위 (해부학)
"오늘의AI위키"의 AI를 통해 더욱 풍부하고 폭넓은 지식 경험을 누리세요.
1. 개요
위는 소화관의 일부로, 음식물을 일시적으로 저장하고 소화하는 주머니 모양의 기관이다. 사람의 위는 분문, 위저부, 위체부, 유문의 4개 부분으로 나뉘며, 위벽은 점막, 점막하층, 근육층, 장막하층, 장막의 5개 층으로 구성된다. 위는 음식물을 기계적으로 분쇄하고 위액을 분비하여 화학적 소화를 돕는다. 위 관련 질병으로는 위염, 위궤양, 위암 등이 있으며, 진단을 위해 내시경, 바륨 조영술 등이 사용된다. 동물의 위는 종에 따라 구조가 다르며, 반추동물은 여러 개의 방으로, 조류는 모이주머니, 앞위, 모래주머니로 분화되어 있다.
더 읽어볼만한 페이지
- 위 (해부학) - 염산
염산은 염화수소 수용액으로, 자비르 이븐 하이얀에 의해 처음 발견되어 르블랑 공정을 통해 대량 생산되었으며, 현재는 유기 화합물 생산의 부산물로 얻어져 산업 전반에 사용되지만 강한 부식성으로 취급에 주의해야 하는 강산성 무기산이다. - 위 (해부학) - 위산 (소화계)
위산은 위에서 분비되는 강한 산성 물질로 살균 작용, 펩신 활성화 등의 소화 작용을 하며, 자율 신경계와 호르몬에 의해 조절되고, 과다 또는 과소 분비 시 질환을 유발할 수 있으며, 양성자 펌프 억제제 등으로 조절 가능하다. - 생물의 기관 - 오장육부
오장육부란 한의학에서 생명 유지 활동을 주관하는 오장(간, 심, 비, 폐, 신)과 소화, 흡수, 배설을 담당하는 육부(담, 소장, 위, 대장, 방광, 삼초)를 통칭하는 기능적, 관계적 개념으로, 음양오행 철학에 기반하여 상호 작용하는 것으로 설명되나 현대 의학에서는 유사과학으로 비판받기도 한다. - 생물의 기관 - 머리카락
머리카락은 털과 털주머니로 구성된 털 기관의 일부로서 몸을 보호하고 보온하며, 모수질, 모피질, 모표피의 3중 구조와 멜라닌 색소로 색깔이 결정되고, 모주기를 거치면서 화학적, 물리적 요인에 따라 성질이 변하며, 다양한 분야에서 활용된다. - 배 (해부학) - 식도
식도는 소화계의 상부 기관으로, 입 뒤에서 시작하여 위까지 연결되며, 음식물 역류를 막고 삼키는 기능을 수행하며 다양한 질환이 발생할 수 있다. - 배 (해부학) - 비장
비장은 가로막 아래 위치하여 면역 기능, 혈액 여과, 혈구 생성 및 파괴를 담당하는 인체 장기로, 태아기 혈구 생성, 성인 혈액 내 이물질 제거, 림프구 생성에 관여하며, 비장비대, 비장 파열, 무비증 등의 질환과 역사적으로 우울증과 연관되고 일부 문화권에서 식재료로 사용되기도 한다.
| 위 (해부학) | |
|---|---|
| 개요 | |
![]() | |
![]() | |
| 라틴어 | ventriculus, stomachus |
| 그리스어 | στόμαχος |
| 전구체 | 전장 |
| 계통 | 소화계 |
| 동맥 | 오른위동맥, 왼위동맥, 오른위대망동맥, 왼위대망동맥, 짧은위동맥 |
| 정맥 | 오른위정맥, 왼위정맥, 오른위대망정맥, 왼위대망정맥, 짧은위정맥 |
| 신경 | 복강 신경절, 미주 신경 |
| 림프 | 복강 림프절 |
| 구조 | |
![]() | |
![]() | |
| 부위 | 위바닥 분문 위몸통 유문 |
| 식별 | |
| 메시명 | Stomach |
| 메시번호 | A03.556.875.875 |
| 도를란드 사전 (접두사) | f_17 |
| 도를란드 사전 (접미사) | 12380862 |
2. 구조
위는 식도와 십이지장 사이에 위치하며, 복강의 좌상 복부 사분역에 자리한다. 위 상단은 횡격막에 닿아 있고, 뒤쪽에는 췌장이 있다. 대망은 위의 대만곡에서 아래로 늘어진 내장 복막의 큰 이중 주름이다. 위는 하부 식도 괄약근과 유문 괄약근이라는 두 개의 괄약근으로 내용물을 유지한다.
위는 부교감 신경계와 교감 신경계 신경총의 지배를 받아 분비 활동과 근육 운동이 조절된다.[3] 신장성이 있어 보통 약 1리터의 음식을 담을 수 있으며,[3] 성인의 최대 용량은 2~4리터이다.[4][5]
위는 소화관을 이루는 주머니 모양의 기관으로, 입구와 출구가 좁고 중간이 부풀어 있다. 식도와 연결되는 부분은 분문부, 십이지장과 연결되는 부분은 유문부, 그 외의 부위를 위체부라고 한다.[63] 전체적으로 왼쪽으로 활 모양으로 굽어 있으며, 크게 부풀어 오른 왼쪽을 대만, 반대로 꺾인 오른쪽을 소만이라 부른다. 위저부는 위 상부로 분문과 가까운 부분이며, 횡격막에 접한다.
위는 크게 분문, 위저부, 위체부, 유문의 네 부분으로 나뉜다.
소만에는 우위동맥과 좌위동맥이, 대만에는 우위대망동맥과 좌위대망동맥이 혈액을 공급한다. 위저와 대만곡 상부에는 지라동맥에서 분지하는 단위동맥이 혈액을 공급한다.
2. 1. 부위
사람의 위는 분문, 위저부, 위체부, 유문의 네 부분으로 나눌 수 있다.[7][20]
- 분문 (위들문)은 식도의 내용물이 위식도 괄약근에서 분문 개구부를 통해 위로 비워지는 곳이다.[8][20] 분문 개구부 왼쪽에 있는 분문 절흔은 위의 큰 굽이 시작 부분을 나타낸다. 분문 절흔에서 가로로 이어진 수평선은 돔 모양의 위저부라는 부위를 형성한다.[20] 분문은 식도 개구부를 둘러싼 위의 매우 작은 부위이다.[20] 분문 근처에는 하부 식도 괄약근이 있다.[8]
- 위저부 (위바닥)는 위쪽 굽은 부분에 형성된다.
- 위체부 (위몸통)는 위의 주요 중심 부위이다.
- 유문 (날문)은 위 몸통으로 열린다. 유문은 유문 괄약근에서 위를 샘창자에 연결한다.
위는 소화관을 이루는 관상 기관으로, 입구와 출구가 좁고 중간이 부풀어 오른 주머니 모양의 구조를 하고 있다. 식도와 연결되는 부분을 분문부, 십이지장과 연결되는 부분을 유문부, 그 외의 부위를 위체부라고 한다.[63]
2. 2. 위벽의 구조
소화관 벽의 다른 부분과 마찬가지로, 사람 위 벽은 안쪽에서 바깥쪽으로 점막, 점막하층, 근육층, 장막하층 및 장막으로 구성된다.[15]위 벽의 내부는 위를 덮는 점막인 위 점막이다. 이 막은 원주 상피의 바깥층, 고유층 및 근육판이라고 하는 얇은 평활근 층으로 구성된다. 점막 아래에는 섬유 결합 조직으로 구성된 점막하층이 있다.[16] 마이스너 신경총은 사선 근육층의 내부에 있다.[17]
점막하층 바깥에는 근육층이 있다. 이 층은 서로 각을 이루는 섬유로 된 세 개의 근육층으로 구성된다. 이들은 내사선, 중간 원형 및 외종층이다.[18] 내사선층의 존재는 이 층을 가지고 있지 않은 소화관의 다른 부분과 구별된다.[19] 위는 세 개의 층으로 구성된 가장 두꺼운 근육층을 포함하므로 여기서 최대 연동 운동이 발생한다.
- '''내사선층:''' 이 층은 음식을 저어 물리적으로 분해하는 운동을 생성하는 역할을 한다. 소화계의 다른 부분에서는 볼 수 없는 세 개의 층 중 유일한 층이다. 유문에는 벽에 더 두꺼운 피부 세포가 있고 위저보다 더 강력한 수축을 수행한다.
- '''중간 원형층:''' 이 층에서 유문은 일반적으로 긴장적으로 수축되어 기능적(해부학적으로 별개는 아님) 유문 괄약근을 형성하고 죽종의 십이지장으로의 이동을 제어하는 두꺼운 원형 근육 벽으로 둘러싸여 있다. 이 층은 위의 세로축에 동심원적이다.
- 근간 신경총(Auerbach's plexus)은 외종층과 중간 원형층 사이에 있으며 둘 다 신경을 지배하는 역할을 한다 (연동 운동 및 혼합을 유발).
'''외종층'''은 반쯤 소화된 음식을 근육 수축을 통해 위 유문 쪽으로 이동시키는 역할을 한다.
근육층 바깥쪽에는 복막과 연속된 결합 조직층으로 구성된 장막이 있다.
소만 안쪽을 따라 매끄러운 점막은 위로 들어가는 액체를 유문으로 빠르게 이동시키는 통로인 '''위관'''을 형성한다.[20]
위 벽(위벽)은 안쪽부터 점막층, 점막하층, 고유근층, 장막하층, 장막의 5개 층으로 이루어져 있다. 근층의 바깥쪽은 복막으로 덮여 있다. 위암은 위벽의 어느 부위까지 침윤되었는지에 따라 진행 정도가 판단된다.
점막에는 위소와(위소와)라고 불리는 미세한 구멍이 무수히 늘어서 있다. 위소와의 바닥에는 위선(위저선)이라고 불리는 관 모양의 분비선이 열려 있으며, 이 선이 점막의 최하층까지 뻗어 있다.[64] 이 분비선에서는 주로 염산과 소화 효소인 펩시노겐이 분비된다(위액). 위선의 세포 중 벽세포(방세포)는 위산(염산)[65] 및 내인자를 분비하고, 주세포는 펩신의 전구체인 펩시노겐을 분비한다.[66] 펩시노겐은 생리 활성이 없지만, 염산에 반응하여 활성형 펩신으로 변화한다.[66]
벽세포에서 분비되는 염산(위산)은 위의 유문전정부에 존재하는 G세포에서 생성되는 가스트린, 부교감 신경 말단에서 분비되는 아세틸콜린, 비만 세포 등에서 분비되는 히스타민에 의한 자극으로 내분비된다.[67][68] 위 점막의 표면을 덮는 부세포는 염산의 산성과 펩신에 의한 소화로부터 세포 자신을 보호하기 위해 점액을 분비하고 있다. 강산성 위액이 위를 스스로 소화하지 않는 이유는 위의 부세포에서 분비되는 점액으로 위가 덮여 있고, 또한 위액을 중화하는 중탄산염도 생성되기 때문이다. 또한 항상 프로스타글란딘이라는 활성 물질의 작용으로 세포 증식을 활발하게 하여 위벽의 손상을 최소한으로 억제하고 있다. 그러나 스트레스 등으로 부교감 신경의 균형이 무너지면 위액이나 소화 효소의 조절이 제대로 되지 않아 자기 자신을 소화해 버리는, 즉 위에 구멍이 생기는 상태인 위궤양을 일으킨다.
위샘이라는 외분비샘이 존재하는데, 주세포에서는 단백질을 소화하는 효소인 펩신이, 부세포에서는 염산이 분비된다. 펩신은 주로 단백질로 구성된 위벽을 분해할 수도 있기 때문에 분비될 때에는 비활성 상태인 펩시노겐으로 분비되어 염산에 의해 활성화한다. 또한 위벽은 강한 산성과 단백질 가수 분해 효소의 작용을 방어하기 위하여 굉장히 튼튼하며, 뮤신이라는 점액질에 보호된다.[71]
2. 3. 혈액 공급 및 림프 배출
인체 위장의 작은만곡에는 아래쪽에서 우위동맥이, 위쪽에서는 좌위동맥이 혈액을 공급하며, 좌위동맥은 분문 부위에도 혈액을 공급한다. 큰만곡에는 아래쪽에서 우위대망동맥이, 위쪽에서는 좌위대망동맥이 혈액을 공급한다. 위저와 큰만곡의 상부에는 지라동맥에서 분지하는 단위동맥이 혈액을 공급한다.
두 세트의 위 림프절은 위에서 림프액을 배출한다.
2. 4. 신경 분포
위는 부교감 신경계(억제) 및 교감 신경계(자극) 신경총(혈관 및 신경의 네트워크, 전위, 후, 상부 및 하부, 복강 및 근장막 신경총)의 지배를 받으며, 이를 통해 분비 활동과 근육 운동이 조절된다.[3]3. 기능
위는 음식물을 일시적으로 저장하고, 위액과 섞어 소화하기 쉬운 형태로 만든다.[70] 음식물을 기계적으로 부수어 작은 입자의 유액으로 만들고, 원위부 장의 소화 및 흡수 능력에 맞추어 음식물을 운반한다.
위는 공복 시에 이동성 위장관 복합운동(MMC)이라는 독특한 운동기능을 수행한다. 이는 ‘관리(housekeeping)’ 운동양상이라고도 불리며, 소화되지 않은 물질이나 섭취한 이 물질을 위에서부터 위장관 전체를 따라 이동시킨다.
또한, 다음과 같은 기능을 갖는다.
- 단백질은 펩신에 의해 폴리펩타이드(펩톤)라고 불리는 수용성 분해 산물로 소화된다.
- 음식이 들어오면 가스트린을 혈관 내로 분비하여 펩시노겐 분비를 촉진하고, 위벽 세포로부터 위산 분비를 촉진하며, 위벽 세포를 증식시키는 등 소화 활동을 활발하게 한다.
- 음식이 십이지장으로 나가면, 십이지장에서 내분비되는 세크레틴에 의해 가스트린 분비가 억제되어 소화 활동이 정지된다.
- 내인자를 분비하여 비타민 B12 흡수에 관여한다.
3. 1. 기계적 소화
위는 근육 수축 운동을 통해 위벽에서 분비되는 위액과 음식물을 잘 섞는다.[70] 음식은 위벽의 연동 운동성 근육 수축을 통해 섞이며 식괴(씹은 음식의 작고 둥근 덩어리)의 부피를 줄인 후, 키메(부분적으로 소화된 음식)로 변환된다. 키메는 유문 괄약근을 통해 천천히 십이지장으로 들어가는데, 여기서 영양소 추출이 시작된다.음식이 위로 들어간 지 몇 분 지나지 않아 약 20초 간격으로 혼합 파동이 시작된다. 혼합 파동은 음식과 위액을 섞어 반죽 상태로 만드는 독특한 형태의 연동 운동이다. 초기 혼합 파동은 비교적 약하지만, 위 체부에서 시작하여 유문으로 갈수록 강도가 증가하는 더 강렬한 파동이 이어진다.
약 30mL의 반죽을 담는 유문은 필터 역할을 하여 액체와 작은 음식 입자만 대부분 닫혀 있지만 완전히 닫히지 않은 유문 괄약근을 통과하도록 한다. 위 배출이라고 불리는 과정에서 리듬감 있는 혼합 파동이 한 번에 약 3mL의 반죽을 유문 괄약근을 통해 십이지장으로 밀어 넣는다. 한 번에 더 많은 양의 반죽을 방출하면 소장의 처리 능력을 압도하게 된다. 나머지 반죽은 위 체부로 다시 밀려 들어가 계속 섞인다. 이 과정은 다음 혼합 파동이 더 많은 반죽을 십이지장으로 밀어 넣을 때 반복된다.
위 배출은 위와 십이지장 모두에 의해 조절된다. 십이지장에 반죽이 있으면 위액 분비를 억제하는 수용체가 활성화된다. 이는 십이지장이 반죽을 처리할 준비가 되기 전에 위에서 추가 반죽이 방출되는 것을 막는다.[31]
3. 2. 화학적 소화
위샘에서는 염산, 펩시노겐(펩신의 전구체), 점액 등을 분비한다.[71] 염산은 강한 산성 환경을 조성하여 세균을 죽이고, 펩시노겐을 활성화시켜 단백질 소화를 돕는다.[71] 펩신은 단백질을 폴리펩타이드로 분해한다. 위는 지방 소화를 돕는 위 리파아제도 생성한다.3. 3. 흡수
인체의 소화계에서 흡수는 주로 소장의 기능이지만, 특정 소분자의 일부 흡수는 위 내벽을 통해 발생한다. 여기에는 다음이 포함된다.[32][33][34][35]인간 위의 벽세포는 내인자를 생성하는데, 이는 비타민 B12의 흡수에 필수적이다.[27] 비타민 B12는 세포 대사에 사용되며, 적혈구 생성과 신경계의 기능에 필요하다.
3. 4. 소화 조절
위의 움직임과 위로의 화학 물질 흐름은 자율 신경계와 여러 소화 호르몬에 의해 조절된다.| 호르몬 | 역할 |
|---|---|
| 가스트린 | 위에서 벽세포로부터 염산(HCl) 분비를, 주세포로부터 펩시노젠 분비를 증가시킨다. 또한 위 운동성을 증가시킨다. 가스트린은 위 유문의 팽창과 소화 산물(특히 불완전하게 소화된 단백질)에 반응하여 위 G 세포에서 분비된다. 이는 pH 4 미만의 산성 환경과 소마토스타틴에 의해 억제된다. |
| 콜레시스토키닌 | 쓸개 수축을 유발하고, 위 배출을 감소시키며, 알칼리성 췌장액 분비를 증가시켜 내용물을 중화시킨다. 콜레시스토키닌은 소장 점막 상피의 I 세포에서 합성된다. |
| 세크레틴 | 이자에 주로 작용하여 위산 분비를 감소시킨다. 세크레틴은 S 세포에서 합성되며, S 세포는 십이지장 점막과 일부 공장 점막에 위치한다. |
| 위 억제 폴리펩티드 | 위산 분비와 운동성을 모두 감소시킨다. GIP는 십이지장 및 공장 점막의 K 세포에서 합성된다. |
| 엔테로글루카곤 | 위산과 운동성을 모두 감소시킨다. |
가스트린을 제외한 다른 호르몬들은 모두 위 활동을 억제한다. 이는 간과 담낭에서 아직 흡수되지 않은 음식물에 대한 반응이다. 위는 소장이 비어있을 때만 음식물을 소장으로 보내며, 소장이 가득 차 소화 중일 때는 음식 저장고 역할을 한다.[70]
4. 위 관련 질병
- 위천공(胃穿孔)은 위벽에 구멍이 생기는 질환이다. 마른오징어나 생선 가시 등을 제대로 씹지 않고 넘기거나 술을 많이 마시면 생길 수 있다.
- 위암은 위에서 발생하는 암이다.
- 위궤양(胃潰瘍)은 위 내벽이 부분적으로 허는 질환이다.

- 위염
- 악성 림프종
- 소화관 간질 종양(GIST)
- 위 카르시노이드
- 위 점막하 종양
- 선천성 비후성 유문 협착증
- 위 정맥류
- 위 전정부 모세 혈관 확장증 (GAVE, 수박 위)
- 위 아니사키스증
- 위 내 이물
- 출혈
4. 1. 한국인의 위 질환
한국인에게 흔한 위 질환으로는 위염, 위궤양, 위암 등이 있다. 헬리코박터 파일로리(Helicobacter pylori) 감염, 맵고 짠 음식 섭취, 흡연, 음주는 위 질환 발생 위험을 높이는 요인으로 알려져 있다.[48] 특히, 위암은 한국에서 발생률이 높은 암 중 하나이며, 조기 검진 및 예방이 중요하다.위궤양은 위 내벽이 부분적으로 허는 질환이다. 불규칙한 생활습관, 스트레스, 알코올, 카페인, 흡연, 약물 등이 원인이 될 수 있다. 위암은 주로 한국, 일본, 인도네시아 등 동양인에게 많이 발생한다.[48] 위천공은 궤양 부위가 부식하여 위벽에 구멍이 생기는 질환으로, 마른 오징어나 생선 가시 등을 제대로 씹지 않거나 술을 많이 마시면 생길 수 있다.
위 질환 검사에는 상부 위장관 촬영술(바륨 삼킴 검사 포함)이나 내시경 검사가 사용될 수 있다. 위 배출 검사는 위 배출 속도를 평가하는 표준 검사이다.[47]
4. 2. 기타 위 질환
- '''위염'''[48]
- '''위궤양'''[48]: 스트레스뿐만 아니라 헬리코박터균에 의해서도 발생할 수 있다. 생활습관이 불규칙하거나, 정서적으로 스트레스를 많이 받거나, 알코올이나 카페인이 많이 함유된 음식을 섭취하거나, 담배를 자주 피우거나, 부신피질호르몬제, 아스피린, 비스테로이드성 등 소염제류의 약물을 사용하면 위 점막 분비/조절 체계에 이상이 생길 수 있으며, 이는 위산이 위벽으로 역류하여 위궤양이 되는 결과를 초래할 수 있다.
- '''위암''': 주로 한국, 일본, 인도네시아 등 동양인에게 발생하며 미국, 캐나다 등 서양에서는 보기 힘들다.
- 위 폴립
- 악성 림프종
- 소화관 간질 종양(GIST)
- 위 카르시노이드
- 위 점막하 종양
- 선천성 비후성 유문 협착증
- 위 정맥류
- 위 전정부 모세 혈관 확장증 (gastric antral vascular ectasia; GAVE, 수박 위)
- 위 아니사키스증
- 위 내 이물
- 출혈
- 천공: 궤양 부위가 완전히 부식하여 위벽에 구멍이 생기는 질환이다. 마른오징어나 생선가시 등을 제대로 씹지 않고 넘겨 위 표면을 긁을 경우, 술을 많이 마실 경우 생길 수 있다.

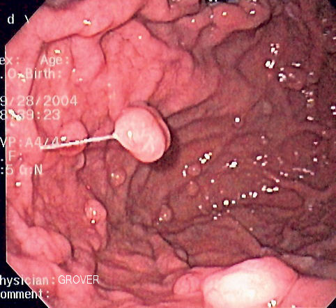
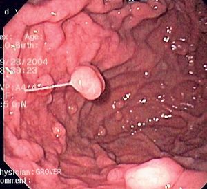
위선 폴립(polyp (medicine))의 내시경 사진
5. 동물의 위
소, 양 등의 반추동물의 위는 보통 4개의 방으로 나뉘어 저장, 발효, 분쇄, 소화의 분업화가 이루어진다. 제1위에서는 셀룰라제를 지닌 미생물이 공생하므로 셀룰로스 소화가 이루어지고, 제4위에서는 대량으로 증식된 미생물을 포함한 단백질 소화가 이루어진다. 이 제4위가 본래의 위이고, 다른 3개의 위는 식도가 변형된 것이다.[70]
조류의 위는 식도 말단부가 부풀어 모이주머니가 되고, 앞위와 모래주머니로 나뉜다. 특히, 곡류를 먹는 조류의 모래주머니는 내면이 각질화되어 있어서 먹이를 잘게 부수는 데 도움이 된다.[70]
어류 중 잉어, 붕어 등은 위가 없고, 식도나 장의 일부가 굵어진 것이 위 구실을 한다.[70] 칠성장어, 먹장어, 키메라, 폐어, 일부 경골어류는 위가 전혀 없으며, 식도가 직접 장으로 열린다. 이러한 동물들은 음식 저장량이 적거나, 위액을 사용한 소화가 필요 없거나, 둘 다 필요 없는 식단을 섭취한다.[57]
많은 비인간 포유류에서 심장선 앞쪽의 위 부분은 식도와 실질적으로 동일한 상피로 덮여 있다. 특히 반추 동물은 복잡한 4개의 방으로 된 위를 가지고 있다. 처음 세 개의 방(반추위, 그물위, omasum)은 모두 식도 점막으로 덮여 있으며,[57] 마지막 방은 단위 위 동물의 위와 같이 작용하며, 이를 abomasum이라고 한다.
조류와 악어에서 위는 두 영역으로 나뉜다. 앞쪽은 기저선으로 덮여 있고, 진정한 위를 모이주머니에 연결하는 좁고 관 모양의 영역인 전위이다. 그 너머에는 강력한 근육질의 모래주머니가 있으며, 유문선으로 덮여 있고, 일부 종에서는 동물이 음식을 분쇄하는 데 도움이 되도록 삼키는 돌을 포함하고 있다.[57]
곤충에도 모이주머니가 있다. 곤충의 위는 중장이라고 한다.
많은 동물은 인간과 같은 단 위(單胃)를 가지지만, 염소, 소 등의 반추류나 조류는 복위(複胃)를 가진다. 복위 중 식도에 가까운 위를 전위(前胃), 먼 위를 후위(後胃)라고 부른다.
반추류의 복위는 전위(제1위, 제2위, 제3위)와 후위(제4위)로 나뉘며, 제1위와 제2위는 함께 반추위라고도 불린다. 제4위만이 소화액을 분비하는 선(腺)을 가진 본래의 위(선위)이다. 제1위에서 제3위까지는 식도가 발달한 것으로 저작한 음식을 발효시키고, 제4위에서의 소화를 용이하게 하는 것이 주요 역할이다.
조류의 위는 전위와 근위(筋胃)로 나뉘며, 전위가 소화선을 가진 선위에 해당한다. 근위는 모래주머니라고도 불리며, 전위에서 소화액과 혼합된 음식을 갈아 으깨는 기능을 한다.
6. 진단 및 치료
인간의 경우, 체중 감량을 위해 위와 관련된 여러 비만 수술 절차가 시행된다. 위 밴드를 유문 부위 주위에 배치하여 섭취량을 조절할 수 있다. 위 소매 절제술처럼 위의 해부학적 구조를 변경하거나, 위 우회술과 같이 위를 완전히 우회할 수도 있다.
위 절제술은 위를 외과적으로 제거하는 것이며, 유문 부위를 제거하는 것은 '심장 절제술'이라고 한다.[49][50][51] 위 절제술은 위암이나 위벽의 심한 천공 때문에 수행될 수 있다.
위저부 주름 성형술은 위저부가 하부 식도를 감싸고 제자리에 봉합하는 위 수술이다. 이는 위식도 역류 질환(GERD)을 치료하는 데 사용된다.[52]
참조
[1]
서적
Essentials of Human Physiology
[2]
문서
The Stomach
[3]
서적
Human physiology: from cells to systems
https://archive.org/[...]
Wadsworth Pub. Co
[4]
간행물
Respiratory system compliance decreases after cardiopulmonary resuscitation and stomach inflation: impact of large and small tidal volumes on calculated peak airway pressure
[5]
서적
Invitation to Biology
Worth
[6]
문서
Gastric Infarction
https://doi.org/10.1[...]
1974
[7]
서적
Principles of anatomy and physiology
Wiley
2009
[8]
서적
Schwartz's principles of surgery
McGraw-Hill, Medical Pub. Division
2010
[9]
서적
Diseases of the Stomach: A Manual for Practitioners and Students
https://books.google[...]
Chicago Medical Book Company
1909
[10]
서적
Shearer's manual of human dissection, Eighth Edition
https://books.google[...]
McGraw Hill
1999
[11]
간행물
Topographical anatomy of the spleen, pancreas, duodenum, kidneys, &c.
https://archive.org/[...]
1896
[12]
간행물
Royal Academy of Medicine in Ireland
https://books.google[...]
1902-02-22
[13]
간행물
Reviews and bibliographical notes
https://books.google[...]
[14]
서적
Essential Clinical Anatomy (Point (Lippincott Williams & Wilkins))
Lippincott Williams & Wilkins
[15]
웹사이트
University of Rochester medical center
https://www.urmc.roc[...]
2020
[16]
웹사이트
Stomach histology
https://www.kenhub.c[...]
2021-01-09
[17]
서적
Gastrointestinal physiology : development, principles and mechanisms of regulation
Springer
[18]
웹사이트
22.5C: Muscularis
https://med.libretex[...]
2024-02-09
[19]
웹사이트
SIU SOM Histology GI
http://www.siumed.ed[...]
2021-01-09
[20]
간행물
Gray's Anatomy
https://www.uk.elsev[...]
Elsevier
[21]
웹사이트
How does the Stomach Work?
https://www.ncbi.nlm[...]
Institute for Quality and Efficiency in Health Care (IQWiG).
2024-06-16
[22]
간행물
Histology of the mucosa of the oesophagogastric junction and the stomach in adult Rana perezi.
1996-04
[23]
서적
Dorland's Illustrated Medical Dictionary
Elsevier
2012
[24]
서적
Dorland's Illustrated Medical Dictionary
Elsevier
2012
[25]
웹사이트
The human proteome in stomach - The Human Protein Atlas
https://www.proteina[...]
2017-09-25
[26]
간행물
Tissue-based map of the human proteome
2015-01-23
[27]
간행물
The human gastrointestinal tract-specific transcriptome and proteome as defined by RNA sequencing and antibody-based profiling
2015-01-01
[28]
서적
Larsen's human embryology
Churchill Livingstone/Elsevier
[29]
문서
Langman’s Medical Embryology
LWW, Baltimore, MD
2011
[30]
서적
Textbook of Gastrointestinal Radiology
Saunders
[31]
서적
Anatomy & Physiology
OpenStax CNX
2023-09-13
[32]
서적
Amino Acids in Animal Nutrition
2015-04-25
[33]
웹사이트
Alcohol and the Human Body
http://www.intox.com[...]
Intoximeters, Inc.
2012-07-30
[34]
서적
Coffee and Health
https://books.google[...]
John Libbey Eurotext
2015-04-26
[35]
서적
Nutritional Sciences: From Fundamentals to Food
https://books.google[...]
Cengage Learning
2012-01-01
[36]
논문
Review of epidermal growth factor receptor biology
[37]
논문
Iodine in evolution of salivary glands and in oral health
[38]
논문
Conditioned flavor preference learning by intragastric administration of L-glutamate in rats
[39]
논문
Brain-gut communication via vagus nerve modulates conditioned flavor preference
[40]
논문
Food Reward in the Absence of Taste Receptor Signaling
[41]
논문
Carbohydrate- and protein conditioned flavor preferences: effects of nutrient preloads
[42]
논문
Flavor preference conditioning as a function of fat source
[43]
논문
Autoimmunity in pernicious anemia and thyroiditis: a family study.
[44]
논문
An analysis of gastric parietal cell antibodies and thyroid cell antibodies in patients with pernicious anaemia and thyroid disorders.
[45]
논문
A new hypothesis: iodine and gastric cancer.
[46]
논문
Thyro-entero-gastric autoimmunity: Pathophysiology and implications for patient management. A review.
[47]
논문
Gastroparesis: Current Concepts and Management
2009-09-30
[48]
논문
Helicobacter pylori: epidemiology and routes of transmission
2000-01-01
[49]
웹사이트
cardiectomy
http://dictionary.re[...]
[50]
논문
The survival of the circulation in the frog web after cardiectomy
http://jpet.aspetjou[...]
2008-02-24
[51]
논문
The effect of strychnin in cardiectomized frogs with destroyed lymph hearts; a demonstration
https://zenodo.org/r[...]
[52]
논문
Surgical therapy for gastroesophageal reflux disease.
http://www.nature.co[...]
[53]
서적
The Oxford English dictionary
https://archive.org/[...]
Clarendon Press
1989-01-01
[54]
웹사이트
gasth/r
http://classic.study[...]
The New Testament Greek Lexicon
[55]
웹사이트
gaster
http://dictionary.re[...]
dictionary.reference.com
[56]
서적
The Oxford English dictionary
https://archive.org/[...]
Clarendon Press
1989-01-01
[57]
서적
The Vertebrate Body
Holt-Saunders International
[58]
서적
Functional Anatomy and Physiology of Domestic Animals
https://books.google[...]
Wiley
[59]
웹사이트
Digestive System of Vertebrates
http://www.cnsweb.or[...]
[60]
웹사이트
The anatomy of the digestive system
http://www.onemedici[...]
[61]
서적
Anatomy and physiology of farm animals
Wiley-Blackwell
[62]
웹사이트
Physiology at MCG
http://www.lib.mcg.e[...]
[63]
문서
藤田ら
[64]
문서
藤田ら
[65]
문서
藤田ら
[66]
문서
藤田ら
[67]
문서
藤田ら
[68]
문서
藤田ら
[69]
웹사이트
stomach
https://www.kmle.co.[...]
대한해부학회 의학용어 사전, 대한의협 의학용어 사전
[70]
문서
식도, 위
글로벌 세계 대백과
[71]
서적
중학교 1학년 과학 교과서 제8단원 '소화와 순환'
본 사이트는 AI가 위키백과와 뉴스 기사,정부 간행물,학술 논문등을 바탕으로 정보를 가공하여 제공하는 백과사전형 서비스입니다.
모든 문서는 AI에 의해 자동 생성되며, CC BY-SA 4.0 라이선스에 따라 이용할 수 있습니다.
하지만, 위키백과나 뉴스 기사 자체에 오류, 부정확한 정보, 또는 가짜 뉴스가 포함될 수 있으며, AI는 이러한 내용을 완벽하게 걸러내지 못할 수 있습니다.
따라서 제공되는 정보에 일부 오류나 편향이 있을 수 있으므로, 중요한 정보는 반드시 다른 출처를 통해 교차 검증하시기 바랍니다.
문의하기 : help@durumis.com
