맨위로가기

신경낭미충증

"오늘의AI위키"는 AI 기술로 일관성 있고 체계적인 최신 지식을 제공하는 혁신 플랫폼입니다.
"오늘의AI위키"의 AI를 통해 더욱 풍부하고 폭넓은 지식 경험을 누리세요.

1. 개요

신경낭미충증은 갈고리촌충 유충에 의해 발생하는 질환으로, 덜 익힌 돼지고기 섭취나 오염된 물을 통해 감염된다. 유충은 중추 신경계, 근육, 피부 등 신체 여러 부위에 낭종을 형성하며, 발작, 두통, 인지 장애 등 다양한 증상을 유발한다. 진단은 신경 영상 검사, 혈액 검사 등을 통해 이루어지며, 뇌 실질성 및 실질 외 신경낭미충증으로 분류된다. 치료는 항간질제, 항부종제, 구충제 등을 사용하며, 낭종 제거를 위한 수술이 필요할 수 있다. 예방을 위해서는 위생 개선, 가축 관리, 육류 검사 강화 등의 노력이 필요하며, 전 세계적으로 약 5천만 명의 환자가 있는 것으로 추정된다.

더 읽어볼만한 페이지

  • 뇌 질환 - 뇌종양
    뇌종양은 뇌에서 발생하는 종양으로, 양성 또는 악성으로 구분되며, 위치, 크기, 성장 속도에 따라 다양한 증상을 나타내고, MRI, CT 등의 영상 검사와 조직 검사를 통해 진단하며, 수술, 방사선 치료, 화학 요법 등의 치료법을 사용한다.
  • 뇌 질환 - 진행성 다초점 백질뇌병증
    진행성 다초점 백질뇌병증은 JC 바이러스 감염으로 생기는 희귀한 탈수초성 질환으로, 면역력 저하 환자에게 주로 발병하여 뇌 백질 손상과 다양한 신경학적 증상을 유발하며, 면역 결핍 회복이 중요하지만 효과적인 치료법은 아직 없다.
  • 기생충병 - 회충증
    회충증은 회충 감염으로 발생하는 질환으로, 회충 알이 섞인 음식 섭취를 통해 감염되며 장폐색, 내장 손상, 폐렴 등을 유발할 수 있으며, 대변 검사로 진단하고 위생 시설 개선과 구충제 사용으로 치료 및 예방한다.
  • 기생충병 - 낭미충증
    낭미충증은 돼지촌충 유충인 낭미충이 인체에 감염되어 발생하는 질병으로, 경구-분변 경로를 통해 감염되며 뇌, 눈, 근육 등에 다양한 증상을 유발하고, CT, MRI 등으로 진단하여 항기생충제 투여, 수술 등으로 치료하며 위생 개선, 돼지고기 위생 관리 등으로 예방할 수 있다.
신경낭미충증
개요
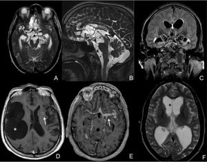
신경낭미충증 MRI
뇌 내에 다수의 낭미충을 보여주는 신경낭미충증 환자의 자기 공명 영상
질병 종류기생충병
진료과신경과
감염내과
원인돼지고기 갈고리촌충
갈고리촌충
진단 방법컴퓨터 단층 촬영
전 세계 환자 수5천만 명
증상
일반적 증상간질
기타 증상두통
혼란
뇌졸중
사망
원인 및 위험 요인
원인돼지고기 갈고리촌충 (갈고리촌충) 알 섭취
위험 요인덜 익힌 돼지고기 섭취
위생 불량
낭미충증 환자와의 접촉
진단
진단 방법컴퓨터 단층 촬영 (CT 스캔)
자기 공명 영상 (MRI)
혈액 검사
예방
예방 방법돼지고기 완전 조리
손 씻기
위생 개선
치료
약물 치료알벤다졸
프라지콴텔
기타 치료경우에 따라 수술
예후
예후치료 가능, 심각한 신경학적 손상 및 사망 가능성 존재
역학
유병률개발도상국에서 흔함
추가 정보
관련 질병낭미충증

2. 원인

신경낭미충증은 촌충 ''갈고리촌충''의 유충에 의해 발생한다. 신경낭미충증은 종종 덜 익힌 감염된 돼지고기나 기타 음식, 또는 오염된 물에서 비롯된다. 일단 사람이 ''갈고리촌충''을 섭취하면, 낭미충이 소장으로 방출된다. 촌충의 머리(두절)는 이후 내배엽 외번되어 장벽에 부착된다. 두절이 부착되면, 장벽을 관통하여 혈류로 들어가 신체의 나머지 부위로 이동할 수 있는 촌충으로 성장한다.

유구조충에 의한 낭충증은 역학적으로 위생 상태 불량과 관련이 있으며, 사하라 사막 이남 아프리카, 라틴 아메리카 및 아시아에서 널리 유행하고 있다.[11][12][13] 미국에서는 낭충증이 신경낭미충증 형태로 나타나는 것이 일반적이지만, "소외된 열대 질환"으로[14] 특히 빈곤층, 노숙자, 또는 충분한 손 씻기 습관이 없거나 손으로 음식을 먹는 습관을 가진 사람들에게 광범위하게 영향을 미치고 있다.

전 세계적으로 약 5천만 명의 환자가 있는 것으로 추정된다.[15]

3. 병태생리



갈고리촌충(Taenia solium)은 촌충강에 속하는 촌충으로, 촌충속(Taenia (flatworm))의 일종이다.[2] 돼지와 인간을 숙주로 하는데, 돼지와 인간은 유충 형태의 중간 숙주 역할을 할 수 있지만, 인간만이 성체 촌충의 최종 숙주이다. 유충은 낭성 형태이며 유체로 채워져 있고, 흡반 4개와 갈고리 2열, 좁은 목과 편절이라고 하는 수백 개의 분절로 구성된 촌충 머리(두절)가 들어 있다. 사람이 낭충에 감염된 돼지고기를 먹으면 촌충의 두절이 밖으로 나오면서 흡반과 갈고리를 사용하여 장벽에 달라붙는다. 부착된 후에는 편절이라고 하는 촌충의 분절이 증식하고 성장한다. 약 4개월 안에 촌충은 리본 모양으로 성숙하여 길이가 2m에서 4m에 이른다.[3][4]

사람이 갈고리촌충의 알을 섭취하면 알이 부화하여 유충이 되고, 유충은 장벽을 관통하여 신체 전체로 퍼지면서 낭미충증을 유발한다. 낭종은 모든 조직에서 형성될 수 있지만, 가장 흔하게 중추 신경계, 골격근, 피부 및 눈에서 발견된다.[6] 낭미충은 살아있는 기생충(소포 단계)으로 중추 신경계에 들어가 투명한 막, 맑은 액체 및 내부로 접혀 있는 두절(머리)을 갖는다. 낭미충은 수년 동안 생존할 수 있지만, 숙주의 면역 반응으로 인해 비활성 결절로 퇴화될 수 있다. 교질 단계에서 낭종 내부의 액체는 흐려지고 두절이 분해되기 시작한다. 다음으로, 낭종 벽이 두꺼워지고 두절은 작은 광물화된 과립으로 굳어져, 낭종이 더 이상 활동하지 않는 과립 단계를 나타낸다. 결국 기생충 잔해가 완전히 석회화되어 석회화된 단계에서 단단한 결절을 형성한다.[2][3]

신경낭미충증은 가장 일반적으로 대뇌 피질에서 발생하며, 다음으로 소뇌에서 발생한다. 낭포는 극히 드물게 합체하여 수지상을 이루는데, 이를 포도상 신경낭미충증이라고 한다. 뇌하수체에 발생하는 경우는 거의 없지만, 뇌하수체에 발생하면 각종 뇌하수체 호르몬 결핍증을 일으킬 수 있다.[5]

4. 증상

신경낭미충증은 병변의 위치, 수, 그리고 면역 체계의 감염에 대한 반응에 따라 다양한 징후와 증상을 보인다.[1] 무증상에서 치명적인 증상까지 나타나는 신경낭미충증은 다른 많은 신경 질환을 모방할 수 있기 때문에 "만능 모방자"라고 불린다.[2] 가장 흔한 증상으로는 발작, 두개 내 고혈압, 인지 장애, 국소적 결손 등이 있다.[1][3]

신경낭미충증의 증상[1]
위치질병 형태일반적인 임상 증상
뇌 실질소포성 낭포발작, 때로는 무증상.
교질 낭포발작, 구토, 두통, 국소적 징후.
육아종/석회화발작, 때로는 재발.
낭미충 뇌염발작, 혼수, 두개 내 고혈압.
지주막하 공간뇌척수액(CSF) 조조 낭포발작, 국소적 징후, 두개 내 고혈압, 인지 장애.
광범위한 거미막염(거미막의 염증)국소적 징후, 두개 내 고혈압.
수두증두개 내 고혈압, 인지 장애.
혈관염급성 뇌졸중 증후군.
뇌실 계통뇌실 낭포국소적 징후, 두개 내 고혈압
뇌실막염(뇌실막의 염증)발작, 두개 내 고혈압
척수거미막염신경근 통증, 쇠약, 드물게 수막염
실질 낭포병변 부위 아래의 운동 및 감각 징후
기타상부 안장 낭미충증안과적 및 내분비적 장애
안구 낭미충증시력 상실, 안구 외 근육 마비
근육 낭미충증근육 가성 비대





신경낭미충증이 흔한 지역에서는 성인 발병 발작이 이 질환과 매우 관련이 있다.[5] 발작은 다른 형태의 신경낭미충증보다 실질 신경낭미충증에서 더 흔하며,[1] 질병의 모든 단계에서 발생할 수 있다.[3] 처음에는 뇌의 한쪽 면에만 영향을 미치는 부분 발작이 가장 흔한 유형의 발작이다.[6] 신경낭미충증을 치료하지 않으면 치료에도 불구하고 발작이 종종 지속되고 재발한다.[7] 발작은 종종 부기, 염증, 신경 손상, 교세포증을 동반하는 퇴행성 낭종과 더 흔하게 관련이 있다.[3][7][8] 발작은 뇌의 염증 반응과 낭종의 공간 점유 효과로 인해 발생한다.[9][5] 다수의 병변은 발작의 위험을 증가시킨다. 활동성 낭종은 처음 발생하는 발작과 관련이 있는 반면, 석회화된 육아종은 만성 뇌전증과 관련이 있다.[5]

신경낭미충증 환자는 기생충의 크기, 개수 및 위치에 따라 다양한 특정 신경학적 증상을 나타낼 수 있다. 추체로 증상인 쇠약, 바빈스키 징후, 경직, 과반사(과도한 반사)가 가장 흔하게 나타나지만 감각 손상, 파킨슨증 경직, 불수의 운동, 언어 장애, 뇌간 기능 이상 징후도 나타날 수 있다. 국소 신경 증상은 큰 거미막 낭종이 뇌 실질을 압박하는 경우에 가장 흔하게 나타난다.[1] 거미막 층의 염증은 국소 증상, 두개 내 동맥의 혈관 폐쇄로 인한 허혈성 뇌졸중, 뇌 신경 압박, 청력 손실, 안면 신경 마비 또는 삼차 신경통을 유발할 수 있다. 뇌간 손상으로 인한 국소 신경 증상도 나타날 수 있다. 척수의 유구낭미충증은 국소적인 덩어리 효과나 지주막하 공간의 염증으로 인해 방사통, 쇠약 및 감각 손상을 유발하는 경우가 많다.[6]



두개내 고혈압은 뇌 주변의 압력 증가로 신경낭미충증과 관련이 있으며, 다른 증상과 동반될 수 있다.[1] 뇌실질 외 신경낭미충증에서 더 흔하게 나타나며,[3] 뇌척수액이 뇌에 축적되어 가장 자주 발생한다.[1][6] 뇌수두증은 과립성 뇌실막염, 낭종에 의한 CSF 통로 압박, 낭미충증 지주막염, 염증 또는 낭종에 의한 뇌실 막힘과 관련될 수 있다.[1][3] 큰 거미막하 낭종과 낭종 덩어리 또한 뇌수두증 유무와 관계없이 종괴 효과와 두개내 고혈압을 유발할 수 있다.[6] 두개내 고혈압은 머리를 움직일 때 발생하는 간헐적인 의식 소실로 나타날 수 있으며, 이는 브룬 증후군으로 알려져 있다.[1] 아급성이거나 만성일 수 있다.[6] 일반적으로 젊은 여성과 어린이에게 영향을 미치는 신경낭미충증의 심각한 유형인 낭미충증 뇌염 또한 두개내 고혈압을 유발할 수 있다.[3] 낭미충증 뇌염은 발작, 두개내 고혈압, 의식 혼탁, 시신경 유두 부종, 두통, 시력 감소, 구토를 특징으로 한다.[11][6]

신경낭미충증의 인지 및 정신 증상은 경미한 결함에서 심각한 치매에 이르기까지 다양할 수 있다. 편집증, 혼란, 폭력을 수반하는 정신병 에피소드가 신경낭미충증과 함께 발생한다고 보고되었다. 이러한 에피소드 중 일부는 정신운동 발작 또는 발작후 정신병과 관련될 수 있다.[11][6] 신경낭미충증의 다른 정신과적 증상으로는 불안, 섬망, 감각 변화, 우울증, 성격 장애 등이 있다. 신경낭미충증 환자는 우울증, 인지 장애 또는 삶의 질 저하를 보일 수 있다.[12]

척수 지주막염은 아급성 신경근 통증 및 쇠약을 유발할 수 있다. 척수 내 낭종은 병변 위치에 따라 다양한 운동 및 감각 장애와 관련이 있다. 터키 안(sellar region)에 낭미충이 있는 경우 시력 및 호르몬 문제가 발생할 수 있다. 눈에서 낭미충은 일반적으로 망막하 공간에서 발견되며, 시력 저하 또는 시야 이상을 점진적으로 유발한다. 낭종은 유리체, 포도막염, 안구내염의 염증을 유발할 수 있으며, 이는 안구 낭미충증의 가장 심각한 합병증이며 안구위축을 초래할 수 있다. 가로무늬근의 낭미충 감염은 시간이 지남에 따라 쇠약과 비대를 유발할 수 있다.

신경낭미충증은 두 가지 주요 유형으로 분류할 수 있다: 뇌 조직에 영향을 미치는 실질성 신경낭미충증과 뇌 조직 외부에서 발생하는 실질외 신경낭미충증.[8]

  • 실질성 신경낭미충증: 뇌 실질 내의 신경낭미충증 병변.[8]
  • * 생존 가능한 실질 낭종: 두절을 포함하며, 일반적으로 직경이 0.5cm~2cm이다.[8]
  • * 단일 조영 증강 병변 (고립 낭미충 육아종): 하나 또는 두 개의 작은 낭종.[8]
  • * 대규모 감염: 수백 개의 낭종과 다수의 유충.[8]
  • 실질외 신경낭미충증: 뇌실 또는 지주막하 공간의 병변.[8]
  • * 뇌실 신경낭미충증: 뇌 뇌실의 낭종.[8]
  • * 지주막하 신경낭미충증: 지주막하 공간의 낭미충.[8]
  • 기타 위치
  • * 척수 신경낭미충증: 척수의 신경낭미충증, 종종 척수외 지주막하 공간.[8]
  • * 망막 신경낭미충증: 망막에 영향을 미치는 낭종.[8]


신경낭미충증은 가장 일반적으로 대뇌 피질, 다음으로 소뇌에 발생한다. 낭포는 극히 드물게 합체하여 수지상을 이루어 포도상 신경낭미충증이라고 불리는 병태가 될 수 있다. 뇌하수체에 발생하는 경우는 거의 없지만, 뇌하수체에 발생하면 각종 뇌하수체 호르몬 결핍증을 일으킬 수 있다.[5]

5. 진단

신경낭미충증 진단은 사용 가능한 방법의 신뢰성이 낮거나 자원 부족 지역에서는 접근성이 떨어져 어려울 수 있다.[1] 신체 검사와 실험실 검사는 진단에 큰 도움이 되지 않는 경우가 많다.[2] 주로 신경 영상 및 혈액 검사를 통해 진단하며,[3] 진단 기준도 마련되어 있다.[4]

혈액 내 *T. solium* 항체 검출에는 렌즈콩 렉틴 정제 당단백질(LLGP) 효소 연결 면역전기영동 블롯(EITB) 검사가 가장 신뢰도가 높다.[1] 이 검사는 특정 단백질을 이용하여 항체 존재를 확인하며, 감염 5주 이내에 항체를 식별할 수 있다. LLGP-EITB는 뇌 낭종이 여러 개인 경우 민감도 98%, 특이도 100%를 보이지만, 낭종이 하나뿐인 경우에는 민감도가 낮다.[2] 뇌척수액(CSF)에서 항낭미충 항체를 검출하는 ELISA 검사는 활동성 신경낭미충증 감염에 대해 민감도 89%, 특이도 93%를 나타내며, EITB 검사를 사용할 수 없을 때 대체로 사용된다.[5]

 MRI of extraparenchymal neurocysticercosis


신경낭미충증 환자의 37%는 호산구 증가를 보이며, 이는 신경낭미충증에서 가장 흔한 혈액 이상이다. 대변 검사에서 *Taenia solium* 충란이 양성으로 나오는 경우는 감염 심각도에 따라 다르며, 충란 인식이 어렵고 검사에서 감지되지 않는 경우도 많다.[7]

CT와 MRI는 병변의 수, 양상, 치유 단계, 면역계의 기생충 반응에 대한 객관적인 정보를 제공한다.[7] MRI는 다양한 각도에서 평가가 가능하고 선명한 영상을 제공하여 CT 스캔에서 놓칠 수 있는 뇌 뒤쪽이나 두개골 근처의 작은 병변을 식별하는 데 유용하다. CT는 뇌의 석회화를 감지하는 능력이 뛰어나 뇌의 칼슘 축적을 확인하는 데 더 민감하다.[2]

살아있는 소포성 낭종은 작고 둥근 병변으로, 주변 부기가 거의 없고 조영제가 필요하지 않다. 촌충 머리(스콜렉스)는 보통 낭종 내부에 비대칭적인 결절로 나타나며, 이러한 머리를 가진 여러 개의 살아있는 낭종은 진단을 뒷받침한다. 낭종이 파괴되기 시작하면(콜로이드 낭종) 경계가 불분명해지고 부기로 둘러싸이며, 링 또는 결절성 조영 증강을 보인다. 석회화된 유구낭미충은 CT 스캔에서 부기 없이 조영되지 않는 고밀도 결절로 나타난다.[8]

 신경낭미충증의 영상, 병리, 수술 소견


신경낭미충증 진단 기준은 다음과 같다:[10]

구분기준
절대적 기준
신경 영상 기준
임상/노출 기준



신경낭미충증은 전산화 단층 촬영술(CT)로 진단하며,[4] ELISA 또는 면역 블롯을 통해[6] 뇌척수액이나 혈청 내 낭충 항체를 검출하여 확진한다.[7]

6. 치료

신경낭미충증은 환자 개개인에게 맞는 치료법을 적용해야 한다. 낭포의 생존력, 환자의 면역 반응, 병변의 위치와 수 등을 고려하여 적절한 치료를 제공해야 한다.[4] 증상 완화제와 구충제를 함께 사용하며, 수술로 낭포를 제거하기도 한다.[6][8]

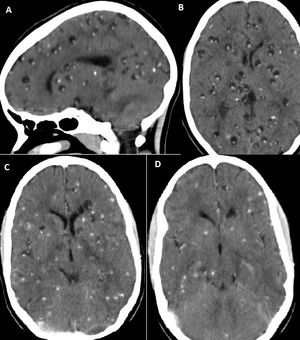
신경낭미충증의 뇌 CT 치료 전(A 및 B) 및 후(C 및 D) 알벤다졸 치료


신경낭미충증은 감염 후 증상이 수개월 또는 수년 후에 나타나는 경우가 많다. 따라서 기생충 제거는 응급 상황이 아니며, 초기 치료는 증상 완화를 목표로 한다. 항간질제, 항부종제, 진통제, 소염제 등을 사용하며, 카르바마제핀은 발작 조절에 흔히 사용된다. 항간질제는 발작이 없는 상태로 1년까지 사용할 수 있다. 두개내 고혈압은 수술, 아세타졸아미드, 스테로이드, 만니톨 등으로 관리할 수 있다.

스테로이드 투여는 중추신경계의 신경낭미충증 관련 염증을 조절하는 데 중요하다. 이는 생존하는 낭포 파괴 후 발생하는 급성 염증 반응을 제어하기 때문이다. 프레드니솔론덱사메타손은 구충 요법의 보조제로 자주 사용된다.

가장 흔히 사용되는 구충제는 알벤다졸(기생충의 포도당 흡수 및 대사 억제)과 프라지콴텔(기생충의 칼슘 경로 및 항상성 변화를 통해 마비 유발)이다. 구충제는 며칠에서 몇 달에 걸쳐 작용하며, 생존 낭포나 초기 교질 낭포 단계의 낭포에만 효과가 있다. 석회화된 낭포에는 효과가 없으며, 거미막하 신경낭미충증이나 뇌염 신경낭미충증과 같이 수두증 발생 위험이 있는 경우에는 투여할 수 없다. 이러한 경우 치료 후 발생하는 염증은 두개내압을 급격히 상승시켜 사망에 이르게 할 수 있다.

심각한 감염의 경우, 대량 염증 위험으로 인해 구충제가 비효과적일 수 있지만, 치료하지 않으면 심각한 결과를 초래할 수 있다. 이때는 수술을 포함한 적극적인 치료가 필요할 수 있으며, 뇌실 복막 단락술과 낭포 절제술 등이 시행된다.

신경낭미충증 치료는 간질에 대한 대증 요법과 프라지콴텔, 알벤다졸의 장기 투약으로 이루어진다.[4] 낭충 사멸로 인한 염증 반응을 최소화하기 위해 스테로이드 요법이 필요할 수 있다.[6] 뇌 실질이나 뇌실 내 큰 낭포, 수두증 발생 시에는 낭포의 외과적 제거가 필요할 수 있다.[6][8]

알벤다졸은 단일 뇌 실질 내 낭포 환자의 간질 발작 재발을 감소시키는 것으로 나타났다.[9] 간질 발작 외 증상이 있는 환자의 발작 예방에 대한 항간질약의 효과 및 치료 기간은 추가적인 무작위 대조 시험이 필요하다.[10]

7. 예방

신경낭미충증은 예방 가능한 질병이다. 유일한 최종 숙주가 인간이고, 중간 숙주는 난자에 대한 노출을 통제할 수 있는 동물이며, 감염된 개체를 식별할 수 있는 진단 검사, 효과적인 치료법, 돼지 백신의 유용성 등은 ''T. solium''을 박멸 가능한 질병으로 만드는 잠재적 요인이다.

신경낭미충증은 부적절한 폐기물 처리, 낮은 교육 수준, 돼지의 부적절한 도살, 자유 방목 돼지가 있는 지역과 같이 ''T. solium''의 전파 가능성이 높은 지역에서 더 흔하게 발생한다. 비위생적인 환경과 가축 돼지는 ''T. solium''이 전파되기 위해 필요하다. 도시화와 개발은 이러한 요소를 감소시키므로 전파가 줄어든다. 신경낭미충증은 발병하는 데 수년이 걸리기 때문에 개입 프로그램은 수십 년이 걸릴 수 있다.

신경낭미충증 예방을 위해서는 교육 증진, 위생 상태 개선, 엄격한 가축 관리 및 육류 검사 절차와 같은 개입이 필요하다. 의학적 예방에는 구충제를 사용하여 사람에게 니클로사마이드 또는 프라지콴텔과 같은 약물을 투여하고, 옥스펜다졸로 돼지에게 예방 접종 및 치료를 하는 것이 포함된다. 발병률이 증가하는 비유행 국가에서 신경낭미충증에 대한 인식을 높이는 것도 중요하다. ''T. solium'' 종양구에서 추출한 재조합 단백질로 구성된 TSOL18 백신은 신경낭미충증의 예방 및 관리에 대한 유망한 해결책이다. 신경낭미충증 사례의 의무적인 통지와 같은 공중 보건 감시를 강화하는 것도 유익할 수 있다. 개입 대상을 지정하려면 신경낭미충증을 적절하게 식별해야 한다.

1985년 에콰도르에서 프라지콴텔이 구충에 사용되었고, 결국 다른 국가에서도 사용되었다. 온두라스에서는 건강 교육 및 관리 프로그램 이후 전파와 이환율이 감소했다. 대규모 제거 프로그램은 돼지 백신, 인간 및 돼지 대량 화학 요법, 분변 항원 사례 확인을 사용하여 107개 마을 중 105개 마을에서 전파를 제거하는 데 성공했다. 유구조충에 의한 낭충증은 역학적으로 위생 상태 불량과 관련이 있으며, 사하라 사막 이남 아프리카, 라틴 아메리카 및 아시아에서 널리 유행하고 있다.[11][12][13]

8. 역학

 T. solium이 유행하는 지역을 보여주는 지도


신경낭미충증은 대부분의 개발도상국에서 풍토병이며, 주로 이슬람 세계는 제외된다.[12][13] 라틴 아메리카, 중국, 네팔, 아프리카, 인도, 동남아시아에서 풍토병이다. 위생 상태가 좋지 않고 깨끗한 물이 부족한 가난한 국가에서 더 흔하게 발생한다.[14] ''Taenia solium''은 선진국에서는 드물게 발생하며, 보통 여행이나 이민을 통해 감염된 사람들에게서 발생한다. 미국과 영국을 포함한 여러 부유한 국가에서 신경낭미충증 보고가 증가하고 있는데, 이는 세계화와 전 세계 여행 증가의 결과이다.[13] 미국의 신경낭미충증 사례는 대부분 미국 남서부에서 보고되었으며, 진단의 약 90%는 멕시코 또는 남아메리카 출신 이민자였다.[12]

유행 국가에서 실시된 연구에 따르면 신경낭미충증은 간질 발생률 증가의 흔한 원인이다.[12] 유행 지역에서는 중추신경계 감염이 매우 흔하며, 많은 곳에서 특정 혈청 항체의 빈도가 10% 이상이고, CT 스캔에서 잔류 뇌실질 내 석회화가 일반 인구의 10~20%에서 관찰된다.[13] 신경낭미충증은 간질 환자의 29%에 영향을 미치는 것으로 추정된다.[13] 인도 돼지 사육 커뮤니티의 약 15%가 무증상 신경낭미충증을 앓고 있으며,[13] 북인도 연구에 따르면 인도 농촌 지역의 유병률은 1,000명당 4.5명이었다.[13] 또 다른 북인도 연구에서는 활동성 간질 환자의 25%가 ''T. solium''에 대한 항체를 가지고 있었다.[13] 인도 병원 연재에서 신경낭미충증은 부분 발작을 겪는 어린이 사례의 절반 이상을 차지했다.[13]

유구조충에 의한 낭충증은 역학적으로 위생 상태 불량과 관련이 있으며, 사하라 사막 이남 아프리카, 라틴 아메리카 및 아시아에서 널리 유행하고 있다.[11][12][13] 미국에서는 낭충증이 신경낭미충증 형태로 나타나는 것이 일반적이지만, "소외된 열대 질환"으로[14] 특히 빈곤층, 노숙자, 또는 충분한 손 씻기 습관이 없거나 손으로 음식을 먹는 습관을 가진 사람들에게 광범위하게 영향을 미치고 있다.

전 세계적으로 약 5천만 명의 환자가 있는 것으로 추정된다.[15]

9. 합병증

신경낭미충증은 병변의 위치, 수, 그리고 면역 체계의 감염 반응에 따라 다양한 징후와 증상을 보인다.[1] 무증상부터 치명적인 증상까지 나타나며, 다른 신경 질환을 모방할 수 있어 "만능 모방자"라고 불린다.[2] 가장 흔한 증상은 발작, 두개 내 고혈압, 인지 장애, 국소적 결손 등이다.[1][3]

신경낭미충증의 증상[1]
위치질병 형태일반적인 임상 증상
뇌 실질소포성 낭포발작, 때로는 무증상.
교질 낭포발작, 구토, 두통, 국소적 징후.
육아종/석회화발작, 때로는 재발.
낭미충 뇌염발작, 혼수, 두개 내 고혈압.
지주막하 공간뇌척수액(CSF) 조조 낭포발작, 국소적 징후, 두개 내 고혈압, 인지 장애.
광범위한 거미막염(거미막의 염증)국소적 징후, 두개 내 고혈압.
수두증두개 내 고혈압, 인지 장애.
혈관염급성 뇌졸중 증후군.
뇌실 계통뇌실 낭포국소적 징후, 두개 내 고혈압
뇌실막염(뇌실막의 염증)발작, 두개 내 고혈압
척수거미막염신경근 통증, 쇠약, 드물게 수막염
실질 낭포병변 부위 아래의 운동 및 감각 징후
기타상부 안장 낭미충증안과적 및 내분비적 장애
안구 낭미충증시력 상실, 안구 외 근육 마비
근육 낭미충증근육 가성 비대



신경낭미충증이 흔한 지역에서는 성인 발병 발작이 이 질환과 관련이 깊다.[12] 발작은 실질 신경낭미충증에서 더 흔하며,[1] 질병의 모든 단계에서 발생할 수 있다.[3] 초기에는 뇌의 한쪽 면에만 영향을 미치는 부분 발작이 가장 흔하다.[2] 치료하지 않으면 발작이 지속되고 재발하는 경우가 많다.[13] 발작은 부기, 염증, 신경 손상, 교세포증을 동반하는 퇴행성 낭종과 관련이 깊다.[3][13][14] 뇌의 염증 반응과 낭종의 공간 점유 효과로 인해 발생한다.[15][12] 다수의 병변은 발작 위험을 높인다. 활동성 낭종은 처음 발생하는 발작과 관련이 있는 반면, 석회화된 육아종은 만성 뇌전증과 관련이 있다.[12]

환자는 기생충의 크기, 개수, 위치에 따라 다양한 신경학적 증상을 보인다. 추체로 증상인 쇠약, 바빈스키 징후, 경직, 과반사(과도한 반사)가 가장 흔하지만, 감각 손상, 파킨슨증 경직, 불수의 운동, 언어 장애, 뇌간 기능 이상 징후도 나타날 수 있다. 국소 신경 증상은 큰 거미막 낭종이 뇌 실질을 압박하는 경우에 가장 흔하다.[1] 거미막 층의 염증은 국소 증상, 뇌 신경 압박, 청력 손실, 안면 신경 마비 또는 삼차 신경통을 유발할 수 있다. 뇌간 손상으로 인한 국소 신경 증상도 나타날 수 있다. 척수의 유구낭미충증은 방사통, 쇠약 및 감각 손상을 유발하는 경우가 많다.[2]

두개내 고혈압은 뇌 주변 압력 증가로 인해 발생하며, 다른 증상과 동반될 수 있다.[1] 뇌실질 외 신경낭미충증에서 더 흔하며,[3] 뇌척수액이 뇌에 축적되어 발생한다.[1][2] 뇌수두증은 과립성 뇌실막염, 낭종에 의한 CSF 통로 압박, 낭미충증 지주막염, 염증 또는 낭종에 의한 뇌실 막힘과 관련될 수 있다.[1][3] 큰 거미막하 낭종과 낭종 덩어리는 뇌수두증 유무와 관계없이 종괴 효과와 두개내 고혈압을 유발할 수 있다.[2] 두개내 고혈압은 머리를 움직일 때 발생하는 간헐적인 의식 소실인 브룬 증후군으로 나타날 수 있다.[1] 아급성이거나 만성일 수 있다.[2] 낭미충증 뇌염은 두개내 고혈압을 유발할 수 있으며, 발작, 두개내 고혈압, 의식 혼탁, 시신경 유두 부종, 두통, 시력 감소, 구토를 특징으로 한다.[1][2]

인지 및 정신 증상은 경미한 결함에서 심각한 치매까지 다양하다. 편집증, 혼란, 폭력을 동반하는 정신병 에피소드가 보고되었다. 일부는 정신운동 발작 또는 발작후 정신병과 관련될 수 있다.[1][2] 불안, 섬망, 감각 변화, 우울증, 성격 장애 등도 나타날 수 있다. 신경낭미충증 환자는 우울증, 인지 장애 또는 삶의 질 저하를 보일 수 있다.

척수 지주막염은 아급성 신경근 통증 및 쇠약을 유발할 수 있다. 척수 내 낭종은 병변 위치에 따라 다양한 운동 및 감각 장애와 관련이 있다. 터키 안(sellar region)에 낭미충이 있으면 시력 및 호르몬 문제가 발생할 수 있다. 눈에서 낭미충은 망막하 공간에서 발견되며, 시력 저하 또는 시야 이상을 유발한다. 낭종은 유리체, 포도막염, 안구내염의 염증을 유발할 수 있으며, 이는 안구 낭미충증의 가장 심각한 합병증이며 안구위축을 초래할 수 있다. 가로무늬근의 낭미충 감염은 쇠약과 비대를 유발할 수 있다.

신경낭미충증은 대뇌 피질소뇌에 주로 발생한다. 낭포는 드물게 합체하여 포도상 신경낭미충증을 유발할 수 있다. 뇌하수체 발생은 드물지만, 발생 시 각종 뇌하수체 호르몬 결핍증을 일으킬 수 있다.[5]

10. 예후



신경낭미충증이 흔한 지역에서는 성인 발병 발작이 이 질환과 매우 관련이 있다.[5] 발작은 다른 형태보다 실질 신경낭미충증에서 더 흔하며,[6] 질병의 모든 단계에서 발생할 수 있다.[7] 처음에는 뇌의 한쪽 면에만 영향을 미치는 부분 발작이 가장 흔하다.[8] 신경낭미충증을 치료하지 않으면 치료에도 불구하고 발작이 종종 지속되고 재발한다.[9] 발작은 부기, 염증, 신경 손상, 교세포증을 동반하는 퇴행성 낭종과 더 흔하게 관련이 있고,[7][9][10] 뇌의 염증 반응과 낭종의 공간 점유 효과로 인해 발생한다.[11][5] 다수의 병변은 발작 위험을 증가시키며, 활동성 낭종은 처음 발생하는 발작과 관련이 있는 반면, 석회화된 육아종은 만성 뇌전증과 관련이 있다.[5]

신경낭미충증의 예후는 낭종의 수와 위치에 따라 달라진다. 단일 조영 병변 신경낭미충증은 일반적으로 예후가 좋으며, 60% 이상의 사례에서 6개월 이내에 병변이 해결된다. 다발성 또는 석회화 병변은 발작 재발 위험을 증가시킨다.[12] 신경낭미충증으로 정신적, 인지적 변화가 흔히 나타나지만, 일상 행동에 영향을 미칠 정도로 심각하지는 않다.[10]

실질성 신경낭미충증 역시 예후가 좋다.[10] 실질성 신경낭미충증의 예후는 병변의 수와 염증의 심각도에 의해 조절된다.[8] 석회화된 실질성 신경낭미충증 환자의 절반 이상에서 발작이 재발하며 장기간 항발작제를 투여해야 한다.[10]

실질 외 신경낭미충증은 항기생충 치료에 잘 반응하지 않으므로, 때로는 여러 유형 또는 치료 과정이 필요하다. 션트 막힘이나 혈관염과 같은 치료 합병증 또한 실질 외 신경낭미충증에서 더 흔하게 나타난다.[10] 실질 외 신경낭미충증은 폐쇄성 수두증과 사망으로 이어질 수 있다.[13]

참조

[1] 웹사이트 About cysticercosis https://www.cdc.gov/[...] 2024-12-20
[2] 웹사이트 Hidden Epidemic: Tapeworms Living Inside People's Brains https://www.discover[...] Discover Magazine 2012-05-15
[3] 논문 Neurocysticercosis: A Major Cause of Neurological Disease Worldwide
[4] 웹사이트 WHO {{!}} 10 facts about neurocysticercosis https://www.who.int/[...] 2019-04-03
[5] 논문 Pituitary hormone deficiency due to racemose neurocysticercosis
[6] 서적 Medical Microbiology Elsevier Saunders 2013
[7] 논문 Laboratory Diagnosis of Human Neurocysticercosis: Double-Blind Comparison of Enzyme-Linked Immunosorbent Assay and Electroimmunotransfer Blot Assay 2002-06
[8] 논문 Surgical management of neurocysticercosis 2010-01-04
[9] 논문 Anthelmintics for people with neurocysticercosis 2021-06-01
[10] 논문 Antiepileptic drugs for seizure control in people with neurocysticercosis 2019-10-14
[11] 논문 Neurocysticercosis: regional status, epidemiology, impact and control measures in the Americas 2003-06-01
[12] 논문 Prevalence and Risk Factors Associated with Human Taenia Solium Infections in Mbozi District, Mbeya Region, Tanzania 2013-03-14
[13] 논문 Neurocysticercosis in an Orthodox Jewish Community in New York City 1992-09-03
[14] 논문 Neglected Parasitic Infections and Poverty in the United States
[15] 웹사이트 Taeniasis/Cysticercosis https://www.who.int/[...] 2021-10-10



본 사이트는 AI가 위키백과와 뉴스 기사,정부 간행물,학술 논문등을 바탕으로 정보를 가공하여 제공하는 백과사전형 서비스입니다.
모든 문서는 AI에 의해 자동 생성되며, CC BY-SA 4.0 라이선스에 따라 이용할 수 있습니다.
하지만, 위키백과나 뉴스 기사 자체에 오류, 부정확한 정보, 또는 가짜 뉴스가 포함될 수 있으며, AI는 이러한 내용을 완벽하게 걸러내지 못할 수 있습니다.
따라서 제공되는 정보에 일부 오류나 편향이 있을 수 있으므로, 중요한 정보는 반드시 다른 출처를 통해 교차 검증하시기 바랍니다.

문의하기 : help@durumis.com