맨위로가기

혈구탐식성 림프조직구증

"오늘의AI위키"는 AI 기술로 일관성 있고 체계적인 최신 지식을 제공하는 혁신 플랫폼입니다.
"오늘의AI위키"의 AI를 통해 더욱 풍부하고 폭넓은 지식 경험을 누리세요.

1. 개요

혈구탐식성 림프조직구증(HLH)은 발열, 간비종대, 혈구감소증 등을 특징으로 하는 희귀하고 심각한 질환이다. HLH는 원발성(1차성)과 속발성(2차성)으로 분류되며, 유전적 요인이나 악성 종양, 감염 등이 원인이 될 수 있다. 증상으로는 발열, 림프절 비대, 황달, 피부 발진 등이 나타날 수 있으며, 진단은 특정 기준을 충족하거나 유전자 검사를 통해 이루어진다. 치료는 면역억제제를 사용하며, 심한 경우 조혈모세포 이식을 고려한다. HLH의 예후는 좋지 않으며, 사망률이 높지만, 일부 이차성 HLH는 회복될 수 있다.

더 읽어볼만한 페이지

  • 면역 질환 - 알레르기
    알레르기는 면역 체계가 무해한 물질에 과도하게 반응하여 아토피 피부염, 비염, 천식, 두드러기 등 다양한 증상을 일으키는 질환으로, Gell과 Coombs 분류법에 따라 여러 유형으로 나뉘며, 심각한 경우 아나필락시스를 유발할 수 있고, 유전적, 환경적 요인이 복합적으로 작용하여 발생하며, 알레르겐 회피, 약물, 면역요법 등으로 치료한다.
  • 면역 질환 - 기회감염
    기회감염은 면역 체계가 약화된 사람에게 다양한 병원체에 의해 발생하는 감염으로, 면역력 저하, HIV 감염, 치료 등의 원인에 의해 발생하며, 예방을 위해 면역력 회복, 감염원 회피, 예방적 약물 사용 등의 조치를 취하고, 치료는 원인균에 따라 적절한 약제를 사용하는 것이 중요하다.
  • 상염색체 열성 질환 - 윌슨병
    윌슨병은 구리가 간과 뇌에 축적되어 발생하는 유전 질환으로, ATP7B 유전자 돌연변이가 원인이며, 간 기능 장애, 신경정신과적 증상, 카이저-플라이셔 고리 등의 증상이 나타난다.
  • 상염색체 열성 질환 - 색소성 건피증
    색소성 건피증은 자외선에 손상된 DNA 복구 기능 저하로 발생하는 유전 질환으로, 햇빛 과민반응, 피부암, 신경계 이상을 유발하며, 자외선 차단과 피부암 예방을 주요 치료 목표로 하는 '어둠의 아이들'이라고도 불리는 질환이다.
혈구탐식성 림프조직구증
질병 개요
이름혈구탐식성 림프조직구증
영어 이름Haemophagocytic Lymphohistiocytosis (HLH)
약칭HLH
임상 정보
분야혈액학, 면역학
증상발열, 간비종대, 혈구감소증, 림프절비대, 황달, 부종
원인면역 질환으로 인한 과도한 염증 반응
기타
관련 질병 코드RA201810788

2. 증상

발열, 간비종대(간비장비대), 그리고 혈구감소증이 전형적인 증상이다. 상기도 감염이나 위장관 감염 후에 주로 나타난다. 그 외에 피부 발진, 림프절비대, 황달 및 부종이 있을 수 있고, 신경학적 증상이 나타날 수 있다.[38]

HLH의 발병은 약 70%의 경우에서 생후 1년 이전에 발생한다. 형제자매가 HLH로 진단되거나 치료 중단 후 증상이 재발하는 경우 가족성 HLH를 의심해야 한다.[2]

임상적으로는 발열, 간과 비장의 비대, 림프절 비대, 피부와 눈의 황색 변색, 발진으로 나타난다.[5] 실험실 검사 결과는 트리글리세리드 수치 상승, 피브리노겐 수치 감소, 트랜스아미나제 증가 및 페리틴 수치 상승을 포함할 수 있다.[5]

최근 체계적 문헌고찰에서는 다음과 같은 증상들의 통합 비율이 보고되었다:[6]

증상비율
발열97.2%
간비대70.2%
비장비대78.4%
혈소판 감소증90.1%
빈혈76.0%
혈청 페리틴 ≥500 μg/L97.1%



뎅기열 혈구탐식성 림프조직구증 환자의 치명률은 14.6%이다.[6]

그 외에도 발열, 범혈구 감소증, 간비종, 파종성 혈관 내 응고 증후군(DIC), 전신 권태감, 림프절 종창, 복수, 출혈 등이 나타날 수 있다.

3. 원인

HLH는 크게 원발성(1차성) HLH와 속발성(2차성) HLH 두 가지 유형으로 분류된다.[7]


  • 원발성 HLH (가족성 혈구탐식 림프조직구증, FHL)
  • 증후군과 관련된 유전자의 변이로 인해 발생하며, 여러 면역 결핍 질환의 표현형 중 하나이다. 세포독성 T 세포와 자연 살해 세포엡스타인-바 바이러스(EBV)나 뎅기열 바이러스 등에 감염된 세포를 제거하는 데 필요한 단백질을 만드는 유전자에 기능 상실 변이(불활성화)가 생기는 것이 가장 흔한 원인이다.[7] 이러한 변이는 ''UNC13D, STX11, RAB27A, STXBP2, LYST, PRF1 1, SH2D1A, BIRC4, ITK, CD27'', 그리고 ''MAGT1'' 유전자 등에서 발생한다.[7]
  • FHL은 보통 생후 몇 개월 이내에 증상이 나타나며, 심지어 ''자궁 내''에서도 발병할 수 있다. 그러나 일부 사례에서는 소아기 전체와 심지어 청년기까지 증상이 나타나는 경우도 있다.
  • 5가지 아형(FHL1, FHL2, FHL3, FHL4, FHL5)이 있으며, 각각 특정 유전자와 관련이 있다.

단백질원인 유전자
FHL1HPLH1불명
FHL2PRF1퍼포린(Perforin)
FHL3UNC13D뭉크13-4(Munc13-4)
FHL4STX11신택신11(Syntaxin11)
FHL5STXBP2뭉크18-2(Munc18-2)


  • 제2형 가족성 혈구탐식성 림프조직구증(FHL2)의 경우, 거의 절반이 양쪽 대립 유전자 PRF1 돌연변이로 인해 발생한다.[15]
  • 가족성 혈구탐식 림프조직구증(FHL)은 부모 근친 결혼에서 더 흔하게 나타나는 상염색체 열성 질환이다.
  • 염증이 중추신경계에 국한된 1차 HLH의 아형도 존재한다.
  • 가족성 혈구탐식 림프구증(FHL)은 상염색체 열성 유전으로 발병하며, 퍼포린(Perforin), 신택신11(syntaxin11), 뭉크13-4(Munc13-4), 뭉크18-2(Munc18-2) 등이 원인 유전자로 보고되었지만, 유전자가 특정되지 않은 경우도 있다.
  • X 연관 림프 증식성 질환 (XLP, Duncan 병)
  • 반성 유전으로 발병하며, EB 바이러스에 대한 비정상적인 면역 반응을 특징으로 한다.

단백질원인 유전자
XLP1SLAM 관련 단백질SH2D1A
XLP2X 연관 세포사멸 억제 단백질 (XIAP)BIRC4


  • 백색증을 동반하는 면역 결핍 증후군
  • 2형 그리셀리 증후군(GS II): 상염색체 열성 유전으로 발병한다.
  • 체디악-히가시 증후군(CHS): 상염색체 열성 유전으로 발병하며, 백색증과 혈구탐식 림프구증 발병, 세포 내 거대 과립의 존재를 특징으로 한다.
  • 2형 헤르만스키-푸들락 증후군(HPS II): 상염색체 열성 유전으로 발병하며, 백색증과 혈소판 기능 장애로 인한 출혈 경향을 특징으로 한다.

단백질원인 유전자
그리셀리 증후군 llRab27ARAB27A
체디악-히가시 증후군LYST (라이소좀 수송 조절 인자)CHS1/LYST
헤르만스키-푸들락 증후군 llAP3의 β 서브유닛AP3B1


  • 속발성 HLH (후천성 혈구탐식 림프조직구증)
  • 전신 감염, 면역 결핍, 기저 악성 종양 등 강력한 면역 활성화 후에 발생한다.
  • 면역 체계가 EBV 감염 세포를 공격하는 능력이 약화되는 악성 종양 및 비악성 질환과 관련이 있으며, 이러한 질환에 의해 촉진되는 것으로 여겨진다.[7]
  • 관련 악성 질환: T 세포 림프종, B 세포 림프종, 급성 림프구성 백혈병, 급성 골수성 백혈병, 골수이형성 증후군 등.
  • 류마티스 질환의 경우, 대식세포 활성화 증후군으로 더 자주 언급되며, 전신성 소아 특발성 관절염, 성인형 스틸병, 전신성 홍반성 루푸스에서 가장 자주 발생한다. 소아 특발성 관절염, 소아 가와사키병, 류마티스 관절염에서는 드물게 발생한다.[7]
  • 중증 복합 면역 결핍증, 디조지 증후군, 위스콧-알드리치 증후군, 운동 실조-모세 혈관 확장증, 선천성 각화 이상증과 같은 면역 결핍 질환에서도 드물게 발생한다.[8]
  • EBV, 거대세포 바이러스, HIV/AIDS, 세균, 원생동물, 곰팡이, SARS-CoV-2 등에 의한 감염에서도 발생한다.[9][10][11]
  • 골수 또는 기타 장기 이식, 화학 요법, 면역 억제제 치료와 같은 의인성 원인으로 인해 발생할 수도 있다.[12]

  • 기타
  • 바이러스 관련 혈구탐식성 증후군(VAHS)
  • EBV-AHS: 엡스타인-바 바이러스(EBV)에 의한 가장 중증형 HPS
  • 그 외 거대세포 바이러스, 파보 바이러스, 단순 헤르페스 바이러스, 대상 포진 바이러스, 홍역 바이러스, 사람 헤르페스 바이러스 8형, 인간 면역 결핍 바이러스(HIV) 등의 바이러스나, 브루셀라증, 결핵균, 리슈만편모충, 또는 그람 음성 간균과 진균에 의해 발생했다는 보고가 있다.
  • 자가면역 질환 관련 혈구탐식성 증후군(AAHS)
  • 전신 홍반 루푸스에 동반되는 것
  • 그 외 류마티스 관절염, 성인 스틸병 등 대부분의 교원병에 합병된다는 보고가 있지만, 왠지 이 병형의 HPS는 경증이며, 스테로이드가 효과를 보이는 경우가 많다.
  • 악성 종양 관련 혈구탐식성 증후군(MAHS)
  • 림프절 외 NK/T 세포 림프종을 비롯한 악성 림프종이나 백혈병
  • 도카이 촌 JCO 임계 사고의 희생자 A(35세)가 발병했지만[35], 메커니즘은 현재까지 불명이다.


전체 HLH 사례의 약 33%, 아시아 HLH 사례의 ~75%, 그리고 ''SH2D1A'' 돌연변이로 인한 HLH 사례의 거의 100%(X-연관 림프 증식성 질환 제1형 참조)는 EBV 감염과 관련이 있으며, 이에 의해 유발되거나 촉진되는 것으로 여겨진다. 이러한 HLH 사례는 엡스타인-바 바이러스 관련 림프 증식성 질환 범주에 속하며 EBV+ HLH로 명명된다.[13]

두 형태 모두 정상 T 림프구와 대식세포의 압도적인 활성화가 특징이며, 치료가 없을 경우 예외 없이 임상적, 혈액학적 변화와 사망으로 이어진다.

4. 병태생리

혈구탐식성 림프조직구증(HLH)의 병태생리는 유전적 또는 후천적 원인으로 인해 발생하며, 유발 요인에 노출되면 억제되지 않는 면역 반응을 일으킨다. 손상된 NK 세포의 세포독성은 HLH의 특징이다. 가족성 HLH의 모든 유전적 결함은 과립 의존성 세포독성과 관련이 있다. 감염된 세포와 항원 제시 세포를 제거하고 면역 반응을 종료하지 못하면 면역계의 통제되지 않은 증식과 활성화로 이어져 과도한 사이토카인이 방출된다. 이 세포들은 이후 장기에 침투하여 더 많은 사이토카인을 방출하여 임상 양상을 보인다.

발열은 IL-1, IL-6 및 TNF-알파에 의해 유발되고, 혈구 감소증은 TNF-알파와 TNF-감마에 의한 조혈 억제 효과 때문이다. TNF-알파와 TNF-감마는 또한 지단백 리파아제의 억제를 유발하거나 트리글리세리드 합성을 자극할 수 있다. 활성화된 대식세포페리틴과 플라스미노겐 활성제를 분비하여 과섬유소분해를 유발한다.[16]

5. 진단

HLH(혈구탐식성 림프조직구증) 진단은 Histiocyte Society의 HLH study group에서 제안한 기준에 따라 이루어진다. 초기에는 다음 5가지 기준을 모두 만족해야 진단했다.[39][37]

기준
발열
비장 비대
혈구감소증
고중성지질혈증 또는 저섬유소원혈증
골수, 비장, 림프절에서 혈구탐식 관찰



이후 HLH-2004에서는 다음 기준이 추가되어, 총 8가지 기준 중 5가지 이상을 만족하거나 유전자 진단을 통해 진단한다.

추가된 기준
NK세포 활성도 저하 또는 결핍
고페리틴혈증
높은 농도의 sIL-2r



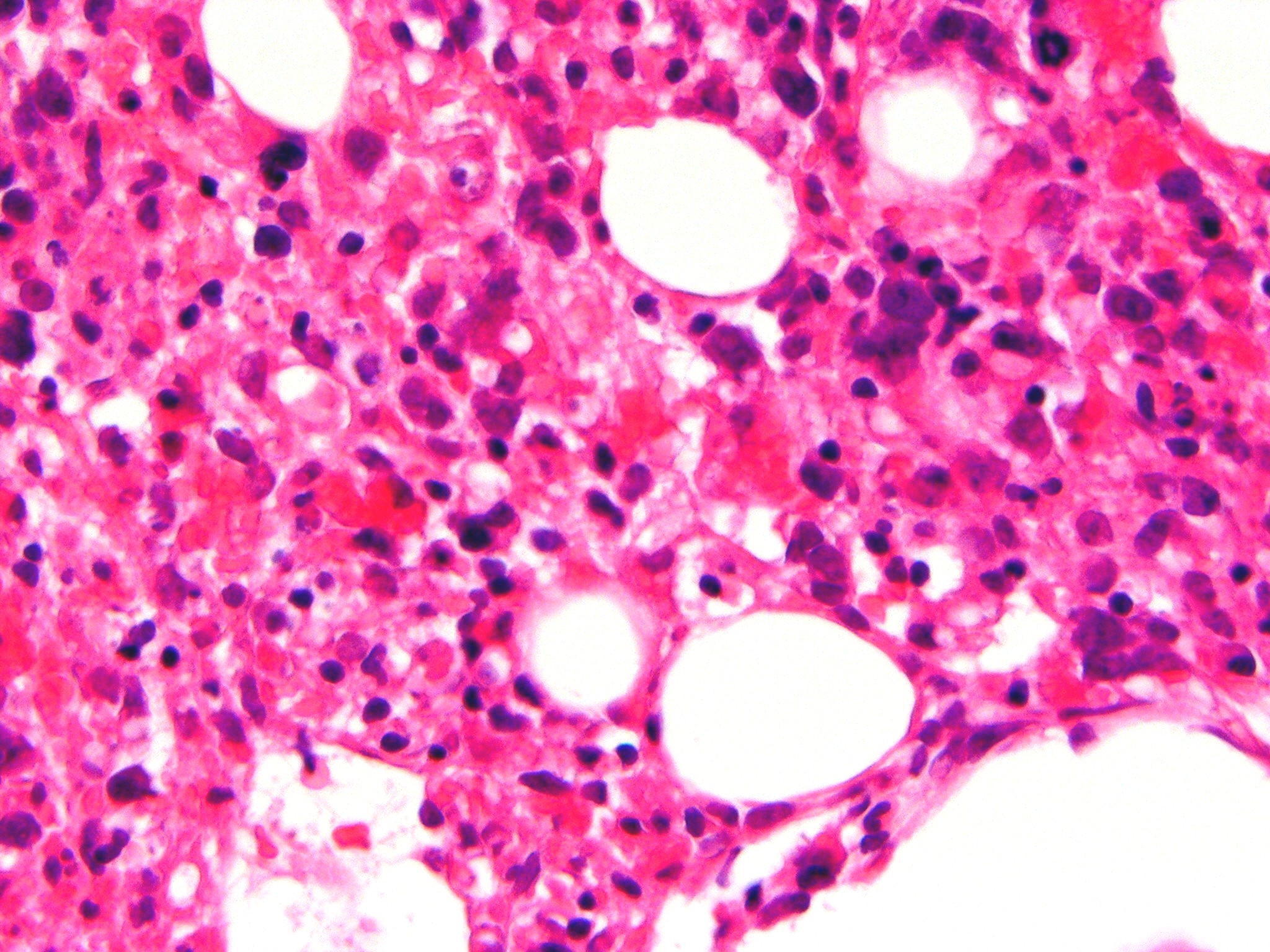
골수에서 세포질 내 다수의 적혈구를 포함하는 기질 대식세포를 보여주는 광학 현미경 이미지


혈액 검사에서는 범혈구 감소증(빈혈, 백혈구 감소증, 혈소판 감소증 포함)이 나타나며, 골수에서 혈구탐식작용이 관찰될 수 있다. 간 기능 검사 결과는 대개 상승하며, 혈액 내 알부민 수치는 낮다. 혈청 C 반응 단백질, 적혈구 침강 속도, 페리틴 수치는 현저히 상승한다. 특히 소아의 경우 10000 μg/L 이상의 페리틴 수치는 HLH 진단에 매우 민감하고 특이적이지만,[17] 성인의 경우 진단적 유용성이 떨어진다.[18] 혈청 피브리노젠 수치는 낮고 D-이합체 수치는 상승한다. 스핑고미엘린분해효소가 상승하며,[19] 골수 생검에서는 조직구증이 나타난다.[20]

HLH study group의 진단 기준은 주로 신생아와 소아를 대상으로 했지만, 성인 또는 후천성 진단도 이에 준해서 내린다. Parikh 등의 연구에 따르면 대부분의 성인 환자도 이 기준을 만족한다.[40]

2008년 현재 HLH 진단 기준은 다음과 같다.[23]

# HLH와 일치하는 분자 진단 (PRF1, UNC13D, STX11의 병리학적 돌연변이 식별).

# 또는 아래 8가지 기준 중 5가지 충족:

{| class="wikitable"

|-

! 기준

|-

| 발열 (체온 >38°C)

|-

| 비장 비대

|-

| 말초 혈액에서 3가지 계통 중 2가지 이상에 영향을 미치는 혈구 감소:

헤모글로빈 <9g/100ml (4주 미만 영아: 헤모글로빈 <10g/100ml) (빈혈)
혈소판 <100×109/L (혈소판 감소증)
호중구 <1×109/L (호중구 감소증)



|-

| 혈중 중성지방 수치 상승 (공복 시, 265mg/100ml 이상) 및/또는 혈액 내 피브리노겐 감소(≤ 150mg/100ml)

|-

| 페리틴 ≥ 500ng/ml

|-

| 골수, 비장 또는 림프절에서 혈구탐식

|-

| 낮은 또는 부재하는 자연 살해 세포 활성

|-

| 가용성 CD25 (가용성 IL-2 수용체) >2400 U/ml (또는 지역 참조 실험실 기준)

|}

또한 가족성 HLH의 경우 악성 종양의 증거가 없어야 한다.

성인 HLH 진단에는 8가지 기준 중 5가지 모두가 필요하지 않으며, 진단 지연은 사망률 증가로 이어지므로 높은 의심 지수가 필요하다. 소아 인구에서 개발된 진단 기준은 성인 HLH 환자에게는 검증되지 않았다.[24] HLH 진단을 개선하기 위해 HScore를 사용하여 개인의 HLH 위험을 추정할 수 있다.[25] 성인의 경우 가용성 IL-2 수용체는 HLH에 매우 민감한 마커로, 2400 U/mL 미만에서는 HLH를 배제하는 데 100% 민감도를 보였고, 2515 U/mL에서 진단하는 데 최적의 컷오프(민감도 100%, 특이도 72.5%)를 보였으며, >10 000 U/mL에서 93%의 특이도를 보였다.[26]

감별 진단으로는 속발성 HLH, 대식세포 활성화 증후군, X 연관 림프증식성 질환 등 기타 원발성 면역 결핍증이 있다. 자가면역 림프 증식 증후군과 혼동될 수 있으며,[27] 강렬한 염증 증후군이므로 패혈증과 감별해야 한다.[28]

후천성 또는 속발성 HLH는 바이러스, 세균, 곰팡이, 기생충 감염과 관련되거나 림프종, 자가면역 질환, 대사 질환과 관련하여 진단된다. 후천성 HLH는 NK 세포 활성이 감소, 정상이거나 증가할 수 있다.

6. 검사

혈액 검사에서는 일반적으로 범혈구 감소증(빈혈, 백혈구 감소증, 혈소판 감소증 포함)이 나타난다. 골수에서는 혈구탐식작용이 나타날 수 있다. 간 기능 검사 결과는 대개 상승하며, 혈액 내 단백질 알부민 수치는 낮게 나타나는 것이 일반적이다.

혈청 C 반응 단백질, 적혈구 침강 속도, 페리틴 수치는 현저하게 상승한다. 소아의 경우 10000 μg/L 이상의 페리틴 수치는 HLH 진단에 매우 민감하고 특이적이지만,[17] 성인 HLH 환자의 경우 페리틴의 진단적 유용성은 떨어진다.[18]

혈청 피브리노젠 수치는 대개 낮고 D-이합체 수치는 상승한다. 스핑고미엘린분해효소가 상승한다.[19] 골수 생검은 조직구증을 보여준다.[20]

최근 체계적 문헌고찰에서 발열 97.2%, 간비대 70.2%, 비장비대 78.4%, 혈소판 감소증 90.1%, 빈혈 76.0%, 혈청 페리틴 ≥500 μg/L 97.1%의 통합 비율이 보고되었다. 뎅기열 혈구탐식성 림프조직구증 환자의 치명률은 14.6%이다.[6]

혈구를 먹어 치우기 때문에 적혈구, 백혈구, 혈소판이 급격히 감소한다. 특히 혈소판 감소가 심하면 치료를 시작하기도 전에 심각한 출혈(뇌출혈, 소화관 출혈 등)을 일으켜 사망에 이를 수 있다. 응고 능력 또한 저하된다. 트리글리세라이드가 비정상적으로 상승하는 것은 특징적이라고 한다. 피브리노겐은 감소한다. 페리틴, 가용성 IL-2 수용체의 상승은 (발열 + 혈구 감소라는 검사 전 정보를 포함하면) 진단적인 정보가 된다. 종양 표지자 중 하나인 NSE도 상승한다고 한다.

7. 치료

우선적인 치료는 과도한 염증반응을 억제하는 것이며, 이와 동시에 치료 가능한 유발원인을 찾아내는 것이다.[37]

거의 모든 치료가 항염증제 코르티코스테로이드를 중심으로 면역을 억제시키는 방식으로 이루어진다. HLH-96, HLH-2004 연구에서는 에토포시드를 사용하여 증상 관해를 유도했다. 면역억제제인 시클로스포린도 병행하거나 대체하여 사용한다. HLH는 특정 시점의 면역 생리학적 상태를 설명하는 것이다.

국제 조직구 학회는 HLH가 발생하는 여러 상황에 대한 발표된 합의 관리 문서를 수집했다.[29]

HLH의 최적 치료법에 대한 논쟁이 여전히 진행 중이지만, 현재의 치료 요법은 일반적으로 고용량의 코르티코스테로이드, 에토포시드 및 사이클로스포린을 포함한다. 정맥 내 면역 글로불린도 사용된다. 다른 약물에는 사이토카인 표적 치료가 있다.

2018년 11월 20일, 미국 식품의약국(FDA)은 소아 및 성인 원발성 HLH 치료를 위해 항-IFN-감마 단클론 항체 에마팔루맙(상표명 Gamifant)을 승인했다.[30]

2021년 10월, 영국 국민건강보험(NHS) 잉글랜드는 ''임상 위임 정책: 모든 연령대의 성인 및 어린이를 위한 혈구탐식성 림프조직구증(HLH) 치료제 아나킨라''를 발표하여 아나킨라(수정된 재조합 인터루킨 1 수용체 길항제)를 HLH 치료에 사용할 수 있도록 했다.[31]

기본적으로는 기저 질환 치료가 우선이지만, 엡스타인-바 바이러스에 의한 최중증형 등에서는 조기에 에토포시드와 같은 매우 강력한 치료에 착수해야 한다고 알려져 있다 (HLH-94 프로토콜). 새로운 치료법에서는 사이클로스포린을 조기부터 병용한다 (HLH-2004 프로토콜).

8. 예후

혈구탐식성 림프조직구증(HLH)의 예후는 좋지 않으며, 전체 사망률은 50%에 이른다.[32] 악성 종양과 관련된 HLH는 특히 예후가 나빠, 환자의 절반이 1.4개월 이내에 사망하는 반면, 종양과 관련 없는 HLH 환자는 22.8개월이었다.[32]

그러나 일부 이차성 HLH는 자가 제한적일 수 있으며, 지지적 의료 치료(예: 정맥 내 면역 글로불린)만으로도 완전히 회복될 수 있다.[14] 세포 독성 및 면역 억제 치료 없이 장기적인 관해를 보이는 경우는 HLH를 앓고 있는 성인의 대다수와 중추 신경계(뇌 및/또는 척수)가 침범된 환자에게는 드물다.[14]

최근 체계적 문헌고찰에서는 발열 97.2%, 간비대 70.2%, 비장비대 78.4%, 혈소판 감소증 90.1%, 빈혈 76.0%, 혈청 페리틴 ≥500 μg/L 97.1%의 통합 비율이 보고되었다. 뎅기열 혈구탐식성 림프조직구증 환자의 치명률은 14.6%이다.[6]

9. 역사

1939년에 조직구성 수질 망상 세포증이라는 용어로 혈구탐식성 림프조직구증(HLH)에 대한 최초 보고가 발표되었다.[33] 1952년에 두 번째 보고가 발표되었으며, 그해에 이 질환의 명칭이 변경되었다.[34]

10. 연구 동향

최근 체계적 문헌고찰에서 발열 97.2%, 간비대 70.2%, 비장비대 78.4%, 혈소판 감소증 90.1%, 빈혈 76.0%, 혈청 페리틴 ≥500 μg/L 97.1%의 통합 비율이 보고되었다. 뎅기열 혈구탐식성 림프조직구증 환자의 치명률은 14.6%이다.[6]

참조

[1] 논문 Hemophagocytic syndromes and infection
[2] 웹사이트 Familial hemophagocytic lymphohistiocytosis: MedlinePlus Genetics https://medlineplus.[...] 2021-01-24
[3] 논문 Your critical care patient may have HLH (hemophagocytic lymphohistiocytosis) 2016-01-01
[4] 논문 How can an internal medicine specialist save a patient with hemophagocytic lymphohistiocytosis (HLH)? 2020-03-05
[5] 논문 An Overview of Hemophagocytic Lymphohistiocytosis 2017-08-01
[6] 논문 Dengue hemophagocytic syndrome: A systematic review and meta-analysis on epidemiology, clinical signs, outcomes, and risk factors https://onlinelibrar[...] 2018-11
[7] 논문 Comparing hemophagocytic lymphohistiocytosis in pediatric and adult patients 2017-12
[8] 논문 The syndrome of hemophagocytic lymphohistiocytosis in primary immunodeficiencies: implications for differential diagnosis and pathogenesis 2015-07
[9] 논문 COVID-19: consider cytokine storm syndromes and immunosuppression 2020-03-28
[10] 논문 Cytokine Storm 2020-12-03
[11] 논문 Calm before the Storm 2022-02-03
[12] 논문 A consensus review on malignancy-associated hemophagocytic lymphohistiocytosis in adults 2017-09
[13] 논문 Epstein–Barr Virus and Hemophagocytic Lymphohistiocytosis 2017
[14] 서적 GeneReviews 2013-01-17
[15] 논문 Human perforin mutations and susceptibility to multiple primary cancers 2013-04
[16] 논문 Advances in understanding the pathogenesis of HLH 2013
[17] 논문 Highly elevated ferritin levels and the diagnosis of hemophagocytic lymphohistiocytosis. 2008-06
[18] 논문 Marked hyperferritinemia does not predict for HLH in the adult population 2015-03-05
[19] 논문 Evaluation of the role of secretory sphingomyelinase and bioactive sphingolipids as biomarkers in hemophagocytic lymphohistiocytosis 2013-11
[20] 문서 Lymphohistiocytosis,+Hemophagocytic
[21] 논문 Hemophagocytic Lymphohistiocytosis 2021-08-04
[22] 논문 Pediatric CNS-isolated hemophagocytic lymphohistiocytosis 2019-05
[23] 논문 Hematopoietic cell transplantation for hemophagocytic lymphohistiocytosis: a journey of a thousand miles begins with a single (big) step 2008-10
[24] 논문 How I treat hemophagocytic lymphohistiocytosis in the adult patient. 2015-05-07
[25] 논문 Development and Validation of the HScore, a Score for the Diagnosis of Reactive Hemophagocytic Syndrome 2014-09-09
[26] 논문 Soluble interleukin-2 receptor is a sensitive diagnostic test in adult HLH. 2017-12
[27] 논문 Autoimmune lymphoproliferative syndrome misdiagnosed as hemophagocytic lymphohistiocytosis 2013-11
[28] 논문 Similar but not the same: Differential diagnosis of HLH and sepsis 2017-03
[29] 웹사이트 https://www.histiocy[...]
[30] 웹사이트 Press Announcements – FDA approves first treatment specifically for patients with rare and life-threatening type of immune disease https://www.fda.gov/[...] 2018-11-20
[31] 서적 Clinical Commissioning Policy: Anakinra for Haemophagocytic Lymphohistiocytosis (HLH) for adults and children in all ages https://www.england.[...] 2021-10-14
[32] 논문 Prognostic factors and outcomes of adults with hemophagocytic lymphohistiocytosis. http://www.mayoclini[...] 2015-12-14
[33] 논문 Histiocytic Medullary Reticulosis 1939-07-22
[34] 논문 Familial Haemophagocytic Reticulosis 1952-12
[35] 간행물 過去の急性放射線障害の事例及び検査に関する医学的指針(前川委員提出資料) https://www.mhlw.go.[...] 厚生労働省
[36] 논문 Neuron-specific enolase in hemophagocyitc lymphohistiocytosis: a potential indicator for macrophage activation ? 2000-07
[37] 논문 혈구포식 림프조직구증식증 2017
[38] 웹사이트 D76.1 혈구탐식성 림프조직구증 (Haemophagocytic lymphohistiocytosis) https://helpline.nih[...]
[39] 논문 HLH-94: a treatment protocol for hemophagocytic lymphohistiocytosis 1997
[40] 논문 Prognostic factors and outcomes of adults with hemophagocytic lymphohistiocytosis Elsevier 2014-04



본 사이트는 AI가 위키백과와 뉴스 기사,정부 간행물,학술 논문등을 바탕으로 정보를 가공하여 제공하는 백과사전형 서비스입니다.
모든 문서는 AI에 의해 자동 생성되며, CC BY-SA 4.0 라이선스에 따라 이용할 수 있습니다.
하지만, 위키백과나 뉴스 기사 자체에 오류, 부정확한 정보, 또는 가짜 뉴스가 포함될 수 있으며, AI는 이러한 내용을 완벽하게 걸러내지 못할 수 있습니다.
따라서 제공되는 정보에 일부 오류나 편향이 있을 수 있으므로, 중요한 정보는 반드시 다른 출처를 통해 교차 검증하시기 바랍니다.

문의하기 : help@durumis.com