간경화증
"오늘의AI위키"의 AI를 통해 더욱 풍부하고 폭넓은 지식 경험을 누리세요.
1. 개요
간경화증은 간의 만성적인 손상으로 인해 간 기능이 저하되는 질환이다. 바이러스 간염, 알코올, 비만, 당뇨병 등이 원인이 되며, 간의 섬유화가 진행되어 자각 증상이 나타나기 어렵다. 주요 증상으로는 황달, 복수, 여성형 유방, 거미혈관종 등이 나타날 수 있으며, 문맥압 항진증, 간성 뇌증, 간신 증후군 등의 합병증을 유발할 수 있다. 진단은 혈액 검사, 영상 검사, 간 생검 등을 통해 이루어지며, C형 간염, B형 간염의 항바이러스 치료, 알코올성 간질환자의 금주, 비알코올성 간질환자의 체중 감량 등을 통해 치료한다. 합병증 관리와 간 이식도 치료 방법으로 고려될 수 있으며, 예방을 위해서는 절주, 바이러스 간염 예방 접종, 건강한 식습관 등이 중요하다.
더 읽어볼만한 페이지
- 간질환 - 지방간
지방간은 간에 중성 지방이 과도하게 축적되어 발생하는 질환으로, 알코올성 및 비알코올성으로 분류되며, 비만, 당뇨병 등과 관련이 깊고 간 섬유화, 간경변, 간암으로 진행될 수 있어 섭취 칼로리 조절, 약물 치료 등을 통해 치료한다. - 간질환 - 윌슨병
윌슨병은 구리가 간과 뇌에 축적되어 발생하는 유전 질환으로, ATP7B 유전자 돌연변이가 원인이며, 간 기능 장애, 신경정신과적 증상, 카이저-플라이셔 고리 등의 증상이 나타난다. - 알코올 남용 - 숙취
숙취는 과도한 알코올 섭취 후 두통, 피로, 메스꺼움, 인지 기능 저하 등의 불쾌한 증상들이 나타나는 현상으로, 아세트알데히드 축적, 탈수, 저혈당, 면역 체계 불균형 등 다양한 요인이 복합적으로 작용하여 발생하며, 개인의 요인에 따라 다르게 나타나 사회 경제적 손실을 초래하기도 한다. - 알코올 남용 - 알코올 의존증
알코올 의존증은 생리적, 심리적, 유전적, 환경적 요인으로 발생하며 알코올에 대한 갈망, 자기 조절 상실, 금단 증상 등을 보이고, 진단은 DSM-5 또는 ICD-11 기준에 따라 이루어지며 금주, 약물 치료, 심리 치료 등을 통해 치료한다. - 알코올이 건강에 미치는 영향 - 숙취
숙취는 과도한 알코올 섭취 후 두통, 피로, 메스꺼움, 인지 기능 저하 등의 불쾌한 증상들이 나타나는 현상으로, 아세트알데히드 축적, 탈수, 저혈당, 면역 체계 불균형 등 다양한 요인이 복합적으로 작용하여 발생하며, 개인의 요인에 따라 다르게 나타나 사회 경제적 손실을 초래하기도 한다. - 알코올이 건강에 미치는 영향 - 소화기 질환
소화기 질환은 구강부터 항문, 간, 췌장, 담낭 등 소화기관에 발생하는 다양한 질환을 포괄하는 용어로, 위식도 역류 질환, 위염, 궤양, 염증성 장 질환, 췌장염, 간염, 담석증 등이 있으며 감염, 자가면역, 유전, 생활 습관 등 원인이 다양하고, 내시경, 영상, 혈액 검사 등으로 진단하여 약물, 수술, 영양 관리 등으로 치료한다.
| 간경화증 | |
|---|---|
| 질병 정보 | |
![]() | |
| 분야 | 위장병학, 간장학 |
| 증상 | 피로, 가려움, 다리 부기, 황달, 멍이 쉽게 듦, 복부 팽만 |
| 합병증 | 자발성 세균성 복막염, 간성뇌증, 식도 확장된 정맥, 간암 |
| 발병 | 수개월, 수년 또는 수십 년에 걸쳐 진행됨 |
| 기간 | 장기간 |
| 원인 | 알코올성 간질환, B형 간염, C형 간염, 비알코올성 지방간염 (NASH) |
| 진단 | 혈액 검사, 의료 영상, 간 생검 |
| 예방 | 예방 접종 (B형 간염 등), 알코올 피하기, 체중 감량, 운동, 저탄수화물 식단, 고혈압 및 당뇨병 조절은 NAFLD 또는 NASH 환자에게 도움이 될 수 있음 |
| 치료 | 근본적인 원인에 따라 다름 |
| 빈도 | 280만 명 (2015년) |
| 사망자 | 130만 명 (2015년) |
| 기타 이름 | |
| 다른 이름 | 간경화, 간 경변증, 간 섬유화 |
| 질병 분류 | |
| DiseasesDB | 2729 |
| ICD-10 | , , |
| MeSH | D008103 |
| 참고 자료 | |
| 참고 자료 | NHS StatPearls NIDDK |
| 추가 정보 | |
| 관련 정보 | 만성 간부전 |
2. 원인과 증상
간경변은 바이러스성 간염의 악화, 과도한 술 섭취, 비만이나 당뇨병 등으로 인한 만성 지방간의 악화 등으로 발생한다.[182] 전 세계적으로 간경변증의 57%는 B형 간염(30%) 또는 C형 간염(27%)에 기인하며,[46][47] 알코올 사용 장애 역시 주요 원인 중 하나로, 약 20~40%의 사례를 차지한다.[47][32]
간의 섬유화는 서서히 진행되며, 초기에는 자각 증상이 거의 없어 진단이 매우 어렵다. 간 기능 부전이 일어나기 전까지는 증상이 없거나, 만성 간염과 비슷한 증상(온몸이 나른함, 식욕 부진, 헛배, 구역감, 설사 또는 변비)을 보인다.[182] 오줌이 진해지거나 황달이 생기기도 하며, 복수가 차서 배가 부풀어 오르는 경우도 있다.[182]
간경화증은 발병 및 증상 발현 속도가 느릴 수 있다.[9] 초기에는 피로감, 쇠약감, 식욕 부진, 체중 감소, 메스꺼움 등이 나타나며, 손바닥이 붉어지는 손바닥 홍반이 나타나기도 한다.[9][26] 간 주변의 오른쪽 상복부에 불편함을 느낄 수도 있다.[9]
간경화증이 진행되면 인지 장애, 혼란, 기억 상실, 수면 장애, 성격 변화 등 신경학적 증상이 나타날 수 있으며,[9] 지방변증이 나타나기도 한다.[27] 더 진행되면 다리(부종)와 복부(복수)에 체액이 축적되고, 가려움증, 멍, 어두운 소변, 피부 황달 등이 나타날 수 있다.[9]
2. 1. 간 기능 부전
간 기능 부전은 간염과 간경변이 혼재되면서 나타나며, 다음과 같은 증상을 보인다.[183]- 황달: 미세담도가 막혀 적혈구가 파괴된 빌리루빈이 피부로 역류한다.
- 복수(腹水): 알부민이 합성되지 않아 혈중 수분이 몸으로 빠져나가 부종을 일으킨다.
- 여성화: 여성호르몬이 파괴되지 않아 남성의 경우 유방 증대, 치모 손실, 고환 위축 등이 나타난다.
- 망상모반: 동맥 혈관이 방사형으로 피부에 돌출하여 손바닥에 홍반이 나타나고 얼굴, 목, 가슴에 거미상 혈관이 나타난다.
- 이외에 코피가 멎지 않는 출혈 증상, 암모니아 해독 불능으로 인한 혼수, 저혈당, 정맥류, 비장 비대, 신장염, 입에서 쥐오줌 냄새가 나는 구취 등의 증상이 있다.
간 기능 부전은 다음과 같은 특징을 직접적으로 유발한다.
- 거미 반점(거미혈관종)은 피부 표면 아래 순환계의 혈관이 확장될 때 발생한다.[28] 중앙에 붉은 반점이 있고, 여기에서 붉은색의 확장이 방사형으로 뻗어 나간다. 이는 거미를 연상시키는 시각적 효과를 만들어낸다. 이는 사례의 약 1/3에서 발생한다.[28] 발생 가능성은 에스트로겐 증가이다.[28] 간경변증은 안드로겐이 에스트로겐으로 전환이 증가하여 에스트로겐 수치를 상승시킨다.[29]
- 손바닥 홍반은 엄지와 새끼손가락 아래의 손바닥이 붉어지는 현상으로, 간경변증 사례의 약 23%에서 나타나며, 순환하는 에스트로겐 수치 증가로 인해 발생한다.[30]
- 여유증 또는 남성의 유방 크기 증가는 에스트라디올(강력한 에스트로겐 유형) 증가로 인해 발생한다.[31] 이는 사례의 최대 2/3에서 발생할 수 있다.[32]
- 저성선 기능증은 생식선의 기능 저하를 의미한다.[33] 이는 발기 부전, 불임, 성욕 감퇴, 고환 위축을 유발할 수 있다. 음낭 부종도 나타날 수 있다.[34]
- 간의 크기는 간경변증 환자에서 간비대 또는 정상 크기이거나 축소될 수 있다.[35] 질병이 진행됨에 따라 간은 흉터의 결과로 일반적으로 수축한다.[36]
- 황달은 피부가 노랗게 변하는 현상이다. 이는 또한 특히 눈의 흰자위를 포함한 점막이 노랗게 변색되게 할 수 있다. 이러한 현상은 빌리루빈 수치 증가로 인해 발생하며, 이로 인해 소변의 비정상적인 소변 색깔도 짙어질 수 있다.[37]
간경변증의 경우, 대상성 간경변증 단계에서는 간 등에 이상 소견이 있어도 환자에게는 거의 증상이 나타나지 않거나, 식욕 부진, 피로감(쉽게 피로해짐)과 같은 몇 가지 증상이 나타나는 정도일 수도 있다. 간은 능력의 여유가 있는 장기이기 때문에, 간세포가 조금 감소하거나 기능이 저하되더라도 어느 정도는 항상성을 유지할 수 있기 때문이다. 그러나 간 기능 저하가 한계를 넘어 비대상성 간경변증으로 진행되면 환자는 다양한 증상에 시달리게 된다.[164]
간경변증이 진행되면 체중 감소, 손바닥 홍반(손바닥의 새끼손가락 쪽이 붉어짐)이 나타나는 경우도 있다. 복부 초음파 검사 등으로 간경변증에 이른 간을 보면, 원래 비교적 매끄러운 표면을 가지고 있어야 할 간이 표면에 울퉁불퉁한 모양을 보이게 된다. 간경변증은 사람 외의 동물에게도 발생할 수 있는 병변이며, 동물 종에 따라 간의 형태에는 차이가 있지만, 간경변증이 되면 간 표면에 울퉁불퉁한 모양이 나타나는 것은 공통적이다. 간경변증에 이른 사람의 간은 좌엽이 종대되고 우엽이 위축된 형태로 변화하는 것이 관찰된다. 경우에 따라서는 명치 부근에서 딱딱하게 변형된 간을 피부 위에서도 촉진할 수 있다.
또한 간이 딱딱하게 변화했기 때문에 특히 문맥에서 간으로의 혈액 유입이 어려워져 문맥압 항진증이 발생한다. 비장으로부터의 혈액은 문맥으로 흘러 들어가게 되어 있어, 문맥압 항진으로 인해 비종이라고 불리는 상태가 되기도 한다. 게다가 문맥에 고인 혈액은 딱딱해진 간을 우회하여 심장으로 돌아가려는 경향을 보여 치핵, 식도 정맥류, 메두사의 머리라고 불리는 복부 정맥의 확장, 거미혈관종이 나타나기도 한다. 또한 문맥에서 혈장 성분이 혈관 밖으로 새어 나오는 등으로 복수가 생겨 복부가 팽만해지기도 한다. 간 기능 저하에 따라 간에서 합성되는 알부민 등의 혈장 단백질의 합성량이 감소하면 혈액의 정상적인 삼투압을 유지할 수 없게 되어 혈액에서 수분이 혈관 밖으로 빠져나가기 쉬워지는데, 이 역시 복수를 증가시키고 흉수까지 나타나는 경우도 있다. 혈액에서 혈관 밖으로 수분이 빠져나가기 쉬워짐에 따라 부종이 나타나고, 특히 하지 부종이 두드러진다.
간경변증에 따른 혈액 이상은 이뿐만이 아니다. 비종에 따라 비장의 기능이 항진되어 적혈구 파괴 항진이나 혈소판 분포 이상[165][166] 등으로 인해 발생하는 범혈구 감소증을 초래하기도 한다. 적혈구의 파괴 항진으로 인해 빈혈 및 빌리루빈의 대량 유리가 발생한다. 또한 혈소판 분포 이상으로 생기는 순환 혈액 내 혈소판 감소에 더해, 간에 의한 혈액 응고 인자의 합성량도 감소하기 때문에 출혈 경향이 나타나 코피, 잇몸 출혈량 증가, 피하 출혈에 따른 자반, 소화관 출혈에 의한 흑변 등이 나타나기도 한다. 그리고 이러한 출혈로 인해 빈혈은 더욱 악화된다. 또한 식도 정맥류 파열 등에 따른 소화관 출혈은 종종 대량 출혈을 일으켜 이로 인해 사망하는 경우도 있다. 소화관 출혈로 인한 죽음을 면하더라도 토혈이나 하혈, 심한 냄새의 흑변, 빈혈 악화 등으로 고통받게 된다.
그 외에도 간 기능 저하에 따라 빌리루빈의 처리 및 배설도 지연되어 눈의 결막이 노랗게 되는 황달이 나타난다. 황달이 심해지면 피부는 황갈색이 되거나 다소 검은색을 띠게 된다. 이에 반해 간 자체는 담즙의 울체로 인해 녹색을 띠는 경우가 있다.[167] 또한 담즙으로 배설되어야 할 물질의 배설이 원활하게 이루어지지 않아 노폐물이 전신을 돌아다니게 되어 결국 환자는 전신 가려움증 등을 호소하기도 한다. 간에서 여성 호르몬 처리 능력도 떨어지므로 남성의 경우 여성형 유방이나 고환 위축 등이 발생하기도 한다. 그 외의 물질을 간에서 처리하는 능력도 떨어지고, 단백질의 대사 결과 생기는 암모니아의 처리가 지연된 것과 주로 간에서 대사되는 방향족 아미노산의 처리도 지연된 것 등이 원인이 되어 간성 뇌증이 합병되어 날개짓 진전이 나타나거나 지남력 장애 등이 나타나기도 하고, 혼수 상태에 빠지는 경우도 있다. 간부전이 원인이 되어 사망하는 경우도 있다. 게다가 간경변증에 걸린 간은 간암을 발병하기 쉬운 상태가 되어 종종 간암을 합병하고, 간암 또한 사망 원인이 될 수 있다.
2. 2. 문맥 고혈압
간경화증은 문맥계에서 혈액의 흐름을 어렵게 만든다.[38] 이러한 저항은 혈액의 역류를 일으키고 압력을 증가시켜 문맥 고혈압을 유발한다.[38] 문맥 고혈압의 주요 증상은 다음과 같다.- 복수: 복강 내 체액 축적.[53]
- 비장비대: 환자의 35~50%에서 나타난다.[3]
- 식도 정맥류 및 위 정맥류: 식도와 위에서 측부 순환(문맥-하대정맥 문합)의 결과로 나타나며, 정맥류가 파열되면 치명적인 출혈을 일으킬 수 있다.[39][6]
- 메두사의 머리: 문맥 고혈압으로 인해 배꼽옆정맥이 확장되어 나타난다.[38]
- 크르빌리에-바움가르텐 잡음: 상복부 부위에서 청진기로 들을 수 있는 잡음. 문맥계와 배꼽옆정맥 사이에 추가적인 연결이 형성되어 발생한다.[40]
문맥압 항진은 비장에서 문맥으로 혈액이 유입되는 것을 어렵게 하여 비종을 유발하기도 한다. 또한, 문맥에 고인 혈액은 간을 우회하여 심장으로 돌아가려는 경향을 보이며, 이는 치핵, 식도 정맥류, 메두사의 머리와 같은 복부 정맥 확장을 유발한다.
2. 3. 기타 증상
간경변은 바이러스성 간염의 악화, 술, 비만, 당뇨병 등으로 인한 만성 지방간의 악화 등으로 발생한다. 간의 섬유화는 서서히 진행되어 자각 증상이 없는 경우가 많아 진단이 어렵다. 일반적인 증상은 온몸이 나른하고 식욕이 없으며 헛배가 부르고 구역질이 나며, 설사 또는 변비로 고생하는 등 만성 간염과 매우 비슷하다. 오줌이 진해지고 황달이 생기기도 하며, 복수가 차서 배가 부풀어 오르기도 한다.[182]간경화증은 발병에 오랜 시간이 걸리고 증상도 천천히 나타날 수 있다.[9] 초기 증상으로는 피로감, 쇠약감, 식욕 부진, 체중 감소, 메스꺼움 등이 있으며, 손바닥이 붉어지는 손바닥 홍반이 나타나기도 한다.[9][26] 간 주변의 오른쪽 상복부에 불편함을 느낄 수도 있다.[9]
간경화증이 진행되면 인지 장애, 혼란, 기억 상실, 수면 장애, 성격 변화 등 신경학적 증상이 나타날 수 있다.[9] 소화되지 않은 지방이 변에 섞여 나오는 지방변증도 간경화증의 증상 중 하나이다.[27] 간경화증 악화 시 다리(부종)와 복부(복수)에 체액이 축적될 수 있다.[9] 가려움증, 멍, 어두운 소변, 피부 황달 등도 나타날 수 있다.[9]
간 기능 부전은 다음과 같은 특징을 유발한다.
- 거미 반점: 피부 표면 아래 혈관 확장으로 발생하며, 붉은 반점에서 붉은색이 방사형으로 퍼져 거미처럼 보인다.[28] 에스트로겐 증가가 원인일 수 있으며, 간경변증은 안드로겐이 에스트로겐으로 전환을 증가시켜 에스트로겐 수치를 높인다.[29]
- 손바닥 홍반: 엄지와 새끼손가락 아래 손바닥이 붉어지는 현상으로, 순환하는 에스트로겐 수치 증가로 인해 발생한다.[30]
- 여유증: 남성의 유방 크기 증가는 에스트라디올 증가로 인해 발생한다.[31]
- 저성선 기능증: 생식선 기능 저하로 발기 부전, 불임, 성욕 감퇴, 고환 위축, 음낭 부종 등을 유발할 수 있다.[33][34]
- 간 크기: 간비대, 정상 크기, 또는 수축될 수 있다.[35] 질병 진행에 따라 간은 흉터로 인해 수축한다.[36]
- 황달: 피부가 노랗게 변하며, 눈의 흰자위를 포함한 점막도 노랗게 변색될 수 있다. 빌리루빈 수치 증가로 인해 발생하며, 소변 색깔도 짙어질 수 있다.[37]
손톱 변화(예: 묠케선, 테리 손톱, 손가락 곤봉증)가 나타날 수 있다.[41][42] 손(뒤퓌트렌 구축)과 피부/뼈(비대성 골관절병증)에도 변화가 나타날 수 있다.[32]
대상성 간경변증 단계에서는 간에 이상이 있어도 증상이 거의 없거나, 식욕 부진, 피로감 등의 가벼운 증상만 나타날 수 있다. 간은 여유가 있는 장기이기 때문에, 간세포가 조금 감소하거나 기능이 저하되어도 호메오스타시스를 유지할 수 있기 때문이다. 그러나 비대상성 간경변증으로 진행되면 다양한 증상이 나타난다.[164]
간경변증이 진행되면 체중 감소, 손바닥 홍반이 나타날 수 있다. 복부 초음파 검사 등에서 간 표면이 울퉁불퉁하게 보인다. 간경변증은 사람 외 동물에게도 발생하며, 간 표면의 울퉁불퉁한 모양은 공통적이다. 간경변증에 이른 사람의 간은 좌엽이 커지고 우엽이 위축된 형태로 변하며, 명치 부근에서 딱딱하게 변형된 간을 만져볼 수도 있다. 문맥 혈액 유입이 어려워져 문맥압 항진증이 발생하고, 비장에서 문맥으로 혈액이 흘러 비종이 생기기도 한다. 문맥에 고인 혈액은 간을 우회하여 심장으로 돌아가 치핵, 식도 정맥류, 메두사의 머리 (복부 정맥 확장), 거미상 혈관종을 유발한다. 문맥에서 혈장 성분이 새어 나와 복수가 생겨 복부가 팽만해지기도 한다. 간 기능 저하로 알부민 등 혈장 단백질 합성이 감소하면 혈액 삼투압 유지가 어려워져 혈액에서 수분이 빠져나가 복수와 흉수가 증가한다. 혈액에서 수분이 빠져나가 부종, 특히 하지 부종이 두드러진다.
비종에 따라 비장 기능이 항진되어 적혈구 파괴, 혈소판 분포 이상[165][166] 등으로 범혈구 감소증이 발생한다. 적혈구 파괴로 빈혈과 빌리루빈 유리가 발생하고, 혈소판 감소와 혈액 응고 인자 합성 감소로 출혈 경향이 나타나 코피, 잇몸 출혈, 자반(피하 출혈), 소화관 출혈에 의한 흑변 등이 나타난다. 출혈로 빈혈이 악화되고, 식도 정맥류 파열 등 소화관 출혈은 대량 출혈로 사망에 이를 수 있다. 토혈, 하혈, 심한 냄새의 흑변, 빈혈 악화 등으로 고통받는다.
간 기능 저하로 빌리루빈 처리 및 배설이 지연되어 눈 결막이 노랗게 되는 황달이 나타난다. 황달이 심해지면 피부가 황갈색 또는 검은색을 띤다. 간은 담즙 울체로 녹색을 띠기도 한다.[167] 담즙으로 배설될 노폐물이 전신을 돌아다녀 전신 가려움증을 호소한다. 간에서 여성 호르몬 처리 능력이 떨어져 남성은 여성형 유방, 고환 위축 등이 발생한다. 암모니아 처리 지연, 방향족 아미노산 처리 지연 등으로 간성 뇌증이 합병되어 날개짓 진전, 지남력 장애, 혼수 등이 나타나고, 간부전으로 사망할 수 있다. 간경변증에 걸린 간은 간암 발병 위험이 높아 간암 합병 및 사망 원인이 될 수 있다.
2. 4. 진행성 간경변
간경변은 바이러스성 간염의 악화, 술, 비만, 당뇨병 등으로 인한 만성 지방간의 악화 등으로 발생한다. 간의 섬유화는 서서히 진행되어 상당 기간 동안 자각 증상이 없을 수 있으므로 진단이 어렵다. 일반적인 증상은 온몸이 나른하고 식욕이 없으며 헛배가 부르고 구역질이 나며, 설사 또는 변비로 고통받는 등 만성 간염과 매우 유사하다. 오줌이 진해지고 황달이 생기거나 복수가 차서 배가 부풀어 오르기도 한다.[182]간 기능 부전은 간염과 간경변이 함께 나타나면서 발생하며, 다음과 같은 증상을 보인다.[183]
- 황달: 미세담도가 막혀 적혈구가 파괴된 빌리루빈이 피부로 역류한다.
- 복수(腹水): 알부민 합성 부족으로 혈액 속 수분이 몸 밖으로 빠져나가 부종을 일으킨다.
- 여성화: 여성호르몬이 제대로 분해되지 않아 남성의 경우 유방이 커지거나, 털이 빠지거나, 고환이 작아지는 증상이 나타난다.
- 망상모반: 동맥 혈관이 방사형으로 피부에 돌출되어 손바닥에 붉은 반점이 나타나고 얼굴, 목, 가슴에 거미 모양 혈관이 나타난다.
- 기타 증상: 코피가 멎지 않는 출혈, 암모니아 해독 불능으로 인한 혼수, 저혈당, 정맥류, 비장 비대, 신장염, 입에서 쥐오줌 냄새가 나는 구취 등의 증상이 나타난다.
간경화증은 발병에 꽤 오랜 시간이 걸릴 수 있으며, 증상이 나타나는 속도도 느릴 수 있다.[9] 피로감, 쇠약감, 식욕 부진, 체중 감소, 메스꺼움 등이 초기 증상에 해당한다.[9] 초기 징후로는 손바닥이 붉어지는 손바닥 홍반도 나타날 수 있다.[26] 또한 간 주변의 오른쪽 상복부에 불편함을 느낄 수도 있다.[9]
간경화증이 진행됨에 따라 신경학적 변화를 포함한 증상이 나타날 수 있다.[9] 여기에는 인지 장애, 혼란, 기억 상실, 수면 장애 및 성격 변화가 포함될 수 있다.[9] 변에 소화되지 않은 지방이 섞여 나오는 지방변증 또한 간경화증의 증상이다.[27]
간경화증이 악화되면 다리(부종)와 복부(복수) 등 신체의 여러 부위에 체액이 축적될 수 있다.[9] 질병이 악화됨에 따라 나타나는 다른 징후로는 가려움증, 멍이 잘 드는 현상, 어두운 소변, 피부 황달 등이 있다.[9]
간 기능 부전은 다음과 같은 특징을 직접적으로 유발한다.
- 거미혈관종 또는 거미 반점은 피부 표면 아래 순환계의 혈관이 확장될 때 발생한다.[28] 중앙에 붉은 반점이 있고, 여기에서 붉은색의 확장이 방사형으로 뻗어 나간다. 이는 거미를 연상시키는 시각적 효과를 만들어낸다. 이는 사례의 약 1/3에서 발생한다.[28] 발생 가능성은 에스트로겐 증가이다.[28] 간경변증은 안드로겐이 에스트로겐으로 전환이 증가하여 에스트로겐 수치를 상승시킨다.[29]
- 손바닥 홍반은 엄지와 새끼손가락 아래의 손바닥이 붉어지는 현상으로, 간경변증 사례의 약 23%에서 나타나며, 순환하는 에스트로겐 수치 증가로 인해 발생한다.[30]
- 여유증 또는 남성의 유방 크기 증가는 에스트라디올 (강력한 에스트로겐 유형) 증가로 인해 발생한다.[31] 이는 사례의 최대 2/3에서 발생할 수 있다.[32]
- 저성선 기능증은 생식선의 기능 저하를 의미한다.[33] 이는 발기 부전, 불임, 성욕 감퇴, 고환 위축을 유발할 수 있다. 음낭 부종도 나타날 수 있다.[34]
- 간의 크기는 간경변증 환자에서 간비대 또는 정상 크기이거나 축소될 수 있다.[35] 질병이 진행됨에 따라 간은 흉터의 결과로 일반적으로 수축한다.[36]
- 황달은 피부가 노랗게 변하는 현상이다. 이는 또한 특히 눈의 흰자위를 포함한 점막이 노랗게 변색되게 할 수 있다. 이러한 현상은 빌리루빈 수치 증가로 인해 발생하며, 이로 인해 소변의 비정상적인 소변 색깔도 짙어질 수 있다.[37]
간경화증은 문맥계에서 혈액의 흐름을 어렵게 만든다.[38] 이러한 저항은 혈액의 역류를 일으키고 압력을 증가시킨다.[38] 이는 문맥 고혈압으로 이어진다. 문맥 고혈압의 영향은 다음과 같다.
- 복수는 복강 내의 체액 축적이다.[53]
- 35~50%의 경우 비장비대가 나타난다.[3]
- 식도 정맥류와 위 정맥류는 식도와 위에서 측부 순환의 결과로 나타난다(이는 문맥-하대정맥 문합이라고 불린다).[39] 이 순환의 혈관이 커지면 정맥류라고 한다. 이 시점에서 정맥류는 파열될 가능성이 더 높다.[6] 정맥류 파열은 종종 출혈을 유발하며, 이는 치명적일 수 있다.[39]
- 메두사의 머리는 문맥 고혈압으로 인한 확장된 배꼽옆정맥이다.[38] 문맥계의 혈액은 배꼽옆정맥을 통해 복벽 정맥으로 흐를 수 있다. 생성된 패턴은 메두사의 머리를 닮았으며, 따라서 이러한 이름이 붙었다.[6]
- 크르빌리에-바움가르텐 잡음은 상복부 부위의 잡음이다([청진기로 검사]).[40] 이는 문맥계와 배꼽옆정맥 사이에 형성된 추가적인 연결 때문이다.[40]
질병이 진행됨에 따라 합병증이 발생할 수 있다. 어떤 사람들에게는 이것이 질병의 첫 징후일 수 있다.
- 혈액 응고 인자의 생산 감소로 인해 멍과 출혈이 발생할 수 있다.[43]
- 간성 뇌증(HE)은 암모니아 및 관련 물질이 혈액에 축적될 때 발생한다.[43] 이러한 축적은 간에서 혈액에서 제거되지 않으면 뇌 기능에 영향을 미친다. 증상으로는 무반응, 건망증, 집중 곤란, 수면 습관 변화 또는 정신병이 있을 수 있다. 한 가지 고전적인 신체 검사 소견은 사지 떨림증이다.[32] 이것은 뻗은 손의 비동시적인 떨림이다.[32] 간성 구취는 증가된 다이메틸 설파이드로 인한 퀴퀴한 입 냄새이며 HE의 특징이다.[44]
- 약물의 활성 화합물 대사 감소로 인해 약물에 대한 민감도가 증가할 수 있다.[45]
- 급성 신부전 (특히 간 신 증후군).[32]
- 악액질은 근육 위축 및 쇠약과 관련이 있다.[43]


간경변증의 경우, 대상성 간경변증 단계에서는 간 등에 이상 소견이 있어도 환자에게는 거의 증상이 나타나지 않거나, 식욕 부진, 피로감(쉽게 피로해짐)과 같은 몇 가지 증상이 나타나는 정도일 수도 있다. 간은 능력의 여유가 있는 장기이기 때문에, 간세포가 조금 감소하거나 기능이 저하되더라도 어느 정도는 호메오스타시스를 유지할 수 있기 때문이다. 그러나 간 기능 저하가 한계를 넘어 비대상성 간경변증으로 진행되면 환자는 다양한 증상에 시달리게 된다.[164]
간경변증이 진행되면 체중 감소, 손바닥 홍반(손바닥의 새끼손가락 쪽이 붉어짐)이 나타나는 경우도 있다. 복부 초음파 검사 등으로 간경변증에 이른 간을 보면, 원래 비교적 매끄러운 표면을 가지고 있어야 할 간이 표면에 울퉁불퉁한 모양을 보이게 된다. 간경변증은 사람 외의 동물에게도 발생할 수 있는 병변이며, 동물 종에 따라 간의 형태에는 차이가 있지만, 간경변증이 되면 간 표면에 울퉁불퉁한 모양이 나타나는 것은 공통적이다. 간경변증에 이른 사람의 간은 좌엽이 종대되고 우엽이 위축된 형태로 변화하는 것이 관찰된다. 경우에 따라서는 명치 부근에서 딱딱하게 변형된 간을 피부 위에서도 촉진할 수 있다. 또한 간이 딱딱하게 변화했기 때문에 특히 문맥에서 간으로의 혈액 유입이 어려워져 문맥압 항진증이 발생한다. 비장으로부터의 혈액은 문맥으로 흘러 들어가게 되어 있어, 문맥압 항진으로 인해 비종이라고 불리는 상태가 되기도 한다. 게다가 문맥에 고인 혈액은 딱딱해진 간을 우회하여 심장으로 돌아가려는 경향을 보여 치핵, 식도 정맥류, 메두사의 머리라고 불리는 복부 정맥의 확장, 거미상 혈관종이 나타나기도 한다. 또한 문맥에서 혈장 성분이 혈관 밖으로 새어 나오는 등으로 복수가 생겨 복부가 팽만해지기도 한다. 간 기능 저하에 따라 간에서 합성되는 알부민 등의 혈장 단백질의 합성량이 감소하면 혈액의 정상적인 삼투압을 유지할 수 없게 되어 혈액에서 수분이 혈관 밖으로 빠져나가기 쉬워지는데, 이 역시 복수를 증가시키고 흉수까지 나타나는 경우도 있다. 혈액에서 혈관 밖으로 수분이 빠져나가기 쉬워짐에 따라 부종이 나타나고, 특히 하지 부종이 두드러진다. 간경변증에 따른 혈액 이상은 이뿐만이 아니다. 비종에 따라 비장의 기능이 항진되어 적혈구 파괴 항진이나 혈소판 분포 이상[165][166] 등으로 인해 발생하는 범혈구 감소증을 초래하기도 한다. 적혈구의 파괴 항진으로 인해 빈혈 및 빌리루빈의 대량 유리가 발생한다. 또한 혈소판 분포 이상으로 생기는 순환 혈액 내 혈소판 감소에 더해, 간에 의한 혈액 응고 인자의 합성량도 감소하기 때문에 출혈 경향이 나타나 코피, 잇몸 출혈량 증가, 피하 출혈에 따른 자반, 소화관 출혈에 의한 흑변 등이 나타나기도 한다. 그리고 이러한 출혈로 인해 빈혈은 더욱 악화된다. 또한 식도 정맥류 파열 등에 따른 소화관 출혈은 종종 대량 출혈을 일으켜 이로 인해 사망하는 경우도 있다. 소화관 출혈로 인한 죽음을 면하더라도 토혈이나 하혈, 심한 냄새의 흑변, 빈혈 악화 등으로 고통받게 된다.
그 외에도 간 기능 저하에 따라 빌리루빈의 처리 및 배설도 지연되어 눈의 결막이 노랗게 되는 황달이 나타난다. 황달이 심해지면 피부는 황갈색이 되거나 다소 검은색을 띠게 된다. 이에 반해 간 자체는 담즙의 울체로 인해 녹색을 띠는 경우가 있다.[167] 또한 담즙으로 배설되어야 할 물질의 배설이 원활하게 이루어지지 않아 노폐물이 전신을 돌아다니게 되어 결국 환자는 전신 가려움증 등을 호소하기도 한다. 간에서 여성 호르몬 처리 능력도 떨어지므로 남성의 경우 여성형 유방이나 고환 위축 등이 발생하기도 한다. 그 외의 물질을 간에서 처리하는 능력도 떨어지고, 단백질의 대사 결과 생기는 암모니아의 처리가 지연된 것과 주로 간에서 대사되는 방향족 아미노산의 처리도 지연된 것 등이 원인이 되어 간성 뇌증이 합병되어 날개짓 진전이 나타나거나 지남력 장애 등이 나타나기도 하고, 혼수 상태에 빠지는 경우도 있다. 간부전이 원인이 되어 사망하는 경우도 있다. 게다가 간경변증에 걸린 간은 간암을 발병하기 쉬운 상태가 되어 종종 간암을 합병하고, 간암 또한 사망 원인이 될 수 있다.
3. 진단
간경화증은 다양한 검사를 통해 진단한다. 먼저, B형 간염 바이러스 항원 및 C형 간염 바이러스 항체 검사를 실시하여 간경화의 원인을 파악한다.
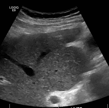
또한, 간기능 검사, 프로트롬빈 시간 측정, 식도위내시경 검사, 소변 검사, 복부 초음파, CT, MRI, Fibroscan 등을 통해 간의 상태를 확인한다.[181]

복부 초음파 검사나 복부 CT 검사에서는 종대된 간 좌엽과 위축된 간 우엽, '''메쉬 패턴'''(소망목상)의 실질, 둔화된 변연, 간 표면의 요철 등이 나타날 수 있다. 특히, "알코올성 간경변"에서는 재생 결절이 작고 균일하게 분포하여 양엽이 종대되고 실질은 거칠지 않으며 표면 요철도 눈에 띄지 않는다.
복부 초음파 검사에서는 간 재생 결절, 문맥 고혈압을 반영한 담낭 벽 비후, 방제 정맥 및 좌위 정맥 확장·비장후 복막 단락 등 측부 혈행로 형성, 복수 등을 추가로 확인할 수 있다.
간경변에는 간세포암이 합병되는 경우가 많으므로, 조영제를 사용한 다이내믹 CT·MRI 검사나 초음파 도플러법 등으로 암 조직 내 혈류를 평가하여 암을 진단한다.
이러한 검사 결과와 함께, 신체 검사와 환자의 병력을 종합하여 간경화증을 진단한다. 간경변증이 의심될 경우, 간 생검을 통해 확진할 수 있지만, 반드시 필요한 것은 아니다.[43] 상부 소화관 내시경 검사를 통해 식도 및 위 정맥류를 정기적으로 검사하는 것은 정맥류 파열에 따른 대출혈로 인한 급사를 예방하기 위해 중요하다.
거미상혈관종, 수장홍반(手掌紅斑), 복부의 측부순환정맥 발현과 같은 전형적 증상이 동반되면 간경변을 의심할 수 있다.[181]
3. 1. 검사실 소견
B형 간염 바이러스 항원, C형 간염 바이러스 항체 검사를 통해 간경화의 원인을 밝힌다. 이 외에도 간기능 검사, 프로트롬빈 시간 측정, 식도위내시경 검사, 소변 검사, 복부 초음파, CT, MRI, Fibroscan 등을 통해 진단한다.[181]간경화 정도를 판단하기 위해 다음과 같은 혈액 검사 항목을 확인한다.
| 검사 항목 | 설명 |
|---|---|
| 혈소판 수 감소 | 간경화 초기부터 나타나는 경향 |
| 혈중 총 빌리루빈 농도 상승 | 간에서의 빌리루빈 처리 및 배설 정체 |
| 혈중 암모니아 농도 상승 | 간에서의 요소 회로 기능 저하 |
| 혈중 알부민 농도 저하 | 간에서의 단백질 합성 능력 저하 |
| 혈중 부티릴콜린에스터레이스 농도 저하 | 간에서의 단백질 합성 능력 저하 |
| 프로트롬빈 시간 연장 | 간에서 합성되는 혈액 응고 인자 감소 |
| 혈청 총 단백(Serum total protein) 저하 및 γ글로불린 상승[168] | 간에서 합성되는 혈중 단백질 저하 및 보상 작용 |
간 섬유화 마커인 히알루론산, IV형 콜라겐 7S, 프로콜라겐 III 펩타이드(P-III-P)도 간경화증 진단에 사용된다. 간 배설 능력 평가는 인도시아닌 그린 정맥 주사 후 15분 정체율(ICG)을 측정하여 확인한다.
비장 비대에 따른 범혈구 감소증이 나타날 수 있다. 또한, 간경화증 환자는 당뇨병을 합병하는 경우가 있어, 식후 고혈당, HbA1c(헤모글로빈 A1c 분획) 상승, 저혈당 등의 당뇨병 지표를 확인한다.
간경화증 원인을 찾기 위해 다음과 같은 혈액 검사를 시행한다.
섬유화 진행 예측 지표로 '''FIB-4 index'''가 있다.[169][170]
- FIB-4 index 산출 방법
: ('''AST 나이''') ('''혈소판 수''' )
: 주석: AST 및 ALT는 IU/L. 혈소판 수는 109/L(0.1만/μL)
- 판정
- 2.67 이상: 간 섬유화 확실, NASH 가능성 높음. 간 생검 필요[171]
- ALT 값이 기준치 내에 있더라도 NAFLD의 경우, 1.659 이상(≧): 간 섬유화 가능성[172]
- 1.3 이하: 간 섬유화 없음. 경과 관찰[171]
복부 초음파 검사나 복부 CT 검사에서 다음과 같은 소견이 나타난다.
- 종대된 간 좌엽과 위축된 간 우엽
- '''메쉬 패턴'''(소망목상)의 실질
- 둔화된 변연
- 간 표면의 요철
- (알코올성 간경변의 경우) 재생 결절이 작고 균일하게 분포, 양엽 종대, 거칠지 않은 실질, 눈에 띄지 않는 표면 요철
복부 초음파 검사에서 다음과 같은 소견을 확인한다.
- 간 재생 결절
- 문맥압 항진을 반영한 담낭 벽 비후
- 방제 정맥, 좌위 정맥 확장·비장후 복막 단락 등 측부 혈행로 형성
- 복수
간경변에는 간세포 암이 합병되는 경우가 많으므로, 조영제를 사용한 다이내믹 CT·MRI 검사나 초음파 도플러법 등으로 암 조직 내 혈류를 평가하여 암을 진단한다.
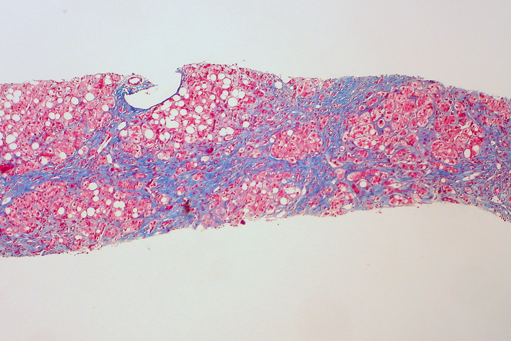
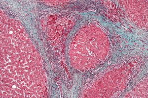
3. 2. 병리학
간경변증의 병리학적 특징은 정상 조직을 대체하는 흉터 조직의 발생이며, 이 조직은 일반적으로 소엽으로 구성된다. 이 흉터 조직은 장기를 통한 혈액의 문맥 흐름을 막아 혈압을 상승시킨다.[58] 이는 문맥 고혈압으로 나타나며, 문맥 순환과 전신 순환 사이의 압력 기울기가 높아진다. 이러한 문맥 고혈압은 간세포에서 간의 인접한 동맥혈관으로의 혈류 감소와 림프 생성 증가로 이어져 림프가 세포외 공간으로 누출되어 복수를 유발한다.[58] 또한 심장 귀환과 중심 혈액량을 감소시켜 레닌-안지오텐신 시스템(RAAS)을 활성화하여 신장이 나트륨과 물을 재흡수하게 하여 체액 저류와 복수를 더욱 악화시킨다. RAAS의 활성화는 또한 신장 혈관 수축을 유발하고 신장 손상을 일으킬 수 있다.[58]정상적으로 비타민 A를 저장하는 성상 세포는 간경변증 발생에 중요한 역할을 한다. 염증으로 인한 간 조직 손상은 성상 세포를 활성화시켜 근섬유아세포를 생성하여 섬유증을 증가시키고 간 혈류를 방해한다.[59] 또한, 성상 세포는 TGF 베타 1을 분비하여 섬유성 반응과 결합 조직의 증식을 유발한다. TGF-β1은 간 성상 세포(HSC)를 활성화시키는 과정에 관여하며 섬유증의 정도는 TGF β 수치 증가에 비례한다. ACTA2는 HSC의 수축성을 향상시켜 섬유증을 유발하는 TGF β 경로와 관련이 있다.[60] HSC는 기질 금속 단백분해효소(MMPs)의 자연 발생 억제제인 TIMP1 및 TIMP2를 분비하여 MMP가 세포외 기질의 섬유성 물질을 분해하는 것을 방지한다.[61][62]
이러한 과정이 계속되면 섬유성 조직 띠(격막)가 간세포 결절을 분리하여 결국 전체 간 구조를 대체하여 혈류가 감소한다. 비장이 울혈되고 비장비대가 발생하여 정상적인 혈액 응고에 필요한 혈소판을 보유하게 된다. 문맥 고혈압은 간경변증의 가장 심각한 합병증의 원인이다.
간 생검에서는 재생 결절을 동반한 섬유화된 간 조직을 관찰한다. 재생 결절의 크기가 3mm보다 작은 것은 소결절성 간경변으로 분류되며, 알코올성 간경변에서 많이 보인다. 3mm 이상의 것은 대결절성 간경변으로 분류되며, 바이러스성 간경변에서 많이 보인다. 다만, 초음파 검사나 복부 CT 검사 등 비침습적인 영상 진단 기술의 발전에 따라, 침습적인 간 생검은 간경변 진단에 있어서 그 중요성이 옅어지고 있다. 간 생검이 필요한 경우는, 간경변에 동반하여 간암으로 보이는 종양 조직으로 의심되는 것이 영상 진단에서 발견되었을 때이다.
4. 병태 생리
간은 단백질 합성, 해독, 글리코겐과 같은 영양소 저장, 혈소판 생성 및 빌리루빈 제거 등 신체의 여러 대사 과정에서 중요한 역할을 한다. 간경변증에서는 간세포가 죽고 기능적 간 조직이 섬유증으로 대체되면서 이러한 과정이 중단된다. 이는 간경변증에서 나타나는 많은 대사 이상과 증상으로 이어진다.[58]
간경변증은 원인에 관계없이 종종 간염과 지방간(지방증)을 동반하며, 이 단계에서 원인이 제거되면 변화는 완전히 되돌릴 수 있다. 간경변증의 병리학적 특징은 정상 조직을 대체하는 흉터 조직이 발생하며, 이 조직은 장기를 통한 혈액의 문맥 흐름을 막아 혈압을 상승시킨다.[58] 이는 문맥 고혈압으로 나타나며, 문맥 순환과 전신 순환 사이의 압력 기울기가 높아진다. 문맥 고혈압은 간세포에서 간의 인접한 동맥혈관으로의 혈류 감소와 림프 생성 증가로 이어져 림프가 세포외 공간으로 누출되어 복수를 유발한다.[58] 또한 심장 귀환과 중심 혈액량을 감소시켜 레닌-안지오텐신 시스템(RAAS)을 활성화하여 신장이 나트륨과 물을 재흡수하게 하여 체액 저류와 복수를 더욱 악화시킨다. RAAS의 활성화는 또한 신장 혈관 수축을 유발하고 신장 손상을 일으킬 수 있다.[58]
정상적으로 비타민 A를 저장하는 성상 세포는 간경변증 발생에 중요한 역할을 한다. 염증으로 인한 간 조직 손상은 성상 세포를 활성화시켜 근섬유아세포를 생성하여 섬유증을 증가시키고 간 혈류를 방해한다.[59] 또한, 성상 세포는 TGF 베타 1을 분비하여 섬유성 반응과 결합 조직의 증식을 유발한다. TGF-β1은 간 성상 세포(HSC)를 활성화시키는 과정에 관여하며 섬유증의 정도는 TGF β 수치 증가에 비례한다. ACTA2는 HSC의 수축성을 향상시켜 섬유증을 유발하는 TGF β 경로와 관련이 있다.[60] 또한, HSC는 기질 금속 단백분해효소(MMPs)의 자연 발생 억제제인 TIMP1 및 TIMP2를 분비하여 MMP가 세포외 기질의 섬유성 물질을 분해하는 것을 방지한다.[61][62]
이러한 과정이 계속되면 섬유성 조직 띠(격막)가 간세포 결절을 분리하여 결국 전체 간 구조를 대체하여 혈류가 감소한다. 비장이 울혈되고 비장비대가 발생하여 정상적인 혈액 응고에 필요한 혈소판을 보유하게 된다. 문맥 고혈압은 간경변증의 가장 심각한 합병증의 원인이다.
5. 치료
간경변증은 간이 손상되어 굳어지는 질환으로, 다양한 원인에 의해 발생할 수 있으며, 혈액 검사, 영상 검사, 조직 검사 등을 통해 진단한다.
- 혈액 검사: B형 간염 바이러스 항원, C형 간염 바이러스 항체 검사, 간 기능 검사, 프로트롬빈 시간 측정 등을 통해 간 손상 정도와 원인을 파악한다.
- 영상 검사: 초음파, CT, MRI, Fibroscan 등을 통해 간의 형태, 크기, 섬유화 정도를 확인한다. 특히 초음파 검사는 간경변증 평가에 일반적으로 사용되며, 간세포암 및 문맥 고혈압 선별에도 유용하다.[43]
- 조직 검사: 간 생검을 통해 간 조직의 섬유화 및 결절성 재생 여부를 확인하여 간경변증을 확진한다.
다음은 간경변증에서 나타나는 전형적인 소견을 표로 정리한 것이다.
| 검사 항목 | 소견 |
|---|---|
| 혈소판 감소증 | 다인자성, 알코올성 골수 억제, 패혈증, 엽산 결핍 등 |
| 아미노전이효소 (AST, ALT) | 중등도 상승, AST > ALT |
| 알칼리성 인산분해효소 | 약간 상승 (정상 상한치의 2–3배 미만) |
| 감마-글루타밀 전이효소 | AP 수치와 상관관계, 알코올성 간 질환에서 높음 |
| 빌리루빈 | 보상 단계에서는 정상, 진행됨에 따라 상승 |
| 알부민 | 간 기능 저하로 감소 |
| 프로트롬빈 시간 | 간 기능 저하로 증가 |
| 글로불린 | 세균 항원 우회로 증가 |
| 혈청 나트륨 | 저나트륨혈증 발생 |
| 백혈구 감소증, 호중구 감소증 | 비장 비대 및 비장 가장자리화 |
| 응고 결함 | 간 기능 저하와 상관관계 |
| 글루카곤 | 증가[32] |
| 혈관활성 장 펩타이드 | 문맥 고혈압으로 증가 |
| 혈관확장제 | 증가 (산화 질소, 일산화 탄소 등) |
| 레닌 | 증가 (신장에서 나트륨 저류도 증가)[81] |
간경변증의 중증도 평가는 차일드-퓨 분류와 MELD 점수를 통해 이루어진다.
| 1점 | 2점 | 3점 | |
|---|---|---|---|
| 간성 뇌증 | 없음 | 경도 | 혼수 있음 |
| 복수 | 없음 | 소량 | 중등량 이상 |
| 알부민(Alb:g/dL) | 3.5 초과 | 3.5-2.8 | 2.8 미만 |
| 프로트롬빈 시간(PT:%) | 70 초과 | 70-40 | 40 미만 |
| 빌리루빈(T-Bil:mg/dL) | 2.0 미만 | 2.0-3.0 | 3.0 초과 |
합계 점수로 A: 5-6, B: 7-9, C: 10-15로 분류한다.
- MELD 점수(Model for end-stage liver disease): 혈청 빌리루빈 값, 크레아티닌 값, 프로트롬빈 시간(PT-INR)에 의해 산출되는 간 기능 예후 평가식(메이요 클리닉 사이트에서 자동 계산 가능). 혈청 나트륨(Na)을 가미하기도 한다.
간경변증 치료는 간 손상의 원인을 제거하고, 간 기능을 최대한 보존하며, 합병증을 예방 및 관리하는 것을 목표로 한다.
야마구치 대학에서는 환자 자신의 골수 세포를 정맥 주사하여 간경변을 만성 간염 상태까지 개선하는 연구가 진행 중이며, 선진 의료 B로 임상 연구가 이루어지고 있다.
간경변 환자는 간 기능 저하로 인해 다른 질환 치료에도 영향을 받을 수 있다. 예를 들어, 간에서 대사되거나 담즙으로 배설되는 약물은 사용이 제한될 수 있다.
5. 1. 생활 습관 관리
간경화증으로 손상된 간은 원래 상태로 되돌리기 어렵기 때문에, 치료는 기본적으로 증상을 완화하고 합병증 발생을 예방하는 데 중점을 둔다. 또한, 식사 제한을 통해 간경화의 진행을 늦추거나 합병증을 예방하여 환자의 생명을 연장하는 것을 목표로 한다. 간경화의 원인에 따라 그에 맞는 치료가 시행되기도 한다.간경변증은 일반적으로 음주로 인해 악화되므로, 식사 제한의 하나로 절주가 아닌 완전한 금주가 필요하다. 간에서는 요소 회로가 충분히 기능하지 못하여 고암모니아혈증이 발생할 수 있으므로, 체내 암모니아 발생을 줄이는 처치가 이루어진다. 단백질 섭취를 제한하고, 락툴로스를 경구 투여하여 장내 암모니아 흡수를 억제한다. 또한, 장내 세균을 제거하기 위해 경구 항생제를 투여하기도 한다.
간성뇌증을 예방하기 위해 분지 사슬 아미노산이 풍부하고 방향족 아미노산이 적은 간부전용 아미노산 제제를 투여하기도 한다.

간경변증으로 인한 빈혈 개선을 위해 철분제를 사용하기도 하지만, 철분 과잉은 간세포를 손상시킬 수 있으므로 신중해야 한다. 출혈 경향이 있는 경우 비타민 K를 보충하거나 신선 동결 혈장을 수혈하여 혈액 응고 인자를 보충한다.
복수가 발생하면 염분 섭취를 제한하고 이뇨제를 투여하며, 효과가 없으면 복부에 바늘을 찔러 직접 복수를 제거하기도 한다. 식도 정맥류 파열은 치명적일 수 있으므로 예방적 치료가 필요하다. 간암이 발생한 경우에는 간암 치료를 시행한다.
간 이식은 간경변증의 근본적인 치료법이지만, 평생 면역 억제제를 복용해야 하고, 이식 후에도 여러 문제가 발생할 수 있다.
간경변증의 원인에 따라 다음과 같은 치료가 추가될 수 있다.
- '''알코올성 간경변증''': 금주가 가장 중요하며, 평생 술을 마시지 않아야 한다.
- '''B형 간염으로 인한 간경변증''': 항바이러스제 치료를 시행한다. 엔테카비르 등의 약물을 사용하며, 테노포비르 투여로 간경변증이 개선되기도 한다.[176] [177]
5. 2. 예방
간경변은 한번 발생하면 정상적인 간 상태로 되돌리는 것은 불가능하다고 알려져 있었으나, 최근에는 원인 질환을 성공적으로 치료하면 간 섬유화가 개선될 수 있다는 것이 정설로 자리잡았다. C형 간염이나 B형 간염의 항바이러스 치료, 알코올성 간 질환 환자의 금주, 비알코올성 지방간 질환 환자의 체중 감소 등이 간 섬유화 개선에 도움이 될 수 있다.[184][185] 그러나 비가역적인 수준으로 진행된 간경변은 완치보다는 현재 간 기능을 최대한 유지하는 것이 치료 목표이다.[182]간경변을 예방하기 위해서는 다음과 같은 노력이 필요하다.
- '''알코올성 간 질환 (알코올성 간경변) 예방''': 10년 이상 과음하는 사람의 10~20%에서 발생하므로,[48] 과음을 피하고, 알코올성 간경변이 발생한 경우에는 즉시 금주해야 한다. 알코올은 간 손상을 유발할 수 있으며, 아세트알데히드 생성을 통해 간에 다른 반응성 물질 축적을 유발한다.[32]
- '''비알코올성 지방간 질환 예방''': 비만, 당뇨병, 영양 실조, 관상 동맥 질환 등이 원인이 될 수 있으므로,[51][52] 균형 잡힌 식단과 규칙적인 운동을 통해 적절한 체중을 유지하고 이러한 질환들을 예방해야 한다.
- '''만성 C형 간염 예방''': C형 간염 바이러스 감염은 간 염증과 손상을 유발하여 간경변으로 이어질 수 있으므로,[43] 안전하지 않은 성관계나 주사기 재사용 등을 피하고, 감염 시 적절한 치료를 받아야 한다. 만성 C형 간염 환자의 20~30%가 간경변으로 진행된다.[43][32]
- '''만성 B형 간염 예방''': B형 간염 바이러스 감염은 간 염증과 손상을 유발하여 간경변으로 이어질 수 있으므로,[43] 예방 접종을 받고, 감염 시 적절한 치료를 받아야 한다. D형 간염은 B형 간염과 동시 감염 시 간경변을 가속화한다.[43]
B형 간염으로 인한 간경변의 경우, HBV-DNA 양성인 경우 엔테카비르 등 항B형 간염 바이러스 치료를 시도할 수 있다.[176] 테노포비르를 5년간 투여하면 HBV에 의한 간경변 환자의 약 75%에서 간경변이 개선되었다는 연구 결과도 있다.[177]
6. 합병증
간경화증은 발병과 증상 발현에 꽤 오랜 시간이 걸릴 수 있다.[9] 초기 증상으로는 피로감, 쇠약감, 식욕 부진, 체중 감소, 메스꺼움, 손바닥 홍반, 간 주변 오른쪽 상복부 불편감 등이 나타날 수 있다.[9][26]
간경화증이 진행되면 인지 장애, 혼란, 기억 상실, 수면 장애, 성격 변화 등 신경학적 변화가 나타날 수 있고, 소화되지 않은 지방이 변에 섞여 나오는 지방변증도 나타날 수 있다.[9][27] 악화되면 부종, 복수, 가려움증, 멍, 어두운 소변, 피부 황달 등 신체 여러 부위에 체액이 축적될 수 있다.[9]
간경화증은 문맥계 혈액 흐름을 어렵게 하여 혈액 역류와 압력 증가를 일으켜 문맥 고혈압을 유발한다.[38] 이로 인해 비장비대(35~50%), 메두사의 머리(확장된 배꼽옆정맥), 크르빌리에-바움가르텐 잡음(상복부 부위 잡음) 등의 증상이 나타날 수 있다.[3][38][6][40]
그 외에 혈액 응고 인자 생산 감소로 인한 멍과 출혈, 약물 대사 감소로 인한 약물 민감도 증가, 근육 위축 및 쇠약과 관련된 악액질, 심혈관계 합병증 (혈관 확장, 폐내 우좌 단락, 간폐 증후군), 폐고혈압증, 혈액 질환 (빈혈, 비장 기능 항진증, 만성 소화관 출혈, 엽산 결핍증) 등이 발생할 수 있다.[43][45][164]
간경화증의 중증도는 차일드-푸 점수(빌리루빈, 알부민, INR, 복수 및 간성뇌증 정도를 포함)로 분류된다.[100][102]
| 차일드-푸 등급 | 점수 | 간 기능 | 예후 | 복부 수술 후 사망률 |
|---|---|---|---|---|
| A등급 | 5–6 점 | 양호 | 15–20년 | 10% |
| B등급 | 7–9 점 | 중등도 손상 | 30% | |
| C등급 | 10–15 점 | 진행된 기능 부전 | 1–3년 | 82% |
말기 간 질환 모델(MELD) 점수는 빌리루빈, INR, 크레아티닌, 투석 빈도를, MELD-Na는 나트륨을 추가로 포함한다.[105][106]
MELD-Plus는 만성 간 질환 중증도 평가를 위한 추가 위험 점수로, MELD 구성 요소, 나트륨, 알부민, 총 콜레스테롤, 백혈구 수, 연령, 입원 기간을 포함한다.[107]
간 정맥압 구배는 간경화 중증도를 결정하지만 측정이 어렵고, 16mm 이상이면 사망 위험이 크게 증가한다.[108]
6. 1. 복수
간경화증은 염분 축적(나트륨 저류)을 유발하기 때문에 염분 제한이 종종 필요하다. 이뇨제는 복수를 억제하는 데 필요할 수 있다. 입원 환자를 위한 이뇨제 옵션으로는 알도스테론 길항제(스피로노락톤)와 루프 이뇨제가 있다. 알도스테론 길항제는 경구 투약을 할 수 있고 긴급한 체액 감소가 필요하지 않은 사람에게 선호된다. 루프 이뇨제는 추가 요법으로 사용할 수 있다.[129]염분 제한과 이뇨제 사용이 효과가 없는 경우, 복수 천자가 선호되는 옵션일 수 있다.[130] 이 시술은 복강 내에 플라스틱 튜브를 삽입해야 한다. 급격한 체액 감소로 인한 합병증을 예방하기 위해 일반적으로 사람 혈청 알부민 용액을 투여한다. 이뇨제보다 더 빠르다는 것 외에도 4~5리터의 복수 천자는 이뇨제 치료에 비해 더 성공적이다.[129]
6. 2. 식도 및 위 정맥류 출혈
간경화증으로 인해 문맥계의 혈액 흐름이 어려워지면 혈액이 역류하고 압력이 증가하여 문맥 고혈압이 발생한다.[38] 문맥 고혈압은 측부 순환을 유발하는데, 식도와 위에서 이러한 순환 혈관이 커지면 식도 정맥류 및 위 정맥류가 된다.[39] 이 정맥류들은 파열될 가능성이 높아져 출혈을 유발할 수 있으며, 이는 치명적일 수 있다.[6][39]위내시경(식도, 위, 십이지장의 내시경 검사)을 통해 식도 및 위 정맥류를 정기적으로 검사하여 정맥류 파열로 인한 대량 출혈과 급사를 예방해야 한다.[164] 식도 정맥류가 발견되면 경화 요법이나 결찰술 같은 예방적 치료를 하거나, 베타 차단제를 사용할 수 있다.[133][134][135] 풍선 폐쇄 역행 정맥 폐쇄술은 위 정맥류 출혈 치료에 사용될 수 있다.[132]
6. 3. 간성 뇌증
암모니아 및 관련 물질이 혈액에 축적될 때 간성 뇌증이 발생한다.[43] 이러한 축적은 간에서 혈액 내 물질들이 제거되지 않으면 뇌 기능에 영향을 미친다. 증상으로는 무반응, 건망증, 집중 곤란, 수면 습관 변화 또는 정신병이 있을 수 있다. 고전적인 신체 검사 소견은 사지 떨림증인데,[32] 이것은 뻗은 손의 비동시적인 떨림이다.[32] 간성 구취는 증가된 다이메틸 설파이드로 인한 퀴퀴한 입 냄새이며 간성 뇌증의 특징이다.[44]간성 뇌증은 간경화증의 잠재적인 합병증으로,[32] 경미한 혼란에서 혼수에 이르기까지 다양한 기능적 신경 손상을 유발할 수 있다.[32] 간성 뇌증은 주로 혈액 내 암모니아 축적으로 인해 발생하며, 이는 혈액-뇌 장벽을 통과할 때 신경 독성을 유발한다. 암모니아는 일반적으로 간에서 대사되는데, 간경화증은 간 기능 저하와 문맥전신 단락(혈액이 간을 우회하도록 함)을 유발하므로, 전신 암모니아 수치가 점차 증가하여 뇌병증을 유발한다.[136]
간성 뇌증 치료를 위한 대부분의 제약적 접근 방식은 암모니아 수치를 낮추는 데 중점을 둔다.[137] 2014년 지침에 따르면,[138] 1차 치료는 장내 세균에 의해 대사될 때 결장의 pH 수준을 감소시키는 비흡수성 이당류인 락툴로스를 사용하는 것이다. 낮은 결장 pH는 암모니아를 암모늄으로 전환시키는 것을 증가시키고, 이는 신체에서 배설된다.[139] 리팍시민은 위장관에서 암모니아 생성 세균의 기능을 억제하는 항생제로,[140] 락툴로스와 함께 간성 뇌증의 재발 에피소드에 대한 예방 요법으로 사용할 것을 권장한다.[138][141][142]
약물 치료 외에도 적절한 수분 공급과 영양 지원을 제공하는 것이 중요하다.[137] 적절한 양의 단백질 섭취가 권장된다.[143] 알코올 섭취, 과도한 단백질, 위장관 출혈, 감염, 변비, 구토/설사 등 여러 요인이 간성 뇌증을 유발할 수 있다.[137] 벤조디아제핀, 이뇨제 또는 마약과 같은 약물도 뇌병증 사건을 유발할 수 있다.[137] 위장관 출혈 시에는 저단백질 식단이 권장된다.[143]
간성 뇌증의 심각도는 환자의 정신 상태를 평가하여 결정된다. 이는 일반적으로 주관적인 평가이지만, 이 평가를 표준화하는 데 도움이 되는 기준을 만들려는 몇 가지 시도가 발표되었다. 그중 하나가 아래에 제시된 웨스트 헤이븐 기준이다.
| 등급 | 정신 상태 |
| 1등급: 경미함 | 행동 변화, 경미한 혼란, 어눌한 말투, 수면 장애 |
| 2등급: 중등도 | 기면, 중등도 혼란 |
| 3등급: 심각함 | 혼미, 문맥 부조화, 잠들었지만 깨울 수 있음 |
| 4등급: 혼수 | 혼수/반응 없음 |
간경화증 환자는 평생 동안 간성 뇌증이 발생할 위험이 40%이다.[58] 간성 뇌증 발생 후 생존 기간의 중앙값은 0.9년이다.[58] 실행 기능 손상, 수면 부족 또는 균형 장애와 같은 증상이 더 미묘한 경미한 간성 뇌증(은폐된 간성 뇌증이라고도 함)은 입원 및 사망 위험이 더 높다(은폐된 간성 뇌증 환자의 경우 18%, 간경화증이 있지만 간성 뇌증이 없는 환자의 경우 3%).[58]
간에서의 아미노산 대사 능력이 저하됨에 따라 방향족성 측쇄를 가진 아미노산이 축적되어 간성 뇌증이 발병하기도 한다. 이를 방지하기 위해 분지 사슬 아미노산을 많이 함유하고 방향족 아미노산의 함량이 적은 간부전용 아미노산 제제가 투여되는 경우도 있다.
6. 4. 간신 증후군
질병이 진행됨에 따라 합병증이 발생할 수 있으며, 어떤 사람들에게는 이것이 질병의 첫 징후일 수 있다. 급성 신부전(특히 간 신 증후군)이 발생할 수 있다.[32] 간신 증후군은 신장 손상 또한 관련된 말기 간경변의 심각한 합병증이다.[145] 간경변 환자에서 간신 증후군이 발생할 연간 위험은 8%이며, 일단 이 증후군이 발생하면 평균 생존 기간은 2주이다.[58]6. 5. 문맥 고혈압성 위병증
문맥 고혈압이 있는 사람의 위 점막에 변화가 생기는 것을 말하며, 간경화증의 심각한 정도와 관련이 있다.[146]6. 6. 감염
간경화증은 면역 기능 부전을 일으켜 감염으로 이어질 수 있다. 감염의 징후와 증상은 비특이적일 수 있으며 인지하기 더 어려울 수 있다(예: 열 없이 악화되는 뇌병증).[147] 게다가 간경화증에서의 감염은 복수, 정맥류 출혈, 간성 뇌증, 장기 부전, 사망과 같은 다른 합병증의 주요 유발 요인이다.[147][87][89]간경화증 환자는 감염 위험이 증가할 뿐만 아니라 감염으로 인한 사망률도 증가한다. 이는 간경화증 관련 면역 기능 부전, 장벽 기능 감소, 담즙 흐름 감소, 그리고 특정 조건에서 감염을 일으킬 수 있는 고유 박테리아(pathobiont)의 증가와 함께 장내 미생물군 변화를 포함하는 요인들의 조합 때문이다.[148]
간경화증 관련 면역 기능 부전은 간에서 보체 성분( C3, C4)의 감소 및 총 보체 활성도(CH50)의 감소로 인해 발생한다.[148] 보체계는 선천 면역계의 일부로, 면역 세포와 항체가 병원체를 파괴하도록 돕는다. 간은 보체 인자를 생성하지만, 간경화증에서는 이 생성이 감소하여 감염 위험을 높일 수 있다. 급성기 반응 단백질(면역 반응을 일으키는 데 도움)과 가용성 패턴 인식 수용체(면역 세포가 병원체를 식별하도록 돕는)도 간경화증 환자에서 감소하여 면역 기능 부전을 더욱 악화시킨다.[148] 간경화증은 또한 쿠퍼 세포 기능 감소와 관련이 있으며, 이는 감염 위험을 더욱 증가시킨다. 쿠퍼 세포는 간에 상주하는 대식세포로, 병원체를 파괴하는 데 도움을 준다.[148]
양성자 펌프 억제제 사용, 알코올 사용, 노쇠, 항생제 과다 사용, 입원 또는 침습적 시술(신체의 다른 부위로의 세균 전이 위험 증가)을 포함한 외적 요인도 간경화증 환자의 감염 위험을 증가시킬 수 있다.[148]
간경화증으로 입원한 환자에게 흔한 감염은 다음과 같다.
| 감염 종류 | 유병률 |
|---|---|
| 자발성 세균성 복막염 | 입원 환자 중 27% |
| 요로 감염 | 22-29% |
| 폐렴 | 19% |
| 자발적 균혈증 | 8-13% |
| 피부 및 연조직 감염 | 8-12% |
| 클로스트리디움 디피실리 대장염 | 2.4-4% |
[148][149]
간경화증 및 복수 환자의 3.5%가 무증상 자발성 세균성 복막염을 앓을 수 있는 것으로 추정된다.[150]
간경화증 환자의 감염으로 인한 사망률은 일반 인구보다 높다. 간경화증과 패혈증을 동반한 중증 감염 환자의 사망률은 50% 이상이며, 패혈성 쇼크 환자의 사망률은 65%이다.[148]
6. 7. 간세포암
간세포암은 가장 흔한 원발성 간암이며, 간경변증 환자의 가장 흔한 사망 원인이다.[151] 알파 태아 단백과 같은 암 지표를 함께 사용하여 초음파 검사를 하는 선별 검사를 통해 이 암을 감지할 수 있으며, 종종 결과를 개선하는 것으로 나타난 조기 징후를 위해 수행된다.[1][152] 간경변증에 걸린 간은 간암을 발병하기 쉬운 상태가 되어 종종 간암을 합병하고, 간암 또한 사망 원인이 될 수 있다.7. 역학
간경화증은 면역 기능 장애를 유발하여 면역계가 정상적으로 작동하는 것을 방해한다.[148] 간경화증은 전 세계적으로 11번째로 흔한 사망 원인으로, 매년 약 100만 명이 간경화 합병증으로 사망한다.[154] 2001년 미국에서 간경화 및 만성 간 질환은 남성의 10번째, 여성의 12번째 주요 사망 원인이었으며, 매년 약 27,000명의 사망자를 발생시켰다.[155]
간경화의 원인은 다양하다. 서구 및 선진국에서는 알코올 및 비알코올성 지방간 질환이, 저소득 및 중간 소득 국가에서는 바이러스성 간염이 주된 원인이다.[154] 간경화는 여성보다 남성에게 더 흔하게 나타난다.[156]
전 세계적으로 연령 표준화된 장애 보정 생존 연수(DALY) 비율은 1990년부터 2017년까지 10만 명당 656.4년에서 510.7년으로 감소했다.[157] 남성의 DALY 비율은 1990년 10만 명당 903.1년에서 2017년 10만 명당 719.3년으로, 여성의 DALY 비율은 1990년 10만 명당 415.5년에서 2017년 10만 명당 307.6년으로 감소했다.[157] 그러나 전 세계적으로 DALY의 총 수는 1990년부터 2017년까지 1,090만 건 증가하여 4,140만 건에 달했다.[157]
바이러스성 간염(B형 간염, C형 간염 등), 알코올성 간질환, 원발 담즙성 담관염, 원발 경화성 담관염, 철 과잉증에 의한 장기 손상[161], 자가면역성 간염, 윌슨병 등의 만성 간 질환이 간경화의 원인이 되거나, 이러한 질환이 진행된 최종 단계이다.[162] 2002년 일본에는 약 40만 명의 간경변 환자가 있었으며, 그 중 60%가 C형 간경변, 15%가 B형 간경변, 12%가 알코올성 간경변이었다.[163] 과거 일본에서는 일본 주혈흡충증 유병 지역에서 충란과 영양 불량을 원인으로 하는 간경변도 관찰되었으나, 최근에는 대사 증후군과 관련된 비알코올성 지방간염(NASH)이 원인으로 주목받고 있다.
참조
[1]
서적
Ferri's clinical advisor 2019 : 5 books in 1
2019
[2]
웹사이트
Treatment for Cirrhosis {{!}} NIDDK
https://www.niddk.ni[...]
2021-03-06
[3]
웹사이트
Cirrhosis
https://www.nhs.uk/c[...]
2020-06-29
[4]
논문
Liver cirrhosis
[5]
서적
StatPearls [Internet]
https://www.ncbi.nlm[...]
StatPearls Publishing
2022-10-31
[6]
서적
Sherlock's diseases of the liver and biliary system
Wiley Blackwell
2018-06-08
[7]
논문
The Inside-Out of End-Stage Liver Disease: Hepatocytes are the Keystone
[8]
서적
Sherlock's diseases of the liver and biliary system
Wiley Blackwell
2018-06-08
[9]
웹사이트
Symptoms & Causes of Cirrhosis {{!}} NIDDK
https://www.niddk.ni[...]
2021-02-08
[10]
웹사이트
Definition & Facts for Cirrhosis {{!}} NIDDK
https://www.niddk.ni[...]
2021-03-10
[11]
논문
A multisociety Delphi consensus statement on new fatty liver disease nomenclature
[12]
논문
Noninvasive Assessment of Liver Disease in Patients With Nonalcoholic Fatty Liver Disease
2019-04
[13]
뉴스
Ultrastructural Changes In The Liver Of Intravenous Heroin Addiction
Journal of the Association of Basic Medical Sciences
2010-02
[14]
논문
Global, regional, and national age-sex specific all-cause and cause-specific mortality for 240 causes of death, 1990-2013: a systematic analysis for the Global Burden of Disease Study 2013
2015-01
[15]
웹사이트
Alcoholic liver disease
https://medlineplus.[...]
2021-03-10
[16]
뉴스
Heroin and Liver Damage
https://www.banyantr[...]
Banyan Medical Centers
2022-08-07
[17]
웹사이트
Definition & Facts of NAFLD & NASH {{!}} NIDDK
https://www.niddk.ni[...]
2021-03-09
[18]
웹사이트
Cirrhosis
http://www.niddk.nih[...]
National Institute of Diabetes and Digestive and Kidney Diseases
2014-04-23
[19]
웹사이트
Back to Basics: Outpatient Management of Cirrhosis
https://www.aasld.or[...]
American Association for the Study of Liver Diseases
2024-02-15
[20]
논문
AASLD Practice Guidance on prevention, diagnosis, and treatment of hepatocellular carcinoma
[21]
논문
Current Concepts of Precancerous Lesions of Hepatocellular Carcinoma: Recent Progress in Diagnosis
[22]
논문
Global, regional, and national incidence, prevalence, and years lived with disability for 310 diseases and injuries, 1990-2015: a systematic analysis for the Global Burden of Disease Study 2015
2016-10
[23]
논문
Global, regional, and national life expectancy, all-cause mortality, and cause-specific mortality for 249 causes of death, 1980-2015: a systematic analysis for the Global Burden of Disease Study 2015
2016-10
[24]
서적
Elective general surgery : an evidence-based approach
https://books.google[...]
McGraw-Hill Medical
2012
[25]
논문
Rene Theophile Hyacinthe Laënnec (1781-1826): the man behind the stethoscope
2006-09
[26]
웹사이트
Cirrhosis of the liver
https://my.cleveland[...]
2024
[27]
논문
Steatorrhea in patients with liver disease
2024
[28]
서적
StatPearls
StatPearls Publishing
2022-03-14
[29]
논문
Sex Hormone-Dependent Physiology and Diseases of Liver
2020-04
[30]
논문
Palmar erythema
2007
[31]
서적
Endotext
MDText.com, Inc.
2022-03-16
[32]
서적
Harrison's principles of internal medicine.
McGraw-Hill
[33]
서적
Male Hypogonadism
Springer International Publishing
2017
[34]
논문
Recurrent scrotal edema in liver cirrhosis
http://amj.amegroups[...]
2017-08-24
[35]
논문
Cachexia in liver cirrhosis
2002-09
[36]
웹사이트
Cirrhosis of the Liver
https://www.emedicin[...]
2022-03-15
[37]
웹사이트
Jaundice - Hepatic and Biliary Disorders
https://www.merckman[...]
2022-03-16
[38]
웹사이트
Portal Hypertension
https://www.hopkinsm[...]
www.hopkinsmedicine.org
2022-03-16
[39]
서적
StatPearls
StatPearls Publishing
2022-03-16
[40]
간행물
Courveilhier baumgarten syndrome: a rare syndrome revisited
2009-01
[41]
간행물
Terry's Nails: A Sign of Systemic Disease
2017
[42]
간행물
Patterns of nail changes in chronic liver diseases
2019-04-01
[43]
서적
Handbook of Liver Disease, 4e
Elsevier
[44]
웹사이트
What Is Fetor Hepaticus?
https://www.webmd.co[...]
2022-03-17
[45]
웹사이트
Drug Considerations for Medication Therapy in Cirrhosis
https://www.uspharma[...]
2024-11-08
[46]
간행물
Viral Hepatitis: Background, Pathophysiology, Etiology
https://emedicine.me[...]
WebMD LLC.
2021-10-17
[47]
간행물
The contributions of hepatitis B virus and hepatitis C virus infections to cirrhosis and primary liver cancer worldwide
2006-10
[48]
웹사이트
Cirrhosis of the Liver
https://liverfoundat[...]
2022-03-17
[49]
간행물
Pathophysiology and Management of Alcoholic Liver Disease: Update 2016
2017-03
[50]
서적
Current medical diagnosis and treatment 2014.
Mcgraw-Hill
[51]
서적
Zakim and Boyer's Hepatology
2018
[52]
간행물
Mortality of NAFLD According to the Body Composition and Presence of Metabolic Abnormalities
2020-08
[53]
웹사이트
Diagnosis of NAFLD & NASH {{!}} NIDDK
https://www.niddk.ni[...]
2021-03-09
[54]
뉴스
Heroin Addiction Health Conditions
https://bedrockrecov[...]
Bedrock Recovery Center
2022-08-07
[55]
웹사이트
Primary Biliary Cholangitis: Symptoms, Causes, Treatments
https://my.cleveland[...]
2022-03-17
[56]
서적
Clinical and Translational Perspectives on Wiloson Disease
Academic Press
2019-01
[57]
웹사이트
Galactosemia
https://www.lecturio[...]
2021-08-15
[58]
간행물
Diagnosis and Management of Cirrhosis and Its Complications: A Review
2023-05-09
[59]
서적
Pathophysiology of disease : an introduction to clinical medicine
McGraw-Hill Medical
[60]
간행물
Dysregulated epidermal growth factor and tumor growth factor-beta receptor signaling through ''GFAP-ACTA2'' protein interaction in liver fibrosis
[61]
간행물
Cirrhosis: new research provides a basis for rational and targeted treatments
http://bmj.bmjjourna[...]
2003-07
[62]
간행물
Hepatic stellate cells and liver fibrosis
2013-10
[63]
간행물
The Echogenic Liver: Steatosis and Beyond
2020-09
[64]
간행물
Reproducibility and diagnostic accuracy of pocket-sized ultrasound devices in ruling out compensated cirrhosis of mixed etiology
2022-07
[65]
간행물
Prediction of liver cirrhosis, using diagnostic imaging tools
2015-08
[66]
문서
Splenomegaly
https://www.ncbi.nlm[...]
StatPearls Publishing
2021-08-11
[67]
간행물
Assessing portal hypertension in liver diseases
2013-02
[68]
간행물
Altered Doppler flow patterns in cirrhosis patients: an overview
2016-01
[69]
간행물
Changes of portal vein flow in heart failure patients with liver congestion
[70]
서적
Clinical Hepatology: Principles and Practice of Hepatobiliary Diseases
Springer Science & Business Media
[71]
논문
Reproducibility and diagnostic accuracy of pocket-sized ultrasound devices in ruling out compensated cirrhosis of mixed etiology
Epub 2022 Mar 3
2022-07
[72]
웹사이트
Elastography: MedlinePlus Medical Test
https://medlineplus.[...]
2022-03-21
[73]
간행물
Elastography Assessment of Liver Fibrosis: Society of Radiologists in Ultrasound Consensus Conference Statement
2015-09
[74]
간행물
Elastography in Chronic Liver Disease: Modalities, Techniques, Limitations, and Future Directions
2016-11-01
[75]
간행물
Diagnosis of cirrhosis by transient elastography (FibroScan): a prospective study
2006-03
[76]
간행물
Transient elastography for diagnosis of stages of hepatic fibrosis and cirrhosis in people with alcoholic liver disease
2015-01
[77]
간행물
Does this patient with liver disease have cirrhosis?
2012-02
[78]
간행물
Selected Noninvasive Markers in Diagnosing Liver Diseases
2016-02
[79]
서적
Schiff's diseases of the liver.
John Wiley & Sons
[80]
서적
Current practice guidelines in primary care 2013
McGraw-Hill Medical
2012-12-18
[81]
간행물
Liver disease and the hypothalamic pituitary gonadal axis
1985-02
[82]
간행물
FibroTest-ActiTest as a non-invasive marker of liver fibrosis
2008-09
[83]
간행물
Abnormal ferritin levels predict development of poor outcomes in cirrhotic outpatients: a cohort study
2021-03
[84]
간행물
Serum ferritin predicts early mortality in patients with decompensated cirrhosis
2014-07
[85]
간행물
Acute phase proteins in the diagnosis and prediction of cirrhosis associated bacterial infections
https://onlinelibrar[...]
2021-04-25
[86]
간행물
Presepsin teardown - pitfalls of biomarkers in the diagnosis and prognosis of bacterial infection in cirrhosis
2016-11
[87]
간행물
Macrophage activation marker, soluble CD163, is an independent predictor of short-term mortality in patients with cirrhosis and bacterial infection
https://onlinelibrar[...]
2021-04-25
[88]
간행물
The soluble mannose receptor is released from the liver in cirrhotic patients, but is not associated with bacterial translocation
2017-04
[89]
간행물
Increased sTREM-1 levels identify cirrhotic patients with bacterial infection and predict their 90-day mortality
2021-09
[90]
간행물
Alterations of the human gut microbiome in liver cirrhosis
2014-09
[91]
간행물
Endoscopic Ultrasound-Guided, Percutaneous, and Transjugular Liver Biopsy: A Comparative Systematic Review and Meta-Analysis
2020-09
[92]
간행물
The Role of EUS in Liver Biopsy
2019-01
[93]
간행물
Endoscopic Ultrasound-guided Liver Biopsy
2019-04
[94]
간행물
Guidelines on the use of liver biopsy in clinical practice. British Society of Gastroenterology
http://gut.bmj.com/c[...]
1999-10
[95]
서적
Textbook of Gastroenterology
Lippincott Williams & Wilkins
[96]
간행물
Medical liver biopsy: background, indications, procedure and histopathology
[97]
간행물
The liver in heart failure
2002-11
[98]
간행물
Primary biliary cirrhosis: historical perspective
2003-11
[99]
서적
StatPearls
StatPearls
2019-11-11
[100]
서적
StatPearls
http://www.ncbi.nlm.[...]
StatPearls Publishing
2022-03-23
[101]
웹사이트
What Are the MELD and Child-Pugh Scores for Liver Disease?
https://www.webmd.co[...]
2022-03-23
[102]
웹사이트
Child-Pugh Score for Cirrhosis Mortality
https://www.mdcalc.c[...]
2022-03-23
[103]
간행물
Model for End-stage Liver Disease
2013-03
[104]
간행물
Child-Pugh Versus MELD Score for the Assessment of Prognosis in Liver Cirrhosis: A Systematic Review and Meta-Analysis of Observational Studies
2016-02
[105]
웹사이트
MELD Score (Model For End-Stage Liver Disease) (12 and older)
https://www.mdcalc.c[...]
2022-03-24
[106]
웹사이트
MELDNa/MELD-Na Score for Liver Cirrhosis
https://www.mdcalc.c[...]
2022-03-24
[107]
논문
The MELD-Plus: A generalizable prediction risk score in cirrhosis
2017
[108]
논문
Single portal pressure measurement predicts survival in cirrhotic patients with recent bleeding
http://gut.bmj.com/c[...]
1999-02
[109]
웹사이트
Cirrhosis
https://www.lecturio[...]
2020-09-28
[110]
논문
Coffee and Liver Disease
2016-03
[111]
논문
Effect of a high-protein, high-fiber diet plus supplementation with branched-chain amino acids on the nutritional status of patients with cirrhosis
2018-01
[112]
논문
Carvedilol is associated with improved survival in patients with cirrhosis: a long-term follow-up study
2021-02
[113]
웹사이트
Treatment of Cirrhosis
https://www.nhs.uk/c[...]
2017-10-20
[114]
논문
A Placebo-Controlled Trial of Subcutaneous Semaglutide in Nonalcoholic Steatohepatitis
https://research.bir[...]
2021-03
[115]
논문
Combination Therapies Including Cilofexor and Firsocostat for Bridging Fibrosis and Cirrhosis Attributable to NASH
2021-02
[116]
논문
A Randomized, Controlled Trial of the Pan-PPAR Agonist Lanifibranor in NASH
https://eprints.ncl.[...]
2021-10
[117]
논문
A Systematic Review of the Evidence Behind Use of Reduced Doses of Acetaminophen in Chronic Liver Disease
https://fisherpub.sj[...]
2018-12
[118]
논문
The Evolving Challenge of Infections in Cirrhosis
[119]
웹사이트
Nonalcoholic Fatty Liver Disease
https://www.lecturio[...]
2021-08-15
[120]
논문
Hepatotoxicity by Drugs: The Most Common Implicated Agents
2016-02
[121]
논문
Physical exercise for people with cirrhosis
2018-12
[122]
웹사이트
E-medicine liver transplant outlook and survival rates
http://www.emedicine[...]
Emedicinehealth.com
2009-06-09
[123]
논문
The model for end-stage liver disease (MELD)
2007-03
[124]
논문
Antibiotic prophylaxis for cirrhotic patients with upper gastrointestinal bleeding
2010-09
[125]
논문
The national agenda for quality palliative care: the National Consensus Project and the National Quality Forum
2007-06
[126]
논문
Palliative care for patients with end-stage liver disease ineligible for liver transplantation
2006-03
[127]
논문
Patients with cirrhosis and denied liver transplants rarely receive adequate palliative care or appropriate management
2014-04
[128]
논문
AGA Clinical Practice Guideline on the Management of Coagulation Disorders in Patients With Cirrhosis
2021-11
[129]
논문
Guidelines on the management of ascites in cirrhosis
2006-10
[130]
논문
Management of ascites and hepatorenal syndrome
2018-02
[131]
논문
Transjugular intrahepatic portosystemic shunt as a bridge to liver transplant: Current state and future directions
2019-04
[132]
논문
Management Options for Gastric Variceal Hemorrhage
2019-06
[133]
웹사이트
Gastroscopy – examination of oesophagus and stomach by endoscope
http://hcd2.bupa.co.[...]
BUPA
2006-12
[134]
웹사이트
Upper Endoscopy
http://digestive.nid[...]
National Institutes of Health
2004-11
[135]
웹사이트
What is Upper GI Endoscopy?
http://www.gastro.or[...]
American Gastroenterological Association
[136]
논문
Blood Ammonia Levels and Hepatic Encephalopathy
http://link.springer[...]
2004-12
[137]
웹사이트
Hepatic encephalopathy in adults: Treatment
https://www.uptodate[...]
2022-02
[138]
논문
Hepatic encephalopathy in chronic liver disease: 2014 Practice Guideline by the American Association for the Study Of Liver Diseases and the European Association for the Study of the Liver: Vilstrup et al.
https://onlinelibrar[...]
2014-07-08
[139]
논문
Lactulose.
1970-12-01
[140]
논문
Rifaximin: A Novel Nonabsorbed Rifamycin for Gastrointestinal Disorders
https://academic.oup[...]
2006-02-15
[141]
논문
Rifaximin Treatment in Hepatic Encephalopathy
http://www.nejm.org/[...]
2010-03-25
[142]
논문
Rifaximin for prevention and treatment of hepatic encephalopathy in people with cirrhosis
2023-07-19
[143]
논문
EASL Clinical Practice Guidelines on nutrition in chronic liver disease
2019-01
[144]
논문
Hepatic Encephalopathy: Definition, Clinical Grading and Diagnostic Principles
2019-02
[145]
논문
Hepatorenal Syndrome
2019-05
[146]
논문
Portal hypertensive gastropathy: correlation with portal hypertension and prognosis in cirrhosis
2010-12
[147]
논문
Immune dysfunction in cirrhosis
2014-03
[148]
논문
The Evolving Challenge of Infections in Cirrhosis
2021-06-17
[149]
논문
Epidemiology and Effects of Bacterial Infections in Patients With Cirrhosis Worldwide
2019-04
[150]
논문
Spontaneous bacterial peritonitis in asymptomatic outpatients with cirrhotic ascites
2003-04
[151]
논문
Hepatocellular carcinoma
2012-03
[152]
논문
Early detection, curative treatment, and survival rates for hepatocellular carcinoma surveillance in patients with cirrhosis: a meta-analysis
2014-04
[153]
웹사이트
WHO Disease and injury country estimates
https://www.who.int/[...]
2009-11-11
[154]
논문
Burden of liver diseases in the world
2019-01
[155]
논문
Deaths: leading causes for 2001
2003-11
[156]
서적
Diseases of the Human Body
F. A. Davis Company
[157]
논문
The global, regional, and national burden of cirrhosis by cause in 195 countries and territories, 1990-2017: a systematic analysis for the Global Burden of Disease Study 2017
2020-03
[158]
문서
kirro/s
[159]
문서
OEtymD
[160]
문서
OEtymD
[161]
웹사이트
ヘモクロマトーシス
https://kompas.hosp.[...]
[162]
서적
肝疾患診療実践マニュアル
文光堂
1995
[163]
서적
新臨床内科学 第8版
[164]
웹사이트
肝硬変 - 02. 肝胆道疾患
https://www.msdmanua[...]
[165]
서적
内科学第10版アプリケーション版
朝倉書店
[166]
논문
6回の肝生検によりNASH肝硬変への進展を血液検査と肝組織像で対比できた1例
https://doi.org/10.1[...]
日本消化器病学会
2022-12
[167]
웹사이트
10.肝臓 (12)肝細胞癌
http://pathology.or.[...]
[168]
서적
今日の診断指針第6版
医学書院
2010
[169]
논문
脂肪肝症例における肝線維化指標FIB4 Indexの経時的変化
https://doi.org/10.1[...]
2014
[170]
웹사이트
FIB-4 index計算サイトのご案内(EAファーマ 提供)(医療従事者向け)
https://www.jsh.or.j[...]
[171]
간행물
非アルコール性脂肪肝炎(NASH:ナッシュ)の 拾い上げ第 2 弾 “Fib-4 index”
https://www.fukui-sa[...]
福井県済生会病院
[172]
웹사이트
脂肪肝の肝硬変・肝細胞癌への進展
https://www.jmedj.co[...]
[173]
웹사이트
肝がんとともに
https://medical.nikk[...]
[174]
웹사이트
一般向け がん情報サービス 肝細胞がん
http://ganjoho.jp/pu[...]
[175]
웹사이트
肝硬変の肝臓に再生のチャンスをー肝硬変に対する自己骨髄細胞投与療法
https://www.senshini[...]
2015-08-25
[176]
서적
今日の治療指針
医学書院
2009
[177]
논문
Lancet 2012 Dec 10; [e-pub ahead of print].
[178]
웹인용
Cirrhosis – MayoClinic.com
http://www.mayoclini[...]
[179]
웹인용
Liver Cirrhosis
http://www.meddean.l[...]
[180]
웹인용
Pathology Education: Gastrointestinal
https://web.archive.[...]
2012-11-30
[181]
서적
가정의학
서울대학교출판부
2006
[182]
서적
전문한의사 108인의 비법
넥서스
2006
[183]
서적
표준처방집
아카데미서적
2006
[184]
서적
해리슨 내과학 19판
도서출판 MIP
2017
[185]
간행물
2011 간경변증 진료 가이드라인 개정
2011
본 사이트는 AI가 위키백과와 뉴스 기사,정부 간행물,학술 논문등을 바탕으로 정보를 가공하여 제공하는 백과사전형 서비스입니다.
모든 문서는 AI에 의해 자동 생성되며, CC BY-SA 4.0 라이선스에 따라 이용할 수 있습니다.
하지만, 위키백과나 뉴스 기사 자체에 오류, 부정확한 정보, 또는 가짜 뉴스가 포함될 수 있으며, AI는 이러한 내용을 완벽하게 걸러내지 못할 수 있습니다.
따라서 제공되는 정보에 일부 오류나 편향이 있을 수 있으므로, 중요한 정보는 반드시 다른 출처를 통해 교차 검증하시기 바랍니다.
문의하기 : help@durumis.com
![간경변 [[가로 단면]]](https://cdn.onul.works/wiki/noimage.png)