위 식도 역류병
"오늘의AI위키"의 AI를 통해 더욱 풍부하고 폭넓은 지식 경험을 누리세요.
1. 개요
위 식도 역류병은 위산이나 위 내용물이 식도로 역류하여 발생하는 질환으로, 임신, 비만, 위산 과다 분비, 식도 운동 이상 등이 원인이 될 수 있다. 주요 증상으로는 입안의 신맛, 역류, 속쓰림 등이 있으며, 심한 경우 식도염, 식도 협착, 바렛 식도 등의 합병증을 유발할 수 있다. 진단은 증상과 내시경 검사, 식도 pH 모니터링 등을 통해 이루어지며, 치료는 생활 습관 개선, 약물 치료(프로톤 펌프 억제제, H2 수용체 길항제, 제산제 등), 수술적 치료(니센 펀도플리케이션 등)가 사용된다. 위식도 역류병은 서구 인구의 약 10~20%에서 나타나는 흔한 질환이며, 특정 음식 섭취를 피하고 식습관을 개선하는 것이 예방에 도움이 될 수 있다.
더 읽어볼만한 페이지
- 위장병 - 위암
위암은 위 점막에서 발생하는 악성 종양으로, 주요 원인은 헬리코박터 파일로리 감염, 흡연, 음주, 불량한 식습관, 유전적 요인 등이며, 진단은 내시경 검사 등으로, 치료는 수술, 항암 화학 요법 등으로 진행하며 조기 진단과 적절한 치료가 예후에 중요하다. - 위장병 - 위염
위염은 헬리코박터 파일로리 감염, 비스테로이드성 소염제, 알코올, 스트레스 등으로 인해 위 점막에 염증이 생기는 질환으로, 상복부 통증, 메스꺼움, 구토 등의 증상이 나타나거나 무증상일 수 있으며, 급성 또는 만성으로 분류되고, 내시경 검사 등으로 진단하여 제산제, 항생제 등으로 치료한다.
위 식도 역류병 | |
---|---|
질병 개요 | |
이름 | 위 식도 역류병 |
다른 이름 | 영국: 위 식도 역류병 (GORD) 위산 역류 |
![]() | |
진료 분야 | 소화기내과 |
발음 | 영어: GORD: GERD: |
증상 및 합병증 | |
증상 | 신맛 가슴쓰림 구취 흉통 호흡 문제 |
합병증 | 식도염 식도 협착 바렛 식도 |
원인 및 위험 요인 | |
원인 | 하부 식도 괄약근의 부적절한 폐쇄 |
위험 요인 | 비만 임신 흡연 열공 탈장 특정 약물 복용 |
진단 및 감별 진단 | |
진단 | 위 내시경 상부 위장관 조영술 식도 pH 모니터링 식도 압력 검사 |
감별 진단 | 소화성 궤양 식도암 식도 경련 협심증 |
예방 및 치료 | |
치료 | 생활 습관 개선 약물 치료 수술 |
약물 치료 | 제산제 H2 수용체 차단제 양성자 펌프 억제제 위장관 운동 촉진제 |
빈도 및 지속 기간 | |
빈도 | 북미 및 유럽 인구의 약 15% |
지속 기간 | 장기간 |
2. 원인
임신, 비만, 과식 등으로 인한 복부 압력 증가, 과다한 위산 분비, 식도 운동 이상, 식도열공 헤르니아(hiatal hernia), 위, 식도 수술 환자 등의 요인들이 위식도 역류병을 유발할 수 있다.[9] 소량의 산 역류는 건강한 사람에게서도 흔히 나타나지만, 위식도 역류 증상이 반복적으로 나타나는 문제로 발전할 때 위식도 역류 질환이 된다. 잦은 산 역류는 위와 식도의 접합 부위에 위치한 위식도 괄약근의 부적절한 폐쇄로 인해 발생한다.[9]
위식도 역류 질환을 유발할 수 있는 요인은 다음과 같다.
- '''열공 헤르니아''': 기계적 및 운동성 요인으로 인해 위식도 역류 질환의 가능성을 증가시킨다.[32][33]
- '''비만''': 체질량 지수가 증가할수록 위식도 역류 질환이 더 심해진다.[34] 증상성 역류 질환 환자 2,000명을 대상으로 한 대규모 연구에서 식도 산 노출 변화의 13%가 체질량 지수 변화에 기인한다는 것이 밝혀졌다.[35]
위식도 역류 질환과 연관되어 있지만 결정적인 증거는 없는 요인은 다음과 같다.
1999년, 기존 연구 검토 결과, 평균적으로 위식도 역류 질환 환자의 40%가 헬리코박터 파일로리 감염을 동반했다.[39] 헬리코박터 파일로리의 제거는 산 분비를 증가시킬 수 있으며,[40] 이로 인해 헬리코박터 파일로리에 감염된 위식도 역류 질환 환자와 비감염 환자가 다른지 여부에 대한 의문이 제기되었다. 2004년에 보고된 이중 맹검 연구에서는 질병 심각도에 대한 주관적 또는 객관적 척도와 관련하여 이 두 유형의 환자 간에 임상적으로 유의미한 차이가 발견되지 않았다.[41]
3. 증상
위식도 역류병(GERD)은 다양한 증상을 유발할 수 있으며, 크게 성인과 어린이 및 영아에서 나타나는 증상이 다를 수 있다.
성인에서 흔한 증상 외에, 위식도 역류병은 식도에 손상을 일으켜 역류성 식도염, 식도 협착, 바렛 식도, 식도 선암 등을 유발할 수 있다.[17] 또한, 후두인두 역류(LPR)를 유발하여 흡인성 폐렴과 같은 합병증을 일으킬 수 있다.[21][22][23] 입안으로 산이 역류하면 치아 부식, 구강 건조, 구취 등이 나타날 수 있으며, 연하 곤란, 만성 기침, 쉰 목소리, 메스꺼움, 구토 등의 증상도 나타날 수 있다.[26]
흉통과 같은 심장 질환의 다른 원인은 진단을 내리기 전에 배제해야 한다.[42] 호흡기 및 후두 징후와 증상을 유발하는 또 다른 종류의 위산 역류는 후두인두 역류 (LPR) 또는 식도 외 역류 질환 (EERD)이라고 한다. GERD와 달리 LPR은 드물게 속쓰림을 유발하며, 때로는 "침묵의 역류"라고 불린다.[47] GERD의 감별 진단에는 소화 불량, 소화성 궤양 질환, 식도 및 위암, 음식 알레르기도 포함될 수 있다.[48]
위식도 역류병의 종류는 다음과 같다.
- 비미란성 위식도 역류병 (NERD): 식도 점막에 미란이나 점막 손상이 없고 증상만 나타나는 경우
- 역류성 식도염: 식도 점막에 미란이나 점막 손상이 발생한 경우
- 바렛 식도: 식도 점막이 원주 상피 화생으로 변한 경우
3. 1. 성인
성인의 위식도 역류병의 가장 흔한 증상으로는 입안의 신맛, 역류, 속쓰림이 있다.[16] 덜 흔한 증상으로는 연하통/인후통, 과다 침 분비 (물 섞인 침이라고도 함), 메스꺼움,[17] 흉통, 기침, 구 인두 덩어리 감각이 있다.[18] 산 역류는 기저 질환인 천식이 있는 사람에게 숨가쁨, 기침, 쌕쌕거림과 같은 천식 발작 증상을 유발할 수 있다.[18]위식도 역류병은 때때로 식도에 손상을 일으킨다. 이러한 손상에는 다음 중 하나 이상이 포함될 수 있다.
- 역류 식도염 – 위와 식도의 연결부 근처에 궤양을 유발할 수 있는 식도 상피의 염증[19]
- 식도 협착 – 역류로 인한 염증으로 인해 식도가 지속적으로 좁아지는 현상
- 바렛 식도 – 원위부 식도의 장 화생 (상피 세포가 편평 상피에서 장 원주 상피로 변화)[20]
- 식도 선암 – 암의 한 형태[17]
위식도 역류병은 때때로 후두인두 역류 (LPR)를 유발한다.[21][22] 다른 합병증으로는 흡인성 폐렴이 있을 수 있다.[23]


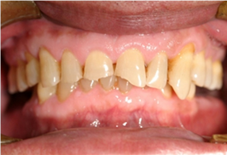
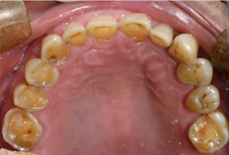
입안으로의 산 역류는 특히 치아 안쪽 표면의 에나멜질을 손상시킬 수 있다. 구강 건조, 입안의 산성 또는 작열감, 구취 및 입천장의 발적이 발생할 수 있다.[27] 위식도 역류병의 덜 흔한 증상으로는 연하 곤란, 물 넘어감, 만성 기침, 쉰 목소리, 메스꺼움 및 구토가 있다.[26]
에나멜질 부식의 징후는 페리키마가 없는 매끄럽고 비단결같이 광택이 나며 때로는 둔탁한 에나멜 표면이 잇몸 경계를 따라 온전한 에나멜과 함께 나타나는 것이다.[28] 수복물이 있는 사람의 경우, 치아 구조가 일반적으로 수복 재료보다 훨씬 빠르게 용해되어 주변 치아 구조보다 "위로 솟아" 보이는 것처럼 보이게 된다.[29]
3. 2. 어린이 및 영아
위 식도 역류병은 영아와 어린이의 경우, 그들이 느끼는 바를 설명할 수 없고 관찰을 통해 지표를 확인해야 하기 때문에 진단하기 어려울 수 있다. 증상은 일반적인 성인 증상과 다를 수 있다. 소아의 위 식도 역류병은 반복적인 구토, 노력 없는 토출, 기침 및 쌕쌕거림과 같은 기타 호흡기 문제를 일으킬 수 있다. 달래지지 않는 울음, 음식 거부, 음식을 위해 울다가 젖병이나 젖가슴에서 떨어져 다시 울음, 적절한 체중 증가 실패, 입 냄새 및 트림 또한 흔하다. 어린이들은 하나의 증상이나 여러 증상을 가질 수 있으며, 위 식도 역류병이 있는 모든 어린이에게 보편적인 단일 증상은 없다.매년 미국에서 태어나는 약 400만 명의 아기 중 최대 35%가 생후 몇 달 동안 '토출'로 알려진 역류 문제를 겪을 수 있다.[24] 약 90%의 영아는 돌 무렵에 역류 증상이 사라질 것이다.[25]
4. 진단
위식도 역류병(GERD)의 진단은 일반적으로 전형적인 증상이 나타날 때 이루어진다.[42] 역류는 증상이 없는 사람에게도 나타날 수 있으며, 진단을 위해서는 증상 또는 합병증과 위 내용물의 역류가 모두 확인되어야 한다.[59]
다른 검사에는 식도위십이지장 내시경 검사(EGD)가 포함될 수 있다. 바륨 연하 X-ray는 진단에 사용해서는 안 된다.[42] 식도 내압 검사는 수술 전에만 권장되므로 진단 목적으로는 사용하지 않는 것이 좋다.[42] 외래 식도 pH 모니터링은 양성자 펌프 억제제(PPI) 치료 후에도 호전되지 않는 환자에게 유용할 수 있으며, 바렛 식도가 보이는 환자에게는 필요하지 않다.[42] ''헬리코박터 파일로리'' 검사는 일반적으로 필요하지 않다.[42]
현재 위식도 역류병 진단의 표준은 식도 pH 모니터링이다. 이는 역류 질환을 진단하는 가장 객관적인 검사이며, 위식도 역류병 환자의 내과적 또는 외과적 치료에 대한 반응을 모니터링하는 데 사용될 수 있다. 위식도 역류병 진단을 위한 한 가지 방법은 양성자 펌프 억제제로 단기 치료를 하는 것으로, 증상 개선은 양성 진단을 시사한다. 양성자 펌프 억제제 단기 치료는 위식도 역류병을 시사하는 증상이 있는 환자에서 24시간 pH 모니터링 결과의 이상을 예측하는 데 도움이 될 수 있다.[43]
내시경 검사는 섬유 광학 내시경을 사용하여 위를 검사하는 것으로, 전형적인 증상을 보이며 치료에 반응하는 경우에는 일반적으로 필요하지 않다.[42] 치료에 잘 반응하지 않거나 연하 곤란, 빈혈, 변 내 혈액 (화학적으로 감지됨), 천식 관련 천명, 체중 감소 또는 목소리 변화와 같은 경고 증상이 있는 경우 권장된다.[42] 일부 의사들은 오랫동안 위식도 역류 질환을 앓고 있는 사람들에게 이형성증이나 바렛 식도 가능성을 평가하기 위해 평생 한 번 또는 5~10년마다 내시경 검사를 실시할 것을 권장한다.[44]
위 내시경 검사 중 수행된 생검 소견은 다음과 같을 수 있다.
- 부종 및 기저 과형성 (비특이적 염증 변화)
- 림프구 염증 (비특이적)
- 호중구 염증 (일반적으로 역류 또는 ''헬리코박터'' 위염으로 인한)
- 호산구 염증 (일반적으로 역류로 인한): 상피내 호산구의 존재는 호산구가 충분히 많은 수로 존재하는 경우 호산구성 식도염(EE) 진단을 시사할 수 있다. 원위 식도에서 고배율 현미경 시야당 20개 미만의 호산구는 위식도 역류병의 다른 조직학적 특징이 있는 경우 호산구성 식도염보다 위식도 역류병과 더 일치한다.[45]
- 술잔 세포 장내 화생 또는 바렛 식도
- 유두의 연장
- 편평 세포 층의 얇아짐
- 이형성증
- 암종
침식성 변화가 없는 역류 변화는 "비침식성 역류 질환"으로 이어진다.
흉통과 같은 심장 질환의 다른 원인은 진단을 내리기 전에 배제해야 한다.[42] 호흡기 및 후두 징후와 증상을 유발하는 또 다른 종류의 위산 역류는 후두인두 역류(LPR) 또는 식도 외 역류 질환(EERD)이라고 한다. 위식도 역류병과 달리 후두인두 역류는 드물게 속쓰림을 유발하며, 때로는 "침묵의 역류"라고 불린다.[47] 위식도 역류병의 감별 진단에는 소화 불량, 소화성 궤양 질환, 식도 및 위암, 음식 알레르기도 포함될 수 있다.[48]
오메프라졸과 같은 프로톤 펌 억제제(PPI)를 복용해도 증상이 호전되지 않는 경우, 다른 증상을 의심해야 한다.[92] 흉통은 심장 질환의 증상이기도 하므로, 생명을 위협할 수 있는 질환과의 감별이 필요하다.[92]
위식도 역류병 진단 확정이 불분명한 경우, 다음 검사를 고려할 수 있다.[92]
5. 치료
위 식도 역류병의 치료에는 생활 습관 변화, 약물 치료, 그리고 필요한 경우 수술이 동반될 수 있다. 초기 치료는 주로 오메프라졸과 같은 양성자 펌프 억제제(PPI)를 사용한다.[108][42] 일반 의약품을 복용하여 증상을 관리할 수도 있는데,[49][57][56] 이는 처방약 복용보다 안전하고 비용이 저렴할 수 있다.[49] 일부 지침에서는 양성자 펌프 억제제를 사용하기 전에 H2 길항제로 증상을 치료해 볼 것을 권장하기도 한다.[49]
의학적 영양 치료는 역류를 예방하고, 통증과 자극을 줄이며, 위 분비를 감소시켜 증상 관리에 중요한 역할을 한다.[8] 초콜릿, 민트, 고지방 음식, 알코올 등은 하부 식도 괄약근을 이완시켜 역류 위험을 높일 수 있다.[8] 과체중 또는 비만인 경우 체중 감량이 권장되며, 취침 전 간식이나 식사 직후 눕는 것을 피해야 한다. 식사는 취침 전 최소 2~3시간 전에 하는 것이 좋다.[59][8][50] 침대 머리를 6인치 높이고, 흡연을 피하며, 꽉 끼는 옷을 피하는 것도 도움이 된다. 또한, 향신료, 감귤류 주스, 토마토, 탄산 음료를 피하고, 소량의 식사를 자주 하며, 식사 사이에 음료를 마시는 것이 좋다.[59][8][50] 설탕 섭취를 줄이고 섬유질 섭취를 늘리는 것도 도움이 될 수 있다.[51][59] 적당한 운동은 증상을 개선할 수 있지만, 격렬한 운동은 오히려 증상을 악화시킬 수 있다.[52] 호흡 운동도 증상 완화에 도움이 될 수 있다.[53]
위 식도 역류병에 사용되는 주요 약물은 양성자 펌프 억제제, H2 수용체 길항제, 제산제 (알긴산 포함 또는 불포함)이다.[12] 산 억제 요법은 위 식도 역류병 증상에 대한 일반적인 대응이지만, 많은 사람들이 필요 이상으로 과도하게 사용하는 경향이 있어 부작용과 비용 문제가 발생할 수 있다.[49][54][55][56][57][58]
오메프라졸과 같은 양성자 펌프 억제제(PPI)가 가장 효과적이며, 라니티딘과 같은 H2 수용체 차단제가 그 다음으로 효과적이다.[59] PPI는 1일 1회 복용으로 효과가 충분하지 않으면 1일 2회 복용할 수 있으며,[59] 식사 30분에서 1시간 전에 복용해야 한다.[42] PPI 제제 간에는 유의미한 차이가 없다.[42] 장기간 사용하는 경우 최소 유효 용량을 복용해야 하며,[59] 증상이 자주 나타나는 경우에는 증상이 있을 때만 복용할 수도 있다.[42] H2 수용체 차단제는 약 40% 정도 증상을 개선시킨다.[60]
제산제는 효과가 약 10% 정도로 미약하지만, 알긴산과 함께 복용하면 (예: 가비스콘) 증상을 60%까지 개선할 수 있다.[60] 메토클로프라미드는 운동 촉진제의 일종이지만, 부작용 우려 때문에 단독 또는 다른 치료법과 병용하는 것을 권장하지 않는다.[12][59] 또 다른 운동 촉진제인 모사프라이드는 효과가 미미하다.[12]
수크랄페이트는 H2 수용체 차단제와 비슷한 효과를 보이지만, 하루에 여러 번 복용해야 해서 사용이 제한적이다.[12] 바클로펜은 GABAB 수용체 작용제로 효과가 있지만, 잦은 투여와 부작용 때문에 다른 약물보다 사용이 어렵다.[12]
표준적인 수술 치료법은 니센 펀도플리케이션이다. 이 수술은 위 상부를 하부 식도 괄약근 주위로 감싸 괄약근을 강화하고 산 역류를 막으며, 식도 열공 헤르니아를 복구한다.[61] PPI로 개선되지 않는 환자에게만 권장된다.[42] 단기적으로는 약물 치료보다 삶의 질이 개선되지만, 장기적인 효과에 대해서는 불확실한 점이 있다.[62] 부분 후방 펀도플리케이션이 부분 전방 펀도플리케이션보다 효과적이며, 부분 펀도플리케이션이 전체 펀도플리케이션보다 결과가 좋다.[63][64]
식도위 분리술은 위 식도 역류병이 있는 신경학적 손상 환자에게 사용되는 대체 시술법이다.[65][66] 낮은 실패율과 재발성 역류 발생률 감소 가능성이 보고되었다.[67][66]
2012년 미국 식품의약국(FDA)은 LINX라는 장치를 승인했다. 이 장치는 자성 코어가 있는 금속 비드(bead)를 하부 식도 괄약근 주위에 외과적으로 배치하는 것으로, 다른 치료에 반응하지 않는 심각한 증상 환자에게 사용된다. 증상 개선 효과는 니센 펀도플리케이션과 유사하지만, 장기적인 데이터는 부족하다. 니센 펀도플리케이션과 비교했을 때 가스 팽만 증후군과 같은 합병증이 감소하는 경향을 보인다.[68] 부작용으로는 삼키기 어려움, 흉통, 구토, 메스꺼움 등이 있다. 티타늄, 스테인리스강, 니켈, 철 재료에 알레르기가 있거나 의심되는 환자는 이 장치를 사용해서는 안 된다. 또한, 자기 공명 영상(MRI) 검사를 받으면 장치가 손상되거나 환자에게 심각한 부상을 입힐 수 있으므로 MRI 검사가 필요한 환자는 사용하지 않아야 한다.[69]
수술 위험이 높거나 PPI를 견디지 못하는 환자는 TIF 경구 무절개 펀도플리케이션이라는 무절개 시술을 고려할 수 있다.[70][71] 이 시술의 효과는 최대 6년까지 지속될 수 있다.[72]
임신 중에는 위 식도 역류병이 흔하게 발생하지만, 출산 후에는 대개 사라진다.[73] 임신 기간 동안 증상이 심해지는 경향이 있다.[73] 식이요법 수정과 생활 습관 변화를 시도할 수 있지만, 효과가 크지 않은 경우가 많다. 침대 머리 높이기, 정해진 시간에 소량의 음식 섭취, 식사 중 수분 섭취 줄이기, 취침 3시간 전 음식 섭취 피하기, 식사 후 눕지 않기 등이 도움이 될 수 있다.[73] 이러한 방법으로 효과가 없으면 칼슘 기반 제산제가 권장되며, 알루미늄 및 수산화마그네슘 기반 제산제도 안전하다.[73] 탄산수소나트륨 또는 트리실리케이트마그네슘이 함유된 제산제는 피해야 한다.[73] 수크랄페이트는 임신 중 안전성이 입증되었으며,[73] 라니티딘과 PPI도 안전하다.[74][75]
영아의 경우, 수유량을 줄이고 더 자주 수유하며, 수유 중 트림을 자주 시키고, 수유 후 30분 동안 세운 자세로 안아주며, 등을 대고 눕힐 때 머리를 높게 유지하고, 엄마 식단에서 우유와 콩을 제거하거나 아기에게 우유 단백질이 없는 분유를 먹이면 증상이 완화될 수 있다.[76] 라니티딘이나 양성자 펌프 억제제와 같은 약물 치료도 가능하다.[77] 그러나 양성자 펌프 억제제는 효과가 없는 것으로 밝혀졌으며 안전성에 대한 증거도 부족하다.[78] 위 식도 역류 질환을 앓는 영아에 대한 작업 치료사의 역할에는 수유 중 및 수유 후 자세 잡기가 포함된다.[79] 통나무 굴리기 기술은 아기의 옷이나 기저귀를 갈 때 사용되며, 아기를 옆으로 굴리고 어깨와 엉덩이를 정렬하여 산 역류를 방지한다.[79] 아기를 등을 대고 눕히는 대신 세운 자세로 옆으로 눕혀 수유하는 방법도 있다.[79] 수유 후 20분 동안 엎드리거나 세워두는 것도 도움이 된다.[79][80]
6. 합병증
위식도 역류병은 때때로 식도에 손상을 일으킬 수 있다. 이러한 손상에는 다음이 포함될 수 있다.
- 역류 식도염 – 위와 식도의 연결부 근처에 궤양을 유발할 수 있는 식도 상피의 염증[19]
- 식도 협착 – 역류로 인한 염증으로 인해 식도가 지속적으로 좁아지는 현상
- 바렛 식도 – 원위부 식도의 장 화생 (상피 세포가 편평 상피에서 장 원주 상피로 변화)[20]
- 식도 선암 – 암의 한 형태[17]
위식도 역류병은 때때로 후두인두 역류 (LPR)를 유발한다.[21][22] 다른 합병증으로는 흡인성 폐렴이 있을 수 있다.[23]
입안으로의 산 역류는 특히 치아 안쪽 표면의 에나멜질을 손상시킬 수 있다. 구강 건조, 입안의 산성 또는 작열감, 구취 및 입천장의 발적이 발생할 수 있다.[27]
위식도 역류병은 바렛 식도로 이어질 수 있으며, 이는 일종의 장 화생이다.[20] 바렛 식도는 식도암의 전구 질환이다.
7. 예방
의학적 영양 치료는 역류를 예방하고, 통증과 자극을 방지하며, 위 분비를 감소시켜 질병의 증상을 관리하는 데 필수적인 역할을 한다.[8]
초콜릿, 민트, 고지방 음식, 알코올과 같은 일부 음식은 하부 식도 괄약근을 이완시켜 역류 위험을 증가시키는 것으로 나타났다.[8] 과체중 또는 비만인 사람에게는 체중 감량이 권장되며, 취침 전 간식이나 식사 직후 눕는 것을 피해야 한다(식사는 취침 전 최소 2~3시간 전에 해야 함). 또한 침대 머리를 약 15.24cm 블록으로 높이고, 흡연을 피하며, 위 내 압력을 증가시키는 꽉 끼는 옷을 피해야 한다. 향신료, 감귤류 주스, 토마토, 탄산 음료를 피하고, 소량의 식사를 자주 하며, 식사 사이에 음료를 마시는 것이 도움이 될 수 있다.[50][59][8] 설탕 섭취를 줄이고 섬유질 섭취를 늘리는 것이 도움이 될 수 있다는 증거가 있다.[51][59] 적당한 운동은 위식도 역류 질환 환자의 증상을 개선할 수 있지만, 격렬한 운동은 증상을 악화시킬 수 있다.[52] 호흡 운동은 위식도 역류 질환 증상을 완화할 수 있다.[53]
특정 식품은 위식도 역류병(GERD)을 악화시킬 수 있지만, 대부분의 식단 개입은 효과가 적다.[102] 일부 증거는 설탕 섭취량을 줄이고 섬유질 섭취량을 늘리는 것이 도움이 될 수 있음을 시사한다.[103] 특정 음식을 피하고, 잠자리에 들기 전에 식사하지 않는 것이 위식도 역류병 증상이 있는 사람에게 권장된다.[105] 위식도 역류병을 유발할 수 있는 식품으로는 커피, 알코올, 초콜릿, 지방이 많은 음식, 산성 음식, 매운 음식 등이 있다.[105]
8. 역학
서구 인구에서 위식도 역류병은 약 10%에서 20%의 인구에 영향을 미치며, 0.4%가 새롭게 이 질환을 앓게 된다.[12] 예를 들어, 캐나다인 중 약 340만 명에서 680만 명이 위식도 역류병을 앓고 있는 것으로 추정된다. 선진국에서의 위식도 역류병 유병률은 연령과 밀접하게 관련되어 있으며, 60세에서 70세 사이의 성인이 가장 흔하게 영향을 받는다.[81] 미국에서는 인구의 20%가 특정 주에 증상을 보이며, 7%는 매일 증상을 겪는다.[12] 위식도 역류병과 관련하여 성별에 따른 우위성을 뒷받침하는 데이터는 없다.[82]
9. 역사
과거에는 위벽을 지배하는 미주 신경 가지를 외과적으로 제거하는 미주 신경 절제술("고도 선택적 미주 신경 절제술")이 사용되었으나, 현재는 약물 치료로 대체되었다. 미주 신경 절제술 자체는 위 유문 괄약근의 수축을 악화시키고 위 배출을 지연시키는 경향이 있었다.[83] 역사적으로 이러한 문제를 해결하기 위해 미주 신경 절제술은 유문 성형술 또는 위공장 문합술과 함께 시행되었다.[83]
참조
[1]
서적
Gastroenterology & Nutrition: Prepare for the MRCPCH. Key Articles from the Paediatrics & Child Health journal
Elsevier Health Sciences
2016-10-14
[2]
웹사이트
'Definition of "gastro-" - Collins American English Dictionary'
http://www.collinsdi[...]
[3]
웹사이트
'Definition of "esophagus" - Collins American English Dictionary'
http://www.collinsdi[...]
[4]
웹사이트
'reflux noun - Definition, pictures, pronunciation and usage notes - Oxford Advanced American Dictionary at OxfordLearnersDictionaries.com'
http://www.oxfordlea[...]
[5]
웹사이트
'GORD | Meaning & Definition for UK English'
https://www.lexico.c[...]
Lexico.com
2022-02-11
[6]
서적
In a Page: Medicine
https://books.google[...]
Lippincott Williams & Wilkins
2008
[7]
간행물
American Gastroenterological Association Institute technical review on the management of gastroesophageal reflux disease
2008-10
[8]
간행물
'Book Review: Krause''s Food and Nutrition TherapyMahanLKEscott-StumpS. Krause''s Food and Nutrition Therapy. 12th ed. Philadelphia: Saunders; (2007). 1376 pp, $$149.95. {{text|ISBN}}: 978-1-4160-3401-8.'
2010-06
[9]
웹사이트
Acid Reflux (GER & GERD) in Adults
https://www.niddk.ni[...]
2015-11-05
[10]
웹사이트
Best Sleeping Position For Acid Reflux: The Gerd Sleeping Position
https://www.sleepsco[...]
2021-04-26
[11]
간행물
American Gastroenterological Association Medical Position Statement on the management of gastroesophageal reflux disease
2008-10
[11]
웹사이트
American Gastroenterological Association medical position statement on the management of gastroesophageal reflux disease
http://www.guideline[...]
[12]
간행물
Pharmacological management of GERD: where does it stand now?
2011-04
[13]
간행물
Update on the epidemiology of gastro-oesophageal reflux disease: a systematic review
2014-06
[14]
서적
Gastroesophageal Reflux Disease: Principles of Disease, Diagnosis, and Treatment
https://books.google[...]
Springer Science & Business Media
2017-08-28
[15]
서적
Pharmacotherapeutics for Advanced Practice: A Practical Approach
https://books.google[...]
Lippincott Williams & Wilkins
2017-08-28
[16]
간행물
An overview: Current clinical guidelines for the evaluation, diagnosis, treatment, and management of dyspepsia
2013-03
[17]
간행물
Defining GERD
[18]
간행물
Gastroesophageal Reflux Disease (GERD)
2018-05
[19]
웹사이트
Esophagitis
https://www.lecturio[...]
2021-07-22
[20]
간행물
ACG Clinical Guideline: Diagnosis and Management of Barrett's Esophagus
https://cdr.lib.unc.[...]
2021-10-07
[21]
간행물
Laryngopharyngeal reflux disease: clinical presentation, diagnosis and therapeutic challenges in 2018
2018-12
[22]
간행물
Gastroesophageal reflux in laryngopharyngeal reflux patients: Clinical features and therapeutic response
2019-12
[23]
간행물
Review article: supra-oesophageal manifestations of gastro-oesophageal reflux disease and the role of night-time gastro-oesophageal reflux.
2004-12
[24]
웹사이트
Spitting Up in Babies
http://familydoctor.[...]
familydoctor.org
[25]
서적
Nelson Textbook of Pediatrics
Elsevier
2020
[26]
간행물
Gastroesophageal Reflux Disease and Tooth Erosion
2012
[27]
간행물
Gastroesophageal reflux disease and oral manifestations
2014-08-11
[28]
간행물
Erosion--diagnosis and risk factors
2008-03
[29]
간행물
Dental erosion
[30]
웹사이트
Dysplasia and Barrett's Esophagus
http://www.gerd-libr[...]
2009-02-01
[31]
웹사이트
Patient information: Barrett's esophagus (Beyond the Basics)
http://www.uptodate.[...]
2009-06
[32]
간행물
Defining GERD
[33]
간행물
Nocturnal reflux episodes following the administration of a standardized meal. Does timing matter?
https://zenodo.org/r[...]
2007-10
[34]
간행물
Objective documentation of the link between gastroesophageal reflux disease and obesity
2007-09
[35]
간행물
Obesity and gastroesophageal reflux: quantifying the association between body mass index, esophageal acid exposure, and lower esophageal sphincter status in a large series of patients with reflux symptoms
2009-08
[36]
논문
Is there a relationship between obstructive sleep apnea and gastroesophageal reflux disease?
[37]
논문
Potential mechanisms connecting asthma, esophageal reflux, and obesity/sleep apnea complex—a hypothetical review
[38]
간행물
Cholelithiasis
http://www.ncbi.nlm.[...]
StatPearls Publishing
2022-10-30
[39]
논문
Helicobacter pylori and gastro-oesophageal reflux disease-clinical implications and management
1999-02
[40]
논문
Helicobacter pylori infection and chronic gastric acid hyposecretion
[41]
논문
There is no difference in the disease severity of gastro-oesophageal reflux disease between patients infected and not infected with Helicobacter pylori
2004-10
[42]
논문
Guidelines for the diagnosis and management of gastroesophageal reflux disease
2013-03
[43]
논문
Short-term treatment with proton-pump inhibitors as a test for gastroesophageal reflux disease: a meta-analysis of diagnostic test characteristics
2004-04
[44]
citation
Patient information: Barrett's esophagus
http://www.uptodate.[...]
[45]
서적
Sternberg's Diagnostic Pathology
2009
[46]
웹사이트
Testing for refractory gastroesophageal reflux disease
https://www.asge.org[...]
2018-08-20
[47]
웹사이트
Laryngopharyngeal Reflux (Silent Reflux): Causes, Treatment, Diet, and More
https://www.webmd.co[...]
2022-10-30
[48]
논문
Gastroesophageal Reflux Disease
2017-12
[49]
보고서
Using the Proton Pump Inhibitors to Treat Heartburn and Stomach Acid Reflux
http://article.image[...]
Consumer Reports Best Buy Drugs
2020-02-21
[50]
논문
Are lifestyle measures effective in patients with gastroesophageal reflux disease? An evidence-based approach
[51]
논문
Can We Use Diet to Effectively Treat Esophageal Disease? A Review of the Current Literature
2017-07-20
[52]
논문
Body weight, lifestyle, dietary habits and gastroesophageal reflux disease
2009-04-14
[53]
논문
The effect of breathing exercises on patients with GERD: a meta-analysis.
2020-03
[54]
논문
Decreased acid suppression therapy overuse after education and medication reconciliation
[55]
논문
Overuse of acid-suppressive therapy in hospitalized patients
2000-11
[56]
논문
Overutilization of proton-pump inhibitors: What the clinician needs to know
[57]
논문
Overprescribing proton pump inhibitors
[58]
논문
Overprescribing PPIs: An old problem
[59]
논문
American Gastroenterological Association Medical Position Statement on the management of gastroesophageal reflux disease
2008-10
[60]
논문
Meta-analysis: the efficacy of over-the-counter gastro-oesophageal reflux disease drugs
[61]
논문
The role of laparoscopic fundoplication in Barrett's esophagus
[62]
논문
Laparoscopic fundoplication surgery versus medical management for gastro-oesophageal reflux disease (GORD) in adults
2015-11
[63]
논문
Partial anterior vs partial posterior fundoplication following transabdominal esophagocardiomyotomy for achalasia of the esophagus: meta-regression of objective postoperative gastroesophageal reflux and dysphagia
2013-01
[64]
논문
Surgical treatment of gastroesophageal reflux disease: total or partial fundoplication? systematic review and meta-analysis
2011-10
[65]
논문
Esophagogastric dissociation versus fundoplication: Which is best for severely neurologically impaired children?
2001-05
[66]
논문
Total esophagogastric dissociation: 10 years' review
2006-05
[67]
논문
Esophagogastric dissociation in the neurologically impaired: an alternative to fundoplication?
2005-06
[68]
논문
Diagnosis and treatment of gastroesophageal reflux disease
2014
[69]
웹사이트
Medical Device Approvals: LINX Reflux Management System - P100049
https://www.fda.gov/[...]
2013-11-10
[70]
논문
Long-term outcomes of transoral incisionless fundoplication for gastro-esophageal reflux disease: systematic-review and meta-analysis
[71]
논문
Transoral Incisionless Fundoplication for Refractory Gastroesophageal Reflux Disease: Where Do We Stand?
2016-03
[72]
논문
Update on novel endoscopic therapies to treat gastroesophageal reflux disease: A review.
2015-08-25
[73]
논문
Gastrointestinal Diseases in Pregnancy: Nausea, Vomiting, Hyperemesis Gravidarum, Gastroesophageal Reflux Disease, Constipation, and Diarrhea
2016-06
[74]
논문
American gastroenterological association institute medical position statement on the use of gastrointestinal medications in pregnancy
2006-07
[75]
논문
Guidelines for the diagnosis and management of gastroesophageal reflux disease
2013-03
[76]
웹사이트
Infant acid reflux - Diagnosis and treatment - Mayo Clinic
https://www.mayoclin[...]
2018-09-28
[77]
논문
Current pharmacological management of gastro-esophageal reflux in children: an evidence-based systematic review
[78]
논문
Efficacy of proton-pump inhibitors in children with gastroesophageal reflux disease: a systematic review
2011-05
[79]
웹사이트
Helping Baby with Gastroesophageal Reflux Disorder (GERD)
https://powellpediat[...]
2021-05-03
[80]
논문
Positioning after feedings: what is the evidence to reduce feeding intolerances?
2012
[81]
논문
Canadian Digestive Health Foundation Public Impact Series: Gastroesophageal reflux disease in Canada: Incidence, prevalence, and direct and indirect economic impact
2010-07
[82]
논문
Sex and Gender Differences in Gastroesophageal Reflux Disease
2016-10-30
[83]
논문
Vagotomy and Double Pyloroplasty for Peptic Ulcer
1975
[84]
논문
What is left of the endoscopic antireflux devices?
2009-07
[85]
논문
No evidence for efficacy of radiofrequency ablation for treatment of gastroesophageal reflux disease: a systematic review and meta-analysis.
2015-06
[86]
논문
Radiofrequency energy delivery to the lower esophageal sphincter reduces esophageal acid exposure and improves GERD symptoms: a systematic review and meta-analysis.
2012-08
[87]
논문
Transoral incisionless fundoplication with EsophyX® for treatment of gastro-oesphageal reflux disease
2012-08
[88]
웹사이트
Definition of "gastro-" - Collins American English Dictionary
http://www.collinsdi[...]
2015-12
[89]
웹사이트
Definition of "esophagus" - Collins American English Dictionary
http://www.collinsdi[...]
2015-12
[90]
웹사이트
reflux noun - Definition, pictures, pronunciation and usage notes - Oxford Advanced American Dictionary at OxfordLearnersDictionaries.com
http://www.oxfordlea[...]
2015-12
[91]
논문
American Gastroenterological Association Institute technical review on the management of gastroesophageal reflux disease.
2008-10
[92]
웹사이트
Patient education: Gastroesophageal reflux disease in adults (Beyond the Basics)
https://www.uptodate[...]
UpToDate
2020-04-06
[93]
웹사이트
Gastroesophageal Reflux (GER) and Gastroesophageal Reflux Disease (GERD) in Adults
https://www.niddk.ni[...]
2016-09-13
[94]
논문
Pharmacological management of GERD: where does it stand now?
2011-04
[95]
서적
Gastroesophageal Reflux Disease: Principles of Disease, Diagnosis, and Treatment
https://books.google[...]
Springer Science & Business Media
2006
[96]
서적
Pharmacotherapeutics for Advanced Practice: A Practical Approach
https://books.google[...]
Lippincott Williams & Wilkins
2006
[97]
논문
An overview: Current clinical guidelines for the evaluation, diagnosis, treatment, and management of dyspepsia
2013-03
[98]
논문
Gastroesophageal Reflux Disease
[99]
논문
Updated guidelines 2008 for the diagnosis, surveillance and therapy of Barrett's esophagus
http://www.acg.gi.or[...]
2008-03
[100]
논문
Guidelines for the diagnosis and management of gastroesophageal reflux disease
https://ww3.iehp.org[...]
2013-03
[101]
Citation
Drugs to Treat Heartburn and Stomach Acid Reflux: The Proton Pump Inhibitors - Comparing Effectiveness, Safety, and Price
http://www.consumerr[...]
Consumer Reports
2013-03-27
[101]
논문
Overprescribing proton pump inhibitors
[101]
논문
Overutilization of proton-pump inhibitors: What the clinician needs to know
[102]
논문
Body weight, lifestyle, dietary habits and gastroesophageal reflux disease
2009-04-14
[103]
논문
Can We Use Diet to Effectively Treat Esophageal Disease? A Review of the Current Literature
2017-07-20
[104]
Citation
Drugs to Treat Heartburn and Stomach Acid Reflux: The Proton Pump Inhibitors - Comparing Effectiveness, Safety, and Price
http://www.consumerr[...]
Consumer Reports
2013-03-27
[104]
논문
Decreased acid suppression therapy overuse after education and medication reconciliation
[104]
논문
Overuse of acid-suppressive therapy in hospitalized patients1
[104]
논문
Overutilization of proton-pump inhibitors: What the clinician needs to know
[104]
논문
Overprescribing proton pump inhibitors
[104]
논문
Overprescribing PPIs: An old problem
[105]
논문
American Gastroenterological Association Medical Position Statement on the management of gastroesophageal reflux disease
2008-10
[106]
논문
Meta-analysis: the efficacy of over-the-counter gastro-oesophageal reflux disease drugs
[107]
논문
Canadian Digestive Health Foundation Public Impact Series: Gastroesophageal reflux disease in Canada: Incidence, prevalence, and direct and indirect economic impact
2010-07
[108]
논문
Guidelines for the diagnosis and management of gastroesophageal reflux disease.
2012-03
본 사이트는 AI가 위키백과와 뉴스 기사,정부 간행물,학술 논문등을 바탕으로 정보를 가공하여 제공하는 백과사전형 서비스입니다.
모든 문서는 AI에 의해 자동 생성되며, CC BY-SA 4.0 라이선스에 따라 이용할 수 있습니다.
하지만, 위키백과나 뉴스 기사 자체에 오류, 부정확한 정보, 또는 가짜 뉴스가 포함될 수 있으며, AI는 이러한 내용을 완벽하게 걸러내지 못할 수 있습니다.
따라서 제공되는 정보에 일부 오류나 편향이 있을 수 있으므로, 중요한 정보는 반드시 다른 출처를 통해 교차 검증하시기 바랍니다.
문의하기 : help@durumis.com