전립샘
"오늘의AI위키"의 AI를 통해 더욱 풍부하고 폭넓은 지식 경험을 누리세요.
1. 개요
전립샘은 남성 생식 기관의 외분비샘으로, 방광 아래 요도를 둘러싸고 있으며, 호두 크기 정도이다. 전립샘은 세 개의 구역으로 구성되며, 내부 구조는 엽과 구역 모두로 설명되어 왔다. 전립샘은 정액의 일부가 되는 알칼리성 액체를 분비하며, 사정 시 성적 극치감을 느끼는 데 기여한다. 여성의 스킨샘은 전립샘과 상동기관이며, 전립샘은 전립선염, 전립선암, 전립선 비대증과 같은 임상적 의의를 갖는다.
더 읽어볼만한 페이지
- 성해부학 - 성징
성징은 생물의 성별을 나타내는 신체적 특징으로, 성차를 이루며, 일차 성징(생식 기관)과 이차 성징(사춘기 이후 변화)으로 나뉘고, 성별, 젠더, 성적 지향 등과 상호작용하는 개념이다. - 성해부학 - 항문올림근
항문올림근은 골반 바닥을 지지하는 엉덩꼬리근, 두덩꼬리근, 두덩곧창자근으로 구성된 중요한 근육으로, 골반 장기 지지, 요 흐름 조절, 남성 사정, 출산 시 아기 머리 위치에 기여하며 케겔 운동으로 강화될 수 있지만 손상 시 골반저기능장애를 유발할 수 있다. - 남성의 생식 기관 - 정낭
정낭은 남성의 방광 아래에 위치한 한 쌍의 기관으로, 정액의 주요 성분을 분비하여 정자에 에너지를 공급하며, 사정 시 수축하여 내용물을 내보내는 역할을 한다. - 남성의 생식 기관 - 귀두
귀두는 남성 요도 끝을 감싸는 음경의 끝부분에 위치한 둥근 모양의 기관으로, 성적 자극에 민감한 남성 성감대이며 포피로 덮여 보호되거나 포경수술로 노출될 수 있고, 동물 종에 따라 형태와 특징이 다양하게 나타난다. - 외분비계 - 유방
유방은 여성의 가슴에 있는 기관으로, 모유를 생산하여 신생아에게 영양을 공급하며, 엽과 소엽으로 구성되고, 크기와 모양은 다양한 요인에 따라 다르며, 유방암 발생 부위이자 문화적 상징으로서의 의미도 가진다. - 외분비계 - 정낭
정낭은 남성의 방광 아래에 위치한 한 쌍의 기관으로, 정액의 주요 성분을 분비하여 정자에 에너지를 공급하며, 사정 시 수축하여 내용물을 내보내는 역할을 한다.
2. 구조
전립샘은 남성 생식 기관의 외분비샘이다. 성인의 경우 호두 크기 정도이며,[2] 평균 무게는 약 11g이고, 보통 7g에서 16g 사이이다.[3] 전립샘은 골반에 위치해 있으며, 방광 아래에 있고 요도를 둘러싸고 있다. 전립샘을 통과하는 요도 부분을 전립선 요도라고 하며, 이 부분은 두 개의 사정관과 연결된다.[2] 전립샘은 '전립선 피막' 또는 '전립선 근막'이라고 불리는 표면으로 덮여 있다.[5]
2. 1. 구역
전립샘은 남성 생식 기관의 외분비샘이다. 전립샘의 내부 구조는 엽과 구역 모두를 사용하여 설명되어 왔으나, 엽에 대한 설명과 정의가 다양하기 때문에 구역 분류가 더 일반적으로 사용된다.[4][2]전립샘은 세 개 또는 네 개의 구역으로 구성되어 있다고 묘사되어 왔다.[2][5] 구역은 조직학 또는 의료 영상에서 더 일반적으로 볼 수 있으며, 초음파 또는 MRI 등이 그 예이다.[2][4]
"엽" 분류는 원래 태아에서 정의되었지만 해부 및 내시경 검사 시에도 보이는 엽을 설명한다.[4][5] 다섯 개의 엽은 앞쪽 엽 또는 협부, 뒤쪽 엽, 오른쪽 및 왼쪽 가쪽 엽, 중간 또는 정중 엽이다.
전립샘의 내부에는 전립선 요도에 인접하고 평행하게 두 개의 종축 근육 시스템이 있다. 앞쪽(복측)에는 요도 확대근(''musculus dilatator urethrae'')이 있고, 뒤쪽(배측)에는 요도를 사정 상태로 전환시키는 근육(''musculus ejaculatorius'')이 있다.[9] 내부의 "내선"과 외부의 "외선"이 있다. 최근에는 이행 구역(내선), 중심 구역(내선), 변연 구역(외선)으로 분류되기도 한다.
2. 2. 엽
전립샘의 내부 구조는 엽과 구역 모두를 사용하여 설명되어 왔다.[4][2] 엽에 대한 설명과 정의가 다양하기 때문에 구역 분류가 더 일반적으로 사용된다.[2]전립샘은 세 개 또는 네 개의 구역으로 구성되어 있다고 묘사되어 왔다.[2][5] 구역은 조직학 또는 의료 영상에서 더 일반적으로 볼 수 있으며, 초음파 또는 MRI 등이 있다.[2][4]
"엽" 분류는 원래 태아에서 정의되었지만 해부 및 내시경 검사 시에도 보이는 엽을 설명한다.[4][5] 다섯 개의 엽은 앞쪽 엽 또는 협부, 뒤쪽 엽, 오른쪽 및 왼쪽 가쪽 엽, 중간 또는 정중 엽이다.
전립샘 내부에는 전립선 요도에 인접하고 평행하게 두 개의 종축 근육 시스템이 있다. 앞쪽(복측)에는 요도 확대근(''musculus dilatator urethrae'')이 있고, 뒤쪽(배측)에는 요도를 사정 상태로 전환시키는 근육(''musculus ejaculatorius'')이 있다.[9] 내부의 "내선"과 외부의 "외선"이 있다. 최근에는 이행 구역(내선), 중심 구역(내선), 변연 구역(외선)으로 분류되기도 한다.
2. 3. 미세 해부학

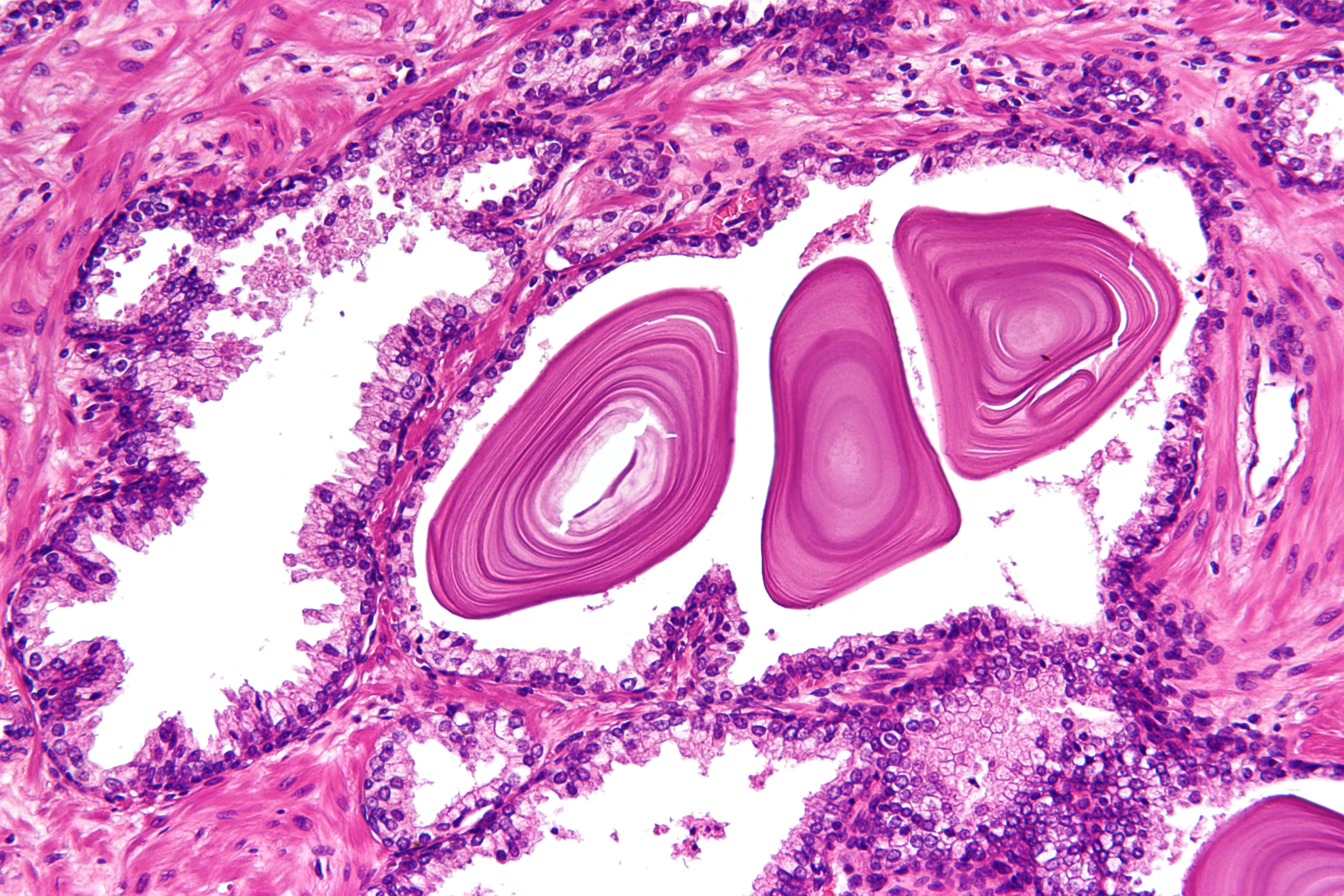
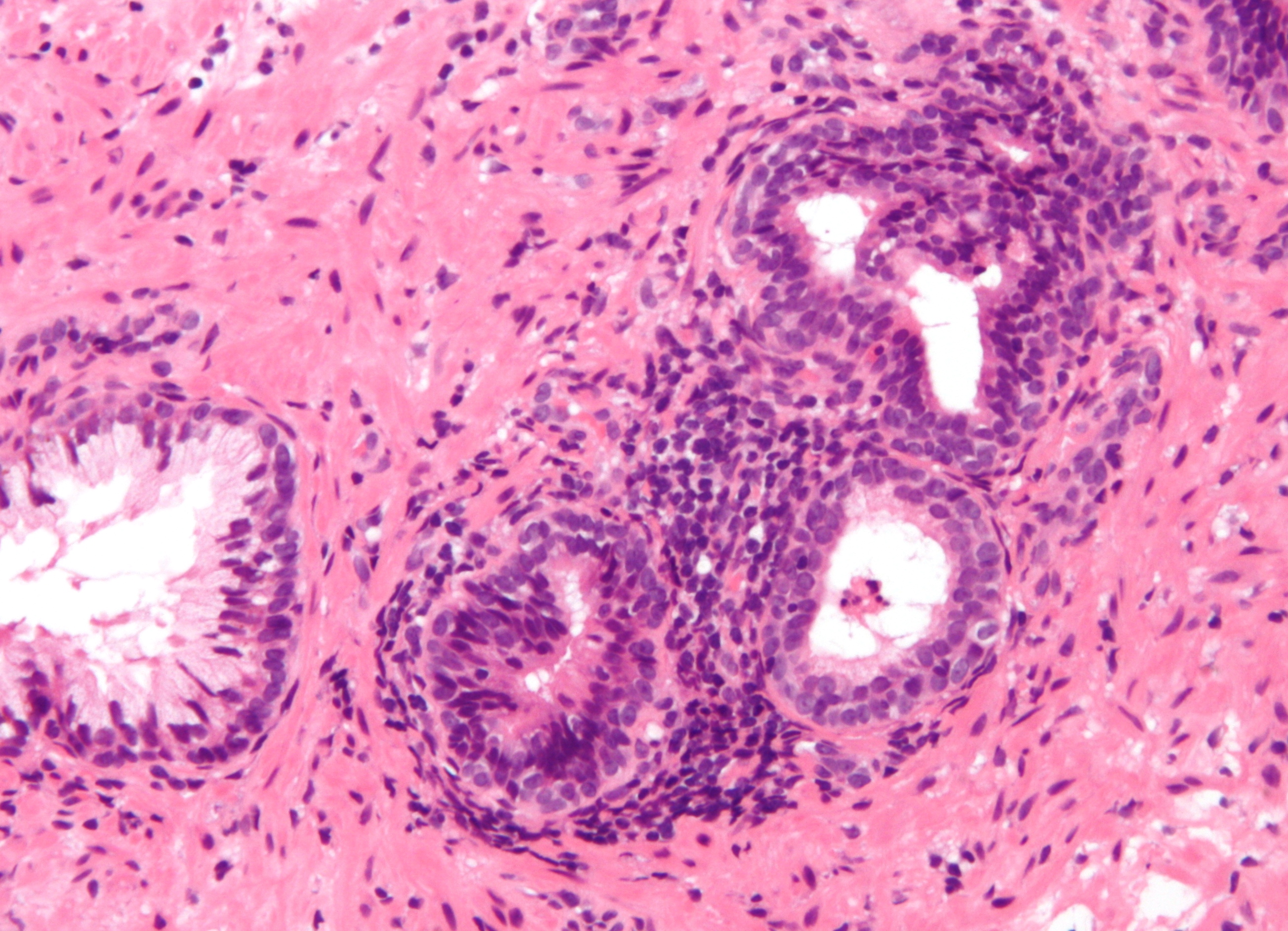
전립샘은 샘 조직과 결합 조직으로 구성되어 있다.[2] 키가 큰 원주 상피 세포는 샘의 내벽(상피)을 형성한다.[2] 이들은 단일 층을 형성하거나 거짓 중층 상피일 수 있다.[5] 상피는 매우 다양하며 낮은 입방 상피 또는 편평 상피 세포 부위도 존재할 수 있으며, 더 긴 관의 바깥쪽 영역에는 이행 상피가 있다.[10] 기저 세포는 양성 샘에서 내강 상피 세포를 둘러싸고 있다. 샘은 여러 소포로 형성되며, 이는 관으로 배출되고, 이어서 12~20개의 주관으로 배출된다. 이러한 주관은 차례로 전립샘을 통과하는 요도로 배출된다.[5] 샘의 기저막 옆에 위치하며 줄기 세포로 작용하는 소량의 편평 세포도 있다.[2]
전립샘의 결합 조직은 섬유 조직과 평활근으로 구성된다.[2] 섬유 조직은 샘을 소엽으로 나눈다.[2] 또한 샘 사이에 위치하며 방광과 연속되는 무작위로 정렬된 평활근 다발로 구성된다.[11]
시간이 지남에 따라 전분체라고 하는 두꺼워진 분비물이 샘에 축적된다.[2]

내부의 "내선"과 외부의 "외선"이 있다. 최근에는 이행 구역(내선), 중심 구역(내선), 변연 구역(외선)으로 분류되기도 한다.
2. 4. 발생
발달 중인 배아의 뒤쪽 끝에는 총배설강이라고 불리는 함입이 있다. 이것은 4주에서 7주에 걸쳐 요생식동과 항문관의 시작 부분으로 나뉘며, 이 두 개의 함입 사이에 요직장 중격이라고 불리는 벽이 형성된다.[16] 요생식동은 세 부분으로 나뉘는데, 중간 부분은 요도를 형성하고, 상부는 가장 커서 방광이 되며, 하부는 배아의 생물학적 성별에 따라 변한다.[16]요도의 전립선 부분은 내배엽 기원의 요생식동의 중간 골반 부분에서 발달한다.[17] 배아기 3개월 말경에 요도의 전립선 부분에서 싹이 돋아나 주변 간엽으로 자란다.[17] 요도의 이 부분에 있는 세포는 전립선의 선 상피로 분화된다.[17] 관련된 간엽은 전립선의 조밀한 결합 조직과 평활근으로 분화된다.[18]
간엽, 요도, 볼프관의 응축은 성인 전립선으로 이어지며, 여러 개의 긴밀하게 융합된 선 및 비선 구성 요소로 구성된 복합 기관이다. 전립선이 제대로 기능하려면 남성 호르몬(안드로겐)이 필요한데, 이는 남성 성 특징을 담당한다. 주요 남성 호르몬은 주로 고환에서 생성되는 테스토스테론이다. 전립선을 주로 조절하는 것은 테스토스테론의 대사체인 디히드로테스토스테론(DHT)이다. 전립선은 시간이 지남에 따라 커지다가 40대까지 커진다.[5]
3. 기능
전립샘의 주요 기능은 전립선액을 분비하는 것이다. 정낭에서 분비된 정낭액을 고환에서 만들어진 정자와 혼합하여 정액을 만들고, 사정 시 수축 및 소변의 배설 등도 담당한다. 동시에 방광 쪽 요도를 좁혀 정액이 방광 쪽으로 가지 않도록 조절한다. 전립샘의 역할에 대해서는 아직 해명되지 않은 부분이 많다.[94]
3. 1. 전립선액
전립샘은 약 알칼리성의 유백색 액체를 저장하고 분비한다.[94] 이 액체는 정자와 정낭의 분비액과 함께 정액의 50 ~ 75%를 구성한다. 정액의 알칼리성은 질관의 산성 중화를 도와 정자의 수명을 늘린다. 정액의 알칼리화는 주로 정낭의 분비에 의해 완수된다.[95] 전립샘의 액체는 대부분의 정자와 함께 첫 번째 사정으로 배출된다.전립샘은 PSA(전립샘 특이 항원)이라는 물질을 주로 분비한다. 이는 정자의 생존을 돕는다. 그런데 이러한 전립샘의 특이 물질이 상식과 다르게, 남성 뿐만 아니라 여성에게도 상동기관에서 분비되는 것으로 밝혀졌다.[96]
전립샘은 정액의 일부가 되는 액체를 분비한다. 전립샘 분비액은 정액의 최대 30%를 차지한다. 전립샘의 분비물에는 단백질 분해 효소, 전립샘 산성 인산 분해 효소, 섬유소 용해 효소, 아연, 전립선 특이 항원 등이 있다.[5] 이것들은 정낭의 분비물과 함께 정액의 주요 액체 부분을 형성한다.[5]
전립샘의 주요 기능으로는 전립선액의 분비가 있으며, 아직 해명되지 않은 부분이 많다.
3. 2. 사정
전립샘은 약알칼리성의 유백색 액체를 저장하고 분비하며, 이 액체는 정자와 정낭의 분비액과 함께 정액의 50~75%를 구성한다.[94] 정액의 알칼리성은 질관의 산성 중화를 도와 정자의 수명을 늘려주는데, 주로 정낭의 분비에 의해 완수된다.[95] 전립샘의 액체는 대부분의 정자와 함께 첫 번째 사정으로 배출된다.전립샘은 PSA(전립샘 특이 항원)이라는 물질을 주로 분비하여 정자의 생존을 돕는다. 이 물질은 여성에게도 상동기관에서 분비되는 것으로 밝혀졌다.[96]
사정에 의해 배출되는 정액이 전립샘을 지나면서 자극하여 성적 극치감을 부분적으로 느끼게 된다. 여성의 요도해면, 방광 바로 아래에 전립샘과 동일한 위치에 있는 스킨샘은 전립샘과 발생학적 기원이 같은 상동기관이다. 해부학적 위치와 발생학적 기원이 같아, 서로 같은 신경 구조를 하고 있기 때문에, 거기서 발생되는 성적인 감각의 형태도 거의 유사하다고 볼 수 있다.
여성은 질을 통해서 스킨샘 주위(G-스팟)를 자극할 수 있지만, 남성은 태아 단계에서 질이 퇴화되기에[97], 항문을 통해서만[98] 물리적인 형태로 가장 근접하여 직접적인 자극할 수 있다. 남성의 항문을 통해서 전립샘을 자극하는 것은, 여성의 질을 통해서 상동기관인 스킨샘(G-스팟)을 자극하는 것과 자극의 형태와 방식 면에서 동일하다고 볼 수 있다. 여성 또한 질 이외에도 항문의 음부신경과 질-항문 간의 간격이 남성보다 가깝기에 동일하게 오르가즘을 느낄 수 있다.
남성 또한 전립샘 자극으로도 오르가슴이 유발되는 경우가 있다.[99][100][101] 남성이 사정 시 극치의 쾌감을 체험하는 이유는 정액이 사정 순간 전립샘을 지나면서 추가적인 쾌감을 주는 경우가 있기 때문이다. 항문을 통한 전립샘 자극은 지속적으로 물리적 형태의 자극을 주는 것을 가능하게 한다. 다만 여성과 달리 남성에게는 특히 주의가 필요한데, 항문 자위나 페깅 및 성교를 통한 전립샘의 잦은 인위적 자극은 전립샘에 손상을 줄 우려가 있으며, 극단적인 경우 음부신경 압박 증후군을 유발해 성기능을 상실할 우려가 있다.
사정은 요도로부터 정액을 배출하는 것이다.[19] 정액은 주로 귀두의 자극에 의해, 정관과 정낭의 평활근의 수축에 따라 요도로 이동한다. 자극은 내음부 신경을 통해 상부 요추로 신경 신호를 보낸다. 수축을 일으키는 신경 신호는 하복 신경을 통해 작용한다.[19] 요도로 이동한 후, 정액은 구불해면체근의 수축에 의해 사정된다.[19] 전립샘의 분비물에는 단백질 분해 효소, 전립샘 산성 인산 분해 효소, 섬유소 용해 효소, 아연, 전립선 특이 항원 등이 있다.[5] 이것들은 정낭의 분비물과 함께 정액의 주요 액체 부분을 형성한다.[5] 전립샘의 주요 기능에는 전립선액의 분비가 있다. 정낭에서 분비된 정낭액을 고환에서 만들어진 정자와 혼합하여 정액을 만들고, 사정 시 수축 및 소변의 배설 등도 담당한다. 동시에 방광 쪽 요도를 좁혀 정액이 방광 쪽으로 가지 않도록 조절한다.
3. 3. 배뇨
전립샘은 배뇨와 사정을 기계적으로 전환할 수 있도록 모양이 바뀌는데, 이는 전립샘 요도를 따라 뻗어 있는 두 개의 종주근 시스템에 의해 주로 이루어진다. 전립샘 요도 앞쪽에 위치한 것은 배뇨근(''musculus dilatator urethrae'')으로, 배뇨 시 수축하여 전립샘을 단축시키고 수직으로 기울여 요도의 전립샘 부분을 넓힌다.[20][21] 뒤쪽에 위치한 근육은 요도를 사정 상태로 전환하는 근육(''musculus ejaculatorius'')이다.[9]전립선 비대증으로 인해 수술을 할 경우, 이 두 근육 시스템의 손상 또는 보존은 선택한 수술 유형과 선택된 기술의 세부 절차에 따라 크게 달라진다. 수술 후 배뇨 및 사정에 미치는 영향도 그에 따라 달라진다.[22]
3. 4. 성적 자극
사정에 의해 배출되는 정액이 전립샘을 지나면서 자극하여 성적 극치감을 부분적으로 느끼게 된다.[94]여성의 스킨샘은 전립샘과 발생학적 기원이 같은 상동기관이다. 해부학적 위치와 발생학적 기원이 같아, 서로 같은 신경 구조를 하고 있기 때문에, 거기서 발생되는 성적인 감각의 형태도 개인차는 있겠지만 거의 유사하다고 볼 수 있다.
여성은 질을 통해서 스킨샘 주위(G-스팟)를 자극할 수 있지만, 남성은 원래 있었던 질이 태아 단계에서 퇴화되기 때문에[97], 항문을 통해서만[98] 물리적인 형태로 가장 근접하여 직접적인 자극을 할 수 있다. 따라서 해부학적으로 볼 때, 남성의 항문을 통해서 전립샘을 자극하는 것은, 여성의 질을 통해서 상동기관인 스킨샘(G-스팟)을 자극하는 것과 자극의 형태와 방식 면에서 동일하다고 볼 수 있다. 여성 또한 질 이외에도 항문의 음부신경과 질-항문 간의 간격이 남성보다 가깝기에 동일하게 오르가즘을 느낄 수 있다.
남성 또한 전립샘 자극으로도 오르가슴이 유발되는 경우가 많다.[99][100][101] 결론적으로, 여성이 성행위를 통해 체험할 수 있는 유형의 성적 오르가즘을 생물학적으로 다른 성별의 남성도 어느 정도 체험할 수 있다. 남성이 사정 시 극치의 쾌감을 체험하는 이유는 정액이 사정 순간 전립샘을 지나면서 추가적인 쾌감을 주는 경우가 있기 때문인데, 항문을 통한 전립샘 자극은 사정이라는 국한된 순간만이 아니라, 전립샘을 통한 오르가즘을 느끼는 것이 가능한 몸이라면 지속적으로 물리적 형태의 자극을 주는 것을 가능하게 된다. 다만 여성과 달리 남성에게는 특히 주의가 필요하다. 항문 자위나 페깅 및 성교를 통한 전립샘의 잦은 인위적 자극은 전립샘에 손상을 줄 우려가 있으며, 극단적인 경우 음부신경 압박 증후군을 유발해 성기능을 상실할 우려가 있다.
어떤 남성들은 오르가슴을 오직 전립선 마사지나 항문 성교와 같은 전립선 자극만으로도 느낄 수 있다.[23][24] 이로 인해 전립선에 인접한 직장벽 부위가 대중적으로 "남성 G 스폿"이라고 불리게 되었다.[25]
4. 여성의 스킨샘(Skene's gland)
여성의 요도해면, 방광 바로 아래에 전립샘과 동일한 위치에 있는 스키네샘과 발생학적 기원이 같은 상동기관이다. 따라서 해부학적 위치와, 발생학적 기원이 여성의 것과 동일하여, 서로 같은 신경구조를 하고 있기 때문에, 거기서 발생되는 성적인 감각의 형태도 개인차는 있겠지만, 거의 유사하다고 볼 수 있다.[97]
여성은 질을 통해서 스킨샘 주위(G-스팟)를 자극할 수 있지만, 남성은 원래 있었던 질이 태아 단계에서 퇴화되기 때문에[97] 항문을 통해서만[98] 물리적인 형태로 가장 근접하여 직접적인 자극할 수 있다. 따라서 해부학적으로 볼 때, 남성의 항문을 통해서 전립샘을 자극하는 것은, 여성의 질을 통해서 상동기관인 스킨샘(G-스팟)을 자극하는 것과 자극의 형태와 방식의 면에서 동일하다고 볼 수 있다. 여성 또한 질 이외에도 항문의 음부신경과 질-항문 간의 간격이 남성보다 가깝기에 동일하게 오르가슴을 느낄 수 있다.
남성의 경우에도 전립샘 자극으로 오르가슴이 유발되는 경우가 많다.[99][100][101] 결론적으로, 여성이 성행위를 통해 체험할 수 있는 유형의 성적 오르가즘을 생물학적으로 다른 성별의 남성도 어느 정도 체험할 수 있다는 결론에 도달하게 된다. 남성이 사정 시 극치의 쾌감을 체험하는 이유는 정액이 사정 순간 전립샘을 지나면서 추가적인 쾌감을 주는 경우가 있기 때문인데, 항문을 통한 전립샘 자극은 사정이라는 국한된 순간만이 아니라, 전립샘을 통한 오르가즘을 느끼는 것이 가능한 몸이라면 지속적으로 물리적 형태의 자극을 주는 것을 가능하게 된다. 다만 여성과 달리 남성에게는 특히 주의가 필요하다. 항문자위나 페깅 및 성교를 통한 전립샘의 잦은 인위적 자극은 전립샘에 손상을 줄 우려가 있으며 극단적인 경우 음부신경 압박 증후군을 유발해 성기능을 상실할 우려가 있다.
스키네샘은 남성의 전립선과 유사하게, 남성에게서 생성되는 사정액 단백질인 전립선 특이 항원(PSA)과 전립선 특이 산성 인산분해효소를 분비하기 때문에, 때때로 "여성 전립선"이라고 불린다.[71][72] 상동 기관으로서 남성 전립선과 (동일한 배아학적 조직에서 발달) 유사하지만,[73][74] 남성 전립선과의 관계에서 발달의 다양한 측면은 널리 알려져 있지 않으며 연구의 대상이다.[75]
5. 임상적 의의
전립샘에 발생할 수 있는 질환으로는 전립선염, 전립선 비대증, 전립선암 등이 있으며, 이와 관련된 수술적 치료법도 존재한다.
- 전립선염: 전립선에 염증이 생기는 질환으로, 세균 감염이나 비감염성 원인에 의해 발생한다. 배뇨통, 사정통, 사타구니 통증, 배뇨 곤란, 발열, 불쾌감/피로 등의 증상을 유발하며, 전립선 비대와 직장 수지 검사 시 압통이 느껴질 수 있다. 전립선 염증은 불임에 영향을 줄 수 있으며, 소변 배양 검사를 통해 감염 원인균을 검출할 수 있다. 급성 및 만성 세균성 전립선염은 항생제로 치료하며, 만성 비세균성 전립선염(남성 만성 골반 통증 증후군)은 알파 차단제, 비스테로이드성 소염제, 아미트립틸린, 항히스타민제, 불안 완화제 등으로 치료한다. 약물 외 치료법으로는 물리 치료,[26] 정신 요법, 신경 조절, 수술 등이 있으며, 최근에는 트리거 포인트와 심리 치료 조합이 효과적인 것으로 나타났다.[27]
- 전립선 비대증: 양성 전립샘 비대증(BPH)이 가장 흔한 원인으로, 전립샘을 구성하는 세포 수 증가(과형성)로 인해 전립샘이 비대해지는 질환이다. 노년 남성에게 흔하며, 빈뇨(잦은 배뇨), 배뇨 지연 등의 증상이 나타난다. 전립샘이 요도를 압박하여 소변 흐름을 방해하면 배뇨가 고통스럽고 어려워지며, 심한 경우 요폐를 유발할 수 있다. 만성적인 요폐는 방광 비대 및 소변의 신장 역류(수신증)를 유발할 수 있다. 약물 치료, 최소 침습 시술, 전립샘 제거 수술 등으로 치료할 수 있으며, 알파-1 아드레날린 수용체 길항제 약물(탐스로신 등)을 사용하기도 한다. 증상이 지속되면 경요도 전립선 절제술 등의 수술을 고려할 수 있으며, 최소 침습 시술로는 경요도 전립선 바늘 절제술, 경요도 극초단파 온열 요법 등이 있다.[28] 이러한 외래 환자 시술 후에는 자극 증상을 악화시키지 않으면서 정상적인 자발적 배뇨를 허용하기 위해 일시적인 전립선 스텐트를 삽입할 수 있다.[29]
- 전립선암: 영국, 미국, 북유럽, 호주에서 노년 남성에게 가장 흔한 암 중 하나이며, 전 세계적으로 노년 남성의 주요 사망 원인 중 하나이다.[30] 초기에는 증상이 없는 경우가 많지만, 빈뇨, 절박뇨, 배뇨 지연 등 전립선 비대증과 유사한 증상이 나타날 수 있다. 드물게 체중 감소, 요폐, 요통 등의 증상이 나타나기도 한다. 직장 수지 검사와 전립선 특이 항원(PSA) 수치 측정을 통해 검사하며, PSA 수치는 해석에 주의해야 한다. 전립선 생검을 통해 종양 등급 및 침습성을 평가하며, 전립선암 선별 검사는 과잉 진단의 위험 때문에 논란이 있다.[31] MRI, 골 스캔 등의 의학 영상을 통해 전이|트랜지서너리영어 여부를 확인한다. 전립선 절제술, 방사선 치료, 근접 방사선 치료 등으로 치료하며, 전이된 경우 호르몬 치료(GnRH 유사체, 비칼루타미드 등)를 병행한다. 호르몬 치료에 반응하지 않거나 진행되는 암은 도세탁셀 등의 화학 요법으로 치료하며, 방사선 치료는 골 병변 관련 통증 완화에 사용될 수 있다. 암이 작고 국소적인 경우, 환자의 기대 수명이 짧은 경우 등에는 치료를 연기하고 "적극적 감시"를 시행할 수 있다.
- 전립선 수술: 전립샘 절제술은 전립선암이나 전립선 비대증 치료를 위해 전립샘을 제거하는 수술이다.[33] 개복 수술 또는 복강경 (키홀) 수술로 진행되며, 전신 마취 하에 이루어진다.[34] 암 치료를 위한 근치적 전립선 절제술은 정낭을 제거하고 정관을 묶는다.[33] 경요도 전립선 절제술(TURP)은 요도 내부에서 전립샘 일부를 제거하는 방식이다.[33] 개복 수술은 회음부 절개나 배꼽에서 치골까지 정중선 절개를 통해 이루어진다.[33] 림프절 침범이 의심되는 경우 개복 수술이 선호될 수 있다.[33] 회음부 접근법은 림프절 제거를 포함하지 않으며, 수술 후 통증이 적고 회복이 빠를 수 있다.[33] TURP는 음경을 통해 요도에 삽입된 튜브와 열, 전기 또는 레이저를 사용하여 전립샘 조직을 제거한다.[33] 전립샘 전체 제거 수술은 요실금, 발기 부전, 불임 등의 합병증을 유발할 수 있으며, 음경 길이가 짧아질 수 있다.[33] 수술의 일반적인 합병증으로는 감염, 출혈, 인접 장기 또는 복부 손상, 혈전 형성 등이 있다.[33]
5. 1. 전립선염

전립선염은 전립선에 발생하는 염증이다. 이는 세균 감염 또는 기타 비감염성 원인에 의해 발생할 수 있다.[82][83] 전립선의 염증은 배뇨통, 사정통, 사타구니 통증, 배뇨 곤란, 발열이나 불쾌감/피로와 같은 전신 증상을 유발할 수 있다. 염증이 생기면 전립선이 비대해지고 직장 수지 검사 시 압통이 느껴진다.[84] 전립선 염증은 불임에 영향을 미친다.[85][86] 감염 원인균은 소변 배양 검사로 검출할 수 있다.
급성 전립선염과 만성 세균성 전립선염은 항생제로 치료한다. 만성 비세균성 전립선염(남성 만성 골반 통증 증후군)은 알파 차단제, 비스테로이드성 소염제, 아미트립틸린, 항히스타민제, 불안 완화제 등 다양한 방식으로 치료한다.[27] 약물 외 치료법으로는 물리 치료,[26] 정신 요법, 신경 조절, 수술 등이 있다. 최근에는 트리거 포인트와 심리 치료 조합이 3형 전립선염에도 효과적인 것으로 나타났다.[27]
5. 2. 전립선 비대증
전립샘 비대는 전립샘비대증이라고 하며, 양성 전립샘 비대증(BPH)이 가장 흔한 원인이다. BPH는 악성이 아닌 원인으로 전립샘을 구성하는 세포 수의 증가(과형성)로 인한 전립샘의 비대를 의미한다. 노년 남성에게 매우 흔하게 나타난다.[89][90] 소변이 어려워질 정도로 전립샘이 비대해지면 종종 진단된다. 증상으로는 잦은 배뇨(빈뇨) 또는 배뇨 시작의 지연(배뇨 지연) 등이 있다. 전립샘이 너무 커지면 요도를 압박하여 소변 흐름을 방해하여 배뇨를 고통스럽고 어렵게 만들거나, 극단적인 경우 완전히 불가능하게 하여 요폐를 유발할 수 있다.[89][90] 시간이 지남에 따라 만성적인 요폐는 방광을 더 크게 만들고 소변이 신장으로 역류하게 할 수 있다(수신증).[89][90]BPH는 약물 치료, 최소 침습 시술, 또는 극단적인 경우 전립샘을 제거하는 수술로 치료할 수 있다. 일반적으로 치료는 전립샘을 통과하는 요도에서 발견되는 평활근의 긴장을 감소시켜 소변이 더 쉽게 통과하도록 하는 탐스로신과 같은 알파-1 아드레날린 수용체 길항제 약물로 시작하는 경우가 많다.[89][90] 증상이 지속되는 사람의 경우 시술을 고려할 수 있다. 이러한 경우 가장 자주 사용되는 수술은 경요도 전립선 절제술이다.[89][90] 이 수술에서는 요도의 위쪽 부분을 압박하고 소변의 흐름을 제한하는 전립샘 조직을 제거하기 위해 요도를 통해 기구를 삽입한다. 최소 침습 시술에는 경요도 전립선 바늘 절제술 및 경요도 극초단파 온열 요법이 있다.[28] 이러한 외래 환자 시술 후에는 자극 증상을 악화시키지 않으면서 정상적인 자발적 배뇨를 허용하기 위해 일시적인 전립선 스텐트를 삽입할 수 있다.[29]
5. 3. 전립선암
전립선암은 영국, 미국, 북유럽 및 호주에서 노년 남성에게 가장 흔한 암 중 하나이며, 전 세계적으로 노년 남성의 중요한 사망 원인 중 하나이다.[30] 환자는 증상이 없는 경우가 많지만, 증상이 나타나면 빈뇨, 절박뇨, 배뇨 지연 및 전립선 비대증과 관련된 기타 증상이 나타날 수 있다. 드물게 체중 감소, 요폐 또는 전립선 외로 전이된 전이성|트랜지서너리영어 병변으로 인한 요통과 같은 증상이 나타나기도 한다.직장 수지 검사와 전립선 특이 항원 (PSA) 수치 측정은 전립선암 검사를 위해 수행되는 첫 번째 검사이다. PSA 값은 암이 없는 사람에게 높은 값이 나타날 수 있고 암이 있는 사람에게 낮은 값이 나타날 수 있기 때문에 해석하기 어렵다. 다음 검사로는 종종 종양 등급 및 침습성을 평가하기 위한 전립선 생검이 있다. 일반 인구 집단에서 광범위한 선별 검사로 인한 과잉 진단의 심각한 위험 때문에 전립선암 선별 검사는 논란의 여지가 있다.[31] 종양이 확인되면, MRI 또는 골 스캔과 같은 의학 영상을 통해 다른 신체 부위에 종양 전이|트랜지서너리영어가 있는지 확인한다.
전립선에만 존재하는 전립선암은 종종 외과적 전립선 절제술, 방사선 치료 또는 요오드-125나 팔라듐-103의 작은 방사성 입자를 삽입하는 근접 방사선 치료로 치료한다.[32] 신체의 다른 부분으로 전이된 암은 일반적으로 증식을 자극하는 성 호르몬(안드로겐)에서 종양을 제거하기 위해 호르몬 치료를 병행한다. 이는 종종 GnRH 유사체 또는 안드로겐이 작용하는 수용체를 차단하는 약물(예: 비칼루타미드)을 사용하거나, 때로는 고환 절제술을 대신 수행할 수 있다. 호르몬 치료에 반응하지 않거나 치료 후 진행되는 암은 도세탁셀과 같은 화학 요법으로 치료할 수 있다. 방사선 치료는 골 병변과 관련된 통증을 완화하는 데 사용될 수 있다.
전립선암을 치료하지 않기로 결정하는 경우도 있다. 암이 작고 국소적인 경우, 일정 간격으로 암 활성을 모니터링하고("적극적 감시") 치료를 연기할 수 있다. 노쇠 증후군 또는 기타 의학적 상태 등의 이유로 환자의 기대 수명이 10년 미만인 경우, 치료의 영향이 이점을 능가할 수 있기 때문이다.
5. 4. 전립선 수술
전립샘 절제술은 전립샘을 제거하는 수술로, 주로 전립샘암이나 전립샘 비대증 치료를 위해 시행된다.[33] 수술은 개복 수술 또는 복강경 (키홀) 수술로 진행되며, 전신 마취 하에 이루어진다.[34] 암 치료를 위한 근치적 전립선 절제술은 정낭을 제거하고 정관을 묶는다.[33] 경요도 전립선 절제술(TURP)은 요도 내부에서 전립샘 일부를 제거하는 방식이다.[33] 개복 수술은 회음부 절개나 배꼽에서 치골까지 정중선 절개를 통해 이루어진다.[33] 림프절 침범이 의심되는 경우 개복 수술이 선호될 수 있다.[33] 회음부 접근법은 림프절 제거를 포함하지 않으며, 수술 후 통증이 적고 회복이 빠를 수 있다.[33] TURP는 음경을 통해 요도에 삽입된 튜브와 열, 전기 또는 레이저를 사용하여 전립샘 조직을 제거한다.[33]전립샘 전체 제거 수술은 신경 손상으로 인한 요실금 및 발기 부전 등의 합병증을 유발할 수 있으며, 특히 암이 신경에 가까운 경우 더욱 그렇다.[33][34] 근치적 전립샘 절제술은 정액 사정이 오르가슴 동안 발생하지 않게 하여 불임을 유발한다.[33] 때로는 오르가슴이 없거나 고통스러울 수 있다. 전립샘 내 요도 부분 제거는 음경 길이를 약간 짧아지게 할 수 있다.[33] 수술의 일반적인 합병증으로는 감염, 출혈, 인접 장기 또는 복부 손상, 혈전 형성 등이 있다.[33]
6. 역사
베네치아의 해부학자 니콜로 마사가 1536년 자신의 저서 《해부학 입문서》(Anatomiae libri introductorius)에서 전립샘을 처음으로 공식 확인했고, 1538년 플랑드르의 해부학자 안드레아스 베살리우스가 《해부학 도판 6점》(Tabulae anatomicae sex)에서 그림으로 묘사했다.[35][4] 마사는 전립샘을 "방광의 목에 놓이는 선형 육질"로, 베살리우스는 "선 모양의 신체"로 묘사했다.[36] 1600년 앙드레 뒤 로랑의 저서에서 전립샘과 유사한 단어가 처음 사용되었는데, 그는 당시 해부학자들이 이미 사용하던 용어로 묘사했다.[36][4] 그러나 이 용어는 프랑스 외과 의사 앙브루아즈 파레가 1549년 이전에 사용한 것으로 알려져 있다.[4]
당시 뒤 로랑은 한 쌍의 기관(단일의 두 엽 기관이 아닌)으로 여겨지는 것을 묘사하고 있었고, 사용된 라틴어 용어 ''prostatae''는 고대 그리스어로 정낭을 묘사하는 용어인 ''parastatai''의 오역이었다.[36] 문법적으로 올바른 ''prostator''(단수)와 ''prostatores''(복수) 대신 ''prostatae''라는 용어가 사용되었는데, 이는 고대 그리스어 용어의 명사 성이 여성으로 여겨졌지만, 실제로는 남성이었기 때문이다.[36]
전립샘이 두 개의 기관이 아닌 하나라는 사실은 18세기 초에 널리 알려졌고, 기관을 묘사하는 데 사용된 영어 용어인 ''prostate''도 마찬가지였다.[36] 이는 윌리엄 체젤덴의 공로로 여겨진다.[37] 에버라드 홈의 1811년 단행본 "전립선 질환 치료에 관한 실질적인 관찰"(Practical observations on the treatment of the diseases of the prostate gland)은 전립샘의 해부학적 부분을 묘사하고 이름을 붙이는 데 중요한 역할을 했으며, 여기에는 중앙 엽도 포함되었다.[36] 1912년 미국의 비뇨기과 의사 오스왈드 로슬리가 수행한 해부학적 연구 이후 전립샘의 5개 엽에 대한 아이디어가 널리 퍼졌다.[4][37] 존 E. 맥닐은 1968년에 처음으로 "구역"이라는 아이디어를 제안했다. 맥닐은 성인 전립샘의 비교적 균질한 절단면이 "엽"과 전혀 유사하지 않다는 것을 발견했고, 따라서 "구역"에 대한 묘사로 이어졌다.[38]
전립선암은 1853년 런던 의학 외과 학회에서 외과 의사 존 아담스가 한 연설에서 처음으로 묘사되었고,[39][40] 19세기 후반에 들어서면서 더욱 널리 묘사되었다.[41] 전립선암은 처음에는 드문 질병으로 여겨졌는데, 이는 19세기에 짧은 수명과 열악한 감지 방법 때문일 것이다. 전립선암의 첫 번째 치료법은 요로 폐쇄를 완화하기 위한 수술이었다.[42] 새뮤얼 데이비드 그로스는 전립선 절제술에 대해 "진지하게 생각하기에는 너무 터무니없다"고 언급한 것으로 알려졌다.[43][41] 전립선암에 대한 첫 번째 제거술(근치적 회음부 전립선 절제술)은 1904년 존스 홉킨스 병원에서 휴 H. 영에 의해 처음 수행되었으며,[44][41] 부분적인 샘 제거술은 1867년 테오도어 빌로스에 의해 수행되었다.[37]
경요도 전립선 절제술(TURP)은 20세기 중반에 폐색 증상 완화를 위한 근치적 전립선 절제술을 대체했는데, 이는 음경 발기 기능을 더 잘 보존할 수 있었기 때문이다. 근치적 후치골 전립선 절제술은 1983년 패트릭 월시에 의해 개발되었다.[45] 1941년 찰스 B. 허긴스는 전이성 전립선암 환자의 테스토스테론 생성을 억제하기 위해 에스트로겐을 사용한 연구 결과를 발표했다. 이 "화학적 거세" 발견으로 허긴스는 1966년 노벨 생리학·의학상을 수상했다.[46]
생식샘 자극 호르몬 방출 호르몬(GnRH)의 역할은 안제이 W. 셜리와 로저 기유맹에 의해 밝혀졌으며, 두 사람 모두 이 연구로 1977년 노벨 생리학·의학상을 수상했다. GnRH 수용체 작용제, 예를 들어 루프로렐린과 고세렐린이 이후 개발되어 전립선암 치료에 사용되었다.[47][48] 전립선암에 대한 방사선 치료는 20세기 초에 처음 개발되었으며, 초기에는 전립선 내 라듐 임플란트로 구성되었다. 더 강력한 X선 방사선원이 20세기 중반에 사용 가능해지면서 외부 빔 방사선 치료가 더 인기를 얻었다. 임플란트 씨앗을 이용한 근접 방사선 치료(전립선암의 경우)는 1983년에 처음 묘사되었다.[49] 전립선암에 대한 전신 화학 요법은 1970년대에 처음 연구되었다. 사이클로포스파미드와 5-플루오로우라실의 초기 요법에 여러 가지 다른 전신 화학 요법 약물을 사용하는 여러 요법이 빠르게 추가되었다.[50]
7. 다른 동물
전립샘은 포유류에서만 발견된다.[51] 수컷 유대류의 전립샘은 태반 포유류보다 비례적으로 더 크다.[52] 단공류에서 기능적인 전립샘의 존재 여부는 논란의 여지가 있으며, 단공류가 기능적인 전립샘을 가지고 있다면 다른 포유류와 같은 방식으로 정액에 기여하지 않을 수 있다.[53]
전립샘의 구조는 관상선포 (인간과 같이)에서 분지관상까지 다양하다. 이 샘은 식육목[54]과 멧돼지에서 특히 잘 발달되어 있지만, 황소와 같은 다른 포유류에서는 작고 눈에 띄지 않을 수 있다.[55][56][57] 유대류[58][59] 및 작은 반추동물과 같은 다른 동물에서는 전립샘이 흩어져 있어 특정 조직으로 국소화될 수 없지만 요도의 관련 부분 전체에 존재한다. 붉은사슴과 아메리카 엘크와 같은 다른 동물에서는 특정 기관과 흩어진 형태로 존재할 수 있다.[60] 일부 유대류 종에서 전립샘의 크기는 계절에 따라 변한다.[61] 전립샘은 수컷 개에게서 나타나는 유일한 부속샘이다.[62] 개는 하루에 인간이 생산할 수 있는 양과 같은 양의 전립선액을 한 시간 안에 생산할 수 있으며, 이 액체를 소변과 함께 배설하여 다리 들고 배뇨로 자기 영역을 표시한다.[63] 또한 개는 인간 외에 전립선암 발병률이 높은 것으로 보이는 유일한 종이다.[64] 전립샘은 고래류에서 나타나는 유일한 수컷 부속샘이며,[65] 매우 강력한 압축 근육으로 둘러싸인 흩어진 요도샘으로 구성된다.[66][67]
전립선 분비물은 종에 따라 다르다. 일반적으로 단순 당으로 구성되어 있으며 종종 약간 알칼리성이다.[69] 진수류 포유류에서 이러한 분비물은 일반적으로 과당을 포함한다. 유대류의 전립선 분비물은 일반적으로 과당 대신 N-아세틸글루코사민 또는 글리코겐을 포함한다.[70]
참조
[1]
논문
Morphological Characteristics of Prostate in Mammals
https://revistas.uau[...]
2014-03-01
[2]
서적
Wheater's functional histology: a text and colour atlas.
Elsevier
2013
[3]
논문
The weight of the human prostate
[4]
논문
The history of the prostate, part one: say what you see
2019-01
[5]
서적
Gray's anatomy : the anatomical basis of clinical practice
[6]
웹사이트
Basic Principles: Prostate Anatomy
http://www.urologyma[...]
2010-10-15
[7]
웹사이트
Prostate Cancer Information from the Foundation of the Prostate Gland.
Prostate Cancer Treatment Guide
2010-06-14
[8]
논문
Central zone carcinoma of the prostate gland: a distinct tumor type with poor prognostic features
[9]
서적
'PROMETHEUS Innere Organe. LernAtlas Anatomie'
https://www.wissensc[...]
Thieme Verlag
[10]
웹사이트
Prostate Gland Development
http://www.ana.ed.ac[...]
2011-08-03
[11]
웹사이트
Prostate
https://webpath.med.[...]
2019-11-17
[12]
웹사이트
The human proteome in prostate – The Human Protein Atlas
https://www.proteina[...]
2017-09-26
[13]
논문
Tissue-based map of the human proteome
2015-01-23
[14]
논문
Analysis of the Human Prostate-Specific Proteome Defined by Transcriptomics and Antibody-Based Profiling Identifies TMEM79 and ACOXL as Two Putative, Diagnostic Markers in Prostate Cancer
2015-08-03
[15]
논문
Emerging roles of human prostatic Acid phosphatase.
2013-01
[16]
서적
Langman's medical embryology
Wolters Kluwer
2019
[17]
서적
Langman's medical embryology
Wolters Kluwer
2019
[18]
서적
Before We are Born: Essentials of Embryology and Birth Defects
Saunders/Elsevier
[19]
서적
Ganong's review of medical physiology
McGraw-Hill Education
[20]
논문
Real-time magnetic resonance imaging (MRI): anatomical changes during physiological voiding in men.
[21]
논문
Contraction of the anterior prostate is required for the initiation of micturition.
[22]
논문
Do patients have to choose between ejaculation and miction? A systematic review about ejaculation preservation technics for benign prostatic obstruction surgical treatment.
http://website60s.co[...]
2020-11-16
[23]
서적
Human Sexuality: From Cells to Society
https://books.google[...]
Cengage Learning
2012-09-17
[24]
서적
The Orgasm Answer Guide
https://books.google[...]
JHU Press
2011-11-06
[25]
논문
Prostate-induced orgasms: A concise review illustrated with a highly relevant case study
2018
[26]
웹사이트
Physical Therapy Treatment for Prostatitis/chronic pelvic pain syndrome
http://www.chronicpr[...]
2014-10-22
[27]
논문
Sexual dysfunction in men with chronic prostatitis/chronic pelvic pain syndrome: improvement after trigger point release and paradoxical relaxation training
[28]
논문
Benign Prostatic Hyperplasia: Current Treatment Strategies
http://www.consultan[...]
2009-02
[29]
논문
Use of a Temporary Prostatic Stent After Transurethral Microwave Thermotherapy Reduced Voiding Symptoms and Bother Without Exacerbating Irritative Symptoms
[30]
Review
Epidemiology of Prostate Cancer
2019-04
[31]
논문
Overdiagnosis of Prostate Cancer
2012-09
[32]
웹사이트
What is Brachytherapy?
https://www.american[...]
2020-08-08
[33]
웹사이트
Surgery for Prostate Cancer
https://www.cancer.o[...]
The American Cancer Society medical and editorial content team
2020-08-08
[34]
웹사이트
Surgery to remove your prostate gland
https://www.cancerre[...]
Cancer Research UK
2020-08-08
[35]
논문
The History of Prostate Cancer From Antiquity: Review of Paleopathological Studies
2016-11
[36]
논문
History of the Term Prostate
2009-02-01
[37]
논문
The history of urologic pathology: an overview
2019-01
[38]
논문
Structure of the adult prostate from a clinician's standpoint
[39]
논문
The case of scirrhous of the prostate gland with corresponding affliction of the lymphatic glands in the lumbar region and in the pelvis
[40]
논문
The History of Prostate Cancer From Antiquity: Review of Paleopathological Studies
2016-11
[41]
논문
The history of urologic surgery: from reeds to robotics.
2011
[42]
논문
Prostate cancer: a brief history and the discovery of hormonal ablation treatment
2001-06
[43]
서적
A Practical Treatise On the Diseases and Injuries of the Urinary Bladder, the Prostate Gland, and the Urethra
https://collections.[...]
Blanchard and Lea
1851
[44]
논문
Four cases of radical prostatectomy
[45]
논문
Radical prostatectomy with preservation of sexual function: anatomical and pathological considerations
[46]
논문
Studies on prostate cancer: 1. The effects of castration, of estrogen and androgen injection on serum phosphatases in metastatic carcinoma of the prostate
http://cancerres.aac[...]
[47]
논문
Hypothalamic follicle-stimulating hormone (FSH) and luteinizing hormone (LH)-regulating hormone: structure, physiology, and clinical studies
1971-11
[48]
논문
Tumor growth inhibition in patients with prostatic carcinoma treated with luteinizing hormone-releasing hormone agonists
1982-03
[49]
논문
A history of prostate cancer treatment
2002-05
[50]
논문
Chemotherapy of advanced prostatic carcinoma with cyclophosphamide or 5-fluorouracil: results of first national randomized study
1975-12
[51]
논문
Hormonal, cellular, and molecular control of prostatic development
2003-01
[52]
서적
Reproductive Physiology of Marsupials
https://books.google[...]
Cambridge University Press
1987-01-30
[53]
논문
Uncertain breeding: a short history of reproduction in monotremes.
2001
[54]
서적
Dellmann's Textbook of Veterinary Histology
https://books.google[...]
John Wiley & Sons
2013-03-19
[55]
서적
Animal Physiology: From Genes to Organisms
https://books.google[...]
Cengage Learning
2012-01
[56]
문서
Comparative embryology of the vertebrates
https://archive.org/[...]
Blakiston
1953
[57]
서적
Reproduction in Farm Animals
https://books.google[...]
John Wiley & Sons
2013
[58]
서적
Current Therapy in Medicine of Australian Mammals
https://books.google[...]
Csiro Publishing
2019-05-01
[59]
서적
Australian Mammal Society
https://books.google[...]
Australian Mammal Society
1978-12
[60]
서적
Animal Andrology: Theories and Applications
https://books.google[...]
CABI
2014
[61]
서적
Life of Marsupials
https://books.google[...]
Csiro Publishing
[62]
서적
Miller and Evans' Anatomy of the Dog – E-Book
https://books.google[...]
Elsevier Health Sciences
2018-12-20
[63]
서적
Mating Males: An Evolutionary Perspective on Mammalian Reproduction
https://books.google[...]
Cambridge University Press
2012-07-12
[64]
서적
Textbook of veterinary internal medicine : diseases of the dog and the cat
https://books.google[...]
2009-12-24
[65]
서적
Reproductive Biology and Phylogeny of Cetacea: Whales, Porpoises and Dolphins
https://books.google[...]
CRC Press
2016-04-19
[66]
서적
Encyclopedia of Marine Mammals
https://books.google[...]
Academic Press
2009-02-26
[67]
간행물
Functional anatomy of the cetacean reproductive system, with comparisons to the domestic dog.
https://www.research[...]
Science Publishers
2016
[68]
서적
Why Evolution is True
https://books.google[...]
Oxford University Press
[69]
서적
Campbell-Walsh Urology
https://books.google[...]
Elsevier Health Sciences
2015-10-23
[70]
서적
Marsupials
https://books.google[...]
Cambridge University Press
2006-08-17
[71]
논문
Differential diagnostics of female "sexual" fluids: a narrative review
https://www.research[...]
[72]
서적
Human Sexuality: An Encyclopedia
https://books.google[...]
Routledge
[73]
서적
Comprehensive Gynecology
https://books.google[...]
Elsevier Health Sciences, Philadelphia
[74]
서적
Biology of women
https://books.google[...]
Delmar, Cengage Learning
[75]
논문
Prostate organogenesis: tissue induction, hormonal regulation and cell type specification.
[76]
문서
女性器の相同器官であるスキーン腺を女性前立腺あるいは女性の前立腺と呼ぶことがある。
[77]
웹사이트
泌尿器科の病気について 前立腺肥大症
https://www.med.nago[...]
名古屋大学
2023-11-02
[78]
웹사이트
前立腺肥大症
https://gondo-uro.jp[...]
中野駅前ごんどう泌尿器科
2023-11-02
[79]
웹사이트
男性にも「前立腺小室」と呼ばれる子宮があるのはなぜ?
https://web.archive.[...]
日刊ゲンダイヘルスケア
2020-10-08
[80]
웹사이트
Epidemiology of Prostate Cancer
https://pmc.ncbi.nlm[...]
2024-11-08
[81]
웹사이트
Cancer in Men: Prostate Cancer is #1 for 118 Countries Globally
https://www.cancer.o[...]
2024-11-08
[82]
웹사이트
Understanding Prostatitis – Causes, Symptoms, Treatments, and Prevention
https://infectioncyc[...]
2024-11-08
[83]
웹사이트
Prostate Problems
https://www.niddk.ni[...]
2024-11-08
[84]
웹사이트
Prostatitis
https://www.medicove[...]
2024-11-08
[85]
웹사이트
Implications of prostate inflammation on male fertility
https://pubmed.ncbi.[...]
2024-11-08
[86]
웹사이트
Male Fertility
https://conceiveplus[...]
2024-11-08
[87]
웹사이트
Common Causes and Symptoms of Enlarged Prostate
https://lifemd.com/l[...]
2024-11-08
[88]
웹사이트
Enlarged prostate and sexual function
https://vertica-labs[...]
2024-11-08
[89]
웹사이트
Prostate Enlargement
http://www.advancedu[...]
2024-11-08
[90]
웹사이트
Benign Prostatic Hypertrophy or Hyperplasia Nursing Care Plan & Management
https://www.rnpedia.[...]
2024-11-08
[91]
문서
'1. 선(腺)과 샘'
The Doctor
2011-05-30
[92]
논문
Ultrastructure of the normal adult human female prostate gland (Skene's gland)
https://www.ncbi.nlm[...]
[93]
웹인용
Do Women Have a Prostate Gland?
http://www.berkeleyw[...]
2018-10-01
[94]
웹인용
CHEMICAL COMPOSITION OF HUMAN SEMEN AND OF THE SECRETIONS OF THE PROSTATE AND SEMINAL VESICLES
http://ajplegacy.phy[...]
2010-08-10
[95]
웹인용
SEMEN ANALYSIS
http://www.umc.sunys[...]
www.umc.sunysb.edu
2009-04-28
[96]
논문
The Female Prostate Revisited: Perineal Ultrasound and Biochemical Studies of Female Ejaculate
https://www.jsm.jsex[...]
[97]
웹인용
"[ Dr. CH Kim's Home ] 생식기의 발생학"
http://drchkim.com/b[...]
2018-10-01
[98]
뉴스
"[청주비뇨기과/의학박사이승찬]남성의 PCR 원인균 검사"
http://uro9122.tisto[...]
2012-12-11
[99]
뉴스
"[섹시토크] 사정보다 더 짜릿하고 유쾌한 경험"
https://www.joongang[...]
2008-05-15
[100]
뉴스
"[러브 프로젝트]신비로운 전립선 오르가슴 일깨우기"
http://lady.khan.co.[...]
2018-10-01
[101]
웹인용
For the ULTIMATE male orgasm, try prostate milking! [NEW 2018] - Mr. Racy
https://mrracy.com/p[...]
2018-10-01
본 사이트는 AI가 위키백과와 뉴스 기사,정부 간행물,학술 논문등을 바탕으로 정보를 가공하여 제공하는 백과사전형 서비스입니다.
모든 문서는 AI에 의해 자동 생성되며, CC BY-SA 4.0 라이선스에 따라 이용할 수 있습니다.
하지만, 위키백과나 뉴스 기사 자체에 오류, 부정확한 정보, 또는 가짜 뉴스가 포함될 수 있으며, AI는 이러한 내용을 완벽하게 걸러내지 못할 수 있습니다.
따라서 제공되는 정보에 일부 오류나 편향이 있을 수 있으므로, 중요한 정보는 반드시 다른 출처를 통해 교차 검증하시기 바랍니다.
문의하기 : help@durumis.com
