뇌혈관 질환
"오늘의AI위키"의 AI를 통해 더욱 풍부하고 폭넓은 지식 경험을 누리세요.
1. 개요
뇌혈관 질환은 뇌로 가는 혈관에 문제가 생겨 발생하는 질환으로, 뇌졸중, 뇌출혈 등이 포함된다. 주요 원인으로는 동맥경화증, 고혈압, 뇌동맥류 등이 있으며, 선천성, 후천성, 특발성으로 분류된다. 뇌혈관 질환은 뇌 조직 손상으로 이어져 편마비, 언어 장애, 시각 변화 등의 증상을 유발하며, 진단을 위해 신경학적 검사, 영상 검사 등이 활용된다. 치료는 약물, 수술, 생활 습관 개선 등을 통해 이루어지며, 예방을 위해 고혈압 관리, 금연 등이 중요하다. 뇌혈관 질환은 전 세계적으로 주요 사망 원인 중 하나이며, 한국에서도 높은 발병률을 보여 정부 차원에서 예방 및 관리 정책을 추진하고 있다.
더 읽어볼만한 페이지
뇌혈관 질환 | |
---|---|
뇌혈관 질환 정보 | |
![]() | |
기본 정보 | |
분야 | 신경학 |
증상 | 몸의 한쪽의 근력 약화 |
유형 | 뇌졸중 혈관성 치매 일과성 허혈 발작 지주막하 출혈 |
진단 | 신경학적 검사 신체 검사 |
치료 | 항응고제 항고혈압제 |
질병 분류 | |
ICD-10 | -, - |
ICD-9 | - |
MeSH ID | D002561 |
추가 정보 | |
관련 질병 | 뇌졸중 혈관성 치매 일과성 허혈 발작 지주막하 출혈 |
위험 요인 | 뇌졸중의 위험 요인과 유사 |
진단 방법 | 신경학적 검사 신체 검사 뇌 영상 검사 |
치료 방법 | 항응고제 항고혈압제 수술 |
예방 방법 | 건강한 생활 습관 유지 고혈압 관리 당뇨병 관리 고지혈증 관리 |
2. 원인
뇌혈관 질환의 원인은 크게 선천성, 후천성, 특발성으로 나눌 수 있다.[97] 선천성 원인은 유전자 이상 등 태어날 때부터 존재하는 경우이며, 후천성 원인은 죽상동맥경화증, 고혈압 등 생활 습관이나 다른 질병과 관련하여 발생하는 경우이다. 특발성 원인은 모야모야병과 같이 아직 명확한 원인이 밝혀지지 않은 경우를 의미한다.
2. 1. 선천성
선천성 질환은 유전자와 연관되거나 유전될 수 있는, 출생 시부터 존재하는 의학적 상태를 말한다.[81] 선천성 뇌혈관 질환의 주요 예시로는 동정맥 기형, 배아 기질 출혈, 그리고 CADASIL(피질하 경색 및 백질뇌증을 동반한 상염색체 우성 동맥병증) 등이 있다.[97]- 동정맥 기형 (Arteriovenous Malformation, AVM): 비정상적으로 혈관이 얽혀 있는 상태이다. 정상적인 경우 모세혈관 다발이 동맥과 정맥을 분리하여, 높은 동맥 혈압으로부터 정맥을 보호한다. 하지만 동정맥 기형에서는 동맥이 정맥에 직접 연결되어 정맥이 파열되거나 출혈이 발생할 위험이 커진다. 뇌에 생긴 동정맥 기형은 매년 파열될 확률이 2~4% 정도이지만, 많은 경우 평생 동안 특별한 증상 없이 발견되지 않기도 한다.[82]
- 배아 기질 출혈 (Germinal Matrix Hemorrhage): 미숙아의 뇌에서 발생하는 출혈로, 배아 기질 내의 약한 혈관이 파열되어 생긴다.[83] 배아 기질은 태아의 뇌 속에서 뉴런이나 신경교세포 같은 뇌 세포가 만들어지는, 혈관이 매우 발달한 영역이다. 특히 임신 32주 이전에 태어난 미숙아에게 배아 기질 출혈의 위험이 가장 높다.[83] 혈관 자체가 약한 데다 출생 후 겪게 되는 여러 스트레스가 출혈 위험을 더욱 높인다. 주요 증상으로는 근육의 힘이 빠지는 이완성 쇠약, 발작, 비정상적인 자세, 불규칙한 호흡 등이 나타날 수 있다.[83]
- CADASIL (Cerebral Autosomal Dominant Arteriopathy with Subcortical Infarcts and Leukoencephalopathy): 19번 염색체에 위치한 ''NOTCH3'' 유전자의 돌연변이로 인해 발생하는 유전 질환이다.[84] ''NOTCH3'' 유전자는 세포막을 관통하는 막관통 단백질을 만드는 역할을 하는데, 그 기능은 아직 명확히 밝혀지지 않았다. 유전자 돌연변이가 생기면 이 단백질이 작은 혈관과 중간 크기 혈관의 벽에 쌓이게 된다.[84] 이 질환은 주로 초기 성인기에 편두통, 뇌졸중, 기분 장애, 인지 기능 저하 등의 증상으로 나타난다. MRI 검사를 통해 뇌의 백질 변화와 반복적인 뇌졸중의 흔적을 확인할 수 있으며, 유전자 검사를 통해 최종적으로 진단한다.[85]

2. 2. 후천성
후천성 뇌혈관 질환은 일생 동안 발생하는 질환으로, 위험 인자를 조절하여 예방할 수 있다. 뇌혈관 질환의 발병률은 나이가 들어감에 따라 증가한다.[86][18] 후천성 뇌혈관 질환의 주요 원인으로는 죽상동맥경화증, 색전증, 동맥류, 동맥 박리가 있다.[97][5]죽상동맥경화증은 혈관 벽에 콜레스테롤 등이 축적되어 혈관을 좁게 만들고 뇌로 가는 혈류를 감소시킨다. 이는 뇌 내 혈전증 또는 동맥 폐색 위험을 증가시킨다. 죽상동맥경화증의 주요 개선 가능한 위험 요인은 다음과 같다.[87][19]
이러한 위험 요인을 조절하면 동맥경화증과 뇌졸중의 발생률을 줄일 수 있다.[22] 심방세동 또한 뇌졸중의 주요 위험 요인인데, 심장 내에 혈전 형성을 유발하고 이 혈전이 뇌 동맥으로 이동하여 색전증을 일으킬 수 있다. 색전증은 뇌 혈류를 차단하여 뇌졸중을 유발한다.[23]

동맥류는 동맥의 작은 부분이 비정상적으로 팽창하여 동맥 파열의 위험을 증가시키는 상태이다. 특히 두개내 동맥류는 지주막하 출혈, 즉 지주막하 공간 내 뇌 주변 출혈의 주요 원인이다. 엘러스-단로스 증후군, 상염색체 우성 다낭성 신장병, 가족성 고알도스테론증 I형과 같은 유전 질환이 두개내 동맥류와 관련될 수 있지만[90][91][92][24][25][26], 이러한 질환이 없는 사람에게도 동맥류가 발생할 수 있다. 미국심장협회(American Heart Association)와 미국뇌졸중협회(American Stroke Association)는 흡연과 고혈압을 포함한 개선 가능한 위험 요인을 조절할 것을 권장한다.[93][27] 뇌출혈의 다른 요인으로는 뇌동정맥기형(AVM) 및 모야모야병 등이 있다.
동맥 박리는 주로 외상으로 인해 동맥의 안쪽 막이 찢어지는 현상이다.[94][28] 경동맥이나 척추동맥 내의 박리는 혈전증을 유발하여 뇌로 가는 혈류를 손상시킬 수 있으며, 혈관 파열의 위험도 증가시킨다.[95][29]
종합적으로 볼 때, 고혈압, 흡연, 높은 허리-엉덩이 비율, 건강하지 못한 식사, 규칙적인 운동 부족, 당뇨병, 중등도 또는 고도의 알코올 섭취, 스트레스 또는 우울증, 높은 아포지단백 B/A1 비율이라는 9가지 요인은 여러 국가에서 뇌졸중 위험의 90%를 차지하는 것으로 나타났다. 이 중에서도 고혈압은 단독으로 허혈성 및 출혈성 뇌혈관 장애의 52%, 출혈성 뇌혈관 장애의 74%에 관여하는 가장 중요한 요인이다.[59] 특히 수축기혈압(SBP)은 맥압이나 확장기혈압(DBP) 등 다른 혈압 지표보다 뇌졸중 발생을 예측하는 데 더 중요한 것으로 알려져 있다. 또한, 만성적인 수면 부족 상태는 고혈압, 당뇨병, 고지혈증, 심근경색, 협심증 등의 관상동맥질환 및 뇌혈관 장애와 같은 생활 습관병에 걸릴 위험을 높인다.[60] 일본에서는 식문화의 서구화와 함께 뇌혈관 질환 발병률이 증가하고 있으며, 예방, 재발 방지, 재활 모두 중요한 과제가 되고 있다.
2. 3. 특발성
특발성 질환은 알려진 원인 없이 자발적으로 발생하는 질환이다.[96][30] 모야모야병은 두개내 혈관의 협착 및 폐색을 초래하는 특발성 뇌혈관 질환의 한 예이다.[97][5] 가장 흔한 증상은 뇌졸중 또는 일과성 허혈 발작이지만, 어린이의 경우 인지 저하가 나타날 수도 있다.[97][98][5][10] 이 질병은 청소년기에 시작하여 증상을 보이기 시작할 수 있지만, 일부는 성인이 될 때까지 증상이 없을 수 있다.[98][10]3. 병태생리학
뇌혈관 질환은 기본적으로 머릿속 혈관, 즉 혈류의 이상 때문에 발생한다. 이러한 이상은 크게 두 가지 방식으로 뇌 조직에 손상을 입히는데, 하나는 혈관이 터져 발생하는 출혈이고, 다른 하나는 혈관이 막혀 혈액 공급이 부족해지는 허혈이다. 출혈은 흘러나온 피가 주변 뇌 조직에 염증을 일으키거나 압박을 가해 손상을 주고, 허혈은 뇌 세포에 필요한 산소와 영양분 공급을 차단하여 직접적인 뇌 조직 손상을 일으킨다.
3. 1. 뇌 세포 손상 기전
뇌혈관장애는 두개강 내 혈관, 즉 혈류의 이상으로 인해 발생하며, 이는 출혈에 따른 염증이나 압박, 또는 허혈(혈액 공급 부족)로 인한 뇌 조직 손상으로 이어진다.[99][100][31][32]몇 초 동안이라도 혈류가 감소하면 뇌 조직은 허혈 상태에 빠진다. 만약 혈류 차단이 몇 분 안에 회복되지 않으면, 해당 뇌 조직은 경색을 일으켜 결국 죽게 된다.[101][33] 뇌 혈류량이 낮은 상태가 더 오래 지속되면, 주요 뇌동맥들이 혈액을 공급하는 경계 지역(watershed area)에서 경색이 발생할 수 있다. 상태가 더 심각해져 전신적인 저산소증-허혈 상태가 되면, 광범위한 뇌 손상을 초래하여 '저산소-허혈성 뇌병증'이라는 심각한 인지 기능 장애를 남길 수 있다.[102][34]
뇌 세포가 손상되는 핵심 과정은 허혈 연쇄 반응(ischemic cascade)이다. 이는 산소와 영양소 공급이 부족해지면서 시작된다. 이 연쇄 반응은 뇌 세포 기능에 필수적인 고에너지 분자인 아데노신 삼인산(ATP)의 생산을 감소시킨다.[103][35] ATP 생산이 부족함에도 불구하고 세포는 계속 ATP를 소모하므로, 결국 ATP 총량이 줄어들고 젖산이 쌓이는 젖산성 산증 상태가 된다. 이로 인해 신경세포 내 이온 균형이 깨지게 된다.
이온 균형이 무너지면 허혈 연쇄 반응의 다음 단계들이 진행된다. 세포막의 이온 펌프는 더 이상 칼슘 이온(Ca2+)을 세포 밖으로 내보내지 못한다. 이는 신경전달물질인 글루탐산의 과도한 방출을 유발하고, 방출된 글루탐산은 다시 세포 안으로 칼슘 이온이 과도하게 유입되도록 만든다. 최종적으로 이러한 일련의 과정은 세포 사멸 경로(아폽토시스 등)를 활성화시켜 뇌 세포를 죽음에 이르게 한다.[104][36]
허혈이 발생하면 뇌는 혈류량에 따라 손상 정도가 다른 영역으로 나뉜다. 혈류량이 분당 조직 100g당 10mL 미만으로 극심하게 감소한 영역은 핵심 영역(core zone)이라고 하며, 이곳의 세포들은 뇌졸중 발생 후 몇 분 안에 죽게 된다. 반면, 혈류량이 분당 조직 100g당 25mL 미만인 영역은 허혈 반그늘(ischemic penumbra)이라고 부른다. 이 영역의 세포들은 즉시 죽지는 않고 몇 시간 동안 생존할 수 있어, 신속한 치료를 통해 살릴 가능성이 있는 부위이다.[107][39]
3. 2. 뇌졸중의 종류
뇌졸중은 크게 두 가지 주요 유형으로 나뉜다. 하나는 허혈성 뇌졸중으로, 뇌의 특정 영역으로 가는 혈액 공급이 감소하는 경우이다. 다른 하나는 출혈성 뇌졸중으로, 뇌 내부나 주변 공간에 출혈이 발생하는 경우이다.[115][40]3. 2. 1. 허혈성 뇌졸중
가장 흔한 뇌졸중 유형인 허혈성 뇌졸중은 뇌경색이라고도 하며, 뇌의 혈관이 막혀서 발생한다. 주로 동맥이나 심장에서 생긴 혈전이나 색전이 원인이 되어 뇌로 가는 혈류를 막아 뇌에 산소 공급이 부족해지는 상태이다.[108][41] 신경학적 징후와 증상이 24시간 이상 지속되거나, CT나 MRI 같은 영상 기술을 통해 뇌경색이 확인되어야 허혈성 뇌졸중으로 진단한다.[109][42]일과성 허혈 발작 (Transient Ischemic Attack|TIAeng)은 '미니 뇌졸중'이라고도 불린다. 이는 뇌의 특정 부위로 가는 혈류가 일시적으로 막혔다가 빠르게 회복되어 뇌 조직 손상 없이 완전히 회복되는 상태이다. 증상은 일시적이며 후유증이나 장기적인 장애를 남기지 않는다.[110][43] TIA로 진단하기 위해서는 뇌 영상 검사에서 뇌경색의 증거가 없어야 하며, 모든 신경학적 징후와 증상이 24시간 이내에 완전히 사라져야 한다.[111][44]
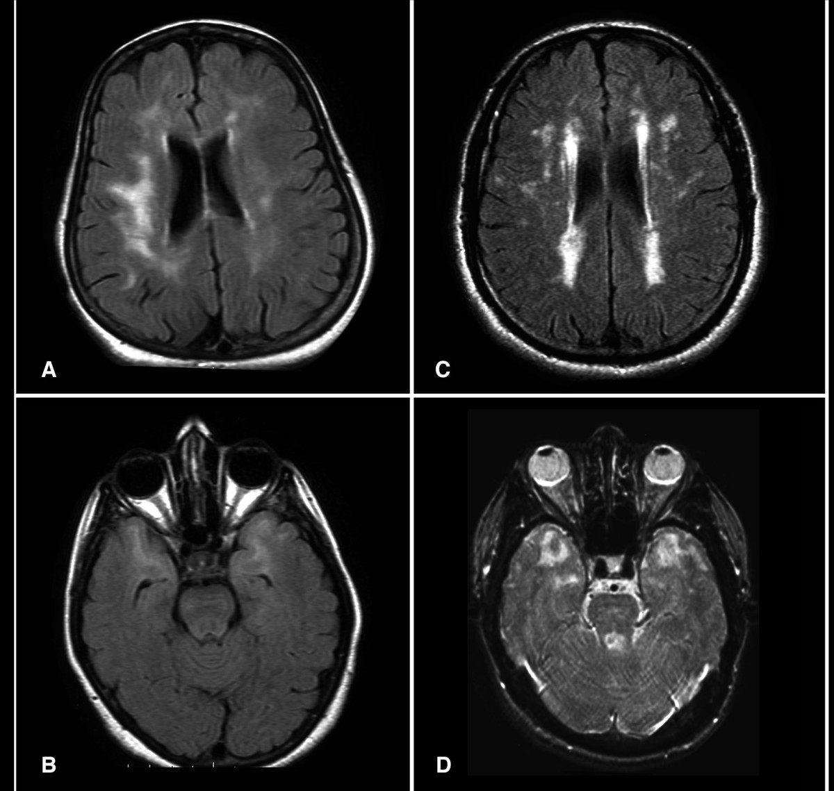
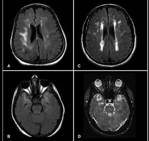
=== 영상 진단 ===
뇌경색( 脳梗塞|노코소쿠jpn ) 진단에는 영상 검사가 중요하다.
==== CT ====
컴퓨터단층촬영( コンピュータ断層撮影|콘퓨타 단소 사쓰에이jpn, CT) 검사에서는 뇌출혈( 脳出血|노슈케쓰jpn )과의 감별이 가장 중요하다. 뇌출혈은 매우 작은 경우를 제외하고는 발병 초기부터 혈종이 고흡수 영역(하얗게 보이는 부분)으로 명확하게 나타나기 때문이다. 반면, 뇌경색은 발병 초기에는 CT 영상에서 뚜렷한 변화가 나타나지 않을 수 있다. 다만, 초기 허혈 변화 ( 初期(早期)虚血変化|쇼키 (소키) 쿄케쓰 헨카jpn, early CT sign)라고 불리는 미묘한 소견이 나타날 수 있다. 여기에는 수정체핵( レンズ核|렌즈카쿠jpn ) 음영의 불명료화, 섬피질( 島皮質|토히시쓰jpn )의 불명료화, 피질과 백질( 白質|하쿠시쓰jpn )의 경계인 피수 경계( 皮髄境界|히즈이 쿄카이jpn )의 불명료화, 뇌구( 脳溝|노코jpn )의 소실(좁아짐) 등이 포함된다. 이러한 초기 변화가 중대뇌동맥(MCA) 영역의 1/3 이상을 차지하면 혈전용해술 치료 대상에서 제외될 수 있어, 최근에는 초기 허혈 변화 유무 판정이 중요해졌다. 시간이 지나면 괴사된 뇌 조직이 부어오르는 뇌부종이 나타날 수 있으며, 발병 수일 후에는 괴사된 조직이 연화되어 CT 상에서 저흡수 영역(어둡게 보이는 부분)으로 나타나지만, 급성기에는 이러한 소견이 명확하지 않다.
==== MRI ====
자기공명영상( 核磁気共鳴画像法|가쿠지키 쿄메이 가조호jpn, MRI)는 CT보다 더 이른 시기에 뇌경색 병변을 발견할 수 있다.
- T2 강조 영상(T2WI): 발병 약 6시간 후부터 병변 부위가 고신호(밝게 보임)로 나타난다. 이는 세포( 細胞|사이보jpn )의 부종을 반영한다.
- 확산강조영상(DWI): 발병 약 3시간 후부터 병변 부위가 고신호로 나타나 DWI가 가장 초기에 뇌경색을 진단하는 데 유용하다. 이론적으로 DWI에서 고신호를 보이는 부위는 이미 비가역적인 손상을 입은 것으로 간주하며, 그 주변에는 아직 회복 가능한 영역인 페넘브라( ペナンブラ|페난부라jpn )가 존재한다고 본다. 하지만 DWI 고신호 영역 대부분이 실제 괴사 부위와 일치하지만, 일부 희미한 병변 속에는 회복 가능한 조직이 포함될 수도 있다. 반대로, 발병 극초기에는 DWI에서도 병변이 나타나지 않는 위음성(false negative) 경우가 있다. 발병 24시간 이내에도 약 5%의 위음성이 보고되며, 특히 발병 6시간 이내의 척추동맥 관류 영역에서는 위음성률이 20%에 달하며, 연수 병변에서 흔하다. 대뇌피질 병변의 위음성률은 약 2%로 낮다. 따라서 첫 DWI 검사에서 이상 소견이 없더라도 임상 증상으로 뇌경색이 강력히 의심되면 24시간 후에 재촬영하는 것이 권장된다. 이때는 3mm 정도의 얇은 절편 두께와 높은 b 값(2000 이상)으로 촬영하면 검출률을 높일 수 있다.
병기 | 병태 | DWI | ADC-MAP | T2WI | CT | |
---|---|---|---|---|---|---|
발병 직후 | (0 - 1시간) | 폐쇄 직후의 관류 이상 | 소견 없음 | 소견 없음 | 소견 없음 | 소견 없음 |
초급성기 | (1 - 24시간) | 세포성 부종 | 고신호 | 저신호 | 소견 없음 | early CT sign |
급성기 | (1 - 7일) | 세포성 부종과 혈관성 부종 | 고신호 | 저신호 | 고신호 | 저흡수 |
아급성기 | (1 - 3주) | 세포 괴사로 대식세포 침윤과 혈관신생으로 부종이 서서히 감소 | 고신호에서 서서히 저신호로 | 저신호에서 서서히 고신호로 | 고신호 | 저흡수에서 FE를 거쳐 저흡수로 |
만성기 | (1개월 - ) | 괴사, 흡수, 반흔화 | 저신호 | 고신호 | 고신호 | 뇌척수액 농도 |
위 표는 뇌경색에서 MRI 영상 소견이 시간에 따라 어떻게 변하는지를 보여준다.
- 초급성기: 세포성 부종으로 인해 물 분자의 확산이 제한되어 확산 계수가 낮아진다. 이는 DWI에서 고신호, ADC-MAP에서 저신호로 나타난다.
- 급성기: 모세혈관의 혈액뇌장벽(BBB)이 손상되어 혈관성 부종이 발생한다. 이로 인해 조직 내 수분 함량이 증가하여 T2WI에서 고신호로 보인다. 급성기에 혈류가 재개통되면 혈관성 부종이 악화되어 심한 뇌부종( 脳浮腫|노후슈jpn )이나 출혈성 뇌경색( 出血性梗塞|슛케쓰세이 코소쿠jpn )이 발생할 수도 있다.
- 아급성기: 세포가 괴사하고 혈관이 손상되면서 확산 계수가 다시 증가하여 일시적으로 정상처럼 보이는 현상(pseudo-normalization)이 나타날 수 있다. DWI는 T2 강조 영상의 영향(T2 shine through)으로 아급성기 후반까지 고신호가 지속될 수 있다. 따라서 DWI 고신호만으로 확산 계수 저하나 초급성기 뇌경색으로 단정할 수 없으므로 ADC-MAP과 함께 평가해야 한다. 발병 약 2주경에는 CT에서도 혈관성 부종이 감소하면서 병변이 주변 조직과 비슷한 밀도로 보여 일시적으로 잘 보이지 않게 되는데, 이를 포깅 효과(fogging effect, FE)라고 한다. 아급성기에는 연막-뇌막 문합을 통한 측부 혈행로나 보상적인 혈류 증가로 인해 비교적 작은 괴사 부위 내에 미세 출혈이 관찰될 수 있으며, 이는 T2* 강조 영상에서 저신호로 나타난다. 이러한 출혈은 급성기의 출혈성 뇌경색과 달리 심각한 신경학적 증상 악화를 유발하지는 않지만, 소뇌 뇌경색에서 이러한 소견이 보일 경우 항혈소판제 투여를 신중히 고려해야 한다.
- 만성기: 괴사된 조직이 흡수되고 흉터 조직으로 대체되면서 T2WI에서 고신호 소견을 보인다. 조직 결손 정도에 따라 FLAIR 영상에서는 세포외액 공간 확대로 인해 저신호로 보일 수도 있다.
==== 이차성 변화 ====
뇌혈관 장애는 발생 부위 외에도 멀리 떨어진 부위에 이차적인 변화를 유발할 수 있다. 대표적인 예는 다음과 같다.
이차성 변화 | 소견 |
---|---|
피질척수로의 발러 변성( ワーラー変性|와라 헨세이jpn ) | 피질척수로( 皮質脊髄路|히시쓰세키즈이로jpn ) 손상 시, 손상 부위보다 먼 쪽에서 발병 4주 후부터 T2 신호 감소, 10주경부터 T2 신호 증가. DWI에서는 발병 2~8일경 신호 변화 확인 가능. |
시상의 변성( 視床の変性|시쇼노 헨세이jpn ) | 외측 선조체 동맥을 포함한 중대뇌동맥 영역 손상 시, 피질시상로를 통해 같은 쪽 시상에 발병 3개월 이후 T2 신호 증가. 주로 배내측핵에서 시작. |
중뇌 흑질의 변성( 中脳黒質の変性|추노 코쿠시쓰노 헨세이jpn ) | 선조체( 線条体|센조타이jpn ) 손상 시, 같은 쪽 중뇌 흑질에 발병 10일 전후로 T2 신호 증가 후 1개월 정도에 소실. |
하올리브핵 가성비대( 下オリーブ核仮性肥大|카 오리부카쿠 카세이히다이jpn ) | 소뇌 치상핵 병변 시 반대쪽 하올리브핵에, 교차 배측 중심 피개로 병변 시 같은 쪽에 변성 발생. 수개월 후 T2 신호 증가 후 비대. |
교차성 소뇌 위축( 交叉性小脳萎縮|코사세이 쇼노 이슈쿠jpn ) | 교핵 손상 시 반대쪽 중소뇌각에 발러 변성 발생. 교핵 주변부 손상 시 반대쪽에 유사 변성이 생겨 양측성으로 나타나기도 함. |
그 외에도 피질층상괴사(cortical laminar necrosis)는 대뇌피질의 특정 층(주로 제3층의 추체세포층)이 선택적으로 허혈 손상을 입는 것으로, 발병 후 약 3주경 T1 강조 영상(T1WI)에서 피질을 따라 선상의 고신호 영역으로 확인된다.
3. 2. 2. 출혈성 뇌졸중
출혈성 뇌졸중은 뇌혈관이 파열되어 뇌 조직 내부나 뇌를 둘러싼 공간으로 혈액이 흘러나오는 상태를 말한다. 크게 지주막하출혈과 뇌내출혈로 나눌 수 있다.- 지주막하출혈: 손상된 혈관에서 혈액이 새어 나와 뇌 주변의 지주막하 공간에 있는 뇌척수액으로 흘러 들어가는 경우이다.[112][45] 가장 흔한 원인은 혈관벽이 약해지고 혈관 내 압력이 높아져 동맥류(혈관이 꽈리처럼 부풀어 오른 것)가 터지는 것이다.[113][46] 신경학적 증상은 흘러나온 혈액 덩어리가 주변 신경 구조를 압박하거나, 혈액 자체가 뇌 조직에 독성을 나타내거나, 머릿속 압력(두개내압)이 높아져서 발생한다.[114][47]
- 뇌내출혈: 뇌를 둘러싼 공간이 아닌 뇌 조직 안으로 직접 출혈이 발생하는 경우이다.[115][40] 주요 원인 및 위험 요인으로는 고혈압, 항응고제(혈액이 굳는 것을 막는 약) 사용, 머리 외상, 뇌동정맥 기형(뇌 속 동맥과 정맥이 비정상적으로 연결된 상태) 등이 있다.[116][48]
4. 증상
뇌혈관 질환의 증상은 뇌 손상 부위와 정도에 따라 다양하게 나타난다. 가장 흔한 증상은 급성 뇌졸중으로, 뇌로의 혈액 공급이 차단될 때 발생한다.[10] 뇌졸중의 증상은 일반적으로 빠르게 나타나며, 한쪽 얼굴이나 신체의 편마비, 한쪽 얼굴이나 신체의 감각이상, 실어증, 시각 변화 및 운동실조 등이 포함될 수 있다.[9] 특히 출혈성 뇌졸중은 구토, 목 경직(경부 강직) 및 의식 저하와 관련된 매우 심하고 갑작스러운 두통으로 나타날 수 있다.[10] 증상은 뇌졸중의 영향을 받는 뇌 부위의 위치와 크기에 따라 다르다. 뇌 부종(부기)이 발생하여 두개내압이 증가하고 뇌탈출이 발생할 수도 있다. 뇌의 주요 부위가 침범될 경우 뇌졸중으로 인해 혼수 상태 또는 사망에 이를 수 있다.[11]
뇌혈관 질환의 다른 증상으로는 편두통, 발작, 간질 또는 인지 저하가 있다. 그러나 급성 뇌졸중이 발생할 때까지 수년 동안 뇌혈관 질환이 발견되지 않을 수도 있다. 일부 희귀한 선천성 뇌혈관 질환 환자는 어린 시절부터 이러한 증상이 나타나기 시작할 수 있다.[12]
신경학적 진단은 병인 진단, 해부학적 진단, 임상 진단의 3단계로 이루어지는 것이 일반적이다. 하지만 응급실에서는 신속한 대응이 중요하며, 신경 질환 의심 환자 대부분이 뇌혈관 장애이므로 간편한 선별 검사법이 주로 사용된다. 선별 검사는 신경 질환 유무를 빠르게 판단하기 위한 것으로, 체계적인 진단에 비해 정보는 적지만 단시간에 실시할 수 있다. 선별 검사 항목으로는 의식, 뇌신경, 운동 신경, 감각 신경, 보행, 자세, 수막 자극 증상, 자율 신경, 협조 운동, 심부 건 반사(특히 병적 반사) 등을 전반적으로 확인한다.
선별 검사만으로도 뇌혈관 장애에 대한 상당한 정보를 얻을 수 있다. 가장 흔한 증상인 편마비를 기준으로 살펴보면 다음과 같다.
- 안면 마비 없이 목 아래쪽으로만 편마비가 나타나면 척수 수준의 혈관 장애를 의심할 수 있다.
- 편마비와 반대쪽 얼굴에 마비가 나타나는 교대성 편마비는 뇌간 장애를 시사한다. 뇌간 장애는 인두 반사 소실 등 구마비 증상을 동반할 수 있으며, 기관 삽관의 필요성이 높아질 수 있으므로 주의가 필요하다.
- 뇌출혈이 의심되면 즉시 두부 CT 검사가 필요하다. (응급 상황에서는 뇌출혈 진단 자체만으로도 치료 방침 결정에 영향을 미치므로, 상세한 국소 진단보다 우선될 수 있다.)
- 뇌신경 검사를 통해 병변 위치를 추정할 수 있다.
- 뇌신경 I~IV 마비: 중뇌 병변 가능성
- 뇌신경 V~VIII 마비: 교뇌 병변 가능성
- 뇌신경 IX~XII 마비: 연수 병변 가능성
- 편마비와 같은 쪽에 안면 마비가 나타나면 대뇌 피질 또는 피질하 수준의 장애(천막상 병변)이다.
- 동공 편위가 병변 쪽으로 나타나면 피질 수준 장애이다. (참고: 동공 편위는 천막상 병변에서는 병변 쪽을, 천막하 병변에서는 반대쪽을 향한다.)
- 동공 편위가 없으면 피질 증상 유무로 감별한다.
- 피질 증상 있음: 피질 수준 장애
- 피질 증상 없음 또는 감각 장애 없음: 피질하 수준 장애 (예: 락쿤 경색)
- 피질 증상에는 우성 반구 손상 시 실어증, 열성 반구 손상 시 고차 기능 장애, 실인증, 실행증, 편측 공간 무시 등이 있다. 양측 대뇌 피질 기능과 관련된 복합 감각 장애나 광범위한 피질 손상 시 의식 장애도 피질 증상에 포함된다.
손상된 혈관 위치에 따라 나타나는 증상도 다르다.
- 피질 수준 장애: 전대뇌 순환계 장애 의심
- 하지 장애가 심함: 전대뇌 동맥 영역
- 안면이나 상지 장애가 심함: 중대뇌 동맥 영역
- 동명 반맹이나 환시: 후대뇌 동맥 영역
- 피질하 장애 (내포, 시상, 대뇌 기저핵 등): 주로 관통 동맥에 의해 혈액 공급을 받으므로, 피질 증상이 없거나 감각 마비 없는 운동 마비, 또는 운동 마비 없는 감각 마비는 락쿤 경색을 의심한다.
뇌혈관 장애의 국소 진단에 유용한 주요 소견은 다음과 같다.
- '''교대성 편마비''': 뇌간 장애의 중요한 징후이다. 뇌간 장애는 같은 쪽의 뇌신경 장애와 반대쪽의 상하지 마비가 특징이다. 이는 반대쪽 안면을 포함하는 편마비를 일으키는 대뇌 장애와 구별된다. 즉, 뇌신경 증상과 상하지 편마비의 방향이 반대이면 뇌간 병변으로 예측할 수 있으며, 이것이 교대성 편마비이다. 나타나는 뇌신경 증상은 해당 신경핵의 위치(중뇌, 교뇌, 연수)와 관련된다. 예를 들어, 좌측 동안 신경 마비가 있는 교대성 마비는 좌측 중뇌 장애를 시사한다. 연수 외측의 병변(발렌베르크 증후군)에서는 추체로 장애가 일어나지 않는다.
- '''해리성 감각 장애''': 척수 병변을 나타내는 징후이다.
유형 | 특징 |
---|---|
전방 장애형 | 장애 수준 이하 온도 감각 저하 |
후방 장애형 | 장애 수준 이하 심부 감각, 촉각 저하 |
중앙부 장애형 | 허리 부위 온도 감각 저하 |
브라운-세카르 증후군 | 반대쪽 온도 감각 저하 및 같은 쪽 다른 감각, 추체로 장애 |
5. 진단
뇌혈관 질환의 진단은 병력 청취, 신체검사, 신경학적 검사, 그리고 필요한 경우 영상 검사 등을 포함한다.[117][49] 특히 새로운 증상이 나타났을 때는 급성 뇌졸중 영상 검사를 실시하는 것이 일반적이다.[49]
뇌졸중 증상과 실신(기절)으로 인한 증상을 구별하는 것이 중요하다. 실신은 전반적인 뇌혈류 감소로 발생하며, 주로 심장 부정맥, 심근 경색, 출혈성 쇼크 등 전신 저혈압이 원인인 경우가 많다.[50]
=== 신경학적 검사 ===
신경학적 진단은 일반적으로 병인 진단, 해부학적 진단, 임상 진단의 3단계로 이루어진다. 하지만 응급실에서는 시간 제약 등으로 인해 이러한 체계적인 진단이 어려워, 신경 질환이 의심되는 환자(주로 뇌혈관 장애)를 대상으로 간편한 선별 검사법이 주로 사용된다. 선별 검사는 신경 질환 유무를 빠르게 판단하는 데 목적이 있으며, 체계적인 진단보다 국소 진단이나 병인 진단 정보는 적지만 신속하게 시행할 수 있다는 장점이 있다. 선별 검사 항목에는 의식 상태, 뇌신경 기능, 운동 신경, 감각 신경, 보행 능력, 자세 유지, 수막 자극 증상 유무, 자율 신경계 기능, 협조 운동 능력, 심부 건 반사(특히 병적 반사) 등이 포함된다.
선별 검사만으로도 뇌혈관 장애에 대한 중요한 정보를 얻을 수 있다. 예를 들어, 편마비 환자의 경우 다음과 같이 병변 위치를 추정할 수 있다.
- 안면 마비 없이 목 아래쪽 편마비: 척수 수준의 혈관 장애 가능성.
- 편마비와 반대쪽 안면 마비 (교대성 마비): 뇌간 장애 가능성. 뇌간 장애는 기관 삽관 필요성이 높으며, 인두 반사 소실 등 구마비 증상이나 교대성 마비가 있다면 기관 삽관을 적극 고려해야 한다.
- 편마비와 같은 쪽 안면 마비: 피질하 또는 피질 수준의 장애 가능성.
뇌간 장애가 의심될 경우, 뇌신경 검사를 통해 더 자세한 위치를 추정할 수 있다.
- 뇌신경 I~IV 마비: 중뇌 병변 가능성.
- 뇌신경 V~VIII 마비: 교뇌 병변 가능성.
- 뇌신경 IX~XII 마비: 연수 병변 가능성.
편마비와 같은 쪽 안면 마비가 있는 경우, 즉 천막상 병변일 때는 동공 편위 유무로 추가 감별이 가능하다.
- 동공 편위 있음: 편위 방향의 피질 수준 장애 (천막상 병변에서는 병변 쪽, 천막하 병변에서는 반대쪽을 향함).
- 동공 편위 없음: 피질 증상 유무로 감별.
- 피질 증상 있음: 피질 수준 장애. 우성 반구 증상으로는 실어증이 대표적이며, 열성 반구 증상으로는 고차 기능 장애, 실인증, 실행증, 편측 공간 무시 등이 있다. 양측 대뇌 피질 기능인 복합 감각 이상이나 광범위한 의식 장애도 피질 증상에 포함된다.
- 피질 증상 없음 또는 감각 장애 없음: 피질하 수준 장애 (락주 뇌경색).
손상된 혈관은 병변 위치에 따라 다음과 같이 추정할 수 있다.
- 피질 수준 장애:
- 하지 장애 우세: 전대뇌 동맥 영역.
- 안면/상지 장애 우세: 중대뇌 동맥 영역.
- 동명 반맹이나 환시: 후대뇌 동맥 영역.
- 피질하 수준 장애 (락주 뇌경색): 내포, 시상, 대뇌 기저핵 등 관통 동맥 영역. 감각 마비를 동반하지 않는 운동 마비 또는 운동 마비를 동반하지 않는 감각 마비가 특징이다.
==== 국소 진단 소견 ====
뇌혈관 장애의 국소 진단에 유용한 특정 소견은 다음과 같다.
'''교대성 편마비'''
: 교대성 편마비는 뇌간 병변을 시사하는 매우 중요한 소견이다. 병변과 같은 쪽의 뇌신경 장애와 반대쪽의 상하지 마비가 나타난다. 대뇌 병변은 반대쪽 안면을 포함하는 편마비를 일으키므로 쉽게 구별할 수 있다. 즉, 뇌신경 증상과 상하지 편마비의 방향이 반대이면 뇌간 병변으로 예측할 수 있다. 나타나는 뇌신경 증상은 해당 신경핵의 위치와 관련된다. 예를 들어, 좌측 동안 신경 마비와 우측 편마비가 보이면 좌측 중뇌의 장애이다. 연수의 장애에서 교대성 편마비가 일어나는 것은 연수 내측의 병변이다. 연수 외측, 즉 발렌베르그 증후군에서는 추체로 장애는 일어나지 않는다.
'''해리성 감각 장애'''
: 해리성 감각 장애는 척수 병변을 나타내는 징후이다.
:* 전방 장애형: 병변 수준 이하에 온도 감각 저하가 보인다.
:* 후방 장애형: 병변 수준 이하에 심부 감각, 촉각의 저하가 보인다.
:* 중앙부 장애형: 특정 분절(예: 허리 부위)에 온도 감각 저하.
:* 브라운-세카르 증후군: 병변 반대쪽 온도 감각 저하와 병변 같은 쪽의 다른 감각, 추체로 장애가 일어난다.
=== 영상 검사 ===
응급 상황에서는 영상 검사를 통해 급성기 뇌출혈과 뇌경색을 감별하고 뇌압 상승이나 뇌부종 유무를 확인하는 것이 중요하다. 두부 CT 촬영을 긴급하게 실시할 필요가 있다. 주로 CT와 MRI가 사용된다.
영상 | 급성기 뇌출혈 | 급성기 뇌경색 |
---|---|---|
발병 직후 소견 | 발병 직후부터 T2 강조영상(T2WI), 확산강조영상(DWI)에서 신호 변화 관찰 가능 | 발병 직후에는 뚜렷한 소견이 관찰되지 않을 수 있음 |
T2 강조영상(T2WI) | 혈종 중심부는 중등도 고신호, 주변부는 저신호, 주위 부종성 변화 관찰 | 발병 수 시간 후 혈관성 부종으로 인한 신호 변화 관찰 |
확산강조영상(DWI) | 혈종 중심부 고신호, 주변부 저신호 | 발병 30분 이후부터 소견 나타날 수 있으나, 초기에는 최종 괴사 범위보다 국한되어 보임 |
응급실에서는 급성기 소견에 근거하여 병명과 뇌압 상승, 뇌수종 유무를 구별하는 것이 중요하며, 위 표를 기반으로 평가하는 것이 일반적이다. 혈전 용해 요법의 보급에 따라 우선 CT 촬영을 실시하고, 출혈이 없고 명확한 뇌혈관 장애를 의심할 만한 증상, 병력이 있다면 뇌경색으로 간주하고 치료를 하는 경우도 빈번하다. 급성기 뇌내 출혈의 검출력은 CT와 MRI가 동등하지만, 간편성 때문에 CT가 선호된다.
6. 치료
뇌혈관 질환의 치료는 원인, 증상, 환자 상태에 따라 다르며, 약물 치료, 생활 습관 개선, 그리고 수술 등이 포함될 수 있다.[118][51] 뇌혈관 장애가 발생하는 경우, 대부분 고혈압을 동반하는 경우가 많다.
각 질환의 종류에 따라 치료 방침이 다르므로, 정확한 진단 없이 함부로 치료를 시작해서는 안 된다.
- 뇌경색: 급성기에는 원칙적으로 혈압을 급격히 낮추지 않는다. CT에서 출혈이 확인되지 않으면 뇌경색일 가능성이 높으며, 발병 후 일정 시간 이내라면 혈전용해요법을 고려할 수 있다. 정확한 적용을 위해서는 뇌신경외과 전문의와의 상담이 필수적이다.
- 뇌출혈 (뇌일혈): 급성기에는 극단적인 고혈압을 제외하고는 혈압을 강하하지 않지만, 만성기에는 재발 방지를 위해 혈압을 조절한다. 출혈 부위와 합병증 여부를 평가하여 응급 수술 여부를 결정한다. 피각, 소뇌, 피질하, 시상 출혈 등 부위에 따라 수술 방법(혈종 제거술, 뇌실 배액 등)과 적용 기준이 다르다.
- 지주막하출혈: 재출혈 예방을 위해 적극적으로 혈압을 조절하는 것이 중요하다.
구체적인 약물 치료나 수술 및 시술 방법에 대해서는 관련 하위 문서를 참고할 수 있다.
6. 1. 약물 치료
뇌혈관 질환의 치료에는 원인에 따라 약물 치료, 생활 습관 변화 및 수술이 포함될 수 있다.[118][51]사용되는 약물의 예는 다음과 같다.
- 항혈소판제 (아스피린, 클로피도그렐)
- 혈액 희석제 (헤파린, 와파린)
- 항고혈압제:
- * ACE 억제제
- * 베타 차단제
- * 칼슘 채널 차단제 - 특히 니모디핀은 지주막하 출혈(SAH) 환자에서 허혈성 결핍의 발생률과 중증도를 감소시킨다.[119][52]
- 당뇨병 치료제
6. 2. 수술 및 시술
뇌혈관 질환의 치료는 원인에 따라 약물, 생활 습관 개선, 그리고 수술을 포함할 수 있다.[118][51]수술 절차는 향후 뇌졸중 예방을 목적으로 하며, 다음을 포함한다.
- 혈관내 수술
- 혈관 수술
6. 3. 재활 치료
뇌졸중 후유증으로 손발의 근육 경직(뻣뻣함)이 나타날 수 있다. 이러한 후유증에 대해서는 보툴리눔 독소 치료 등 최신 치료법이 임상 현장에서 시도되고 있다.7. 예방
뇌혈관 질환, 특히 뇌졸중의 가장 큰 위험 인자는 동맥경화증이다. 동맥경화증은 주로 고혈압, 이상지질혈증(고지혈증), 당뇨병, 흡연 등에 의해 발생하거나 악화된다. 또한, 뇌출혈의 경우 뇌내출혈은 고혈압이, 지주막하출혈은 뇌동맥류, 뇌동정맥기형, 모야모야병 등이 주요 원인이 된다. 따라서 이러한 위험 인자들을 적극적으로 관리하는 것이 뇌혈관 질환 예방의 핵심이다.
특히 고혈압은 뇌혈관 질환 예방에 있어 매우 중요하게 관리해야 한다. 혈압 중에서도 수축기 혈압은 성별이나 인종에 관계없이 뇌졸중 발생을 예측하는 가장 중요한 지표로 알려져 있다.
한 연구에 따르면, 다음 9가지 요인이 여러 국가에서 발생하는 뇌졸중 위험의 90%를 차지하는 것으로 나타났다.[59]
위험 요인 | 설명 |
---|---|
고혈압 | 단독으로 허혈성 및 출혈성 뇌혈관 장애 발생의 52%, 출혈성 뇌혈관 장애 발생의 74%에 관여하는 가장 강력한 위험 요인. |
흡연 | |
허리둘레-엉덩이둘레 비율 저하 | 비만 관리의 중요성을 시사한다. |
건강하지 못한 식사 | |
규칙적인 운동 부족 | |
당뇨병 | |
중등도 또는 과도한 알코올 섭취 | |
스트레스 또는 우울증 | |
높은 아포지단백 B/A1 비율 |
생활 습관 개선 또한 뇌혈관 질환 예방에 중요하다. 만성적인 수면 부족은 고혈압, 당뇨병, 고지혈증의 위험을 높일 뿐만 아니라, 심근경색, 협심증과 같은 관상동맥질환 및 뇌혈관 장애 등 생활 습관병 발병 위험을 증가시킨다. 따라서 충분한 수면을 취하는 것이 예방에 도움이 된다.[60]
8. 역학
전 세계적으로 뇌졸중 생존자는 약 3,100만 명으로 추산되지만, 약 600만 명이 뇌혈관 질환으로 사망한다. 이는 세계에서 두 번째로 흔한 사망 원인이자 여섯 번째로 흔한 장애 원인이다.[122][55]
뇌혈관 질환은 주로 고령층에서 발생하며, 65세 이후 발병 위험이 크게 증가한다. 알츠하이머병보다 더 일찍 발생하는 경향이 있다. 일본과 같은 일부 국가에서는 뇌혈관 질환이 알츠하이머병보다 더 흔하게 나타난다.
2012년 미국에서는 성인 640만 명(미국 인구의 약 2.7%)이 뇌졸중을 경험했으며, 2013년에는 약 12만 9천 명이 뇌졸중으로 사망했다.[56] 미국에는 미시시피주 전체와 앨라배마주, 아칸소주, 플로리다주, 조지아주, 켄터키주, 루이지애나주, 노스캐롤라이나주, 오하이오주, 펜실베이니아주, 사우스캐롤라이나주, 테네시주, 텍사스주, 버지니아주, 웨스트버지니아주의 일부 지역을 포함하는 소위 '뇌졸중 벨트(stroke belt)'가 존재하는데, 이는 '당뇨병 벨트(diabetes belt)'와 유사한 분포를 보인다.[57]
일본의 경우, 원인 질환별 사망자 수 순위에서 뇌혈관 질환은 1951년부터 1980년까지 1위를 차지했으나 점차 순위가 내려가 2011년부터 2015년까지는 4위를 기록했다.[63][64][65][66][67][68][69] 2015년 기준 일본 전체 사망자 129만 428명 중 뇌혈관 질환으로 인한 사망자는 11만 1875명으로, 전체 사망자의 8.7%를 차지했다.[68][69]
참조
[1]
웹사이트
Who Is at Risk for a Stroke?
https://www.nhlbi.ni[...]
2017-11-25
[2]
서적
Nuclear Medicine: A Guide for Healthcare Professionals and Patients
https://books.google[...]
Springer Science & Business Media
2014-04-10
[3]
웹사이트
AccessMedicine {{!}} Content
http://accessmedicin[...]
2015-11-05
[4]
웹사이트
AccessMedicine {{!}} Content
http://accessmedicin[...]
2015-11-05
[5]
서적
Sabiston textbook of surgery : the biological basis of modern surgical practice
Elsevier
[6]
논문
ACR Appropriateness Criteria ® Cerebrovascular Disease
[7]
논문
Stroke and dementia risk: A systematic review and meta-analysis
https://www.alzheime[...]
2018-09-07
[8]
웹사이트
Vascular dementia - Causes - NHS Choices
http://www.nhs.uk/Co[...]
2015-09-01
[9]
웹사이트
Stroke symptoms and diagnosis
https://www.uptodate[...]
2017-12-12
[10]
서적
Neuroepidemiology
[11]
웹사이트
Acute ischemic stroke syndromes
https://www.uptodate[...]
2017-12-05
[12]
웹사이트
Pediatric Cerebrovascular Disorders
https://childrensnat[...]
2017-12-07
[13]
웹사이트
the definition of congenital
http://www.dictionar[...]
2017-12-12
[14]
논문
Untreated brain arteriovenous malformation: Patient-level meta-analysis of hemorrhage predictors
[15]
웹사이트
Clinical manifestations and diagnosis of intraventricular hemorrhage in the newborn
https://www.uptodate[...]
2017-12-07
[16]
논문
Notch3 mutations in CADASIL, a hereditary adult-onset condition causing stroke and dementia
[17]
웹사이트
Cerebral autosomal dominant arteriopathy with subcortical infarcts and leukoencephalopathy (CADASIL)
https://www.uptodate[...]
2017-12-09
[18]
웹사이트
AANS {{!}} Cerebrovascular Disease
http://www.aans.org/[...]
2017-12-11
[19]
웹사이트
Cerebrovascular disease – NHS Choices – Risks and prevention
http://www.nhs.uk/co[...]
2015-09-01
[20]
논문
Relationship Between Glycated Hemoglobin and Stroke Risk: A Systematic Review and Meta-Analysis
[21]
논문
Hypertension and diabetes mellitus as a predictive risk factors for stroke
[22]
논문
Guidelines for the Prevention of Stroke in Patients with Stroke and Transient Ischemic Attack: A Guideline for Healthcare Professionals from the American Heart Association/American Stroke Association
[23]
웹사이트
Atrial Fibrillation and Stroke {{!}} National Institute of Neurological Disorders and Stroke
https://www.ninds.ni[...]
2024-07-30
[24]
논문
Intracranial aneurysm and hemorrhagic stroke in glucocorticoid-remediable aldosteronism
[25]
논문
Clinical and Genetic Features of Ehlers–Danlos Syndrome Type IV, the Vascular Type
[26]
논문
Prevalence of unruptured intracranial aneurysms, with emphasis on sex, age, comorbidity, country, and time period: A systematic review and meta-analysis
[27]
논문
Guidelines for the Management of Patients with Unruptured Intracranial Aneurysms
[28]
논문
Pathophysiology and risk factors of cervical artery dissection
[29]
웹사이트
Spontaneous cerebral and cervical artery dissection: Clinical features and diagnosis
https://www.uptodate[...]
2017-12-09
[30]
웹사이트
idiopathic definition
http://www.dictionar[...]
2017-12-12
[31]
웹사이트
Cerebral Ischemia
http://www.columbian[...]
2015-11-05
[32]
웹사이트
Stroke: Hope Through Research
http://www.ninds.nih[...]
2015-11-05
[33]
논문
Comparison of Therapeutic Effect of Recombinant Tissue Plasminogen Activator by Treatment Time after Onset of Acute Ischemic Stroke
[34]
보고서
Neurological disorders: public health challenges
https://www.who.int/[...]
2020-10-04
[35]
백과사전
adenosine triphosphate {{!}} coenzyme
https://www.britanni[...]
2017-12-12
[36]
논문
Pathophysiologic Cascades in Ischemic Stroke
[37]
웹사이트
Clinical diagnosis of stroke subtypes
https://www.uptodate[...]
2017-12-12
[38]
웹사이트
Anatomy and Ultrastructure
https://web.archive.[...]
Morgan & Claypool Life Sciences
2017-08-30
[39]
EMedicine
Ischemic Stroke
[40]
서적
Caplan's stroke : a clinical approach
Elsevier/Saunders
2009
[41]
웹사이트
Stroke
https://www.nlm.nih.[...]
2015-09-01
[42]
EMedicine
Stroke Imaging
[43]
논문
An Updated Definition of Stroke for the 21st Century: A Statement for Healthcare Professionals from the American Heart Association/American Stroke Association
[44]
논문
Definition and evaluation of transient ischemic attack: a scientific statement for healthcare professionals from the American Heart Association/American Stroke Association Stroke Council; Council on Cardiovascular Surgery and Anesthesia; Council on Cardiovascular Radiology and Intervention; Council on Cardiovascular Nursing; and the Interdisciplinary Council on Peripheral Vascular Disease. The American Academy of Neurology affirms the value of this statement as an educational tool for neurologists
[45]
웹사이트
Cerebrovascular disease – Introduction
http://www.nhs.uk/co[...]
2015-09-01
[46]
논문
Subarachnoid haemorrhage
[47]
논문
Mechanisms of brain injury after intracerebral haemorrhage
[48]
논문
SMASH-U: A Proposal for Etiologic Classification of Intracerebral Hemorrhage
[49]
논문
Stroke. Diagnosis and Therapeutic Management of Cerebrovascular Disease
http://www.revespcar[...]
2015-09-01
[50]
논문
Clinical pathology of the shock syndromes
[51]
MedlinePlusEncyclopedia
Stroke
[52]
논문
Postmarket Drug and Biologic Safety Evaluations Completed from July 2016 – September 2016
https://www.fda.gov/[...]
2019-12-16
[53]
논문
Predictors of in-hospital mortality of acute ischemic stroke in adult population
[54]
웹사이트
WHO Disease and injury country estimates
https://www.who.int/[...]
2009-11-11
[55]
서적
Oxford Handbook of Epidemiology for Clinicians
https://books.google[...]
OUP Oxford
2020-10-25
[56]
웹사이트
FastStats
https://www.cdc.gov/[...]
2015-09-01
[57]
논문
Changes and Geographic Distribution of Mortality from Cerebrovascular Disease
[58]
보고서
Global health estimates: Leading causes of DALYs
https://www.who.int/[...]
세계보건기구
2021-03-27
[59]
논문
Risk factors for ischaemic and intracerebral haemorrhagic stroke in 22 countries (the INTERSTROKE study): A case-control study.
[60]
웹사이트
睡眠と生活習慣病との深い関係
https://www.e-health[...]
2015-11-23
[61]
웹사이트
Death and DALY estimates for 2004 by cause for WHO Member States
http://www.who.int/e[...]
World Health Organization
2011-12-20
[62]
웹사이트
WHO Disease and injury country estimates
http://www.who.int/h[...]
World Health Organization
2009-11-11
[63]
웹사이트
厚生労働省>統計情報・白書>各種統計調査>厚生労働統計一覧>人口動態調査>人口動態統計(確定数)の概況>平成22年(2010)人口動態統計(確定数)の概況>人口動態統計年報 主要統計表(最新データ、年次推移)>14ページ 第7表 死因順位(第5位まで)別にみた死亡数・死亡率(人口10万対)の年次推移
https://www.mhlw.go.[...]
[64]
웹사이트
厚生労働省>人口動態統計>平成23年度>第6表 死亡数・死亡率(人口10万対),死因簡単分類別
https://www.mhlw.go.[...]
[65]
웹사이트
厚生労働省>人口動態統計>平成23年度>第7表 死因順位(1〜5位)別死亡数・死亡率(人口10万対),性・年齢(5歳階級)別
https://www.mhlw.go.[...]
[66]
웹사이트
厚生労働省>人口動態統計>平成25年度>第6表 死亡数・死亡率(人口10万対),死因簡単分類別
https://www.mhlw.go.[...]
[67]
웹사이트
厚生労働省>人口動態統計>平成25年度>第7表 死因順位(1〜5位)別死亡数・死亡率(人口10万対),性・年齢(5歳階級)別
https://www.mhlw.go.[...]
[68]
웹사이트
厚生労働省>人口動態統計>平成27年度>第6表 死亡数・死亡率(人口10万対),死因簡単分類別
https://www.mhlw.go.[...]
[69]
웹사이트
厚生労働省>人口動態統計>平成27年度>第7表 死因順位(1〜5位)別死亡数・死亡率(人口10万対),性・年齢(5歳階級)別
https://www.mhlw.go.[...]
[70]
웹인용
Who Is at Risk for a Stroke? – NHLBI, NIH
https://www.nhlbi.ni[...]
2017-11-25
[71]
서적
Nuclear Medicine: A Guide for Healthcare Professionals and Patients
https://books.google[...]
Springer Science & Business Media
2014-04-10
[72]
MedlinePlus
Stroke
[73]
웹인용
AccessMedicine Content
http://accessmedicin[...]
2015-11-05
[74]
웹인용
AccessMedicine Content
https://web.archive.[...]
2015-11-05
[75]
저널
ACR Appropriateness Criteria ® Cerebrovascular Disease
[76]
저널
Stroke and dementia risk: A systematic review and meta-analysis
https://www.alzheime[...]
2022-07-24
[77]
웹인용
Vascular dementia - Causes - NHS Choices
http://www.nhs.uk/Co[...]
2015-09-01
[78]
웹인용
Stroke symptoms and diagnosis
https://www.uptodate[...]
2017-12-12
[79]
웹인용
Acute ischemic stroke syndromes
https://www.uptodate[...]
2017-12-05
[80]
웹인용
Pediatric Cerebrovascular Disorders
https://childrensnat[...]
2017-12-07
[81]
웹인용
the definition of congenital
http://www.dictionar[...]
2017-12-12
[82]
저널
Untreated brain arteriovenous malformation: Patient-level meta-analysis of hemorrhage predictors
[83]
웹인용
Clinical manifestations and diagnosis of intraventricular hemorrhage in the newborn
https://www.uptodate[...]
2017-12-07
[84]
저널
Notch3 mutations in CADASIL, a hereditary adult-onset condition causing stroke and dementia
[85]
웹인용
Cerebral autosomal dominant arteriopathy with subcortical infarcts and leukoencephalopathy (CADASIL)
https://www.uptodate[...]
2017-12-09
[86]
웹인용
AANS Cerebrovascular Disease
http://www.aans.org/[...]
2017-12-11
[87]
웹인용
Cerebrovascular disease – NHS Choices – Risks and prevention
http://www.nhs.uk/co[...]
2015-09-01
[88]
저널
Relationship Between Glycated Hemoglobin and Stroke Risk: A Systematic Review and Meta‐Analysis
[89]
저널
Hypertension and diabetes mellitus as a predictive risk factors for stroke
[90]
저널
Intracranial aneurysm and hemorrhagic stroke in glucocorticoid-remediable aldosteronism
[91]
저널
Clinical and Genetic Features of Ehlers–Danlos Syndrome Type IV, the Vascular Type
[92]
저널
Prevalence of unruptured intracranial aneurysms, with emphasis on sex, age, comorbidity, country, and time period: A systematic review and meta-analysis
[93]
저널
Guidelines for the Management of Patients with Unruptured Intracranial Aneurysms
[94]
저널
Pathophysiology and risk factors of cervical artery dissection
[95]
웹인용
Spontaneous cerebral and cervical artery dissection: Clinical features and diagnosis
https://www.uptodate[...]
2017-12-09
[96]
웹인용
the definition of idiopathic
http://www.dictionar[...]
2017-12-12
[97]
서적
Sabiston textbook of surgery : the biological basis of modern surgical practice
Elsevier
[98]
서적
Neuroepidemiology
[99]
웹인용
Cerebral Ischemia Columbia Neurosurgery
http://www.columbian[...]
2015-11-05
[100]
웹인용
Stroke: Hope Through Research
http://www.ninds.nih[...]
2015-11-05
[101]
저널
Comparison of Therapeutic Effect of Recombinant Tissue Plasminogen Activator by Treatment Time after Onset of Acute Ischemic Stroke
[102]
저널
Neurological disorders: public health challenges
https://www.who.int/[...]
2006
[103]
백과사전
[104]
저널
Pathophysiologic Cascades in Ischemic Stroke
[105]
웹인용
Clinical diagnosis of stroke subtypes
https://www.uptodate[...]
2017-12-12
[106]
저널
Anatomy and Ultrastructure
https://www.ncbi.nlm[...]
Morgan & Claypool Life Sciences
2009-01-01
[107]
EMedicine
Ischemic Stroke
[108]
웹인용
Stroke
https://www.nlm.nih.[...]
2015-09-01
[109]
EMedicine
Stroke Imaging
[110]
저널
An Updated Definition of Stroke for the 21st Century: A Statement for Healthcare Professionals from the American Heart Association/American Stroke Association
https://archive.org/[...]
[111]
저널
Definition and evaluation of transient ischemic attack: a scientific statement for healthcare professionals from the American Heart Association/American Stroke Association Stroke Council; Council on Cardiovascular Surgery and Anesthesia; Council on Cardiovascular Radiology and Intervention; Council on Cardiovascular Nursing; and the Interdisciplinary Council on Peripheral Vascular Disease. The American Academy of Neurology affirms the value of this statement as an educational tool for neurologists
[112]
웹인용
Cerebrovascular disease – Introduction – NHS Choices
http://www.nhs.uk/co[...]
2015-09-01
[113]
저널
Subarachnoid haemorrhage
[114]
저널
Mechanisms of brain injury after intracerebral haemorrhage
[115]
서적
Caplan's stroke : a clinical approach
https://archive.org/[...]
Elsevier/Saunders
2009
[116]
저널
SMASH-U: A Proposal for Etiologic Classification of Intracerebral Hemorrhage
https://archive.org/[...]
[117]
저널
Stroke. Diagnosis and Therapeutic Management of Cerebrovascular Disease
http://www.revespcar[...]
2007-07
[118]
MedlinePlus
Stroke
[119]
저널
Postmarket Drug and Biologic Safety Evaluations Completed from July 2016 – September 2016
https://www.fda.gov/[...]
2018-11-03
[120]
저널
Predictors of in-hospital mortality of acute ischemic stroke in adult population
[121]
웹인용
WHO Disease and injury country estimates
https://www.who.int/[...]
2009-11-11
[122]
서적
Oxford Handbook of Epidemiology for Clinicians
https://books.google[...]
OUP Oxford
2012-05-24
본 사이트는 AI가 위키백과와 뉴스 기사,정부 간행물,학술 논문등을 바탕으로 정보를 가공하여 제공하는 백과사전형 서비스입니다.
모든 문서는 AI에 의해 자동 생성되며, CC BY-SA 4.0 라이선스에 따라 이용할 수 있습니다.
하지만, 위키백과나 뉴스 기사 자체에 오류, 부정확한 정보, 또는 가짜 뉴스가 포함될 수 있으며, AI는 이러한 내용을 완벽하게 걸러내지 못할 수 있습니다.
따라서 제공되는 정보에 일부 오류나 편향이 있을 수 있으므로, 중요한 정보는 반드시 다른 출처를 통해 교차 검증하시기 바랍니다.
문의하기 : help@durumis.com