소해면상뇌병증
"오늘의AI위키"의 AI를 통해 더욱 풍부하고 폭넓은 지식 경험을 누리세요.
1. 개요
소해면상뇌증(BSE)은 소에게 발생하는 치명적인 신경성 질환으로, 변형 프리온 단백질에 의해 발생한다. 소해면상뇌증은 뇌에 미세한 구멍을 생성하여 신경계 손상을 유발하며, 신경질적 행동, 보행 이상, 체중 감소 등의 증상을 보인다. 인간에게는 변종 크로이츠펠트-야코프병(vCJD)을 유발할 수 있으며, 현재까지 효과적인 치료법은 없다. 소해면상뇌증은 육골분 섭취를 통해 감염되는 것으로 추정되며, 특정위험부위(SRM) 섭취를 통해 감염 위험이 높아진다. 1980년대 영국에서 대규모 발병 이후 전 세계적으로 발생했으며, 국가별 검역 및 쇠고기 수입 규제가 이루어지고 있다.
더 읽어볼만한 페이지
- 보건재해 - 후천면역결핍증후군
후천면역결핍증후군(AIDS)은 인간면역결핍 바이러스(HIV) 감염으로 발생하며, 면역 체계 손상으로 기회 감염에 취약해지고 항레트로바이러스 치료를 통해 질병 진행을 늦출 수 있는 질병이다. - 보건재해 - 항생제 내성
항생제 내성은 항생제에 대한 미생물의 내성을 의미하며, 항생제 오·남용과 수평 유전자 전달을 통해 확산되고, 황색포도상구균 등 다양한 병원균에서 나타나 예방 및 대처 노력이 이루어지고 있다. - 영국의 보건재해 - 탈리도마이드
탈리도마이드는 1950년대 후반 독일에서 개발된 수면제 및 입덧 완화제였으나, 심각한 기형 유발 부작용으로 판매가 중단되었고 이후 항암 및 면역 조절 효과가 발견되어 특정 질환 치료에 제한적으로 사용되며 엄격하게 관리되는 약물이다. - 영국의 보건재해 - 영국의 코로나19 범유행
영국의 코로나19 범유행은 2020년 1월 시작되어 초기 대응 실패와 변이 바이러스 확산, 사회 전반에 걸친 광범위한 영향을 미쳤다. - 전염성해면상뇌병증 - 쿠루병
쿠루병은 파푸아뉴기니 포레족의 식인 풍습으로 전파된 전염성 해면뇌병증으로, 프리온 감염에 의해 떨림 증상과 병적인 웃음을 유발하며 크로이츠펠트-야코프병과 연관이 있다고 여겨지나 식인 풍습 근절로 감소되었다. - 전염성해면상뇌병증 - 크로이츠펠트-야코프병
크로이츠펠트-야코프병은 변형 프리온 단백질로 인해 발생하는 치명적인 뇌 질환으로, 급속히 진행되는 치매 증상과 신체적 증상을 보이며, 현재 효과적인 치료법은 없고 발병 후 수명이 짧다.
| 소해면상뇌병증 | |
|---|---|
| 질병 개요 | |
| 이름 | 소해면상뇌병증 |
| 동의어 | 광우병 |
| 분야 | 신경학 수의학 |
| 증상 | 비정상적인 행동 보행 장애 체중 감소 운동 불능 |
| 합병증 | 변종 크로이츠펠트-야코프병(만약 소해면상뇌병증에 감염된 소고기를 사람이 섭취할 경우) |
| 발병 시기 | 노출 후 4–5년 |
| 유형 | 고전적 비정형적 |
| 원인 | 프리온의 일종 |
| 위험 요인 | 오염된 육골분을 소에게 먹이는 행위 |
| 진단 | 증상에 기반하여 의심, 뇌 검사를 통해 확인 |
| 감별 진단 | 해당 사항 없음 |
| 예방 | 병에 걸리거나 나이 든 동물이 식품 공급망에 들어가지 않도록 관리 특정 제품을 동물 사료에 사용 금지 |
| 치료 | 없음 |
| 약물 | 해당 사항 없음 |
| 예후 | 수 주에서 수개월 내 사망 |
| 빈도 | 4건 보고 (2017년) |
| 사망자 수 | 해당 사항 없음 |
| 추가 정보 | |
| 영어 이름 | Bovine Spongiform Encephalopathy |
| 약칭 | BSE |
2. 명칭
공식 명칭은 영어 ‘Bovine Spongiform Encephalopathy’를 번역한 것이다. ‘bovine’은 라틴어로 소, ‘spongeform’은 영어로 스펀지 모양, ‘encephal’은 라틴어로 뇌, ‘pathy’는 라틴어로 병을 의미한다. 간혹 '''우뇌해면증'''(牛腦海綿症) 또는 '''우해면양뇌증'''(牛海綿樣腦症)이라는 용어도 사용되지만, 대한민국의 국립수의과학검역원은 “소해면상뇌증”이라는 용어를 공식적으로 사용한다.[119]
소해면상뇌병증(BSE)의 발병 원인으로는 프리온(prion)이라는 변형된 단백질이 지목된다.[10][3] 건강한 동물의 체내에는 정상적인 구조(알파 나선 구조)를 가진 프리온 단백질(PrPC)이 존재하지만, BSE를 유발하는 것은 이 구조가 비정상적으로 변형된(베타 시트 구조) 프리온 단백질(PrPSc)이다. 이 변형 프리온은 감염성을 가지며, 일반적인 소독이나 가열 처리로는 쉽게 파괴되지 않는 특징이 있다.[16]
나라마다 주로 사용하는 용어가 조금씩 다른데, 대한민국과 북아메리카의 미국, 캐나다 언론에서는 주로 소해면상뇌증을 ‘광우병(Mad Cow Disease, MCD)’이라고 부른다. 반면, 영국과 일본 언론에서는 주로 학명인 ‘BSE’라고 통칭한다.
일반적으로 '광우병'은 소에게 발병하는 BSE를 지칭한다. 이와 구별하여 인간에게 발생하는 유사 질병인 변종 크로이츠펠트-야콥병(vCJD)을 '인간 광우병'이라고 부르기도 한다. 그러나 대한민국 언론 등에서는 '인간 광우병'을 단순히 '광우병'으로 축약하여 표현하는 경우가 있어 혼동을 일으키기도 한다.[120]
3. 원인 및 발병 기전

출처: 미국 동식물검역소(APHIS)
BSE의 정확한 발생 원인에 대해서는 여러 가설이 존재한다. 가장 유력한 설은 스크래피(양에게 발생하는 유사 질병)에 걸린 양의 부산물로 만든 육골분 사료를 소에게 먹이면서 종간 감염이 일어났다는 것이다.[125][10][129] 특히 영국에서 BSE가 대규모로 발생한 것은 이러한 육골분을 어린 송아지에게 먹이는 관행과 깊은 관련이 있는 것으로 여겨진다.[10][5] 초식동물인 소에게 동물성 사료를 급여하는 것은 산업화된 현대 축산 시스템의 문제점을 보여주는 사례로 지적되기도 한다. 유럽에서는 콩과 같은 식물성 단백질 공급원이 부족하여 가격이 저렴한 동물 부산물을 사료로 사용했는데, 이러한 관행이 BSE 확산의 배경이 되었다. 유럽 연합(EU)은 2001년에 포유동물의 고기와 뼈를 이용한 가축 사료 사용을 전면 금지했다. 이 외에도 소에서 변형 프리온이 자체적으로 발생했다는 설[125], 또는 특정 유전자 변이로 인해 소 체내에서 변형 프리온이 생성될 수 있다는 연구 결과도 있다.[98] 영국 정부의 조사에서는 1970년대에 발생한 특정 사건이 원인일 수 있다는 가능성도 제기되었다.[17]
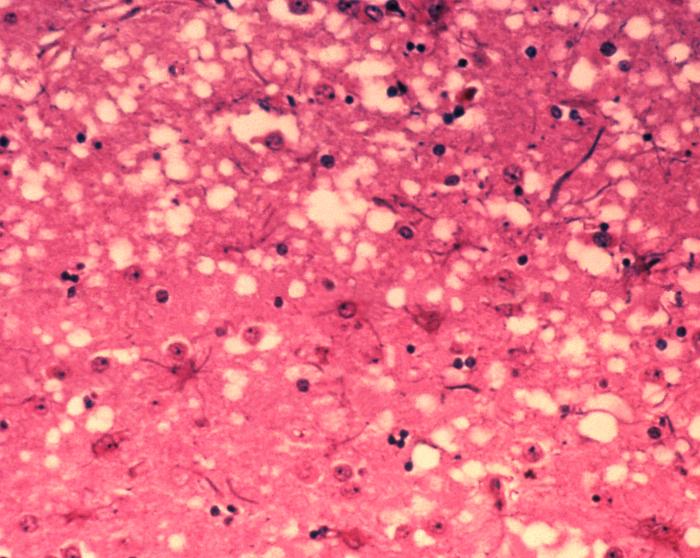
변형 프리온(PrPSc)이 체내에 유입되면, 뇌에 존재하는 정상 프리온 단백질(PrPC)을 점진적으로 변형시킨다. 변형된 프리온은 다시 다른 정상 프리온을 연쇄적으로 변형시켜 그 수가 기하급수적으로 증가하게 된다. 이렇게 증가한 변형 프리온들은 서로 뭉쳐 아밀로이드 플라크라는 단백질 덩어리를 형성하고, 이는 뇌 신경세포를 파괴하여 뇌 조직에 스펀지처럼 미세한 구멍이 뚫리는 해면상 변화를 일으킨다. 이로 인해 소는 신경계 이상 증상을 보이다가 결국 폐사한다.[15] 감염된 소는 2년에서 8년 정도의 긴 잠복기를 거친 후 증상을 나타내는 것으로 추정된다.[123][124]
주요 전염 경로는 BSE에 감염된 소의 조직, 특히 변형 프리온이 다량 축적될 수 있는 특정위험물질(SRM)을 포함한 육골분 사료 등을 섭취하는 것이다.[10] 실험적으로 BSE를 감염시킨 연구에서는 초기 감염 과정에서 소장 끝부분인 회장의 파이어판에서 변형 프리온의 축적이 관찰되었다. 특히 파이어판 내의 특정 면역 세포(유형체 대식세포, 여포 수지상 세포)에서 PrPSc가 축적되는 것이 확인되어, 이 부위가 초기 감염 및 증식에 중요한 역할을 할 가능성이 제기되었다.[21][22][23] 그러나 자연 감염 사례에서는 회장 파이어판에서의 감염성이 명확히 확인되지 않았는데, 이는 자연 감염 시 체내로 유입되는 변형 프리온의 양이 실험보다 훨씬 적기 때문일 수 있다.[24]
BSE와 유사한 프리온 질병으로는 사람에게 발생하는 크로이츠펠트-야코프병(CJD)과 쿠루병, 양의 스크래피, 사슴의 광록병 등이 있다.
3. 1. 특정위험물질(SRM)
특정위험물질(Specific Risk Materials, SRM)은 소에서 변형 프리온 단백질 (PrPSc)이 축적되어 소해면상뇌병증(BSE)을 일으킬 위험이 높은 부위를 의미한다. 이 부위를 섭취할 경우, 사람에게 변종 크로이츠펠트-야코프병 (vCJD)을 유발할 수 있어 각국에서는 해당 부위를 지정하여 관리하고 있다. SRM으로 지정되는 부위는 국가별로 차이가 있다.[126]
| 국가 | 지정 부위 |
|---|---|
| 미국 | 두개골, 뇌, 3차 신경절, 눈, 등골뼈, 척수, 등근신경절, 편도선, 말초 회장(소장의 일부) |
| 일본 | 척수, 배근신경절 포함 척추, 혀와 뺨 부위를 제외한 머리(눈, 뇌, 편도 등), 회장원위부(소장 끝부분, 맹장 연결부에서 2m 지점까지) |
이러한 SRM 부위는 일반적으로 식용으로 사용되는 경우는 드물지만, 화장품 등의 원료로 사용될 가능성이 있어 주의가 필요하다.[126]
소뼈를 우려낸 스프에는 척수 성분이 녹아 나올 수 있다. 실험적으로 소해면상뇌증에 감염시킨 소의 골수에서는 감염성이 확인된 사례가 있지만, 일반적인 사육 환경에서 감염된 소의 골수에서는 감염성이 검출되지 않았다. 따라서 골수는 SRM으로 지정되지 않는다.
소해면상뇌증에 감염된 소는 현재까지 치료법이 없다. 일본의 경우, 검사 결과 양성으로 판정되면 가축전염병 예방법에 따라 즉시 살처분하고 소각 처리한다. 또한, 감염 경로가 주로 사료로 추정되기 때문에, 감염된 소와 같은 사료를 먹었을 가능성이 있는 다른 소들에 대해서도 감염 여부 조사를 실시한다.
4. 증상
소에서의 증상은 감염 후 바로 나타나지 않으며, 2년에서 8년 정도의 긴 잠복기를 거치는 것으로 추정된다.[123][124][12] 잠복기 이후 나타나는 증상은 소마다 다를 수 있으며, 주요 증상은 다음과 같다.
- '''행동 변화''': 신경질적이고 공격적인 모습을 보이거나, 불안, 초조함, 광분 상태를 나타낸다. 평소와 다른 기질 변화를 보이며, 무리에서 떨어져 나가 혼자 있으려 하거나, 지속적으로 주변을 배회하고 몸을 비비거나 핥는 등의 이상 행동을 보이기도 한다.[13]
- '''자세 및 운동 이상''': 비정상적인 자세를 취하고, 걸을 때 중심을 잡지 못하고 비틀거린다. 특히 뒷다리의 운동실조가 나타나 근육 조절 능력을 잃고 균형 감각과 협응력이 떨어진다.[14] 병이 진행되면 앉았다가 스스로 일어서지 못하거나 경련을 일으키기도 하며, 결국에는 와위(누워만 있는 상태)에 이르게 된다.[13]
- '''감각 과민''': 작은 소리나 접촉에도 쉽게 놀라거나 예민하게 반응한다.[13]
- '''생리적 변화''': 젖소의 경우 우유 생산량이 눈에 띄게 줄어들고, 식욕은 정상이지만 체중은 계속 감소한다. 이 외에도 다리를 저는 파행, 귀 감염, 고통으로 인한 이갈이 등 비특이적인 증상이 관찰되기도 한다.[13]

이러한 임상 증상이 나타나면 일반적으로 수 주에서 수개월에 걸쳐 점차 악화되며, 결국 혼수 상태에 빠지거나 사망에 이른다.[123][124][13]
인간에게 발생하는 변종 크로이츠펠트-야코프병(vCJD)은 광우병 인자를 가진 소를 섭취하여 발생하는 것으로 추정된다. 영국에서는 감염된 소로 만든 퇴비를 사용해 재배한 식물을 먹고 감염된 것으로 추정되는 사례도 1건 보고되었다. 인간 광우병의 잠복기는 5년에서 10년 정도로 알려져 있다. 초기에는 기억 감퇴, 불면증, 우울증 등 치매와 유사한 정신 증상을 보이지만, 주로 20~30대의 비교적 젊은 연령층에서 발병한다는 특징이 있다. 증상이 진행되면 제대로 걷지 못하는 등 운동 능력이 심각하게 저하되고, 결국 사망에 이르게 된다.
5. 진단

소해면상뇌병증(BSE)의 진단은 여전히 실질적인 문제로 남아있다. 잠복기가 수개월에서 수년에 이르기 때문에, 정상 프리온 단백질(PrP)이 질병을 유발하는 변형된 형태(PrPSc)로 전환되는 과정이 시작되었음에도 불구하고, 겉으로는 아무런 징후가 나타나지 않는다.
현재, 신경병리학적 및 면역조직화학적 방법을 사용하여 ''사후'' 뇌 조직을 검사하는 것 외에는 변형 프리온 단백질(PrPSc)을 신뢰성 있게 감지할 수 있는 방법이 없다. 비정상적으로 접힌 PrPSc 형태의 PrP 축적은 질병의 특징이지만, 혈액이나 소변과 같이 쉽게 접근할 수 있는 체액에서는 매우 낮은 수준으로 존재한다. 연구자들은 PrPSc를 측정하는 방법을 개발하려고 시도했지만, 혈액과 같은 물질에 사용할 수 있는 방법은 아직 완전히 받아들여지지 않았다. 전통적인 진단 방법은 뇌의 숨뇌 및 기타 조직에 대한 ''사후'' 조직병리학적 검사에 의존하며, 면역조직화학은 프리온 단백질 축적을 입증하는 데 사용될 수 있다.[25]
2010년, 미국 뉴욕의 한 연구팀은 뇌 조직에서 처음 1000억 분의 1(10−11) 수준으로 존재하는 PrPSc도 감지할 수 있다고 발표했다. 이 방법은 서라운드 광섬유 면역 분석법(SOFIA)이라는 새로운 기술과 PrPSc에 대한 특정 항체를 사용하여 증폭하는 방식을 결합한다. PrPSc를 증폭하고 농축한 후, 샘플은 특이성을 위해 항체를 사용하여 형광 염료로 표지되며, 마지막으로 마이크로 모세관에 로딩된다. 이 튜브는 특수하게 제작된 장치에 놓여져 광섬유로 완전히 둘러싸여 레이저를 사용하여 염료가 여기되면 방출되는 모든 빛을 포착한다. 이 기술은 다른 방법보다 훨씬 적은 변환 사이클 후에 PrPSc를 감지할 수 있게 하여 인공물의 가능성을 실질적으로 줄이고 분석 속도를 높였다. 연구자들은 또한 스크래피(양의 프리온 질환)가 발병한 것으로 나타난 건강한 양의 혈액 샘플에 이 방법을 테스트했다. 동물의 뇌는 징후가 나타난 후 분석되었다. 따라서 연구자들은 동물이 질병의 징후를 보이기 시작했을 때 채취한 뇌 조직과 혈액의 결과를, 동물의 생애 초기에 채취한 혈액 및 감염되지 않은 동물의 혈액과 비교할 수 있었다. 결과는 PrPSc가 징후가 나타나기 오래 전에 동물의 혈액에서 감지될 수 있음을 매우 명확하게 보여주었다. 추가 개발 및 테스트를 거친 후, 이 방법은 BSE에 대한 혈액 또는 소변 기반의 선별 검사로서 감시에 큰 가치를 가질 수 있다.[26][27]
6. 역학 및 예방
소는 본래 초식동물이지만, 산업화된 현대 축산에서는 단백질 보충을 위해 동물의 부산물로 만든 육골분 사료를 사용하는 경우가 있었다. 특히 유럽에서는 콩이 잘 자라지 않아 저렴한 동물성 사료 사용이 1987년 이전까지 널리 퍼져 있었는데, 이러한 관행이 소해면상뇌증(BSE) 확산의 주요 원인으로 지목된다.[18] EU는 2001년부터 포유동물의 고기와 뼈를 이용한 가축 사료 사용을 전면 금지했다.
1980년대 영국에서 BSE가 처음 확인된 이후 전 세계적으로 확산되었다. 영국은 BSE 발생률이 가장 높은 국가였으며,[127] BSE에 오염된 쇠고기 섭취와 관련된 것으로 추정되는 변종 크로이츠펠트-야코프병(vCJD) 발병으로 이어져 큰 사회적 문제로 대두되었다.[128] 영국 내 발병의 유력한 원인 중 하나는 스크래피(양의 프리온 질병)에 감염된 양고기 사료를 소에게 급여했기 때문이라는 설이다.[129]
BSE 발생 이후, 각국은 다음과 같은 예방 및 확산 방지 조치를 시행했다.
- 사료 규제: BSE 발생 국가들은 소에게 육골분 급여를 금지했으며, 이는 발병 사례 감소에 크게 기여했다.[25][31]
- 특정 위험 물질(SRM) 관리: 도살장에서는 BSE 병원체인 프리온이 축적될 수 있는 소의 뇌, 척수 등 특정 부위를 특정 위험 물질(SRM)로 분류하여 철저히 제거 및 폐기하도록 규정하고 있다.[25]
- 수입 통제 및 감시: 질병 미발생 국가들은 수입 통제, 사료 규제 강화, 감시 시스템 운영을 통해 BSE 유입을 차단하고자 노력했다.[25]
- 검사: BSE 확진은 주로 부검 시 뇌 조직 검사를 통해 이루어진다. 살아있는 동물에서의 정확한 진단은 아직 어렵다. 검사 대상과 기준은 국가별로 차이가 있다.
- 헌혈 제한: vCJD의 수혈을 통한 전파 가능성을 우려하여, 특정 기간 BSE 발생 위험 국가 체류 경력이 있는 사람들의 헌혈을 제한하는 조치가 여러 국가에서 시행되었다.[32][35][36]
BSE 위기는 국제적인 쇠고기 교역에도 큰 영향을 미쳤다. EU는 1996년부터 영국산 쇠고기 수출을 금지했다가 2006년에야 해제했으며,[84] 이 과정에서 영국과 다른 EU 국가 간에 '쇠고기 전쟁'이라 불리는 무역 분쟁이 발생하기도 했다.[85] 또한, 미국 등 다른 국가에서 BSE가 발생했을 때도 관련국 쇠고기에 대한 수입 제한 조치가 잇따랐다.[53][61][62] 한편, 유전자 편집 기술을 이용해 이론적으로 BSE에 면역력을 가진 소를 개발하려는 연구도 진행되었다.[59][60]
6. 1. 국가별 BSE 발생 현황
1984년 영국에서 최초로 광우병 의심 소 133마리가 발견되었고, 1985년 죽은 소의 뇌에서 BSE가 확인되었다. 영국 정부는 1986년 11월 광우병의 심각성을 인정했으며, 이후 184,500마리의 소가 BSE로 폐사했다.[127] 영국에서 BSE가 대량 발생한 후 2004년까지 157명의 사람이 유사한 신경계 증상을 보이는 변종 크로이츠펠트-야코프병(vCJD)으로 사망했다.[128] 이 중 148건은 영국, 6건은 프랑스, 1건은 이탈리아에서 발생했다. 아일랜드, 캐나다, 미국에서 발생한 vCJD 사례는 모두 영국 체류 또는 방문 경험이 있는 사람들이었다.영국 BSE 발병의 유력한 원인 중 하나는 소에게 스크래피(양의 프리온 질병)에 감염된 양고기로 만든 사료를 먹였기 때문이라는 설이다. 스크래피에 감염된 양은 외관상 구분이 어려워, 감염 사실을 모른 채 사료로 만들어 소에게 먹임으로써 BSE를 유발했을 것으로 추정된다.[129] 영국은 전 세계 BSE 발생의 약 96%를 차지할 정도로 가장 심각한 피해를 겪었다.
영국 외 유럽 국가들에서도 BSE가 발생했다. 아일랜드(1,622건), 포르투갈(1,036건), 프랑스(993건), 스페인(717건), 스위스(467건), 독일(415건) 등 여러 나라에서 상당수의 발생 사례가 보고되었다. (아래 표 참조) 프랑스의 경우, 자국 내 발생에도 불구하고 영국산 쇠고기 수입 금지 등 외부 요인에 집중하면서 내부적인 예방 조치에는 미흡했다는 비판을 받기도 했다.[77][78] 2016년에도 프랑스에서 추가 BSE 사례가 확인되었다.[79] 스페인, 포르투갈, 벨기에, 독일 등 다른 유럽 국가에서도 산발적인 BSE 발생이 보고되었다.[89]
북아메리카 (미국, 캐나다)북아메리카 첫 사례는 1993년 12월 캐나다 앨버타 주에서 보고되었다.[40][41] 이후 2003년 5월 캐나다에서 추가 사례가 발생했고, 같은 해 12월 미국에서 첫 사례가 확인되었는데, 이는 캐나다에서 수입된 소였다.[42] 이 소는 워싱턴주 야키마 근처 농장에서 도축되었으며, 미국 농무부(USDA)의 BSE 감시 프로그램 대상이었다.[43] 캐나다는 2005년 초 앨버타 주에서 2건의 BSE 사례를 추가로 발표했다.[44]
2005년 6월, 미국 내에서 발생한 첫 BSE 사례가 텍사스 주에서 확인되었다.[45][46] 미국에서는 유럽과 달리 동물 부산물 사료 사용이 상대적으로 적었는데, 이는 콩기름박이나 면실박 등 식물성 사료가 더 저렴했기 때문이다. 그러나 1997년 규제는 포유류 부산물을 반추동물에게 먹이는 것만 금지했을 뿐, 반추동물 부산물을 다른 가축(돼지, 가금류 등)에게 먹이거나, 그 가축의 부산물을 다시 반추동물에게 먹이는 것은 허용되어 BSE 발생 가능성이 남아있다는 지적이 있었다.[47][48]
2023년 5월 19일, 사우스캐롤라이나주 도축장에서 비정형 BSE 사례가 발생했다. 이는 2003년 이후 미국 내 7번째 사례였으며, 이 중 6건이 비정형 사례였다. USDA는 해당 소가 식용으로 유통되지 않았다고 밝혔다.[49]
미국 내 BSE 검사 시스템에 대한 논란도 있었다. 육류 생산업체 크릭스톤 팜스는 USDA가 자사 소에 대한 자체적인 BSE 검사를 방해한다며 소송을 제기했다.[50] 또한 주저앉는 소(다운 소)를 도축 시스템에 포함시킨 사실이 드러나 대규모 리콜 사태가 벌어지기도 했다.[51] 일각에서는 대규모 농업 기업의 영향으로 미국 정부가 BSE 검사 대상 소의 수를 크게 줄였다는 비판도 제기되었다.[52]
일본2001년 9월 10일, 지바현에서 사육되던 소에서 일본 내 첫 BSE 의심 사례가 보고되었고, 이후 확진되었다. 이로써 일본도 BSE 발생국이 되었다. 일본에서는 총 36건의 BSE 확진 사례가 보고되었는데, 이는 유럽과 아메리카 대륙 외 지역에서는 가장 많은 수치이며, 수입 사례가 아닌 자체 발생 사례를 보고한 유일한 국가이기도 하다.[63][64] BSE 발생을 계기로 2003년 식품 안전 개혁을 위해 정부 차원의 식품안전위원회가 설립되었다.[65]
2003년 미국에서 BSE가 발생하자, 당시 미국산 쇠고기의 최대 수입국이었던 일본(연간 17억달러 규모)은 즉시 수입을 금지했다.[53] 2005년 12월 수입을 재개했으나,[54] 2006년 1월, 수입 조건 위반(척추 제거 규정 위반)으로 다시 금지 조치를 내렸다.[55] 일본 소비자 단체들은 정부가 미국산 쇠고기의 안전성에 대한 국민적 우려를 외면하고 미국의 정치적 압력에 굴복했다며 비판했다.[56]
기타 국가 및 현황오스트레일리아와 뉴질랜드에서는 BSE 발생 보고가 없었다. 이는 대부분의 소를 초원에 방목하여 사육하기 때문으로 분석된다. 특히 호주에서는 소가 도축 직전을 제외하고는 풀 외의 사료를 거의 먹지 않는다. 중국, 러시아, 대부분의 아프리카 국가들에서도 BSE 발생 보고는 없었다.
BSE 발생 이후, 미국산 쇠고기에 대한 국제적인 불신이 커져 65개국이 수입 제한 조치를 시행했다. 이로 인해 미국의 쇠고기 수출량은 2003년 130만ton에서 2004년 32.2만ton으로 급감했으나, 이후 점차 회복하여 2007년 77.1만ton, 2017년에는 130만ton 수준을 회복했다.[57][58]
2012년 4월, 미국 캘리포니아주에서 BSE 사례가 보고되자 대한민국의 일부 소매업체와 인도네시아 등이 미국산 쇠고기 수입을 일시 중단하기도 했다.[61][62]
국가별 발생 건수 및 검사 방법아래 표는 2007년 12월 7일까지 보고된 국가별 소해면상뇌증(BSE)과 인간에게 발생하는 변종 크로이츠펠트-야코프병(vCJD)의 발생 건수를 요약한 것이다.[130]
| 나라 | 소해면상뇌증 | 변종 크로이츠펠트-야코프병 | 나라 | 소해면상뇌증 | 변종 크로이츠펠트-야코프병 |
|---|---|---|---|---|---|
| 그리스 | 1 | 0 | 오만 | 2 | 0 |
| 네덜란드 | 84 | 2 | 오스트리아 | 6 | 0 |
| 덴마크 | 15 | 0 | 이스라엘 | 1 | 0 |
| 독일 | 415 | 0 | 이탈리아 | 143 | 1 |
| 룩셈부르크 | 3 | 1 | 일본 | 34 | 1 |
| 리히텐슈타인 | 2 | 0 | 체코 | 28 | 0 |
| 미국 | 4 | 3 | 캐나다 | 16 | 1 |
| 벨기에 | 133 | 0 | 태국 | 해당 없음 | 2 |
| 스웨덴 | 1 | 0 | 포르투갈 | 1,036 | 2 |
| 스위스 | 467 | 0 | 포클랜드 제도 | 1 | 0 |
| 스페인 | 717 | 2 | 폴란드 | 57 | 0 |
| 슬로바키아 | 20 | 0 | 프랑스 | 993 | 11 |
| 슬로베니아 | 8 | 0 | 핀란드 | 1 | 0 |
| 아일랜드 | 1,622 | 4 | 홍콩 | 2+ | 0 |
| 영국 | 183,256 | 163 | 합계 | 189,063 | 193 |
BSE 감염 검사 방법과 규정은 나라마다 다르다. 예를 들어, 유럽연합은 30개월 이상 된 소를 검사 대상으로 하지만, 대부분의 소는 그보다 어린 나이에 도축된다. 반면 일본은 도축되는 모든 소를 검사한다. 변형 프리온 단백질이 혈액이나 소변 등에서 극미량으로만 존재하고 다른 명확한 신호가 없어 생체 검사가 어렵다. 현재로서는 부검 시 뇌 조직 검사가 유일하게 신뢰할 수 있는 방법이다.
인간에게 발생하는 vCJD의 경우에도 부검이 항상 이루어지는 것은 아니므로 통계 수치가 실제보다 낮을 수 있다. 영국에서는 vCJD 의심 환자를 의무적으로 보고하도록 하지만, 미국 CDC는 의무 보고 제도를 시행하지 않고, 의심 사례를 특정 연구 센터로 보내도록 권고하는 방식을 택하고 있다. vCJD 전파를 막기 위해 미국, 독일, 호주 등에서는 특정 기간 영국 등 유럽 국가 체류 경력이 있는 사람들의 헌혈을 제한했으나, 코로나19 대유행 등으로 인한 혈액 부족 사태 이후 일부 완화되거나 철회되었다.[32][33][34][35][36][39]
6. 2. 헌혈 제한
BSE 및 vCJD의 수혈을 통한 전파 가능성을 차단하기 위해 여러 국가에서 특정 국가 체류 경력이 있는 사람들에 대한 헌혈 제한 조치를 시행하고 있다.미국에서는 FDA가 헌혈 자격에 대한 제한을 두었다. 1980년부터 1996년 사이에 영국에서 총 3개월 이상 체류했거나, 1980년부터 2020년까지 유럽 국가 전체에서 총 5년 이상 체류한 경우 헌혈을 할 수 없었다.[32] 이 제한은 코로나19 대유행으로 인한 혈액 부족 사태로 2020년에 일시적으로 해제되었으나,[33] 2022년에 다시 철회되었다.[34]
독일과 호주에서도 유사한 규정이 적용되었다.[35][36] 1980년부터 1996년 사이에 영국에서 6개월 이상 거주한 사람은 헌혈이 금지되었다.[35] 또한 모유 및 조직 기증도 금지되었으나,[37] 장기 기증에는 제한이 없다.[38] 헌혈 기관들은 코로나19 대유행과 일부 자연재해로 혈액 공급이 부족해지자 이 규정의 완화를 고려하기도 했다.[39]
대한민국의 대한적십자사는 1980년부터 1996년 사이에 영국에 하루(1일) 이상 체류한 경력이 있는 사람의 헌혈을 금지했다. 이 조치는 2005년 6월 1일부터 2010년 1월 26일까지 시행되었다. 이후 2010년 1월 27일부터는 헌혈 금지 기준을 "영국 체류 기간 통산 31일 이상"으로 완화하였다.[111]
7. 치료
소해면상뇌병증(BSE)에 감염된 소에 대한 효과적인 치료법은 현재까지 존재하지 않는다. BSE 감염이 확인된 소는 가축전염병 예방법에 따라 신속하게 살처분되며, 이후 소각 처리된다.
또한, BSE는 주로 오염된 사료를 통해 감염되는 것으로 알려져 있기 때문에, 감염된 소와 동일한 사료를 먹었을 가능성이 있는 다른 소들에 대해서도 감염 여부를 확인하기 위한 조사가 이루어진다.
8. 기타
BSE 발생에 따른 식육 업계에 대한 농림수산성의 구제책을 악용한 쇠고기 원산지 둔갑 사건이 2002년 이후 일본에서 잇따라 발각되었다. 또한, 미국산 쇠고기 수입 금지 조치로 인해 일본의 유명 규동 체인점인 요시노야는 주력 메뉴인 규동 판매를 2004년부터 2008년까지 장기간 중단하기도 했다. 쇠고기를 대량으로 사용하는 야키니쿠 음식점이나 야키니쿠 소스와 같은 관련 산업 역시 큰 피해를 입었다.
한편, 소 유래 성분을 사용하는 다른 산업에도 영향이 있었다. 화장품의 경우, 일본에서는 제조사들의 자율적인 규제와 제품 회수가 이루어졌다. 소의 젤라틴을 원료로 한 젤라틴 제품에 대해서는 세계 보건 기구(WHO) 전문 위원회에서 안전성을 인정한 바 있다.
참조
[1]
웹사이트
Bovine spongiform encephalopathy
https://web.archive.[...]
2002-11
[2]
웹사이트
BSE in North America BSE (Bovine Spongiform Encephalopathy) Prion Diseases
https://www.cdc.gov/[...]
2018-10-02
[3]
웹사이트
Bovine Spongiform Encephalopathy (BSE) Questions and Answers
https://www.fda.gov/[...]
2019-05-22
[4]
논문
Shattuck lecture--neurodegenerative diseases and prions
2001-05
[5]
논문
Bovine spongiform encephalopathy (BSE): causes and consequences of a common source epidemic
1997-06
[6]
웹사이트
Bovine spongiform encephalopathy (BSE)
https://web.archive.[...]
2019-02-20
[7]
웹사이트
Control Measures BSE (Bovine Spongiform Encephalopathy) Prion Diseases
https://www.cdc.gov/[...]
2018-10-02
[8]
웹사이트
Feed Bans BSE (Bovine Spongiform Encephalopathy) {{!}} Prion Diseases
https://www.cdc.gov/[...]
2018-10-02
[9]
뉴스
'All steps taken' after BSE diagnosis
https://www.bbc.com/[...]
2018-10-23
[10]
웹사이트
About BSE BSE (Bovine Spongiform Encephalopathy) Prion Diseases
https://www.cdc.gov/[...]
2018-10-02
[11]
서적
Human Prion Diseases
Elsevier
2018
[12]
웹사이트
Bovine Spongiform Encephalopathy (BSE)
http://www.afrivip.o[...]
2016-11-21
[13]
웹사이트
Bovine Spongiform Encephalopathy
http://www.cfsph.ias[...]
2016-10-30
[14]
웹사이트
Ataxias and Cerebellar or Spinocerebellar Degeneration Information Page: National Institute of Neurological Disorders and Stroke (NINDS)
http://www.ninds.nih[...]
2016-12-01
[15]
논문
Neuropathology of Animal Prion Diseases
2021-03
[16]
웹사이트
Bovine Spongiform Encephalopaphy: An Overview
http://www.aphis.usd[...]
"[[Animal and Plant Health Inspection Service]], [[United States Department of Agriculture]]"
2006-12
[17]
웹사이트
Vol.1 - Executive Summary of the Report of the Inquiry
http://webarchive.na[...]
[18]
웹사이트
Commonly Asked Questions About BSE in Products Regulated by FDA's Center for Food Safety and Applied Nutrition (CFSAN)
http://vm.cfsan.fda.[...]
"[[Center for Food Safety and Applied Nutrition]], [[Food and Drug Administration (United States)|Food and Drug Administration]]"
2005-09-14
[19]
논문
Organ distribution of prion proteins in variant Creutzfeldt-Jakob disease
2003-04
[20]
웹사이트
Department of Health and Human Services CfDCaP. Creutzfeldt-Jakob Disease, Classic (CJD). Occurrence and Transmission (Centers for Disease Control and Prevention, 2022).
https://www.cdc.gov/[...]
[21]
논문
Progression of prion infectivity in asymptomatic cattle after oral bovine spongiform encephalopathy challenge
2007-04
[22]
논문
Pathogenesis of classical and atypical BSE in cattle
2011-11
[23]
논문
Prions spread via the autonomic nervous system from the gut to the central nervous system in cattle incubating bovine spongiform encephalopathy
2007-03
[24]
논문
Preliminary observations on the pathogenesis of experimental bovine spongiform encephalopathy (BSE): an update
https://www.research[...]
2019-02-16
[25]
웹사이트
Bovine Spongiform Encephalopathy
http://en.wikivet.ne[...]
"[[WikiVet]]"
2011-10-11
[26]
간행물
Detecting Prions in Blood
https://www.sgm.ac.u[...]
2011-08-21
[27]
웹사이트
SOFIA: An Assay Platform for Ultrasensitive Detection of PrPSc in Brain and Blood
http://www.bionosis.[...]
SUNY Downstate Medical Center
2011-08-19
[28]
논문
The end of the BSE saga: do we still need surveillance for human prion diseases?
https://smw.ch/index[...]
2017-03-12
[29]
논문
Prion-like disorders and Transmissible Spongiform Encephalopathies: An overview of the mechanistic features that are shared by the various disease-related misfolded proteins
https://zenodo.org/r[...]
2017-11-02
[30]
논문
Current evidence on the transmissibility of chronic wasting disease prions to humans-A systematic review
2018-02
[31]
웹사이트
Feed Bans BSE (Bovine Spongiform Encephalopathy) {{!}} Prion Diseases {{!}} CDC
https://www.cdc.gov/[...]
2016-09-30
[32]
웹사이트
Eligibility Criteria for Blood Donation
http://www.redcrossb[...]
American Red Cross
2018-01-27
[33]
웹사이트
FDA Provides Updated Guidance Addressing Urgent Need For Blood During The Pandemic
https://www.fda.gov/[...]
Food and Drug Administration
2020-08-07
[34]
웹사이트
Recommendations to Reduce the Possible Risk of Transmission of Creutzfeldt-Jakob Disease and Variant Creutzfeldt-Jakob Disease by Blood and Blood Components
https://www.fda.gov/[...]
2023-04-01
[35]
웹사이트
Richtlinie zur Gewinnung von Blut und Blutbestandteilen und zur Anwendung von Blutprodukten (Richtlinie Hämotherapie)
https://www.bundesae[...]
2023-04-01
[36]
웹사이트
I lived in the UK for six months between 1980-96. Can I donate blood? {{!}} Lifeblood
https://www.lifebloo[...]
2023-10-27
[37]
웹사이트
'Mad cow disease' - why you can't donate blood, breast milk and tissues
https://www.health.q[...]
2018-04-04
[38]
웹사이트
More information about donating blood if you have lived in the UK {{!}} Australian Red Cross Lifeblood
https://www.donatebl[...]
2021-07-09
[39]
뉴스
Australian blood bank reconsidering ban on UK donations from 'mad cow disease' era
http://www.theguardi[...]
Australian Associated Press
2021-04-20
[40]
뉴스
Mad Cow in Canada: The science and the story
http://www.cbc.ca/ne[...]
2015-01-20
[41]
서적
Mad Cow Disease and Canada's Cattle Industry
http://www.parl.gc.c[...]
Parliamentary Information and Research Service, Library of Parliament
2021-03-01
[42]
뉴스
Investigators Trace Diseased Cow to Canada
http://www.cattleran[...]
The Cattle Range
2003-12-27
[43]
웹사이트
Mad Cow Disease
https://web.archive.[...]
2018-08-16
[44]
웹사이트
Bovine Spongiform Encephalopathy and Canadian Beef Imports
https://web.archive.[...]
CRS Report for Congress. RL32627
2011-02-16
[45]
뉴스
Case of Mad Cow in Texas Is First to Originate in U.S.
https://www.nytimes.[...]
2005-06-30
[46]
웹사이트
Chronology of BSE-Related Events and Government Initiatives
http://publications.[...]
Parliamentary Information and Research Service, Library of Parliament
2006-09-06
[47]
서적
Mad Cow USA
https://archive.org/[...]
Common Courage Press
[48]
논문
Modeling of bovine spongiform encephalopathy in a two-species feedback loop
2013-06
[49]
뉴스
U.S. reports case of atypical mad cow disease
https://www.reuters.[...]
2023-05-19
[50]
간행물
Creekstone Farms response to USDA appeal of summary judgement
https://web.archive.[...]
3buddies
2009-06-20
[51]
뉴스
Meat Recalls to Name Retailers
https://www.washingt[...]
2009-06-20
[52]
뉴스
Mad cow watch goes blind
https://www.usatoday[...]
2009-06-20
[53]
웹사이트
US, Japan agree on BSE precautions for beef trade
https://www.cidrap.u[...]
2004-10-26
[54]
웹사이트
Japan ends BSE-related ban on US beef
https://www.cidrap.u[...]
2005-12-12
[55]
웹사이트
Japan reinstates ban on U.S. beef
https://web.archive.[...]
2006-01-20
[56]
웹사이트
Food Safety Citizens'Watch English Newsletter
https://web.archive.[...]
2009-12-23
[57]
웹사이트
Statistics
https://web.archive.[...]
U.S. Meat Export Federation
2009-06-20
[58]
웹사이트
Statistics
https://web.archive.[...]
U.S. Meat Export Federation
2018-05-30
[59]
뉴스
Scientists Announce Mad Cow Breakthrough
https://www.washingt[...]
2007-01-01
[60]
논문
Production of cattle lacking prion protein
2006-12-31
[61]
뉴스
S. Korea retailers halt US beef sales, govt may act
https://web.archive.[...]
2012-04-25
[62]
뉴스
Indonesia suspends U.S. beef imports over mad cow disease
https://www.reuters.[...]
2012-04-26
[63]
웹사이트
Ministry of Health, Labour and Welfare: BSE Cases in Japan
http://www.mhlw.go.j[...]
2021-02-27
[64]
웹사이트
World Organisation for Animal Health: BSE situation in the world and annual incidence rate
http://www.oie.int/a[...]
2020-08-13
[65]
논문
BSE crisis in Japan: A chronological overview
2005-09
[66]
웹사이트
The BSE Inquiry: Home
http://webarchive.na[...]
2000-10
[67]
웹사이트
Brain disease drives cows wild
https://www.newscien[...]
2018-12-07
[68]
웹사이트
Variant Creutzfeldt–Jakob Disease, Current Data (October 2009)
http://www.cjd.ed.ac[...]
The National Creutzfeldt–Jakob Disease Surveillance Unit (NCJDSU), [[University of Edinburgh]]
2009-10
[69]
웹사이트
Variant Creutzfeldt-Jakob Disease Current Data
https://web.archive.[...]
2015-02-11
[70]
뉴스
Mad cow disease: Still a concern
https://web.archive.[...]
CNN
2009-06-20
[71]
웹사이트
Bovine Spongiform Encephalopathy – "Mad Cow Disease"
http://www.fsis.usda[...]
Food Safety and Inspection Service
2005-03-00
[72]
간행물
The origin of bovine spongiform encephalopathy: the human prion disease hypothesis
[73]
뉴스
India dismisses Lancet's mad cow
http://timesofindia.[...]
2005-09-02
[74]
뉴스
New theory traces mad cow disease to animal feed exported from India
http://www.abc.net.a[...]
ABC
2005-09-05
[75]
간행물
Origin of bovine spongiform encephalopathy
2006-01-00
[76]
웹사이트
BSE Inquiry, Statement No. 476
http://www.bseinquir[...]
BSE Inquiry
1999-05-07
[77]
뉴스
Yes, we had mad cow disease too, France confesses
https://www.standard[...]
Evening Standard
2008-11-06
[78]
웹사이트
France in denial as BSE-infected beef entered food chain
http://www.smh.com.a[...]
Sydney Morning Herald
2004-07-05
[79]
뉴스
BSE-infected cow dies in France
http://www.globalmea[...]
2016-03-24
[80]
웹사이트
BSE 'mad cow disease' case from Carmarthenshire
https://www.bbc.co.u[...]
2015-10-06
[81]
웹사이트
Movement ban imposed on Aberdeenshire farm following BSE case
2018-10-18
[82]
뉴스
'Mad cow disease' at Scottish farm
https://www.bbc.com/[...]
2018-10-18
[83]
뉴스
Farm locked down after mad cow disease found in Scotland
https://news.sky.com[...]
[84]
뉴스
End to 10-year British beef ban
http://news.bbc.co.u[...]
2006-05-03
[85]
뉴스
EU beef war escalates
https://money.cnn.co[...]
CNNfn
1999-10-22
[86]
뉴스
Russia to lift 16-year ban on British beef and lamb
https://www.bbc.co.u[...]
2012-11-22
[87]
웹사이트
UK Parliament website
https://publications[...]
2021-03-05
[88]
웹사이트
Northern Ireland (BSE) (Hansard, 10 February 2000)
https://api.parliame[...]
2000-02-10
[89]
뉴스
Europe's mad cows
http://www.economist[...]
2000-11-28
[90]
간행물
New twist in tale of BSE's beginnings
https://www.newscien[...]
2007-03-17
[91]
간행물
The emergence of classical BSE from atypical/Nor98 scrapie
2019-12-00
[92]
간행물
Sacred disease of our times: failure of the infectious disease model of spongiform encephalopathy
http://works.bepress[...]
2005-06-00
[93]
서적
Digesta Artis Mulomedicinae
Turnhout Brepols Publishers
2010-00-00
[94]
웹사이트
BSE: 'Mad cow disease' case found on farm in Scotland
https://www.bbc.com/[...]
2024-05-11
[95]
문서
『牛丼のひみつ』72頁。
[96]
웹사이트
牛海綿状脳症(BSE)の感染源及び感染経路の調査について・厚生労働省BSE疫学検討チーム
https://www.maff.go.[...]
[97]
웹사이트
米国農務省国立動物病センター
http://ars.usda.gov/[...]
[98]
뉴스
未感染でもBSE発祥 遺伝子異変で異常プリオン、米農務省確認
https://web.archive.[...]
読売新聞
2008-09-12
[99]
웹사이트
BSE in Belgium
http://home.hetnet.n[...]
2006-11-12
[100]
웹사이트
BSE Cases in North America, by Year and Country of Death, 1993-2008
http://www.cdc.gov/n[...]
Centers for Disease Control and Prevention, Department of Health and Human Services
[101]
웹사이트
Variant Creutzfeld-Jakob Disease, Current Data (October 2009)
http://www.cjd.ed.ac[...]
The National Creutzfeldt-Jakob Disease Surveillance Unit (NCJDSU), University of Edinburgh
2009-10-00
[102]
웹사이트
BSE Positive Findings in the Czech Republic
http://www.svscr.cz/[...]
State Veterinary Administration, Ministry of Agriculture, Czech Republic
[103]
웹사이트
The Current Status of BSE and scrapie in Denmark
http://www.uk.foedev[...]
Danish Veterinary and Food Administration
2007-05-00
[104]
문서
France reports more than 900 BSE cases
[105]
웹사이트
BSE in Greece
http://home.hetnet.n[...]
[106]
웹사이트
Israel: BSE testing according to source of cattle and age groups, 2002-2008
http://agri3.huji.ac[...]
2008-03-05
[107]
웹사이트
vCJD Cases Worldwide 2011
http://www.eurocjd.e[...]
2011-07-02
[108]
웹사이트
BSE cases - Italy 2001 - 2006
http://www.izsto.it/[...]
2008-11-10
[109]
웹사이트
Overzicht BSE-gevallen
http://www.minlnv.nl[...]
Ministerie van Landbouw, Natuur en Voedselkwaliteit
2008-11-09
[110]
문서
The number of BSE cases is not available for Thailand.
[111]
웹사이트
1980年から1996年の間に英国に1日以上滞在された方からの献血見合わせ措置に関するQ&A
https://www.mhlw.go.[...]
厚生労働省
2020-03-18
[112]
뉴스
미국산 쇠고기를 목숨 걸고 먹어야 하는 진짜 이유
http://www.pressian.[...]
프레시안
2008-05-28
[113]
뉴스
미국산 동물사료 금지 한국 소고기 1년간 무방비
http://www.mdtoday.c[...]
메디컬투데이
2008-04-24
[114]
문서
영국에서는 지난 88년 미국은 97년부터 소 등 되새김질을 하는 동물에게 동물성 사료를 먹이는 것이 금지됐다.
[115]
웹인용
Commonly Asked Questions About BSE in Products Regulated by FDA's Center for Food Safety and Applied Nutrition (CFSAN)
http://www.cfsan.fda[...]
Center for Food Safety and Applied Nutrition, Food and Drug Administration
2008-04-08
[116]
웹인용
Variant Creutzfeld-Jakob Disease, Current Data (April 2008)
http://www.cjd.ed.ac[...]
The National Creutzfeldt-Jakob Disease Surveillance Unit (NCJDSU), University of Edinburgh
2008-04-08
[117]
웹인용
Creutzfeldt-Jakob Disease Fact Sheet
http://www.ninds.nih[...]
National Institute of Neurological Disorders and Stroke
2008-04-08
[118]
웹인용
CJD deaths 'may have peaked'
http://news.bbc.co.u[...]
BBC 뉴스
2008-04-08
[119]
웹인용
국립수의과학검역원 - 가축질병 중 소해면상뇌증
http://www.nvrqs.go.[...]
2007-04-06
[120]
뉴스
스페인 모자, 인간광우병 사망 확인
http://www.ytn.co.kr[...]
YTN
2008-09-26
[121]
웹인용
OIE에서 발표한 BSE risk Terrestrial Code
http://www.oie.int/a[...]
2014-02-19
[122]
문서
'[[뇌]], [[척수]] 등 [[특정위험물질]]만 제거하면 [[소]]의 연령이나 부위에 제한 없이 [[수출]]이 가능하다.'
[123]
웹사이트
캐나다 광우병 자주 물어보는 질문들
http://www.inspectio[...]
Canadian Food Inspection Agency
2005-03-08
[124]
웹사이트
광우병의 증상
http://datcp.state.w[...]
Wisconsin Department of Agriculture, Trade & Consumer Protection
[125]
웹사이트
WHO | Bovine spongiform encephalopathy
http://www.who.int/m[...]
[126]
뉴스
검찰 수사넘어 방송편집권 침해·보도검열
http://www.mediatoda[...]
미디어오늘
2009-06-19
[127]
웹사이트
About BSE
https://www.cdc.gov/[...]
2018-12-25
[128]
문서
이 병은 1900년대 초부터 알려져 있던 [[크로이츠펠트-야코프병]](CJD)과는 다른 병으로, 기존의 크로이츠펠트-야코프병은 소해면상뇌증과는 상관이 없는 것으로 알려져 있다.
2009-07-05
[129]
웹사이트
광우병의 원인과 현황
http://mybox.happyca[...]
[130]
웹사이트
Confirmed cases of BSE worldwide up to 31 December 2007
http://www.food.gov.[...]
Food Standard Agency
2008-09-11
본 사이트는 AI가 위키백과와 뉴스 기사,정부 간행물,학술 논문등을 바탕으로 정보를 가공하여 제공하는 백과사전형 서비스입니다.
모든 문서는 AI에 의해 자동 생성되며, CC BY-SA 4.0 라이선스에 따라 이용할 수 있습니다.
하지만, 위키백과나 뉴스 기사 자체에 오류, 부정확한 정보, 또는 가짜 뉴스가 포함될 수 있으며, AI는 이러한 내용을 완벽하게 걸러내지 못할 수 있습니다.
따라서 제공되는 정보에 일부 오류나 편향이 있을 수 있으므로, 중요한 정보는 반드시 다른 출처를 통해 교차 검증하시기 바랍니다.
문의하기 : help@durumis.com