큐열
"오늘의AI위키"의 AI를 통해 더욱 풍부하고 폭넓은 지식 경험을 누리세요.
1. 개요
큐열은 콕시엘라 버네티(Coxiella burnetii)라는 세균에 의해 발생하는 인수공통감염병이다. 급성 큐열은 감기 유사 증상, 폐렴, 간염 등을 유발하며, 만성 큐열은 심내막염, 만성 간염 등을 일으킬 수 있다. 감염자의 절반은 무증상이며, 급성 큐열의 경우 2~4주의 잠복기 후 증상이 나타난다. 진단은 혈청 검사로 이루어지며, 치료는 항생제를 사용한다. 큐열은 가축 및 사람에게 영향을 미치며, 예방을 위해 백신 접종과 위생 관리가 중요하다.
더 읽어볼만한 페이지
- 열병 - 조선민주주의인민공화국의 열병식
조선민주주의인민공화국은 건군절, 공화국 창건 기념일 등 국가적 기념일에 열병식을 개최하여 군사력을 과시하고 내부 결속을 다지며, 최고 지도자들이 참석하여 정치적·군사적 메시지를 전달하는 수단으로 활용한다. - 비정형폐렴 - 홍역
홍역은 홍역 바이러스에 의해 발생하는 전염성이 매우 강한 급성 바이러스성 질환으로, 발열, 기침, 콧물, 결막염, 코플릭 반점, 홍반 반점구진성 발진 등의 증상을 보이며, 폐렴, 중이염, 뇌염 등의 합병증을 유발할 수 있고, MMR 백신 접종으로 예방이 가능하지만, 전 세계적으로 여전히 주요 사망 원인이며 반백신 운동으로 발생률이 증가하는 추세이다. - 비정형폐렴 - 레지오넬라증
레지오넬라증은 레지오넬라 뉴모필라균에 의해 오염된 물의 에어로졸을 흡입하여 발생하는 감염병으로, 레지오넬라 폐렴과 폰티악 열 두 가지 형태로 나타나며, 항생제로 치료하고 상수 안전 계획과 위생 관리로 예방할 수 있다. - 희귀감염병 - 히스토플라스마증
히스토플라스마증은 히스토플라스마 캡슐라툼 곰팡이에 의해 발생하며, 오염된 토양에서 포자를 흡입하여 감염될 수 있고, 무증상부터 호흡기 증상, 심각한 합병증까지 유발하며, 항진균제로 치료하는 감염 질환이다. - 희귀감염병 - 아급성 경화성 범뇌염
아급성 경화성 범뇌염은 홍역 바이러스 감염 후 수년의 잠복기를 거쳐 발병하는 희귀한 진행성 뇌 질환으로, 신경성 열화가 서서히 진행되어 인격 변화, 지능 저하, 근육간대경련 등의 증상을 보이며, 홍역 백신 접종으로 발병률이 감소하고 진단은 뇌파 검사 등으로 이루어진다.
| 큐열 | |
|---|---|
| 질병 정보 | |
![]() | |
| 학문 분야 | 감염병학 |
| 증상 | 발열 오한 두통 근육통 피로 |
| 합병증 | 폐렴 심내막염 간염 |
| 발병 시기 | 9~40일 |
| 지속 기간 | 다양함 |
| 유형 | 급성, 만성 |
| 원인 | 콕시엘라 부르네티 감염 |
| 위험 요인 | 가축과의 접촉 |
| 진단 | 혈액 검사, PCR 검사 |
| 감별 진단 | 폐렴 인플루엔자 브루셀라증 렙토스피라증 뇌수막염 바이러스성 간염 뎅기열 말라리아 기타 리케차 감염 |
| 예방 | 백신 (일부 국가), 가축 관리 |
| 치료 | 항생제 |
| 투여 약물 | 독시사이클린, 퀴놀론 |
| 예후 | 치료 시 양호, 만성 감염 시 심각 |
| 역학 | |
| 발병 빈도 | 드물다 |
| 사망자 | 낮음 |
2. 징후 및 증상
큐열의 잠복기는 보통 2~3주이다.[78][6] 콕시엘라 버네티에 감염되더라도 약 절반의 사람은 아무런 증상을 느끼지 못한다.[6] 증상이 나타나는 경우, 초기에는 갑작스러운 발열, 오한, 두통, 근육통, 전신 쇠약감 등 독감 유사 증상을 보이는 경우가 많다.[6][78] 그 외에 마른 기침, 인후통이나 메스꺼움, 구토, 설사 같은 소화기 증상이 동반될 수 있다.[78][6]
큐열의 증상은 크게 급성기와 만성기로 나눌 수 있다. 급성 큐열은 발열이 보통 1~2주 정도 지속되며,[79] 일부에서는 폐렴이나 간염으로 진행되기도 한다.[7] 만성 큐열은 증상이 6개월 이상 지속되는 경우를 말하며,[79] 드물지만 심내막염이나 만성 혈관염 같은 심각한 합병증을 유발할 수 있다.[79][9] 특히 기저질환이 있거나 면역력이 약한 사람에게서 만성으로 진행될 위험이 높다.[79] 또한, 급성 감염에서 회복한 일부 사람들에게서는 Q 열 피로 증후군(QFS)이라 불리는, 만성 피로 증후군과 유사한 지속적인 피로 관련 증상이 나타나기도 한다.[10]
2. 1. 급성 큐열
잠복기는 보통 2~3주이다.[78][6] 콕시엘라 버네티에 감염된 사람 중 약 절반 정도만 증상을 나타내어 급성 큐열을 앓게 되며, 나머지 절반은 증상 없이 지나가는 불현성 감염에 해당한다.가장 흔한 증상은 독감 유사 증상으로, 갑작스러운 발열( 37°C~40°C ), 오한, 심한 두통, 근육통, 관절통, 전신 불쾌감 또는 쇠약감, 과도한 발한, 식욕 부진, 마른 기침, 인후통 등이 나타난다.[6][78] 메스꺼움, 구토, 설사, 복통과 같은 위장관 증상이나 흉통, 정신 착란이 동반되기도 한다.[6] 급성 큐열의 발열은 보통 1~2주 정도 지속되지만, 더 길어질 수도 있다.[79]
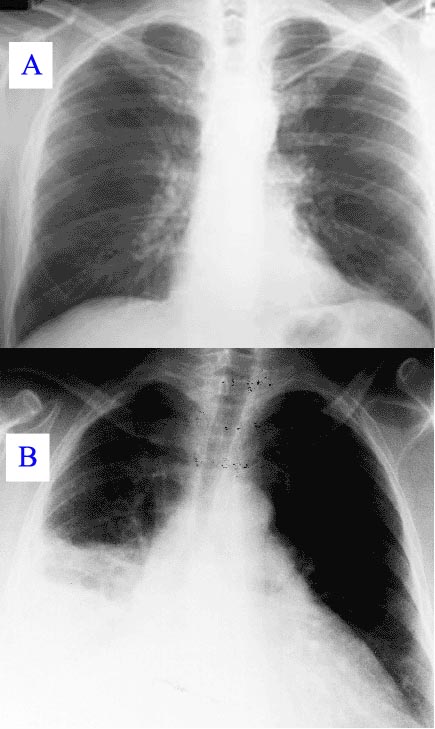
질병이 진행되면서 일부 환자에게서는 비정형 폐렴으로 발전할 수 있으며, 이는 감염 후 첫 4~5일 동안 생명을 위협하는 급성 호흡 부전 증후군(ARDS)을 유발할 수도 있다.[7] 드물게는 (육아종성) 간염이 발생하기도 하는데, 증상이 없거나 불쾌감, 발열, 간 비대, 복부 우상부 통증 등이 나타날 수 있다. 간염 발생 시 트란스아미나제 수치 상승은 흔하지만 황달은 드물다.[8] 또한 매우 드물게 망막 혈관염이 발생할 수도 있다.[8] 전체 급성 큐열 환자의 약 20% 정도에서 폐렴이나 간염 증상을 보이는 것으로 알려져 있다.
대부분의 급성 큐열은 1~2주 내에 증상이 호전되며 예후는 양호한 편이다. 급성 큐열로 인한 사망률은 1~2% 수준이며, 회복된 후에는 평생 면역을 얻게 된다. 그러나 회복 후 일부 환자들은 만성 피로 증후군과 유사한 Q 열 피로 증후군(QFS)을 겪을 수 있다.[10]
특히 어린이가 급성 큐열을 앓는 경우, 그 증상이 은둔형 외톨이와 같은 상태로 오인되어 진단이 늦어지는 경우가 있어 주의가 필요하다.
2. 2. 만성 큐열
만성 큐열은 급성 감염 후 수개월 또는 수십 년 후에 발생할 수 있으며,[9] 일반적으로 증상이 6개월 이상 지속되는 경우를 말한다.[79] 급성 큐열 환자의 약 5% 정도가 만성 큐열로 이행하는 것으로 알려져 있다.만성 큐열의 가장 흔한 형태는 심내막염(심장 내벽의 염증)이다.[9] 이 외에도 만성 간염,[8] 골수염, 만성 혈관염 등의 합병증이 나타날 수 있다.[79] 특히 심장 판막증이 있거나 장기 이식을 받은 사람, 암 또는 만성 신장병 환자, 기저질환으로 면역력이 저하된 환자나 면역결핍 환자들은 만성 큐열로 진행될 위험이 더 높다.[79]
만성 큐열은 치료하지 않으면 치명적일 수 있으나, 적절한 항생제 치료를 받으면 사망률이 약 10%로 감소한다.
급성 감염에서 회복한 후 일부 환자들은 Q열 피로 증후군(QFS, Post Q fever fatigue syndrome)을 겪을 수 있다.[10] 이는 급성 후 감염 증후군 중 하나로, 주요 증상으로는 운동 후 불쾌감과 심한 피로감, 근육통, 두통, 미열, 식은땀, 수면 장애, 집중력 및 기억력 저하 등이 나타난다.[10] 이러한 증상은 초기 감염 후 수개월에서 수년 동안 지속될 수 있으며,[10] 종종 만성 피로 증후군(ME/CFS)의 진단 기준을 충족하기도 한다.[10] QFS는 일반적인 검사에서는 뚜렷한 염증 소견이나 림프절 종창 등이 나타나지 않아 진단이 어려울 수 있으며, 우울증 등 다른 질환으로 오인되기도 한다.
3. 원인균
큐열은 레지오넬라목 콕시엘라과 콕시엘라속에 속하는 세균인 콕시엘라 버네티(''Coxiella burnetii'')에 의해 발생하는 인수공통감염병이다.[24][25] 이 세균은 편성 세포 내 기생체로, 감염력이 매우 강하여 단 1개의 세균만 흡입해도 감염될 수 있다.
콕시엘라 버네티는 생존력과 독성이 매우 강하며, 뉴질랜드[24]와 남극[25]을 제외한 전 세계에서 발견된다. 자연 상태에서는 주로 소, 염소, 양, 개, 고양이 등 다양한 동물의 체내에 존재한다. 건조한 환경에 대한 저항력이 강해 먼지와 함께 공기 중에 떠다닐 수 있으며, 이를 통해 감염이 확산될 가능성이 있다.
열에 대한 저항력도 비교적 강한 편이다. 65°C에서 30분간 가열하면 완전히 비활성화되지만, 62°C나 63°C에서 30분간 처리할 경우 일부 세균은 병원성을 유지할 수 있다. 이러한 특성 때문에 실험실 환경에서도 감염이 쉽게 발생할 수 있어, 생물안전등급 3등급(위험도 클래스 3) 병원체로 분류된다.
4. 감염 경로
큐열은 Coxiella burnetii|콕시엘라 부르네티la라는 세균에 의해 발생하는 인수공통감염병이다. 이 세균은 생존력이 매우 강하고 독성이 높으며, 뉴질랜드[24]와 남극[25]을 제외한 전 세계에서 발견된다.
주된 감염 경로는 콕시엘라 부르네티에 감염된 가축(소, 양, 염소 등)이나 애완동물과의 접촉이다. 감염된 동물의 분변, 우유, 유제품, 양털 및 출산 과정의 부산물(태반, 양수 등)에 세균이 포함되어 있을 수 있다.[25] 이러한 오염된 물질에서 발생한 먼지나 비말을 호흡기를 통해 흡입하는 것이 가장 흔한 감염 방식이다. 또한, 오염된 우유를 살균하지 않고 마시거나 오염된 고기를 덜 익혀 먹는 경우, 감염된 동물과 직접 접촉하는 경우에도 감염될 수 있다.[37]
드물게는 세균을 보유한 진드기에 물리거나 진드기의 분변 등이 포함된 먼지를 흡입하여 감염되기도 한다. 사람 간의 전파는 흔하지 않지만, 감염된 산모의 출산 관련 물질 접촉, 성관계, 수혈 등을 통해 이루어질 가능성이 있다.[25] 조류의 경우 감염되더라도 뚜렷한 증상이 나타나지 않는 불현성 감염을 보인다.
특정 직업에 종사하는 사람들은 큐열에 감염될 위험이 더 높다.[26][27]
| 직업군 | 주요 노출 경로 |
|---|---|
| 수의사 | 감염된 동물 진료 및 처치 |
| 가축 사육장 직원 | 감염된 가축 및 부산물 접촉 |
| 농부 | 감염된 가축 및 부산물 접촉 |
| 양털 깎이 | 감염된 양의 털 및 피부 접촉 |
| 동물 운송업자 | 감염된 동물 운송 |
| 실험실 직원 | 감염 의심 동물 샘플 취급, 도축장 방문 |
| 캥거루 처리 관련 종사자 | 캥거루 도태 및 처리 (주로 호주) |
| 가죽 (무두질) 공장 노동자 | 감염된 동물 가죽 처리 |
일본 외 국가에서는 식육 해체 처리장, 양모 처리장, 유가공장 등에서 집단 감염 사례가 보고된 바 있다. 큐열 병원체는 숙주의 몸에서 완전히 제거하기 어려우며, 증상이 회복된 후에도 오랫동안 세포 내에 잠복하여 생존할 수 있다.
5. 역학
큐열은 주로 오염된 먼지를 흡입하거나 감염된 동물의 우유, 고기, 양털 등과 접촉, 특히 출산 과정에서 나온 물질을 통해 전파된다. 진드기 역시 동물 간 병원체 전파의 매개 역할을 할 수 있다. 사람 사이의 전파는 드물지만, 출산 관련 물질 접촉, 성적 접촉, 수혈 등을 통해 발생한 사례가 보고된 바 있다.[25]
특정 직업군은 큐열 감염 위험이 더 높은 것으로 알려져 있다:[26]
- 수의사
- 가축 사육장 직원
- 농부
- 양털 깎는 사람
- 동물 운송업자
- 감염 가능성이 있는 수의학적 샘플을 다루거나 도살장을 방문하는 실험실 직원
- 캥거루 도태 및 처리 관련 종사자
- 가죽 (무두질) 공장 노동자
일반적으로 가축과 접촉하거나 관련 환경에서 일하는 모든 사람은 감염 위험이 증가한다.[27] 연구에 따르면 남성이 여성보다 큐열 유병률이 높은 경향을 보이는데,[28][29] 이는 직업적 노출 빈도의 차이와 관련이 있을 수 있다.[30] 거주 지역(농촌 지역 거주자가 도시 지역 거주자보다 위험 높음), 연령 등도 감염 위험 요인으로 작용한다.
만성 큐열의 경우, 서부 및 대평원 지역의 축산업과 관련된 고령 남성에게서 발병 위험이 더 높으며,[30] 특히 심장 질환 병력이 있는 경우 위험이 더욱 증가할 수 있다.[30] 만성 큐열은 초기 감염 후 수년 뒤에 발병할 수 있으며, 비특이적인 피로감, 발열, 체중 감소, 심내막염 등의 증상을 보일 수 있다.[25][30]
또한 농촌 지역 어린이[34]나 이라크, 아프가니스탄 등에 파병되었던 미군 장병[35] 등 특정 집단에서도 큐열 사례가 보고되어,[36] 직업 및 환경적 노출에 대한 주의와 관리가 중요함을 시사한다. 큐열은 생물학 무기로서의 잠재적 위험성 때문에 1999년 미국에서는 공식적으로 신고해야 하는 질병으로 지정되기도 하였다.[32]
5. 1. 국내 현황
2006년 1월 제4군 법정 감염병으로 지정되었다. 이후 2020년 1월에는 감염병 진단기준(질병관리본부 고시 제2020-1호) 개정에 따라 제3급 법정 감염병으로 변경되었다.[80]5. 2. 세계 현황
큐열은 뉴질랜드[24]와 남극[25]을 제외한 전 세계에서 발생 보고가 있는 인수공통감염병으로, 병원체 ''C. burnetii''에 의해 발생한다. 정확한 발생 규모는 알려져 있지 않다.[80]큐열은 전 세계적으로 다양한 역학 패턴을 보이며, 특정 국가와 지역에서 더 높은 발병률을 나타낸다.
- 아프리카: 열대 우림의 야생 동물이 주요 질병 전파원으로 작용하여 풍토병 양상을 보인다.[25]
- 라틴 아메리카: 독특한 발생 패턴이 관찰되지만, 국가 간 및 국가 내 보고가 불규칙하고 일관성이 없어 정확한 현황 파악과 대응이 어렵다.[33]
- 유럽: 네덜란드와 프랑스 등 일부 국가에서는 최근 도시화된 지역의 염소 사육과 관련된 발병 사례가 보고되었다. 이는 집약적인 가축 사육 방식의 안전성과 인수공통감염병 전파의 잠재적 위험성에 대한 우려를 제기한다.
- 미국: 가축 사육 지역, 특히 서부와 대평원에서 더 흔하게 발생한다. 캘리포니아, 텍사스, 아이오와 3개 주에서 보고된 사례가 전체의 약 40%를 차지한다. 주로 가축 번식이 이루어지는 봄과 초여름에 발병률이 높아지는 경향을 보인다.[27]
이러한 발병은 상당수의 사람들에게 영향을 미치며, 특히 면역력이 저하된 사람들에게는 더 심각한 증상을 유발할 수 있다.[32] 큐열의 전 세계적인 분포와 가축 사육과의 밀접한 연관성은 고위험 지역을 중심으로 질병의 확산을 예방하고 통제하기 위한 적극적인 조치가 중요함을 시사한다.
6. 진단


큐열 진단은 주로 혈청 검사[11][12]를 통해 항체 반응을 확인하는 방식으로 이루어진다. 만성 감염은 세균의 독성이 강한 형태에 대한 높은 수준의 항체가 나타나는 것으로 감지할 수 있다. 세균 DNA를 검출하는 분자 검사(PCR)도 점차 활용되고 있다.
원인균인 ''콕시엘라 버네티''는 절대 세포 내 기생충이지만 무균 배양이 가능하기는 하다. 그러나 기술적으로 어렵고 특수한 설비가 필요하여 일반적인 미생물학 실험실에서는 거의 시행되지 않는다.[13]
원인 불명의 발열, 폐렴, 간염 등이 나타나면 Q열을 의심해볼 수 있다. 확진은 병원체를 분리하거나 혈청학적 검사(간접 형광 항체법(IFA), 효소 결합 면역 흡착 분석법(ELISA) 등)를 통해 이루어진다. 병원체 분리는 치료 전 환자의 혈액을 채취하여 실험동물(생쥐, 기니피그 등), 발육 중인 계란 또는 특정 세포(BGM 세포 등)에 접종하는 방식으로 시도될 수 있다.
급성 Q열의 경우 일반적으로 IgM 항체가 먼저 상승한 후 IgG 항체가 상승하는 경과를 보인다. 그러나 Q열 피로 증후군(QFS)에서는 항체 반응이 일정하지 않은 경우가 많다. 일본의 경우 IFA 검사에서 항체가가 4배 이상 상승하는 것을 유의미한 기준으로 삼는데, 이는 집단 감염 사례를 기준으로 하는 다른 국가들과 유사한 기준이다.
Q열은 심내막염을 유발할 수 있으며, 이 경우 경식도 심장 초음파 검사가 진단에 필요할 수 있다. Q열로 인한 간염은 알라닌 아미노전이효소(ALT)와 아스파르트산 아미노전이효소(AST) 수치 상승으로 나타나지만, 특징적인 섬유소 고리 육아종을 확인하는 간 생검을 통해서만 최종 진단이 가능하다.[14]
Q열 진단은 특화된 검사가 필요하며 일반적인 검사나 진찰만으로는 발견하기 어렵고, 급성기에는 원인 불명의 발열로 취급되기 쉽다. 인수공통감염증은 의료 현장에서 상대적으로 드물게 다루어지므로, 의사의 초기 진단 과정에서 간과될 수 있다. 특히 Q열 피로 증후군(QFS)의 경우, 감염 및 발병 시점으로부터 시간이 많이 경과하여 환자 본인도 동물 접촉력을 감염 원인으로 연관 짓기 어려울 수 있으며, 이로 인해 우울증 등 다른 질환으로 오진될 가능성도 있다. 따라서 Q열 환자가 적절한 진단과 치료를 받기 위해서는, 환자 본인이나 가족이 Q열에 대한 정보를 인지하고 의료진에게 관련 가능성을 제시하거나 필요한 검사를 적극적으로 요구해야 하는 상황이 발생할 수도 있다. 진단 검사의 접근성이나 비용 문제 또한 일부 환자들에게 진단을 어렵게 만드는 요인이 될 수 있다. (일본의 경우, 2014년 기준으로 법정 전염병임에도 불구하고 진단 검사가 건강 보험 적용 대상이 아니어서 환자 부담이 크다는 문제가 지적된 바 있다.)
7. 치료
급성 큐열 치료에는 항생제가 매우 효과적인데,[7] 테트라사이클린계 항생제, 특히 독시사이클린이 제1선택 약물로 주로 사용된다.[80] 증상 발생 후 3일 이내에 치료를 시작해야 효과가 좋다.[80] 이 외에도 테트라사이클린, 클로람페니콜, 시프로플록사신, 오플록사신 등 다양한 항생제와 뉴퀴놀론계 항생제, 항말라리아제인 히드록시클로로퀸도 사용될 수 있다.[7] 대부분 항생제 투여 후 2~3일 이내에 열이 내리지만, 재발이나 만성화를 예방하기 위해 증상이 개선된 후에도 3~4주 정도 지속해서 투여하는 것이 바람직하다. 치료가 장기화된 경우에는 리팜피신 등 다른 약물과 함께 사용하기도 한다. 반면, β-락탐계 항생제나 아미노글리코시드는 효과가 없다.
만성 큐열은 급성 큐열보다 치료가 더 어렵다.[7] 독시사이클린과 퀴놀론 또는 독시사이클린과 히드록시클로로퀸을 함께 사용하는 병용 요법이 필요하며, 치료 기간은 최소 18개월에서 길게는 4년까지 걸릴 수 있다.[7]
임신 중 큐열은 치료가 특히 까다로운데, 독시사이클린과 시프로플록사신은 임신 중에 사용할 수 없기 때문이다. 따라서 임신부나 8세 미만 어린이에게는 코트리목사졸을 사용하는 것이 선호된다.[22][23]
큐열은 사람 간 전파 위험이 낮아 환자를 격리할 필요는 없다.[80] 하지만 환자의 객담이나 혈액, 또는 이것에 오염된 물건은 소독해야 한다.[80] 큐열을 앓고 완치되면 면역을 얻게 된다. 동물에게 큐열이 발생했을 경우에도 테트라사이클린계 항생제를 사용하여 치료한다.
8. 예방
큐열 감염 위험이 높은 직업군(축산업 종사자, 수의사, 실험실 연구원 등)은 감염 예방 교육을 받는 것이 중요하다.[80] 양이나 염소 등의 출산 과정에서 나오는 태반, 태아막, 유산된 태아 등은 위생적으로 안전하게 처리해야 한다.[80] 또한, 우유나 유제품은 반드시 살균 처리된 것을 섭취해야 한다. 병원체인 ''Coxiella burnetii''는 63°C에서 30분간 가열하거나 71.6°C에서 15초간 가열하는 일반적인 저온 살균법으로 사멸시킬 수 있다.[80]
1960년대와 1970년대 폴 피셋(Paul Fiset) 등의 연구를 통해 효과적인 큐열 백신 개발의 기초가 마련되었다.[15] 현재 호주에서는 CSL Limited사가 개발한 불활성화 전세포 백신인 'Q-Vax'가 사용되고 있다.[16] 이 백신은 주로 수의사 등 감염 고위험군에게 접종되며, 과거 감염력이 있는 사람에게 접종 시 심한 국소 반응이 나타날 수 있어 접종 전 반드시 피부 검사와 혈액 검사를 통해 기존 면역 여부를 확인해야 한다.[17] 백신은 1회 접종으로 수년간 면역 효과가 지속되며, 일반적으로 추가 접종은 필요하지 않다.[17] 호주는 2001년부터 고위험 직업군을 대상으로 국가 큐열 예방접종 프로그램을 시행하고 있으며, 접종 및 감염 이력은 호주 큐열 등록소(Australian Q Fever Register)에 기록된다. 이는 특정 산업 분야(예: 육가공업)의 고용 조건이 되기도 한다.[19]
소, 염소, 양 등 가축을 대상으로 한 백신도 개발되어 사용되고 있다. 동물 백신 접종은 가축의 유산 등 임상 증상을 줄이고 병원균 배출을 감소시켜 가축 무리 내 큐열 확산을 통제하는 데 효과적이다.[71] 나아가, 가축에 대한 예방 접종은 사람에게 전파될 위험을 줄이는 데도 기여하는 것으로 밝혀졌다.[72][20][21]
대한민국에서는 큐열을 감염병의 예방 및 관리에 관한 법률에 따른 제4급감염병으로 지정하여 관리하고 있다. 큐열 환자를 진단한 의사는 관할 보건소에 즉시 신고해야 한다.
8. 1. 생물 보안 조치
역학 자료를 바탕으로 다음과 같은 생물 보안 조치를 고려할 수 있다.[70]- 감염된 농장의 거름이 바람이 부는 조건에서 확산되는 것을 피해야 한다.
- 분만 및 태아 부속물 처리 과정에서 위생 수준을 매우 높게 유지해야 하며, 태아는 가능한 한 빨리 수집하여 폐기해야 한다.
- 가축 농장은 주거 지역에서 최소 500m 이상 떨어진 곳에 위치시키는 것이 동물에서 사람으로의 감염을 줄이는 데 도움이 될 수 있다.[38]
적절한 공중 보건 교육은 큐열 발생 건수를 줄이는 데 매우 중요하다. 감염 경로, 직업적 위험, 예방 조치에 대한 인식을 높이는 것[32], 예를 들어 비살균 유제품을 식단에서 제거하는 것[37] 등은 질병 확산을 예방하는 데 도움이 될 수 있다.
지역 사회에서 관리 및 예방 전략을 개발할 때는 의료진과 농부 간의 학제 간 협력이 매우 중요하다.[38] 인식 개선 캠페인은 가축과 함께 일하는 직업군을 특히 대상으로 해야 하며, 가축 모니터링, 위생 관행 구현, 개인 보호 장비 사용, 동물 예방 접종과 같은 위험 감소 절차에 중점을 두어야 한다.[38]
병원체인 ''Coxiella burnetii''의 소형 세포 형태는 건조, 소독약 등에 대한 저항력이 매우 강하고, 열에 의한 살균도 쉽지 않아 일반적인 주거 환경 내에서의 살균이 어렵다. 따라서 가정에서 기르는 애완동물로부터의 감염을 막기 위해서는 사육 전에 해당 동물의 감염 여부 검사가 필요하다.
9. 역사
1935년 오스트레일리아 퀸즐랜드 브리즈번의 도살장 노동자들 사이에서 원인 불명의 열성 질환이 유행한 것이 에드워드 홀브룩 데릭(Edward Holbrook Derrick)에 의해 처음 보고되었다.[81][39] "Q"는 "query(의문)"의 약자로, 질병의 원인이 밝혀지지 않았을 때 붙여졌다. 이는 소 산업이나 퀸즐랜드 주에 부정적인 인식을 줄 수 있는 '도살장 열병'이나 '퀸즐랜드 리케차 열병' 같은 이름 대신 선택된 것이다.[40]
1937년, 프랭크 맥팔레인 버넷(Frank Macfarlane Burnet)과 메이비스 프리먼은 데릭이 보고한 환자 중 한 명에게서 박테리아를 분리하며 병원체를 발견했다.[82][41] 처음에는 이 박테리아를 ''리케차''(Rickettsia)의 한 종류로 여겼다.
1938년에는 미국 몬태나 주에서 H.R. 콕스(H.R. Cox)와 고든 데이비스(Gordon Davis)가 진드기에서 병원균을 분리하면서 진드기를 통한 전파 경로를 확인했다.[42] 큐열은 소, 양, 염소 등을 주요 동물 매개체로 하는 인수공통 감염병이다.
병원체는 발견자인 콕스와 버넷의 이름을 따서 ''Coxiella burnetii''로 명명되었다. 현재 ''Coxiella burnetii''는 리케차와는 유전적으로 거리가 멀고, ''레지오넬라''(Legionella) 및 ''프란시스엘라''(Francisella)와 더 유사한 감마프로테오박테리아로 분류된다.
큐열균은 감염력이 매우 강하여, 진드기 한 마리를 흡입하는 것만으로도 감염될 수 있다.
10. 사회와 문화
큐열에 대한 초기 언급은 초기 닥터 킬데어 시리즈 영화 중 하나인 1939년 작 ''닥터 킬데어 호출''에서 중요하게 다뤄졌다. 킬데어의 멘토인 길레스피 박사(라이오넬 배리모어)는 그의 제자가 "이국적인 진단"에 대해 헛되이 노력하는 것에 지쳐 ("Q열 같아요!") 그를 지역 진료소에서 일하도록 보낸다.[43][44]
11. 생물 무기
큐열균(콕시엘라 버네티)은 생물학적 무기 개발에 사용되어 왔다.[45]
미국은 1950년대에 큐열균을 잠재적인 생물학전 무기로 연구했으며, 'OU'라는 제제로 표준화했다. 포트 데트릭(Fort Detrick)과 듀그웨이 시험장(Dugway Proving Ground)에서는 화이트코트 작전의 자원자들을 대상으로 인체 실험을 실시하여 중간 감염량(18 MICLD50/person i.h.)과 감염 과정을 확인했다. 또한 데저트 시험 센터(Deseret Test Center)는 프로젝트 112와 프로젝트 SHAD 기간 동안 선박과 항공기를 이용하여 생물학적 제제 OU를 살포하는 실험을 진행했다.[46] 표준화된 생물학적 제제로서, 파인 블러프 병기창(Pine Bluff Arsenal)에서 대량으로 생산되었으며, 1970년 비무장화 당시 병기창에는 약 5098gal이 비축되어 있었다.
큐열균은 현재 CDC에 의해 "카테고리 B" 생물 테러리즘 제제로 분류된다.[47] 이는 큐열균이 전염성이 있고, 다양한 온도에서 에어로졸 형태로 매우 안정적이기 때문이다. 큐열 미생물은 표면에서 최대 60일 동안 생존할 수 있다. 감염을 일으키는 데 필요한 최소 세균 수(ID50)는 1로 알려져 있어 매우 낮은 편으로 간주되지만, 이 주장에 대해서는 논란이 있다 (CDC는 경우에 따라 10개 미만의 세균으로도 감염을 일으킬 수 있다고 명시하고 있으며, 50% 확률로 1개만으로 충분하다는 주장을 뒷받침하는 명확한 출처는 부족하다).
한편, 일본의 옴진리교 전 간부 엔도 세이이치는 교단 내에서 호흡 곤란을 호소하는 신자가 다수 발생했을 때, 이를 큐열로 잘못 진단하기도 했다. 하야시 후미오가 재검사를 통해 오진임을 밝혀냈지만, 교주 아사하라 쇼코는 미국군의 생물 무기 공격을 받아 큐열에 감염되었다고 주장했다.
12. 동물에서의 큐열
큐열은 소, 양, 염소, 들소,[48] 사슴[49][50]과 같은 반추동물뿐만 아니라, 개, 고양이,[51] 물개,[52] 설치류,[53] 파충류, 조류 등 다양한 종류의 가축 및 야생 동물에게 감염될 수 있다. 이 중에서 특히 반추동물(소, 염소, 양)은 가장 흔하게 감염되며, 큐열의 원인균인 콕시엘라 버네티(''Coxiella burnetii'')의 주요 숙주이자 저장소 역할을 하는 것으로 알려져 있다.[54] 감염된 동물은 분변, 우유, 또는 출산 관련 물질을 통해 균을 배출할 수 있다.
12. 1. 임상 증상
큐열의 임상 증상은 감염된 동물의 종류에 따라 다르게 나타난다. 특히 반추동물인 소, 양, 염소에서 주로 문제가 되며, 생식 관련 문제가 두드러진다.소의 경우, 실험 환경에서는 호흡기나 심장 감염 증상을 유발할 수도 있지만[55], 실제 농장에서 관찰되는 임상 증상은 주로 생식기와 관련이 있다. 이로 인해 큐열은 소에서 유산, 자궁내막염, 태반 잔류, 그리고 불임의 원인이 될 수 있다.[57][58][59] 소에서도 유산이 발생하기는 하지만, 양이나 염소에 비해 그 빈도가 낮고 산발적으로 나타나는 경향이 있다. 대신 태반 잔류나 자궁내막염과 같은 비특이적인 증상과 이로 인한 번식 장애가 더 흔하게 관찰된다.[57][58][59]
작은 반추동물인 양과 염소에서는 유산, 조산, 사산하거나 허약한 새끼를 낳는 증상이 주로 나타난다.[56] 특히 염소의 경우, 농장이 큐열 병원체에 처음 오염된 후 1~2년 동안 유산이 매우 빈번하고 집중적으로 발생하는 특징을 보이는데, 이를 '유산 폭풍'이라고 부른다.[56]
동물 종류에 따른 주요 임상 증상은 다음과 같이 요약할 수 있다.
12. 2. 역학
큐열은 뉴질랜드[24]와 남극[25]을 제외한 전 세계에서 발견되는 인수공통감염병이다. 병원체인 콕시엘라 버네티(''Coxiella burnetii'')는 생존력이 매우 강하고 독성이 높아 공중 보건상 중요하게 다루어진다.[32]주요 감염원은 반추동물(소, 염소, 양)이며, 이들은 박테리아의 저장소 역할을 한다.[54] 이 외에도 개, 고양이,[51] 물개,[52] 설치류,[53] 파충류, 조류, 들소,[48] 사슴[49][50] 등 다양한 가축 및 야생동물이 감염될 수 있다. 감염된 동물은 생식기 분비물, 배설물, 우유를 통해 균을 배출하며,[68] 특히 분만이나 유산 시 태반과 유산된 태아를 통해 대량의 균이 배출된다. 염소의 경우가 대표적이다.
''C. burnetii''는 환경 저항성이 매우 강하여 건조한 상태에서도 오래 생존하며, 공기 중 에어로졸 형태로 쉽게 퍼져나가 몇 킬로미터 떨어진 곳까지 전파될 수 있다.[69] 감염력이 매우 높아 단 하나의 균만 흡입해도 감염 및 발병을 일으킬 수 있다. 이러한 특성 때문에 실험실 내 감염 위험이 높아 생물 안전도 3등급으로 지정되어 있다. 사람은 주로 오염된 공기 중 먼지나 에어로졸 흡입을 통해 감염되며, 감염된 동물의 분변, 유제품 접촉이나 드물게 진드기에 물려서 감염되기도 한다. 식육 처리장, 양모 공장, 유가공 공장 등 특정 직업 환경에서 집단 발생 사례가 보고된 바 있다.
역학 조사에 따르면 전 세계적으로 소 농장의 약 3분의 1, 양 또는 염소 농장의 4분의 1이 감염된 것으로 추정되나,[60] 국가 및 연구별 편차는 크다. 중국, 이란, 영국, 독일, 헝가리, 네덜란드, 스페인, 미국, 벨기에, 덴마크, 크로아티아, 슬로바키아, 체코, 세르비아, 슬로베니아, 요르단 등 일부 국가에서는 소 사육 농가의 50% 이상이 감염된 것으로 보고되었다.[61][62][63][64][65][66][67]
지역별 역학 패턴도 다양하다. 아프리카에서는 열대 우림의 야생 동물이 주요 전파원으로 작용하여 풍토병 양상을 보인다.[25] 라틴 아메리카에서는 보고 체계의 불규칙성으로 인해 정확한 현황 파악에 어려움이 있다.[33] 네덜란드와 프랑스를 포함한 유럽 국가에서는 도시 근교의 집약적 염소 사육과 관련된 대규모 발병이 발생하여, 현대 축산업 방식이 인수공통감염병 확산에 미치는 영향에 대한 우려를 제기했다. 미국에서는 가축 사육이 활발한 서부와 대평원 지역에서 더 흔하게 발생하며, 특히 캘리포니아, 텍사스, 아이오와에서 보고 사례의 약 40%가 집중된다. 가축 번식기인 봄과 초여름에 발병률이 높아지는 경향을 보인다.[27]
큐열은 남성에게서 더 높은 유병률을 보이는데,[28][29] 이는 축산업, 수의학 등 관련 직업 종사 비율과 연관이 있을 수 있다.[30] 연령, 거주 지역, 직업적 노출 등이 주요 위험 요인으로 작용한다. 면역력이 저하된 사람은 감염 시 더 심각한 영향을 받을 수 있다.[32] 큐열은 생물학 무기로 전용될 가능성이 있어, 1999년 미국에서는 공식 신고 대상 질병으로 지정하였다.[32]
12. 3. 통제
역학 자료를 바탕으로 생물 보안 조치를 마련하여 감염 확산을 막을 수 있다.[70] 구체적으로는 감염된 농장의 거름이 바람에 날려 퍼지는 것을 막고, 분만 과정과 태아 및 관련 물질 처리 시 위생 관리를 철저히 하며, 태아는 가능한 한 빨리 수거하여 폐기해야 한다.[70]소, 염소, 양을 위한 백신이 개발되어 있다. 이 백신은 유산과 같은 임상 증상을 줄이고, 동물이 병원균을 배출하는 것을 감소시켜 가축 무리 내에서 큐열을 통제하는 데 도움을 준다.[71] 또한, 가축 무리에 대한 큐열 예방 접종은 사람의 감염 위험을 줄이는 효과도 있는 것으로 확인되었다.[72]
큐열의 원인균인 ''콕시엘라 부르네티''(Coxiella burnetii)의 작은 세포 형태는 건조한 환경이나 소독제에 대한 저항력이 매우 강하고 열 소독도 어려워 일반적인 환경 소독이 쉽지 않다. 가정에서 기르는 애완동물로부터의 감염을 예방하기 위해서는 동물을 들이기 전에 큐열 감염 여부를 검사하는 것이 필요하다.
13. 관련 법규
일본에서는 감염증의 예방 및 감염증 환자에 대한 의료에 관한 법률에 따라 큐열을 4류 감염증으로 지정하고 있으며, 모든 발생 사례를 의무적으로 신고해야 하는 전수 신고 질환이다.
또한, 큐열의 원인균인 ''콕시엘라 버네티''(Coxiella burnetii|콕시엘라 부르네티lat)를 불활성화하기 위해, 유 및 유제품의 성분 규격 등에 관한 성령에서는 다음과 같이 규정하고 있다: "생유 또는 생산양유를 사용하여 식품을 제조하는 경우에는, 해당 식품의 제조 공정 중에 생유 또는 생산양유를 보지식(保持式, LTLT)에 의해 63°C에서 30분간 가열 살균하거나, 또는 이와 동등 이상의 살균 효과를 갖는 방법으로 가열 살균해야 한다."
참조
[1]
서적
NORD Guide to Rare Disorders
Lippincott Williams & Wilkins
2003
[2]
웹사이트
Epidemiology and Statistics {{!}} Q Fever {{!}} CDC
https://www.cdc.gov/[...]
2019-09-16
[3]
논문
Genetic diversity of the Q fever agent, Coxiella burnetii, assessed by microarray-based whole-genome comparisons
2006-04
[4]
웹사이트
Q fever {{!}} Genetic and Rare Diseases Information Center (GARD) – an NCATS Program
https://rarediseases[...]
2018-04-17
[5]
웹사이트
Q Fever {{!}} CDC
https://www.cdc.gov/[...]
2017-12-27
[6]
서적
CDC Health Information for International Travel: The Yellow Book
https://archive.org/[...]
Oxford University Press
[7]
웹사이트
Coxiella/Q Fever
https://www.lecturio[...]
2021-07-07
[8]
논문
"[Is A29, B12 vasculitis caused by the Q fever agent? (Coxiella burnetii)]"
1992
[9]
논문
Chronic Q fever in the United States
2006-06
[10]
논문
Unexplained post-acute infection syndromes
2022-05
[11]
논문
Q fever
1999-10
[12]
논문
Current laboratory diagnosis of Q fever
2002-10
[13]
논문
Host cell-free growth of the Q fever bacterium Coxiella burnetii
2009-03
[14]
논문
Patient with fever and diarrhea
2006-05
[15]
뉴스
Dr. Paul Fiset, 78, Microbiologist And Developer of Q Fever Vaccine
https://www.nytimes.[...]
2001-03-08
[16]
웹사이트
Q fever Vaccine
http://www.csl.com.a[...]
2014-01-17
[17]
웹사이트
USCF communicable disease prevention program animal exposure surveillance program
http://cdp.ucsf.edu/[...]
2007-05-08
[18]
웹사이트
Australian Q Fever Register
https://www.qfever.o[...]
AusVet
2016-02-12
[19]
웹사이트
Q-Fever Vaccinations
https://fvas.unimelb[...]
2019-11-20
[20]
간행물
Q Fever (Coxiella burnetii) Eradication in a Dairy Herd by Using Vaccination with a Phase 1 Vaccine
[21]
논문
Reduction of Coxiella burnetii prevalence by vaccination of goats and sheep, The Netherlands
2011-03
[22]
논문
Managing Q fever during pregnancy: the benefits of long-term cotrimoxazole therapy
2007-09
[23]
웹사이트
Query Fever - MARI REF
https://mariref.com/[...]
2021-07-20
[24]
논문
Q fever
2007-04
[25]
논문
Current perspectives on the transmission of Q fever: Highlighting the need for a systematic molecular approach for a neglected disease in Africa
https://www.scienced[...]
2019-05-01
[26]
웹사이트
Q fever: MedlinePlus Medical Encyclopedia
https://medlineplus.[...]
2018-04-17
[27]
웹사이트
Q fever epidemiology and statistics {{!}} CDC
https://www.cdc.gov/[...]
2023-11-21
[28]
논문
Acute Q fever in adult patients: report on 63 sporadic cases in an urban area
1999-10
[29]
논문
An important outbreak of human Q fever in a Swiss Alpine valley
1987-06
[30]
웹사이트
Epidemiology and Statistics {{!}} Q Fever {{!}} CDC
https://www.cdc.gov/[...]
2019-09-16
[31]
논문
Q Fever: Epidemiology, Diagnosis, and Treatment
2008-05
[32]
서적
Q Fever
http://www.ncbi.nlm.[...]
StatPearls Publishing
2023-11-21
[33]
논문
The multifaceted Q fever epidemiology: a call to implement One Health approach in Latin America
2023-04-01
[34]
논문
Epidemiology of Q-fever in domestic ruminants and humans in Africa. A systematic review
2022-11-17
[35]
웹사이트
Q Fever and the US Military - Volume 11, Number 8—August 2005 - Emerging Infectious Diseases journal - CDC
https://wwwnc.cdc.go[...]
[36]
논문
Q Fever: Epidemiology, Diagnosis, and Treatment
2008-05
[37]
웹사이트
Prevention of Q fever {{!}} CDC
https://www.cdc.gov/[...]
2023-12-12
[38]
논문
Q Fever—A Neglected Zoonosis
2022-07-28
[39]
논문
"'Q' Fever a new fever entity: clinical features. diagnosis, and laboratory investigation"
https://onlinelibrar[...]
1937-08
[40]
서적
Q Fever: The Disease
CRC Press
[41]
논문
Experimental studies on the virus of "Q" fever
1983-07-01
[42]
논문
Public Health Weekly Reports for DECEMBER 30, 1938
1938-12
[43]
웹사이트
"''Calling Dr. Kildare''"
http://www.san.beck.[...]
Movie Mirrors Index
2013-04-30
[44]
논문
When Americans called for Dr. Kildare: images of physicians and nurses in the Dr. Kildare and Dr. Gillespie movies, 1937-1947
http://www.truthabou[...]
1985-09
[45]
논문
Q fever: a biological weapon in your backyard
2003-11
[46]
웹사이트
Deseret Test Center, Project SHAD, Shady Grove revised fact sheet
https://www.health.m[...]
[47]
논문
Complete genome sequence of the Q-fever pathogen Coxiella burnetii
2003-04
[48]
논문
Pathogens with potential impact on reproduction in captive and free-ranging European bison (Bison bonasus) in Poland - a serological survey
2021-11
[49]
논문
Coxiella burnetii infection in roe deer during Q fever epidemic, the Netherlands
2011-12
[50]
논문
Seroepidemiology of Coxiella burnetii in wild white-tailed deer (Odocoileus virginianus) in New York, United States
2012-11
[51]
논문
"Prevalence of ''Coxiella burnetii'' seropositivity and shedding in farm, pet and feral cats and associated risk factors in farm cats in Quebec, Canada"
2021-02
[52]
논문
Histologic lesions in placentas of northern fur seals (callorhinus ursinus) from a population with high placental prevalence of ''coxiella burnetii''
2022-04
[53]
논문
Detection of Lyme Disease and Q Fever Agents in Wild Rodents in Central Italy
2015-07
[54]
논문
Is Q Fever an emerging or re-emerging zoonosis?
2005-05
[55]
논문
FIÈVRE Q EXPÉRIMENTALE DES BOVINS
[56]
논문
Is Q fever an emerging or re-emerging zoonosis?
2005-05
[57]
논문
Coxiella burnetii in Infertile Dairy Cattle With Chronic Endometritis
2018-07
[58]
웹사이트
Prevalenza di Coxiella burnetii nel latte di massa in allevamenti di bovine da latte italiani e possibile correlazione con problemi riproduttivi
https://www.vetjourn[...]
[59]
서적
Impact de la vaccination et de l'antibiothérapie sur l'incidence des troubles de la reproduction et sur la fertilité dans des troupeaux bovins laitiers infectés par Coxiella Burnetii
http://worldcat.org/[...]
[60]
논문
Prevalence of Coxiella burnetii infection in domestic ruminants: a critical review
2011-04
[61]
논문
Q fever and seroprevalence of Coxiella burnetii in domestic ruminants
2018-12
[62]
논문
Q fever and prevalence of Coxiella burnetii in milk
2018-01-01
[63]
논문
Serological screening for Coxiella burnetii in the context of early pregnancy loss in dairy cows
2020-09
[64]
논문
Prevalence of Coxiella burnetii in bovine placentas in Hungary and Slovakia: Detection of a novel sequence type - Short communication
2021-10
[65]
논문
Prevalence and Risk Factors of Coxiella burnetii Antibodies in Bulk Milk from Cattle, Sheep, and Goats in Jordan
2017-04
[66]
논문
One Health Approach: An Overview of Q Fever in Livestock, Wildlife and Humans in Asturias (Northwestern Spain)
2021-05
[67]
논문
Increasing prevalence of Coxiella burnetii seropositive Danish dairy cattle herds
2014-07
[68]
논문
Coxiella burnetii shedding by dairy cows
2007-11
[69]
논문
A large outbreak of Q fever in the West Midlands: windborne spread into a metropolitan area?
https://pubmed.ncbi.[...]
1998-09
[70]
논문
Management of Coxiella burnetii infection in livestock populations and the associated zoonotic risk: A consensus statement
2018-09
[71]
웹사이트
Coxevac | European Medicines Agency
https://www.ema.euro[...]
2018-09-17
[72]
논문
The Q fever epidemic in The Netherlands: history, onset, response and reflection
2011-01
[73]
웹인용
Epidemiology and Statistics {{!}} Q Fever {{!}} CDC
https://www.cdc.gov/[...]
2019-09-16
[74]
서적
NORD Guide to Rare Disorders
Lippincott Williams & Wilkins
2003
[75]
저널
https://www.ncbi.nlm[...]
[76]
웹인용
https://rarediseases[...]
2020-04-25
[77]
웹인용
https://www.cdc.gov/[...]
2020-04-25
[78]
서적
https://www.worldcat[...]
[79]
웹인용
http://m.amc.seoul.k[...]
2020-04-25
[80]
웹인용
http://health.cdc.go[...]
2020-04-25
[81]
저널
http://dx.doi.org/10[...]
[82]
저널
http://dx.doi.org/10[...]
본 사이트는 AI가 위키백과와 뉴스 기사,정부 간행물,학술 논문등을 바탕으로 정보를 가공하여 제공하는 백과사전형 서비스입니다.
모든 문서는 AI에 의해 자동 생성되며, CC BY-SA 4.0 라이선스에 따라 이용할 수 있습니다.
하지만, 위키백과나 뉴스 기사 자체에 오류, 부정확한 정보, 또는 가짜 뉴스가 포함될 수 있으며, AI는 이러한 내용을 완벽하게 걸러내지 못할 수 있습니다.
따라서 제공되는 정보에 일부 오류나 편향이 있을 수 있으므로, 중요한 정보는 반드시 다른 출처를 통해 교차 검증하시기 바랍니다.
문의하기 : help@durumis.com
