죽상경화증
"오늘의AI위키"의 AI를 통해 더욱 풍부하고 폭넓은 지식 경험을 누리세요.
1. 개요
죽상경화증은 동맥벽에 지방, 콜레스테롤 및 기타 물질이 쌓여 혈관이 좁아지고 혈류가 감소하는 질환이다. 주된 원인 및 위험 요인으로는 서구식 식단, 흡연, 고혈압, 고지혈증, 당뇨병 등이 있으며, 고령, 가족력 등 수정 불가능한 요인도 존재한다. 죽상경화증은 수십 년 동안 증상이 없을 수 있으며, 심근 경색, 뇌졸중과 같은 심각한 심혈관 질환으로 이어질 수 있다. 진단은 혈관조영술, CT 스캔, 혈액 검사 등을 통해 이루어지며, 병태 생리는 동맥 내피 손상, 염증 반응, 플라크 형성 과정을 포함한다. 예방을 위해서는 건강한 식단, 운동, 금연이 중요하며, 치료에는 콜레스테롤 저하제, 항혈전제, 수술적 치료 등이 사용된다. 최근에는 HDL 조절, 면역 체계 조절, 마이크로RNA, 미생물군집, 혈관 평활근 세포 연구 등 다양한 분야에서 죽상경화증 치료 및 예방을 위한 연구가 진행되고 있다.
더 읽어볼만한 페이지
- 동맥, 세동맥 및 모세혈관 질환 - 색전증
색전증은 혈관을 막는 색전이 혈류를 따라 이동하여 발생하는 질환으로, 혈전, 지방, 종양 등 다양한 원인에 의해 발생하며, 동맥 또는 정맥에서 혈류 차단으로 인한 장기 부전을 유발한다. - 동맥, 세동맥 및 모세혈관 질환 - 죽종
죽종은 동맥벽에 지방, 콜레스테롤 등이 쌓여 생기는 병변으로, 심혈관 질환의 주요 원인이 되며, 진단은 초음파, CT 스캔 등으로 하고, 치료는 생활 습관 개선, 약물 치료 등으로 한다. - 원인 불명의 질병 - 파킨슨병
파킨슨병은 뇌의 흑질에서 도파민을 생성하는 신경세포 손실로 발생하는 신경퇴행성 질환으로, 진전, 서동증, 근육 강직, 자세 불안정과 같은 운동 증상과 신경정신 증상, 인지 장애, 자율신경계 장애와 같은 비운동 증상이 나타나며, 증상 관리를 위한 약물 치료, 심부 뇌 자극술, 재활 치료 등이 시행된다. - 원인 불명의 질병 - 섬유근육통
섬유근육통은 중추신경계의 통증 신호 처리 이상으로 발생하는 만성 전신 통증 질환으로, 만성적인 전신 통증, 피로, 수면 장애가 주요 증상이며, 삶의 질 저하를 초래한다. - 염증 - 신장염
신장염은 콩팥에 발생한 염증으로, 자가면역질환, 요로감염, 루푸스, 격렬한 운동 등이 원인이 되어 혈뇨, 핍뇨, 요독증, 고혈압 등의 증상을 유발하며, 혈액 검사, X레이, 초음파 등으로 진단하고 원인에 따라 치료한다. - 염증 - 신우신염
신우신염은 신장의 신우와 신실질에 발생하는 감염으로, 급성(고열, 배뇨통, 옆구리 통증)과 만성(지속적인 옆구리 통증, 체중 감소)으로 나뉘며, 대장균과 장구균이 주요 원인균이고, 항생제로 치료하며, 요로의 구조적 이상, 당뇨병, 면역 저하 등이 위험 요인이다.
| 죽상경화증 | |
|---|---|
| 질병 개요 | |
| 이름 | 죽상경화증 |
| 동의어 | 동맥경화성 혈관 질환 (ASVD) |
| 분야 | 심장학, 혈관학 |
| 증상 | 없음 |
| 합병증 | 관상동맥질환, 뇌졸중, 말초동맥질환, 콩팥병 |
| 발병 시기 | 청년기 (나이가 들면서 악화됨) |
| 지속 기간 | 불명 |
| 원인 | 포화 지방 축적, 흡연, 고혈압, 당뇨병 |
| 위험 요인 | 고혈압, 당뇨, 흡연, 비만, 가족력, 건강하지 않은 식단 (특히 트랜스 지방), 만성 비타민 C 결핍 |
| 진단 | 불명 |
| 감별 진단 | 불명 |
| 예방 | 건강한 식단, 운동, 금연, 표준 체중 유지 |
| 치료 | 불명 |
| 약물 | 스타틴, 항고혈압제, 아스피린 |
| 예후 | 불명 |
| 빈도 | ≈100% (65세 이상) |
| 사망 | 불명 |
| 병태생리 | |
![]() | |
| 추가 정보 | |
| 관련 질병 | 동맥경화증 |
2. 원인 및 위험 요인

죽상경화증은 혈관 벽의 내피 세포에 저밀도 지단백질 (LDL) 입자가 쌓이면서 발생하는 염증 과정과 관련이 있다.[29][30] 이러한 LDL 입자의 축적은 염증 반응을 유발하거나, 염증 반응의 결과로 나타날 수 있다.[31]
플라크가 쌓이면 혈관의 근육 세포가 늘어나 혈관 내막이 두꺼워진다. 이는 플라크와 혈관 내강 사이의 간격을 넓혀 혈관이 좁아지는 것을 어느 정도 막아주지만, 혈관 벽을 뻣뻣하게 만들고 심장 박동에 대한 유연성을 떨어뜨린다.[32]
2. 1. 수정 가능한 위험 요인
죽상경화 과정은 아직 완전히 밝혀지지 않았지만, 혈관 벽의 내피 세포에 쌓이는 저밀도 지단백질 (LDL) 입자와 관련된 염증 과정과 관련이 있는 것으로 알려져 있다.[29][30] 이러한 LDL 입자의 축적은 염증 반응을 일으키거나, 염증 반응의 결과로 나타날 수 있다.[31]
플라크가 쌓이면 혈관의 근육 세포가 늘어나면서 혈관 내막이 두꺼워진다. 이로 인해 플라크와 혈관 내강 사이의 간격이 넓어지는데, 이는 플라크로 인한 혈관 좁아짐을 어느 정도 상쇄하는 효과가 있다. 하지만, 혈관 벽을 뻣뻣하게 만들고 심장 박동에 대한 유연성을 떨어뜨린다.[32]
죽상경화증의 수정 가능한 위험 요인은 다음과 같다.
| 위험 요인 |
|---|
| 서구식 식단[33] |
| 복부 비만[33] |
| 인슐린 저항성[33] |
| 당뇨병[33] |
| 이상지질혈증[33] |
| 고혈압[33] |
| 트랜스 지방[33] |
| 흡연[33] |
| 세균 감염[34] |
| HIV/AIDS[35] |
| 혈전성향[40][41][42] |
| 포화 지방[33][43] |
| 과도한 탄수화물[33][44] |
| 상승된 트리글리세라이드[33] |
| 전신 염증[45] |
| 고인슐린혈증[46] |
| 수면 부족[47] |
| 대기 오염[48][49] |
| 비활동적인 생활 방식[33] |
| 비소 중독[50] |
| 알코올[33] |
| 만성 스트레스[33] |
| 갑상선 기능 저하증[51] |
| 치주 질환[52] |
식이 지방과 죽상경화증의 연관성은 논란의 여지가 있다. 미국 농무부(USDA)는 음식 가이드 피라미드를 통해 총 칼로리의 약 64%를 탄수화물로 섭취할 것을 권장한다. 미국 심장 협회, 미국 당뇨병 협회, 국립 콜레스테롤 교육 프로그램 등도 비슷한 권고를 하고 있다. 반면, 월터 윌렛 교수(하버드 공중 보건 대학원, 간호사 건강 연구의 주요 연구자)는 지방, 특히 단일 불포화 지방과 다중 불포화 지방 섭취를 더 많이 할 것을 권장한다.[53] 다만, 트랜스 지방 섭취는 피해야 한다는 점에서는 의견이 일치한다.
산화된 지방, 즉 산패된 지방의 섭취가 인체에 미치는 영향은 아직 명확하지 않다. 산패된 지방을 먹인 토끼는 죽상경화증이 더 빨리 진행되었고,[54] 도코사헥사엔산(DHA) 함유 오일을 먹인 쥐는 항산화제 시스템에 심각한 장애가 발생하고 혈액, 간, 신장에 상당량의 인지질 과산화물이 축적되었다.[55] 여러 종류의 오일을 함유한 죽상성 식단을 먹인 토끼의 경우, 저밀도 지단백질(LDL)이 다중 불포화 오일을 통해 가장 높은 산화 민감성을 보였다.[56] 또 다른 연구에서는 가열된 콩기름을 먹인 토끼에게서 "육안으로 확인 가능한 죽상경화증이 유발되었고, 조직학적 및 임상적으로 현저한 간 손상이 나타났다"고 보고했다.[57] 그러나 프레드 쿠머로우는 죽상경화증의 원인이 식이성 콜레스테롤이 아니라 튀긴 음식과 흡연으로 인한 옥시스테롤(산화된 콜레스테롤)이라고 주장한다.[58]
산패된 지방과 오일은 소량만 섭취해도 불쾌한 맛이 나기 때문에 사람들이 섭취를 피하는 경향이 있다.[59] 따라서 이러한 물질의 실제 섭취량을 측정하거나 추정하기는 매우 어렵다.[60] 생선 기름처럼 불포화 오메가-3 지방산이 풍부한 오일은 알약 형태로 판매될 때 산화되거나 산패된 지방의 맛을 감출 수 있다. 미국의 건강 식품 산업에서 식이 보충제는 자체 규제를 받으며, 미국 식품의약국(FDA)의 규제 대상이 아니다.[61] 불포화 지방의 산화를 막으려면 서늘하고 산소가 없는 환경에 보관하는 것이 가장 좋다.[62]
2. 2. 수정 불가능한 위험 요인
죽상경화 과정은 아직 잘 알려져 있지 않다. 죽상경화증은 혈관벽의 내피 세포에서 유지된 저밀도 지단백질 (LDL) 입자와 관련된 염증 과정과 관련이 있다.[29][30]
다음은 수정 불가능한 위험 요인이다.
3. 증상
죽상경화증은 수십 년 동안 증상이 없을 수 있다. 대부분의 경우 환자는 뇌졸중이나 심근 경색과 같은 다른 심혈관 질환을 경험할 때만 자신이 질병을 앓고 있다는 것을 깨닫는다. 이러한 증상은 영향을 받는 동맥이나 장기에 따라 다양하다.[22] 뇌동맥의 죽상경화증과 뇌졸중은 남녀 모두에게 동등하게 영향을 미친다.[24]
3. 1. 관상동맥 죽상경화증
죽상경화증은 일반적으로 수십 년 동안 무증상으로 진행되는데, 이는 동맥이 모든 플라크 위치에서 확장되어 혈류에 영향을 미치지 않기 때문이다.[20] 대부분의 플라크 파열조차도 충분한 동맥 협착 또는 혈전으로 인한 폐쇄가 발생할 때까지 증상을 나타내지 않는다. 징후와 증상은 심각한 협착 또는 폐쇄로 인해 다양한 장기로의 혈류가 방해를 받아 증상을 유발할 때만 발생한다.[21]심장에 산소를 공급하는 관상 동맥의 협착은 협심증의 흉통, 숨가쁨, 발한, 메스꺼움, 어지러움 또는 현기증, 호흡 곤란 또는 심계항진과 같은 증상을 유발할 수 있다.[22] 너무 느리거나 너무 빠르게 뛰는 부정맥은 또 다른 허혈의 결과이다.[25] 관상 동맥 질환은 여성보다 남성에게 더 흔하다.[24]
초기 죽상경화 과정은 어린 시절에 시작될 수 있다. 어린이의 관상 동맥에서 섬유성 및 젤라틴성 병변이 관찰되었고,[23] 청소년의 관상 동맥에서 지방 줄무늬가 관찰되었다.[23]
2004년 미국 데이터에 따르면, 남성의 약 66%, 여성의 약 47%에서 죽상경화성 심혈관 질환의 첫 번째 증상은 심근 경색 또는 급성 심장사(증상 발생 후 한 시간 이내에 사망하는 것으로 정의됨)였다.[27]
사례 연구에는 제2차 세계 대전과 한국 전쟁에서 사망한 미군 병사들의 부검이 포함되었다. 많이 인용된 보고서에는 한국에서 사망한 미군 병사 300명의 부검이 포함되었는데, 남성의 평균 연령은 22.1세였지만 77.3%가 "관상 동맥 경화증의 육안적 증거"를 보였다.[28]
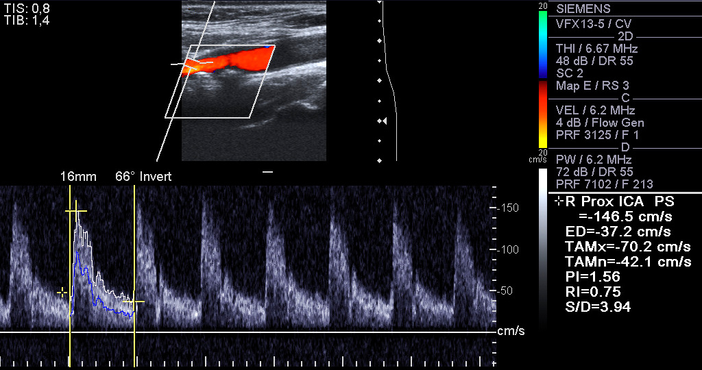
3. 2. 경동맥 죽상경화증
총경동맥은 뇌와 목에 혈액을 공급한다.[25] 경동맥이 심하게 좁아지면 쇠약감, 사고 능력 저하, 말하기 어려움, 어지러움, 걷거나 똑바로 서기 어려움, 흐릿한 시야, 얼굴, 팔, 다리의 무감각, 심한 두통, 의식 상실과 같은 증상이 나타날 수 있다. 이러한 증상은 뇌졸중(뇌세포의 죽음)과 관련이 있다. 뇌졸중은 뇌로 가는 동맥이 심하게 좁아지거나 막혀서 발생하며, 적절한 혈액 공급이 부족하면 영향을 받는 조직의 세포가 죽게 된다.[26]3. 3. 말초동맥 죽상경화증
뇌와 목에 혈액을 공급하는 총 경동맥의 심한 협착은 쇠약감, 사고 능력 저하, 말하기 어려움, 어지러움, 걷거나 똑바로 서기 어려움, 흐릿한 시야, 얼굴, 팔, 다리의 무감각, 심한 두통, 의식 상실과 같은 증상으로 나타날 수 있다. 이러한 증상은 뇌졸중(뇌세포의 죽음)과 관련이 있다. 뇌졸중은 뇌로 가는 동맥의 심한 협착 또는 폐쇄로 인해 발생하며, 적절한 혈액 공급 부족은 영향을 받는 조직의 세포를 죽게 한다.[25][26]말초 혈관은 다리, 팔, 골반에 혈액을 공급하며, 플라크 파열 및 혈전으로 인해 심한 협착을 경험한다. 협착의 증상은 팔 또는 다리 내의 통증과 무감각이다. 플라크 형성이 일어나는 또 다른 중요한 위치는 신장에 혈액을 공급하는 신동맥이다. 플라크 발생 및 축적은 신장 혈류 감소 및 만성 신장 질환으로 이어지며, 다른 모든 부위와 마찬가지로 일반적으로 후기 단계까지 무증상이다.[22]
3. 4. 신동맥 죽상경화증
신동맥에 죽상경화증이 발생하면 신장으로 가는 혈류가 감소하고 만성 신장 질환을 유발할 수 있다. 하지만, 이는 일반적으로 질환 후기까지 증상이 나타나지 않는다.[22]4. 진단
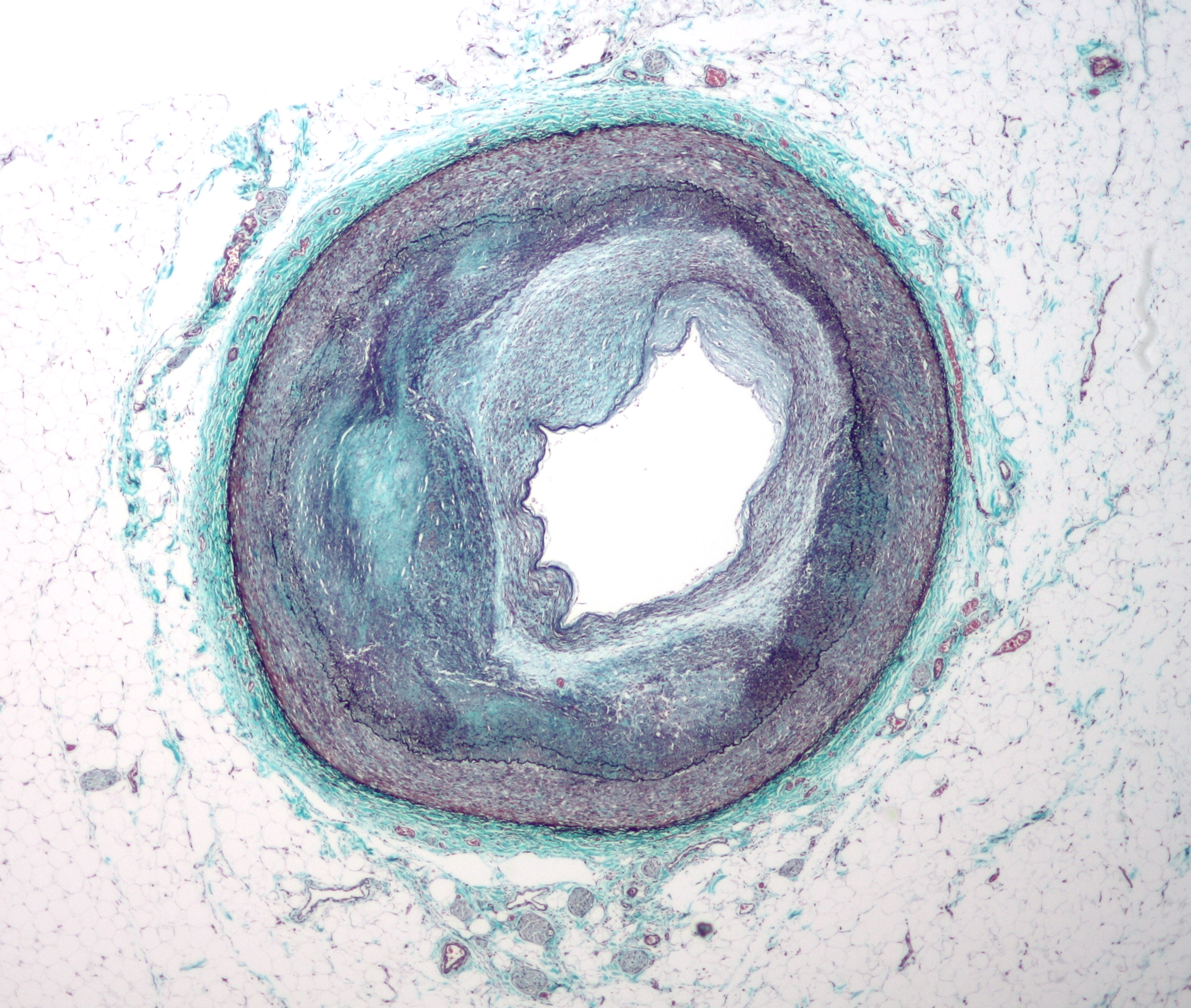
동맥은 일반적으로 현미경으로 연구되지는 않지만, 다음 두 가지 플라크 유형을 구별할 수 있다.[70]
- 섬유지질 플라크는 동맥의 내막 아래에 지질이 풍부한 세포가 축적되는 특징이 있다. 일반적으로 동맥벽의 경계 근육층이 보상적으로 확대되어 내강이 좁아지지는 않는다. 내피 아래에는 플라크의 죽상"핵"을 덮는 "섬유 캡"이 있다. 핵은 지질이 풍부한 세포(대식세포 및 평활근 세포)로 구성되어 있으며 조직 콜레스테롤과 콜레스테롤 에스터 함량, 피브린, 프로테오글리칸, 콜라겐, 엘라스틴, 세포 잔해가 증가한다. 진행된 플라크에서는 플라크의 중앙 핵에 일반적으로 세포 외 콜레스테롤 침착물(사멸한 세포에서 방출됨)이 포함되어 빈 바늘 모양의 틈이 있는 콜레스테롤 결정 영역이 형성된다. 플라크의 주변에는 더 젊은 "거품" 세포와 모세 혈관이 있다. 이러한 플라크는 파열될 때 일반적으로 개체에게 가장 큰 피해를 준다. 콜레스테롤 결정도 역할을 할 수 있다.[71]
- 섬유 플라크는 내막 아래, 동맥벽 내에 국한되어 벽의 비후 및 확장을 유발하며, 때로는 근육층의 위축과 함께 국소적인 내강 협착을 유발한다. 섬유 플라크에는 콜라겐 섬유(호산성), 칼슘 침전물(헤마톡실린성), 드물게 지질이 풍부한 세포가 포함되어 있다.

동맥벽의 근육 부분은 존재하는 죽상종을 담을 수 있을 정도로 충분히 큰 작은 동맥류를 형성한다. 동맥벽의 근육 부분은 죽상 플라크를 보상하기 위해 재형성된 후에도 일반적으로 강하게 유지된다.
그러나 혈관벽 내의 죽상종은 부드럽고 탄성이 거의 없어 부서지기 쉽다. 동맥은 각 심장 박동, 즉 맥박에 따라 끊임없이 팽창하고 수축한다. 또한, 죽상종의 외부 부분과 근육벽 사이에 진행되면서 칼슘 침착이 발생하면 전체 동맥의 탄성이 손실되고 뻣뻣해진다.
칼슘 침착물은[72] 충분히 진행된 후에는 관상 동맥 컴퓨터 단층 촬영 또는 전자빔 단층 촬영(EBT)에서 동맥벽 내의 죽상 플라크의 바깥쪽 가장자리를 둘러싼 후광을 형성하는 방사선 밀도가 증가된 고리 형태로 부분적으로 볼 수 있다. CT에서 하운스필드 단위에서 >130단위(일부에서는 90단위라고 주장)는 일반적으로 동맥 내 조직 석회화를 명확하게 나타내는 것으로 받아들여지는 방사선 밀도이다. 이러한 침착물은 혈관 내강이 혈관 조영술로도 종종 정상임에도 불구하고 비교적 진행된 질병의 명확한 증거를 보여준다.
협착증은 혈관조영술로, 덜 심한 경우에는 "부하 검사"로 감지할 수 있으며 오랫동안 일반적인 심혈관 질환 진단 기술의 초점이 되어 왔다. 그러나 이러한 방법은 근본적인 죽상경화증 질환이 아닌, 심한 협착만을 감지하는 데 초점을 맞춘다.[80] 임상 연구에서 나타났듯이, 가장 심각한 사건은 플라크가 심하게 쌓여 있지만, 쇠약해지는 사건이 갑자기 발생하기 전에는 내강 협착이 거의 또는 전혀 없는 위치에서 발생한다. 플라크 파열은 몇 초에서 몇 분 안에 동맥 내강 폐쇄로 이어질 수 있으며, 잠재적으로 영구적인 쇠약과 때로는 급사를 유발할 수 있다.
파열된 플라크는 복잡 병변이라고 불린다. 병변의 세포외 기질은 일반적으로 섬유 캡의 어깨에서 파괴되는데, 섬유 캡은 병변을 동맥 내강에서 분리하며, 여기서 플라크의 노출된 혈전 생성 성분, 주로 콜라겐이 혈전 형성을 유발한다. 그런 다음 혈전은 다른 혈관으로 이동하여 혈전이 혈류를 부분적으로 또는 완전히 막을 수 있다. 혈류가 완전히 막히면 괴사가 발생하여 근처 세포에 산소 공급이 부족하여 세포 사멸이 발생한다.[81] 혈류의 협착 또는 폐색은 신체의 모든 동맥에서 발생할 수 있다. 심장 근육에 혈액을 공급하는 동맥의 폐색은 심근 경색을 유발하고, 뇌에 혈액을 공급하는 동맥의 폐색은 허혈성 뇌졸중을 유발한다.

과거에는 75% 이상의 내강 협착증이 임상적으로 유의미한 질환의 특징으로 여겨졌는데, 그 이유는 협심증의 재발 에피소드와 부하 검사의 이상이 그러한 협착의 심각도에서만 감지될 수 있기 때문이다. 그러나 임상 시험 결과 임상적으로 쇠약하게 만드는 사건의 약 14%만이 75% 이상의 협착이 있는 부위에서 발생한다. 죽상 경화 플라크의 갑작스러운 파열과 관련된 대부분의 심혈관 사건은 어떠한 명백한 내강 협착도 나타내지 않는다. 따라서 1990년대 후반부터 "취약한 플라크"에 더 많은 관심이 쏠리고 있다.[82]
혈관조영술 및 부하 검사와 같은 전통적인 진단 방법 외에도, 죽상 경화성 질환을 더 일찍 감지하기 위해 지난 수십 년 동안 다른 감지 기술이 개발되었다. 일부 감지 방법에는 해부학적 감지 및 생리적 측정이 포함된다.
해부학적 감지 방법의 예로는 CT에 의한 관상 동맥 칼슘 점수, 초음파에 의한 경동맥 IMT(내막 중막 두께) 측정, 혈관내 초음파 (IVUS) 및 혈관내 광학 간섭 단층 촬영 (OCT)과 같은 혈관내 영상 기술이 있으며, 이를 통해 죽상 경화 플라크를 직접 시각화할 수 있다.[83][84]
다른 방법으로는 혈액 측정, 예를 들어 지단백질 아형 분석, HbA1c, hs-CRP 및 호모시스테인 등이 있다.
해부학적 및 생리적 방법 모두 증상이 나타나기 전에 조기 진단, 질병 단계 결정 및 질병 진행 추적이 가능하다.
최근 몇 년 동안 PET 및 SPECT와 같은 핵의학 영상 기술의 발전으로 죽상 경화 플라크의 심각성을 비침습적으로 추정할 수 있게 되었다.[80]
5. 병태 생리
죽상 발생은 죽상 반의 발달 과정이다. 이는 동맥의 재형성을 특징으로 하며, 반이라고 불리는 지방 물질이 내피 하 공간에 축적된다. 죽상 반의 형성은 동맥벽 내에서 그리고 여러 국소 혈관 순환 인자에 대한 반응으로 발생하는 복잡한 일련의 세포 사건을 통해 수년에 걸쳐 발달하는 느린 과정이다.[63] 이러한 병변의 대부분은 과도한 지방, 콜라겐 및 엘라스틴으로 구성된다. 처음에는 반이 커지면서 협착 없이 벽 두께만 증가한다. 협착은 후기 사건이며, 결코 발생하지 않을 수도 있으며, 단순히 죽상 경화 과정뿐만 아니라 반복적인 반 파열 및 치유 반응의 결과인 경우가 많다.[64]
초기 죽상경화증은 혈액 순환 단핵구(일종의 백혈구)가 혈관벽 내막인 내피에 부착된 후, 내피하 공간으로 이동하여 활성화되어 단핵구 유래 대식세포로 변환되는 특징을 보인다.[3][65] 이 과정의 주요 원동력은 내피 세포 아래 벽 내에 있는 산화된 지단백질 입자이다.
혈장 내 저밀도 지단백 (LDL) 입자는 내피를 침투하여 산화되어 심혈관 질환의 위험을 초래한다. 복잡한 일련의 생화학 반응이 LDL의 산화를 조절하며, 여기에는 효소(예: Lp-LpA2)와 내피 내 유리 라디칼이 관여한다.[66]
내피에 대한 초기 손상은 염증 반응을 일으킨다. 단핵구는 혈류에서 동맥 벽으로 들어가며, 혈소판은 손상 부위에 부착된다. 이는 산화 환원 신호가 유도하는 요인, 예를 들어 순환 단핵구를 모집하는 VCAM-1 및 단핵구의 대식세포 분화에 선택적으로 필요한 M-CSF에 의해 촉진될 수 있다. 단핵구는 대식세포로 분화되어 국소적으로 증식하며,[67] 산화된 LDL을 섭취하여 천천히 커다란 "거품 세포"로 변한다. 현미경으로 보면 병변은 지방 반점으로 나타난다. 거품 세포는 결국 죽고 염증 과정을 더 확산시킨다.
이러한 세포 활동 외에도 손상된 내피 세포에서 분비되는 사이토킨에 반응하여 평활근의 증식과 중막에서 내막으로의 이동이 발생한다. 이로 인해 지방 반점을 덮는 섬유성 캡슐이 형성된다.
석회화는 주변 근육층의 혈관 평활근 세포, 특히 죽상반 및 조직 표면과 죽상반에 인접한 근육 세포 사이에서 형성된다.[68] 시간이 지남에 따라 세포가 죽으면 근육 벽과 죽상반 바깥 부분 사이에 세포 외 칼슘 침착이 발생한다.
콜레스테롤은 콜레스테롤 함유 저밀도 지단백질 (LDL) 입자에 의해 혈관벽으로 전달된다. 대식세포를 유인하고 자극하려면 콜레스테롤이 LDL 입자에서 방출되어 산화되어야 하며, 이는 진행 중인 염증 과정의 핵심 단계이다. 조직에서 콜레스테롤을 제거하여 간으로 다시 운반하는 지단백질 입자인 고밀도 지단백질 (HDL)이 불충분하면 이 과정이 악화된다.[66]
거품 세포와 혈소판은 평활근 세포의 이동과 증식을 촉진하고, 이는 차례로 지질을 섭취하여 콜라겐으로 대체되고, 스스로 거품 세포로 변한다. 보호 섬유성 덮개는 일반적으로 지방 침착물과 동맥 내막(내피) 사이에 형성된다.
이러한 덮인 지방 침착물('죽상종')은 시간이 지남에 따라 동맥을 확장시키는 효소를 생성한다. 동맥이 죽상종의 추가 두께를 보상할 만큼 충분히 확장되는 한, 개구부("내강")의 협착("협착증")은 발생하지 않는다. 동맥은 달걀 모양의 단면으로 확장되며, 여전히 원형 개구부를 가지고 있다. 확장이 죽상종 두께에 비해 과도하면 동맥류가 생성된다.[69]
질병 과정은 수십 년에 걸쳐 서서히 진행되는 경향이 있지만, 일반적으로 죽종이 궤양이 될 때까지 증상이 나타나지 않으며, 이는 죽종 궤양 부위에서 즉각적인 혈액 응고를 유발한다. 이는 혈전 확대를 초래하는 일련의 사건들을 촉발하고, 이는 혈류를 빠르게 막을 수 있다. 완전한 막힘은 심근(심장)의 허혈과 손상을 초래한다. 이 과정이 바로 심근 경색 또는 "심장마비"이다.[73]
부드러운 죽종을 동맥 내 혈류로부터 분리하는 섬유 캡이 파열되면, 조직 파편이 노출되어 방출된다. 이 조직 파편은 콜라겐과 조직 인자를 포함하여 혈전을 촉진하며, 혈소판을 활성화하고 응고 시스템을 활성화한다. 그 결과 죽종 위에 혈전 (혈병)이 형성되어 혈류를 급성으로 막는다. 혈류가 막히면, 하류 조직은 산소와 영양분을 섭취하지 못하게 된다. 이것이 심근 (심장 근육)인 경우 협심증 (심장 흉통) 또는 심근 경색 (심장 마비)이 발생한다.
6. 예방
미국 농무부(USDA)는 음식 가이드 피라미드에서 총 칼로리의 약 64%를 탄수화물로 섭취하는 식단을 권장하며, 미국 심장 협회, 미국 당뇨병 협회, 국립 콜레스테롤 교육 프로그램도 유사한 권고안을 제시한다. 반면, 월터 윌렛 교수 (하버드 공중 보건 대학원)는 지방, 특히 단일 불포화 지방과 다중 불포화 지방의 섭취를 더 높게 권장한다.[53] 이러한 식단 권고안은 트랜스 지방 섭취를 반대한다는 점에서 합의점에 도달한다.
산화된 지방(산패된 지방)의 섭취가 인체에 미치는 역할은 불분명하지만, 산패된 지방을 먹인 토끼는 죽상경화증이 더 빠르게 진행되었다.[54] 그러나 프레드 쿠머로우는 죽상경화증의 원인이 식이성 콜레스테롤이 아니라 튀긴 음식과 흡연에서 비롯된 옥시스테롤, 즉 산화된 콜레스테롤이라고 주장한다.[58]
심혈관 질환의 최대 90%는 이미 확립된 위험 요인을 피하면 예방할 수 있다.[85][86] 죽상경화증 예방은 일반적으로 건강한 식단을 섭취하고, 운동하고, 흡연하지 않으며, 정상 체중을 유지하는 것으로 이루어진다.[10] 과일과 채소가 풍부한 식단은 심혈관 질환 및 사망의 위험을 감소시키며,[89] 지중해식 식단이 심혈관 결과 개선에 도움이 될 수 있다.[90]
통제된 운동 프로그램은 혈관의 순환과 기능을 개선하여 죽상경화증에 대항한다. 운동은 또한 비만 환자의 체중 관리, 혈압 감소, 콜레스테롤 감소에도 사용된다. 종종 생활 방식의 변화는 약물 치료와 결합된다. 예를 들어, 스타틴은 콜레스테롤을 낮추는 데 도움이 된다. 아스피린과 같은 항혈소판제는 혈전 예방에 도움이 되며, 다양한 고혈압 치료제가 혈압을 조절하는 데 일상적으로 사용된다.
7. 치료
죽상경화증 치료는 증상 완화에 초점을 맞추는 경우가 많지만, 근본적인 죽상경화증 자체를 줄이는 것이 더 효과적이다.[93] 비약물적 방법으로는 금연과 규칙적인 운동이 있으며,[94][95] 이러한 방법이 효과가 없을 경우 의약품을 사용한다. 의약품은 장기적으로 가장 효과적인 방법이다.[96]
여러 치료 전략을 결합하는 것이 더 효과적이며,[97] 특히 지단백 수송 행동과 관련된 접근 방식은 증상 발현 전후에 더 적극적인 복합 치료 전략을 매일 꾸준히 시행했을 때 더 나은 결과를 보였다.[93]
스타틴은 죽상경화증 치료에 널리 처방되는 약물이다. 고콜레스테롤혈증 환자의 심혈관 질환과 사망률을 감소시키는 데 효과적이며 부작용은 거의 없다.[98] 고강도 스타틴과 아스피린을 포함하는 2차 예방 치료법은 관상 동맥 질환, 허혈성 뇌졸중 또는 말초 동맥 질환의 재발을 예방하기 위해 죽상 경화성 심혈관 질환(ASCVD) 병력이 있는 모든 환자에게 권장된다.[99][100] 그러나 이러한 치료법의 처방과 준수는 젊은 환자와 여성에게서 부족하다.[101][102]
스타틴은 간에서 콜레스테롤 생성의 속도 제한 효소인 HMG-CoA 환원 효소를 억제하여 작용한다. 이를 통해 혈중 LDL 콜레스테롤 수치를 감소시키고, 신체가 다른 세포에서 콜레스테롤을 끌어오게 하여 혈청 HDL 콜레스테롤을 증가시킨다. 이러한 데이터는 주로 중년 남성을 대상으로 하며, 여성과 70세 이상에서는 결론이 불분명하다.[103]
기존 질환의 치료에는 스타틴, 혈압 강하제, 아스피린과 같은 약물이 포함될 수 있다.[11] 경피적 관상 동맥 중재술, 관상 동맥 우회술, 경동맥 내막 절제술과 같은 시술도 시행될 수 있다.[11]
죽상경화증이 심각하여 말초 동맥 질환처럼 조직 손실과 같은 되돌릴 수 없는 허혈을 유발한 경우, 혈관 우회술이나 혈관 성형술과 같은 수술이 필요할 수 있다. 관상 동맥 우회술은 체외 순환을 이용한 재개통술에 비해 수술 후 뇌졸중 및 사망률을 감소시키는 것으로 나타났다.[104]
와파린과 같은 일부 항응고제는 비타민 K 대사를 방해하여 혈전 형성을 억제하지만, 장기적으로는 동맥 석회화를 촉진할 수 있다는 증거가 있다.[105][106][107][108] 3-하이드록시벤즈알데히드 및 프로토카테츄알데히드와 같은 소분자는 혈관 보호 효과를 통해 죽상경화증 위험을 줄이는 것으로 나타났다.[109][110]
통제된 운동 프로그램은 혈관 순환과 기능을 개선하여 죽상경화증에 대항하며, 비만 환자의 체중 관리, 혈압 감소, 콜레스테롤 감소에도 사용된다.
8. 연구 동향
고밀도 지단백질(HDL)이 죽상경화증에 미치는 역할은 ApoA-1 밀라노라는 드문 인간 유전 변이체와 관련이 있다. 세균에서 합성된 인간 ApoA-1 밀라노 HDL을 사용한 소규모 임상 시험에서, 단 6주 만에 관상 동맥 플라크 부피가 상당히 감소했다. 이 연구는 2006년 초 ''JAMA''에 게재되었다. 1990년대부터 시작된 연구는 2008년경 인간 대상 임상 시험으로 이어질 수 있었다. 이 연구에서는 합성된 Apo-A1 밀라노 HDL을 직접 사용하거나, Apo-A1 밀라노 HDLipoprotein을 합성하는 유전자 전달 방법을 사용할 수 있다.
일부 동물 연구에서 HDL 입자 농도를 증가시켜 죽상경화반을 크게 역전시키고 제거하는 방법이 연구되고 있다. 그러나 HDL을 증가시키는 것이 항상 도움이 되는 것은 아니다. 예를 들어, 토르세트라피브는 HDL을 최대 60%까지 증가시키는 효과적인 약제였지만, 임상 시험에서 사망률도 60% 증가시켜 2006년 12월에 모든 연구가 중단되었다.[122]
대식세포의 작용은 죽상경화반의 진행을 유발한다. ''죽상경화증의 면역 조절''은 이러한 대식세포 작용을 억제하기 위해 면역 체계 기능을 조절하는 기술을 의미한다.[123]
지질 과산화 연쇄 반응이 동맥경화 발생에 관여함에 따라, 중수소 동위원소(중수소화 약물) 고도 불포화 지방산(D-PUFA)의 보호 역할에 대한 연구가 진행되었다. 유전자 변형 마우스 실험에서 D-PUFA를 식단에 추가하면 체중 증가가 감소하고, 콜레스테롤 처리가 개선되었으며, 대동맥의 죽상경화 손상이 감소했다.[125][126]
마이크로RNA(miRNA)는 mRNA 절단 또는 번역 기구 억제를 유발한다. 질병이 있는 혈관에서 miRNA는 조절 장애를 겪고 과도하게 발현된다. miR-33은 지질 대사, 인슐린 신호 전달 경로, 혈당 조절, 세포 유형 진행 및 증식, 골수세포 분화 등 죽상경화증에 관여한다. miR-33 억제는 HDL-C 수치를 높이고, miR-33 발현은 죽상경화성 플라크를 가진 인간에게서 감소한다.[128][129][130] miR-33a/b는 콜레스테롤 수송에 관련된 유전자의 발현을 조절하여 콜레스테롤/지질 항상성에 영향을 미친다. miR-33 기능 강화는 세포 콜레스테롤 유출을 감소시키고, 억제는 세포 콜레스테롤 감소 및 혈장 HDL 수치 증가로 이어진다.[132]
사이클로덱스트린은 고지방 식단을 먹인 쥐의 동맥에 축적된 콜레스테롤을 제거했다.[133]
노화는 심혈관 문제의 가장 중요한 위험 요소이며, DNA 손상이 혈관 노화에 핵심적인 역할을 한다는 증거가 있다.[134][135][136] 8-oxoG은 플라크 혈관 평활근 세포, 대식세포, 내피 세포에 축적되며, DNA 손상은 플라크 형성과 연관된다. 죽상동맥경화반에서 DNA 가닥 절단도 증가했다.[137] 베르너 증후군 환자는 관상 동맥과 대동맥에 상당한 양의 죽상동맥경화반을 발달시키며, 이는 과도하게 복구되지 않은 DNA 손상이 조기 노화 및 초기 죽상동맥경화반 발달과 관련이 있음을 보여준다.
미생물군집은 면역 체계 조절, 신진대사 변화, 영양소 처리 및 특정 대사산물 생성을 통해 죽상경화증에 기여한다.[139] 트리메틸아민 N-산화물(TMAO)은 장내 세균에 의해 생성되는 대사산물로, 인간 연구에서 죽상경화증과 관련이 있으며, 동물 연구에서는 인과 관계가 있을 수 있음을 시사한다. TMAO 생성에 관여하는 세균 유전자와 죽상경화증 간의 연관성이 언급되었다.[140][139]
혈관 평활근 세포는 죽상경화증에서 중요한 역할을 하며, 플라크 안정성에 기여하고 플라크 내에서 다양한 세포 유형을 생성하며 표현형을 조절할 수 있다.[141][143][144][145] 혈관 평활근 세포는 죽상경화성 플라크 내에서 뚜렷한 가소성을 나타내며, 대식세포, 근섬유모세포, 간엽 줄기 세포 및 골연골세포를 포함한 다양한 다른 세포 유형과 유사하도록 유전자 발현 프로파일을 수정할 수 있다.[146][147][141] 유전자 계통 추적 실험을 통해 플라크 내 세포의 40-90%가 혈관 평활근 세포 유래임이 밝혀졌으므로, 죽상경화증에서 혈관 평활근 세포의 역할을 연구하여 새로운 치료 표적을 식별하는 것이 중요하다.[144][145]
참조
[1]
웹사이트
New Concept of Heart Disease Posits Vitamin C Deficiency as Culprit
https://www.dicardio[...]
2015-04-27
[2]
웹사이트
Arteriosclerosis / atherosclerosis - Symptoms and causes
https://www.mayoclin[...]
[3]
논문
Unveiling the Hidden Landscape of Arterial Diseases at Single-Cell Resolution
https://linkinghub.e[...]
2023-12-00
[4]
웹사이트
What Is Atherosclerosis? - NHLBI, NIH
https://www.nhlbi.ni[...]
2016-06-22
[5]
논문
Cyclic phosphatidic acid inhibits the secretion of vascular endothelial growth factor from diabetic human coronary artery endothelial cells through peroxisome proliferator-activated receptor gamma
https://www.scienced[...]
2015-09-05
[6]
웹사이트
What Are the Signs and Symptoms of Atherosclerosis? - NHLBI, NIH
https://www.nhlbi.ni[...]
2016-06-22
[7]
논문
Circulating markers of inflammation and atherosclerosis
2003-08-00
[8]
웹사이트
Who Is at Risk for Atherosclerosis?
https://www.nhlbi.ni[...]
2016-06-22
[9]
웹사이트
How Is Atherosclerosis Diagnosed? - NHLBI, NIH
https://www.nhlbi.ni[...]
2016-06-22
[10]
웹사이트
How Can Atherosclerosis Be Prevented or Delayed? - NHLBI, NIH
https://www.nhlbi.ni[...]
2016-06-22
[11]
웹사이트
How Is Atherosclerosis Treated? - NHLBI, NIH
https://www.nhlbi.ni[...]
2016-06-22
[12]
웹사이트
Atherosclerosis
https://www.ncbi.nlm[...]
National Center for Biotechnology Information (US)
1998-00-00
[13]
웹사이트
What Causes Atherosclerosis? - NHLBI, NIH
https://www.nhlbi.ni[...]
2016-06-22
[14]
서적
Tresch and Aronow's Cardiovascular Disease in the Elderly, Fifth Edition
https://books.google[...]
CRC Press
2013-00-00
[15]
논문
Global Burden of Cardiovascular Diseases and Risk Factors, 1990-2019: Update From the GBD 2019 Study
2020-12-00
[16]
논문
Global and regional prevalence, burden, and risk factors for carotid atherosclerosis: a systematic review, meta-analysis, and modelling study
2020-05-00
[17]
서적
Textbook of Cardiovascular Medicine
https://books.google[...]
Lippincott Williams & Wilkins
2007-00-00
[18]
서적
Chlamydia Atherosclerosis Lesion: Discovery, Diagnosis and Treatment
https://books.google[...]
Springer Science & Business Media
2008-00-00
[19]
웹사이트
Evolutionary gene loss may help explain why only humans are prone to heart attacks
https://www.scienced[...]
[20]
논문
The pathogenesis of atherosclerosis: a perspective for the 1990s
1993-04-00
[21]
간행물
Atherosclerosis
Harvard Health Publications
2011-00-00
[22]
웹사이트
Atherosclerosis
http://www.nhlbi.nih[...]
National Heart, Lung and Blood Institute
[23]
논문
Study of fibrous plaques occurring in the coronary arteries of children
1979-06-00
[24]
논문
A comparative study of cerebral atherosclerosis in males and females
1968-11-00
[25]
웹사이트
Heart disease - Arrhythmia - Heart and Stroke Foundation of Canada
https://web.archive.[...]
Heart and Stroke Foundation
2011-00-00
[26]
논문
Mitochondria, oxidative metabolism and cell death in stroke
https://hal.archives[...]
2010-01-00
[27]
서적
Atherosclerotic Burden and Mortality
https://doi.org/10.1[...]
Springer
2010-00-00
[28]
논문
Coronary disease among United States soldiers killed in action in Korea: Preliminary Report
1953-00-00
[29]
논문
Mitochondrial Reactive Oxygen Species Mediate Lysophosphatidylcholine-Induced Endothelial Cell Activation
2016-06-00
[30]
논문
Dysfunctional Vascular Endothelium as a Driver of Atherosclerosis: Emerging Insights Into Pathogenesis and Treatment
2021-12-00
[31]
논문
The response-to-retention hypothesis of early atherogenesis
1995-05-00
[32]
논문
LDL oxidation by arterial wall macrophages depends on the oxidative status in the lipoprotein and in the cells: role of prooxidants vs. antioxidants
1998-11-00
[33]
웹사이트
Atherosclerosis | NHLBI, NIH
https://www.nhlbi.ni[...]
2022-03-24
[34]
논문
Infection and Atherosclerosis Development
2015-07-00
[35]
논문
Coronary Artery Disease Manifestations in HIV: What, How, and Why
2019-03-00
[36]
논문
Benefits & risks of statin therapy for primary prevention of cardiovascular disease in Asian Indians - a population with the highest risk of premature coronary artery disease & diabetes
2013-10-01
[37]
웹사이트
Indian Heart Association Why South Asians Facts
http://indianheartas[...]
2015-04-30
[38]
논문
Age-Associated Mitochondrial Dysfunction Accelerates Atherogenesis
2020-01-01
[39]
논문
Differences in the pattern of atherosclerotic involvement between non-branched regions and adjacent branching points of human coronary arteries
1985-03-01
[40]
논문
Is thrombin a key player in the 'coagulation-atherogenesis' maze?
2009-06-01
[41]
논문
Early atherosclerosis exhibits an enhanced procoagulant state
2010-08-01
[42]
논문
The hemostatic system as a modulator of atherosclerosis
2011-05-01
[43]
서적
Dietary Reference Intakes for Energy, Carbohydrate, Fiber, Fat, Fatty Acids, Cholesterol, Protein, and Amino Acids (Macronutrients)
http://www.nap.edu/o[...]
National Academies Press
[44]
논문
Dietary fats, carbohydrate, and progression of coronary atherosclerosis in postmenopausal women
2004-11-01
[45]
논문
Need to test the arterial inflammation hypothesis
2002-07-01
[46]
논문
Cellular cholesterol synthesis--the relationship to post-prandial glucose and insulin following weight loss
1998-06-01
[47]
논문
Short sleep duration and incident coronary artery calcification
2008-12-01
[48]
논문
Carotid intima-media thickness, a marker of subclinical atherosclerosis, and particulate air pollution exposure: the meta-analytical evidence
2015-01-01
[49]
논문
Fine particulate air pollution and the progression of carotid intima-medial thickness: a prospective cohort study from the multi-ethnic study of atherosclerosis and air pollution
2013-04-23
[50]
논문
Biological gradient between long-term arsenic exposure and carotid atherosclerosis
2002-04-01
[51]
논문
Treating Hypothyroidism Reduces Atherosclerosis Risk
https://www.aafp.org[...]
2004-02-01
[52]
논문
High-risk periodontal pathogens contribute to the pathogenesis of atherosclerosis
2017-04-01
[53]
웹사이트
Food Pyramids: Nutrition Source, Harvard School of Public Health
http://www.hsph.harv[...]
2007-11-25
[54]
논문
Oxidized lipids in the diet accelerate the development of fatty streaks in cholesterol-fed rabbits
1996-04-01
[55]
논문
Polyunsaturated (n-3) fatty acids susceptible to peroxidation are increased in plasma and tissue lipids of rats fed docosahexaenoic acid-containing oils
2000-12-01
[56]
논문
Oxidative susceptibility of low density lipoprotein from rabbits fed atherogenic diets containing coconut, palm, or soybean oils
1995-12-01
[57]
논문
Serum and biliary lipid pattern in rabbits feeding a diet enriched with unsaturated fatty acids
[58]
웹사이트
Scientist, 98, challenges orthodoxy on causes of heart disease
http://medicalxpress[...]
[59]
논문
Fat taste and lipid metabolism in humans
2005-12-01
[60]
논문
Oxidized fats in foods
2003-03-01
[61]
웹사이트
Dietary Supplements
https://www.fda.gov/[...]
2020-02-04
[62]
논문
Oxidized fatty acids promote atherosclerosis only in the presence of dietary cholesterol in low-density lipoprotein receptor knockout mice
2002-11-01
[63]
웹사이트
Coronary Artery Disease
https://www.ncbi.nlm[...]
StatPearls Publishing
2024-11-15
[64]
웹사이트
Atherosclerosis
https://www.lecturio[...]
2021-07-02
[65]
논문
Atherosclerosis. Potential targets for stabilization and regression
1992-12-01
[66]
논문
The Role of Lipids and Lipoproteins in Atherosclerosis
2000-01-01
[67]
논문
Local proliferation dominates lesional macrophage accumulation in atherosclerosis
2013-09-01
[68]
논문
Cardiovascular calcification: Orbicular origins
2013-06-01
[69]
논문
Compensatory enlargement of human atherosclerotic coronary arteries
1987-05-01
[70]
웹사이트
Coronary atherosclerosis — the fibrous plaque with calcification
http://www.pathology[...]
www.pathologyatlas.ro
2010-03-25
[71]
논문
Cholesterol crystal-induced arterial inflammation and destabilization of atherosclerotic plaque
2016-07-01
[72]
서적
Human Biology and Health
https://archive.org/[...]
Prentice Hall
[73]
웹사이트
What Are the Signs and Symptoms of Coronary Heart Disease?
http://www.nhlbi.nih[...]
2014-09-29
[74]
논문
Aging as a consequence of misrepair -- A novel theory of aging
2009-04-06
[75]
arXiv
Aging as a process of accumulation of Misrepairs
[76]
arXiv
Misrepair mechanism in the development of atherosclerotic plaques
[77]
논문
Atherosclerosis--an inflammatory disease
1999-01-14
[78]
논문
Concept of vulnerable/unstable plaque
2010-07-01
[79]
논문
Proteomics of acute coronary syndromes
2009-05-01
[80]
논문
Imaging Atherosclerosis
2016-02-01
[81]
논문
A definition of advanced types of atherosclerotic lesions and a histological classification of atherosclerosis. A report from the Committee on Vascular Lesions of the Council on Arteriosclerosis, American Heart Association
1995-09-01
[82]
논문
Is there a vulnerable plaque?
2003-04-01
[83]
논문
Consensus Standards for Acquisition, Measurement, and Reporting of Intravascular Optical Coherence Tomography Studies: A Report From the International Working Group for Intravascular Optical Coherence Tomography Standardization and Validation
https://www.scienced[...]
2012-03-20
[84]
논문
Volumetric microscopy of cerebral arteries with a miniaturized optical coherence tomography imaging probe
https://www.science.[...]
2024-05-15
[85]
논문
Preventing heart disease in the 21st century: implications of the Pathobiological Determinants of Atherosclerosis in Youth (PDAY) study
2008-03-01
[86]
논문
Hypercholesterolemia in youth: opportunities and obstacles to prevent premature atherosclerotic cardiovascular disease
2010-01-01
[87]
논문
Dairy and Cardiovascular Disease: A Review of Recent Observational Research
2014-01-01
[88]
논문
The relationship between high-fat dairy consumption and obesity, cardiovascular, and metabolic disease
2013-02-01
[89]
논문
Fruit and vegetable consumption and mortality from all causes, cardiovascular disease, and cancer: systematic review and dose-response meta-analysis of prospective cohort studies
2014-07-01
[90]
논문
Diets for cardiovascular disease prevention: what is the evidence?
2009-04-01
[91]
논문
Meta-analysis comparing Mediterranean to low-fat diets for modification of cardiovascular risk factors
2011-09-01
[92]
서적
Brunner & Suddarth's Textbook of Canadian Medical-surgical Nursing
Lippincott Williams & Wilkins
2009
[93]
논문
Aggressive treatment of atherosclerosis: The time is now
[94]
논문
The pathophysiology of cigarette smoking and cardiovascular disease: an update
2004-05-01
[95]
논문
Endothelial (dys)function: the target of physical exercise for prevention and treatment of cardiovascular disease
http://www.minervame[...]
2011-06-01
[96]
논문
Pharmacological Options in Atherosclerosis: A Review of the Existing Evidence
2019-06-01
[97]
논문
Combination therapy for treatment or prevention of atherosclerosis: focus on the lipid-RAAS interaction
2010-04-01
[98]
논문
Statins for the primary prevention of cardiovascular disease
2013-01-01
[99]
논문
Secondary Prevention for Atherosclerotic Cardiovascular Disease: Comparing Recent US and European Guidelines on Dyslipidemia
2020-04-01
[100]
논문
2018 AHA/ACC/AACVPR/AAPA/ABC/ACPM/ADA/AGS/APhA/ASPC/NLA/PCNA Guideline on the Management of Blood Cholesterol: A Report of the American College of Cardiology/American Heart Association Task Force on Clinical Practice Guidelines
2019-06-01
[101]
논문
Sex Differences in the Use of Statins in Community Practice
2019-08-01
[102]
논문
Sex-Related Disparities in Cardiovascular Health Care Among Patients With Premature Atherosclerotic Cardiovascular Disease
2021-07-01
[103]
논문
Questioning the benefits of statins
2005-11-01
[104]
논문
Coronary Artery Bypass Grafting With and Without Manipulation of the Ascending Aorta: A Network Meta-Analysis
2017-02-01
[105]
논문
Vitamin K Supplementation for the Prevention of Cardiovascular Disease: Where Is the Evidence? A Systematic Review of Controlled Trials
2020-09-01
[106]
논문
Warfarin-induced artery calcification is accelerated by growth and vitamin D
2000-02-00
[107]
논문
Dietary intake of menaquinone is associated with a reduced risk of coronary heart disease: the Rotterdam Study
2004-11-00
[108]
웹사이트
Vitamin K
http://lpi.oregonsta[...]
Linus Pauling Institute at Oregon State University
2010-03-25
[109]
논문
G protein-coupled estrogen receptor-1 is involved in the protective effect of protocatechuic aldehyde against endothelial dysfunction
2014-00-00
[110]
논문
Vasculoprotective Effects of 3-Hydroxybenzaldehyde against VSMCs Proliferation and ECs Inflammation
2016-00-00
[111]
웹사이트
The top 10 causes of death
https://www.who.int/[...]
2020-01-26
[112]
서적
Robbins Basic Pathology
Saunders Elsevier
2007-00-00
[113]
논문
The pediatric aspects of atherosclerosis
https://www.scienced[...]
1969-05-06
[114]
논문
Natural history and risk factors of atherosclerosis in children and youth: The PDAY study
http://www.tandfonli[...]
2002-01-00
[115]
논문
Coronary Disease Among United States Soldiers Killed in Action in Korea
http://jama.jamanetw[...]
1953-07-18
[116]
웹사이트
Stopping Heart Disease in Childhood
https://nutritionfac[...]
2014-07-15
[117]
논문
Is Atherosclerosis a Pediatric Disease?
http://www.ncbi.nlm.[...]
MDText.com, Inc.
2000-00-00
[118]
논문
Early Lesions of Atherosclerosis in Childhood and Youth: Natural History and Risk Factors
http://www.tandfonli[...]
1992-06-00
[119]
논문
Atherosclerosis in children and young adults: An overview of the World Health Organization and International Society and Federation of Cardiology study on Pathobiological Determinants of Atherosclerosis in Youth study (1985–1995)
2005-03-01
[120]
웹사이트
Atherogenic
https://www.merriam-[...]
[121]
논문
Costs for Hospital Stays in the United States, 2011.
http://hcup-us.ahrq.[...]
Agency for Healthcare Research and Quality
2013-12-00
[122]
논문
Effects of torcetrapib in patients at high risk for coronary events
2007-11-00
[123]
논문
Immunomodulation of atherosclerosis: implications for vaccine development
2005-01-00
[124]
논문
The relation of lipid peroxidation processes with atherogenesis: a new theory on atherogenesis
2005-11-00
[125]
논문
Deuterium-reinforced polyunsaturated fatty acids protect against atherosclerosis by lowering lipid peroxidation and hypercholesterolemia
https://ora.ox.ac.uk[...]
2017-09-00
[126]
논문
Combating atherosclerosis with heavy PUFAs: Deuteron not proton is the first
2017-09-00
[127]
논문
The magic and mystery of microRNA-27 in atherosclerosis
2012-06-00
[128]
논문
MicroRNAs: emerging roles in lipid and lipoprotein metabolism
2012-06-00
[129]
논문
Regulation of lipid homeostasis by the bifunctional SREBF2-miR33a locus
2011-03-00
[130]
논문
Antagonism of miR-33 in mice promotes reverse cholesterol transport and regression of atherosclerosis
2011-07-00
[131]
논문
A role of miR-33 for cell cycle progression and cell proliferation
2012-03-00
[132]
논문
Hepatic ATP-binding cassette transporter A1 is a key molecule in high-density lipoprotein cholesteryl ester metabolism in mice
2006-08-00
[133]
뉴스
A sugar can melt away cholesterol
https://www.sciencen[...]
2016-04-08
[134]
논문
Genomic instability and vascular aging: a focus on nucleotide excision repair
2014-02-00
[135]
논문
DNA Damage: A Main Determinant of Vascular Aging
2016-05-00
[136]
논문
DNA damage-dependent mechanisms of ageing and disease in the macro- and microvasculature
https://www.reposito[...]
2017-12-00
[137]
논문
Elevated levels of oxidative DNA damage and DNA repair enzymes in human atherosclerotic plaques
2002-08-00
[138]
논문
Role of DNA damage in cardiovascular disease
[139]
논문
Atherosclerosis: Association between the gut microbiome and atherosclerosis
2017-12-00
[140]
논문
The gut microbiome in atherosclerotic cardiovascular disease
2017-10-00
[141]
논문
The role of smooth muscle cells in plaque stability: Therapeutic targeting potential
2019-10-01
[142]
논문
Vascular Smooth Muscle Cells in Atherosclerosis
2016-02-01
[143]
논문
Detection of histone modifications at specific gene loci in single cells in histological sections
2013-02-01
[144]
논문
Smooth Muscle Cells Contribute the Majority of Foam Cells in ApoE (Apolipoprotein E)-Deficient Mouse Atherosclerosis
2019-05-01
[145]
논문
Extensive Proliferation of a Subset of Differentiated, yet Plastic, Medial Vascular Smooth Muscle Cells Contributes to Neointimal Formation in Mouse Injury and Atherosclerosis Models
2016-12-01
[146]
논문
Role of smooth muscle cells in vascular calcification: implications in atherosclerosis and arterial stiffness
2018-03-01
[147]
논문
Vascular smooth muscle cells in atherosclerosis
https://www.reposito[...]
2019-12-01
[148]
웹사이트
What Is Atherosclerosis? - NHLBI, NIH
https://www.nhlbi.ni[...]
2016-06-22
[149]
웹사이트
What Are the Signs and Symptoms of Atherosclerosis? - NHLBI, NIH
https://www.nhlbi.ni[...]
2016-06-22
[150]
웹사이트
Who Is at Risk for Atherosclerosis?
https://www.nhlbi.ni[...]
2016-06-22
[151]
웹사이트
How Is Atherosclerosis Diagnosed? - NHLBI, NIH
https://www.nhlbi.ni[...]
2016-06-22
[152]
웹사이트
How Can Atherosclerosis Be Prevented or Delayed? - NHLBI, NIH
https://www.nhlbi.ni[...]
2016-06-22
[153]
웹사이트
How Is Atherosclerosis Treated? - NHLBI, NIH
https://www.nhlbi.ni[...]
2016-06-22
[154]
웹사이트
What Causes Atherosclerosis? - NHLBI, NIH
https://www.nhlbi.ni[...]
2016-06-22
[155]
서적
Tresch and Aronow's Cardiovascular Disease in the Elderly, Fifth Edition
https://books.google[...]
CRC Press
2013-01-01
[156]
서적
Textbook of Cardiovascular Medicine
https://books.google[...]
Lippincott Williams & Wilkins
2007-01-01
[157]
서적
Chlamydia Atherosclerosis Lesion: Discovery, Diagnosis and Treatment
https://books.google[...]
Springer Science & Business Media
2008-01-01
[158]
웹인용
What Is Atherosclerosis? - NHLBI, NIH
https://www.nhlbi.ni[...]
2016-06-22
[159]
웹인용
죽상경화증(Atherosclerosis)
http://www.amc.seoul[...]
2020-02-18
[160]
웹인용
What Are the Signs and Symptoms of Atherosclerosis? - NHLBI, NIH
https://www.nhlbi.ni[...]
2016-06-22
[161]
웹인용
Who Is at Risk for Atherosclerosis?
https://www.nhlbi.ni[...]
2016-06-22
[162]
웹인용
How Is Atherosclerosis Diagnosed? - NHLBI, NIH
https://www.nhlbi.ni[...]
2016-06-22
[163]
웹인용
How Can Atherosclerosis Be Prevented or Delayed? - NHLBI, NIH
https://www.nhlbi.ni[...]
2016-06-22
[164]
웹인용
How Is Atherosclerosis Treated? - NHLBI, NIH
https://www.nhlbi.ni[...]
2016-06-22
[165]
웹인용
What Causes Atherosclerosis? - NHLBI, NIH
https://www.nhlbi.ni[...]
2016-06-22
[166]
서적
Tresch and Aronow's Cardiovascular Disease in the Elderly, Fifth Edition
https://books.google[...]
CRC Press
2013-01-01
[167]
서적
Textbook of Cardiovascular Medicine
https://books.google[...]
Lippincott Williams & Wilkins
2007-01-01
[168]
서적
Chlamydia Atherosclerosis Lesion: Discovery, Diagnosis and Treatment
https://books.google[...]
Springer Science & Business Media
2008-01-01
본 사이트는 AI가 위키백과와 뉴스 기사,정부 간행물,학술 논문등을 바탕으로 정보를 가공하여 제공하는 백과사전형 서비스입니다.
모든 문서는 AI에 의해 자동 생성되며, CC BY-SA 4.0 라이선스에 따라 이용할 수 있습니다.
하지만, 위키백과나 뉴스 기사 자체에 오류, 부정확한 정보, 또는 가짜 뉴스가 포함될 수 있으며, AI는 이러한 내용을 완벽하게 걸러내지 못할 수 있습니다.
따라서 제공되는 정보에 일부 오류나 편향이 있을 수 있으므로, 중요한 정보는 반드시 다른 출처를 통해 교차 검증하시기 바랍니다.
문의하기 : help@durumis.com
