맨위로가기

발기부전

"오늘의AI위키"는 AI 기술로 일관성 있고 체계적인 최신 지식을 제공하는 혁신 플랫폼입니다.
"오늘의AI위키"의 AI를 통해 더욱 풍부하고 폭넓은 지식 경험을 누리세요.

1. 개요

발기부전은 만족스러운 발기를 하지 못하는 상태를 의미하며, 심리적 요인과 기질적 요인 등 다양한 원인에 의해 발생한다. 심인성 발기부전은 심리적 요인으로 인해 발생하며, 기질성 발기부전은 혈관 질환, 신경계 질환, 약물, 해면체 장애, 호르몬 이상, 수술, 외상 등 신체적 요인에 의해 발생한다. 진단은 환자의 병력, 신체 검사, 혈액 검사, 음경 초음파 검사 등을 통해 이루어지며, 치료는 원인에 따라 심리 치료, 약물 치료, 수술적 치료, 생활 습관 개선 등이 시행된다.

더 읽어볼만한 페이지

  • 성기능 장애 - 성교통
    성교통은 성관계 시 발생하는 지속적 또는 반복적인 생식기 통증으로, 다양한 원인에 따라 진단 및 치료 방법이 달라지며, DSM-5에서는 생식 골반 통증/삽입 장애의 하위 개념으로 분류된다.
  • 성기능 장애 - 질경련
    질경련은 질 내부 또는 주변 근육의 불수의적 수축으로 삽입 시 통증이나 어려움을 겪는 상태로, 심리적, 신체적 요인이 복합적으로 작용하며 물리 치료, 딜레이터 훈련, 약물 치료 등으로 치료하고 라몬트 분류법으로 심각도를 파악한다.
발기부전
질병 정보
증상발기를 얻거나 유지하는 능력의 부재
원인낮은 테스토스테론 수치, 특정 처방약, 신경성 질환
위험 요인심혈관 질환, 당뇨병, 흡연, 스트레스, 정신 질환, 노화, 고 포화 지방 식단, 신장 질환
진단심리적인지 생리적인지에 따라 다름; 비자발적인 발기 부재는 생리적인 원인을 시사함
감별 진단성선 기능 저하증, 프로락틴종
예방적절한 운동
치료음경 펌프, 상담 (심리 치료)
약물실데나필, 타다라필, 바르데나필
일반 정보
동의어발기 부전, 임포텐스
분야비뇨기과, 성 의학, 남성과학
질병 분류
DiseasesDB21555
ICD-10,
ICD-9,
eMedicineSubjmed
eMedicineTopic3023
MeshIDD007172

2. 원인

발기부전의 원인은 매우 다양하며, 단일 요인보다는 여러 요인이 복합적으로 작용하는 경우가 많다. 원인은 크게 심인성(정신적 요인), 기질성(신체적 요인), 특정 약물 복용, 그리고 이들이 혼합된 경우 등으로 나누어 볼 수 있다. 생활 습관, 특정 질병, 수술 후유증, 노화 등 다양한 요인들이 발기부전에 영향을 미칠 수 있다.

2. 1. 심인성 발기부전

해부학적으로 발기 기능에 이상은 없지만, 어떠한 심리적 요인 등으로 인해 만족스러운 발기를 할 수 없는 상태를 심인성 발기부전이라고 한다.[95] 주요 심리적 원인으로는 수행 불안(performance anxiety), 스트레스, 정신 질환 등이 있다.[164]

심인성 발기부전은 기질성 발기부전이 주로 50대 이상에서 많이 나타나는 것과 달리, 젊은 층에서도 많이 나타나는 경향이 있다.[99] 특히 결혼 직후부터 부부 간의 성교가 이루어지지 않는 상태가 되는 신혼성 발기부전은 심인성 발기부전의 한 형태로 볼 수 있다.[121] 이는 결혼에 따른 각종 스트레스나 환경 변화, 부부 쌍방의 성적인 무지나 미숙 등이 원인으로 작용할 수 있다.[122]

신혼성 발기부전은 상황이 심각하여 높은 비율로 이혼이나 별거로 이어지기도 한다. 한 조사에서는 샘플 수가 적지만 27.6%가 이혼, 이혼 소송, 또는 별거 상태에 있었다.[122] 관련 통계는 다음과 같다.

신혼성 발기부전 관련 통계[122]
항목내용
이혼/별거율 (샘플)27.6%
결혼 형태 (비율)맞선 결혼 > 연애 결혼 (복수 조사에서 일관되게 나타남)
초혼 연령비교적 높음
동정 비율62.5% (한 조사 결과)
가족 관계 (비율)외아들/장남/막내 (한 조사에서 88.7%)



초기의 성교 실패 경험 후, 그 원인을 음경 크기나 포경 등으로 오해하거나, 배우자나 부모 등 주변의 부적절한 대응으로 인해 증상이 악화될 수 있다. 심한 경우 자신이 성적으로 불능하다는 자기 암시에 빠져 치료를 더욱 어렵게 만들기도 한다.[122]

한편, 음란물 이용이 발기부전을 일으킬 수 있다는 우려도 제기되지만,[178] 2015년의 문헌 고찰에 따르면 이를 뒷받침하는 역학적 연구 기반의 근거는 거의 없다.[179][180][181] 벨기에의 성 연구자인 군터 드윈(Gunter de Win) 교수는 음란물 시청 시간 자체보다는, 짧은 시간 시청하더라도 스스로 중독되었다고 생각하는 경우 성 기능장애를 보고할 가능성이 더 높을 수 있다고 지적했다.[182][183]

발기부전은 남성 본인뿐만 아니라 파트너의 정서적 안녕에도 영향을 미치는 경우가 많다.[2] 그러나 많은 남성들이 수치심 때문에 치료를 받으려 하지 않으며, 진단된 발기부전 사례의 약 75%는 치료를 받지 않는 것으로 알려져 있다.[5]

2. 2. 기질성 발기부전

기질성 발기부전은 발기에 관여하는 신경, 조직, 혈관계(혈관성 발기 부전, 구체적으로는 해면체에 관련된 동맥·정맥의 협착, 폐색, 또는 그로 인한 근육의 이완 이상), 또는 음경 자체의 이상(음경성) 등 해부학적인 문제, 혹은 내분비 장애로 인해 만족스러운 발기를 얻지 못하는 상태이다.[95][107] 음경 골절이나 척수 손상 등 각종 외상, 수술 및 그 후유증으로 인해 발생하기도 한다.[108] 발병률은 연령에 비례하여 상승하는 경향이 있다.[99]

주요 원인은 다음과 같다.

  • 혈관계 문제: 동맥 경화, 고혈압, 심장 질환[113], 말초 혈관 장애, 당뇨병 등으로 인해 음경으로의 혈류 공급이 원활하지 않은 경우이다. 특히 포화지방이 많이 포함된 식단은 심장병으로 이어질 수 있으며, 심장병이 있는 남성은 발기부전이 있을 가능성이 높다.[153][154] 반대로 채식 위주의 식단은 발기부전 위험이 더 낮다.[155][156][157] 흡연죽상경화증을 촉진하여 발기부전의 주요 위험 인자로 작용한다.[169][170][171] 일부 연구에서는 담배가 발기된 음경을 수축시키고 발기부전을 일으키는 경향이 있어 성욕 감퇴 물질로 설명하기도 한다.[172] 또한, 예비 연구에 따르면 COVID-19 바이러스 감염은 성적 건강에 영향을 미칠 수 있다.[173][174]
  • 신경계 문제: 당뇨병성 신경병증, 측두엽간질, 다발성 경화증, 파킨슨병, 다계통위축증과 같은 신경학적 질병이 원인이 될 수 있다.[151][152][162] 척수 손상 역시 발기 부전을 포함한 성 기능 장애를 유발한다.[39]
  • 호르몬 문제: 남성 갱년기 장애로 인한 테스토스테론 수치 감소나 고프로락틴혈증(프로락틴샘종으로 인한 경우 등)이 원인이 될 수 있다.[151] 노화 자체도 40세 이후 발기부전의 위험 요인이지만, 테스토스테론 결핍증, 심혈관 질환, 당뇨병 등 노화와 함께 발생하는 다른 병리가 상호 작용하여 위험을 높이는 것으로 보인다.[166][167][20][21]
  • 해부학적 문제: 페이로니병과 같은 해면체 자체의 질환[151][163][17]이나 음경 골절과 같은 외상[108] 등이 원인이다.
  • 약물 부작용: 특정 처방약 복용이 발기부전을 유발할 수 있다. 예를 들어 선택적 세로토닌 재흡수 억제제(SSRI),[158][11] 베타 차단제, 항히스타민제,[159][160][161][12][13][14] 알파-2 아드레날린 수용체 작용제, 티아지드, 호르몬 조절제, 5α-환원효소 억제제 등이 포함된다.[151][152][15][4] 드물게 SSRI, 이소트레티노인, 피나스테라이드와 같은 약물은 복용 중단 후에도 발기부전을 포함한 성기능 장애가 지속되는 장기간의 의인성 질환을 유발하는 것으로 보고되기도 한다.[38]
  • 수술 후유증: 다양한 질병 치료를 위한 수술 과정에서 발기에 필요한 신경이나 혈관이 손상되거나 해부학적 구조가 제거될 수 있다.[19][165] 특히 전립선암 치료를 위한 근치적 전립선절개술이나 외부방사선치료는 발기부전의 흔한 합병증이다.[19] 직장암 수술의 경우, 자율 신경 보존 여부에 따라 발기부전 발생률이 달라지며, 신경 보존이 어려웠던 확대 수술의 경우 발기부전 발생률이 크게 높아진다.[117] 반면, 서혜부 탈장 수술은 대부분의 경우 성기능에 영향을 미치지 않으며, 수술 전 성기능 장애가 있던 환자의 경우 오히려 기능 회복에 도움이 될 수도 있다.[175][29]
  • 기타 질환: 신장병, 특히 만성 신장 질환은 발기부전과 혈관 및 호르몬 기능 장애라는 공통된 병리적 기전을 공유하며, 발기부전의 위험 요인이 되는 고혈압이나 당뇨병과 같은 동반 질환을 공유하는 경우가 많다.[168][22] 비타민 D 결핍 또한 발기부전과 관련이 있을 수 있다.[110][111][112]
  • 생활 습관: 흡연 외에도 과도한 알코올 섭취는 장기적으로 발기 기능에 악영향을 줄 수 있다.[115] 또한, 장시간 자전거를 타는 경우 회음부의 혈관이나 신경이 압박되어 발기부전 위험을 높일 수 있으며[116][176][30], 위험도 증가는 약 1.7배 정도로 추정된다.[177][31] 전반적으로 생활 습관병(성인병) 예방은 기질성 발기부전 예방에도 효과적이라고 할 수 있다.

2. 3. 혼합성 발기부전

발기부전은 단일 원인보다는 여러 요인이 복합적으로 작용하여 발생하는 경우가 많다. 주요 원인 및 기여 요인은 다음과 같다.

  • 생활 습관 및 식단:
  • 포화지방 함량이 높은 식단은 심장병 위험을 높이며, 이는 발기부전 가능성을 증가시킨다.[153][154] 반면, 채식 위주의 식단은 발기부전 위험을 낮추는 경향이 있다.[155][156][157]
  • 흡연죽상경화증을 촉진하여 발기부전의 주요 위험 인자로 작용한다.[169][170][171] 흡연은 발기된 음경을 수축시키고 발기부전을 유발할 수 있다.[172]
  • 자전거 타기는 신경 및 혈관 압박으로 인해 발기부전과 관련될 수 있으며, 위험도를 약 1.7배 증가시킬 수 있다.[176][177]

  • 의학적 요인:
  • 처방약: 선택적 세로토닌 재흡수 억제제(SSRI),[158] 베타 차단제, 항히스타민제,[159][160][161] 알파-2 아드레날린 수용체 작용제, 티아지드, 호르몬 조절제, 5α-환원효소 억제제[151][152] 등의 약물 부작용.
  • 수술: 특히 근치적 전립선절제술과 같은 수술은 신경 손상이나 혈류 저하를 유발할 수 있다.[165] 전립선암 치료를 위한 외부방사선치료(EBRT)나 전립선 파괴술 등도 흔한 원인이다. 다만, 전립선 자체가 발기에 필수적인 것은 아니다.[165] 서혜부 탈장 수술의 경우, 합병증이 없다면 기존 성 기능 장애를 개선할 수도 있으며, 수술 전 정상 기능 환자에게는 대부분 영향을 미치지 않는다.[175]

  • 기타:
  • 음란물 이용과 발기부전의 연관성에 대한 우려가 있으나,[178] 2015년 문헌 고찰에 따르면 역학적 근거는 부족하다.[179][180][181] 심리적 요인이 더 크게 작용할 수 있다는 의견도 있다.[182][183]


발기 곤란, 발기 강직도 부족 외에도 성교 중 발기를 유지하지 못하는 것(이른바 "중꺾마")도 발기부전 진단 기준에 포함된다.[97]

2. 4. 약제성 발기부전

일부 처방약은 부작용으로 발기부전을 유발할 수 있다.[15][4][109] 발기부전을 유발할 수 있는 대표적인 약물은 다음과 같다.

드물게 선택적 세로토닌 재흡수 억제제, 이소트레티노인, 피나스테라이드와 같은 약물은 복용 중단 후에도 발기부전을 포함한 성기능 장애 증상이 지속되는 장기적인 의인성 질환을 유발할 수 있다고 보고된다.[38] 이러한 상태는 각각 SSRI 중단 후 성기능 장애(PSSD), 사후 레티노이드 성기능 장애(PRSD), 피나스테라이드 증후군(PFS)으로 알려져 있다. 이 질환들은 아직 명확히 밝혀지지 않았고 효과적인 치료법도 부족하지만, 공통된 발병 원인을 가질 가능성이 제기되었다.[38]

2. 5. 기타 요인

발기부전에는 다양한 요인이 복합적으로 작용할 수 있다. 주요 질병이나 약물 외에도 다음과 같은 요인들이 영향을 미칠 수 있다.

  • 생활 습관:
  • 식단: 포화지방이 많은 식단은 심장병 위험을 높이고, 이는 발기부전 가능성을 높인다.[153][154] 반면, 채식 위주의 식단은 발기부전 위험을 낮추는 경향이 있다.[155][156][157]
  • 흡연: 흡연죽상경화증을 촉진하여 발기부전의 주요 위험 요인으로 꼽힌다.[169][170][171] 담배는 발기된 음경을 수축시키고 발기부전을 유발할 수 있어, 일부 연구에서는 성욕 억제 물질로 설명하기도 한다.[172]
  • 음주: 과도한 알코올 섭취는 장기적으로 발기에 악영향을 미칠 수 있다.[115]
  • 생활 습관병: 고혈압, 동맥 경화, 고지혈증, 내당능 이상 등 생활 습관병은 발기에 필요한 일산화 질소 생성을 방해하고 음경의 평활근을 손상시켜 발기부전을 유발할 수 있다. 따라서 생활 습관병 예방은 발기부전 예방에도 중요하다.[126]

  • 수술 및 치료:
  • 다양한 질병 치료를 위한 수술 과정에서 발기에 필요한 해부학적 구조가 제거되거나 신경이 손상되거나 혈액 공급이 저해될 수 있다.[165]
  • 전립선암 치료를 위한 전립선절제술이나 외부방사선치료 후에 발기부전이 흔한 합병증으로 나타날 수 있다. 다만, 전립선 자체가 발기에 필수적인 것은 아니다.[165]
  • 서혜부 탈장 수술의 경우, 합병증이 없다면 수술 전 성기능 장애가 있던 환자의 기능 회복에 도움이 될 수 있으며, 수술 전 정상적인 성생활을 하던 환자에게는 대부분 영향을 주지 않는다.[175]
  • 직장암 수술 시 자율 신경 보존 여부에 따라 발기부전 및 사정 장애 발생률이 달라진다. 신경 보존이 어려웠던 경우 발기부전 발생률이 크게 높아진다.[117]

  • 물리적 요인:
  • 자전거를 장시간 타는 경우 회음부 압박으로 인해 신경 및 혈관 문제가 발생하여 발기부전 위험이 약 1.7배 증가할 수 있다.[176][177]

  • 심리적 요인:
  • 수행 불안, 스트레스, 정신 질환 등이 심리적 원인으로 작용할 수 있다.[164]
  • 신혼성 발기 부전: 결혼 직후 심리적 요인(결혼 스트레스, 환경 변화, 성적 무지 등)으로 인해 발생하는 경우이다. 맞선 결혼, 높은 초혼 연령, 동정이었던 경우에서 더 많이 나타나는 경향이 있다. 부적절한 대처는 증상을 악화시킬 수 있다.[121][122]
  • 기타 심인성 원인으로는 성에 대한 잘못된 인식, 실업 등으로 인한 스트레스, 성행위에 대한 자신감 상실 등이 거론된다.[118] 최근에는 테크노 스트레스와 관련된 발기부전도 주목받고 있다.[119][120]

  • 음란물 이용 논란:
  • 음란물 이용이 발기부전을 유발한다는 주장이 있으나,[178] 역학 연구에 기반한 근거는 부족하다는 연구 결과가 있다.[179][180][181] 벨기에의 성 연구자 군터 드 윈(Gunter de Win)은 음란물 시청 시간 자체보다는 시청자가 스스로 중독되었다고 인식하는지 여부가 성 기능 장애 보고와 더 관련이 있을 수 있다고 지적했다.[182][183]

  • 기타 요인:
  • 약물 부작용: 드물게 선택적 세로토닌 재흡수 억제제(SSRI), 이소트레티노인, 피나스테라이드와 같은 약물이 사용 중단 후에도 발기부전을 포함한 성기능 장애를 장기간 유발하는 의인성 질환을 일으킬 수 있다는 보고가 있다. 이를 각각 PSSD(post-SSRI sexual dysfunction), PRSD/PAS(post-retinoid sexual dysfunction/post-Accutane syndrome), PFS(post-finasteride syndrome)라고 부르며, 아직 명확한 원인이나 효과적인 치료법은 밝혀지지 않았다.[38]
  • 비타민 D 결핍: 비타민 D 결핍도 발기부전과 관련이 있을 수 있다.[110][111][112]
  • COVID-19: 예비 연구에 따르면 COVID-19 바이러스 감염이 성적, 생식 건강에 영향을 미칠 수 있다는 가능성이 제기되었다.[173][174]


발기부전 진단 시에는 발기 곤란, 발기 시 강직도 부족 외에도 성교 중 발기를 유지하지 못하는 증상, 이른바 "중꺾마"도 포함된다.[97] 과거에는 '임포텐츠'(Impotenzde) 또는 '임포턴스'(impotence영어)라는 용어가 사용되었으나, 이는 현재의 성기능 장애에 더 가까운 넓은 의미였고, 다소 부정적인 어감을 내포하여 현재는 '발기 부전' 또는 영어 약자인 'ED'(Erectile Dysfunction|ED영어)라는 용어를 주로 사용한다.[98]

발기부전 유병률은 나이가 들수록 증가하는 경향이 있으며, 40대 이후로 크게 늘어난다. 일본의 한 조사에 따르면 40대 초반 16%에서 60대 후반 70%까지 증가하는 것으로 나타났다.[100][101] 하지만 20~30대 젊은 층에서도 약 4.7%가 발기부전을 호소하는 등 젊은 연령에서도 나타날 수 있다.[102] 노화 자체가 위험 요인이지만, 테스토스테론 감소, 심혈관 질환, 당뇨병 등 노화와 함께 발생하는 다른 질환들이 복합적으로 작용하는 것으로 보인다.[166][167] 한편, 노년층 남성의 상당수가 여전히 성욕을 가지고 있으며, 성행위를 원한다는 조사 결과도 있다.[106]

3. 증상 및 진단

발기부전은 만족스러운 성관계를 위해 충분한 강직도와 지속 시간을 가진 음경 발기를 지속적으로 또는 반복적으로 얻거나 유지하지 못하는 상태를 말한다.[2] 일반적으로 "최소 3개월 동안 만족스러운 성 활동을 할 수 있을 만큼 음경이 충분히 발기되지 않거나 발기가 유지되지 않는 지속적인 또는 반복적인 상태"로 정의된다.[152] 주요 증상으로는 발기의 어려움, 충분한 강직도에 도달하지 못하는 것, 성교 중 발기 상태를 유지하지 못하는 것("중꺾마") 등이 있다.[97]

진단은 대부분 환자가 호소하는 증상에 대한 병력 청취를 통해 이루어진다. 경우에 따라서는 저생식샘자극호르몬성 생식샘저하증이나 프로락틴종과 같은 기저 질환의 가능성을 확인하기 위해 신체 검사나 혈액 검사 등이 추가로 시행될 수 있다.[4] 진단 과정에서는 발기부전의 원인이 생리적인 문제인지 심리적인 문제인지를 구별하는 것이 중요하다.[4]

발기부전은 연령이 증가함에 따라 유병률이 높아지는 경향이 있다.[99][100][101] 하지만 젊은 층에서도 심리적 요인 등으로 인해 발생할 수 있다.[102] 당뇨병[4], 심혈관 질환(관상동맥질환, 말초혈관질환 등), 비만, 흡연, 고혈압, 알코올 의존증 등은 발기부전의 주요 위험 요인으로 알려져 있다.[4] 드물게는 발견되지 않은 서혜부 탈장이 영향을 미치기도 한다.[29]

3. 1. 진단

대부분의 경우, 환자의 증상 병력을 바탕으로 진단한다. 경우에 따라 저생식샘자극호르몬성 생식샘저하증이나 프로락틴종과 같은 더 심각한 원인을 배제하기 위해 신체 검사와 혈액 검사를 시행한다.[4]

진단의 초기 단계 중 하나는 생리적 원인과 심리적 원인을 구별하는 것이다. 무의식적인 발기(예: 수면 중 발기)가 있는지 확인하는 것은 심인성 원인의 가능성을 배제하는 데 중요하다.[4] 때때로 완전한 발기가 가능하다면(정신적, 심리적 문제가 덜 개입될 때), 이는 신체 구조가 기능적으로 작동하고 있음을 시사한다.[40][41] 마찬가지로 수동 자극을 통한 발기, 성적 수행 불안 또는 특정 상황에서의 발기부전은 심인성 요인을 나타낼 수 있다.[4]

발기부전의 주요 위험 요인으로는 당뇨병(신경병증의 원인)[4], 전반적인 건강 상태 악화, 잘못된 식습관, 비만, 심혈관 질환(관상동맥질환, 말초혈관질환 등)이 있다.[4] 흡연, 이상지질혈증, 고혈압, 알코올 의존증과 같은 심혈관 위험 요인에 대한 검사도 도움이 된다.[4] 드물게는 이전에 발견되지 않은 서혜부 탈장이 성 기능에 영향을 미칠 수 있으며, 이는 비교적 쉽게 치료 가능하다.[29]

정신질환 진단 및 통계 편람(DSM-IV)에도 발기부전이 등재되어 있다.

=== 특수 검사 ===

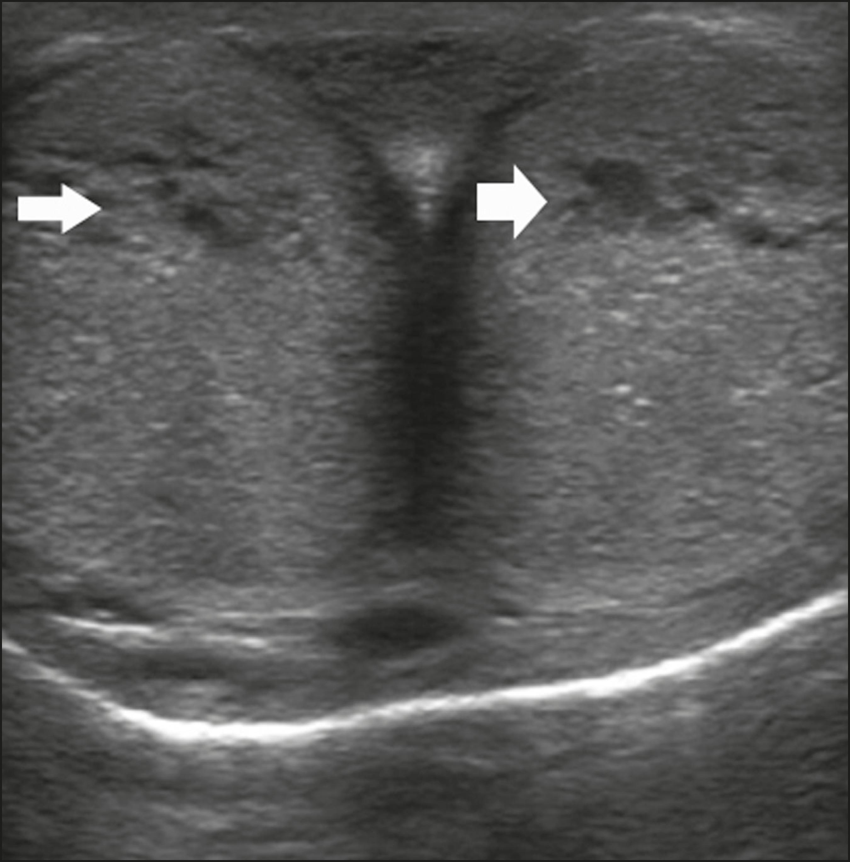
==== 음경 초음파 검사 ====



도플러 초음파를 이용한 음경 초음파 검사는 발기된 음경의 혈류를 평가하는 데 사용된다. 기질성 발기부전의 대부분은 해면체 내 혈류 변화와 관련 있으며, 이는 주로 죽상동맥경화증으로 인한 동맥 폐쇄(음경으로의 혈류 감소) 또는 정맥 폐쇄 기전의 실패(음경에서 혈액이 과도하게 유출)로 나타난다. 도플러 검사 전 B-모드 초음파를 통해 종양, 섬유성 반, 석회화, 혈종 등을 확인하고 해면체 동맥의 상태를 평가한다.[42]

발기는 보통 프로스타글란딘 E1 10–20 μg을 주사하여 유도하며, 5분 간격으로 25–30분 동안 동맥 혈류를 평가한다. 프로스타글란딘 E1 사용은 지속발기증 위험이 있는 경우(예: 겸형 적혈구 빈혈증 환자), 음경의 해부학적 기형, 음경 임플란트가 있는 경우 금기이다. 펜톨라민(2 mg)이 추가되기도 하며, 시각적 및 촉각적 자극이 더 나은 결과를 유도한다. 일부에서는 경구용 실데나필을 대체 약물로 권장하기도 하지만 효과는 논란이 있다.[42]

주사 전 혈류는 단상성이며 수축기 속도가 낮고 확장기 혈류가 없으나, 주사 후에는 수축기 및 확장기 최고 속도가 증가한다. 이후 정맥 폐쇄가 일어나며 혈류 속도는 점차 감소하고, 음경이 경직되면 확장기 혈류는 음수가 된다. 수축기 최고 속도(PSV)의 정상 기준은 연구마다 다르나(> 25 cm/s ~ > 35 cm/s), 일반적으로 35 cm/s 이상이면 동맥 기능이 정상, 25 cm/s 미만이면 동맥 부전, 그 사이 값은 불확실한 것으로 간주된다. PSV가 정상이면 최종 확장기 속도(EDV)를 평가하며, 5 cm/s 이상이면 정맥성 발기부전을 시사한다.[42] 측정된 데이터는 관찰된 발기 정도와 연관지어 해석해야 한다.

==== 신경 기능 검사 ====

  • '''구해면체근 반사 검사''': 음경의 신경 감각을 확인한다. 의사가 음경 귀두를 압박했을 때 항문 괄약근이 즉시 수축하는지 확인하며, 압박과 수축 사이의 지연 시간을 측정한다.[43]
  • '''음경 생체진동각 검사 (Penile biothesiometry)''': 전자기 진동을 사용하여 음경 귀두와 몸통의 민감도와 신경 기능을 평가한다.[44]


==== 야간 음경 발기 검사 (NPT) ====

수면 중, 특히 급속 안구 운동(REM) 수면 중에 5~6회 발기하는 것은 정상이다. 야간 발기가 없다면 신경 기능이나 혈액 공급 문제를 시사할 수 있다. 야간 발기 시 음경의 경직도와 둘레 변화를 측정하는 방법으로는 스냅 게이지(snap gauge)와 변형률 측정기(strain gauge)가 있다.[43] 스냅 게이지 검사는 잠들기 전 음경에 특정 강도(예: 약 283.50g, 약 425.24g, 약 566.99g)에서 끊어지는 플라스틱 필름 띠를 감아 발기 강도를 간접적으로 확인하는 방식이다.[125] 그러나 성 기능에 문제가 없는 남성 중 일부도 규칙적인 야간 발기를 경험하지 않을 수 있다. 일본에서는 리지스캔(RigiScan), 엘렉시오미터(Erectiometer), 우표 검사 등 다양한 방법이 사용되기도 하나[125], 우표 검사 등은 매우 간이적인 방법으로 정확한 진단에는 한계가 있다.

==== 기타 혈관 및 구조 검사 ====

  • '''역동적 주입 해면체조영술 및 해면체측정술 (DICC)''': 특정 속도와 압력으로 음경 해면체에 액체(주로 생리식염수)를 주입하여 발기 유지에 필요한 유속을 측정함으로써 정맥 누출 정도를 평가한다. 조영제를 함께 주입하고 X선 촬영(해면체 조영술)을 하면 누출되는 정맥을 시각화할 수 있다.[45] 디지털 감산 혈관조영술(DSA) 기법도 사용될 수 있다.
  • '''자기 공명 혈관 조영술 (MRA)''': 자기 공명 영상(MRI) 기술을 이용하여 혈관을 상세하게 촬영한다. 조영제를 주사하여 혈관 조직을 더 명확하게 구분하고 혈액 공급 상태 및 혈관 이상을 평가할 수 있다.


=== 평가 도구 ===

문진 시 국제 발기 기능 점수(IIEF)의 축약형인 IIEF-5가 자주 사용된다.[123][124] 발기 강직도 점수(Erection Hardness Score, EHS)도 진단에 활용된다. 발기 곤란, 강직도 부족 외에도 성교 완료까지 충분한 발기를 유지하지 못하는 증상도 발기부전에 해당한다.[97]

=== 용어 ===

과거에는 Impotenz|임포텐츠de 또는 impotence|임포턴스영어라는 용어가 흔히 사용되었으나, 이는 현재의 성 기능 장애에 해당하는 더 넓은 개념(성욕, 발기, 성교, 사정, 오르가슴 문제 포함)이었다. 또한 '임포'라는 용어는 경멸적인 의미를 내포하고 있어, 현재는 의학적으로 더 정확한 표현인 '''발기부전''' 또는 영어 Erectile Dysfunction의 약자인 '''ED'''가 주로 사용된다.[98]

4. 치료

발기부전의 치료는 근본적인 원인에 따라 다르다. 일반적으로 운동, 특히 유산소 운동은 중년기에 발기부전을 예방하는 데 효과적인 방법 중 하나로 알려져 있다.[48] 심리적인 요인이 주된 원인일 경우에는 성관계와 관련된 스트레스나 불안을 줄이는 방법을 포함한 상담이 도움이 될 수 있다.[53]

치료는 단계적으로 접근하는 경우가 많다. 실데나필(비아그라)과 같은 경구 투여 약물이나 진공 발기 장치가 1차 치료법으로 고려되며,[48] 이러한 방법으로 효과를 보지 못할 경우 음경 내 약물 주사나 음경 보형물 삽입술과 같은 방법을 고려할 수 있다.[48] 특정 환자 그룹에게는 혈관의 문제를 해결하기 위한 혈관 재건 수술이 도움이 되기도 한다.[49] 수술 외의 치료법들은 근본적인 생리적 문제를 해결하기보다는 성관계가 필요할 때 일시적으로 발기를 돕는 방식으로 사용된다.[50]

최근에는 집중형 체외 충격파 치료법도 시도되고 있다. 이는 짧고 고주파의 음파를 피부를 통해 음경 내부로 전달하여 혈관 내 플라크를 분해하고 새로운 혈관 생성을 촉진하며 조직 복구를 돕는 방식이다.[55][56] 특히 혈관성 발기부전 환자에게 효과가 있는 것으로 보이며, 통증이나 특별한 부작용은 없는 것으로 알려져 있다.[57][58][59]

테스토스테론 수치가 낮은 남성의 경우, 테스토스테론을 보충하는 치료가 발기 유지에 도움을 줄 수 있다.[60]

과거에는 발기부전을 '임포텐츠'(Impotenz|임포텐츠de 또는 impotence|임포턴스영어)라고 불렀으나, 이는 성욕, 발기, 성교, 사정, 극치감 중 하나 이상이 부족한 상태를 포괄하는 성 기능 장애에 가까운 개념이었고, 다소 부정적인 의미를 내포하고 있어 현재는 잘 사용되지 않는다. 대신 '발기 부전' 또는 영어 약자인 'ED'라는 용어가 주로 사용된다.[98] 1998년 비아그라와 같은 효과적인 경구 치료제가 등장하면서 환자들이 보다 적극적으로 치료에 임할 수 있는 환경이 마련되었다.[103]

한편, 식품의약국(FDA)은 과학적으로 검증되지 않은 대체 요법 사용을 권장하지 않는다.[66] "허벌 비아그라" 등 천연 성분을 표방하는 제품 중에는 실제 효과가 입증되지 않았거나, 오히려 처방 약 성분과 유사한 화학 물질이 불순물로 포함된 경우가 있어 주의가 필요하다.[67][68][69][70][71][72] 2021년의 한 연구에서는 인삼이 발기 기능이나 성관계 만족도에 미치는 영향이 미미하다고 보고하기도 했다.[73] 단전호흡이 발기부전에 도움이 될 수 있다는 추정도 있으나[46], 의학적으로 명확히 입증된 치료법은 아니다.

4. 1. 생활 습관 개선

생활 습관병 (성인병)의 예방은 발기부전(ED) 예방 및 개선에 효과적이라고 할 수 있다. 고혈압, 동맥 경화, 당뇨병, 심장 질환[113], 말초 혈관 장애, 비만(특히 내장 지방 축적), 고지혈증 등은 발기부전의 주요 원인이 될 수 있다. 이러한 상태에서는 발기에 중요한 역할을 하는 일산화 질소 생성이 어려워지고, 음경의 평활근 기능도 저하될 수 있다.[126] 따라서 건강한 신체를 유지하는 것이 발기 기능을 오랫동안 유지하는 데 중요하다.[126]

흡연[114]과 과도한 알코올 섭취[115] 역시 발기 기능에 악영향을 미칠 수 있으므로 금연과 절주가 권장된다. 또한, 장시간 자전거를 타는 등 회음부의 혈관이나 신경을 지속적으로 압박하는 행위도 위험 요인으로 간주된다.[116] 정신적인 스트레스나 테크노 증후군[119][120]과 같은 현대 사회의 문제들도 발기부전의 원인이 될 수 있다.

생활 습관 개선을 위한 구체적인 방법은 다음과 같다.

  • 운동: 규칙적인 운동, 특히 유산소 운동은 중년기 발기부전 예방에 효과적이다.[48] 가벼운 조깅과 같은 운동은 남성 호르몬인 테스토스테론 수치를 높이는 데 도움이 될 수 있다.[126]
  • 식이요법: 건강한 식단은 발기 기능 유지에 중요하다.
  • 권장 식품: 테스토스테론 수치를 높이거나 항산화 작용을 돕는 식품 섭취가 권장된다. 지중해 요리가 도움이 될 수 있으며, 구체적인 식품 예시는 다음과 같다.[126]


  • 피해야 할 식품: 산화 작용이 강한 패스트푸드 등의 섭취는 피하는 것이 좋다.[126]
  • 보충제: 아연, 코엔자임 Q10, 비타민 B군, 강황(커큐민), 레스베라트롤 등이 남성 건강에 도움이 될 수 있다.[126] 비타민 D 결핍 또한 발기부전의 원인으로 고려되므로[110][111][112], 적절한 보충이 필요할 수 있다.


결론적으로, 건강한 생활 습관을 유지하는 것은 발기부전을 예방하고 관리하는 데 있어 매우 중요하다. 금연, 절주, 규칙적인 운동, 건강한 식단 유지, 스트레스 관리 등을 통해 발기 기능을 포함한 전반적인 건강을 증진시킬 수 있다.

4. 2. 심리 치료



발기부전은 종종 남성과 파트너 모두의 정서적 안정에 영향을 미친다.[2] 많은 남성들이 수치심 때문에 치료를 받으려 하지 않으며, 진단된 발기부전 사례의 약 75%는 치료를 받지 않는 것으로 알려져 있다.[5]

심리적 요인이 발기부전의 원인일 경우, 상담을 통한 심리 치료가 효과적이다.[53] 이는 성관계와 관련된 스트레스불안을 해소하고, 잘못된 성 지식을 바로잡는 것을 목표로 한다.[53][95][145] 해부학적으로 발기 기능에 이상이 없으나 심리적 문제로 발기가 어려운 상태를 심인성 발기부전이라고 한다.[95]

특히 결혼 후에 기질적 또는 기능적 이상이 없음에도 불구하고 충분한 성교를 할 수 없는 상태를 신혼성 발기부전 또는 신혼 임포텐스라고 부르기도 한다.[121] 이는 결혼 직후부터 발기부전 상태가 되어 부부 간 성교가 이루어지지 않는 심각한 상황으로 이어질 수 있으며, 한 연구에서는 대상자의 27.6%가 이혼, 이혼 소송, 또는 별거 상태에 이르렀다고 보고했다. 해당 연구에서 환자 대부분은 맞선 결혼(25건)이었고, 연애 결혼은 4건이었으며, 초혼 연령이 높고 동정이었던 비율(62.5%)도 높게 나타났다. 다른 연구에서도 성기능 장애 환자 중 맞선 결혼(65건)이 연애 결혼(16건)보다 많았으며, 성기능 장애 104건 중 83건이 발기부전이었다.[121]1987년의 한 조사에서는 성기능 장애 300건 중 외아들(117건), 장남(78건), 막내(70건)의 비율이 높게 나타나기도 했다.[121] 결혼 후 한 번도 에 음경을 삽입하는 성교가 이루어지지 않은 경우는 미완성 결혼이라고 한다.

신혼성 발기부전의 원인은 대부분 심인성으로 추정되며, 결혼에 따른 각종 스트레스나 환경 변화, 부부의 성적인 무지나 미숙 등이 원인으로 꼽힌다. 초기 성교 실패 후 원인을 잘못 이해하거나(예: 음경 크기, 포경, 요통, 과거 외상 등), 배우자나 가족의 부적절한 대응이 더해지면 증상이 악화되어 스스로 성적 불능자라는 자기 암시에 빠질 위험도 있다.[122]

4. 3. 약물 치료



발기부전 치료에는 다양한 약물이 사용된다. 가장 널리 쓰이는 것은 PDE5 억제제 계열의 경구 복용 약물로, 실데나필(상품명: 비아그라), 바데나필(상품명: 레비트라), 타다라필(상품명: 시알리스) 등이 있다.[48] 특히 1999년 일본에서 출시된 비아그라는 발기부전 치료에 대한 인식을 바꾸고 환자들이 적극적으로 치료에 임하게 하는 계기가 되었다.[103] 2018년부터 영국에서는 실데나필을 처방전 없이 구매할 수 있게 되었다.[51]

경구 약물 외에도 다양한 형태의 약물이 있다. 알프로스타딜과 침투 증진제 DDAIP를 결합한 크림은 캐나다에서 1차 치료법으로 승인되었다.[52] 음경에 직접 주사하는 약물로는 파파베린, 펜톨라민, 프로스타글란딘 E1(알프로스타딜) 등이 있다.[48] 알프로스타딜은 요도에 삽입하는 좌약 형태로도 사용 가능하며, 삽입 후 약 10분 이내에 발기가 시작되어 최대 1시간까지 지속될 수 있다.[53] 이러한 발기부전 치료제는 드물게 지속 발기증이라는 부작용을 일으킬 수 있으므로 주의해야 한다.[53]

테스토스테론 수치가 낮은 남성의 경우, 테스토스테론을 보충하는 치료가 발기 유지에 도움이 될 수 있다.[60] 특히 제2형 당뇨병 환자는 테스토스테론 수치가 낮을 가능성이 일반 남성보다 두 배 높고, 발기부전을 경험할 가능성도 세 배 높다.[60] LOH 증후군으로 인해 혈중 테스토스테론 농도가 낮은 경우 남성 호르몬 보충 요법(ART)을 시행하지만, 전립선암 세포 증식 등 부작용 우려가 있어 신중한 투여가 필요하다.[127]

과거에는 항우울제의 일종인 트라조돈이 부작용으로 지속 발기를 유발하는 경우가 있어 발기 개선 약물로 사용되기도 했으나, 그 기전은 명확히 밝혀지지 않았다.[127]

일부 약물의 부작용으로 발기부전이 발생하기도 한다. 순환기계 약물(아드레날린 작용제 등), 일부 항우울제나 정신과 약물(항콜린 작용), 테스토스테론 억제 약물, 특정 호르몬제, 고프로락틴혈증 유발 약물 등이 원인이 될 수 있다.[109]

일본에서는 검사 및 치료 약물 대부분이 비급여 진료였으나, 2022년4월 1일부터 "발기 부전에 의한 남성 불임"으로 진단된 경우, 실데나필과 타다라필 치료에 대해 건강 보험이 적용되기 시작했다.[127]

약값이 비싸다는 이유 등으로 인터넷을 통해 발기부전 치료제를 개인 수입하는 경우가 있으나, 위조 약품의 위험이 매우 크다. 2016년 일본 조사에서는 유통되는 제품의 상당수가 위조품이었으며[129], 유효 성분이 없거나 과다하게 함유된 경우, 심지어 혈당 강하제나 각성제 등 위험한 성분이 포함된 경우도 있었다.[129][130] 이러한 위조 약품 복용은 저혈당증이나 의식 혼탁 등 심각한 건강 문제로 이어질 수 있다.[129][130]

일본 후생노동성 미승인 약물로는 아바나필(상품명: 스텐드라) 등이 있다. 아바나필은 본래 일본 제약 회사인 다나베 미쓰비시 제약이 개발을 시작했으나, 최종적으로는 미국의 비바스 사로 권리가 넘어가면서 일본 자체 개발 ED 치료약 출시는 무산되었다.

4. 4. 수술적 치료

다른 치료법이 효과가 없거나 실패했을 때 고려하는 최후의 수단으로 수술적 치료가 있다. 가장 흔한 시술은 음경 보형물 삽입술로, 인공 막대를 음경에 삽입하는 방식이다.[48] 일부 특정 그룹에게는 혈관 재건 수술이 유익할 수 있다.[49]

혈관성 발기 부전의 경우, 이를 개선하기 위한 수술이 시행된다. 원칙적으로 음경으로 혈액이 충분히 유입되지 않는 동맥성 발기 부전은 혈액 유입량을 늘리는 수술을 하며, 혈액 유입은 충분하지만 발기가 잘 되지 않는 경우(예: 해면체 평활근 이완 부족[131])는 정맥을 묶거나(결찰) 막는(색전술) 방식으로 혈액 유출량을 줄인다. 동맥 경화 등으로 인한 동맥성 발기 부전에는 인공 혈관 치환술이나 우회 수술 등을 시도하기도 한다.[132] 동맥성 발기 부전의 혈행 재건술로는 하복벽 동맥을 음경 배동맥에 연결하는 신카르법, 하복벽 동맥을 심음경 배정맥에 연결하여 정맥을 동맥처럼 기능하게 하는 파로피셔법, 두 방법을 함께 쓰는 하우리법 등이 있으며, 발기 회복률은 80%에서 98%까지 보고된다.[133] 반면, 정맥성 발기 부전 치료를 위해 정맥을 묶은 경우, 수술 후 남은 정맥에서 혈액 누출이 점차 커져 발기 부전이 재발하는 경우가 많다고 알려져 있다.[134]

음경 보형물 삽입술은 임플란트의 일종으로, 음경 해면체 안에 실리콘으로 만든 심봉(음경 프로테제)을 넣는 수술법이다. 이는 1966년 Beheri에 의해 처음 보고되었다. 일본에서는 후생노동성의 승인을 받은 보형물로 인플레이터블(IPP) 타입 1종류와 논인플레이터블(NIPP, 세미 리지드) 타입 2종류가 있다. NIPP 타입은 기구가 음경 안에 고정되어 있는 형태이고, IPP 타입은 필요할 때만 저장된 액체를 실린더로 보내 발기 상태를 만드는 팽창식이다. IPP 타입의 경우 액체 저장고나 펌프는 하복부에 삽입된다. 이 수술의 유효율은 약 95%로 알려져 있으며, NIPP 타입은 경우에 따라 당일 수술도 가능하다. 수술 후 성관계는 보통 4주에서 6주 후부터 가능하지만, 2개월 후부터 가능하다고 보는 자료도 있다. 그러나 모든 수술에는 위험이 따르며, 특히 보형물 삽입은 체내에 이물질을 넣는 것이고 이 과정에서 음경 해면체가 손상되어 다른 치료법으로 전환하기 어려워진다. 따라서 다른 치료법이 효과가 없을 때 고려하는 방법이며, 시술 시에는 신중한 검토가 필요하다. 어떤 이유로든 재수술이 필요한 경우는 약 5.1%에서 8.8% 정도이다.

4. 5. 기타 치료



발기부전 치료는 근본적인 원인에 따라 다르다. 심리적 요인이 원인일 경우, 성관계와 관련된 스트레스나 불안을 낮추기 위한 상담이 도움이 될 수 있다.[53] 약물이나 기구를 이용한 치료법 외에도, 운동, 특히 유산소 운동은 중년기 발기부전 예방에 효과적인 방법으로 알려져 있다.[48]

=== 약물 주사 요법 ===

음경 해면체에 혈관을 확장시키는 약물을 직접 주사하여 기계적으로 발기를 유도하는 치료법이다. 음경이나 혈관계에 해부학적인 문제가 없다면 효과를 기대할 수 있으며, 주사 후 약 30분에서 60분간 발기가 지속될 수 있다. 2008년 기준 일본에서는 자가 주사가 승인되지 않았으나[138][139], 간호사의 지도 하에 시행되기도 한다. 약 80%의 환자에서 개선 효과가 나타나며, 이 방법을 통한 재활 치료는 환자의 자신감 회복과 해면체 혈관 기능 개선을 통해 발기력 회복에도 긍정적인 영향을 줄 수 있다.[140] 주로 사용되는 약물은 다음과 같다.

  • 프로스타글란딘 E1 (PGE1): 해면체 평활근과 나선 동맥 평활근을 이완시켜 발기를 유도한다. 비교적 가격이 비싸며, 약간의 음경 통증을 유발할 수 있다. 혈압 저하, 구토, 어지럼증 등의 부작용이 나타날 수 있어 만성 질환자에게는 신중하게 적용해야 한다.
  • 파파베린: 상대적으로 저렴하지만, 지속 발기증(발기가 가라앉지 않는 상태)이나 해면체 조직이 딱딱해지는 섬유화, 경결 등의 부작용이 나타날 수 있다. 체내 대사가 느려 PGE1보다 지속 발기증 발생 빈도가 높다.


이 두 약물을 혼합하여 사용하거나, 펜톨라민이라는 약물을 추가로 혼합하기도 한다. PGE1 단독 사용 시에도 1.3% ~ 2.0%의 확률로 4시간 이상 발기가 지속되는 지속 발기증이 발생할 수 있으며, 이 경우 즉시 의사의 진료를 받아야 한다. 지속 발기증 치료에는 약물 투여, 음경에서 혈액을 빼내는 천자, 혈류를 다른 곳으로 돌리는 우회 수술 등이 시행된다.[141] (지속 발기증#치료 참조)

=== 기타 약물 요법 ===

고농도의 PGE1을 요도 내에 직접 주입하여 발기를 유도하는 방법도 있으나, 효과를 보는 비율이 43% ~ 71.2%로 상대적으로 낮고 부작용 문제로 인해 현재는 잘 사용되지 않는다. 또한, 니트로글리세린을 음경에 직접 바르는 국소 투여 방식도 개선 효과를 기대할 수 있지만, 두통 등의 부작용이 나타날 수 있다.[142]

=== 체외 음압식 발기 보조 기구 (EVD) ===

음경을 넣는 실린더와 공기를 빼내는 펌프로 구성된 기구를 이용하여 음경을 강제로 발기시킨 후, 음경 뿌리 부분을 고무 링 등으로 조여 발기 상태를 유지하는 방식이다. 펌프를 이용한 음압(빨아들이는 힘)으로 기계적인 발기를 유도하므로 다양한 원인의 발기부전에 적용할 수 있다. 다른 치료법에 비해 부작용이나 위험성이 적고 재활 효과도 기대할 수 있어, 첫 번째 치료 선택지로 고려될 수 있다. 과도한 압력이 가해지는 것을 막기 위해 안전 밸브가 장착되어 있다.

사용에는 약간의 숙련이 필요하며, 의사의 지도를 받아 사용법을 익히는 것이 좋다. 약 74%의 환자에서 효과가 있다는 보고가 있다. 하지만 성관계 시 분위기를 해치거나 음경에 위화감을 느낀다는 등 사용자 입장에서의 불만도 존재한다.[143]

혈류가 막히기 때문에 연속 사용 시간은 30분으로 제한된다. 음경 뿌리를 조이기 때문에 사정이 어렵거나 사정 시 약간의 불쾌감을 느낄 수 있다. 수면제나 알코올과 함께 사용하는 것은 피해야 한다. 또한, 항응고제를 복용 중이거나 피하 출혈의 위험이 있는 환자는 사용할 수 없다.[143]

일본에서는 2010년 기준으로 카이세이약연(偕行薬研)의 "VCD식 칸키(VCD式カンキ일본어)"와 미국 베트코(Vetco)사의 제품 등이 허가되어 판매되고 있으나, 건강 보험 적용은 되지 않으며 의사의 처방전 없이 구입할 수 있다.[144]

4. 6. 건강 보조 식품 및 대체 의학



식품의약국(FDA)은 성 기능 장애 치료를 위한 대체 요법 사용을 권장하지 않는다.[66] 시중에는 "허벌 비아그라" 또는 "천연" 성 기능 개선 제품으로 광고되는 많은 제품이 있지만, 이들이 발기 부전 치료에 효과가 있다는 임상 시험이나 과학적 근거는 부족하며, 오히려 실데나필(비아그라의 주성분)과 유사한 합성 화학 물질이 이러한 제품에서 불순물로 발견되기도 했다.[67][68][69][70][71] FDA는 처방 제품만큼 효과가 있다고 주장하는 모든 성 기능 개선 제품은 이러한 오염 물질을 포함할 가능성이 있다고 소비자에게 경고하고 있다.[72]

특정 성분에 대한 연구도 진행되었는데, 2021년 발표된 한 리뷰 연구에서는 인삼이 "위약(플라시보)에 비해 발기 기능이나 성관계 만족도에 미미한 영향만 미쳤다"고 결론지었다.[73]

일본에서는 오사카부립 공중위생연구소가 2012년에 강장 효과를 표방하는 건강 보조 식품 9개 제품의 성분을 분석한 결과, 6개 제품에서 의약품 성분 또는 그와 유사한 성분이 검출되었다고 보고했다.[146] 일부 제품에는 불법적으로 의약품 성분이 첨가되었거나[146], 의약품 승인 기준을 초과하는 양의 성분이 검출되기도 했다.[146] 이러한 불법·불량 건강 보조 식품으로 인해 사망 사례를 포함한 건강 피해가 보고된 바 있다.[147]

한편, 단전호흡이 의지와 관계없이 발기를 유발하는 경우가 있어 발기부전에 도움이 될 수 있다는 추정도 있다.[46] 또한 평소 테스토스테론 수치를 높이는 데 도움이 되는 음식을 섭취하는 것도 제안된다. 예를 들어 당근, 마, 양파, 마늘 등이 언급되며, 지중해 요리도 도움이 될 수 있다고 여겨진다. 항산화 작용이 있는 보충제나 음식(당근, 호박, 토마토, 브로콜리, 콩, 마늘, 생강, 과일, 견과류, 녹차 등) 섭취도 중요하며, 산화 작용이 강한 패스트푸드 등은 피하는 것이 좋다. 남성 건강에 도움이 되는 보충제 성분으로는 아연, 코엔자임 Q10, 비타민 B군, 강황(커큐민), 레스베라트롤 등이 언급되기도 한다.[126] 가벼운 조깅과 같은 운동 요법도 테스토스테론 증가에 도움이 될 수 있다.[126] 그러나 이러한 식이요법, 운동, 보충제 등은 의학적으로 검증된 발기부전 치료법을 대체할 수는 없으며 보조적인 수단으로 고려될 수 있다.

5. 예방

발기부전은 다양한 원인에 의해 발생할 수 있으며, 건강한 생활 습관을 유지함으로써 상당 부분 예방할 수 있다. 특히 생활 습관병(성인병)의 예방 및 관리가 발기부전 예방에 효과적인 것으로 알려져 있다[126].
생활 습관 관리


  • 고혈압, 동맥 경화, 당뇨병, 고지혈증과 같은 생활 습관병은 발기부전의 주요 위험 요인이다. 이러한 질환은 발기에 필요한 일산화 질소 생성을 방해하고 음경의 평활근을 손상시킬 수 있으므로[126], 건강한 식단, 규칙적인 운동 등을 통해 생활 습관병을 예방하고 관리하는 것이 중요하다.
  • 흡연은 혈관 건강에 악영향을 미쳐 발기 기능을 저해할 수 있으므로 금연하는 것이 좋다[114].
  • 과도한 알코올 섭취는 단기적인 영향뿐 아니라 장기적으로도 발기 기능에 부정적인 영향을 줄 수 있으므로 절제가 필요하다[115].
  • 균형 잡힌 식단을 통해 건강을 유지하고, 비타민 D 결핍이 되지 않도록 주의하는 것이 좋다[110][111][112].

신체 활동 및 관리

  • 장시간 자전거를 타는 등 회음부에 지속적인 압박을 가하는 행위는 혈관이나 신경에 부담을 줄 수 있으므로 주의해야 한다[116].
  • 나이가 들면서 나타날 수 있는 남성 갱년기 장애(LOH 증후군)는 테스토스테론 수치 저하와 관련이 있으며, 이는 발기 기능 저하를 포함한 다양한 건강 문제로 이어질 수 있다[126]. 필요한 경우 전문가와 상담하여 관리하는 것이 도움이 될 수 있다.

정신 건강 관리

  • 정신적 스트레스, 성(性)에 대한 잘못된 교육 환경이나 인식, 우울증 등 심리적인 요인도 발기부전의 원인이 될 수 있다[118]. 스트레스를 적절히 해소하고 긍정적인 마음가짐을 유지하는 것이 중요하다.
  • 과도한 전자기기 사용 등과 관련된 테크노 증후군 역시 발기부전의 잠재적 원인으로 주목받고 있다[119][120].

기타 만성 질환 관리

  • 심장 질환[113], 말초 혈관 장애, 다발성 경화증, 신장 기능 장애와 같은 만성 질환이 있는 경우, 해당 질환을 꾸준히 관리하는 것이 발기부전 예방에도 중요하다.


결론적으로, 건강한 신체와 정신 상태를 유지하는 것이 발기 기능을 오랫동안 건강하게 유지하는 핵심이라 할 수 있다[126].

6. 한국 사회와 발기부전

발기 곤란, 경도 부족 외에도 성교 완료까지 충분한 발기를 유지하지 못하는 증상도 발기부전(ED)의 진단 기준이 된다.[97]

과거에는 이 증상을 '''Impotenz|임포텐츠de''' 혹은 '''impotence|임포턴스영어'''라고 부르는 것이 일반적이었다. 그러나 이 용어들은 "성욕, 발기, 성교, 사정, 극치감 중 하나 이상이 결여되거나 불충분한 상태"를 포괄하는, 현재의 성 기능 장애에 더 가까운 개념이었다. 또한 '임포'라는 단어가 다분히 멸시적인 의미를 내포하고 있다고 여겨져, 현재는 의학적으로 더 정확한 표현인 '''발기 부전''' 또는 영어 Erectile Dysfunction의 약자인 '''ED'''로 주로 불린다.[98]

ED로 고민하는 사람은 연령이 증가함에 따라 늘어나는 경향이 있다. 기질성 ED는 50대 이상에서 많이 나타나지만, 심리적 원인에 의한 기능성(심인성) ED는 젊은 층에서도 적지 않게 발견된다. 사회가 고령화되고 건강 수명이 늘어나면서, 노년층에서도 성생활에 대한 관심과 욕구가 유지되는 경우가 많아진 것도 최근 ED가 주목받는 이유 중 하나로 생각된다.[99]

과거에는 환자가 자신의 증상을 드러내기 매우 어려워했고 치료법도 제한적이었다. 그러나 실데나필(비아그라)과 같은 경구용 치료제가 등장한 이후, 환자와 의사가 함께 치료 계획을 세우고, 파트너의 도움 없이도 환자 스스로 치료에 임할 수 있는 환경이 조성되면서 환자들이 보다 적극적으로 치료에 나설 수 있게 되었다.[103]

참조

[1] 논문 Phosphodiesterase inhibitors for erectile dysfunction in patients with diabetes mellitus 2007-01-00
[2] 서적 UpToDate UpToDate
[3] 논문 Chapter 1: The management of erectile dysfunction: an AUA update Elsevier 2005-07-00
[4] 서적 Erectile Dysfunction Wolters Kluwer
[5] 논문 Undertreatment of erectile dysfunction: claims analysis of 6.2 million patients John Wiley & Sons 2014-10-00
[6] 웹사이트 Can Your Diet Cause Erectile Dysfunction? https://health.cleve[...] Cleveland Clinic 2022-01-04
[7] 웹사이트 Erectile Dysfunction & Heart Disease https://my.cleveland[...] Cleveland Clinic 2022-01-04
[8] 논문 Association of Diet With Erectile Dysfunction Among Men in the Health Professionals Follow-up Study American Medical Association 2020-11-00
[9] 논문 The association between plant-based diet and erectile dysfunction in Chinese men BioMed Central 2021-05-00
[10] 논문 Relationship between Dietary Patterns with Benign Prostatic Hyperplasia and Erectile Dysfunction: A Collaborative Review MDPI 2021-11-00
[11] 논문 Sexual functioning assessed in 4 double-blind placebo- and paroxetine-controlled trials of duloxetine for major depressive disorder Physicians Postgraduate Press 2005-06-00
[12] 논문 The role of histamine in human penile erection https://pubmed.ncbi.[...] 2022-12-09
[13] 웹사이트 Drugs That Can Cause Erectile Dysfunction https://www.webmd.co[...]
[14] 웹사이트 8 Substances That May be Killing Your Erection https://www.yahoo.co[...] 2022-12-09
[15] 서적 Overview of male sexual dysfunction UpToDate
[16] 서적 Male Sexual Function Springer Nature
[17] 웹사이트 Male Sexual Dysfunction Epidemiology http://www.health.am[...] Armenian Health Network, Health.am 2007-10-07
[18] 웹사이트 Causes of Erectile Dysfunction http://www.health.am[...] Armenian Health Network, Health.am 2007-10-07
[19] 웹사이트 Erectile Dysfunction Causes http://www.urologych[...] Healthcommunities.com 2007-10-07
[20] 논문 Erectile dysfunction in the elderly male 2017-09-00
[21] 논문 Aging and erectile function 2020-12-00
[22] 논문 Erectile dysfunction in chronic kidney disease: From pathophysiology to management 2015-07-00
[23] 논문 The effects of smoking on the reproductive health of men
[24] 논문 Epidemiology of erectile dysfunction
[25] 논문 The impact of vascular risk factors on erectile function
[26] 논문 The Link Between Cigarette Smoking and Erectile Dysfunction: A Systematic Review
[27] 논문 Addressing male sexual and reproductive health in the wake of COVID-19 outbreak 2021-02-00
[28] 논문 Evaluating the impact of COVID-19 on male reproduction 2021-02-00
[29] 논문 Sexual function before and after mesh repair of inguinal hernia
[30] 논문 Bicycle riding and erectile dysfunction: a review. 2010-07-00
[31] 논문 Bicycle riding and erectile dysfunction: an increase in interest (and concern). 2005-09-00
[32] 논문 Porn-Induced Sexual Dysfunction: A Growing Problem 2011-07-11
[33] 논문 Pornography Addiction: An Exploration of the Association Between Use, Perceived Addiction, Erectile Dysfunction, Premature (Early) Ejaculation, and Sexual Satisfaction in Males Aged 18-44 Years 2021-09-00
[34] 논문 Is Pornography Use Related to Erectile Functioning? Results From Cross-Sectional and Latent Growth Curve Analyses 2019-01-00
[35] 논문 Is Pornography Use Associated with Sexual Difficulties and Dysfunctions among Younger Heterosexual Men? 2015-05-00
[36] 웹사이트 Porn addiction is ruining lives, but scientists aren't convinced it's real https://www.cnet.com[...] 2020-12-01
[37] 논문 Is online pornography consumption linked to offline sexual dysfunction in young men? A multivariate analysis based on an international web-based survey JMIR Publications Inc. 2021-09-01
[38] 논문 Post-finasteride syndrome and post-SSRI sexual dysfunction: two sides of the same coin? https://pubmed.ncbi.[...] 2018-08-01
[39] 서적 Erectile Dysfunction https://books.google[...] Biota Publishing 2014-03-01
[40] 논문 Use of nocturnal penile tumescence and rigidity in the evaluation of male erectile dysfunction
[41] 웹사이트 Tests for Erection Problems http://www.webmd.com[...] WebMD, Inc
[42] 논문 Ultrasound evaluation of the penis
[43] 논문 Intraoperative Neurophysiological Monitoring of the Sacral Nervous System 2002-01-01
[44] 서적 Biothesiometry http://link.springer[...] Springer International Publishing 2017
[45] 논문 ABC of urology. Subfertility and male sexual dysfunction 1996-04-01
[46] 뉴스 Wonderful Medicine Free / Manhood Restored / The Great Hudyan https://newspaperarc[...] 1897-12-30
[47] 웹사이트 Phony Cures for Erectile Dysfunction https://www.consumer[...] U.S. Federal Trade Commission
[48] 간행물 Guidelines on Male Sexual Dysfunction: Erectile dysfunction and premature ejaculation European Association of Urology 2013
[49] 서적 Encyclopedia of Reproduction - 2nd Edition https://www.elsevier[...] Elsevier Science 2018-06-29
[50] 웹사이트 What is Erectile Dysfunction? - Urology Care Foundation https://www.urologyh[...]
[51] 뉴스 Viagra can be sold over the counter https://www.bbc.com/[...] 2017-11-28
[52] 웹사이트 New Topical Erectile Dysfunction Drug Vitaros Approved in Canada; Approved Topical Drug Testim Proves Helpful for Erectile Dysfunction http://www.accessrx.[...] 2010-11-16
[53] 웹사이트 Treatment for erectile dysfunction https://www.niddk.ni[...]
[54] 논문 Relationship between age and erectile dysfunction diagnosis or treatment using real-world observational data in the USA 2016-12-01
[55] 논문 Can low-intensity extracorporeal shockwave therapy improve erectile function? A 6-month follow-up pilot study in patients with organic erectile dysfunction 2010-08-01
[56] 웹사이트 Shockwave Therapy for Erectile Dysfunction | ED Clinics https://edclinics.co[...] 2020-07-27
[57] 웹사이트 International Index of Erectile Function (IIEF): Guidelines on Clinical Application of IIEF patient Questionnaire https://www.camurolo[...] Addenbrooke's Hospital
[58] 논문 Low-intensity Extracorporeal Shock Wave Therapy for Erectile Dysfunction: A Systematic Review and Meta-analysis 2018-09-01
[59] 논문 Effects of Low-Intensity Extracorporeal Shockwave Therapy on Erectile Dysfunction: A Systematic Review and Meta-Analysis 2017-01-01
[60] 웹사이트 Men and diabetes https://www.cdc.gov/[...] US Centers for Disease Control and Prevention 2019-04-01
[61] 웹사이트 Erectile Dysfunction https://www.lecturio[...]
[62] 논문 Innovative trends and perspectives for erectile dysfunction treatment: A systematic review 2016-06-01
[63] 논문 Application of Sex Aids in Men With Sexual Dysfunction: A Review 2019-06-01
[64] 논문 Improved erectile function after focal muscle vibrations therapy in a patient with neurogenic erectile dysfunction: a case report https://www.scienced[...] 2022-11-01
[65] 논문 319 Penile vibratory stimulation in penile rehabilitation after radical prostatectomy: a randomized, controlled trial https://www.scienced[...] 2018-07-01
[66] 웹사이트 Dangers of Sexual Enhancement Supplements http://www.medscape.[...]
[67] 논문 Detection of undeclared erectile dysfunction drugs and analogues in dietary supplements by ion mobility spectrometry
[68] 논문 Determination of analogs of sildenafil and vardenafil in foods by column liquid chromatography with a photodiode array detector, mass spectrometry, and nuclear magnetic resonance spectrometry
[69] 논문 Use of liquid chromatography-mass spectrometry and a chemical cleavage reaction for the structure elucidation of a new sildenafil analogue detected as an adulterant in an herbal dietary supplement https://zenodo.org/r[...]
[70] 논문 Structure elucidation of a novel analogue of sildenafil detected as an adulterant in an herbal dietary supplement https://zenodo.org/r[...]
[71] 웹사이트 Enforcement Report for June 30, 2010 https://www.fda.gov/[...] 2016-06-25
[72] 웹사이트 Hidden Risks of Erectile Dysfunction "Treatments" Sold Online https://www.fda.gov/[...] 2019-04-23
[73] 논문 Ginseng for erectile dysfunction 2021-04
[74] 서적 Impotence: A Cultural History University of Chicago Press 2007
[75] 서적 Bonk: The Curious Coupling of Science and Sex W.W. Norton & Co
[76] 서적 Trial by Impotence: Virility and Marriage in Pre-Revolutionary France Vintage/Ebury 1985
[77] 논문 Sexual behaviour and its medicalisation: in sickness and in health https://www.bmj.com/[...] 2002-04-13
[78] 논문 The medicalization of sexuality: Conceptual, normative, and professional issues 1996
[79] 논문 The history of the medicalisation of rapid ejaculation—A reflection of the rising importance of female pleasure in a phallocentric world https://www.tandfonl[...] 2022-07-03
[80] 논문 The use of vacuum erection devices in erectile dysfunction after radical prostatectomy 2013
[81] 논문 How (not) to communicate new scientific information: a memoir of the famous Brindley lecture 2005-11
[82] 논문 A historical review of erectile dysfunction https://www.research[...] 2003-02
[83] 논문 The medicalisation of sex: a barrier to intercourse? https://doi.org/10.1[...] 2008-08-01
[84] 서적 The International Encyclopedia of Human Sexuality 2015-04-20
[85] 논문 Sexual dysfunction or sexual discipline? Sexuopharmaceutical use by men as prevention and proficiency http://journals.sage[...] 2018-08
[86] 논문 A new view of women's sexual problems: Why new? Why now? https://www.tandfonl[...] 2001-05-01
[87] 서적 Cultural Differences and the Practice of Sexual Medicine Springer International Publishing 2020
[88] 서적 Reimagining Global Health: An Introduction https://www.ebookcen[...] University of California Press 2013
[89] 논문 Prevalence of erectile dysfunction and its treatment in a Mexican population: distinguishing between erectile function change and dysfunction 2009
[90] 논문 Erectile dysfunction in the community: trends over time in incidence, prevalence, GP consultation and medication use – the Krimpen study: trends in ED 2010-07
[91] 웹사이트 Bad Timing: The Problematics of Intimacy in On Chesil Beach. https://psyartjourna[...] 2011-09-20
[92] 서적 Sexual interactions D.C. Heath 1995
[93] 서적 Sexually Transmitted Disease: An Encyclopedia of Diseases, Prevention, Treatment and Issues 2013
[94] 문서 미국 NIH 및 일본성과학회 정의
[95] 서적 泌尿器科学ハンドブック
[96] 웹사이트 東京医科歯科大学大学院 医歯学総合研究科 腎泌尿器外科学教室 http://www.tmd.ac.jp[...]
[97] 서적 性なる医療
[98] 서적 性機能障害と未完成婚
[99] 서적 EDと不妊治療の最前線
[100] 서적 性なる医療
[101] 서적 不妊と男性, EDと不妊治療の最前線
[102] 서적 EDと不妊治療の最前線
[103] 서적 不妊と男性 2004
[104] 웹사이트 Bệnh rối loạn cương dương: Dấu hiệu, nguyên nhân và cách chữa https://nhatnamyvien[...]
[105] 문서 일본성기능학회 정의
[106] 서적 老人の性、性科学大事典 1998
[107] 서적 男性不妊を治す
[108] 서적 知りたい話、性機能障害と未完成婚
[109] 논문 2008, 1999
[110] 웹사이트 New study suggests low vitamin D levels linked to erectile dysfunction http://www.vitamindc[...]
[111] 뉴스 ビタミン D の不足は勃起不全のための重要な危険率であるかもしれません http://www.news-medi[...] News-Medical.net 2012-06-07
[112] 웹사이트 勃起障害(ED)患者ではビタミンD不足が多い http://www.dhcblog.c[...]
[113] 서적 Frectile Dysfunction 外来
[114] 서적 女性がよむ男性不妊の本、Dr.ギルバーの泌尿器ガイド、性科学大事典
[115] 서적 Dr.ギルバーの泌尿器ガイド
[116] 서적 不妊治療ワークブック
[117] 서적 前立腺肥大症 金原出版株式会社 1993-09
[118] 서적 Dr.ギルバーの泌尿器ガイド、男性不妊を治す、EDと不妊治療の最前線 1999
[119] 문서 OA業務と健康問題
[120] 서적 EDと不妊治療の最前線
[121] 서적 性機能障害と未完成婚 1997
[122] 서적 性機能障害と未完成婚 1999
[123] 설문조사
[124] 서적 Frectile Dysfunction 外来
[125] 서적 男性不妊を治す、性機能障害と未完成婚 1999
[126] 서적 男性機能の「真実」 ブックマン社 2017
[127] 논문 2008
[128] 서적 カップルで治す男性不妊
[129] 뉴스 ED治療薬 4割偽造 ネット販売、有効成分ゼロなど 毎日新聞 2016-11-25
[130] 뉴스 週刊朝日 2014-10-24
[131] 논문 2008
[132] 서적 男性不妊を治す 1999
[133] 논문 2008
[134] 논문 1999
[135] 논문 2008
[136] 문서 인공 음경
[137] 서적 Dr.ギルバーの泌尿器ガイド、男性不妊を治す、Frectile Dysfunction 外来
[138] 논문 2008
[139] 논문 PGE1 치료 1999, 1998
[140] 논문 2008
[141] 서적 『笑うペニスもしくは戦う海綿体』、『Frectile Dysfunction 外来』、『Dr.ギルバーの泌尿器ガイド』、『男性不妊を治す』
[142] 서적 『EDと不妊治療の最前線』、『男性不妊を治す』
[143] 서적
[144] 서적 『男性不妊を治す』、『Frectile Dysfunction 外来』、『EDと不妊治療の最前線』
[145] 간행물 「ED(勃起障害)についてナースが知っておくべきこと」
[146] 논문 「いわゆる健康食品」に含まれる勃起不全治療効果を示す医薬品成分の分析
[147] 논문 健康食品に含まれる医薬品類似成分
[148] 문서 セントクレスピンの勃起不全の原因 2010-10
[149] 웹사이트 桑田佳祐の全盛期はいつだって“今”。東京ドームで見せた、むき出しの生き様【ライブオトネタ】 https://web.archive.[...] 2017-11-21
[150] 웹사이트 Erectile dysfunction http://www.muschealt[...]
[151] 서적 Overview of male sexual dysfunction UpToDate
[152] 서적 Erectile Dysfunction Wolters Kluwer
[153] 웹인용 Can Your Diet Cause Erectile Dysfunction? https://health.cleve[...] Cleveland Clinic 2022-01-04
[154] 웹인용 Erectile Dysfunction & Heart Disease https://web.archive.[...] Cleveland Clinic 2022-01-04
[155] 논문 Association of Diet With Erectile Dysfunction Among Men in the Health Professionals Follow-up Study American Medical Association 2020-11
[156] 논문 The association between plant-based diet and erectile dysfunction in Chinese men BioMed Central 2021-05
[157] 논문 Relationship between Dietary Patterns with Benign Prostatic Hyperplasia and Erectile Dysfunction: A Collaborative Review MDPI 2021-11
[158] 논문 Sexual functioning assessed in 4 double-blind placebo- and paroxetine-controlled trials of duloxetine for major depressive disorder Physicians Postgraduate Press 2005-06
[159] 논문 The role of histamine in human penile erection
[160] 웹인용 Drugs That Can Cause Erectile Dysfunction https://www.webmd.co[...]
[161] 웹인용 8 Substances That May be Killing Your Erection https://www.yahoo.co[...]
[162] 서적 Male Sexual Function: A Guide to Clinical Management Springer Nature
[163] 웹인용 Male Sexual Dysfunction Epidemiology http://www.health.am[...] Armenian Health Network, Health.am
[164] 웹인용 Causes of Erectile Dysfunction http://www.health.am[...] Armenian Health Network, Health.am
[165] 웹인용 Erectile Dysfunction Causes https://web.archive.[...] Healthcommunities.com
[166] 논문 Erectile dysfunction in the elderly male 2017-09
[167] 논문 Aging and erectile function 2020-12
[168] 논문 Erectile dysfunction in chronic kidney disease: From pathophysiology to management 2015-07
[169] 논문 The effects of smoking on the reproductive health of men
[170] 논문 Epidemiology of erectile dysfunction
[171] 논문 The impact of vascular risk factors on erectile function
[172] 논문 The Link Between Cigarette Smoking and Erectile Dysfunction: A Systematic Review
[173] 논문 Addressing male sexual and reproductive health in the wake of COVID-19 outbreak 2021-02
[174] 논문 Evaluating the impact of COVID-19 on male reproduction 2021-02
[175] 논문 Sexual function before and after mesh repair of inguinal hernia
[176] 저널 Bicycle riding and erectile dysfunction: a review. 2010-07-01
[177] 저널 Bicycle riding and erectile dysfunction: an increase in interest (and concern). 2005-09-01
[178] 저널 Porn-Induced Sexual Dysfunction: A Growing Problem 2011-07-11
[179] 저널 Is Pornography Use Associated with Sexual Difficulties and Dysfunctions among Younger Heterosexual Men? 2015-05-01
[180] 저널 Pornography Addiction: An Exploration of the Association Between Use, Perceived Addiction, Erectile Dysfunction, Premature (Early) Ejaculation, and Sexual Satisfaction in Males Aged 18-44 Years https://pubmed.ncbi.[...] 2021-09-01
[181] 저널 Is Pornography Use Related to Erectile Functioning? Results From Cross-Sectional and Latent Growth Curve Analyses https://pubmed.ncbi.[...] 2019-01-01
[182] 웹인용 Porn addiction is ruining lives, but scientists aren't convinced it's real https://www.cnet.com[...] 2020-12-01
[183] 저널 Is online pornography consumption linked to offline sexual dysfunction in young men? A multivariate analysis based on an international web-based survey JMIR Publications Inc. 2021-09-01



본 사이트는 AI가 위키백과와 뉴스 기사,정부 간행물,학술 논문등을 바탕으로 정보를 가공하여 제공하는 백과사전형 서비스입니다.
모든 문서는 AI에 의해 자동 생성되며, CC BY-SA 4.0 라이선스에 따라 이용할 수 있습니다.
하지만, 위키백과나 뉴스 기사 자체에 오류, 부정확한 정보, 또는 가짜 뉴스가 포함될 수 있으며, AI는 이러한 내용을 완벽하게 걸러내지 못할 수 있습니다.
따라서 제공되는 정보에 일부 오류나 편향이 있을 수 있으므로, 중요한 정보는 반드시 다른 출처를 통해 교차 검증하시기 바랍니다.

문의하기 : help@durumis.com