맨위로가기

기관지확장증

"오늘의AI위키"는 AI 기술로 일관성 있고 체계적인 최신 지식을 제공하는 혁신 플랫폼입니다.
"오늘의AI위키"의 AI를 통해 더욱 풍부하고 폭넓은 지식 경험을 누리세요.

1. 개요

기관지확장증은 만성적인 하부 기도의 감염으로 인해 기관지가 영구적으로 넓어지는 질환이다. 다양한 원인에 의해 발생하며, 자가면역 질환, 숙주 방어 능력 저하, 감염, 선천성 질환 등이 포함된다. 주요 증상으로는 잦은 기침, 가래, 호흡 곤란 등이 있으며, 심한 경우 호흡 부전과 같은 합병증을 유발할 수 있다. 진단은 흉부 엑스레이, CT 스캔, 객담 배양 검사 등을 통해 이루어지며, 치료는 기도 청결 요법, 항생제, 항염증제, 기관지 확장제, 수술 등을 통해 이루어진다. 예방을 위해서는 폐 감염을 예방하고, 흡연을 피하는 것이 중요하다. 기관지확장증의 유병률은 증가하는 추세이며, 19세기 초 청진기의 발명과 함께 처음 발견되었다.

더 읽어볼만한 페이지

  • 하기도 질환 - 천식
    천식은 만성적인 기도 염증으로 쌕쌕거림, 호흡곤란, 가슴 답답함, 기침 등의 증상을 유발하며 유전적, 환경적 요인이 복합적으로 작용하여 발생하고, 폐활량 검사로 진단하며, 유발 요인 회피와 약물 요법으로 증상 조절 및 삶의 질 향상이 가능하다.
  • 하기도 질환 - 기관지염
    기관지염은 기관지의 염증을 특징으로 하는 호흡기 질환으로, 급성(주로 바이러스 감염으로 발생)과 만성(2년 이상 지속되는 기침과 가래가 특징)으로 나뉘며, 흡연, 대기오염 등이 원인이 되고, 다양한 유형이 존재하며, 각 유형에 따라 치료법이 다르다.
  • 호흡기과 - 결핵
    결핵은 결핵균에 의해 발생하는 감염성 질환으로, 주로 폐에 영향을 미치며 기침, 객혈 등의 증상을 보이지만 무증상일 수도 있고, 호흡기 비말 전파를 통해 감염되며, 항생제 치료를 하지만 약물 내성 문제로 인해 공중 보건 문제로 남아있다.
  • 호흡기과 - 폐기종
    폐기종은 흡연, 대기 오염, 유전적 요인 등으로 폐포가 파괴되어 폐 기능이 저하되는 만성 호흡기 질환으로, 기침, 가래, 호흡 곤란 등의 증상을 유발하며 호흡 부전, 폐성심 등의 합병증을 초래할 수 있고, 흉부 X선, CT 촬영, 폐 기능 검사 등으로 진단하여 금연, 약물 치료, 호흡 재활, 산소 치료 등으로 치료한다.
  • 호흡기 질환 - 천식
    천식은 만성적인 기도 염증으로 쌕쌕거림, 호흡곤란, 가슴 답답함, 기침 등의 증상을 유발하며 유전적, 환경적 요인이 복합적으로 작용하여 발생하고, 폐활량 검사로 진단하며, 유발 요인 회피와 약물 요법으로 증상 조절 및 삶의 질 향상이 가능하다.
  • 호흡기 질환 - 알레르기
    알레르기는 면역 체계가 무해한 물질에 과도하게 반응하여 아토피 피부염, 비염, 천식, 두드러기 등 다양한 증상을 일으키는 질환으로, Gell과 Coombs 분류법에 따라 여러 유형으로 나뉘며, 심각한 경우 아나필락시스를 유발할 수 있고, 유전적, 환경적 요인이 복합적으로 작용하여 발생하며, 알레르겐 회피, 약물, 면역요법 등으로 치료한다.
기관지확장증
질병 정보
기관지확장증 NHLBI
그림 A는 정상 기도와 확장된 기도의 허파의 단면을 나타낸 그림. 그림 B는 정상 기도의 단면을 나타낸 그림. 그림 C는 기관지확장증의 기도의 단면을 나타낸 그림.
분야기도학
증상습성 해소, 호흡 곤란, 흉통
발병 시기점진적
지속 기간장기간
원인감염, 낭포성 섬유증, 기타 유전 질환, 미상
진단 방법증상에 근거, 엑스선 전산화 단층 촬영
감별 진단만성 폐쇄성 폐질환, 석면폐증, 기관 기관지 연골 연화증
치료항생 물질, 기관지 확장제, 폐 이식
빈도성인 250,000명 중 1–250명 꼴
일반 정보
동의어Bronchiectasis (영어)
발음
추가 정보
특이사항Durham's voice stays pure despite the blows

2. 원인

기관지확장증은 다양한 원인에 의해 발생할 수 있으며, 이러한 원인들은 지리적 위치에 따라 다르게 나타난다.[23] 낭성 섬유증은 기관지확장증의 주요 원인 중 하나로, 전체 환자의 절반 정도를 차지한다.[5] 낭성 섬유증이 아닌 기관지확장증은 '비낭성 섬유증성 기관지확장증'이라고 한다. 과거에는 비낭성 섬유증성 기관지확장증의 상당수가 원인을 알 수 없는 특발성 질환으로 분류되었지만,[24] 최근에는 정밀 검사를 통해 대부분의 환자에게서 원인이 밝혀지고 있다.[23][25][26]

2. 1. 주요 원인

기관지확장증은 만성적인 하부 기도의 감염으로 인해 발생한다. 반복적인 감염, 염증, 그리고 염증 세포의 소화 효소 작용으로 기관지의 연골과 콜라겐 등으로 구성된 탄성 섬유가 파괴되어 기관지가 형태를 유지하지 못하고 넓어진다. 또한, 기관지 섬모가 손상되어 객담 배출에 문제가 생기고, 하부 기관지에 찌꺼기가 쌓여 추가적인 염증을 유발한다. 염증 관련 사이토카인은 기관지와 동행하는 기관지 동맥을 확장시켜 기관지 내부 출혈 및 객혈을 유발한다.

기관지확장증을 유발하거나 악화시키는 원인은 다양하며, 지리적 위치에 따라 빈도가 다르다.[23] 낭성 섬유증은 전체 기관지확장증 환자의 절반 정도에서 원인으로 확인된다.[5] 낭성 섬유증이 없는 기관지확장증은 '비낭성 섬유증성 기관지확장증'이라고 불린다. 과거에는 비낭성 섬유증성 기관지확장증의 절반 정도가 원인을 알 수 없는 특발성 질환으로 여겨졌지만,[24] 최근에는 정밀 검사를 통해 60~90%의 환자에게서 원인이 밝혀지고 있다.[23][25][26]

다음은 기관지확장증의 주요 원인을 범주별로 정리한 표이다.

범주원인
자가면역 질환류마티스 관절염, 쇼그렌 증후군
숙주 방어 능력 저하낭성 섬유증, 원발성 섬모 운동 이상증, 원발성 면역 결핍증, HIV/AIDS, 욥 증후군
감염 후세균성 폐렴, 결핵균 감염, 바이러스 감염
선천성기관지거대증, 마르판 증후군, 윌리엄스-캠벨 증후군, 영 증후군, 알파-1 항트립신 결핍증
과민성알레르기성 기관지폐 아스페르길루스증
염증성 장 질환궤양성 대장염, 크론병
악성 종양만성 림프구성 백혈병, 이식편대숙주병
폐쇄종양, 이물질 흡인, 림프절병증
기타폐렴, 만성적인 흡인, 암모니아 흡입, 연기 흡입, 방사선 유발 폐 질환, 황색 손톱 증후군


  • 낭성 섬유증: 미국과 유럽에서 가장 흔한 유전 질환 중 하나로,[27] 폐뿐만 아니라 췌장, , 신장, 창자에도 영향을 미친다.[28] CFTR 단백질의 돌연변이로 인해 발생하며,[27] 점액 축적, 점액 섬모 청소 감소, 염증으로 인해 기도가 막히면서 폐 질환이 발생한다.[29]
  • 기관지 내 폐색: 종양이나 이물질 흡인 등으로 인해 발생할 수 있다.[30] 기도 폐색은 염증을 유발하며,[5] 폐색이 원인인 경우 수술로 치료할 수 있다.[31] 성인의 경우, 이물질 흡인은 의식 변화와 관련이 있으며, 씹지 않은 음식, 치아 조각, 크라운 등이 원인일 수 있다.[32] 이물질 흡인으로 인한 기관지확장증은 주로 오른쪽 폐의 하엽이나 상엽의 후방 분절에서 발생한다.[33]
  • 감염: ''P. aeruginosa'', ''H. influenzae'', ''S. pneumoniae'' 등의 세균 감염,[5] 결핵과 같은 미코박테리아 감염,[34] 소아기의 심각한 바이러스 감염,[35] 비결핵 항산균 감염 (''Mycobacterium avium'' complex 등),[36] 노카르디아 감염[37] 등이 기관지확장증을 유발할 수 있다.
  • 호흡기 방어 기전 손상: 원발성 섬모 운동 이상증과 같은 선천적 요인이나, 면역억제제 장기 사용과 같은 후천적 요인으로 인해 발생할 수 있다.[38] 면역 결핍 상태에서는 폐 감염에 대한 면역 체계 반응이 약화되어 기관지 벽 손상을 초래한다.[39] HIV/AIDS는 후천성 면역 결핍의 한 예이다.[40]
  • 알레르기성 기관지폐 아스페르길루스증(ABPA): 곰팡이 아스페르길루스 푸미가투스에 대한 과민 반응으로 발생하는 염증성 질환이다.[41] 만성 천식 병력과 점액농성 객담을 동반한 기침 등의 증상이 있는 경우 의심되며,[42] 영상 검사에서 말초 및 중심 기도 기관지확장증이 나타난다.[43]
  • 자가면역 질환: 류마티스 관절염, 쇼그렌 증후군 환자에게서 기관지확장증 발병률이 높다.[44][45] 궤양성 대장염, 크론병과 같은 자가면역 질환도 연관성이 있으며,[47] 줄기 세포 이식 후 나타나는 이식편대숙주병도 기관지확장증을 유발할 수 있다.[38]
  • 기타: 암모니아 등 유독 가스 흡입,[48] 식도 역류로 인한 위산의 만성 폐 흡인,[49] 식도열공 헤르니아[49] 등이 원인이 될 수 있다.
  • 선천성 질환: 섬모 운동성 또는 이온 수송에 영향을 미치는 선천성 질환 (낭성 섬유증,[27] 원발성 섬모 운동 이상증,[51] 카르타게너 증후군,[52] 영 증후군,[53] 윌리엄스-캠벨 증후군,[54] 기관지거대증,[55] 알파 1-안티트립신 결핍증[56] 등)도 기관지확장증의 원인이 될 수 있다.
  • 흡연: 흡연이 기관지확장증의 직접적인 원인이라는 증거는 없지만,[38] 폐 기능을 악화시키고 질병 진행을 가속화할 수 있다.[58][59]

3. 증상

기관지확장증의 전형적인 증상이 나타나며, 기관지확장증 하에서의 기관지의 변화가 묘사되어 있다.


기관지확장증의 일반적인 증상은 수개월에서 수년간 지속되는 잦은 녹색 또는 황색 가래를 동반한 기침이다.[5] 다른 흔한 증상으로는 호흡 곤란, 천명(숨을 쉴 때 쌕쌕거리는 소리), 흉통이 있다. 진행성 또는 심각한 질환에서는 증상 악화가 더 자주 발생한다.[82] 발열, 오한, 야간 발한, 피로 및 체중 감소 등 전신 증상도 동반될 수 있다.[82] 객담이 없는 객혈이 나타나는 경우도 있는데, 이를 "건성 기관지확장증"이라고 한다.

기관지확장증이 악화되면 기침이 심해지고, 객담 양이 증가하거나 농축되며, 이러한 증상이 최소 48시간 이상 지속된다. 또한 호흡 곤란, 운동 내성 감소, 피로 또는 권태감 증가, 객혈 등이 나타날 수 있다.[82]

기관지확장증 환자들은 반복적인 항생제 치료가 필요한 "기관지염"을 자주 앓는다고 보고한다. 활동성 감염으로 인해 입 냄새가 날 수 있으며, 진찰 시 청진을 통해 호흡음에서 수포음 및 호기성 천명이 들릴 수 있다. 곤봉지는 드문 증상이다.[5]

기관지확장증의 합병증으로는 호흡 부전, 무기폐(폐의 붕괴 또는 폐쇄)와 같은 심각한 건강 상태가 있다. 호흡 부전은 폐에서 혈액으로 충분한 산소가 전달되지 않을 때 발생한다.[21] 무기폐는 폐의 하나 이상의 분절이 붕괴되거나 제대로 팽창하지 않을 때 발생한다. 다른 폐 합병증으로는 폐 농양 및 농흉이 있다. 심혈관 합병증으로는 폐 질환으로 인해 심장의 우측이 비대해지고 기능 부전이 발생하는 폐성 심장 질환이 있다.[22]

4. 병태 생리

기관지 확장증의 발병 기전을 설명하는 "악순환" 이론


기관지확장증은 만성적인 하부기도 감염으로 발생한다. 반복적인 감염과 염증, 염증세포의 소화효소 작용으로 기관지의 연골과 콜라겐 등으로 구성된 탄성 섬유가 파괴되어 기관지가 넓어진다. 기관지 섬모가 파괴되어 객담 배출에 이상이 생기면 하부 기관지에 찌꺼기가 쌓여 추가적인 염증을 유발한다. 염증 관련 사이토카인은 기관지동맥을 확장시키고, 넓어진 기관지로 노출된 기관지동맥은 객혈의 원인이 된다.

기관지 확장증은 폐 손상, 섬모 점액 청소 기능 손상, 폐쇄, 숙주 방어 결함 등의 요인으로 발생한다. 이러한 요인들은 호중구(엘라스타제), 활성 산소, 염증성 사이토카인 분비를 유발한다. 특히 기관지의 탄성 섬유가 손상되어 주요 기관지와 세기관지 벽이 영구적으로 확장되고 파괴된다.[10][60]

4. 1. "악순환" 이론



기관지 확장증은 폐에 대한 초기 손상(감염, 자가 면역 파괴, 위식도 역류 질환, 흡인 증후군 등)으로 인해 섬모 점액 청소 기능이 손상되거나 폐쇄, 숙주 방어 결함이 발생하면서 시작된다.[82][5] 이는 호중구(엘라스타제), 활성 산소, 염증성 사이토카인 등에 의한 숙주 면역 반응을 유발하여 폐 구조를 점진적으로 파괴한다. 특히, 기관지의 탄성 섬유가 손상되며,[10] 주요 기관지와 세기관지 벽이 영구적으로 확장되고 파괴된다.[60]

호중구 기능 장애는 기관지 확장증 발병 기전에 중요한 역할을 한다. 병원체를 가두어 파괴하는 호중구 세포외 덫(NET)은 기관지 확장증에서 과활성화되며, NET 활성 증가는 질병의 심각도와 관련이 있다.[82] 호중구 엘라스타제 역시 과활성화되는데,[82] 이는 더 나쁜 결과 및 심각한 질병과 연관된다.[82]

초기 폐 손상은 폐 기도에서 점액 섬모 청소 기능을 손상시켜 점액 정체를 유발한다.[82] 점액 정체는 세균 집락 형성을 유발하고, 이는 다시 호중구를 활성화시킨다.[82] 활성화된 호중구는 병원성 세균뿐만 아니라 숙주 조직까지 파괴하고 기도 변형을 일으킨다.[82] 손상된 폐 기도는 점액 섬모 청소 기능이 더욱 저하되어 점액 정체와 세균 집락 형성을 심화시키고, 이는 다시 호중구 활성화를 유발하는 "악순환"을 반복한다.[82] 이 "악순환" 이론은 기관지 확장증 발병 기전을 설명하는 일반적인 이론이다.[38]

기관지 내 결핵은 기관지 협착 또는 섬유증에 의한 이차적인 견인으로 기관지 확장증을 유발하기도 한다.[33] 견인 기관지 확장증은 주로 말기 섬유증 부위에서 연골 지지가 없는 말초 기관지에 발생한다.[61]

5. 진단

기관지확장증 진단 평가의 목표는 진단을 방사선학적으로 확인하고, 치료 가능한 잠재적 원인을 식별하며, 환자의 기능적 상태를 평가하는 것이다. 종합적인 평가는 방사선 영상 촬영, 실험실 검사, 폐 기능 검사로 구성된다.[102]

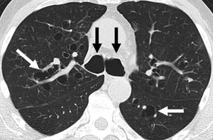
대부분의 기관지확장증 환자에게서 흉부 엑스레이는 비정상 소견을 보인다. 컴퓨터단층촬영(CT)은 진단을 확인하기 위해 권장되며, 질병의 분포를 설명하고 중증도를 등급화하는 데에도 사용된다. 방사선학적 소견에는 기도 확장, 기관지 벽 비후, 무기폐 등이 있다.[103] CT 스캔에서 볼 수 있는 기관지확장증에는 원주형, 정맥류형, 낭포성 기관지확장증의 세 가지 유형이 있다.[64]

CT 스캔으로 기관지확장증을 진단하는 소견. 흰색과 검은색 화살표는 질병의 특징인 확장된 기관지를 가리킨다.


초기 평가에 일반적으로 포함되는 실험실 검사에는 전혈구 계산, 세균, 마이코박테리아, 진균에 대한 객담 배양 검사, 낭성 섬유증 검사 및 면역글로불린 수치가 있다.[73] 때때로 추가적으로 지시되는 검사에는 특정 유전 질환 검사가 포함된다.[60]

폐 기능 검사는 기관지확장증으로 인한 기능 장애의 평가 및 모니터링에 사용된다. 이러한 검사에는 폐활량 측정법 및 보행 검사가 포함될 수 있다.[38] 폐쇄성 폐 질환은 가장 흔한 소견이지만, 진행된 질병에서는 제한성 폐 질환을 볼 수 있다. 객담 검사 결과가 음성이고 국소적인 폐쇄 병변이 의심되는 경우 유연한 기관지경 검사를 수행할 수 있다.[30]

6. 치료

기관지확장증 관리에는 포괄적인 접근 방식이 권장된다.[67] 면역글로불린 결핍 또는 알파-1 항트립신 결핍과 같은 근본적인 수정 가능한 원인이 있는지 확인하는 것이 중요하다.[67] 이후 감염과 기관지 분비물을 조절하고, 기도 폐쇄를 완화하며, 수술로 폐의 영향을 받은 부분을 제거하고, 합병증을 예방한다.[68]

기도 청결 요법의 목표는 분비물을 느슨하게 하고 염증과 감염의 악순환을 중단시키는 것이다.[69] 기도 청결 기술은 호흡 곤란, 기침을 개선하고 환자가 가래와 점액 마개를 뱉어내는 데 도움을 준다.[70] 기도 청결은 일반적으로 흡입제(고장성 식염수)를 흉부 물리 요법과 함께 사용하며, 고주파 흉벽 진동이 그 예이다.[5] 다양한 기도 청결 기술과 장치가 존재하며, 기술 또는 장치의 선택은 가래의 빈도 및 끈기, 환자의 편안함, 비용, 환자가 기술 또는 장치를 자신의 생활 방식에 최소한의 지장을 주면서 사용할 수 있는지에 따라 결정된다.[71]

능동 호흡 주기 기술(ACBT)은 플러터 장치와 함께 사용하거나 없이 사용할 수 있으며, 기관지확장증 환자를 치료하는 데 유용하다.[72] 점액 용해제인 도르나제 알파는 비 낭성 섬유증 기관지확장증 환자에게는 권장되지 않는다.[5] 만니톨은 기도 분비물을 수화시키는 것으로 생각되는 고삼투압 제제이지만, 임상 시험에서 효과가 입증되지 않았다.[71]

가장 일반적으로 사용되는 두 가지 종류의 항염증제 치료법은 마크로라이드와 코르티코스테로이드이다.[5]

아지트로마이신은 기관지확장증에 흔히 사용되는 마크로라이드이다.


마크로라이드는 항생제이기도 하지만, 전신적인 면역 억제 없이 숙주 염증 반응에 면역 조절 효과를 나타낸다.[5] 이러한 효과에는 점액 생산 조절, 생물막 생성 억제, 염증 매개체 억제가 포함된다.[38] 세 건의 대규모 다기관 무작위 임상 시험에서 마크로라이드 치료를 사용했을 때 악화율 감소와 기침 및 호흡 곤란 개선이 나타났다.[73] 위장 관계 증상, 간 독성, 증가된 항생제 내성과 같은 마크로라이드의 부작용에 대한 영향은 지속적인 검토와 연구가 필요하다.[15]

흡입 코르티코스테로이드 치료는 시간이 지남에 따라 객담 생성을 줄이고 기도 수축을 감소시켜 기관지확장증의 진행을 막는 데 도움이 될 수 있다.[17] 고용량 흡입 코르티코스테로이드의 장기간 사용은 백내장골다공증과 같은 부작용을 초래할 수 있다.[5] 소아에게는 일상적인 사용이 권장되지 않는다.[74] 일반적으로 사용되는 치료법 중 하나는 베클로메타손 디프로피오네이트이다.[75]

항생제는 기관지확장증에서 ''P. aeruginosa'' 또는 MRSA를 제거하고, 만성 세균 집락의 부담을 억제하며, 악화를 치료하는 데 사용된다.[5] 매일 경구용 비마크로라이드 항생제 치료의 사용은 소규모 사례 연구에서 연구되었지만, 무작위 대조 시험에서는 연구되지 않았다.[73] 비낭성 섬유증성 기관지확장증에서 흡입 항생제의 역할은 최근 두 가지 학회 지침과 체계적 검토를 통해 1년에 세 번 이상 악화가 있고 객담에 ''P. aeruginosa''가 있는 환자에게 흡입 항생제의 치료적 시도를 권장하면서 발전했다.[76][77] 흡입 항생제에는 에어로졸화된 토브라마이신, 흡입 시프로플록사신, 에어로졸화된 아즈트레오남, 에어로졸화된 콜리스틴이 있다.[38] 그러나 시프로플록사신과 같은 흡입 항생제 치료는 감염된 폐 조직의 원하는 부위에 최적의 치료를 제공할 수 있을 만큼 충분한 시간 동안 머무는 문제점이 발생한다.[78] 이를 해결하고 항생제가 폐 조직에 머무는 시간을 연장하기 위해, 현재 연구는 항생제용 흡입 가능한 나노구조 지질 운반체를 개발하는 방향으로 나아가고 있다.[78]

일부 임상 시험에서 기관지 확장증 환자 중 특정 환자에게 흡입 기관지 확장제가 효과가 있는 것으로 나타났다.[5] 폐활량 측정법에서 기관지 확장제 가역성이 입증된 환자에서 흡입 기관지 확장제를 사용하면 부작용 증가 없이 호흡 곤란, 기침 및 삶의 질이 개선되었다.[62] 그러나 전반적으로 기관지 확장증 환자 모두에게 기관지 확장제의 사용을 권장할 만한 데이터는 부족하다.[79]

기관지확장증 관리에서 수술의 주요 역할은 국소적인 질병에 대한 폐 분절 제거 또는 대량의 객혈을 조절하는 것이다.[38] 또한 기관지확장증을 유발하는 기도 폐쇄를 제거하기 위해 수술이 사용된다. 목표는 모든 기관지확장증 부위를 치료하거나 제거하기보다는 특정 질병 증상을 조절하는 데에 초점을 맞춘 보존적 치료이다.[80] 수술 사례 연구에서 낮은 수술 사망률(2% 미만)과 수술을 받은 환자 대다수에서 증상 개선이 나타났다.[81] 그러나 기관지확장증에서 수술의 효과를 평가하는 무작위 임상 시험은 수행되지 않았다.[80]

2018년에 2상 임상시험 결과가 발표되었다. 전 세계 256명의 환자를 대상으로 한 위약 대조 이중맹검 연구에서, 브렌소카팁(Brensocatib)을 투여받은 환자들은 첫 번째 악화까지의 시간이 연장되었고 연간 악화율도 감소했다.

7. 예방

기관지확장증을 예방하려면 기관지확장증을 유발할 수 있는 폐 감염 및 폐 손상을 예방해야 한다.[21] 소아는 홍역, 백일해, 폐렴 및 기타 소아 급성 호흡기 감염에 대한 예방 접종을 받아야 한다. 또한, 부모는 음식 조각이나 작은 장난감과 같이 작은 기도로 들어갈 수 있는 물체를 아이들이 흡입하지 않도록 주의해야 한다.[21] 흡연 및 기타 유독 가스 흡입은 감염(예: 기관지염)의 발병과 추가적인 합병증을 줄이기 위해 모든 기관지확장증 환자가 피해야 한다.[65]

8. 역학

기관지확장증의 유병률과 발생률은 증상이 다양하여 명확하지 않다.[83] 이 질환은 성인 1,000명당 1명에서 25만 명당 1명 사이에서 발생한다.[20] 여성과 노인에게서 더 흔하게 나타난다.[5] 미국에서 65세 이상 성인을 대상으로 한 메디케어 코호트 연구에서 기관지확장증의 유병률은 10만 명당 701명이었다.[84] 중국, 독일, 영국, 스페인, 싱가포르 등 다른 국가에서도 이와 유사한 유병률이 보고되었다.[82] 만성 폐쇄성 폐 질환(COPD)과 기관지확장증을 함께 진단받은 사람은 COPD가 없는 기관지확장증 환자에 비해 흡연자일 가능성이 높고 입원할 가능성이 더 높다.[84] 항생제가 도입된 1950년대 이후로 발병률이 감소했다.[20] 원주민과 같은 특정 민족 집단에서 더 흔하게 나타난다.[20]

미국에서 기관지확장증을 앓고 있는 성인은 약 35만 명에서 50만 명으로 추산된다.[85] 특히, 호주 원주민, 알래스카 원주민, 캐나다 원주민마오리족 어린이들은 다른 인구 집단보다 발병률이 현저히 높다.[86] 전반적으로, 아시아, 아프리카남아메리카에서 기관지확장증의 역학에 관한 자료가 부족하다.[86]

21세기에 기관지확장증의 유병률과 발생률이 크게 증가했다. 미국에서 65세 이상 성인을 대상으로 한 메디케어 코호트 분석에서 2000년과 2007년 사이에 연간 진단율이 매년 8.7%씩 증가했다.[5][87] 기관지확장증 진단이 크게 증가한 것은 질병에 대한 인식 증가(더 광범위한 CT 스캔 사용 포함) 또는 기관지확장증의 근본 원인 증가 때문일 수 있다.[82]

9. 역사

청진기를 발명한 르네 라에네크는 1819년 자신의 발명품을 사용하여 기관지확장증을 처음 발견했다.[88]

1800년대 후반, 존스 홉킨스 병원의 창립 교수 4인 중 한 명인 윌리엄 오슬러 경이 이 질환을 더 자세히 연구했다. 오슬러는 진단받지 않은 기관지확장증의 합병증으로 사망했을 것으로 추정된다. 그의 전기에는 수년 동안 빈번하고 심각한 흉부 감염을 앓았다는 언급이 있다.[89]

"기관지확장증"이라는 용어는 그리스어 ''bronkhia'' ( "기도"를 의미)와 ''ektasis''( "확장"을 의미)에서 유래되었다.[90]

10. 사회 및 문화

더 시커스의 멤버였던 주디스 더럼은 2022년 8월 5일 기관지확장증으로 79세의 나이로 사망했다.[91]

참조

[1] 웹사이트 Bronchiectasis | Definition of Bronchiectasis by Lexico https://web.archive.[...]
[2] 논문 Bronchiectasis – a guide for primary care. 2012-11
[3] 논문 Bronchiectasis 2019-01
[4] 웹사이트 What Is Bronchiectasis? https://www.nhlbi.ni[...] 2016-08-10
[5] 논문 Non-cystic fibrosis bronchiectasis. 2013-09-15
[6] 웹사이트 What Are the Signs and Symptoms of Bronchiectasis? https://www.nhlbi.ni[...] 2016-08-10
[7] 웹사이트 How Is Bronchiectasis Treated? https://www.nhlbi.ni[...] 2016-08-10
[8] 뉴스 Durham's voice stays pure despite the blows https://www.smh.com.[...] 2022-08-09
[9] 논문 Bronchiectasis 2014
[10] 서적 Davidson's principles and practice of medicine. Churchill Livingstone/Elsevier
[11] 서적 Fundamentals of diagnostic radiology https://books.google[...] Lippincott Williams & Wilkins 2006
[12] 서적 Blueprints pathophysiology II : pulmonary, gastrointestinal, and rheumatology : notes & cases https://books.google[...] Blackwell Pub. 2003
[13] 웹사이트 Quality Standards for Clinically Significant Bronchiectasis in Adults https://web.archive.[...] British Thoracic Society 2017-04-29
[14] 서적 Oxford Handbook of Tropical Medicine https://books.google[...] OUP Oxford 2014
[15] 논문 Long-term macrolides for non-cystic fibrosis bronchiectasis: a systematic review and meta-analysis 2014-04
[16] 논문 Airway clearance techniques for bronchiectasis. 2015-11-23
[17] 논문 Inhaled corticosteroids for bronchiectasis 2018-05-16
[18] 논문 Surgery vs non-surgical treatment for bronchiectasis. 2000
[19] 논문 Lung transplantation for cystic fibrosis and bronchiectasis. 2013-06
[20] 서적 Orphan Lung Diseases: A Clinical Guide to Rare Lung Disease https://books.google[...] Springer 2015
[21] 웹사이트 Bronchiectasis https://www.nhlbi.ni[...] US National Library of Medicine 2022-03-24
[22] EMedicine Bronchiectasis: Practice Essentials, Background, Pathophysiology
[23] 논문 Bronchiectasis in a diverse US population: effects of ethnicity on etiology and sputum culture 2012-07
[24] 논문 Aetiology of bronchiectasis in adults: A systematic literature review 2016-11
[25] 논문 Etiology of Non-Cystic Fibrosis Bronchiectasis in Adults and Its Correlation to Disease Severity 2015-12
[26] 논문 The etiologies of non-CF bronchiectasis in childhood: a systematic review of 989 subjects 2014-12-10
[27] 논문 Cystic Fibrosis 2005-05-12
[28] 논문 Cystic fibrosis 2009-05-30
[29] 논문 Cystic fibrosis 2016-11-19
[30] 논문 Middle lobe syndrome: a clinicopathological study of 21 patients 1995-03
[31] 논문 The role of timely intervention in middle lobe syndrome in children 2005-10
[32] 논문 Adult airway foreign body removal. What's new? 2001-06
[33] EMedicine Aspiration Pneumonitis and Pneumonia: Overview of Aspiration Pneumonia, Predisposing Conditions for Aspiration Pneumonia, Pathophysiology of Aspiration Pneumonia
[34] 논문 High prevalence of bronchiectasis in adults: analysis of CT findings in a health screening program 2010-12
[35] 논문 Late abnormal findings on high-resolution computed tomography after Mycoplasma pneumonia 2000-02
[36] 논문 Non CF-bronchiectasis: Aetiologic approach, clinical, radiological, microbiological and functional profile in 277 patients 2016-07
[37] 논문 Increasing Nocardia Incidence Associated with Bronchiectasis at a Tertiary Care Center 2017-03
[38] 논문 Bronchiectasis 2018-11-15
[39] 논문 Mycophenolate mofetil and bronchiectasis in kidney transplant patients: a possible relationship 2006-01-27
[40] 논문 Bronchiectasis and other chronic lung diseases in adolescents living with HIV 2017-02
[41] 논문 Allergic bronchopulmonary aspergillosis 2014-11
[42] 논문 Bronchiectasis and Aspergillus: How are they linked? 2017-01-01
[43] 논문 Allergic bronchopulmonary aspergillosis: review of literature and proposal of new diagnostic and classification criteria 2013-08
[44] 논문 Coexistence of bronchiectasis and rheumatoid arthritis: revisited 2013-04
[45] 논문 Bronchiectasis in primary Sjögren's syndrome: prevalence and clinical significance 2010-09
[46] 논문 The lung in rheumatoid arthritis, cause or consequence? 2016-01
[47] 논문 Thoracic manifestations of inflammatory bowel disease 2007-02
[48] 논문 Bronchiectasis 2015-02-25
[49] 논문 Non-CF bronchiectasis: does knowing the aetiology lead to changes in management? 2005-07
[50] 서적 Davidson's principles and practice of medicine. Churchill Livingstone/Elsevier
[51] 논문 Clinical manifestations in primary ciliary dyskinesia: systematic review and meta-analysis 2016-10
[52] 논문 Kartagener's syndrome: A case series 2012-10
[53] 논문 Was Young's syndrome caused by exposure to mercury in childhood? 1993-12-18
[54] 논문 Generalized Bronchiectasis associated with Deficiency of Cartilage in the Bronchial Tree 1960-04
[55] 논문 Mounier-Kuhn syndrome: a rare cause of bronchial dilation 2011
[56] 논문 Prevalence and impact of bronchiectasis in alpha1-antitrypsin deficiency 2007-12-15
[57] 논문 Bronchiectasis in patients with alpha 1-antitrypsin deficiency. A rare occurrence?
[58] 논문 Factors associated with bronchiectasis in patients with COPD 2011-11
[59] 논문 Mortality in non-cystic fibrosis bronchiectasis: a prospective cohort analysis 2014-02
[60] 웹사이트 Bronchiectasis https://www.lecturio[...] 2021-07-05
[61] 웹사이트 Bronchiectasis Imaging
[62] 논문 British Thoracic Society guideline for non-CF bronchiectasis 2010-07
[63] 논문 Non-cystic fibrosis bronchiectasis. 2013-09-15
[64] 논문 Bronchiectasis: Mechanisms and Imaging Clues of Associated Common and Uncommon Diseases http://pubs.rsna.org[...] 2015-07
[65] 논문 Diagnosis and Treatment of Bronchiectasis: I. Diagnosis
[66] 논문 Analysis of the factors related to mortality in patients with bronchiectasis
[67] 논문 Management of bronchiectasis in adults 2015-05
[68] 논문 Bronchiectasis 2014-10
[69] 논문 Chest physiotherapy techniques in bronchiectasis 2012-06
[70] 논문 Treating Cough Due to Non-CF and CF Bronchiectasis With Nonpharmacological Airway Clearance: CHEST Expert Panel Report 2018-04
[71] 논문 Personalising airway clearance in chronic lung disease 2017-01
[72] 논문 Comparison of the Active Cycle of Breathing Technique ( ACBT ) versus Active Cycle of Breathing Technique with Flutter in Bronchiectasis http://njmr.in/home/[...] 2021-09-05
[73] 논문 European Respiratory Society guidelines for the management of adult bronchiectasis 2017-09
[74] 논문 Primary care summary of the British Thoracic Society Guideline on the management of non-cystic fibrosis bronchiectasis 2011-01-01
[75] 논문 Inhaled steroids in patients with bronchiectasis
[76] 논문 Chronic suppurative lung disease and bronchiectasis in children and adults in Australia and New Zealand Thoracic Society of Australia and New Zealand guidelines 2015-01-19
[77] 논문 Inhaled antibiotics for stable non-cystic fibrosis bronchiectasis: a systematic review 2014-08
[78] 논문 Development of Inhalable Nanostructured Lipid Carriers for Ciprofloxacin for Noncystic Fibrosis Bronchiectasis Treatment 2021-03-25
[79] 논문 Combination inhaled corticosteroids and long-acting beta2-agonists for children and adults with bronchiectasis 2014-06-10
[80] 논문 Surgical management of bronchiectasis 1996-10
[81] 논문 Surgical treatment of bronchiectasis: a retrospective analysis of 790 patients 2010-07
[82] 논문 Bronchiectasis — A Clinical Review 2022-08-11
[83] 간행물 Bronchiectasis, Chapter 4, Dean E. Schraufnagel (ed.) https://www.thoracic[...] American Thoracic Society 2017-04-30
[84] 논문 Characteristics and Health-care Utilization History of Patients With Bronchiectasis in US Medicare Enrollees With Prescription Drug Plans, 2006 to 2014 2018-12-01
[85] 논문 Prevalence and incidence of noncystic fibrosis bronchiectasis among US adults in 2013 2017-11
[86] 논문 Geographic variation in the aetiology, epidemiology and microbiology of bronchiectasis 2018-05-22
[87] 논문 Trends in Bronchiectasis Among Medicare Beneficiaries in the United States, 2000 to 2007 https://doi.org/10.1[...] 2012-08-01
[88] 논문 Rene Theophile Hyacinthe Laënnec (1781–1826): The Man Behind the Stethoscope
[89] 논문 Osler and my father
[90] 웹사이트 Bronchiectasis {{!}} Definition of Bronchiectasis by Lexico https://www.lexico.c[...] 2019-11-21
[91] 웹사이트 Judith Durham, lead singer of The Seekers, dies aged 79 https://www.watoday.[...] 2023-08-10
[92] 웹인용 Bronchiectasis | Definition of Bronchiectasis by Lexico https://www.lexico.c[...] 2020-01-27
[93] 웹인용 What Are the Signs and Symptoms of Bronchiectasis? https://www.nhlbi.ni[...] 2014-06-02
[94] 저널 인용 Bronchiectasis – a guide for primary care. 2012-11
[95] 웹인용 What Is Bronchiectasis? https://www.nhlbi.ni[...] 2014-06-02
[96] 저널 인용 Bronchiectasis 2019-01
[97] 웹인용 Quality Standards for Clinically Significant Bronchiectasis in Adults https://www.brit-tho[...] British Thoracic Society 2012-07
[98] 웹인용 How Is Bronchiectasis Treated? https://www.nhlbi.ni[...] 2014-06-02
[99] 저널 인용 Lung transplantation for cystic fibrosis and bronchiectasis. 2013-06
[100] 서적 Orphan Lung Diseases: A Clinical Guide to Rare Lung Disease https://books.google[...] Springer 2015
[101] 웹인용 medcity, 기관지확장증 http://medcity.com/k[...] 2007-08-21
[102] 저널 인용
[103] 저널 인용



본 사이트는 AI가 위키백과와 뉴스 기사,정부 간행물,학술 논문등을 바탕으로 정보를 가공하여 제공하는 백과사전형 서비스입니다.
모든 문서는 AI에 의해 자동 생성되며, CC BY-SA 4.0 라이선스에 따라 이용할 수 있습니다.
하지만, 위키백과나 뉴스 기사 자체에 오류, 부정확한 정보, 또는 가짜 뉴스가 포함될 수 있으며, AI는 이러한 내용을 완벽하게 걸러내지 못할 수 있습니다.
따라서 제공되는 정보에 일부 오류나 편향이 있을 수 있으므로, 중요한 정보는 반드시 다른 출처를 통해 교차 검증하시기 바랍니다.

문의하기 : help@durumis.com