암의 원인
"오늘의AI위키"의 AI를 통해 더욱 풍부하고 폭넓은 지식 경험을 누리세요.
1. 개요
암의 원인은 유전적 요인, 환경 및 생활 습관, 감염, 방사선, 화학 물질, 호르몬 등 다양하다. 유전적 요인은 전체 암 발병의 일부를 차지하며, 특정 유전자 돌연변이는 암 발생 위험을 높인다. 환경적 요인으로는 흡연, 음주, 식습관, 비만 등이 있으며, 발암물질 노출, 감염, 방사선 노출 등도 암 발생과 관련이 있다. 이러한 요인들은 DNA 손상, 염증, 호르몬 불균형 등을 통해 암을 유발하며, 장기 이식이나 신체적 트라우마도 드물게 암 발생과 연관될 수 있다.
더 읽어볼만한 페이지
- 병인 - 병인학
병인학은 질병의 원인 물질, 감염 경로, 독소 영향 등을 연구하고 질병 발생의 인과 관계와 위험 요인을 분석하며 복잡한 병인 과정을 규명하는 학문이다. - 종양학 - 이형성
이형성은 세포의 비정상적인 성장과 발달을 특징으로 하는 의학 용어이며, 초기 신생물성 과정을 나타내고 발암 위험을 증가시킬 수 있다. - 종양학 - 전이 (의학)
전이는 암세포가 원발 부위에서 혈관이나 림프관을 통해 다른 부위로 이동하는 과정으로, 폐, 간, 뇌, 뼈 등에 흔히 발생하며 다양한 증상을 유발하고, 상피-간엽 전이 및 간엽-상피 전이 가설, 암줄기세포 가설 등 복잡한 기전을 통해 림프관, 혈행, 체강 등 여러 경로를 거쳐 진행되며, 조직검사, 영상 검사 등으로 진단하고 방사선수술, 항암화학요법, 방사선치료 등으로 치료한다. - 병리학 - 림프병
림프병은 림프계에 발생하는 다양한 질환을 포괄하는 용어로, 림프종, 림프절염, 림프관염, 림프부종, 림프구증가증 등을 포함하며 림프계 기능 이상을 초래한다. - 병리학 - 염증
염증은 손상이나 감염에 대한 신체의 방어 반응으로, 급성 또는 만성으로 나타나며 발적, 부종, 통증 등의 국소적 증상과 피로, 발열 등의 전신적 증상을 동반하고, 물리적, 화학적, 생물학적, 심리적 요인 등 다양한 원인에 의해 발생하며, 비만, 노화, 다양한 질병과 관련이 있다.
암의 원인 | |
---|---|
일반 정보 | |
질병 종류 | 비감염성 질병 |
임상 진료 과목 | 종양학 |
ICD-11 | 2C00–2C0Z |
ICD-10 | C00–D49 |
ICD-9 | 140–239 |
OMIM | 114480 |
DiseasesDB | 2594 |
MedlinePlus | 001023 |
원인 | |
주요 원인 | 유전체 불안정성 후성유전학 암 유전자 종양 억제 유전자 |
예방 | |
예방 방법 | 금연 건강한 체중 유지 알코올 섭취 제한 백신 접종 특정 화학 물질에 대한 노출 제한 |
치료 | |
치료 방법 | 수술 화학 요법 방사선 요법 면역 요법 표적 요법 |
역학 | |
사망자 수 | 2018년에 960만 명 |
2. 유전적 요인
유전성 종양은 확인된 것만 50종류 이상이 있지만, 인류 전체의 0.3% 미만만이 종양과 관련된 돌연변이 유전자를 보유하고 있으며, 전체 암 발병 사례의 3~10% 미만을 차지한다.[87] 암 대부분은 유전되지 않으며, 유전성 암은 유전된 돌연변이 유전자로 인해 발병한다. 암 증후군은 유전자 이상을 말하며, 해당 돌연변이 유전자를 받은 사람은 암이 조기 발병하거나, 암의 발달이 더 쉬워진다. 암 증후군이 있는 사람의 암 발병률 자체는 일반 사람보다 높지만, 경우에 따라 발병률의 증가율은 다르며, 일부는 암의 발병률이 증가하기는 하지만 암 자체가 매우 드물게 발생하기도 한다.
암 증후군 대부분은 세포 분열을 조절하는 종양억제유전자의 돌연변이로 인해 나타나며, 그 외에 DNA 수선 유전자, 암유전자, 혈관신생 유전자에 돌연변이가 일어나기도 한다.[96] BRCA1과 BRCA2 유전자에 나타나는 특정 돌연변이는 유방암과 난소암의 발병률을 75% 이상 높이며,[87] 가족성 샘종 폴립증이나 유전성 비폴립 대장암을 일으키는 유전자는 대장암을 일으키는데, 이는 전체 대장암 발병 사례의 5% 미만이다.[97] 대부분 암을 일으키는 유전자는 유전자 검사를 통해 찾아낼 수 있다.
50가지가 넘는 식별 가능한 유전성 암 형태가 있지만, 암 관련 유전자 돌연변이 보인자는 인구의 0.3% 미만이며, 이는 전체 암 사례의 3~10% 미만을 차지한다.[3] 대부분의 암은 비유전성("산발성 암")이다. 유전성 암은 주로 유전된 유전적 결함으로 인해 발생한다. 암 증후군 또는 가족 암 증후군은 하나 이상의 유전자의 유전적 돌연변이로 인해 영향을 받는 개인이 암 발생에 취약해지고 이러한 암의 조기 발병을 유발할 수 있는 유전 질환이다. 암 증후군은 암 위험 증가를 나타내지만, 위험은 다양하다. 이러한 질병 중 일부의 경우 암은 주요 특징이 아니며 드문 결과이다.
많은 암 증후군 사례는 세포 성장을 조절하는 종양 억제 유전자의 돌연변이로 인해 발생한다. 다른 일반적인 돌연변이는 DNA 복구 유전자, 암 유전자 및 혈관 생성과 관련된 유전자의 기능을 변경한다.[12] ''BRCA1'' 및 ''BRCA2'' 유전자의 특정 유전 돌연변이는 유방암 및 난소암 위험이 75% 이상이다.[3] 대장암을 유발할 수 있는 유전 질환 중 일부에는 가족성 선종성 용종증과 유전성 비폴립증 대장암이 포함되지만, 이는 대장암 사례의 5% 미만을 나타낸다.[13] 많은 경우, 유전자 검사를 사용하여 세대를 거쳐 전달되는 돌연변이 유전자 또는 염색체를 식별할 수 있다.
모세혈관확장성운동실조증, 블룸 증후군, BRCA1 및 BRCA2, 판코니 빈혈, 가족성 샘종 폴립증, 유전성 유방암-난소암 증후군, 유전성 비폴립 대장암, 리프라우메니 증후군, 모반모양 기저세포암종증후군, 본히펠-린다우병, 베르너 증후군, 색소성 건피증 등이 암을 유발할 수 있다.
2. 1. 암 증후군
모세혈관확장성운동실조증, 블룸 증후군, BRCA1 및 BRCA2, 판코니 빈혈, 가족성 샘종 폴립증, 유전성 유방암-난소암 증후군, 유전성 비폴립 대장암, 리프라우메니 증후군, 모반모양 기저세포암종증후군, 본히펠-린다우병, 베르너 증후군, 색소성 건피증 등이 암을 유발할 수 있다.2. 2. 유전자 검사
3. 환경 및 생활 습관 요인
특정 물질들은 암의 발병과 연관이 있는데, 이를 흔히 발암물질이라고 부른다. 방사선을 제외한 대표적인 발암물질은 석면, 다이옥신 일부, 담배 연기가 있다. 보통 인공적으로 합성한 화학 물질과 암을 연관시키기 쉽지만, 자연적인 물질에서도 충분히 암이 발병할 수 있다.[98] 미국을 기준으로 매년 암 발병자 4만 명과 암 사망자 2만 명 가량이 직업과 연관된 발병으로 추정하고 있으며,[99] 세계적으로 매년 20만 명 가량이 직업과 관련되어 발병한 암으로 인해 사망한다.[100] 업무 환경에서 벤젠 흡입으로 인한 백혈병 발병이나, 석면 및 담배 연기 흡입으로 인한 폐암 및 중피종 발병 위험에 노출된 인구는 수백만 명에 달하며,[100] 직업과 관련된 암 발병은 전체 암 발병의 2~20% 가량을 차지하는 것으로 보고 있다.[101] 직업과 관련된 암으로 인해 사망하는 경우는 대부분 선진국에서 나타나며,[100] 폐암, 대장암, 유방암, 전립선암과 업무 스트레스 사이에는 큰 관련이 없음이 밝혀져 있다.[102]
생활적 요소 일부는 암 발병 확률을 높일 수 있다. 식습관과 비만증과 관련된 암 사망자는 전체 암 사망자의 30~35% 가량을 차지한다.[93][118] 흔히 암 예방을 위해 권장하는 식습관은 채소, 과일, 전곡, 생선을 많이 섭취하고, 가공육, 붉은 고기, 동물성 지방, 정제 탄수화물의 섭취를 삼가라는 것인데,[119] 이러한 식습관이 얼마나 도움이 되는지는 확실히 밝혀져 있지 않다.[120]
담배 흡연은 여러 암과 연관되어 있으며,[104] 폐암 발병 사례의 80%를 차지한다.[105] 수십 년 간의 연구 결과, 담배 흡연과 폐, 후두, 머리, 목, 배, 방광, 콩팥, 식도, 이자에 발생하는 암 사이에 관련이 있음이 증명되어 있으며,[106] 골수성 백혈병, 편평상피비부비동암, 간암, 대장암, 쓸개암, 부신암, 소장암 등의 발병률을 증가시킨다는 증거도 존재한다.[106] 궐련에 있는 유독 물질 7개는 기도 내 발암과 관련이 있는데,[107] 이는 물질 중 아크릴로나이트릴과 아크롤레인이 산화스트레스와 산화 DNA 손상을 일으키기 때문으로 보고 있다.[108][109] 다른 다섯 물질인 아세트알데하이드, 카드뮴, 산화 에틸렌, 폼알데하이드, 이소프렌은 DNA와의 직접적 상호작용을 포함해 다양한 기작을 거쳐 작용한다. 담배 연기에는 나이트로사민이나 여러 고리 방향족 탄화 수소 등 발암물질 50종 이상이 포함되어 있다.[110] 담배는 선진국에서의 암 사망자 중 3분의 1,[104] 전 세계에서의 암 사망자 중 5분의 1을 차지한다.[110] 미국에서는 흡연율과 폐암 발병률이 서로 닮은 경향을 보이는데, 대표적으로 1950년대 흡연율이 감소하자 1990년 이후 남성의 폐암 사망률이 감소하는 모습을 보였다.[111][112] 하지만 전 세계적으로 흡연율은 꾸준히 증가하는 추세로, 일부 기관에서는 이 현상을 '담배 범유행'으로 부르기도 한다.[113]
전자 담배는 고전압 (5.0 V) 기기를 장기간 이용할 경우 폼알데하이드를 일반적인 흡연시보다 더 많이 발생시켜, 장기적으로 암 발병률을 5~15배 증가시킨다.[114] 하지만 전자 담배의 안정성이나 의학적 영향은 아직 확실하게 밝혀져 있지 않다.[115]
흔히 술로 섭취하는 알코올은 대표적인 화학적 발암물질로, 세계보건기구에서는 알코올을 1등급 발암물질로 분류한다.[121] 서유럽에서는 남성 암 발병의 10%, 여성 암 발병의 3% 가량이 알코올과 관련되어 있으며,[122] 전 세계적으로는 암 발병의 3.6%, 암 사망의 3.5%가 알코올과 관련되어 있다.[123] 알코올을 섭취할 경우 입, 식도, 인두, 후두, 위, 간, 난소, 결장에서 암이 발생할 확률이 높아진다.[124]
알코올로 인해 암이 발생하는 이유는, 에탄올이 분해되며 생기는 아세트알데하이드가 발암물질이기 때문이다.[125] 아세트알데하이드는 DNA 손상의 일종인 DNA 결속손상을 일으키는데, 이 손상을 복구하기 위해 복제 과정에서 생긴 부정확한 DNA 복구 전도로를 사용하며,[126] 이로 인해 돌연변이의 빈도가 증가하고 방향성이 바뀐다.[85] 이 외에도 알코올 관련 영양실조, DNA 메틸화의 변화, 세포에서의 산화 스트레스 유도 등, 다른 기작이 일어날 가능성도 제기되어 있다.[127]
특정 음식은 특정 암을 유발하는 것으로 알려져 있다. 연구를 통해 가공육이나 붉은 고기를 섭취할 경우 유방암, 전립선암, 이자암에 걸릴 가능성이 높다는 사실이 밝혀졌는데,[128][44] 이는 음식을 고온에서 조리할 경우 발암물질이 생기는 현상과 관련이 있다.[129][45] 대장암을 유발하는 요소에는 지방, 알코올, 가공육, 붉은 고기의 다량 섭취와, 비만 및 물리적 운동 부족이 있다.[130][46] 소금을 많이 섭취할 경우 위암이 생길 수 있고,[131][47] 음식에 간혹 포함되는 독소인 아플라톡신 B1은 간암과 관련이 있다.[131] 빈랑 씹는 행위는 구강암을 유발한다.[47]
암과 식습관 사이에 관련이 있다면, 나라별로 암이 발병하는 양상이 다른 현상을 설명할 수 있다. 예를 들어, 일본은 소금을 많이 사용하는 식문화를 가져 위암의 발병율이 높고, 미국은 가공육 및 붉은 고기를 많이 섭취해 대장암의 발병율이 높다.[132][48] 이민 집단은 1~2세대가 지난 후 새 정착지의 암 발병 양상을 따라가는 경향을 보이는데, 이 또한 식습관과의 연관으로 볼 수 있다.[133][134][49][50]
쥐의 먹이에 인간의 고지방 음식과 비슷한 농도인 디옥시콜산을 첨가하였을 때, 이후 10개월 간 쥐의 45%~56%가 대장암이 발병했으며, 디옥시콜산을 첨가하지 않은 쥐는 한 마리도 암이 생기지 않았다.[135][136][51][52] 최근 미생물 대사와 암 사이의 관련성을 조사한 연구에서는, 여성의 몸 속에 있는 디옥시콜산과 대장암 발병 위험 사이에 연관이 있다는 결과를 보였다.[137][53]
미국에서는 전체 암 사망자 중 14~20% 가량이 과체중과 연관되어 있으며,[118][34] 비만과 관련된 연간 신규 암 환자 수는 85,000명에 달한다.[118][54] 체중 감소를 위해 비만대사 수술을 받은 사람은 암 발병률과 사망률이 모두 감소하였다.[138][54]
비만과 대장암, 폐경 후 유방암, 자궁내막암, 신장암, 식도암 사이에는 연관이 있으며,[138][54] 간암의 발달 과정과도 관련이 있다.[139][55] 현재 비만과 암이 관련된 이유는, 인슐린 등 대사 단백질과 성호르몬(에스트로겐, 안드로겐, 프로게스타겐)이 비정상적으로 많아지기 때문으로 보고 있으며,[138][54] 지방 조직은 암이 생기기 쉬운 염증 환경을 만들며,[140][56] 지방 조직 조절 장애가 생길 경우, 산화 스트레스로 인해 DNA 손상 및 유전자 불안정성이 초래된다.[141][57]
물리적 운동 부족은 체중 증가에 더해, 면역계와 내분비계에도 부정적 영향을 끼친다.[118][34] 식습관과 관련된 문제 중 절반 이상은 영양소 부족이 아닌 영양소 과다로 인해 발생한다.[138][54]
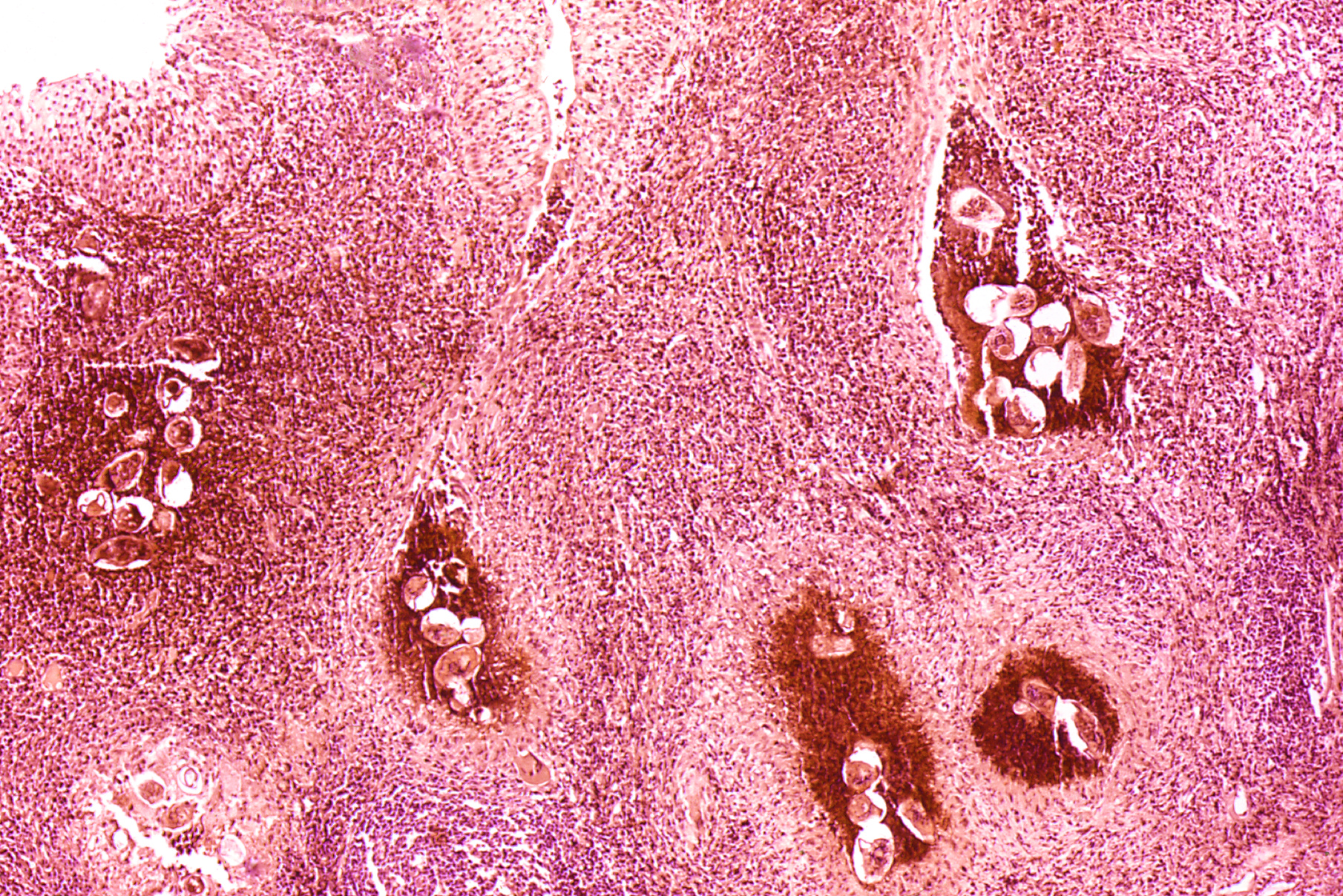
전 세계적으로 발생한 암의 약 18%는 감염과 관련이 있다.[93][144][9][60] 이 비율은 지역에 따라 다른데, 아프리카에서는 25%에 달하지만 선진국에서는 10% 미만이다.[93][9] 암을 유발하는 주요 감염원은 바이러스지만, 세균과 기생충도 암 발생에 기여할 수 있다. DNA 손상이나 유전체 불안정성을 일으키는 감염원이 암의 발병률을 높인다.
종양바이러스라고 불리는, 바이러스 감염으로 인해 발생하는 대표적인 암으로는 간암과 자궁경부암이 있다.[145][61] 인유두종 바이러스(자궁경부암), 엡스타인-바 바이러스(림프증식성질환 및 비인두암), KSHV(카포시육종 및 원발삼출림프종), B형 간염 바이러스 및 C형 간염 바이러스(간세포암), 사람T세포림프친화바이러스 1형(T세포 급성림프구백혈병) 등이 이에 해당한다. 서구권에서 가장 흔한 종양바이러스는 인유두종 바이러스, B형 간염 바이러스, C형 간염 바이러스이다.[146][62] 미국에서는 인유두종 바이러스가 자궁경부암 외에도 질암, 외음부암, 음경암, 항문암, 직장암, 인후암, 설암, 편도선암 등을 유발한다.[147][63] 인유두종 바이러스의 E6 및 E7 암유전자는 세포 감염 시 종양억제유전자를 비활성화시키고, 세포의 유전자 불안정성을 높여 암 발병 가능성을 증가시킨다.[148][64] B형 간염 바이러스 감염자는 비감염자보다 간암 발병 가능성이 200배 높다.[149][65] 간경화증은 간염 바이러스나 과도한 알코올 섭취로 인해 발생하는데, 간경화증과 바이러스 감염이 동시에 발생하면 간암 발병 위험이 가장 높다.[149][65]
위나선균에 의해 발병하는 위암 등, 일부 기생충 감염도 발암 가능성을 높인다.[150][66] 위나선균이 위암을 유발하는 원리는 염증이나 세균의 독력인자로 인한 것으로 추정된다.[151][67] 암을 유발하는 주요 기생충으로는 빌하르츠 주혈흡충(방광암), 간흡충류, 타이간흡충, 간흡충(담관암)이 있으며, 기생충이 낳는 알로 인해 생기는 염증이 암을 유발하는 것으로 보인다.[152][68] 기생충 감염은 체내 발암물질을 증가시켜 암을 촉진하기도 한다.[153][69] 미코박테륨인 결핵균 감염으로 인해 생기는 결핵과 폐암 사이에도 관련성이 존재한다.[154][70]
연구에 따르면, 염증 자체가 암 발생 및 발달에 영향을 준다.[155] 만성 염증은 DNA 손상을 누적시키고, 암 세포를 생성하는 돌연변이를 축적하며,[156] 종양 주변 환경에 영향을 주어 암 세포 확산, 생존, 혈관 형성, 전이에 영향을 준다.[157] 염증성 장질환 환자는 대장암 발생 가능성이 높다.[97]
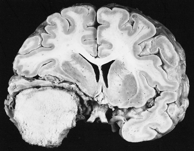
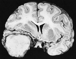
침습성 암의 약 10%는 비이온화 방사선과 이온화 방사선을 포함한 방사선 노출과 관련되어 있다.[9] 이온화 방사선은 세포 내 분자에 무작위로 충돌하여 염색체를 파괴하거나 염색체 수 이상을 유발하고, 유전자를 비활성화하거나 DNA 서열 일부를 삭제하며, 염색체 전좌 등 다양한 염색체 이상을 일으킬 수 있다.[74] 특히 종양 억제 유전자가 손상될 경우 암 발생 확률이 높아진다.[74] 암 발생 과정은 세포 형태 변화, 세포 영생 획득, 종양 형성 적응의 3단계로 이루어진다.[74] 방사선은 DNA에 직접 충돌하지 않더라도 세포 반응을 촉진하여 돌연변이 확률을 높인다.[74]
모든 전자기 방사선이 암을 유발하는 것은 아니다. 전파, 마이크로파, 적외선, 가시광선 등 저에너지 방사선은 화학 결합을 깰 에너지가 부족하여 암을 유발하지 않는다. 휴대 전화 및 송전 등에서 발생하는 비이온화 무선 주파수 방사선은 세계 보건 기구 국제 암 연구 기관에서 발암 가능성이 있는 물질로 분류되었으나,[75][76] 연구 결과 휴대 전화 방사선과 암 위험 사이의 연관성은 밝혀지지 않았다.[77]
자외선, 엑스선, 감마선 등 고에너지 방사선은 다량 노출 시 암을 유발한다. 태양의 자외선에 장기간 노출되면 흑색종 등 피부 악성 종양이 발생할 수 있다.[78] 비침습성 암의 대부분은 비이온화 자외선으로 인한 비흑색종 피부암이며, 특히 중파장 UVB가 주원인이다.[78]
이온화 방사선의 주요 원인은 의학촬영과 라돈 기체이다. 이온화 방사선은 강력한 돌연변이 유발 물질은 아니지만,[74] 의학적 사용으로 인한 방사선 유발암은 증가 추세에 있다. 방사선 치료는 다른 암을 치료하는 데 사용되지만, 2차 암을 유발할 수 있다.[74] 방사선 유발 고형 종양은 10~15년, 최대 40년, 백혈병은 2~10년 후에 나타난다.[74] 방사선 유발 뇌수막종은 두개 방사선의 드문 합병증이다.[79] 모반모양 기저세포암종증후군이나 망막모세포종 환자는 방사선 노출에 의한 암 발생 가능성이 높다.[74] 어린이와 청소년은 성인보다 방사선 유발 백혈병 발생 확률이 2배 높고, 출생 전 노출은 10배 높다.[74]
핵의학은 방사성 의약품을 혈류에 주사하고, 방사선 치료는 종양과 주변 조직에 고선량 방사선을 사용한다. 2007년 미국 암의 0.4%는 CT 촬영으로 인한 것으로 추정되며, CT 사용 증가에 따라 1.5~2%까지 증가할 수 있다.[80]
라돈 기체 흡입은 간접 흡연과 유사한 암 위험을 가진다.[74] 원자력 발전소 인근 거주 등 저선량 노출은 암 발달에 영향이 거의 없거나 전혀 없는 것으로 여겨진다.[74] 방사선은 라돈 가스 노출, 흡연 등 다른 발암 물질과 결합될 때 더 강력한 암 원인이 된다.[74]
일부 물질은 세포와의 물리적 상호작용을 통해 발암을 일으킨다.[116] 석면에 장기간 노출될 경우 폐를 두른 장막에 생기는 암인 중피종이 발생할 수 있다.[116] 석회와 유사한 섬유 형태의 자연 물질인 규회석, 팔리고르스카이트, 인공 물질인 유리솜, 암면 또한 비슷한 효과를 보인다.[116] 섬유 형태가 아닌 물질 중 발암을 일으키는 물질은 금속 코발트와 니켈의 가루 및 이산화 규소 (석영, 크리스토발라이트, 인규석) 가루가 있다.[116] 보통 물리적 발암원은 작은 가루를 들이마시는 등 신체 안으로 들어와야 하며, 암이 나타나기까지 수 년 이상 계속적으로 노출되어야 한다.[116]
일반적인 직업성 발암 물질에는 다음이 포함된다:[117]
호르몬은 일부 암의 세포 생장을 촉진시켜 암 발달에 기여한다.[142] 인슐린 유사 성장 인자와 결합 단백질은 암 세포의 성장, 분화, 세포자살에 중요한 역할을 하며, 발암에도 영향을 줄 수 있다.[143]
호르몬은 유방암, 자궁내막암, 전립선암, 난소암, 정소암 등 성 관련 암과 갑상선암 및 골종양에서 중요한 전달자 역할을 한다.[142] 예를 들어 유방암이 있는 여성의 딸은 에스트로겐과 프로게스테론 농도가 높아 유방암 발생률이 높게 나타나며, 이는 호르몬과 유방암 발생 간의 관련성을 시사한다.[142] 아프리카 남성은 테스토스테론 농도가 높아 전립선암 발병률이 높고, 아시아 남성은 테스토스테론 활성화 물질 농도가 낮아 전립선암 발병률이 낮다.[142] 호르몬 대체요법을 받는 여성은 호르몬 관련 암 발생 가능성이 높으며, 성장 호르몬은 골육종을 촉진하기도 한다.[142] 암 치료 방법 중에는 호르몬 수치를 낮춰 종양 성장을 억제하거나 암 세포 자살을 유도하는 방법도 있다.[142]

장기 이식으로 인해 종양이 발달하는 경우는 드물지만, 이식 당시 발견되지 않은 흑색종이 원인으로 작용할 수 있다.[165][81] 바이러스 감염 장기 세포가 이식 후 종양으로 발달하여 카포시육종을 유발한 사례도 보고되었다.[166][82]
신체적 트라우마로 인해 암이 발병하는 경우는 거의 없으며,[167] 골절 후 뼈암 발생 주장은 증명되지 않았다.[167] 자궁경부암, 유방암, 뇌암의 원인으로 신체적 트라우마가 인정된 적은 없다.[167] 유일하게 인정된 경우는 뜨거운 물체가 장기간 접촉했을 경우(예: 손난로)로, 피부암을 유발할 수 있다.[167] 뜨거운 음료 섭취는 식도암을 유발할 수 있다.[167] 신체적 트라우마 자체가 암을 유발하는 것이 아니라, 회복 과정에서 세포 증식이 촉진되어 돌연변이 발생 확률이 높아질 수 있다.[167]
미국에서 매년 임신부 3,500명 가량에서 악성 종양이 발생하며, 태반을 통해 태아에게 급성 백혈병, 림프종, 흑색종, 암종이 전이될 수 있다.[168] 암은 감염되지 않는데, 이는 주조직 적합성 복합체의 조직 적합성 불일치로 인한 거부 반응 때문이다.[168]
3. 1. 흡연
담배 흡연은 여러 암과 연관되어 있으며,[104] 폐암 발병 사례의 80%를 차지한다.[105] 수십 년 간의 연구 결과, 담배 흡연과 폐, 후두, 머리, 목, 배, 방광, 콩팥, 식도, 이자에 발생하는 암 사이에 관련이 있음이 증명되어 있으며,[106] 골수성 백혈병, 편평상피비부비동암, 간암, 대장암, 쓸개암, 부신암, 소장암 등의 발병률을 증가시킨다는 증거도 존재한다.[106] 궐련에 있는 유독 물질 7개는 기도 내 발암과 관련이 있는데,[107] 이는 물질 중 아크릴로나이트릴과 아크롤레인이 산화스트레스와 산화 DNA 손상을 일으키기 때문으로 보고 있다.[108][109] 다른 다섯 물질인 아세트알데하이드, 카드뮴, 산화 에틸렌, 폼알데하이드, 이소프렌은 DNA와의 직접적 상호작용을 포함해 다양한 기작을 거쳐 작용한다. 담배 연기에는 나이트로사민이나 여러 고리 방향족 탄화 수소 등 발암물질 50종 이상이 포함되어 있다.[110] 담배는 선진국에서의 암 사망자 중 3분의 1,[104] 전 세계에서의 암 사망자 중 5분의 1을 차지한다.[110] 미국에서는 흡연율과 폐암 발병률이 서로 닮은 경향을 보이는데, 대표적으로 1950년대 흡연율이 감소하자 1990년 이후 남성의 폐암 사망률이 감소하는 모습을 보였다.[111][112] 하지만 전 세계적으로 흡연율은 꾸준히 증가하는 추세로, 일부 기관에서는 이 현상을 '담배 범유행'으로 부르기도 한다.[113]
전자 담배는 고전압 (5.0 V) 기기를 장기간 이용할 경우 폼알데하이드를 일반적인 흡연시보다 더 많이 발생시켜, 장기적으로 암 발병률을 5~15배 증가시킨다.[114] 하지만 전자 담배의 안정성이나 의학적 영향은 아직 확실하게 밝혀져 있지 않다.[115]
3. 2. 음주
흔히 술로 섭취하는 알코올은 대표적인 화학적 발암물질로, 세계보건기구에서는 알코올을 1등급 발암물질로 분류한다.[121] 서유럽에서는 남성 암 발병의 10%, 여성 암 발병의 3% 가량이 알코올과 관련되어 있으며,[122] 전 세계적으로는 암 발병의 3.6%, 암 사망의 3.5%가 알코올과 관련되어 있다.[123] 알코올을 섭취할 경우 입, 식도, 인두, 후두, 위, 간, 난소, 결장에서 암이 발생할 확률이 높아진다.[124]
알코올로 인해 암이 발생하는 이유는, 에탄올이 분해되며 생기는 아세트알데하이드가 발암물질이기 때문이다.[125] 아세트알데하이드는 DNA 손상의 일종인 DNA 결속손상을 일으키는데, 이 손상을 복구하기 위해 복제 과정에서 생긴 부정확한 DNA 복구 전도로를 사용하며,[126] 이로 인해 돌연변이의 빈도가 증가하고 방향성이 바뀐다.[85] 이 외에도 알코올 관련 영양실조, DNA 메틸화의 변화, 세포에서의 산화 스트레스 유도 등, 다른 기작이 일어날 가능성도 제기되어 있다.[127]
3. 3. 식이 요인
특정 음식은 특정 암을 유발하는 것으로 알려져 있다. 연구를 통해 가공육이나 붉은 고기를 섭취할 경우 유방암, 전립선암, 이자암에 걸릴 가능성이 높다는 사실이 밝혀졌는데,[128][44] 이는 음식을 고온에서 조리할 경우 발암물질이 생기는 현상과 관련이 있다.[129][45] 대장암을 유발하는 요소에는 지방, 알코올, 가공육, 붉은 고기의 다량 섭취와, 비만 및 물리적 운동 부족이 있다.[130][46] 소금을 많이 섭취할 경우 위암이 생길 수 있고,[131][47] 음식에 간혹 포함되는 독소인 아플라톡신 B1은 간암과 관련이 있다.[131] 빈랑 씹는 행위는 구강암을 유발한다.[47]암과 식습관 사이에 관련이 있다면, 나라별로 암이 발병하는 양상이 다른 현상을 설명할 수 있다. 예를 들어, 일본은 소금을 많이 사용하는 식문화를 가져 위암의 발병율이 높고, 미국은 가공육 및 붉은 고기를 많이 섭취해 대장암의 발병율이 높다.[132][48] 이민 집단은 1~2세대가 지난 후 새 정착지의 암 발병 양상을 따라가는 경향을 보이는데, 이 또한 식습관과의 연관으로 볼 수 있다.[133][134][49][50]
쥐의 먹이에 인간의 고지방 음식과 비슷한 농도인 디옥시콜산을 첨가하였을 때, 이후 10개월 간 쥐의 45%~56%가 대장암이 발병했으며, 디옥시콜산을 첨가하지 않은 쥐는 한 마리도 암이 생기지 않았다.[135][136][51][52] 최근 미생물 대사와 암 사이의 관련성을 조사한 연구에서는, 여성의 몸 속에 있는 디옥시콜산과 대장암 발병 위험 사이에 연관이 있다는 결과를 보였다.[137][53]
3. 4. 비만
미국에서는 전체 암 사망자 중 14~20% 가량이 과체중과 연관되어 있으며,[118][34] 비만과 관련된 연간 신규 암 환자 수는 85,000명에 달한다.[118][54] 체중 감소를 위해 비만대사 수술을 받은 사람은 암 발병률과 사망률이 모두 감소하였다.[138][54]비만과 대장암, 폐경 후 유방암, 자궁내막암, 신장암, 식도암 사이에는 연관이 있으며,[138][54] 간암의 발달 과정과도 관련이 있다.[139][55] 현재 비만과 암이 관련된 이유는, 인슐린 등 대사 단백질과 성호르몬(에스트로겐, 안드로겐, 프로게스타겐)이 비정상적으로 많아지기 때문으로 보고 있으며,[138][54] 지방 조직은 암이 생기기 쉬운 염증 환경을 만들며,[140][56] 지방 조직 조절 장애가 생길 경우, 산화 스트레스로 인해 DNA 손상 및 유전자 불안정성이 초래된다.[141][57]
물리적 운동 부족은 체중 증가에 더해, 면역계와 내분비계에도 부정적 영향을 끼친다.[118][34] 식습관과 관련된 문제 중 절반 이상은 영양소 부족이 아닌 영양소 과다로 인해 발생한다.[138][54]
3. 5. 감염
전 세계적으로 발생한 암의 약 18%는 감염과 관련이 있다.[93][144][9][60] 이 비율은 지역에 따라 다른데, 아프리카에서는 25%에 달하지만 선진국에서는 10% 미만이다.[93][9] 암을 유발하는 주요 감염원은 바이러스지만, 세균과 기생충도 암 발생에 기여할 수 있다. DNA 손상이나 유전체 불안정성을 일으키는 감염원이 암의 발병률을 높인다.종양바이러스라고 불리는, 바이러스 감염으로 인해 발생하는 대표적인 암으로는 간암과 자궁경부암이 있다.[145][61] 인유두종 바이러스(자궁경부암), 엡스타인-바 바이러스(림프증식성질환 및 비인두암), KSHV(카포시육종 및 원발삼출림프종), B형 간염 바이러스 및 C형 간염 바이러스(간세포암), 사람T세포림프친화바이러스 1형(T세포 급성림프구백혈병) 등이 이에 해당한다. 서구권에서 가장 흔한 종양바이러스는 인유두종 바이러스, B형 간염 바이러스, C형 간염 바이러스이다.[146][62] 미국에서는 인유두종 바이러스가 자궁경부암 외에도 질암, 외음부암, 음경암, 항문암, 직장암, 인후암, 설암, 편도선암 등을 유발한다.[147][63] 인유두종 바이러스의 E6 및 E7 암유전자는 세포 감염 시 종양억제유전자를 비활성화시키고, 세포의 유전자 불안정성을 높여 암 발병 가능성을 증가시킨다.[148][64] B형 간염 바이러스 감염자는 비감염자보다 간암 발병 가능성이 200배 높다.[149][65] 간경화증은 간염 바이러스나 과도한 알코올 섭취로 인해 발생하는데, 간경화증과 바이러스 감염이 동시에 발생하면 간암 발병 위험이 가장 높다.[149][65]
위나선균에 의해 발병하는 위암 등, 일부 기생충 감염도 발암 가능성을 높인다.[150][66] 위나선균이 위암을 유발하는 원리는 염증이나 세균의 독력인자로 인한 것으로 추정된다.[151][67] 암을 유발하는 주요 기생충으로는 빌하르츠 주혈흡충(방광암), 간흡충류, 타이간흡충, 간흡충(담관암)이 있으며, 기생충이 낳는 알로 인해 생기는 염증이 암을 유발하는 것으로 보인다.[152][68] 기생충 감염은 체내 발암물질을 증가시켜 암을 촉진하기도 한다.[153][69] 미코박테륨인 결핵균 감염으로 인해 생기는 결핵과 폐암 사이에도 관련성이 존재한다.[154][70]
연구에 따르면, 염증 자체가 암 발생 및 발달에 영향을 준다.[155] 만성 염증은 DNA 손상을 누적시키고, 암 세포를 생성하는 돌연변이를 축적하며,[156] 종양 주변 환경에 영향을 주어 암 세포 확산, 생존, 혈관 형성, 전이에 영향을 준다.[157] 염증성 장질환 환자는 대장암 발생 가능성이 높다.[97]
3. 6. 방사선
침습성 암의 약 10%는 비이온화 방사선과 이온화 방사선을 포함한 방사선 노출과 관련되어 있다.[9] 이온화 방사선은 세포 내 분자에 무작위로 충돌하여 염색체를 파괴하거나 염색체 수 이상을 유발하고, 유전자를 비활성화하거나 DNA 서열 일부를 삭제하며, 염색체 전좌 등 다양한 염색체 이상을 일으킬 수 있다.[74] 특히 종양 억제 유전자가 손상될 경우 암 발생 확률이 높아진다.[74] 암 발생 과정은 세포 형태 변화, 세포 영생 획득, 종양 형성 적응의 3단계로 이루어진다.[74] 방사선은 DNA에 직접 충돌하지 않더라도 세포 반응을 촉진하여 돌연변이 확률을 높인다.[74]모든 전자기 방사선이 암을 유발하는 것은 아니다. 전파, 마이크로파, 적외선, 가시광선 등 저에너지 방사선은 화학 결합을 깰 에너지가 부족하여 암을 유발하지 않는다. 휴대 전화 및 송전 등에서 발생하는 비이온화 무선 주파수 방사선은 세계 보건 기구 국제 암 연구 기관에서 발암 가능성이 있는 물질로 분류되었으나,[75][76] 연구 결과 휴대 전화 방사선과 암 위험 사이의 연관성은 밝혀지지 않았다.[77]
자외선, 엑스선, 감마선 등 고에너지 방사선은 다량 노출 시 암을 유발한다. 태양의 자외선에 장기간 노출되면 흑색종 등 피부 악성 종양이 발생할 수 있다.[78] 비침습성 암의 대부분은 비이온화 자외선으로 인한 비흑색종 피부암이며, 특히 중파장 UVB가 주원인이다.[78]
이온화 방사선의 주요 원인은 의학촬영과 라돈 기체이다. 이온화 방사선은 강력한 돌연변이 유발 물질은 아니지만,[74] 의학적 사용으로 인한 방사선 유발암은 증가 추세에 있다. 방사선 치료는 다른 암을 치료하는 데 사용되지만, 2차 암을 유발할 수 있다.[74] 방사선 유발 고형 종양은 10~15년, 최대 40년, 백혈병은 2~10년 후에 나타난다.[74] 방사선 유발 뇌수막종은 두개 방사선의 드문 합병증이다.[79] 모반모양 기저세포암종증후군이나 망막모세포종 환자는 방사선 노출에 의한 암 발생 가능성이 높다.[74] 어린이와 청소년은 성인보다 방사선 유발 백혈병 발생 확률이 2배 높고, 출생 전 노출은 10배 높다.[74]
핵의학은 방사성 의약품을 혈류에 주사하고, 방사선 치료는 종양과 주변 조직에 고선량 방사선을 사용한다. 2007년 미국 암의 0.4%는 CT 촬영으로 인한 것으로 추정되며, CT 사용 증가에 따라 1.5~2%까지 증가할 수 있다.[80]
라돈 기체 흡입은 간접 흡연과 유사한 암 위험을 가진다.[74] 원자력 발전소 인근 거주 등 저선량 노출은 암 발달에 영향이 거의 없거나 전혀 없는 것으로 여겨진다.[74] 방사선은 라돈 가스 노출, 흡연 등 다른 발암 물질과 결합될 때 더 강력한 암 원인이 된다.[74]
3. 7. 화학 물질
특정 물질들은 암의 발병과 연관이 있는데, 이를 흔히 발암물질이라고 부른다. 대표적인 발암물질로는 석면, 다이옥신 일부, 담배 연기 등이 있다. 인공적으로 합성한 화학 물질뿐만 아니라 자연적인 물질에서도 암이 발병할 수 있다.[98]미국을 기준으로 매년 암 발병자 4만 명과 암 사망자 2만 명 가량이 직업과 연관된 발병으로 추정되며,[99] 세계적으로 매년 20만 명 가량이 직업과 관련되어 발병한 암으로 인해 사망한다.[100] 업무 환경에서 벤젠 흡입으로 인한 백혈병 발병이나, 석면 및 담배 연기 흡입으로 인한 폐암 및 중피종 발병 위험에 노출된 인구는 수백만 명에 달하며,[100] 직업과 관련된 암 발병은 전체 암 발병의 2~20% 가량을 차지하는 것으로 보고 있다.[101] 직업과 관련된 암으로 인해 사망하는 경우는 대부분 선진국에서 나타난다.[100] 폐암, 대장암, 유방암, 전립선암과 업무 스트레스 사이에는 큰 관련이 없음이 밝혀져 있다.[102]
일부 물질은 세포와의 물리적 상호작용을 통해 발암을 일으킨다.[116] 석면에 장기간 노출될 경우 폐를 두른 장막에 생기는 암인 중피종이 발생할 수 있다.[116] 석회와 유사한 섬유 형태의 자연 물질인 규회석, 팔리고르스카이트, 인공 물질인 유리솜, 암면 또한 비슷한 효과를 보인다.[116] 섬유 형태가 아닌 물질 중 발암을 일으키는 물질은 금속 코발트와 니켈의 가루 및 이산화 규소 (석영, 크리스토발라이트, 인규석) 가루가 있다.[116] 보통 물리적 발암원은 작은 가루를 들이마시는 등 신체 안으로 들어와야 하며, 암이 나타나기까지 수 년 이상 계속적으로 노출되어야 한다.[116]
일반적인 직업성 발암 물질에는 다음이 포함된다:[117]
3. 8. 기타 요인
호르몬은 일부 암의 세포 생장을 촉진시켜 암 발달에 기여한다.[142] 인슐린 유사 성장 인자와 결합 단백질은 암 세포의 성장, 분화, 세포자살에 중요한 역할을 하며, 발암에도 영향을 줄 수 있다.[143]호르몬은 유방암, 자궁내막암, 전립선암, 난소암, 정소암 등 성 관련 암과 갑상선암 및 골종양에서 중요한 전달자 역할을 한다.[142] 예를 들어 유방암이 있는 여성의 딸은 에스트로겐과 프로게스테론 농도가 높아 유방암 발생률이 높게 나타나며, 이는 호르몬과 유방암 발생 간의 관련성을 시사한다.[142] 아프리카 남성은 테스토스테론 농도가 높아 전립선암 발병률이 높고, 아시아 남성은 테스토스테론 활성화 물질 농도가 낮아 전립선암 발병률이 낮다.[142] 호르몬 대체요법을 받는 여성은 호르몬 관련 암 발생 가능성이 높으며, 성장 호르몬은 골육종을 촉진하기도 한다.[142] 암 치료 방법 중에는 호르몬 수치를 낮춰 종양 성장을 억제하거나 암 세포 자살을 유도하는 방법도 있다.[142]
연구 결과에 따르면, 염증은 암 발생 및 발달에 영향을 미친다.[155] 만성 염증은 DNA 손상을 누적시켜 돌연변이를 유발하고,[156] 종양 주변 환경에 영향을 주어 암 세포 확산, 생존, 혈관 형성, 전이를 촉진한다.[157] 염증성 장질환 환자는 대장암 발생 가능성이 높다.[97]
장기 이식으로 인해 종양이 발달하는 경우는 드물지만, 이식 당시 발견되지 않은 흑색종이 원인으로 작용할 수 있다.[165][81] 바이러스 감염 장기 세포가 이식 후 종양으로 발달하여 카포시육종을 유발한 사례도 보고되었다.[166][82]
신체적 트라우마로 인해 암이 발병하는 경우는 거의 없으며,[167] 골절 후 뼈암 발생 주장은 증명되지 않았다.[167] 자궁경부암, 유방암, 뇌암의 원인으로 신체적 트라우마가 인정된 적은 없다.[167] 유일하게 인정된 경우는 뜨거운 물체가 장기간 접촉했을 경우(예: 손난로)로, 피부암을 유발할 수 있다.[167] 뜨거운 음료 섭취는 식도암을 유발할 수 있다.[167] 신체적 트라우마 자체가 암을 유발하는 것이 아니라, 회복 과정에서 세포 증식이 촉진되어 돌연변이 발생 확률이 높아질 수 있다.[167]
미국에서 매년 임신부 3,500명 가량에서 악성 종양이 발생하며, 태반을 통해 태아에게 급성 백혈병, 림프종, 흑색종, 암종이 전이될 수 있다.[168] 암은 감염되지 않는데, 이는 주조직 적합성 복합체의 조직 적합성 불일치로 인한 거부 반응 때문이다.[168]
4. 한국의 암 발생 현황 및 특징 (한국 관점)
4. 1. 한국 사회의 암 예방 노력
5. 암 연구 및 치료의 발전 (중도진보적 관점)
참조
[1]
논문
DNA Damage, Mutagenesis and Cancer
2018-03-23
[2]
논문
Genomic instability in human cancer: Molecular insights and opportunities for therapeutic attack and prevention through diet and nutrition
Elsevier
2015-12
[3]
논문
Genome-wide association studies: how predictable is a person's cancer risk?
2009-04
[4]
서적
World Cancer Report 2014
World Health Organization
2014
[5]
서적
Cancer and the Environment: What you Need to Know, What You Can Do
National Institutes of Health
2003
[6]
서적
Cancer mortality and morbidity patterns from the U. S. population: an interdisciplinary approach
Springer
[7]
논문
The causes of cancer: quantitative estimates of avoidable risks of cancer in the United States today
https://academic.oup[...]
1981-06
[8]
논문
The fractions of cancer attributable to modifiable factors: A global review
https://www.scienced[...]
2016-10
[9]
논문
Cancer is a preventable disease that requires major lifestyle changes
2008-09
[10]
서적
World Cancer Report 2014.
World Health Organization
2014
[11]
웹사이트
Cancer Fact sheet N°297
https://www.who.int/[...]
2014-02
[12]
논문
Mechanisms of inherited cancer susceptibility
2008-01
[13]
서적
World Cancer Report 2014
World Health Organization
[14]
논문
Paracelsus to parascience: the environmental cancer distraction
2000-01-17
[15]
웹사이트
National Institute for Occupational Safety and Health- Occupational Cancer
https://www.cdc.gov/[...]
United States National Institute for Occupational Safety and Health
2007-10-13
[16]
간행물
WHO calls for prevention of cancer through healthy workplaces
https://www.who.int/[...]
World Health Organization
2007-04-27
[17]
논문
Lifestyle-related factors and environmental agents causing cancer: an overview
2007-12
[18]
논문
Work stress and risk of cancer: meta-analysis of 5700 incident cancer events in 116,000 European men and women
2013-02
[19]
웹사이트
Share of cancer deaths attributed to tobacco
https://ourworldinda[...]
[20]
논문
Tobacco smoking and cancer: a brief review of recent epidemiological evidence
2004-08
[21]
논문
European Consensus Statement on Lung Cancer: risk factors and prevention. Lung Cancer Panel
[22]
논문
Tobacco use and cancer causation: association by tumour type
2002-09
[23]
논문
A novel application of the Margin of Exposure approach: segregation of tobacco smoke toxicants
2011-11
[24]
논문
Acrylonitrile-induced oxidative stress and oxidative DNA damage in male Sprague-Dawley rats
2009-09
[25]
논문
The role of oxidative stress in acrolein-induced DNA damage in HepG2 cells
2008-04
[26]
논문
Tobacco use, cancer causation and public health impact
2002-06
[27]
논문
How much of the decrease in cancer death rates in the United States is attributable to reductions in tobacco smoking?
2006-10
[28]
논문
Update in lung cancer 2007
2008-05
[29]
논문
The global smoking epidemic: a history and status report
2004-05
[30]
논문
The Electronic Cigarette: The Good, the Bad, and the Ugly
[31]
논문
Counseling patients on the use of electronic cigarettes
2015-01
[32]
서적
Holland-Frei Cancer Medicine
BC Decker
[33]
서적
Robbins Basic Pathology
Saunders/Elsevier
2007
[34]
논문
American Cancer Society Guidelines on Nutrition and Physical Activity for cancer prevention: reducing the risk of cancer with healthy food choices and physical activity
[35]
논문
American Cancer Society Guidelines on nutrition and physical activity for cancer prevention: reducing the risk of cancer with healthy food choices and physical activity
2012-01
[36]
논문
Diet and cancer
[37]
뉴스
IARC: IARC Strengthens its Findings on Several Carcinogenic Personal Habits and Household Exposures
http://www.iarc.fr/e[...]
2009
[38]
논문
Alcohol attributable burden of incidence of cancer in eight European countries based on results from prospective cohort study
2011-04
[39]
논문
The burden of cancer attributable to alcohol drinking
2006-08
[40]
웹사이트
Alcohol Consumption and the Risk of Cancer
https://pubs.niaaa.n[...]
2018-03-22
[41]
논문
Polyamines stimulate the formation of mutagenic 1,N2-propanodeoxyguanosine adducts from acetaldehyde
2005
[42]
논문
Alcohol-derived DNA crosslinks are repaired by two distinct mechanisms
2020-03
[43]
논문
Alcohol and Cancer
2004-05
[44]
서적
World Cancer Report 2014
World Health Organization
[45]
논문
Meat and cancer
2010-02
[46]
논문
Colorectal Cancer 2011 Report: Food, Nutrition, Physical Activity, and the Prevention of Colorectal Cancer
https://www.wcrf.org[...]
2018-03-22
[47]
논문
Aetiology of cancer in Asia
http://www.apocpcont[...]
2014-07-17
[48]
서적
Cancer Epidemiology
[49]
논문
Cancer Mortality among Japanese Issei and Nisei of California
1965-05
[50]
논문
Studies of cancer in migrants: rationale and methodology
1996-05
[51]
논문
Novel diet-related mouse model of colon cancer parallels human colon cancer
2014-07
[52]
논문
Carcinogenicity of deoxycholate, a secondary bile acid
2011-08
[53]
논문
Prospective Associations of Circulating Bile Acids and Short-Chain Fatty Acids With Incident Colorectal Cancer
2022-05
[54]
논문
Obesity and cancer risk: recent review and evidence
2011-02
[55]
논문
Non-viral causes of liver cancer: does obesity led inflammation play a role?
2014-04
[56]
논문
Cytokines, obesity, and cancer: new insights on mechanisms linking obesity to cancer risk and progression
2013-01-14
[57]
논문
Obesity and cancer: A mechanistic overview of metabolic changes in obesity that impact genetic instability
2019-09
[58]
서적
Holland-Frei Cancer Medicine
B.C. Decker
[59]
논문
Circulating insulin-like growth factor peptides and prostate cancer risk: a systematic review and meta-analysis
2009-05
[60]
논문
Global burden of cancers attributable to infections in 2008: a review and synthetic analysis
2012-06-01
[61]
논문
Carcinogenic viruses and solid cancers without sufficient evidence of causal association
2013-10
[62]
논문
Cancer is a preventable disease that requires major lifestyle changes
2008-09
[63]
웹사이트
Human Papillomavirus (HPV) and Cancer
https://www.cdc.gov/[...]
2018-03-22
[64]
논문
Mechanisms of human papillomavirus-induced oncogenesis
2004-11
[65]
서적
Holland-Frei Cancer Medicine
BC Decker
[66]
논문
Infectious agents and cancer: criteria for a causal relation
2004-12
[67]
논문
Helicobacter pylori CagA: a new paradigm for bacterial carcinogenesis
2005-12-09
[68]
논문
Chronic bacterial and parasitic infections and cancer: a review
http://www.jidc.org/[...]
2010-06
[69]
서적
Holland-Frei Cancer Medicine
BC Decker
[70]
논문
Lung cancer in never smokers: disease characteristics and risk factors
2013-12
[71]
논문
IL-6 and related cytokines as the critical lynchpins between inflammation and cancer
2014-02
[72]
논문
Cancer-related inflammation, the seventh hallmark of cancer: links to genetic instability
2009-07
[73]
논문
Molecular pathways linking inflammation and cancer
2010-06
[74]
서적
Cancer medicine
B.C. Decker
[75]
웹사이트
IARC classifies radiofrequency electromagnetic fields as possibly carcinogenic to humans
http://www.iarc.fr/e[...]
[76]
웹사이트
IARC Monographs- Classifications
https://web.archive.[...]
2018-03-13
[77]
웹사이트
Cell Phones and Cancer Risk - National Cancer Institute
http://www.cancer.go[...]
Cancer.gov
2013-05-08
[78]
서적
Holland-Frei Cancer Medicine
BC Decker
[79]
논문
Radiation-Induced Meningiomas: An Exhaustive Review of the Literature
2017-01
[80]
논문
Computed tomography—an increasing source of radiation exposure
https://repositorio.[...]
2007-11
[81]
논문
Cancer biology: infectious tumour cells
2006-09
[82]
논문
Post-transplant Kaposi sarcoma originates from the seeding of donor-derived progenitors
2003-05
[83]
서적
Holland-Frei Cancer Medicine
BC Decker
[84]
논문
Transplacental and other routes of cancer transmission between individuals
2003-06
[85]
Review
DNA Damage, Mutagenesis and Cancer
2018-03-23
[86]
Review
Genomic instability in human cancer: Molecular insights and opportunities for therapeutic attack and prevention through diet and nutrition
Elsevier
2015-12
[87]
Editorial
Genome-wide association studies: how predictable is a person's cancer risk?
https://www.tandfonl[...]
2009-04
[88]
서적
World Cancer Report 2014
https://archive.org/[...]
World Health Organization
2014
[89]
서적
Cancer and the Environment: What you Need to Know, What You Can Do
National Institutes of Health
2003
[90]
서적
Cancer mortality and morbidity patterns from the U. S. population: an interdisciplinary approach
Springer
[91]
저널
The causes of cancer: quantitative estimates of avoidable risks of cancer in the United States today
https://academic.oup[...]
1981-06
[92]
Review
The fractions of cancer attributable to modifiable factors: A global review
https://www.scienced[...]
Elsevier
2016-10
[93]
Expert review
Cancer is a preventable disease that requires major lifestyle changes
2008-09
[94]
서적
World Cancer Report 2014.
https://archive.org/[...]
World Health Organization
2014
[95]
웹인용
Cancer Fact sheet N°297
https://www.who.int/[...]
2014-02
[96]
저널
Mechanisms of inherited cancer susceptibility
2008-01
[97]
서적
World Cancer Report 2014
https://archive.org/[...]
World Health Organization
[98]
저널
Paracelsus to parascience: the environmental cancer distraction
2000-01-17
[99]
웹인용
National Institute for Occupational Safety and Health- Occupational Cancer
https://www.cdc.gov/[...]
United States National Institute for Occupational Safety and Health
2007-10-13
[100]
보도자료
WHO calls for prevention of cancer through healthy workplaces
https://web.archive.[...]
World Health Organization
2007-04-27
[101]
저널
Lifestyle-related factors and environmental agents causing cancer: an overview
2007-12
[102]
저널
Work stress and risk of cancer: meta-analysis of 5700 incident cancer events in 116,000 European men and women
2013-02
[103]
웹인용
Share of cancer deaths attributed to tobacco
https://ourworldinda[...]
2020-03-05
[104]
저널
Tobacco smoking and cancer: a brief review of recent epidemiological evidence
2004-08
[105]
저널
European Consensus Statement on Lung Cancer: risk factors and prevention. Lung Cancer Panel
[106]
저널
Tobacco use and cancer causation: association by tumour type
2002-09
[107]
논문
A novel application of the Margin of Exposure approach: segregation of tobacco smoke toxicants
2011-11
[108]
논문
Acrylonitrile-induced oxidative stress and oxidative DNA damage in male Sprague-Dawley rats
2009
[109]
논문
The role of oxidative stress in acrolein-induced DNA damage in HepG2 cells
2008-04
[110]
저널
Tobacco use, cancer causation and public health impact
2002-06
[111]
저널
How much of the decrease in cancer death rates in the United States is attributable to reductions in tobacco smoking?
2006-10
[112]
저널
Update in lung cancer 2007
2008-05
[113]
저널
The global smoking epidemic: a history and status report
2004-05
[114]
저널
The Electronic Cigarette: The Good, the Bad, and the Ugly
[115]
저널
Counseling patients on the use of electronic cigarettes
2015-01
[116]
서적
Holland-Frei Cancer Medicine
B.C. Decker
2011-01-31
[117]
서적
Robbins basic pathology
https://archive.org/[...]
Saunders/Elsevier
2007
[118]
저널
American Cancer Society Guidelines on Nutrition and Physical Activity for cancer prevention: reducing the risk of cancer with healthy food choices and physical activity
[119]
저널
American Cancer Society Guidelines on nutrition and physical activity for cancer prevention: reducing the risk of cancer with healthy food choices and physical activity
2012-01
[120]
저널
Diet and cancer
[121]
뉴스
IARC: IARC Strengthens its Findings on Several Carcinogenic Personal Habits and Household Exposures
http://www.iarc.fr/e[...]
International Agency for Research on Cancer - World Health Organization
2009
[122]
저널
Alcohol attributable burden of incidence of cancer in eight European countries based on results from prospective cohort study
2011-04
[123]
저널
The burden of cancer attributable to alcohol drinking
2006-08
[124]
웹인용
Alcohol Consumption and the Risk of Cancer
https://pubs.niaaa.n[...]
2018-03-22
[125]
저널
Polyamines stimulate the formation of mutagenic 1,N2-propanodeoxyguanosine adducts from acetaldehyde
2005
[126]
논문
Alcohol-derived DNA crosslinks are repaired by two distinct mechanisms
2020-03
[127]
저널
Alcohol and Cancer
2004-05
[128]
서적
World Cancer Report 2014
https://archive.org/[...]
World Health Organization
[129]
저널
Meat and cancer
2010-02
[130]
저널
Colorectal Cancer 2011 Report: Food, Nutrition, Physical Activity, and the Prevention of Colorectal Cancer
https://web.archive.[...]
2018-03-22
[131]
저널
Aetiology of cancer in Asia
https://web.archive.[...]
2014-07-17
[132]
서적
Cancer Epidemiology
[133]
저널
Cancer Mortality among Japanese Issei and Nisei of California
1965-05
[134]
저널
Studies of cancer in migrants: rationale and methodology
https://archive.org/[...]
1996-05
[135]
논문
Novel diet-related mouse model of colon cancer parallels human colon cancer
2014-07
[136]
저널
Carcinogenicity of deoxycholate, a secondary bile acid
2011-08
[137]
논문
Prospective Associations of Circulating Bile Acids and Short-Chain Fatty Acids with Incident Colorectal Cancer
2022
[138]
저널
Obesity and cancer risk: recent review and evidence
2011-02
[139]
저널
Non-viral causes of liver cancer: does obesity led inflammation play a role?
2014-04
[140]
저널
Cytokines, obesity, and cancer: new insights on mechanisms linking obesity to cancer risk and progression
2013-01-14
[141]
논문
Obesity and cancer: A mechanistic overview of metabolic changes in obesity that impact genetic instability
2019-09
[142]
서적
Holland-Frei Cancer Medicine
B.C. Decker
2011-01-27
[143]
저널
Circulating insulin-like growth factor peptides and prostate cancer risk: a systematic review and meta-analysis
2009-05
[144]
저널
Global burden of cancers attributable to infections in 2008: a review and synthetic analysis
2012-06-01
[145]
저널
Carcinogenic viruses and solid cancers without sufficient evidence of causal association
2013-10
[146]
저널
Cancer is a preventable disease that requires major lifestyle changes
2008-09
[147]
웹인용
Human Papillomavirus (HPV) and Cancer
https://www.cdc.gov/[...]
2018-01-02
[148]
저널
Mechanisms of human papillomavirus-induced oncogenesis
2004-11
[149]
서적
Hepatitis Viruses
https://www.ncbi.nlm[...]
BC Decker
2000
[150]
저널
Infectious agents and cancer: criteria for a causal relation
2004-12
[151]
저널
Helicobacter pylori CagA: a new paradigm for bacterial carcinogenesis
2005-12-09
[152]
저널
Chronic bacterial and parasitic infections and cancer: a review
http://www.jidc.org/[...]
2010-06
[153]
서적
Parasites
https://www.ncbi.nlm[...]
BC Decker
2000
[154]
저널
Lung cancer in never smokers: disease characteristics and risk factors
2013-12
[155]
저널
IL-6 and related cytokines as the critical lynchpins between inflammation and cancer
2014-02
[156]
저널
Cancer-related inflammation, the seventh hallmark of cancer: links to genetic instability
2009-07
[157]
저널
Molecular pathways linking inflammation and cancer
2010-06
[158]
서적
Cancer medicine
B.C. Decker
[159]
웹인용
IARC classifies radiofrequency electromagnetic fields as possibly carcinogenic to humans
http://www.iarc.fr/e[...]
[160]
웹인용
IARC Monographs- Classifications
http://monographs.ia[...]
2018-03-13
[161]
웹인용
Cell Phones and Cancer Risk - National Cancer Institute
http://www.cancer.go[...]
Cancer.gov
2013-05-08
[162]
서적
Holland-Frei Cancer Medicine
B.C. Decker
2011-01-31
[163]
저널
Radiation-Induced Meningiomas: An Exhaustive Review of the Literature
2017-01
[164]
저널
Computed tomography--an increasing source of radiation exposure
https://repositorio.[...]
2007-11
[165]
저널
Cancer biology: infectious tumour cells
2006-09
[166]
저널
Post-transplant Kaposi sarcoma originates from the seeding of donor-derived progenitors
2003-05
[167]
서적
Holland-Frei Cancer Medicine
B.C. Decker
2011-01-27
[168]
저널
Transplacental and other routes of cancer transmission between individuals
2003-06
본 사이트는 AI가 위키백과와 뉴스 기사,정부 간행물,학술 논문등을 바탕으로 정보를 가공하여 제공하는 백과사전형 서비스입니다.
모든 문서는 AI에 의해 자동 생성되며, CC BY-SA 4.0 라이선스에 따라 이용할 수 있습니다.
하지만, 위키백과나 뉴스 기사 자체에 오류, 부정확한 정보, 또는 가짜 뉴스가 포함될 수 있으며, AI는 이러한 내용을 완벽하게 걸러내지 못할 수 있습니다.
따라서 제공되는 정보에 일부 오류나 편향이 있을 수 있으므로, 중요한 정보는 반드시 다른 출처를 통해 교차 검증하시기 바랍니다.
문의하기 : help@durumis.com