거세포성동맥염
"오늘의AI위키"의 AI를 통해 더욱 풍부하고 폭넓은 지식 경험을 누리세요.
1. 개요
거세포성동맥염은 주로 50세 이상에서 발병하는 혈관 염증 질환으로, 특히 여성에게서 더 흔하게 나타난다. 주요 증상으로는 두통, 턱 파행, 시력 저하, 급성 시력 상실 등이 있으며, 심각한 경우 실명으로 이어질 수 있다. 진단은 혈액 검사, 영상 검사, 측두 동맥 생검 등을 통해 이루어지며, 미국 류마티스 학회 분류 기준을 통해 확진할 수 있다. 치료는 시력 상실을 예방하기 위해 고용량의 코르티코스테로이드를 즉시 투여하는 것이 중요하며, 토실리주맙을 사용할 수도 있다.
더 읽어볼만한 페이지
- 류마티스내과 - 섬유근육통
섬유근육통은 중추신경계의 통증 신호 처리 이상으로 발생하는 만성 전신 통증 질환으로, 만성적인 전신 통증, 피로, 수면 장애가 주요 증상이며, 삶의 질 저하를 초래한다. - 류마티스내과 - 관절염
관절염은 관절에 염증이 생겨 통증, 부종, 강직 등을 유발하는 질환을 통칭하며, 다양한 종류가 있고, 약물 치료, 물리 치료, 수술적 치료 등으로 치료하며, 고령화 사회에서 유병률이 증가할 것으로 예상된다. - 눈병 - 쇼그렌 증후군
쇼그렌 증후군은 자가면역 반응으로 발생하는 만성 염증성 질환으로, 침샘과 눈물샘 등에서 분비물 감소를 유발하여 건성안, 구강건조증 등 다양한 증상을 나타낸다. - 눈병 - 백내장
백내장은 노화, 외상, 방사선, 특정 질환 및 약물 등으로 수정체가 혼탁해져 시력 저하, 흐릿한 시야, 눈부심, 왜곡 등의 증상이 나타나는 질환으로, 시력 검사를 통해 진단하며 현재 유일한 치료법은 인공수정체 삽입 수술이다. - 신경계 질환 - 앨리스 증후군
앨리스 증후군은 시각, 촉각, 청각, 신체 이미지 인지 등 다양한 감각에 영향을 미치는 신경학적 질환으로, 사물이 왜곡되어 보이는 감각 인지와 자신의 신체에 대한 인식 왜곡을 특징으로 하며, 뇌의 혈류 이상, 감염성 질환, 편두통 등과 관련이 있는 것으로 알려져 있다. - 신경계 질환 - 신경통
신경통은 특정 말초 신경 영역에서 발생하는 통증을 통칭하며, 원인 불명의 특발성부터 대상 포진 후 신경통과 같은 증후성까지 다양한 형태로 발작성 통증을 반복적으로 보이는 질환으로, 통증 병력, 신체 검사 등으로 진단하고 약물, 물리, 외과적 치료를 시행한다.
2. 증상
거대 세포 동맥염은 주로 55세 이상에서 발병하며, 평균 발병 연령은 55세를 넘는다. 55세 미만에서의 발병은 매우 드물다. 여성보다 남성에게서 2배 더 흔하게 나타나며, 북유럽계 조상을 가진 사람들에게서 더 자주 발생하는 경향이 있다.
주요 증상으로는 두통, 턱 파행(씹을 때 턱 통증), 시력 문제(흐린 시야, 복시, 갑작스러운 시력 상실), 발열, 피로, 체중 감소 등이 나타날 수 있다.[52][9] 또한, 환자의 약 절반에서 류마티스성 다발근통이나 섬유 근육통이 동반될 수 있다.[55][13] 두피의 압통이나 관자 동맥 부위의 이상(부종, 압통, 맥박 약화 등)도 특징적인 증상이다.[48]
특히 염증이 눈으로 가는 혈류를 방해하여 허혈성 손상을 일으키고 영구적인 시력 상실을 초래할 수 있으므로, 조기 진단과 치료가 매우 중요하다. 이러한 이유로 거대 세포 동맥염은 응급 질환으로 간주된다.[15]
질환이 재발하는 경우도 있으며, 주로 치료 과정에서 스테로이드 용량을 줄일 때 발생할 수 있다.[16]
2. 1. 일반적인 증상
이 질환은 주로 55세 이상에서 발병하며, 평균 발병 연령은 55세를 넘는다. 55세 미만에서의 발병은 매우 드물다. 여성보다 남성에게서 2배 더 흔하게 나타나며, 북유럽계 조상을 가진 사람들에게서 더 자주 발생하는 경향이 있다.거대 세포 동맥염의 증상은 다양하게 나타날 수 있으며, 주요 증상은 다음과 같다.
거대 세포 동맥염은 때때로 비정형적이거나 다른 질환과 중복되는 특징을 보일 수 있다.[15] 특히 허혈로 인한 시력 상실은 심각한 합병증이므로, 이를 예방하기 위해 조기에 정확한 진단을 내리는 것이 매우 중요하다. 따라서 이 질환은 응급 질환으로 간주된다.[15]
질환이 재발하는 경우도 있으며, 연구에 따라 정확한 재발률은 다르게 보고된다.[16] 재발은 주로 치료 첫 해에 프레드니손과 같은 스테로이드 용량을 줄이는 과정(하루 20mg 미만)에서 발생하며, 가장 흔한 재발 징후는 두통과 섬유 근육통이다.[16]
2. 2. 시력 관련 증상
거대 세포 동맥염은 눈으로 가는 혈액 공급에 영향을 미쳐 다양한 시력 문제를 일으킬 수 있다. 주요 증상으로는 시력 저하(흐릿한 시야), 갑작스러운 시력 상실(실명), 복시(이중 시야), 시야 결손 등이 나타날 수 있다.[52][9]이러한 시력 관련 증상은 주로 염증으로 인해 눈으로의 혈류가 방해받기 때문에 발생한다. 특히 눈과 관련된 사례의 약 76%에서는 안동맥 염증이 동반되며, 이는 동맥 앞 허혈성 시신경 병증으로 이어질 수 있다.[14]
영구적인 시력 상실을 초래할 수 있는 허혈성 손상을 예방하기 위해서는 조기에 정확한 진단을 내리는 것이 매우 중요하다. 따라서 거대 세포 동맥염으로 인한 시력 증상은 응급 의학적 상황으로 간주된다.[15]
2. 3. 기타 증상
거대 세포 동맥염의 흔한 증상은 다음과 같다.- 쇳소리 또는 잡음
- 발열
- 두통 (때로는 박동성)[52][9]
- 두피의 압통 및 민감성
- 턱 파행 (음식을 씹을 때 턱이나 뺨에 통증이 발생하며, 이는 씹는 행위로 인해 혈류가 부족해지기 때문이다. 턱 파행은 진단 민감도는 낮지만 특이도는 높다[48])
- 혀 파행 (씹을 때 혀에 통증이 발생) 및 괴사[53][54][10][11]
- 시력 저하 (흐릿한 시야)
- 급성 시력 상실 (갑작스러운 실명)
- 복시 (이중 시야)
- 급성 이명 (귀울림)
- 류마티스성 다발근통 (환자의 약 50%에서 동반)[55] 또는 섬유 근육통[13]
- 사지 파행[12]
- 체중 감소
- 관자 동맥(측두동맥) 부위의 자발통
- 얕은 관자 동맥이나 뒤통수 동맥의 종창(붓기), 경화(단단해짐), 압통(눌렀을 때 통증), 맥박 약화 또는 소실 (동맥이 염주 모양으로 변하거나 확장되기도 한다[48])
염증은 눈으로 가는 혈액 공급에 영향을 미칠 수 있으며, 이로 인해 시야가 흐려지거나 갑작스러운 실명이 발생할 수 있다. 눈 관련 증상이 나타난 사례의 76%에서는 안동맥 침범으로 인해 동맥 앞 허혈성 시신경 병증이 발생한다.[14]
질환이 재발할 수 있으며, 재발 시 가장 흔한 징후는 두통과 섬유 근육통이다.[16]
2. 4. 연관 질환
이 질환은 약 절반의 경우 류마티스성 다발근통(PMR)과 함께 발생할 수 있다.[13] 류마티스성 다발근통은 노년층에서 신체의 근육(골반, 어깨)에 갑작스러운 통증과 뻣뻣함이 나타나는 것을 특징으로 한다. 거세포성 동맥염(GCA)과 류마티스성 다발근통은 매우 밀접하게 연관되어 있어 동일한 질병 과정의 다른 증상으로 간주되는 경우가 많다. 류마티스성 다발근통은 일반적으로 GCA에서 나타나는 두통, 턱 통증(씹을 때), 시각 증상 등 두개골 증상이 없다.[18]수두 대상포진 바이러스(VZV) 항원이 거세포성 동맥염 양성인 측두 동맥 생검의 74%에서 발견되었으며, 이는 VZV 감염이 염증 반응을 유발할 수 있음을 시사한다.[17]
거세포성 동맥염은 대동맥에 영향을 미쳐 대동맥류 및 대동맥 박리를 유발할 수 있다.[19] GCA 환자의 최대 67%가 염증이 있는 대동맥의 증거를 가지고 있으며, 이는 대동맥류 및 박리의 위험을 증가시킬 수 있다.[19] 대동맥 영상 검사를 통해 이러한 생명에 위협이 될 수 있는 합병증에 대해 GCA 환자를 정기적으로 선별 검사해야 한다는 주장이 있다. 선별 검사는 GCA 환자의 징후와 증상을 기반으로 개별 사례별로 수행되어야 한다.[19]
3. 원인
거세포성동맥염의 상세한 원인은 아직 명확하게 밝혀지지 않았다.
현재까지 알려진 바에 따르면, 병의 발생 과정은 아직 밝혀지지 않은 원인에 의해 시작되는 염증 반응과 관련이 있다. 이 과정에서 혈관벽에 있는 수지상 세포가 T 세포와 대식세포를 불러 모으고, 이 세포들이 모여 육아종 형태의 침윤을 형성한다.[19] 이렇게 형성된 침윤은 동맥 혈관벽의 중간막 중간층과 내층을 손상시켜 동맥류나 동맥 박리와 같은 심각한 혈관 질환을 일으킬 수 있다.[19]
특히, 면역 세포의 일종인 T helper 17(Th17) 세포의 활성화가 중요한 역할을 하는 것으로 보인다. 이 세포의 활성화는 인터루킨(IL) 중에서도 IL-6, IL-17, IL-21, IL-23과 같은 물질들과 연관되어 있다. Th17 세포가 활성화되면 IL-6을 통해 지속적이고 순환적으로 Th17 세포가 더욱 활성화되는 과정이 일어난다.[19] 이러한 염증 경로는 글루코코르티코이드 약물에 의해 억제될 수 있으며,[20] 최근 연구에서는 IL-6 억제제 역시 이 경로를 억제하는 효과가 있음이 밝혀졌다.[19]
4. 진단
거세포성동맥염의 진단은 환자의 임상 증상, 신체 검진 소견, 혈액 검사, 영상 검사, 그리고 측두동맥 생검 결과를 종합하여 이루어진다.
혈액 검사에서는 염증 지표인 적혈구 침강 속도(ESR)와 C-반응 단백질(CRP)의 상승, 백혈구 수 증가 등이 특징적으로 나타난다. 전형적인 사례에서는 CRP 수치가 5mg/dL 이상, ESR은 50mm/1hr 이상으로 상승한다.[49]
눈 침범으로 인한 실명 위험이 있으므로 안저 검사 등 안과적 평가가 중요하다.
초음파 검사를 통해 측두 동맥, 후두 동맥 또는 활차상 동맥에서 염증으로 인해 혈관벽이 두꺼워진 소견(hypoechoic halo sign|저에코 후광 징후eng)을 확인할 수 있다.[49]
측두동맥 생검은 진단을 확정하는 데 중요한 병리학적 검사 방법이다.
4. 1. 신체 검사
- 머리를 만져보면 측두동맥이 두드러지게 느껴질 수 있으며, 이때 맥박이 느껴지거나 느껴지지 않을 수 있다.[21] 관자뼈 부위를 눌렀을 때 통증(압통)이 있을 수 있다.[21]
- 전신적으로 맥박이 약하게 느껴지거나, 쇄골하 동맥 및 겨드랑 동맥에서 잡음이 청진될 수도 있다.[21]
- 눈 검사(안저 검사)에서는 허혈의 징후가 나타날 수 있으며,[21] 안저의 동맥염으로 인해 실명에 이를 수 있으므로 안저 검사나 안과 의사의 진찰이 필요하다.
- 초음파 검사에서는 측두 동맥, 후두 동맥 또는 활차상 동맥에서 혈관벽이 동심원으로 두꺼워져 어둡게 보이는 소견(저에코의 동심성 혈관벽 비후, halo sign)이 관찰될 수 있다.[49]
- 혈액 검사에서는 염증 반응을 나타내는 적혈구 침강 속도(ESR)와 C-반응 단백질(CRP) 수치가 상승하고, 백혈구 수가 증가하는 소견이 나타난다. 전형적인 경우 CRP는 5mg/dL 이상, ESR은 50mm/1hr 이상으로 측정된다.
- 측두동맥의 조직을 일부 떼어내 병리학적으로 검사하는 생검이 진단을 확정하는 데 중요하다.

4. 2. 혈액 검사
- 적혈구 침강 속도(ESR): 염증을 나타내는 지표로, 일반적으로 60mm/시간 이상으로 상승하며(정상 범위는 1–40mm/시간), 전형적인 사례에서는 50mm/1시간 이상이다.[49]
- C-반응 단백(CRP): 또 다른 염증 지표로, 상승하며 전형적인 사례에서는 5mg/dL 이상이다.[49]
- 간 기능 검사(LFT): 검사 결과가 비정상적일 수 있으며, 특히 알칼리 인산 분해 효소(ALP) 수치가 상승하는 경우가 많다.
- 혈소판: 혈소판 수치가 상승할 수 있다.
- 백혈구: 백혈구 수가 증가할 수 있다.
4. 3. 영상 검사
초음파를 이용한 측두 동맥 검사에서 후광 징후 hypoechoic halo signeng가 나타날 수 있다.[49] 이는 저에코의 동심성 혈관벽 비후로 관찰되며, 측두 동맥 외에도 후두 동맥이나 활차상 동맥에서도 나타날 수 있다.[49] 영상 검사에서 측두 동맥 비후는 다른 비침습적 진단 검사와 비교했을 때 거세포성동맥염 진단에 가장 높은 양성 가능도비를 갖는 것으로 나타났다.[25]조영제를 사용한 뇌 MRI 및 CT는 일반적으로 이 질환에서 특별한 이상 소견을 보이지 않는 경우가 많다. 그러나 최근 연구에 따르면, 초고해상도 영상 및 조영제 주입을 사용한 3T MRI는 비침습적이면서도 높은 특이도와 민감도로 이 질환을 진단할 수 있는 가능성을 보여주었다.[24]
4. 4. 측두 동맥 생검

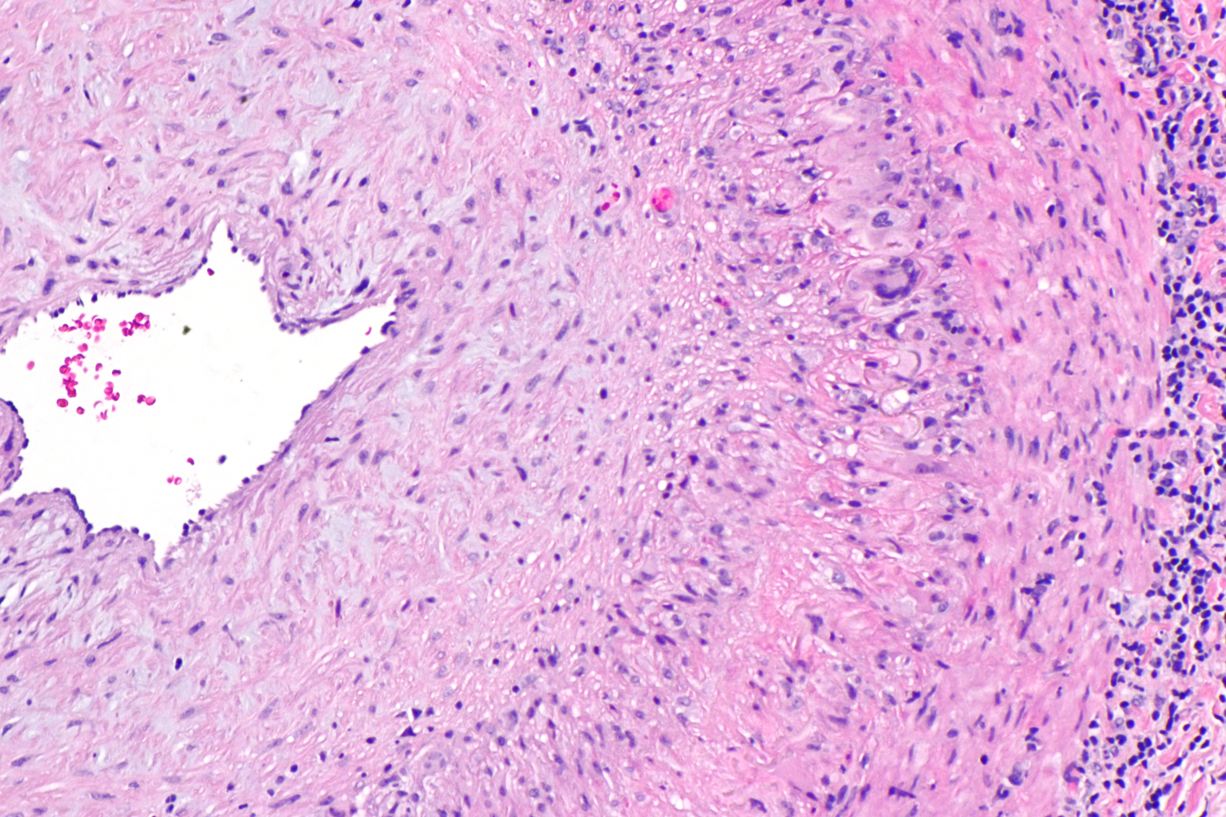
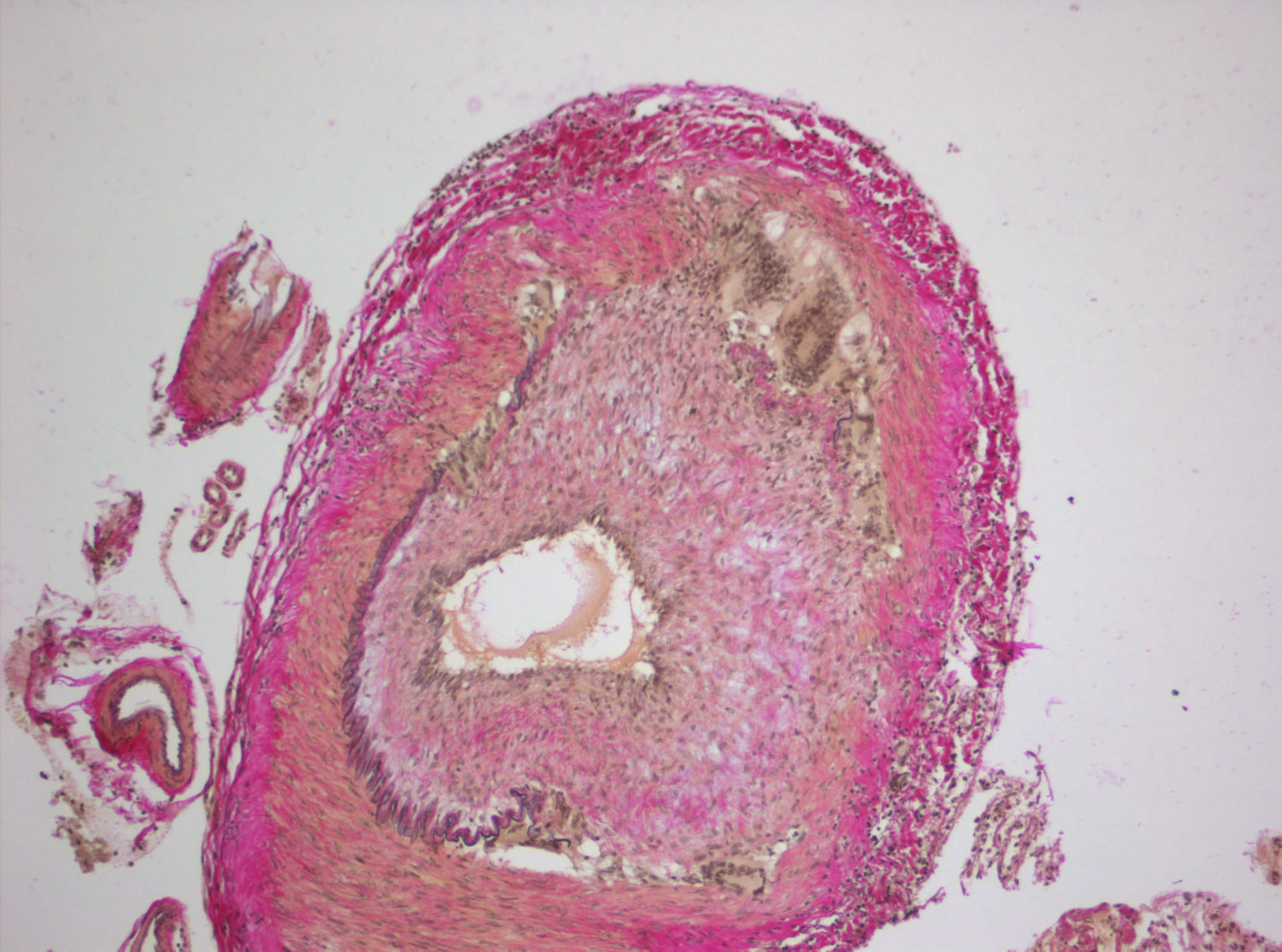
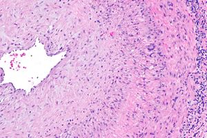
측두 동맥염을 진단하는 가장 확실한 방법(표준 진단법)은 측두동맥 생검이다.[22] 이는 국소 마취 하에 혈관의 작은 부분을 떼어내어 조직에 침투한 거대 세포가 있는지 현미경으로 검사하는 과정이다.
하지만 혈관 침범이 불규칙하게 나타나기 때문에, 병변이 없는 부위에서 조직을 채취하면 검사 결과가 음성으로 나올 수 있다(위음성). 따라서 생검 결과가 음성이라고 해서 거세포성동맥염이 아니라고 단정할 수는 없다. 일반적으로 1.5cm에서 3cm 길이의 조직을 한쪽에서 채취하며, 이 경우 진단 민감도는 85~90% 정도이다. 최소 1cm 이상의 길이가 필요하다.[23]
생검 조직에서는 혈관 중간층의 육아종성 염증, 내막 증식, 탄성판 파편화, 그리고 CD4 양성 T세포 침윤 등이 특징적으로 관찰된다. 이러한 병리학적 소견은 임상적 진단이나 다른 진단 기준들을 확증하는 데 중요한 역할을 한다.[11]
4. 5. 분류 기준 (미국 류마티스 학회, 1990)
미국 류마티스 학회 (ACR)는 1990년에 다음과 같은 분류 기준을 제시했다.- 발병 연령 50세 이상: 임상 증상이 50세 이후에 나타나는 경우.
- 두통: 새로 발생하며, 머리 특정 부위에 국한된 통증. 편두통 등 다른 원인의 두통과는 구별되는 특징을 가진다.
- 측두 동맥 이상: 측두 동맥을 눌렀을 때 통증이 있거나, 맥박이 약하게 느껴지는 경우.
- 적혈구 침강 속도 항진: 적혈구 침강 속도(ESR) 50mm/hr 이상으로 증가한 경우.
- 동맥 생검 이상 소견: 동맥 조직 검사에서 단핵구 세포 침윤이나 다형 핵 거대 세포를 포함하는 육아종성 병변이 관찰되는 경우.
위 5가지 항목 중 3가지 이상을 만족하면 거세포성동맥염(특히 측두 동맥염)으로 진단할 수 있다.
5. 치료
거세포성동맥염은 돌이킬 수 없는 시력 상실의 가능성 때문에 응급 질환으로 간주된다.[15] 따라서 진단이 의심되는 즉시 안동맥 폐쇄로 인한 영구적인 실명을 예방하기 위해 치료를 시작해야 한다.
주된 치료법으로 코르티코스테로이드가 사용되며, 진단 확정 전이라도 투여를 시작하는 것이 중요하다.[27] 또한, 토실리주맙 주사[35]나 소량의 아스피린[34] 사용도 고려될 수 있으나, 아스피린의 경우 그 유익성이 명확히 입증되지는 않았다.[34] 치료의 핵심 목표는 영구적인 시력 손실을 막는 데 있다.
5. 1. 코르티코스테로이드
거대 세포 동맥염은 돌이킬 수 없는 시력 상실을 유발할 수 있어 응급 질환으로 간주된다.[15] 치료의 핵심은 코르티코스테로이드이며, 일반적으로 고용량의 프레드니손(1mg/kg/일)을 사용한다. 진단이 의심되는 즉시, 조직 검사로 확진되기 전이라도 안동맥 폐쇄로 인한 영구적인 실명을 예방하기 위해 투여를 시작해야 한다. 스테로이드를 투여해도 나중에 조직 검사를 통한 진단 확정이 가능하다. 치료 첫 주말에는 조직 검사에서 특정 변화가 관찰될 수 있으나, 몇 달 후에는 변화를 식별하기 어려워질 수 있다.[27] 코르티코스테로이드 용량은 보통 12~18개월에 걸쳐 서서히 줄여나간다.[28]경구 스테로이드는 정맥 주사 스테로이드만큼 효과적이지만,[29] 급성 시력 상실 치료에는 정맥 주사 스테로이드가 경구 스테로이드보다 더 유리한 것으로 보인다.[30]
프레드니손의 단기 부작용으로는 기분 변화, 무혈관 괴사, 감염 위험 증가 등이 있을 수 있다.[31] 장기간 사용 시에는 체중 증가, 당뇨병, 골다공증, 무혈관 괴사, 녹내장, 백내장, 심혈관 질환 및 감염 위험 증가와 같은 부작용이 나타날 수 있다.[32][33]
소량의 아스피린을 추가하는 것이 도움이 되는지는 아직 명확히 밝혀지지 않았다.[34] 토실리주맙 주사도 치료에 사용될 수 있다.[35] 토실리주맙은 거대 세포 동맥염의 진행에 관여하는 주요 사이토카인인 인터루킨-6 수용체를 표적으로 하는 인간화 항체이다.[36] 토실리주맙은 단독으로 사용하거나 코르티코스테로이드와 함께 사용했을 때 거대 세포 동맥염의 재발과 악화를 줄이는 데 효과적인 것으로 나타났다.[36] 그러나 토실리주맙의 장기 사용 효과와 안전성에 대해서는 추가 연구가 필요하다.[36][37] 토실리주맙은 위장 천공 및 감염 위험을 높일 수 있지만, 이 위험이 코르티코스테로이드 사용보다 더 큰지는 명확하지 않다.[36][37]
스테로이드는 거대 세포 동맥염 치료에 효과적이다. 다만, 류마티스성 다발근통증의 경우 하루 15mg 정도의 소량 스테로이드로도 효과를 볼 수 있는 반면, 거대 세포 동맥염(측두동맥염) 치료에는 프레드니솔론 기준 하루 40~60mg의 고용량을 사용한다.
5. 2. 토실리주맙
토실리주맙 주사도 거세포성동맥염 치료에 사용될 수 있다.[35] 토실리주맙은 거세포성동맥염의 진행에 관련된 주요 사이토카인인 인터루킨-6 수용체를 표적으로 하는 인간화된 항체이다.[36] 이 약물은 단독으로 사용하거나 코르티코스테로이드와 함께 사용했을 때 거세포성동맥염의 재발과 악화를 최소화하는 데 효과적인 것으로 나타났다.[36] 그러나 토실리주맙의 장기 사용 효과와 안전성에 대해서는 추가적인 연구가 필요하다.[36][37] 토실리주맙은 위장 천공 및 감염의 위험을 증가시킬 수 있지만, 이러한 위험이 코르티코스테로이드 사용 시보다 반드시 더 높다고 보기는 어렵다.[36][37]5. 3. 아스피린
소량의 아스피린을 추가하는 것이 유익한지 여부는 연구되지 않아 불분명하다.[34]6. 역학
거대 세포 동맥염은 일반적으로 50세 이상, 특히 70대에 발병한다.[28] 50세 이상 인구 1만 5천 명당 1명꼴로 발병한다.[4] 여성에게서 남성보다 2:1의 비율로 더 흔하게 나타나며,[5] 북유럽 출신과 적도에서 멀리 떨어진 지역에 거주하는 사람들에게서 더 흔하게 발생한다.[7]
7. 질병의 영향
거세포성동맥염과 그 치료는 여러 방식으로 환자의 삶에 영향을 미친다. 질병 자체의 증상뿐만 아니라, 치료에 사용되는 글루코코르티코이드(GCs)의 부작용, 그리고 일상생활의 제약 등이 복합적으로 작용한다.[38] 과거 거대 세포 동맥염 환자들은 '양쪽 눈의 영구적인 시력 상실', '심하거나 극심한 통증', 그리고 '무기력감, 피로감 또는 기진맥진함'과 같은 문제들을 삶의 질에 큰 영향을 미치는 중요한 요소로 꼽았다.[39]
SF36과 같이 일반적으로 사용되는 질병 영향 측정 도구들은 시력 상실이나 전신 합병증과 같이 거대 세포 동맥염의 특징적인 측면들을 제대로 반영하지 못하는 한계가 있을 수 있다.[40] 이에 따라, 류마티스학 결과 측정(OMERACT)의 대혈관 혈관염 실무 그룹은 거대 세포 동맥염에 특화된 환자 보고 결과(Patient-reported outcome, PROM) 측정 도구의 필요성을 제기했다.[41]
최근에는 거대 세포 동맥염 환자의 건강 관련 삶의 질을 측정하기 위한 새로운 질병 특이적 도구들이 개발되었다.[42][43] 그중 하나인 GCA-PRO는 횡단면 연구를 통해 높은 타당성과 신뢰성을 입증했으며, 환자들을 다양한 하위 그룹으로 구별하는 데 유용함을 보였다. 이 도구는 향후 임상 시험이나 실제 진료 현장에서 질병과 치료가 환자에게 미치는 영향을 파악하는 데 도움을 줄 것으로 기대된다.[43]
참조
[1]
서적
Ferri's Differential Diagnosis E-Book: A Practical Guide to the Differential Diagnosis of Symptoms, Signs, and Clinical Disorders
https://books.google[...]
Elsevier Health Sciences
2010
[2]
논문
2012 revised International Chapel Hill Consensus Conference Nomenclature of Vasculitides
2013-01
[3]
웹사이트
Giant Cell Arteritis
https://www.niams.ni[...]
2017-04-13
[4]
웹사이트
Orphanet: Giant cell arteritis
http://www.orpha.net[...]
[5]
논문
Clinical practice. Giant-cell arteritis and polymyalgia rheumatica
2014-07
[6]
웹사이트
Giant Cell Arteritis
https://www.niams.ni[...]
2017-04-13
[7]
서적
Comprehensive Clinical Nephrology E-Book
https://books.google[...]
Elsevier Health Sciences
2014
[8]
서적
The Heart in Rheumatic, Autoimmune and Inflammatory Diseases: Pathophysiology, Clinical Aspects and Therapeutic Approaches
https://books.google[...]
Academic Press
2017
[9]
논문
Suspected giant cell arteritis: a study of referrals for temporal artery biopsy
2008-08
[10]
논문
Acute bilateral tongue necrosis--a case report
2008-12
[11]
논문
A 78-year-old woman with bilateral tongue necrosis
2011-01
[12]
논문
Giant cell arteritis presenting as limb claudication. Report and review of the literature
https://pubmed.ncbi.[...]
1991-03
[13]
웹사이트
Polymyalgia rheumatica and giant cell (temporal) arteritis
http://www.uptodate.[...]
Wolters Kluwer
[14]
웹사이트
Ocular Manifestations of GCA
http://webeye.ophth.[...]
University of Iowa Health Care
2003-04-03
[15]
논문
Giant cell arteritis or tension-type headache?: A differential diagnostic dilemma
2014-10
[16]
웹사이트
UpToDate
https://www.uptodate[...]
2019-11-25
[17]
논문
Prevalence and distribution of VZV in temporal arteries of patients with giant cell arteritis
2015-05
[18]
웹사이트
Giant cell arteritis
https://bestpractice[...]
2019-11-25
[19]
논문
Is Routine Imaging of the Aorta Warranted in Patients With Giant Cell Arteritis?
2017-09
[20]
논문
Clinical practice. Giant-cell arteritis and polymyalgia rheumatica
2014-07
[21]
웹사이트
Giant Cell Arteritis
https://www.lecturio[...]
2020-11-26
[22]
논문
Operative technique: Superficial temporal artery biopsy
2017-06
[23]
논문
Importance of specimen length during temporal artery biopsy
2011-11
[24]
논문
Diagnostic value of high-resolution MR imaging in giant cell arteritis
2007-10
[25]
논문
Diagnostic Accuracy of Symptoms, Physical Signs, and Laboratory Tests for Giant Cell Arteritis: A Systematic Review and Meta-analysis
2020-10
[26]
웹사이트
Symptomatix Home
https://www.symptoma[...]
[27]
논문
Histological parameters helpful in recognising steroid-treated temporal arteritis: an analysis of 35 cases
2007-02
[28]
논문
British Society for Rheumatology guideline on diagnosis and treatment of giant cell arteritis
2020-03
[29]
웹사이트
BestBets: Steroids and Temporal Arteritis
http://www.bestbets.[...]
[30]
논문
Steroid management in giant cell arteritis
2001-09
[31]
논문
Side effects of short-term oral corticosteroids
2008-03
[32]
논문
Infection Risk and Safety of Corticosteroid Use
2016-02
[33]
논문
Long-term side effects of glucocorticoids
2016-04-02
[34]
논문
Aspirin as adjunctive treatment for giant cell arteritis
2014-08
[35]
웹사이트
Press Announcements - FDA approves first drug to specifically treat giant cell arteritis
https://www.fda.gov/[...]
2018-02-10
[36]
논문
Tocilizumab in Giant Cell Arteritis
2018
[37]
논문
Giant cell arteritis: An updated review of an old disease
2019-07
[38]
논문
What is the impact of giant cell arteritis on patients' lives? A UK qualitative study
2017-08
[39]
논문
Domains of health-related quality of life important to patients with giant cell arteritis
2003-12
[40]
논문
Quality of life of patients treated for giant cell arteritis: a case-control study
2017-09
[41]
논문
Update on Outcome Measure Development for Large Vessel Vasculitis: Report from OMERACT 12
2015-12
[42]
논문
Patient perceptions of health-related quality of life in giant cell arteritis: international development of a disease-specific patient-reported outcome measure
2021-10
[43]
논문
Validation of a patient-reported outcome measure for giant cell arteritis
2024-01
[44]
논문
'[18F]FDG-PET of giant-cell aortitis'
2005-05
[45]
서적
Andrews' Diseases of the Skin: clinical Dermatology
Saunders Elsevier
[46]
DorlandsDict
giant cell arteritis
one/000008441
[47]
간행물
「CHCC2012」の概要と改訂のポイント
http://www.anca-aav.[...]
2016-01
[48]
논문
Does this patient have temporal arteritis?
2002-01-01
[49]
논문
Polymyalgia Rheumatica and Giant Cell Arteritis: A Systematic Review
2016
[50]
웹인용
Orphanet: Giant cell arteritis
http://www.orpha.net[...]
2017-09-14
[51]
저널 인용
Giant-Cell Arteritis and Polymyalgia Rheumatica
[52]
저널 인용
Suspected giant cell arteritis: a study of referrals for temporal artery biopsy
[53]
저널 인용
Acute bilateral tongue necrosis - a case report
[54]
저널 인용
A 78-year-old woman with bilateral tongue necrosis
[55]
웹인용
Polymyalgia rheumatica and giant cell (temporal) arteritis
http://www.uptodate.[...]
Wolters Kluwer
2015-09-23
본 사이트는 AI가 위키백과와 뉴스 기사,정부 간행물,학술 논문등을 바탕으로 정보를 가공하여 제공하는 백과사전형 서비스입니다.
모든 문서는 AI에 의해 자동 생성되며, CC BY-SA 4.0 라이선스에 따라 이용할 수 있습니다.
하지만, 위키백과나 뉴스 기사 자체에 오류, 부정확한 정보, 또는 가짜 뉴스가 포함될 수 있으며, AI는 이러한 내용을 완벽하게 걸러내지 못할 수 있습니다.
따라서 제공되는 정보에 일부 오류나 편향이 있을 수 있으므로, 중요한 정보는 반드시 다른 출처를 통해 교차 검증하시기 바랍니다.
문의하기 : help@durumis.com
