여성형유방증
"오늘의AI위키"의 AI를 통해 더욱 풍부하고 폭넓은 지식 경험을 누리세요.
1. 개요
여성형유방증은 남성의 유방 조직이 비정상적으로 비대해지는 비암성 질환으로, 호르몬 불균형으로 인해 발생한다. 테스토스테론 감소, 약물 사용, 특정 질환 등이 원인이 될 수 있으며, 신생아, 청소년, 노년층에서 생리적으로 나타나기도 한다. 증상으로는 유방 비대, 압통, 젖꼭지 민감성 등이 나타날 수 있으며, 심리적 고통을 유발하기도 한다. 진단은 신체 검사, 약물 검토, 혈액 검사 등을 통해 이루어지며, 유방암, 가성 여성형유방증 등과 감별 진단한다. 치료는 약물 치료와 수술적 치료가 있으며, 수술은 유선 조직을 제거하는 방식으로 진행된다.
더 읽어볼만한 페이지
- 유방 - 니플게이트
니플게이트는 2004년 슈퍼볼 하프타임 쇼에서 자넷 잭슨의 의상이 벗겨져 가슴이 노출된 사건으로, 방송 규제 및 성차별 논쟁을 촉발하고 관련 방송사에도 파장을 일으켰으며, 언론의 의도적인 시도 및 성차별적 이중 잣대 논란을 야기했다. - 유방 - 가슴 페티시즘
가슴 페티시즘은 유방에 대한 성적 매력으로, 2차 성징, 사회 문화적 맥락, 다양한 매체 등을 통해 나타난다. - 남성과학 - 불임
불임은 피임 없이 1년 이상 정상적인 성생활을 했음에도 임신이 되지 않는 생식계 질환으로, 남성, 여성, 복합 요인 등 다양한 원인이 있으며, 심리적 문제와 사회적 압박감을 유발하고, 배란 유도, 인공 수정, 시험관 아기 시술 등 다양한 치료 방법이 활용된다. - 남성과학 - 정자 (생물학)
정자는 동물의 수컷 생식 세포로, 난자와 결합하여 수정을 통해 새로운 개체를 형성하며, 머리, 중간 부위, 꼬리로 구성되어 있으며, 인공 수정 등 의학적 시술에 활용되기도 한다.
| 여성형유방증 | |
|---|---|
| 질병 개요 | |
| 이름 | 여성형유방증 |
| 영어 이름 | Gynecomastia |
| 발음 | 또는 |
| 진료 분야 | 내분비학, 성형외과 |
| 어원 | 그리스어 gyné (어간 gynaik-, "여성"을 의미)와 mastós ("유방"을 의미)에서 유래 |
| 설명 | 남성의 유방 확대 |
| MedlinePlus | 003165 |
| 역학 | |
| 빈도 | 남성의 약 35%, 청소년 남학생의 최대 70% |
| 증상 및 경과 | |
| 발병 시기 | 모든 연령대 |
| 지속 기간 | 보통 최대 2년, 그러나 평생 지속될 수 있음 |
| 합병증 | 심리적 고통 |
| 원인 및 위험 요인 | |
| 원인 | 에스트로겐/안드로겐 비율 증가 (생리적 요인, 약물, 만성 신장 질환, 비만, 간경변, 영양실조, 특정 암, 아나볼릭 스테로이드) |
| 위험 요인 | 해당 사항 없음 |
| 진단 | |
| 진단 방법 | 신체 검사, 유방 촬영 (필요한 경우) |
| 감별 진단 | 가성 여성형 유방증, 유방암 |
| 예방 및 치료 | |
| 예방 | 해당 사항 없음 |
| 치료 | 생활 습관 개선, 아로마타제 억제제, SERMs, 또는 수술 |
| 약물 | 해당 사항 없음 |
| 예후 | 해당 사항 없음 |
| 식별 | |
| MeSH | D006177 |
2. 정의
여성형유방증은 남성의 하나 또는 양쪽 유방이 비정상적으로 커지는 질환으로, 암은 아니다. 유방 조직이 성장하여 호르몬 불균형이 발생하고, 에스트로겐과 안드로겐 사이의 균형이 깨지면서 발생한다.[4][5] 여성형유방증은 진짜 유선 조직이 성장하지 않고 남성 유방에 피부 및/또는 지방 조직이 과도하게 축적되는 "가성 여성형유방증"과는 다르다.[5][10][15][16][17] 가성 여성형유방증은 흔히 비만과 관련이 있으며, 신체 검사를 통해 구별할 수 있다.[11][12][17]
여성형유방증은 에스트로겐 작용의 증가, 안드로겐 작용의 감소, 또는 이 두 가지 요인이 복합적으로 작용하여 에스트로겐과 안드로겐의 비율이 변화하면서 발생한다.[51] 에스트로겐은 유방 조직의 증식을 자극하는 반면, 안드로겐은 증식을 억제한다.[51][21] 여성형유방증의 원인은 약 25%의 경우에서 밝혀지지 않았다.[18][41]
3. 원인


일반적으로 여성형유방증의 흔한 원인은 명확하지 않지만, 유방 조직의 성장을 촉진하는 에스트로겐과 억제하는 안드로겐 작용 간의 불균형이 원인으로 추정된다.[6][31] 유방 돌출은 유선 조직의 비대, 가슴 지방 조직(지방) 및 피부의 팽창으로 인해 발생하며, 일반적으로 이러한 요인들이 복합적으로 작용한다.[35] 여성과 마찬가지로 에스트로겐은 남성의 유방 조직 성장을 촉진한다.[51] 에스트로겐은 유방 조직 성장을 직접적으로 자극할 뿐만 아니라, 황체 형성 호르몬 분비를 억제하여 간접적으로 고환에서 테스토스테론 분비를 감소시킨다.[51]
여성형유방증을 유발하는 주된 기전 중 하나는 에스트로겐 과다 생성이다. 가능한 원인으로는 에스트로겐 분비 세포에서 발생하는 신생물이 있다.[69] hCG를 생성하는 종양은 다른 고환 호르몬 생성을 감소시키면서 에스트라디올 생성을 촉진한다.[46] 비만은 말초 조직에 아로마타제가 존재하여 혈중 에스트로겐 과다를 유발하는 흔한 원인이다. 아로마타제는 안드로겐을 에스트로겐으로 전환하는 단백질이다.[46] 포이츠-예거 증후군은 아로마타제 발현에 영향을 미치는 고환 종양의 드문 원인으로, 혈중 에스트로겐 수치를 상승시킨다.[47] 아로마타제 과다 증후군은 신체 내 안드로겐의 에스트로겐 전환을 증가시키는 드문 유전 질환이다.
테스토스테론이 부족하면 여성형유방증이 생길 수 있다. 아로마타제 효소는 테스토스테론을 에스트로겐으로 전환시키는데, 포도씨 추출물은 아로마타제 억제제 역할을 하고 알코올은 아로마타제 효소의 역할을 한다.[80]
일차성 고환기능저하증(남성의 고환에 내재된 문제)은 테스토스테론 합성을 감소시키고 아로마타제에 의한 테스토스테론의 에스트라디올로의 전환을 증가시켜 여성형유방증을 유발할 수 있다.[21] 클라인펠터 증후군은 고환기능저하증과 여성형유방증을 유발하는 대표적인 질환으로, 남성 유방암 위험을 20~50배 높인다.[48] 이차성 고환기능저하증(뇌 문제)은 황체형성 호르몬(LH) 생산 및 방출 감소를 유발하여 고환에서 테스토스테론과 에스트라디올 생산을 감소시킨다.[21]
에스트로겐은 성호르몬 결합 글로불린(SHBG) 단백질의 혈중 수치를 증가시킬 수 있는데, SHBG는 유리 테스토스테론(활성 형태)을 에스트로겐보다 더 강하게 결합하여 남성 유방 조직에서 테스토스테론의 작용을 감소시킨다.[51][46] 갑상선 기능 항진증 및 만성 간 질환과 같은 질환은 SHBG 수치에 영향을 미쳐 여성형유방증을 유발한다.[69]
안드로겐 수용체의 기능 부전은 테스토스테론이 표적 조직에 작용하는 것을 방해한다. 안드로겐 불감성 증후군은 안드로겐 효과에 대한 다양한 정도의 저항으로 인해 발생하며, 개인의 성염색체 유전자형과 일치하지 않을 수 있는 외부 생식기를 유발할 수 있다.[49] 완전한 안드로겐 불감성 증후군은 고환을 가진 개인에게서 음경과 음낭과 같은 외부 생식기의 발달 실패와 유방 발달을 초래한다. 부분적인 안드로겐 불감성 증후군은 다양한 형태로 나타날 수 있다. 최소 안드로겐 불감성 증후군은 청소년기에 여성형 유방으로 나타날 수 있으며, 추가적으로 불임과 관련될 수 있다.[49]
혈중 프로락틴 수치 증가(특정 종양 또는 약물 부작용)는 여성형유방증과 관련이 있다.[21] 혈중 프로락틴 수치가 높으면 생식샘자극호르몬 방출 호르몬의 방출을 억제하여 이차성 성선기능저하증을 유발할 수 있다.[51][21]
만성 간 질환 또는 간경변을 앓고 있는 사람은 여러 가지 이유로 여성형유방증이 발생할 수 있다. 간경변으로 진단받은 사람은 부신에서 안드로겐 호르몬 안드로스텐디온의 분비가 증가하고, 이 호르몬이 다양한 형태의 에스트로겐으로 전환되며,[51] SHBG 수치가 증가하여 혈중 유리 테스토스테론 수치가 감소하는 경향이 있다.[21] 그레이브스병(흔한 형태의 갑상선 기능 항진증)을 앓고 있는 남성의 약 10~40%가 여성형유방증을 경험한다.[21]
약물은 여러 가지 다른 메커니즘을 통해 여성형유방증을 유발하는 것으로 알려져 있다.[21] 잠재적인 원인 물질로는 경구 피임약, 스피로노락톤, 아나볼릭 스테로이드가 있다.[50]에스트로겐 과다 안드로겐 결핍 성 호르몬 결합 글로불린 수치 증가 안드로겐 저항성 약물 
'''호르몬 불균형'''
'''기타'''3. 1. 생리적 원인
생리적 또는 정상적인 여성형유방증은 생애 세 시점에서 발생할 수 있다. 출생 직후의 여성 및 남성 유아, 청소년 남성의 사춘기, 그리고 60세 이상의 고령 성인이다.[23]
신생아의 60~90%는 출생 시 또는 생후 첫 몇 주 동안 유방 발달을 보일 수 있다.[21][24] 임신 중, 태반은 안드로겐 호르몬인 데히드로에피안드로스테론(DHEA)과 DHEA 황산염을 에스트로겐 호르몬인 에스트론 및 에스트라디올로 각각 전환시킨다. 이러한 에스트로겐은 태반에서 생성된 후 태아의 혈액 순환으로 전달되어 아기에게 일시적인 여성형유방증을 유발한다.[21][25] 일부 유아의 경우, 신생아 젖(일명 "마녀의 젖")이 유두에서 새어 나올 수 있다.[18] 신생아에게서 나타나는 일시적인 여성형유방증은 보통 2~3주 후에 해결된다.[21]
초기 사춘기 동안의 호르몬 불균형(에스트로겐 대 안드로겐 비율 증가)은 부신에서의 안드로겐 생산 감소 및/또는 안드로겐의 에스트로겐으로의 전환 증가로 인해 청소년 남성에게 일시적인 여성형유방증을 유발한다. 이는 10세부터 최대 65%의 청소년에게 발생할 수 있으며 13세와 14세에 정점을 찍는다.[26][27] 청소년의 75~90%에서 자연적으로 치유되며, 사춘기 진행으로 테스토스테론 수치가 증가하고 유방 조직이 퇴화함에 따라 일반적으로 1~3년 이내에 자연적으로 해결된다.[26][21] 17세가 되면 청소년 남성의 10%만이 지속적인 여성형유방증을 겪는다.[26]
노년층 남성의 경우, 정상적인 노화 과정의 일부로 나타나는 테스토스테론 수치 감소와 피하 지방 조직 증가가 여성형유방증을 유발할 수 있다. 지방 조직 증가는 아로마타제 활성의 주요 부위로, 테스토스테론과 같은 안드로겐 호르몬이 에스트로겐으로 전환되는 것을 증가시킨다.[21] 또한, 성호르몬 결합 글로불린 (SHBG) 수치는 나이가 들면서 증가하며 안드로겐보다 에스트로겐에 덜 친화적으로 결합한다.[23] 이러한 요인들이 복합적으로 작용하여 에스트로겐과 안드로겐의 비율이 높아지면서 여성형유방증이 발생하며, 이 그룹에서는 노년성 여성형유방증이라고도 한다.[21] 노년층 남성에서 노년성 여성형유방증의 유병률은 24~65%이다.[21]
3. 2. 비생리적 원인
테스토스테론 부족은 여성형유방증의 원인 중 하나이다. 자위나 성관계는 테스토스테론을 감소시키고 여성 호르몬을 증가시킬 수 있으므로, 여성형유방증 증상이 나타나면 이러한 행위를 멈추는 것이 좋다.[80] 테스토스테론은 아로마타제 효소에 의해 에스트로겐으로 전환되므로, 성욕이 강하면서 여성형유방증이 있는 경우 아로마타제 효소 작용을 살펴봐야 한다. 포도씨 추출물은 아로마타제 억제제 역할을 하고, 알코올은 아로마타제 효소 역할을 한다.
약물 사용은 여성형유방증 사례의 약 10~25%를 차지하는 것으로 추정된다.[31][41] 약물은 다양한 기전을 통해 에스트로겐 활성을 증가시키거나 에스트로겐 대 안드로겐 비율을 높여 여성형유방증을 유발할 수 있다.[23]
여성형유방증과 관련이 있는 약물은 다음과 같다:
| 구분 | 약물 |
|---|---|
| 확실한 증거 | 시메티딘, 케토코나졸, 생식샘자극 호르몬 방출 호르몬 유사체, 인간 성장 호르몬, 인간 융모성 성선 자극 호르몬, 5α-환원효소 억제제(피나스테라이드, 두타스테라이드), 특정 에스트로겐, 항안드로겐(비칼루타미드, 플루타미드, 스피로노락톤)[51][31][32][33] |
| 어느 정도 증거 | 칼슘 채널 차단제(베라파밀, 암로디핀, 니페디핀), 리스페리돈, 올란자핀, 아나볼릭 스테로이드,[31][34] 알코올, 오피오이드, 에파비렌츠, 알킬화 항종양제, 오메프라졸[31][35] |
라벤더[36]나 티트리 오일 같은 특정 성분이 함유된 피부 관리 제품도 에스트로겐 및 항안드로겐 효과로 인해 사춘기 이전 여성형유방증을 유발할 수 있다.[37][38] 당귀 및 ''트리불루스 테레스트리스''와 같은 특정 식이 보충제도 여성형유방증과 관련이 있다.[41]
영양실조 후 적절한 영양 섭취를 재개하면 생식샘 자극 호르몬 분비와 생식샘 기능이 회복되면서 일시적인 에스트로겐과 안드로겐 불균형이 발생하여 여성형유방증이 나타날 수 있다(재영양 여성형유방증).[39] 이는 제2차 세계 대전 당시 포로 수용소에서 귀환한 남성들에게서 처음 관찰되었으며, 1~2년 이내에 자연적으로 해결된다.[39][51]
만성 신부전 환자는 테스토스테론 생성 억제 및 요독증으로 인한 고요소혈증으로 인한 고환 손상으로 호르몬 불균형을 겪는 경우가 많다.[41][40] 투석 치료를 받는 환자의 50%에서 여성형유방증이 관찰되는데, 이는 재영양 여성형유방증과 유사한 기전으로 발생하며 1~2년 이내에 자연적으로 해결된다.[51][21]
간부전 또는 간경변 환자는 에스트로겐과 같은 호르몬을 적절하게 대사하는 능력이 손상될 수 있다. 알코올성 간 질환 환자는 에탄올이 테스토스테론 합성을 방해하고, 알코올 음료에 식물성 에스트로겐이 존재하여 에스트로겐 대 테스토스테론 비율을 높일 수 있다.[41] 낭성 섬유증이나 궤양성 대장염과 같은 흡수 장애를 유발하는 질환도 여성형유방증을 유발할 수 있다.[41]
척수구근 위축증이나 아로마타제 과다 증후군과 같은 희귀 유전 질환도 남성 여성형유방증의 원인이 될 수 있다.[42][43]
원발성 또는 속발성 성선기능저하증으로 인한 안드로겐 생성 결핍은 여성형유방증을 유발할 수 있다. 원발성 성선기능저하증은 고환 손상이나 클라인펠터 증후군과 같은 염색체 이상으로 발생하며, 클라인펠터 증후군의 경우 약 80%에서 여성형유방증이 동반된다.[39][21] 속발성 성선기능저하증은 시상하부 또는 뇌하수체 손상으로 발생한다.[51][23]
레이디히 세포 종양, 세르톨리 세포 종양[44] (포이츠-예거 증후군과 같은)[7] 및 hCG 분비 융모상피암[35]과 같은 고환 종양은 에스트로겐 과다 생산을 유발하여 급성 여성형유방증을 유발할 수 있다.[51] 부신 종양, 뇌하수체 종양(프로락틴종과 같은) 또는 폐암과 같은 다른 종양도 호르몬 불균형을 유발할 수 있다.[18]
전립선암 환자가 안드로겐 차단 요법으로 치료받는 경우 여성형유방증이 발생할 수 있다.[45]
; 호르몬 불균형
- 간 기능 저하: 간에서 여성 호르몬이 분해 및 처리되지 못해 여성 호르몬이 증가한다.
- 약물 섭취: 전립선 질환 치료제, 남성형 탈모증 치료제, 항정신병 약물(설피리드, 리스페리돈 등)은 고프로락틴혈증을 일으켜 여성형유방증을 유발할 수 있다.
- 남성/여성 호르몬 과다 투여: 도핑 목적으로 남성 호르몬을 과다 투여하면 방향족화 과정을 통해 여성 호르몬으로 대사되거나, 여성 호르몬을 직접 과다 투여하면 유선이 자극되어 가슴이 발달할 수 있다(호르몬 유방).
- 사춘기 및 갱년기의 호르몬 불균형
- 뇌종양: 뇌종양으로 인해 뇌하수체에서 생성되는 프로락틴 양이 증가하여 유방 발달이 유발될 수 있다.
- 전립선 비대/전립선암: 전립선 비대(양성)와 전립선암(악성) 환자는 흑선이 많다.[78]
; 기타
- 유전적 요인: 클라인펠터 증후군, 아로마타제 과다증 등.
- 원인 불명 (특발성 여성형유방증): 뚜렷한 호르몬 불균형 없이 남성의 유방이 비대해지는 경우로, 성인 여성형유방증의 가장 흔한 원인이다.
- 고환 종양
4. 증상
여성형유방증 환자는 남성의 한쪽 또는 양쪽 유방이 대칭 또는 비대칭적으로 비대해진다. 유방 조직의 부드럽고 압박 가능하며 움직이는 덩어리가 젖꼭지와 주변 피부 아래에서 느껴지는데, 이는 덩어리와 관련이 없는 더 부드러운 지방 조직과는 대조적이다.[53][18] 유방 압통이나 젖꼭지 민감성을 동반할 수 있는데, 이는 일반적으로 청소년에게서 관찰되는 여성형유방증과 관련이 있으며, 발달 초기에 주로 나타난다.[17]
피부 함몰, 젖꼭지 분비물, 젖꼭지 함몰은 여성형유방증의 전형적인 특징이 아니며 다른 질환과 관련될 수 있다.[53] 젖꼭지에서 유백색 분비물이 나오는 것은 일반적인 경우는 아니지만, 프로락틴 분비 종양이 있는 여성형유방증 환자에게서 나타날 수 있다.[51] 유륜의 직경 증가와 가슴의 비대칭도 여성형유방증의 다른 가능한 징후이다.[54]
여성형유방증은 유선의 발달로 인해 발생한다. 젖꼭지 안에 멍울이 생긴 것처럼 느껴지며 통증도 있어 유방암으로 오해할 수도 있다.
사춘기 초기의 남자에게서도 나타나며, 여성 유방의 타너 단계 III와 비슷해지는 경우도 드물지 않다. 이는 사춘기 초기에 남성 호르몬에 비해 여성 호르몬의 분비가 상대적으로 많아지기 때문이며, 이후 남성 호르몬 분비가 증가하면 1~2년 내에 사라진다.[77]。
젖꼭지나 유륜 부위에 무언가 닿거나 몸을 흔들면 통증이나 가려움이 생기거나, 운동 시 등에 유방 흔들림이 발생하여 브래지어 등이 필요할 수 있다.
5. 진단
의사는 여성형유방증을 진단하기 위해 환자의 과거 병력을 꼼꼼히 묻고 신체 검사를 한다. 신체 검사에는 유방암 및 가성 여성형유방증(과도한 지방 조직으로 인한 남성 유방 조직 비대)을 평가하기 위해 남성 유방 조직을 만져보는 것, 음경 및 고환의 크기와 발달 정도, 고환암 의심 덩어리 평가, 음모와 겨드랑이 털의 양과 분포 등 2차 성징의 발달 정도를 확인하는 것이 포함된다.[51] 여성형유방증은 보통 양쪽 유방에 모두 나타나지만, 한쪽에만 나타날 수도 있다.[41]
유방 비대증이 있는 남성은 [https://www.uptodate.com/contents/images/ENDO/57959/Evlbreastenlargementadlt.gif 알고리즘]을 사용하여 진단할 수 있다. 환자가 복용하는 약물이나 물질을 검토하면 여성형유방증의 원인을 알 수 있다.[41] 여성형유방증의 원인을 찾기 위해 권장되는 검사에는 아스파르테이트 아미노전이효소 및 알라닌 아미노전이효소 검사(간 질환 확인), 혈청 크레아티닌 검사(신장 손상 확인), 갑상선 자극 호르몬 수치(갑상선 기능 항진증 평가)가 있다.
이러한 초기 검사에서 원인이 밝혀지지 않으면, 저성선 기능증이나 고환 종양으로 인한 호르몬 불균형을 평가하기 위해 총 및 유리 테스토스테론, 황체 형성 호르몬, 난포 자극 호르몬, 에스트라디올, 혈청 베타 사람 융모 성선 자극 호르몬 (β-hCG) 및 프로락틴 수치를 추가로 검사해야 한다.[41] 프로락틴 수치 상승은 여성형유방증 환자에게 흔하지 않다.[41] β-hCG 수치가 비정상적으로 높으면 호르몬 분비 고환 종양을 확인하기 위해 고환 초음파 검사를 실시해야 한다.[41] 신체 검사에서 호르몬 불균형의 증거가 있는 경우, 소변 17-케토스테로이드 또는 혈청 디하이드로에피안드로스테론과 같은 고환, 부신 또는 기타 종양의 지표도 확인할 수 있다. 이러한 평가에서 여성형유방증의 원인이 밝혀지지 않으면 특발성 여성형유방증(원인 불명)으로 간주된다.[41]
유방 X선 촬영술은 신체 검사에서 여성형유방증이 의심될 때 진단을 위한 남성 유방 조직의 방사선학적 검사 방법으로 선택된다.[51][53] 신체 검사에서 덩어리가 만져지는 경우, 악성 종양을 시사하는 덩어리의 특징으로는 통증이 없고, 움직이지 않으며(고정), 불규칙한 모양, 피부 변화 등이 있다. 유방암 진단 가능성이 낮기 때문에 남성의 경우 유방 X선 촬영술은 거의 시행되지 않는다.[51] 유방 X선 촬영술을 시행했음에도 유방암을 시사하는 소견이 나타나지 않으면, 추가적인 영상 검사는 일반적으로 필요하지 않다.[53] 부신 또는 고환의 종양이 여성형유방증의 원인으로 생각되는 경우, 이 구조에 대한 초음파 검사를 시행할 수 있다.[51]
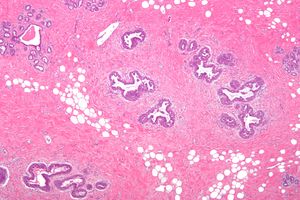
세침 흡인 생검으로 얻은 여성형유방증 조직을 검사할 때 나타나는 초기 조직학적 특징으로는 관의 증식 및 연장, 결합 조직 증가, 염증 증가, 관 주변의 부종 및 결합 조직 내 섬유아세포 증가가 예상된다.[21] 만성 여성형유방증은 결합 조직 섬유증 증가, 관 수 증가, 여성형유방증 급성기보다 염증 감소, 유륜하 지방 증가, 기질의 초자화 등과 같은 다른 조직학적 특징을 보일 수 있다.[54][21] 수술이 시행될 경우, 여성형유방증의 존재를 확인하고 현미경으로 종양을 검사하기 위해 일반적으로 샘플을 실험실로 보낸다. 남성 청소년 여성형유방증 환자에게서 제거된 유방 조직의 병리 검사의 유용성은 이 인구 집단에서 유방암이 드물기 때문에 최근 논란이 되고 있다.[68]
5. 1. 감별 진단
감별 진단은 여성형유방증, 가성 여성형유방증, 그리고 남성에게는 드문 유방암과 관련이 있다.[41][52] 유선염, 지방종, 피지 낭종, 피부 낭종, 혈종, 전이, 유관 확장증, 지방 괴사, 또는 과오종과 같은 남성 유방 비대의 다른 잠재적 원인은 일반적으로 진단을 내리기 전에 배제된다.[41]6. 분류
여성형유방증의 심각도는 단계별 시스템으로 분류된다.[81]
| 단계 | 설명 |
|---|---|
| 단계 I | 사소한 확장, 피부 과다 없음 |
| 단계 II | 중간 단계의 확장, 피부 과다 없음 |
| 단계 III | 중간 단계의 확장, 피부 과다 있음 |
| 단계 IV | 눈에 띄는 확장, 피부 과다 있음 |
여성형유방증의 중증도는 다음과 같은 등급 시스템으로도 분류된다.[55]
| 등급 | 설명 |
|---|---|
| 1등급 | 경미한 유방 비대, 피부 과잉 없음 |
| 2등급 | 중간 정도의 유방 비대, 피부 과잉 없음 |
| 3등급 | 중간 정도의 유방 비대, 피부 과잉 있음 |
| 4등급 | 현저한 유방 비대, 피부 과잉 있음 |
7. 치료
일반적으로 여성형유방증의 가장 좋은 치료 방법은 수술로 알려져 있다.[82] 하지만 수술만이 유일한 방법은 아니며, 유선 조직도 다른 세포처럼 사라질 수 있고, 수술 후에도 원인이 지속되면 다시 생길 수 있다.[82] 여성형유방증이 2년 안에 자연적으로 해결되지 않으면 의학적 치료가 필요하며, 약물 치료나 수술적 치료를 선택할 수 있다.[56] 방사선 치료와 타목시펜은 전립선암 환자가 안드로겐 박탈 요법을 받을 때 여성형유방증과 유방 통증 발생을 예방하는 데 도움이 될 수 있다.[64] 하지만 이러한 치료법은 이미 여성형유방증이 발생한 후에는 효과가 제한적이므로 예방적으로 사용하는 것이 가장 효과적이다.[64]
미국의 많은 보험 회사는 미용 시술이라는 이유로 여성형유방증 치료나 남성 유방 축소술에 대한 수술 보장을 거부한다.[65][66][67][70]
7. 1. 비수술적 치료
여성형유방증은 남성 유방 비대 시작 후 처음 2년 이내에 치료할 경우 효과가 있을 수 있지만, 약물 치료에 잘 반응할 수 있다.[51] 선택적 에스트로겐 수용체 조절제(SERMs)인 타목시펜, 랄록시펜, 클로미펜은 여성형유방증 치료에 도움이 될 수 있지만, 식품의약국의 여성형유방증 치료 승인을 받지 못했다.[51][31][57] 클로미펜은 타목시펜이나 랄록시펜보다 효과가 떨어지는 것으로 보인다.[57] 타목시펜은 성인 여성형유방증 치료에 사용될 수 있으며, 사용되는 약물 치료 중 타목시펜이 가장 효과적이다.[58][59] 최근 연구에 따르면 타목시펜 치료는 미용상 문제가 있거나 통증이 있는 여성형유방증의 경우 안전하고 효과적인 치료 방법이 될 수 있다.[31][60] 아로마타제 억제제(AIs)인 아나스트로졸은 사춘기 동안 발생하는 여성형유방증의 경우 오프라벨로 사용되지만, SERM보다 효과가 떨어진다.[61][57]드문 질환인 아로마타제 과잉 증후군과 푀이츠-예거 증후군에 의해 발생한 소수의 여성형유방증 사례는 아나스트로졸과 같은 AI 치료에 반응을 보였다.[61] 안드로겐/아나볼릭 스테로이드는 여성형유방증에 효과적일 수 있다.[57] 테스토스테론 자체는 에스트라디올로 아로마타제화될 수 있으므로 여성형유방증 치료에 적합하지 않을 수 있지만, 아로마타제화되지 않는 국소 제제인 안드로스타놀론(디하이드로테스토스테론)은 유용할 수 있다.[57]
7. 2. 수술적 치료
만성 여성형유방증이 약물 치료에 반응하지 않으면, 일반적으로 유선 조직을 외과적으로 제거해야 한다.[31] 미국 미용외과 위원회는 수술이 "여성형유방증에 대한 가장 효과적인 알려진 치료법"이라고 보고한다.[62] 여성형유방증이 12개월 이상 지속되고, 고통(신체적 불편함 또는 심리적 고통)을 유발하며, 섬유화 단계에 있다면 수술적 치료를 고려해야 한다.[63] 청소년 남성의 경우, 사춘기가 완료될 때까지(타너 단계 5단계에 도달해야 함) 수술을 연기하는 것이 권장된다.[63]여성형유방증 치료를 위한 수술적 접근법에는 피하 유방 절제술, 지방 흡입술 보조 유방 절제술, 레이저 보조 지방 흡입술, 지방 흡입술이 없는 레이저 지방 분해술 등이 있다. 유방 절제술의 합병증으로는 혈종, 수술 부위 감염, 유방 비대칭, 유방 감각 변화, 유륜 또는 유두 괴사, 장액종, 눈에 띄거나 고통스러운 흉터 및 윤곽 변형 등이 있을 수 있다.[55]

2019년, 미국에서 24,123명의 남성 환자가 여성형유방증 수술 치료를 받았으며, 이는 2000년 이후 19% 증가한 수치이다. 이 환자들의 35%는 20세에서 29세 사이였고, 60%는 수술 당시 29세 미만이었다. 평균 수술 비용은 4123USD였다.[14]
증상이 사라지지 않는 경우, 근본적인 치료법은 수술로 절제하는 것이다. 수술은 유륜의 반을 절개하여 그곳에서 유선과 지방을 제거한다. 자유 진료의 성형외과 병원의 경우 부분 마취로 당일 수술이 주를 이루는 듯하지만, 대학 병원이나 일반 병원에서는 크기에 따라 전신 마취를 하고 4일~7일간 입원이 필요한 경우도 있다. 수술 후 며칠 동안은 도렌(수술 부위에 피가 고이는 것을 막기 위해 체외로 배출하는 관)을 삽입하는 경우가 많으므로 입원하는 것이 안전하다고 할 수 있다.
수술 후 다시 부어오르는 경우도 있지만 재발이 아니고, 시간이 지나면서 약 1개월 정도면 부기가 가라앉고 유륜이 튀어나온 상태는 사라진다. 부기를 예방하려면 압박하는 것이 중요하다고 알려져 있다.
8. 예후
만성 간 질환이나 간경변을 앓고 있는 사람은 여러 이유로 여성형유방증이 발생할 수 있다. 간경변으로 진단받은 사람은 부신에서 안드로겐 호르몬 안드로스텐디온의 분비가 증가하고, 이 호르몬이 다양한 형태의 에스트로겐으로 전환되며, SHBG 수치가 증가하여 혈중 유리 테스토스테론 수치가 감소하는 경향이 있다.[21] 그레이브스병(흔한 형태의 갑상선 기능 항진증)을 앓고 있는 남성의 약 10~40%가 여성형유방증을 경험한다.[21] 테스토스테론이 아로마타제 활성 증가에 의해 에스트로겐으로 전환이 증가하고, SHBG 수치가 증가하며, LH 수치 상승으로 인해 고환에서 테스토스테론 및 에스트라디올의 생성이 증가하여 여성형유방증이 발생한다. 갑상선 기능 항진증을 적절히 치료하면 여성형유방증이 해결될 수 있다.[21]
여성형유방증의 원인은 다음과 같이 분류할 수 있다.[51]
| 에스트로겐 과다 | 안드로겐 결핍 | 성 호르몬 결합 글로불린 수치 증가 | 안드로겐 저항성 | 약물 |
|---|---|---|---|---|
여성형유방증 자체는 양성 소견이다. 고환암과 같은 기저 질환이 있는 일부 환자의 경우 예후가 좋지 않을 수 있지만, 여성형유방증은 불량한 예후를 나타내지 않는다.[51] 유선 조직은 일반적으로 호르몬 자극의 영향을 받아 성장하며 종종 압통이나 통증이 있다. 또한, 여성형유방증은 낮은 자존감, 우울증 또는 수치심과 같은 사회적 및 심리적 어려움을 자주 나타낸다.[68][55]
9. 사회 문화적 측면
여성형유방증은 해당 질환을 가진 사람들에게 심리적 고통을 유발할 수 있다. 영향을 받는 사람들의 자존감을 높이기 위해 지원 그룹이 존재한다.[70]
"무브(Moob)"는 "남성(man)"과 "유방(boob)"의 혼성어로, 남성의 유방을 지칭하는 대중적인 용어이다. 아나볼릭 스테로이드 사용은 여성형유방증을 유발할 수 있으며, 남성의 유방은 때때로 보디빌딩 커뮤니티에서 경멸적인 "비치 티츠(bitch tits)"라고 불리기도 한다.[73]
''머레이 대 얀센 제약사(Janssen Pharmaceuticals)'' 사건에서, 머레이는 9세에 해당 약물을 처방받고 남성 유방이 발달한 리스페리돈 사용자였다. 2015년 11월 배심원단은 머레이에게 유리한 판결을 내리고 175만달러를 배상하라고 판결했다. 배심원 평결은 "신체 훼손 및 정신적 고통"에 대한 손해 배상을 의미했지만, 나중에 68만달러로 감액되었다.[74] 재판의 두 번째 부분에서 원고들은 얀센 제약사가 리스페리돈이 어린 남성에게 여성형유방증을 유발할 수 있다는 증거를 알고 의도적으로 무시했으며, 그럼에도 불구하고 해당 약물을 허가 외로 홍보하고 부작용을 공개하지 않고 환자의 처방 및 사용을 위해 해당 약물을 시장에 출시했음을 입증하고자 했다.[74] 배심원단은 재판의 두 번째 부분에서 원고의 손을 들어주었고 80억달러의 징벌적 손해 배상을 명령했다. 해당 금액은 나중에 케네스 파월 주니어 판사에 의해 680만달러로 감액되었다.[75]
2019년, 필라델피아의 12인 배심원단은 리스페리돈 사용과 관련된 원고들에게 80억달러의 징벌적 손해 배상을 명령했다. 리스페리돈은 원래 정신병 치료를 위해 승인된 비정형 항정신병 약물이지만, 자폐증, 주의력 결핍 과잉 행동 장애, 조현병 진단을 받은 어린이를 포함한 어린이 사용이 지난 20년 동안 증가했다.[76]
참조
[1]
웹사이트
'Gynaecomastia ! Definition of Gynaecomastia by Oxford Dictionary on Lexico.com'
https://www.lexico.c[...]
OxfordDictionaries.com
2020-11-17
[2]
웹사이트
Definition of Gynecomastia
https://www.merriam-[...]
2020-11-17
[3]
논문
Spectrum of Disease in the Male Breast
2011-03
[4]
웹사이트
Breast enlargement in males: MedlinePlus Medical Encyclopedia
https://medlineplus.[...]
2020-11-25
[5]
논문
Gynaecomastia
2016-09-22
[6]
논문
Gynecomastia: pathophysiology, evaluation, and management
2009-11
[7]
논문
Use of Aromatase Inhibitors in Children and Adolescents With Disorders of Growth and Adolescent Development
2008-04-01
[8]
웹사이트
Gynecomastia: Surgery, treatment, causes, and symptoms
https://www.medicaln[...]
2021-04-16
[9]
논문
Gynecomastia
https://www.aafp.org[...]
2012-04-01
[10]
논문
Gynaecomastia and breast cancer in men
2008-03
[11]
서적
Practical Algorithms in Pediatric Endocrinology
https://books.google[...]
Karger Medical and Scientific Publishers
2007-01-01
[12]
서적
Cosmetic Surgery After Massive Weight Loss
https://books.google[...]
JP Medical Ltd
2013-02-28
[13]
간행물
de Ronde, W., de Jong, F.H. Aromatase inhibitors in men: effects and therapeutic options. Reprod Biol Endocrinol 9, 93 (2011). https://doi.org/10.1186/1477-7827-9-93
[14]
웹사이트
Plastic Surgery Statistics Report
https://www.plastics[...]
American Society of Plastic Surgeons
2019
[15]
서적
Mechanisms of Clinical Signs - EPub3
https://books.google[...]
Elsevier Health Sciences
2016-08-31
[16]
서적
Handbook of Adolescent Health Psychology
https://books.google[...]
Springer Science & Business Media
2014-07-08
[17]
논문
Gynecomastia
http://www.nejm.org/[...]
2007-09-20
[18]
논문
Current concepts in gynaecomastia
2009-04
[19]
간행물
Chapter 46 - Gynecomastia
https://www.scienced[...]
Mosby
2022-09-10
[20]
논문
A systematic review of literature on psychosocial aspects of gynecomastia in adolescents and young men
https://onlinelibrar[...]
2015-08
[21]
논문
Gynecomastia: Clinical evaluation and management
2014-03-19
[22]
논문
Gynecomastia and psychological functioning: A review of the literature
https://linkinghub.e[...]
2015-09
[23]
간행물
Gynecomastia: Etiology, Diagnosis, and Treatment
http://www.ncbi.nlm.[...]
MDText.com, Inc.
2022-09-09
[24]
서적
Textbook of pediatric emergency medicine
https://books.google[...]
Wolters Kluwer/Lippincott Williams & Wilkins Health
[25]
서적
Williams Textbook of Endocrinology: Expert Consult
https://books.google[...]
Elsevier Health Sciences
[26]
논문
Management of Adolescent Gynecomastia: An Update
https://doi.org/10.2[...]
2017-08-23
[27]
논문
Gynecomastia in adolescents
https://journals.lww[...]
2008-08
[28]
논문
Severe gynecomastia due to anti androgens intake: A case report and literature review
2013
[29]
논문
Antiandrogen treatments in locally advanced prostate cancer: are they all the same?
2006-08
[30]
논문
Flutamide: An Antiandrogen for Advanced Prostate Cancer
1990-06
[31]
논문
Drug-induced gynecomastia: an evidence-based review.
[32]
논문
Aldosterone antagonists in addition to renin angiotensin system antagonists for preventing the progression of chronic kidney disease
2020-10-27
[33]
논문
Gynecomastia: An ADR due to drug interaction.
2009-12
[34]
논문
'MECHANISMS IN ENDOCRINOLOGY: Medical consequences of doping with anabolic androgenic steroids: effects on reproductive functions'
2015-08
[35]
논문
Gynecomastia: physiopathology, evaluation and treatment
2012
[36]
논문
Prepubertal gynecomastia and chronic lavender exposure: report of three cases
2016
[37]
Review
Isoniazid-induced gynaecomastia: report of a paediatric case and review of literature
2020-10
[38]
Review
Breast development in pediatric patients from birth to puberty: physiology, pathology and imaging correlation
2021-10
[39]
논문
Gynecomastia: its features, and when and how to treat it.
http://www.ccjm.org/[...]
2004-06-01
[40]
논문
Gonadal dysfunction in men with chronic kidney disease: clinical features, prognostic implications and therapeutic options.
2012-01
[41]
논문
Gynecomastia.
2012-04-01
[42]
논문
Spinal and Bulbar Muscular Atrophy
2015-11
[43]
논문
Aromatase excess syndrome: a rare autosomal dominant disorder leading to pre- or peri-pubertal onset gynecomastia
2014-03
[44]
논문
Large-cell calcifying Sertoli cell tumors of the testes in pediatrics.
2012-08
[45]
논문
Metabolic complications of androgen deprivation therapy for prostate cancer.
2009-05
[46]
논문
Endocrinology of gynaecomastia
https://pubmed.ncbi.[...]
2001
[47]
논문
Large-cell calcifying Sertoli cell tumors of the testes in pediatrics
2012-08
[48]
논문
Management of Klinefelter syndrome during transition
2014-08
[49]
논문
Androgen resistance
https://www.scienced[...]
2006-12-01
[50]
서적
Gynecomastia
https://www.us.elsev[...]
Elsevier
2020
[51]
논문
Gynaecomastia—pathophysiology, diagnosis and treatment
2014-11
[52]
웹사이트
Tests and diagnosis
http://www.mayoclini[...]
Mayo Clinic
2013-02-03
[53]
Review
Male Breast: Clinical and Imaging Evaluations of Benign and Malignant Entities with Histologic Correlation
2016-02
[54]
논문
Algorithm for clinical evaluation and surgical treatment of gynaecomastia
2008
[55]
논문
Minimally invasive esthetic procedures of the male breast: Male breast
2011-06
[56]
웹사이트
Enlarged breasts in men (gynecomastia) - Diagnosis and treatment - Mayo Clinic
https://www.mayoclin[...]
2022-10-29
[57]
서적
Basics of Human Andrology
[58]
논문
Tamoxifen for the management of breast events induced by non-steroidal antiandrogens in patients with prostate cancer: a systematic review
2012-12
[59]
웹사이트
Gynaecomastia. Information about Gynaecomastia
https://patient.info[...]
2021-07-21
[60]
논문
Treatment of gynecomastia with tamoxifen: A double-blind crossover study
1986-08
[61]
논문
Aromatase inhibitors in pediatrics
2012-03
[62]
웹사이트
Male Breast Reduction Guide | Gynecomastia Surgery Guide
https://www.american[...]
[63]
웹사이트
UpToDate
https://www.uptodate[...]
2022-09-12
[64]
논문
Prevention of Gynecomastia and Breast Pain Caused by Androgen Deprivation Therapy in Prostate Cancer: Tamoxifen or Radiotherapy?
2012-07
[65]
웹사이트
Coverage Determination Guideline Gynecomastia Treatment
https://www.unitedhe[...]
United HealthCare Services, Inc
2019-05-06
[66]
웹사이트
Clinical Policy Bulletin: Breast Reduction Surgery and Gynecomastia Surgery
http://www.aetna.com[...]
Aetna Inc
2013-02-12
[67]
웹사이트
Cigna Medical Coverage Policy
https://www.cigna.co[...]
Cigna
2013-02-12
[68]
논문
Breast Cancer Incidence in Adolescent Males Undergoing Subcutaneous Mastectomy for Gynecomastia: Is Pathologic Examination Justified? A Retrospective and Literature Review
2011-01
[69]
논문
Gynecomastia: Pathophysiology, Evaluation, and Management
2009-11
[70]
논문
The Social Context for Psychological Distress from Iatrogenic Gynecomastia with Suggestions for Its Management
2009-04
[71]
서적
Reconstructive Breast Surgery
https://books.google[...]
Mosby
1976
[72]
논문
Surgery for Gynecomastia in the Islamic Golden Age: Al-Tasrif of Al-Zahrawi (936-1013 AD)
2012
[73]
서적
Cultural Encyclopedia of the Breast
https://books.google[...]
Rowman & Littlefield
[74]
웹사이트
In first test, Philadelphia jury punishes J&J with an $8 billion verdict; Thousands more cases remain
https://pennrecord.c[...]
Pennsylvania Record
2019-10-08
[75]
웹사이트
Judge in landmark $8 billion Risperdal case cuts punitive damages award down to $6.8 million
https://pennrecord.c[...]
Pennsylvania Record
2020-01-17
[76]
웹사이트
What Parents Should Know About Risperdal
https://childmind.or[...]
Child Mind Institute
2020-01-18
[77]
논문
総説 思春期の発現
http://www.lib.yaman[...]
2004
[78]
논문
Prevalence of Linea nigra in patients with benign prostatic hyperplasia and prostate carcinoma
2012-11
[79]
웹사이트
女性化乳房症の手術方法(治療方法)について
https://www.mpg-abk.[...]
プラストクリニック
[80]
웹사이트
https://www.healthli[...]
[81]
논문
Minimally invasive esthetic procedures of the male breast
2011-06
[82]
웹인용
여성형 유방증 수술
https://cafe.naver.c[...]
2024-07-02
본 사이트는 AI가 위키백과와 뉴스 기사,정부 간행물,학술 논문등을 바탕으로 정보를 가공하여 제공하는 백과사전형 서비스입니다.
모든 문서는 AI에 의해 자동 생성되며, CC BY-SA 4.0 라이선스에 따라 이용할 수 있습니다.
하지만, 위키백과나 뉴스 기사 자체에 오류, 부정확한 정보, 또는 가짜 뉴스가 포함될 수 있으며, AI는 이러한 내용을 완벽하게 걸러내지 못할 수 있습니다.
따라서 제공되는 정보에 일부 오류나 편향이 있을 수 있으므로, 중요한 정보는 반드시 다른 출처를 통해 교차 검증하시기 바랍니다.
문의하기 : help@durumis.com