임균
"오늘의AI위키"의 AI를 통해 더욱 풍부하고 폭넓은 지식 경험을 누리세요.
1. 개요
임균(Neisseria gonorrhoeae)은 임질의 원인균으로, 그람 음성 구균이며, 사람에게만 감염된다. 배양 및 동정은 테이어-마틴 한천 배지 등에서 이루어지며, 포도당을 주요 탄소원으로 사용한다. 임균은 표면에 필리, Opa 단백질, 리포올리고당 등을 가지며, 항원 변이와 위상 변이를 통해 면역 체계를 회피한다. 감염 시 요도염, 질 분비물 증가, 골반 염증성 질환 등의 증상이 나타날 수 있으며, 신생아 결막염을 유발하기도 한다. 성관계를 통해 전파되며, 콘돔 사용으로 예방할 수 있다. 치료는 세프트리악손 등의 항생제를 사용하지만, 항생제 내성 문제가 심각하다. 1878년 알베르트 나이서에 의해 발견되었으며, 혈청 저항성을 지닌다.
더 읽어볼만한 페이지
- 병원성 세균 - 살모넬라
살모넬라는 장내세균과에 속하는 그람음성 간균 속으로, 두 종과 2,500개 이상의 혈청형이 존재하며, 오염된 식품 섭취를 통해 식중독 및 다양한 질병을 유발하고, 식품 가열 조리 및 위생 관리, 장티푸스 백신 접종으로 예방이 가능하며, 항생제 내성 문제도 존재한다. - 병원성 세균 - 황색포도상구균
황색포도상구균은 다양한 질병을 일으키는 그람 양성 구균으로, 인구의 약 30%가 보균하고 있으며 항생제 내성이 널리 퍼져 있어 효과적인 백신 개발과 항생제 내성 문제 해결을 위한 지속적인 연구가 필요하다. - 그람 음성균 - 살모넬라
살모넬라는 장내세균과에 속하는 그람음성 간균 속으로, 두 종과 2,500개 이상의 혈청형이 존재하며, 오염된 식품 섭취를 통해 식중독 및 다양한 질병을 유발하고, 식품 가열 조리 및 위생 관리, 장티푸스 백신 접종으로 예방이 가능하며, 항생제 내성 문제도 존재한다. - 그람 음성균 - 리케차
리케차는 사람에게 다양한 질병을 일으키는 세균의 한 종류이며, 혈관 내피 세포에 침투하여 손상을 입히고, 테트라사이클린 등의 항생제로 치료하며, 로키산 홍반열 등을 연구하다 사망한 하워드 테일러 리케츠의 이름을 따서 명명되었다.
2. 미생물학
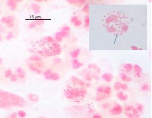
임균(''Neisseria gonorrhoeae'')은 그람 음성 쌍구균으로, 커피콩 모양을 하고 있으며 크기는 0.6μm~1.0μm이다.[16] 섬모 유무에 따라 두 가지 형태로 나뉘는데, 섬모는 전자 현미경으로만 관찰 가능하다. 살아있는 임균은 섬모를 이용해 점막 상피에 부착, 점막 하로 침투하며, 이는 병원성에 중요한 역할을 한다.[43]
임균은 나이세리아 속에 속하며, 실험실 배양을 위해 영양 보충이 필요한 까다로운 세균이다.[14] 통성 세포 내 병원체로서 숙주 세포 안팎에서 증식 가능하며,[43][15][16] 대부분 절대 호기성 세균이다.[18][19] 내생포자를 형성하지 않으나, 병원성 종은 연축 운동으로 이동 가능하다.[17]
사람에게 질병을 일으키는 나이세리아는 임균(''N. gonorrhoeae'')과 수막구균(N. ''meningitidis'') 두 종뿐이다. 임균은 임질을, 수막구균은 세균성 수막염을 유발한다.[20][21]
2. 1. 배양 및 동정

임균(''N. gonorrhoeae'')은 3-7%의 이산화탄소가 풍부한 환경에서 테이어-마틴 한천 배지(VPN) 배지에서 분리할 수 있다.[8] 테이어-마틴 한천 배지는 영양분과 항균제(반코마이신, 콜리스틴, 니스타틴, 트리메토프림)가 함유된 초콜릿 한천 배지(가열된 혈액 한천)이다. 이 한천 배지는 오염된 세균과 곰팡이의 성장을 억제하면서 ''Neisseria'' 종의 성장을 촉진한다. 마틴 루이스와 뉴욕 시티 한천 배지는 ''Neisseria'' 성장에 일반적으로 사용되는 다른 종류의 선택적 초콜릿 한천 배지이다.[8] 임균(''N. gonorrhoeae'')은 옥시다아제 양성(시토크롬 c 옥시다아제 보유)이며 카탈라아제 양성(과산화수소를 산소로 전환 가능)이다.[8] 락토스, 말토스, 수크로스, 글루코스와 같은 탄수화물과 함께 배양하면 임균(''N. gonorrhoeae'')은 글루코스만 산화시킨다.[8]
2. 2. 대사
임균은 다른 ''Neisseria'' 종과 달리 말토스를 대사할 수 없지만, 포도당, 피루브산, 젖산을 주요 탄소원으로 사용한다. 포도당은 Entner-Doudoroff (ED) 경로와 오탄당 인산 (PP) 경로를 통해 대사되며, ED 경로가 주요 산화 방법이다.[43][22] 이는 임균이 엠덴-마이어호프-파르나스 (EMP) 경로를 통해 포도당을 대사할 수 없기 때문인데, 포스포프럭토키나제(PFK) 유전자가 없기 때문이다. 그러나 포도당 신생을 위해 프룩토스 1,6-비스포스파타제 효소가 존재한다.[43]포도당은 ED 경로를 통해 대사되어 피루브산과 글리세르알데히드 3-인산을 생성하며, 후자는 EMP 경로의 효소에 의해 추가로 대사되어 또 다른 피루브산 분자를 생성할 수 있다.[23] 생성된 피루브산은 아세틸-CoA로 변환되어 시트르산 회로 (CAC)의 기질로 통합되어 전자 전달계 (ETC)에 의해 ATP 생산에 사용될 고에너지 전자 운반체를 생성할 수 있다. 그러나 CAC는 주로 생합성 전구체를 생성하는 데 사용되며, 이화 작용 목적은 아니다.[43][24] 임균 CAC의 또 다른 특징은 말산 탈수소 효소가 없다는 것이며, 대신 NAD+와 독립적으로 작동하여 직접 전자를 유비퀴논으로 전달하는 막 결합형 말산:퀴논 산화환원 효소로 대체된다.[43]
포스포트랜스아세틸라제-아세테이트 키나아제 (PTA-AckA) 경로에 들어가는 아세틸-CoA는 인산화 및 탈인산화를 통해 아세테이트로 변환되어 ATP를 형성할 수 있다.[25] ''N. gonorrhoeae''는 글리옥실산 션트가 없어 아세테이트를 사용하여 CAC 중간체를 형성할 수 없다.[23][22]
임균에서 형성된 글리세르알데히드 3-인산의 상당 부분은 포도당 6-인산과 중간체 프룩토스 6-인산을 재형성하기 위해 포도당 신생 경로를 통해 재활용된다. 이 두 가지 모두 산화 및 비산화 경로를 통해 PP 경로에서 펜토스 합성에 각각 사용되어 이후의 뉴클레오티드 형성 및 에너지 생산에 사용될 수 있다.[22]
''N. gonorrhoeae''는 카프노필이며, 이는 CO2 또는 중탄산염(HCO3-) 형태의 정상보다 높은 농도의 이산화탄소(CO2)가 필요함을 의미한다.[22] 젖산 대사 또한 임균에게 중요하며 병원성과 성장에 모두 중요하다.[43] ''N. gonorrhoeae'' 게놈은 ''L''-젖산과 ''D''-젖산 모두의 대사를 허용하는 세 가지 젖산 탈수소 효소 (LDH) 효소를 암호화한다.[43][27]
임균은 전자 전달 연쇄 (ETC)를 통해 산화적 인산화 과정에서 ATP 생성을 촉진한다.[35] 양성자의 주변형질 공간으로의 이동은 Nuo 복합체 I, 시토크롬 ''bc1'' 복합체 및 시토크롬 ''ccb3''에 의해 수행된다.[43][29][36] 그 후, ATP 합성은 F1F0 ATP 합성효소에 의해 수행된다.[37]
철분을 얻기 위해 임균은 외막 표면에 TonB 의존적 수송체(TDT)를 생성하여 각 운반 단백질로부터 철분을 비롯한 다른 금속을 직접 추출한다. 여기에는 트랜스페린 결합 단백질 A(TbpA) 및 B(TbpB), 락토페린 결합 단백질 A(LbpA) 및 B(LbpB) 및 헤모글로빈/헤모글로빈-합토글로빈 결합 단백질 HpuB 및 HpuA가 포함된다.[43][39]
2. 3. 표면 분자
임균(''N. gonorrhoeae'')은 털 모양의 필리, 다양한 기능을 가진 표면 단백질, 리포올리고당(LOS)을 가지고 있다. 필리는 부착, 이동, DNA 교환을 매개하고, 포린은 면역 체계와 상호작용한다. 리포올리고당은 면역 반응을 유발하는 내독소이다. 이들은 모두 항원이며 항원 변이를 나타낸다. 필리, 포린, 리포올리고당은 면역 반응을 억제하는 기전을 가지고 있어 무증상 감염을 가능하게 한다.[40]임균의 크기는 0.6μm~1.0μm이며 섬모가 있는 형과 없는 형으로 나뉜다. 섬모는 전자 현미경으로 확인할 수 있지만, 광학 현미경으로는 볼 수 없을 정도로 작다. 살아있는 임균은 섬모를 활발하게 움직여 점막 상피에 부착하고 점막 하로 침투한다. 환자에게서 채취한 임균을 혈액 한천 배지에서 배양하면 섬모는 소실된다. 섬모는 병원성에 중요한 역할을 하는 것으로 보인다.
임균은 철분을 얻기 위해 외막 표면에 TonB 의존적 수송체(TDT)를 생성하여 운반 단백질에서 철분 등을 직접 추출한다. 여기에는 트랜스페린 결합 단백질 A(TbpA) 및 B(TbpB), 락토페린 결합 단백질 A(LbpA) 및 B(LbpB), 헤모글로빈/헤모글로빈-합토글로빈 결합 단백질 HpuB 및 HpuA가 포함된다.[43][39] 임균은 다른 박테리아가 생성하는 시데로포어를 사용할 수 있지만, 스스로 합성하지는 못한다. 제노시데로포어는 외막을 통해 TDT FetA에 의해 흡수된 후 ''fetBCDEF'' 수송체 시스템을 통해 세포 안으로 들어온다.[43][39]
임균은 항원 변이를 통해 면역 체계를 회피한다.[46] 유전자를 재조합하여 표면 항원 결정기를 변경하는데,[6] Type IV pili(4형 선모) 등이 해당된다.[47] 유전적 변화로 분자 화학 구성이 변경된다.[48] 선모와 리포올리고당 구성을 다양하게 바꿀 수 있는데, 선모는 염색체 재배열로 인해 가장 많은 항원 변이를 보인다.[71][6] ''pilS'' 유전자는 ''pilE'' 유전자와 조합하여 PilE 단백질의 100개 이상 변종을 생성할 수 있다.[48] 이러한 변화는 감염 부위 환경에 적응하고, 항체 인식을 회피하며, 백신 형성을 억제한다.[48]
임균은 자연적 능력으로 type IV pilus(4형 선모), 특히 PilQ 및 PilT 단백질을 통해 외부 DNA를 획득한다.[49] 새로운 유전자를 획득, 전파하며, 다른 표면 단백질로 위장하고, 면역 기억 발달을 방해하여 항생제 내성과 백신 개발을 어렵게 한다.[50]
위상 변이는 항원 변이와 유사하지만, 유전자 변화가 유전자 활성/비활성화를 초래한다.[48] 주로 발현 유전자 프레임 시프트에서 발생한다.[48] 필리는 항원 변이와 위상 변이 모두에 의해 변한다.[48] ''pilE'', ''pilC'' 유전자 프레임 시프트는 세포내 집락화 등에서 필리 발현을 끈다.[48]
2. 3. 1. Opa 단백질
위상 가변성 불투명도 관련(Opa) 부착 단백질은 ''N. gonorrhoeae''가 숙주 세포 내 면역 반응을 회피하는 데 사용된다. 최소 12개의 Opa 단백질이 알려져 있으며, 표면 단백질의 많은 변이로 인해 면역 세포가 ''N. gonorrhoeae''를 인식하고 방어 체계를 구축하는 것이 더 어려워진다.[41] Opa 단백질은 외막에 존재하며, 세균이 다양한 숙주 세포와 상호 작용할 때 반응을 촉진한다. 이러한 단백질은 다양한 상피세포에 결합하여 ''N. gonorrhoeae''가 감염 기간을 늘리고 다른 숙주 세포로의 침입량을 증가시킨다.[42]2. 3. 2. 제4형 필리
고분자성 단백질 필라멘트인 제4형 섬모는 ''N. gonorrhoeae'' (임균)가 표면에 부착하고, 형질전환 능력을 가지며, 꼬임 운동을 하고, 면역 반응을 회피하는 등 많은 세균 과정을 수행할 수 있게 해준다.[43] 세균은 숙주에 침투하기 위해 섬모를 사용하여 점막 표면에 부착하고 침투한다. 섬모는 ''N. gonorrhoeae''의 핵심적인 독성 인자이며, 섬모가 없으면 세균은 집락 형성을 촉진할 수 없다.[44] 운동성을 위해 개별 세균은 섬모를 갈고리처럼 사용한다. 먼저 세포 표면에서 뻗어 나와 기질에 부착된다. 그 후 섬모가 수축하면서 세포를 앞으로 끌어당긴다. 이러한 운동을 꼬임 운동이라고 한다. ''N. gonorrhoeae''는 자체 무게의 10만 배를 끌어당길 수 있으며,[45] 이 과정에 사용되는 섬모는 알려진 가장 강력한 생체 모터 중 하나로, 1 나노뉴턴의 힘을 낸다.[45] PilF 및 PilT ATPase 단백질은 각각 제4형 섬모의 신장과 수축에 관여한다. 임균 섬모의 부착 기능은 미세 집락 응집 및 생물막 형성에 중요한 역할을 한다. 이 섬모는 또한 제4형 섬모의 항원성을 변화시켜 침투하려는 세포의 면역 반응을 회피하는 데 사용된다. 주요 섬모 필라멘트는 매우 자주 가변적인 DNA 서열로 대체된다.[43] 이러한 과정을 신속하게 수행함으로써, 세균은 표면에 다양한 섬모를 생성하고 숙주 세포의 면역 반응을 회피할 수 있다.[44]
2. 3. 3. 리포올리고당 (LOS)
''N. gonorrhoeae''(임균) 표면에는 털 모양의 필리, 다양한 기능을 가진 표면 단백질, 그리고 리포올리고당(LOS)이라고 불리는 당이 있다. 리포올리고당은 면역 반응을 유발하는 내독소이다.[40] 지질 올리고당(Lipooligosaccharide)은 대부분의 다른 그람 음성 세균 표면에 존재하는 지질 다당류의 저분자량 버전이다. 세균의 세포벽을 코팅하는 외부 막에서 지질 A에 부착된 당(사카라이드) 측쇄이며, "올리고"라는 어근은 전형적인 지질 다당류보다 당이 몇 개 더 짧다는 사실을 나타낸다.[6] 내독소로서 염증을 유발하며, 세균에 의한 지질 올리고당의 탈락은 때때로 골반 염증성 질환과 관련된 문제의 원인이 된다.[6] 주로 내독소로 기능하지만, 지질 올리고당은 숙주 시알산으로 위장하여 보체 캐스케이드의 시작을 차단할 수 있다.[6]2. 4. 항원 변이 및 위상 변이
임균(''N. gonorrhoeae'')은 항원 변이와 위상 변이라는 두 가지 기전을 통해 숙주의 면역 반응을 회피한다.[46]항원 변이는 유전자 재조합을 통해 임균 표면의 항원 결정기를 변화시키는 과정이다.[6] 특히, 4형 선모(Type IV pili)가 이러한 항원 변이를 나타낸다.[47] 예를 들어, ''pilS'' 유전자는 ''pilE'' 유전자와 조합하여 PilE 단백질의 100개 이상의 변종을 생성할 수 있다.[48] 이러한 항원 변이는 감염 부위의 환경에 적응하고, 항체의 인식을 회피하며, 백신 개발을 어렵게 만든다.[48]
위상 변이는 유전자 발현을 조절하여 특정 단백질의 발현을 켜거나 끄는 기전이다.[48] 이는 주로 발현된 유전자의 프레임 시프트를 통해 일어난다.[48] 임균의 Opa 단백질은 위상 변이에 의존하며,[48] 미스페어링에 의한 슬립 스트랜드를 통해 여러 Opa 단백질이 켜지거나 꺼질 수 있다.[6] 필리 또한 항원 변이뿐만 아니라 위상 변이에 의해 변하며,[48] ''pilE'' 및 ''pilC'' 유전자의 프레임 시프트를 통해 필리 발현을 조절한다.[48]
임균은 자연적 능력을 통해 외부 DNA를 획득하여 유전자를 재조합하고, 이를 통해 항원 변이와 위상 변이를 더욱 촉진한다.[49]
2. 5. 임균의 생존 전략
임균은 표면에 털 모양의 필리, 다양한 기능을 가진 표면 단백질, 리포올리고당이라고 불리는 당을 가지고 있다. 필리는 부착, 이동, DNA 교환을 돕는다. 불투명성 관련(Opa) 단백질과 포린은 면역 체계와 상호 작용한다. 리포올리고당은 면역 반응을 유발하는 내독소이다. 이들은 모두 항원이며 항원 변이를 나타낸다. 필리, Opa 단백질, 포린, 리포올리고당은 면역 반응을 억제하는 기전을 가지고 있어 증상이 없는 감염을 가능하게 한다.[40]임균이 숙주 상피 세포를 침입하여 경세포 이동을 거치면 점막하에 도달하고, 여기서 호중구가 신속하게 섭취한다.[6] 표면의 필리와 Opa 단백질은 식세포 작용을 방해할 수 있지만,[71] 대부분의 임균은 결국 호중구 내에 갇히게 된다. 감염된 개체에서 나오는 삼출액에는 섭취된 임균을 포함하는 많은 호중구가 있다. 호중구는 임균을 죽이기 위해 반응성 산소종의 산화 폭발을 식세포 내에서 방출한다.[51] 그러나 임균은 카탈라아제 작용을 통해 반응성 산소종을 분해하여 호중구 내 식세포 내에서 증식할 수 있다.[6][52]
세균의 RecA 단백질은 DNA 손상 복구를 매개하며 임균 생존에 중요한 역할을 한다.[53] ''임균''은 호중구 식세포 내에서 손상된 DNA를 인접한 임균의 DNA로 대체할 수 있다.[54] 수용 임균이 인접한 임균으로부터 DNA를 자신의 게놈에 통합하는 과정을 형질전환이라고 한다.[55]
3. 게놈
여러 임균 균주의 게놈이 해독되었으며, 대부분 약 2.1 Mb 크기로 2,100~2,600개의 단백질을 암호화한다.[99] 예를 들어, NCCP11945 균주는 2,662개의 예측된 열린 읽기 틀(ORF)을 암호화하는 하나의 원형 염색체(2,232,025 bp)와 12개의 예측된 ORF를 암호화하는 하나의 플라스미드(4,153 bp)로 구성된다. 전체 게놈의 추정 코딩 밀도는 87%이며, 평균 G+C 함량은 52.4%로 FA1090 균주와 유사하다. NCCP11945 게놈은 54개의 tRNA와 4개의 16S-23S-5S rRNA 오페론을 암호화한다.
3. 1. 수평 유전자 전달
수평 유전자 전달(측면 유전자 전달)은 생물체 간의 유전 정보 공유를 의미한다.[58] 이러한 정보 전달은 임균(''N. gonorrhoeae'')의 항생제 내성 발현의 원동력이다.[59] [60] 연구에 따르면 임균은 ''N. lactamica'', ''N. macacae'', ''N. mucosa''를 포함한 다른 나이세리아(''Neisseria'') 종으로부터 수평 유전자 전달을 통해 항균제 내성 방법을 획득한 것으로 밝혀졌다.[61]임균의 형질전환은 제4형 필리에 의해 수행되며, 여기서 DNA가 결합되어 세포 내로 유입된 후 처리 및 상동 재조합이 일어난다.[62]
일부 임균(''Neisseria gonorrhoeae'')의 게놈에서 발견되는 임균 유전자 섬(GGI)은 임균에 특이적인 게놈 섬(GI)으로, 수평적으로 획득되는 이동성 유전자 요소로 확인되었다.[63] [64] GGI는 항균제 내성, 유전 정보 전달 및 철분 획득과 관련이 있다.[63] 임균 유전자 섬 내의 유전자는 제4형 분비 시스템(T4SS)을 암호화하며, 이는 DNA 분비를 담당하고 생물막 형성에 필수적이다.[63][65]
2011년, 노스웨스턴 대학교 연구진은 임균 게놈에서 인간 DNA 조각의 증거를 발견했으며, 이는 인간에서 세균성 병원체로의 수평 유전자 전달의 첫 번째 사례이다.[66][67]
4. 역학
임균은 사람과 침팬지에게만 감염된다. 백인은 몽골인보다 임균에 대한 감수성이 높으며, B혈액형과 관련이 있다고 알려져 있다.
최근 성관계의 다양화로 임균의 항생제 내성균이 증가하고 있으며, 새로운 항생제 및 항균제에 대해서도 단기간에 내성을 획득한다.
구강성교로 침입한 임균은 친척 관계인 구강 내 나이세리아균과 유전자 재조합(교차 현상)을 일으켜 쉽게 항생제 내성을 획득하는 것으로 생각된다. 2010년 시점에서는 뉴퀴놀론계 합성 항균제인 오플록사신, 시프로플록사신, 레보플록사신 등에 대해 고도 내성을 획득하고 있다. 또한, 2011년에는 세프트리아손 등의 세펨계 항생물질 내성 획득주(H041주)의 존재가 보고되었다[94].
클라미디아와의 중복 감염도 드물지 않다.
5. 질병
임질은 임균 감염에 의해 발생하는 질병이다.[100]
5. 1. 증상
임균 감염 증상은 감염 부위에 따라 다르며, 많은 경우 성별에 관계없이 증상이 나타나지 않는다. 남성의 10%, 여성의 80%가 무증상이다.[100][68][40][69] 전파 경로에 따라 임균은 인두염, 직장염을 일으킬 수 있다.[70][71]임균이 혈류를 통해 퍼지면(파종성 감염) 피부염-관절염 증후군이 발생할 수 있다. 이는 관절염, 건초염, 가렵지 않은 피부염을 유발한다.[71] 여성의 파종성 감염 및 골반 염증성 질환은 월경 중 역류로 인해 월경 후 확산되는 경향이 있다.[70] 드물게 파종성 감염은 수막염이나 심내막염을 일으킬 수 있다.[70][73]
증상이 있는 남성의 경우, 비뇨생식기 감염의 주요 증상은 요도염으로, 배뇨통, 잦은 배뇨, 음경에서 고름과 같은 분비물(악취가 날 수 있음)이 나타난다.[70] 치료하지 않으면 요도에 흉터가 생겨 배뇨 곤란이 발생할 수 있고, 부고환염, 고환염, 전립선염으로 이어질 수 있다.[70][71][72]

증상이 있는 여성의 경우, 비뇨생식기 감염의 주요 증상은 질 분비물 증가, 배뇨통, 빈뇨, 성교통, 월경 이상이다. 임균이 골반 복막(경부, 자궁내막, 나팔관을 통해)으로 올라가면 골반 염증성 질환이 발생한다. 그 결과 나팔관의 염증과 흉터는 불임과 자궁외 임신 위험을 높인다.[70] 골반 염증성 질환은 임균 감염 여성의 10~20%에서 발생한다.[70]
주산기 감염의 주된 증상은 신생아가 산도를 통해 임균에 노출될 때 발생하는 눈 감염(신생아 안염)이다. 눈 감염은 각막 흉터 또는 천공으로 이어져 실명을 초래할 수 있다. 신생아가 출산 중 감염되면 출생 후 2~5일 이내에 심각한 결막염이 발생한다.[70][73] 임균성 신생아 안염은 공중 보건 조치로 출생 시 아기의 눈에 에리스로마이신 젤을 도포하여 예방한다. 질산은은 미국에서는 더 이상 사용되지 않는다.[73][70]
5. 2. 전파
임균은 성관계를 통해 사람 대 사람으로 전파된다. 전통적으로 이 병균은 정자에 부착되어 옮겨지는 것으로 간주되었으나, 이 가설은 이 질병의 여성 대 남성 전파를 설명하지 못한다.[69] 질, 구강 또는 항문 성관계를 통해 가장 흔하게 전파되며, 성관계를 통하지 않은 전파는 성인 감염에서는 드물다.[69] 또한, 산모가 치료받지 않은 비뇨생식기 감염을 앓고 있는 경우, 출산 시 산도를 통과하는 동안 신생아에게 전파될 수 있다. 무증상 감염률이 높기 때문에 임산부는 출산 전에 임균 감염 검사를 받는 것이 권장된다.[69]최근 연구에 따르면, 임균 박테리아는 필리를 사용하여 정자 내 단백질에 고정되어 성교액을 통해 이동한다.[75]
5. 3. 감염
임균은 성관계를 통해 사람 간에 전파된다. 과거에는 정자에 붙어서 이동한다고 알려졌지만, 여성에서 남성으로의 전파를 설명할 수 없었다. 최근 연구에 따르면 임균은 필리를 사용하여 정자 내 단백질에 고정되어 정액을 통해 이동한다.[75]임균은 전파된 후, 제4형 필리를 이용해 상피 세포에 부착한다. 부착 후에는 유전체를 복제하고 분열하여 미세 집락을 형성한다.[11] 이 과정은 CD46에 의해 촉진되기도 한다.[40] 필리와의 상호작용은 숙주 세포의 세포 골격 재배열을 유발하여 숙주 세포의 반응을 방해하고 감염 가능성을 높인다.[40]
임균은 성장과 집락 형성 과정에서 숙주 면역 세포로부터 염증성 사이토카인과 케모카인 방출을 자극하여 호중구를 감염 부위로 불러들인다.[48] 식세포는 일반적으로 외부 병원체를 섭취하여 파괴하지만, 임균은 숙주 세포 반응을 조작하여 면역 세포 내에서 생존하고 제거를 피한다.[48]
5. 3. 1. 실험실 진단
핵산 증폭 검사는 ''임균''(Neisseria gonorrhoeae)을 검출하는 가장 민감한 방법이다.[76][77] 현미경 검사 및 배양 검사도 사용된다.[76]5. 4. 예방
콘돔이나 덴탈 댐과 같은 라텍스 장벽을 사용하여 성관계를 하고, 성 파트너 수를 제한하면 임균 전염을 줄일 수 있다.[78] 구강 성교 및 항문 성교 중에도 콘돔과 덴탈 댐을 사용해야 한다. 살정제, 질 거품, 질 세척 등은 전염을 예방하는 데 효과적이지 않다.[6]5. 4. 1. 백신
임균 백신은 사례 증가, 증가하는 항생제 내성, 그리고 생식 건강에 미치는 영향으로 인해 점점 더 필요해지고 있다.[79] 백신 개발을 방해하는 문제점으로는 감염 후 면역력 부재, 오직 인간에게만 감염되는 숙주, 그리고 잠재적인 백신 표적의 항원 변이 및 위상 변이 등이 있다.[80] ''N. gonorrhoeae''(임균)는 항원 변이라는 과정을 통해 면역 체계를 회피한다.[46] 이 과정을 통해 ''N. gonorrhoeae''는 유전자를 재조합하여 표면을 장식하는 항원 결정기를 변경할 수 있는데,[6] 이는 Type IV pili(4형 선모) 등이 해당된다.[47] 유전적 수준의 변화로 인해 분자의 화학적 구성이 변경되는 것이다.[48] ''N. gonorrhoeae''는 선모와 lipooligosaccharide(지질 올리고당)의 구성을 다양하게 바꿀 수 있다. 이 중, 선모는 염색체 재배열로 인해 가장 많은 항원 변이를 보인다.[71][6] ''pilS'' 유전자는 이러한 재배열 능력의 한 예시이며, ''pilE'' 유전자와의 조합을 통해 PilE 단백질의 100개 이상의 변종을 생성할 수 있다고 추정된다.[48] 이러한 변화는 감염 부위의 국소적인 환경 차이에 적응하고, 표적 항체의 인식을 회피하며, 효과적인 백신의 형성을 억제하는 데 기여한다.[48]유전자 재배열 외에도, ''N. gonorrhoeae''는 자연적 능력을 지니고 있는데, 이는 type IV pilus(4형 선모), 특히 PilQ 및 PilT 단백질을 통해 환경으로부터 세포 외 DNA를 획득할 수 있음을 의미한다.[49] 이러한 과정을 통해 ''N. gonorrhoeae''는 새로운 유전자를 획득하고 전파하며, 다른 표면 단백질로 위장하고, 면역 기억의 발달을 방해하는데, 이러한 능력은 항생제 내성에 기여하고 백신 개발을 저해하는 요인이 되었다.[50]
현재 여러 개의 ''N. gonorrhoeae'' 백신이 개발 중이며, 여기에는 외막 소포 백신이 포함된다.[80] 여기에는 NGoXIM, 네이티브 OMV, 그리고 Bexsero/4CMenB 백신 후보가 포함되어 있으며, 이들은 모두 개발의 후기 임상 단계에 있다.[81] ''N. gonorrhoeae'' 백신의 개발은 여러 잠재적인 공중 보건 영향을 미친다. 한 추정에 따르면 성적 활동 전에 이성애자에게 투여하는 백신은 20년 후 ''N. gonorrhoeae''의 유병률을 최대 90%까지 감소시킬 수 있다.[80]
5. 5. 치료
질병통제예방센터(CDC)는 임균 감염의 1차 치료제로 세프트리악손 주사 투여를 권장한다.[82] 체중이 150kg 미만인 경우 500mg, 150kg을 초과하는 경우 1g을 처방한다.[79] 세프트리악손은 임질 치료에 효과적인 유일한 세팔로스포린은 아니지만 가장 많이 사용된다.[79]세팔로스포린 알레르기가 있는 환자에게는 겐타마이신과 아지트로마이신을 함께 투여하는 방법이 권장된다. 겐타마이신은 240mg을 근육 주사로, 아지트로마이신은 2g을 경구 투여한다.[79] 세프트리악손을 사용할 수 없는 경우 세픽심 800mg을 1회 경구 투여할 수 있다.[79]
임균은 클라미디아와 동시 감염되는 경우가 많으므로, 클라미디아에 대한 치료도 함께 받는 것이 권장된다.[83]
5. 5. 1. 항생제 내성
항생제 내성 임균은 1940년대에 처음 확인되었다. 임질은 페니실린으로 치료했지만, 효과를 유지하기 위해 점차적으로 용량을 늘려야 했다. 1970년대에 태평양 연안에서 페니실린과 테트라사이클린 내성 임균이 나타났다. 이러한 내성 균주는 하와이, 캘리포니아, 미국의 나머지 지역, 호주 및 유럽으로 확산되었다. 플루오로퀴놀론이 다음 치료제였지만, 이 항생제에 대한 내성 또한 곧 나타났다. 2007년부터 표준 치료법은 세프트리악손과 같은 3세대 세팔로스포린으로, 이는 "최후의 방어선"으로 여겨진다.[84][85] 최근 일본에서 H041이라고 불리는 고도의 세프트리악손 내성 임균 균주가 발견되었다. 실험실 검사 결과 이 균주는 고농도의 세프트리악손뿐만 아니라 테스트된 대부분의 다른 항생제에도 내성을 나타냈다. ''N. gonorrhoeae'' 내에는 임질 치료에 사용되는 모든 항생제에 내성을 부여하는 유전자가 존재하지만, 지금까지는 단일 임균 내에 함께 존재하지는 않는다. 그러나 수평 유전자 전달에 대한 ''N. gonorrhoeae''의 높은 친화력 때문에, 항생제 내성 임균은 새로운 공중 보건 위협으로 간주되고 있다.[85]2007년 이전에는 플루오로퀴놀론이 임질의 일반적인 치료 권고안이었다. 미국에서 내성 ''N. gonorrhoeae'' 균주가 나타나자 질병통제예방센터(CDC)는 사용을 중단했다. 플루오로퀴놀론을 잠재적 치료법에서 제외함으로써 세팔로스포린만이 임질 치료를 위한 유일한 항균 옵션으로 남게 되었다. 추가적인 임균 내성에 대한 우려로 인해, CDC의 권고는 2010년에 아지트로마이신 또는 독시사이클린과 함께 세팔로스포린을 사용하는 이중 요법 전략으로 전환되었다. 이러한 노력에도 불구하고, 2011년까지 내성 ''N. gonorrhoeae''가 5개 대륙에서 보고되었으며, 이는 치료 옵션과 권고 사항을 더욱 제한했다. 항균제 내성이 보편적인 것은 아니며, 미국의 ''N. gonorrhoeae'' 균주는 세프트리악손과 아지트로마이신의 병용 요법에 계속 반응하고 있다.[86]
최근 성관계의 다양화로 임균의 항생제 내성균이 증가하고 있으며, 새로운 항생제 및 항균제에 대해서도 단기간에 내성을 획득한다. 무해한 대부분의 나이세리아균은 구강 내·인두 내에서 상재균으로 존재한다. 이들 나이세리아균은 숙주가 기관지염이나 감기 등의 감염증에 걸릴 때마다 의사로부터 처방받는 항생제 노출 기회를 빈번하게 받는다. 그 결과 다양한 항생제에 대한 내성을 획득한다. 구강성교로 침입한 임균은 친척 관계인 구강 내 나이세리아균과 유전자 재조합(교차 현상)을 일으켜 쉽게 항생제 내성을 획득하는 것으로 생각된다. 2010년 시점에서는 뉴퀴놀론계 합성 항균제인 오플록사신, 시프로플록사신, 레보플록사신 등에 대해 고도 내성을 획득하고 있다. 또한, 2011년에는 세프트리아손 등의 세펨계 항생물질 내성 획득주(H041주)의 존재가 보고되었다.[94]
5. 6. 혈청 저항성
그람 음성 세균인 임균(''N. gonorrhoeae'')은 인간 혈청에서 발견되는 보체계(또는 보체 연쇄 반응)로부터 자신을 보호하기 위한 방어 기전이 필요하다.[40] 보체계를 활성화하는 세 가지 다른 경로가 있지만, 모두 보체 단백질 3(C3)의 활성화를 유발한다.[87] 이 단백질의 절단된 부분인 C3b는 병원성 표면에 침착되어 옵소닌화를 유발하며, 보체 막 공격 복합체의 하위 활성화를 초래한다.[87] 임균은 이러한 작용을 피하기 위한 여러 기전을 가지고 있으며,[11] 이러한 기전을 통틀어 혈청 저항성이라고 한다.[11]6. 역사
임질의 원인균인 ''나이세리아 고노레아''(la)는 1878년 알베르트 나이서가 처음 발견했다.[11][3][48] 1882년 라이스티코프와 뢰플러가 이 미생물을 배양했고,[11] 1883년 막스 보크하르트는 나이서가 분리한 세균을 건강한 남성에게 접종하여 임질을 유발함을 증명함으로써 코흐의 가설을 충족시켰다.[48]
이전까지 연구자들은 매독과 임질이 같은 질병인지 논쟁을 벌였다.[89][48] 1767년 존 헌터는 임질 환자의 고름을 한 남성에게 접종했는데, 그 결과 매독 증상이 나타나자 두 질병이 같다고 잘못 결론 내렸다.[87][89] 이후 다른 과학자들이 임질 고름을 다른 사람들에게 접종하여 헌터의 결론이 틀렸음을 증명했다.[11][48]
1940년대에 페니실린이 등장하면서 임질 치료가 가능해졌다.[91]
6. 1. 이름 유래
''나이세리아 고노레아''(la)는 1878년 임질의 원인균으로 분리한 알베르트 나이서의 이름을 따서 명명되었다.[11][3] 갈레노스는 그리스어 ''gonos''(''씨앗''을 의미)와 ''rhoe''(''흐름''을 의미)에서 유래된 "임질(gonorrhea)"이라는 용어를 만들었다.[88][48] 따라서 임질은 "씨앗의 흐름"을 의미하며, 이는 남성 감염 시 관찰되는 흰색 음경 분비물을 설명하는 것으로, 정액으로 추정된다.[11]6. 2. 발견
1878년, 알베르트 나이서는 임질 환자 35명(그중 2명은 눈 감염 동반)의 고름 표본에서 ''임균''(N. gonorrhoeae) 쌍구균을 분리하고 시각화했다.[48] 1882년, 라이스티코프와 뢰플러는 이 미생물을 배양할 수 있었다.[11] 1883년, 막스 보크하르트는 알베르트 나이서가 분리한 세균이 임질의 원인임을 건강한 남성의 음경에 세균을 접종하여 결정적으로 증명했다.[48] 며칠 후 그 남성은 임질의 전형적인 증상을 보였고, 코흐의 가설의 마지막 조건을 충족했다.이전까지 연구자들은 매독과 임질이 같은 질병인지, 아니면 별개의 질병인지에 대해 논쟁을 벌였다.[89][48] 18세기 연구자인 존 헌터는 1767년에 이 논쟁을 해결하려 시도했다.[48] 그는 임질 환자에게서 채취한 고름을 한 남성에게 접종했다. 그 남성에게 매독의 전형적인 구리빛 발진이 나타나자, 그는 매독과 임질이 같은 질병이라고 잘못 결론 내렸다.[87][89] 많은 자료에서는 헌터가 자신에게 접종했다고 언급하지만,[87][11] 다른 자료에서는 다른 남성에게 접종했다고 주장한다.[90] 헌터의 실험 이후 다른 과학자들은 임질 고름을 다른 남성 의사, 의대생,[11] 수감자들에게 접종하여 그의 결론을 반증하려 했으며, 그들은 모두 임질의 작열감과 분비물을 보였다. 리코르라는 연구자는 정신병원 환자에게 임질 고름을 667회 접종하는 과감한 시도를 했지만, 매독 사례는 전혀 없었다.[48][11]
1940년대에 페니실린이 등장하면서 임질에 대한 효과적인 치료법이 등장했다.[91]
참조
[1]
웹사이트
Genus ''Neisseria''
https://lpsn.dsmz.de[...]
2017-07-07
[2]
논문
Ueber eine der Gonorrhoe eigentümliche Micrococusform
https://archive.org/[...]
[3]
서적
Pelvic Inflammatory Disease
Infobase Publishing
2009
[4]
논문
Purulent nasal discharge due to gonococcal nasopharyngitis in a neonate
2023-12-00
[5]
논문
A Review of Recent Advances in Our Understanding of Neisseria gonorrhoeae
2023-08-00
[6]
서적
Sherris Medical Microbiology
https://books.google[...]
McGraw Hill
[7]
웹사이트
Final Recommendation Statement: Chlamydia and Gonorrhea: Screening
https://www.uspreven[...]
2017-12-07
[8]
논문
The laboratory diagnosis of Neisseria gonorrhoeae
2005-01-00
[9]
웹사이트
Gonococcal Infections - 2015 STD Treatment Guidelines
https://www.cdc.gov/[...]
2018-01-04
[10]
서적
Diagnosis of sexually transmitted diseases: methods and protocols
Humana Press
2012
[11]
논문
Neisseria gonorrhoeae host adaptation and pathogenesis
2018-04-00
[12]
논문
Antimicrobial resistance in Neisseria gonorrhoeae: history, molecular mechanisms and epidemiological aspects of an emerging global threat
2017-10-01
[13]
논문
Urethritis: Rapid Evidence Review
2021-05-00
[14]
논문
Chapter 168 - Neisseria
https://linkinghub.e[...]
Mosby
2010-01-01
[15]
논문
Classical labeling of bacterial pathogens according to their lifestyle in the host: inconsistencies and alternatives
2012-00-00
[16]
논문
Neisseria Gonorrhoae and their antimicrobial susceptibility patterns among symptomatic patients from Gondar town, north West Ethiopia
2018-07-17
[17]
웹사이트
Neisseria - an overview {{!}} ScienceDirect Topics
https://www.scienced[...]
2024-11-21
[18]
논문
CHAPTER 12 - Neisseria
https://linkinghub.e[...]
Academic Press
2001-01-01
[19]
논문
Characterization of motility and piliation in pathogenic Neisseria
2015-04-00
[20]
논문
Meningococcal disease and sexual transmission: urogenital and anorectal infections and invasive disease due to Neisseria meningitidis
2020-06-00
[21]
서적
Principles of bacterial pathogenesis
Academic Press
2001
[22]
서적
Advances in Microbial Physiology Volume 20
Academic Press
1980-01-01
[23]
논문
Glucose metabolism in Neisseria gonorrhoeae
1974-11-00
[24]
논문
Physiology and metabolism of pathogenic neisseria: tricarboxylic acid cycle activity in Neisseria gonorrhoeae
1976-10-00
[25]
논문
Acetate kinase: not just a bacterial enzyme
2006-06-00
[26]
논문
An NMR and enzyme study of the carbon metabolism of Neisseria meningitidis
2001-06-00
[27]
논문
A role for lactate dehydrogenases in the survival of Neisseria gonorrhoeae in human polymorphonuclear leukocytes and cervical epithelial cells
2014-10-00
[28]
논문
Organization of the electron transfer chain to oxygen in the obligate human pathogen Neisseria gonorrhoeae: roles for cytochromes c4 and c5, but not cytochrome c2, in oxygen reduction
2010-05-00
[29]
논문
Structural alterations in a component of cytochrome c oxidase and molecular evolution of pathogenic Neisseria in humans
2010-08-00
[30]
논문
A physiologically significant role in nitrite reduction of the CcoP subunit of the cytochrome oxidase ''CBB'' 3from ''Neisseria gonorrhoeae''
https://academic.oup[...]
2009-00-00
[31]
논문
Bacterial electron transport chains
1988-06-00
[32]
논문
Cytochrome bc1 complexes of microorganisms
1990-06-00
[33]
웹사이트
UniProt
https://www.uniprot.[...]
2024-11-18
[34]
논문
Mechanism of the F(1)F(0)-type ATP synthase, a biological rotary motor
2002-03-00
[35]
논문
Bacterial electron transport chains
1988-06-00
[36]
논문
Cytochrome bc1 complexes of microorganisms
1990-06-01
[37]
웹사이트
UniProt
https://www.uniprot.[...]
2024-11-18
[38]
논문
Mechanism of the F(1)F(0)-type ATP synthase, a biological rotary motor
2002-03-01
[39]
논문
Stealthy microbes: How Neisseria gonorrhoeae hijacks bulwarked iron during infection
2022-09-15
[40]
논문
The molecular mechanisms used by Neisseria gonorrhoeae to initiate infection differ between men and women
2004-10-01
[41]
웹사이트
STI Awareness: Gonorrhea
http://blog.advocate[...]
Planned Parenthood Advocates of Arizona
2011-04-11
[42]
논문
Opa proteins and CEACAMs: pathways of immune engagement for pathogenic Neisseria
2011-05-01
[43]
논문
Neisseria gonorrhoeae physiology and pathogenesis
Academic Press
2022-01-01
[44]
논문
Discovery of a New Neisseria gonorrhoeae Type IV Pilus Assembly Factor, TfpC
2020-10-01
[45]
논문
Pilus retraction powers bacterial twitching motility
2000-09-01
[46]
논문
Opacity genes in Neisseria gonorrhoeae: control of phase and antigenic variation
1986-10-01
[47]
논문
Focusing homologous recombination: pilin antigenic variation in the pathogenic Neisseria
2011-09-01
[48]
논문
Gonorrhea - an evolving disease of the new millennium
2016-09-01
[49]
논문
Mobile DNA in the pathogenic ''Neisseria''
2015-02-01
[50]
논문
Competence for natural transformation in Neisseria gonorrhoeae: components of DNA binding and uptake linked to type IV pilus expression
2002-11-01
[51]
논문
Interactions of Neisseria gonorrhoeae with adherent polymorphonuclear leukocytes
2005-04-01
[52]
논문
Macrophage-''Neisseria gonorrhoeae'' Interactions: A Better Understanding of Pathogen Mechanisms of Immunomodulation
2018-01-01
[53]
논문
Neisseria gonorrhoeae DNA recombination and repair enzymes protect against oxidative damage caused by hydrogen peroxide
2006-11-01
[54]
논문
Adaptive value of sex in microbial pathogens
2008-05-01
[55]
논문
Natural competence for transformation
2016-11-01
[56]
웹사이트
Neisseria gonorrhoeae genome statistics
https://www.broadins[...]
Broad Institute
[57]
논문
Complete genome sequence of Neisseria gonorrhoeae NCCP11945
2008-09-01
[58]
논문
Horizontal Gene Transfer
2015-07-01
[59]
논문
Antibiotic resistance in Neisseria gonorrhoeae: origin, evolution, and lessons learned for the future
2011-08-01
[60]
논문
DNA uptake sequences in ''Neisseria gonorrhoeae'' as intrinsic transcriptional terminators and markers of horizontal gene transfer
2016-08-01
[61]
논문
Horizontal Gene Transfer of Fluoroquinolone Resistance-Conferring Genes From Commensal ''Neisseria'' to ''Neisseria gonorrhoeae'': A Global Phylogenetic Analysis of 20,047 Isolates
2022-03-17
[62]
논문
Natural transformation of Neisseria gonorrhoeae: from DNA donation to homologous recombination
2006-01-01
[63]
논문
Mobile genetic elements in Neisseria gonorrhoeae: movement for change
2017-08-01
[64]
논문
Gonococcal Genetic Island in the Global ''Neisseria gonorrhoeae'' Population: A Model of Genetic Diversity and Association with Resistance to Antimicrobials
2023-06-01
[65]
논문
Secreted single-stranded DNA is involved in the initial phase of biofilm formation by Neisseria gonorrhoeae
https://backend.orbi[...]
2014-04-01
[66]
논문
Neisseria gonorrhoeae and humans perform an evolutionary LINE dance
2011-05-01
[67]
논문
Opportunity and means: horizontal gene transfer from the human host to a bacterial pathogen
[68]
논문
The incidence and correlates of symptomatic and asymptomatic Chlamydia trachomatis and Neisseria gonorrhoeae infections in selected populations in five countries
2011-06-01
[69]
웹사이트
Detailed STD Facts - Gonorrhea
https://www.cdc.gov/[...]
2017-09-26
[70]
서적
Sherris Medical Microbiology
https://books.google[...]
McGraw Hill
[71]
서적
Review of medical microbiology and immunology
McGraw-Hill Education
2014
[72]
웹사이트
Gonorrhea (the clap) Symptoms
https://www.std-gov.[...]
std-gov.org
2015-04-02
[73]
웹사이트
Gonococcal Infections - 2015 STD Treatment Guidelines
https://www.cdc.gov/[...]
2017-12-07
[74]
저널
What is the evidence for non-sexual transmission of gonorrhoea in children after the neonatal period? A systematic review
2007-11-01
[75]
저널
Seminal plasma initiates a Neisseria gonorrhoeae transmission state
2014-03-01
[76]
저널
The Laboratory Diagnosis of Neisseria gonorrhoeae: Current Testing and Future Demands
2020-01-01
[77]
저널
Use of nucleic acid amplification testing for diagnosis of anorectal sexually transmitted infections
2012-06-01
[78]
웹사이트
2015 Sexually Transmitted Diseases Treatment Guidelines
https://www.cdc.gov/[...]
Centers for Disease Control and Prevention, U.S. Department of Health & Human Services
[79]
웹사이트
Gonococcal Infections Among Adolescents and Adults - STI Treatment Guidelines
https://www.cdc.gov/[...]
2024-11-19
[80]
저널
Neisseria gonorrhoeae vaccines: a contemporary overview
2024-03-01
[81]
임상시험
Safety and Efficacy of GSK Neisseria Gonorrhoeae GMMA (NgG) Investigational Vaccine When Administered to Healthy Adults 18 to 50 Years of Age.
[82]
웹사이트
Drug-Resistant Gonorrhea
https://www.cdc.gov/[...]
2024-05-16
[83]
저널
Update to CDC's Treatment Guidelines for Gonococcal Infection, 2020
2020-12-01
[84]
뉴스
UK doctors advised gonorrhoea has turned drug resistant
https://www.bbc.co.u[...]
2011-10-10
[85]
웹사이트
STI Awareness: Antibiotic-Resistant Gonorrhea
http://blog.advocate[...]
Planned Parenthood Advocates of Arizona
2012-03-06
[86]
저널
Diagnosis and Treatment of Sexually Transmitted Infections: A Review
2022-01-01
[87]
웹사이트
The complement system and innate immunity
https://www.ncbi.nlm[...]
2001
[88]
웹사이트
gonorrhea Origin and meaning of gonorrhea by Online Etymology Dictionary
https://www.etymonli[...]
2017-12-05
[89]
서적
Comprehensive Approach to Infections in Dermatology
JP Medical
2016
[90]
저널
Hunter's chancre: did the surgeon give himself syphilis?
2005-07-01
[91]
저널
Gonorrhea: Historical outlook
https://jsstd.org/go[...]
2020-10-15
[92]
저널
ニューキノロン抵抗性淋菌による角結膜炎の1例
2003-05-30
[93]
웹사이트
2002年第22週号 感染症の話-淋菌感染症
http://idsc.nih.go.j[...]
国立感染症研究所 感染症情報センター
[94]
웹사이트
セフトリアキソン高度耐性淋菌
https://medical.nikk[...]
日経メディカル オンライン
2011-10-25
[95]
저널
Complete genome sequence of Neisseria gonorrhoeae NCCP11945
[96]
저널
''Neisseria gonorrhoeae'' and humans perform an evolutionary LINE dance
[97]
저널
Opportunity and Means: Horizontal Gene Transfer from the Human Host to a Bacterial Pathogen
[98]
서적
Sherris Medical Microbiology
https://archive.org/[...]
McGraw Hill
2017-03-12
[99]
웹사이트
''Neisseria gonorrhoeae'' genome statistics, Broad Institute
https://www.broadins[...]
[100]
저널
The Incidence and Correlates of Symptomatic and Asymptomatic Chlamydia trachomatis and Neisseria gonorrhoeae Infections in Selected Populations in Five Countries
본 사이트는 AI가 위키백과와 뉴스 기사,정부 간행물,학술 논문등을 바탕으로 정보를 가공하여 제공하는 백과사전형 서비스입니다.
모든 문서는 AI에 의해 자동 생성되며, CC BY-SA 4.0 라이선스에 따라 이용할 수 있습니다.
하지만, 위키백과나 뉴스 기사 자체에 오류, 부정확한 정보, 또는 가짜 뉴스가 포함될 수 있으며, AI는 이러한 내용을 완벽하게 걸러내지 못할 수 있습니다.
따라서 제공되는 정보에 일부 오류나 편향이 있을 수 있으므로, 중요한 정보는 반드시 다른 출처를 통해 교차 검증하시기 바랍니다.
문의하기 : help@durumis.com
