맨위로가기

심근병증

"오늘의AI위키"는 AI 기술로 일관성 있고 체계적인 최신 지식을 제공하는 혁신 플랫폼입니다.
"오늘의AI위키"의 AI를 통해 더욱 풍부하고 폭넓은 지식 경험을 누리세요.

1. 개요

심근병증은 심장 기능에 문제를 일으키는 질환으로, 심장에만 국한되거나 전신 질환의 일부로 나타날 수 있다. 원인은 유전적 요인과 후천적 요인으로 나뉘며, 유전적 요인으로는 근절 또는 세포 골격 질환 관련 유전자 변이가, 후천적 요인으로는 알코올 의존증, 특정 감염 등이 있다. 심근병증은 피로, 호흡 곤란, 부정맥 등의 증상을 유발하며, 심부전으로 이어질 수 있다. 진단은 신체 검사, 혈액 검사, 심전도, 심장초음파 등을 통해 이루어지며, 치료는 약물 치료, 인공심박조율기, 심장 이식 등 다양하다. 심근병증은 1980년 WHO/ISFC 분류를 시작으로 여러 기준에 따라 분류되며, 2012년 AHA 분류에서는 일차성, 이차성 심근병증으로 구분한다.

더 읽어볼만한 페이지

  • 심근병증 - 확장성 심근병증
    확장성 심근병증은 좌심실 확장과 심근 수축 기능 저하를 특징으로 하는 질환으로, 다양한 원인에 의해 발생하며 호흡 곤란, 흉통 등의 증상을 보이고 약물, 전기적, 외과적 치료를 시행한다.
  • 심근병증 - 비후성 심근병증
    비후성 심근병증은 심장 근육이 비정상적으로 두꺼워져 혈액 펌프질 기능을 저해하고 여러 증상을 유발하며 심할 경우 돌연 심장사로 이어질 수 있는 질환으로, 유전적 요인이 주요 원인이며 약물, 외과적 시술 등으로 치료한다.
  • 표시 이름과 문서 제목이 같은 위키공용분류 - 라우토카
    라우토카는 피지 비치레부섬 서부에 위치한 피지에서 두 번째로 큰 도시이자 서부 지방의 행정 중심지로, 사탕수수 산업이 발달하여 "설탕 도시"로 알려져 있으며, 인도에서 온 계약 노동자들의 거주와 미 해군 기지 건설의 역사를 가지고 있고, 피지 산업 생산의 상당 부분을 담당하는 주요 기관들이 위치해 있다.
  • 표시 이름과 문서 제목이 같은 위키공용분류 - 코코넛
    코코넛은 코코넛 야자나무의 열매로 식용 및 유지로 사용되며, 조리되지 않은 과육은 100g당 354kcal의 열량을 내는 다양한 영양 성분으로 구성되어 있고, 코코넛 파우더의 식이섬유는 대부분 불용성 식이섬유인 셀룰로오스이며, 태국 일부 지역에서는 코코넛 수확에 훈련된 원숭이를 이용하는 동물 학대 문제가 있다.
  • 한국어 위키백과의 링크가 위키데이터와 같은 위키공용분류 - 라우토카
    라우토카는 피지 비치레부섬 서부에 위치한 피지에서 두 번째로 큰 도시이자 서부 지방의 행정 중심지로, 사탕수수 산업이 발달하여 "설탕 도시"로 알려져 있으며, 인도에서 온 계약 노동자들의 거주와 미 해군 기지 건설의 역사를 가지고 있고, 피지 산업 생산의 상당 부분을 담당하는 주요 기관들이 위치해 있다.
  • 한국어 위키백과의 링크가 위키데이터와 같은 위키공용분류 - 코코넛
    코코넛은 코코넛 야자나무의 열매로 식용 및 유지로 사용되며, 조리되지 않은 과육은 100g당 354kcal의 열량을 내는 다양한 영양 성분으로 구성되어 있고, 코코넛 파우더의 식이섬유는 대부분 불용성 식이섬유인 셀룰로오스이며, 태국 일부 지역에서는 코코넛 수확에 훈련된 원숭이를 이용하는 동물 학대 문제가 있다.
심근병증
질병 개요
특발성 심근병증, 육안 병리 20G0018 lores.jpg
비대, 확장 및 심장 내막의 백색도 증가로 눈에 띄는 심장 내막하 섬유증을 보여주는 열린 좌심실.
분야심장학
증상 및 합병증
증상호흡곤란
피로감
다리 부종
합병증심부전
불규칙한 심장 박동
급성 심장사
유형 및 원인
유형비대 심근병증
확장성 심근병증
제한성 심근병증
부정맥 유발 우심실 형성 장애
타코츠보 심근병증
원인알려지지 않음
유전적 요인
과도한 알코올 섭취
흡연
중금속
아밀로이드증
스트레스
진단 및 치료
치료유형 및 증상에 따라 다름
통계
유병률 (2015년, 심근염 포함)250만 명
사망자 수 (2015년, 심근염 포함)354,000명
국제 질병 분류 (ICD)
ICD-10I25.5, I42, I43
ICD-9425

2. 원인

심근병증의 원인은 매우 다양하며, 크게 유전적 요인과 비유전적인 후천적 요인으로 나눌 수 있다.[12] 과거 1980년 세계 보건 기구(WHO)와 국제 심장 연합(ISFC)에서는 심근병증을 '원인 불명의 심근 질환'으로 정의하기도 했으나[37], 분자생물학유전학의 발전으로 다양한 유전적 원인들이 밝혀지고 있으며[69][72][20][23], 후천적 원인에 대한 이해도 깊어지고 있다.[67][18]

미국심장협회(AHA)는 2012년 정의에서 심근병증을 심장 자체의 문제인 '원발성(일차성)'과 다른 전신성 질환의 영향으로 발생하는 '속발성(이차성)'으로 분류하기도 한다. 이는 새로운 유전적, 분자생물학적 지식을 반영하여 더욱 세분화되었다.[74][26] 유전적 요인으로는 주로 사르코미어 단백질이나 세포 골격 관련 유전자 돌연변이, 신경근 질환, 선천성 대사 이상 등이 관련될 수 있으며[13][14], 알코올 의존증, 약물 독성, 감염, 특정 질병 등 다양한 후천적 요인도 확인되었다.[68][19][15][16][71][22]

심근병증은 심장에 국한되거나 전신성 질환의 일부로 나타날 수 있으며, 종종 심각한 심부전이나 심혈관 질환으로 인한 사망으로 이어질 수 있다.[66] 다만, 관상동맥질환, 고혈압, 심장판막증과 같이 명확한 다른 원인에 의해 심근 기능 이상이 발생하는 경우는 심근병증의 정의에서 제외된다.[66][17]

2. 1. 유전적 요인

심근병증은 유전 질환(가족성) 또는 비유전적(후천적) 원인을 가질 수 있다.[12] 분자생물학유전학의 발전 덕분에 심근병증을 유발하는 다양한 유전적 원인들이 밝혀지고 있다.[20][23][69][72] 유전성 심근병증은 주로 사르코미어 단백질이나 세포 골격 관련 유전자 돌연변이, 신경근 질환, 선천성 대사 이상, 기형 증후군 등에 의해 발생하는 경우가 많으며, 때로는 원인을 알 수 없는 경우도 있다.[13][14]

주요 심근병증 유형별 유전적 요인은 다음과 같다.

  • 확장성 심근병증(DCM): 과거 원인이 명확하지 않은 경우 "특발성" 확장성 심근병증으로 불렸으나, 최신 연구를 통해 사르코미어 단백질(미오신, 액틴, 트로포닌, 트로포미오신), 세포 골격 단백질, 근형질막 및 핵막 단백질의 유전자 돌연변이가 주요 원인임이 밝혀졌다.[40] 2013년 기준으로 확장성 심근병증 환자의 약 30%는 유전자 돌연변이가 원인일 것으로 추정된다. 이러한 유전자 돌연변이가 질병을 일으키는 방식은 다음과 같이 연구되고 있다.
  • 미오신 유전자 변이는 사르코미어의 수축 기전 자체를 손상시킨다(액틴-미오신 상호작용 저하).
  • 액틴, 트로포닌, 트로포미오신 유전자 변이는 심근 수축의 칼슘 조절 기전을 손상시킨다(미오필라멘트 칼슘 감수성 저하).[41]
  • 세포 골격 단백질과 세포막 관통 단백질의 돌연변이는 사르코미어에서 발생하는 힘이 인접 심근 세포로 전달되는 과정을 손상시키며, 핵막 단백질의 돌연변이는 심근 세포에 가해지는 물리적 힘에 따른 유전자 발현 조절 기전을 손상시켜 확장성 심근병증을 유발할 수 있는 것으로 추측된다.[42]

  • 비대성 심근병증(HCM):
    비대성 심근병증의 심장 단면
    일반적으로 유전성이 강하며, 약 70%의 사례에서 상염색체 우성 유전 형태를 보이는 유전자 변이가 원인으로 밝혀졌다. 확장성 심근병증과 유사하게 미오신, 액틴, 트로포닌, 트로포미오신을 포함한 사르코미어 단백질의 유전자 돌연변이가 주요 원인이다.[40] 특히 칼슘에 의한 수축 조절과 관련된 트로포닌이나 트로포미오신 유전자의 돌연변이는 미오필라멘트 칼슘 감수성을 증가시키는 것으로 나타났다. 이는 확장성 심근병증을 유발하는 변이가 칼슘 감수성을 저하시키는 것과는 반대되는 현상으로, 증가된 칼슘 감수성으로 인한 수축 기능 항진 또는 이완 기능 저하가 비대성 심근병증의 발병 기전으로 생각된다.[42][41]

  • 제한성 심근병증(RCM): 액틴, 미오신, 트로포닌 유전자 돌연변이가 질병 발생에 관여하는 것으로 알려져 있다.

2. 2. 후천적 요인

심근병증은 유전 질환뿐만 아니라 다양한 후천적 요인에 의해서도 발생할 수 있다.[12] 비유전적(후천적) 심근병증은 바이러스 감염, 심근염 등과 같은 명확한 원인을 가질 수 있다.[15][16]

주요 후천적 원인으로는 다음과 같은 것들이 있으며, 이들은 주로 확장성 심근병증이나 비후성 심근병증의 형태로 나타날 수 있다.

  • 알코올 의존증: 과도한 알코올 섭취는 심근에 직접적인 손상을 주어 확장성 심근병증을 유발하는 주요 원인 중 하나이다.[68][19]
  • 약물 독성: 특정 약물(예: 일부 항암제)이나 독성 물질에 노출되는 경우 심근 손상을 일으켜 심근병증을 유발할 수 있다.[68][19]
  • 감염: 바이러스 감염[15]이나 특정 감염 질환(예: C형 간염[68][69][70][20][21])이 심근에 염증을 일으키거나 직접 손상시켜 심근병증으로 이어질 수 있다. 심근염 역시 심근병증의 원인이 될 수 있다.[15]
  • 셀리악병: 치료되지 않은 셀리악병은 드물지만 심근병증을 유발할 수 있으며, 조기에 진단하고 적절히 관리하면 심장 기능이 회복될 가능성이 있다.[71][22]
  • 기타 질환 및 요인: 고혈압, 당뇨병, 갑상선 질환 등 다른 전신 질환이나 노화 과정에서 비후성 심근병증이 발생할 수도 있다.
  • 면역 장애: 면역 체계의 이상 반응이 심근을 공격하여 심근병증을 일으키는 경우도 있다.[40]


이러한 후천적 요인들은 심근의 구조나 기능에 변화를 초래하여 심근병증으로 발전하게 된다. 원인이 명확한 경우에는 해당 원인을 제거하거나 치료하는 것이 중요하며, 이를 통해 심근병증의 진행을 늦추거나 예방하는 데 도움이 될 수 있다.

3. 기전

분자 기술의 발달로 심근병증의 병태생리는 세포 수준에서 더 잘 이해되고 있다. 돌연변이 단백질은 심장의 수축 기능이나 기계적 자극을 감지하는 복합체의 기능을 방해할 수 있다. 이러한 심근 세포의 변화와 지속적인 반응은 갑작스러운 심정지와 같은 심각한 심장 문제를 일으킬 수 있다.[75][27]

심근병증은 개인마다 다르게 나타나며, 성인과 어린이 모두 다양한 요인에 의해 발생할 수 있다. 예를 들어, 성인의 확장성 심근증은 허혈성 심근병증, 고혈압, 판막 질환, 유전적 요인과 관련이 있다. 반면, 어린이의 경우 베커 근이영양증과 같은 X-연관 유전 질환을 포함한 신경 근육 질환이 심근병증과 직접적으로 연관될 수 있다.[28]

=== 확장성 심근증 (DCM) ===

과거에는 바이러스 감염, 알코올 남용, 독성 물질 노출, 면역계 이상 등 비유전적 요인이 주된 원인으로 알려졌다. 원인이 불분명한 경우는 "특발성" 확장성 심근병증으로 분류되었다.[40] 그러나 최근 연구를 통해 사르코미어 단백질(미오신, 액틴, 트로포닌, 트로포미오신), 세포 골격 단백질, 근형질막 및 핵막 단백질의 유전자 돌연변이가 확장성 심근병증의 주요 원인임이 밝혀졌다. 2013년 기준으로 환자의 약 30%가 유전자 돌연변이가 원인으로 추정된다.[40]

유전자 돌연변이가 DCM을 일으키는 기전은 다음과 같이 연구되고 있다:


  • 미오신 변이: 사르코미어의 수축 기전 자체를 손상시켜 액틴-미오신 상호작용을 저하시킨다.[41]
  • 액틴, 트로포닌, 트로포미오신 변이: 트로포닌에 의한 심근 수축의 칼슘 조절 기전을 손상시켜 트로포닌의 미오필라멘트 칼슘 감수성을 저하시킨다.[41]
  • 세포 골격 및 세포막 관통 단백질 변이: 사르코미어에서 발생한 힘이 인접 심근 세포로 전달되는 것을 방해한다.[42]
  • 핵막 단백질 변이: 심근 세포에 가해지는 힘에 따른 유전자 발현 조절 기전을 손상시킨다.[42]


유전성 DCM 연구는 심근 세포의 수축 기능 저하뿐만 아니라, 심장 확대를 통해 이를 보상하려는 메커니즘이 내재되어 있음을 보여준다. 그러나 이 보상 메커니즘은 역설적으로 치명적인 부정맥으로 인한 급사 위험을 높이고, 결국 말기 심부전으로 이어질 수 있다. 현재 사용되는 β 차단제, ACE 억제제, 안지오텐신 II 수용체 차단제 등은 단기적으로 수축 기능을 높이는 대신, 장기적으로 해로운 보상 반응(세포 내 cAMP와 칼슘 증가 매개)을 억제하여 심부전 진행을 늦추는 것으로 보인다. 세포 내 cAMP나 칼슘 증가에 의존하지 않고 수축 기능을 개선하는 새로운 강심제(칼슘 감수성 증강제, 미오신 활성 증강제 등)는 이러한 유해한 보상 반응을 억제하여 더 효과적일 것으로 기대된다.[43][44]

=== 비대성 심근증 (HCM) ===

주로 유전성이며, 약 70%가 상염색체 우성 유전 형태로 유전되는 유전자 돌연변이가 원인이다. DCM과 마찬가지로 미오신, 액틴, 트로포닌, 트로포미오신 등 사르코미어 단백질의 돌연변이가 발견된다.[40] 특히 칼슘 수축 조절과 관련된 트로포닌이나 트로포미오신 유전자 돌연변이는 트로포닌의 미오필라멘트 칼슘 감수성을 증가시킨다. 이는 DCM을 일으키는 변이가 칼슘 감수성을 저하시키는 것과 반대되는 현상으로, 증가된 칼슘 감수성으로 인한 수축 기능 항진 또는 이완 기능 저하가 HCM을 유발하는 것으로 생각된다.[42][41] 고혈압이나 노화에 의해서도 발생할 수 있으며, 당뇨병이나 갑상선 질환 등 다른 질병도 원인이 될 수 있다.

4. 증상 및 징후

심근병증의 일반적인 증상으로는 피로감, 하지의 부종, 운동 후 호흡곤란 등이 나타날 수 있다.[65] 또한 부정맥, 어지럼증, 기절 등의 증상이 동반되기도 한다.[65]

구체적인 증상은 다음과 같다.


  • 특히 신체 활동 시 호흡곤란 또는 숨가쁨
  • 피로
  • 발목, 발, 다리, 복부 및 목 정맥의 부종
  • 현기증
  • 어지럼증
  • 신체 활동 중 기절
  • 부정맥 (비정상적인 심장 박동)
  • 흉통, 특히 신체 활동이나 과식 후 발생
  • 심잡음 (심장 박동과 관련된 비정상적인 소리)


심전도에서 나타나는 부정맥의 일종인 심실세동.


심근병증의 종류에 따라 특징적인 증상과 징후가 나타나기도 한다.
확장성 심근병증의 경우, 초기에는 자각 증상이 거의 없거나 쉽게 피로를 느끼고 가벼운 심계항진 정도만 나타나 발견이 늦어질 수 있다. 병이 진행되면 부종, 젖은 기침, 경정맥 팽만 등 심각한 울혈성 심부전 증상이나 치료에 잘 반응하지 않는 부정맥이 발생한다. 심전도 검사에서는 P파의 지속 시간 연장이 관찰될 수 있다.
비대성 심근병증은 호흡 곤란이 주된 증상이며, 심방 세동이 흔히 동반된다. 그 외에 좌심부전 증상, 심계항진, 흉통 (협심통), 실신 등이 나타날 수 있다.[49] 특히 폐쇄성 비대성 심근병증의 경우 다음과 같은 징후가 관찰될 수 있다.

  • 청진: 흉골 좌측 가장자리 제3, 4 늑간에서 심장 꼭대기(심첨부)를 중심으로 수축기 구출성 잡음과 IV음(네 번째 심음)이 들린다.[49]
  • 심전도: 좌심실 비대, 이상 Q파, ST-T 변화, 거대 음성 T파(특히 심첨부 비대성 심근병증의 특징) 등이 보일 수 있다.[49] 자각 증상에 비해 심전도 변화가 뚜렷하게 나타나는 것이 특징이다.
  • 경동맥파: 맥박이 두 개의 봉우리를 보이는 이봉성 맥파(pulsus bisferiens, spike and dome 형태)가 나타날 수 있다.
  • 심장 초음파 검사: 비대칭적인 심실 중격 비후(ASH), 승모판 전엽의 수축기 전방 운동(SAM), 대동맥판의 수축 중기 반 폐쇄 등이 관찰될 수 있다.
  • 심장 카테터 검사: 좌심실 확장기말 압력(LVEDP) 상승 및 좌심실 유입로와 유출로 사이의 수축기 압력 차이가 특징적으로 나타난다.
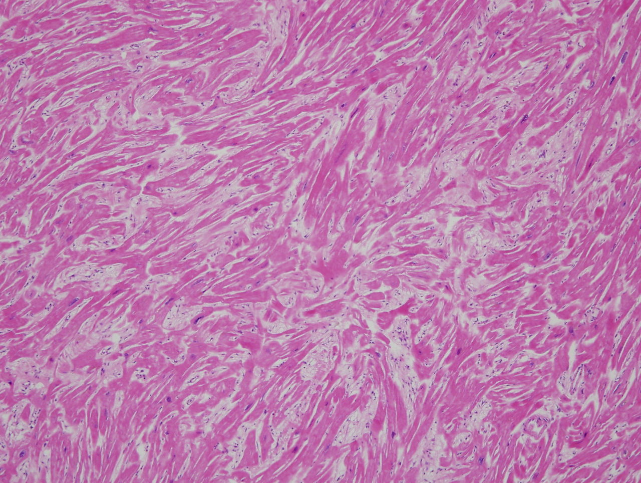
  • 병리학 검사: 비대해진 심근 세포가 관찰되며, 이 세포들의 배열이 불규칙하고 얽혀 있는 착종 배열(disarray)이 특징적이다. 이는 주로 비대해진 심실 중격 부위에서 나타난다.

비대성 심근증의 병리 조직 사진(HE 염색).

부정맥성 우심실 이형성증은 심실 빈맥과 같은 부정맥을 동반하여 급사를 일으킬 수 있는 유전성 질환이다. 심전도 검사에서는 V1~V4 유도에서 엡실론파(ε파)나 음성 T파가 관찰될 수 있다.

5. 진단

ECG의 정상 동율동


심근병증을 진단하기 위해 이용되는 주요 절차는 다음과 같다:[29]

각 심근병증 유형별 진단에서 나타나는 특징적인 소견은 다음과 같다.
비대성 심근증 (Hypertrophic Cardiomyopathy, HCM)폐쇄성 비대성 심근증에서는 다음과 같은 소견이 나타날 수 있다.

; 청진

: 흉골 좌측 가장자리 제3, 4 늑간에서 심장 꼭대기(심첨부)를 중심으로 수축기에 혈액이 나가는 소리(구출성 잡음)와 제4심음(IV음)이 들린다.[49]

; 심전도

: 좌심실 비대, 비정상적인 Q파, ST 분절 및 T파의 변화, 거대 음성 T파(특히 심첨부 비대성 심근병증의 특징) 등이 관찰된다.[49] 다만, 비대성 심근병증에만 특유하게 나타나는 소견은 없으며, 오히려 자각 증상이 적은 것에 비해 심전도상의 변화가 뚜렷하게 나타나는 것이 특징이다.

; 경동맥파

: 맥박이 두 번 뛰는 듯한 이봉성 맥파(pulsus bisferiens|풀수스 비스페리엔스la: spike and dome형)가 나타난다. 이는 대동맥판막 역류증에서 보이는 이봉성 맥파와는 다르다. 맥박 파형이 급격히 상승한 후 수축 중간에서 후기에 걸쳐 완만한 두 번째 봉우리를 형성한다.

; 심장 초음파 검사

: 심실 사이 벽(심실중격)이 비대칭적으로 두꺼워지는 소견 (Asymmetric Septal Hypertrophy, ASH)

: 승모판 앞쪽 판막 조각(전첨)이 수축기에 앞쪽으로 움직이는 현상 (Systolic Anterior Motion, SAM)

: 대동맥판이 수축 중간에 반쯤 닫히는 현상

: 등이 나타날 수 있다.

; 심장 카테터 검사

: 좌심실이 확장기 말에 받는 압력(LVEDP)이 상승하는 것이 특징적이다.

: 좌심실로 혈액이 들어오는 길(유입로)과 나가는 길(유출로) 사이에 수축기 압력 차이(20mmHg 이상)가 나타난다.

; 병리학 검사

: 심근 세포가 비정상적으로 커져 있는 것이 보인다. 이 세포들은 나뭇가지처럼 갈라지거나 소용돌이 모양으로 얽혀 있는 등 배열이 불규칙한(착종 배열) 특징을 보인다. 이러한 착종 배열은 주로 두꺼워진 심실 중격을 중심으로 분포한다.
부정맥 유발성 우심실 심근병증 (Arrhythmogenic Right Ventricular Cardiomyopathy, ARVC)심전도에서 V1~V4 유도에 엡실론파(ε파)나 음성 T파가 관찰될 수 있다.[50][51] 이는 우심실 심근이 지방 조직이나 섬유 지방 조직으로 대체되면서 나타나는 전기적 신호의 변화이다.

6. 분류

심근병증은 심장 근육 자체의 질환으로, 유전적(가족성) 원인 또는 후천적 원인에 의해 발생할 수 있다.[12] 유전성 심근병증은 주로 근절이나 세포 골격 단백질 이상, 신경근 질환, 선천성 대사 이상, 기형 증후군 등과 관련이 있으며, 때로는 원인을 알 수 없는 경우도 있다.[13][14] 후천적 심근병증은 바이러스 감염, 심근염, 특정 약물 독성, 알코올 중독, C형 간염과 같은 감염, 치료되지 않은 셀리악병 등 다양한 원인에 의해 발생할 수 있다.[15][16][19][20][21][22] 분자 생물학과 유전학의 발전으로 다양한 유전적 원인들이 밝혀지고 있다.[20][23]

심근병증은 심장에만 국한되거나 전신 질환의 일부로 나타날 수 있으며, 두 경우 모두 심혈관 사망이나 진행성 심부전으로 이어질 수 있다. 관상동맥질환, 고혈압, 심장 판막 이상과 같이 다른 원인으로 인해 심근 기능 장애가 발생하는 경우는 심근병증의 정의에서 제외된다.[17]

심근병증을 분류하는 방식은 시간이 지남에 따라 발전해왔다. 초기에는 주로 심장의 형태적 변화에 따라 분류했지만[24], 질병의 다양한 양상과 원인에 대한 이해가 깊어지면서[25] 유전적 요인, 분자생물학적 특성 등을 고려한 보다 세분화된 분류 체계가 사용되고 있다.[26] 현재는 심장 자체의 문제인지(일차성), 다른 전신 질환의 영향인지(이차성) 등을 기준으로 나누는 방식이 주로 활용된다.[30][31]

6. 1. 1980년 WHO/ISFC 분류

1891년 클레어(Clair)가 해부학적 사례를 보고한 이후[36], 심근병증은 다양한 이름으로 불려왔다. 1980년 세계 보건 기구(WHO)와 국제 심장 연합(ISFC)의 합동 위원회는 심근병증을 처음으로 체계적으로 분류했다. 당시 위원회는 심근병증을 "원인 불명의 심근 질환"으로 정의하고, 크게 세 가지 유형으로 나누었다.[37]

  • 확장성 심근병증 (DCM, Dilated Cardiomyopathy)
  • 비대성 심근병증 (HCM, Hypertrophic Cardiomyopathy)
  • 제한성 심근병증 (RCM, Restrictive Cardiomyopathy)


이 분류는 원인이 명확하거나 다른 전신 질환과 관련된 심근 질환과는 엄격히 구별하기 위한 것이었다. 또한, 이 세 가지 유형으로 분류하기 어려운 경우를 위해 분류 불능 심근병증이라는 항목도 두었다.[37]

하지만 이후 심근병증의 원인과 발생 과정에 대한 연구가 계속되면서, 1980년의 정의와 분류는 업데이트되었다. 새로운 연구 결과들은 기존에 원인 불명으로 여겨졌던 심근병증에 대한 이해를 넓혔고, 이는 추후 심근병증의 정의를 "심기능 장애를 동반하는 심근 질환"으로 확장하고, 부정맥성 우심실 심근증 등을 포함한 새로운 분류 체계를 만드는 계기가 되었다.[38]

6. 2. 1995년 WHO/ISFC 분류

심근병증은 여러 이름으로 불려왔으며, 최초의 해부학적 사례 보고는 1891년 클레어에 의한 것으로 여겨진다.[36] 이후 세계 보건 기구(WHO)와 국제 심장 연합(ISFC)의 합동 위원회는 1980년 심근병증을 "원인 불명의 심근 질환"으로 정의하였다. 이 분류에서는 심근병증을 확장성 심근병증(DCM), 비대성 심근병증(HCM), 제한성 심근병증(RCM)으로 나누었으며, 원인이나 전신 질환과의 관련성이 명확한 심근 질환과는 엄격히 구분하였다.[37] 이 분류 체계에는 세 가지 유형 어디에도 속하지 않는 경우를 위한 '분류 불능 심근병증' 항목도 포함되었다.

그러나 시간이 지나면서 기존에 원인이 밝혀지지 않았던 심근병증의 원인과 발병 과정에 대한 연구 결과들이 축적되었다. 이에 따라 1995년, WHO/ISFC 합동 위원회는 심근병증의 정의를 "심기능 장애를 동반하는 심근 질환"으로 보다 포괄적으로 재정의하였다. 또한 기존의 세 가지 분류(DCM, HCM, RCM)에 더하여 부정맥성 우심실 심근증(ARVC)과 '특정 심근병증'이라는 새로운 범주를 추가하여 분류 체계를 개정하였다.[38]

6. 3. 2012년 AHA 분류

미국 심장 협회(AHA)는 2012년 심근병증에 대한 새로운 정의를 발표했다. 이 정의는 심근병증을 심장에만 국한된 문제인 원발성(일차성) 심근병증과, 신체의 다른 질환이 심장에 영향을 미치는 속발성(이차성) 심근병증으로 구분한다. 또한, 새롭게 밝혀진 유전적, 분자생물학적 지식을 반영하여 각 범주를 여러 하위 그룹으로 나누었다.[74][26]

심근병증의 구조적 분류


심근병증은 다음과 같은 기준에 따라 분류할 수 있다:[30]

  • 일차성/내인성 심근병증[31]: 심장 자체의 문제로 발생하는 경우이다.
  • 유전성 (선천성)
  • 비대성 심근병증 (HCM)
  • 부정맥 유발성 우심실 심근병증 (ARVC)
  • 좌심실 비후성 심근증
  • 이온 통로병증 (예: QT 연장 증후군, 매우 드문 QT 단축 증후군)
  • 카테콜아민 유발성 다형성 심실 빈맥 (CPVT)
  • 혼합성 (유전적 요인과 후천적 요인이 함께 작용)
  • 확장성 심근병증 (DCM)
  • 제한성 심근병증 (RCM)
  • 브루가다 증후군
  • 후천성
  • 스트레스성 심근병증
  • 심근염: 림프구단핵구 침윤으로 인한 심장 조직의 염증 및 손상[32][33]
  • 호산구성 심근염: 호산구 침윤으로 인한 심장 조직의 염증 및 손상[32]
  • 허혈성 심근병증 (다른 심장 문제의 직접적인 결과이므로 공식적으로 분류에 포함되지 않음)[31]
  • 이차성/외인성 심근병증[31]: 전신 질환의 일부로 심장에 문제가 발생하는 경우이다.
  • 대사성/저장성
  • 파브리병
  • 혈색소 침착증
  • 심내막
  • 심내막 섬유화증
  • 과호산구 증후군
  • 내분비
  • 당뇨병
  • 갑상선 기능 항진증
  • 말단비대증
  • 심장안면
  • 누난 증후군
  • 신경근육
  • 근이영양증
  • 프리드라이히 운동실조
  • 기타
  • 비만 관련 심근병증[34]

7. 치료

심근병증 치료는 환자의 상태를 개선하고 삶의 질을 높이기 위해 생활 방식의 변화를 포함할 수 있다. 구체적인 치료 방법은 심근병증의 유형과 질병의 심각도에 따라 결정된다. 치료의 목표는 주로 증상을 완화하는 것이며, 일부 환자는 궁극적으로 심장 이식이 필요할 수 있다.[65][29]

치료 방법은 다음과 같은 종류로 나눌 수 있다.


  • 약물 치료 (보존적 치료): 심부전 증상을 관리하고 심장 기능을 돕기 위해 다양한 약물이 사용된다. 베타 차단제, ACE 억제제, 안지오텐신 II 수용체 차단제(ARB), 이뇨제 등이 대표적이다. 이러한 약물들은 특히 확장성 심근병증의 진행을 늦추는 데 효과를 보일 수 있다. 그러나 모든 환자에게 동일한 효과가 나타나는 것은 아니며, 근본적인 치료보다는 병의 진행을 늦추는 데 목적이 있다.
  • 2024년 11월, 미국에서는 아코라미디스(Attruby)가 트랜스티레틴 매개 아밀로이드증(ATTR-CM)으로 인한 심근병증 성인 환자의 치료제로 승인되었다. 이 약물은 심장 관련 문제로 인한 사망 및 입원 위험을 줄이는 것을 목표로 한다.[35]
  • 의료 기기 삽입:
  • 인공심박조율기: 느려진 심박수를 개선하기 위해 사용된다.[65][29]
  • 이식형 제세동기(ICD): 치명적인 부정맥 발생 위험이 높은 환자에게 삽입하여 급사를 예방한다. 특히 비대성 심근병증 환자에게 필요할 수 있다.[65][29]
  • 심실보조장치(VAD) 또는 보조 인공 심장: 심각한 심부전 환자에게 사용된다. 심장 이식을 기다리는 동안 심장 기능을 보조하거나, 이식이 어려운 고령 환자 등에게 영구적으로 사용되기도 한다. 2004년 한국에서는 심장 이식 대기 환자를 위한 보조 인공 심장에 건강보험이 적용되기 시작했다.[65][29]
  • 수술적/시술적 치료:
  • 카테터 절제술: 약물이나 전기적 충격으로 조절되지 않는 재발성 부정맥을 치료하기 위해 시행될 수 있다.[65][29]
  • 좌실 형성술: 허혈성 심근증이나 확장성 심근병증 등으로 인해 좌실 기능이 심하게 저하된 환자에게 적용될 수 있다. 좌심실의 용적을 줄여 심장 기능과 예후 개선을 목표로 한다. 보조 인공 심장이나 심장 이식의 전 단계 또는 대체 치료법으로 고려된다.[45]
  • 심장 이식: 다른 치료법으로 효과를 보지 못하는 말기 심부전 환자에게 고려되는 근본적인 치료법이다. 1967년 첫 이식 이후 현재는 안정적인 성공률을 보이고 있다.

  • 연구 중인 치료법:
  • 유전자 치료: 심근병증의 유전적 원인을 교정하려는 시도로, 현재 동물 실험 단계에 있다.
  • 심근 시트 (재생 의료): 환자 자신의 근육 세포나 iPS 세포를 배양하여 만든 시트 형태의 조직을 손상된 심근에 부착하여 기능을 회복시키려는 치료법이다. 일본 오사카 대학의 사와 요시키 교수팀이 개발한 골격근 유래 근아세포 시트 "하트 시트"는 2015년 세계 최초로 심부전 치료용 재생 의료 제품으로 승인받아 2016년부터 판매되었다.[46] iPS 세포 유래 심근 시트 이식 연구도 진행 중이며, 2020년 1월 첫 임상 연구가 실시되었다.[47] 2024년에는 iPS 세포 유래 심근 시트 이식 시 발생할 수 있는 면역 거부 반응의 기전을 밝히고, 부작용을 줄일 수 있는 면역 억제 전략에 대한 연구 결과가 발표되었다.[48]


확장성 심근병증으로 인해 확장된 심장


'''심근병증 유형별 치료 고려사항'''

  • '''확장성 심근병증 (DCM)''': 초기에는 약물 치료(베타 차단제, ACE 억제제, ARB, 이뇨제 등)로 병의 진행을 늦출 수 있다. 말기 중증 심부전의 경우 심장 이식이 필요할 수 있다. 일본에서는 특발성 확장성 심근증이 특정 질환 치료 연구 사업 대상 질환으로 지정되어 있다.
  • '''비대성 심근병증 (HCM)''': 급사 예방이 가장 중요하다. 과격한 운동을 피하고, 심근의 확장 능력을 개선하고 부담을 줄이기 위해 베타 차단제가 주로 사용된다. 천식 등 베타 차단제 금기 시에는 칼슘 채널 차단제 등을 사용한다. 대동맥판 협착이나 승모판 역류가 심하면 심실 중격 절제술 등 외과적 수술을 고려하며, 급사 예방을 위해 이식형 제세동기(ICD)가 필요할 수 있다.
  • '''제한성 심근병증 (RCM)''': 심실의 수축 기능은 정상이지만 좌심실이 경직되어 확장에 문제가 있다. 비대성 심근증과 유사하지만 비대나 확대 등이 보이지 않는다는 점에서 다르다. 액틴, 미오신, 트로포닌 유전자 돌연변이가 발병에 관여하는 것으로 알려져 있다.
  • '''부정맥성 우심실 이형성증''' (ARVC): 유전성 심근 변성 질환이다. 우심실 심근이 탈락하고, 지방 조직 또는 섬유 지방 조직이 심근을 대체한다.[50][51] 심실 빈맥 등을 동반하여 급사를 일으킬 수 있다. 심전도 검사 시 V1~V4 유도에서 엡실론파(ε파)나 음성 T파가 관찰될 수 있다.

참조

[1] 웹사이트 What Are the Signs and Symptoms of Cardiomyopathy? http://www.nhlbi.nih[...] 2016-08-31
[2] 웹사이트 Who Is at Risk for Cardiomyopathy? http://www.nhlbi.nih[...] 2016-08-31
[3] 서적 Harrison's principles of internal medicine McGraw Hill 2022
[4] 논문 The MOGE(S) Classification for a Phenotype–Genotype Nomenclature of Cardiomyopathy https://linkinghub.e[...] 2013-12-03
[5] 웹사이트 Types of Cardiomyopathy http://www.nhlbi.nih[...] 2016-08-31
[6] 웹사이트 What Causes Cardiomyopathy? http://www.nhlbi.nih[...] 2016-08-31
[7] 웹사이트 How Is Cardiomyopathy Treated? http://www.nhlbi.nih[...] 2016-08-31
[8] 논문 Global, regional, and national incidence, prevalence, and years lived with disability for 310 diseases and injuries, 1990-2015: a systematic analysis for the Global Burden of Disease Study 2015. 2016-10-08
[9] 서적 Practical Cardiovascular Pathology https://books.google[...] Lippincott Williams & Wilkins 2010
[10] 논문 Global, regional, and national life expectancy, all-cause mortality, and cause-specific mortality for 249 causes of death, 1980-2015: a systematic analysis for the Global Burden of Disease Study 2015. 2016-10-08
[11] 논문 Global, regional, and national age-sex specific all-cause and cause-specific mortality for 240 causes of death, 1990-2013: a systematic analysis for the Global Burden of Disease Study 2013 2014-12-17
[12] 논문 Current perspectives on the diagnosis and management of dilated cardiomyopathy Beyond heart failure: a Cardiomyopathy Clinic Doctor's point of view 2018-09-01
[13] 논문 Overview of Cardiomyopathies in Childhood 2021-07-23
[14] 논문 Infantile Onset Hypertrophic Cardiomyopathy Secondary to PRKAG2 Gene Mutation is Associated with Poor Prognosis 2018-12-01
[15] 논문 Dysregulation of Calcium Handling in Duchenne Muscular Dystrophy-Associated Dilated Cardiomyopathy: Mechanisms and Experimental Therapeutic Strategies 2020-02-01
[16] 논문 Genetic Restrictive Cardiomyopathy: Causes and Consequences—An Integrative Approach 2021-01-08
[17] 서적 Harrison's Principles of Internal Medicine McGraw-Hill
[18] 서적 Pathophysiology of heart disease: a collaborative project of medical students and faculty Wolters Kluwer/Lippincott Williams & Wilkins 2011
[19] 논문 Alcoholic dilated cardiomyopathy.
[20] 논문 The MOGE(S) classification for cardiomyopathies: current status and future outlook.
[21] 논문 Chronic hepatitis C virus infection, a new cardiovascular risk factor? http://hal.upmc.fr/h[...]
[22] 논문 Cardiovascular involvement in celiac disease.
[23] 논문 Genomic Insights into Cardiomyopathies: A Comparative Cross-Species Review.
[24] 서적 Hurst's the heart https://books.google[...] McGraw-Hill Professional 2010-11-11
[25] 논문 Hypertrophic cardiomyopathy. Proposal for a new classification 2022
[26] 논문 Cardiomyopathy Classification: Ongoing Debate in the Genomics Era 2012
[27] 논문 Cellular mechanisms of cardiomyopathy 2011-08-08
[28] 논문 Cardiomyopathies: An Overview 2017-09-15
[29] 웹사이트 What Are the Signs and Symptoms of Cardiomyopathy? - NHLBI, NIH https://www.nhlbi.ni[...] 2016-07-25
[30] 서적 Robbins Basic Pathology Elsevier
[31] 논문 Contemporary Definitions and Classification of the Cardiomyopathies http://circ.ahajourn[...] 2016-08-01
[32] 논문 Eosinophilic cardiac disease: Molecular, clinical and imaging aspects
[33] 논문 Viral myocarditis
[34] 서적 Pediatric Metabolic Syndrome: Comprehensive Clinical Review and Related Health Issues https://books.google[...] Springer Science & Business Media 2012-04-05
[35] 웹사이트 FDA approves drug for heart disorder caused by transthyretin-mediated https://www.fda.gov/[...] 2024-11-27
[36] 논문 Beitrag zur Kenntnis der idiopathischen Herzumuskelerkrankungen 1891
[37] 논문 Report of WHO/ISFC taskforce on the definition and classification of cardiomyopathies 1980
[38] 논문 Report of the 1995 World Health Organization/International Society and Federation of Carrdiology task force on the definition and classification of cardiomyopathies 1996
[39] 웹사이트 難病情報センター | 特発性拡張型心筋症(指定難病57) http://www.nanbyou.o[...]
[40] 서적 Clinical Cardiogenetics, Baars, H.F.; van der Smagt, J.J. (Eds.) Springer, 2011. http://www.springer.[...]
[41] 논문 Sarcomeric proteins and inherited cardiomyopathies 2008
[42] 논문 Molecular mechanisms of inherited cardiomyopathies 2002
[43] 논문 Translational medicine with a capital T, troponin T, That is 2007
[44] 논문 Dose-dependent augmentation of cardiac systolic function with the selective cardiac myosin activator, omecamtiv mecarbil: a first-in-man study 2011
[45] 서적 心臓外科 Knack & Pitfalls 冠動脈外科の要点と盲点 第2版 文光堂
[46] 웹사이트 重症心不全治療用の筋芽細胞シートの実用化とiPS細胞由来心筋シートの開発 https://www.amed.go.[...]
[47] 뉴스 iPS心筋シート移植 冬に延期 大阪大、安全性を検証 https://www.sankei.c[...] 2019-10-15
[48] 뉴스 ヒトiPS細胞由来心筋細胞シート移植では、CD8陽性T細胞主体的な 免疫拒絶反応が誘導される可能性がある https://www.juntendo[...] 2024-07-05
[49] 서적 病気がみえるVol.2 メディックメディア社発行
[50] 웹사이트 http://www.udatsu.vs[...]
[51] 논문 1988
[52] 웹사이트 Happy heart syndrome: Even positive stress can affect the heart https://www.health.h[...] 2022-07-21
[53] 논문 頻脈誘発性心筋症 https://www.pieronli[...] 2021-01-01
[54] 웹인용 What Is Sudden Cardiac Arrest? http://www.nhlbi.nih[...] 2016-08-16
[55] 웹인용 What Are the Signs and Symptoms of Cardiomyopathy? http://www.nhlbi.nih[...] 2016-08-31
[56] 웹인용 Who Is at Risk for Cardiomyopathy? http://www.nhlbi.nih[...] 2016-08-31
[57] 웹인용 Types of Cardiomyopathy http://www.nhlbi.nih[...] 2016-08-31
[58] 웹인용 What Causes Cardiomyopathy? http://www.nhlbi.nih[...] 2016-08-31
[59] 웹인용 Takotsubo cardiomyopathy (broken-heart syndrome) https://www.health.h[...] 2022-05-18
[60] 웹인용 How Is Cardiomyopathy Treated? http://www.nhlbi.nih[...] 2016-08-31
[61] 저널 Global, regional, and national incidence, prevalence, and years lived with disability for 310 diseases and injuries, 1990-2015: a systematic analysis for the Global Burden of Disease Study 2015. 2016-10-08
[62] 서적 Practical Cardiovascular Pathology https://books.google[...] Lippincott Williams & Wilkins 2010
[63] 저널 Global, regional, and national life expectancy, all-cause mortality, and cause-specific mortality for 249 causes of death, 1980-2015: a systematic analysis for the Global Burden of Disease Study 2015. 2016-10-08
[64] 저널 Global, regional, and national age-sex specific all-cause and cause-specific mortality for 240 causes of death, 1990-2013: a systematic analysis for the Global Burden of Disease Study 2013 2014-12-17
[65] 웹인용 What Are the Signs and Symptoms of Cardiomyopathy? - NHLBI, NIH https://www.nhlbi.ni[...] 2016-07-25
[66] 서적 Harrison's Principles of Internal Medicine https://archive.org/[...] McGraw-Hill
[67] 서적 Pathophysiology of heart disease : a collaborative project of medical students and faculty Wolters Kluwer/Lippincott Williams & Wilkins 2011
[68] Review Alcoholic dilated cardiomyopathy.
[69] Review The MOGE(S) classification for cardiomyopathies: current status and future outlook.
[70] Review Chronic hepatitis C virus infection, a new cardiovascular risk factor? http://hal.upmc.fr/h[...]
[71] 논문 Cardiovascular involvement in celiac disease.
[72] 논문 Genomic Insights into Cardiomyopathies: A Comparative Cross-Species Review.
[73] 서적 Hurst's the heart https://books.google[...] McGraw-Hill Professional 2010-11-11
[74] 논문 Cardiomyopathy Classification: Ongoing Debate in the Genomics Era 2012
[75] 논문 Cellular mechanisms of cardiomyopathy 2011-08-08



본 사이트는 AI가 위키백과와 뉴스 기사,정부 간행물,학술 논문등을 바탕으로 정보를 가공하여 제공하는 백과사전형 서비스입니다.
모든 문서는 AI에 의해 자동 생성되며, CC BY-SA 4.0 라이선스에 따라 이용할 수 있습니다.
하지만, 위키백과나 뉴스 기사 자체에 오류, 부정확한 정보, 또는 가짜 뉴스가 포함될 수 있으며, AI는 이러한 내용을 완벽하게 걸러내지 못할 수 있습니다.
따라서 제공되는 정보에 일부 오류나 편향이 있을 수 있으므로, 중요한 정보는 반드시 다른 출처를 통해 교차 검증하시기 바랍니다.

문의하기 : help@durumis.com