맨위로가기

방사선 치료

"오늘의AI위키"는 AI 기술로 일관성 있고 체계적인 최신 지식을 제공하는 혁신 플랫폼입니다.
"오늘의AI위키"의 AI를 통해 더욱 풍부하고 폭넓은 지식 경험을 누리세요.
목차

1. 개요

방사선 치료는 암세포의 DNA를 손상시켜 암을 치료하는 방법으로, 근치적 목적과 완화적 목적으로 사용된다. 근치적 치료는 암을 완전히 제거하여 완치를 목표로 하며, 완화적 치료는 암으로 인한 증상을 완화하고 삶의 질을 개선하는 데 중점을 둔다. 방사선 치료는 외부 방사선 치료, 근접 방사선 치료, 방사성 동위원소 치료 등 다양한 종류가 있으며, 암의 종류, 병기, 환자의 상태에 따라 적절한 치료법이 선택된다. 방사선 치료는 암세포뿐만 아니라 정상 조직에도 영향을 미쳐 다양한 부작용을 유발할 수 있으며, 급성 및 만성 부작용의 정도는 방사선량, 치료 부위 등에 따라 다르다. 1895년 X선 발견 이후 방사선 치료는 지속적으로 발전해 왔으며, CT, MRI, PET 등의 영상 기술 발달과 함께 정밀하고 효과적인 치료가 가능해졌다.

광고

더 읽어볼만한 페이지

  • 방사선학 - 방사성 추적자
    방사성 추적자는 화합물 내 원자를 방사성 동위 원소로 대체하여 화학 반응 연구나 생체 내 분포 영상화에 사용되는 물질로, 핵반응을 통해 인공 생산되며 의학, 생물학, 공학 등 다양한 분야에서 활용된다.
  • 방사선학 - 조영제
    조영제는 의료 영상 촬영에서 내부 장기나 혈관을 돋보이게 하는 의약품으로, 투여 경로와 목적에 따라 다양한 검사에 사용되지만 알레르기 반응, 신장 손상 등의 부작용을 유발할 수 있어 주의가 필요하다.
  • 의학 분야 - 산부인과
    산부인과는 임신, 출산, 여성 생식기 질환을 다루는 의학 분야이며, 미국에서는 다양한 세부 전문 분야로, 한국에서는 1920년대에 근대적 산부인과가 등장하여 다양한 시술을 시행하고, 여성의학과로 명칭 변경 움직임이 있었다.
  • 의학 분야 - 응급의학
    응급의학은 모든 연령대의 환자를 대상으로 급성 및 긴급한 질환을 예방, 진단, 관리하는 의학 분야이며, 1960년대부터 전문 분야로 발전하여 응급의료체계, 소생의학, 외상학 등을 포함하고 윤리적 및 법의학적 문제도 다룬다.
  • 방사선이 건강에 미치는 영향 - 피폭자
    피폭자는 핵무기 및 방사능 노출로 피해를 입은 사람을 의미하며, 급성 및 만성 방사선 증후군, 유전적 영향, 사회적 차별 등의 문제를 겪을 수 있으며, 여러 국가와 국제기구에서 지원 노력을 기울이고 있다.
  • 방사선이 건강에 미치는 영향 - 발암물질
    발암물질은 유전적 손상이나 세포 성장 촉진을 통해 암을 유발하는 물질로, 유전독성 및 비유전독성 기전을 가지며, 담배 연기, 석면, 방사선, 특정 화학물질, 바이러스 등 다양한 종류가 존재하고, 여러 기관에서 각기 다른 기준으로 분류되며, 다양한 시험 방법을 통해 발암성을 평가한다.

2. 방사선 치료의 목적

방사선 치료는 암 치료에 있어 중요한 역할을 하며, 크게 근치적 목적과 완화적 목적으로 사용된다.


  • 근치적 목적: 암을 완전히 제거하여 재발을 방지하고 완치를 목표로 한다.
  • 완화적 목적: 암으로 인한 통증, 골절 위험, 장기 기능 저하 등의 증상을 완화하고 삶의 질을 개선한다.


방사선 치료는 국소 요법이며, 보통 종양이 있는 부분만을 목표로 하지만, 림프절곽청과 같이 영역 림프절이나 그 근방을 포함하기도 한다. 또한, 백혈병 등 골수이식 전 처치로 전신에 조사하는(전신 조사) 치료법도 있다. 방사선 치료는 “절개하지 않고 치료하는 것”이며, 수술과 달리 장기 보존(형태 및 기능)을 가능하게 한다.

2. 1. 근치적 목적

암을 완전히 제거하여 재발을 방지하고 완치를 목표로 한다. 주위 정상 조직의 피해는 최소화하면서 암 덩어리에 정확하게 방사선을 투여한다.[5] 암 종류에 따라 방사선 치료에 대한 반응이 다르다.[6][7][8]

방사선 감수성이 높은 암세포는 적당량의 방사선으로도 빠르게 사멸한다. 여기에는 백혈병, 대부분의 림프종, 그리고 생식세포종양이 포함된다. 대부분의 상피암은 중간 정도의 방사선 감수성만 가지고 있어 근치적 치료를 위해서는 훨씬 높은 선량(60~70 Gy)의 방사선이 필요하다. 일부 암은 특히 방사선 저항성이 높아, 근치적 치료를 위해서는 임상적으로 안전한 수준을 넘어서는 훨씬 높은 선량이 필요하다. 신세포암과 흑색종은 일반적으로 방사선 저항성이 있는 것으로 간주되지만, 전이성 흑색종 환자에게는 방사선 치료가 완화 치료법으로 여전히 사용된다.

교모세포종(다형성교뇌교종) 환자에 대한 방사선 치료, 방사선량은 색상으로 구분됨


현대 방사선 치료는 CT 스캔을 사용하여 종양과 주변 정상 구조를 식별하고 복잡한 방사선 치료 계획을 수립하기 위한 선량 계산을 수행한다. 환자는 치료 영역의 위치를 안내하기 위해 피부에 작은 표시를 받는다.[10] 환자의 자세는 매우 중요하며, 마스크와 쿠션 등 환자의 신체에 맞출 수 있는 다양한 환자 고정 장치가 개발되었다.

종양의 방사선 치료 반응은 크기와도 관련이 있다. 매우 큰 종양은 작은 종양이나 미세 질환에 비해 방사선의 영향을 덜 받는다. 이러한 효과를 극복하기 위해 방사선 치료 전에 수술적 절제를 하거나, 신보조 화학 요법으로 종양을 줄이거나, 방사선 치료 과정 중 특정 약물을 투여하여 암의 방사선 감수성을 높이는 방법이 사용된다.

방사선 치료의 영향은 암 종류와 환자 집단에 따라 다르다.[12] 예를 들어, 유방 보존 수술 후 유방암의 경우 방사선 치료는 질병 재발률을 절반으로 줄이는 것으로 나타났다.[13]

방사선 치료는 “절개하지 않고 치료하는 것”이며, 수술과 달리 장기 보존(형태 및 기능)을 가능하게 한다. 다음은 방사선 치료가 근치적 목적으로 사용되는 대표적인 암 종류이다.

암 종류치료 방법비고
유방암유방 보존 수술 후 접선 조사, 유방 절제 후 다수 림프절 전이 시 접선 조사 + 쇄골상 조사 (50 Gy / 25 fr)
전립선암[137]세기조절 방사선 치료 (78 Gy 39 fr)국소 증례
폐암정위 방사선 치료, 동시 항암 방사선 요법
결장직장암수술 전 조사, 완화 조사해외에서 주로 시행
뇌종양
두경부암 (후두암, 인두암, 부비동암, 구강암 (설암, 치은암, 협점막암) 등)|
식도암
간암
자궁경부암 등 부인과 암
방광암
악성림프종
췌장암


2. 2. 완화적 목적 (증상 완화 목적)

암으로 인한 통증, 골절 위험, 장기 기능 저하 등의 증상을 완화하고 삶의 질을 개선한다.[5] 암의 크기를 줄이거나 전이를 억제하여 생명 연장을 도모한다. 방사선 치료는 특히 전이성 흑색종 환자에게 완화 치료법으로 사용된다.[9]

대표적인 완화 치료 대상은 다음과 같다.

  • 골 전이의 통증 및 골절 예방
  • 뇌 전이에 의한 신경 증상
  • 종격 종양에 의한 상대 정맥 증후군


방사선 치료는 전신 침습이 적어 고령자나 전신 상태가 악화된 환자에게도 부담이 적은 치료법이며, 완화 의료의 중요한 수단이다.

3. 방사선 치료의 종류

방사선 치료는 크게 세 가지 주요 분류로 나눌 수 있다.[68][69]


  • 외부 방사선 치료(EBRT): 신체 외부에서 방사선을 조사하는 방법.
  • 근접 방사선 치료: 밀봉된 방사성 동위원소를 치료 부위에 정확하게 배치하는 방법.
  • 전신 방사성 동위원소 치료: 방사성 동위원소를 주입하거나 경구 섭취하여 투여하는 방법.


입자선 치료는 외부 방사선 치료의 특수한 경우로, 양성자나 더 무거운 이온을 사용한다.

방사선 치료는 켈로이드, 갑상선 안병증, 수막종, 청신경종, 뇌하수체 선종 등 일부 양성 질환[136]과 거의 모든 악성 종양에 적용될 수 있다. 수술, 항암 화학요법, 호르몬 요법 등과 병행하여 종합적 치료의 일환으로 이용되기도 한다.

방사선 치료는 "절개하지 않고 치료하는 것"이 특징이며, 수술과 달리 장기 보존(형태 및 기능)을 가능하게 한다. 특히 두경부 종양 등 절제술로 인해 삶의 질(QOL) 저하가 큰 경우에 우선적으로 선택되는 치료법이다.

치료 가능한 병기에서는 "근치 치료"의 중요한 선택지로 시행되며, 암이 치유 불가능한 병기나 재발, 전이암의 경우에도 증상 완화를 위한 "완화 치료"로 널리 사용된다. 전신 침습이 적어 고령자나 전신 상태가 악화된 환자에게도 부담이 적다는 장점이 있다.

암의 위치, 크기, 종류에 따라 최적의 치료법이 선택된다.[150] 선형가속기를 이용한 외부 조사와 병소 내부 또는 근처에 방사성 물질을 두는 근접조사로 분류할 수 있다.

방사선 치료의 성적을 향상시키기 위해 암세포와 정상세포의 방사선 감수성 차이를 넓혀 생물학적인 의미에서의 고선량을 투여하는 생물학적인 시도와, 물리적으로 방사선을 종양에 집중시키는 방법이 연구되어 왔다.[157]

고정도 방사선 치료는 전용 장치·기구를 사용하여 목표 영역에 고정도의 정확성으로 방사선을 집중시키는 방법이다.[157] 여기에는 특수한 고정구에 의한 설정 오차 감소, 종양 또는 정상 장기의 이동 제어, 강도변조방사선치료(IMRT) 등이 포함된다.[157]

3. 1. 외부 방사선 치료 (External Beam Radiation Therapy, EBRT)

외부 방사선 치료(External Beam Radiation Therapy, EBRT)는 체외에서 방사선을 조사하여 암세포를 파괴하는 방법으로, 가장 널리 사용되는 방사선 치료 방법이다. 2022년 미국에서 진단된 침윤성 암 사례 중 절반가량이 치료 과정에서 방사선 치료를 받은 것으로 추산된다.[5]

암의 종류에 따라 방사선 치료에 대한 반응, 즉 방사선 감수성은 다르다.[6][7][8] 방사선 감수성이 높은 암세포는 적은 양의 방사선으로도 빠르게 사멸하는데, 백혈병, 대부분의 림프종, 생식세포종양 등이 이에 해당한다. 대부분의 상피암은 중간 정도의 방사선 감수성을 가지며, 근치적 치료를 위해서는 60~70 Gy의 높은 선량이 필요하다. 신세포암과 흑색종과 같이 방사선 저항성이 높은 암도 있지만, 전이성 흑색종 환자에게는 방사선 치료가 완화 치료법으로 사용되기도 한다. 방사선 치료와 면역 요법의 병행은 흑색종 및 기타 암에 대해 효과가 있는 것으로 나타나 활발히 연구되고 있다.[9]

종양의 방사선 감수성과 실제 임상에서의 암 치료 가능성은 구분해야 한다. 예를 들어, 백혈병은 전신으로 전이되므로 방사선 치료로 치료하기 어렵지만, 림프종은 신체 한 부위에 국한된 경우 근치적으로 치료할 수 있다. 비흑색종 피부암, 두경부암, 유방암, 비소세포폐암, 자궁경부암, 항문암, 전립선암 등은 초기 단계에서 근치적 선량의 방사선 치료를 받는다. 그러나 전이성 암은 방사선 치료로 치료할 수 없다.

현대 방사선 치료는 CT 스캔을 이용하여 종양과 주변 정상 구조를 식별하고, 복잡한 방사선 치료 계획을 수립한다.[10] 환자는 치료 영역의 위치를 안내하기 위해 피부에 작은 표시를 받으며,[10] 치료 시 동일한 자세를 유지하는 것이 중요하기 때문에 환자 고정 장치가 사용된다. 영상 유도 방사선 치료는 영상을 통해 치료 위치 오차를 수정하는 방법이다.

종양의 크기 또한 방사선 치료 반응에 영향을 미친다. 큰 종양은 작은 종양보다 방사선의 영향을 덜 받기 때문에, 수술적 절제, 신보조 화학 요법, 방사선 감수성을 높이는 약물 투여 등의 방법이 사용된다.[11]

방사선 치료의 효과는 암 종류와 환자 집단에 따라 다르다.[12] 예를 들어, 유방 보존 수술 후 유방암의 경우 방사선 치료는 재발률을 절반으로 줄이며,[13] 췌장암의 경우, 불가능한 종양에 대한 방사선 치료는 생존 기간을 연장시킨다.[14]

방사선 치료는 암의 위치, 크기, 종류에 따라 최적의 치료법을 선택하여 주변 정상 조직의 손상을 최소화한다. 외부 조사는 선형가속기를 이용하여 체외에서 체내 병소 부위를 향해 방사선을 조사하는 방법이다.

3. 1. 1. 일반적인 외부 방사선 치료 (Conventional External Beam Radiation Therapy)

역사적으로 일반적인 외부 빔 방사선 치료(2DXRT)는 킬로볼트 치료 X선 장치, 고에너지 X선을 생성하는 의료 선형 가속기 또는 외관상 선형 가속기와 유사하지만 밀봉된 방사성 소스를 사용하는 기계를 사용하여 2차원 빔을 통해 전달되었다.[70][71] 2DXRT는 주로 환자에게 여러 방향(주로 앞 또는 뒤, 그리고 양쪽)에서 전달되는 단일 방사선 빔으로 구성된다.

'기존'이라는 용어는 선형 가속기 작동을 재현하는 시뮬레이터로 알려진 특수 보정된 진단 X선 기계에서 치료를 '계획'하거나 '시뮬레이션'하는 방식과, 원하는 '계획'을 달성하기 위한 일반적으로 잘 확립된 방사선 빔 배열을 의미한다. 시뮬레이션의 목표는 치료할 부피를 정확하게 표적화하거나 국한하는 것이다. 이 기술은 잘 확립되어 있으며 일반적으로 빠르고 신뢰할 수 있다. 문제는 일부 고용량 치료의 경우 표적 종양 부피 근처에 있는 건강한 조직의 방사선 독성 용량에 의해 제한될 수 있다는 점이다.

이 문제의 예는 전립선 샘 방사선에서 볼 수 있는데, 인접한 직장의 민감성으로 인해 2DXRT 계획을 사용하여 안전하게 처방할 수 있는 용량이 제한되어 종양 조절을 쉽게 달성할 수 없을 수 있다. CT가 발명되기 전에는 의사와 물리학자들은 암 조직과 건강한 조직 모두에 전달되는 실제 방사선 용량에 대한 지식이 제한적이었다. 이러한 이유로 3차원 조형 방사선 치료가 거의 모든 종양 부위의 표준 치료가 되었다. 최근에는 MRI, PET, SPECT, 초음파를 포함한 다른 형태의 영상이 사용되고 있다.[72]

3. 1. 2. 3차원 입체 조형 방사선 치료 (3D Conformal Radiation Therapy, 3DCRT)

컴퓨터 단층 촬영(CT) 영상을 기반으로 종양의 3차원적인 형태를 파악하여 방사선을 조사하는 방법이다. 3차원 입체 조형 방사선 치료(3DCRT)에서는 빔의 눈 관점에서 다엽 콜리메이터(MLC)와 가변적인 수의 빔을 사용하여 각 방사선 빔의 프로파일을 종양의 프로파일에 맞춘다. 치료 부위가 종양의 형태에 맞춰지면 주변 정상 조직에 대한 방사선의 상대적 독성이 감소하여 기존 기술보다 종양에 더 높은 선량의 방사선을 전달할 수 있다.[10]

3. 1. 3. 세기 변조 방사선 치료 (Intensity-Modulated Radiation Therapy, IMRT)

바리안 TrueBeam 선형가속기(Linear Accelerator). IMRT 시술에 사용된다.


세기변조방사선치료(Intensity-modulated radiation therapy, IMRT)는 3차원 입체조형 방사선 치료(3DCRT)의 차세대 기술로, 고정밀 방사선 치료의 한 종류이다.[76] IMRT는 오목한 종양 형태에도 치료 부위를 정확하게 조형하는 능력을 향상시킨다.[10] 예를 들어 척수, 주요 장기, 혈관과 같이 취약한 구조물을 종양이 둘러싸고 있는 경우에 유용하다.[77]

컴퓨터로 제어되는 X선 가속기는 악성 종양이나 종양 내 특정 부위에 정확한 방사선량을 분배한다. 방사선 조사 패턴은 최적화 및 치료 시뮬레이션(치료 계획)을 수행하기 위해 맞춤형 컴퓨팅 응용 프로그램을 사용하여 결정된다. 방사선 빔의 세기를 제어하거나 변조하여 방사선량이 종양의 3차원 형태와 일치하도록 한다. 종양의 대부분을 차지하는 부위(gross tumor volume) 근처에서는 방사선량 강도를 높이고, 인접한 정상 조직의 방사선량은 감소시키거나 완전히 피한다. 이는 3DCRT보다 더 나은 종양 표적화, 감소된 부작용, 향상된 치료 결과를 가져온다.

3DCRT는 여전히 많은 신체 부위에 광범위하게 사용되지만, IMRT는 중추신경계(CNS), 두경부, 전립선, 유방, 폐와 같이 더 복잡한 신체 부위에서 사용이 증가하고 있다. 그러나 IMRT는 경험 많은 의료 인력의 추가 시간이 필요하다는 한계가 있다. 의사가 전체 질병 부위에 걸쳐 CT 영상을 하나씩 수동으로 종양을 구획해야 하므로 3DCRT 준비보다 시간이 훨씬 오래 걸릴 수 있다. 그런 다음 방사선 물리학자와 선량측정사가 실행 가능한 치료 계획을 만들어야 한다. 또한 IMRT 기술은 가장 발전된 암 센터에서도 1990년대 후반부터 상업적으로 사용되었기 때문에, 전문의 과정에서 이를 배우지 못한 방사선 종양학자는 IMRT를 시행하기 전에 추가적인 교육 자료를 찾아야 한다.

기존 방사선 치료(2DXRT)에 비해 이 두 가지 기술 중 어느 하나라도 생존율 향상 효과를 보이는 증거는 많은 종양 부위에서 증가하고 있지만, 독성을 줄이는 능력은 일반적으로 인정된다. 특히 로열 마스덴 병원의 크리스토퍼 너팅(Christopher Nutting) 교수가 수행한 일련의 중요한 임상 시험에서 두경부암의 경우가 이에 해당한다.[78] 두 기술 모두 용량 증강을 가능하게 하여 유용성을 높일 수 있다. 다만, IMRT의 경우 정상 조직의 방사선 노출 증가 및 그에 따른 이차 악성 종양 발생 가능성에 대한 우려가 제기되었다.[78] 영상의 정확성에 대한 과신은 계획 스캔에서 보이지 않는 병변(따라서 치료 계획에 포함되지 않음)을 놓칠 가능성이나 치료 중 또는 치료 사이에 병변이 이동할 가능성(예: 호흡이나 부적절한 환자 고정)을 증가시킬 수 있다. 이러한 불확실성을 더 잘 제어하기 위해 실시간 영상과 치료 빔의 실시간 조정을 결합하는 영상 유도 방사선 치료 또는 4차원 방사선 치료와 같은 새로운 기술이 개발되고 있다.

또 다른 기술로는 종양 내부 또는 종양 근처에 이식된 하나 이상의 소형 이식형 전기 장치의 실시간 추적 및 위치 확인이 있다. 이 목적으로 사용되는 다양한 유형의 의료용 이식 장치가 있는데, 여러 개의 송신 코일이 생성하는 자기장을 감지한 다음 측정값을 위치 확인 시스템으로 다시 전송하여 위치를 결정하는 자기 트랜스폰더가 될 수 있다.[79] 또는 이식형 장치가 센서 어레이에서 수신되어 종양 위치의 위치 확인 및 실시간 추적에 사용되는 RF 신호를 송신하는 소형 무선 송신기가 될 수도 있다.[80][81]

IMRT의 잘 알려진 문제로는 겹치는 다엽 콜리메이터(MLC, multileaf collimator) 잎의 긴 혀와 홈을 통해 조사함으로써 발생하는 원치 않는 과소 조사를 초래하는 "혀와 홈 효과(tongue and groove effect)"가 있다.[82] 이 문제에 대한 해결책이 개발되었지만, 이는 TG 효과를 무시할 만한 수준으로 줄이거나 완전히 제거하는 것이며, 사용되는 IMRT 방법에 따라 달라지고 일부는 자체 비용이 발생한다.[82] 어떤 자료에서는 조리개의 양쪽 또는 한쪽이 막히는지에 따라 "혀와 홈 오류(tongue and groove error)"와 "혀 또는 홈 오류(tongue or groove error)"를 구분한다.[83]

3. 1. 4. 영상 유도 방사선 치료 (Image-Guided Radiation Therapy, IGRT)

영상 유도 방사선 치료(Image-Guided Radiation Therapy, IGRT)는 실시간 영상과 치료 빔의 실시간 조정을 결합한 기술로, 4차원 방사선 치료라고도 불린다.[78] 이 치료법은 치료 중 실시간으로 영상을 확인하여 종양의 위치를 추적하고, 종양의 움직임에 따라 방사선 조사를 조절하여 정확도를 높인다.

종양 위치의 불확실성을 줄이기 위해 개발된 기술로는 종양 내부 또는 근처에 이식된 소형 전기 장치의 실시간 추적 및 위치 확인이 있다. 이 목적으로 사용되는 의료용 이식 장치에는 여러 종류가 있다. 예를 들어, 여러 개의 송신 코일이 생성하는 자기장을 감지하여 측정값을 위치 확인 시스템으로 전송하는 자기 트랜스폰더가 있다.[79] 또는, 센서 어레이에서 수신되어 종양 위치 확인 및 실시간 추적에 사용되는 RF 신호를 송신하는 소형 무선 송신기가 이식형 장치가 될 수도 있다.[80][81]

3. 1. 5. 정위적 방사선 치료 (Stereotactic Radiation Therapy)

정위 방사선 치료는 특수한 형태의 외부 방사선 치료이다. 매우 정밀한 영상 스캔을 사용하여 명확하게 정의된 종양을 표적으로 하는 집중된 방사선 빔을 사용한다.[73] 방사선 종양학과 의사가 정위 치료를 시행하며, 뇌나 척추 종양의 경우 종종 신경외과 의사의 도움을 받는다.

정위 방사선 치료에는 두 가지 유형이 있다.

  • '''정위 방사선 수술'''(SRS, Stereotactic Radiosurgery)은 의사가 뇌 또는 척추에 대한 단일 또는 여러 차례의 정위 방사선 치료를 사용하는 경우이다.
  • '''정위적 체부 방사선 치료'''(SBRT, Stereotactic Body Radiation Therapy)는 폐와 같이 신체의 한 부위에 대한 단일 또는 여러 차례의 정위 방사선 치료를 말한다.[73]


일부 의사들은 정위 치료의 장점으로 종종 6~11주가 걸리는 기존 치료보다 더 짧은 시간에 적절한 양의 방사선을 암에 전달한다는 점을 지적한다.[73] 또한, 치료는 매우 정확하게 이루어지므로 건강한 조직에 대한 방사선의 영향을 제한할 수 있다. 정위 치료의 한 가지 문제점은 특정 작은 종양에만 적합하다는 점이다.[73]

많은 병원에서 SRS 또는 SBRT라는 이름 대신 제조업체의 이름으로 치료를 부르기 때문에 정위 치료는 혼란스러울 수 있다. 이러한 치료의 브랜드 이름으로는 Axesse, 사이버나이프, 감마나이프, Novalis, Primatom, Synergy, 엑스나이프, 토모테라피, Trilogy 및 트루빔이 있다.[74]

고정도 방사선 치료는 방사선 치료 시 전용 장치·기구를 사용하여 목표 영역에 고정도의 정확성으로 방사선을 집중시켜 시행하는 치료 방법의 총칭이다.[157] 여기에는 특수한 고정구에 의한 설정 오차의 저감, 환자 체내에서 종양 또는 정상 장기의 이동 제어에 의한 방사선 조사 범위의 최소화 등이 포함된다.[157] 특히 보편화된 고정도 방사선 치료로는 정위적 방사선 치료(핀포인트 조사)가 있으며, 뇌 전이 증례에 대한 감마나이프 치료, 수술 적응이 없는 조기 폐암 증례에 대한 체간부 정위 방사선 치료와 같이 비침습적이고 치료 효과가 높은 수단으로서 치료의 선택지가 되고 있다.[157]

3. 1. 6. 양성자 치료 (Proton Therapy)

양성자 치료는 입자선 치료의 일종으로, 수소 원자의 핵을 가속하여 얻은 고에너지 양성자를 종양에 조사하는 방법이다.[95] 양성자는 조직을 통과하면서 선량이 증가하다가 범위 끝에서 최대값(브래그 피크)에 도달한 후 거의 0으로 떨어진다. 이러한 특징 덕분에 종양 주변의 건강한 조직은 손상을 덜 받는다.

3. 1. 7. 중입자 치료 (Heavy Ion Therapy)

중입자 치료는 입자선 치료의 일종으로, 양성자 치료와 같이 에너지가 높은 이온화 입자를 사용한다. 입자가 조직을 통과하면서 선량이 증가하여 입자 범위가 끝나는 지점(브래그 피크)에서 최대가 되고, 이후 거의 0으로 떨어진다. 이러한 특징 덕분에 암세포 주변의 건강한 조직에는 에너지가 적게 전달된다.[95]

3. 1. 8. 체적 변조 회전 방사선 치료 (Volumetric Modulated Arc Therapy, VMAT)

체적 변조 회전 방사선 치료(VMAT, Volumetric Modulated Arc Therapy)는 2007년에 도입된 방사선 치료 기법으로,[84] 종양 부위를 정확하게 조사하면서 정상 조직의 손상을 최소화하는 정교한 방사선량 분포를 구현할 수 있다. 이 기법은 치료 중에 세 가지 요소를 조절한다. VMAT는 선형가속기를 회전시키면서(일반적으로 1개 이상의 호를 사용하여 360° 회전) 다엽 콜리메이터(MLC, Multileaf Collimator)를 이용하여 방사선의 속도와 모양을 변경하고(슬라이딩 윈도우 시스템 이동), 의료용 선형가속기의 선량률(fluence output rate)을 조절하여 방사선을 조사한다. VMAT는 기존의 정적 강도 변조 방사선 치료(IMRT)에 비해 방사선 조사 시간을 단축할 수 있다는 장점이 있다.[85][86]

건강한 조직과 위험 장기(OAR, Organs at Risk) 보호 효과 측면에서 VMAT와 기존 IMRT를 비교한 결과는 암 종류에 따라 다르다. 인두암, 구인두암, 하인두암 치료에서는 VMAT가 위험 장기 보호에 비슷하거나 더 나은 결과를 제공한다.[84][85][86] 전립선암 치료의 경우 위험 장기 보호 결과는 엇갈리며,[84] VMAT가 더 유리하다는 연구 결과와 IMRT가 더 유리하다는 연구 결과가 모두 존재한다.[87]

3. 1. 9. 자동 방사선 치료 계획 (Automated Planning)

자동 방사선 치료 계획은 방사선 치료 계획 과정의 필수적인 부분이 되었다. 여기에는 크게 두 가지 접근 방식이 활용된다.

1. 지식 기반 계획(Knowledge-based planning): 이 방식은 기존에 축적된 고품질 치료 계획 데이터베이스(라이브러리)를 활용한다. 이를 통해 새로운 환자의 치료 계획을 세울 때, 종양(표적) 및 주변 위험 기관의 선량-용적 히스토그램(dose-volume histogram)을 예측하여 최적의 치료 계획을 수립할 수 있다.[90]

2. 프로토콜 기반 계획(Protocol-based planning): 이 방식은 숙련된 치료 계획 전문가의 지식과 경험을 모방하여 치료 계획을 자동화한다. 치료 프로토콜(protocol)에 기반하여 반복적인 과정을 거쳐 계획의 질을 평가하고 최적화한다.[91][92][93][94]

이러한 자동 방사선 치료 계획 방식들은 인공지능(AI) 기술을 활용하여 치료 계획 시간을 단축하고, 치료의 정확성과 일관성을 높이는 데 기여하고 있다.

3. 1. 10. 움직임 보상 (Motion Compensation)

외부 방사선 치료에서 환자는 몸의 움직임을 최소화하기 위해 고정 장치를 사용하지만, 호흡과 같은 움직임은 완전히 억제할 수 없다.[97][98] 이러한 움직임은 치료에 영향을 줄 수 있어, 이를 보상하기 위한 여러 기술이 개발되었다.

심호흡 정지법(Deep Inspiration Breath-Hold, DIBH)은 유방 치료에 주로 사용된다. 환자가 숨을 깊게 들이마신 후 멈추면, 치료 빔을 안정적으로 조사할 수 있다.[99] 이 방법은 맥박측정기나 카메라, 마커를 이용해 자동으로 수행할 수 있다.

호흡 게이트 방식 치료는 환자가 자유롭게 호흡하는 동안, 호흡 주기의 특정 시점에만 빔을 작동시키는 방법이다.[100] 이 방법에는 4DCT 영상과 외부 모니터링 시스템이 사용된다.

이 외에도 4DCT 영상을 활용해 움직임을 고려한 여유 공간을 포함, 치료 계획을 세우거나 치료대나 빔을 움직여 움직임을 추적하는 방법도 있다.[101]

3. 2. 근접 방사선 치료 (Brachytherapy)

근접조사법(brachytherapy)은 방사성 동위원소를 종양 내부나 바로 옆에 위치시켜 방사선을 조사하는 방법이다. 자궁경부암[105], 전립선암[106], 유방암[107], 피부암[108] 등 다양한 암 치료에 효과적이며, 다른 신체 부위의 종양 치료에도 사용될 수 있다.[109]

근접조사법은 방사선원을 종양에 직접 위치시키기 때문에 방사선 조사가 매우 국소적인 영역에만 영향을 미쳐, 주변 건강한 조직의 방사선 노출을 줄인다. 이는 원거리 방사선 치료에 비해 종양에는 높은 선량의 방사선을 조사하면서도 주변 조직 손상 가능성은 줄이는 장점을 제공한다.[109][110] 또한, 치료 시간이 짧아 암세포가 분열하고 성장할 가능성을 줄일 수 있다.[110]

SAVI 근접조사법 장치

3. 2. 1. 접촉 X선 근접 치료 (Contact X-ray Brachytherapy)

접촉 X선 근접치료(CXB, 전자 근접치료 또는 파피용 기법이라고도 함)는 저에너지(50 kVp) 킬로볼트 X선을 종양에 직접 조사하여 직장암을 치료하는 방사선 치료의 한 유형이다.[102][103][104] 이 치료법은 내시경 검사로 직장 내 종양을 확인하고, 항문을 통해 치료용 어플리케이터를 직장 내 종양에 삽입하여 암 조직에 고정한다. 이후 어플리케이터에 치료관을 삽입하여 4주 동안 2주 간격으로 세 번에 걸쳐 종양에 직접 고선량의 X선(30Gy)을 조사한다. 이 치료법은 주로 수술이 적합하지 않은 환자의 조기 직장암 치료에 사용된다.[102][103][104] 2015년 NICE 검토에 따르면, 주요 부작용으로 약 38%의 환자에게서 출혈이 발생했고, 27%의 환자에게서 방사선 유발 궤양이 발생했다.[102]

3. 3. 방사성 동위원소 치료 (Radionuclide Therapy)

방사성핵종 치료(전신 방사성동위원소 치료, 방사성의약품 치료 또는 분자 방사선 치료라고도 함)는 표적 치료의 한 형태이다. 이는 방사성 동위원소를 체내에 투여하여 암세포를 파괴하는 방법이다.

표적화는 방사성 요오드와 같이 갑상선에 다른 신체 기관보다 훨씬 더 특이적으로 흡수되는 동위원소의 화학적 특성 때문일 수 있다. 또는 방사성 동위원소를 다른 분자나 항체에 부착하여 표적 조직으로 유도할 수도 있다. 방사성 동위원소는 주입(혈류) 또는 섭취를 통해 전달된다.

예시는 다음과 같다.

  • 신경모세포종 치료를 위한 메타요오드벤질구아니딘(MIBG) 주입
  • 갑상선암 또는 갑상선 기능 항진증 치료를 위한 경구 요오드-131
  • 신경내분비종양 치료를 위한 호르몬 결합 루테튬-177 및 이트륨-90 (펩타이드 수용체 방사성핵종 치료)


간 종양 또는 간 전이를 방사선 색전술하기 위해 방사성 이트륨-90 또는 홀뮴-166 마이크로스피어를 간동맥에 주입하기도 한다. 이러한 마이크로스피어는 선택적 내부 방사선 치료에 사용된다. 마이크로스피어는 직경이 약 30 μm(사람 머리카락의 약 1/3)이며 종양에 혈액을 공급하는 동맥에 직접 주입된다. 종양에 영양을 공급하는 혈액은 마이크로스피어를 종양으로 직접 운반하여 기존의 전신 화학요법보다 더 선택적인 접근 방식을 가능하게 한다. 현재 SIR-Spheres, TheraSphere, QuiremSpheres의 세 가지 종류의 마이크로스피어가 있다.

전신 방사성동위원소 치료의 주요 용도는 암으로 인한 뼈 전이 치료이다. 방사성 동위원소는 손상된 뼈 부위로 선택적으로 이동하고 정상적인 손상되지 않은 뼈는 보존한다. 뼈 전이 치료에 일반적으로 사용되는 동위원소는 라듐-223[112], 스트론튬-89, 사마륨(153Sm) 렉시드로남[113]이다.

2002년, 미국 식품의약국(FDA)은 이트륨-90에 접합된 항-CD20 단일클론 항체인 이브리투모맙 티욱세탄(Zevalin)을 승인했다.[114] 2003년에는 요오드-131 표지 및 비표지 항-CD20 단일클론 항체의 조합인 토시투모맙/요오드(131I) 토시투모맙 요법(Bexxar)을 승인했다.[115] 이러한 약물은 방사면역치료로 알려진 최초의 약제였으며, 불응성 비호지킨 림프종 치료에 승인되었다.

3. 3. 1. 붕소 중성자 포획 치료 (Boron Neutron Capture Therapy, BNCT)

정위 방사선 치료는 매우 정밀한 영상 스캔을 사용하여 명확하게 정의된 종양을 표적으로 하는 집중된 방사선 빔을 사용하는 특수한 형태의 원격 방사선 치료이다. 방사선 종양학과 의사가 정위 치료를 시행하며, 뇌나 척추 종양의 경우 종종 신경외과 의사의 도움을 받는다.

정위 방사선 치료에는 두 가지 유형이 있다. '''정위 방사선수술'''(SRS)은 의사가 뇌 또는 척추에 대한 단일 또는 여러 차례의 정위 방사선 치료를 사용하는 경우이다. '''정위 방사선 체부 치료'''(SBRT)는 폐와 같이 신체의 한 부위에 대한 단일 또는 여러 차례의 정위 방사선 치료를 말한다.[73]

일부 의사들은 정위 치료의 장점으로 종종 6~11주가 걸리는 기존 치료보다 더 짧은 시간에 적절한 양의 방사선을 암에 전달한다는 점을 지적한다. 또한, 치료는 매우 정확하게 이루어지므로 건강한 조직에 대한 방사선의 영향을 제한할 수 있다. 정위 치료의 한 가지 문제점은 특정 작은 종양에만 적합하다는 점이다.

많은 병원에서 SRS 또는 SBRT라는 이름 대신 제조업체의 이름으로 치료를 부르기 때문에 정위 치료는 혼란스러울 수 있다. 이러한 치료의 브랜드 이름으로는 Axesse, 사이버나이프, 감마나이프, Novalis, Primatom, Synergy, 엑스나이프, 토모테라피, Trilogy 및 트루빔이 있다.[74] 장비 제조업체가 암 치료를 위한 새로운 특수 기술을 계속 개발함에 따라 이 목록은 변경된다.

4. 방사선 치료의 작용 원리

방사선 치료는 방사선을 이용하여 암세포의 DNA를 손상시켜 세포 분열을 억제하고 세포 사멸을 유도하는 치료법이다. 방사선은 DNA에 직접 작용하거나, 물 분자와 반응하여 생성되는 활성 산소를 통해 간접적으로 DNA를 손상시킨다.[144]

암세포는 정상 세포에 비해 DNA 손상 복구 능력이 떨어지기 때문에 방사선에 더 민감하게 반응한다.[145] 이러한 특성을 이용하여 방사선 치료는 암세포를 효과적으로 제거한다.

일반적으로 방사선 치료는 여러 번에 걸쳐 나누어 시행하는 분할 조사 방식을 사용한다.[146] 이는 정상 세포에게는 방사선 손상으로부터 회복할 시간을 주고, 암세포는 회복하지 못하고 지속적으로 손상되도록 하기 위함이다.

최근 연구에 따르면 방사선 치료는 면역 반응을 활성화하여 암세포를 공격하는 데 도움을 줄 수 있다는 보고도 있다. 이를 아브스코팔 효과라고 하는데, 방사선 조사 부위뿐만 아니라 다른 부위에 있는 암세포까지 면역 세포의 공격을 받아 치료되는 현상을 말한다.[147][148]

5. 방사선 치료의 부작용

방사선 치료는 암세포뿐만 아니라 주변 정상 조직에도 영향을 미쳐 다양한 부작용을 유발할 수 있다. 부작용은 치료 부위, 방사선의 종류, 선량, 분할 방법, 환자의 건강 상태 등에 따라 다르게 나타난다.[162]

방사선 치료의 부작용은 크게 급성 부작용과 만성 부작용으로 나눌 수 있다. 급성 부작용은 치료 중 또는 치료 직후에 발생하는 반면, 만성 부작용은 치료 후 수개월에서 수년 후에 나타난다.

방사선 치료로 인해 발생 가능한 부작용은 다음과 같다:


  • 피로: 치료 과정 중, 그리고 치료 후 몇 주 동안 지속될 수 있다.[164]
  • 피부 자극: 경미하거나 중증의 일광 화상과 유사하며, 치료 후 치유되지만 이전만큼 탄력적이지 않을 수 있다.[164]
  • 섬유증: 방사선 조사 부위의 조직이 굳어지고 탄력을 잃는 현상.
  • 탈모: 방사선 조사 부위의 모발에서 발생하며, 1 Gy 이상의 선량에서 나타날 수 있다. 단일 선량 10 Gy 또는 분할 조사 시 총 선량 45 Gy 초과 시 영구적인 탈모가 발생할 수 있다.
  • 건조증: 구강건조증, 안구건조증 등은 환자의 삶의 질을 저하시킬 수 있다. 침샘과 눈물샘은 2Gy 단위로 약 30Gy의 방사선 내성을 가지는데, 이는 대부분의 두경부암 치료에서 초과되는 선량이다.
  • 림프부종: 림프계 손상으로 인한 국소적인 체액 저류 및 조직 부종.
  • : 드물게 2차 암 발생 위험을 증가시킬 수 있다.[175][176]
  • 심혈관 질환: 심장 질환 및 사망 위험을 증가시킬 수 있다.[180]
  • 인지 저하: 머리에 방사선을 쏘는 경우 발생할 수 있으며, 특히 어린이에게서 뚜렷하게 나타날 수 있다.[186][37]
  • 방사선 장염: 복부 및 골반 부위에 방사선 치료를 받을 경우 발생할 수 있으며, 흡수 장애, 설사, 지방변, 출혈 등을 유발할 수 있다.
  • 방사선 방광염: 방광이 방사선에 영향을 받을 경우 발생하며, 출혈, 빈뇨, 급뇨 등의 증상이 나타날 수 있다.[188]
  • 신경병증: 방사선 치료 대상 부위 근처나 방사선 전달 경로에 있는 신경이 손상될 수 있다.[189]
  • 괴사: 방사선 조사 부위 근처의 건강한 조직이 죽는 현상.[191]


이 외에도 만성 부비동 배액술이 발생할 수 있으며,[162] 생식샘이 방사선에 직접 노출되면 생식세포 생산에 문제가 생길 수 있다.[193] 또한, 뇌하수체에 방사선 치료를 받으면 뇌하수체 기능 저하증이 발생할 수 있다.[194]

방사선 치료를 받은 부위는 수술 후 회복이 더딜 수 있으며, 65Gy를 초과하는 선량을 받은 후에는 상처 치유 능력이 손상되는 지연 조직 손상이 발생하는 경우가 많다.[162]

5. 1. 급성 부작용 (Acute Side Effects)

방사선 치료는 자체로는 통증이 없지만, 치료 중 또는 치료 직후에 다양한 급성 부작용을 일으킬 수 있다. 이러한 부작용은 방사선을 받는 기관, 치료 자체의 특성(방사선의 종류, 용량, 분할 등), 그리고 환자 개인의 특성에 따라 달라진다.[162]

주요 급성 부작용으로는 피로와 피부 자극이 보고되었다. 피로는 치료 과정 중에 나타나 치료가 끝난 후에도 몇 주 동안 지속될 수 있다. 피부 자극은 경미하거나 중증의 일광 화상과 유사하며, 자극받은 피부는 치유되지만 예전만큼의 탄력은 없을 수 있다.[164]

메스꺼움과 구토는 방사선 치료의 일반적인 부작용은 아니지만, 위나 복부 치료 시, 또는 특정 두경부암 치료 중 머리 안의 메스꺼움을 유발하는 구조에 방사선이 조사될 때 발생할 수 있다.[165] 메스꺼움은 항구토제로 치료할 수 있다.[166]

5. 1. 1. 상피 조직 손상

상피 조직은 방사선 치료로 인해 손상될 수 있다.[167] 치료 부위에 따라 피부, 구강 점막, 인두, 장 점막, 요관 등이 포함될 수 있다. 손상 시작과 회복 속도는 상피세포의 회전율에 따라 달라지는데, 일반적으로 피부는 치료를 시작한 지 몇 주 만에 분홍색으로 변하고 아프기 시작한다. 치료 중과 방사선 치료 종료 후 일주일 동안 반응이 더욱 심해져 피부가 벗겨질 수 있다. 이러한 습윤성 박탈은 불편하지만 회복은 일반적으로 빠르다. 피부 반응은 여성의 유방 아래, 귀 뒤, 사타구니와 같이 피부에 자연스러운 주름이 있는 부위에서 더 심해지는 경향이 있다.[19]

5. 1. 2. 입, 목, 위 염증

두경부 방사선 치료를 받는 경우 입과 목에 일시적인 통증과 궤양이 흔하게 발생한다.[20] 심할 경우 삼키는 데 영향을 줄 수 있으며, 환자는 진통제와 영양 지원/식품 보충제가 필요할 수 있다.

5. 1. 3. 복통

하부 장은 직장암 또는 항문암 치료를 위해 방사선으로 직접 치료하거나, 다른 골반 구조(전립선, 방광, 여성 생식기)에 대한 방사선 치료로 인해 노출될 수 있다. 이로 인해 나타나는 대표적인 증상으로는 통증, 설사, 메스꺼움 등이 있다.[173] 방사선 치료와 관련된 설사는 영양 중재를 통해 도움을 받을 수 있다.[173] 1차 골반암에 대한 항암 치료의 일환으로 골반 방사선 치료를 받는 사람들을 대상으로 한 연구에 따르면, 방사선 치료 중 식이 지방, 섬유질 및 유당 섭취를 조절하면 치료가 끝난 후 설사를 줄일 수 있는 것으로 나타났다.[173]

5. 1. 4. 종창

일반적인 염증 반응으로 인해 연조직이 붓는 현상(종창)은 방사선 치료 중 문제를 일으킬 수 있다. 특히 뇌종양 및 뇌 전이 치료 중, 기존에 두개내압이 상승했거나 종양이 기관 또는 주 기관지와 같은 관강(管腔)을 거의 완전히 막고 있는 경우에 우려된다. 이러한 경우 방사선 치료 전에 수술적 개입을 고려할 수 있으며, 수술이 불필요하거나 부적절하다고 판단되면 환자는 부종을 줄이기 위해 방사선 치료 중에 스테로이드를 투여받을 수 있다.[17]

5. 1. 5. 불임

생식샘(난소와 고환)은 방사선에 매우 민감하다. 대부분의 정상적인 방사선 치료 용량에 '''직접''' 노출되면 생식세포를 생성하지 못할 수 있다. 모든 신체 부위에 대한 치료 계획은 생식샘이 주요 치료 부위가 아닌 경우 생식샘에 대한 선량을 최소화하거나 완전히 제외하도록 설계되었다.[17]

5. 2. 만성 부작용 (Late Side Effects)

방사선 치료 후 몇 달에서 몇 년 사이에 발생하는 만성 부작용은 일반적으로 치료받은 부위에 국한되며, 혈관 및 결합 조직 세포 손상으로 인해 발생하는 경우가 많다. 방사선 치료를 더 작은 부분으로 나누어 시행하면 많은 만성 부작용을 줄일 수 있다.[162] 만성 부작용에는 섬유증, 탈모, 구강건조증, 안구건조증 등의 건조증, 림프부종, 암, 심혈관 질환, 인지 저하, 방사선 장염, 방사선 방광염, 신경병증, 방사선 괴사 등이 있다.

이 외에도 만성 부비동 배액술이 발생할 수 있다.[162]

5. 2. 1. 섬유증

방사선 조사 부위는 확산 흉터 형성 과정을 거치면서 시간이 지남에 따라 조직이 굳어지고 탄력을 잃는 섬유증이 발생할 수 있다.

5. 2. 2. 탈모

탈모(머리 빠짐)는 1 Gy 이상의 선량을 받을 때 방사선 조사 부위의 모발에서 발생할 수 있다. 이는 방사선이 조사된 영역 내에서만 발생한다. 단일 선량 10 Gy에서도 영구적인 탈모가 발생할 수 있지만, 방사선량을 분할하여 조사하는 경우에는 총 선량이 45 Gy를 초과해야 영구적인 탈모가 발생할 수 있다.

5. 2. 3. 건조증

구강건조증과 안구건조증은 장기간 지속될 수 있는 문제로, 환자의 삶의 질을 심각하게 저하시킬 수 있다. 침샘과 눈물샘은 2Gy 단위로 약 30Gy의 방사선 내성을 가지는데, 이는 대부분의 두경부암 치료에서 초과되는 선량이다. 이로 인해 입, 눈, 피부 등이 건조해진다. 치료받은 피부(예: 겨드랑이)의 땀샘은 기능을 멈추는 경향이 있으며, 골반 방사선 조사 후 자연적으로 습한 질 점막은 종종 건조해진다.

5. 2. 4. 만성 부비동 배액술

두경부 방사선 치료는 연조직, 구개암, 골암에서 만성 부비동관 배액술 및 뼈의 누공을 유발할 수 있다.[162]

5. 2. 5. 림프부종

림프부종은 국소적인 체액 저류 및 조직 부종 상태로, 방사선 치료 중 림프계 손상으로 인해 발생할 수 있다. 림프부종은 겨드랑이 림프절 제거 수술 후 보조 겨드랑이 방사선 치료를 받는 유방 방사선 치료 환자에게서 가장 흔하게 보고되는 합병증이다.[26]

5. 2. 6. 암

방사선 치료는 드물게 2차 암 발생 위험을 증가시킬 수 있다.[175][176] 암 생존자들은 생활 습관, 유전적 요인, 이전 방사선 치료 등 여러 요인으로 인해 일반인에 비해 암에 걸릴 가능성이 더 높다. 하지만, 연구에 따르면 방사선 치료 자체가 2차 암의 원인이 되는 경우는 소수의 환자에게만 해당된다.[175][176]

양성자 치료 및 중입자 치료(탄소 이온 치료)와 같은 새로운 기술은 건강한 조직에 대한 방사선 노출을 줄여 2차 암 발생 위험을 낮출 수 있다.[177][178]

대부분의 경우, 방사선 치료로 인한 2차 암 발생 위험은 1차 암을 치료함으로써 얻는 이점보다 훨씬 작다.[179] 특히 소아암 환자의 경우, 2차 암 발생 부담이 더 크더라도 1차 암 치료의 효과가 더 중요하다.[179]

5. 2. 7. 심혈관 질환

방사선 치료는 이전 유방암 치료에서 나타난 것처럼 심장 질환 및 사망 위험을 증가시킬 수 있다.[180] 방사선 치료는 심혈관계 질환(심장 마비 또는 뇌졸중)의 위험을 개인의 정상 비율보다 1.5~4배 증가시키며,[181] 이러한 증가는 방사선의 강도, 용량, 위치와 관련이 있고, 안트라사이클린과 같은 화학요법을 병행하면 위험이 더 커진다.[182] 방사선 치료로 인한 심혈관 질환 발생률은 10~30%로 추정된다.[182]

심혈관계 만성 부작용은 방사선 유도성 심장질환(RIHD) 및 방사선 유도성 심혈관 질환(RIVD)으로 불린다.[183][184] 증상은 복용량에 따라 다르며 심근병증, 심근섬유증, 판막성 심질환, 관상동맥질환, 부정맥, 말초동맥질환을 포함한다. 방사선 유도성 섬유증, 혈관 세포 손상, 산화 스트레스는 이러한 증상과 다른 만성 부작용 증상을 유발할 수 있다.[183] 대부분의 방사선 유도성 심혈관 질환은 치료 후 10년 이상 후에 발생하므로 인과관계를 판단하기가 더 어렵다.[185]

5. 2. 8. 인지 저하

머리에 방사선을 쏘는 경우 인지 저하를 일으킬 수 있다. 특히 5세에서 11세 사이의 어린아이들에게서 뚜렷하게 나타났다. 연구에 따르면 5세 어린이의 IQ가 치료를 받은 후 매년 몇 점씩 감소했다.[186],[37]

5. 2. 9. 방사선 장염

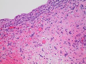
비정형 간질세포("방사선 섬유모세포")를 포함한 방사선 방광염의 조직병리학


복부 및 골반 부위에 방사선 치료를 받으면 작은창자가 손상될 수 있다.[187] 이는 위축, 섬유증, 혈관 변화를 일으켜 영양분 흡수를 방해하고, 설사, 지방변, 출혈을 유발할 수 있다. 또한, 담즙산 설사와 회장(작은창자의 끝부분) 손상으로 인해 비타민 B12 흡수 장애가 흔히 발생한다. 골반 방사선 질환의 일종인 방사선 직장염은 출혈, 설사, 배변 절박감(변을 참기 힘든 증상)을 유발하며,[188] 방광이 영향을 받으면 방사선 방광염이 생길 수 있다.

방사선 장병증은 복부 및 골반 방사선 치료 후 위장관이 손상되는 질환이다.[38] 위축, 섬유증 및 혈관 변화는 흡수 장애, 설사, 지방변 및 출혈을 유발하며, 회장이 침범되어 담즙산 설사 및 비타민 B12 흡수 장애가 흔히 발생한다. 골반 방사선 질환에는 방사선 직장염이 포함되며, 출혈, 설사 및 긴급감을 유발한다.[39] 방광이 영향을 받으면 방사선 방광염을 유발할 수 있다.

5. 2. 10. 방사선 방광염

방광이 방사선에 영향을 받을 경우 방사선 방광염이 발생하여 출혈, 빈뇨, 급뇨 등의 증상이 나타날 수 있다.[188]

5. 2. 11. 방사선 유발 다발성 신경병증

방사선 치료는 신경 조직이 방사선에 민감하기 때문에 치료 대상 부위 근처나 방사선 전달 경로에 있는 신경을 손상시킬 수 있다.[189] 이온화 방사선으로 인한 신경 손상은 미세혈관 손상, 모세혈관 손상, 신경 탈수초화의 초기 단계를 거쳐 발생한다.[190] 또한, 방사선으로 인해 조절되지 않는 섬유 조직이 성장하여 혈관이 수축하고 신경이 압박되어 추가적인 손상이 발생한다.[190] 방사선 유발 다발성 신경병증(ICD-10-CM 코드 G62.82)은 방사선 치료를 받는 환자의 약 1~5%에서 나타난다.[189][190]

방사선 조사 영역에 따라 중추신경계 또는 말초신경계에서 만성 신경병증이 발생할 수 있다. 예를 들어, 중추신경계에서 뇌신경 손상은 일반적으로 치료 후 1~14년 사이에 시력 손상으로 나타난다.[190] 말초신경계에서는 신경얼기 손상이 방사선 유발 허리엉치신경얼기병증 또는 방사선 유발 위팔신경얼기병증으로 나타나며, 치료 후 최대 30년까지 발생할 수 있다.[190] 방사선 괴사는 방사선이 혈관을 직간접적으로 손상시켜 혈액 공급을 감소시키고, 이로 인해 허혈로 조직이 사망하는 응고성 괴사의 일종으로, 허혈성 뇌졸중과 유사하다.

5. 2. 12. 방사선 괴사

방사선 괴사는 방사선 조사 부위 근처의 건강한 조직이 죽는 현상이다. 이는 방사선으로 인해 해당 부위의 혈관이 직간접적으로 손상되어 발생하는 응고 괴사의 일종으로, 이로 인해 남아있던 건강한 조직에 혈액 공급이 감소하여 허혈로 사망하게 된다. 이는 허혈성 뇌졸중에서 발생하는 것과 유사하다.[191] 방사선 괴사는 치료의 간접적인 효과이기 때문에 방사선에 노출된 후 수개월에서 수십 년 후에 발생한다.[191] 방사선 괴사는 가장 일반적으로 골방사선괴사, 질 방사선 괴사, 연조직 방사선 괴사 혹은 후두 방사선 괴사로 나타난다.[162]

5. 3. 누적되는 부작용

단기 효과가 소실되고 장기 효과가 무증상인 경우에도 재조사는 여전히 문제가 될 수 있다.[192] 이러한 선량은 방사선 종양 전문의에 의해서 계산(예측)되며, 후속 방사선이 발생하기 전에 많은 요인이 고려된다.[46]

5. 4. 생식에 미치는 영향

생식샘(난소와 고환)은 방사선에 매우 민감하여, 정상적인 치료 과정에서 방사선량에 직접 노출되면 생식세포 생산에 문제가 생길 수 있다. 따라서 신체 다른 부위를 치료할 때에도 생식샘에 대한 방사선량을 최소화하거나 완전히 배제하도록 치료 계획을 세운다.[193]

수정 후 처음 2주 동안의 방사선 치료는 태아에게 치명적이지만, 기형유발물질로 작용하지는 않는다.[193] 그러나 임신 중 고선량의 방사선에 노출되면 기형, 성장 장애, 지적 장애를 유발할 수 있으며, 아이가 소아 백혈병 등 종양에 걸릴 위험이 커진다.[193] 이전에 방사선 치료를 받은 남성의 경우, 치료 후 임신된 자녀에게서 유전적 결함이나 선천성 기형이 증가하지는 않는 것으로 나타났다.[193] 다만, 보조생식기술을 사용하면 이러한 위험이 증가할 수 있다.[193]

5. 5. 뇌하수체에 미치는 영향

뇌하수체에 방사선 치료를 받으면 뇌하수체 기능 저하증이 발생할 수 있다.[194] 뇌하수체저하증은 안장 및 안장옆 신생물, 세포외 뇌종양, 두경부 종양에 대한 방사선 치료 후, 그리고 전신 악성 종양에 대한 전신 방사선 조사 후에 발생한다.[194] 소아암 치료를 받는 어린이의 40~50%에서 내분비 부작용이 나타난다.[195]

방사선으로 인한 뇌하수체저하증은 주로 성장호르몬생식선호르몬에 영향을 준다.[194] 반면, 부신겉질자극호르몬(ACTH)과 갑상샘자극호르몬(TSH) 결손은 적게 나타난다.[194] 프로락틴 분비 변화는 경미하며, 바소프레신 결손은 드물게 나타난다.[194]

5. 6. 후속 수술에 미치는 영향

방사선 치료를 받은 부위는 수술 후 회복이 더딜 수 있다. 65Gy를 초과하는 선량을 받은 후에는 상처 치유 능력이 손상되는 지연 조직 손상이 발생하는 경우가 많다.[162] 이전에 방사선 조사를 받은 조직의 수술은 실패율이 매우 높다. 예를 들어, 유방암으로 인해 방사선 치료를 받은 여성은 만성적인 흉벽 조직 섬유증과 혈관 저하가 발생하여 성공적인 재건과 치유가 어렵지만 불가능하지는 않다.[162]

6. 방사선 치료의 용량 및 분할

방사선 치료의 용량은 그레이(Gy) 단위로 측정되며, 암의 종류, 병기, 치료 목적 등에 따라 달라진다. 일반적으로 근치적 치료를 위해서는 60~80Gy, 완화적 치료를 위해서는 20~40Gy 정도의 방사선이 사용된다.[149] 방사선 치료는 일반적으로 하루에 한 번, 주 5일 동안 시행되며, 총 치료 기간은 몇 주에서 몇 달까지 걸릴 수 있다.

분할 조사는 정상 세포의 회복 시간을 확보하고, 암세포의 방사선 민감도를 높이는 효과가 있다. 일반적인 1일당 조사량 일정은 성인 환자의 경우 1회당 2.0Gy이며, 1일 1회 조사하지만, 경우에 따라 다른 일정이 있을 수 있다.[149] 예를 들어 폐암 치료법인 CHART법(Continuous Hyperfractionated Accelerated RadioTherapy)은 1일 2~3회의 소량 분할 조사를 한다. 소아암에서는 분할 조사 일정이 1회당 1.5~1.8Gy가 된다.

7. 방사선 치료의 역사

빌헬름 뢴트겐이 1895년에 X선을 발견하면서 방사선 치료가 시작되었다.[118] 1896년 시카고의 에밀 그루베는 X선을 이용하여 암을 치료한 최초의 미국 의사 중 한 명으로 알려져 있다.[119]

1900년대 초, 마리 퀴리는 1898년 방사성 원소인 폴로늄라듐을 발견하여 방사선 치료 분야 발전에 크게 기여했다.[118] 그러나 1920년대까지 방사선 노출의 위험성은 잘 알려지지 않았고, 라듐은 다양한 질병 치료에 사용되었다.

1910년 결핵의 X선 치료. 1920년대 이전에는 방사선의 위험성이 제대로 이해되지 않았으며, 다양한 질병 치료에 사용되었다.


제2차 세계 대전 이전에는 라듐, 라돈 가스, X선관만이 방사선 치료에 사용 가능한 방사선원이었다. 20세기 초에는 낮은 전압(<150 kV)의 X선 기기를 이용한 외부 방사선 치료가 시작되었다. 1920년대부터는 200~500 kV의 관 전압을 사용하는 고전압 X선이 사용되었다. 그러나 체내 깊은 곳의 종양에 도달하려면 1 MV 이상의 에너지를 가진 "메가볼트" 방사선이 필요했고, 이를 위해 300만~500만 볼트의 전압이 필요하여 매우 비싼 설비가 요구되었다. 1930년대 후반에 메가볼트 X선 장치가 처음 제작되었지만, 높은 비용으로 인해 소수의 기관에서만 사용할 수 있었다. 1937년 세인트 바솔로뮤 병원에 설치된 최초의 장치 중 하나는 9미터 길이의 X선관을 사용했고 무게가 10톤에 달했다. 당시 라듐은 메가볼트 감마선을 생성했지만, 매우 희귀하고 비쌌다. 1937년 방사선 치료용 라듐의 세계 전체 공급량은 50그램으로, 2005년 달러로 5000만달러에 해당했다.

제2차 세계 대전 중 맨해튼 프로젝트에서 원자로가 발명되면서 인공 방사성 동위 원소 생산이 가능해졌다. 코발트-60에서 방출되는 메가볼트 감마선을 사용하는 텔레테라피 기기인 코발트 치료는 1950년대부터 1980년대 초까지 방사선 치료 분야에 혁명을 일으켰다. 코발트 기기는 비교적 저렴했지만, 반감기가 5.27년이라 약 5년마다 코발트를 교체해야 했다.

1940년대부터 개발된 의료용 선형 입자 가속기는 1980년대부터 X선 및 코발트 장치를 대체하기 시작했다. 1953년 런던의 해머스미스 병원에서 최초의 의료용 선형 가속기가 사용되었다.[71] 선형 가속기는 더 높은 에너지를 생성하고, 방사성 폐기물 문제가 없다는 장점이 있다.

1971년 고드프리 하운스필드가 컴퓨터 단층 촬영(CT)을 발명하면서 3차원 방사선 치료 계획이 가능해졌다. 1970년대의 자기 공명 영상(MRI)과 1980년대의 양전자 방출 단층 촬영(PET) 등 새로운 영상 기술의 발전으로, 방사선 치료는 3차원 조형 방사선 치료(3-D conformal)에서 세기 변조 방사선 치료(IMRT) 및 영상 유도 방사선 치료 토모테라피로 발전했다.[120]

참조

[1] 논문 Palliative Radiation Therapy for Oncologic Emergencies in the Setting of COVID-19: Approaches to Balancing Risks and Benefits 2020-07-01
[2] 논문 Evaluation of five radiation schedules and prognostic factors for metastatic spinal cord compression 2005-05-01
[3] 논문 Dose escalation of radiotherapy for metastatic spinal cord compression (MSCC) in patients with relatively favorable survival prognosis 2011-11-01
[4] 논문 Radiotherapy With 4 Gy × 5 Versus 3 Gy × 10 for Metastatic Epidural Spinal Cord Compression: Final Results of the SCORE-2 Trial (ARO 2009/01) 2016-02-01
[5] 논문 Hyperbaric Treatment of Delayed Radiation Injury https://www.ncbi.nlm[...] National Center for Biotechnology Information 2022-08-30
[6] 서적 Walter and Miller's Textbook of Radiation therapy
[7] 웹사이트 Radiosensitivity http://www.gpnoteboo[...]
[8] 웹사이트 Radiation therapy- what GPs need to know http://patient.info/[...] 2015-12-23
[9] 논문 Metastatic melanoma - a review of current and future treatment options 2015-05-01
[10] 서적 Cancer Management: A Multidisciplinary Approach UBM Medica LLC 2008-01-01
[11] 논문 Radiation-Drug Combinations to Improve Clinical Outcomes and Reduce Normal Tissue Toxicities: Current Challenges and New Approaches: Report of the Symposium Held at the 63rd Annual Meeting of the Radiation Research Society, 15-18 October 2017; Cancun, Mexico Europe PMC 2018-10-01
[12] 서적 Oxford Textbook of Oncology Oxford University Press 2016-01-01
[13] 논문 Effect of radiotherapy after breast-conserving surgery on 10-year recurrence and 15-year breast cancer death: meta-analysis of individual patient data for 10,801 women in 17 randomised trials 2011-11-01
[14] 논문 Ablative radiation therapy for locally advanced pancreatic cancer: techniques and results 2019-06-01
[15] 논문 Cardiovascular Complications of Cranial and Neck Radiation 2016-07-01
[16] 웹사이트 Radiation Therapy for Breast Cancer: Possible Side Effects http://www.rtanswers[...] Rtanswers.com 2012-03-15
[17] 논문 Dosimetric predictors of radiation-induced acute nausea and vomiting in IMRT for nasopharyngeal cancer 2012-09-01
[18] 웹사이트 Side Effects of Radiation Therapy - Caring4Cancer https://www.caring4c[...]
[19] 웹사이트 Radiation Therapy Side Effects and Ways to Manage them http://www.cancer.go[...] National Cancer Institute 2007-04-20
[20] 서적 Radiobiology for the radiologist Lippincott Williams Wilkins
[21] 논문 Gastroduodenal injury after radioembolization of hepatic tumors 2007-06-01
[22] 논문 Radiation-induced ulceration of the stomach secondary to hepatic embolization with radioactive yttrium microspheres in the treatment of metastatic colon cancer 2004-03-01
[23] 논문 Gastrointestinal complications associated with hepatic arterial Yttrium-90 microsphere therapy 2007-04-01
[24] 논문 Quantification and reduction of reflux during embolotherapy using an antireflux catheter and tantalum microspheres: ex vivo analysis 2013-04-01
[25] 논문 Nutritional interventions for reducing gastrointestinal toxicity in adults undergoing radical pelvic radiotherapy 2013-11-01
[26] 논문 Breast radiotherapy and lymphedema 1998-12-01
[27] 논문 Therapeutic radiation and the potential risk of second malignancies 2016-06-01
[28] 논문 Radiation induced secondary malignancies: a review article 2018-06-01
[29] 논문 Risk of subsequent primary cancers after carbon ion radiotherapy, photon radiotherapy, or surgery for localised prostate cancer: a propensity score-weighted, retrospective, cohort study 2019-05-01
[30] 논문 The Role of Particle Therapy in the Risk of Radio-induced Second Tumors: A Review of the Literature 2019-09-01
[31] 논문 Carbon ion radiotherapy as a treatment modality for paediatric cancers 2019-06-01
[32] 논문 Cardiac exposures in breast cancer radiotherapy: 1950s-1990s 2007-12-01
[33] 논문 Understanding radiation-induced vascular disease 2010-03-01
[34] 논문 Recognizing Radiation Therapy–related Complications in the Chest https://pubs.rsna.or[...] 2019-03-07
[35] 논문 Out of the frying pan and into the fire: damage-associated molecular patterns and cardiovascular toxicity following cancer therapy 2017-11-01
[36] 논문 Radiation-Induced Cardiovascular Disease: Review of an Underrecognized Pathology 2021-09-00
[37] 웹사이트 Late Effects of Treatment for Childhood Cancer http://www.cancer.go[...] National Cancer Institute 2012-04-12
[38] 논문 Radiation enteropathy--pathogenesis, treatment and prevention 2014-08-00
[39] 논문 Management of intestinal complications in patients with pelvic radiation disease 2012-12-00
[40] 논문 Biology of Radiation Induced Lung Injury https://www.scienced[...] Elsevier Inc. 2021-04-00
[41] 웹사이트 Radiation Plexopathy https://now.aapmr.or[...] American Academy of Physical Medicine and Rehabilitation 2017-08-01
[42] 논문 Radiation-induced neuropathy in cancer survivors 2012-12-00
[43] 서적 Abnormal Spontaneous Electromyographic Activity https://www.ncbi.nlm[...] StatPearls Publishing 2023-07-15
[44] 웹사이트 Myokymia Clinical Presentation https://emedicine.me[...] 2021-09-30
[45] 웹사이트 Radiation Necrosis: Background, Pathophysiology, Epidemiology https://emedicine.me[...] 2019-11-09
[46] 논문 Tissue tolerance to reirradiation 2000-07-00
[47] 논문 Genetic and teratogenic effects of cancer treatments on gametes and embryos
[48] 논문 Hypothalamic-Pituitary and Growth Disorders in Survivors of Childhood Cancer: An Endocrine Society Clinical Practice Guideline. 2018-08-01
[49] 논문 Radiation-induced hypopituitarism 2009-09-00
[50] 뉴스 Missouri Hospital Reports Errors in Radiation Doses https://www.nytimes.[...] 2010-02-25
[51] 웹사이트 What Questions Should I Ask My Doctor?: Questions to ask after treatment ends http://www.rtanswers[...] Rtanswers.com 2010-09-22
[52] 서적 Dupuytren's Disease and Related Hyperproliferative Disorders: Principles, Research, and Clinical Perspectives Springer
[53] 논문 Mitotic catastrophe: a mechanism for avoiding genomic instability 2011-06-00
[54] 논문 Impact of tumor hypoxia and anemia on radiation therapy outcomes
[55] 논문 Improving the radiosensitivity of radioresistant and hypoxic glioblastoma 2010-10-00
[56] 간행물 New Malignancies Among Cancer Survivors: SEER Cancer Registries, 1973–2000 National Cancer Institute
[57] 논문 Radiation induced secondary malignancies: a review article 2018-06-00
[58] 논문 Polymer gel dosimetry 2010-03-00
[59] 논문 Altered fractionation trials in head and neck cancer 1998-10-00
[60] 웹사이트 Five Things Physicians and Patients Should Question http://www.choosingw[...] American Academy of Hospice and Palliative Medicine
[61] 서적 Hypofractionation: Scientific Concepts and Clinical Experiences LimiText Publishing
[62] 논문 A genome-based model for adjusting radiotherapy dose (GARD): a retrospective, cohort-based study 2017-02-00
[63] 논문 Proteomic approaches to identify biomarkers predictive of radiotherapy outcomes 2013-02-00
[64] 논문 Pan-cancer prediction of radiotherapy benefit using genomic-adjusted radiation dose (GARD): a cohort-based pooled analysis 2021-09-00
[65] 논문 A new perspective on radiation resistance based on Deinococcus radiodurans 2009-03-00
[66] 논문 Across the tree of life, radiation resistance is governed by antioxidant Mn2+, gauged by paramagnetic resonance 2017-10-00
[67] 논문 Distributions of manganese in diverse human cancers provide insights into tumour radioresistance 2018-09-00
[68] 논문 Practice changing data and emerging concepts from recent radiation therapy randomised clinical trials Elsevier BV 2022-08-00
[69] 웹사이트 The 'Great Dynamism' of Radiation Oncology https://www.medscape[...] 2022-08-17
[70] 논문 Advances in kilovoltage x-ray beam dosimetry 2014-03-00
[71] 논문 Back to the future: the history and development of the clinical linear accelerator 2006-07-00
[72] 논문 MR guidance in radiotherapy 2014-11-00
[73] 웹사이트 American Society for Radiation Oncology http://www.astro.org[...] Astro.org 2012-04-20
[74] 웹사이트 Treatment Types: Stereotactic Radiation Therapy http://www.rtanswers[...] Rtanswers.com 2010-01-04
[75] 논문 Advances in radiation therapy: conventional to 3D, to IMRT, to 4D, and beyond
[76] 논문 Implementing IMRT in clinical practice: a joint document of the American Society for Therapeutic Radiology and Oncology and the American Association of Physicists in Medicine 2004-04-00
[77] 웹사이트 Intensity Modulated Radiation Therapy http://www.irsa.org/[...] Irsa.org 2012-04-20
[78] 논문 Radiation-induced second cancers: the impact of 3D-CRT and IMRT 2003-05-00
[79] 논문 Magnetic tracking system for radiation therapy 2010-08-00
[80] 논문 A Novel Method for Tumor Localization and Tracking in Radiation Therapy
[81] 논문 Robustness Analysis of Sparsity Based Tumor Localization under Tissue Configuration Uncertainty
[82] 서적 Contemporary IMRT: Developing Physics and Clinical Implementation CRC Press 2004-10-01
[83] 서적 Algorithms and Theory of Computation Handbook, Volume 2: Special Topics and Techniques https://books.google[...] CRC Press 2009-11-20
[84] 논문 Volumetric modulated arc therapy: a review of current literature and clinical use in practice 2011-11-00
[85] 논문 Single Arc Volumetric Modulated Arc Therapy of head and neck cancer 2010-05-00
[86] 논문 RapidArc, SmartArc and TomoHD compared with classical step and shoot and sliding window intensity modulated radiotherapy in an oropharyngeal cancer treatment plan comparison 2013-02-00
[87] 논문 Analysis of dose distribution in organs at risk in patients with prostate cancer treated with the intensity-modulated radiation therapy and arc technique
[88] 논문 Temporally feathered intensity-modulated radiation therapy: A planning technique to reduce normal tissue toxicity 2018-07-00
[89] 논문 In vivo assessment of the safety of standard fractionation Temporally Feathered Radiation Therapy (TFRT) for head and neck squamous cell carcinoma: An R-IDEAL Stage 1/2a first-in-humans/feasibility demonstration of new technology implementation 2021-10-00
[90] 논문 On the pre-clinical validation of a commercial model-based optimisation engine: application to volumetric modulated arc therapy for patients with lung or prostate cancer 2014-12-00
[91] 논문 Automatic planning of head and neck treatment plans 2016-01-00
[92] 논문 Automatic treatment planning improves the clinical quality of head and neck cancer treatment plans 2016-12-00
[93] 논문 Automatic treatment planning facilitates fast generation of high-quality treatment plans for esophageal cancer 2017-11-00
[94] 논문 Adapting automated treatment planning configurations across international centres for prostate radiotherapy 2019-04-00
[95] 뉴스 Brain tumor patient 'unaware' treatment was available on NHS https://www.independ[...] 2009-01-12
[96] 논문 Auger electron dosimetry: report of AAPM Nuclear Medicine Committee Task Group No. 6
[97] 논문 Motion in radiotherapy: particle therapy 2011-08-00
[98] 논문 Motion compensation in radiotherapy 2012-00-00
[99] 논문 Review of deep inspiration breath-hold techniques for the treatment of breast cancer 2015-03-00
[100] 논문 Deep inspiration breath hold and respiratory gating strategies for reducing organ motion in radiation treatment https://zenodo.org/r[...] 2004-01-00
[101] 논문 Deep Inspiration Breath Hold-Based Radiation Therapy: A Clinical Review 2016-03-00
[102] 웹사이트 Contact X-ray Brachytherapy for early rectal cancer https://www.nice.org[...] National Institute for Health and Care Excellence 2015-09-00
[103] 서적 Modern Management of Cancer of the Rectum Springer 2014-00-00
[104] 웹사이트 The 2007 AAPM response to the CRCPD request for recommendations for the CRCPD's model regulations for electronic brachytherapy http://www.aapm.org/[...] American Association of Physicists in Medicine 2009-02-00
[105] 서적 The GEC ESTRO handbook of brachytherapy ACCO
[106] 서적 The GEC ESTRO handbook of brachytherapy ACCO
[107] 서적 The GEC ESTRO handbook of brachytherapy ACCO
[108] 서적 The GEC ESTRO handbook of brachytherapy ACCO
[109] 서적 The GEC ESTRO handbook of brachytherapy ACCO
[110] 서적 Brachytherapy. Applications and Techniques LWW
[111] 학술지 Initial clinical experience with the Strut-Adjusted Volume Implant brachytherapy applicator for accelerated partial breast irradiation 2009-00-00
[112] 학술지 Alpha emitter radium-223 and survival in metastatic prostate cancer 2013-07-00
[113] 학술지 Overview of samarium sm 153 lexidronam in the treatment of painful metastatic bone disease
[114] 웹사이트 FDA Approves First Radiopharmaceutical Product To Treat Non-Hodgkin's Lymphoma https://www.fda.gov/[...] U.S. Food and Drug Administration
[115] 웹사이트 Tositumomab and Iodine I 131 Tositumomab – Product Approval Information – Licensing Action https://www.fda.gov/[...]
[116] 학술지 Intraoperative radiation therapy for breast cancer patients: current perspectives 2017-04-00
[117] 학술지 Targeted intraoperative radiotherapy impairs the stimulation of breast cancer cell proliferation and invasion caused by surgical wounding 2008-03-00
[118] 웹사이트 University of Alabama at Birmingham Comprehensive Cancer Center, History of Radiation Oncology http://www3.ccc.uab.[...]
[119] 학술지 News of Science 1957-01-00
[120] 웹사이트 History of Radiation Therapy: The Evolution of Therapeutic Radiology http://www.rtanswers[...] Rtanswers.com 2010-03-31
[121] 뉴스 Closing in on cancer https://www.economis[...] 2017-09-16
[122] 서적 『肺がん』
[123] 서적 放射線基礎医学 金芳堂 2000-03-00
[124] 서적 鎌田中川 2007
[125] 웹사이트 放医研ニュース No.41 https://www.nirs.qst[...]
[126] 문서 방사선 치료는, 치료 후에도 장기 기능을 온존하고, 생활하는데 지장이 되는 것 같은 합병증을 가져오지 않는 것을 목표로 하는 것이 원칙이며, 합병증이 당연시되는 수술과 대조적이다. 그러나, 일반적으로 유해 사건은 완전히 피할 수 없으며, 동일 부위에 대한 재차 조사에서는 합병증이 발생할 위험성이 증가한다.
[127] 웹사이트 近畿大学医学部放射線腫瘍学部門 http://www.med.kinda[...]
[128] 서적 唐澤 2009
[129] 서적 井上手島 2010
[130] 문서 인류 최초의 방사선 치료는 1896년 11월 24일부터 12월 3일까지, 1일 1회의 조사로 나누어진 형태로 행해진 국소 진행 비강암의 치료이다. 나누어진 것은 기계의 성능이 부족했기 때문이며, 그 후는 치료 기기가 개량되어 고선량을 1회에 조사하는 것도 행해졌지만, 20년 후에는, 1회에 조사하는 방식의 효과가 극히 낮다고 결론지어지고 있다. 현재, 경험적 지견으로부터 권장되는 치료 계획은 모두 똑같이 분할화되어 있다.
[131] 서적 鎌田中川 2007
[132] 서적 中川 2007
[133] 서적 唐澤 2009
[134] 서적 唐澤 2009
[135] 문서 콘도 마코토에 따르면, 치유율을 높이려고 선량을 많이 하거나, 조사하는 범위를 넓히는 것이 원인으로 많다고 되어 있다.
[136] 서적 良性疾患の放射線治療 2002-11-30
[137] 보고서 CG175: Prostate cancer: diagnosis and management http://www.nice.org.[...] 英国国立医療技術評価機構 2015-01-00
[138] 웹사이트 「3.放射線治療の副作用」『放射線によるがんの治療(特徴と利点) (08-02-02-03)]』原子力百科事典ATOMICA https://atomica.jaea[...]
[139] 학술지 The Biofunctional Effects of Mesima as a Radiosensitizer for Hepatocellular Carcinoma https://www.ncbi.nlm[...] 2020-01-29
[140] 학술지 Risk of subsequent primary cancers after carbon ion radiotherapy, photon radiotherapy, or surgery for localised prostate cancer: a propensity score-weighted, retrospective, cohort study https://www.ncbi.nlm[...] 2019-05-00
[141] 저널 Pulmonary complications in survivors of childhood and adolescent cancer http://onlinelibrary[...] 2002
[142] 저널 Pulmonary complications in survivors of childhood and adolescent cancer http://onlinelibrary[...] 2002
[143] 저널 RADIATION-INDUCED LUNG INJURY http://www.oncologye[...] 2006
[144] 문서 중川 2007
[145] 문서 중川 2007
[146] 문서 唐澤 2009
[147] 문서 중川 2007
[148] 문서 중川 2007
[149] 웹사이트 「放射線治療計画ガイドライン」の付表1:通常分割照射における正常組織の耐容線量 http://web.sapmed.ac[...] 日本放射線科専門医会・医会放射線診療ガイドライン策定事業
[150] 웹사이트 放射線治療|治療法について|がん研有明病院 http://www.jfcr.or.j[...]
[151] 웹사이트 世界初の加速器によるホウ素中性子捕捉療法の動物実験を開始しました。(2009年8月5日) — 京都大学 http://www.kyoto-u.a[...]
[152] PDF 世界初の加速器BNCTによる治験開始について http://www.stella-ph[...]
[153] PDF 世界初の加速器BNCT(ホウ素中性子捕捉療法)による治験開始について http://www.shi.co.jp[...]
[154] 웹사이트 頭頸部がんで世界初の治験…京大など中性子治療 http://www.yomidr.yo[...]
[155] 웹사이트 世界初 病院設置型加速器によるホウ素中性子捕捉療法システム(BNCT)を受注 | お知らせ 2012年度 | 住友重機械工業株式会社 http://www.shi.co.jp[...]
[156] 뉴스 2011년 2월 17일 朝日新聞 朝日新聞 2011-02-17
[157] 문서 井垣 2011
[158] 저널 Palliative Radiation Therapy for Oncologic Emergencies in the Setting of COVID-19: Approaches to Balancing Risks and Benefits 2020-07-01
[159] 저널 Evaluation of five radiation schedules and prognostic factors for metastatic spinal cord compression 2005-05-01
[160] 저널 Dose escalation of radiotherapy for metastatic spinal cord compression (MSCC) in patients with relatively favorable survival prognosis 2011-11-01
[161] 저널 Radiotherapy With 4 Gy × 5 Versus 3 Gy × 10 for Metastatic Epidural Spinal Cord Compression: Final Results of the SCORE-2 Trial (ARO 2009/01) 2016-02-01
[162] 저널 Hyperbaric Treatment of Delayed Radiation Injury https://www.ncbi.nlm[...] National Center for Biotechnology Information 2023-07-23
[163] 저널 Cardiovascular Complications of Cranial and Neck Radiation 2016-07-01
[164] 웹인용 Radiation Therapy for Breast Cancer: Possible Side Effects http://www.rtanswers[...] Rtanswers.com 2012-04-20
[165] 저널 Dosimetric predictors of radiation-induced acute nausea and vomiting in IMRT for nasopharyngeal cancer 2012-09-01
[166] 웹인용 Side Effects of Radiation Therapy - Caring4Cancer https://www.caring4c[...] 2012-05-02
[167] 웹인용 Radiation Therapy Side Effects and Ways to Manage them http://www.cancer.go[...] National Cancer Institute 2012-05-02
[168] 서적 Radiobiology for the radiologist https://archive.org/[...] Lippincott Williams Wilkins
[169] 저널 Gastroduodenal injury after radioembolization of hepatic tumors 2007-06-01
[170] 저널 Radiation-induced ulceration of the stomach secondary to hepatic embolization with radioactive yttrium microspheres in the treatment of metastatic colon cancer https://archive.org/[...] 2004-03-01
[171] 저널 Gastrointestinal complications associated with hepatic arterial Yttrium-90 microsphere therapy 2007-04-01
[172] 저널 Quantification and reduction of reflux during embolotherapy using an antireflux catheter and tantalum microspheres: ex vivo analysis 2013-04-01
[173] 저널 Nutritional interventions for reducing gastrointestinal toxicity in adults undergoing radical pelvic radiotherapy 2013-11-01
[174] 저널 Breast radiotherapy and lymphedema 1998-12-01
[175] 저널 Therapeutic radiation and the potential risk of second malignancies 2016-06-01
[176] 저널 Radiation induced secondary malignancies: a review article 2018-06-00
[177] 저널 Risk of subsequent primary cancers after carbon ion radiotherapy, photon radiotherapy, or surgery for localised prostate cancer: a propensity score-weighted, retrospective, cohort study 2019-05-00
[178] 저널 The Role of Particle Therapy in the Risk of Radio-induced Second Tumors: A Review of the Literature 2019-09-00
[179] 저널 Carbon ion radiotherapy as a treatment modality for paediatric cancers 2019-06-00
[180] 저널 Cardiac exposures in breast cancer radiotherapy: 1950s-1990s 2007-12-00
[181] 저널 Understanding radiation-induced vascular disease 2010-03-00
[182] 저널 Recognizing Radiation Therapy–related Complications in the Chest https://pubs.rsna.or[...] 2023-08-24
[183] 저널 Out of the frying pan and into the fire: damage-associated molecular patterns and cardiovascular toxicity following cancer therapy 2017-11-00
[184] 저널 Radiation-Induced Cardiovascular Disease: Review of an Underrecognized Pathology 2021-09-00
[185] 저널 Understanding radiation-induced vascular disease 2010-03-00
[186] 웹인용 Late Effects of Treatment for Childhood Cancer http://www.cancer.go[...] National Cancer Institute 2012-06-07
[187] 저널 Radiation enteropathy--pathogenesis, treatment and prevention 2014-08-00
[188] 저널 Management of intestinal complications in patients with pelvic radiation disease 2012-12-00
[189] 웹사이트 Radiation Plexopathy https://now.aapmr.or[...] American Academy of Physical Medicine and Rehabilitation 2017-08-01
[190] 저널 Radiation-induced neuropathy in cancer survivors 2012-12-00
[191] 저널 Radiation Necrosis: Background, Pathophysiology, Epidemiology https://emedicine.me[...] 2019-11-09
[192] 저널 Tissue tolerance to reirradiation 2000-07-00
[193] 저널 Genetic and teratogenic effects of cancer treatments on gametes and embryos https://web.archive.[...]
[194] 저널 Radiation-induced hypopituitarism 2009-09-00
[195] 저널 Hypothalamic-Pituitary and Growth Disorders in Survivors of Childhood Cancer: An Endocrine Society Clinical Practice Guideline. 2018-08-01



본 사이트는 AI가 위키백과와 뉴스 기사,정부 간행물,학술 논문등을 바탕으로 정보를 가공하여 제공하는 백과사전형 서비스입니다.
모든 문서는 AI에 의해 자동 생성되며, CC BY-SA 4.0 라이선스에 따라 이용할 수 있습니다.
하지만, 위키백과나 뉴스 기사 자체에 오류, 부정확한 정보, 또는 가짜 뉴스가 포함될 수 있으며, AI는 이러한 내용을 완벽하게 걸러내지 못할 수 있습니다.
따라서 제공되는 정보에 일부 오류나 편향이 있을 수 있으므로, 중요한 정보는 반드시 다른 출처를 통해 교차 검증하시기 바랍니다.

문의하기 : help@durumis.com