스티븐스-존슨 증후군
"오늘의AI위키"의 AI를 통해 더욱 풍부하고 폭넓은 지식 경험을 누리세요.
1. 개요
스티븐스-존슨 증후군(SJS)은 피부와 점막에 심각한 수포성 발진이 나타나는 드문 질환이다. 약물, 감염, 유전적 요인이 주요 원인이며, 항생제, 항전간제 등이 관련되어 있다. 증상으로는 고열, 두통, 구강 궤양, 피부 발진 등이 나타나며, 심한 경우 실명이나 장기 손상을 유발할 수 있다. 진단은 피부 생검, 혈액 검사 등을 통해 이루어지며, 치료는 원인 약물 중단, 증상 완화, 면역 조절 치료 등으로 진행된다. 예방을 위해서는 위험 약물 복용을 피하고, 유전적 소인이 있는 경우 검사를 받아야 한다. 이 질환은 전 세계적으로 드물게 발생하며, 1922년 앨버트 메이슨 스티븐스와 프랭크 챔블리스 존슨에 의해 처음 보고되었다.
더 읽어볼만한 페이지
- 희귀 증후군 - 조로증
조로증은 DNA 복구 과정 결함으로 아동기 또는 청소년기에 노화 징후를 보이는 희귀 유전 질환으로, RecQ 헬리카제, NER 단백질, 라민 등 DNA 복구 단백질 유전자 돌연변이가 주요 원인이며, 베르너 증후군, 블룸 증후군, 로스문드-톰슨 증후군, 콕케인 증후군, 색소피부건조증, 허친슨-길포드 프로제리아 증후군 등이 대표적이다. - 희귀 증후군 - 외계인 손 증후군
외계인 손 증후군은 뇌 손상으로 자신의 손을 인지하거나 통제하지 못하는 희귀 신경 질환으로, 의지와 상관없이 손이 움직이거나 양손 간 갈등을 유발하며, 완치법은 없지만 증상 완화 및 관리가 가능하다.
2. 원인
스티븐스-존슨 증후군은 알레르기 반응이나 독성 물질에 의한 피부 혈관 반응으로, 다형 홍반이 심해진 형태로 나타난다. 면역계 이상이 주된 요인으로 여겨진다.[11]
약물, 감염, 유전적 요인 등이 복합적으로 작용하여 스티븐스-존슨 증후군을 유발할 수 있다. 이 외에도 결핵, 디프테리아, 장티푸스, 폐렴 등의 세균, 바이러스, 곰팡이, 기생충, 예방 접종, 임신, 부패한 음식 등이 원인이 될 수 있다. 드물게 악성 종양이나 자가면역 질환이 원인이 되기도 한다. 하지만 원인을 알 수 없는 경우도 전체 사례의 4분의 1에서 절반 정도를 차지한다.[13]
스티븐스-존슨 증후군, 스티븐스-존슨 증후군/TEN, TEN은 공통적인 원인과 메커니즘을 가진 단일 질환으로 간주된다.[9]
2. 1. 약물
스티븐스-존슨 증후군(SJS)은 바이러스 감염 및 악성 종양에 의해 발생할 수 있지만, 주요 원인은 약물이다.[50] 100가지에서 200가지의 다양한 약물이 SJS와 관련될 수 있다.[15]SJS를 유발하는 것으로 알려진 약물은 다음과 같다.
전신성 홍반 루푸스 또는 HIV 감염 환자는 약물 유발 SJS에 더 취약하다.[11]
2. 2. 감염
다양한 감염이 스티븐스-존슨 증후군을 유발할 수 있다. 특히 어린이에게서 흔하게 나타나며, 상기도 감염, 중이염, 인두염, 엡스타인-바 바이러스, 폐렴 미코플라스마, 거대세포 바이러스 감염 등이 포함된다.[28]- 진균 감염: 콕시디오이데스증, 피부사상균증, 히스토플라스마증 등이 있다.[13]
최근 상기도 감염은 스티븐스-존슨 증후군 환자의 절반 이상에서 보고되었다.[13]
2. 3. 유전적 요인
스티븐스-존슨 증후군은 면역계 이상과 관련이 있으며, 약물이나 감염에 의해 유발될 수 있다.[12] 유전적 요인 또한 스티븐스-존슨 증후군 발병에 영향을 미치는 것으로 알려져 있다.[13]특정 (HLA) 혈청형이나 약물 대사 효소의 유전적 변이는 스티븐스-존슨 증후군 발생에 취약하게 만들 수 있다.
예를 들어, CYP2C9는 페니토인을 비활성화시키는 중요한 약물 대사 효소인데, CYP2C9*3[45] 변이체를 가진 대만, 일본, 말레이시아 사람들은 이 효소의 활성이 낮아 페니토인 혈중 농도가 높아지고, 스티븐스-존슨 증후군 발생률이 증가한다.[7][46]
약물 대사 효소의 이상 외에도, 신장, 간, 위장관 기능 장애가 약물 또는 대사체 수준을 높여 스티븐스-존슨 증후군을 포함한 중증 피부 이상 반응을 촉진할 수 있다는 연구 결과가 있다.[7][8]
3. 증상
스티븐스-존슨 증후군은 초기에는 감기와 비슷한 증상을 보이다가, 심각한 피부 및 점막 병변으로 진행된다.
초기에는 38℃ 이상의 고열, 두통, 몸이 나른해지는 권태감, 목과 입안의 통증, 관절통 등이 주요 증상으로 나타난다.[9] 초기에는 구취와 입술, 혀, 뺨의 점막에 물집이 생겨 음식을 먹기 어려워지며 비염, 코피, 구내염, 요도염이 발생한다. 이때 피부에 화끈거리는 통증(작열통)을 자주 경험한다.[9]
이후 얼굴, 손, 발등에 물집과 출혈성 발진이 나타나고, 폐렴과 위장관 이상이 생길 수 있다. 피부가 뱀 허물처럼 벗겨지는 니콜스키 징후가 나타나기도 한다.[9]
궤양 및 기타 병변은 점막, 거의 항상 입술과 입에서 시작되지만, 생식기 및 항문 부위에서도 나타날 수 있다. 입안의 궤양은 심한 통증을 유발하며, 환자가 음식을 먹거나 마시는 것을 어렵게 한다. 결막염은 스티븐스-존슨 증후군 환자의 약 30%에서 발생한다.[10]
얼굴, 몸통, 팔다리, 발바닥에 지름 약 1인치(약 2.5cm) 크기의 둥근 병변이 발진 형태로 나타나지만, 일반적으로 두피에는 나타나지 않는다.[11]
심한 경우 장기 손상과 실명을 초래할 수 있다.
; 주요 3징후
# 발열 (38℃ 이상)
# 점막 증상 (결막 충혈, 입술 미란, 인후통, 음부 미란, 배뇨·배변 시 통증)
# 다발성 홍반 (진행되면 수포, 미란을 형성)을 동반하는 발진
3. 1. 합병증
스티븐스-존슨 증후군은 다양한 합병증을 유발할 수 있다. 호흡기 합병증으로는 폐렴, 미만성 범세기관지염, 간질성 폐렴 등이 발생할 수 있다. 소화기 합병증으로는 설사, 혈변, 소장 궤양, 대장 천공, 장 중첩증 등이 나타날 수 있다. 그 외에도 간부전, 신부전, 패혈증, 파종성 혈관 내 응고 증후군과 같은 심각한 합병증이 발생할 수 있다.4. 진단
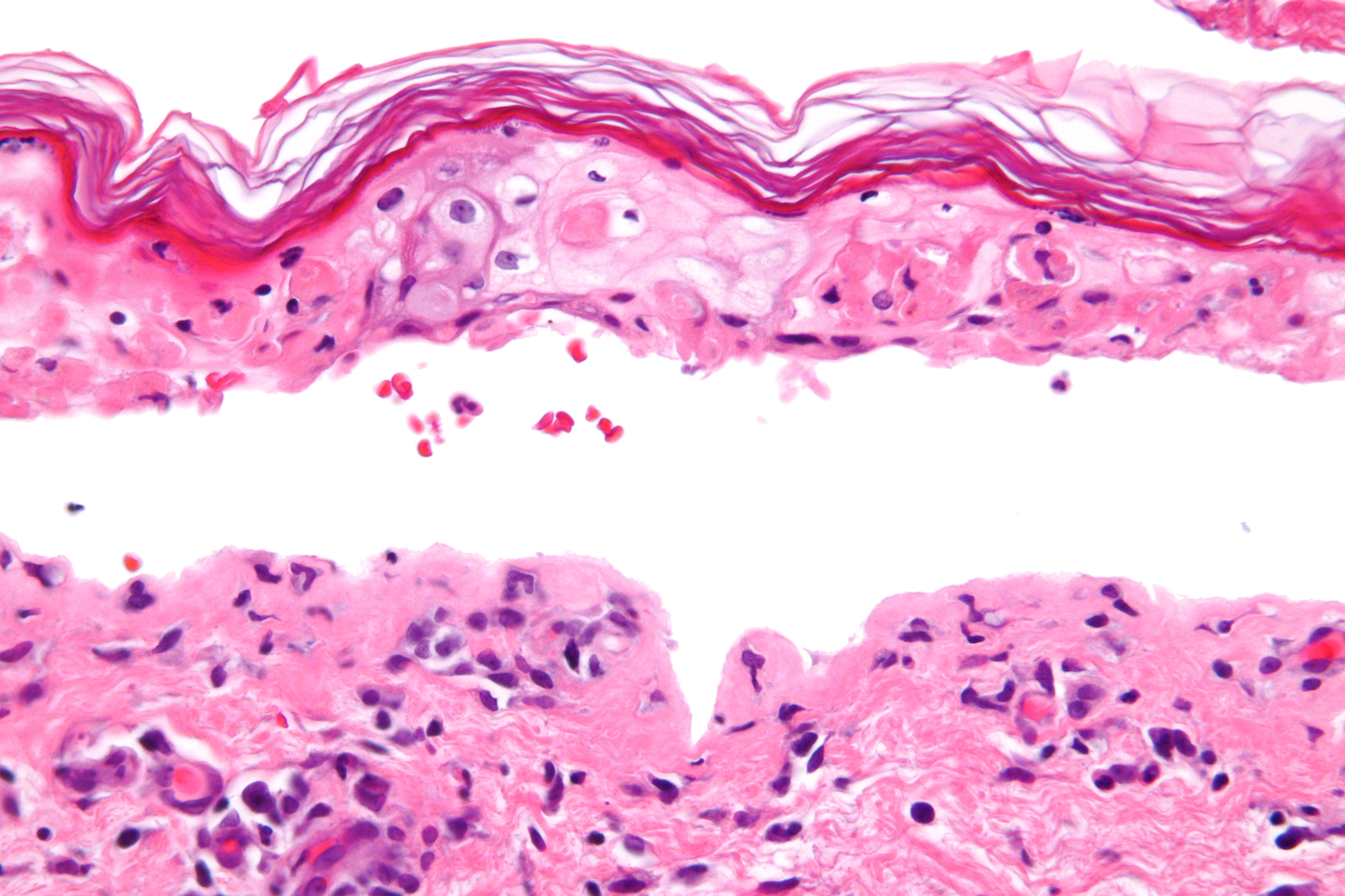
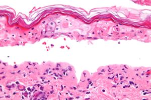
피부의 10% 미만이 침범되었을 때 스티븐스-존슨 증후군으로 진단한다.[4] 피부의 30% 이상이 침범되면 TEN으로 알려져 있으며, 10%에서 30%가 침범되는 중간 형태도 있다.[5] 긍정적인 니콜스키 징후는 SJS 및 TEN의 진단에 도움이 된다.[9] 피부 생검은 SJS 및 TEN의 진단을 확립하는 데 도움이 되지만 필수 사항은 아니다.[9]
SJS는 TEN 및 다형 홍반과 마찬가지로 관련 염증이 최소화된 융합된 표피 괴사가 특징이다. 급성도는 각질층의 (정상적인) 바구니 짜임 패턴에서 분명하게 나타난다.
스티븐스-존슨 증후군(SJS)은 독성 표피 괴사용해(TEN)의 더 가벼운 형태이다.[48] 1993년에 처음 발표되어 합의된 정의로 채택된 분류에 따르면, 스티븐스-존슨 증후군, 독성 표피 괴사용해, SJS/TEN 중첩이 구분된다. 이 세 가지는 모두 피부와 점막에 영향을 미치는 심각한 피부 반응(SCAR)의 스펙트럼의 일부이다.[50] SJS, SJS/TEN 중첩, TEN의 구분은 병변의 유형과 수포 및 미란이 있는 신체 표면적의 양을 기준으로 한다.[50] 수포와 미란은 SJS에서는 신체의 3%에서 10% 사이, SJS/TEN 중첩에서는 11~30%, TEN에서는 30% 이상을 덮는다.[50] SJS와 가장 일반적으로 관련된 피부 패턴은 광범위하고 종종 연결되거나 접촉하는(융합성) 구진(반점) 또는 편평한 작은 수포 또는 큰 물집이며, 이 또한 합쳐질 수 있다.[50] 이는 주로 몸통에서 발생한다.[50]
SJS, TEN, SJS/TEN 중첩은 다형 홍반으로 오인될 수 있다.[49] SCAR 스펙트럼 내에 있는 다형 홍반은 임상 패턴과 병인이 다르다.[50]
증상 및 징후만으로는 SJS(스티븐스-존슨 증후군)와 다형 홍반(EM Major)을 구별하기 어렵지만, 피부 생검을 실시하면 표피 세포가 괴사·용해되어 다형 홍반과의 감별이 가능하다.[68]
동시에 간·신장 기능 검사를 포함한 혈액 검사, 호흡 기능 검사를 실시한다. 또한 단순 헤르페스 및 마이코플라스마 항체가의 측정을 실시한다.
5. 치료
스티븐스-존슨 증후군은 피부과적 응급 상황이다. 초기 치료는 열 화상 환자와 유사하며, 지속적인 치료는 보조적인 요법(예: 정맥 수액 및 비위관 또는 비경구 영양) 및 증상 완화(예: 진통제 구강 헹굼으로 구강 궤양 치료)에 의존할 수 있다.[11]
피부과 전문의와 외과 의사들은 피부 변연 절제 여부에 대해 의견이 일치하지 않는 경향이 있다.[11]
이러한 보조적 치료 외에 SJS에 대해 현재까지 인정된 다른 치료법은 없다. 코르티코스테로이드 치료는 논란의 여지가 있다. 초기 후향적 연구에서는 코르티코스테로이드가 입원 기간과 합병증 발생률을 증가시키는 것으로 나타났다. SJS에 대한 코르티코스테로이드의 무작위 대조 시험은 수행되지 않았으며, 코르티코스테로이드 없이도 성공적으로 관리될 수 있다.[11]
사이클로포스파미드와 사이클로스포린을 포함한 다른 약물이 사용되었지만, 치료 성공률은 거의 보이지 않았다. 정맥 면역 글로불린 치료는 반응 기간을 단축하고 증상을 개선하는 데 어느 정도 효과를 보였다. 기타 일반적인 보조 조치에는 국소 통증 마취제 및 방부제 사용, 따뜻한 환경 유지, 정맥 진통제 투여 등이 있다.
기록상 ''마이코플라스마'' 감염이 있는 환자는 경구 마크로라이드 또는 경구 독시사이클린으로 치료할 수 있다.[11]
SJS는 눈꺼풀 내 흉터 조직 형성으로 인해 각막 혈관화, 시력 저하 및 기타 여러 안구 문제로 이어질 수 있으므로 즉시 안과 의사와 상담해야 한다. SJS로 인한 만성 안구 표면 질환이 있는 환자는 PROSE 치료(안구 표면 생태계 보철물 치료)를 통해 어느 정도 개선을 경험할 수 있다.[53]
- 대량 스테로이드 투여
- 화상과 같은 치료
- 대증요법
- 스테로이드 전신 투여
- 고용량 면역글로불린 정맥 주사(IVIG) 요법
- 혈장 교환 요법
- 안구 표면의 염증 억제
- 간 장애 개선
6. 예방
스티븐스-존슨 증후군(SJS)의 완전한 예방은 어렵지만, 위험 요인을 줄이는 것이 중요하다. 특히 약물 복용 시 주의해야 하며, 새로운 약물을 복용할 때는 부작용 발생 여부를 주의 깊게 관찰해야 한다.
특정 약물에 대한 감수성과 관련된 HLA 대립 유전자를 발현하는 개인은 해당 약물로 치료를 받아서는 안 된다.[7][52]
몇몇 약물의 경우 특정 소인 유전자 변이를 가진 사람들을 선별하여 스티븐스-존슨 증후군, TEN/SJS 또는 TEN 유발 약물 치료를 시작하기 전에 유전자 검사를 하는 것이 권장되거나 연구 중이다. 이러한 권장 사항은 일반적으로 변이를 나타낼 가능성이 높은 특정 집단에 국한되는데, 변이 발현율이 극히 낮은 집단을 선별하는 것은 비용 효율적이지 않다고 간주되기 때문이다.[51]
다음은 특정 약물 복용 전 고려해야 할 유전자 검사 및 권장 사항이다.
현재 대만에서는 CYP2C9*3 대립 유전자를 발현하는 개인의 SJS, SJS/TEN 및 TEN에서 페니토인 사용을 피하는 비용 효율성을 정의하기 위한 임상 시험이 진행 중이다.[52]
7. 역학
스티븐스-존슨 증후군은 희귀 질환으로, 전 세계적으로 매년 100만 명당 1~6명 정도 발생한다.[11][56] 한국에서는 매년 100만 명당 1명꼴로 발생한다. 미국에서는 매년 약 300건의 새로운 진단이 이루어진다. 이 질환은 어린이보다 성인에게 더 흔하게 나타난다.
8. 역사
1922년 미국의 소아과 의사인 앨버트 메이슨 스티븐스와 프랭크 챔블리스 존슨이 이 질환에 대한 설명을 ''미국 소아 질환 저널''에 공동으로 발표하였다.[57][58]
참조
[1]
웹사이트
Stevens-Johnson syndrome/toxic epidermal necrolysis
https://ghr.nlm.nih.[...]
2017-04-26
[2]
논문
U.K. guidelines for the management of Stevens–Johnson syndrome/toxic epidermal necrolysis in adults 2016
https://academic.oup[...]
2016-06
[3]
논문
Toxic epidermal necrolysis: Part I. Introduction, history, classification, clinical features, systemic manifestations, etiology, and immunopathogenesis.
2013-08
[4]
웹사이트
Stevens-Johnson syndrome
https://rarediseases[...]
2016-08-26
[5]
웹사이트
Orphanet: Toxic epidermal necrolysis
http://www.orpha.net[...]
2017-04-26
[6]
서적
Evidence-Based Critical Care: A Case Study Approach
https://books.google[...]
Springer
2017
[7]
논문
Recent advances in the understanding of severe cutaneous adverse reactions
[8]
논문
Current Perspectives on Stevens-Johnson Syndrome and Toxic Epidermal Necrolysis
[9]
논문
Stevens-Johnson Syndrome and Toxic Epidermal Necrolysis Standard Reporting and Evaluation Guidelines
http://www.zora.uzh.[...]
[10]
논문
Drug Reaction with Eosinophilia and Systemic Symptoms (DRESS) Syndrome and the Rheumatologist
2017-01
[11]
웹사이트
Stevens–Johnson Syndrome: An intriguing diagnosis
http://www.pediatric[...]
UBM plc
2008-12
[12]
논문
Profile and pattern of Stevens-Johnson Syndrome and Toxic Epidermal Necrolysis in a general hospital in Singapore: Treatment outcomes
2012
[13]
논문
Stevens-Johnson Syndrome
http://emedicine.med[...]
2013-08-12
[14]
논문
Stevens-Johnson syndrome and toxic epidermal necrolysis due to anticonvulsants share certain clinical and laboratory features with drug-induced hypersensitivity syndrome, despite differences in cutaneous presentations
[15]
논문
Drug reaction, skin care, skin loss
[16]
논문
ALDEN, an algorithm for assessment of drug causality in Stevens-Johnson Syndrome and toxic epidermal necrolysis: Comparison with case-control analysis
[17]
웹사이트
Scientific conclusions and grounds for the variation to the terms of the marketing authorisation(s)
https://www.ema.euro[...]
European Medicines Agency
2017-04-06
[18]
웹사이트
Diflucan One
http://www.medsafe.g[...]
Medsafe
2008-04-29
[19]
웹사이트
Provigil (modafinil) Tablets
https://www.fda.gov/[...]
US Food and Drug Administration
2007-10-24
[20]
논문
Clinical study of cutaneous drug eruptions in 200 patients
http://www.bioline.o[...]
[21]
웹사이트
Incivek prescribing information
http://www.accessdat[...]
Vertex Pharmaceuticals
2012-12
[22]
논문
A case of bupropion-induced Stevens-Johnson syndrome with acute psoriatic exacerbation
https://jddonline.co[...]
[23]
논문
Nevirapine and the risk of Stevens–Johnson syndrome or toxic epidermal necrolysis
[24]
논문
Carbamazepine – The commonest cause of toxic epidermal necrolysis and Stevens–Johnson syndrome: A study of 7 years
[25]
논문
Stevens-Johnson syndrome due to concomitant use of lamotrigine and valproic acid
[26]
논문
Acetaminophen induced Steven Johnson syndrome-Toxic Epidermal Necrolysis overlap
http://www.jpma.org.[...]
[27]
논문
Stevens-Jonhson syndrome after acetaminophen ingestion, confirmed by challenge test in an eleven-year-old patient
[28]
논문
Stevens-Johnson syndrome and toxic epidermal necrolysis
http://www.pharmaceu[...]
2014-10-08
[29]
논문
Adverse cutaneous drug eruptions: current understanding
2016-01
[30]
논문
Chapter 28: Classification of hypersensitivity reactions
[31]
논문
Acute Generalized Exanthematous Pustulosis: Pathogenesis, Genetic Background, Clinical Variants and Therapy
[32]
논문
Severe cutaneous adverse reactions to drugs
[33]
논문
Pustular psoriasis and related pustular skin diseases
2018-01
[34]
논문
Classification of Drug Hypersensitivity into Allergic, p-i, and Pseudo-Allergic Forms
[35]
논문
Immunopathogenesis and risk factors for allopurinol severe cutaneous adverse reactions
[36]
논문
HLA Association with Drug-Induced Adverse Reactions
2017
[37]
논문
Medical genetics: A marker for Stevens–Johnson syndrome
[38]
논문
Carbamazepine and phenytoin induced Stevens–Johnson syndrome is associated with HLA-B*1502 allele in Thai population
[39]
논문
Association between HLA-B*1502 allele and antiepileptic drug-induced cutaneous reactions in Han Chinese
[40]
논문
HLA-B locus in Caucasian patients with carbamazepine hypersensitivity
[41]
논문
A marker for Stevens–Johnson syndrome ...: Ethnicity matters
[42]
논문
A European study of HLA-B in Stevens–Johnson syndrome and toxic epidermal necrolysis related to five high-risk drugs
[43]
논문
Pharmacogenomics of off-target adverse drug reactions
2017-09
[44]
논문
Genomics of Adverse Drug Reactions
2017-01
[45]
웹사이트
Reference SNP (refSNP) Cluster Report: rs1057910 ** With drug-response allele **
https://www.ncbi.nlm[...]
[46]
논문
Genetic variants associated with phenytoin-related severe cutaneous adverse reactions
2014-08
[47]
논문
Severe cutaneous adverse drug reactions
[48]
서적
The Merck Manual
Merck & Co.
2013-11
[49]
논문
Correlations between clinical patterns and causes of Erythema Multiforme Majus, Stevens-Johnson Syndrome, and Toxic Epidermal Necrolysis results of an international prospective study
2002
[50]
논문
The current understanding of Stevens–Johnson syndrome and toxic epidermal necrolysis
[51]
논문
Is universal HLA-B*15:02 screening a cost-effective option in an ethnically diverse population? A case study of Malaysia
[52]
논문
Severe Cutaneous Adverse Reactions: The Pharmacogenomics from Research to Clinical Implementation
[53]
논문
Current ophthalmologic treatment strategies for acute and chronic Stevens-Johnson syndrome and toxic epidermal necrolysis.
2013-07
[54]
논문
Clinical Aspects of Stevens-Johnson Syndrome/Toxic Epidermal Necrolysis With Severe Ocular Complications in India
2021
[55]
논문
Clinical manifestations and outcomes in 17 cases of Stevens-Johnson syndrome and toxic epidermal necrolysis
https://pubmed.ncbi.[...]
[56]
논문
Severe adverse skin reactions to nonsteroidal antiinflammatory drugs: A review of the literature
[57]
간행물
Stevens-Johnson syndrome
http://www.whonamedi[...]
[58]
논문
A new eruptive fever associated with stomatitis and ophthalmia; Report of two cases in children
https://books.google[...]
[59]
웹사이트
Ab-Soul's timeline: The rapper's life from 5 years old to now
http://www.billboard[...]
Billboard
2012-12-07
[60]
뉴스
Beautiful and Damned
https://www.theguard[...]
2006-04-08
[61]
웹사이트
Manute Bol dies at age 47
http://nba.fanhouse.[...]
AOL
2010-06-19
[62]
뉴스
3M golf: Gene Sauers thriving after torturous battle with skin disease
http://www.twincitie[...]
2013-07-31
[63]
뉴스
Family awarded $63 million in Motrin case
https://www.bostongl[...]
2013-02-13
[64]
뉴스
$63 million verdict in Children's Motrin case upheld
https://www.bostongl[...]
2015-04-17
[65]
웹사이트
Karen Morton Biography
https://www.imdb.com[...]
[66]
웹사이트
Well, he collapsed with Stevens-Johnson syndrome on the ER floor
https://genius.com/W[...]
2024-11-10
[67]
문서
Bastuji-Garin S, et al. Arch Dermatol. 1993;129:92-6.
[68]
PDF
第18回日本薬剤疫学会学術総会 教育公演 重症薬疹(SJS/TEN/DIHS)の現状と問題点 Dr.飯島正文
https://web.archive.[...]
[69]
웹사이트
医薬品による重篤な皮膚障害について
https://www.mhlw.go.[...]
2014-11-03
[70]
웹인용
Stevens-Johnson syndrome/toxic epidermal necrolysis
https://ghr.nlm.nih.[...]
2015-07
[71]
웹인용
Stevens-Johnson syndrome
https://rarediseases[...]
2016-08-26
[72]
웹인용
Orphanet: Toxic epidermal necrolysis
http://www.orpha.net[...]
2017-04-26
[73]
저널
Current Perspectives on Stevens-Johnson Syndrome and Toxic Epidermal Necrolysis
본 사이트는 AI가 위키백과와 뉴스 기사,정부 간행물,학술 논문등을 바탕으로 정보를 가공하여 제공하는 백과사전형 서비스입니다.
모든 문서는 AI에 의해 자동 생성되며, CC BY-SA 4.0 라이선스에 따라 이용할 수 있습니다.
하지만, 위키백과나 뉴스 기사 자체에 오류, 부정확한 정보, 또는 가짜 뉴스가 포함될 수 있으며, AI는 이러한 내용을 완벽하게 걸러내지 못할 수 있습니다.
따라서 제공되는 정보에 일부 오류나 편향이 있을 수 있으므로, 중요한 정보는 반드시 다른 출처를 통해 교차 검증하시기 바랍니다.
문의하기 : help@durumis.com