중동호흡기증후군
"오늘의AI위키"의 AI를 통해 더욱 풍부하고 폭넓은 지식 경험을 누리세요.
1. 개요
중동호흡기증후군(MERS)은 베타코로나바이러스의 일종인 MERS-CoV에 의해 발생하는 호흡기 질환이다. 2012년 사우디아라비아에서 처음 확인되었으며, 발열, 기침, 호흡 곤란 등의 증상을 보인다. 단봉낙타가 주요 숙주이며, 사람 간 전파도 가능하다. 현재까지 특이적인 치료법은 없으며, 대증 치료를 시행한다. 2012년부터 2020년 1월까지 전 세계적으로 2,519명의 확진자와 866명의 사망자가 발생했다.
더 읽어볼만한 페이지
- 중동호흡기증후군 - 2015년 대한민국 중동호흡기증후군 유행
2015년 대한민국 중동호흡기증후군 유행은 중동 지역 방문 후 첫 확진 환자 발생 이후 병원 내 감염 확산으로 총 186명의 감염자와 38명의 사망자를 낸 사건으로, 정부 대응 미흡과 정보 공개 지연에 대한 비판과 함께 사회 경제적으로 큰 영향을 미쳤다. - 중동호흡기증후군 - 중동호흡기증후군 코로나바이러스
중동호흡기증후군 코로나바이러스(MERS-CoV)는 2012년 사우디아라비아에서 처음 보고된 베타코로나바이러스의 일종으로, 신부전과 중증 급성 폐렴을 유발하며 단봉낙타가 주요 숙주이고 박쥐에서 유래한 것으로 추정된다. - 2012년 사우디아라비아 - 중동호흡기증후군 코로나바이러스
중동호흡기증후군 코로나바이러스(MERS-CoV)는 2012년 사우디아라비아에서 처음 보고된 베타코로나바이러스의 일종으로, 신부전과 중증 급성 폐렴을 유발하며 단봉낙타가 주요 숙주이고 박쥐에서 유래한 것으로 추정된다. - 2012년 사우디아라비아 - 2011~2012년 사우디아라비아 시위
2011년부터 2012년까지 사우디아라비아에서 발생한 시위는 아랍의 봄 영향, 정부 통치 방식 불만, 여성 인권 및 정치적 자유 억압에 대한 반발로 촉발되어 경제적 영향을 미치고 국제 사회의 엇갈린 반응을 야기했다. - 코로나바이러스 감염증 - 코로나바이러스감염증-19
코로나바이러스감염증-19(COVID-19)는 SARS-CoV-2 코로나바이러스에 의해 발생하며, 2019년 중국 우한에서 시작되어 전 세계적으로 유행했고, 발열, 기침, 호흡 곤란 등의 증상을 유발하며 사회적 거리두기, 마스크 착용, 백신 접종 등으로 예방하고, 덱사메타손 등 약물로 치료한다. - 코로나바이러스 감염증 - 감기
감기는 다양한 바이러스에 의해 발생하는 상기도 감염으로, 기침, 콧물, 재채기 등의 증상이 나타나며, 특별한 치료법은 없고 증상 완화를 위한 대증요법을 사용한다.
| 중동호흡기증후군 | |
|---|---|
| 질병 개요 | |
| 이름 | 중동호흡기증후군 |
| 영어 이름 | Middle East respiratory syndrome (MERS) |
| 별칭 | 낙타 독감 |
| 진료 분야 | 감염병 |
| 증상 및 진단 | |
| 증상 | 발열, 기침, 호흡 곤란 |
| 발병 시기 | 노출 후 2~14일 |
| 진단 | rRT-PCR 검사 |
| 원인 및 예방 | |
| 원인 | MERS-코로나바이러스 (MERS-CoV) |
| 위험 요인 | 낙타 및 낙타 제품과의 접촉 |
| 예방 | 손 씻기, 낙타 및 낙타 제품과의 접촉 피하기 |
| 치료 및 예후 | |
| 치료 | 대증 및 지지적 치료 |
| 치사율 | 34.4% (전 세계) |
| 통계 | |
| 발생 건수 | 2021년 10월 기준 2578건 |
| 사망자 수 | 888명 |
2. 병원체
메르스의 병원체는 MERS 코로나바이러스(MERS-CoV)이다. MERS-CoV는 베타코로나바이러스의 일종으로, 유전체는 크게 두 가지 계통(clade A, clade B)으로 분류된다.[154] SARS 코로나바이러스와는 유전적으로 다르며, 초기에는 '사우디 사스' 등으로 불렸다.
MERS-CoV의 발견과 확인에는 여러 과학자들의 노력이 있었다. 2012년, 이집트의 바이러스학자 알리 모하메드 자키는 사우디아라비아 남성의 폐에서 이전에 알려지지 않은 코로나바이러스를 분리했다. 자키 박사는 네덜란드 에라스무스 메디컬 센터의 론 푸셰 박사에게 샘플을 보내 분석을 의뢰했고, 푸셰 박사는 이 바이러스의 염기 서열을 분석하여 새로운 종류의 코로나바이러스임을 확인했다.
2. 1. 바이러스학
MERS 코로나바이러스(MERS-CoV)는 단일 가닥 RNA를 가진 베타코로나바이러스의 한 종류로, 사스 코로나바이러스 및 감기와 관련된 코로나바이러스와는 구별된다. 이 바이러스의 유전체는 계통발생학적으로 클레이드 A와 B의 두 클레이드로 나뉜다. 초기 MERS 사례는 클레이드 A (EMC/2012 및 Jordan-N3/2012)에 속했지만, 새로운 사례는 일반적으로 유전적으로 다른 클레이드 B에 속한다.[10] 이 바이러스는 베로 세포 및 LLC-MK2 세포에서 쉽게 증식한다.[11]2013년 5월 이전까지 MERS-CoV는 SARS 유사 바이러스,[156] 혹은 단순히 신종 코로나바이러스라고 불렸으며, 초기에는 "사우디 사스"라는 이름으로 온라인에 언급되기도 했다. 2012년 9월, 영국 보건보호국(HPA)은 이 바이러스를 런던1 신종 CoV/2012로 명명했다.
2013년 5월, 국제 바이러스 분류 위원회의 코로나바이러스 연구 그룹은 이 바이러스의 공식 명칭을 중동 호흡기 증후군 코로나바이러스(MERS-CoV)로 정했고, 세계보건기구(WHO)도 이를 채택했다.
3. 징후 및 증상
중동호흡기증후군(MERS, 메르스) 초기 보고서[157]에서는 중증급성호흡기증후군(SARS, '사스')과 비교했고, 중국의 사스와 유사한 바이러스로 언급되었다.[158]
2012년 6월에 발생한 첫 환자는 7일간 발열, 기침, 가래, 가쁨숨 증상을 보였다.[157] 사우디아라비아에서 실험으로 확증된 47건의 사례를 보면, 메르스의 가장 흔한 증상은 발열(98%), 기침(83%), 숨가쁨(72%), 근육통(32%)이었다. 또한 설사(26%), 구토(21%), 복통(17%)과 같은 위장 증상도 자주 나타났다. 환자 중 72%는 인공호흡이 필요했다. 여성 1명당 남성 3.3명이 발병하였다.[159]
병원에서 발생한 메르스에 대한 한 연구 보고서는 잠복기를 평균 5.5일(95% 신뢰구간, 범위는 1.9일에서 14.7일)로 추정했다.[160] 메르스는 증상이 없는 경우부터 급성호흡곤란증후군(ARDS)으로 이어지는 심각한 폐렴까지 다양한 증상을 보인다.[159] 신장부전증, 파종성혈관내응고(DIC), 심막염 증상도 보고되었다.[161]
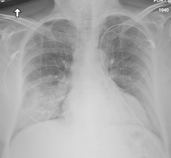
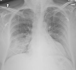
흉부 엑스레이에서는 바이러스성 폐렴 및 급성 호흡 부전 증후군(ARDS)과 일치하는 양측성 반점 침윤이 나타나는 경향이 있다. 아래쪽 폐엽이 더 많이 관여하는 경향이 있으며, CT 스캔에서는 간질 침윤을 확인할 수 있다.
감염되면 2일에서 14일의 잠복기를 거치며, 무증상 사례부터 급성 호흡 부전 증후군(ARDS)의 중증 사례까지 다양하다.[70] 발열, 기침, 폐렴, 설사 등의 소화기 증상, 다발성 장기 부전 (특히 신부전)과 패혈성 쇼크를 동반하는 경우도 있다. 고령자 및 당뇨병, 신부전 등의 기저 질환을 가진 사람에게서 중증화 경향이 더 높다.[70]
MERS-CoV는 낙타에게 감기 증상을 일으키는 바이러스로, 사람에게 감염되면 중증 폐렴을 일으킨다고 알려져 있다.[71] 또한 뇌염, 신염도 발병했다는 보고가 있다.[72][73][74]
세계보건기구(WHO)에 따르면 치사율은 27%이다.
4. 원인
중동호흡기증후군 코로나바이러스(MERS-CoV)에 의해 발생하는 중동호흡기증후군(메르스)은 현재 후보 백신이 임상시험을 대기 중이다.[175][176]
중동호흡기증후군 코로나바이러스는 내인성 인터페론 생산에 길항작용을 보이지만,[177] 외인성 1형 및 3형 인터페론(알파인터페론, 람다인터페론) 치료는 체외 바이러스 복제를 효과적으로 감소시켰다.[178] 히말라야원숭이에게 2b형 알파인터페론과 리바비린을 투여하고 MERS에 노출시킨 결과, 통제 집단보다 폐렴 발생률이 낮았다.[179] 사우디아라비아에서 MERS 환자에게 같은 치료를 시행했으나, 질병 말기에 치료가 시작되어 초기 단계에서의 효과는 불분명하다.
다른 치료법으로는 바이러스의 단백질 가수 분해 효소나[180] 키나제[181] 억제제가 제안된다. 연구자들은 인터페론, 클로로퀸, 클로르프로마진, 로페라마이드, 로피나비르뿐만 아니라[182] 면역 억제제 미코페놀산[183][184](Mycophenolic acid)을 포함한 다양한 방법을 연구 중이다.
메릴랜드 주 연구자 매슈 프리먼은 메르스 바이러스에 대항하는 현존 물질 27개를 발견했다.[185] 네덜란드 세포 배양 연구소는 말라리아 약인 클로로퀸, 항정신병제제인 클로르프로마진, HIV 억제제인 로피나비르, 설사 일반의약품인 로페라마이드가 메르스 바이러스를 억제할 수 있다는 것을 발견했다.[186] 그러나 이러한 약제는 아직 시험되지 않았으며, 바이러스 억제 효과와 복용량[187]은 불명확하다.[188]
한편, 메르스 환자에게 사용된 인터페론 제제는 일본에서 간질성 폐렴 부작용이 보고된 바 있다.[189] 2009년 건강보험심사평가원은 페가시스주(인터페론제제) 사용 시 호흡부전, 폐렴, 간질성 폐렴 등이 발생하거나 악화될 수 있음을 경고했다.[190]
4. 1. 감염
MERS 코로나바이러스(MERS-CoV)는 단일 가닥 RNA를 가진 베타코로나바이러스 속에 속하는 종으로, 사스 코로나바이러스 및 감기와 관련된 코로나바이러스와는 구별된다. 이 바이러스의 유전체는 계통발생학적으로 두 개의 클레이드로 분류되는데, 클레이드 A와 B이다. MERS의 초기 사례는 클레이드 A 클러스터(EMC/2012 및 Jordan-N3/2012)에 속했지만, 새로운 사례는 일반적으로 유전적으로 다르다(클레이드 B).[10] 이 바이러스는 베로 세포 및 LLC-MK2 세포에서 쉽게 증식한다.[11] 2012년 11월, 이집트의 바이러스학자 알리 자키 박사는 사우디 아라비아에서 최초로 확인된 사례에서 채취한 바이러스 샘플을 네덜란드 로테르담에 위치한 에라스무스 메디컬 센터 (EMC)의 선도적인 코로나바이러스 연구자인 바이러스학자 론 푸쉬에에게 보냈다. 두 번째 실험적으로 입증된 사례는 런던에서 발생했으며, 영국 보건 보호국 (HPA)에 의해 확인되었다.[12] HPA는 이 바이러스의 이름을 London1_novel CoV 2012로 명명했다.4. 1. 1. 낙타
단봉낙타가 MERS-CoV의 주요 숙주로 알려져 있다.[69] 2010년과 2013년 사이에 310마리의 단봉낙타에서 MERS 발생률을 평가한 연구에 따르면, 이 동물들의 혈청에서 MERS-CoV에 대한 높은 역가의 중화 항체가 나타났다. 사우디아라비아의 단봉낙타의 비강 면봉에서 MERS-CoV를 시퀀싱한 결과, 이전에 시퀀싱된 인간 분리주와 동일한 서열이 발견되었다.2014년에는 사우디아라비아 남성이 아픈 낙타 여러 마리의 코에 국소 약을 바른 지 7일 만에 병이 났고, 나중에 그와 낙타 한 마리에서 동일한 MERS-CoV 균주가 발견되었다는 보고도 있다. 바이러스가 낙타에서 인간으로 어떻게 전파되는지는 아직 불분명하다.
2014년 사우디 농무부는 사람들에게 낙타와의 접촉을 피하거나 낙타 근처에 있을 때 호흡 마스크를 착용하도록 권고했다. 2020년 세계보건기구(WHO)는 낙타와의 접촉을 피하고, 완전히 조리된 낙타 고기와 살균된 낙타유만 섭취하며, 낙타 오줌을 마시는 것을 피하도록 권고했다.[13] 후생노동성은 낙타와의 접촉이나, 낙타의 가열하지 않은 육류 및 살균하지 않은 유제품 섭취가 감염 위험이 된다고 발표하고 있다.[70]
4. 1. 2. 사람 대 사람
MERS-CoV는 가정이나 병원과 같은 의료 시설에서 사람 사이에 제한적으로 전파된다는 증거가 있다.[160][199] 대부분의 전염은 병상에서 병세가 심한 환자와 긴밀하게 접촉하는 환경에서 일어나며, 증상이 없는 경우 전염된 증거는 없다.[200] 집단 감염 규모는 1명에서 26명까지 다양했으며, 평균 2.7명이다.[201]사람 간 전파는 제한적으로 나타났지만 지속적인 전파는 확인되지 않았으며, 가정뿐만 아니라 병원과 같은 의료 환경에서도 발생했다. 대부분의 전파는 "의료 또는 가정 환경에서 중증 환자와의 밀접 접촉 상황"에서 발생했으며, 무증상 사례로부터의 전파 증거는 없다.
2013년 5월 15일, 세계 보건 기구(WHO)는 사우디 아라비아의 한 병원에서 환자가 입원했을 때, 2명(간호사와 의료 관계자)에게 "사람 간 감염"이 처음 확인되었다고 발표했다.[78] 이 외에도 영국에서 부자 감염 사례가 보고되는 등 사람 간 감염 사례가 추가로 확인되었다.
4. 1. 3. 반려동물 대 사람
개, 고양이 등 반려동물은 사람과 수용체가 달라 중동호흡기증후군 감염 가능성이 희박하다.5. 진단
세계 보건 기구(WHO)의 기준에 따라 중합효소 연쇄 반응(PCR)을 이용한 분자 진단으로 메르스 감염 여부를 확인한다.[163] WHO는 upE (E 유전자 상류 요소 표적)를 이용한 실시간 RT-PCR 분석법을 선별 검사로 권장하며, 이는 매우 높은 민감도를 보인다. 확진을 위해서는 ORF 1A 분석, RdRp 또는 N 유전자 염기 서열 분석 등의 추가 검사를 시행한다.
메르스 환자는 백혈구 감소증, 특히 림프구 감소증을 보이는 경향이 있다. 진단을 위해 하기도 검체(기관지 폐포 세척액, 가래, 기관지 흡인물)를 채취하는 것이 권장되지만, 비인두 도말을 이용한 상기도 검사도 활용될 수 있다. 국립감염연구소에서는 LAMP법도 도입되었다.[83]
미국 질병통제예방센터(CDC)에서는 혈청을 이용한 바이러스 항체 검사(ELISA법, IFA법, 중화항체 측정법)도 동시에 진행하고 있다.[84]
5. 1. 세계 보건 기구 (WHO)
세계 보건 기구(WHO)는 검사실 안내, 감시와 조사, 사례 정의 등의 자료를 웹 사이트에 출판하였다.[162] 임시 증례 정의에 따르면, 확진 사례는 환자가 '둘 이상의 명확한 게놈 표적에 대한 양성 중합효소 연쇄 반응(PCR) 또는 하나의 양성 표적과 두 번째 배열 순서의 규명을 포함한 분자 진단'을 통해 양성 검사실 검사를 받은 경우이다.[163]WHO에 따르면, 확진 사례는 "2개 이상의 특정 유전자 표적에 대한 PCR 양성 반응 또는 두 번째 표적에 대한 시퀀싱을 통한 단일 양성 표적을 포함하는 분자 진단을 통해 양성 실험실 검사 결과가 나온 사람"으로 정의된다.
5. 2. 미국 질병통제예방센터 (CDC)
미국 질병통제예방센터(CDC)는 다음과 같은 경우에 대해 조사를 권고하고 있다.- 발열과 폐렴 또는 급성 호흡 부전 증후군(임상적 또는 방사선학적 증거 기준)이 있고, 다음 중 하나에 해당하는 경우:
- 증상 발현 14일 이내에 아라비아 반도 또는 그 인근 국가에서 여행한 이력이 있는 경우.
- 아라비아 반도 또는 그 인근 국가에서 여행한 후 14일 이내에 발열 및 급성 호흡기 질환(반드시 폐렴일 필요는 없음)이 나타난 증상 있는 여행자와 밀접 접촉한 경우.
- 주 및 지방 보건 당국과 협의하여 MERS-CoV가 평가되고 있는 원인 불명의 심각한 급성 호흡기 질환 집단(예: 입원 치료가 필요한 발열 및 폐렴)의 구성원인 경우.
- 발열 및 호흡기 질환 증상(반드시 폐렴일 필요는 없음, 예: 기침, 숨가쁨)이 있고, 증상 발현 14일 이내에 아라비아 반도 또는 그 인근 국가의 의료 시설(환자, 종사자 또는 방문객)에 있었던 경우, 최근 MERS 관련 의료 시설 내 사례가 확인된 경우.
- 발열 또는 호흡기 질환 증상(반드시 폐렴일 필요는 없음, 예: 기침, 숨가쁨)이 있고, 확진된 MERS 환자가 질병을 앓고 있는 동안 밀접 접촉한 경우.
미국 질병통제예방센터(CDC)에서는 혈청을 이용한 바이러스 항체 검사(ELISA법, IFA법, 중화항체 측정법)도 동시에 진행하고 있다.[84]
5. 3. 영상의학
흉부 엑스레이 촬영에서는 바이러스성 폐렴 및 급성 호흡 부전 증후군(ARDS)과 일치하는 양측성 반점 침윤이 보이는 경향이 있다. 아래쪽 폐엽이 더 많이 관여하는 경향이 있다. CT 스캔에서는 간질 침윤이 관찰된다.5. 4. 검사실 검사
세계 보건 기구(WHO)는 기관지 폐포 세척(BAL), 가래 검체 또는 기관지 흡인물과 같이 바이러스 부하가 가장 높은 하기도에서 검체를 채취할 것을 권장한다. 비인두 도말을 통한 상기도 검사도 활용될 수 있다.환자 유래 검체에서 MERS-CoV를 신속하게 식별하기 위해 여러 종류의 실시간 RT-PCR 분석법이 사용된다. 이러한 분석법은 upE (E 유전자 상류 요소 표적), 개방형 판독 프레임 1B (ORF1b 유전자 표적) 및 개방형 판독 프레임 1A (ORF1a 유전자 표적)를 증폭한다. WHO는 민감도가 매우 높은 upE 표적을 선별 검사로 권장한다.
WHO 권장 검사 알고리즘은 upE RT-PCR로 시작하여 양성이면 ORF 1A 분석 또는 RdRp 또는 N 유전자 염기 서열 분석으로 확인한다. upE 및 2차 분석 모두 양성이면 확진 사례로 간주된다.
6. 치료
현재 메르스에 대한 특이적인 치료법은 없으며, 증상에 따라 치료하는 대증 요법이 주를 이룬다.[92] 폐렴에는 항염증제를, 설사로 인한 탈수에는 수분 보충을, 급성 호흡 부전 증후군(ARDS)에는 인공 호흡을, 패혈성 쇼크에는 수액 및 승압제 등을 투여한다. 또한 2차 감염을 막기 위해 항생 물질을 투여하기도 한다.[92]
리바비린과 인터페론 α2b 병용 요법이 동물 실험에서 폐렴 발병을 억제한다는 보고가 있었으나,[95] 급성 호흡 부전 증후군을 앓고 있던 중증 환자 5명에게는 효과가 없었다.[96]
이 외에도 HIV 치료제인 로피나비르, 회복기 환자의 혈장, 폴리클로날 항체, 모노클로날 항체 등이 효과가 있을 가능성이 제기되었으나,[97] 아직 임상 시험에 기반한 증거는 나오지 않았다.[98]
카모스타트가 '''배양 세포 수준에서''' MERS 코로나바이러스의 세포 내 침입을 막는다는 사실이 밝혀졌으며,[100] 도쿄 대학 의과학 연구소의 연구에 따르면 '''배양 세포 수준에서''' 나파모스타트의 억제 효과가 더 높았다.[101][102]
일본에 비축되어 있는 항RNA 바이러스제인 파비피라비르(상품명 아비간)는 인플루엔자 바이러스나 RS 바이러스에는 효과가 있지만,[103][104] MERS 코로나바이러스에 대한 효과는 불명이다.[105]
6. 1. 인터페론 제제의 간질성 폐렴
인터페론 제제는 일본에서 간질성 폐렴 부작용이 보고되었으며, 과거 간질성 폐렴 병력이 있는 경우 위험이 높은 것으로 알려져 있다. 그러나 2020년 기준으로 항바이러스제와 인터페론의 조합(리바비린 + 인터페론 알파-2a 또는 인터페론 알파-2b) 또는 코르티코스테로이드는 중동호흡기증후군 치료에 효과를 보이지 못했다.[21]7. 예방
세계보건기구는 중증급성호흡기증후군(SARS)와 같은 이전의 코로나바이러스 경험에 기반하여, 중동호흡기증후군(메르스) 의심 환자와 접촉하는 모든 개인에게 표준 예방수칙과 더불어 감염 통제 수칙을 따르도록 권고하고 있다.[204]
메르스 예방을 위해서는 손 씻기, 마스크 착용, 개인 보호 장비(PPE) 착용 등 감염 통제 수칙 준수가 중요하다. 일반적인 예방 수칙으로는 비누와 물로 20초 이상 손을 자주 씻고, 씻지 않은 손으로 눈, 코, 입을 만지지 않으며, 아픈 사람과의 접촉을 피하고, 문고리 등 자주 만지는 표면을 소독하는 것이 있다.[205] 소독에는 소독용 에탄올, 이소프로판올, 차아염소산 나트륨이 권장된다.[86]
또한, 환자와의 접촉 및 환자의 배설물로부터의 감염에 주의해야 한다.[85][89] 가정 내에서도 밀접 접촉에 의한 감염이 일어날 수 있으므로, 마스크를 착용하고 2m 이상 거리를 유지하는 것이 바람직하다.[88]
2015년 6월, 교토부립대학 대학원 교수 츠카모토 야스히로 등의 그룹은 메르스 코로나 바이러스에 강하게 결합하는 항체를 타조알을 사용하여 대량 정제하는 데 성공했다.[91] 이 항체를 사용한 스프레이제는 마스크나 문 손잡이, 손 등에 분사하면 감염 예방에 큰 효과가 있을 것으로 기대된다.[91]
7. 1. 감염 통제
세계보건기구(WHO)와 미국 질병통제예방센터(CDC)는 의료기관에서 중동호흡기증후군(MERS) 감염을 통제하기 위해 다음과 같은 예방 수칙을 권고하고 있다.[204][205]| 구분 | 내용 |
|---|---|
| WHO, CDC 공통 | |
| CDC 추가 권고 | |
| 에어로졸 발생 시 추가 수칙 (WHO) |
중동호흡기증후군의 전염 기간은 아직 명확하게 밝혀지지 않았기 때문에, 환자를 얼마나 격리해야 하는지도 불명확하다. 현재 권고되는 격리 기간은 증상 해소 후 24시간이다.[207]
8. 역사
MERS-CoV의 확인은 여러 연구자들의 협력을 통해 이루어졌다.[208] 2012년, 이집트 바이러스학자 알리 자키 박사는 폐렴과 급성 신부전을 앓고 있던 60세 사우디아라비아 남성의 폐에서 이전에 알려지지 않았던 코로나바이러스를 분리, 확인하였다.[157] 일반적인 진단 방법으로는 병원체를 확인할 수 없었던 자키 박사는 네덜란드 로테르담의 에라스무스 메디컬 센터(EMC)의 저명한 바이러스학자인 론 푸셰 박사에게 도움을 요청했다.[209] 푸셰 박사는 자키 박사가 보낸 샘플에서 바이러스의 염기 서열을 분석했다.
푸셰 박사는 광범위 '범-코로나바이러스' 실시간 역전사 중합 효소 연쇄 반응(RT-PCR) 방법을 사용하여 OC43, 229E, NL63, SARS-CoV 등 여러 알려진 코로나바이러스의 특징과, 인간에게 감염되는 것으로 알려진 모든 코로나바이러스에서 보존되는 유전자인 RNA 의존성 RNA 중합 효소(RdRp)를 검사하였다. 알려진 코로나바이러스에 대한 검사는 모두 음성이었으나, RdRp 검사에서는 양성 반응이 나왔다.[208] 2012년 9월 15일, 자키 박사의 발견은 신종 질병을 감시하는 사업인 공중보건 온라인 포럼 ProMED-mail에 게재되었다.[156]
영국 보건청(HPA)은 최근 비행기를 통해 영국으로 온 49세 카타르 남성에게서 새로운 유형의 코로나바이러스와 관련된 중증 호흡기 질환을 확인했다. 이 환자는 런던의 병원에서 급성 중증 호흡기 질환으로 사망했다.[208][210] 2012년 9월, 영국 보건국은 이 바이러스를 '런던1 신종 CoV/2012'로 명명하고, 카타르 사례에서 채취된 RNA를 기반으로 바이러스의 예비 계통수를 작성하였다.[158][211][212]
2012년 9월 25일, 세계 보건 기구(WHO)는 신종 코로나바이러스의 특징을 규정하고 있음을 알리고, 모든 회원국에 이 바이러스에 대해 즉각 경고하고, 협조를 이끌었으며, 보건당국과 기술적인 보건기관들에 지침을 제공했다고 발표하였다.[213][214] 2012년 11월, 에라스무스 메디컬 센터는 알리 모하메드 자키 박사가 론 푸셰 박사에게 제공한 표본을 검사하고 염기서열을 분석하고 식별하였다고 보도했다.[215]
2012년 11월 8일, 뉴잉글랜드 저널 오브 메디신에 실린 글에서 자키 박사와 에라스무스 메디컬 센터의 공저자는 잠정적인 명칭인 '코로나바이러스-에라스무스 메디컬 센터'(HCoV-EMC), 바이러스의 유전자 구성, SARS를 포함한 가장 가까운 친족 등에 대한 보다 상세한 내용을 게재하였다.[157]
2013년 5월, 국제 바이러스 분류 위원회(ICTV)의 코로나바이러스 연구단은 신종 바이러스의 공식 명칭으로 '중동호흡기증후군 코로나바이러스(MERS-CoV)'를 채택하였고, WHO에서는 질병에 대한 일률성을 제공하고 소통을 도모하기 위해 이 명칭을 받아들였다.[216] 그 이전에 WHO는 불특정한 명칭인 '2012년 신종 코로나바이러스' 또는 간단하게 '신종 코로나바이러스'로 불렀다.[217]
2015년 5월 20일, 여러 날에 걸쳐 중동 지역을 방문한 남성으로부터 대한민국의 첫 발병 사례가 확인되었다. 첫 번째 환자가 입원한 병실을 방문했던 남성이 5월 26일 중국으로 출장을 갔고, 중국에서 확진 판정을 받았다. 중국에서는 추가 환자가 발생하지 않았다. 대한민국에서는 2015년 6월 15일 현재까지 총 150명의 환자가 발생하였고, 16명이 사망하였다.
2015년 6월 21일, 법무법인 한길의 문정구 변호사는 정부를 상대로 '부작위', 즉 해야 할 일을 하지 않은 부분의 위법 여부에 대해 서울행정법원에 소송을 제기했다.[218]
2019년에도 사우디 아라비아에서 14명이 감염되었으며, 그 중 5명이 사망했다.[80][81]
WHO에 따르면 2019년 11월까지 진단 확정 환자는 2494명, 사망자 858명이다.[70]
9. 발병 관련 현황
2015년 5월 21일 사우디아라비아와 바레인을 방문한 68세 남성이 대한민국에서 처음으로 중동호흡기증후군(메르스) 확진 판정을 받았다.[219] 5월 29일에는 세 번째 환자의 아들(40대 남성)이 중화인민공화국으로 출장을 갔다가 현지 보건당국의 검사에서 양성 판정을 받았다.[220][221]
6월 2일에는 2차 감염자와 접촉한 3차 감염자가 최초로 발생했으며,[153][222] 첫 감염자와 접촉 후 유사 증세를 보이다 사망한 환자도 양성 판정을 받았다.[223][224] 2018년 9월에는 3년 만에 쿠웨이트에서 감염된 것으로 추정되는 메르스 환자가 다시 발생했다.[225]
2014년 4월 사우디아라비아에서는 메르스 유행이 발생하여 2012년 이후 688명이 감염되고 282명이 사망했다. 2014년 6월, 사우디아라비아는 이전에 보고되지 않은 113건의 사례를 추가 발표하며 사망자 수를 282명으로 정정했다. 2015년 여름 리야드에서 발생한 병원 관련 유행은 9월 말 하지(이슬람) 순례 기간 동안 유행병 발생 우려를 증폭시켰다.[36] 미국 질병통제예방센터(CDC)는 여행 건강 경보를 레벨 2로 격상하여 강화된 예방 조치를 권고했다.[37]
2019년 5월, 사우디 당국은 세계보건기구(WHO)에 14건의 메르스 사례(5건 사망)를 보고했다. 사망자들은 모두 기저 질환을 앓고 있었으며, 일부는 낙타 접촉이 확인되었다.[38][39]
2014년 5월 2일, 미국 질병통제예방센터(CDC)는 미국 인디애나주 뮌스터의 한 병원에서 미국 내 첫 메르스 확진 사례를 확인했다. 5월 12일에는 플로리다주 올랜도에서 사우디아라비아 여행 후 두 번째 환자가 보고되었다. 5월 14일에는 네덜란드에서 첫 사례가 보고되었다.
2014년 4월, 필리핀에서 해외 필리핀 노동자(OFW)의 메르스 의심 사례가 발생했고, 술탄 쿠다라트 주에서 관련 사망 의심 사례가 발생하여 보건부(DOH)가 경보를 발령했다. 2015년 7월 6일, 필리핀 보건부는 중동 출신 36세 외국인의 두 번째 메르스 사례를 확인했다.[44]
9. 1. 대한민국
2015년 5월 21일 사우디아라비아 등을 거쳐 바레인을 방문한 68세 남성이 대한민국 첫 중동호흡기증후군(메르스) 확진 진단을 받았다.[219] 5월 29일에는 세 번째 환자의 아들이었던 40대 남성이 중화인민공화국으로 출장을 갔다가 중화인민공화국 보건당국의 검사 결과 양성 판정을 받았다.[220][221]6월 2일에는 2차 감염자와 접촉한 3차 감염자가 처음으로 발생했고,[153][222] 첫 감염자와 접촉한 후 유사 증세를 앓던 환자가 사망하여 검사 결과 양성 판정을 받았다.[223][224]
2015년 메르스 유행 당시, 평택성모병원에서는 대규모 감염이 발생하여 국내 감염 확산의 주요 원인이 되었다.[113] 최초 감염자가 입원했던 병실은 배기구가 없는 구조였고,[114] 초기에는 밀접 접촉자(2m 이내)만 감시 대상이었으나, 8층 체류자에게 감염이 확산되면서 에어컨을 통한 에어로졸 형태의 바이러스 확산이 원인으로 의심되었다.[114][115]
격리 대상자 중 일부는 격리 조치를 무시하고 해외여행을 가거나 골프장에 가는 등 시민 의식 부족 문제가 발생하기도 했다.[126] 6월 5일, 보건복지부 장관은 대규모 감염이 발생한 평택성모병원 이름을 공개하고 병원 방문자를 위한 상담 창구를 설치했다.[127]
6월 14일, 부산광역시에서 첫 사망자가 발생했고,[136] 격리 대상자 중 한 명이 격리실 문을 부수고 도주한 사실이 밝혀지기도 했다.[137] 이 환자는 잠복기 동안 제주특별자치도로 여행을 다녀온 사실이 확인되어, 해당 호텔 및 관광지 직원, 항공사 직원 등이 격리 조치되기도 했다.[138]
6월 20일, 대구광역시에서는 메르스 환자가 이용한 공중목욕탕 이용자 추적 조사가 진행되었으나, 일부 이용자의 신원이 확인되지 않아 어려움을 겪었다.[140] 6월 22일에는 격리 해제 후 발병하는 환자가 나타나면서 잠복기 설정에 대한 의문이 제기되기도 했다.[141]
한국 정부는 메르스 환자 주변의 감염 가능성이 있는 인물 추적을 포기하고 "자기 신고"에 의존하기로 결정하면서, 실제 감염 경로 및 감염자 수가 불분명해지는 문제가 발생했다.[145]
2018년 9월, 3년 만에 메르스 환자가 다시 나타났으며, 해당 환자는 쿠웨이트에서 감염된 것으로 추정된다.[225]
| 사우디아라비아 유행 | 대한민국 유행 | |
|---|---|---|
| 지리적 위치 | 중동(아시아) | 극동(아시아) |
| 도시/도 | 리야드, 제다 | 서울, 대전, 경기도 |
| 기간 | 2014년 4월 11일 – 6월 9일 | 2015년 5월 4일 – 6월 15일 |
| 전체 환자 수 | 402 | 150 |
| 의료 종사자 비율(%) | 27% | 17% |
| 주요 전파 경로 | 의료기관 관련 | 의료기관 관련 |
| 유행 전 MERS 환자 발생 | 예 | 아니요 |
| 의료 종사자가 아닌 2차 감염 유형 | ||
| 의료기관 입원 | 34% | 30% |
| 응급실 | 8% | 49% |
| 의료기관 환자 방문 | 17% | 29% |
| 연간 외래 환자 방문 횟수(1인당) | 4.5 | 14.6 |
| 연간 입원 환자 수(100명당) | 10.5 | 16.1 |
위 표는 2014년 사우디아라비아 유행과 2015년 대한민국 유행의 중동호흡기증후군 코로나바이러스(MERS-CoV) 감염에 대한 비교를 제공한다.[51]
9. 1. 1. 격리자 및 감염자수 표
9. 1. 2. 감염자 지역분포표
| 의료기관명 | 기관소재지 | 의료진 감염여부 | 2차 및 3차 감염 | 사망 | 사후확진[243] | 폐원여부 |
|---|---|---|---|---|---|---|
| 평택성모병원 | 경기도 평택시 세교동 | 감염(2명) | 27명 | 2명 | 1명 | 폐쇄 후 해제 |
| 건양대학교병원 | 대전광역시 서구 관저동 | 4명 | 1명 | 1명 | ||
| 서울의원 | 충청남도 아산시 둔포면 | 감염 | 1명 | |||
| 365열린의원 | 서울특별시 강동구 천호동 | 감염 | 1명 | |||
| 삼성서울병원 | 서울특별시 강남구 일원동 | 감염 | 60명 | 3명 | 부분 폐쇄 후 7월 20일 해제 | |
| 대청병원 | 대전광역시 서구 정림동 | 1명 |
9. 1. 3. 지역별 학교 휴업 현황
| 날짜 | 총 임시휴업 학교 수 | 수도권 | 충청권 | 기타 |
|---|---|---|---|---|
| 6월 2일 | 84곳[248] | |||
| 6월 3일 | 214곳[249] | |||
| 6월 4일 | 1164곳[250] | 825곳[251] | 333곳[251] | 6곳[251] |
| colspan="5" | |