심근염
"오늘의AI위키"의 AI를 통해 더욱 풍부하고 폭넓은 지식 경험을 누리세요.
1. 개요
심근염은 심장 근육에 염증이 생기는 질환으로, 다양한 원인에 의해 발생하며, 감염, 자가면역 질환, 약물, 독소 등이 원인이 될 수 있다. 주요 증상으로는 흉통, 호흡 곤란, 심계항진 등이 나타나며, 심한 경우 심부전이나 부정맥을 유발할 수 있다. 진단은 심전도, 혈액 검사, 심장 자기 공명 영상(MRI), 심근 생검 등을 통해 이루어진다. 치료는 원인에 따라 다르며, 보조 치료와 증상 관리에 중점을 둔다. 예후는 증상의 심각성과 시간에 따라 다르며, 심각한 경우 사망에 이를 수 있다. 발생률은 정확히 알려져 있지 않지만, 젊은 남성, 어린이, 임산부, 면역 저하자에게서 더 흔하게 나타난다.
더 읽어볼만한 페이지
- 심장혈관 질환 - 동맥경화증
동맥경화증은 동맥 벽이 굳고 두꺼워지는 질환으로, 세동맥경화증, 묀케베르크 경화증, 죽상동맥경화증으로 나뉘며, 특히 죽상동맥경화증은 혈관 내 죽상판 형성으로 심혈관 질환을 유발하는 주요 질환이다. - 심장혈관 질환 - 승모판 협착
승모판 협착은 좌심방과 좌심실 사이의 승모판이 좁아져 혈액 흐름을 방해하는 질환으로, 류마티스열이 주요 원인이며, 심해지면 폐 울혈, 호흡 곤란 등의 증상이 나타나 심장 초음파 검사로 진단하고 증상에 따라 치료법을 고려한다. - 염증 - 신장염
신장염은 콩팥에 발생한 염증으로, 자가면역질환, 요로감염, 루푸스, 격렬한 운동 등이 원인이 되어 혈뇨, 핍뇨, 요독증, 고혈압 등의 증상을 유발하며, 혈액 검사, X레이, 초음파 등으로 진단하고 원인에 따라 치료한다. - 염증 - 신우신염
신우신염은 신장의 신우와 신실질에 발생하는 감염으로, 급성(고열, 배뇨통, 옆구리 통증)과 만성(지속적인 옆구리 통증, 체중 감소)으로 나뉘며, 대장균과 장구균이 주요 원인균이고, 항생제로 치료하며, 요로의 구조적 이상, 당뇨병, 면역 저하 등이 위험 요인이다. - 빈 문단이 포함된 문서 - 광주고등법원
광주고등법원은 1952년에 설치되어 광주광역시, 전라남도, 전북특별자치도, 제주특별자치도를 관할하며, 제주와 전주에 원외재판부를 두고 있다. - 빈 문단이 포함된 문서 - 1502년
1502년은 율리우스력으로 수요일에 시작하는 평년으로, 이사벨 1세의 이슬람교 금지 칙령 발표, 콜럼버스의 중앙아메리카 해안 탐험, 바스쿠 다 가마의 인도 상관 설립, 크리미아 칸국의 킵차크 칸국 멸망, 비텐베르크 대학교 설립, 최초의 아프리카 노예들의 신대륙 도착 등의 주요 사건이 있었다.
| 심근염 | |
|---|---|
| 일반 정보 | |
![]() | |
| 분야 | 감염병, 심장학 |
| 동의어 | 염증성 심근병증 (감염성) 심근염증 |
| 영어 | myocarditis, inflammatory cardiomyopathy |
| 증상 | |
| 증상 | 호흡 곤란 흉통 운동 능력 저하 불규칙한 심장 박동 |
| 합병증 | |
| 합병증 | 확장성 심근병증으로 인한 심부전 심정지 |
| 발병 시기 및 기간 | |
| 기간 | 몇 시간에서 몇 달 |
| 원인 | |
| 원인 | 보통 바이러스 감염 세균 감염 특정 약물 독소 자가 면역 질환 |
| 진단 | |
| 진단 방법 | 심전도 혈액 트로포닌 검사 심장 MRI 심장 생검 |
| 예방 및 치료 | |
| 치료 | 약물 치료 삽입형 제세동기 심장 이식 |
| 약물 | ACE 억제제 베타 차단제 이뇨제 코르티코스테로이드 면역글로불린 요법 |
| 예후 및 빈도 | |
| 예후 | 다양함 |
| 빈도 (2015년) | 심근증 환자 250만 명 |
| 사망 (2015년) | 심근증으로 35만 4천 명 사망 |
2. 원인
심근염은 감염, 면역 상태, 독소, 약물 반응 및 심장의 물리적 손상으로 인해 발생할 수 있다.[7]
바이러스성 심근염의 병태생리는 아직 완전히 밝혀지지 않았지만, 심장 근육에 친화성이 높은 바이러스(심장성 바이러스)가 세포막의 수용체에 결합하여 심근 세포 내로 침투하는 과정과 관련이 있는 것으로 알려져 있다.[63] 바이러스는 감염 후 약 1~7일 동안 복제되며, 이로 인해 심근 세포의 괴사 및 세포자멸사가 일어나고 염증 반응과 선천 면역 체계가 활성화된다.[63] 이후 1~4주 동안 바이러스 복제가 지속되면서 획득 면역 체계가 활성화되어 T 세포 침윤 및 자가항체를 포함한 항체 형성이 유발된다.[63] 이 과정은 수개월에서 수년에 걸쳐 바이러스 제거와 함께 종료되거나, 확장성 심근증, 심실 기능 장애 등 영구적인 심장 손상으로 진행될 수 있다.[63]
특히 콕사키 B 바이러스(B3, B5)는 콕사키바이러스-아데노바이러스 수용체(CAR) 및 분해촉진인자(DAF)와 상호작용하는 것으로 밝혀졌다. 그러나 콕사키바이러스가 심장 세포에 결합하도록 돕는 다른 단백질도 확인되었다. CAR의 자연적인 기능과 콕사키바이러스가 심근을 감염시키는 기전은 아직 명확하게 밝혀지지 않았다.[19] 콕사키 B 바이러스(CBV)가 염증을 유발하는 기전은 Toll-like 수용체를 통해 CBV를 인식하는 과정과 관련이 있을 것으로 추정된다.[19]
SARS-CoV-2 바이러스를 포함한 여러 코로나바이러스는 심근에 존재하는 ACE2 수용체에 결합하여 심근염을 유발하는 직접적인 바이러스 손상을 일으킬 수 있다.[25] 2002-2004년 SARS 유행 당시 SARS로 사망한 캐나다 토론토 지역 환자들의 부검 심장 표본 중 35%에서 SARS 바이러스 RNA가 검출되었다.[36] 또한, 이미 질병을 앓고 있는 심장은 건강한 사람에 비해 ACE2 수용체 발현이 증가하여 더 많은 바이러스가 심근에 침투할 수 있다는 사실도 관찰되었다. COVID-19 환자의 과도한 면역 반응은 사이토카인 폭풍을 유발할 수 있으며, 이는 심근 손상으로 이어질 수 있다.[25] SARS-CoV-2 바이러스 침투 및 염증으로 인한 직접적인 심근 세포 손상 외에도, COVID-19가 간접적으로 심근염을 유발할 수 있는 다른 기전도 의심되고 있다. 여기에는 심근으로의 산소 공급-요구 불일치, 심장 내 소혈관의 혈전, COVID-19의 전신적인 과염증 상태, 또는 바이러스로 인한 자가면역 매개 손상 등이 포함된다.[63]
대부분의 심근염은 림프구와 대식세포를 포함한 한두 종류의 염증성 혈액 세포, 그리고 이들의 후손인 NK 세포와 대식세포에 의해 심장 조직이 침윤되는 현상을 보인다. 호산구성 심근염은 심장 조직에 호산구라는 다른 종류의 염증성 혈액 세포가 침윤되는 심근염의 한 유형이다. 호산구성 심근염은 다른 원인과 치료법을 가지므로 비호산구성 심근염과 구별된다.[35][20]
개에게서 심근염을 일으키는 감염성 원인으로는 '''콕사키 B군 바이러스'''(가장 흔함), 뇌심근염 바이러스, 개 파보바이러스, 구제역 바이러스, 개 디스템퍼 바이러스, 헤르페스 바이러스, 오제스키병 바이러스, 돼지 생식기 호흡기 증후군 바이러스, 악성 카탈열 바이러스, 블루텅 바이러스 등의 바이러스와, ''Listeria monocytogenes'', ''Actinobacillus equuli'', ''Haemophilis somnus'' 등의 세균, 그리고 톡소플라스마, 트리파노소마 등의 원충이 있다.
2. 1. 감염성 원인
많은 심근염의 원인이 알려져 있지만, 원인 물질을 확인할 수 없는 경우도 많다. 유럽과 북미에서는 바이러스가 흔한 원인이다.[18] 그러나 전 세계적으로 가장 흔한 원인은 샤가스병인데, 이는 중앙 및 남아메리카에서 유행하는 질병으로 원생동물인 ''크루스 트리파노소마'' 감염으로 발생한다.[12]심근염의 가장 흔한 원인은 감염성 병원체이다. 바이러스 감염은 선진국에서 가장 흔한 원인이며, 대부분의 경우 콕사키 바이러스(특히 콕사키 B3 및 B5)와 같이 단일 가닥 RNA 게놈을 가진 바이러스에 의해 발생한다.[19][20] 전 세계적으로 샤가스병은 심근염의 주요 원인이며, 이는 원생동물인 ''크루즈 트리파노소마'' 감염으로 인해 발생한다.[12] 세균도 심근염을 유발할 수 있지만, 정상적인 심장 기능과 기존의 면역 결핍이 없는 환자에게는 드물다.[18][21]
가장 관련성이 높은 감염성 병원체의 목록은 다음과 같다.
| 분류 | 병원체 |
|---|---|
| 바이러스 | 아데노바이러스, 파보바이러스 B19, 콕사키 바이러스, 풍진 바이러스, 소아마비 바이러스, 엡스타인-바 바이러스, C형 간염 바이러스, 인플루엔자 바이러스[22] 및 중증 급성 호흡기 증후군 코로나바이러스 2 (SARS‑CoV‑2, 코로나19 유발)[23][24][25] |
| 원생동물 | 크루즈 트리파노소마 및 톡소플라즈마 곤디 (각각 샤가스병과 톡소플라즈마증 유발)[12][26] |
| 세균 | 브루셀라, 디프테리아균, 임균, 인플루엔자균, 방선균, 트로페리마 휘플라이, 콜레라균, 보렐리아 부르도르페리, 렙토스피라, 리케차, 마이코플라즈마 폐렴균 |
| 진균 | 아스페르길루스 |
| 기생충 | 회충, 에키노코쿠스 과립성조충, 웨스턴 폐흡충, 주혈흡충, 갈고리촌충, 선모충, 내장 유충 이주, 반크로프트 사상충 |
SARS 코로나바이러스나 SARS 코로나바이러스 2 등 코로나바이러스는 장기 세포 표면에 있는 ACE2 수용체에 결합하여 세포 내로 침투한다. 바이러스에 감염된 세포에는 대량의 면역 세포가 모이는데, 면역 세포의 활동으로 심근 내에서 염증이 발생한다.[72][73] 2002년부터 2004년까지의 SARS 유행기에 실시된 연구에서는, 캐나다의 토론토 지역에서, SARS로 사망한 환자의 35%의 심장에서 SARS 바이러스의 RNA가 검출되었다.[74]
2020년 이후 세계적으로 감염이 확산된 코로나19에서는 심근염을 합병하는 사례도 볼 수 있는데, 이는 바이러스에 대해 면역이 과도하게 반응하는 사이토카인 폭풍이 발생하여 심근에 염증을 일으키기 때문으로 생각된다.[75] 코로나19 백신 접종으로 심근염이나 심낭염을 발병하는 경우도 있지만,[76] 대부분의 경우는 경증으로 조기에 개선되고 있으며, 일본 순환기 학회도 백신 접종의 이점은 접종 후의 심근염·심낭염의 위험을 상회한다는 성명을 발표하고 있다.[77]
2. 2. 비감염성 원인
많은 심근염의 원인이 알려져 있지만, 원인 물질을 확인할 수 없는 경우도 많다. 일반적으로 심근염은 감염, 면역 상태, 독소, 약물 반응 및 심장의 물리적 손상으로 인해 발생할 수 있다.[7] 비감염성 원인은 다음과 같다.- 알레르기 반응 (예: 아세타졸아미드 또는 아미트립틸린에 대한 알레르기 반응)
- 가와사키병
- 자가면역 질환 (경피증, 루푸스, 사르코이드증, 그리고 전신 혈관염)[27]
- 독성 쇼크 증후군
- 안트라사이클린 및 기타 형태의 화학 요법
- 항정신병 약물 (예: 클로자핀)
- 알코올
- 메페드론 및 코카인과 같은 흥분제[28]
- 비소
- 일산화탄소
- 뱀 독
- 중금속 (예: 구리 또는 철)[7][29]
- 심근염과 심낭염은 천연두 백신과 같은 일부 백신의 부작용일 수 있다.[30]
- 심근염은 코로나19 mRNA 백신의 부작용일 수 있다. FDA와 EMA는 코로나19 백신 접종 후 심근염 발생 위험을 백신 접종자 10만 명당 1건으로 추정한다.[63][31] 코로나19 백신 접종 후 심근염 위험은 16~29세 남성에게서 가장 높게 나타났으며, mRNA 코로나19 백신 2차 접종 후에 발생했다.[32][33] 이 그룹의 경우 심근염 발생률은 2,500명당 1건에서 10,000명당 1건 사이로 보고되었다.[34]
- 전기 쇼크
- 고열, 그리고 방사선
3. 증상
심근염과 관련된 징후와 증상은 다양하며, 실제 심근(myocardium)의 염증 또는 염증으로 인한 심장 근육의 약화 및 기능 장애와 관련이 있다. 심근염은 몇 시간에서 몇 달에 걸쳐 발생할 수 있지만, 환자는 일반적으로 심부전과 유사한 징후와 증상을 보인다.[6][12]
| 증상 | 참고 | 징후 | 참고 |
|---|---|---|---|
| 흉통 | 종종 날카롭거나 찌르는 듯한 통증으로 묘사됨 | 발열 | 특히 감염성인 경우 (예: 파보 바이러스 B19) |
| 호흡 곤란 | 누워 있거나 엎드린 자세에서 악화됨 | 둔한 심장 소리 | 염증, 특히 심낭염과 함께 둔화 발생 |
| 심계항진 | 심장이 힘차게 뛰는 느낌 | 비정상적인 심장 리듬 | 심전도를 사용하여 결정 |
| 어지럼증 또는 실신 | 뇌로의 부적절한 혈류를 반영할 수 있음 | 심장 세포 손상 | 이미지에서 트로포닌 상승 및 염증으로 확인 |
심근염은 종종 바이러스성 질환으로 인해 발생하므로, 많은 환자가 발열, 발진, 식욕 부진, 복통, 구토, 설사, 관절통, 쉽게 피로해지는 등 최근 바이러스 감염과 일치하는 증상을 경험한다.[13] 또한 심근염은 종종 심낭염과 관련이 있으며, 심근염 환자 중 많은 이들이 심근염과 심낭염을 동시에 시사하는 징후와 증상을 보인다.[14][13]
어린이는 주로 바이러스 감염과 관련된 상기 증상을 보인다.[12] 질병의 후기 단계에서는 호흡기 계통이 관련되어 호흡 곤란이 증가할 수 있는데, 이는 종종 천식으로 오인된다.[12]
SARS-CoV-2 바이러스에 의해 발생하는 질병인 COVID-19 감염 후 심근염의 증상은 흉통, 숨가쁨, 피로, 불규칙한 심박수로 나타날 수 있으며, 이는 심근염의 정확한 진단을 어렵게 만들 수 있다.[60]
심근염 중에서도 심장 기능이 극단적으로 급격하게 저하되어 전신의 순환이 유지되지 않는 심근염을 "극증형 심근염"이라고 부른다.
증상과 소견은 다양하지만, 주로 다음과 같은 것들이 있다. 무증상인 경우도 있고, 급사의 경우도 있다.
바이러스성 심근염에서는 전구 증상으로 오한, 발열, 두통 등의 감기 유사 증상(감기 증후군)이 발병 1~2주 전에 나타나는 경우가 종종 있다. 또한, 구역질이나 설사 등의 소화기 증상을 나타내기도 한다.
4. 분류
조직학적 관점에서 심근염은 4가지로 분류된다. 이 중 림프구성 심근염은 주로 바이러스 감염을 원인으로 하는 경우가 많으며, 나머지 3가지 유형은 심독성 물질, 약물 알레르기, 자가면역, 전신성 질환 등에 동반되어 발병하는 경우가 많다.
'''림프구성 심근염'''은 심근 조직에 T 세포나 B 세포 등의 림프구와 대식세포 등의 침윤을 보인다.
'''호산구성 심근염'''은 심근에 침윤한 호산구의 과립 중에 포함된 eosinophil cationic protein|ECP|호산구 양이온 단백질영어 및 주요 염기성 단백질(MBP) 등의 세포 독성 물질에 의해 발생한다. 방사상의 호산구 침윤 및 탈과립, 심근 세포의 파괴, 그리고 침윤성 염증 세포에 근접한 심근 세포의 손상을 보인다.
'''거대 세포성 심근염'''은 다수의 다핵 거대 세포가 나타나고, 광범위한 심근 괴사가 인정되는 치명적인 심근염이다.
'''육아종성 심근염'''은 심근 조직에서 육아종 발생이 관찰된다.
5. 진단
대부분의 심근염은 림프구와 대식세포를 포함한 한두 종류의 염증성 혈액 세포, 그리고 이 세포들의 두 가지 후손인 NK 세포와 대식세포에 의해 심장 조직이 침윤되는 것을 포함한다. 호산구성 심근염은 심장 조직에 또 다른 종류의 염증성 혈액 세포인 호산구가 침윤되는 심근염의 한 유형으로, 다른 원인과 권장 치료법을 가지고 있다는 점에서 비호산구성 심근염과 구별된다.[35][20]
심근 염증은 C-반응 단백질(CRP), 적혈구 침강 속도(ESR)를 포함한 상승된 염증 지표 또는 심근에 영향을 미치는 것으로 알려진 바이러스에 대한 증가된 IgM (혈청 검사)을 기반으로 의심할 수 있다. 심근 손상 지표(트로포닌 또는 크레아틴 키나아제 심장 동위 효소)가 상승한다.[12] CRP와 ESR은 때때로 심근염에서 상승하지만 다른 많은 원인으로 인해 상승할 수 있으므로 특이적이지 않다.[63] 마찬가지로 CK는 심근염에서 상승할 수 있지만 근염(골격근 손상)에서 상승할 수 있으므로 특이적이지 않다.[63] 고감도 트로포닌은 일반적으로 심근염에서 상승하며 이 지표는 심근(심장 근육) 손상에 매우 특이적이다.[63]
심근 염증은 심전도(ECG) 소견을 기반으로 의심할 수도 있지만 이러한 소견은 심근염에 특이적이지 않다.[39] 심근염에서 가장 흔하게 나타나는 ECG 소견은 비특이적인 ST 또는 T파 변화가 있는 동성 빈맥이다.[39] 그러나 심낭염과 심근염의 조합인 심낭심근염에서 나타날 수 있는 다른 소견으로는 PR 분절 저하, PR 분절 저하와 관련된 ST 분절 상승, 광범위한 ST 분절 상승(심낭염 패턴)이 있다.[39] ST 분절 상승은 심근염 환자의 62%에서 나타났다.[63] Q파의 존재, QRS 복합체 확장, QT 간격 연장, 고도 AV 결절 차단 및 심실 빈맥 부정맥은 심근염 환자의 ECG에서 나타날 경우 예후가 좋지 않다.[39]
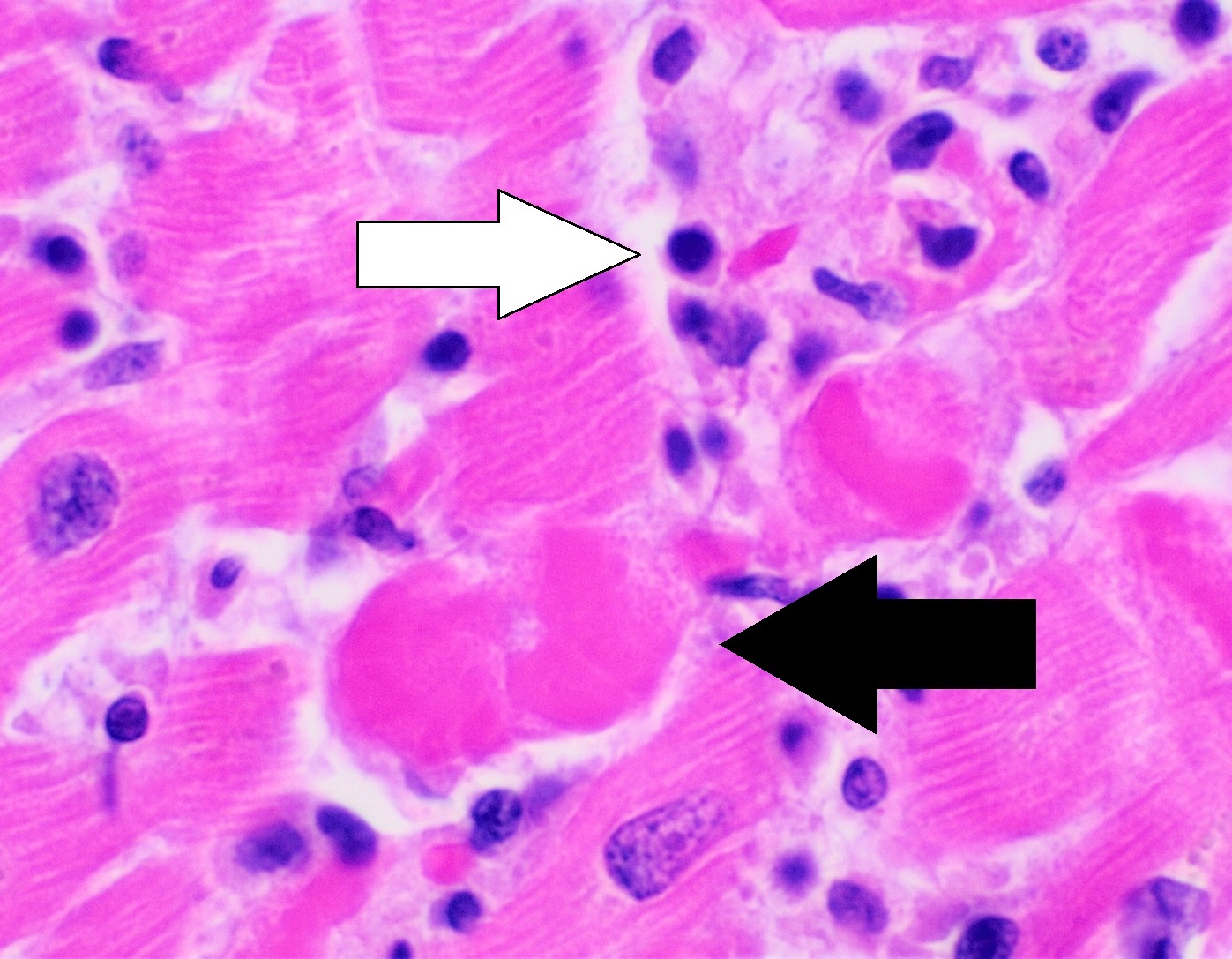
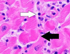
골드 스탠다드는 일반적으로 혈관 조영술 환경에서 수행되는 심근의 생검이다. 심내막과 심근의 작은 조직 표본을 채취하여 검사한다. 심근염의 원인은 생검으로만 확인할 수 있다. 심내막 심근 생검 표본은 조직 병리학(현미경으로 조직이 어떻게 보이는지)에 대해 평가된다. 심근 간질은 부종과 림프구 및 대식세포가 풍부한 염증 침윤을 나타낼 수 있다. 근세포의 국소적인 파괴는 심근 펌프 부전을 설명한다.[12] 또한 면역조직화학으로 표본을 평가하여 반응에 어떤 유형의 면역 세포가 관여하고 어떻게 분포되는지 확인할 수 있다. 또한 특정 바이러스를 식별하기 위해 PCR 및/또는 RT-PCR을 수행할 수 있다.
심장 자기 공명 영상(cMRI 또는 CMR)은 심근의 염증에 대한 지표를 시각화하여 심근염을 진단하는 데 매우 유용한 것으로 나타났다.[40] 심장 MRI는 심근염의 초기 임상 증상이 나타난 후 2~3주 후에 수행할 때 가장 민감하며, 질병의 경과 또는 치료 반응을 모니터링하기 위해 발병 후 6~12개월 후에 반복할 수 있다.[63] 2009년에 설립된 Lake Louise Criteria는 의심되는 경우 심근염 진단을 확립하기 위해 일반적으로 사용되는 MRI 기준이다.[41] Lake Louise Criteria에는 가돌리늄 조영 증강 후 신호 강도 증가(손상된 조직으로의 혈류 증가 또는 과혈류의 징후), 심근 T2 이완 시간 증가 또는 T2 신호 강도 증가(조직 부종 또는 부기 징후) 및 늦은 가돌리늄 조영 증강(조직 괴사(조직 손상) 또는 섬유증(반흔)의 징후)이 포함된다.[63] 2018년에는 T1 신호 강도 증가 및 세포외 부피 증가(둘 다 심근 손상의 징후)를 포함하는 추가적인 방사선 MRI 기준이 추가되었다.[63] 2009년의 원래 Lake Louise Criteria는 심근염 진단에서 74%의 민감도와 86%의 특이성을 보였지만, 2018년 업데이트(T1 신호 강도가 높은 진단 민감도를 갖는 것으로 밝혀짐)를 기준에 추가했을 때 심근염 진단의 민감도와 특이성은 각각 88%와 96%로 증가했다.[63][42] 심장 MRI는 사용할 수 있는 경우 의심되는 모든 심근염 사례에 권장된다.[63]
심근염은 특징적인 소견이 부족한 질환이지만[80], 그나마 특징을 찾을 수 있는 것이 심전도이다. 심근염의 급성기에는, 대부분의 사례에서 완전 방실 블록(II, III도), 음성 T파, ST 변화, 심실성 조기 수축(PVC) 등의 이상이 나타난다. 또한, 이들에 비해 드물지만, 심실 빈맥(VT), 이상 Q파, 심방 세동(AF) 등이 나타나기도 한다. 비특이적 ST 변화는 거의 모든 사례에서 나타난다. R파 감소, 이상 Q파는, 거의 절반에서 나타난다.
또한, 심근 세포의 손상을 유발하므로, 일반 생화학 검사에서는 심근 유출 효소 (CPK, AST, LDH)가 상승한다. 트로포닌 T는 신속 진단 키트가 있으며, 조기부터 이상을 나타내고, 심근 특이적 물질이므로, 진단에 특히 유용하다. BNP, NT-proBNP는 심기능 파악에 유용하다.
심장 초음파에서는, 경도의 내강 확대와 심낭액 저류 외에도, 좌심실의 벽 운동 저하와 박출률의 현저한 저하, 벽 비후 등이 나타난다.



6. 치료
심근염은 다양한 원인을 가지지만, 특정 치료법이 없는 경우가 많아 보조 치료 및 증상 관리에 초점을 맞춘다.[17] 생검으로 확인된 일부 사례에서는 원인 세포 유형에 따라 코르티코스테로이드나 면역억제제를 사용한 치료가 효과적일 수 있다.[44] 호산구성 심근염, 거대 세포 심근염, 심장 사르코이드증은 일반적으로 면역억제 치료에 반응하며, 아자티오프린 및 사이클로스포린을 병용하거나 병용하지 않고 글루코코르티코이드를 투여한다.[63] 이러한 면역 매개 심근염은 면역억제 요법을 장기간 받아야 할 수 있다.[63]
약물 및 기생충은 호산구성 심근염의 흔한 원인이므로, 잠재적 원인에서 배제하는 것이 좋다. 문제 약물 중단 또는 특정 항기생충 치료로 효과를 볼 수 있기 때문이다.[63] 심인성 쇼크, 심부전, 심실성 부정맥, 자가 면역 질환으로 의심되는 방실 차단이 있는 급성 심근염에는 경험적 정맥 내 글루코코르티코이드가 필요하다. 유럽 심장 학회는 면역억제 요법 중단을 유발할 수 있는 바이러스 활성화 위험 때문에 심내막 생검 후 바이러스 게놈 검사를 권장한다.[45]
대부분의 경우, 치료는 환자 지원에 사용되며 증상 및 심근염 발생 시간에 따라 달라진다.[17] 보조 치료는 약물 치료와 기계적 지원의 두 가지 범주로 나뉜다.[46]
환자 지원에 사용되는 약물은 증상이나 징후의 원인과 관련이 있다. 심근염 증상은 울혈성 심부전 증상과 유사하며, 치료법도 마찬가지다.[44] 치료 순서는 심장 기능 부전 정도에 따라 다르며, 환자의 혈압과 호흡 안정이 최우선이다.[17] 여기에는 강심제나 항부정맥제(아데노신, 카르베딜롤) 사용이 포함될 수 있다.[15] 안정적인 환자의 경우, 추가 치료는 심부전 지침을 기반으로 한다.[44] ACE 억제제나 안지오텐신 수용체 차단제(ARB)는 심장 보호 효과가 있어 증상이 있는 심근염 환자에게 일반적으로 사용된다.[63] 베타 차단제는 심박수가 느린 환자에게 사용된다. 휴식 시 숨가쁨과 부기는 푸로세미드와 같은 이뇨제로 완화할 수 있으며, 알도스테론 수용체 차단제는 칼륨 과다 손실을 방지하며 이뇨 작용을 돕는다. 휴식 시 증상이 있는 환자는 디곡신과 같은 약물을 추가할 수 있다.[44][47]
약물만으로 심장 기능 회복이 안 되어 장기 관류를 위한 추가 지원이 필요한 경우, 기계적 보조 장치가 사용된다.[15][16] 기계적 순환 보조가 필요한 심근염은 전격성으로 분류된다.[15] 심실 보조 장치와 같은 대동맥 내 풍선 펌프를 사용해 심장 기능에 추가 지원이 필요한 환자를 도울 수 있다.[15][16] 심정지를 일으킬 정도로 심각한 심근염 환자에게는 혈액을 펌프질하고 산소를 공급하기 위해 체외 막형 산소 공급 장치(ECMO)가 사용된다.[15] 심실 보조 장치와 ECMO는 심장 이식 전까지의 가교 치료로 사용될 수 있다. 심장 이식은 기존 치료에 반응하지 않는 환자를 위해 남겨둔다.[48] 치명적인 심실성 부정맥 위험이 있으므로 심근염으로 인한 심근증 또는 심부전 환자에게는 삽입형 제세동기(ICD)가 필요할 수 있다.[63] ICD 필요성은 심근염 발생 3~6개월 후 평가되며, 임시 치료로 착용형 제세동기가 사용된다.[63]
심장 기능이 급격히 저하되어 전신 순환이 유지되지 않는 심근염을 "극증형 심근염"이라 한다. 강심제나 인공호흡으로도 순환 유지가 어려워, 체외 순환 장치를 장착해 기능 회복을 기다리기도 한다.
현재는 각 바이러스에 대한 항바이러스제 투여 외에는 대증 요법(PCPS나 이뇨제 등)과 스테로이드 계열 항염증제·γ글로불린 투여 외에는 선택지가 없다.
바이러스성 심근염은 특효약이 없어 심부전이나 부정맥 치료를 하고 회복을 기다리는 경우가 많다. 경도일 경우 경과를 관찰하지만, 심부전이 심하면 강심제나 이뇨제를 사용한다.[80] 아데노신이나 카르베딜롤 등의 항부정맥 약물을 사용하기도 한다.
중증 심근염이나 극증형 심근염의 경우, 인공 심폐 장치가 사용될 수 있다. 대동맥 내 풍선 펌프와 같은 심실 보조 장치 외에, 심정지 정도로 중증인 경우에는 체외 막형 산소 공급 장치(ECMO)가 사용된다.
극증형 심근염은 수일에서 1주일 정도면 회복되는 경우가 많지만, 회복되지 않을 경우 심장 이식을 하기도 한다. 인공 심폐 장치를 이식까지의 연결 치료법으로 사용할 수 있다.[80]
7. 예후
심근염과 관련된 예후는 증상이 나타나는 심각성과 시간 경과에 따라 분류된다. 증상의 심각성 외에도 환자 결과를 예측하는 데 사용할 수 있는 심장 기능의 여러 지표가 있으며, 이 중 많은 부분이 심혈관 기능 장애로 나타나는 환자의 표준 평가의 일부이다. 심근염 환자의 대부분은 합병증이 없고, 자연 치유되며, 경미한 경과를 거쳐 완전히 회복된다.[63] 그러나 감소된 심박출 계수를 보이거나, 심부전, 진행된 방실 차단, 지속적인 심실 부정맥 또는 혈역학적 불안정을 보이는 심근염 환자는 사망 위험 증가 또는 심장 이식 필요성으로 인해 예후가 좋지 않다.[63]
심전도는 심근염과 같은 심장 병변이 의심되는 경우에 사용되는 가장 흔한 선별 도구 중 하나이다. 예후가 좋지 않은 것과 관련된 소견은 비특이적이며, 확장된 QRS 복합체와 QT 간격, 부분 또는 완전한 방실 차단, 지속성 심실 빈맥 또는 심실 세동과 같은 악성 심실 부정맥이 포함된다.[49] 그러나 상향 오목성을 동반한 ST 분절 상승 및 조기 재분극 패턴의 심전도 소견은 일반적으로 더 나은 심혈관 예후와 관련이 있다.[49]
급성 심근염의 경우, 심장 자기 공명 영상은 심전도와 유사하게 비특이적이고 좋지 않은 심장 생리를 반영하는 여러 예후 지표를 나타낼 수 있다. 심장 MRI 상의 지연 가돌리늄 조영 증강은 세포 괴사 또는 부종으로 인한 세포 외 부피의 교란을 보여주며, 모든 원인에 의한 사망률, 심혈관 사망률 및 주요 심혈관 부작용 발생 증가와 유의하게 관련이 있다. 이러한 연관성은 지연 가돌리늄 조영 증강이 있을 때 가장 강하게 나타났지만, 전외측 특정 증강 소견에서도 유효했다.[50][51] 좌심실 심박출 계수가 50% 미만인 경우, 사망률 증가 및 주요 심혈관 부작용 발생 증가 사이에도 유사한 관계가 발견되었다.[52]
심근염은 유아, 청소년 및 젊은 성인에서 급성 심장사(SCD)의 주요 원인으로 보고되었지만, 보고된 비율은 SCD 정의 및 사후 심근염 분류/정의의 차이뿐만 아니라 연구 대상의 이질성에 따라 젊은이들 사이에서 1~14%의 광범위한 변동성을 보인다.[53]
염증성 사이토카인 폭풍이 발생하는 "전격성" 심근염의 경우, 심장 기능이 빠르게 저하되고 사망률이 높다.[16]
8. 역학
심근염의 유병률은 연간 인구 10만 명당 약 1~10건으로 추정되며, 더 높게는 연간 10만 명당 22건으로 추정되기도 한다.[63][54] 20세에서 40세 사이의 남성에게서 가장 높게 나타난다.[63] 가장 심각한 유형인 전격성 심근염은 알려진 심근염 발현의 최대 2.5%에서 발생하는 것으로 나타났다. 다양한 원인 중 바이러스 감염이 가장 흔하며 특히 소아에게서 흔하게 나타난다. 그러나 심근염은 간과하기 쉽고 때로는 무증상이므로 유병률이 과소평가되는 경우가 많다.[54] 바이러스 감염으로 인한 바이러스성 심근염은 유전적 숙주 요인과 바이러스 고유의 병원성에 크게 의존한다.[55] 급성 바이러스 감염 양성 반응을 보일 경우, 임상 개발을 통해 해당 인구의 1~5%가 어떤 형태의 심근염을 보일 수 있음이 밝혀졌다.[54]
심근염은 임산부, 어린이 및 면역력이 저하된 사람들에게서 더 흔하게 나타난다.[56] 그러나 여성보다 남성에게서 더 흔하게 나타나는 것으로 밝혀졌다.[54] 여러 연구에서 심근염의 유병률이 여성 대 남성 비율이 1:1.3~1.7이라고 보고하고 있다.[57] 젊은 성인의 경우, 모든 급사의 최대 20%가 심근염으로 인해 발생한다.[12] 특히 젊은 남성은 테스토스테론 수치가 높아 염증 반응이 더 커져 심장 병리의 가능성이 높아지기 때문에 다른 인구보다 발병률이 높다.[54] 남성은 심근염 발생 위험이 높은 경향이 있지만, 여성은 심실 빈맥 및 심실 세동과 같은 더 심각한 징후와 증상을 보이는 경향이 있지만 더 나이가 들어서 나타난다.[54] HIV 환자 중 심근염은 부검에서 가장 흔한 심장 병리학적 소견으로, 유병률이 50% 이상이다.[58]
심근염은 젊은 성인 사망의 세 번째로 흔한 원인이며, 전 세계적으로 연간 인구 10만 명당 1.5건의 누적 발병률을 보인다.[56] 40세 미만의 성인, 젊은 운동선수, 미국 공군 신병, 그리고 엘리트 스웨덴 오리엔티어링 선수 등 다양한 인구 집단에서 급사의 약 20%를 차지한다.[12] 심근염이 발생하는 개인의 경우 첫 해가 어려운데, 일련의 사례에서 20%의 사망률이 나타났기 때문이다.[15] 심근염의 정확한 발생률은 많은 사례가 증상을 동반하지 않아 불분명하다. 그러나 일련의 루틴 부검에서 전체 환자의 1-9%가 심근 염증의 증거를 가지고 있었다.
SARS-CoV-2 바이러스에 의한 바이러스성 심근염의 경우, COVID-19 환자의 약 2-7%에서 심근염이 나타났다.
참조
[1]
서적
Netter's Cardiology E-Book
https://books.google[...]
Elsevier Health Sciences
2010
[2]
논문
Global, regional, and national incidence, prevalence, and years lived with disability for 310 diseases and injuries, 1990-2015: a systematic analysis for the Global Burden of Disease Study 2015
2016-10
[3]
논문
Global, regional, and national life expectancy, all-cause mortality, and cause-specific mortality for 249 causes of death, 1980-2015: a systematic analysis for the Global Burden of Disease Study 2015
2016-10
[4]
논문
Biomarkers for Myocarditis and Inflammatory Cardiomyopathy
2022-10
[5]
논문
Myocarditis and inflammatory cardiomyopathy: current evidence and future directions
2021-03
[6]
논문
Myocarditis
2009-04
[7]
논문
Update on myocarditis
2012-02
[8]
논문
Global, regional, and national incidence, prevalence, and years lived with disability for 301 acute and chronic diseases and injuries in 188 countries, 1990-2013: a systematic analysis for the Global Burden of Disease Study 2013
2015-08
[9]
서적
Cellular and Molecular Pathobiology of Cardiovascular Disease
https://books.google[...]
Academic Press
2013
[10]
논문
Global, regional, and national age-sex specific all-cause and cause-specific mortality for 240 causes of death, 1990-2013: a systematic analysis for the Global Burden of Disease Study 2013
2015-01
[11]
서적
Infectious Diseases in Critical Care Medicine
https://books.google[...]
CRC Press
2009
[12]
논문
Myocarditis
2000-11
[13]
웹사이트
Myocarditis
https://www.lecturio[...]
2021-08-11
[14]
뉴스
Pericarditis
https://www.lecturio[...]
2020-07-23
[15]
논문
Fulminant Myocarditis: Epidemiology, Pathogenesis, Diagnosis, and Management
2019-12
[16]
논문
Fulminant myocarditis: a comprehensive review from etiology to treatments and outcomes
2020-12
[17]
논문
Update on acute myocarditis
2021-08
[18]
논문
Myocarditis
2010-01
[19]
서적
Post-Genomic Cardiology
Academic Press
[20]
논문
Viral myocarditis
2016-07
[21]
논문
Diagnosis, treatment and predictors of prognosis of myocarditis. A narrative review
2021-09
[22]
논문
The cardiovascular manifestations of influenza: a systematic review.
2013-09-10
[23]
논문
Viral causes of human myocarditis
2009-06
[24]
서적
Practical Cardiovascular Pathology
https://books.google[...]
CRC Press
2011
[25]
논문
Myocarditis associated with Covid-19 disease: A systematic review of published case reports and case series
2021-11
[26]
논문
Toxoplasmosis and the Heart
2021-03
[27]
논문
Eosinophilic Myocarditis: Clinical Case and Literature Review
2018-06
[28]
논문
Headshop heartache: acute mephedrone 'meow' myocarditis
2010-12
[29]
논문
Effects of statins on myocarditis: A review of underlying molecular mechanisms
https://researchonli[...]
2021-07
[30]
논문
Myocarditis secondary to smallpox vaccination
2018-03
[31]
Systematic review
Myopericarditis following COVID-19 vaccination and non-COVID-19 vaccination: a systematic review and meta-analysis
2022-07
[32]
논문
Myocarditis Cases Reported After mRNA-Based COVID-19 Vaccination in the US From December 2020 to August 2021
2022-01
[33]
논문
Myocarditis after BNT162b2 mRNA Vaccine against Covid-19 in Israel
2021-12-02
[34]
웹사이트
Do Vaccines Cause Myocarditis and/or Myocardopathy?
https://www.vaccines[...]
2023-01-08
[35]
논문
Eosinophilic cardiac disease: Molecular, clinical and imaging aspects
2015-04
[36]
논문
SARS-coronavirus modulation of myocardial ACE2 expression and inflammation in patients with SARS
2009-07-00
[37]
서적
Robbins Basic Pathology
Saunders Elsevier
2007-00-00
[38]
논문
Diagnosis of myocarditis: death of Dallas criteria
2006-01-00
[39]
논문
Diagnostic and prognostic role of electrocardiogram in acute myocarditis: A comprehensive review
2020-05-00
[40]
논문
Noninvasive imaging in myocarditis
2006-11-00
[41]
논문
Cardiovascular magnetic resonance in myocarditis: A JACC White Paper
2009-04-00
[42]
논문
Diagnostic Performance of Extracellular Volume, Native T1, and T2 Mapping Versus Lake Louise Criteria by Cardiac Magnetic Resonance for Detection of Acute Myocarditis
2018-07-01
[43]
웹사이트
UOTW #7 - Ultrasound of the Week
https://www.ultrasou[...]
2014-06-30
[44]
논문
Management of Myocarditis-Related Cardiomyopathy in Adults
2019-05-00
[45]
논문
2021 ESC Guidelines for the diagnosis and treatment of acute and chronic heart failure
2021-09-21
[46]
논문
Herbal medicines for viral myocarditis
2013-08-00
[47]
논문
2017 ACC/AHA/HFSA Focused Update of the 2013 ACCF/AHA Guideline for the Management of Heart Failure: A Report of the American College of Cardiology/American Heart Association Task Force on Clinical Practice Guidelines and the Heart Failure Society of America
2017-08-00
[48]
논문
Acute viral myocarditis: role of immunosuppression: a prospective randomised study
2010-10-00
[49]
논문
Diagnostic and prognostic role of electrocardiogram in acute myocarditis: A comprehensive review
2020-05-00
[50]
논문
Prognostic Impact of Late Gadolinium Enhancement by Cardiovascular Magnetic Resonance in Myocarditis: A Systematic Review and Meta-Analysis
2021-01-00
[51]
웹사이트
Late gadolinium enhancement
https://radiopaedia.[...]
[52]
논문
The prognostic value of late gadolinium enhancement in myocarditis and clinically suspected myocarditis: systematic review and meta-analysis
2020-05-00
[53]
논문
Sudden cardiac death caused by myocarditis in persons aged 1-49 years: a nationwide study of 14 294 deaths in Denmark
2019-08-19
[54]
논문
Myocarditis
2016-02-00
[55]
논문
Viral myocarditis: from experimental models to molecular diagnosis in patients
2013-11-00
[56]
서적
StatPearls
StatPearls Publishing
2020-00-00
[57]
논문
Sex and gender differences in myocarditis and dilated cardiomyopathy
2013-01-00
[58]
논문
Myocarditis
2009-04-00
[59]
논문
Acute myocarditis associated with COVID-19 infection
2020-11-00
[60]
논문
Presentations, Diagnosis, and Treatment of Post-COVID Viral Myocarditis in the Inpatient Setting: A Narrative Review
2023-05-00
[61]
논문
Systematic Review of COVID-19 Related Myocarditis: Insights on Management and Outcome
2021-02-00
[62]
논문
Myocarditis is rare in COVID-19 autopsies: cardiovascular findings across 277 postmortem examinations
2021-01-00
[63]
논문
Myocarditis
2022-10-20
[64]
웹사이트
COVID-19 Vaccination
https://www.cdc.gov/[...]
2020-02-11
[65]
웹사이트
Coronavirus (COVID-19) vaccines side effects and safety
https://www.nhs.uk/c[...]
2022-02-21
[66]
웹사이트
Risk of Myocarditis Following COVID-19 Vaccine
https://sciencebased[...]
2022-11-02
[67]
서적
Myocarditis Cardiomyopathy
[68]
서적
Praktische Diagnostik der innern Krankheiten: mit vorzüglicher Rücksicht auf pathologische Anatomie
https://wellcomecoll[...]
Hirschwald
1837-00-00
[69]
논문
What is myocarditis?
1985-00-00
[70]
논문
Myocarditis: current trends in diagnosis and treatment
2006-02-00
[71]
간행물
2023年改訂版 心筋炎の診断・治療に関するガイドライン
https://www.j-circ.o[...]
日本循環器学会
2023-09-19
[72]
뉴스
新型コロナ後遺症 ひそかに上がる心血管疾患リスク
https://www.nikkei.c[...]
日本経済新聞
2022-09-27
[73]
논문
COVID-19と循環器疾患
https://doi.org/10.4[...]
2021
[74]
논문
SARS-coronavirus modulation of myocardial ACE2 expression and inflammation in patients with SARS
2009-07
[75]
간행물
新型コロナウイルスと心血管疾患 循環器内科部長 中村真胤
https://www.saijo-c-[...]
西城中央病院
2020-11-01
[76]
웹사이트
ワクチンを接種すると心筋炎や心膜炎になる人がいるというのは本当ですか。
https://www.cov19-va[...]
2023-09-19
[77]
웹사이트
かぜの症状と似ている心筋炎 原因・診断・治療・新型コロナとの関係
https://www.nhk.or.j[...]
2021-11-03
[78]
간행물
心筋炎
http://www.igaku.co.[...]
2023-09-19
[79]
논문
症例 特発性肉芽腫性心筋炎で心外病変を伴った1急死例
https://doi.org/10.1[...]
1991
[80]
웹사이트
主な疾患
https://www.tokushuk[...]
2023-09-19
[81]
웹사이트
心筋炎
https://www.msdmanua[...]
2023-09-19
[82]
웹사이트
心筋炎とは
https://www.jhf.or.j[...]
2023-09-19
[83]
논문
Update on myocarditis.
2012-02-28
[84]
서적
Netter's Cardiology E-Book
https://books.google[...]
Elsevier Health Sciences
2010
[85]
논문
Global, regional, and national incidence, prevalence, and years lived with disability for 310 diseases and injuries, 1990-2015: a systematic analysis for the Global Burden of Disease Study 2015
2016-10-08
[86]
논문
Global, regional, and national life expectancy, all-cause mortality, and cause-specific mortality for 249 causes of death, 1980-2015: a systematic analysis for the Global Burden of Disease Study 2015
2016-10-08
[87]
논문
Myocarditis.
2009-04-09
[88]
논문
Update on myocarditis.
2012-02-28
[89]
논문
Global, regional, and national incidence, prevalence, and years lived with disability for 301 acute and chronic diseases and injuries in 188 countries, 1990-2013: a systematic analysis for the Global Burden of Disease Study 2013.
2015-08-22
[90]
서적
Cellular and Molecular Pathobiology of Cardiovascular Disease
https://books.google[...]
Academic Press
2013
[91]
논문
Global, regional, and national age-sex specific all-cause and cause-specific mortality for 240 causes of death, 1990-2013: a systematic analysis for the Global Burden of Disease Study 2013
2014-12-17
[92]
논문
Global, regional, and national life expectancy, all-cause mortality, and cause-specific mortality for 249 causes of death, 1980-2015: a systematic analysis for the Global Burden of Disease Study 2015
2016-10-08
[93]
서적
Infectious Diseases in Critical Care Medicine
https://books.google[...]
CRC Press
2009
본 사이트는 AI가 위키백과와 뉴스 기사,정부 간행물,학술 논문등을 바탕으로 정보를 가공하여 제공하는 백과사전형 서비스입니다.
모든 문서는 AI에 의해 자동 생성되며, CC BY-SA 4.0 라이선스에 따라 이용할 수 있습니다.
하지만, 위키백과나 뉴스 기사 자체에 오류, 부정확한 정보, 또는 가짜 뉴스가 포함될 수 있으며, AI는 이러한 내용을 완벽하게 걸러내지 못할 수 있습니다.
따라서 제공되는 정보에 일부 오류나 편향이 있을 수 있으므로, 중요한 정보는 반드시 다른 출처를 통해 교차 검증하시기 바랍니다.
문의하기 : help@durumis.com
