프레드니솔론
"오늘의AI위키"의 AI를 통해 더욱 풍부하고 폭넓은 지식 경험을 누리세요.
1. 개요
프레드니솔론은 합성 코르티코스테로이드의 일종으로, 항염증 및 면역 억제 작용을 통해 다양한 질환 치료에 사용된다. 글루코코르티코이드 수용체에 결합하여 유전자 발현을 조절하며, 천식, 류마티스 관절염, 알레르기 반응 등 광범위한 질환에 효과를 보인다. 프레드니솔론은 경구, 주사, 안약 등 다양한 제형으로 제공되며, 부작용으로는 쿠싱 증후군, 여드름, 정신적 변화 등이 나타날 수 있다. 임산부 및 수유부에게는 사용에 주의가 필요하며, 다른 약물과의 상호 작용 가능성도 존재한다. 또한, 세계 반도핑 기구(WADA)는 경기 중 프레드니솔론의 사용을 금지하고 있으며, 동물, 특히 개와 말에게도 다양한 질환 치료를 위해 사용된다.
프레드니솔론은 합성 프레그난 코르티코스테로이드로, C11 부근의 수소 원자 두 개를 제외하고 동일한 구조를 가진 관련 프레드니손과 밀접한 관련이 있다. 또한 '''δ1-코르티솔''', '''δ1-하이드로코르티손''', '''1,2-데하이드로코르티솔''', 또는 '''1,2-데하이드로하이드로코르티손''', 그리고 '''11β,17α,21-트리하이드록시프레그나-1,4-디엔-3,20-디온'''으로도 알려져 있다.[63]
글루코코르티코이드인 프레드니솔론은 친유성 구조를 가져 세포막을 쉽게 통과하여 세포질에 위치한 글루코코르티코이드 수용체(GCR)에 결합한다. 결합 시 GC/GCR 복합체가 형성되면서 샤페론 단백질이 글루코코르티코이드 수용체에서 해리되어 GC/GCR 복합체가 핵 내부로 전위될 수 있게 된다.[42] 이 과정은 결합 후 20분 이내에 일어난다. 핵 내부에 들어간 단백질 이합체 GC/GCR 복합체는 글루코코르티코이드 반응 요소(GRE)로 알려진 특정 DNA 결합 부위에 결합하여 유전자 발현 또는 억제를 유발한다. 양성 GRE에 결합하면 항염증 단백질이 합성되고 음성 GRE에 결합하면 염증 유전자의 전사가 차단된다.[43]
프레드니솔론은 경구 액체, 경구 현탁액, 경구 시럽, 경구 정제 및 구강 붕해 정제 형태로 공급된다.[53][22][54][41][31][32][30][55] 일반 의약품이거나, 상품명으로는 Flo-Pred (프레드니솔론 아세테이트 경구 현탁액), Millipred (경구 정제), Orapred (프레드니솔론 인산나트륨 구강 붕해 정제), Pediapred (프레드니솔론 인산나트륨 경구 용액), Veripred 20, Prelone, Hydeltra-T.B.A., Hydeltrasol, Key-Pred, Cotolone, Predicort, Medicort, Predcor, Bubbli-Pred, Omnipred (프레드니솔론 아세테이트 안과 현탁액), Pred Mild, Pred Forte 등이 있다.[55]
프레드니솔론은 당질코르티코이드와 약한 무기질코르티코이드 성질을 띠는 코르티코스테로이드로서, 다양한 염증 및 자가 면역 질환 치료에 사용된다.[14][21] 낮은 용량에서는 항염증제로, 높은 용량에서는 면역억제제로 작용한다.[45]
주사제는 감염증이 있는 관절강 내, 활액낭 내, 건초 내 또는 건 주위, 그리고 동요 관절의 관절강 내 투여는 금기이다.
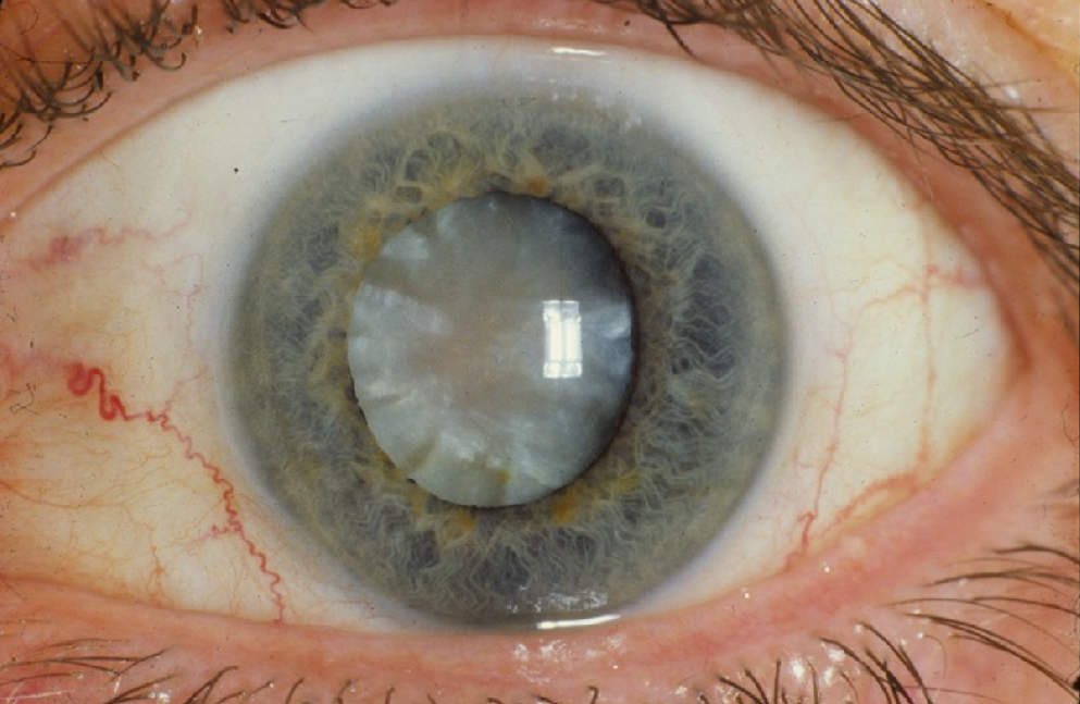
프레드니솔론의 부작용으로는 쿠싱증후군, 여드름, 변비, 기분 변화 등이 있다.[53][54] 눈에 투약했을 경우에는 수정체 피막하 백내장, 울혈유두, 녹내장 같은 증상이 나타날 수 있다.[26] 헤르페스 환자에게는 금기이다.
2. 스테로이드
부신 피질 호르몬(스테로이드 호르몬)에 관한 연구는 1950년 노벨 생리학·의학상을 수상했다.[63] 스테로이드는 항염증 작용이나 면역 억제 작용 등의 약리 작용을 가지고 있으며, 다양한 질환의 치료에 폭넓게 사용되고 있다.[63] 임상 각 과에서 자주 사용되는 약물 중 하나로, 일본의 진료 가이드라인이나 치료 지침 또는 핸드북을 살펴보면, 스테로이드가 치료제 중 하나로 기재되어 있는 가이드라인은 70여 개에 달한다.[63] 프레드니솔론은 1955년(쇼와 30년)에 시오노기 제약과 미국 쉐링이 기술 원조 계약을 체결하면서 일본에 처음 도입된 스테로이드계 항염증제이다.
3. 작용 기전
이들은 핵 인자 카파 B (NF-κB), 활성 단백질 1 (AP-1), 활성화된 T 세포의 핵 인자 (NFAT)와 같은 염증을 촉진하는 신호의 방출을 억제하고, 인터루킨-10 유전자와 같은 항염증 신호를 자극한다.[44][45] 이들 모두는 프로스타글란딘 합성을 억제하고 추가적인 염증 매개체를 억제하는 일련의 사건을 집합적으로 유발한다. 글루코코르티코이드는 또한 호중구의 세포 사멸 및 탈주연화를 억제한다. 또한 포스포리파제 A2를 억제하여 아라키돈산 유도체 생성을 감소시킨다.[46]
프레드니솔론은 2~4시간의 비교적 짧은 반감기를 가지며, 넓은 치료 지수를 가지고 있다.[45] 70~90%가 혈장 단백질 결합을 하며, 알부민과 같은 단백질에 결합한다.[45]
프레드니솔론 인산염과 프레드니솔론 아세테이트는 모두 체내에서 에스테르 가수분해를 거쳐 프레드니솔론을 형성한다. 그 후, 프레드니솔론의 일반적인 대사 과정을 거친다. 케토코나졸과 같은 강력한 CYP3A4 억제제와 프레드니솔론을 함께 사용하면 청소율 감소로 인해 혈장 프레드니솔론 농도가 약 50% 증가하는 것으로 나타났다.[44] 주로 신장을 통해 배설되며, 황산염 및 글루쿠론산 접합체의 대사산물로 소변으로 배설된다.[45] 프레드니손은 간에서 활성화되는 프로드러그로, 체내에 들어가면 간과 체내 화학 물질에 의해 활성 형태인 프레드니솔론으로 전환된다.[47]
4. 제형
일본에서 입수 가능한 제형 및 유도체로는 경구제(프레드니솔론), 외용제(프레드니솔론, 프레드니솔론 아세테이트, 프레드니솔론 발레레이트 아세테이트(PVA), 프레드니솔론 팔네실산 에스테르), 주사제(프레드니솔론 숙신산나트륨), 점안제(프레드니솔론 아세테이트), 관장제(프레드니솔론 인산 에스테르 나트륨)가 있다.
스테로이드 외용제로서는, 일본에서의 등급 분류에서 5단계 중 2단계인 미디엄 의약품인 길초산 아세트산 프레드니솔론(상품명 리도멕스[65] 등)과, 1단계인 위크의 프레드니솔론이 있다[108].
5. 효능 및 효과
프레드니솔론은 글루코코르티코이드 활성이 높고 미네랄로코르티코이드 활성은 낮아, 천식,[15] 포도막염, 괴저성 농피증, 류마티스 관절염, 두드러기,[16] 혈관부종,[16] 궤양성 대장염, 심낭염, 측두 동맥염, 크론병, 벨 마비, 다발성 경화증,[17] 군발 두통, 혈관염, 급성 림프구성 백혈병, 자가면역 간염,[18] 루푸스, 가와사키병,[19] 피부근염,[54] 심근경색 후 증후군,[20] 사르코이드증 등 광범위한 질환에 효과적이다.[93]
계절성 알레르기부터 약물 알레르기 반응까지 다양한 알레르기 반응에도 사용되며,[22] 장기 이식 후 면역 억제제로도 활용된다.[54][23] 또한 애디슨병으로 인한 부신 기능 부전의 경우 저용량으로 사용될 수 있다.[24][25]

국소 프레드니솔론은 주로 안약 형태로 안과 질환에 사용되며,[26] 화학 물질, 화상, 이물질로 인한 각막 손상, 눈의 염증, 경증에서 중등도의 비감염성 알레르기, 눈꺼풀, 결막 또는 공막 질환, 수술로 인한 안구 염증 및 시신경염 등에 사용된다.[27][28] 프레드니솔론 아세테이트 안과 현탁액은 멸균된 제제로, 눈의 부기, 충혈, 가려움증, 알레르기 반응을 줄이는 데 사용된다.[30][31][32]
또한, 국소 프레드니솔론은 이약으로도 투여될 수 있다.[37]안약 이약 프레드니솔론 인산나트륨 안과 용액[26] 프레드니솔론 인산나트륨 0.5% 눈/귀약[37] 프레드 포르테 안과 현탁액 (프레드니솔론 아세테이트 안과 현탁액)[30] 현탁액(프레드니솔론 순한 안과)[26] 현탁액(프레드니솔론 아세테이트 안과)[26]
프레드니솔론은 염증의 모든 과정에서 효과적이며, 염증 억제 작용뿐만 아니라 림프구를 파괴하여 급성 림프구성 백혈병이나 악성 림프종, 자가면역 질환, 알레르기성 질환, 이식 거부 반응 치료에도 사용된다. 그 외에도 급성 염증, 만성 염증, 쇼크, 통풍, 메니에르병, 돌발성 난청, 급성 백혈병, 신증후군 등 다양한 질환에 사용된다.
정제와 주사제는 내과, 소아과, 외과, 정형외과, 산부인과, 비뇨기과, 피부과, 안과, 이비인후과 등 다양한 영역에서 적용된다.[89][90][91]
관절 류마티즘 치료에도 자주 사용되며, 프레드니솔론 1~5mg/일까지의 사용에서는 사망률 상승이 보이지 않았다.[99]
글루코코르티코이드는 다양한 유발 물질에 반응하여 염증 반응을 억제하고, 치유 과정을 지연시키며,[106] 부종, 섬유소 침착, 백혈구 유주, 섬유 증식, 섬유아세포 증식, 콜라겐 침착, 염증 후 반흔 형성을 억제한다.[107]
6. 금기
그 외, '''원칙적 금기'''로서 다음 항목이 설정되어 있다[89][90][91]。7. 부작용
프레드니솔론 사용으로 인한 일반적인 부작용은 다음과 같다:[53][54]
장기간 또는 고용량의 프레드니솔론 사용 후 중단하면 부신 기능 부전을 유발할 수 있다.[41]
눈에 국소적으로 사용할 때, 코르티코스테로이드를 장기간 사용하면 렌즈 뒤쪽이 흐려지는 후낭하 백내장이 발생할 수 있다. 이는 빛이 눈에 도달하는 경로를 감소시켜 시력에 방해가 된다. 또한, 각막과 공막이 얇아져 궁극적으로 각막 천공으로 이어질 수 있으며, 안압(IOP) 상승으로 시신경이 손상되고 시각 인식이 약화될 수 있다. 프레드니솔론 점안액을 수술 후 사용하는 것은 치유 과정을 지연시킬 수 있다.[26]
외용제는 흡수율이 높은 부위인 뺨, 머리, 목, 음부에는 장기간 연용하지 않도록 주의하며, 얼굴에 사용하는 것은 미디엄 이하가 권장된다[108]。 병변이 악화되거나 변화가 없으면 중지해야 한다[109]。 스테로이드 외용제 금단의 위험성을 의사와 환자는 알아야 하며, 효력에 관계없이 2-4주 이상 사용해서는 안 된다[109]。
부작용은 다채로우며, 특히 경구 투여 제제에서는 면역 기능 저하 및 그에 따른 감염증, 부신피질 기능 부전, 쿠싱 증후군, 위궤양, 신경 증상, 정신 증상, 골다공증, 백내장, Na 및 체액 저류(부종), 식욕 증진, 지방의 이상 침착, 문페이스 (지방이 붙어 얼굴이 둥글어짐), 상처 치유 지연, 짜증, 불면 등이 있다.
중대한 부작용으로 유발 감염증, 감염증 악화, 속발성 부신피질 기능 부전, 당뇨병, 소화관 궤양, 소화관 천공, 소화관 출혈, 췌장염, 정신 변조, 우울 상태, 경련, 골다공증, 대퇴골 및 상완골 등의 골두 무균성 괴사, 근병증, 녹내장, 후낭 백내장, 중심성 장액성 망맥락막증, 다발성 후극부 망막 색소 상피증, 혈전증, 심근 경색, 뇌경색, 동맥류등이 알려져 있다[89][90][91]。 주사제는 쇼크, 아나필락시스, 천식 발작 악화, 안연고는 각막 헤르페스 유발, 각막 진균증 유발, 녹농균 감염 유발, 천공, 정제는 경막외 지방종, 힘줄 파열과 같은 부작용이 추가적으로 발생할수 있다.
비중격 천공이나 장 천공으로 스테로이드를 중단하는 경우가 있다[110][111]。
단기 치료에서는 스테로이드의 부작용이 많지 않지만, 치료가 길어지면서 체중 증가, 면역 반응 부전, 행동 장애가 발생한다[112]。 장기간 고용량 사용 후의 금단 증상으로, 급성 부신 부전이 발생할 수 있다[113]。
7. 1. 스테로이드 외용제 금단
8. 임산부 및 수유부
프레드니솔론을 임산부에게 투여한 주요 연구는 없지만, 여러 동물 연구에서 구순열 및 구개열 발생 가능성 증가를 포함한 선천적 결손을 유발할 수 있음을 보여준다. 동물 생식에 대한 연구에 따르면, 사람에게 권장되는 용량의 10배로 용량을 줄였을 때 기형 발생의 흔적이 나타났다.[52] 현재까지 인간 임신에 대한 충분한 정보는 없다. 임산부와 태아에게 잠재적 이점이 잠재적 위험보다 클 경우에만 사용이 권장된다.[52]
임신 중인 여성에 대한 임상 시험은 실시되지 않았지만, 동물을 이용한 실험에서는 구순구개열이 증가하는 것으로 나타났다. 프레드니솔론을 임신부가 복용하는 경우에는 치료의 이점이 부작용의 위험을 상회하는 경우에만 한정해야 하며, 복용 환자에게서 태어난 아이는 부신 기능을 신중하게 확인할 필요가 있다.
프레드니솔론은 전신 투여 시 모유에서 발견될 수 있지만, 점안액 투여 후 시스템에서 발견되는 프레드니솔론의 정도에 대한 데이터는 제공되지 않는다.[26][52] 그러나, 전신 투여 시 코르티코스테로이드의 존재가 기록되며, 이는 태아의 성장에 영향을 미칠 수 있다.[52] 프레드니솔론은 프레드니솔론을 복용하는 여성의 모유에서 발견된다.[41] 프레드니솔론은 모유 중에 분비된다[113]。 따라서 수유 중 프레드니솔론의 사용은 권장되지 않는다.[52]
9. 약물 상호작용
프레드니솔론 점안액과 비스테로이드성 소염 진통제(NSAIDs)를 함께 투여하면 독성과 같은 원치 않는 부작용을 유발하여 그 효과가 악화될 수 있으며, 상처 치유 과정 또한 방해받을 수 있다.[50]
프레드니솔론은 아자티오프린 또는 사이클로스포린과 같은 다른 면역억제제, 클로피도그렐과 같은 항혈소판제, 다비가트란 또는 와파린과 같은 항응고제, 또는 아스피린, 세레콕시브, 또는 이부프로펜과 같은 NSAIDs와 약물 상호 작용을 일으킬수 있다.[51]
10. 기타
어린이에게 프레드니솔론 점안액을 장기간 사용하면 안압이 상승할 수 있다. 이러한 현상은 용량 의존적이지만, 특히 6세 미만의 어린이에게 더 큰 영향을 미치는 것으로 나타났다.[26]
세계 반도핑 기구(WADA)는 글루코코르티코이드인 프레드니솔론을 경구 투여, 정맥 주사, 근육 주사, 경직장 투여 등의 방법으로 경기 중 사용하는 것을 금지하고 있다.[56][114][115]
프레드니솔론은 고양이, 개, 말, 페럿과 같은 소형 포유류, 조류, 파충류의 염증성 및 알레르기성 질환 치료에 사용된다.[57][58] 염증, 면역 매개 질환, 애디슨병, 신생물 치료에 사용되는 것은 종종 라벨 외 사용으로 간주된다. 많은 약물이 수의학에서 라벨 외 사용으로 일반적으로 처방된다."[59] 알파카와 같은 반추 동물 연구에 따르면 경구 투여 시 정맥 투여에 비해 생체 이용률이 감소하는 것으로 나타났다. 그러나 알파카에서는 다른 종에서 치료 효과가 있는 수준이 경구 투여로 달성될 수 있다.[60]
개에서 공막 조직, 각막 및 결막의 염증과 같은 광범위한 질병에 사용된다.[57] 말의 경우, 프레드니솔론 아세테이트 현탁액은 말의 시력 장애의 주요 원인인 전방 포도막염 및 재발성 말 포도막염 (ERU)으로도 알려진 눈의 중간층의 염증을 치료하는 데 사용된다.[58] 프레드니솔론 아세테이트 안약은 조류와 같은 다른 동물에게는 사용하면 안 된다.[57]
프레드니솔론 아세테이트 안약은 또한 개와 고양이에게 눈 수술 후 부기, 눈의 충혈, 작열감 및 통증 감각을 줄이기 위해 처방된다.[57]
결막염이 있는 고양이는 일반적으로 코르티코스테로이드 및 그 유도체의 안과 제제를 사용하지 않아야 한다. 가장 일반적인 감염은 헤르페스 바이러스에 의해 발생한다.[58]
10. 1. 도핑
세계 반도핑 기구(WADA)는 글루코코르티코이드인 프레드니솔론을 경구 투여, 정맥 주사, 근육 주사, 경직장 투여 등의 방법으로 경기 중 사용하는 것을 금지하고 있다.[56][114][115]10. 2. 동물 사용
프레드니솔론은 고양이, 개, 말, 페럿과 같은 소형 포유류, 조류, 파충류의 염증성 및 알레르기성 질환 치료에 사용된다.[57][58] 염증, 면역 매개 질환, 애디슨병, 신생물 치료에 사용되는 것은 종종 라벨 외 사용으로 간주된다. 많은 약물이 수의학에서 라벨 외 사용으로 일반적으로 처방된다."[59] 알파카와 같은 반추 동물 연구에 따르면 경구 투여 시 정맥 투여에 비해 생체 이용률이 감소하는 것으로 나타났다. 그러나 알파카에서는 다른 종에서 치료 효과가 있는 수준이 경구 투여로 달성될 수 있다.[60]개에서 공막 조직, 각막 및 결막의 염증과 같은 광범위한 질병에 사용된다.[57] 말의 경우, 프레드니솔론 아세테이트 현탁액은 말의 시력 장애의 주요 원인인 전방 포도막염 및 재발성 말 포도막염 (ERU)으로도 알려진 눈의 중간층의 염증을 치료하는 데 사용된다.[58] 프레드니솔론 아세테이트 안약은 조류와 같은 다른 동물에게는 사용하면 안 된다.[57]
프레드니솔론 아세테이트 안약은 또한 개와 고양이에게 눈 수술 후 부기, 눈의 충혈, 작열감 및 통증 감각을 줄이기 위해 처방된다.[57]
결막염이 있는 고양이는 일반적으로 코르티코스테로이드 및 그 유도체의 안과 제제를 사용하지 않아야 한다. 가장 일반적인 감염은 헤르페스 바이러스에 의해 발생한다.[58]
참조
[1]
웹사이트
Prednisolone Use During Pregnancy
https://www.drugs.co[...]
2000-01-16
[2]
논문
Clinical pharmacokinetics of prednisone and prednisolone
1979
[3]
논문
Pharmacokinetics and protein binding of prednisolone after oral and intravenous administration
1983
[4]
논문
Pharmacokinetics and Bioavailability Study of a Prednisolone Tablet as a Single Oral Dose in Bangladeshi Healthy Volunteers
2018
[5]
서적
WHO Model Formulary 2008
World Health Organization
[6]
웹사이트
Pevanti 10mg Tablets – Summary of Product Characteristics (SPC) – (eMC)
https://www.medicine[...]
2014-12-01
[7]
서적
Cancer Drug Discovery: Science and History
https://books.google[...]
Springer
2016
[8]
서적
The selection and use of essential medicines 2023: web annex A: World Health Organization model list of essential medicines: 23rd list (2023)
World Health Organization
[9]
웹사이트
Prednisolone
https://www.drugs.co[...]
The American Society of Health-System Pharmacists
[10]
웹사이트
The Top 300 of 2022
https://clincalc.com[...]
2024-08-30
[11]
웹사이트
Prednisolone Drug Usage Statistics, United States, 2013 - 2022
https://clincalc.com[...]
[12]
논문
Glucocorticosteroid inhibition of cytokine production: relevance to antiallergic actions
1996-01
[13]
논문
Mechanisms of Glucocorticoid Action in Chronic Rhinosinusitis
2015-11
[14]
논문
Pharmacokinetics and pharmacodynamics of systemically administered glucocorticoids
[15]
논문
Systemic corticosteroid therapy for acute asthma exacerbations
2006-06
[16]
논문
Urticaria and angioedema
2014
[17]
논문
Relapse management in multiple sclerosis
2009-01
[18]
논문
Prednisolone exerts late mitogenic and biphasic effects on resistant acute lymphoblastic leukemia cells: Relation to early gene expression
2009-12
[19]
논문
Steroid pulse therapy for Kawasaki disease unresponsive to additional immunoglobulin therapy
2011-10
[20]
웹사이트
Prednisolone 5mg Tablets - Summary of Product Characteristics (SmPC) - (emc)
https://www.medicine[...]
2022-11-27
[21]
논문
Acute alveolar sarcoidosis presenting with hypoxaemic respiratory failure
2014-04
[22]
웹사이트
Millipred- prednisolone tablet
https://dailymed.nlm[...]
NIH
2019-04-08
[23]
논문
"[Drug interactions and immunosuppression in organ transplant recipients]"
2011-10
[24]
논문
Consensus statement on the diagnosis, treatment and follow-up of patients with primary adrenal insufficiency
2014-02
[25]
서적
AMA Department of Drugs: AMA Drug Evaluations
American Medical Association
1986
[26]
웹사이트
Prednisolone (ophthalmic): Drug information
https://www.uptodate[...]
[27]
웹사이트
Goodman & Gilman's: The Pharmacological Basis of Therapeutics, 13e > Ocular Pharmacy
https://login.eproxy[...]
2022-03-16
[28]
웹사이트
Prednisolone (Ophthalmic Route) Side Effects
https://www.mayoclin[...]
Mayo Clinic
2022-03-16
[29]
웹사이트
Common and Rare Side Effects for prednisolone acetate ophthalmic (eye)
https://www.webmd.co[...]
2022-03-16
[30]
웹사이트
Pred Forte- prednisolone acetate suspension/ drops
https://dailymed.nlm[...]
2019-07-19
[31]
웹사이트
Omnipred- prednisolone acetate suspension
https://dailymed.nlm[...]
2019-09-09
[32]
웹사이트
Pred Mild- prednisolone acetate suspension/ drops
https://dailymed.nlm[...]
2019-07-19
[33]
논문
Topical corticosteroids as adjunctive therapy for bacterial keratitis
2014-10
[34]
논문
Evaluation of the effectiveness of topical ciprofloxacin and prednisolone in the prevention of myringosclerosis
2012-11
[35]
논문
Herpetic Eye Disease Study: A Controlled Trial of Topical Corticosteroids for Herpes Simplex Stromal Keratitis
2020-04
[36]
논문
Safety and Efficacy of 0.1% Nepafenac versus 1% Prednisolone Acetate Eye Drops after Laser Peripheral Iridotomy: A Prospective, Randomized Trial
2020-02-29
[37]
웹사이트
BNF: Prednisolone, Medicine Forms
https://login.eproxy[...]
2022-04-14
[38]
뉴스
Prednisolone (Oral Route)
https://www.mayoclin[...]
Mayo Clinic
2023-08-01
[39]
논문
Bowel perforation in steroid-treated patients
[40]
논문
Intranasal steroids and septum perforation--an overlooked complication? A description of the course of events and a discussion of the causes
1998-09
[41]
웹사이트
Pediapred- prednisolone sodium phosphate solution
https://dailymed.nlm[...]
2020-01-29
[42]
웹사이트
Topical corticosteroids: Use and adverse effects
https://www.uptodate[...]
2022-09-13
[43]
논문
Molecular mechanisms of glucocorticoid action and selective glucocorticoid receptor agonists
https://hal.archives[...]
2007-09
[44]
논문
Pharmacology and pharmacogenetics of prednisone and prednisolone in patients with nephrotic syndrome
2019-03
[45]
웹사이트
Prednisolone phosphate
https://go.drugbank.[...]
2022-03-16
[46]
웹사이트
Prednisolone acetate
https://go.drugbank.[...]
2022-03-16
[47]
웹사이트
What's the Difference Between Prednisolone and Prednisone?
https://www.goodrx.c[...]
2022-11-27
[48]
서적
The Dictionary of Drugs: Chemical Data: Chemical Data, Structures and Bibliographies
https://books.google[...]
Springer
2014-11-14
[49]
서적
Index Nominum 2000: International Drug Directory
https://books.google[...]
Taylor & Francis
2000-01
[50]
웹사이트
Prednisolone (Ophthalmic Route)
https://www.mayoclin[...]
Mayo Foundation for Medical Education and Research
[51]
웹사이트
Prednisolone Oral: Uses, Side Effects, Interactions, Pictures, Warnings & Dosing - WebMD
https://www.webmd.co[...]
2024-02-29
[52]
웹사이트
Prednisolone ophthalmic Use During Pregnancy
https://www.drugs.co[...]
2022-03-16
[53]
웹사이트
Flo-Pred- prednisolone acetate suspension
https://dailymed.nlm[...]
2019-02-28
[54]
웹사이트
Orapred ODT- prednisolone sodium phosphate tablet, orally disintegrating
https://dailymed.nlm[...]
2019-09-11
[55]
웹사이트
Prednisolone: Uses, Dosage, Side Effects, Warnings
https://www.drugs.co[...]
2022-07-06
[56]
웹사이트
Prohibited List
https://www.wada-ama[...]
World Anti-Doping Agency
2020-01
[57]
웹사이트
PrednisoLONE Acetate Ophthalmic Suspension
https://www.vetrxdir[...]
2022-03-16
[58]
웹사이트
Prednisolone Acetate Ophthalmic for Veterinary Use
https://www.wedgewoo[...]
2022-03-16
[59]
뉴스
Prednisolone/Prednisone
https://vcahospitals[...]
VCA Hospitals
2021-07-03
[60]
논문
Pharmacokinetics of Orally Administered Prednisolone in Alpacas
[61]
웹사이트
19th WHO Model List of Essential Medicines (April 2015)
http://www.who.int/m[...]
WHO
2015-04
[62]
간행물
ドーピング違反とならないための手引きIII (「禁止物質」と「安全な薬」について)
http://jdsf.or.jp/ru[...]
日本ダンススポーツ連盟
[63]
간행물
「ステロイドへの取組み」『What is SHIONOGI(第3集)』
SHIONOGI & CO.,LTD.
2011-12
[64]
논문
Molecular mechanisms of glucocorticoid action and selective glucocorticoid receptor agonists
http://ac.els-cdn.co[...]
2007-05-17
[65]
간행물
リドメックスコーワ軟膏0.3% リドメックスコーワクリーム0.3% リドメックスコーワローション0.3%
https://pins.japic.o[...]
興和株式会社
2020-05-27
[66]
문서
慢性副腎皮質機能不全(原発性、続発性、下垂体性、医原性)、急性副腎皮質機能不全(副腎クリーゼ)、副腎性器症候群、亜急性甲状腺炎、甲状腺中毒症〔甲状腺(中毒性)クリーゼ〕、甲状腺疾患に伴う悪性眼球突出症、ACTH単独欠損症
[67]
문서
関節リウマチ、若年性関節リウマチ(スチル病を含む)、リウマチ熱(リウマチ性心炎を含む)、リウマチ性多発筋痛
[68]
문서
エリテマトーデス(全身性および慢性円板状)、全身性血管炎(大動脈炎症候群、結節性動脈周囲炎、多発性動脈炎、ヴェゲナ肉芽腫症を含む)、多発性筋炎(皮膚筋炎)、強皮症
[69]
문서
ネフローゼおよびネフローゼ症候群
[70]
문서
鬱血性心不全
[71]
문서
気管支喘息、喘息性気管支炎(小児喘息性気管支炎を含む)、薬剤その他の化学物質によるアレルギー・中毒(薬疹、中毒疹を含む)、血清病、喘息発作重積状態、アナフィラキシーショック
[72]
문서
重症感染症(化学療法と併用する)
[73]
문서
溶血性貧血(免疫性または免疫性機序の疑われるもの)、白血病(急性白血病、慢性骨髄性白血病の急性転化、慢性リンパ性白血病)(皮膚白血病を含む)、髄膜白血病、顆粒球減少症(本態性、続発性)、紫斑病(血小板減少性および血小板非減少性)、再生不良性貧血、凝固因子の障害による出血性素因
[74]
문서
限局性腸炎、潰瘍性大腸炎
[75]
문서
重症消耗性疾患の全身状態の改善(癌末期、スプルーを含む)
[76]
문서
劇症肝炎(臨床的に重症と看做されるものを含む)、胆汁鬱滞型急性肝炎、慢性肝炎(活動型、急性再燃型、胆汁鬱滞型)(ただし、一般的治療に反応せず肝機能の著しい異常が持続する難治性のものに限る)、肝硬変(活動型、難治性腹水を伴うもの、胆汁鬱滞を伴うもの)
[77]
문서
サルコイドーシス(ただし、両側肺門リンパ節腫脹のみの場合を除く)、瀰漫性間質性肺炎(肺線維症)(放射線肺臓炎を含む)
[78]
문서
肺結核(粟粒結核、重症結核に限る)、結核性髄膜炎、結核性胸膜炎、結核性腹膜炎、結核性心嚢炎
[79]
문서
脳脊髄炎(脳炎、脊髄炎を含む)(ただし、一次性脳炎の場合は頭蓋内圧亢進症状がみられ、かつ他剤で効果が不十分なときに短期間用いること。)、末梢神経炎(ギランバレー症候群を含む)、筋強直症、重症筋無力症、多発性硬化症(視束脊髄炎を含む)、小舞踏病、顔面神経麻痺、脊髄蜘網膜炎、デュシェンヌ型筋ジストロフィー
[80]
문서
悪性リンパ腫および類似疾患(近縁疾患)、多発性骨髄腫、好酸性肉芽腫、乳癌の再発転移
[81]
문서
特発性低血糖症、原因不明の発熱
[82]
문서
副腎摘除、臓器・組織移植、侵襲後肺水腫、副腎皮質機能不全患者に対する外科的侵襲、蛇毒・昆虫毒(重症の虫さされを含む)、外科的ショックおよび外科的ショック様状態、脳浮腫、輸血による副作用、気管支痙攣(術中)
[83]
문서
強直性脊椎炎(リウマチ性脊椎炎)、強直性脊椎炎(リウマチ性脊椎炎)に伴う四肢関節炎、変形性関節症(炎症症状がはっきり認められる場合)、非感染性慢性関節炎、痛風性関節炎、関節周囲炎(非感染性のものに限る)、腱周囲炎(非感染性のものに限る)、 腱炎(非感染性のものに限る)、腱鞘炎(非感染性のものに限る)、滑液包炎(非感染性のものに限る)、脊髄浮腫
[84]
문서
卵管閉塞症(不妊症)に対する通水療法、卵管整形術後の癒着防止、副腎皮質機能障害による排卵障害
[85]
문서
前立腺癌(他の療法が無効な場合)、陰茎硬結
[86]
문서
湿疹・皮膚炎群(急性湿疹、亜急性湿疹、慢性湿疹、接触皮膚炎、貨幣状湿疹、自家感作性皮膚炎、アトピー皮膚炎、乳・幼・小児湿疹、ビダール苔癬、その他の神経皮膚炎、脂漏性皮膚炎、進行性指掌角皮症、その他の手指の皮膚炎、陰部あるいは肛門湿疹、耳介および外耳道の湿疹・皮膚炎、鼻前庭および鼻翼周辺の湿疹・皮膚炎など)(ただし、重症例以外は極力投与しないこと。局注は浸潤、苔癬化の著しい場合のみとする。)、痒疹群(小児ストロフルス、蕁麻疹様苔癬、固定蕁麻疹を含む)(ただし、重症例に限る。また、固定蕁麻疹は局注が望ましい。)、蕁麻疹(慢性例を除く)(重症例に限る)、乾癬および類症〔尋常性乾癬(重症例)、関節症性乾癬、乾癬性紅皮症、膿疱性乾癬、稽留性肢端皮膚炎、疱疹状膿痂疹、ライター症候群〕、掌蹠膿疱症(重症例に限る)、毛孔性紅色粃糠疹(重症例に限る)、扁平苔癬(重症例に限る)、成年性浮腫性硬化症、紅斑症(多形滲出性紅斑、結節性紅斑)(ただし、多形滲出性紅斑の場合は重症例に限る)、アナフィラクトイド紫斑(単純型、シェーンライン型、ヘノッホ型)(重症例に限る)、ウェーバークリスチャン病、粘膜皮膚眼症候群〔開口部びらん性外皮症、スチブンス・ジョンソン病、皮膚口内炎、フックス症候群、ベーチェット病(眼症状のない場合)、リップシュッツ急性陰門潰瘍〕、レイノー病、円形脱毛症(悪性型に限る)、天疱瘡群(尋常性天疱瘡、落葉状天疱瘡、Senear-Usher症候群、増殖性天疱瘡)、デューリング疱疹状皮膚炎(類天疱瘡、妊娠性疱疹を含む)、先天性表皮水疱症、帯状疱疹(重症例に限る)、紅皮症(ヘブラ紅色粃糠疹を含む)、顔面播種状粟粒性狼瘡(重症例に限る)、アレルギー性血管炎およびその類症(急性痘瘡様苔癬状粃糠疹を含む)、潰瘍性慢性膿皮症、新生児スクレレーマ、早期ケロイドおよびケロイド防止
[87]
문서
内眼・視神経・眼窩・眼筋の炎症性疾患の対症療法(ブドウ膜炎、網脈絡膜炎、網膜血管炎、視神経炎、眼窩炎性偽腫瘍、眼窩漏斗尖端部症候群、眼筋麻痺)、外眼部および前眼部の炎症性疾患の対症療法(眼瞼炎、結膜炎、角膜炎、強膜炎、虹彩毛様体炎)、眼科領域の術後炎症
[88]
문서
急性・慢性中耳炎、滲出性中耳炎・耳管狭窄症、メニエル病およびメニエル症候群、急性感音性難聴、口腔外科領域手術後の後療法、血管運動(神経)性鼻炎、アレルギー性鼻炎、花粉症(枯草熱)、副鼻腔炎・鼻茸、進行性壊疽性鼻炎、喉頭炎・喉頭浮腫、喉頭ポリープ・結節、食道の炎症(腐蝕性食道炎、直達鏡使用後)および食道拡張術後、耳鼻咽喉科領域の手術後の後療法、難治性口内炎および舌炎(局所療法で治癒しないもの)、嗅覚障害、急性・慢性(反復性)唾液腺炎
[89]
웹사이트
プレドニン錠5mg 添付文書
http://www.info.pmda[...]
2015-06-00
[90]
웹사이트
水溶性プレドニン10mg/水溶性プレドニン20mg/水溶性プレドニン50mg 添付文書
http://www.info.pmda[...]
2015-03-00
[91]
웹사이트
プレドニン眼軟膏 添付文書
http://www.info.pmda[...]
2013-02-00
[92]
논문
Systemic corticosteroid therapy for acute asthma exacerbations
2006-06-00
[93]
논문
Pharmacokinetics and pharmacodynamics of systemically administered glucocorticoids
[94]
논문
Relapse management in multiple sclerosis
2009-01-00
[95]
논문
Prednisolone exerts late mitogenic and biphasic effects on resistant acute lymphoblastic leukemia cells: Relation to early gene expression
[96]
논문
Steroid pulse therapy for Kawasaki disease unresponsive to additional immunoglobulin therapy
[97]
문서
Product Information: ORAPRED ODT(TM) orally disintegrating tablets, prednisolone sodium phosphate orally disintegrating tablets. Cima Labs Inc, Alpharetta, GA, 2006.
[98]
논문
Acute alveolar sarcoidosis presenting with hypoxaemic respiratory failure
http://casereports.b[...]
2014-04-30
[99]
논문
Mortality in rheumatoid arthritis: the impact of disease activity, treatment with glucocorticoids, TNFα inhibitors and rituximab.
http://www.ncbi.nlm.[...]
[100]
웹사이트
Pred Forte Package Insert
http://www.allergan.[...]
[101]
문서
Product Information: OMNIPRED(TM) ophthalmic suspension, prednisolone acetate ophthalmic suspension. Alcon Laboratories Inc,Fort Worth, TX, 2005
[102]
웹사이트
Millipred tablets package insert
http://www.laserphar[...]
[103]
논문
Legemiddelinteraksjoner og immunsuppresjon hos organtransplanterte
http://tidsskriftet.[...]
[104]
논문
Consensus statement on the diagnosis, treatment and follow-up of patients with primary adrenal insufficiency
http://onlinelibrary[...]
2014-02-01
[105]
서적
AMA Department of Drugs: AMA Drug Evaluations, 6th.
American Medical Association, Chicago, IL
1986
[106]
논문
Glucocorticosteroid inhibition of cytokine production: relevance to antiallergic actions
https://pubmed.ncbi.[...]
1996-01-01
[107]
논문
Mechanisms of Glucocorticoid Action in Chronic Rhinosinusitis
http://synapse.korea[...]
[108]
논문
アトピー性皮膚炎診療ガイドライン2018
https://doi.org/10.1[...]
2018
[109]
논문
A systematic review of topical corticosteroid withdrawal ("steroid addiction") in patients with atopic dermatitis and other dermatoses
2015-03
[110]
문서
Bowel Perforation in Steroid-Treated Patients
http://www.ncbi.nlm.[...]
[111]
문서
Intranasal steroids and septum perforation--an overlooked complication?
http://www.ncbi.nlm.[...]
[112]
논문
Pharmacokinetics of 3 prednisolone prodrugs. Evidence of therapeutic inequivalence in renal transplant patients with rejection.
2015-11-03
[113]
웹사이트
PEDIAPRED Oral Liquid
http://products.sano[...]
2016-04-09
[114]
웹사이트
Prohibited List Documents
https://www.wada-ama[...]
2017-10-30
[115]
웹사이트
PROHIBITED LIST JANUARY 2017
https://www.wada-ama[...]
The World Anti-Doping Agency
2017-10-30
[116]
저널
Clinical pharmacokinetics of prednisone and prednisolone
1979
본 사이트는 AI가 위키백과와 뉴스 기사,정부 간행물,학술 논문등을 바탕으로 정보를 가공하여 제공하는 백과사전형 서비스입니다.
모든 문서는 AI에 의해 자동 생성되며, CC BY-SA 4.0 라이선스에 따라 이용할 수 있습니다.
하지만, 위키백과나 뉴스 기사 자체에 오류, 부정확한 정보, 또는 가짜 뉴스가 포함될 수 있으며, AI는 이러한 내용을 완벽하게 걸러내지 못할 수 있습니다.
따라서 제공되는 정보에 일부 오류나 편향이 있을 수 있으므로, 중요한 정보는 반드시 다른 출처를 통해 교차 검증하시기 바랍니다.
문의하기 : help@durumis.com