][261]
- 총 백혈구 : 모든 종류의 백혈구를 전체에 대한 비율(%)과 절대적인 수치(L-1)로 나타낸다.[286]
백혈구 수의 증감은 아래와 같은 질병의 지표가 될 수 있다.
; 백혈구 증가
일반적으로 1만/μL 이상을 백혈구 증가로 간주하는 경우가 많다. 성인의 경우 백혈구의 가장 많은 분획은 호중구이며,[238] 백혈구 증가는 일반적으로 호중구 증가에 의해 발생한다.
- '''반응성''': 세균·바이러스 감염증, 조직 손상(화상, 외상, 수술 후, 통풍 발작 등), 장기 허혈성 괴사(심근 경색 등)
- '''약제''': 과립구 집락 자극 인자(G-CSF)에 의한 백혈구 동원 및 조혈 항진, 당질 코르티코이드에 의한 백혈구의 혈류 이동 등
- '''혈액 종양''': 급성 백혈병(급성 골수성 백혈병·급성 림프구성 백혈병)에서는 어린 모세포 등의 증가가 나타난다. 만성 림프구성 백혈병에서는 성숙 림프구의 증가가 나타난다.
; 백혈구 감소
일반적으로 4,000/μL 이하를 백혈구 감소로 보는 경우가 많다.[230] 백혈구 감소는 일반적으로 백혈구의 대부분을 차지하는 호중구 감소증에 의해 발생하며, 다음으로 림프구 감소에 의해 발생한다.
- '''생산 저하'''
- 골수의 조혈 기능 이상: 재생 불량성 빈혈, 골수 이형성 증후군, 비타민 B12나 엽산 결핍 등.
- 약물·방사선: 항악성 종양제나 악성 종양의 방사선 치료에 의한 조혈 기능 장애
- 악성 종양: 백혈병, 암의 골수 전이 등
- '''파괴 항진'''
- 비 기능 항진: 문맥압 항진증 비종 등
백혈구 분획별 수치 이상은 아래와 같은 질병의 지표가 될 수 있다.
- 호중성 과립구(호중구) : 세균 감염이나 급성 바이러스 감염의 지표이다. 핵이 분절형이기 때문에 호중구를 "segs"라고 표현하기도 한다. 골수에서 막 나온 덜 성숙한 호중구의 핵은 분절형이 아니고 띠나 막대 모양으로, "bands"나 "stabs"라 한다.[287]
- 림프구 : 감염단핵구증 같은 바이러스 감염이나 만성 림프구성 백혈병(CLL)의 경우에 림프구가 증가한다. HIV 감염에 의하여 감소할 수 있다. 성인의 림프구는 호중구 다음으로 많은 백혈구이다. 8세 이하의 어린이는 림프구가 호중구보다 많다.[287]
- 단핵구 : 세균 감염, 결핵, 말라리아의 경우에 증가한다. 록키산 홍반열, 단핵구성 백혈병, 만성 궤양성 대장염, 국소 소장염의 경우 증가한다.[287]
- 호산성 과립구(호산구) : 기생충 감염, 천식, 알러지 반응의 경우 증가한다.
- 호염기성 과립구(호염기구) : 백혈병이나 림프종의 경우 골수에서 증가할 수 있다.[287]


3. 3. 혈소판 관련 항목
혈소판은 혈액 응고에 중요한 역할을 하는 혈액 세포 성분이다. 혈소판 관련 검사 항목은 다음과 같다.[286]- 혈소판 수 (Platelet count)
혈액 내 혈소판의 수를 측정한다. 건강한 사람의 혈소판 수는 약 15만에서 35만/μL 정도이다.[264] 혈소판 수치가 낮으면 혈소판 감소증이라 하며, 출혈 위험이 증가할 수 있다. 반대로, 혈소판 수치가 높으면 혈소판 증가증이라 하며, 혈전 생성 위험이 증가할 수 있다. 혈소판 수는 혈관 내 염증을 반영하여 감소하기 때문에, 감염이나 염증 경과를 판단하는 자료가 된다.[270]
- 평균 혈소판 용적 (MPV, Mean Platelet Volume)
평균 혈소판 용적(MPV)은 혈소판의 평균 크기를 나타내는 지표이다. MPV 값은 장치에 따라 다소 차이가 있지만, 건강한 사람의 경우 대략 8에서 10 내지 12 fL 정도이다.[266][260] 일반적으로 MPV와 혈소판 수는 반비례한다.[261] MPV를 통해 골수의 혈소판 생성 능력을 추정할 수 있다. 예를 들어 특발성/면역성 혈소판 감소성 자반증(ITP)처럼 혈소판 파괴가 항진된 상태에서는 혈소판 생성이 항진되고 어린 혈소판 비율이 증가하므로 MPV가 상승한다. 반대로, 재생 불량성 빈혈처럼 혈소판 생성이 저하된 상태에서는 MPV가 감소한다.[261][274]
4. 결과 및 해석
일반 혈액 검사(CBC) 결과는 각 항목별 정상 범위와 비교하여 해석하며, 정상 범위를 벗어나는 경우 추가적인 검사가 필요할 수 있다. 검사 결과는 실험실과 국가마다 다를 수 있으므로, 검사를 시행한 실험실에서 제공하는 표준 범위에 따라 해석해야 한다.[176]
일반적으로 성인 여성은 남성보다 헤모글로빈, 헤마토크릿, 적혈구 수치가 낮다. 이러한 차이는 폐경 후 줄어든다.[178] 소아 및 신생아의 검사 결과는 성인과 다르다. 신생아는 헤모글로빈, 헤마토크릿, 적혈구 수치가 매우 높은데, 이는 자궁 내 저산소증과 관련이 있다. 또한, 신생아의 적혈구는 성인보다 크고(MCV 증가), 백혈구 수는 호중구가 우세하다.[179][180][181]
인구 집단 간의 차이도 참고 범위에 영향을 줄 수 있다. 예를 들어 고지대 거주자는 헤모글로빈, 헤마토크릿, 적혈구 수치가 더 높고, 아프리카계 사람들은 평균적으로 백혈구 수치가 낮다.[184]
다음은 일본 성인의 혈구 계산 참고 범위 예시이다.
4. 1. 질병에 따른 혈구 수 변화
혈류에 있는 세포 수의 변화는 여러 질병을 정의한다.- 백혈구증가증은 감염의 신호일 수 있다.
- 혈소판감소증은 약물 독성으로 인한 것일 수 있다.
- 온혈구감소증은 일반적으로 골수에서 생산되는 세포의 양이 감소하였을 때 나타나며, 암 치료를 위한 화학요법의 합병증으로 흔히 나타난다.
5. 역사
17세기 안톤 판 레벤후크가 현미경을 통해 혈액 세포를 처음 관찰했고,[200] 19세기 카를 피어오르트가 최초로 혈구 검사를 수행했다.[203][204][209] 1852년 피어오르트는 모세관에 측정한 혈액을 달걀 흰자로 코팅된 현미경 슬라이드에 펼친 뒤 혈액이 마르면 모든 세포를 세는 방식으로 검사했는데, 3시간 이상 걸렸다.[205] 1874년 루이-샤를 말라세는 혈구 계측기를 도입하여 현미경 계수를 단순화했다.[206]
20세기 초 자동 세포 계수 기술이 개발되기 시작했다.[211] 1950년대 월레스 H. 쿨터는 쿨터 원리를 이용한 자동 혈구 계수기를 발명하여 혈액 검사 발전에 크게 기여했다.[56][213] 이후 유세포 분석, 디지털 이미지 처리 등 다양한 기술이 도입되면서 일반 혈액 검사는 더욱 발전하고 정밀해졌다.
6. 한국 특이사항
한국에서는 일반 혈액 검사가 건강검진의 필수 항목으로 널리 시행되고 있으며, 질병의 조기 발견 및 예방에 중요한 역할을 하고 있다. 한국인의 일반 혈액 검사 참고치는 서양인과 다소 차이가 있을 수 있으므로, 한국인에 맞는 참고치를 설정하고 적용하는 것이 중요하다. 건강보험심사평가원에서는 일반 혈액 검사의 질 관리를 위해 검사 기관 인증 제도를 운영하고 있으며, 검사의 정확성과 신뢰성을 높이기 위해 노력하고 있다.
참조
[1]
논문
How to interpret and pursue an abnormal complete blood cell count in adults
[2]
웹사이트
Blood tests: Chronic lymphocytic leukaemia (CLL)
https://www.cancerre[...]
2020-09-18
[3]
웹사이트
Full blood count
https://www.healthdi[...]
2018-08
[4]
웹사이트
Complete Blood Count (CBC)
https://labtestsonli[...]
2020-08-12
[5]
서적
[6]
서적
[7]
논문
Interpretation of the full blood count in systemic disease – a guide for the physician
[8]
서적
[9]
서적
[10]
서적
[11]
웹사이트
Five Things Physicians and Patients Should Question
http://www.choosingw[...]
American Association of Blood Banks
2014-04-24
[12]
서적
[13]
논문
Reducing unnecessary postoperative complete blood count testing in the pediatric intensive care unit
[14]
서적
[15]
서적
[16]
서적
[17]
서적
[18]
서적
[19]
서적
[20]
논문
Clozapine-induced agranulocytosis/granulocytopenia
[21]
서적
[22]
서적
[23]
서적
[24]
서적
[25]
서적
[26]
서적
[27]
서적
[28]
서적
[29]
서적
[30]
서적
[31]
서적
[32]
서적
[33]
서적
[34]
서적
[35]
웹사이트
Routine Preoperative Tests for Elective Surgery (NG45)
https://www.nice.org[...]
2016-04-05
[36]
서적
[37]
서적
[38]
서적
[39]
서적
[40]
서적
[41]
서적
[42]
서적
[43]
서적
[44]
논문
Platelets: the few, the young and the active
[45]
서적
[46]
서적
[47]
논문
The principles of flow cytometry
[48]
서적
[49]
서적
[50]
서적
[51]
서적
[52]
논문
Methods and analyzers for hemoglobin measurement in clinical laboratories and field settings
2019-08
[53]
서적
[54]
서적
[55]
서적
[56]
논문
The Coulter principle: foundation of an industry
[57]
서적
[58]
서적
[59]
서적
[60]
서적
[61]
서적
[62]
서적
[63]
서적
[64]
서적
[65]
서적
[66]
서적
[67]
서적
[68]
서적
[69]
서적
[70]
서적
[71]
서적
Chapter 1 in Greer, JP et al, ed. (2018), sec. "Introduction"; "Cell counts"
[72]
서적
Chapter 1 in Greer, JP et al, ed. (2018), sec. "Advantages and sources of error with automated hematology"
[73]
논문
Purpose and criteria for blood smear scan, blood smear examination, and blood smear review
[74]
논문
Hematology testing in urgent care and resource-poor settings: an overview of point of care and satellite testing
[75]
논문
Point of care testing in general haematology
[76]
서적
p. 43
[77]
서적
p. 225
[78]
서적
pp. 9–11
[79]
서적
pp. 288–289
[80]
서적
pp. 325–326
[81]
서적
p. 98
[82]
서적
p. 154
[83]
서적
p. 10
[84]
서적
p. 329
[85]
서적
pp. 296–297
[86]
서적
Chapter 1 in Greer, JP et al, ed. (2018), sec. "Volume of packed red cells (hematocrit)"
[87]
서적
Chapter 1 in Greer, JP et al, ed. (2018), sec. "Cell counts"
[88]
서적
p. 189
[89]
서적
pp. 22–23
[90]
서적
pp. 190–191
[91]
서적
pp. 19–22
[92]
서적
pp. 548–552
[93]
서적
p. 46
[94]
서적
pp. 697–698
[95]
논문
Quality management and accreditation in laboratory hematology: Perspectives from India
[96]
논문
Verification and quality control of routine hematology analyzers
[97]
서적
p. 4
[98]
서적
p. 438
[99]
서적
pp. 539–540
[100]
논문
Towards harmonization of external quality assessment/proficiency testing in hemostasis
[101]
서적
p. 551
[102]
서적
pp. 4–5
[103]
서적
p. 106
[104]
서적
p. 293
[105]
서적
pp. 33–34
[106]
서적
Turgeon, ML
[107]
논문
Recommendation for standardization of haematology reporting units used in the extended blood count
[108]
서적
Keohane, E ''et al''.
[109]
서적
Bain, BJ
[110]
서적
Keohane, E ''et al''.
[111]
서적
Schmaier, AH; Lazarus, HM
[112]
서적
Bain, BJ
[113]
논문
Three neglected numbers in the CBC: The RDW, MPV, and NRBC count
[114]
서적
Keohane, E ''et al''.
[115]
서적
Keohane, E ''et al''.
[116]
서적
Kaushansky, K ''et al''.
[117]
서적
Vieth, JT; Lane, DR
[118]
서적
Bain, BJ
[119]
서적
DiGregorio, RV ''et al''.
[120]
서적
Isaacs, C ''et al''.
[121]
서적
Bain, BJ
[122]
서적
McPherson, RA; Pincus, MR
[123]
서적
Smock, KJ
[124]
서적
Keohane, E ''et al''.
[125]
서적
Kottke-Marchant, K; Davis, B
[126]
서적
Bain, BJ
[127]
서적
Bain, BJ ''et al''.
[128]
서적
Ciesla, B
[129]
서적
Powell, DJ; Achebe, MO
[130]
서적
Harmening, DM
[131]
서적
Pagana, TJ ''et al.''
[132]
서적
Walls, R ''et al.''
[133]
웹사이트
Overview of White Blood Cell Disorders
https://www.merckman[...]
2020-01
[134]
서적
Pagana, TJ ''et al.''
[135]
서적
McCulloh, RJ; Opal, SM
[136]
웹사이트
WBC Differential
https://labtestsonli[...]
2020-07-29
[137]
서적
Wang, SA; Hasserjian, RP
[138]
서적
Palmer, L ''et al''.
[139]
서적
Chabot-Richards, DS; George, TI
[140]
서적
Palmer, L ''et al.''
[141]
서적
[142]
서적
[143]
서적
[144]
서적
[145]
서적
[146]
서적
[147]
서적
[148]
서적
[149]
서적
[150]
서적
[151]
서적
[152]
서적
[153]
서적
[154]
서적
[155]
서적
[156]
서적
[157]
서적
[158]
서적
[159]
논문
Platelet transfusion: a clinical practice guideline from the AABB
[160]
서적
[161]
서적
[162]
웹사이트
Platelet count: MedlinePlus Medical Encyclopedia
https://medlineplus.[...]
United States National Library of Medicine
2020-08-25
[163]
서적
[164]
서적
[165]
서적
[166]
서적
[167]
서적
[168]
서적
[169]
서적
[170]
서적
[171]
논문
Nucleated RBCs – significance in the peripheral blood film
[172]
서적
[173]
논문
Utility of cell population data (VCS parameters) as a rapid screening tool for acute myeloid leukemia (AML) in resource-constrained laboratories
[174]
서적
[175]
서적
Front matter
[176]
서적
2017
[177]
서적
2015
[178]
서적
2015
[179]
서적
2015
[180]
서적
2016
[181]
서적
2015
[182]
서적
2015
[183]
서적
2015
[184]
서적
2015
[185]
서적
2017
[186]
서적
2015
[187]
서적
2015
[188]
서적
2012
[189]
서적
2015
[190]
서적
2015
[191]
서적
2016
[192]
서적
2012
[193]
서적
2015
[194]
논문
Unreliable automated complete blood count results: causes, recognition, and resolution
2022
[195]
서적
2013
[196]
서적
2018
[197]
서적
2012
[198]
웹사이트
Haemoglobinometer, United Kingdom, 1850–1950
https://wellcomecoll[...]
2020-03-29
[199]
서적
2015
[200]
서적
2012
[201]
서적
1985
[202]
서적
2012
[203]
논문
Development, history, and future of automated cell counters
[204]
논문
The evolution of blood counting techniques
1962-05
[205]
서적
1995
[206]
서적
2012
[207]
서적
1995
[208]
논문
Romanowsky staining, the Romanowsky effect and thoughts on the question of scientific priority
[209]
논문
It all started in New Orleans: Wintrobe, the hematocrit and the definition of normal
[210]
서적
2015
[211]
서적
p. 5
[212]
논문
Wallace H. Coulter: decades of invention and discovery
[213]
논문
The Coulter principle: Imaginary origins
[214]
서적
p. 6
[215]
서적
pp. 12–14
[216]
논문
Automated differential leucocyte counting: Present status and future trends
[217]
서적
p. 5
[218]
서적
pp. 12–15
[219]
논문
Automated differential white cell counts: a critical appraisal
[220]
논문
Digital morphology analyzers in hematology: ICSH review and recommendations
[221]
서적
pp. 5–6
[222]
서적
p. 193
[223]
서적
pp. 5–6
[224]
서적
pp. 84–85
[225]
서적
p. 8
[226]
서적
p. 110
[227]
논문
The Hemalog D white cell differential system
[228]
서적
p. 281
[229]
서적
pp. 8–9
[230]
문서
白血球数の日本人共用基準範囲は3300から8600 /μLであり、健常人でも4000 /μL以下の例が多数存在することに留意すべきである。
[231]
문서
慢性疾患(炎症)に伴う貧血とは、慢性感染症、膠原病、悪性腫瘍などさまざまな全身疾患に伴う二次性貧血であり、その主な機序は慢性の炎症に伴う鉄利用障害である。正球性であることが多いが、鉄欠乏性貧血と同様に小球性貧血の形を取ることもありうる。
[232]
문서
WHOの貧血の定義は世界共通のものであるが、高地や喫煙者では調整、すなわち、より閾値を高くする必要がある。
[233]
문서
動脈血は静脈血に比べ薄く毛細管血はその中間である(心臓から拍出された動脈血は、静脈血およびリンパ液として心臓に戻る。リンパ液の分だけ静脈血は濃縮されていることになる)ので、血球数やヘモグロビンは、静脈血以外では若干低値になる。
[234]
문서
自動血球計数機には、[[芽球]]や未熟な顆粒球、[[左方移動]]、異常リンパ球、などが疑われる場合は警告フラグを立てる機能をもつものも多い。検査室では、施設ごとの基準により、警告フラグが出たものの中から末梢血塗抹検査を追加するものを選択する。
[235]
문서
MCVの「C」は、通常、corpuscular(血球)の略であるが、cell(細胞)の略とされる場合もある。MCH、MCHCについても同様である。
[236]
문서
巨大血小板症候群や、ときに骨髄異形成症候群でもみられる巨大血小板は自動血球計数機で血小板と認識されず、実際よりも低値で報告されることがある。
[237]
문서
血中のヘモグロビンは、酸素化ヘモグロビン、還元型(脱酸素化)ヘモグロビン、鉄イオンが酸化されたメトヘモグロビン、一酸化炭素と結合したカルボキシヘモグロビン、など、さまざまな形態で存在し、それぞれ、吸収スペクトル(波長ごとの吸光度)が異なる。シアン化カリウムとフェロシアン化カリウムを含む試薬で処理してそれらを全てシアンメトヘモグロビンに変換して波長540 nmの吸光度を測定することにより、正確なヘモグロビン定量結果が得られる。なお、シアンを含む試薬の環境負荷を避けて界面活性剤を使用する機種もあるが、ヘモグロビンの形態を統一する原理は同じである。
[238]
문서
乳幼児では、出生直後を除き、3、4歳ごろまでリンパ球が好中球よりも優位である。
[239]
문서
網赤血球比率の単位は、かつてはパーミル(千分率)が用いられたが、近年はパーセント(百分率)で表現することが多い。
[240]
문서
網赤血球と網状赤血球は同義であるが、内科学会・血液学会が正式の用語としているのは網赤血球である。
[241]
문서
ニューメチレンブルー、ブリリアントクレシルブルー、などの塩基性色素は生きた細胞に吸収されてRNAが染色される。これを超生体染色(または生体染色)とよんでいる。
[242]
문서
健常人では、循環血好中球(末梢血液中に存在して循環し血算でカウントされる)と血管辺縁好中球(血管内皮細胞付近にとどまっていて、採血では存在を知ることができない)がほぼ同数であるが、分布異常により、みかけの白血球増多または減少を呈する人がいる。特に臨床的意義はない。
[243]
논문
プライマリ・ケア内科医の末梢血データの見方
[244]
논문
Hemolytic Anemia
https://www.ncbi.nlm[...]
Treasure Island (FL): StatPearls Publishing
2023-07-18
[245]
논문
What does a hemogram say to us?
[246]
논문
Old and new insights into the diagnosis of hereditary spherocytosis
[247]
간행물
Nucleated RBCs—Significance in the Peripheral Blood Film
2000-04
[248]
서적
臨床検査データブック2023-2024
医学書院
2023-01-15
[249]
논문
Megaloblastic Anemia
https://www.ncbi.nlm[...]
Treasure Island (FL): StatPearls Publishing
2023-07-13
[250]
웹사이트
初期診療の検査オーダーの考え方
https://www.jslm.org[...]
2023-05-29
[251]
논문
Development, History, and Future of Automated Cell Counters
[252]
간행물
"日本における主要な臨床検査項目の共用基準範囲 ー解説と利用の手引きー 2022/10/01 版".日本臨床検査標準協議会 基準範囲共用化委員会 編.
https://www.jccls.or[...]
[253]
논문
臨床検査のガイドライン:JSLM2018
https://www.ncbi.nlm[...]
日本臨床検査医学会
2023-07-19
[254]
논문
Evaluation of Macrocytosis
https://www.aafp.org[...]
[255]
논문
検査血液学領域の国際標準化に関して
https://www.eiken.co[...]
[256]
논문
Acute Anemia
https://www.ncbi.nlm[...]
Treasure Island (FL): StatPearls Publishing
2023-07-16
[257]
서적
今日の臨床検査2021-2022
南江堂
2021-05-15
[258]
논문
Pseudothrombocytopenia—A Review on Causes, Occurrence and Clinical Implications
MDPI
[259]
웹사이트
小児臨床検査基準値(国立成育医療研究センター)
https://www.sogo-iga[...]
2023-06-21
[260]
간행물
Three neglected numbers in the CBC: The RDW, MPV, and NRBC count
2019-03
[261]
논문
血球検査
[262]
논문
From Erythroblasts to Mature Red Blood Cells: Organelle Clearance in Mammals
https://www.frontier[...]
[263]
논문
水・ナトリウム代謝異常
[264]
논문
血小板数の低下する疾患・病態の鑑別
[265]
논문
Histology, Reticulocytes
https://www.ncbi.nlm[...]
Treasure Island (FL): StatPearls Publishing
2023-07-05
[266]
서적
Rodak's Hematology - E-Book: Rodak's Hematology - E-Book
https://books.google[...]
Elsevier Health Sciences
2019-02-22
[267]
논문
先天性血小板減少症・異常症の診療ガイド
[268]
논문
初診で貧血を見た場合
[269]
논문
鉄欠乏性貧血の検査と診断
[270]
논문
The SOFA score—development, utility and challenges of accurate assessment in clinical trials
[271]
논문
Anemia epidemiology, pathophysiology, and etiology in low- and middle-income countries
2019-08
[272]
논문
検体の採取と結果の解釈の注意点
[273]
논문
骨髄増殖性腫瘍の初期診断と外来治療
[274]
논문
血球検査
[275]
논문
潜在基準値抽出法による小児臨床検査基準範囲の設定
[276]
논문
How to Interpret and Pursue an Abnormal Complete Blood Cell Count in Adults
[277]
논문
Anemia
https://www.ncbi.nlm[...]
Treasure Island (FL): StatPearls Publishing
2023-07-05
[278]
논문
適切な検体採取の重要性―採血を中心に
[279]
논문
血液検査室の流れ:血球算定から骨髄像検査まで
https://kindai.repo.[...]
[280]
문서
가시({{lang|en|Fishbones}})라고 부르기도 한다. 각 위치는 일반적으로 쓰이는 것으로, 항상 같은 배열로 쓰지는 않는다.
[281]
저널
The Evolution of Blood Counting Techniques
http://www.ncbi.nlm.[...]
2013-09-09
[282]
웹인용
Complete blood count (CBC) Why it's done - Tests and Procedures
http://www.mayoclini[...]
2014-07-29
[283]
저널
Clinical practice guideline: red blood cell transfusion in adult trauma and critical care
2009-12
[284]
저널
Automated blood cell counts: state of the art.
2008-07
[285]
웹인용
RBC indices
http://www.nlm.nih.g[...]
MedlinePlus: U.S. National Library of Medicine
2013-06-01
[286]
웹인용
CBC: MedlinePlus Medical Encyclopedia
http://www.nlm.nih.g[...]
United States National Library of Medicine
2014-07-29
[287]
웹인용
Complete Blood count with Differential
http://www.rnceus.co[...]
RbCeus.com
2014-11-21
본 사이트는 AI가 위키백과와 뉴스 기사,정부 간행물,학술 논문등을 바탕으로 정보를 가공하여 제공하는 백과사전형 서비스입니다.
모든 문서는 AI에 의해 자동 생성되며, CC BY-SA 4.0 라이선스에 따라 이용할 수 있습니다.
하지만, 위키백과나 뉴스 기사 자체에 오류, 부정확한 정보, 또는 가짜 뉴스가 포함될 수 있으며, AI는 이러한 내용을 완벽하게 걸러내지 못할 수 있습니다.
따라서 제공되는 정보에 일부 오류나 편향이 있을 수 있으므로, 중요한 정보는 반드시 다른 출처를 통해 교차 검증하시기 바랍니다.
문의하기 : help@durumis.com
