기흉
"오늘의AI위키"의 AI를 통해 더욱 풍부하고 폭넓은 지식 경험을 누리세요.
1. 개요
기흉은 폐에 구멍이 생겨 폐에서 공기가 새어 흉강에 고이는 질환이다. 폐 표면에 생긴 기포(폐 기포) 파열이 주요 원인이며, 외상, 의료 시술, 월경 등 다양한 원인으로 발생할 수 있다. 가슴 통증, 호흡 곤란, 기침 등의 증상이 나타나며, 심한 경우 긴장성 기흉으로 진행되어 생명을 위협할 수 있다. 흉부 X-ray, CT 등의 영상 검사를 통해 진단하며, 치료는 증상, 기흉 크기, 기저 질환 등을 고려하여 결정된다. 경미한 경우 자연 치유를 기대할 수 있지만, 심한 경우 흉관 삽입술, 수술적 치료가 필요하다. 재발 위험이 높으므로 예방 및 조기 진단이 중요하다.
더 읽어볼만한 페이지
- 호흡기과 - 결핵
결핵은 결핵균에 의해 발생하는 감염성 질환으로, 주로 폐에 영향을 미치며 기침, 객혈 등의 증상을 보이지만 무증상일 수도 있고, 호흡기 비말 전파를 통해 감염되며, 항생제 치료를 하지만 약물 내성 문제로 인해 공중 보건 문제로 남아있다. - 호흡기과 - 폐기종
폐기종은 흡연, 대기 오염, 유전적 요인 등으로 폐포가 파괴되어 폐 기능이 저하되는 만성 호흡기 질환으로, 기침, 가래, 호흡 곤란 등의 증상을 유발하며 호흡 부전, 폐성심 등의 합병증을 초래할 수 있고, 흉부 X선, CT 촬영, 폐 기능 검사 등으로 진단하여 금연, 약물 치료, 호흡 재활, 산소 치료 등으로 치료한다. - 근막 질환 - 류마티스 관절염
류마티스 관절염은 관절 활막의 만성 염증성 질환으로, 조기 진단과 적극적인 치료를 통해 질병 진행을 늦추고 삶의 질을 향상시키는 것이 중요하며, 진단에는 류마티스 인자와 항CCP 항체가 사용되고 메토트렉세이트 등의 약물로 치료한다. - 근막 질환 - 염좌
염좌는 관절의 과도한 움직임으로 관절낭, 인대, 연부 조직이 손상되어 통증, 부종, 발열 등의 염증을 동반하며, 손상 정도에 따라 정도가 나뉘고, RICE 요법 등의 비수술적 치료나 심한 경우 수술적 치료와 재활을 통해 회복을 꾀한다.
| 기흉 | |
|---|---|
| 질병 개요 | |
![]() | |
| 분야 | 폐병학 흉부외과 |
| 증상 | 가슴 통증 숨가쁨 피로 |
| 발병 시기 | 갑작스러움 |
| 원인 | 알려지지 않음 외상 |
| 위험 요인 | 만성 폐쇄성 폐질환 결핵 스모그 흡연 |
| 진단 방법 | 가슴 X선 초음파 검사 CT 스캔 |
| 감별 진단 | 폐 기포 혈흉 |
| 예방 | 금연 |
| 치료 | 보존적 치료 바늘 흡인 흉관 삽관 흉막 유착술 |
| 빈도 | 연간 10만 명당 20명 |
| 기흉 (일본어) | |
![]() | |
| 관련 분야 | 호흡기과 호흡기외과 |
| 증상 | 가슴 통증, 호흡 곤란 등 |
| 발병 시기 | 돌발적 |
| 원인 | 불명, 외상 |
| 위험 요인 | 만성 폐쇄성 폐질환, 결핵, 담배 |
| 진단 | 흉부X선 영상진단, 초음파 검사, CT |
| 감별 진단 | 폐기종 |
| 예방 | 금연 |
| 치료 | 자연 치유, 흉강 드레나지, 외과 수술, 흉막 유착 |
| 빈도 | 10만 명당 20명 |
| 기흉 (한국어) | |
![]() | |
| 관련 분야 | 기도학 흉부외과 |
| 증상 | 가슴 통증, 호흡 곤란, 피로 |
| 발병 시기 | 급성 |
| 원인 | 미상, 외상 |
| 위험 요인 | 만성 폐쇄성 폐질환, 결핵, 흡연 |
| 진단 | 흉부 엑스레이, 초음파, 엑스선 전산화 단층 촬영 |
| 감별 진단 | 공기증, 혈액가슴증 |
| 예방 | 금연 |
| 치료 | 보존치료, 바늘흡인, 흉관, 가슴막유착술 |
| 빈도 | 매년 100,000명 중 20명 꼴 |
2. 원인
기흉은 폐 표면에 형성된 작은 기포(폐 기포, Bulla)가 파열되어 폐 속의 공기가 흉막강 내로 유출되면서 발생한다. 기포 파열의 정확한 원인은 밝혀지지 않았지만, 폐의 신축 및 이완 작용, 신체 활동에 따른 폐, 기포, 흉막 간의 마찰, 윤활액 및 점액 부족 등이 영향을 미치는 것으로 추정된다.[17]
자발성 기흉은 알려진 폐 질환이 없는 경우 발생하는 '일차성'과 기저 폐 질환이 있는 사람에게 발생하는 '이차성'으로 나뉜다.[17] 일차성 자발성 기흉의 위험 요인으로는 남성, 흡연, 기흉의 가족력 등이 있다.[22] 대마초나 담배 흡연은 이러한 위험을 증가시킨다.[4]
흉강은 폐, 심장 및 주요 혈관이 들어있는 가슴 내부 공간이다. 흉막은 흉강의 각 측면에서 폐 표면(내장 흉막)을 덮고 흉벽 내부(벽측 흉막)를 덮는다. 일반적으로 두 층은 소량의 윤활 장액으로 분리되어 있다. 흉막 공간의 낮은 압력에도 불구하고, 공기 함유 통로에 자연적인 연결이 없고, 혈류 내 가스의 압력이 흉막 공간으로 강제될 정도로 낮기 때문에 공기가 흉막 공간에 들어가지 않는다.[13] 따라서, 기흉은 흉벽 또는 폐 자체에 손상이 있거나, 때로는 흉막 공간의 미생물이 가스를 생성하여 공기가 들어갈 수 있을 때만 발생할 수 있다.[13]
흉벽 결함은 칼이나 총상 ("개방성 기흉")과 같은 흉벽 손상의 경우에 일반적으로 나타난다. 이차성 자연 기흉에서 폐 조직의 취약성은 다양한 질병 과정, 특히 심한 폐기종의 경우 기포 (공기로 채워진 큰 병변)의 파열로 인해 발생한다. 괴사 (조직 사망) 부위가 기흉 에피소드를 촉진할 수 있지만, 정확한 메커니즘은 불분명하다.[12]
일차성 자연 기흉 (PSP)은 오랫동안 "물집" (흉막 표면 바로 아래의 작은 공기 채워진 병변)에 의해 발생한다고 생각되었으나, 물집의 외과적 치료 후에도 기흉이 재발할 수 있다는 점에서 모든 경우를 설명하기에 충분하지 않을 수 있다.[13] 따라서 PSP는 파열되기 쉬운 흉막층의 파괴 (다공성) 부위로 인해 발생할 수도 있다고 제안되었다.[12][13][29]
노년층의 기흉은 폐기종, 결핵, 폐암 등의 기초 질환에 따른 속발성 기흉이 많다. 여성의 경우, 자궁내막증이 횡격막이나 폐로 퍼져 월경과 함께 떨어져 발생하는 월경 관련 기흉의 경우도 있다. 교통사고 등에 의한 늑골 골절이 원인이 되는 경우나, 정맥 주사 오천자, 기관지경 검사에 의한 합병증, 침술에 의한 어깨, 등, 흉부 등에 대한 깊은 자침 등에 의한 외상성 기흉도 있다. 정맥이나 동맥의 손상(혈흉)을 동반하는 경우 '''혈기흉'''이라고 한다.
2. 1. 주요 원인 (추정)
가슴과 어깨에 잦은 압박은 기흉의 주요 원인 중 하나로 추정된다. 특히 성장기 청소년들이 무거운 가방(백팩, 숄더백 등)을 메는 경우, 교과서, 참고서 등을 많이 넣어 다니기 때문에 더욱 취약하다. 국내 교육 체계상 이러한 상황이 흔하므로 주의가 필요하다.[17]흡연은 폐 조직을 손상시켜 기흉을 유발할 수 있다. 장기간 흡연에 노출되지 않는 것이 좋다. 기흉 환자의 90%가 흡연자라는 통계도 있다.[4]
이 외에도 대기오염, 대기 압력의 급격한 변화, 진동 및 소음, 빠른 성장, 호흡 등도 기흉과 연관될 수 있는 원인으로 추정된다. 특히 키가 빨리 자라는 동안 폐가 그 속도를 따라가지 못해 압력 차이가 발생하거나, 회복에 필요한 영양분이 부족하면 기흉이 발생할 수 있다.
일상적인 외력에 의해 즉시 발병하지 않더라도, 이러한 원인들을 겪은 후에 일상적인 호흡 중에 재발하는 경우가 많다. 따라서, 기흉은 현대화된 문명과 동반된 질병으로 여겨지기도 한다.
일차성 자연 기흉의 경우, 다음과 같은 사람들에게서 통계적으로 더 많이 발생한다.
- 음식을 가려 먹거나 끼니를 자주 거르는 사람
- 무거운 짐을 자주 메고 다니는 사람
- 키가 크고 마른 사람 (저체중 68.7%, 정상 체중 28.7%)[22]
- 젊은 사람 (10대, 20대가 전체 발생의 83%, 특히 고등학생 및 대학생)[22]
- 남자 (여자에 비해 8배 정도 높음)
- 흡연자 (환자의 90%)
2. 2. 연관 가능 원인 (추정)
대기 오염, 터널 통과나 고산 지대 이동 등으로 인한 급격한 대기 압력 변화, 진동, 소음 등이 기흉과 연관될 수 있다고 추정된다.[17] 빠른 성장기에 키가 급격히 크는 청소년의 경우, 폐가 성장 속도를 따라가지 못해 압력 차이가 발생하여 기흉이 발생할 수 있다. 호흡과 영양 불균형 (편식, 식사 거르기 등), 마른 체형, 기흉의 가족력도 연관 가능성이 있는 원인으로 여겨진다.[22]3. 종류
기흉은 발생 원인에 따라 여러 종류로 나뉜다.
- 자발성 기흉: 폐 질환 유무에 따라 일차성(원발성)과 이차성(속발성)으로 나뉜다.[17]
- 일차성 자발성 기흉: 원인이 명확하지 않지만, 흡연, 대마초, 기흉 가족력 등이 위험 요소로 작용한다.[22][4]
- 이차성 자발성 기흉: 만성 폐쇄성 폐질환(COPD)을 포함한 다양한 폐 질환이 원인이 된다.[22]
- 외상성 기흉: 흉부 둔상이나 관통상으로 발생하며, 늑골 골절이 폐 조직을 손상시키는 경우가 흔하다.[13][22] 폭발 부상에 의해서도 발생할 수 있다.[8]
- 의인성 기흉: 폐생검, 중심 정맥 카테터 삽입, 침술 등의 의료 시술 과정에서 발생할 수 있다.
- 월경성 기흉: 여성의 월경 주기와 관련하여 발생한다.
- 긴장성 기흉: 심장과 대정맥을 압박하여 쇼크를 유발하는 응급 상황이다.
이차성 자연 기흉은 아래와 같은 원인으로 발생한다.
| 유형 | 원인 |
|---|---|
| 기도 질환[12] | COPD (특히 폐기종이 있는 경우), 급성 중증 천식, 낭성 섬유증 |
| 폐 감염[12] | 폐포자충 폐렴, 결핵, 괴사성 폐렴 |
| 간질성 폐 질환[12] | 사르코이드증, 특발성 폐 섬유증, 조직구증 X, 림프관평활근종증 |
| 결합 조직 질환[12] | 류마티스 관절염, 강직성 척추염, 다발성 근염 및 피부근염, 전신 경화증, 마르판 증후군, 엘러스-단로스 증후군 |
| 암[12] | 폐암, 폐를 침범하는 육종 |
| 기타[13] | 월경성 기흉 (월경 주기와 관련 있으며 흉부의 자궁내막증과 관련) |
소아의 경우, 홍역, 포충증, 이물질 흡입, 선천성 폐 기도 기형, 선천성 폐엽 폐기종 등이 기흉의 원인이 될 수 있다.[18]
마르판 증후군, 호모시스틴뇨증, 엘러스-단로스 증후군, 알파 1-안티트립신 결핍증, Birt–Hogg–Dubé 증후군 등은 가족성 기흉과 관련된 유전 질환이다.[19]
신생아 기흉은 다른 연령대보다 신생아에게 더 흔하게 발생한다.[26][27][14]
3. 1. 자연 기흉
자연 기흉은 외상 없이 저절로 발생하는 기흉으로, 일차성(원발성)과 이차성(속발성)으로 나뉜다.[17]- 일차성 자연 기흉: 폐 질환이 없는 젊은 층, 특히 키가 크고 마른 10~20대 남성에게서 주로 발생한다.[71] 폐에 낭포(블라, Bulla)나 흉막 바로 아래에 생긴 낭포(블레브, Bleb)가 파열되어 발생한다.[71] 흡연, 대마초, 기흉의 가족력 등이 위험 요소이다.[22][4] HLA haplotype A2B40 또한 유전적 소인으로 알려져 있다.[20][21] 낭포 발생 및 파열의 정확한 원인은 아직 밝혀지지 않았다.
- 이차성 자연 기흉: 주로 만성 폐쇄성 폐질환(COPD)과 같은 폐 질환을 가진 노년층에서 발생한다.[22]
| 유형 | 원인 |
|---|---|
| 기도 질환[12] | COPD (특히 폐기종이 있는 경우), 급성 중증 천식, 낭성 섬유증 |
| 폐 감염[12] | 폐포자충 폐렴, 결핵, 괴사성 폐렴 |
| 간질성 폐 질환[12] | 사르코이드증, 특발성 폐 섬유증, 조직구증 X, 림프관평활근종증 (LAM) |
| 결합 조직 질환[12] | 류마티스 관절염, 강직성 척추염, 다발성 근염 및 피부근염, 전신 경화증, 마르판 증후군 및 엘러스-단로스 증후군 |
| 암[12] | 폐암, 폐를 침범하는 육종 |
| 기타[13] | 월경성 기흉 (월경 주기와 관련 있으며 흉부의 자궁내막증과 관련) |
소아의 경우, 홍역, 포충증, 이물질 흡입, 선천성 폐 기도 기형 및 선천성 폐엽 폐기종 등이 원인이 될 수 있다.[18]
마르판 증후군, 호모시스틴뇨증, 엘러스-단로스 증후군, 알파 1-안티트립신 결핍증, Birt–Hogg–Dubé 증후군 과 같은 유전 질환도 가족성 기흉과 관련이 있다.[19]
신생아 기흉은 다른 연령대보다 신생아에게 더 흔하며, 생존 출생아 1,000명당 약 1~3명에게서 발생하는 것으로 추정된다.[26][27][14]
3. 2. 외상성 기흉
교통사고, 상해, 추락 등 외상에 의해 발생하며 통상 갈비뼈 골절이 동반된다. 외상성 기흉은 흉벽에 대한 둔상 또는 관통상의 결과로 발생할 수 있다.[13] 가장 흔한 기전은 새로운 늑골 골절 부위의 날카로운 뼈 돌기가 폐 조직을 손상시키는 것이다.[22] 외상성 기흉은 흉부에 명백한 부상이 없는 경우에도 폭발 부상에 노출된 사람들에게서 관찰될 수 있다.[8]외상성 기흉은 "개방성" 또는 "폐쇄성"으로 분류될 수 있다. 개방성 기흉의 경우 흉벽을 통해 외부 환경에서 흉막강으로 통로가 생긴다. 이 통로를 통해 공기가 흉막강으로 유입될 때 이를 "흡입성 흉부 손상"이라고 한다. 폐쇄성 기흉은 흉벽이 손상되지 않은 경우이다.[23]
기흉은 잘못된 비위관 삽입술로 인한 부작용으로 보고되었다. 아바노스 메디컬의 영양 튜브 삽입 시스템인 CORTRAK* 2 EAS는 2022년 5월 식품의약국(FDA)에 의해 기흉을 포함한 부작용이 보고되어 60명의 부상자와 23명의 사망자를 발생시켜 FDA에 의해 회수되었다.[24]
중심 정맥 카테터를 흉부 정맥 중 하나에 삽입하거나 폐 조직에서 생검 샘플을 채취하는 것과 같은 의료 시술 또한 기흉을 유발할 수 있다. 양압 환기, 즉 기계 환기 또는 비침습적 환기의 투여는 기압 외상을 유발하여 기흉을 일으킬 수 있다.[13]
수중 다이빙에서 수중 장치로 호흡하는 다이버는 주위 압력에서 호흡 가스를 공급받으며, 이로 인해 폐에는 대기압보다 높은 압력의 가스가 들어 있다. 압축 공기를 호흡하는 다이버(예: 스쿠버 다이빙 시)는 폐가 완전히 팽창된 상태에서 1m만 상승해도 기압 외상으로 인해 기흉이 발생할 수 있다.[25] 이러한 경우의 추가적인 문제는 감압병의 다른 특징을 가진 사람들은 일반적으로 다이빙 챔버에서 고압 의학으로 치료를 받는다는 것이며, 이로 인해 작은 기흉이 빠르게 확대되어 긴장성 기흉의 특징을 유발할 수 있다.[25]
기흉은 다른 연령대보다 신생아에게 더 흔하게 발생한다. 증상이 나타나는 신생아 기흉의 발생률은 생존 출생아 1,000명당 약 1~3명으로 추정된다. 미숙아, 저체중 출생, 질식이 주요 위험 요인이며, 신생아 환자의 대다수는 생후 72시간 이내에 발생한다.[26][27][14]
3. 3. 의인성 기흉
의인성 기흉은 폐 조직 검사를 위한 폐생검, 중심 정맥 카테터 삽입, 침술 등의 의학적 시술 도중에 발생한다.[13]3. 4. 월경성 기흉
여성의 경우 월경일에 따라 기흉이 반복적으로 발생하는 경우이다.[15]3. 5. 긴장성 기흉
기흉으로 인하여 심장이 반대편으로 밀리면서 대정맥이 꺾이고, 정맥의 혈액이 심장으로 돌아오지 못하여 쇼크 상태가 되며, 한쪽 폐가 갑자기 기능부전에 빠지는 응급상황이다. 즉각 진단 및 치료하지 못하면 사망할 수 있다.[16] 이는 가슴 X-Ray 사진을 통해 파악할 수 있으며 긴장성 기흉 발생시 병원 응급실에서 병변이 있는 쪽의 2~3번 앞쪽 늑간에 굵은 주사바늘을 찌르고 흉관삽관술을 즉시 하여야 한다. 자연적 기흉(이를테면, 수포의 파열) 또한 폐의 손상된 부분을 밀봉하지 않아 누출되면 긴장성 기흉으로 악화될 수 있으니 주의해야 한다.긴장성 기흉은 일반적으로 기흉(원발성 자연 기흉, 속발성 자연 기흉 또는 외상성 기흉)이 호흡 및/또는 혈액 순환에 심각한 손상을 초래할 때 존재하는 것으로 간주된다.[16] 이는 폐쇄성 쇼크라고 하는 순환 쇼크의 한 유형을 유발한다. 긴장성 기흉은 환기, 소생술, 외상과 같은 임상 상황 또는 폐 질환이 있는 사람에게서 발생하기 쉽다.[15] 이는 응급 상황이며 추가 검사 없이 즉각적인 치료가 필요할 수 있다.[15][16]
긴장성 기흉 환자에게서 가장 흔하게 나타나는 소견은 흉통과 호흡 곤란이며, 초기 단계에는 심박수 증가(빈맥)와 빠른 호흡(빈호흡)이 동반되는 경우가 많다. 다른 소견으로는 흉부 한쪽에서 호흡음 감소, 낮은 산소 포화도 및 혈압, 그리고 영향을 받은 쪽에서 기관의 편위 등이 있을 수 있다. 드물게는 청색증, 의식 수준 변화, 영향을 받은 쪽 검사에서 과공명 타진음과 확장 감소 및 움직임 감소, 상복부 통증, 심첨 박동의 편위, 흉골을 두드릴 때 공명음이 나타날 수 있다.[16]
긴장성 기흉은 기계 환기를 받고 있는 사람에게서도 발생할 수 있으며, 이 경우 환자는 일반적으로 진정제를 투여받고 있으므로 발견하기 어려울 수 있다. 이는 종종 상태의 갑작스러운 악화로 인해 감지된다.[16] 최근 연구에 따르면 긴장성 특징의 발현이 이전에 생각했던 것만큼 빠르지 않을 수 있다. 기관이 한쪽으로 편위되고 경정맥압이 상승하는 것(목 정맥 확장)은 신뢰할 수 있는 임상 징후가 아니다.[16]
흉강으로 새어 나온 공기가 현저히 많아 양압이 되어 반대쪽 폐나 심장을 압박하고 있는 상태를 긴장성 기흉이라고 한다. 이 경우 혈압 저하, 쇼크를 일으켜 긴급하게 흉강 천자를 시행하지 않으면 사망에 이를 수 있다. 이는 심장은 물론 폐도 혈액이 체내를 순환할 때마다 반드시 거치는 장기이기 때문이다. 게다가 폐 모세혈관의 환류압이 낮기 때문에 혈액이 폐 모세혈관을 통과할 수 없게 된다(심장으로 돌아올 수 없게 된다)는 것을 의미한다.
긴장성 기흉에 의한 호흡 곤란에 대해 양압 환기는 금기이다. 흉강 내압을 더욱 높이게 되어 폐 허탈이 항진된다. 긴장성 혈기흉·혈흉의 경우 응급 수술이 필요한 경우도 있다.
4. 증상
기흉의 증상은 다양하게 나타나며, 다음과 같이 요약할 수 있다.
- 가슴 통증: 갑작스럽고 극심한 통증이 발생할 수 있다. 여러 번 재발하면 가슴 통증보다는 허리를 굽힐 때 공기가 이동하는 느낌이 들 수 있다. 제자리에서 뛰거나 할 때 특징적인 통증이 나타나므로, 기흉이 발생했던 사람은 일반적인 가슴 근육통과 구분할 수 있다.[12][13]
- 호흡 곤란: 가슴이 답답하고 숨쉬기 어려운 증상이 나타난다. 긴장성 기흉처럼 기포 파열이 심하면 실신, 기절, 졸도에 이를 수 있다.[12][15]
- 잦은 기침
- 빈혈, 실신: 긴장성 기흉의 경우 무리하면 나타날 수 있다.
- 기절, 졸도: 심각한 경우 긴장성 기흉으로 사망할 수 있으며, 혈흉 등으로 출혈이 심하면 호흡 곤란과 함께 나타날 수 있다. 뇌로 가는 혈액 순환이 저해되면 빈혈, 인지/판단 저하, 심하면 신체 마비나 식물인간, 사망에 이를 수 있다.[16]
- 청색증: 신생아의 경우 빈호흡, 끙끙거림과 함께 나타날 수 있다.[14] 저산소혈증으로 인해 입술과 피부가 푸르스름하게 변하는 청색증이 나타날 수 있다.[12]
- 피하 기종: 증상이 악화되면 흉부 피부에 기포 같은 것이 나타나기도 한다.
일차성 자연 기흉(PSP)은 기저 폐 질환이 없는 젊은 성인에게서 발생하며, 일반적으로 증상이 제한적이다. 흉통과 때때로 경미한 호흡 곤란이 주요 증상이다.[12][13] PSP 환자는 잠재적 위험을 인식하지 못하고 며칠 후에야 병원을 찾는 경우가 많다.[15]
이차성 자연 기흉(SSP)은 기저 폐 질환이 있는 사람에게서 발생하며, 증상이 더 심한 경향이 있다. 저산소혈증이 일반적으로 나타나며, 청색증으로 관찰될 수 있다. 고탄산혈증이 발생하면 혼란을 유발하고, 심하면 혼수 상태로 이어질 수 있다.[12][15]
긴장성 기흉은 호흡 및 혈액 순환에 심각한 손상을 초래하며, 응급 상황으로 즉각적인 치료가 필요할 수 있다.[15][16] 흉통, 호흡 곤란, 심박수 증가(빈맥), 빠른 호흡(빈호흡)이 나타날 수 있다.[16]
기흉의 증상은 모호하고 결론적이지 않을 수 있으며, 특히 작은 기흉의 경우 신체 징후가 나타나지 않을 수 있다.[13][15] 따라서, 의학 영상으로 확인이 필요하다.[15]
5. 진단
청진기를 이용한 청진으로 기흉 발생 여부를 짐작할 수 있는데, 호흡하는 상태에서 청진했을 때 기흉이 생긴 쪽은 정상인 쪽에 비해 호흡음이 많이 감소한다.[30] 전문의의 진찰이 바람직하다.
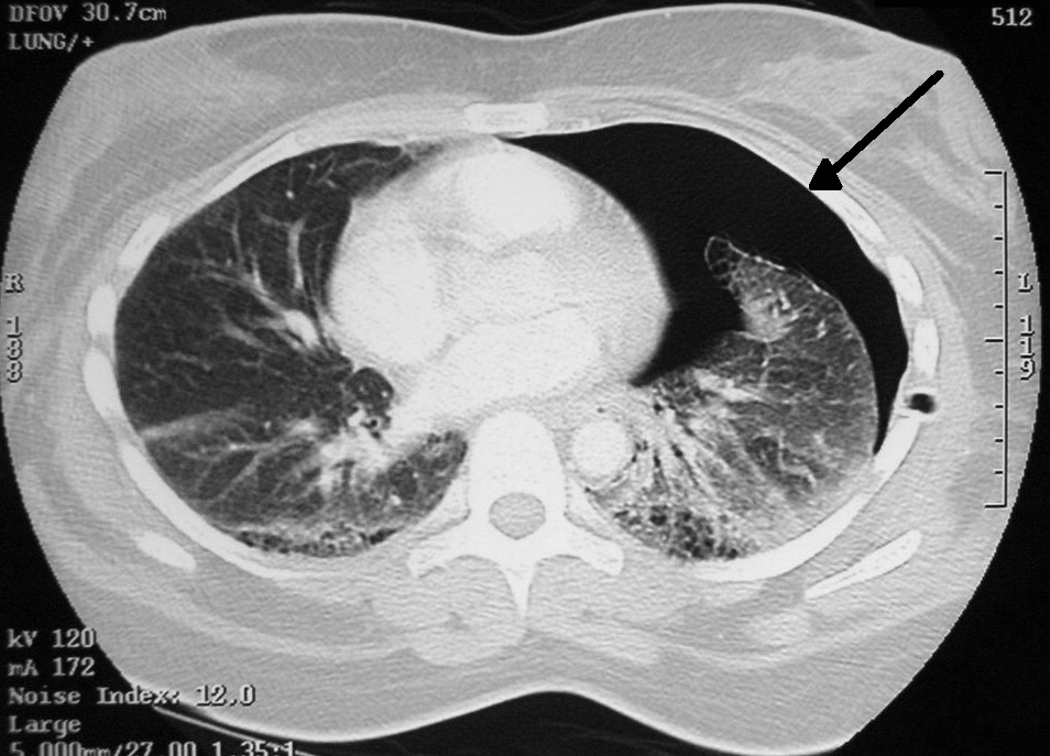
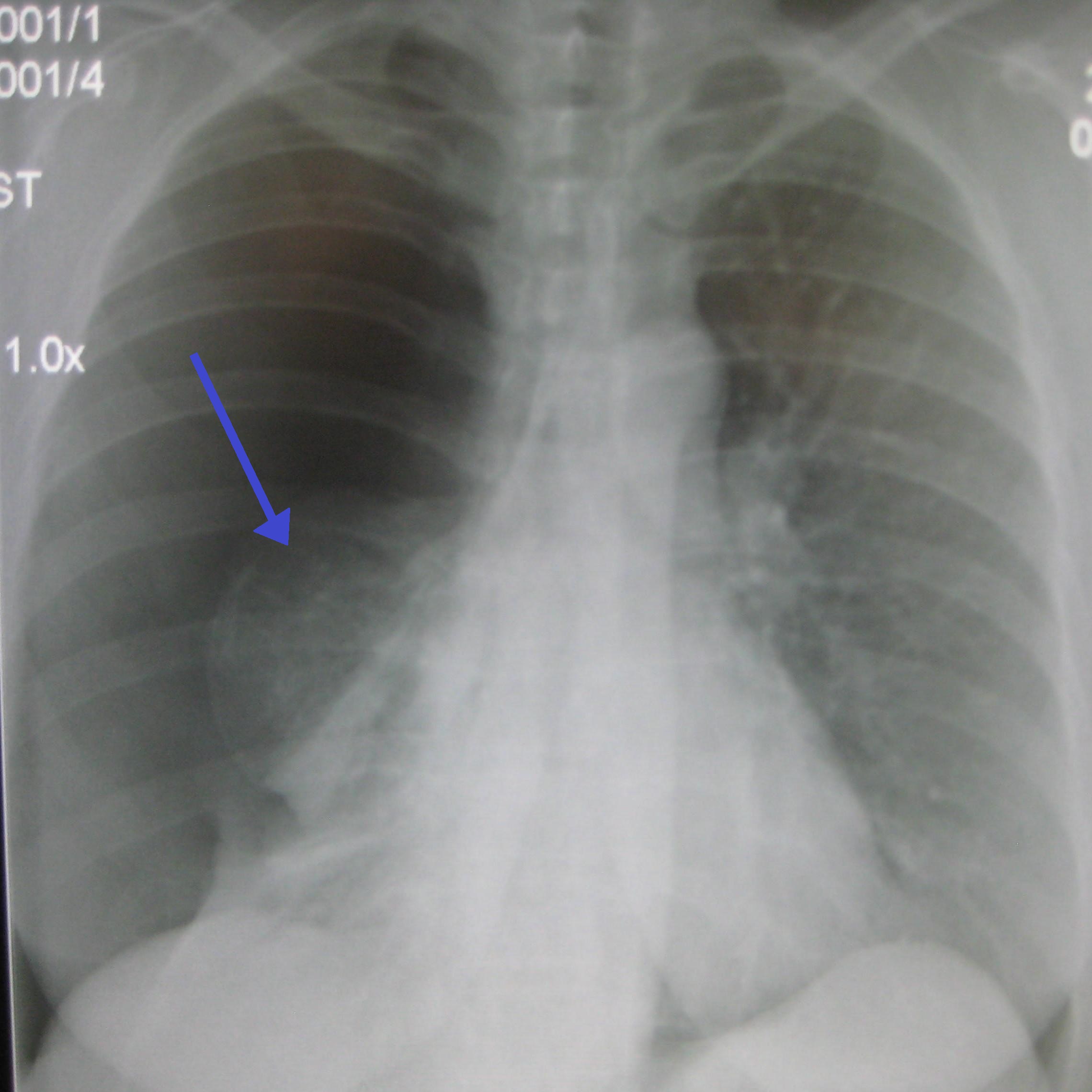
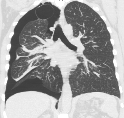
흉부 방사선 사진 촬영으로 진단할 수 있다. 흉부 X선 검사에서 혈관 음영을 동반하지 않는 허탈된 영역은 기흉으로 의심된다.[72] 최대 흡기(숨을 참음) 중에 촬영한 일반 흉부 방사선 사진이 가장 적절한 첫 번째 검사이다.[30] 만기 중에 정기적으로 촬영하는 것은 이점이 없을 것으로 여겨지나,[31] 임상적 의심이 높지만 흡기 방사선 사진이 정상으로 보이는 경우 기흉을 감지하는 데 유용할 수 있다.[32]
흉부 CT을 통해 비교적 큰 낭포라면 위치를 확인할 수 있다.[72] 폐기포를 정확히 확인하기 위해 흉부 CT를 실시한다.[15] CT 스캔은 기흉의 크기를 보다 정확하게 결정할 수 있지만, 이 상황에서 루틴하게 사용하는 것은 권장되지 않는다.[33]
흉강 천자는 흉수의 성상을 확인하기 위해 시행된다. 이를 통해 혈흉, 농흉 등을 감별할 수 있다.[72]
환자의 자가 진단 시 제자리에서 살짝 뛰면 폐의 상하 진동에 의해 기침이 발생한다. 공기가 소량 발생한 경우 허리를 굽힐 때 공기 움직임을 느낄 수 있다. 다만 미량의 경우에는 몸을 숙이거나 누워도 기포가 움직이지 않고 수일 내에 흡수될 뿐만 아니라 CT 상으로도 진단이 매우 어려우므로 참고해야 한다.
기흉의 크기는 흉벽과 폐 사이의 거리를 측정하여 합리적인 정확도로 결정할 수 있다. 2cm의 공기 가장자리는 기흉이 반쪽 가슴의 약 50%를 차지한다는 것을 의미한다.[15]
기흉의 중증도는 다음과 같이 분류할 수 있다.[72]
| 경도 기흉 | 흉부 엑스레이 검사에서, 폐첨(폐의 꼭대기)이 쇄골보다 위에 있다. |
|---|---|
| 중등도 기흉 | 흉부 엑스레이 검사에서, 폐첨이 쇄골보다 아래에 있다. |
| 고도 기흉 | 흉부 엑스레이 검사에서, 폐의 허탈이 현저하다. |
| 긴장성 기흉 | 고도 기흉으로, 더욱이 폐에서 공기가 계속 누출되어, 흉강내가 양압이 되어 있다. |
6. 치료
기흉의 치료는 증상의 심각성, 기저 폐 질환 유무, 엑스레이 상 기흉 크기, 환자의 선호도 등에 따라 달라진다.[15] 작은 자연 기흉은 치료가 필요 없을 수도 있으며, 자연적으로 해결되는 경우가 많다.[18][33] 이 경우, 외래 진료를 통해 경과를 관찰하며, 재발 방지에 대한 조언을 제공한다.[15] 흡수율은 하루에 공동 부피의 1.25%에서 2.2% 사이로, 완전한 기흉도 약 6주 안에 자연적으로 해결될 수 있다.[15]
이차성 기흉은 크기가 매우 작고 증상이 경미한 경우에만 보존적 치료를 고려하며, 일반적으로 입원이 권장된다. 고농도 산소 투여는 흡수를 최대 4배까지 가속화할 수 있다.[15][45]
자발성 기흉이 크거나(50% 초과) 호흡 곤란이 동반되면, 흡인 또는 흉관 삽관을 통해 공기를 제거한다. 흡인은 국소 마취제 투여 후 바늘을 삽입하여 공기를 제거하는 방법으로, 흉관 삽입과 효과가 비슷하다.[12][15][18] 흡인은 입원 환자 수를 줄일 수 있다는 장점이 있다.[46]
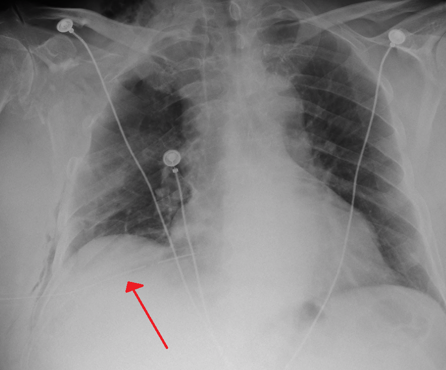
흉관 (또는 늑간 배액관)은 기흉의 가장 확실한 초기 치료법이다. 흉관은 겨드랑이 아래의 "안전 삼각지대"에 삽입하여 내부 장기 손상을 피한다. 국소 마취 후, 자연 기흉에는 가는 관(14 F 미만)을 셀딩거법으로 삽입하며, 외상성 기흉에는 더 큰 튜브(28 F)를 사용한다.[15][41][47] 둔상 또는 관통 외상으로 흉관을 삽입하는 경우, 항생제를 투여하여 감염 위험을 줄인다.[48] 흉관은 단방향 밸브 시스템에 연결되어 공기가 빠져나가도록 한다. 음압 회로는 폐부종 위험 때문에 일반적으로 사용하지 않는다.[15][18][33]
외상성 기흉의 경우, 일반적으로 흉관을 삽입하며, 긴장성 기흉의 위험이 높은 경우에는 필수적이다.[13][40] 긴장성 기흉은 응급 바늘 감압으로 치료하며, 이는 병원 이송 전에도 시행할 수 있다.[16][41]
신생아 기흉은 주의 깊은 관찰, 흉강 천자(바늘 흡인), 흉관 삽입 등으로 관리한다.[27]
6. 1. 치료 목적
기흉 치료의 주요 목적은 다음과 같다.6. 2. 치료 방법
경증 기흉은 안정을 취하고, 무리한 호흡을 피하며 자연 치유를 기다린다. 흉강은 밀폐된 공간이므로 공기가 빠져나갈 곳이 없지만, 경미한 경우 수 주에 걸쳐 점막에서 공기가 흡수된다. 하지만 자연 치유는 재발률이 높다.[15]중등도 기흉은 심한 통증이나 호흡 곤란이 발생한 경우로, 흉부 절개 후 흉강 배액술로 흡인한다. 이는 흉강 내 공기를 제거하여 폐 팽창을 돕는다.
반복되는 기흉에 배액술로 개선되지 않으면 수술로 낭포를 절제한다. 흉강경 수술이 일반적이나, 개흉술을 시행하기도 한다.
흉막유착술은 폐를 흉벽에 부착시켜 재발을 막는 치료법이다. 하지만 유착이 불충분하면 재발 가능성이 있고, 재수술 시 어려움이 있을 수 있다. 흉막유착술의 방법은 다음과 같다.
- 화학적 흉막유착술: 흉관을 통해 활석, 테트라사이클린, 미노사이클린, 독시사이클린 등의 약물을 주입하여 흉막 유착을 유도한다. 수술보다 결과가 좋지 않을 수 있지만, 젊은 환자에게는 장기적인 부작용이 적다.[12][15]
2017년에는 공기 누출 낭포 절제 후 흡수성 메쉬 시트를 붙여 보강하는 치료법이 개발되어 재발률을 억제하고 있다.
7. 예방
기흉은 근본적인 예방법이 알려져 있지 않으나, 재발 방지를 위해 다음과 같은 사항을 고려할 수 있다.
- 금연: 흡연은 기흉 발생의 주요 위험 요인 중 하나이며, 특히 흡연자에게 기흉이 발생한 경우 재발 위험이 현저하게 증가한다. 따라서 직접 흡연뿐만 아니라 간접 흡연도 피해야 한다.[15]
- 균형 잡힌 식습관: 음식을 가려먹거나 끼니를 자주 거르는 것은 폐 건강에 좋지 않다. 규칙적인 식사와 균형 잡힌 영양 섭취를 통해 폐 조직의 윤활액 분비를 촉진하고 건강한 폐를 유지하는 것이 중요하다. 특히, 편식하거나 식사를 거르는 습관은 회복에 좋지 않으므로 주의해야 한다.
- 무거운 물건 들기 자제: 무거운 짐을 자주 드는 행동은 폐에 부담을 줄 수 있으므로 자제해야 한다. 특히 성장기 청소년의 경우 더욱 주의해야 하며, 직업상 불가피한 경우에는 대처 방안을 고려해야 한다.
- 적절한 습도 유지: 호흡기가 건조해지면 폐 조직이 손상되기 쉬우므로, 에어컨, 히터, 온풍기 등의 사용을 줄이고 가습기를 사용하는 등 적절한 습도를 유지하는 것이 좋다. 물 섭취량을 늘리는 것도 도움이 된다.
- 정기적인 건강 검진: 정기적인 건강 검진을 통해 폐 질환을 조기에 발견하고 치료하는 것이 중요하다.
- 기흉 의심 증상 발생 시 즉시 진료: 가슴 통증, 호흡 곤란 등 기흉 의심 증상이 발생하면 즉시 진료를 받아야 한다.
기흉이 완전히 해결된 후 재발이 발생하지 않으면 최대 7일 동안 항공 여행은 권장되지 않는다.[15] 잠수는 예방 시술을 받지 않은 기흉 에피소드 후에는 안전하지 않은 것으로 간주된다.[15][33]
재발 방지를 위해 예방적 시술(개흉술 또는 흉강경을 이용한 흉막 유착술)이 권장될 수 있다.[12] 이러한 시술은 두 번째 기흉 발생 후, 양측성 기흉, 임신과 관련된 경우 등에 고려될 수 있다.[15][51]
자연 기흉은 키가 크고 마른 10~20대 젊은 남성에게서 발생하기 쉬운 경향이 있다.[71] 하지만 저신장, 비만, 고령, 여성에게서도 드물지 않게 발생한다. 낭포 발생이나 파열 원인은 명확하지 않지만, 흡연, 운동, 굽은 등, 기압 변화, 정신적 스트레스, 수면 부족 등이 폐에 부담을 주는 요인으로 생각된다. 마르판 증후군, 폐 림프관 평활근종증, 호모시스틴뇨증 등에서도 발병률 상승이 확인된다.
8. 재발
기흉은 근본적인 치료법이 없기 때문에 재발 위험이 있다. 수술하지 않고 치료하면 재발률은 30-50%에 달한다. 수술을 하면 재발률이 10% 정도로 낮아지지만, 흉강경 수술 후 봉합 부위에서 다시 공기가 새어 나와 기흉이 재발할 가능성도 약 4% 정도 된다.[12][15]
재발을 막기 위해 흉관삽입술을 해도 증상이 사라지지 않거나, 수술 후 재발한 경우에도 수술을 고려해야 한다. 폐기포 절제술은 위치에 따라 폐 기능 저하를 유발할 수 있으며, 손상된 폐기포가 여러 곳이면 잦은 재발로 환자에게 큰 부담을 줄 수 있다.
흉막유착술은 흉막강을 영구적으로 제거하고 폐를 흉벽에 부착시키는 시술이다. 장기적인 연구(20년 이상)는 수행된 적이 없지만, 단기적으로는 개흉술(흉강을 수술적으로 절개)을 통해 좋은 결과를 얻을 수 있다. 개흉술은 공기 누출의 원인을 확인하고 물집을 봉합한 후, 바깥쪽 흉막층의 흉막절제술(흉막 외피 박리) 및 안쪽 층의 흉막 마모(흉막 긁어내기)를 수행한다. 치유 과정에서 폐는 흉벽에 부착되어 흉막강을 효과적으로 없앤다. 재발률은 약 1%이다.[12][15]
비디오 흉강경 수술(VATS)은 덜 침습적인 방법으로, 피부에 작은 흉터를 남긴다.[12][15] 개방형 개흉술과 비교하여 VATS는 입원 기간이 짧고, 수술 후 통증 조절이 덜 필요하며, 수술 후 폐 문제의 위험이 감소한다.[15] VATS는 화학적 흉막유착술에도 사용될 수 있는데, 이는 활석을 주입하여 폐가 흉벽에 부착되도록 하는 염증 반응을 활성화시킨다.[12][15]
흉관이 이미 삽입되어 있는 경우, 활석, 테트라사이클린, 미노사이클린 또는 독시사이클린과 같은 약제를 튜브를 통해 주입하여 화학적 흉막유착술을 수행할 수 있다. 화학적 흉막유착술의 결과는 수술적 접근 방식보다 나쁜 경향이 있지만,[12][15] 활석 흉막유착술은 젊은 사람들에게 부정적인 장기적 결과가 거의 없는 것으로 밝혀졌다.[12]
흡연자에게 기흉이 발생한 경우, 금연은 재발 위험을 현저하게 감소시키고, 금연의 많은 이점을 강조할 수 있는 기회로 여겨진다.[15]
기흉이 완전히 해결된 후 재발이 발생하지 않으면 최대 7일 동안 항공 여행은 권장되지 않는다.[15] 잠수는 예방 시술을 받지 않은 기흉 에피소드 후에는 안전하지 않은 것으로 간주된다.[15][33]
재발 방지를 위해 예방적 시술(개흉술 또는 흉강경을 이용한 흉막 유착술)이 기흉 발생 후 권장될 수 있다. 가장 효과적인 치료법에 대한 근거는 일부 분야에서 여전히 상충되며, 유럽과 미국에서 이용 가능한 치료법 간에 차이가 있다.[12]
| 치료 방법 | 재발률 |
|---|---|
| 자연 치유 (또는 흉강 배액술만 시행) | 약 50% |
| 흉강경 수술 | 5~10% |
| 개흉술 | 0.5~3% |
9. 합병증
긴장성 기흉, 혈흉, 농흉, 폐부종(재팽창 후), 만성 기흉과 같은 합병증이 발생할 수 있다.[73] 자연 기흉은 기저 질환이 없더라도 재발을 반복하거나 반대쪽 폐에 발생하는 경우가 많다. 재발률은 자연 치유(또는 흉강 배액술만 시행) 시 약 50%, 흉강경 수술 시 5~10%, 개흉술 시 0.5~3%로, 외과 수술을 통해 획기적으로 낮출 수 있다. 폐쇄성 폐 질환 등이 기저 질환으로 있는 경우에는 치료가 더욱 어려워진다.[74]
10. 기타
과거에는 폐결핵 치료를 위해 흉막강에 인위적으로 공기를 주입하여 폐를 쪼그라들게 하는 인공 기흉 요법이 있었다.[75] 이는 1888년 이탈리아 외과 의사 카를로 포를라니니가 도입했으며, 20세기 초 미국 외과 의사 존 벤자민 머피가 널리 알렸다. 머피는 당시 최근 발견된 엑스레이 기술을 사용하여 적절한 크기의 기흉을 만들었다.[61] 하지만 현재는 농흉 등의 위험 때문에 이 시술법은 쇠퇴했다.
개, 고양이, 말 등 비인간 동물 역시 자연 기흉과 외상성 기흉을 겪을 수 있다. 자연 기흉은 사람과 마찬가지로 일차성 또는 이차성으로 분류되며, 외상성 기흉은 개방성 및 폐쇄성(흉벽 손상 유무)으로 나뉜다.[63] 기흉은 폐 병변(예: 기포) 또는 흉벽 외상으로 인해 발생할 수 있다.[64] 말의 경우, 종격동이 불완전하고 흉강의 두 반쪽 사이에 직접적인 연결이 있기 때문에 외상성 기흉이 양쪽 반흉강을 모두 포함할 수 있다.[65] 긴장성 기흉이 의심될 수 있으며, 동물의 흉부에 절개를 가하여 압력을 완화시킨 후 흉관을 삽입하여 치료한다.[66]
10. 1. 인공 기흉
과거 폐결핵 치료를 위해 흉막강에 인위적으로 공기를 주입하여 폐를 쪼그라들게 하는 요법이 있었다.[75] 이는 "폐를 쉬게 하는 것"으로 알려졌다. 이 방법은 1888년 이탈리아 외과 의사 카를로 포를라니니가 도입했으며, 20세기 초 미국 외과 의사 존 벤자민 머피가 널리 알렸다. 머피는 당시 최근 발견된 엑스레이 기술을 사용하여 적절한 크기의 기흉을 만들었다.[61] 반대로 결핵으로 인해 기흉이 발병하는 사례도 많았다. 현재는 농흉 등의 위험 때문에 이 시술법은 쇠퇴했으며, 인공 기흉술, 기흉 요법이라고도 한다.10. 2. 동물에서의 기흉
개, 고양이, 말 등 비인간 동물 역시 자연 기흉과 외상성 기흉을 겪을 수 있다. 자연 기흉은 사람과 마찬가지로 일차성 또는 이차성으로 분류되며, 외상성 기흉은 개방성 및 폐쇄성(흉벽 손상 유무)으로 나뉜다.[63] 동물이 호흡 곤란을 보이거나 얕은 호흡을 할 때 수의사에게 진단이 명백하게 나타날 수 있다. 기흉은 폐 병변(예: 기포) 또는 흉벽 외상으로 인해 발생할 수 있다.[64] 말의 경우, 종격동이 불완전하고 흉강의 두 반쪽 사이에 직접적인 연결이 있기 때문에 외상성 기흉이 양쪽 반흉강을 모두 포함할 수 있다.[65] 급격히 악화되는 심장 기능, 흉강 전체에 걸쳐 폐음 소실, 그리고 통 모양의 흉곽으로 인해 긴장성 기흉이 의심될 수 있으며, 동물의 흉부에 절개를 가하여 압력을 완화시킨 후 흉관을 삽입하여 치료한다.[66] 자연 기흉의 경우, 개[67]와 쿠네쿠네 돼지[68]에 대한 진단을 위해 CT 사용이 설명되어 왔다.참조
[1]
웹사이트
What Are the Signs and Symptoms of Pleurisy and Other Pleural Disorders
http://www.nhlbi.nih[...]
2011-09-21
[2]
논문
Pneumothorax: a tale of pain or spontaneity
2014-11
[3]
서적
Cystic Fibrosis: A Guide for Patient and Family
https://books.google[...]
Lippincott Williams & Wilkins
2004
[4]
논문
Spontaneous pneumothorax
2014-05
[5]
서적
Principles of Pulmonary Medicine
Elsevier
2019
[6]
웹사이트
What Causes Pleurisy and Other Pleural Disorders?
http://www.nhlbi.nih[...]
2011-09-21
[7]
논문
Management of pneumothorax and prolonged air leak
2014-12
[8]
논문
Blast injuries
2009-08
[9]
논문
Pneumothorax in the critically ill patient
2012-04
[10]
논문
Bedside ultrasonography for diagnosis of pneumothorax
2015-08
[11]
서적
Blueprints Emergency Medicine
https://books.google[...]
Lippincott Williams & Wilkins
2006
[12]
논문
Management of spontaneous pneumothorax: state of the art
2006-09
[13]
논문
Pneumothorax
[14]
논문
Neonatal pneumothorax: symptoms, signs and timing of onset in the post-surfactant era
2021-02-03
[15]
논문
Management of spontaneous pneumothorax: British Thoracic Society Pleural Disease Guideline 2010
2010-08
[16]
논문
Tension pneumothorax--time for a re-think?
2005-01
[17]
논문
Etiology of primary spontaneous pneumothorax
2016-05
[18]
논문
Evidence-based management of paediatric primary spontaneous pneumothorax
2009-09
[19]
논문
Familial spontaneous pneumothorax
2006-07
[20]
서적
Fishman's Pulmonary Diseases and Disorders
https://archive.org/[...]
McGraw-Hill
[21]
서적
Pleural diseases
Lippincott Williams & Wilkins
[22]
서적
Rosen's emergency medicine: concepts and clinical practice
Mosby/Elsevier
[23]
웹사이트
Treating Sucking Chest Wounds and Other Traumatic Chest Injuries
http://www.jems.com/[...]
Journal of Emergency Medical Services
2013-07-19
[24]
웹사이트
Avanos Medical Recalls Cortrak*2 Enteral Access System for Risk of Misplaced Enteral Tubes Could Cause Patient Harm
https://www.fda.gov/[...]
Admin
2022-05-16
[25]
서적
Bennett and Elliott's physiology and medicine of diving
Saunders
[26]
논문
Neonatal Pneumothorax: A Descriptive Regional Danish Study
http://dx.doi.org/10[...]
2016-12-24
[27]
논문
Needle aspiration versus intercostal tube drainage for pneumothorax in the newborn
2019-02
[28]
논문
Physiology, Transpulmonary Pressure
https://www.ncbi.nlm[...]
[29]
논문
Primary spontaneous pneumothorax: a diffuse disease of the pleura
[30]
논문
Comparison of upright inspiratory and expiratory chest radiographs for detecting pneumothoraces
1996-02
[31]
논문
Management of spontaneous pneumothorax: British Thoracic Society Pleural Disease Guideline 2010
2010-08
[32]
논문
Radiological review of pneumothorax
2005-06
[33]
논문
Management of spontaneous pneumothorax: an American College of Chest Physicians Delphi consensus statement
2001-02
[34]
논문
Focused Assessment with Sonography for Trauma (FAST): results from an international consensus conference
1999-03
[35]
논문
Sensitivity of bedside ultrasound and supine anteroposterior chest radiographs for the identification of pneumothorax after blunt trauma
2010-01
[36]
논문
Sonographic diagnosis of pneumothorax
2011-02
[37]
논문
Chest ultrasonography for the emergency diagnosis of traumatic pneumothorax and haemothorax: A systematic review and meta-analysis
2018-03
[38]
웹사이트
UOTW #6 – Ultrasound of the Week
https://www.ultrasou[...]
2014-06-24
[39]
웹사이트
UOTW #62 – Ultrasound of the Week
https://www.ultrasou[...]
2015-10-25
[40]
논문
Chest injuries - what is new?
2007-12
[41]
논문
The prehospital management of chest injuries: a consensus statement. Faculty of Pre-hospital Care, Royal College of Surgeons of Edinburgh
2007-03
[42]
논문
Complications associated with pre-hospital open thoracostomies: a rapid review
2021-12
[43]
논문
Part 8: adult advanced cardiovascular life support: 2010 American Heart Association Guidelines for Cardiopulmonary Resuscitation and Emergency Cardiovascular Care
2010-11
[44]
논문
Conservative versus interventional management for primary spontaneous pneumothorax in adults
2014-12
[45]
서적
Pleural diseases
Lippincott Williams & Wilkins
[46]
논문
Simple aspiration versus intercostal tube drainage for primary spontaneous pneumothorax in adults
2017-09
[47]
논문
A Systematic Review and Meta-Analysis Comparing Pigtail Catheter and Chest Tube as the Initial Treatment for Pneumothorax
2018-05
[48]
논문
Use of prophylactic antibiotic in preventing complications for blunt and penetrating chest trauma requiring chest drain insertion: a systematic review and meta-analysis
2019
[49]
논문
Ambulatory treatment in the management of pneumothorax: a systematic review of the literature
2013-07
[50]
서적
Fitness for work: the medical aspects
https://archive.org/[...]
Oxford University Press
[51]
논문
Pneumothorax
2004-06
[52]
서적
Fishman's Pulmonary Diseases and Disorders
https://archive.org/[...]
McGraw-Hill
[53]
서적
Pleural diseases
Lippincott Williams & Wilkins
[54]
논문
Smoking and the increased risk of contracting spontaneous pneumothorax
1987-12
[55]
서적
Pleural diseases
Lippincott Williams & Wilkins
[56]
논문
Spontaneous pneumothorax
2000-03
[57]
논문
Were pneumothorax and its management known in 15th-century anatolia?
2009-09
[58]
서적
Traité de l'auscultation médiate et des maladies des poumons et du coeur – part II
[59]
논문
Spontaneous pneumothorax in the apparently healthy
[60]
논문
The surgical treatment of recurrent idiopathic spontaneous pneumothorax
[61]
논문
History of tuberculosis
[62]
서적
Oxford Dictionary of English
https://books.google[...]
OUP Oxford
2010
[63]
논문
Pneumothorax: a review
[64]
뉴스
Causes of Respiratory Malfunction
http://www.merckvetm[...]
2011-06-05
[65]
웹사이트
Equine trauma and first aid: wounds and lacerations
http://www.merckvetm[...]
2011-06-05
[66]
웹사이트
Primary survey and triage - breathing
http://www.merckvetm[...]
2011-06-05
[67]
논문
Use of computed tomography for evaluation of lung lesions associated with spontaneous pneumothorax in dogs: 12 cases (1999-2002)
2006-03
[68]
논문
Spontaneous Pneumothorax in a Companion Kunekune Pig due to Pulmonary Bullae Rupture
https://lib.dr.iasta[...]
2020-04
[69]
웹사이트
佐藤健や相葉雅紀も…「気胸」はなぜイケメンに多く発症するのか
https://news.livedoo[...]
2020-12-17
[70]
웹사이트
嵐・相葉雅紀がかかった「イケメン病」~『貴族探偵』のプレッシャーで再発リスク増大?
https://biz-journal.[...]
2020-12-17
[71]
논문
"Thoracoscopic appearance of bilateral spontaneous pneumothorax."
2003-12
[72]
웹사이트
自然気胸の基礎知識|東京慈恵会医科大学附属柏病院
http://www.jikei.ac.[...]
[73]
논문
"Contralateral recurrence of primary spontaneous pneumothorax."
2007-10
[74]
웹사이트
自然気胸 | 近畿大学医学部 外科学教室
http://www.kindai-ge[...]
[75]
웹사이트
医療用具 結核菌の動きを封じる - 人工気胸器 -
http://www.eisai.co.[...]
内藤記念くすり博物館
2018-02-19
[76]
간행물
Were pneumothorax and its management known in 15th-century anatolia?
2009-09
[77]
서적
Traité de l'auscultation médiate et des maladies des poumons et du coeur - part II
[78]
간행물
Spontaneous pneumothorax in the apparently healthy
[79]
간행물
The surgical treatment of recurrent idiopathic spontaneous pneumothorax
[80]
서적
Cystic Fibrosis: A Guide for Patient and Family
https://books.google[...]
Lippincott Williams & Wilkins
2004
[81]
웹인용
What Are the Signs and Symptoms of Pleurisy and Other Pleural Disorders
http://www.nhlbi.nih[...]
2011-09-21
[82]
웹인용
What Causes Pleurisy and Other Pleural Disorders?
http://www.nhlbi.nih[...]
2011-09-21
[83]
저널
Bedside ultrasonography for diagnosis of pneumothorax
2015-08
[84]
저널
Spontaneous pneumothorax
http://www.bmj.com/c[...]
2014-05-08
본 사이트는 AI가 위키백과와 뉴스 기사,정부 간행물,학술 논문등을 바탕으로 정보를 가공하여 제공하는 백과사전형 서비스입니다.
모든 문서는 AI에 의해 자동 생성되며, CC BY-SA 4.0 라이선스에 따라 이용할 수 있습니다.
하지만, 위키백과나 뉴스 기사 자체에 오류, 부정확한 정보, 또는 가짜 뉴스가 포함될 수 있으며, AI는 이러한 내용을 완벽하게 걸러내지 못할 수 있습니다.
따라서 제공되는 정보에 일부 오류나 편향이 있을 수 있으므로, 중요한 정보는 반드시 다른 출처를 통해 교차 검증하시기 바랍니다.
문의하기 : help@durumis.com
