개 홍역
"오늘의AI위키"의 AI를 통해 더욱 풍부하고 폭넓은 지식 경험을 누리세요.
1. 개요
개 홍역은 파라믹소바이러스과의 외가닥 RNA 바이러스인 개 홍역 바이러스(CDV)에 의해 발생하는 전염성 질병으로, 개, 족제비, 너구리, 사자 등 다양한 동물에게 영향을 미친다. 18세기 유럽에서 처음 보고되었으며, 20세기 초에 바이러스성 질환임이 밝혀졌다. 개 홍역은 호흡기, 소화기, 신경계 등 신체 여러 곳에 증상을 유발하며, 발열, 콧물, 구토, 설사, 신경 증상 등을 동반한다. 예방 접종이 중요하며, 치료는 대증 치료와 지지 치료에 중점을 둔다. 한국에서는 백신 접종으로 발생률이 감소했지만, 유기견이나 야생동물 사이에서 여전히 발생하고 있다.
더 읽어볼만한 페이지
- 개 질병 - 개 파보바이러스
개 파보바이러스는 개에게 심각한 위장관 질환을 유발하며, 여러 변종이 존재하고, 무기력, 구토, 설사 등의 증상을 보이며, 분변 검사로 진단하고, 백신 접종과 격리가 예방에 중요하다. - 개 질병 - 골육종
골육종은 뼈, 특히 장골의 골간단 부위에서 발생하는 악성 종양으로, 밤에 심해지는 통증, 부종, 병적 골절 등의 증상을 보이며, 유전적, 환경적 요인이 복합적으로 작용하는 것으로 추정되고, 수술 및 항암화학요법을 통해 치료하며, 예후는 병기 및 치료 반응에 따라 달라진다. - 백신으로 예방 가능한 질병 - 장티푸스
장티푸스는 살모넬라 엔테리카 세로바르 티피균에 의해 발생하는 수인성 전염병으로, 고열, 두통, 복통 등의 증상을 보이며, 항생제를 사용하여 치료하고 개인 위생과 환경 위생을 통해 예방한다. - 백신으로 예방 가능한 질병 - 결핵
결핵은 결핵균에 의해 발생하는 감염성 질환으로, 주로 폐에 영향을 미치며 기침, 객혈 등의 증상을 보이지만 무증상일 수도 있고, 호흡기 비말 전파를 통해 감염되며, 항생제 치료를 하지만 약물 내성 문제로 인해 공중 보건 문제로 남아있다. - 동물 바이러스성 질병 - 구제역
구제역은 전염력이 매우 강한 가축 질병으로, 구제역 바이러스에 의해 발생하며 고열, 입과 발굽의 수포, 과다한 타액 분비 등의 증상을 보이고, 다양한 혈청형이 존재하며 여러 경로로 전파되어 진단 시 RT-PCR, ELISA 검사가 필요하고 살처분 등의 강력한 방역 조치가 시행된다. - 동물 바이러스성 질병 - 감기
감기는 다양한 바이러스에 의해 발생하는 상기도 감염으로, 기침, 콧물, 재채기 등의 증상이 나타나며, 특별한 치료법은 없고 증상 완화를 위한 대증요법을 사용한다.
2. 어원
'distemper'라는 단어는 중세 영어 distemperen|기질의 균형을 깨뜨리다enm에서 유래했으며, 이는 고대 프랑스어 destemprer|교란하다fro에서, 다시 속 라틴어 distemperare|적절하게 섞이지 않다la에서 유래했다.[6][7]
개 홍역에 대한 최초 보고는 1761년 스페인에서 발생했다.[8] 1809년 에드워드 제너는 이 질병을 묘사했고,[8] 1905년 프랑스 수의사 앙리 카레는 이 질병이 바이러스에 의해 발생한다는 것을 밝혀냈다.[8] 카레의 연구 결과는 1926년까지 영국의 연구자들에 의해 논쟁을 벌였고, 패트릭 레이들로와 G.W. 덩킨이 이 질병이 실제로 바이러스에 의해 발생한다는 것을 확인했다.[8]
개 홍역은 사람의 홍역, 동물의 우역을 유발하는 바이러스와 관련있는 파라믹소바이러스과의 외가닥 RNA 바이러스이다.[53][51] 개, 페럿 등 반려동물에게서 종종 문제가 된다.
3. 역사
최초의 개 홍역 백신은 이탈리아의 비토리오 푼토니에 의해 개발되었다.[9] 1923년과 1924년에 푼토니는 감염된 개에서 추출한 뇌 조직에 포름알데히드를 첨가하여 건강한 개에서 질병을 성공적으로 예방하는 백신을 만드는 두 편의 논문을 발표했다.[9] 1950년에 상업용 백신이 개발되었지만, 제한적인 사용으로 인해 이 바이러스는 많은 개체군에서 여전히 널리 퍼져 있다.[10]
개는 이전에 노출되지 않았던 야생 동물에게 개의 홍역을 전파하는데, 이는 현재 많은 종의 육식 동물과 일부 유대류 종에 심각한 보존 위협을 가하고 있다. 이 바이러스는 검은발족제비의 멸종 위기 원인이며, 주머니늑대 (태즈메이니아 호랑이)의 멸종에도 영향을 주었을 것으로 추정되며, 아프리카 들개 사이에서 반복적으로 사망률을 야기한다.[18] 1993-1994년 탄자니아 세렝게티의 사자 개체군은 이 질병으로 인해 20% 감소했다.[11][12] 이 질병은 바다사자홍역바이러스로 변이되어 바다표범에 영향을 미치기도 한다.[13]
기록에 따르면 개 홍역은 18세기에 남아메리카에서 스페인으로 전해진 후 유럽 전역으로 확대되었다.[38] 현재는 일본을 포함한 전 세계에서 발생하고 있다. 처음에는 세균성 질환과의 관련성이 의심되었으나, 19세기 중반 Karle에 의해 개 간의 감염 실험이 성공했다. 그러나 바이러스성 질환임이 밝혀지고 상세한 연구가 시작된 것은 20세기에 들어서이다. 일본늑대의 멸종 원인이 된 질환이기도 하다.
현재에도 개의 중요한 질환인 한편, 야생동물에게도 피해가 확대되고 있다.[39] 1994년에는 탄자니아의 세렝게티 국립공원에 서식하는 사자에게 유행하여, 현지 사자의 85%에서 CDV 항체가의 상승이 확인되었다.[40] 미국에서는 멧돼지로부터 항체 검출이 보고되고 있다.[41][44]
4. 원인체, 숙주 범위, 증상
개 홍역 바이러스는 림프계, 상피, 신경계 조직에 감염되는 경향이 있다. 바이러스는 처음에 호흡기의 림프 조직에서 복제된 후 혈류로 들어가 호흡기, 위장관, 비뇨생식기, 중추 신경계, 시신경 등에 감염된다.[17] 따라서 개 홍역의 전형적인 병리학적 특징에는 림프구 고갈(이로 인해 면역 억제가 발생하고 이차 감염으로 이어짐), 간질성 폐렴, 탈수초화를 동반한 뇌염, 코와 발바닥의 과다각화증이 있다.
개 홍역은 콧물, 구토 및 설사, 탈수, 과도한 침 흘림, 기침 및/또는 호흡 곤란, 식욕 부진 및 체중 감소등의 증상을 보이며, 3~6개월 사이의 강아지에게 특히 감수성이 높다.[25][26]
4. 1. 원인체
개 홍역 바이러스(Canine Distemper Virus, CDV)는 파라믹소바이러스과 모르빌리바이러스속에 속하는 외가닥 RNA 바이러스이다.[53][51][17][18] 사람의 홍역, 동물의 우역 바이러스와 유전적으로 가깝다.[53][51][17][18]
개 홍역 바이러스는 지리적으로 뚜렷한 계통이 있으며 유전적으로 다양하다. 이러한 다양성은 돌연변이로부터 발생하며, 유전적으로 뚜렷한 두 개의 바이러스가 동일한 세포를 감염시킬 때 상동 재조합으로부터 발생한다.[19] CDV는 바이러스 염기 서열 분석 결과 홍역 바이러스에서 분화된 한 아형으로 여겨진다.
CDV는 전 세계에 상재하는 바이러스이며, 개 홍역은 개의 중요한 질병 중 하나이다.[42] 임상적으로는 개나 페럿 등 반려동물에서의 감염이 종종 문제가 된다.
개과 동물에 대해 높은 감수성을 보이지만, 고양이과, 족제비과, 아메리카너구리과, 스컹크과, 바다사자과, 사향고양이과 등 대부분의 식육목 동물에도 감염된다.[39] CDV는 인간에게는 감염되지 않는다. 고양이 범백혈구 감소증은 "고양이 홍역"이라고 불리기도 하지만, 파보바이러스의 일종을 원인으로 하는 다른 질병이다.
영장류에 대한 자연 감염은 2008년 9월, 일본에 수입된 게잡이원숭이 집단이 개 홍역에 감염되어 30마리 이상이 사망한 사례가 확인되었다.[43] 감염원은 수입 전에 이미 감염되었던 것으로 보이나, 자세한 사항은 불명이다.
4. 2. 숙주 범위
개 홍역은 개과(개, 여우, 늑대, 너구리), 족제비과(페럿, 밍크, 스컹크, 울버린, 족제비, 오소리, 수달), 아메리카너구리과(미국너구리, 긴코너구리), 레서판다과(레서판다), 곰과(곰), 코끼리과(아시아 코끼리), 일부 영장류(예: 일본원숭이), 사향고양이과(빈투롱, 말레이사향고양이), 하이에나과(하이에나), 기각류(물개, 바다코끼리, 바다사자 등), 큰고양이과(고양이, 집고양이는 제외) 등 다양한 동물에게 영향을 미칠 수 있다.[54][52][53]
다음은 개 홍역에 감염될 수 있는 동물을 정리한 표이다.
고양이과 동물, 특히 대형 고양이와 집고양이는 한동안 개 홍역에 저항력이 있는 것으로 여겨졌으나, 일부 연구자들이 대형 고양이과 동물에서 개 홍역 바이러스(CDV) 감염의 유병률을 보고했다.[22] 현재 대형 고양이와 집고양이 모두 감염될 수 있는 것으로 알려져 있으며, 일반적으로 개와 함께 가까이에서 생활하거나[22][23] 감염된 고양이의 수혈을 통해 감염될 수 있지만,[22] 이러한 감염은 대개 자연 치유되고 증상이 없는 경우가 많다.[23]
중국 자이언트 판다 사육 개체군(산시 희귀 야생 동물 구조 및 연구 센터)에서 사육 중인 판다 22마리 중 6마리가 CDV에 감염되었다. 감염된 판다 중 한 마리를 제외하고 모두 사망했으며, 생존한 판다는 이전에 예방 접종을 받았다.[24]
2008년 9월, 일본에 수입된 게잡이원숭이의 콜로니가 개 홍역에 집단 감염되어 30마리 이상이 사망했다.[43]
4. 3. 증상
개 홍역의 일반적인 증상으로는 콧물, 구토, 설사, 탈수, 과도한 침 흘림, 기침 및/또는 호흡 곤란, 식욕 부진, 체중 감소 등이 있다. 신경학적 증상이 나타나면 요실금이 발생할 수 있다.[13][15] 중추 신경계 증상으로는 근육 경련, 턱 움직임(껌 씹는 발작), 침 흘림을 동반한 발작 등이 있으며, 상태가 진행되면 대발작으로 악화되어 사망할 수 있다. 빛에 대한 과민성, 협응력 상실, 원형 운동, 통증 민감도 증가, 운동 능력 저하 등의 징후도 나타날 수 있으며, 드물게 실명과 마비가 나타나기도 한다. 전신 질환은 10일 정도로 짧을 수 있지만, 신경학적 증상은 몇 주 또는 몇 달 후에 나타날 수 있다. 살아남은 경우에도 다양한 정도의 틱이나 경련이 남을 수 있으며, 시간이 지나면서 점차 감소한다.[17][13]개 홍역 바이러스는 거의 모든 신체 시스템에 영향을 미치며,[25] 특히 3~6개월 된 강아지에게 취약하다.[26] 감염 후 3~6일 사이에 발열이 나타날 수 있으며, 림프계, 상피, 신경계 조직에 감염되는 경향이 있다. 바이러스는 호흡기 림프 조직에서 복제된 후 혈류로 들어가 호흡기, 위장관, 비뇨생식기, 중추신경계, 시신경 등에 감염된다.[17] 따라서 림프구 고갈, 간질성 폐렴, 뇌염, 코와 발바닥의 과다각화증 등이 나타난다.
감염 후 3~5일 이내에 급성 발열이 나타나며, 림프계 조직 괴사로 인해 백혈구 및 혈소판 수가 감소하고, 때로는 사망한다.[44] 첫 번째 발열은 짧게 끝나지만, 며칠 후 두 번째 발열이 최소 1주일 동안 지속된다. 이러한 이봉성 발열은 개 홍역의 특징 중 하나이다.
바이러스가 전신으로 확산되면서 결막염, 콧물, 심한 기침, 혈변을 동반한 설사 등이 나타난다. 흉선 위축 등 림프계 기능 저하로 인해 세균 이차 감염이 발생하여 상태가 악화될 수 있다. 피부에는 홍반, 수포, 농포 형성, 과각화증 등이 나타나며, 발바닥이 두꺼워지는 경척증이 나타날 수 있다. 말기에는 바이러스가 신경계에 도달하여 경련이나 마비 등 신경 증상을 보이며 사망한다. 치사율은 90%로 매우 높다.
5. 감염
개 홍역바이러스는 주로 감염된 동물의 콧물, 눈물, 침, 대소변 등의 분비물과 직접 접촉하거나 비말(에어로졸 입자)을 통해 전파된다.[64][65] 오염된 음식, 물, 물건 등을 통해서도 간접적으로 전파될 수 있다.[64][65] 특히 3-6개월령의 강아지나 면역 기능이 낮은 노령견은 감수성이 높다.[64][65]
CDV의 주된 감염 경로는 감염된 개의 콧물 등을 통한 비말 감염 및 접촉 감염이다. 체내에 침투한 바이러스의 첫 번째 표적이 되는 것은 기관지 주변의 림프절이나 편도 등 림프계 조직이다.
6. 병의 진행
개 홍역 바이러스(CDV)는 림프계, 상피, 신경계 조직에 감염되는 경향이 있다. 바이러스는 처음에 호흡기의 림프 조직에서 복제된 후 혈류로 들어가 호흡기, 위장관, 비뇨생식기, 상피 및 중추 신경계뿐만 아니라 시신경도 감염시킨다.[17]
바이러스는 노출 후 이틀 만에 기관지 림프절과 편도선에 처음 나타난다. 그런 다음 2~3일 뒤 혈류로 들어간다.[28] 감염 후 약 3~8일경에 첫 번째 급성 열이 시작되는 경향이 있으며, 종종 낮은 백혈구 수치(특히 림프구)와 낮은 혈소판 수치를 동반한다. 이러한 징후에는 식욕 부진, 콧물 또는 눈물 분비가 동반될 수도 있고 그렇지 않을 수도 있다. 이 첫 번째 열은 일반적으로 96시간 이내에 빠르게 가라앉고, 약 11~12일경에 두 번째 열이 시작되어 최소 일주일 동안 지속된다.[17]
이후 개 홍역의 전형적인 병리학적 특징인 림프구 고갈(이로 인해 면역 억제가 발생하고 이차 감염으로 이어짐), 간질성 폐렴, 탈수초화를 동반한 뇌염, 코와 발바닥의 과다각화증이 나타난다.[17]
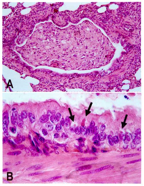
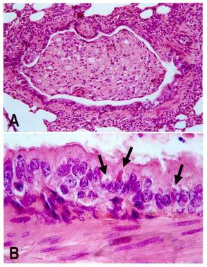
개 홍역을 확인하기 위한 추가적인 검사 방법으로, 브러시 경계 슬라이드의 방광 내부 덮개인 방광 이행 상피를 디프-퀵으로 염색하는 방법이 있다. 감염된 세포는 세포핵의 세포질 내부에 카민색으로 염색되는 봉입체를 갖는다. 개 홍역 초기에 방광 세포의 약 90%가 봉입체에 대해 양성 반응을 보일 것이다.[31]
6. 1. 장관 및 호흡기 증상
개 홍역에 걸리면 콧물, 구토, 설사, 탈수, 과도한 침 흘림, 기침, 호흡 곤란, 식욕 부진, 체중 감소[62][68][69] 등의 증상이 나타난다. 맥로드(McLeod)는 "개 홍역은 장관, 호흡기, 뇌, 척수를 포함한 모든 신체에 증상을 유발한다"고 언급했다.[55]개 홍역 바이러스(CDV)에 감염되면, 가벼운 호흡기 증상부터 구토, 혈변(피가 섞인 설사)을 동반한 설사, 심각한 폐렴까지 다양한 증상이 나타날 수 있다.[14] 결막염, 콧물, 심한 기침, 혈변을 동반하는 설사 증상이 나타나기도 하며,[44] 세균의 이차 감염으로 인해 기관지 폐렴이 발생하는 경우도 많다.[44]
6. 2. 신경 증상
중추신경계 증상으로는 불수의적인 근육 단일 수축, 껌 씹는 듯한 경련으로 묘사되는 "홍역 간대성근경련"인 턱 움직임과 침 흘림이 있다.[53] 증상이 진행될수록 경련은 악화되어 전신 발작으로 이어지고, 심하면 죽음에 이를 수 있다.[53] 또한 빛에 민감해지고, 조화운동불능, 선회 증상, 작은 통증이나 접촉에도 민감한 반응을 보이며, 운동 실조 증상을 보인다.[53] 드물지만 실명이나 마비가 올 수도 있다.[53] 전신 증상은 10일 정도로 짧게 나타날 수 있지만, 신경학적 증상은 몇 주에서 몇 달까지 나타나지 않을 수도 있다.[53] 일부는 이러한 증상에도 생존하며, 작은 틱 장애부터 심한 정도의 근육 단일 수축 증상이 남기도 한다. 이러한 틱 증상은 시간이 지나면서 질병의 심각도에 따라 어느 정도 감소하기도 한다.[53] [62]6. 3. 지속 증상
개 홍역에서 살아남은 개는 일생동안 생명에 지장이 없는 증상과 생명을 위협하는 증상을 지속적으로 보이게 된다.[70] 가장 흔한 생명에 지장이 없는 증상은 발바닥 과각화증으로, 발바닥과 코끝의 피부가 두꺼워지는 모습을 보인다. 다른 지속 증상으로는 법랑질 형성 부전이 있는데, 특히 강아지에서 치아의 에나멜층이 파괴되어 치아가 완전히 발육하지 못하거나 잇몸 속에서 성장하지 못하고 매복치 형태로 존재할 수 있다. 이는 치아의 에나멜을 만드는 세포를 바이러스가 파괴시키기 때문이며, 이러한 치아는 빠르게 부식되는 경향이 있다.[70]생명을 위협하는 증상은 일반적으로 신경계 퇴행으로 인해 나타난다. 개 홍역에 감염된 개는 정신적, 운동 기능 악화를 보이며, 시간이 지나면 더 심한 경련, 마비, 시야 감소, 조화운동 불능으로 진행된다. 이러한 증상을 보이는 개는 심한 통증을 보이기 때문에 인도적인 안락사를 시행한다.[70]
7. 진단
개 홍역은 예방 접종 이력, 임상 증상, 병력 등을 종합적으로 고려하여 진단한다. 결막 세포, 방광 이행 상피 세포 등에서 바이러스 항원 또는 봉입체를 검출하여 확진한다.[62] 혈액 검사, 뇌척수액 검사, PCR 검사 등이 추가적으로 사용될 수 있다.
예방 접종을 받지 않은 개에게서 발열, 호흡기 증상, 신경학적 증상, 발바닥 과각화증이 나타나면 개 홍역을 강하게 의심할 수 있다. 하지만 비슷한 증상을 보이는 다른 열성 질환들이 있기 때문에, 최근에는 개 간염, 헤르페스 바이러스, 파라인플루엔자, 렙토스피라증 등과의 감별 진단이 중요해졌다.[62]
디프-퀵 염색법을 통해 방광 이행 상피 세포에서 카민색으로 염색되는 봉입체를 관찰할 수 있다. 감염 초기에는 방광 세포의 약 90%에서 봉입체가 발견된다.[71]
특징적인 이봉성 발열과 함께 호흡기, 소화기 증상, 또는 신경 증상이 백신 미접종견에게 나타나는 경우 개 홍역을 의심할 수 있다. 비점막, 결막에서 바이러스 항원을 검출하여 확진한다.
8. 예방
개 홍역 예방을 위해서는 백신 접종이 필수적이다. 개와 애완 족제비에게 접종 가능한 여러 백신이 있으며, 많은 지역에서 의무화되어 있다. 감염된 동물은 장기간 바이러스를 배출하므로 다른 개들과 격리해야 한다.[17] 바이러스는 소독제, 세제, 건조 등으로 쉽게 제거된다. 실온(20–25 °C)에서는 몇 시간 정도 생존하지만, 어는점 부근의 그늘진 환경에서는 몇 주 동안 생존할 수 있다.[32] 혈청이나 조직 잔해에서는 더 오래 생존할 수 있다.[28]
강아지는 생후 6~8주에 백신 접종을 시작하여 16주가 될 때까지 2~4주 간격으로 추가 접종을 받아야 한다. 완전한 접종을 받지 않으면 백신은 효과가 없다. 강아지는 보통 8~10주에 판매되는데, 브리더가 첫 번째 접종을 하는 경우가 많지만, 새로운 주인이 추가 접종을 완료하지 않는 경우가 있다. 이 때문에 개들은 바이러스에 취약해지고, 개 홍역 감염의 악순환이 계속된다.[33]
9. 치료
개 홍역에 특이적인 치료법은 없으며, 일반적인 예후는 좋지 않다. 사람의 홍역과 마찬가지로 치료는 대증치료와 지지치료이다.[53][17] 체액/전해질 불균형, 신경학적 증상을 치료하고 이차적인 세균 감염을 예방하는 데 중점을 둔다. 예를 들어 탈수에 대한 대처로서 수액 및 전해질 용액 투여, 진통제, 항경련제, 광범위 항생제, 해열제, 비경구 영양 공급, 간호 등이 있다.[34] 이차 감염을 막기 위한 항생제 투여, 영양 보급도 이루어진다.
비타민 A 보충이 사람의 홍역에서 치사율을 낮추는 경우가 있는데, CDV에 감염된 페럿에서도 비슷한 경우가 관찰되었다.[75]
홍역 바이러스는 시험관내 실험에서 ribavirin에 감수성을 보이는 것으로 관찰되었으며, 0.02~0.05 마이크로몰을 투약시 홍역의 발병기전을 차단하고 50% 정도의 바이러스 복제를 억제한다고 밝혔다.[76] ribavirin 사용에서 우려되는 점은 혈액-뇌 장벽에서 작용하는 결과 때문이다. 뇌가 면역학적으로 특수한 부위이기 때문에 ribavirin이 이 혈액-뇌 장벽을 통과하는 능력과 관련된 우려점이 있다. 홍역에 감염되어 뇌염이 있는 쥐를 이용한 연구에서, 바이러스는 신경증상이 나타나는 시기로 진행되었는데, 혈액-뇌 장벽이 ribavirin의 뇌에서 작용을 방해한다는 결과를 보였다.[77] 신경계 바이러스 감염기에 있는 동물에서 생체실험시 효과는 80% 정도, 대조군에서는 50%를 보였다. 생존율은 치료 후 15일까지 기록되었으며, 치료 이후 생존율 기록은 기록되지 않았다.[78] ribavirin의 사용은 백혈구 감소증의 위험 때문에 신중하게 관찰하면서 사용하는 것이 필요하다. 또한 긴 사슬 트리글리세리드의 섭취가 약의 흡수를 더 촉진시키며[79] 위 조직을 보호한다.
의학이나 수의학계에서는 폭넓게 받아들이고 있지만, 여전히 효과와 관련해 연구 중이며, 가장 질병을 차단하는 믿을 만한 방법은 약독화 생백신을 통한 예방접종으로 주위 집단으로 홍역이 퍼져나가는 것을 막는 것이다. 하지만, 개용 백신을 개 이외의 종에게 접종하면, 접종한 동물의 사망을 초래하는 경우가 있다.
10. 파제트병과의 관련성
파라믹소바이러스는 오랫동안 뼈가 국소적으로 파괴되는 질환인 파제트병의 원인체로 의심되었다. 파라믹소바이러스에는 개 홍역 바이러스(CDV), 홍역, 호흡기 세포융합 바이러스, 유인원 바이러스 5, 파라인플루엔자 바이러스 3형 등이 있다.[80][81][82] 대부분 연구에서 CDV와 홍역을 더 직접적으로 언급하고 있다. ''in situ'' RT-PCR같은 바이러스 검출방법을 사용시 파제트병 검체에서 CDV 발견율은 100%이다.[83]
11. 한국에서의 개 홍역
한국에서는 백신 접종이 보편화되면서 개 홍역 발생률이 크게 감소했지만, 유기견이나 야생동물 사이에서는 여전히 발생하고 있다. 특히, 야생동물과의 접촉이 빈번한 농촌 지역이나 도시 외곽 지역에서 발생 위험이 높다.[37] 최근에는 반려견 문화 확산과 함께 해외에서 유입되는 사례도 보고되고 있어, 검역 및 예방 관리 강화가 필요하다.
개 홍역은 일본을 포함한 전 세계에서 발생하고 있다.[38] 19세기 중반 Karle에 의해 개 간의 감염 실험이 성공했지만, 바이러스성 질환임이 밝혀지고 상세한 연구가 시작된 것은 20세기에 들어서이다. 일본늑대의 멸종 원인이 된 질환이기도 하다.
개 홍역 바이러스는 인수공통감염병은 아니지만, 야생동물 개체 수 감소 및 생태계 교란을 유발할 수 있으므로, 적극적인 예방 및 관리 노력이 필요하다. 현재에도 개의 중요한 질환인 한편, 지금까지 노출되지 않았던 야생동물에게도 피해가 확대되고 있다.[39]
참조
[1]
웹사이트
ICTV Taxonomy history: Canine morbillivirus
https://ictv.global/[...]
2019-01-15
[2]
웹사이트
canine distemper – Invasive Species Compendium – CABI
http://www.cabi.org/[...]
[3]
논문
Canine Distemper in Terrestrial Carnivores: A Review
http://www.allthings[...]
2017-12-05
[4]
논문
Cross-species transmission of canine distemper virus – an update
2015-09-13
[5]
웹사이트
Animal Health
http://lbl.global/pd[...]
2017-10-30
[6]
웹사이트
distemper (definition)
Oxford University Press
2017-12-06
[7]
웹사이트
distemper (definition)
Houghton Mifflin Harcourt
2017-12-06
[8]
서적
Volume 11 of the series Virology Monographs / Die Virusforschung in Einzeldarstellungen
Springer Vienna
1972
[9]
논문
Grease, anthraxgate, and kennel cough: a revisionist history of early veterinary vaccines
1999
[10]
논문
The Evolutionary and Epidemiological Dynamics of the Paramyxoviridae
[11]
논문
Cross‐species transmission and evolutionary dynamics of canine distemper virus during a spillover in African lions of Serengeti National Park
https://onlinelibrar[...]
2020-11
[12]
논문
A canine distemper virus epidemic in Serengeti lions (Panthera leo)
https://www.nature.c[...]
1996-02
[13]
서적
Veterinary Pathology
Blackwell Publishing
[14]
서적
Infectious diseases of the dog and cat
Elsevier/Saunders
2012
[15]
서적
Veterinary Microbiology
Blackwell Publishing
[16]
웹사이트
Canine Distemper: What You Need To Know
http://www.veterinar[...]
2010-12-06
[17]
웹사이트
Canine Distemper Overview – Generalized Conditions
http://www.merckmanu[...]
2014-12-15
[18]
논문
Pathogen evolution and disease emergence in carnivores
2007-12
[19]
논문
Homologous recombination is a force in the evolution of canine distemper virus
2017-04-10
[20]
웹사이트
Canine Distemper (Hardpad Disease) – Dog Owners
http://www.merckmanu[...]
2014-12-15
[21]
논문
Mass die-off of Caspian seals caused by canine distemper virus.
https://www.ncbi.nlm[...]
[22]
논문
Seroprevalence of Canine Distemper Virus in Cats
2001-05
[23]
서적
Infectious Diseases of the Dog and Cat
Elsevier
2006
[24]
논문
Fatal canine distemper virus infection of giant pandas in China
2016-06-16
[25]
논문
Cross-species transmission of canine distemper virus-an update
2015-12
[26]
웹사이트
Health Topics: Pet Health: Canine Distemper: Canine Distemper Overview
http://www.healthcom[...]
2014-11-04
[27]
웹사이트
Paramyxoviridae
http://www.ivis.org/[...]
2006-06-24
[28]
서적
Veterinary Microbiology
Blackwell Publishing
[29]
웹사이트
Canine Distemper: Current Status
http://www.ivis.org/[...]
2006-06-24
[30]
웹사이트
Canine Distemper
https://acadogs.com/[...]
American Canine Association, Inc.
2015-04-13
[31]
웹사이트
NDV-Induced Serum
http://www.kindheart[...]
Kind Hearts in Action
2012-10-31
[32]
웹사이트
Canine Distemper (CDV)
http://www.shelterme[...]
2013-08-17
[33]
웹사이트
Canine Distemper: Prevention of Infections
http://www.marvistav[...]
2012-04-09
[34]
웹사이트
Overview of Canine Distemper: Canine Distemper: Merck Veterinary Manual
http://www.merckvetm[...]
Merck Sharp & Dohme Corp
2016-02-13
[35]
서적
A Practical Guide to Canine and Feline Neurology
Iowa State Pr
[36]
논문
In vitro efficacy of ribavirin against canine distemper virus
2008-02
[37]
웹사이트
AHS ISSUES VALLEYWIDE PET HEALTH ALERT
http://www.azhumane.[...]
2012-04-09
[38]
논문
Dog distemper: imported into Europe from South America
[39]
논문
Canine distemper in terrestrial carnivores: a review
[40]
논문
A canine distemper virus epidemic in Serengeti lions (Panthera leo)
[41]
간행물
Canine distemper virus infection and encephalitis in javelinas (collared peccaries)
[42]
서적
動物病理学各論
[43]
웹사이트
カニクイザルのイヌジステンパーウイルスによる感染死亡事例
http://idsc.nih.go.j[...]
国立感染症研究所 感染症情報センター
2008-11-27
[44]
논문
イヌジステンパーウイルスの最近の流行
https://agriknowledg[...]
[45]
논문
感染症制御における野生動物医学 : 新たな衛生動物を標的にした視点
https://hdl.handle.n[...]
日本衛生動物学会
[46]
문서
2001-05
[47]
문서
2001-05
[48]
문서
2006
[49]
문서
2001-05
[50]
문서
2006
[51]
문서
2007-12
[52]
웹사이트
Canine Distemper (Hardpad Disease)
http://www.merckmanu[...]
2014-12-15
[53]
웹사이트
Overview of Canine Distemper
http://www.merckmanu[...]
2014-12-15
[54]
문서
Feline distemper
[55]
문서
Distemper in Dogs: Signs, Diagnosis and Treatment of Distemper, About Home/Veterinary Medicine
[56]
문서
[57]
문서
[58]
문서
[59]
문서
[60]
문서
2007-12
[61]
문서
[62]
문서
[63]
문서
[64]
문서
[65]
문서
[66]
문서
[67]
웹인용
보관된 사본
https://acadogs.com/[...]
2015-04-13
[68]
문서
Health Topics: Pet Health: Canine Distemper: Canine Distemper Overview, Canine Distemper Signs & Symptoms, Canine Distemper Transmission
2014-12-15
[69]
문서
[70]
웹사이트
Canine Distemper: What You Need To Know
http://www.veterinar[...]
[71]
웹사이트
NDV-Induced Serum
http://www.kindheart[...]
[72]
웹사이트
Canine Distemper (CDV)
http://www.shelterme[...]
[73]
웹인용
"[웰펫케어 - 웰펫케어] 집으로 직접 찾아가는 가장 안전하고 효과적인 반려동물 살균소독 홈케어 서비스"
http://wellpetcare.m[...]
2019-01-02
[74]
웹인용
"[웰펫케어 - 웰펫케어] 집으로 직접 찾아가는 가장 안전하고 효과적인 반려동물 살균소독 홈케어 서비스"
http://wellpetcare.m[...]
2019-01-02
[75]
논문
[76]
논문
[77]
논문
[78]
논문
[79]
논문
[80]
논문
[81]
논문
[82]
논문
[83]
논문
[84]
웹사이트
AHS ISSUES VALLEYWIDE PET HEALTH ALERT
http://www.azhumane.[...]
[85]
저널
Pet Overpopulation
http://www.aspcapro.[...]
2015-11-26
[86]
웹사이트
Canine Distemper: Prevention of Infections
http://www.marvistav[...]
본 사이트는 AI가 위키백과와 뉴스 기사,정부 간행물,학술 논문등을 바탕으로 정보를 가공하여 제공하는 백과사전형 서비스입니다.
모든 문서는 AI에 의해 자동 생성되며, CC BY-SA 4.0 라이선스에 따라 이용할 수 있습니다.
하지만, 위키백과나 뉴스 기사 자체에 오류, 부정확한 정보, 또는 가짜 뉴스가 포함될 수 있으며, AI는 이러한 내용을 완벽하게 걸러내지 못할 수 있습니다.
따라서 제공되는 정보에 일부 오류나 편향이 있을 수 있으므로, 중요한 정보는 반드시 다른 출처를 통해 교차 검증하시기 바랍니다.
문의하기 : help@durumis.com
