외상성 뇌손상
"오늘의AI위키"의 AI를 통해 더욱 풍부하고 폭넓은 지식 경험을 누리세요.
1. 개요
외상성 뇌손상(TBI)은 외부의 기계적 힘에 의해 뇌가 손상되는 질환으로, 손상의 심각도, 해부학적 특징, 기전에 따라 분류된다. 증상, 원인, 발생 기전, 진단, 예방, 치료, 예후, 합병증, 역학, 역사, 연구 동향에 대한 내용이 다루어진다. TBI는 생명을 위협하고 장기적인 장애를 유발할 수 있으며, 다양한 신체적, 인지적, 행동적, 정서적 문제를 야기할 수 있다.
더 읽어볼만한 페이지
- 집중 치료 의학 - 산소 중독
산소 중독은 고농도의 산소 흡입으로 발생하는 유독한 상태로, 폴 베르의 연구로 밝혀진 후 초고압 산소요법 발전과 함께 폐, 중추신경계, 눈 등에 미치는 영향이 연구되었으며, 발작, 염증, 미숙아 망막증 등의 증상을 유발하고 수중 잠수, 고압산소치료, 의료적 산소 공급 등이 원인이 되며, 현재 산소 분압 조절, 노출 시간 단축, 항산화제 등을 통한 관리 및 치료법이 연구 중이다. - 집중 치료 의학 - 글래스고 혼수척도
글래스고 혼수척도는 눈 뜨기, 언어 반응, 운동 반응을 평가하여 의식 수준을 측정하는 신경학적 척도로, 총점 3점에서 15점으로 표시되며 점수가 낮을수록 의식 수준이 낮고, 뇌 손상 환자 평가에 널리 사용되지만 비판도 존재하며, 대한민국에서는 일본 혼수척도와 함께 사용되고 2세 미만 어린이는 소아 글래스고 혼수척도를 사용한다. - 신경외상 - 신경가소성
신경가소성은 뇌의 구조와 기능이 경험, 학습, 손상에 따라 변화하는 능력이며, 시냅스 가소성, 구조적 가소성으로 나뉘어 뇌졸중, 학습 장애 등의 치료와 재활, 명상, 예술 활동 등 다양한 분야에 응용된다. - 신경외상 - 뇌성마비
뇌성마비는 태아 또는 영유아기의 비진행성 뇌 손상으로 운동 및 자세 발달에 영구적인 장애를 초래하는 질환으로, 다양한 원인으로 발생하며 감각, 인지 등의 문제가 동반될 수 있고, 치료는 불가능하지만 다양한 중재를 통해 증상 완화 및 기능 향상을 도모할 수 있다. - 응급질환 - 저혈량증
저혈량증은 순환혈액량 감소로 인해 조직 관류가 저하되는 상태로, 출혈, 위장관 문제, 과도한 발한, 신장 기능 장애 등의 다양한 원인으로 발생하며 두통, 피로, 저혈압, 빈맥 등의 증상을 유발하고 심각한 경우 쇼크로 이어질 수 있다. - 응급질환 - 저혈당증
저혈당증은 혈당 수치가 70 mg/dL 미만으로 감소한 상태를 의미하며, 뇌에 포도당 공급 부족으로 신경당결핍 증상과 교감신경성 증상이 나타나고, 당뇨병 환자에게서 흔히 발생하며, 인슐린 과다 복용 등이 주요 원인이다.
2. 분류
외상성 뇌손상(TBI)은 여러 기준에 따라 분류된다. 주로 손상의 기전(원인이 되는 힘), 중증도, 그리고 해부학적 특징(병리학적 특징)을 기반으로 분류한다.[15]
손상 기전에 따라서는 크게 폐쇄성 손상과 관통성 두부 손상으로 나눌 수 있다.[193] 폐쇄성 손상은 두개골이 파열되지 않아 뇌가 외부로 노출되지 않은 경우이며, 관통성 손상은 외부 물체가 두개골을 뚫고 들어가 뇌막까지 손상시킨 경우를 말한다.
또한, 손상의 심각성 정도에 따라 경도, 중등도, 중증 TBI로 분류하기도 한다.[15][4] 이는 환자의 의식 수준, 기억 상실 기간 등을 종합적으로 평가하여 결정된다.
마지막으로, 손상의 해부학적 또는 병리학적 특징에 따라서도 분류할 수 있다.[15] 이는 손상이 뇌의 특정 부위에 국한되는지(국소적 손상) 또는 넓은 범위에 걸쳐 나타나는지(광범위 손상) 등을 기준으로 한다.
2. 1. 폐쇄성 및 관통성 두부 손상
외상성 뇌손상(TBI)은 손상 기전, 즉 원인이 되는 힘에 따라 크게 두 가지로 분류된다.[15][193] 이는 폐쇄성 손상과 관통성 두부 손상이다.폐쇄성 두부 손상은 비관통성 또는 둔탁 손상이라고도 불리며,[10] 외부 충격에도 불구하고 두개골이 파손되지 않아 뇌가 외부로 노출되지 않은 상태의 손상을 말한다.[52] 신경심리학 연구 문헌에서는 종종 "외상성 뇌손상"이라는 용어를 이러한 비관통성(폐쇄성) 손상을 가리키는 데 사용하기도 한다.
반면, 관통성 두부 손상은 개방성 두부 손상이라고도 하며, 외부 물체가 두개골을 뚫고 들어가 뇌를 감싸는 가장 바깥쪽 막인 경막까지 손상시키는 경우를 의미한다.[52]
2. 2. 중증도에 따른 분류
뇌손상은 경도, 중등도, 중증도의 세 가지 범주로 분류할 수 있다.[15][4] 외상성 뇌손상(TBI)의 중증도를 나누는 데 가장 흔히 사용되는 기준은 글래스고 혼수 척도(GCS)이다. GCS는 외부 자극에 대한 언어 반응, 운동 반응, 눈 뜨기 반응을 종합하여 환자의 의식 수준을 3점에서 15점 사이로 평가한다.[16] 일반적으로 GCS 점수가 13점 이상이면 경도, 9점에서 12점 사이면 중등도, 8점 이하면 중증 뇌손상으로 분류한다.[7][11][162] 영유아에게는 비슷한 평가 체계가 별도로 존재한다.[11]그러나 GCS 점수만으로는 환자의 예후를 예측하는 데 한계가 있다. 따라서 아래 표와 같이 다른 분류 기준들도 중증도를 판단하는 데 함께 사용된다. 미 국방부와 미 재향군인부가 개발한 최신 모델은 소생 후 GCS 점수, 외상 후 기억상실(PTA) 기간, 의식 상실(LOC) 기간이라는 세 가지 기준을 모두 고려한다.[169]
이 외에도 신경영상 검사에서 나타나는 부종, 국소 병변, 또는 미만성 축삭 손상과 같은 변화를 분류 기준으로 활용하는 방안도 제안되고 있다.[193]
2. 3. 병리학적 특징에 따른 분류

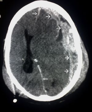
외상성 뇌손상(TBI)은 병리학적 특징에 따라 분류하기도 한다.[15] 병변의 위치에 따라 뇌막외성(두개골 안이지만 뇌 바깥) 또는 뇌막내성(뇌 조직 안)으로 나눌 수 있다.[17] 또한 손상의 분포에 따라 특정 영역에 국한되는 국소적 손상과 더 넓은 범위에 걸쳐 나타나는 광범위 손상으로 구분할 수 있다.[18] 하지만 실제로는 두 가지 유형의 손상이 함께 나타나는 경우가 흔하다.[18]
광범위 손상은 확산성 축삭 손상, 부종, 뇌진탕 등이 포함된다. 이는 축삭을 포함한 넓은 범위의 손상을 의미하며, 신경 영상 검사에서는 뚜렷한 병변이 잘 보이지 않을 수 있다.[18][19][22][23]
국소 손상은 손상된 뇌 영역의 기능과 관련된 국소 신경학적 증상을 유발하는 경우가 많다.[13] 비관통성 외상성 뇌손상에서 국소 병변이 가장 흔하게 발생하는 부위는 전전두엽 피질(전두엽의 아래쪽 표면)과 앞쪽 측두엽이다.[24][25][26][27] 이 부위들은 사회적 행동, 감정 조절, 후각, 의사 결정 등에 관여하기 때문에, 중간 정도 이상의 TBI 이후 사회적/정서적 문제나 판단력 저하가 흔하게 나타난다.[24][25][26][27] 운동피질이나 언어 영역과 같이 상대적으로 덜 흔하게 영향을 받는 부위가 손상되면 반신불수나 실어증 같은 증상이 나타날 수도 있다.[28][29]
국소 손상의 한 종류인 뇌좌상은 뇌 조직이 찢어지거나 절단될 때 발생한다.[173] 특히 눈 위의 두개골 안쪽 뼈 돌출부 때문에 전전두엽 피질에서 흔하게 발생한다.[24] 뇌좌창은 뇌 조직에 멍이 드는 것으로, 혈액이 조직과 섞이는 상태를 말한다.[162] 반면 두개내 출혈은 혈액이 뇌 조직과 섞이지 않고 고이는 출혈을 의미한다.[173]
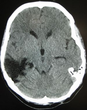
혈종 역시 국소 병변으로, 출혈로 인해 뇌 안이나 주변에 피가 고이는 것을 말한다.[7] 뇌 조직 자체에 출혈이 생기는 뇌내 출혈은 뇌막내성 병변이다. 뇌막외성 병변에는 다음과 같은 종류가 있다.[30]
- 경막외혈종: 두개골과 경막(뇌를 감싸는 가장 바깥쪽 뇌막) 사이에 피가 고이는 것.[7]
- 경막하혈종: 경막과 거미막 사이에 피가 고이는 것.[162]
- 지주막하 출혈: 거미막과 연막 사이에 피가 고이는 것.[162]
- 뇌실내 출혈: 뇌실계 안에 피가 고이는 것.[30]
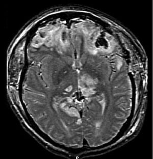
2. 3. 1. 광범위 손상
광범위 손상은 신경 영상 연구에서 명백한 손상이 거의 없이 나타나지만, 사후 현미경 기법을 통해 병변을 볼 수 있으며,[18][19] 2000년대 초 연구원들은 백색질 다발을 보여주는 MRI 이미지를 처리하는 방법인 확산텐서영상(DTI)이 확산성 축삭 손상의 정도를 표시하는 효과적인 도구임을 발견했다.[20][21] 광범위 손상으로 간주되는 손상 유형에는 부종(팽창), 뇌진탕 및 확산성 축삭 손상이 포함되는데, 이는 축삭을 포함한 광범위한 손상이며, 백색질 다발과 대뇌피질로의 돌기를 포함한다.[22][23]3. 증상
외상성 뇌손상(TBI)의 증상은 손상의 유형(확산성 또는 국소성)과 뇌의 어느 부위가 영향을 받았는지에 따라 다르게 나타난다.[31] 예를 들어, 뇌의 왼쪽에 손상을 입은 사람들은 오른쪽에 손상을 입은 사람들보다 의식불명 상태가 더 오래 지속되는 경향이 있다.[52]
또한 증상은 손상의 심각도에 따라서도 달라진다. 손상의 정도는 크게 경미한 TBI, 중등도 TBI, 중증 TBI로 나눌 수 있으며, 각 심각도에 따라 나타나는 증상과 그 정도가 다르다.[32][27][34][35][36][37] 자세한 증상은 손상의 심각도에 따라 분류된 하위 문서를 참고할 수 있다.
3. 1. 경도 TBI
경미한 외상성 뇌손상(TBI)의 경우 환자는 의식을 유지하거나 몇 초 또는 몇 분 동안 의식을 잃을 수 있다.[32] 경미한 TBI의 다른 증상으로는 두통, 구토, 메스꺼움, 운동 실조, 어지러움, 균형 잡기 어려움,[33] 현기증, 시야 흐릿함 또는 눈의 피로, 이명(귀울림), 입 안의 불쾌한 맛, 피로 또는 무기력, 수면 패턴의 변화 등이 있다.[32] 인지 및 정서적 증상에는 행동이나 기분 변화, 혼란, 기억력, 집중력, 주의력 또는 사고력 문제가 포함된다.[32] 경미한 TBI 증상은 중등도 및 중증 손상에서도 나타날 수 있다.[32]3. 2. 중등도 및 중증 TBI
중등도 또는 중증 외상성 뇌손상(TBI) 환자는 사라지지 않는 두통, 반복적인 구토 또는 메스꺼움, 경련, 깨어날 수 없는 상태(의식 소실), 한쪽 또는 양쪽 동공 확장, 발음이 부정확한 말, 실어증(단어 찾기 어려움), 구음장애(근육 약화로 인한 말의 장애), 사지의 약화 또는 마비, 조정력 상실, 혼란, 불안 또는 초조함을 경험할 수 있다.[32] 경미한 TBI에서 나타나는 증상들(두통, 메스꺼움, 어지러움 등)은 중등도 및 중증 손상에서도 동일하게 나타날 수 있다.[32]
중등도에서 중증 TBI의 일반적인 장기 증상으로는 적절한 사회적 행동의 변화, 사회적 판단력 저하, 그리고 인지 기능 변화가 있으며, 특히 지속적인 주의력, 처리 속도 및 실행 기능의 문제가 두드러진다.[27][34][35][36][37] 알렉시티미아(감정을 식별, 이해, 처리 및 설명하는 데 어려움을 겪는 상태)는 TBI 환자의 약 60.9%에서 발생하는 것으로 보고된다.[38] 이러한 인지 및 사회적 결핍은 환자의 일상생활에 장기적인 영향을 미치지만, 적절한 재활을 통해 개선될 수 있다.[37][39][40][41]
두개골 내 압력(두개내압, ICP)이 과도하게 높아지는 것은 매우 위험하며 치명적일 수 있다.[67] ICP 상승의 징후로는 의식 수준 저하, 신체 한쪽의 마비 또는 약화, 그리고 빛에 반응하여 수축하지 않거나 느리게 수축하는 확대된 동공(blown pupil) 등이 있다.[67] 쿠싱 삼징후(서맥, 고혈압, 호흡 억제)는 현저하게 상승된 ICP의 전형적인 증상이다.[7] 동공 크기의 불일치(Anisocoria) 역시 심각한 TBI의 중요한 징후이다.[65] 심한 확산성 손상이나 높은 ICP로 인해 발생하는 사지의 특징적인 위치인 비정상적인 자세는 예후가 좋지 않음을 시사하는 징후이다.[7]
중등도에서 중증 TBI를 겪은 어린 아이들은 위와 같은 증상 중 일부를 보일 수 있지만, 자신의 상태를 명확하게 표현하는 데 어려움을 겪을 수 있다.[42] 어린 아이들에게서 추가적으로 관찰될 수 있는 징후로는 지속적인 울음, 달래지지 않는 상태, 무기력, 수유 또는 식사 거부,[42] 그리고 심한 짜증 등이 있다.[7]
3. 3. 합병증으로 인한 증상
두개골 내 압력(두개내압, ICP)이 과도하게 높아지면 생명에 위협이 될 수 있다.[67] 두개내압 상승의 주요 징후로는 의식 수준 저하, 신체 한쪽의 마비나 약화, 빛에 반응하여 수축하지 않거나 반응이 느린 확장된 동공(동공 산대) 등이 있다.[67] 특히, 서맥(느린맥), 고혈압, 호흡 억제가 함께 나타나는 쿠싱 삼징후(Cushing's triad)는 두개내압이 심각하게 상승했음을 보여주는 전형적인 증상이다.[7] 양쪽 동공 크기가 다른 동공 크기 불일치(Anisocoria) 역시 심각한 외상성 뇌손상의 중요한 징후 중 하나이다.[65] 또한, 심한 광범위 손상이나 높은 두개내압으로 인해 발생하는 비정상적인 자세(제뇌 자세, 피질 제거 자세 등)는 예후가 좋지 않음을 시사하는 징후이다.[7]
4. 원인
외상성 뇌손상(TBI)의 가장 흔한 원인으로는 교통사고, 낙상, 폭력 등이 있다.[219] 미국에서는 폭력, 교통사고, 건설 현장 사고, 스포츠 등이 주요 원인으로 꼽힌다.[33][44] 특히 오토바이 사고는 주요 원인 중 하나이며, 다른 원인이 감소하면서 개발도상국에서는 그 중요성이 더욱 커지고 있다.[45][46]
연령대에 따라서도 주요 원인이 달라진다. 2세에서 4세 사이 어린이의 경우 낙상이 가장 흔한 원인이며, 나이가 더 많은 어린이들에게는 교통사고와 낙상이 함께 가장 흔한 원인이 된다.[48]
미국에서는 매년 160만 건에서 380만 건의 외상성 뇌손상이 스포츠 및 레크리에이션 활동 중에 발생하는 것으로 추정된다.[47] 또한, 아동 학대는 소아 뇌 손상의 세 번째로 흔한 원인이며[49], 전체 소아 뇌 손상의 19%를 차지한다. 학대로 인한 뇌 손상은 다른 원인에 비해 사망률이 더 높은 경향이 있다.[81]
가정폭력[50]이나 직장 관련 사고 및 산업재해[51] 역시 외상성 뇌손상의 원인이 될 수 있다. 남성이 여성보다 외상성 뇌손상을 경험할 가능성이 두 배 더 높다는 통계도 있다.[50]
전쟁 지역에서는 총기[52] 및 폭발로 인한 부상이 외상성 뇌손상의 주요 원인이 되며, 이는 사망 및 장애로 이어지는 주요 요인이다.[192] 특히 1990년대 이후의 비대칭 전쟁에서는 지뢰나 휴대용 소형 미사일을 개조한 즉석 폭발물(IED)의 사용이 늘면서, 폭발 당시 겉으로는 멀쩡해 보여도 나중에 심각한 외상성 뇌손상으로 진단받는 사례가 증가했다.[220] 미국 민주당 소속 빌 패스크렐 하원의원은 외상성 뇌손상을 "이라크와 아프가니스탄 전쟁의 대표적인 부상"이라고 언급하기도 했다.[54] 실제로 전쟁에서 돌아온 군인들이 기억 장애나 보행 장애 등으로 고통받는 사례가 늘자, 미국 정부는 2009년에 진단 기준을 변경했으며, 2001년부터 2009년 10월까지 약 14만 명이 관련 부상을 입은 것으로 집계했다.[221]
5. 발생 기전
외력의 종류, 방향, 강도, 지속 시간은 외상성 뇌손상(TBI)의 특징과 심각도에 모두 영향을 미친다.[193] TBI를 유발할 수 있는 외력에는 각운동, 회전력, 전단력, 병진력 등이 있다.[173]
머리에 직접적인 충격이 없더라도, 머리의 급격한 가속이나 감속만으로도 TBI가 발생할 수 있다. 하지만 대부분의 TBI는 충격과 가속/감속이 함께 작용하여 발생한다.[173] 머리가 물체에 부딪히거나 물체가 머리에 부딪히는 힘을 충격 하중(contact loading) 또는 접촉 하중이라고 하며, 이는 주로 국소적인 뇌 손상을 일으킨다. 반면, 두개골 안에서 뇌 자체가 움직이면서 발생하는 힘을 관성 하중(inertial loading) 또는 비접촉 하중이라고 하며, 이는 주로 뇌 전체에 걸쳐 광범위하게 나타나는 확산성 손상을 유발한다.[15] 예를 들어, 아기를 심하게 흔들어 발생하는 흔들린 아기 증후군은 전형적인 관성 하중에 의한 확산성 손상에 해당한다.[57] 충격 하중이 가해질 때는 그 힘이 두개골과 뇌를 통해 충격파 형태로 전달되어 조직 손상을 일으킬 수 있다.[173] 특히 관통성 손상의 경우, 충격파는 총알이나 파편 같은 발사체가 지나가는 경로 주변의 조직까지 파괴하여 초기 손상을 더욱 악화시킨다.[162]
뇌 손상은 충격을 받은 부위 바로 아래(쿠프 손상, coup injury) 또는 충격 지점의 정반대편(콩트르쿠프 손상, contrecoup injury)에서 발생할 수 있다(쿠프 및 콩트르쿠프 손상).[58] 일반적으로 움직이는 물체가 정지해 있는 머리에 부딪혔을 때는 쿠프 손상이 흔하게 나타난다.[59] 반대로, 움직이던 머리가 정지된 물체에 부딪혔을 때는 콩트르쿠프 손상이 더 자주 발생한다.[60]
5. 1. 일차적 및 이차적 손상

뇌 외상으로 인한 사망은 사고 직후뿐만 아니라, 사고 후 수일에서 수주에 걸쳐 발생하기도 한다.[62] 외상성 뇌손상 환자 중 약 40%는 입원 후 상태가 호전되지 않고 오히려 악화되는 경향을 보인다.[63] 이러한 악화는 단순히 일차적 뇌손상만으로는 설명하기 어렵다. 일차적 손상은 외상 충격 순간에 뇌 조직과 혈관이 늘어나거나, 압박되거나, 찢어지면서 발생하는 직접적인 손상을 의미한다.[64]
문제는 외상 후 수분에서 수일 동안 진행되는 이차적 손상이다. 이는 복잡한 세포 수준의 과정과 생화학적 연쇄 반응으로 구성되며, 일차적 손상으로 인한 피해를 훨씬 더 심각하게 만들 수 있다.[64][192] 실제로 병원에서 발생하는 외상성 뇌손상 관련 사망의 상당수는 이 이차적 손상 때문에 일어난다.[65]
이차적 손상을 유발하는 주요 요인들은 다음과 같다.[192]
- 혈액-뇌 장벽 손상
- 염증을 일으키는 물질의 방출
- 유리기의 과도한 생성
- 신경전달물질인 글루탐산의 과다 방출(흥분독성)
- 뉴런(신경 세포) 내부로 칼슘과 나트륨 이온의 과도한 유입
- 미토콘드리아 기능 장애
이러한 과정들은 뇌의 백질에 있는 신경 세포의 축삭(신호를 전달하는 부분)이 손상 후 세포체로부터 분리될 수 있으며, 결국 해당 신경 세포의 죽음으로 이어질 수 있다.[192]
그 외에도 이차적 손상에는 다음과 같은 요인들이 관여한다.[66]
- 뇌로 가는 혈액 흐름의 변화
- 허혈(뇌 조직으로 혈액 공급이 부족해지는 상태)
- 뇌 저산소증(뇌에 산소 공급이 부족해지는 상태)
- 뇌부종(뇌가 붓는 현상)
- 두개내압 상승 (머리뼈 안의 압력이 높아지는 것)
두개내압은 뇌출혈이나 부종 등으로 인해 뇌 조직의 부피가 커지는 질량 효과 때문에 상승할 수 있다.[67] 두개내압이 높아지면 뇌로 혈액을 보내는 압력인 뇌 관류압이 감소하게 되고, 이는 결국 허혈을 유발한다.[65][68] 만약 두개내압이 매우 심각하게 높아지면, 뇌사 상태에 이르거나 뇌의 일부가 두개골의 구조물 틈새로 밀려 나가는 뇌탈출이 발생할 수 있다.[67]
6. 진단
외상성 뇌손상(TBI)의 진단은 병변의 상황과 임상 증거, 특히 신경학적 검사 결과를 바탕으로 의심된다.[162] 신경 영상 검사는 진단 및 예후를 결정하고 적절한 치료법을 결정하는 데 중요한 보조 수단으로 활용된다.[165] 또한, DSM-5는 외상성 뇌손상과 관련된 정신과적 후유증을 진단하는 데 사용될 수 있다.[69][70][71]
주요 진단 방법으로는 환자의 의식 수준이나 신경학적 상태를 평가하는 신경학적 검사, 뇌의 구조적 손상을 확인하는 영상 검사 (예: CT, MRI), 그리고 장기적인 인지 기능 변화를 평가하는 신경심리학적 검사 등이 있다.
6. 1. 신경학적 검사
외상성 뇌손상의 진단은 병변의 상황과 임상 증거, 특히 신경학적 검사를 기반으로 의심된다. 신경학적 검사의 예시로는 환자의 동공이 빛에 정상적으로 반응하여 수축하는지 확인하는 것과 글래스고 혼수 척도(Glasgow Coma Score, GCS)를 사용하여 의식 수준을 평가하는 것 등이 있다.[162] 이러한 검사 결과는 진단과 예후를 결정하고 적절한 치료법을 선택하는 데 중요한 기초 자료가 된다.6. 2. 영상 검사

신경 영상 검사는 외상성 뇌손상의 진단 및 예후를 결정하고 적절한 치료법을 결정하는 데 도움이 된다.[165]
응급 상황에서는 컴퓨터 단층촬영(CT)이 가장 선호되는 방사선 검사다. 신속하고 정확하며 널리 사용 가능하기 때문이다.[73] 손상이 진행되었는지 확인하기 위해 추후 CT 촬영을 실시할 수도 있다.[193]
자기공명영상(MRI)은 CT보다 더 자세한 정보를 보여주며 장기적인 예후에 대한 정보를 추가할 수 있다.[162] 특히 확산성 축삭 손상과 같은 손상 특징을 감지하는 데 CT보다 유용하다.[193] 하지만 MRI는 응급 상황에서는 출혈 및 골절 감지의 상대적 비효율성, 영상 획득 시간이 길다는 점, 기계 내 환자의 접근성 문제, 응급 치료에 사용되는 금속 물체와의 비호환성 등의 이유로 잘 사용되지 않는다.[162] 2012년 이후 MRI의 변형 기술로 고해상도 섬유 추적(HDFT)이 있다.[72]
특정 진단을 확인하기 위해 다른 기술이 사용될 수도 있다. X선은 여전히 두부 외상에 사용되기도 하지만, 증거에 따르면 유용하지 않은 것으로 나타났다. 두부 손상이 너무 경미하여 영상 검사가 필요 없거나, 더 정확한 CT 검사가 필요할 정도로 심각한 경우가 대부분이기 때문이다.[73] 관통성 두부 외상과 같은 위험 요소가 있는 경우 혈관조영술을 사용하여 혈관 병리를 감지할 수 있다.[193] 기능적 영상 검사는 대뇌 혈류 또는 대사를 측정하여 특정 영역의 신경 활동을 추론하고 잠재적으로 예후를 예측하는 데 도움이 될 수 있다.[74]
6. 3. 신경심리학적 검사
장기적인 인지 후유증을 평가하고 재활 계획을 수립하기 위해 신경심리학적 검사를 실시할 수 있다.[165] 이 검사는 인지 기능, 언어 능력, 행동 및 정서 상태 등 다양한 정신 기능을 평가하여 재활 계획 수립에 중요한 정보를 제공한다. 검사 도구는 일반적인 정신 기능을 간략히 측정하는 도구부터, 특정 영역별 검사들로 구성된 종합적인 평가(full battery)까지 다양하다.[75][76]7. 예방

외상성 뇌손상은 다양한 방법을 통해 예방하거나 그 심각성을 줄일 수 있다. 주요 원인으로 꼽히는 교통사고의 경우, 안전벨트 착용, 오토바이 헬멧 사용 의무화, 에어백 설치 등의 조치가 효과적이다.[47][78][173][192] 낙상 사고는 가정 내 안전 설비 강화와 어린이 보호 조치를 통해 예방할 수 있으며,[47] 스포츠 활동 중에는 헬멧과 같은 보호 장비 착용 및 안전 규칙 준수가 중요하다.[192][79][80] 또한, 아동 학대, 특히 영아 흔들림 증후군 예방을 위한 교육[81]과 총기의 안전한 관리[82] 역시 외상성 뇌손상 예방의 중요한 부분이다.
7. 1. 교통사고 예방
외상성 뇌손상의 주요 원인 중 하나가 교통사고이므로, 교통사고 예방 또는 그 결과 완화는 모두 외상성 뇌손상의 발생률과 심각도를 줄일 수 있다. 사고 시 안전벨트, 어린이 안전용 카시트[47] 및 오토바이 헬멧[78] 사용과 롤 바 및 에어백[173] 설치를 통해 피해를 줄일 수 있다. 교통사고 건수를 줄이기 위한 교육 프로그램도 있다.[165] 또한, 속도 제한, 안전벨트 및 헬멧 착용 의무화, 도로 설계 관행 등 공공 정책 및 안전 법규를 변경할 수 있다.[192]7. 2. 낙상 예방
욕실에 손잡이를 설치하고 계단에 난간을 설치하는 것이 낙상 예방에 도움이 된다. 또한, 바닥에 깔린 러그와 같이 걸려 넘어질 위험이 있는 물건을 제거하는 것도 좋다.[47] 어린이의 경우, 계단 위아래에 안전 게이트를 설치하고 창문 보호대를 설치하여 추락 사고를 막을 수 있다.[47] 놀이터 바닥에 멀치나 모래와 같이 충격을 흡수할 수 있는 표면을 까는 것도 머리 부상 예방에 효과적이다.[47]7. 3. 스포츠 안전

스포츠 활동 중 발생하는 외상성 뇌손상을 예방하기 위해 여러 방안이 논의되고 있다.
우선, 헬멧 착용을 늘리는 것은 외상성 뇌손상 발생률을 줄이는 데 도움이 될 수 있다.[192] 예를 들어, 축구 연습 시 반복적인 헤딩이 누적적인 뇌 손상을 유발할 수 있다는 우려가 제기되면서, 선수 보호를 위한 머리 보호 장비 도입이 제안되기도 했다.[79]
스포츠 장비의 설계 개선 역시 안전성 향상에 기여한다. 더 부드러운 야구공을 사용하면 머리 부상 위험을 줄일 수 있다.[80]
또한, 위험한 행동을 금지하는 규칙을 도입하는 것도 중요하다. 미식축구에서 상대 선수의 머리를 향해 먼저 태클하는 행위인 '스피어 태클링'과 같이 위험성이 높은 플레이를 금지하는 규칙은 머리 부상 발생률을 낮추는 효과를 가져올 수 있다.[80]
7. 4. 아동 학대 예방
아동 학대 예방 또한 외상성 뇌손상을 줄이는 중요한 전략이다. 특히 아동을 흔드는 행위의 위험성에 대한 교육을 통해 영아 흔들림 증후군을 예방하는 프로그램이 존재한다.[81]7. 5. 총기 안전
총기 안전, 즉 총기를 비장전 상태로 보관하고 잠그는 것도 외상성 뇌손상을 예방하는 조치 중 하나이다.[82] 미국에서는 총기 접근을 통제하기 위한 법률이 사망자나 부상자 수를 줄이는 데 효과가 있는지에 대한 연구가 진행되었으나, 그 효과를 명확히 판단하기에는 아직 충분하지 않다.[83]8. 치료
외상성 뇌손상(TBI) 발생 후 이른바 "골든타임" 내에 응급 치료를 시작하는 것이 매우 중요하다.[84] 치료는 환자의 회복 단계에 따라 달라지며, 크게 급성기 치료와 만성기 재활 치료로 나눌 수 있다.[141]
급성기에는 환자를 안정시키고 추가적인 뇌 손상을 예방하는 데 중점을 둔다. 외상으로 인한 초기 손상은 되돌릴 수 없기 때문에, 상태 악화를 막는 것이 급선무이다.[141] 중등도에서 중증 손상 환자는 중환자실에서 집중 치료를 받은 후 신경외과 병동으로 옮겨질 수 있다.[141]
의학적으로 안정된 상태가 되면, 아급성기 및 만성기 회복을 위한 재활 치료가 시작된다. 재활은 이 시기 회복의 주요 치료법이며,[141] 환자가 가정과 사회에서 가능한 한 독립적으로 기능하고 장애에 적응하도록 돕는 것을 목표로 한다.[141]
현재 근거에 기반한 국제적인 임상지침이 외상성 뇌손상 치료 결정을 안내하기 위해 제안되어 활용되고 있다.[193]
8. 1. 급성기 치료
뇌 손상 후 이른바 "골든타임" 안에 응급 치료를 시작하는 것이 중요하다.[84] 중등도에서 중증 손상 환자는 중환자실에서 치료받은 후 신경외과 병동으로 옮겨질 가능성이 높다.[141] 급성기 치료는 환자를 안정시키고 추가적인 뇌 손상을 예방하는 데 중점을 둔다. 이는 외상으로 인한 초기 손상은 되돌릴 수 없기 때문이다.[141] 현재 근거에 기반한 국제적인 임상지침이 외상성 뇌손상 치료 결정을 안내하기 위해 제안되었다.[193]두부 손상 후 3시간 이내에 트란엑사믹산을 투여하면 사망 위험을 줄일 수 있다.[85] 초기 조치에는 적절한 치료 시설을 갖춘 병원으로 환자를 신속히 이송하는 것이 포함된다.[67][164] 이송 중과 병원에서는 적절한 산소 공급을 보장하고, 뇌로 가는 혈류를 유지하며, 상승된 두개내압(ICP)을 조절하는 것이 가장 중요하다.[7] 높은 두개내압은 뇌 혈류를 방해하고[175] 치명적인 뇌헤르니아를 유발할 수 있다.[175] 다른 동반 손상을 관리하고 발작을 예방하여 추가적인 손상을 막는 것도 중요하다.[162][165] 일부 연구는 고압산소치료가 결과를 개선할 수 있음을 시사하지만[86], 집중 치료 중 환자의 머리 각도 조절(침대 머리 올림 각도)의 효과에 대해서는 추가 연구가 필요하다.[87]
신경 영상 촬영은 상승된 두개내압을 감지하는 데 도움이 되지만 완벽하지는 않다.[88] 두개내압을 더 정확하게 측정하는 방법은 카테터를 뇌실에 삽입하는 것이다.[65] 이 방법은 뇌척수액을 배출시켜 두개골 내 압력을 낮추는 장점도 있다.[65] 상승된 두개내압 치료는 환자의 침대 머리를 올리고 머리를 똑바로 유지하여 목 정맥을 통한 혈류를 원활하게 하는 것만으로도 효과가 있을 수 있다. 진정제, 진통제, 마비제가 자주 사용된다.[67] 프로포폴과 미다졸람은 진정 효과 면에서 유사하다.[100]
고장액 식염수는 뇌의 부종을 줄여 두개내압을 개선할 수 있지만, 전해질 불균형이나 심부전을 유발할 수 있어 주의해서 사용해야 한다.[193][89][90] 만니톨은 삼투압 이뇨제로[193], 두개내압 감소 효과는 고장액 식염수와 유사한 것으로 나타났다.[91][92][89][93] 그러나 일부 관련 연구의 신뢰성에 대해서는 의문이 제기되기도 했다.[94] 고장액 식염수는 중증 외상성 뇌손상이 있는 어린이에게도 사용될 수 있다.[95]
이뇨제는 소변량을 늘려 체내 과도한 체액을 줄이는 약물로, 높은 두개내압(25 mmHg 이상) 치료에 사용될 수 있지만 저혈량증을 유발할 수 있다.[65] 과호흡은 이산화탄소 수치를 낮추고 혈관을 수축시켜 뇌 혈류와 두개내압을 감소시키지만,[96] 잠재적으로 허혈을 유발할 수 있어[7][65][97] 단기간만 사용한다.[7] 코르티코스테로이드는 사망 위험을 높이므로 일반적으로 권장되지 않는다.[98][99] 마그네슘, 단일아민성 및 도파민 작용제, 프로게스테론, 아미노스테로이드, 흥분성 아미노산 재흡수 억제제, 베타-2 길항제(기관지 확장제), 지혈제, 항섬유소용해제 등은 외상성 뇌손상 치료에 효과가 있다는 강력한 증거가 없다.[100][101][102][103][104]
적절한 산소 공급과 기도 확보를 위해 기관내 삽관 및 인공 호흡이 필요할 수 있다.[165] 외상성 뇌손상에서 치명적인 결과를 초래할 수 있는 저혈압은 정맥 주사액 투여로 정상 혈압을 유지하여 예방한다. 혈압이 낮으면 뇌로 가는 혈류가 부족해질 수 있다.[162] 노르에피네프린 등의 약물을 사용하여 인위적으로 혈압을 높여 뇌 관류를 유지하기도 한다.[105] 체온이 상승하면 뇌의 대사 요구량이 증가하여 영양 부족 상태가 될 수 있으므로 체온을 주의 깊게 조절한다.[106] 발작은 흔하게 발생하며 벤조디아제핀으로 치료할 수 있지만, 호흡 억제나 혈압 저하를 유발할 수 있어 주의해야 한다.[67] 항경련제는 초기 발작 위험을 줄이는 데 유용하다.[100] 페니토인과 레베티라세탐은 초기 발작 예방 효과가 비슷한 것으로 나타났다.[100] 외상성 뇌손상 환자는 부작용에 더 취약하므로 약물 사용에 신중해야 한다.[141] 치료 중에는 의식 수준 저하 등 상태 악화 징후를 지속적으로 감시한다.[193][7]
외상성 뇌손상은 심장 부정맥[107], 신경성 폐부종 등 다양한 합병증을 유발할 수 있으며[108], 이러한 상태는 적절히 치료하고 안정시켜야 한다. 혈종이나 타박상과 같은 종괴가 상당한 질량 효과(두개내 구조의 변위)를 유발하는 경우 응급 수술로 제거한다.[162] 두개내 혈종은 흡인이나 겸자를 이용하거나 세척하여 제거하며, 출혈 혈관을 찾아 지혈한다.[162] 관통성 뇌 손상의 경우 손상된 조직을 외과적으로 제거(데브리드망)하고 개두술이 필요할 수 있다.[162] 두개골 골절 조각이나 뇌에 박힌 이물질을 제거하기 위해 두개골 일부를 제거하는 개두술이 시행될 수 있다.[109] 감압 개두술(DC)은 혈종 제거 수술 시(일차 DC) 또는 수술 후 지속적인 두개내압 상승 조절을 위해(이차 DC) 시행될 수 있다.[112] 이차 DC는 두개내압과 중환자실 체류 기간을 줄일 수 있지만, 표준 치료만 받은 환자에 비해 글래스고 혼수 척도(GCS) 점수가 낮고 사망, 식물 상태 또는 심각한 장애 가능성이 높다는 보고가 있다.[110][111][193][112]
8. 2. 만성기 재활 치료
의학적으로 안정된 상태가 되면 환자는 의료 센터의 아급성 재활 병동이나 독립적인 재활 병원으로 옮겨질 수 있다.[141] 만성기 재활의 목표는 가정과 사회에서의 독립적인 기능 향상과 장애 적응을 돕는 것이다.[141] 외상성 뇌손상 전문 의료 전문가 팀이 실시하는 재활은 그 효과가 입증되었으며,[113] 신경학적 결손이 있는 모든 사람에게 다학제적 접근 방식은 결과를 최적화하는 데 중요하다.재활의학과 의사 또는 신경과 의사가 주요 의료진이 되며, 환자에 따라 다른 의료 분야의 의사들도 참여할 수 있다. 물리치료, 언어치료, 인지 재활 치료, 작업 치료와 같은 의료 관련 직종은 환자의 기능을 평가하고 개별적인 재활 활동을 설계하는 데 필수적이다.[114] 정신신경학적 증상(예: 정서적 고통과 우울증)의 치료에는 정신 건강 전문가(예: 치료사, 심리학자, 정신과 의사)가 참여할 수 있으며, 신경심리학자는 인지 결손을 평가하고 관리하는 데 도움을 줄 수 있다.[141][115] 이 외에도 사회복지사, 재활 지원 인력, 영양사, 치료 레크리에이션 전문가, 약사 등이 재활 팀의 중요한 구성원으로 참여한다.[114]
입원 재활 치료 병동에서 퇴원한 후에는 외래 환자 기반으로 치료를 이어갈 수 있다. 직업 재활을 포함한 지역 사회 기반 재활이 필요한 경우도 많으며, 이러한 지원 고용은 직무 요구 사항과 환자의 능력을 일치시키는 데 중점을 둔다.[116] 독립적으로 또는 가족과 함께 생활하기 어려운 환자는 그룹 홈과 같은 지원 시설에서 치료를 받을 수 있다.[116] 장애인을 위한 데이 케어 센터 및 레저 시설을 포함한 단기 돌봄 서비스는 간병인에게 휴식을 제공하고 환자에게 활동을 제공하는 역할을 한다.[116]
약물 치료는 정신적 또는 행동적 문제를 관리하는 데 도움이 될 수 있으며,[117] 외상 후 간질을 조절하는 데에도 사용된다. 그러나 항경련제의 예방적 사용은 권장되지 않는다.[118] 의식 저하로 거동이 불편하거나, 이동성 문제로 휠체어를 사용해야 하거나, 자기 관리 능력에 심각한 영향을 받는 경우 간병과 간호가 중요하다.
기억력 향상을 위한 중재 방법 중 하나로 활성화 데이터베이스 기반 EEG 바이오피드백 접근 방식이 있으며, 이는 기존의 전략, 컴퓨터, 약물 중재보다 우수한 효과를 보였다는 연구 결과가 있다. 해당 연구에서 치료 후 외상성 뇌손상 환자의 청각 기억 능력은 대조군보다 향상되었다.[55]

외상성 뇌손상으로 인해 경직성 편마비 또는 양측 마비 형태로 다리 마비가 발생한 환자는 다양한 보행 패턴을 보일 수 있다. 이러한 복잡한 보행 패턴을 정확하게 파악하기 위해서는 보행 분석 시스템이 필요하지만, 다학제적 팀 내 의사소통을 원활하게 하기 위해 보행 패턴을 간단하게 설명하는 방법이 유용하다. 뇌성마비 환자를 위해 개발된 암스테르담 보행 분류는 외상성 뇌손상 환자에게도 적용될 수 있다.[119] 이 분류는 다양한 보행 패턴을 쉽게 인식할 수 있게 하며, 한쪽 또는 양쪽 다리에 영향을 받는 환자 모두에게 사용할 수 있다. 보행 패턴 평가는 환자를 시각적으로 관찰하거나 비디오 녹화를 통해 이루어지며, 특정 시점에서의 무릎 각도와 발의 지면 접촉 상태를 기준으로 분류한다.[120]
암스테르담 보행 분류에 따른 보행 패턴은 다음과 같이 5가지 유형으로 나뉜다.[120]
- 유형 1: 무릎 각도 정상, 발 접촉 완전.
- 유형 2: 무릎 각도 과신전, 발 접촉 완전.
- 유형 3: 무릎 각도 과신전, 발 접촉 불완전 (앞발만).
- 유형 4: 무릎 각도 구부러짐, 발 접촉 불완전 (앞발만).
- 유형 5 (웅크린 보행): 무릎 각도 구부러짐, 발 접촉 완전.

보행 패턴 개선을 위해 보조기를 치료에 활용할 수 있다.[121] 보조기는 물리 치료를 보조하여 올바른 운동 감각 입력을 제공하고 새로운 뇌 연결 형성을 도울 수 있다.[122] 보조기는 의료 처방의 요구 사항을 충족해야 하며, 보행 패턴에 맞는 필요한 지렛대 효과를 달성하기 위해 보조기사가 설계해야 하고 물리 치료의 고유 수용성 감각 접근 방식을 지원해야 한다. 보조기 치료 개념은 뇌성마비 환자를 위한 개념을 기반으로 하며,[123] 이러한 요구 사항으로 인해 2010년경부터 보조기 개발이 크게 변화하였다.[124] 현대적인 재료와 새로운 기능 요소를 통해 환자의 보행 패턴 요구 사항에 맞게 강성을 특별히 조정할 수 있다.[125] 강성 조정은 보행 패턴과 보행 에너지 소비에 결정적인 영향을 미치며,[126][127][128] 특히 배측굴곡과 족저굴곡 두 방향의 움직임에 대해 각각 저항을 조절할 수 있는 기능 요소를 갖춘 보조기가 큰 이점을 제공한다.[129]
9. 예후
외상성 뇌손상의 예후는 손상의 심각도에 따라 크게 달라진다.[130] 대부분의 외상성 뇌손상은 경미하여 영구적이거나 장기적인 장애를 유발하지는 않지만, 모든 심각도 수준의 손상에서 심각하고 장기적인 장애가 발생할 가능성은 존재한다.[131] 영구 장애 발생률은 경미한 손상의 경우 약 10%, 중등도 손상의 경우 66%, 심한 손상의 경우 100%로 추정된다.[132]
- 경미한 외상성 뇌손상: 대부분 3주 이내에 완전히 회복된다. 거의 모든 환자가 독립적으로 생활하고 사고 이전의 직업으로 복귀할 수 있지만, 일부는 경미한 인지 및 사회적 장애를 경험하기도 한다.[82]
- 중등도 외상성 뇌손상: 환자의 90% 이상이 독립적으로 생활할 수 있으나, 일부는 신체 능력, 고용, 재정 관리 등에서 지원이 필요할 수 있다.[82]
- 심한 외상성 뇌손상 (폐쇄성): 대부분 사망하거나, 회복하더라도 독립적인 생활이 어려운 경우가 많다. 중간 정도의 회복 상태는 드물다.[193] 혼수 상태는 손상의 심각도와 밀접한 관련이 있으며, 예후가 좋지 않음을 예측하는 강력한 지표이다.[7]
손상의 심각도 외에도 병변의 위치, 즉각적인 전문 응급 치료 접근성 등 여러 요인이 예후에 영향을 미친다.[193] 예를 들어, 지주막하 출혈은 사망률을 약 2배 증가시키며,[133] 경막하 혈종은 더 나쁜 결과 및 사망률 증가와 관련이 있다. 반면, 경막외 혈종 환자는 신속하게 수술을 받으면 좋은 결과를 기대할 수 있다.[165] 심한 경우의 확산성 축삭 손상은 혼수를 동반할 수 있으며 결과가 좋지 않다.[193]
급성기 이후에는 환자의 회복을 돕는 활동 참여가 예후에 큰 영향을 미치는데, 대부분의 환자에게는 전문적이고 집중적인 재활 서비스가 필요하다. 기능적 독립 척도(FIM)는 재활 과정 전반에 걸쳐 환자의 기능적 진행 상황과 독립 정도를 추적하는 데 사용된다.[134]
의학적 합병증 또한 예후를 악화시킬 수 있다. 저혈압, 저산소증(낮은 혈중 산소 포화도), 낮은 뇌혈류압, 그리고 높은 두개내압 상태가 오래 지속되는 경우 등이 예후 불량과 관련이 있다.[193][165]
환자 개개인의 특성도 예후에 영향을 미친다. 약물 남용(마약류, 알코올 등) 경험이 있거나, 연령이 60세 이상 또는 2세 미만인 경우 예후가 더 나쁠 수 있다 (어린이의 경우, 손상 당시 나이가 어릴수록 일부 능력의 회복이 더딜 수 있다).[165] 이 외에도 손상 전 지능 수준, 대처 방식, 성격 특성, 가족 환경, 사회적 지원 시스템, 경제적 상황 등도 회복 과정에 영향을 줄 수 있는 요인들이다.[135]
삶의 만족도는 외상 직후 외상성 뇌손상 환자에게서 감소하는 경향이 있고, 시간이 지남에 따라 삶에서의 역할, 나이, 우울 증상 등이 삶의 만족도 변화에 영향을 미친다는 증거가 있다.[136] 또한 많은 환자들이 급성 손상 이후 신체적 건강 상태가 좋지 않아 일상 활동에 어려움을 겪고 피로감을 더 많이 느낄 수 있다.[137]
10. 합병증
외상성 뇌손상(TBI)은 다양한 유형과 지속 시간을 가지는 신체적, 인지적, 정서적, 행동적 합병증을 유발할 수 있다. 신경 기능의 회복은 일반적으로 외상 후 2년 이상 지속될 수 있으며, 과거에는 초기 6개월 동안 가장 빠른 회복이 이루어진다고 여겨졌으나 이를 뒷받침할 명확한 증거는 부족하다. 이는 생리적 한계보다는 해당 기간 이후 의료 서비스 중단과 관련이 있을 수 있다.[193] 특히 어린이는 초기 단계에서 더 나은 회복을 보이며 회복 기간도 더 길게 나타나는 경향이 있다.[7]
TBI는 혼수 상태, 뇌사, 지속성 식물인간 상태, 최소 의식 상태와 같이 의식에 장기적이거나 영구적인 영향을 미칠 수 있다.[138][139][140] 또한 신체적으로는 장기간 움직이지 못함으로 인한 욕창이나 폐렴, 감염, 혈관 문제, 운동 장애, 외상 후 발작, 감각 기능 변화, 호르몬 장애 등이 발생할 수 있다.[141][162][132][7][144]
인지적으로는 주의력, 기억력, 언어 능력, 실행 기능(계획, 문제 해결 등)의 저하가 나타날 수 있으며,[145][146][141] 경미한 손상 후에도 외상 후 뇌증후군으로 인한 지속적인 어려움을 겪을 수 있다.[7] 반복적인 TBI는 누적 효과를 가져 제2 충격 증후군이나 만성 외상성 뇌병증(CTE)과 같은 심각한 상태로 이어질 위험이 있다.[140][147][148]
정서적, 행동적으로는 불안정, 우울증, 불안, 과민성, 충동성, 사회성 저하, 성격 변화 등이 나타날 수 있으며,[149][150][151][152][153][154] 다양한 정신 질환의 발병 위험을 높이고 자살률을 증가시킬 수도 있다.[155][156]
TBI는 환자 개인뿐만 아니라 가족 시스템에도 상당한 영향을 미친다.[158] 돌봄 부담, 가족 내 역할 변화, 정서적 긴장 등은 가족 구성원 모두에게 스트레스를 유발하며, 이전의 삶으로 돌아가고자 하는 욕구와 현실 사이의 괴리는 어려움을 가중시킨다. 이러한 어려움을 극복하기 위해 정신 교육 및 상담 프로그램이 도움이 될 수 있다.[159]
10. 1. 신체적 합병증

합병증은 외상성 뇌손상(TBI)의 결과로 발생할 수 있는 별개의 의학적 문제이다. 외상성 뇌손상의 결과는 유형과 지속 시간이 매우 다양하며, 신체적, 인지적, 정서적 및 행동적 합병증을 포함한다. TBI는 혼수 상태, 뇌사, 지속성 식물인간 상태(환자가 주변 환경과 상호 작용하기 위한 각성 상태에 도달할 수 없는 상태),[138] 및 최소 의식 상태(환자가 자신이나 환경에 대해 인식하는 최소한의 징후를 보이는 상태)와 같이 의식에 대한 장기적이거나 영구적인 영향을 미칠 수 있다.[139][140]
오랫동안 움직이지 않으면 욕창, 폐렴 또는 기타 감염, 진행성 다발성 장기 부전,[141] 및 심정맥 혈전증(이는 폐색전증을 유발할 수 있음)을 포함한 합병증이 발생할 수 있다.[162] 두개골 골절과 관통상 후에 발생할 수 있는 감염에는 수막염과 농양이 있다.[141] 혈관과 관련된 합병증에는 혈관이 수축되어 혈류를 제한하는 혈관 수축, 혈관 벽이 약해지고 부풀어 오르는 동맥류 형성, 뇌졸중이 포함된다.[141]
TBI 후 발생할 수 있는 운동 장애에는 진전, 운동실조(비조정된 근육 운동), 경직(근육 수축이 과활성화됨), 근간대성 경련(근육의 충격과 같은 수축), 운동 범위 및 조절력 상실(특히 운동 레퍼토리 상실)이 포함된다.[141][142] 외상 후 발작의 위험은 외상의 심각도에 따라 증가하며, 특히 뇌좌상이나 혈종과 같은 특정 유형의 뇌 외상에서 특히 높다.[132] 손상 후 1주일 이내에 발생하는 조기 발작 환자는 외상 후 간질(초기 외상 후 1주일 이상 발생하는 재발성 발작)의 위험이 증가한다.[143] 사람들은 시력, 청력 또는 후각이 상실되거나 변화될 수 있다.[7]
호르몬 장애는 저하뇌하수체증으로 인해 손상 직후 또는 수년 후에 TBI 환자의 10~15%에서 발생할 수 있다. 손상 직후 요붕증이나 전해질 이상이 발생하면 내분비학적 검사가 필요하다. 저하뇌하수체증의 징후와 증상이 발생할 수 있으며, 중등도 TBI 환자와 영상 이상이 있는 경도 TBI 환자에서 선별 검사를 할 수 있다. 중등도에서 중증의 두부 손상을 입은 어린이도 저하뇌하수체증이 발생할 수 있다. 선별 검사는 손상 후 3~6개월과 12개월에 실시해야 하지만, 문제는 더 늦게 발생할 수도 있다.[144]
10. 2. 인지적 합병증
외상성 뇌손상(TBI) 후에는 다양한 인지적 문제가 발생할 수 있다. 대표적인 증상으로는 주의력 저하, 통찰력 및 판단력 저하, 사고 과정의 방해, 정보 처리 속도 감소, 주의 산만 등이 있다.[145] 또한 추상적인 생각을 하거나 계획을 세우고, 문제를 해결하며 여러 작업을 동시에 처리하는 실행 기능에도 결함이 나타날 수 있다.[145]
기억 상실은 TBI 환자에게 가장 흔하게 나타나는 인지 장애로, 폐쇄성 두부 외상 환자의 경우 심각도에 따라 20%에서 79%까지 발생한다.[146] 언어 능력에도 문제가 생길 수 있는데, 말을 하거나 글을 이해하고 표현하는 데 어려움을 겪거나, 신체 언어와 같이 미묘한 의사소통 방식을 이해하는 데 어려움을 겪기도 한다.[141]
경미한 TBI 후에도 두통, 어지러움, 집중력 저하, 우울증과 같은 신체적, 인지적, 정서적, 행동적 문제가 지속되는 경우가 있는데, 이를 외상 후 뇌증후군이라고 한다.[7]
TBI는 반복될 경우 그 영향이 누적될 수 있다.[140] 특히 젊은 사람이 이전 뇌진탕 증상이 완전히 회복되기 전에 다시 뇌진탕을 겪게 되면, 드물지만 매우 위험한 제2 충격 증후군이 발생할 수 있다. 이 증후군은 비교적 가벼운 충격 후에도 뇌가 급격하게 부어올라 심각한 후유증을 남기거나 사망에 이를 수도 있다.
반복적인 뇌 손상은 장기적으로 심각한 문제를 일으킬 수 있다. 프로 권투 선수 중 약 20%는 인지, 행동, 신체적 장애를 유발하는 만성 외상성 뇌병증(CTE, 원문에서는 CTBI로 표기)의 영향을 받는다.[147] CTE의 심각한 형태인 권투 선수 치매는 주로 프로 권투 선수들이 은퇴 후 수년이 지나면서 나타나며, 치매, 기억력 문제, 파킨슨병과 유사한 떨림 및 운동 능력 저하 증상을 보인다.[148]
10. 3. 행동적 및 정서적 합병증
외상성 뇌손상(TBI)은 정서적, 사회적 또는 행동적 문제와 성격 변화를 유발할 수 있다.[149][150][151][152] 여기에는 정서적 불안정, 우울증, 불안, 경조증, 조증, 무관심, 과민성, 사회적 판단 문제 및 대화 능력 저하가 포함될 수 있다.[149][152][153][154] TBI는 강박장애, 약물 남용, 불안정 장애, 임상적 우울증, 양극성 장애 및 불안 장애를 포함한 정신 질환 발병 위험을 높이는 것으로 나타났다.[155] TBI 후 우울증을 겪는 환자의 경우 자살 생각이 드물지 않으며, 이러한 사람들의 자살률은 일반인에 비해 2~3배 증가한다.[156] TBI 후 발생할 수 있는 사회적 및 행동적 증상에는 억제력 상실, 분노 조절 능력 상실, 충동성, 주도성 부족, 부적절한 성행위, 비사회성 및 사회적 위축, 그리고 성격 변화가 포함된다.[149][151][152][157]11. 역학
외상성 뇌손상(Traumatic Brain Injury, TBI)은 전 세계적으로 사망과 장애의 주요 원인으로[160] 심각한 사회적, 경제적, 건강 문제를 야기한다.[193] 이는 혼수상태의 가장 큰 원인이자[161] 외상으로 인한 장애,[165] 그리고 어린이와 청년층 뇌 손상의 주된 원인이기도 하다.[52] 유럽에서는 다른 어떤 원인보다도 더 많은 장애 보정 수명 손실(DALY)을 유발하며,[193] 외상으로 인한 사망의 절반가량에 영향을 미친다.[162]
TBI의 중증도별 발생 빈도는 연구에 사용된 정의와 방법에 따라 다르게 나타난다. 세계 보건 기구(WHO)는 치료받는 두부 손상의 70~90%가 경미하다고 추정하는 반면,[163] 미국 연구에서는 중등도 및 중증 손상이 각각 TBI의 10%를 차지하고 나머지는 경미한 손상이라고 보고했다.[63]
TBI의 발생률은 연령, 성별, 지역 등 다양한 요인에 따라 차이를 보인다.[171] 역학 연구 결과는 중증도 분류 포함 여부, 사망자 포함 여부, 연구 대상(입원 환자 한정 등), 연구 지역 등에 따라 달라질 수 있다.[52] 경미한 TBI의 연간 발생률은 정확히 파악하기 어렵지만, 인구 10만 명당 100명에서 600명 사이일 것으로 추정된다.[192]
미국에서는 TBI 발생 후 30일 이내 사망률이 21%로 추정된다.[164] 이라크 전쟁 참전 군인을 대상으로 한 연구에서는 중증 TBI의 사망률이 30~50%에 달했다.[192] 그러나 현대적인 응급 의료 및 신경외과 서비스를 갖춘 사회에서는 치료법과 외상 관리 시스템의 발전으로 사망률이 감소하는 추세다.[106] 1970년대에는 TBI로 입원한 환자의 거의 절반이 사망했지만, 21세기 초에는 약 4분의 1 수준으로 줄어들었다.[165] 이러한 사망률 감소는 TBI로 인한 장애를 안고 살아가는 인구의 증가로 이어졌다.[166]
생물학적, 임상적, 인구통계학적 요인들이 TBI의 치명률에 영향을 미친다.[168] 또한 손상 원인에 따라서도 결과가 크게 달라진다. 예를 들어, 미국에서는 낙상으로 인한 TBI 환자의 생존율이 89%인 반면, 총기 관련 TBI 환자의 생존율은 9%에 불과하다.[167] 미국에서 치명적인 TBI의 가장 흔한 원인은 총기이며, 차량 사고와 낙상이 그 뒤를 잇는다.[168] 총기 관련 사망의 약 75%는 자살로 분류된다.[168]
전 세계적으로 TBI 발생률은 증가하는 추세인데, 특히 저소득 및 중간 소득 국가에서 자동차 이용이 늘어난 것이 주요 원인으로 꼽힌다.[193] 이들 국가에서는 안전 인프라 구축 속도가 자동차 보급 속도를 따라가지 못하고 있다.[192] 반면, 고소득 국가에서는 차량 안전 규제 강화 등으로 TBI 발생률이 감소했으며, 특히 1970년대 이후 교통사고 관련 TBI가 줄어들었다.[193] 국가별 연간 TBI 발생률은 다음과 같이 추정된다.
미국에서는 매년 약 200만 명이 TBI를 경험하고,[169] 약 67만 5천 건이 응급실에서 치료받으며,[170] 약 50만 명이 입원하는 것으로 알려져 있다.[171]
TBI는 외상을 입은 어린이의 85%에서 단독 혹은 다른 부상과 함께 발생한다.[172] 연령별로는 15세에서 24세 사이에서 발생률이 가장 높다.[9][173] 젊은 층에서 TBI가 흔하게 발생하기 때문에, 사망이나 장애로 인한 생산 가능 인구의 손실은 사회적으로 큰 비용을 초래한다.[193] TBI 위험이 가장 높은 연령대는 5~9세 어린이와 80세 이상 노인이며,[130] TBI로 인한 사망 및 입원율은 65세 이상에서 가장 높다.[131] 선진국에서는 인구 고령화와 함께 낙상 관련 TBI 발생이 증가하면서, TBI 환자의 중앙값 연령도 높아지는 추세다.[193]
성별에 따른 차이도 뚜렷하다. 모든 연령대에서 남성의 TBI 발생률이 여성보다 높다.[173] 남성은 여성보다 TBI를 경험할 확률이 2배 높고, 치명적인 두부 손상을 입을 위험은 4배나 높다.[130] 또한 아동 및 청소년기 두부 외상의 약 3분의 2가 남성에게서 발생한다.[174] 그러나 부상의 심각도를 동일하게 고려했을 경우, 여성이 남성보다 예후가 더 좋지 않다는 연구 결과도 있다.[175]
사회경제적 지위 역시 TBI 발생 위험과 관련이 있다. 교육 수준이나 고용 상태가 불안정하고 사회경제적 지위가 낮은 집단에서 TBI 위험이 더 높은 것으로 나타났다.[52] 미국의 경우, 교도소 수감자의 약 절반이 과거 TBI를 경험한 적이 있다는 보고도 있다.[176]
TBI의 주요 원인으로는 교통사고나 낙상 등이 흔하지만,[219] 미국에서는 군인들이 전투 중 입는 부상, 특히 즉석 폭발물(IED)로 인한 TBI가 문제로 부각되었다. 1990년대 이후 비대칭 전쟁에서 사용되기 시작한 IED는 강력한 폭풍압을 유발하여, 폭발 당시 외상이 없어 보여도 심각한 TBI를 초래하는 경우가 많다.[220] 이로 인해 이라크 전쟁 등에서 복귀한 군인들 중 기억 장애나 보행 장애 등을 겪는 사례가 증가하자, 미국 정부는 2009년 진단 기준을 개정했으며, 2001년부터 2009년 10월까지 약 14만 명의 군인이 관련 부상을 입었다고 발표했다.[221]
12. 역사

두부 손상은 기록된 역사 이전으로 거슬러 올라가는 고대 신화에도 등장한다.[177] 고대 전장에서 발견된 두개골에는 골절선 위에 구멍이 뚫려 있는 경우가 있는데, 이는 두개천공술이 고대에 두부 외상을 치료하는 데 사용되었을 가능성을 시사한다.[178] 고대 메소포타미아 사람들은 두부 손상과 그로 인한 영향(예: 발작, 마비, 시각·청각·언어 능력 상실)을 인지하고 있었다.[179] 기원전 1650년에서 1550년경에 쓰여진 것으로 추정되는 에드윈 스미스 파피루스는 다양한 종류의 두부 손상과 그 증상들을 상세히 설명하고, 상태와 치료 가능성에 따라 분류했다.[180] 고대 그리스의 의사들, 특히 히포크라테스는 두부 외상의 영향을 관찰하면서 뇌가 사고의 중심이라는 사실을 이해하기 시작했다.[181]
중세와 르네상스 시대에도 외과 의사들은 두부 손상 치료를 위해 두개천공술을 계속 시행했다.[181] 이 시기 의사들은 두부 손상 증상을 더욱 자세하게 기록했으며, "뇌진탕"이라는 용어가 점차 널리 사용되기 시작했다.[182] 뇌진탕의 증상은 16세기 베렌가리오 다 카르피에 의해 처음으로 체계적으로 기술되었다.[181]
18세기에는 두부 외상 후 나타나는 문제의 원인이 두개골 자체의 손상보다는 두개내압 상승 때문이라는 주장이 처음으로 제기되었다. 이 가설은 19세기 말에 이르러 확인되었고, 높아진 압력을 완화하기 위해 두개골을 여는 수술적 치료법이 제안되었다.[178]
19세기에는 두부 외상이 정신병 발병과 관련될 수 있다는 사실이 알려지기 시작했다.[183] 또한, 외상 후 뇌진탕 증후군의 원인이 뇌 조직의 물리적 손상 때문인지, 아니면 심리적인 요인 때문인지에 대한 논쟁이 시작되었는데, 이 논쟁은 오늘날까지도 이어지고 있다.[182] 뇌 손상 후 인격 변화에 대한 최초의 유명한 보고 사례는 피니어스 게이지의 경우이다. 그는 작업 중 큰 쇠막대가 머리를 관통하는 심각한 사고를 당했지만 기적적으로 생존했다. 그러나 이 사고로 전두엽의 일부 또는 전부가 손상되면서 심각한 인격 변화를 겪었다. 이후 뇌 손상으로 인한 인격 변화 사례는 다수 보고되었다.[24][26][27][34][35][39][184][185]
20세기에 들어서는 CT나 MRI와 같은 영상 진단 기술이 개발되면서 외상성 뇌손상의 진단과 치료가 크게 발전했다. 21세기에는 확산텐서영상(DTI) 기술까지 등장했다. 특히 1950년대에 두개내압 모니터링 기술이 도입된 것은 두부 손상 치료의 "현대 시대"가 시작된 기점으로 여겨진다.[106][186] 20세기 이전까지 두부 외상의 사망률은 매우 높았고 재활 치료는 거의 이루어지지 않았으나, 제1차 세계 대전 중 치료법이 개선되면서 사망률이 감소하고 재활의 가능성이 열렸다.[177] 두부 외상 환자를 위한 전문 재활 시설도 제1차 세계 대전 중에 처음 설립된 것으로 추정된다.[177] 또한, 제1차 세계 대전에서 사용된 폭발물은 많은 폭발성 손상을 야기했는데, 이를 통해 발생한 다수의 두부 외상 사례는 연구자들이 뇌 기능의 국소화에 대해 더 깊이 이해하는 계기가 되었다.[187] 최근 이라크와 아프가니스탄 전쟁에 참전했던 군인들 사이에서 폭발 관련 뇌손상이 흔한 문제로 나타나고 있으며, 연구에 따르면 이러한 폭발 관련 뇌손상의 증상은 머리에 직접적인 물리적 충격을 받은 경우와 매우 유사한 것으로 나타났다.[188]
1970년대에는 외상성 뇌손상이 중요한 공중 보건 문제로 인식되기 시작했으며,[189] 이후 일차 및 이차 뇌 손상의 개념 발견과 같이 뇌 외상 연구 분야에서 많은 진전이 이루어졌다.[178] 1990년대에는 약물 치료 및 두개내압 관리 등 다양한 측면에 대한 표준화된 치료 지침이 개발되고 보급되었다.[106] 이러한 노력 덕분에 1990년대 초 이후 외상성 뇌손상 환자의 생존율은 꾸준히 향상되었다.[178] 이 시기는 뇌 연구 분야의 괄목할 만한 발전으로 인해 "뇌의 10년"으로 불리기도 한다.[190]
외상성 뇌손상의 주요 원인으로는 교통사고나 계단에서의 추락과 같은 사고가 대부분을 차지한다.[219] 하지만 미국 등에서는 군인이 전투 중에 부상을 입는 사례도 중요한 원인으로 꼽힌다. 특히 1990년대 이후의 비대칭 전쟁에서는 지뢰나 휴대용 소형 미사일을 개조한 즉석 폭발물(IED) 사용이 늘어났는데, 이 폭발물은 강력한 폭풍을 일으켜 겉보기에는 부상이 없어 보여도 나중에 심각한 외상성 뇌손상으로 진단되는 경우가 증가했다.[220] 이러한 군인들이 귀환 후 기억 장애나 보행 장애 등으로 고통받는 사례가 늘어나자, 미국 정부는 2009년에 진단 기준을 변경했으며, 2001년부터 2009년 10월까지 약 14만 명의 군인이 외상성 뇌손상을 입었다는 통계를 발표하기도 했다.[221]
13. 연구 동향
정량 뇌파 및 특정 패턴이 없는 뇌파(EEG)는 연구 환경에서 경미한 외상성 뇌손상(TBI)과 외상성 뇌손상이 없는 경우를 구분하는 데 사용된다.[191]
2008년 기준으로, 초기 손상(일차 및 이차 손상)의 진행을 멈추게 하는 약물은 승인된 것이 없다.[192] 다양한 병리학적 사건들은 손상 과정을 방해하는 치료법을 찾기 위한 연구 기회를 제공한다.[193] 두개골 내압 증가를 치료하기 위해 혈관수축제인 인도메타신을 사용할 수 있는지 확인하기 위한 추가 연구가 필요하다.[194] 흥분독성과 같은 신경화학적 연쇄반응을 멈추기 위한 NMDA 수용체 길항제와 같은 신경 보호 약물은 동물실험에서는 효과를 보였지만, 사람을 대상으로 한 임상 시험에서는 대부분 실패했다.[106][193] 이러한 실패는 시험 설계의 문제나, 이차 손상에 관여하는 복잡한 과정을 단일 약물만으로 막기에는 한계가 있기 때문일 수 있다.[106] 다른 연구 주제로는 만니톨,[92] 덱사메타손,[195] 바르비투르산염,[196] 마그네슘(아직 강력한 증거는 없음),[197] 칼슘 채널 차단제[198] 등이 있다.
저체온 요법은 한때 신경보호 효과가 기대되었으나, 2020년 코크란 검토에서는 유용성을 판단할 충분한 증거가 없다고 결론지었다.[199] 오히려 TBI 발생 직후 정상 체온을 유지하는 것이 도움이 되는 것으로 나타났다.[200] 표적 체온 관리(정상보다 낮은 체온 유지)의 효과에 대해서는 성인에게 유용하다는 연구[201]와 유용하지 않다는 연구[202][200]가 모두 존재하여 아직 명확한 결론은 없다.
뇌 손상 상태를 모니터링하고 연구를 돕기 위한 여러 장치들이 개발 및 사용되고 있다. 미세투석 기법은 뇌 세포 주변의 액체를 지속적으로 채취하여 글루코스, 글리세롤, 글루탐산 등 허혈이나 뇌 대사 상태를 보여주는 물질들을 분석하는 데 사용된다.[203][204] 미국에서는 Licox나 Neurovent-PTO와 같은 뇌 조직 산소 모니터링 시스템이 신경 집중 치료실에서 활용되고 있으며,[205] 비침습적인 방식의 CerOx 모델도 개발 중이다.[206] 두개내압 반응 지수는 두개내압과 동맥혈압의 상관관계를 분석하여 뇌 혈류 상태 정보를 제공하고 치료 방향 설정에 도움을 줄 수 있다.[212] 그러나 두개내압이 20mmHg 이하일 때 이 지수를 모니터링하는 것이 기존의 영상 및 임상 검사보다 생존 기간 연장이나 기능 유지 측면에서 더 나은 결과를 보인다는 증거는 아직 부족하다.[213]
또한, TBI 환자의 예후와 관련된 요인을 명확히 하고, 어떤 상황에서 CT 스캔이나 수술적 치료를 시행하는 것이 가장 효과적인지 결정하기 위한 연구도 계획되어 있다.[207]
고압 산소 치료는 TBI 이후 추가적인 치료법으로 평가되었으나, 2012년 코크란 체계적 검토에서는 TBI 회복 중인 환자에게 고압 산소 치료를 일상적으로 사용하는 것을 정당화할 근거가 부족하다고 밝혔다.[208] 해당 검토에서는 당시 시행된 무작위 대조 시험의 수가 적고, 방법론적 문제나 부실한 보고 등의 한계가 있음을 지적했다.[208] TBI에 대한 고압 산소 치료의 효과는 여전히 논란의 여지가 있으며, 그 역할을 명확히 하기 위해서는 추가적인 연구가 필요하다.[209][208]
TBI 이후 발생할 수 있는 우울증에 대해, 소아/청소년 및 성인 환자를 대상으로 비약물적 치료 접근법의 효과를 확인하기 위한 추가 연구가 필요하다.[210]
경도 TBI를 진단하기 위한 방법으로, 2010년대에는 예측 시각 추적 측정을 활용하는 연구가 진행되었다. 이 방법은 헤드 마운트 디스플레이와 안구 추적 장치를 사용하여 규칙적으로 움직이는 물체를 보여주고, 피험자가 얼마나 잘 따라가는지를 평가한다. 정상적인 경우 매끄러운 추적 안구 운동을 통해 물체를 따라가지만, 경도 TBI 환자는 주의력과 작업 기억 능력 저하로 인해 이를 수행하는 데 어려움을 겪을 수 있다. 연구자들은 뇌 손상이 있는 경우 움직이는 목표물에 대한 시선 추적에서 오류가 나타나는지를 확인하고자 했다.[211]
동물 TBI 모델을 이용한 감각 처리 연구에서는 TBI 이후 체계적인 감각 처리 결함이 발생하며, 시간이 지나면서 서서히 회복되지만 완전한 회복은 어려울 수 있다는 점이 밝혀졌다.[214] 특히, 뇌의 상위 대뇌피질 층에서 활동이 감소하는 현상이 초기에 나타나는 특징으로 관찰되었으며,[215][216] 규칙적인 감각 자극에 대한 반응 패턴에서도 특정 시기 효과가 나타나는 것으로 보고되었다.[217]
참조
[1]
서적
Diffusion MRI
https://books.google[...]
Oxford University Press
2010
[2]
웹사이트
TBI: Get the Facts
https://www.cdc.gov/[...]
2019-03-11
[3]
웹사이트
Traumatic Brain Injury
https://medlineplus.[...]
2019-05-28
[4]
논문
The American Congress of Rehabilitation Medicine Diagnostic Criteria for Mild Traumatic Brain Injury
https://pure.rug.nl/[...]
2023-05-19
[5]
웹사이트
Basic Information about Traumatic Brain Injury {{!}} Concussion {{!}} Traumatic Brain Injury {{!}} CDC Injury Center
https://www.cdc.gov/[...]
2020-07-21
[6]
웹사이트
Prevention
https://www.cdc.gov/[...]
2019-03-04
[7]
논문
Traumatic brain injury
[8]
서적
Communication Disorders Following Traumatic Brain Injury
Psychology Press
[9]
서적
Occupational Therapy and Physical Dysfunction: Principles, Skills and Practice
Churchill Livingstone
[10]
논문
Care of the critically ill patient with penetrating head injury
2006-09
[11]
논문
Epidemiology of head injury
1998-05
[12]
서적
The Practice of Forensic Neuropsychology: Meeting Challenges in the Courtroom
Plenum Press
[13]
참조
LaPlaca et al.
[14]
서적
Neurotrauma: New Insights Into Pathology and Treatment
https://books.google[...]
Academic Press
[15]
논문
Classification of traumatic brain injury for targeted therapies
2008-07
[16]
참조
Marion
[17]
서적
Fundamentals of Diagnostic Radiology
Lippincott, Williams & Wilkins
[18]
논문
Diffuse axonal injury in head trauma
[19]
참조
Granacher
[20]
논문
White matter integrity and cognition in chronic traumatic brain injury: a diffusion tensor imaging study
2007-10
[21]
논문
Serial changes in the white matter diffusion tensor imaging metrics in moderate traumatic brain injury and correlation with neuro-cognitive function
2009-04
[22]
서적
Accidental Injury: Biomechanics and Prevention
https://books.google[...]
Springer
[23]
서적
Mild Traumatic Brain Injury and Postconcussion Syndrome: The New Evidence Base for Diagnosis and Treatment
Oxford University Press
[24]
논문
Frontal lobe dysfunction following closed head injury. A review of the literature
1990-05
[25]
논문
Deformation of the human brain induced by mild acceleration
2005-08
[26]
논문
Frontal-subcortical circuits and human behavior
1993-08
[27]
논문
TASIT: A new clinical tool for assessing social perception after traumatic brain injury
[28]
논문
Traumatic aphasia in children and adults: a comparison of clinical features and evolution
1990-12
[29]
논문
Language and motor disorders after penetrating head injury in Viet Nam
1980-12
[30]
서적
Brain Injury Medicine: Principles and Practice
Demos Medical Publishing
[31]
서적
Textbook of Traumatic Brain Injury
https://archive.org/[...]
American Psychiatric Association
[32]
웹사이트
NINDS Traumatic Brain Injury Information Page
http://www.ninds.nih[...]
National Institute of Neurological Disorders and Stroke
2008-10-27
[33]
논문
Mild traumatic brain injury: toward understanding manifestations and treatment
[34]
논문
Frontal lobe contributions to theory of mind
1998-09
[35]
논문
Agitation, aggression, and disinhibition syndromes after traumatic brain injury
[36]
논문
The components of executive functioning in traumatic brain injury
2005-11-01
[37]
논문
Functional outcome 10 years after traumatic brain injury: its relationship with demographic, injury severity, and cognitive and emotional status
2008-03-01
[38]
논문
Alexithymia and emotional empathy following traumatic brain injury
2010-03-01
[39]
논문
Neuropsychological impairments and changes in emotional and social behaviour following severe traumatic brain injury
2003-04-01
[40]
논문
The relative importance of metacognitive skills, emotional status, and executive function in psychosocial adjustment following acquired brain injury
[41]
논문
Treatment efficacy of social communication skills training after traumatic brain injury: a randomized treatment and deferred treatment controlled trial
2007-12-01
[42]
웹사이트
Signs and Symptoms
https://www.cdc.gov/[...]
Centers for Disease Control and Prevention, National Center for Injury Prevention and Control
2007-07-07
[43]
간행물
January 2006 Update: Traumatic Brain Injury in the United States: Emergency Department Visits, Hospitalizations, and Deaths
https://www.cdc.gov/[...]
Centers for Disease Control and Prevention
2008-01-15
[44]
웹사이트
Traumatic Brain Injury in the United States: Emergency Department Visits, Hospitalizations, and Deaths, 2002–2006
https://www.cdc.gov/[...]
National Center for Injury Prevention and Control, Centers for Disease Control and Prevention.
[45]
서적
Neurotrauma: New Insights Into Pathology and Treatment
Academic Press
[46]
웹사이트
Get the Facts About TBI {{!}} Concussion {{!}} Traumatic Brain Injury {{!}} CDC Injury Center
https://www.cdc.gov/[...]
2023-04-20
[47]
웹사이트
Traumatic brain injury
https://www.cdc.gov/[...]
Centers for Disease Control and Prevention, National Center for Injury Prevention and Control
[48]
논문
Granacher
[49]
서적
Trauma
McGraw-Hill, Medical Pub. Division
[50]
논문
Mild traumatic brain injury: an update for advanced practice nurses
2007-02-01
[51]
논문
A systematic review of treatments for mild traumatic brain injury
2005-10-01
[52]
서적
Neuropsychological Assessment
Oxford University Press
[53]
논문
Injuries from explosions: physics, biophysics, pathology, and required research focus
http://www.dtic.mil/[...]
2009-05-01
[54]
웹사이트
Pentagon Told Congress It's Studying Brain-Damage Therapy
https://www.propubli[...]
ProPublica
2010-12-23
[55]
논문
Efficacy of traumatic brain injury rehabilitation: interventions of QEEG-guided biofeedback, computers, strategies, and medications
2008-06-01
[56]
논문
Traumatic brain injury rehabilitation: QEEG biofeedback treatment protocols
2009-03-01
[57]
논문
Shaken baby syndrome: rotational cranial injuries-technical report
2001-07-01
[58]
논문
The neurophysiology of concussion
2002-07-01
[59]
논문
Acceleration-deceleration injuries to the brain in blunt force trauma
1998-06-01
[60]
논문
Concussions: Assessment, management, and recommendations for return to activity
[61]
논문
Rapid progression of traumatic bifrontal contusions to transtentorial herniation: A case report
2008-10-01
[62]
논문
Epidemiology of trauma deaths: a reassessment
1995-02-01
[63]
논문
Clinical trials in head injury
2002-05-01
[64]
서적
Head Trauma: Basic, Preclinical, and Clinical Directions
John Wiley and Sons, Inc.
[65]
논문
Traumatic brain injury
2000-09-01
[66]
서적
Neurotrauma: Evidence-based Answers to Common Questions
Thieme
[67]
서적
Trauma
McGraw-Hill, Medical Pub. Division
[68]
논문
Evidence-based emergency medicine/systematic review abstract. Mannitol for traumatic brain injury: searching for the evidence
2008-09-01
[69]
논문
The DSM-5 approach to the evaluation of traumatic brain injury and its neuropsychiatric sequelae
2014-01-01
[70]
논문
DSM-5 and neurocognitive disorders
http://jaapl.org/con[...]
2014-06-01
[71]
웹사이트
The DSM-5 Approach to Evaluating Traumatic Brain Injury
https://www.hsrd.res[...]
2019-11-05
[72]
웹사이트
University Times ' Research Notes
http://www.utimes.pi[...]
University of Pittsburgh
2012-03-22
[73]
서적
Fundamentals of Diagnostic Radiology
Lippincott, Williams & Wilkins
[74]
학술지
Imaging after brain injury
2007-07
[75]
서적
Evaluation of the Disability Determination Process for Traumatic Brain Injury in Veterans
National Academies Press (US)
2019-04-10
[76]
학술지
Traumatic Brain Injury: What to Know About Symptoms, Diagnosis, and Treatment
https://www.fda.gov/[...]
2021-08-23
[77]
잡지
Mit dem Kopf durch die Wand (With the Head Through the Wall)
http://www.spiegel.d[...]
2016-03-26
[78]
학술지
Helmets for preventing injury in motorcycle riders
2008-01
[79]
학술지
Brain injury and heading in soccer
2003-08
[80]
학술지
Preventing head and neck injury
2005-06
[81]
서적
Textbook of Traumatic Brain Injury
https://archive.org/[...]
American Psychiatric Association
[82]
학술지
Traumatic brain injury: a review of practice management and recent advances
2007-11
[83]
학술지
Firearms laws and the reduction of violence: a systematic review
2005-02
[84]
뉴스
Dealing with Brain Injuries
https://web.archive.[...]
Time Magazine
2009-04-06
[85]
학술지
Efficacy of tranexamic acid in patients with traumatic brain injury
[86]
학술지
Hyperbaric oxygen therapy for the treatment of traumatic brain injury: a meta-analysis
2016-05
[87]
학술지
Elevation of the head during intensive care management in people with severe traumatic brain injury
2017-12
[88]
학술지
Surgical management of head trauma
2002-05
[89]
학술지
A Systematic Review of Randomized Controlled Trials Comparing Hypertonic Sodium Solutions and Mannitol for Traumatic Brain Injury: Implications for Emergency Department Management
2016-04
[90]
학술지
Hypotonic vs isotonic saline solutions for intravenous fluid management of acute infections
2004
[91]
학술지
Salt or sugar for your injured brain? A meta-analysis of randomised controlled trials of mannitol versus hypertonic sodium solutions to manage raised intracranial pressure in traumatic brain injury
2014-08
[92]
학술지
Mannitol for acute traumatic brain injury
2013-08
[93]
학술지
Hypertonic saline versus other intracranial pressure-lowering agents for people with acute traumatic brain injury
2020-01
[94]
학술지
Doubts over head injury studies
2007-02
[95]
학술지
Guidelines for the Acute Medical Management of Severe Traumatic Brain Injury in Infants, Children, and Adolescents-Second Edition
http://journals.lww.[...]
2012-01
[96]
학술지
Hyperventilation therapy for acute traumatic brain injury
2000
[97]
학술지
Incidence of hypo- and hypercarbia in severe traumatic brain injury before and after 2003 pediatric guidelines
2008-03
[98]
학술지
Corticosteroids for acute traumatic brain injury
2005-01
[99]
서적
International Trauma Life Support for Emergency Care Providers
Pearson
2018
[100]
학술지
Pharmacological interventions in traumatic brain injury: Can we rely on systematic reviews for evidence?
2016-03
[101]
학술지
Aminosteroids for acute traumatic brain injury
2000
[102]
학술지
Beta-2 receptor antagonists for acute traumatic brain injury
2008-01
[103]
학술지
Excitatory amino acid inhibitors for traumatic brain injury
2004
[104]
학술지
Monoaminergic agonists for acute traumatic brain injury
2006-10
[105]
서적
Roger's Textbook of Pediatric Intensive Care
Lippincott Williams & Wilkins
[106]
논문
Head injury: recent past, present, and future
2000-09-01
[107]
서적
Neurocritical care : a guide to practical management
https://archive.org/[...]
Springer
[108]
논문
Neurogenic pulmonary oedema
[109]
서적
Strategies for Managing Multisystem Disorders
https://books.google[...]
Lippincott Williams & Wilkins
[110]
논문
Decompressive craniectomy in diffuse traumatic brain injury
https://espace.libra[...]
2011-04-01
[111]
논문
Guidelines for the Management of Severe Traumatic Brain Injury, Fourth Edition
2017-01-01
[112]
서적
Acute Brain and Spinal Cord Injury: Evolving Paradigms and Management
https://archive.org/[...]
Informa Health Care
[113]
논문
Multi-disciplinary rehabilitation for acquired brain injury in adults of working age
2015-12-01
[114]
웹사이트
Clinical Practice Guideline for the Rehabilitation of Adults with Modarate to Severe Traumatic Brain Injury
https://braininjuryg[...]
2015-01-01
[115]
논문
Psychological treatment for anxiety in people with traumatic brain injury
2007-07-01
[116]
서적
Neurobehavioural Disability and Social Handicap Following Traumatic Brain Injury
Psychology Press
[117]
논문
The role of pharmacotherapy in the management of behaviour disorders in traumatic brain injury patients
2004-01-01
[118]
논문
Post-traumatic epilepsy: an overview
2006-07-01
[119]
논문
Classification of gait patterns in spastic hemiplegia and spastic diplegia: a basis for a management algorithm
2001-11-01
[120]
논문
Geh-Orthesen bei Kindern mit Cerebralparese
[121]
서적
Assessment and orthotic management of gait dysfunction in individuals with brain injury
https://musculoskele[...]
Mosby Elsevier
2008-01-01
[122]
서적
Motorisches Strategietraining und PNF
Renata Horst
[123]
서적
Orthoses for cerebral palsy
https://musculoskele[...]
[124]
논문
The new generation of AFOs
https://www.opedge.c[...]
2018-01-01
[125]
논문
An individual approach for optimizing ankle-foot orthoses to improve mobility in children with spastic cerebral palsy walking with excessive knee flexion
2016-05-01
[126]
논문
The effect of ankle foot orthosis stiffness on trunk movement and walking energy cost in cerebral palsy
http://dx.doi.org/10[...]
2016-01-01
[127]
논문
Ankle foot orthoses in cerebral palsy: Effects of ankle stiffness on trunk kinematics, gait stability and energy cost of walking
http://resolver.tude[...]
2020-05-01
[128]
논문
Modifying ankle foot orthosis stiffness in patients with calf muscle weakness: gait responses on group and individual level
2019-10-01
[129]
논문
Stiffness modification of two ankle-foot orthosis types to optimize gait in individuals with non-spastic calf muscle weakness - a proof-of-concept study
2019-01-01
[130]
논문
Neuropsychiatric sequelae of traumatic brain injury
[131]
논문
Congenital and acquired brain injury. 1. Epidemiology, pathophysiology, prognostication, innovative treatments, and prevention
2008-03-01
[132]
논문
Epidemiology of posttraumatic epilepsy: a critical review
[133]
논문
Traumatic subarachnoid hemorrhage: our current understanding and its evolution over the past half century
2006-06-01
[134]
논문
Ability of Functional Independence Measure to accurately predict functional outcome of stroke-specific population: systematic review
[135]
서적
Bradley's neurology in clinical practice.
Elsevier/Saunders
[136]
논문
Trajectories of life satisfaction after traumatic brain injury: Influence of life roles, age, cognitive disability, and depressive symptoms
2015-11-01
[137]
논문
Fitness training for cardiorespiratory conditioning after traumatic brain injury
2017-12-01
[138]
백과사전
Persistent vegetative state
[139]
논문
Developing prosthetics to treat cognitive disabilities resulting from acquired brain injuries
2002-03-01
[140]
논문
Congenital and acquired brain injury. 3. Spectrum of the acquired brain injury population
2008-03-01
[141]
웹사이트
Traumatic brain injury: Hope through research
http://www.ninds.nih[...]
NIH Publication No. 02-2478. National Institute of Neurological Disorders and Stroke, National Institutes of Health
2002-02-01
[142]
논문
Interventions for managing skeletal muscle spasticity following traumatic brain injury
2017-11-01
[143]
논문
[Preventive prophylactic treatment in posttraumatic epilepsy]
[144]
논문
Should every patient with traumatic brain injury be referred to an endocrinologist?
2007-04-01
[145]
서적
Textbook of Traumatic Brain Injury
https://archive.org/[...]
American Psychiatric Association
[146]
논문
Definition, diagnosis, and forensic implications of postconcussional syndrome
[147]
논문
Chronic traumatic brain injury associated with boxing
[148]
논문
The neuropsychiatric aspects of boxing
[149]
논문
Long-term outcome following traumatic brain injury: a comparison of subjective reports by those injured and their relatives
2009-10-01
[150]
논문
Long-term consequences of traumatic brain injury
[151]
논문
Social functioning after traumatic brain injury
[152]
논문
Profiles of emotional and behavioral sequelae following acquired brain injury: cluster analysis of the Personality Assessment Inventory
2010-07-01
[153]
논문
Group interactive structured treatment (GIST): a social competence intervention for individuals with brain injury
[154]
논문
Interventions for apathy after traumatic brain injury
2009-04-01
[155]
논문
Long-term psychiatric outcomes following traumatic brain injury: a review of the literature
[156]
논문
Neuropsychiatric effects of traumatic brain injury
http://www.psychiatr[...]
[157]
논문
Capture by misleading information and its false acceptance in patients with traumatic brain injury
2006-01-01
[158]
논문
A preliminary investigation of the brain injury family intervention: impact on family members
2009-06-01
[159]
논문
A structured approach to family intervention after brain injury
2002-08-01
[160]
서적
Brain injury
Kluwer Academic Publishers
[161]
사전
Coma
[162]
서적
Trauma
McGraw-Hill, Medical Pub. Division
[163]
논문
Incidence, risk factors and prevention of mild traumatic brain injury: results of the WHO Collaborating Centre Task Force on Mild Traumatic Brain Injury
2004-02-01
[164]
논문
Congenital and acquired brain injury. 1. Brain injury: epidemiology and pathophysiology
2003-03-01
[165]
논문
Traumatic brain injury outcome: concepts for emergency care
2001-03-01
[166]
서적
Rehabilitation for Traumatic Brain Injury
DIANE
[167]
웹사이트
Initial evaluation and management of CNS injury
http://www.emedicine[...]
2005-02-04
[168]
논문
Epidemiology of traumatic brain injury and subarachnoid hemorrhage
[169]
웹사이트
DoD/VA CODE PROPOSAL FINAL—508 COMPLIANT
https://www.cdc.gov/[...]
[170]
간행물
Emergency Department Transfers to Acute Care Facilities 2009
http://hcup-us.ahrq.[...]
Agency for Healthcare Research and Quality
2013-05-01
[171]
논문
Epilepsy after head injury
2004-12-01
[172]
논문
Severe traumatic brain injury in children
2004-02-01
[173]
논문
Pathology of head trauma
2002-05-01
[174]
논문
The prevalence, course and clinical features of post-concussion syndrome in children
http://medicina.kmu.[...]
[175]
논문
Traumatic brain injury: assessment, resuscitation and early management
2007-07-01
[176]
웹사이트
An Unrecognized Problem
https://www.cdc.gov/[...]
2019-10-13
[177]
간행물
Boake and Diller
[178]
간행물
Granacher
[179]
서적
Diagnoses in Assyrian and Babylonian Medicine: Ancient Sources, Translations, and Modern Medical Analyses
https://books.google[...]
University of Illinois Press
[180]
학술지
Decision making in head injury management in the Edwin Smith Papyrus
[181]
서적
Neurobehavioral Consequences of Closed Head Injury
https://archive.org/[...]
Oxford University Press
[182]
서적
Sports Neuropsychology: Assessment and Management of Traumatic Brain Injury
The Guilford Press
[183]
서적
Textbook of Traumatic Brain Injury
American Psychiatric Association
[184]
학술지
Severe disturbance of higher cognition after bilateral frontal lobe ablation: patient EVR
1985-12
[185]
서적
Neurology of Cognitive and Behavioral Disorders
Oxford University Press
[186]
간행물
Marion
[187]
학술지
Shell shock and mild traumatic brain injury: a historical review
2007-11
[188]
학술지
Cognitive sequelae of blast-related versus other mechanisms of brain trauma
2009-01
[189]
간행물
Boake and Diller
[190]
웹사이트
Project on the Decade of the Brain
https://www.loc.gov/[...]
1990-07
[191]
학술지
The Role of Quantitative EEG in the Diagnosis of Neuropsychiatric Disorders.
[192]
학술지
Traumatic brain injury: can the consequences be stopped?
2008-04
[193]
학술지
Moderate and severe traumatic brain injury in adults
2008-08
[194]
학술지
Indomethacin for intracranial hypertension secondary to severe traumatic brain injury in adults
2019-11
[195]
학술지
Inhibition of proteasomal glucocorticoid receptor degradation restores dexamethasone-mediated stabilization of the blood-brain barrier after traumatic brain injury
2013-05
[196]
학술지
Barbiturates for acute traumatic brain injury
2012-12
[197]
학술지
Magnesium for acute traumatic brain injury
2008-10
[198]
학술지
Calcium channel blockers for acute traumatic brain injury
2003
[199]
학술지
Interventions to reduce body temperature to 35 °C to 37 °C in adults and children with traumatic brain injury
2020-10
[200]
학술지
Revisited: A Systematic Review of Therapeutic Hypothermia for Adult Patients Following Traumatic Brain Injury
2018-06
[201]
학술지
Meta-Analysis of Therapeutic Hypothermia for Traumatic Brain Injury in Adult and Pediatric Patients
2017-04
[202]
학술지
Hypothermia for traumatic brain injury
2017-09
[203]
학술지
Changes in cortical extracellular levels of energy-related metabolites and amino acids following concussive brain injury in rats
1990-09
[204]
학술지
Metabolic crisis without brain ischemia is common after traumatic brain injury: a combined microdialysis and positron emission tomography study
2005-06
[205]
학술지
Cerebral tissue oxygenation measured by two different probes: challenges and interpretation
2011-11
[206]
학술지
Assessment of a noninvasive cerebral oxygenation monitor in patients with severe traumatic brain injury
2014-04
[207]
학술지
Assessment, investigation, and early management of head injury: summary of NICE guidance
2007-10
[208]
학술지
Hyperbaric oxygen therapy for the adjunctive treatment of traumatic brain injury
2012-12
[209]
학술지
Hyperbaric oxygen in traumatic brain injury
2007-03
[210]
학술지
Non-pharmacological interventions for depression in adults and children with traumatic brain injury
2015-12
[211]
논문
A unified science of concussion
2010-10-01
[212]
논문
A narrative review of the clinical application of pressure reactiviy indices in the neurocritical care unit
2018-02-01
[213]
논문
A trial of intracranial-pressure monitoring in traumatic brain injury
2012-12-01
[214]
논문
Traumatic Brain Injury and Neuronal Functionality Changes in Sensory Cortex
[215]
논문
Sensory cortex underpinnings of traumatic brain injury deficits
[216]
논문
The acute phase of mild traumatic brain injury is characterized by a distance-dependent neuronal hypoactivity
2014-11-01
[217]
논문
Burns (2019): Temporal neuronal activity patterns in barrel cortex to simple and complex stimuli and the effects of traumatic brain injury. Monash University. Thesis.
https://doi.org/10.2[...]
Monash University
[218]
논문
Rapid progression of traumatic bifrontal contusions to transtentorial herniation: A case report
http://www.casesjour[...]
[219]
웹사이트
あなたの健康百科、外傷性脳損傷(株)メディカルトリビューン
https://web.archive.[...]
[220]
뉴스
毎日新聞
2009-12-13
[221]
뉴스
米兵脳損傷問題:14万人に アフガン・イラク派遣の7%
http://mainichi.jp/s[...]
毎日新聞
2010-02-03
본 사이트는 AI가 위키백과와 뉴스 기사,정부 간행물,학술 논문등을 바탕으로 정보를 가공하여 제공하는 백과사전형 서비스입니다.
모든 문서는 AI에 의해 자동 생성되며, CC BY-SA 4.0 라이선스에 따라 이용할 수 있습니다.
하지만, 위키백과나 뉴스 기사 자체에 오류, 부정확한 정보, 또는 가짜 뉴스가 포함될 수 있으며, AI는 이러한 내용을 완벽하게 걸러내지 못할 수 있습니다.
따라서 제공되는 정보에 일부 오류나 편향이 있을 수 있으므로, 중요한 정보는 반드시 다른 출처를 통해 교차 검증하시기 바랍니다.
문의하기 : help@durumis.com
