자궁내막암
"오늘의AI위키"의 AI를 통해 더욱 풍부하고 폭넓은 지식 경험을 누리세요.
1. 개요
자궁내막암은 자궁내막에서 발생하는 암으로, 폐경 후 질 출혈이 주요 증상이며, 비정상적인 생리 주기나 질 분비물, 골반 통증 등이 나타날 수 있다. 비만, 인슐린 저항성, 에스트로겐 수치 증가 등이 위험 요인으로 작용하며, 린치 증후군과 같은 유전적 요인도 관련이 있다. 진단은 건강 진단, 자궁내막 소파술, 질식 초음파, 조직 검사 등을 통해 이루어지며, 암의 유형과 진행 정도에 따라 수술, 방사선 치료, 항암 화학 요법, 호르몬 치료 등의 치료법이 적용된다. 자궁내막암은 FIGO 병기 시스템을 사용하여 병기를 결정하며, 5년 생존율은 80%로 비교적 높지만, 병기, 나이, 인종 등에 따라 예후가 달라진다.
더 읽어볼만한 페이지
- 여성 건강 - 케겔 운동
케겔 운동은 골반저 근육을 강화하여 임산부의 출산 준비, 질/자궁 탈출 예방, 남녀 요실금 치료, 성적 만족감 향상 등에 효과적인 운동이다. - 여성 건강 - 산후조리
산후조리는 출산 후 산모의 건강 회복을 돕는 문화적 관행으로, 따뜻한 환경, 영양 섭취, 휴식을 통해 이루어지며 산후도우미, 산후조리원 등 다양한 상업적 서비스가 제공된다. - 산부인과 암 - 자궁경부암
자궁경부암은 인유두종바이러스 감염이 주원인인 자궁 경부의 악성 종양으로, 초기에는 증상이 미미하지만 진행 시 질 분비물 증가, 성교통, 골반통이 나타날 수 있으며, 자궁경부 세포진 검사, 조직 생검 등으로 진단하고 수술, 방사선 치료, 항암 치료 등으로 치료하며, HPV 백신 접종과 정기 검진으로 예방이 가능하다. - 산부인과 암 - 난소암
난소암은 난소에서 발생하는 악성 종양으로 조기 발견이 어렵고 복부 팽만감, 빈뇨 등의 초기 증상이 나타나며, 발병 위험은 배란 횟수, 나이, 가족력 등과 관련 있고, 다산, 경구 피임약 복용 등은 위험을 낮추는 요인으로 작용하며, 영상 검사, 종양 표지자 검사, 조직검사 등을 통해 진단하고, 수술, 화학요법, 방사선 요법 등으로 치료하며, 최근에는 면역요법과 표적치료제 개발 연구가 활발히 진행되고, 예후는 병기와 암의 유형에 따라 달라진다. - 빈 문단이 포함된 문서 - 광주고등법원
광주고등법원은 1952년에 설치되어 광주광역시, 전라남도, 전북특별자치도, 제주특별자치도를 관할하며, 제주와 전주에 원외재판부를 두고 있다. - 빈 문단이 포함된 문서 - 1502년
1502년은 율리우스력으로 수요일에 시작하는 평년으로, 이사벨 1세의 이슬람교 금지 칙령 발표, 콜럼버스의 중앙아메리카 해안 탐험, 바스쿠 다 가마의 인도 상관 설립, 크리미아 칸국의 킵차크 칸국 멸망, 비텐베르크 대학교 설립, 최초의 아프리카 노예들의 신대륙 도착 등의 주요 사건이 있었다.
| 자궁내막암 | |
|---|---|
| 개요 | |
![]() | |
| 분야 | 종양학 부인과 |
| 증상 | |
| 주요 증상 | 질 출혈 배뇨 시 통증 또는 성교 시 통증 골반통 |
| 발병 시기 | |
| 발병 시기 | 폐경 이후 |
| 원인 및 위험 요인 | |
| 위험 요인 | 비만 과도한 에스트로젠 노출 고혈압 당뇨병 가족력 |
| 진단 및 감별 진단 | |
| 진단 방법 | 자궁내막 생검 |
| 감별 진단 | 미정 |
| 예방 및 치료 | |
| 예방 | 미정 |
| 치료 방법 | 복식 자궁 절제술 방사선 치료 화학 요법 호르몬 요법 |
| 기타 정보 | |
| 5년 생존율 (미국) | 약 80% |
| 유병률 (2015년) | 380만 명 |
| 사망자 수 (2015년) | 89,900명 |
2. 증상
자궁내막암의 초기 증상은 월경과 관계없는 질 출혈이다.[102] 출혈 정도에 따라 피가 분비물에 섞여 갈색으로 변하기도 한다.[103] 그 외에 배뇨 장애, 성교통, 하복부 통증[103] 등이 나타날 수 있다. 자궁내막암은 주로 갱년기 이후에 많이 발생한다.
2. 1. 주요 증상
자궁내막암의 90%에서 폐경 이후 질출혈이나 점상출혈이 나타난다.[144][145][146] 출혈은 특히 샘암종에서 흔하며, 전체 발생의 2/3을 차지한다.[144][147] 폐경 전 비정상적인 월경주기 또는 매우 길거나, 양이 많거나, 자주 발생하는 출혈 역시 자궁내막암의 징후일 수 있다.[147]출혈 외의 증상은 흔하지 않다. 가임기 여성에서의 흰색 혹은 투명한 질 분비물 또한 자궁내막암의 징후일 수 있다. 더 진행된 질병일 경우 신체진찰을 통해 발견할 수 있는 더 명백한 증상이나 징후를 보일 수 있다. 자궁이 커지거나 암이 복강내로 퍼지면서 하복부 통증이나 골반 경련이 유발될 수 있다.[147] 성교통이 느껴지거나, 배뇨통, 배뇨이상은 자궁내막암의 흔하지 않은 징후이다.[148] 자궁은 고름으로 가득 찰 수도 있다. (자궁축농증).[149] 이런 흔하지 않은 증상 (질 분비물, 골반 통증, 고름)을 가진 여성 중 10~15% 정도가 암을 가지고 있다.[150]
2. 2. 기타 증상
출혈 외의 다른 증상은 흔하지 않다. 가임기 여성의 얇고 흰색 또는 맑은 질 분비물도 자궁내막암의 징후일 수 있다.[147] 더 진행된 질병은 신체 검사에서 감지할 수 있는 더 명백한 증상이나 징후를 보인다. 자궁이 비대해지거나 암이 전이되어 하복부 통증 또는 골반 경련을 유발할 수 있다.[147] 성교통 또는 배뇨 곤란은 자궁내막암의 덜 흔한 징후이다.[148] 자궁이 고름(자궁축농증)으로 채워질 수도 있다.[149] 이러한 덜 흔한 증상(질 분비물, 골반 통증 및 고름)이 있는 여성의 10~15%는 암에 걸린다.[150]3. 위험 요인
자궁내막암의 위험 요인으로는 비만, 인슐린 저항성, 당뇨병, 유방암, 타목시펜 복용, 출산 경험 없음, 늦은 폐경, 고농도 에스트로겐, 그리고 나이 증가 등이 있다.[151][152] 이민 연구(이주 연구)를 통해 자궁내막암에 있어서 몇몇 환경 요인이 작용한다는 것을 알 수 있지만,[153] 이러한 환경적 위험 요인은 정확히 정의되지 않았다.[154] 비만은 자궁내막암 중 특히 자궁내막양 아형의 이른 진단과 관련되어 있다.[155]
다른 암 치료를 위한 몇몇 치료법은 자궁내막암의 평생 위험을 증가시킬 수 있다.[167] 에스트로겐 양성 유방암 치료에 사용되는 타목시펜은 사용자 중 약 0.1%에서 자궁내막암과 관련이 있었고, 특히 고령 여성에게서 그 경향을 보였다. 그러나 타목시펜 사용으로 인한 생존 이점은 일반적으로 자궁내막암 위험보다 크다.[173] 타목시펜 1~2년 요법은 자궁내막암 위험을 거의 두 배로 증가시키고, 5년 요법은 그 위험을 네 배로 증가시킨다.[174] 랄록시펜은 자궁내막암 위험을 증가시키지 않는다.[175] 난소암 과거력,[176] 골반 부위 방사선 치료 경험도 위험 요인이다. 특히, 난소의 과립막 세포 종양과 난포막종은 자궁내막암과 관련 있는 암이다.
면역 결핍 또한 자궁내막암과 관련이 있을 수 있다.[177] 고혈압 또한 위험 요인이나,[168] 이는 비만과의 관련성 때문일 수 있다.[169] 장기간 앉아있기는 자궁내막암 사망률을 높인다. 규칙적인 운동으로 위험이 완전히 사라지지는 않지만, 낮추는 효과는 있다.[178]
일본에서 자궁내막암 예방을 위해서는 금연,[105][108] 절도 있는 음주,[105][108] 균형 잡힌 식사,[105][108][109] 채소와 과일 섭취,[108] 적절한 운동,[105][108][109] 과체중 및 저체중을 피하는 것[108] 등이 효과적이라고 한다.
3. 1. 호르몬 요인
자궁내막암의 주요 위험 요인은 높은 농도의 에스트로겐이다. 자궁내막암의 약 40%는 비만과 관련이 있는 것으로 추정된다.[156] 비만은 지방 세포에서 안드로스테네디온이 에스트론(에스트로겐의 일종)으로 전환되는 것을 촉진하여 혈중 에스트로겐 농도를 높인다. 이는 배란 감소 또는 무배란을 유발하고, 자궁내막을 지속적으로 높은 농도의 에스트로겐에 노출시킨다.[157][158] 또한 비만은 혈액에서 에스트로겐 제거를 억제한다.[158] 다낭성 난소 증후군(PCOS)은 불규칙한 배란이나 무배란을 유발하며, 비만과 마찬가지로 자궁내막암 발생 위험을 높인다.[153] 특히 비만, 제2형 당뇨병, 인슐린 저항성은 1형 자궁내막암의 위험 요인이다.[159] 비만은 자궁내막암 위험을 300~400% 증가시킨다.[160]폐경 후 에스트로겐 대체 요법 시 프로게스틴과의 균형이 맞지 않거나, 무저항 에스트로겐(비길항 에스트로겐)을 처방하는 경우도 위험 요인이다. 고용량 또는 장기간의 에스트로겐 치료는 자궁내막암 위험을 더욱 높인다.[158] 저체중 여성은 무저항 에스트로겐에 더 취약하다.[156] 초경이 빠르거나 폐경이 늦어 생식 기간이 긴 경우도 위험 요인이다.[161] 무저항 에스트로겐은 체중과 치료 기간에 따라 자궁내막암 위험을 2~10배 증가시킨다.[156] 자궁 절제술을 받지 않은 트랜스 남성이 테스토스테론을 투여받는 경우, 안드로스테네디온이 에스트로겐으로 전환되어 자궁내막암 위험이 높아질 수 있다.[162] 여성의 높은 혈중 테스토스테론 농도 또한 독립적인 자궁내막암 위험 요인으로 확인되었다.[163]
3. 2. 유전적 요인
유전 질환은 자궁내막암의 원인이 될 수 있다. 전체적으로 유전적 원인은 자궁내막암 발병의 2~10%를 차지한다.[164][165] 대장암을 주로 일으키는 우성 유전 질환인 린치 증후군은 폐경 전 자궁내막암의 원인이 되기도 한다. 린치 증후군을 가진 여성은 자궁내막암에 걸릴 확률이 40~60%로, 난소암이나 대장암 발병 위험보다 더 높다.[166] 난소암과 자궁내막암은 20%의 환자에게서 동시에 발생하기도 한다. 자궁내막암은 대장암보다 평균 11년 먼저 발생하는 경향이 있다.[167]린치 증후군에서 암 발생은 MLH1 또는 MLH2 유전자의 돌연변이로 인해 발생한다. 이 유전자들은 DNA 불일치 복구에 관여하는 유전자로, 세포 복제 과정에서 DNA 염기쌍의 불일치를 인식하고 고치는 역할을 한다.[166] 린치 증후군에서 돌연변이가 발견되는 다른 유전자로는 MSH2, MSH6, PMS2 등이 있으며, 이들 역시 DNA 불일치 복구에 관여한다. 린치 증후군을 가진 여성은 전체 자궁내막암 환자의 2~3%를 차지하며, 일부에서는 5%까지 추정하기도 한다.[167][168] 유전자 돌연변이 종류에 따라 린치 증후군 여성의 자궁내막암 발병 위험은 달라진다. MLH1 돌연변이는 54%, MSH2 돌연변이는 21%, MSH6 돌연변이는 16%의 위험도를 보인다.[169]
자궁내막암 가족력이 있는 여성은 발병 위험이 더 높다.[170] 다른 여성암과 주로 관련된 BRCA1, BRCA2 유전자는 일반적으로 자궁내막암을 유발하지 않는다. 이 유전자들과 자궁내막암의 연관성은 유방암과 난소암 치료에 사용되는 타목시펜이 자궁내막암 위험 요인이기 때문으로 보인다.[166] 카우덴 증후군 또한 자궁내막암을 유발할 수 있는 유전 질환이다. 카우덴 증후군 환자의 자궁내막암 발병 위험은 5~10%인 반면, 일반 여성의 발병 위험은 2~3%이다.[164][167]
대규모 게놈 연관 연구를 통해 일반적인 유전자 변이가 자궁내막암 위험에 영향을 미친다는 사실이 밝혀졌다.[171][172] 16개의 유전자 영역이 자궁내막암과 관련되어 있으며, 일반적인 변이는 가족성에 비해 최대 7%까지 연관되어 있다.[172]
3. 3. 기타 요인
자궁내막암의 위험 요인으로는 비만, 인슐린 저항성, 당뇨병, 유방암, 타목시펜 복용, 출산 경험 없음, 늦은 폐경, 고농도 에스트로겐, 그리고 나이 증가 등이 있다.[151][152] 여러 국가 간의 암 발병률 변화를 연구하는 이민 연구(이주 연구)에 따르면 자궁내막암에는 환경적 요인이 어느 정도 관여하는 것으로 나타났다.[153] 이러한 환경적 위험 요인들은 아직 잘 밝혀지지 않았다.[154] 특히 자궁내막암의 한 종류인 자궁내막양 암종의 경우, 지방 과다가 더 이른 시기에 진단과 연관되어 있는 것으로 밝혀졌다.[155]다른 형태의 암 치료법은 자궁내막암의 평생 발병 위험(기준 2–3%)을 증가시킬 수 있다.[167] 에스트로겐 양성 유방암 치료에 사용되는 약물인 타목시펜은 사용자의 약 0.1%에서 자궁내막암과 관련이 있으며, 특히 고령 여성에게서 나타나지만, 타목시펜으로 인한 생존 이점은 일반적으로 자궁내막암의 위험보다 크다.[173] 1~2년의 타목시펜 치료는 자궁내막암의 위험을 약 2배 증가시키고, 5년 치료는 그 위험을 4배 증가시킨다.[174] 유사한 약물인 랄록시펜은 자궁내막암의 위험을 증가시키지 않았다.[175] 이전에 난소암을 앓았던 것도 자궁내막암의 위험 요인이며,[176] 골반에 방사선 치료를 받은 적이 있는 경우에도 위험이 증가한다. 특히, 난소의 과립막 세포 종양과 테코마는 자궁내막암과 관련된 종양이다.
면역 결핍도 자궁내막암과 관련이 있다.[177] 고혈압 또한 위험 요인으로 꼽히지만,[168] 이는 비만과의 연관성 때문일 수 있다.[169] 장기간 정기적으로 앉아 있는 것은 자궁내막암으로 인한 사망률 증가와 관련이 있다. 정기적인 운동으로 위험이 사라지지는 않지만, 감소하는 경향은 있다.[178]
일본에서 자궁내막암 예방을 위해서는 금연, 절도 있는 음주, 균형 잡힌 식사, 채소와 과일 섭취, 적절한 운동 실천, 과체중 및 저체중을 피하는 것 등이 효과적이라고 한다.
4. 보호 요인
흡연과 프로게스틴 사용은 모두 자궁내막암에 대해 보호 효과가 있다. 흡연은 에스트로겐의 대사를 변화시키고 체중 감소와 빠른 폐경을 촉진함으로써 보호 효과를 제공한다. 이러한 보호 효과는 흡연을 중단한 후에도 오랫동안 지속된다. 프로게스틴은 복합 경구 피임약과 호르몬 자궁 내 장치(IUD)에 포함되어 있다.[166][179] 복합 경구 피임약은 복용 기간이 길수록 위험을 더 많이 감소시킨다. 4년 복용 후 56%, 8년 복용 후 67%, 12년 복용 후 72%까지 감소한다. 이러한 위험 감소 효과는 피임약 사용을 중단한 후 최소 15년 동안 지속된다.[175] 비만 여성은 보호 효과를 얻기 위해 더 높은 용량의 프로게스틴이 필요할 수 있다.[179] 5명 이상의 아이를 출산한 경우 (다산부) 역시 보호 요인이며,[177] 최소 한 명의 자녀를 두는 것은 위험을 35% 감소시킨다. 18개월 이상 모유 수유를 하면 위험이 23% 감소한다. 신체 활동 증가도 개인의 위험을 38~46% 감소시킨다. 콩 섭취가 보호 효과가 있다는 예비 증거가 있다.[175] 멘델 무작위 추출(Mendelian randomization) 분석을 통해 LDL 콜레스테롤, 초경 연령이 늦은 경우 및 성호르몬 결합 글로불린과 같은 잠재적인 보호 요인이 확립되었다.[180]
5. 병리생리학
자궁내막암은 정상적인 자궁내막 세포 주기에 오류가 발생하면서 시작된다. 일반적으로 세포가 늙거나 손상되면 세포자멸사하고 새로운 세포가 그 자리를 차지한다. 그러나 암은 불필요한 새 세포가 형성되고 늙거나 손상된 세포가 제대로 죽지 않아 종양을 형성한다. 이러한 비정상적인 암세포는 과도한 성장을 유발하는 여러 유전자 돌연변이를 가지고 있다.[6]
자궁내막 과증식(자궁내막 세포의 과도한 성장)은 자궁내막암의 중요한 위험 요소이다. 과증식이 선암종으로 발전할 수 있으며, 종양은 과증식 없이도 발생할 수 있다.[86] 비정형 자궁내막 과증식은 10년 이내에 8~30%가 암으로 발전하며, 비정형 과증식이 없는 경우는 1~3%가 암으로 발전한다.[33] KRAS 유전자의 돌연변이는 자궁내막 과증식을 유발하여 제1형 자궁내막암을 일으킬 수 있다.[31] 자궁내막 과증식은 주로 40세 이후에 발생한다.[6]
5. 1. 관련 유전자 돌연변이
자궁내막암은 정상적인 자궁내막 세포 주기에 오류가 생겨 발생한다. 보통 세포가 늙거나 손상되면 세포자멸사하고 새로운 세포가 그 자리를 차지한다. 그러나 암의 경우 불필요한 새 세포가 계속 만들어지고, 늙거나 손상된 세포는 제대로 제거되지 않아 세포가 쌓여 종양을 형성한다. 이러한 암세포는 과도한 성장을 유발하는 여러 유전자 돌연변이를 가지고 있다.[6]자궁내막암의 10~20%에서는 종양 억제 유전자인 p53 또는 PTEN에 돌연변이가 발견된다.[31] 특히 자궁내막 과증식의 20%와 자궁내막 유사 암의 50%에서 PTEN은 기능 상실 돌연변이나 무효 돌연변이를 가지는데, 이는 세포 성장을 조절하는 PI3k/Akt/mTOR 경로를 과도하게 활성화시킨다.[89][31] p53 경로 또한 억제되거나 과활성화될 수 있으며, p53 돌연변이가 과발현되면 암이 더욱 공격적이다.[31] p53 돌연변이와 염색체 불안정성은 난소 및 나팔관 암종과 유사한 장액성 암종과 관련이 있으며, 장액성 암종은 자궁내막 상피내 암종에서 발생한다고 알려져 있다.[89]

PTEN 및 p27 기능 상실 돌연변이는 특히 비만 여성에서 좋은 예후와 관련이 있다. 반면, 나쁜 예후를 보이는 Her2/neu 종양 유전자는 자궁내막 유사 암종 및 장액성 암종의 20%에서 발현된다. CTNNB1 (베타-카테닌) 돌연변이는 자궁내막암의 14–44%에서 발견되며 예후가 좋을 수 있지만, 명확하지 않다.[31] 베타-카테닌 돌연변이는 주로 편평 세포가 있는 자궁내막암에서 발견된다.[89] FGFR2 돌연변이는 약 10%에서 발견되며, 예후는 불분명하다.[31] SPOP는 투명 세포 자궁내막 암종의 9%와 장액성 자궁내막 암종의 8%에서 돌연변이가 발견되는 또 다른 종양 억제 유전자이다.[32]
제1형 및 제2형 자궁내막암은 서로 다른 돌연변이를 보인다. 제1형에서는 ARID1A, 여러 유전자의 후성적 침묵과 점 돌연변이가 흔하게 발견된다.[7][93] 반면, 제2형에서는 종양 억제 유전자의 돌연변이가 흔하다.[7] PIK3CA는 두 유형 모두에서 흔히 돌연변이된다.[93] 린치 증후군 관련 자궁내막암 여성에서는 마이크로새틀라이트 불안정성이 흔하다.[89]
| 돌연변이 대상 유전자 | 돌연변이 유형 | 제I형 유병률 | 제II형 유병률 |
|---|---|---|---|
| ARID1A | 점 돌연변이 | 40% | 알 수 없음 |
| CTNNB1 | 점 돌연변이 | 14–44% | 알 수 없음 |
| FGFR2 | 점 돌연변이 | 16% | 알 수 없음 |
| KRAS | 점 돌연변이 | 10–20% | 알 수 없음 |
| PIK3R1 | 점 돌연변이 | 43% | 알 수 없음 |
| TP53 | 점 돌연변이 | 10–20% | 90% |
| PTEN | 점 돌연변이 | 37–61% | 알 수 없음 |
| MLH1 | 후성적 유전자 침묵 | 30% | 알 수 없음 |
| RASSF1A | 후성적 유전자 침묵 | 48% | 알 수 없음 |
| SPRY2 | 후성적 유전자 침묵 | 20% | 알 수 없음 |
| PPP2R1A | 점 돌연변이 | 알 수 없음 | 17–41% |
| CDH1 | 이형접합성 소실 | 알 수 없음 | 80–90% |
| CDKN2A | 이형접합성 소실 및 후성적 유전자 침묵 | 20% | 40% |
| PIK3CA (암유전자) | 점 돌연변이 또는 중복 | 24–39% | 20–30% |
| PIK3R1 (암유전자) | 점 돌연변이 | 알 수 없음 | 12% |
| STK15 (암유전자) | 중복 | 알 수 없음 | 60% |
| CCNE1 (암유전자) | 중복 | 알 수 없음 | 55% |
| ERBB2 (암유전자) | 중복 | 알 수 없음 | 30% |
| CCND1 (암유전자) | 중복 | 알 수 없음 | 26% |
자궁내막 과증식(자궁내막 세포의 과도한 성장)은 중요한 위험 요소인데, 과증식이 선암종으로 발전할 수 있기 때문이다. 종양은 과증식 없이도 발생할 수 있다.[86] 비정형 자궁내막 과증식은 10년 내에 8~30%가 암으로 발전하며, 비정형 과증식은 세포 핵에 이상이 있는 경우이다. 전암성 자궁내막 과증식은 자궁내막 상피내 신생물이라고도 한다.[34][33] KRAS 유전자 돌연변이는 자궁내막 과증식을 유발하여 제1형 자궁내막암을 유발할 수 있다.[31] 자궁내막 과증식은 주로 40세 이후에 발생한다.[6] 자궁내막 선상 이형성증은 p53의 과발현과 함께 발생하며 장액성 암종으로 발전한다.[35]
5. 2. 자궁내막 과증식
자궁내막암은 정상적인 자궁내막 세포 주기에 오류가 발생하여 생기는 질병이다. 세포가 늙거나 손상되면 세포자멸사를 통해 새로운 세포로 대체되는 것이 일반적이다. 그러나 불필요한 새 세포가 형성되고 늙거나 손상된 세포가 제대로 제거되지 않으면 암이 시작된다. 이렇게 여분의 세포가 쌓여 종양이나 성장이라고 불리는 조직 덩어리를 형성하며, 이러한 비정상적인 암세포는 과도한 성장을 유발하는 여러 유전자 돌연변이를 가지고 있다.[6]자궁내막암의 10~20%는 종양 억제 유전자인 p53 또는 PTEN에 돌연변이가 발견되며, 주로 3등급(가장 높은 조직학적 등급)에서 나타난다. 자궁내막 과증식의 20%와 자궁내막 유사 암의 50%에서 PTEN은 기능 상실 돌연변이 또는 무효 돌연변이를 보여 효과가 떨어지거나 완전히 비활성화된다.[31] PTEN 기능 손실은 세포 성장을 촉진하는 PI3k/Akt/mTOR 경로의 상향 조절을 유발한다.[89] p53 경로는 억제되거나 고도로 활성화될 수 있으며, p53 돌연변이 버전이 과발현되면 암이 특히 공격적이 된다.[31] p53 돌연변이와 염색체 불안정성은 난소 및 나팔관 암종과 유사한 장액성 암종과 관련되며, 장액성 암종은 자궁내막 상피내 암종에서 발생하는 것으로 추정된다.[89]
PTEN 및 p27 기능 상실 돌연변이는 특히 비만 여성에서 좋은 예후와 관련 있다. 반면, 나쁜 예후를 보이는 Her2/neu 종양 유전자는 자궁내막 유사 암종 및 장액성 암종의 20%에서 발현된다. CTNNB1 (베타-카테닌, 전사 유전자) 돌연변이는 자궁내막암의 14–44%에서 발견되며 좋은 예후를 시사할 수 있지만, 데이터는 명확하지 않다.[31] 베타-카테닌 돌연변이는 주로 편평 세포가 있는 자궁내막암에서 발견된다.[89] FGFR2 돌연변이는 자궁내막암의 약 10%에서 발견되며 예후적 의미는 불분명하다.[31] SPOP는 일부 자궁내막암에서 돌연변이가 발견되는 또 다른 종양 억제 유전자로, 투명 세포 자궁내막 암종의 9%와 장액성 자궁내막 암종의 8%에서 이 유전자의 돌연변이가 나타난다.[32]
제1형 및 제2형 암은 서로 다른 돌연변이를 보인다. 제1형 자궁내막암에서 흔히 점 돌연변이를 갖는 ARID1A는 자궁내막의 투명 세포 암종의 26%와 장액성 암종의 18%에서도 돌연변이된다. 여러 유전자의 후성적 침묵과 점 돌연변이는 제1형 자궁내막암에서 흔하게 발견된다.[7][93] 종양 억제 유전자의 돌연변이는 제2형 자궁내막암에서 흔하다.[7] PIK3CA는 제1형 및 제2형 암 모두에서 흔히 돌연변이된다.[93] 린치 증후군 관련 자궁내막암 여성에서는 마이크로새틀라이트 불안정성이 흔하다.[89]
자궁내막 과증식(자궁내막 세포의 과도한 성장)은 중요한 위험 요소로, 과증식이 선암종으로 발전할 수 있으며, 종양은 과증식 없이도 발생할 수 있다.[86] 10년 이내에 비정형 자궁내막 과증식의 8~30%가 암으로 발전하고, 비정형 과증식이 없는 경우는 1~3%가 암으로 발전한다.[33] 비정형 과증식은 세포 핵에서 뚜렷한 이상을 보인다. 전암성 자궁내막 과증식은 자궁내막 상피내 신생물이라고도 한다.[34] KRAS 유전자의 돌연변이는 자궁내막 과증식을 유발하여 제1형 자궁내막암을 일으킬 수 있다.[31] 자궁내막 과증식은 주로 40세 이후에 발생한다.[6] 자궁내막 선상 이형성증은 p53의 과발현과 함께 발생하며 장액성 암종으로 발전한다.[35]
| 돌연변이 유전자 | 돌연변이 유형 | 제1형 유병률 | 제2형 유병률 |
|---|---|---|---|
| ARID1A | 점 돌연변이 | 40% | 알 수 없음 |
| CTNNB1 | 점 돌연변이 | 14–44% | 알 수 없음 |
| FGFR2 | 점 돌연변이 | 16% | 알 수 없음 |
| KRAS | 점 돌연변이 | 10–20% | 알 수 없음 |
| PIK3R1 | 점 돌연변이 | 43% | 알 수 없음 |
| TP53 | 점 돌연변이 | 10–20% | 90% |
| PTEN | 점 돌연변이 | 37–61% | 알 수 없음 |
| MLH1 | 후성적 침묵 | 30% | 알 수 없음 |
| RASSF1A | 후성적 침묵 | 48% | 알 수 없음 |
| SPRY2 | 후성적 침묵 | 20% | 알 수 없음 |
| PPP2R1A | 점 돌연변이 | 알 수 없음 | 17–41% |
| CDH1 | 이형접합성 소실 | 알 수 없음 | 80–90% |
| CDKN2A | 이형접합성 소실 또는 후성적 침묵 | 20% | 40% |
| PIK3CA (종양 유전자) | 점 돌연변이 또는 증폭 | 24–39% | 20–30% |
| PIK3R1 (종양 유전자) | 점 돌연변이 | 알 수 없음 | 12% |
| STK15 (종양 유전자) | 증폭 | 알 수 없음 | 60% |
| CCNE1 (종양 유전자) | 증폭 | 알 수 없음 | 55% |
| ERBB2 (종양 유전자) | 증폭 | 알 수 없음 | 30% |
| CCND1 (종양 유전자) | 증폭 | 알 수 없음 | 26% |
6. 진단
자궁내막암은 건강 진단 및 자궁 조직 절제(자궁내막 소파술)를 통해 진단된다. 이후 채취한 조직에 대한 조직학적 검사를 통해 암 여부를 확인한다. 암이 발견되면 의료 영상을 통해 암의 확산 및 조직 침범 여부를 확인한다.
자궁내막암 검사에는 세포 진단, 내진, 직장 진찰, 종양 표지자 검사 등이 있다.[110] 자궁경부암 검사의 일종인 자궁경부 세포진 검사는 자궁내막암 진단에는 유용하지 않다.[9] 골반 검사는 초기 단계에서는 정상인 경우가 많지만, 질병이 진행되면 자궁 또는 지지 구조의 변화가 나타날 수 있다.[9] 자궁 경관 협착은 자궁내막암의 징후일 수 있다.[13]
린치 증후군이 있는 여성은 35세부터 매년 생검 선별 검사를 시작해야 하며, 일부는 예방적 자궁 절제술 및 난관-난소 절제술을 선택하기도 한다.[9]
6. 1. 조직 검사
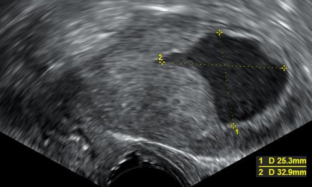
자궁내막암 진단은 신체 검사, 자궁내막 생검 또는 자궁내막 소파술(D&C)을 통해 이루어진다. 이 조직은 암의 특징을 확인하기 위해 조직학적으로 검사한다. 암이 발견되면, 암이 근층(자궁의 근육 벽)이나 자궁 경부와 같은 조직으로 전이되었는지 또는 침투했는지를 확인하기 위해 의료 영상 검사를 수행할 수 있다.[9] 2024년의 한 연구에 따르면, 질식 초음파 검사는 근층 침윤 평가와 관련하여 자기 공명 영상(MRI)과 유사한 진단적 성능을 제공한다. 그러나 자기 공명 영상은 저등급 자궁내막암에서 유의하게 더 나은 특이성을 보였다.
폐경기 자궁을 보여주는 초음파 이미지로, 자궁내막암이 매우 의심되는 소견이다">
확장 소파술 또는 자궁내막 생검은 조직 검체를 얻어 조직학적 검사를 수행하는 데 사용된다. 자궁내막 생검은 덜 침습적인 방법이지만, 매번 결정적인 결과를 얻지 못할 수 있다. 자궁경 검사는 자궁내막의 육안 해부학만을 보여주며, 이는 종종 암을 나타내지 않으므로 생검과 함께 사용하지 않는 한 사용되지 않는다.[38] 자궁경 검사는 암 진단을 확정하는 데 사용할 수 있다. 새로운 증거에 따르면 D&C는 자궁내막 생검보다 위음성률이 더 높다.[89]
6. 2. 영상 검사
자궁내막암이 발견되면 암의 확산 및 조직 침범 여부를 확인하기 위해 의료 영상 검사를 수행한다. 2024년 연구에 따르면 질식 초음파 검사는 근층 침윤 평가에 있어 자기 공명 영상(MRI)과 유사한 진단적 성능을 제공하지만, MRI는 저등급 자궁내막암에서 더 나은 특이성을 보였다.[37]폐경기 출혈이 있는 여성의 경우, 질식 초음파 검사를 통해 자궁내막 두께를 검사하는 방법이 자궁내막암 진단에 많이 사용된다. 영국에서는 자궁내막 생검과 질식 초음파 검사를 함께 사용하는 것이 표준 진단법이다. 질식 초음파 검사에서 보이는 조직의 균질성은 암성 여부를 판단하는 데 도움이 되지만, 초음파 소견만으로는 결정적이지 않으므로 자궁내막 생검과 같은 다른 검사 방법을 함께 사용해야 한다.
CT 스캔은 진행성 또는 고위험 아형 종양의 수술 전 영상 검사에 사용되며, 골반 외 질환 조사에도 활용된다. MRI는 암의 자궁 경부 전이 여부나 자궁 경부 선암종 확인, 인접 림프절 검사에 유용하다.
치료 전에는 흉부 X-ray, 간 기능 검사, 신장 기능 검사, CA-125 수치 검사 등이 권장된다. CA-125는 자궁내막암에서 상승할 수 있는 종양 표지자이다.[6]
6. 3. 기타 검사
무증상 환자에 대한 일상적인 선별 검사는 질병이 조기에 증상이 나타나 치료가 잘 되기 때문에 권장되지 않는다. 대신, 특히 폐경기 여성은 자궁내막암의 증상과 위험 요인을 알고 있어야 한다. 자궁경부암 검사인 자궁경부 세포진 검사는 자궁내막암 진단 도구로 유용하지 않은데, 그 이유는 세포진 검사 결과가 50%에서 정상으로 나타나기 때문이다.[9] 자궁경부 세포진 검사는 자궁 경부로 전이된 질병을 감지할 수 있다.[6] 골반 검사 결과는 질병 초기에는 특히 정상인 경우가 많다. 질병이 더 진행되면 자궁 또는 지지 구조의 크기, 모양 또는 일관성에 변화가 있을 수 있다.[9] 자궁 경관 협착, 즉 자궁 경관 입구의 좁아짐은 자궁에 고름이나 혈액이 발견될 때 자궁내막암의 징후(농자궁증 또는 혈자궁증)이다.[13]린치 증후군이 있는 여성은 35세부터 연례 생검 선별 검사를 시작해야 한다. 린치 증후군이 있는 일부 여성은 자궁내막암 및 난소암의 위험을 크게 줄이기 위해 예방적 자궁 절제술 및 난관-난소 절제술을 선택한다.[9]
폐경기 출혈이 있는 여성의 자궁내막 두께를 검사하기 위한 질식 초음파 검사는 미국에서 자궁내막암 진단을 돕기 위해 점점 더 많이 사용되고 있다.[37] 영국에서는 자궁내막 생검과 질식 초음파 검사를 함께 사용하는 것이 자궁내막암 진단의 표준 치료법이다.[35] 질식 초음파 검사에서 보이는 조직의 균질성은 두께가 암성인지 여부를 나타내는 데 도움이 될 수 있다. 초음파 소견만으로는 자궁내막암의 경우 결정적이지 않으므로 다른 선별 검사 방법(예: 자궁내막 생검)을 함께 사용해야 한다. 다른 영상 검사는 제한적으로 사용된다. CT 스캔은 신체 검사에서 진행된 것으로 보이거나 고위험 아형(전이 위험이 높은)을 보이는 종양의 수술 전 영상 검사에 사용된다.[38] 또한 골반 외 질환을 조사하는 데에도 사용할 수 있다.[35] MRI는 암이 자궁 경부로 전이되었는지 또는 자궁 경부 선암종인지 확인하는 데 어느 정도 도움이 될 수 있다.[38] MRI는 또한 인접 림프절을 검사하는 데 유용하다.[35]
자궁내막 소파술 또는 자궁내막 생검은 조직 검체를 얻어 조직학적 검사를 수행하는 데 사용된다. 자궁내막 생검은 덜 침습적인 방법이지만, 매번 결정적인 결과를 얻지 못할 수 있다. 자궁경 검사는 자궁내막의 육안 해부학만을 보여주며, 이는 종종 암을 나타내지 않으므로 생검과 함께 사용하지 않는 한 사용되지 않는다.[38] 자궁경 검사는 암 진단을 확정하는 데 사용할 수 있다. 새로운 증거에 따르면 D&C는 자궁내막 생검보다 위음성률이 더 높다.[89]
치료를 시작하기 전에 몇 가지 다른 검사가 권장된다. 여기에는 흉부 X-ray, 간 기능 검사, 신장 기능 검사,[89] 및 자궁내막암에서 상승할 수 있는 종양 표지자인 CA-125 수치 검사가 포함된다.[6]
7. 분류
자궁내막암은 상피 세포에서 유래된 종양(선암종), 혼합 상피성 및 간엽성 종양(육종암종), 또는 간엽성 종양일 수 있다.[39]
7. 1. 선암종 (Carcinoma)
자궁내막암은 대부분 상피 세포에서 유래된 종양(선암종)이다.[39]
자궁내막 선암종은 임상적 및 내분비학적 특징(1형 및 2형) 또는 조직병리학적 특징(자궁내막양, 장액성 및 투명 세포)을 기반으로 분류된다. 일부 종양은 분류가 어렵고 여러 범주에서 특징이 겹치기도 한다. 특히 고등급 자궁내막양 종양은 1형과 2형의 특징을 모두 보이는 경향이 있다.[39]
자궁내막암의 대부분은 암종(주로 선암종)이며, 자궁내막을 덮고 자궁내막선을 형성하는 단일 층의 상피 세포에서 기원한다. 자궁내막암종에는 많은 조직병리학적 하위 유형이 있지만, 임상적 특징과 발병 기전에 따라 크게 제1형과 제2형의 두 가지 범주로 나뉜다. 두 하위 유형은 유전적으로 구별된다.[9]
제1형 자궁내막암종은 폐경 전후에 가장 흔하게 발생하며, 미국에서는 특히 자궁내막 증식증 병력이 있는 백인 여성에게 더 흔하다. 제1형 자궁내막암은 종종 저등급이며, 하부 자궁벽(자궁근층)으로의 침윤이 최소화되고, 에스트로겐 의존적이며, 치료 결과가 좋다.[9] 제1형 암종은 자궁내막암의 75~90%를 차지한다.[35][41]
제2형 자궁내막암종은 일반적으로 고령의 폐경기 이후 사람들에게 발생하며, 미국에서는 흑인 여성에게 더 흔하며, 에스트로겐 노출 증가나 자궁내막 증식증 병력과 관련이 없다. 제2형 자궁내막암은 종종 고등급이며, 하부 자궁벽(자궁근층)으로의 깊은 침윤을 보이며, 자궁 유두상 장액성 암종 또는 자궁 투명 세포 암종 유형이며, 예후가 좋지 않다. 증상 평가 시 상피성 난소암처럼 보일 수 있다.[9][41] 제2형 종양은 제1형 종양보다 늦게 나타나는 경향이 있으며, 재발 및/또는 전이 위험이 더 높은 공격적인 경향을 보인다.[35]

자궁내막암의 조직학적 분류는 분화가 잘된 세포(1등급)에서 분화가 매우 안된 세포(3등급)까지 3단계 시스템으로 나뉜다.[18] 1등급 암은 공격성이 가장 낮고 예후가 가장 좋으며, 3등급 종양은 공격성이 가장 높고 재발 가능성이 높다. 2등급 암은 세포 분화 및 질병의 공격성 측면에서 1등급과 3등급의 중간이다.[52] "핵 등급" 시스템도 있는데, 1등급 종양은 눈에 띄지 않는 세포 핵을 가지고 있는 반면, 3등급 종양은 매우 비정형적인 핵을 가지고 있다.[53]
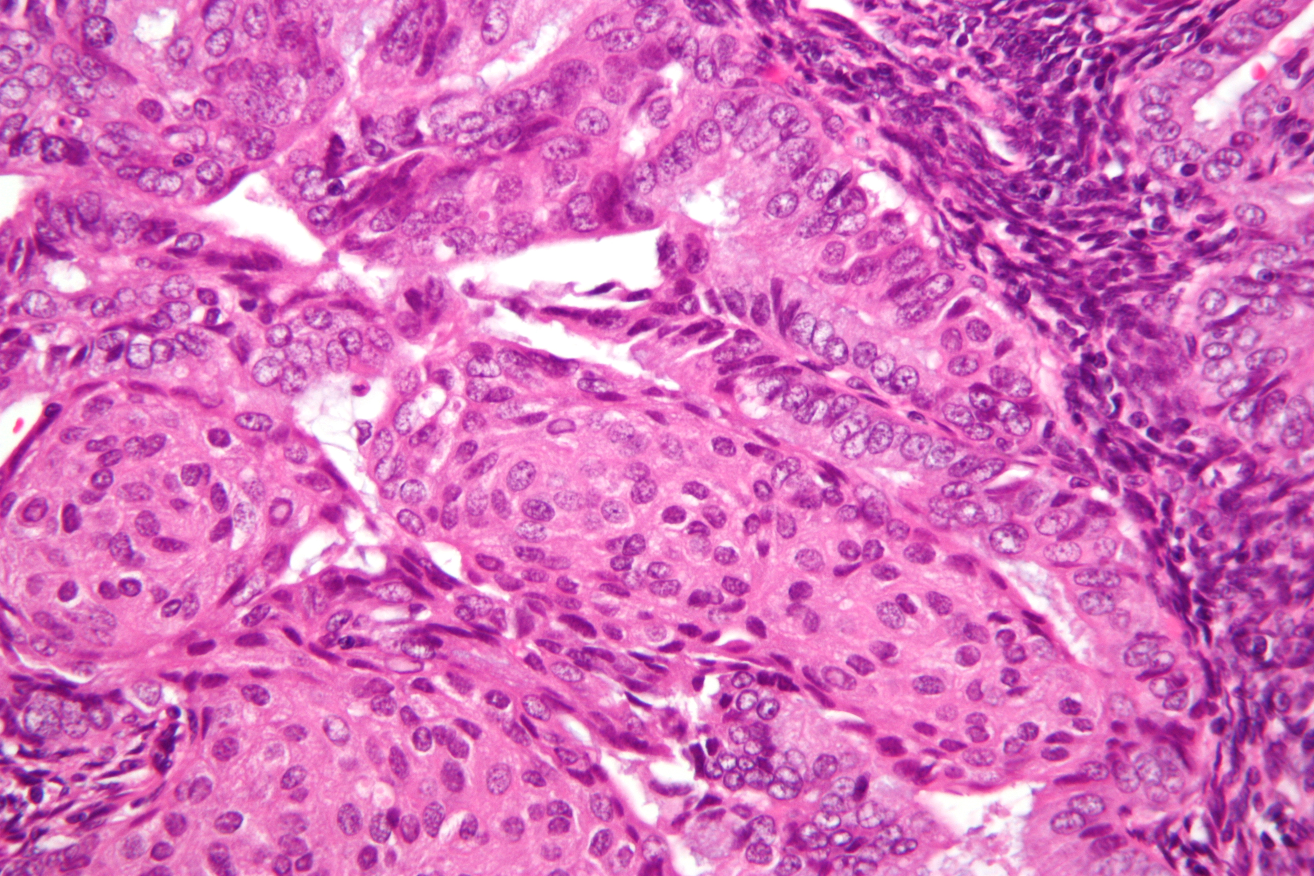
자궁내막암의 조직병리학적 소견은 매우 다양하다. 가장 흔한 소견은 분화가 잘된 자궁내막양 선암종[44]이며, 이는 핵의 비정형성, 분열 활성 및 층화 정도가 다양한 수많은 작고 밀집된 선으로 구성된다. 이는 종종 자궁내막 증식증을 배경으로 나타난다. 명백한 선암종은 명확한 기질 침윤, 즉 암에 의해 자궁내막 기질이 비파괴적으로 대체되어 나타나는 "맞닿아 있는" 선의 소견으로 비정형 증식증과 구별될 수 있다. 질병이 진행됨에 따라 근육층이 침윤된다.[54]
7. 2. 육종 (Sarcoma)

드문 자궁내막 기질 육종은 자궁내막의 비샘성 결합 조직에서 발생하는 암이다. 일반적으로 공격적이지 않으며 재발하더라도 수십 년이 걸릴 수 있다. 폐와 골반 또는 복막강으로의 전이가 가장 흔하다.[86] 이들은 대체로 에스트로겐 및/또는 프로게스테론 수용체를 가지고 있다.[48] 저등급 자궁내막 기질 육종은 예후가 좋으며 5년 생존율은 60~90%이다. 고등급 미분화 자궁내막 육종(HGUS)은 재발률이 높고 5년 생존율이 25%로 예후가 더 나쁘다.[49] HGUS의 예후는 암이 동맥과 정맥을 침범했는지 여부에 따라 결정된다. 혈관 침범이 없으면 5년 생존율은 83%이다. 혈관 침범이 관찰되면 17%로 떨어진다. 1기 ESS가 예후가 가장 좋으며 5년 생존율은 98%, 10년 생존율은 89%이다. ESS는 자궁암의 0.2%를 차지한다.[50]
8. 병기
자궁내막암은 FIGO 암 병기 설정 시스템을 사용하여 수술적으로 병기를 정한다. 2009 FIGO 병기 시스템은 다음과 같다.[182]
9. 치료
자궁내막암 치료에는 주로 수술, 방사선 치료, 항암화학요법, 호르몬 치료 등 다양한 방법이 사용된다. 각 치료법은 암의 병기, 조직학적 등급, 환자의 건강 상태 및 임신 계획 등 여러 요인을 고려하여 결정된다.
- 수술: 자궁내막암의 가장 기본적인 치료법으로, 대부분의 환자가 수술을 받는다.[183] 일반적으로 자궁, 양쪽 난소 및 나팔관을 모두 제거하는 전자궁절제술 및 양측 난관난소절제술이 시행된다. 암이 진행된 경우(조직학적 등급 II 이상)에는 골반 및 대동맥 주위 림프절을 제거하는 림프절 절제술도 시행될 수 있다.[184]
- 방사선 치료: 수술 후 재발 위험을 낮추기 위해 보조적으로 시행하거나, 수술이 불가능한 경우에 사용된다. 질강 내 근접 방사선 치료(VBT)와 외부 방사선 치료(EBRT) 두 가지 방법이 있으며, VBT는 독성이 적어 선호된다.[5]
- 항암화학요법: 수술 후 재발 위험이 높은 경우나 암이 진행된 경우에 사용된다. 파클리탁셀, 독소루비신, 시스플라틴 등의 항암제를 조합하여 사용하며, 보조 방사선 치료보다 생존율을 높이는 것으로 알려져 있다.[15][89][18][67] 수술이 불가능한 경우에는 고식적 항암화학요법을 시행할 수 있다.[15][18][67]
- 호르몬 치료: 종양이 분화가 잘 되어 있고 프로게스테론 및 에스트로겐 수용체가 있는 경우에 효과적이다.[67] 프로게스틴, 타목시펜 등의 호르몬 제제를 사용하며, 전이성 자궁내막양 암종의 약 25%에서 반응을 보인다.
도스타리맙은 특정 바이오마커를 가진 자궁내막암 치료제로 미국 FDA의 승인을 받았다.[74]
9. 1. 수술
자궁내막암의 주요 치료법은 수술이며, 자궁내막암 환자의 90%가 수술을 받는다.[18] 수술은 일반적으로 자궁, 양쪽 난소 및 나팔관을 제거하는 양측 난관-난소 절제술을 포함한 자궁 절제술로 구성된다. 조직학적 등급 2 이상 종양의 경우 림프절 절제술, 즉 골반 및 대동맥 주위 림프절 제거가 수행된다.[15] 림프절 절제술은 미국에서 자궁내막암의 모든 단계에 대해 일상적으로 수행되지만, 영국에서는 림프절이 일반적으로 2기 이상에서만 제거된다.[35] 1기 질병에서 림프절 절제술의 유용성과 생존 이점에 대한 논쟁은 아직 진행 중이다.[89] 2017년 체계적 검토에 따르면, 1기 질병으로 추정되는 여성에서 림프절 절제술은 림프절 절제술을 하지 않는 경우와 비교했을 때 사망 또는 암 재발 위험을 감소시킨다는 증거가 없었다.[62] 림프절 절제술을 받는 여성은 수술 또는 림프부종/림프낭종 형성과 관련된 전신 이환을 경험할 가능성이 더 높다.[62] 3기 및 4기 암에서는 종양 감소 수술이 일반적이며,[15] 대망 생검도 포함될 수 있다.[63] 원격 전이가 있는 4기에서는 수술을 완화 요법의 일부로 사용할 수 있다.[89] 개복술은 전통적인 수술 절차이지만, 초기 단계의 원발성 자궁내막암으로 추정되는 환자의 경우 복강경 수술 (키홀 수술)은 수술 관련 이환율 감소 및 유사한 생존율과 관련이 있다.[63] 복부를 통한 복식 자궁 절제술은 질을 통한 질식 자궁 절제술보다 권장되는데, 이는 복강을 검사하고 암의 추가 증거를 감지하기 위해 복강 복막 세척액을 얻을 수 있는 기회를 제공하기 때문이다. 암의 병기는 수술 중에 확인한다.[64]
수술이 불가능한 종양, 심한 비만, 특히 고위험 수술 또는 임신 유지에 대한 열망은 수술의 금기 사항이다.[64] 이러한 금기 사항은 약 5~10%의 경우에 발생한다.[89] 임신을 유지하고 싶어하고 저등급 1기 암이 있는 여성은 프로게스틴으로 치료할 수 있으며, 동시에 타목시펜 치료를 병행할 수도 있다. 이 치료법은 암이 치료에 반응하지 않거나 출산이 끝날 때까지 계속될 수 있다.[65] 자궁 천공은 소파술 또는 자궁내막 생검 중에 발생할 수 있다.[66] 자궁내막암 제거 수술의 부작용은 성 기능 장애, 일시적인 요실금, 림프부종이며, 변비를 포함한 모든 수술의 일반적인 부작용과 함께 나타날 수 있다.[6]
9. 2. 방사선 치료
수술 후 고위험 또는 고등급 암의 경우 방사선 치료 및/또는 화학 요법을 시행할 수 있다. 이를 보조 요법이라고 한다.[15]보조 방사선 치료는 초기 단계(1기 또는 2기) 자궁내막암에 일반적으로 사용된다. 질강 내 근접 방사선 치료(VBT)를 통해 시행할 수 있으며, 독성이 감소하여 선호되는 방법이 되고 있다. 또는 외부 방사선 치료(EBRT)를 사용할 수도 있다. 근접 방사선 치료는 영향을 받은 장기에 방사선원을 위치시키는 것을 포함하며, 자궁내막암의 경우 방사선원을 질 내에 직접 위치시킨다. 외부 방사선 치료는 신체 외부에서 영향을 받은 부위에 방사선 빔을 조사하는 것을 포함한다. VBT는 질 내에 남아있는 암만 치료하는 데 사용되는 반면, EBRT는 수술 후 골반 내 다른 부위에 남아있는 암을 치료하는 데 사용될 수 있다. 그러나 보조 방사선 치료의 이점은 논란의 여지가 있다. EBRT는 골반 내 재발률을 유의하게 감소시키지만, 전체 생존율과 전이율은 개선되지 않는다.[5] VBT는 EBRT보다 더 나은 삶의 질을 제공한다.[89]
방사선 치료는 특정 경우에 수술 전에 사용될 수도 있다. 수술 전 영상 검사 또는 임상 평가에서 종양이 자궁경부를 침범하는 것으로 나타나면, 전 자궁 절제술을 시행하기 전에 방사선을 조사할 수 있다.[13] 자궁절제술 금기증이 있는 경우 근접 방사선 치료와 EBRT를 단독 또는 병용하여 사용할 수도 있다.[89] 두 가지 방사선 치료 방법 모두 특히 위장관에서 부작용과 관련이 있다.[5]
9. 3. 항암화학요법
수술 후 고위험 또는 고등급 암의 경우 방사선 치료 및/또는 화학 요법을 시행할 수 있으며, 이를 보조 요법이라고 한다.[15] 보조 화학 요법은 파클리탁셀 (또는 도세탁셀과 같은 다른 탁산류), 독소루비신 (및 다른 안트라사이클린류) 및 백금 (특히 시스플라틴 및 카보플라틴)의 일부 조합으로 구성되는 최근의 혁신이다. 보조 화학 요법은 추가 방사선 요법보다 3기 및 4기 암의 생존율을 증가시키는 것으로 밝혀졌다.[15][89][18][67] 린치 증후군에서 발견되는 것과 같은 불일치 복구 유전자 변이는 백금에 대한 내성을 유발할 수 있으며, 이는 이러한 변이가 있는 사람에게 백금 화학 요법이 효과적이지 않음을 의미한다.[68] 화학 요법의 부작용은 흔하며, 탈모, 혈액 내 낮은 호중구 수치, 위장 문제 등이 있다.[15]수술이 적응증이 아닌 경우 고식적 화학 요법이 선택 사항이며, 더 높은 용량의 화학 요법은 더 긴 생존과 관련이 있다.[15][18][67] 카페시타빈과 젬시타빈을 특히 사용하는 고식적 화학 요법은 재발성 자궁내막암을 치료하는 데에도 자주 사용된다.[67]
확신이 낮은 증거에 따르면 화학 요법을 받은 재발성 자궁내막암 여성의 경우 mTOR 경로를 억제하는 약물을 투여하면 더 많은 화학 요법이나 호르몬 요법을 받는 것보다 질병 악화 위험을 줄일 수 있다. 하지만 mTOR 억제제는 소화관 궤양 발생 가능성을 높일 수 있다.[69]
9. 4. 호르몬 치료
호르몬 치료는 특정 유형의 자궁내막암에만 효과가 있다. 한때는 대부분의 경우에 효과가 있다고 생각되었다.[5][15] 종양이 분화가 잘 되어 있고 프로게스테론과 에스트로겐 수용체가 있는 것으로 알려진 경우, 프로게스틴을 치료에 사용할 수 있다.[67] 새로 진단된 자궁내막암에 대한 수술 외에 프로게스틴 사용을 뒷받침하는 증거는 없다.[70] 전이성 자궁내막양 암종의 약 25%가 프로게스틴에 반응을 보인다. 또한, 자궁내막 기질 육종은 타목시펜, 카프로산 히드록시프로게스테론, 레트로졸, 메게스트롤 아세테이트, 메드록시프로게스테론을 포함한 호르몬 제제로 치료할 수 있다.[86] 이러한 치료법은 자궁내막 기질 육종에서 효과적인데, 이는 일반적으로 에스트로겐 및/또는 프로게스틴 수용체를 가지고 있기 때문이다. 프로게스틴 수용체는 자궁내막암 세포에서 종양 억제 인자로 기능한다.[71] 예비 연구 및 임상 시험에서 이러한 치료법은 전이성 질환에서도 높은 반응률을 보이는 것으로 나타났다.[48]2010년에는 진행성 또는 재발성 자궁내막암 환자에서 호르몬 치료의 효과가 불분명하다.[72] 자궁내막암 치료 후 호르몬 대체 요법을 고려하는 여성에게 정보를 제공할 충분한 증거가 없다.[73]
10. 관리
종양 표지자 CA-125는 자궁내막암에서 빈번하게 상승하며, 특히 장액성 세포암이나 진행성 질환에서 치료 반응을 모니터링하는 데 사용될 수 있다.[25][38][75] 진행성 질환의 경우 주기적인 MRI 또는 CT 스캔이 권장될 수 있으며, 자궁내막암 병력이 있는 여성은 치료 후 5년 동안 더 자주 골반 검사를 받아야 한다.[75] 치료 후 처음 2년 동안은 3~4개월마다 검사를, 그 다음 3년 동안은 6개월마다 검사를 받는 것이 권장된다.[89]
자궁내막암 환자는 새로운 증상이 나타나거나 종양 표지자가 상승하지 않는 한, 암을 모니터링하기 위한 정기적인 감시 영상 검사를 받아서는 안 된다. 이러한 징후가 없는데도 영상 검사를 하는 것은 재발을 감지하거나 생존율을 향상시킬 가능성이 낮고, 자체적인 비용과 부작용이 있기 때문에 권장되지 않는다.[76] 재발이 의심되는 경우 PET/CT 스캔이 권장된다.[89]
11. 예후
적절한 치료를 받았을 때 자궁내막암의 5년 생존율은 80%이다.[193][78] 대부분의 환자(70% 이상)는 FIGO 병기 I에 해당하며 예후가 가장 좋다. 병기 III, 특히 병기 IV는 예후가 더 나쁘지만, 상대적으로 드물게 발생하여 전체 사례의 13% 정도에 불과하다. 3~4기 자궁내막암의 중앙 생존 기간은 9~10개월이다.[79]
초기 자궁내막암의 재발률은 1차 치료 및 보조 치료 여부에 따라 3~17%이다.[193][78] 재발의 대부분(75~80%)은 골반 밖에서 발생하며, 치료 후 2~3년 이내에 발생하는 경우가 많다. (2년 이내 64%, 3년 이내 87%)[194][85]
병기가 높거나, 근층 또는 자궁경부를 침범했거나, 림프계로 전이된 암은 재발 가능성이 더 높다. 유두상 장액성 암종, 투명 세포 암종, 자궁내막양 암종은 재발 위험이 가장 높은 아형이다.[18] 고등급 조직학적 아형 역시 재발 위험이 높다.[35]
가장 흔한 재발 부위는 질이며,[5] 질 재발은 예후가 가장 좋다. 국소 질 재발에 대한 방사선 치료(VBT 및 EBRT)의 5년 생존율은 50%이다. 골반 재발은 수술 및 방사선 치료로, 복부 재발은 방사선 치료와 가능한 경우 항암 화학 요법으로 치료한다.[89] 기타 흔한 재발 부위는 골반 림프절, 대동맥 옆 림프절, 복막(28%), 폐 등이며, 뇌(<1%), 간(7%), 부신(1%), 뼈(4~7%; 주로 축성 골격), 복부 외부 림프절(0.4~1%), 비장 및 근육/연조직(2~6%)에서도 재발할 수 있다.[85]
고령은 더 나쁜 예후와 관련이 있다.[15] 미국에서는 백인 여성이 흑인 여성보다 생존율이 더 높으며, 흑인 여성은 진단 시점에 더 공격적인 암을 겪는 경향이 있다.[80] 프로게스테론 수용체 발현이 높은 종양은 낮은 종양에 비해 예후가 좋다. 프로게스테론 수용체 발현이 높은 질환을 가진 여성의 93%가 3년까지 생존한 반면, 낮은 질환을 가진 여성은 36%였다.[8] 심장 질환은 자궁내막암 생존자에게서 가장 흔한 사망 원인이며,[81] 다른 비만 관련 건강 문제도 흔하다.[82] 진단 후 삶의 질은 건강한 생활 방식(비만 없음, 양질의 식단, 신체 활동)과 긍정적인 관련이 있다.[83]
12. 역학
2014년 기준으로, 해마다 전 세계 약 32만 명의 여성이 자궁내막암으로 진단을 받으며 76,000명이 사망하는데, 이는 여성에게 흔히 발생하는 암 가운데 6번째에 해당한다.[195] 자궁내막암은 선진국에서 더 흔하게 발생하며, 여성의 평생 자궁내막암 발병 위험은 선진국에서 1.6%인 반면 개발도상국에서는 0.6%이다.[15] 선진국에서는 매년 여성 10만 명당 12.9명이 자궁내막암에 걸린다.[18]
미국에서 자궁내막암은 가장 흔하게 진단되는 부인암이며, 여성에게서 전체 암 중 4번째로 흔한 암으로,[11][86] 여성 암 사례의 6%를 차지한다.[87] 북유럽, 동유럽, 북미 지역이 자궁내막암 발병률이 가장 높고, 아프리카와 서아시아가 가장 낮다. 2012년에는 전 세계 자궁내막암 진단의 41%가 아시아에서 발생했으며, 북유럽, 동유럽, 북미 지역을 합하면 48%를 차지했다.[7]
대부분의 암과 달리, 자궁내막암의 새로운 사례 수는 최근 몇 년 동안 증가했으며, 1993년에서 2013년 사이에 영국에서 40% 이상 증가했다.[15] 이러한 증가는 선진국의 비만율 증가,[18] 기대 수명 증가, 출산율 감소 때문일 수 있다.[11]
자궁내막암은 주로 폐경 전후기 (폐경 직전, 직후 및 폐경 기간)인 50세에서 65세 사이에 가장 자주 발생하며,[86] 전체적으로 자궁내막암의 75%가 폐경 후에 발생한다.[5] 40세 미만 여성은 자궁내막암 사례의 5%를 차지하고, 10~15%의 사례가 50세 미만 여성에게서 발생한다. 전 세계 중앙값 진단 연령은 63세이며,[89] 미국에서는 평균 진단 연령이 60세이다. 백인 미국 여성은 흑인 미국 여성보다 자궁내막암 위험이 더 높으며, 평생 위험은 각각 2.88%와 1.69%이다.[88] 일본계 미국 여성과 라틴계 미국 여성은 발병률이 낮고, 하와이 원주민 여성은 발병률이 더 높다.[28]
국립암센터에 따르면, 2019년 대한민국의 여성 자궁내막암 환자 수는 유방암, 대장암, 폐암, 위암, 췌장암에 이어 5위로 17,880명이다.[111]
13. 자궁내막암에 걸린 인물
참조
[1]
논문
Global, regional, and national incidence, prevalence, and years lived with disability for 310 diseases and injuries, 1990-2015: a systematic analysis for the Global Burden of Disease Study 2015
2016-10
[2]
논문
Global, regional, and national life expectancy, all-cause mortality, and cause-specific mortality for 249 causes of death, 1980-2015: a systematic analysis for the Global Burden of Disease Study 2015
2016-10
[3]
웹사이트
General Information About Endometrial Cancer
http://www.cancer.go[...]
National Cancer Institute
2014-04-22
[4]
웹사이트
Defining Cancer
http://www.cancer.go[...]
National Cancer Institute
2007-09-17
[5]
논문
Adjuvant radiotherapy for stage I endometrial cancer
2012-04
[6]
웹사이트
What You Need To Know: Endometrial Cancer
http://www.cancer.go[...]
National Cancer Institute
[7]
서적
World Cancer Report 2014
World Health Organization
[8]
웹사이트
Endometrial Cancer Treatment (PDQ®)
http://www.cancer.go[...]
National Cancer Institute
2014-04-23
[9]
서적
Williams Gynecology
McGraw-Hill
[10]
웹사이트
SEER Stat Fact Sheets: Endometrial Cancer
http://seer.cancer.g[...]
National Cancer Institute
[11]
서적
Williams Gynecology
McGraw-Hill
[12]
웹사이트
Uterine Cancer - Cancer Stat Facts
https://seer.cancer.[...]
2019-02-03
[13]
서적
Current Diagnosis & Treatment: Surgery
McGraw-Hill
[14]
논문
Association of Endometrial Cancer Risk With Postmenopausal Bleeding in Women: A Systematic Review and Meta-analysis
2018-09
[15]
논문
Adjuvant chemotherapy for advanced endometrial cancer
2014-05
[16]
서적
Williams Gynecology
McGraw-Hill
[17]
논문
Impact of metabolic syndrome on the risk of endometrial cancer and the role of lifestyle in prevention
2022-07
[18]
논문
Chemotherapy for advanced, recurrent or metastatic endometrial carcinoma
2012-08
[19]
논문
Committee Opinion no. 512: health care for transgender individuals
http://www.acog.org/[...]
2011-12
[20]
논문
Multi-trait genome-wide association study identifies a novel endometrial cancer risk locus that associates with testosterone levels
2023-05
[21]
논문
Testing women with endometrial cancer for lynch syndrome: should we test all?
2013-09
[22]
논문
Five endometrial cancer risk loci identified through genome-wide association analysis
2016-06
[23]
논문
Identification of nine new susceptibility loci for endometrial cancer
2018-08
[24]
논문
Postoperative tamoxifen for ductal carcinoma in situ
2012-10
[25]
서적
Comprehensive Gynecology
Mosby (publisher)
[26]
논문
Sedentary time and its association with risk for disease incidence, mortality, and hospitalization in adults: a systematic review and meta-analysis
2015-01
[27]
서적
Williams Gynecology
McGraw-Hill
[28]
웹사이트
Endometrial Cancer Prevention
http://www.cancer.go[...]
NIH
2014-02-28
[29]
논문
10 Years of GWAS discovery in endometrial cancer: Aetiology, function and translation
2022-03
[30]
논문
Interpretation of P53 Immunohistochemistry in Endometrial Carcinomas: Toward Increased Reproducibility
2019-01
[31]
서적
Comprehensive Gynecology
Mosby (publisher)
2012-01-01
[32]
논문
The emerging role of speckle-type POZ protein (SPOP) in cancer development
2014-09
[33]
논문
Oral and intrauterine progestogens for atypical endometrial hyperplasia
2018-12
[34]
서적
Williams Gynecology
McGraw-Hill
[35]
논문
Endometrial cancer
2011-07
[36]
논문
Diagnostic Accuracy of Transvaginal Ultrasound and Magnetic Resonance Imaging for the Detection of Myometrial Infiltration in Endometrial Cancer: A Systematic Review and Meta-Analysis
https://doi.org/10.3[...]
[37]
서적
Williams Gynecology
McGraw-Hill
[38]
서적
Williams Gynecology
McGraw-Hill
[39]
논문
Classification of endometrial carcinoma: more than two types
2014-06
[40]
논문
Non-endometrioid adenocarcinoma of the uterine corpus: a review of selected histological subtypes
2009-01
[41]
서적
Williams Gynecology
McGraw-Hill
[42]
서적
Williams Gynecology
McGraw-Hill
[43]
논문
Endometrial cancer: ESMO Clinical Practice Guidelines for diagnosis, treatment and follow-up
2011-09
[44]
논문
Adjuvant chemotherapy for endometrial cancer after hysterectomy
2011-10
[45]
논문
Primary squamous cell carcinoma of the endometrium: two cases and a review of the literature
2013-09
[46]
논문
Transitional cell carcinoma of the endometrium and endometrial carcinoma with transitional cell differentiation: a clinicopathologic study of 5 cases and review of the literature
2008-11
[47]
논문
Transitional cell carcinoma of the endometrium: a case report and review of the literature
2006-10
[48]
논문
Treatment of recurrent endometrial stromal sarcoma with letrozole: a case report and literature review
2010-04
[49]
논문
Uterine sarcomas: histology and its implications on therapy
[50]
논문
Uterine sarcomas: a review
2010-01
[51]
서적
Williams Gynecology
McGraw-Hill
[52]
서적
Williams Gynecology
McGraw-Hill
[53]
논문
Interobserver agreement for endometrial cancer characteristics evaluated on biopsy material.
[54]
서적
Modern Surgical Pathology (2 Volume Set)
WB Saunders
[55]
논문
Endometrial Carcinoma Diagnosis
[56]
논문
Interobserver agreement for endometrial cancer characteristics evaluated on biopsy material.
[57]
논문
FIGO staging of endometrial cancer: 2023.
https://www.ncbi.nlm[...]
[58]
논문
FIGO 2023 endometrial cancer staging: too much, too soon?
https://www.ncbi.nlm[...]
[59]
웹사이트
Stage Information for Endometrial Cancer
http://www.cancer.go[...]
National Cancer Institute
1980-01
[60]
서적
StatPearls [Internet]
StatPearls Publishing
[61]
웹사이트
Protocol for the Examination of Specimens From Patients With Carcinoma and Carcinosarcoma of the Endometrium, Version: 5.0.0.0
https://documents.ca[...]
[62]
논문
Lymphadenectomy for the management of endometrial cancer
2017-10
[63]
논문
Laparoscopy versus laparotomy for the management of early stage endometrial cancer
2018-10
[64]
서적
Williams Gynecology
McGraw-Hill
[65]
서적
Williams Gynecology
McGraw-Hill
[66]
서적
Comprehensive Gynecology
Mosby
[67]
서적
Comprehensive Gynecology
Mosby
[68]
논문
Exploiting DNA mismatch repair deficiency as a therapeutic strategy
2014-11
[69]
논문
PI3K/AKT/mTOR inhibitors for advanced or recurrent endometrial cancer
2019-10
[70]
논문
Adjuvant progestagens for endometrial cancer
2011-06
[71]
논문
Role of nuclear progesterone receptor isoforms in uterine pathophysiology
[72]
논문
Hormonal therapy in advanced or recurrent endometrial cancer
2010-12
[73]
논문
Endometrial cancer risk was lower in women who used continuous combined HRT than in non-users
2006-03
[74]
웹사이트
FDA Approves Immunotherapy for Endometrial Cancer with Specific Biomarker
https://www.fda.gov/[...]
FDA
2021-04-22
[75]
서적
Williams Gynecology
McGraw-Hill
[76]
웹사이트
Five Things Physicians and Patients Should Question
http://www.choosingw[...]
Society of Gynecologic Oncology
2014-07-27
[77]
웹사이트
Survival by stage of endometrial cancer
http://www.cancer.or[...]
American Cancer Society
2014-06-10
[78]
논문
Follow-up practice in endometrial cancer and the association with patient and hospital characteristics: a study from the population-based PROFILES registry
2013-05
[79]
논문
Exenterative surgery for recurrent gynaecological malignancies
2014-02
[80]
서적
Comprehensive Gynecology
Mosby
[81]
논문
Cardiovascular disease is the leading cause of death among endometrial cancer patients
2012-08
[82]
논문
Endometrial cancer and obesity: epidemiology, biomarkers, prevention and survivorship
2009-07
[83]
논문
Obesity, diet, physical activity, and health-related quality of life in endometrial cancer survivors
2015-06
[84]
서적
Williams Gynecology
McGraw-Hill
[85]
논문
Typical and atypical metastatic sites of recurrent endometrial carcinoma
2013-03
[86]
서적
Comprehensive Gynecology
Mosby
[87]
웹사이트
General Information about Endometrial Cancer
http://www.cancer.go[...]
NIH
2014-04-23
[88]
논문
Endometrial cancer: a review and current management strategies: part I
2014-08
[89]
논문
Endometrial cancer: ESMO Clinical Practice Guidelines for diagnosis, treatment and follow-up
2013-10
[90]
논문
The Role of PARP Inhibitors in the Treatment of Gynecologic Malignancies
2013-10
[91]
논문
PARP Inhibitors for BRCA1/2 mutation-associated and BRCA-like malignancies
2014-01
[92]
논문
PARP inhibitors in BRCA gene-mutated ovarian cancer and beyond
2011-12
[93]
논문
Major clinical research advances in gynecologic cancer in 2013
2014-07
[94]
논문
Metformin in reproductive health, pregnancy and gynaecological cancer: established and emerging indications
[95]
논문
Progestin intrauterine device and GnRH analogue for uterus-sparing treatment of endometrial precancers and well-differentiated early endometrial carcinoma in young women
2011-03
[96]
논문
Treatment of Low-Risk Endometrial Cancer and Complex Atypical Hyperplasia With the Levonorgestrel-Releasing Intrauterine Device
2018-01
[97]
웹사이트
Womb cancer research
http://www.cancerres[...]
Cancer Research UK
2014-08-31
[98]
논문
Womb cancer could be detected early with an inexpensive new blood test
https://evidence.nih[...]
2020-11-12
[99]
논문
Detecting Endometrial Cancer by Blood Spectroscopy: A Diagnostic Cross-Sectional Study
2020-05
[100]
논문
Interventions for weight reduction in obesity to improve survival in women with endometrial cancer
2023-03
[101]
뉴스
Womb cancer: the most common diagnosis you've never heard of
https://www.theguard[...]
2014-09-21
[102]
웹사이트
Endometrial Cancer Treatment (PDQ®)–Patient Version - NCI
https://www.cancer.g[...]
2023-05-16
[103]
웹사이트
子宮体がん(子宮内膜がん):国立がん研究センター がん情報サービス 一般の方へ
https://ganjoho.jp/p[...]
2023-05-16
[104]
서적
World Cancer Report 2014
World Health Organization
[105]
웹사이트
子宮体がん(子宮内膜がん) 予防・検診:国立がん研究センター がん情報サービス 一般の方へ
https://ganjoho.jp/p[...]
2023-05-16
[106]
웹사이트
子宮体がん|公益社団法人 日本産科婦人科学会
https://www.jsog.or.[...]
2023-05-16
[107]
웹사이트
Adjuvant chemotherapy for advanced endometrial cancer - PMC
https://www.ncbi.nlm[...]
2023-05-16
[108]
웹사이트
科学的根拠に基づくがん予防:国立がん研究センター がん情報サービス 一般の方へ
https://ganjoho.jp/p[...]
2023-05-16
[109]
웹사이트
子宮体がん ! 生活習慣病 ! 生活習慣病を予防する 特定非営利活動法人 日本成人病予防協会
https://www.japa.org[...]
2023-05-16
[110]
웹사이트
子宮体がん(子宮内膜がん) 検査:国立がん研究センター がん情報サービス 一般の方へ
https://ganjoho.jp/p[...]
2023-05-16
[111]
웹사이트
cancer_incidenceNCR(2016-2019).xls
https://ganjoho.jp/r[...]
2023-05-16
[112]
뉴스
漫画】体の不調を無視していたら”初期のがん”だった…心の葛藤を描いた実話漫画に「たくさん悩んでたくさん考えたのですね」の声
https://thetv.jp/new[...]
WEB ザ テレビジョン
2024-01-31
[113]
뉴스
[日本エレキテル連合 中野聡子さん](上)子宮体がんで子宮全摘手術…「喪失感はありません。好きなように生きます」
https://yomidr.yomiu[...]
ヨミドクター
2024-02-25
[114]
뉴스
藤あや子、初期の子宮体がんを公表「先日、子宮と卵巣の全摘手術を受けました」
https://www.sanspo.c[...]
サンケイスポーツ
2024-05-07
[115]
뉴스
「病と生きる」銀座のクラブママ・ますい志保さん 子宮体がん克服、「謙虚さと自信」を身に付ける
https://www.sankei.c[...]
産経新聞アーカイブ
2023-11-25
[116]
웹사이트
45歳でまさかのがん宣告…女芸人ミッチェル「5年生存率20%、だけど私はその20%に入りたい」
https://magazine.fan[...]
[117]
서적
焼野まで
[118]
웹사이트
子宮体がんで子宮と卵巣を全摘した「歌う尼さん」 思い通りにいかないほうが人生は深くなる
https://gansupport.j[...]
2019-05
[119]
웹인용
General Information About Endometrial Cancer
http://www.cancer.go[...]
National Cancer Institute
2014-04-22
[120]
웹인용
Defining Cancer
http://www.cancer.go[...]
National Cancer Institute
2007-09-17
[121]
웹인용
General Information About Endometrial Cancer
http://www.cancer.go[...]
National Cancer Institute
2014-04-22
[122]
웹인용
General Information About Endometrial Cancer
http://www.cancer.go[...]
National Cancer Institute
2014-04-22
[123]
저널
Adjuvant radiotherapy for stage I endometrial cancer
2012-04
[124]
서적
World Cancer Report 2014
https://archive.org/[...]
World Health Organization
[125]
웹인용
General Information About Endometrial Cancer
http://www.cancer.go[...]
National Cancer Institute
2014-04-22
[126]
웹인용
General Information About Endometrial Cancer
http://www.cancer.go[...]
National Cancer Institute
2014-04-22
[127]
서적
World Cancer Report 2014
https://archive.org/[...]
World Health Organization
[128]
서적
World Cancer Report 2014
https://archive.org/[...]
World Health Organization
[129]
웹인용
What You Need To Know: Endometrial Cancer
https://web.archive.[...]
National Cancer Institute
2014-08-06
[130]
서적
World Cancer Report 2014
https://archive.org/[...]
World Health Organization
[131]
웹인용
General Information About Endometrial Cancer
http://www.cancer.go[...]
National Cancer Institute
2014-04-22
[132]
웹인용
Endometrial Cancer Treatment (PDQ®)
http://www.cancer.go[...]
National Cancer Institute
2014-04-23
[133]
서적
Williams Gynecology
McGraw-Hill
[134]
웹인용
Endometrial Cancer Treatment (PDQ®)
http://www.cancer.go[...]
National Cancer Institute
2014-04-23
[135]
웹인용
Endometrial Cancer Treatment (PDQ®)
http://www.cancer.go[...]
National Cancer Institute
2014-04-23
[136]
웹인용
Endometrial Cancer Treatment (PDQ®)
http://www.cancer.go[...]
National Cancer Institute
2014-04-23
[137]
웹인용
SEER Stat Fact Sheets: Endometrial Cancer
National Cancer Institute
2014-06-18
[138]
서적
World Cancer Report 2014
https://archive.org/[...]
World Health Organization
[139]
서적
World Cancer Report 2014
https://archive.org/[...]
World Health Organization
[140]
서적
World Cancer Report 2014
https://archive.org/[...]
World Health Organization
[141]
웹인용
Endometrial Cancer Treatment (PDQ®)
http://www.cancer.go[...]
National Cancer Institute
2014-04-23
[142]
서적
World Cancer Report 2014
https://archive.org/[...]
World Health Organization
[143]
서적
Williams Gynecology
McGraw-Hill
[144]
저널
Adjuvant radiotherapy for stage I endometrial cancer
2012-04
[145]
서적
Current Diagnosis & Treatment: Surgery
https://archive.org/[...]
McGraw-Hill
[146]
저널
Association of Endometrial Cancer Risk With Postmenopausal Bleeding in Women: A Systematic Review and Meta-analysis
2018-09
[147]
서적
Williams Gynecology
McGraw-Hill
[148]
웹인용
What You Need To Know: Endometrial Cancer
https://web.archive.[...]
National Cancer Institute
2014-08-06
[149]
저널
Endometrial cancer
2011-07
[150]
저널
Adjuvant chemotherapy for advanced endometrial cancer
2014-05
[151]
저널
Endometrial cancer
2011-07
[152]
저널
Adjuvant chemotherapy for advanced endometrial cancer
2014-05
[153]
서적
Williams Gynecology
McGraw-Hill
[154]
저널
Testing women with endometrial cancer for lynch syndrome: should we test all?
2013-09
[155]
저널
Impact of metabolic syndrome on the risk of endometrial cancer and the role of lifestyle in prevention
2022-07
[156]
서적
World Cancer Report 2014
https://archive.org/[...]
World Health Organization
[157]
서적
Williams Gynecology
McGraw-Hill
[158]
서적
Comprehensive Gynecology
Mosby (publisher)
[159]
저널
Metformin in reproductive health, pregnancy and gynaecological cancer: established and emerging indications
[160]
저널
Endometrial cancer: ESMO Clinical Practice Guidelines for diagnosis, treatment and follow-up
2013-10
[161]
저널
Chemotherapy for advanced, recurrent or metastatic endometrial carcinoma
2012-08
[162]
저널
Committee Opinion no. 512: health care for transgender individuals
http://www.acog.org/[...]
2011-12
[163]
저널
Multi-trait genome-wide association study identifies a novel endometrial cancer risk locus that associates with testosterone levels
2023-05
[164]
서적
World Cancer Report 2014
https://archive.org/[...]
World Health Organization
[165]
저널
The Role of PARP Inhibitors in the Treatment of Gynecologic Malignancies
2013-10
[166]
서적
Williams Gynecology
McGraw-Hill
[167]
저널
Testing women with endometrial cancer for lynch syndrome: should we test all?
2013-09
[168]
저널
Endometrial cancer: ESMO Clinical Practice Guidelines for diagnosis, treatment and follow-up
2013-10
[169]
저널
Endometrial cancer: a review and current management strategies: part I
2014-08
[170]
웹인용
What You Need To Know: Endometrial Cancer
https://web.archive.[...]
National Cancer Institute
2014-08-06
[171]
저널
Five endometrial cancer risk loci identified through genome-wide association analysis
2016-06
[172]
저널
Identification of nine new susceptibility loci for endometrial cancer
2018-08
[173]
저널
Postoperative tamoxifen for ductal carcinoma in situ
2012-10
[174]
저널
Chemotherapy for advanced, recurrent or metastatic endometrial carcinoma
2012-08
[175]
웹인용
Endometrial Cancer Prevention
http://www.cancer.go[...]
NIH
2014-02-28
[176]
서적
Comprehensive Gynecology
Mosby
[177]
저널
Endometrial cancer
2011-07
[178]
저널
Sedentary time and its association with risk for disease incidence, mortality, and hospitalization in adults: a systematic review and meta-analysis
2015-01
[179]
서적
Williams Gynecology
McGraw-Hill
[180]
저널
10 Years of GWAS discovery in endometrial cancer: Aetiology, function and translation
2022-03
[181]
저널
Major clinical research advances in gynecologic cancer in 2013
[182]
웹인용
Stage Information for Endometrial Cancer
http://www.cancer.go[...]
National Cancer Institute
2014-04-23
[183]
저널
Chemotherapy for advanced, recurrent or metastatic endometrial carcinoma.
2012-08-15
[184]
저널
Adjuvant chemotherapy for advanced endometrial cancer.
2014-05-15
[185]
저널
Endometrial cancer
[186]
저널
Endometrial cancer: ESMO Clinical Practice Guidelines for diagnosis, treatment and follow-up
2013-10
[187]
저널
Laparoscopy versus laparotomy for the management of early stage endometrial cancer.
2012-09-12
[188]
서적
Williams Gynecology
http://www.accessmed[...]
McGraw-Hill
[189]
서적
Williams Gynecology
http://www.accessmed[...]
McGraw-Hill
[190]
서적
Comprehensive Gynecology
Mosby
[191]
웹인용
What You Need To Know: Endometrial Cancer
http://www.cancer.go[...]
National Cancer Institute
2014-08-06
[192]
웹인용
Survival by stage of endometrial cancer
http://www.cancer.or[...]
American Cancer Society
2014-03-02
[193]
저널
Follow-up practice in endometrial cancer and the association with patient and hospital characteristics: A study from the population-based PROFILES registry
[194]
저널
Typical and atypical metastatic sites of recurrent endometrial carcinoma
[195]
서적
World Cancer Report 2014
https://archive.org/[...]
World Health Organization
[196]
웹인용
Womb cancer: the most common diagnosis you've never heard of
https://www.theguard[...]
The Guardian
2014-09-21
본 사이트는 AI가 위키백과와 뉴스 기사,정부 간행물,학술 논문등을 바탕으로 정보를 가공하여 제공하는 백과사전형 서비스입니다.
모든 문서는 AI에 의해 자동 생성되며, CC BY-SA 4.0 라이선스에 따라 이용할 수 있습니다.
하지만, 위키백과나 뉴스 기사 자체에 오류, 부정확한 정보, 또는 가짜 뉴스가 포함될 수 있으며, AI는 이러한 내용을 완벽하게 걸러내지 못할 수 있습니다.
따라서 제공되는 정보에 일부 오류나 편향이 있을 수 있으므로, 중요한 정보는 반드시 다른 출처를 통해 교차 검증하시기 바랍니다.
문의하기 : help@durumis.com
