폐포대식세포
"오늘의AI위키"의 AI를 통해 더욱 풍부하고 폭넓은 지식 경험을 누리세요.
1. 개요
폐포대식세포는 폐에 존재하는 식세포로, 폐포 내에서 다양한 물질을 포식하고 면역 조절 기능을 수행한다. 폐포대식세포는 질병의 종류에 따라 검은색, 노란색 또는 갈색 과립을 포함하며, 탄분증, 호흡세기관지염, 만성 폐울혈 등의 질환 진단에 활용된다. 이 세포는 병원체를 인식하고 제거하며, 면역 반응을 조절하는 신호 분자를 분비하여 폐의 항상성을 유지하는 데 중요한 역할을 한다. 톨유사수용체를 통해 활성화되며, 인테그린과 TGF-β를 통해 비활성화된다.
더 읽어볼만한 페이지
- 대식세포 - 조직구
조직구는 골수에서 생성되어 여러 기관으로 이동해 분화하는 세포로, 단핵구-탐식 세포 계통의 일부로서 식작용, 항원제시 등 면역계에서 중요한 역할을 하며, 대식세포, 수지상세포, 랑게르한스 세포 등으로 분화하고 과도한 증식 시 조직구증을 유발할 수 있다. - 대식세포 - 미세아교세포
미세아교세포는 뇌와 척수에서 면역 방어 및 항상성 유지에 기여하는 중추신경계의 주요 면역 세포로, 식세포 작용, 세포 외 신호 전달 등을 통해 면역 반응을 조절하며 신경퇴행성 질환, 뇌 발달, 노화 등과 관련되어 중추신경계의 건강과 질병에 중요한 역할을 한다. - 식세포 - 세포 매개 면역
세포 매개 면역은 항체의 도움 없이 T 세포, 자연 살해 세포(NK 세포), 대식세포 등의 세포들이 직접 항원을 제거하는 면역 반응으로, 세포독성 T 세포는 감염 세포나 암세포를 파괴하고, NK 세포는 비자기 세포를 파괴하며, 대식세포는 식균 작용을 통해 병원체를 제거하고, 사이토카인을 분비하여 면역 반응을 조절하며, 바이러스 감염, 암, 이식 거부 반응 등에 관여한다. - 식세포 - 호중구
호중구는 혈액 내에서 가장 풍부한 백혈구로서 세균 감염에 대한 신속한 면역 반응에 중요한 역할을 하며, 식세포 작용, 탈과립, 호중구 세포외덫 형성 등의 항미생물 작용을 수행하고 염증 반응을 조절하며 사이토카인을 분비한다. - 호흡생리학 - 헤모글로빈
헤모글로빈은 척추동물 혈액에서 산소를 운반하는 주요 단백질로, 헴과 글로빈이 결합된 4개의 소단위체로 구성된 사량체 구조를 가지며, 헴의 철 성분이 산소와 결합하여 폐에서 조직으로 산소를, 조직에서 이산화탄소와 양성자를 운반하고, 산소 결합은 여러 요인에 의해 영향을 받으며, 유전자 돌연변이는 헤모글로빈병증을 유발하고, 농도와 기능은 질병 진단에 활용되며, 다양한 생물종에서 발견된다. - 호흡생리학 - 메트헤모글로빈
메트헤모글로빈은 헤모글로빈의 일종으로, 헴 철 이온이 산화된 Fe3+ 상태로 존재하여 산소 결합 능력을 상실한 상태를 말하며, 후천적으로는 환경적 요인이나 약물에 의해, 선천적으로는 유전적 결함으로 인해 발생할 수 있다.
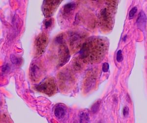
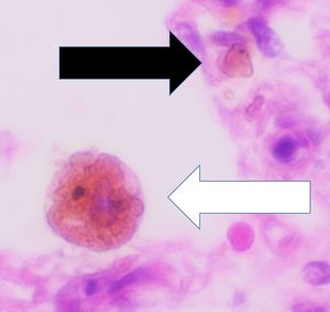
2. 착색된 폐포대식세포
폐포대식세포는 질병에 따라 다른 색소를 포함하며, 이를 통해 질병을 진단할 수 있다.
2. 1. 탄분증
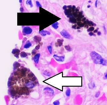
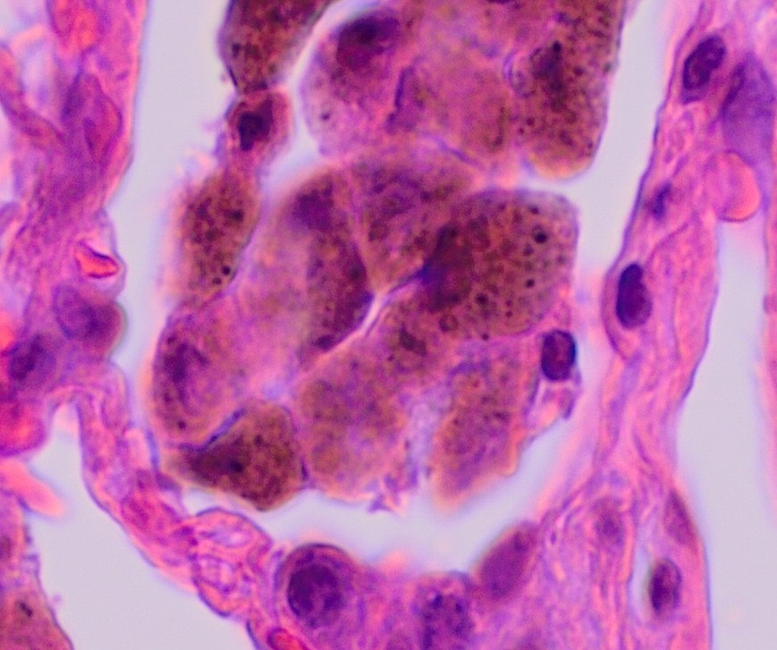
폐포대식세포는 탄분증의 경우 검은색, 갈색 과립을 포함하며, 주로 혈관 주위(perivascular) 간질 조직에서 발견된다.[28][2] 탄분증은 나이가 많고 도시에 거주하거나,[28][2] 석탄 관련 직업에 종사하는 사람에게서 주로 발생한다.[29][3]

2. 2. 호흡세기관지염
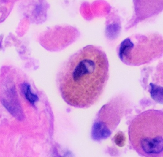
흡연자의 대식세포는 노랗거나 옅은 갈색의 과립을 포함하며, 주로 기도, 특히 호흡세기관지에서 발견된다.[30] 이러한 소견을 보이는 호흡세기관지염은 흡연과 관련이 있다.
2. 3. 만성 폐울혈
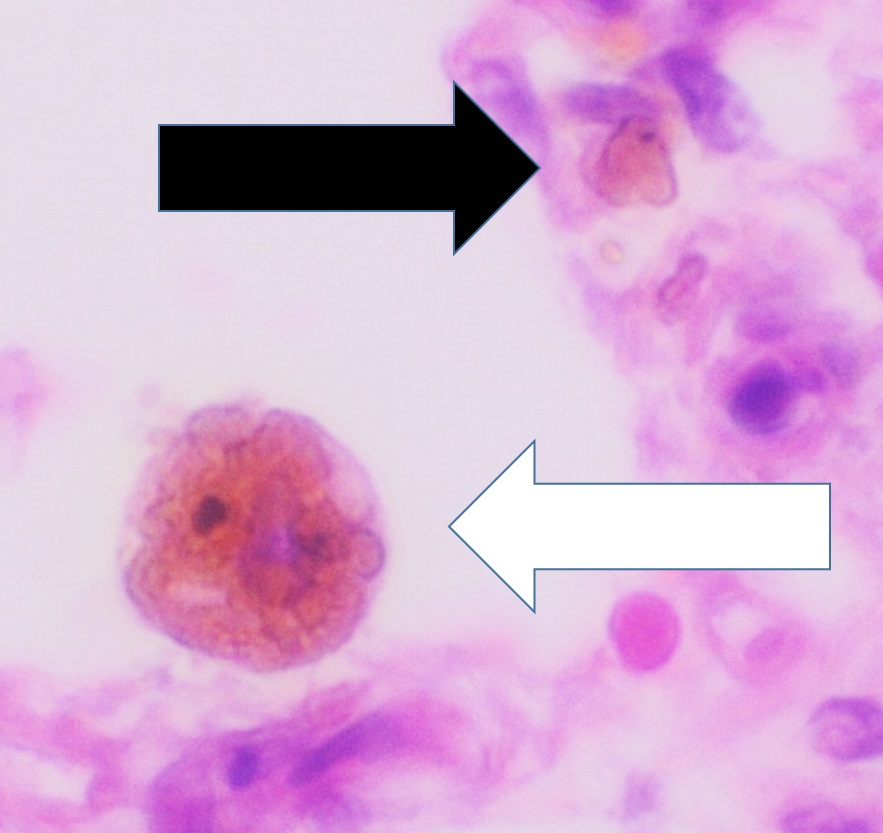
철식세포는 폐포에서 발견되며, 갈색이나 금색의 굴절을 보이는 과립을 포함하고 있다.[31][32] 이는 심부전이나 폐출혈과 관련이 있다.[31]
3. 기능
폐포대식세포는 항상성 유지, 숙주 방어, 조직 복구에 중요한 역할을 하는 식세포이다.[33] 적응성이 높으며 다양한 세포표면수용체를 통해 다른 세포나 분자와 상호작용하기 위해 여러 종류의 분비물을 방출한다.
폐는 특히 민감하며 손상되기 쉬워 제1형, 제2형 폐포세포에 이차적인 손상이 가해지지 않도록 폐포대식세포는 평상시에는 염증성 사이토카인 생산이나 식세포 활성이 적은 휴식기를 유지한다. 이때 식세포 수용체인 대식세포-1 항원(Mac-1)이 하향조절되는 것이 이 사실의 근거가 된다.[33][38] 폐포대식세포는 간질 수지상세포, B세포, T세포를 통해 적응면역계를 억제시키는데, 이 세포들은 파괴하는 대상을 덜 선택적이므로 종종 정상 세포에 불필요한 손상을 유발할 수 있다. 또한 적극적으로 체액성 면역의 유도를 억제한다. 하기도에 조절되지 않는 염증을 방지하기 위해 폐포대식세포는 일산화질소, 프로스타글란딘, IL-4, IL-10, TGF-β를 분비한다.[38][39][40][41]
폐포 대식세포는 백혈구의 일종으로, 폐포에 침입한 대기 중의 입자상 물질, 담배 연기, 호흡기에 침입한 미생물을, 세포 골격을 형성하는 액틴을 작동시켜 폐포 대식세포 자체의 세포막을 입자에 따라 연장시켜 입자를 세포 내로 포획함으로써 호흡기를 보호하는 역할을 한다. 이러한 폐포 대식세포의 기능이 저하되면 폐에서의 세균 등의 제거 효력이 감소하여 감염성 질환에 걸리기 쉬워진다.
3. 1. 식작용
폐포대식세포는 항상성, 숙주 방어, 조직 리모델링에 중요한 역할을 하는 식세포이다.[33] 이들은 괴사나 세포자멸사된 세포를 포식하는 과정에 관여한다.[34] 정상 세포와 구조를 안전하게 유지하기 위해서 폐포대식세포가 포식하는 물질은 선택적이어야 한다.[34]감염과 맞서 싸우기 위해 식세포는 여러 패턴인지수용체(PRR)을 발현해 병원성 미생물 표면에 존재하는 병원체연관분자패턴(PAMP)를 인식한다.[35] PAMP는 병원체 그룹마다 고유하지만 기본적인 구조에는 변이가 없으며 병원성에 필수적이다.[35] 미생물의 패턴 인식에 관련된 단백질에는 만노스 수용체, 보체수용체, DC-SIGN, 톨유사수용체(TLR), 청소제 수용체, CD14, 대식세포-1 항원(Mac-1) 등이 있다.[35][36] PRR은 다음 세 가지로 나눌 수 있다.
# 세포 활성화를 위해 유전자 전사 기전을 활성화하는 신호 전달 PRR
# 병원체 결합과 식작용 기능을 하는 식작용 PRR
# 대개 옵소닌이나 보체 활성화 인자로 작용하는 분비 PRR
침투한 미생물을 인식하고 제거하는 과정은 옵소닌 의존적인 경로와 옵소닌 비의존적인 경로 양쪽 모두를 통해 일어난다. 옵소닌 의존적 식작용을 촉진하는 분자적 기전은 옵소닌-수용체 쌍에 따라 달라진다. 예를 들어 면역글로불린 G에 의해 옵소닌화된 병원체의 식작용은 Fc 감마 수용체(FcγR)를 통해 일어나며, 식세포가 미생물 주변으로 모이게 해 전염증성 물질을 생산하도록 만든다. 반대로 보체수용체 매개 병원체 탐식은 막의 확장이 뚜렷이 보이지 않은 채로 입자가 세포 안쪽으로 들어오기만 하며 염증성 매개 물질의 반응이 일반적으로 나타나지 않는다.
내부로 들어온 뒤 병원체는 파고솜 안에 갇히고, 파고솜은 일차 또는 이차 리소좀과 융합되어 파고리소좀을 형성한다.[35] 세포 내에서 병원체를 살해하는 다양한 기전이 있다. 산화 과정과 산화와 독립적으로 일어나는 과정이 존재한다. 산화 과정은 산소 활용을 자극하는 막 효소 시스템을 활성화하며 이 과정을 호흡폭발이라고 한다. 산소는 병원체에 대한 강한 독성을 가지는 활성 산소종 중간체(ROIs)로 환원된다.[35] 호흡폭발을 일으키는 데에 관여하는 효소는 NADPH 산화효소로, 다섯 개의 소단위로 이루어져 있다.[35] 첫 번째 요소는 두 개의 단백질 소단위 gp91phox와 p22phox로 이루어진 막 사이토크롬이며 다른 세 개의 요소는 세포질 유래 단백질인 p40phox, p47phox, p67phox이다.[35] NADPH 산화효소는 휴식기의 폐포대식세포에서는 세포질에 존재한다. 폐포대식세포가 활성화되면 타이로신과 세린 잔기가 인산화된 상태의 두 세포질 요소인 p47phox과 p67phox는 NADPHox가 세포골격 요소를 통해 세포막에 위치한 사이토크롬 요소 gp91phox/p22phox로 전좌되도록 할 수 있다.[37]
다른 식세포와 비교했을 때 폐포대식세포에서 호흡폭발의 강도는 더 강하다.[35] 산소 비의존적인 살균 기전은 산 생산, 리소좀의 분비, 철 결합 단백질, 독성 양이온 폴리펩타이드 합성에 기반을 두고 있다.[35] 대식세포는 과립과 리소좀에 항균성 분자를 저장하고 있다.[35] 이 세포 소기관들은 파고리소좀으로 방출되는 무수히 많은 분해효소와 항균 펩타이드를 가지고 있다. 분해효소에는 단백질분해효소, 핵산분해효소, 인산가수분해효소, 에스터레이스, 라이페이스, 고염기성 펩타이드 등이 있다.[35] 또한 대식세포는 포식한 병원체가 필요로 하는 영양소를 고갈시키는 여러 가지의 영양 결핍 기전을 가지고 있다.[35] 특정 미생물은 식세포에 의해 파괴되는 걸 회피하는 방법들을 진화시켜 왔다. 리소좀 매개 분해 과정이 감염을 중화하고 균락화를 방지하기 위한 효율적인 수단이지만, 일부 병원체는 대식세포에 기생하여 이 안에서 성장, 유지, 복제된다.[35] 톡소포자충(Toxoplasma gondii)이나 미코박테륨(Mycobacterium)은 파고솜이 리소좀과 융합하여 파고리소좀을 형성하는 것을 막아, 리소좀 가수분해효소에 의해 분해되지 않는다. 다른 병원체 중에는 파고솜 소포를 탈출하여 방해받지 않고 성장할 수 있는 세포질로 이동한다. 이런 경우 대식세포는 독성이 강한 여러 분자를 생산하고 영양소를 고갈시키는 기전을 활성화하여 포식한 미생물을 적극적으로 파괴한다.[35] 몇몇 미생물은 호흡폭발 도중 만들어진 산소 대사물의 독성을 없애는 효소를 가지고 있다.[35]
위협이 되는 원인을 물리치기에 부족하다면 폐포대식세포는 전염증성 사이토카인과 케모카인을 분비해 적응면역계 식세포의 고도로 발달된 네트워크를 불러온다.
3. 2. 병원체 인식 및 제거
폐포대식세포는 패턴인지수용체(PRR)를 통해 병원체 표면에 존재하는 병원체연관분자패턴(PAMP)을 인식하여 병원체를 제거한다.[35] 미생물 패턴 인식에 관련된 단백질에는 만노스 수용체, 보체수용체, DC-SIGN, 톨유사수용체(TLR), 청소제 수용체, CD14, 대식세포-1 항원(Mac-1) 등이 있다.[35][36]병원체 제거는 옵소닌 의존적 경로와 비의존적 경로 모두를 통해 일어난다. 면역글로불린 G에 의해 옵소닌화된 병원체는 Fc 감마 수용체(FcγR)를 통해 식작용이 일어나며, 이는 염증성 물질 생산을 유도한다. 반면 보체수용체 매개 병원체 탐식은 염증 반응을 일으키지 않는 경우가 많다.[35]
병원체는 파고솜에 갇힌 후 리소좀과 융합하여 파고리소좀을 형성한다.[35] 세포 내에서 병원체를 죽이는 기전에는 산화/비산화적 과정이 있다. 산화 과정은 호흡폭발을 통해 활성 산소종 중간체(ROIs)를 생성하며, 이는 NADPH 산화효소에 의해 촉매된다. 다른 식세포와 비교했을 때 폐포대식세포에서 호흡폭발의 강도는 더 강하다.[35] 산소 비의존적 살균 기전은 산 생성, 리소좀 분비, 철 결합 단백질, 독성 양이온 폴리펩타이드 합성에 기반한다.[35] 대식세포는 과립과 리소좀에 단백질분해효소, 핵산분해효소, 인산가수분해효소 등의 분해효소와 항균 펩타이드를 저장하고 있다.[35]
일부 병원체는 이러한 방어 기전을 회피한다. 톡소포자충이나 미코박테륨은 파고솜과 리소좀의 융합을 막고, 다른 병원체는 파고솜을 탈출하여 세포질로 이동한다. 또한, 일부 미생물은 호흡폭발로 생성된 독성 산소 대사물을 해독하는 효소를 가진다.[35]
위협을 제거하기에 충분하지 않으면 폐포대식세포는 전염증성 사이토카인과 케모카인을 분비하여 적응면역계 세포를 불러온다.
3. 3. 면역 조절
폐포대식세포는 전염증성 사이토카인과 케모카인을 분비하여 적응면역계를 불러온다.폐는 특히 민감하고 손상되기 쉬워 제1형, 제2형 폐포세포에 이차적인 손상이 가해지지 않도록 폐포대식세포는 평상시에는 염증성 사이토카인 생산이나 식세포 활성이 적은 휴식기를 유지한다. 이때 식세포 수용체인 대식세포-1 항원(Mac-1)이 하향조절되는 것이 이 사실의 근거가 된다.[33][38] 폐포대식세포는 간질 수지상세포, B세포, T세포를 통해 적응면역을 억제시키는데, 이 세포들은 파괴하는 대상을 덜 선택적이므로 종종 정상 세포에 불필요한 손상을 유발할 수 있다. 또한 적극적으로 체액성 면역의 유도를 억제한다. 하기도에 조절되지 않는 염증을 방지하기 위해 폐포대식세포는 일산화질소, 프로스타글란딘, IL-4, IL-10, TGF-β를 분비한다.[38][39][40][41]
4. 신호 분자의 역할
폐포대식세포는 여러 가지 신호 분자를 통해 면역 반응을 조절하고, 우리 몸을 보호하는 항상성을 유지한다.[40] 주요 신호 분자에는 일산화질소(NO), 프로스타글란딘 엔도퍼옥시데이스 2(PGE2), 인터루킨 4(IL-4), 인터루킨 10(IL-10), 전환성장인자 베타(TGF-β) 등이 있다.
- 일산화질소 (NO): 설치류에서는 면역 조절에 중요한 역할을 하지만, 사람에서는 그 기능이 명확히 밝혀지지 않았다.[40] NO는 알레르겐에 의해 유도되는 염증 반응을 조절하며, 천식과도 관련이 있는 것으로 알려져 있다.[40]
- 프로스타글란딘 엔도퍼옥시데이스 2 (PGE2): 아라키돈산에서 유래하며, 면역 반응을 억제하는 역할을 한다.[42] PGE2는 세포막에 있는 특정 수용체(EP 수용체)와 결합하여 세포 내 신호 전달 과정을 통해 작용하며, 세균을 죽이는 식작용을 방해한다.[37][42]
- 인터루킨 4 (IL-4)와 인터루킨 10 (IL-10): 이 두 사이토카인은 금속단백질가수분해효소 생성을 줄여 세포외기질을 보호한다.[40][41] IL-4는 면역 반응을 조절하며, PGE2 생산을 억제하기도 한다.[40][41] IL-10은 염증 반응을 억제하지만, 특정 세균 감염을 악화시킬 수도 있다.[40][45]
- 전환성장인자 베타 (TGF-β): 인테그린에 의해 활성화되며, 염증 반응을 억제하고 손상된 조직을 회복하는 데 중요한 역할을 한다.[46][47] TGF-β는 세포핵 내에서 특정 유전자 발현을 조절하여 작용한다.[49]
폐포대식세포는 톨유사수용체(TLR)를 통해 세균을 인식하고 활성화되어 식작용을 통해 세균을 제거한다.[36] 활성화된 폐포대식세포는 종양괴사인자 알파(TNF-α)와 인터루킨 6(IL-6)와 같은 염증성 사이토카인을 분비한다.[48] 이후, 활성화된 림프구에서 분비된 인터페론 감마(IFN-γ)는 폐포대식세포에서 MMP9 효소 생산을 자극하여 잠복 상태의 TGF-β를 활성화시키고, 이는 다시 폐포대식세포를 안정 상태로 되돌려 조직 손상을 막는다.[48]
4. 1. 일산화질소 (NO)
일산화질소(NO)는 설치류에서 주된 면역조절 분자이며, 폐포대식세포의 효소인 일산화질소 합성효소 2형(NOS2)에 의해 합성된다.[40] NO는 인터루킨 2 수용체(IL2R) 생산에 관여하는 인산화효소가 타이로신 인산화되는 것을 억제하는데, 이는 T세포 증식에 중요한 역할을 한다.[39] 그러나 사람에서는 NOS2 활성을 확인하기 어려웠다.[40]사람의 유도 일산화질소 합성효소(iNOS)의 프로모터가 지질다당류(LPS)와 인터페론 감마에 의한 일산화질소 활성화에 반응하지 않는 데에는 두 가지 설명이 있다.[40] 첫째는 사람에서 마우스 NOS2 유전자의 LPS/IFNγ-유도 발현을 조절하는 인핸서 요소에 대응하는 부분에 다양한 비활성화 뉴클레오타이드 변이가 존재하기 때문이다. 둘째는 NOS2 유전자(LPS-유도 핵 인자-카파 B/Rel 복합체)의 최적 발현에 필요한 핵 인자가 인간 대식세포에 존재하지 않기 때문이다.[40] 이러한 NOS2 확인의 어려움은 사람 폐포대식세포가 설치류의 폐포대식세포보다 더 엄격하게 NOS2 발현을 조절하기 때문이라고 추정된다.[40]
NOS2는 자가조절 피드백 고리의 부분으로, 알레르겐 같은 물질이 염증성 사이토카인 생산을 자극하면 NO 생산을 촉진한다. NO는 사이토카인 생산을 하향조절한다.[40] 쥐에서 NO는 GM-CSF 매개로 수지상세포가 성숙하는 것을 억제하며, 사람에서 NO는 사람 수지상세포가 TNF-α에 의해 매개되어 성숙하는 것을 억제한다. 이러한 억제는 cGMP 의존적 기전에 의해 일어난다.[40] NO는 사람 수지상세포가 염증 부위에서 항원을 안으로 들이는 능력을 연장시켜 항원 특이적인 면역 반응의 시작 단계를 조절한다.[40]
NO 생산은 천식의 병리와 관련이 있는 것으로 나타났다. 천식 환자는 기도 상피세포에서 iNOS 발현이 증가하고 숨을 내쉴 때 공기에 NO 농도가 올라가 있는 것으로 나타났다.[40]
4. 2. 프로스타글란딘 엔도퍼옥시데이스 2 (PGE2)
PGE2는 대식세포에서 유래된 주요 면역조절 인자 중 하나이다.[40] PGE2는 말초 혈액 림프구의 인터루킨-10(IL-10) 전사와 단백질 생산을 증폭시키고, 대식세포와 T 세포를 비활성화시키는 기능을 한다.[40]PGE2는 세포막 요소인 아라키돈산에서 유래한 면역조절성 에이코사노이드로, 아라키돈산 연쇄반응에서 만들어진다. 이 연쇄반응은 고리형 산소화효소와 PGE2 합성효소들에 의한 아라키돈산의 연속적인 산화와 이성질화를 통해 일어난다.[42] PGE2에 의한 표적 세포의 조절은 네 개의 세포막 연관 G 단백질 연결 E-프로스타노이드(EP) 수용체(EP1, EP2, EP3, EP4)를 통해 신호가 전달되어 일어난다.[42]
PGE2는 Fcγ 매개 식작용을 손상시켜 살균과 폐포대식세포의 ROI 생산을 억제한다. 식작용을 손상시키는 기전은 EP2, EP4 수용체 신호 전달을 통해 세포 내 cAMP 생산을 자극하는 방식이다.[37][42] EP2와 EP4 수용체 신호는 주로 자극성 G 단백질(Gs)를 통해 아데닐릴 사이클레이스(AC) 활성을 상승시켜 cAMP 형성을 늘린다.[37] cAMP는 단백질인산화효소 A(PKA)와 cAMP에 의해 직접 활성화되는 교환 단백질(Epac-1, Epac-2)이라는 두 종류의 하류 작동 분자를 통해 다양한 세포 기능에 영향을 미치는 이차 전달자이다.[37] Epac-1과 PKA는 모두 폐포대식세포가 세균을 죽이는 데에 관여하는 중요한 인자이다.[37] PKA의 효과는 특히 전사인자인 cAMP 반응 요소 결합 단백질(CREB)과 같은 많은 세포 단백질의 세린과 트레오닌 잔기를 인산화하는 능력을 통해 나타난다. cAMP/PKA/CREB 축은 TNF-α 방출 억제를 매개한다.[37]
포식된 세균을 폐포대식세포가 죽이는 것은 여러 구별되는 살균 기전에 의존적이다. 살균 기전에는 환원 NADPH 산화효소에 의해 매개되는 ROI 방출이 있다.[35][37] NADPH 산화효소에 의한 ROI 형성은 FcR 매개 식작용 이후의 중요한 살균 기전이다.[37] PGE2는 Gs와 연결된 EP2와 EP4 수용체를 라이게이션을 통해 활성화시켜, cAMP 생산을 자극하여 하류의 cAMP 작동기인 PKA와 Epac-1을 뒤이어 활성화시킨다. 두 작동기 분자 모두 NADPH 산화효소 요소인 p47phox의 인산화와 파고솜 막에서의 전좌를 손상시켜 호흡폭발을 억제한다.[37]
4. 3. 인터루킨 4 (IL-4)와 인터루킨 10 (IL-10)
IL-4는 제2형 보조 T세포(Th2 세포) 발달에 중요한 역할을 하는 사이토카인으로, 미성숙 CD4+ T세포가 성숙 Th2 세포로 분화하고 IgE와 IgG4로 면역글로불린 클래스 전환을 유도한다.[43][44] 면역글로불린(Ig)은 포유류에서만 발견되는 항체의 클래스로 알레르기 반응과 다양한 병원체에 대한 방어에 중요하며, 보체 활성화, 식작용을 위한 옵소닌화, 독소 중화 등의 기능을 한다.[44]IL-4와 IL-10은 모두 사람 폐포대식세포에서 만들어지며, 콜라겐이나 다른 세포외 단백질을 분해하는 금속단백질가수분해효소 생성을 감소시킨다.[40][41] IL-4는 대식세포에 대해 자극성과 억제성 효과를 모두 가지는데,[41] 외인성 항원제시 경로에서 보조 T세포와 상호작용하는 MHC 클래스 II와, 선천면역의 일부인 세포표면수용체 Mac-1을 강화한다.[41] 또한 IL-4는 PGE2 생산에 중요한 프로스타글란딘 H 합성효소 2(PGHS-2) 발현을 감소시켜 PGE2 생산을 억제한다.[40] 그러나 IL-4는 전염증성 반응에 중요한 사이토카인인 TNF-α, IL-1, IL-6의 생산을 억제한다.[41]
IL-10은 전염증성 사이토카인인 TNF-α와 INF-γ 분비를 막아 T세포, NK세포, 폐포대식세포 증식을 억제한다.[40] IL-10은 TGF-β와 유사한 면역조절 기전을 공유하며,[40] IL-10과 TGF-β는 모두 사람의 폐포대식세포에서 세포자멸사를 감소시켜, 폐포대식세포에 의해 매개되는 T세포 증식 억제를 간접적으로 강화한다.[40] 세균의 생산물에 의해 활성화되면 세포자멸사 속도가 크게 증가하는데, 세포자멸사는 사이토카인에 의해 조절된다. IFN-γ는 세포자멸사를 증가시키지만 IL-10과 TGF-β는 감소시킨다.[40]
그러나 IL-10은 면역계에서 역효과를 일으켜 외부 병원체에 의한 감염을 촉진하기도 한다. 세균과 기생충 감염에서 IL-10의 역할은 숙주 면역계를 회피하는 전략으로 발견되었다.[45] 폐포대식세포 막을 뚫고 들어가 그 안에서 폐포대식세포를 숙주 세포 삼아 기생하며 성장, 증식하는 세균들이 있다. 보통 이런 감염은 T세포가 폐포대식세포에 존재하는 세균을 파괴하는 효소를 이용해 제거할 수 있지만, 이런 세균들은 오히려 사이토카인 신호전달 네트워크를 자신들에게 유리하게 바꿀 수 있다. 억제성 사이토카인으로서 IL-10은 IFN-γ가 레지오넬라 뉴모필라(''Legionella pneumophila'')의 세포 내 복제를 방어하는 효과를 완전히 역전시켜 사람의 폐포대식세포와 단핵구가 감염되기 쉽게 만든다.[45] 예르시니아 엔테로콜리티카(''Yersinia enterocolitica'') 역시 톨유사수용체 2(TLR-2)와 CD14(TLR-4 매개 LPS 신호전달 경로의 보조 표면 단백질)를 통해 IL-10을 유도하는 독성 항원 LcrV를 방출하여 IFN-γ와 TNF-α를 억제한다.[45]
4. 4. 전환성장인자 베타 (TGF-β)
인테그린은 알파와 베타 소단위로 이루어진 이합체 세포 표면 수용체로, TGF-β를 활성화한다.[46][47] TGF-β는 세포 성장, 세포자멸사, 세포외기질 합성, 염증, 면역 반응 등 다양한 생물학적 과정을 조절하는 다기능성 사이토카인이다.[48] TGF-β는 전염증성 사이토카인 생산을 억제하여 T세포 기능을 억제하는 방식으로 항염증 활성을 조절한다.[49]인테그린 avβ6와 avβ8은 잠복 상태의 TGF-β를 세포 표면으로 격리시킨다. 세포 표면에서 TGF-β 활성화는 외부 환경 스트레스에 대한 항상성 유지를 위한 세포 반응과 연결될 수 있다. 또한 인테그린은 활성화된 TGF-β를 대식세포 부근에만 국소화시킨다.[50]
일반적으로 성숙한 TGF-β는 잠복 상태의 복합체로 분비된다. 이 복합체는 자신의 활성을 억제하는 N-말단 절편인 잠복기 연관 펩타이드(latency-associated peptide, LAP)와 함께 분비된다.[48] 잠복 상태의 복합체는 TGF-β 결합 단백질과 공유 결합하여 세포외기질에 연결된다.[46] TGF-β는 폐의 다양한 기전에 의해 활성화되어 궁극적으로 LAP의 단백질분해나 구조 변화를 통한 대체를 일으킨다.[50] αvβ6 인테그린은 인테그린의 리간드 결합 부위로 작용하는 TGF-β1 LAP에 결합하여 TGF-β 활성화를 매개할 수 있다. TGF-β1 LAP는 TGF-β 활성화의 필수적인 구성 요소이다.[48][51]
TGF-β가 활성화되면 대식세포 기능이 억제된다. 따라서 사이토카인 생산과 식작용이 억제된다.[48] 활성화된 TGF-β가 폐포대식세포에 발현된 TGF-β 수용체에 결합하면 R-SMAD 동족체 2와 3의 인산화 등 하류 신호전달 경로 연쇄작용을 유도한다.[33][48][49] 인산화된 SMAD-2와 SMAD-3는 co-SMAD-4와 이종복합체를 형성한다. 형성된 복합체는 임포틴 α/β의 도움으로 핵공을 통해 세포핵으로 전위된다. 핵으로 들어온 이후 복합체는 축적되어 결국 TGF-β 표적 유전자에 대한 전사인자로 작용한다.[49] 따라서 TGF-β 신호전달은 세포 표면의 수용체에서 핵까지 직접적인 경로를 포함한다.
4. 5. 활성화와 비활성화
톨유사수용체(TLR)는 다양한 세균 단백질을 인식할 수 있는 신호 패턴인지수용체(PRR)이다.[36] 세균은 숙주 방어 기전을 회피하는 수단을 진화시켰지만, 선천면역의 톨유사수용체에 의해 인식되는 리포글리칸 및 지질단백질과 같은 PAMP를 가진다.[36] PAMP가 TLR에 결합하면 염증 반응과 숙주 세포의 방어 반응을 촉발하며 폐포대식세포의 액틴 중합체화를 유도한다. 액틴은 세포내이입과 운동성에 중요한 요소이다.[48] 폐포대식세포에서 액틴 중합체화는 인테그린 발현을 억제하여 TGF-β의 비활성화와 SMAD 2/3의 인산화 수준을 하향조절한다. 이로 인해 폐포대식세포는 활성화되고 폐포 상피세포에서 떨어져 나온다.[48] 활성화 후 대식세포는 식작용을 일으킬 준비를 하고 전염증성 사이토카인인 TNF-α와 IL-6을 분비하기 시작한다.[48]대식세포가 준비되면 IFN-γ와 TNF-α에 의해 호흡폭발 활성이 강화된다.[35] IFN-γ는 대식세포에서 NADPH 산화효소의 NADPH에 대한 친화도를 증가시키며 gp91phox 단백질의 유전자 전사와 발현 증가를 유도한다.[35] TNF-α는 p47phox와 p67phox의 발현을 증가시키는 자가분비 자극으로 작용한다. 호흡폭발 반응 동안 생산된 ROI는 대식세포의 TNF-α 생산을 강화한다.[35]
기체 교환은 이차적인 손상을 막기 위해서 가능한 한 빨리 회복되어야 하므로 활성화된 림프구는 IFN-γ를 분비하여 대식세포에서 기질 금속단백질가수분해효소 MMP9 생산을 자극한다.[48] 폐포대식세포는 식작용의 억제에 관여하는 경로인 PGE2 의존적 PKA 신호전달 경로를 통해 MMP9을 생산한다고 보고되었다.[52] MMP9은 잠복 상태의 TGF-β를 활성화시켜 폐포 상피세포에서 αvβ6 인테그린의 발현을 다시 유도한다. 폐포대식세포는 다시 유도된 인테그린에 의해 휴식기로 돌아온다.[33][48][52] TGF-β의 활성화는 간질의 섬유아세포에서 TGF-β 생산이 콜라겐 합성을 자극하는 점에서도 회복에 유리하다. 콜라겐 합성은 폐포 벽 구조를 회복하는 데에 필수적이다.[48]
참조
[1]
서적
Principles of pulmonary medicine
2019
[2]
서적
Robbins Pathologic Basis of Disease
W.B Saunders Company
[3]
논문
Industrial bronchitis
1978-11
[4]
웹사이트
Lung - Other interstitial pneumonitis / fibrosis - Respiratory bronchiolitis
https://www.patholog[...]
[5]
서적
Pulmonary pathology
Elsevier
[6]
서적
Cells, Tissues, and Disease : Principles of General Pathology
https://books.google[...]
Oxford University Press
2004-08-12
[7]
논문
"Alveolar macrophage in the driver's seat".
2006-04
[8]
서적
Textbook of Medical Physiology
2007
[9]
논문
Macrophage-mediated innate host defense against protozoan parasites
2002
[10]
논문
The role of Toll-like receptors in combating mycobacteria
2004-02
[11]
논문
Prostaglandin E2 suppresses bacterial killing in alveolar macrophages by inhibiting NADPH oxidase
2007-11
[12]
논문
Downregulation of the antigen presenting cell function(s) of pulmonary dendritic cells in vivo by resident alveolar macrophages
1993-02
[13]
논문
Suppression of autologous peripheral blood mononuclear cell proliferation by alveolar macrophages from young infants
2002-05
[14]
논문
Immunomodulating mechanisms in the lower respiratory tract: nitric oxide mediated interactions between alveolar macrophages, epithelial cells, and T-cells
2001-04
[15]
논문
Suppression of metalloproteinase biosynthesis in human alveolar macrophages by interleukin-4
1992-08
[16]
논문
Effects of prostaglandin E2 on the subcellular localization of Epac-1 and Rap1 proteins during Fcgamma-receptor-mediated phagocytosis in alveolar macrophages
2008-01
[17]
논문
Interleukin-4 production by human alveolar macrophages
2005-06
[18]
논문
Interleukin-4: a prototypic immunoregulatory lymphokine
1991-05
[19]
논문
Legionella pneumophila evades gamma interferon-mediated growth suppression through interleukin-10 induction in bone marrow-derived macrophages
2005-05
[20]
논문
Integrin-mediated transforming growth factor-beta activation regulates homeostasis of the pulmonary epithelial-mesenchymal trophic unit
2006-08
[21]
논문
Loss of integrin alpha(v)beta6-mediated TGF-beta activation causes Mmp12-dependent emphysema
2003-03
[22]
논문
Induction of a homeostatic circuit in lung tissue by microbial compounds
2006-04
[23]
논문
Transforming growth factor-beta activation and signaling in the alveolar environment during Pneumocystis pneumonia
2006
[24]
논문
Making sense of latent TGFbeta activation
2003-01
[25]
논문
The integrin alpha v beta 6 binds and activates latent TGF beta 1: a mechanism for regulating pulmonary inflammation and fibrosis
1999-02
[26]
논문
Matrix metalloproteinase-9 and airway remodeling in asthma
2005-04
[27]
서적
Principles of pulmonary medicine
2019
[28]
서적
Robbins Pathologic Basis of Disease
https://archive.org/[...]
W.B Saunders Company
[29]
논문
Industrial bronchitis
1978-11
[30]
웹인용
Lung - Other interstitial pneumonitis / fibrosis - Respiratory bronchiolitis
https://www.patholog[...]
[31]
서적
Pulmonary pathology
Elsevier
[32]
서적
Cells, Tissues, and Disease : Principles of General Pathology
https://books.google[...]
Oxford University Press
2004-08-12
[33]
논문
"Alveolar macrophage in the driver's seat".
2006-04
[34]
서적
Textbook of Medical Physiology
2007
[35]
논문
Macrophage-mediated innate host defense against protozoan parasites
2002
[36]
저널
The role of Toll-like receptors in combating mycobacteria
2004-02
[37]
저널
Prostaglandin E2 suppresses bacterial killing in alveolar macrophages by inhibiting NADPH oxidase
2007-11
[38]
저널
Downregulation of the antigen presenting cell function(s) of pulmonary dendritic cells in vivo by resident alveolar macrophages
1993-02
[39]
저널
Suppression of autologous peripheral blood mononuclear cell proliferation by alveolar macrophages from young infants
2002-05
[40]
저널
Immunomodulating mechanisms in the lower respiratory tract: nitric oxide mediated interactions between alveolar macrophages, epithelial cells, and T-cells
https://smw.ch/resou[...]
2022-05-10
[41]
저널
Suppression of metalloproteinase biosynthesis in human alveolar macrophages by interleukin-4
1992-08
[42]
저널
Effects of prostaglandin E2 on the subcellular localization of Epac-1 and Rap1 proteins during Fcgamma-receptor-mediated phagocytosis in alveolar macrophages
2008-01
[43]
저널
Interleukin-4 production by human alveolar macrophages
2005-06
[44]
저널
Interleukin-4: a prototypic immunoregulatory lymphokine
1991-05
[45]
저널
Legionella pneumophila evades gamma interferon-mediated growth suppression through interleukin-10 induction in bone marrow-derived macrophages
2005-05
[46]
저널
Integrin-mediated transforming growth factor-beta activation regulates homeostasis of the pulmonary epithelial-mesenchymal trophic unit
2006-08
[47]
저널
Loss of integrin alpha(v)beta6-mediated TGF-beta activation causes Mmp12-dependent emphysema
2003-03
[48]
저널
Induction of a homeostatic circuit in lung tissue by microbial compounds
2006-04
[49]
저널
Transforming growth factor-beta activation and signaling in the alveolar environment during Pneumocystis pneumonia
2006
[50]
저널
Making sense of latent TGFbeta activation
2003-01
[51]
저널
The integrin alpha v beta 6 binds and activates latent TGF beta 1: a mechanism for regulating pulmonary inflammation and fibrosis
1999-02
[52]
저널
Matrix metalloproteinase-9 and airway remodeling in asthma
2005-04
본 사이트는 AI가 위키백과와 뉴스 기사,정부 간행물,학술 논문등을 바탕으로 정보를 가공하여 제공하는 백과사전형 서비스입니다.
모든 문서는 AI에 의해 자동 생성되며, CC BY-SA 4.0 라이선스에 따라 이용할 수 있습니다.
하지만, 위키백과나 뉴스 기사 자체에 오류, 부정확한 정보, 또는 가짜 뉴스가 포함될 수 있으며, AI는 이러한 내용을 완벽하게 걸러내지 못할 수 있습니다.
따라서 제공되는 정보에 일부 오류나 편향이 있을 수 있으므로, 중요한 정보는 반드시 다른 출처를 통해 교차 검증하시기 바랍니다.
문의하기 : help@durumis.com