상피 조직
"오늘의AI위키"의 AI를 통해 더욱 풍부하고 폭넓은 지식 경험을 누리세요.
1. 개요
상피 조직은 세포들이 서로 밀착되어 결합하고, 기저막을 통해 주변 조직과 구분되는 조직이다. 세포 간 결합, 극성을 가지는 세포 구조, 다양한 세포 형태를 특징으로 하며, 입, 폐포, 콩팥 세뇨관 등 신체 내부 표면을 구성한다. 상피는 세포 층의 수와 세포 형태에 따라 단층, 중층, 거짓중층 상피로 분류되며, 기능에 따라 보호, 흡수, 분비, 수송 등의 역할을 수행한다. 발생학적으로 외배엽, 중배엽, 내배엽에서 유래하며, 암종과 같은 질병과 관련이 있다.
더 읽어볼만한 페이지
- 조직 (생물학) - 체관부
체관부는 식물의 유기 양분 수송을 담당하는 조직으로, 체관 요소, 체관부 섬유, 체관부 유세포 등으로 구성되며 광합성 산물을 압력 흐름설에 따라 수송한다. - 조직 (생물학) - 근육
근육은 수축과 이완을 통해 몸의 움직임을 담당하는 조직으로, 민무늬근, 가로무늬근, 심근의 세 가지 유형으로 나뉘며, 골격근, 심장근, 평활근으로도 분류되고, 근섬유 다발로 구성되어 액틴과 미오신의 상호작용으로 수축이 일어나며, 발생은 배아의 축방 중배엽에서 시작되고 성별에 따른 차이와 노화에 따른 퇴화 현상을 보인다. - 해부학 - 유방
유방은 여성의 가슴에 있는 기관으로, 모유를 생산하여 신생아에게 영양을 공급하며, 엽과 소엽으로 구성되고, 크기와 모양은 다양한 요인에 따라 다르며, 유방암 발생 부위이자 문화적 상징으로서의 의미도 가진다. - 해부학 - 자궁
자궁은 여성 골반 내에 위치한 배 모양의 생식 기관으로, 수정란 착상과 태아 발달을 담당하며 자궁저부, 자궁체부, 자궁협부, 자궁경부의 네 부분과 자궁내막, 자궁근층, 자궁외막의 세 층으로 구성되어 임신과 여성 생식 건강에 중요한 역할을 하지만 다양한 질병에 취약하다. - 글로벌세계대백과를 인용한 문서/{{{분류 - 공 (악기)
공은 금속으로 제작된 타악기로, 다양한 문화권에서 의식, 신호, 음악 연주 등에 사용되며, 형태와 용도에 따라 여러 종류로 나뉜다. - 글로벌세계대백과를 인용한 문서/{{{분류 - 국무회의
국무회의는 대한민국 대통령을 의장으로, 예산, 법률안, 외교, 군사 등 국정 현안을 심의하는 중요한 기관이며, 대통령, 국무총리, 국무위원으로 구성되고, 정례회의는 매주 1회, 임시회의는 필요에 따라 소집된다.
2. 형태
상피 조직은 다음과 같은 형태적 특징을 갖는다.
- 세포들이 가까이 붙어 있으며, 다양한 세포연접을 통해 서로 결합되어 있다.
- 기저막(바닥막)이 존재하여 상피와 주변 조직을 구분해 준다.
- 각 세포는 극성(polarity)이 있어, 내강과 맞닿은 자유면(free surface) 혹은 꼭대기면(apical surface), 이웃 세포와 맞닿은 가쪽면(lateral surface), 그리고 기저막과 맞닿은 바닥면(basal surface)으로 세포의 표면을 구분할 수 있다.
세포끼리 밀집해 있고 서로 결합하려는 성질은 상피 조직의 가장 큰 특징이다. 상피 조직을 각자 분리시킨 뒤 그냥 놓아두면 세포는 다시 원래대로 결합한다. 이는 다른 조직 세포에서는 전혀 볼 수 없는 현상이다. 다른 조직 세포가 상피 조직처럼 서로 결합되어 있을 경우에는 이를 유(類)상피 또는 상피모양(epitheloid) 조직이라고 하며, 결합하는 성질을 어떤 이유로 2차적으로 획득한 경우에는 상피화했다 또는 상피 양변성을 일으켰다고 한다. 상피모양 조직은 많은 내분비샘에서 관찰할 수 있으며, 감염 등 특정한 경우에는 큰포식세포가 이와 같은 조직을 형성하기도 한다.[32]
상피세포의 꼭대기면, 가쪽면, 바닥면은 형태적·기능적 특징이 서로 다르다. 상피 조직 세포는 다면체(polyhedral)에서부터 스쿠토이드(scutoidal)에 이르기까지 다양한 모양을 취하며, 푸나코이드(punakoidal) 형태도 있다.[13] 세포들은 서로 밀착되어 거의 세포간 공간이 없는 연속적인 층을 형성한다. 모든 상피 조직은 일반적으로 세포외 섬유성 기저막에 의해 하부 조직과 분리되어 있다.
입, 폐포, 콩팥 세뇨관의 내벽은 모두 상피 조직으로 구성되어 있다. 혈관과 림프관의 내벽은 내피라는 특수한 형태의 상피 조직으로 이루어져 있다. 상피에는 외기나 액체에 노출되는 첨단면(頂端面)과 결합 조직에 부착하는 기저면(基底面)이 있다. 기저면을 지지하는 것은 세포외기질의 튼튼한 층으로, 기저막이라고 불린다. 개개의 상피세포는 첨단면과 기저면에 화학적 차이, 즉 세포극성(細胞極性)이 있으며, 이 극성 때문에 물질의 분비·흡수가 가능해진다.
인접한 상피세포는 다양한 세포간 결합으로 연결되어 있으며, 이를 통해 세포간 간극을 분자가 통과하는 것을 막거나 세포끼리 서로 소통한다.
참고로, 손등에 셀로판테이프를 붙였다가 떼어낼 때 하얗게 붙어 있는 것도 상피세포이다.[31]
2. 1. 꼭대기면
꼭대기면은 상피와 내강이 맞닿은 면이다. 일부 상피세포의 꼭대기면에는 미세융모, 부동섬모, 섬모 등 돌출된 구조가 존재한다.[31]2. 1. 1. 미세융모
미세융모(microvilli)는 상피세포 꼭대기면으로부터 돌출된 에서 길이의 구조로, 중심부에 에스핀(espin), 핌브린(fimbrin) 등의 단백질을 통해 서로 연결된 액틴 미세섬유 다발이 위치한다. 주로 내강으로부터 물·전해질·영양소 등을 흡수하는 조직에 미세융모가 존재하는 경우가 많은데, 대표적으로 신장 세뇨관 및 소장의 상피가 여기에 해당한다. 특히 이들 조직의 미세융모는 서로 매우 가깝게 밀집해 있어, 꼭대기면의 표면적을 15-30배까지 넓힌다. 광학 현미경으로 관찰할 때, 밀집된 미세융모는 상피와 내강의 경계 부위에 뚜렷한 구분선을 형성한다. 이 구분선을 솔가장자리라고 부르며, 소장 상피에 나타나는 솔가장자리를 줄무늬가장자리라고 부르기도 한다.[33][34]
2. 1. 2. 부동섬모
부동섬모(stereocilia, stereovilli)는 미세융모와 비슷하게 상피세포 꼭대기면으로부터 돌출된 구조이며, 핌브린 단백질을 통해 상호 연결된 액틴 미세섬유 다발이 중심부에 위치한다. 하지만 미세융모와 달리 부동섬모는 길이가 10~50µm 정도로 훨씬 길고 운동성도 없다. 정관 근위부 및 부고환의 상피세포, 그리고 속귀의 털세포에서 부동섬모를 관찰할 수 있다. 남성 생식계통에서 부동섬모가 어떤 기능을 하는지 명확히 밝혀져 있지는 않지만, 부고환의 부동섬모는 상피 표면적을 넓혀 정자 발생 과정에서 물의 재흡수를 촉진하는 것으로 추정된다. 속귀 감각상피의 부동섬모는 세포까지 전달된 소리 진동에 의해 꺾일 수 있도록 되어 있는데, 이러한 기계적 변형에 의해 칼륨 이온이 유입되면 세포가 탈분극되고 청각 신호 전달이 개시된다.[33][34]2. 1. 3. 섬모
섬모는 2~20µm 길이의 돌출된 구조로, 중심부에 미세소관 다발이 위치한다. 기관 및 기관지나 나팔관의 상피세포는 운동성을 갖는 수백 개의 운동섬모를 갖는다. 운동섬모의 중심부에는 미세소관이 9+2 구조로 배열되어 있으며, 디네인 단백질을 통해 서로 연결되어 있다. 디네인 단백질의 ATP 가수분해 효소 활성은 섬모에 운동성을 제공한다. 기관지의 운동섬모는 점액이나 먼지 입자를 입인두 쪽으로 쓸어올리는 역할을 하며, 나팔관의 운동섬모는 난자와 액체를 자궁 쪽으로 운송하는 것을 돕는다.[33][34]
일부 조직에서는 하나의 일차섬모만을 갖는 세포를 관찰할 수 있는데, 이들 섬모는 미세소관이 9+0 구조로 배열되어 있으며, 디네인도 없으므로 일반적으로 운동성을 갖지 않는다. 일차섬모는 간, 이자, 콩팥 등 분비 기능을 갖는 기관에서 유체의 흐름을 감지하는 기능을 수행하는 것으로 여겨진다.[33][34] 배아의 원시결절에서 나타나는 섬모는 예외적으로 회전운동이 가능하다. 이 섬모의 회전운동은 체내 장기의 좌우 비대칭성을 형성하는 데에 중요한 역할을 하는 것으로 알려져 있다.[33][34]
2. 2. 가쪽면
가쪽면에는 다양한 세포연접이 있어서 세포를 서로 결합시켜 준다. 특히 꼭대기면에 가까운 위치에는 연접복합체 혹은 이음복합체(junctional complex)라고 불리는 구조가 존재해서 각종 물질 이동을 제한하는 장벽 역할을 한다. 이음복합체는 치밀이음, 부착띠(adherens junction, zonula adherens), 그리고 부착반점(desmosome, macula adherens) 등의 세포연접으로 구성된다.[35] 치밀이음은 또한 상피세포막의 인지질과 단백질이 꼭대기면과 가쪽면을 넘나들지 못하도록 막음으로써 세포 극성을 유지하는 데에 기여하기도 한다. 부착띠와 부착반점은 캐드헤린 등의 단백질을 통해 상피세포를 서로 연결한다. 이 밖에도 세포 사이 물질 운송의 통로 역할을 하는 틈새이음 등의 세포연접이 가쪽면에 존재한다.[35]세포 연결은 상피 조직에서 특히 풍부하게 나타난다. 세포 연결은 단백질 복합체로 구성되며, 인접 세포 사이, 세포와 세포외 기질 사이의 접촉을 제공하거나, 상피의 세포간 장벽을 형성하고 세포간 수송을 조절한다.[17]
세포 연결의 주요 유형은 다음과 같다.
- 밀착 연결은 외측 세포막에 융합된 한 쌍의 막관통 단백질이다.
- 부착 연결은 두 세포의 미세섬유를 연결하는 판(세포막 안쪽의 단백질층)이다.
- 데스모솜은 케라틴 단백질로 구성된 세포골격의 미세섬유에 부착된다.
- 반데스모솜은 단면에서 데스모솜과 유사하다. 카데린 대신 인테그린(막관통 단백질)으로 구성된다. 상피 세포를 기저막에 부착시킨다.
- 틈새 연결은 두 세포의 세포질을 연결하며, 커넥신이라는 단백질(여섯 개가 모여 커넥손을 만듭니다)로 구성된다.
인접한 상피세포는 다양한 세포간 결합으로 연결되어 있으며, 이를 통해 세포간 간극을 분자가 통과하는 것을 막거나 세포끼리 서로 소통한다.
2. 3. 바닥면
바닥면은 세포외바탕질과 반부착반점(hemidesmosome) 등의 구조를 통해 이어져 있다. 바닥막에서는 Ⅳ형 콜라겐, 라미닌, 그리고 다양한 당단백질 및 프로테오글리칸으로 이루어진 바닥판을 관찰할 수 있다. 바닥판은 상피세포 바닥면과 세포외바탕질의 구조적 연결을 매개하고 상피와 주변 결합 조직을 분리할 뿐만 아니라, 물질 이동 및 신호 전달에도 관여하는 것으로 알려져 있다.[36] 바닥판 너머에는 그물섬유 즉 Ⅲ형 콜라겐으로 이루어진 그물판이 존재하는데, 이 구조는 상피로부터 만들어진 것이 아니라 주변 결합조직에서 기원한 것이다. 그물판은 바닥판과 함께 바닥막의 구성요소로 간주되기도 한다.[36]상피 조직의 기저면은 기저막 위에 위치하며, 자유면/첨단면은 체액이나 외부를 향하고 있다. 기저막은 상피가 자라나고 손상 후 재생될 수 있는 지지대 역할을 한다.[16] 상피 조직은 신경 분포는 있지만 혈관 분포는 없어, 기저 조직의 혈관에서 확산되는 물질에 의해 영양을 공급받아야 한다. 기저막은 상피에 어떤 물질이 들어갈 수 있을지를 결정하는 선택적 투과성 막으로 작용한다.[2]
3. 분류
상피 조직은 세포가 이루는 층의 개수와 형태에 따라 분류된다. 세포 배열에 따라 다음과 같이 크게 두 가지로 분류된다.
- 단층상피(Simple epithelium): 세포가 기저막 위에 한 줄로 나열되어 있다.
- 중층상피(Stratified epithelium): 세포가 기저막 위에 여러 겹으로 쌓여 있다.
세포의 형태에 따라서도 다음과 같이 분류된다.
- 편평상피(Squamous epithelium): 납작한 모양의 세포로 구성된다.
- 입방상피(Cuboidal epithelium): 입방형 모양의 세포로 구성된다.
- 원주상피(Columnar epithelium): 세로로 긴 원주형 모양의 세포로 구성된다.
- 섬모상피(Ciliated epithelium): 섬모가 있는 세포로 구성된다.
이러한 기준들을 조합하여 상피 조직을 분류한다. 예를 들어, 식도의 상피는 "중층편평상피"이다.[32][37]

기능에 따른 분류는 다음과 같다.[32][37]
- 분비상피: 점액, 효소, 호르몬 등 생물학적으로 활성이 있는 물질을 생성하고 분비한다.
- 흡수상피: 물, 전해질, 영양원이 되는 물질을 능동적으로 흡수하거나 수송한다.
- 도관상피: 관강면을 덮고 물질의 이동을 촉진한다.
- 피복상피: 표면을 덮고 물리적 또는 화학적 장벽을 구성한다.
형태에 따른 분류는 다음과 같다.
- 단층상피: 세포가 기저막 위에 한 줄로 나열되어 있다.
- 다열상피: 모든 세포는 돌기를 뻗어 기저막에 접촉하나, 세포가 기저막 위에 여러 줄로 나열된 것처럼 보인다.
- 중층상피: 세포가 기저막 위에 겹쳐서 여러 줄(약 10~30줄)로 나열되어 있다.
세포 모양에 따른 분류는 다음과 같다.
- 편평상피: 세포가 납작한 모양을 하고 있다.
- 입방상피: 세포가 입방형이다.
- 원주상피: 세포가 세로 방향으로 긴 원주형이다.
- 섬모상피: 세포에 섬모가 나 있다.
이 밖에 꼭대기면에 발달한 특수 구조의 유형과 같은 기준에 따라 상피 조직을 추가적으로 분류하기도 한다. 대표적인 상피 조직의 유형은 다음과 같다.
- 단층편평상피: 혈관, 림프관 내피, 장막 중피 등
- 단층입방상피: 한선 상피 등
- 단층원주상피: 소화관 상피, 호흡기, 기도 상피 등
- : 표피, 식도 상피 등
- 중층원주 또는 입방상피: 타액선의 도관 등
- 다열섬모원주상피: 비강 상피, 인두 상피, 기관, 기관지 상피 등
- 이행상피(요로상피): 신우 상피, 요관 상피, 방광 상피 등
발생학적으로 피부는 외배엽에서 유래하고, 소화관 상피는 내배엽에서 유래한다. 신장의 세뇨관은 중배엽에서 유래하는 등, 3배엽 모두 상피 성분으로 분화한다.
3. 1. 단층상피
단층상피(Simple epithelium)는 모든 세포가 기저막에 직접 접촉하고 있는 한 층의 세포로 구성된 상피이다. 기저막은 상피 조직과 그 아래의 결합 조직을 분리하는 역할을 한다. 단층상피는 주로 흡수와 여과가 일어나는 곳에서 발견되며, 얇은 상피 장벽은 이러한 과정을 용이하게 한다.[8]일반적으로 상피 조직은 층의 수와 세포의 모양 및 기능에 따라 분류된다.[1][8][3] 단층상피는 세포의 모양에 따라 편평, 입방, 원주 상피로 나뉜다.

3. 1. 1. 단층편평상피
단층편평상피는 편평한 상피세포로 이루어진 단층 상피를 가리킨다. 높이가 낮은 세포가 한 층으로 배열되어 엷은 막을 형성하고 있으므로, 확산을 통한 물질 교환에 유리하다. 폐포의 상피나 혈관, 림프관의 내부 표면을 덮는 상피가 여기에 해당한다. 혈관·림프관에 존재하는 단층편평상피를 내피라고 부른다. 한편 체강을 덮는 심막, 흉막, 복막 등 장막의 상피 역시 단층편평상피에 해당하는데, 이들을 통틀어 중피라고 부른다.[8]
3. 1. 2. 단층입방상피
단층입방상피는 주사위와 같은 모양의 상피세포로 이루어진 단층 상피이다. 흡수, 분비, 이온 능동수송 등 물질 수송을 위해 특수화된 경우가 많다. 신장 집합관, 갑상샘, 침샘 등에서 관찰된다.[8]입방 상피 세포는 정육면체 모양을 하고 있으며, 단면에서 정사각형으로 보인다. 세포핵은 크고 구형이며 세포 중앙에 위치한다. 입방 상피는 외분비샘이나 췌장, 신장 세뇨관의 내벽, 샘의 관과 같이 분비나 흡수 조직에서 흔히 발견된다. 암컷 난소를 덮는 생식 상피와 수컷 고환의 정세관 벽을 덮는 생식 상피도 입방형이다. 입방 세포는 보호 기능을 제공하며, 위치와 특수화에 따라 소관 내부로 물질을 능동적으로 또는 수동적으로 이동시키는 역할을 할 수 있다. 단층 입방 상피는 일반적으로 분비 부분과 샘의 관을 형성하도록 분화한다.[5]
3. 1. 3. 단층원주상피
단층원주상피는 원주 모양의 세포로 이루어진 단층 상피이다. 세포의 단면은 다각형이며, 주로 분비나 능동적 흡수가 일어나는 곳에서 관찰된다. 장의 상피에서 주로 관찰되며 영양소 흡수와 소화액 분비가 주된 기능이다.[8]원주 상피 세포는 길쭉한 기둥 모양이며 높이가 너비의 4배 이상이다. 핵은 길쭉하고 대개 세포 기저부 근처에 위치한다. 원주 상피는 위와 장의 내벽을 형성하며, 이 곳의 세포는 흡수 표면적을 최대화하기 위해 미세융모를 가질 수 있다. 미세융모는 솔 가장자리를 형성하기도 한다. 다른 세포는 점액을 이동시키는 점액섬모 청소 기능을 위해 섬모를 가질 수 있는데, 난관, 자궁 및 척수의 중앙관에서 발견된다. 코, 귀, 미뢰와 같이 감각 수용에 특화된 원주 세포도 있다. 내이의 유모 세포는 미세융모와 유사한 입체섬모를 가진다. 배세포는 변형된 원주 세포로 십이지장의 원주 상피 세포 사이에 있으며, 점액을 분비하여 윤활제 역할을 한다. 단층 비섬모 원주 상피는 흡수 기능을 나타낸다.[9]
3. 2. 중층상피
중층상피(重層上皮, stratified epithelium)는 세포가 두 겹 이상으로 배열된 상피를 말한다. 여러 층으로 구성되어 있기 때문에 기계적 또는 화학적 손상으로부터 신체 내부를 보호하는 기능을 주로 담당한다. 즉, 층이 마모되거나 손실되어도 상피 아래층이 노출되지 않는 곳에서 발견된다.[11]중층상피는 가장 꼭대기 쪽에 위치한 상피세포의 형태에 따라 중층편평상피, 중층입방상피, 중층원주상피 등으로 분류된다. 가장 기저층에서는 편평상피, 입방상피, 원주상피 등 다양한 형태의 세포가 나타날 수 있지만, 표면으로 갈수록 세포는 점차 납작해진다.[11]
중층상피는 다음과 같은 특징을 가질 수 있다.[11]
이행상피는 주로 방광, 요관, 요도에서 발견되어 요로상피라고도 불린다.[11]
3. 2. 1. 중층편평상피
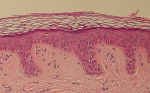
중층편평상피(stratified squamous epithelium)는 가장 꼭대기 쪽에 위치한 세포들이 편평한 모양을 띤 중층 상피를 가리킨다. 바닥 쪽에는 활발하게 분열하는 바닥세포(basal cell)가 존재하여 상층부의 세포들을 지속적으로 대체한다. 꼭대기 쪽으로 갈수록 점점 더 분화되어 있고 납작하며 케라틴(keratin)이 풍부한 세포들이 존재한다.[11] 가장 꼭대기 쪽에 위치한 세포에 핵이 존재하는지에 따라 각질중층편평상피(keratinized stratified squamous epithelium)와 비각질중층편평상피(nonkeratinized stratified squamous epithelium)로 구분할 수 있다.각질중층편평상피의 대표적인 예는 피부의 표피(epidermis)로, 가장 꼭대기 쪽 세포는 핵이 없으며 결국 마모에 의해 떨어져 나가게 된다. 비각질중층편평상피는 식도나 질에서 찾아볼 수 있다. 이들 상피에서는 가장 꼭대기 쪽 세포도 핵을 갖고 있다.[11] 이처럼 중층편평상피는 직접 힘이 가해지는 곳에서 내부를 보호하며, 마모되기 쉬운 곳에 존재하여 빠르게 재생한다.
중층편평상피는 다음과 같은 특징을 가질 수 있다.[11]
3. 2. 2. 중층입방상피
중층입방상피는 가장 꼭대기 쪽에 입방형 세포들이 위치한 중층 상피를 가리키며, 매우 드물게 관찰된다. 땀샘의 분비관이나 난포의 상피 등이 여기에 해당한다.[11]3. 2. 3. 중층원주상피
가장 꼭대기 쪽에 원주 모양 세포들이 위치한 중층 상피로, 매우 드물게 관찰된다. 주로 외분비샘의 큰 분비관들이 여기에 해당한다.[11]3. 3. 거짓중층상피 (다열상피)
거짓중층상피(pseudostratified epithelium)는 모든 세포가 기저막에 닿아 있지만 일부 세포가 꼭대기면에 도달하지 못해, 언뜻 보기에 중층 상피처럼 보이는 단층 상피이다. 정관 및 부고환의 거짓중층원주상피(pseudostratified columnar epithelium)가 여기에 해당한다. 이 상피에는 꼭대기면에 부동섬모를 갖는 원주 모양의 세포와 바닥세포가 존재하는데, 바닥세포는 내강에 닿지 않는다. 한편 기관 및 기관지의 상피도 세포들이 비슷하게 배열되어 있으나, 원주 모양의 세포 꼭대기면에 부동섬모가 아니라 섬모가 존재한다. 따라서 이 조직은 거짓중층섬모원주상피(pseudostratified ciliated columnar epithelium)로 분류된다.
3. 4. 이행상피 (요로상피)
이행상피(transitional epithelium) 또는 요로상피(urothelium)는 요관과 방광에서만 볼 수 있는 특수한 종류의 상피이다. 요로상피는 바닥층, 중간층, 그리고 가장 꼭대기쪽에 위치한 얕은층으로 구성되어 있으며, 돔형의 얕은요로상피세포(superficial urothelial cell) 혹은 우산세포(umbrella cell)가 얕은층을 이룬다. 요로상피의 높이 및 세포 배열은 방광이 수축하거나 이완함에 따라 현저하게 변하는데, 이행상피라는 이름은 이와 같은 특징을 반영한 것이다.
이행상피는 늘어나는 조직에서 발견되며, 조직이 이완되었을 때는 중층입방상피로, 기관이 팽창하고 조직이 늘어났을 때는 중층편평상피로 보일 수 있다. 거의 전적으로 방광, 요관, 요도에서 발견되기 때문에 때때로 요로상피라고도 한다.[11]
4. 기능
상피 조직은 다음과 같은 다양한 기능을 수행한다.
- 아래 조직을 방사선, 건조, 독소, 병원체 침입 및 물리적 외상으로부터 보호한다.
- 기저 조직과 체강 사이의 화학 물질의 조절 및 교환을 한다.
- 순환계로의 호르몬 분비뿐만 아니라 땀, 점액, 효소 및 다른 관을 통해 전달되는 생성물을 분비한다.[2]
- 감각을 제공한다.[23]
- 소화관 내벽에서 물과 소화된 음식을 흡수한다.

5. 발생
상피 조직은 세 가지 배엽 모두로부터 발생할 수 있다. 각 배엽으로부터 발생하는 상피의 예는 다음과 같다.[38]
6. 역사
'상피(epithelium)'라는 용어는 위 또는 겉을 뜻하는 '에피'(ἐπίel)와 유두를 뜻하는 '텔레'(θηλήel)가 합쳐진 것으로, 18세기 네덜란드 해부학자 프레데릭 라위스가 처음 사용했다. 그는 입술의 일부인 윗입술중심(prolabium) 표면의 큐티클 층을 기술하며, '유두 겉 조직'이라는 뜻의 'epithelium'이라는 단어를 사용했다.[39]
1865년 빌헬름 히스는 중배엽 기원의 상피가 기관 바깥 표면이 아닌 몸 안쪽 공간을 덮는다는 점에서 내피(endothelium)로 구별해야 한다고 제안했다.[40] 1890년 찰스 세지윅 마이넛은 몸 바깥 표면을 덮는 조직을 외피, 중배엽에서 유래하여 몸 안쪽 표면에 맞닿은 조직을 중피(mesothelium)로 부르자고 제안했다. 오늘날 중피는 체강 안쪽 표면을 덮는 조직을 가리키는 말로만 쓰인다.[40]
참조
[1]
서적
Dellmann's Textbook of Veterinary Histology
https://books.google[...]
Wiley-Blackwell
2006
[2]
서적
Culture of epithelial cells
https://books.google[...]
John Wiley & Sons
2002
[3]
서적
Color atlas of human anatomy: Locomotor system
https://books.google[...]
Thieme
2008
[4]
서적
Color atlas of cytology, histology, and microscopic anatomy
https://books.google[...]
Thieme
[5]
웹사이트
Simple Cuboidal Epithelium
http://www.anatomyon[...]
Amirsys, Inc
2012-09-28
[6]
서적
DiFiore's Atlas of Histology with Functional Correlations
https://archive.org/[...]
Lippincott Williams & Wilkins
[7]
서적
From cells to organs: a histology textbook and atlas
https://books.google[...]
Springer
2002
[8]
서적
Human Anatomy and Physiology
https://archive.org/[...]
Benjamin/Cummings
1995
[9]
서적
Permar's oral embryology and microscopic anatomy: a textbook for students in dental hygiene
https://archive.org/[...]
Lippincott Williams & Wilkins
2000
[10]
웹사이트
Epithelial Cells
https://web.archive.[...]
Amirsys, Inc.
2012-09-28
[11]
서적
Anatomy and Physiology from Science to Life
John Wiley & Sons
2013
[12]
서적
Histology: A Text and Atlas: With Correlated Cell and Molecular Biology
Lippincott Williams & Wilkins
[13]
저널
3D Organisation of Cells in Pseudostratified Epithelia
2022-05-12
[14]
서적
Anatomy & Physiology
Benjamin Cummings
[15]
서적
Lepidoptera, Moths and Butterflies: Morphology, Physiology, and Development : Teilband
Walter de Gruyter
2003-12-01
[16]
서적
The nature of disease: pathology for the health professions
https://books.google[...]
Lippincott Williams & Wilkins
2006
[17]
서적
Molecular biology of the cell
Garland
2002
[18]
저널
Mechanical stretch triggers rapid epithelial cell division through Piezo1
2017-03-01
[19]
저널
An epithelial cell destined for apoptosis signals its neighbors to extrude it by an actin- and myosin-dependent mechanism
2001-11-01
[20]
저널
Crowding induces live cell extrusion to maintain homeostatic cell numbers in epithelia
2012-04-01
[21]
저널
KRas-transformed epithelia cells invade and partially dedifferentiate by basal cell extrusion
2021-12-01
[22]
저널
Defective apical extrusion signaling contributes to aggressive tumor hallmarks
2015-01-01
[23]
서적
Molecular Biology of the Cell
Garland
2002
[24]
저널
Recent advances in the molecular pathology, cell biology and genetics of ciliopathies
2008-05-01
[25]
저널
Deciphering cell-cell interactions and communication from gene expression
2021-02-01
[26]
저널
Structural cells are key regulators of organ-specific immune responses
2020-07-01
[27]
저널
A gene atlas of 'structural immunity'
2020-09-01
[28]
웹사이트
Types of cancer
http://www.cancerres[...]
2014-10-28
[29]
저널
On the Term Endothelium
1874
[30]
서적
Essential IVF : basic research and clinical applications
Kluwer Academic Publishers
2004
[31]
서적
話したくなる! つかえる生物
明日香出版社
2014
[32]
서적
[33]
저널
Role of Polarity Proteins in the Generation and Organization of Apical Surface Protrusions
https://www.ncbi.nlm[...]
2018-02-01
[34]
서적
[35]
서적
[36]
서적
2011
[37]
서적
Histology and cell biology : an introduction to pathology
https://www.worldcat[...]
[38]
서적
2011
[39]
저널
Memoirs: On the Term Endothelium
https://journals.bio[...]
1874-07-01
[40]
서적
A text-book of histology, arranged upon an embryological basis
https://www.biodiver[...]
P. Blakiston's son & co
1913
본 사이트는 AI가 위키백과와 뉴스 기사,정부 간행물,학술 논문등을 바탕으로 정보를 가공하여 제공하는 백과사전형 서비스입니다.
모든 문서는 AI에 의해 자동 생성되며, CC BY-SA 4.0 라이선스에 따라 이용할 수 있습니다.
하지만, 위키백과나 뉴스 기사 자체에 오류, 부정확한 정보, 또는 가짜 뉴스가 포함될 수 있으며, AI는 이러한 내용을 완벽하게 걸러내지 못할 수 있습니다.
따라서 제공되는 정보에 일부 오류나 편향이 있을 수 있으므로, 중요한 정보는 반드시 다른 출처를 통해 교차 검증하시기 바랍니다.
문의하기 : help@durumis.com
