작은창자
"오늘의AI위키"의 AI를 통해 더욱 풍부하고 폭넓은 지식 경험을 누리세요.
1. 개요
작은창자는 약 6m 길이의 관으로, 십이지장, 공장, 회장의 세 부분으로 나뉘며 복강 내에 위치한다. 소화와 흡수에 핵심적인 역할을 담당하며, 췌장과 간에서 분비되는 소화 효소와 담즙을 통해 영양소를 분해하고, 융모와 미세 융모를 통해 대부분의 영양소를 흡수한다. 소장은 또한 면역 체계를 지원하며, 다양한 질환의 발생 가능성이 있다. 단장 증후군은 소장의 상당 부분을 잃은 상태를 의미하며, 다른 동물에서도 발견되며 종에 따라 형태와 길이가 다르다.
더 읽어볼만한 페이지
- 작은창자 - 크론병
크론병은 위장관에 만성 염증을 일으키는 질환으로, 유전적 요인, 면역계 이상, 환경적 요인이 복합적으로 작용하며 복통, 설사, 합병증 등을 유발할 수 있고, 약물 요법, 영양 요법, 수술 등으로 치료하며 완치 치료법은 없다. - 작은창자 - 십이지장
십이지장은 위와 소장 사이에 위치하며 소화와 영양소 흡수에 중요한 역할을 하는 C자 모양의 기관으로, 4개의 부분으로 나뉘고 췌관과 총담관을 통해 소화 효소와 담즙을 분비하며, 십이지장 궤양 등의 질환이 발생할 수 있다. - 배 (해부학) - 식도
식도는 소화계의 상부 기관으로, 입 뒤에서 시작하여 위까지 연결되며, 음식물 역류를 막고 삼키는 기능을 수행하며 다양한 질환이 발생할 수 있다. - 배 (해부학) - 비장
비장은 가로막 아래 위치하여 면역 기능, 혈액 여과, 혈구 생성 및 파괴를 담당하는 인체 장기로, 태아기 혈구 생성, 성인 혈액 내 이물질 제거, 림프구 생성에 관여하며, 비장비대, 비장 파열, 무비증 등의 질환과 역사적으로 우울증과 연관되고 일부 문화권에서 식재료로 사용되기도 한다. - 해부학에 관한 - 림프
림프는 림프관을 통해 순환하는 체액으로, 혈장과 유사한 성분으로 체액 균형 유지, 면역 반응, 지방 흡수 및 운반 등의 역할을 수행한다. - 해부학에 관한 - 신경
신경은 중추신경계와 말초신경계를 연결하는 신경섬유 다발 조직으로, 삼중막 구조로 둘러싸여 있고, 구심성, 원심성, 혼합 신경 등으로 분류되며, 활동전위를 통해 정보를 전달하고 손상 시 재생될 수 있지만 완전한 회복은 어려울 수 있다.
2. 구조
작은창자는 약 6~7m 길이의 긴 관으로, 복강 내에 위치하며 샘창자, 공장, 돌창자로 구분된다.[24] 살아있는 사람의 경우 근육 수축으로 인해 3m 전후로 줄어들 수 있으며, 일반적으로 키가 큰 사람일수록 소장이 더 길다.[5]
소장의 직경은 성인의 경우 2.5cm이며, 복부 X-레이에서 3cm, CT 스캔에서 2.5cm를 초과하면 비정상적으로 확장된 것으로 간주된다.[8][9][10] 소장 점막은 주름, 창자 융모 및 미세 융모에 의해 표면적이 평균 30m2로 확대된다.[11]
작은창자는 샘창자, 공장, 돌창자의 세 부분으로 나뉜다.
- '''샘창자'''는 "C"자 모양의 짧은 구조로, 이자 머리를 둘러싸고 있으며, 위에서 소화된 키메를 받고, 이자와 간에서 소화액을 받는다.
- '''공장'''은 샘창자와 돌창자를 연결하는 중간 부분으로, 원형 주름과 창자 융모를 포함하여 표면적을 증가시킨다. 소화 산물이 여기서 혈류로 흡수된다.
- '''돌창자'''는 작은창자의 마지막 부분으로, 비타민 B12와 담즙산 등 남은 영양소를 주로 흡수한다. 돌창자는 큰창자의 막창자와 회맹 융합부에서 연결된다.
공장과 돌창자는 복강 내에서 장간막에 매달려 있으며, 장간막은 복막의 일부이다. 동맥, 정맥, 림프관 및 신경은 장간막 내부를 통과한다.[13]
소장은 복강 동맥과 상장간막 동맥으로부터 혈액 공급을 받는데, 이 두 동맥은 모두 대동맥의 가지이다. 샘창자는 상췌십이지장 동맥을 통해 복강 동맥으로부터, 하췌십이지장 동맥을 통해 상장간막 동맥으로부터 혈액을 공급받는다. 공장과 돌창자는 상장간막 동맥으로부터 혈액을 공급받는다.[14]
2. 1. 십이지장 (샘창자)
샘창자는 작은창자의 첫 부분으로, 길이가 약 정도의 짧은 구조이며, "C"자 모양을 하고 있다.[12] 이자의 머리 부분을 둘러싸고 있으며, 위에서 소화된 키메(미즙)를 받는다. 이자에서 나오는 소화 효소와 간에서 나오는 담즙을 받아 소화를 돕는데, 소화 효소는 단백질을 분해하고 담즙은 지방을 유화하여 미셀로 만든다. 브루너샘에서는 중탄산염을 포함하는 점액이 풍부한 알칼리성 분비물을 생성하는데, 이 분비물은 이자에서 나오는 중탄산염과 함께 위에서 내려온 미즙에 포함된 위산을 중화시킨다.[12]사람의 경우, 샘창자는 제1요추 부근에 있는[25] 위의 유문과 연결되며, 복강의 후벽에 고정되어 있다. 상부, 하행부, 수평부, 상행부의 4개 부분으로 나뉘며[25], C자형으로 굽어지면서 췌장의 머리 부분인 췌두부를 둘러싸고 있다. 샘창자는 손가락 12개를 가로로 늘어놓은 길이(약 25[26]-30cm[25])와 거의 같다고 하여 이름 붙여졌다[24].샘창자의 벽은 내측은 윤상, 외측은 종주하는 평활근으로 구성되며, 내벽 상피에는 점막이 손가락 모양으로 돌출된 융모가 있어 소화 흡수를 돕는다.[25]
샘창자에서는 췌액과 담즙이 소화관 내로 분비된다. 이들은 샘창자 중간부 좌측에 있는 십이지장 유두(파터 유두[26])라는 융기 부분의 중심에 연결된 개구부에서 공급되며, 그 안쪽에서 췌관과 총담관이 합류한다. 이 구멍은 오디 괄약근이라는 평활근이 둘러싸고 있어 수축과 이완을 통해 분비액의 양을 조절한다[24].이를 통해 미즙을 소화, 분해하고 흡수한다[25].샘창자에는 십이지장샘(브루너샘[26])이 있어 점도가 높은 알칼리성 분비물을 공급하여 위산을 중화하고 장벽을 보호한다.[24]
2. 2. 공장 (빈창자)
사람의 소장 길이의 약 2/5를 차지하며, 십이지장과 회장 사이에 위치한다. 섭취된 음식이 비교적 빠르게 통과하기 때문에 내부가 비어 있는 경우가 많아 이러한 이름이 붙었다.[24] 공장은 트라이츠 인대에 의해 지지되는[25] 제2 요추의 왼쪽 부분에 있는 십이지장-공장 굴곡부에서 십이지장과 연결된다. 회장은 공장에 이어 소장 길이의 3/5에 해당하는데, 이 두 부분에는 뚜렷한 경계가 보이지 않으며, 대략적으로 공장은 복부의 왼쪽 위에, 회장은 오른쪽 아래에 위치한다. 공장과 회장은 모두 복막으로 전체가 덮여 있다.[24]공장의 내륜 근층은 두꺼워서 직경이 크고, 혈관 분포도 많아 회장보다 붉게 보인다.[27] 연결되는 장간막에도 약간의 차이가 있는데, 공장부에서는 지방이 거의 보이지 않고 막에 투명한 창이 많다. 반면 회장부의 막은 지방을 많이 함유하고 두껍게 존재하며 창은 보이지 않는다. 이 막에서 혈액을 공급하는 혈관도 공장에서는 1~2열의 아케이드에서 긴 직접 정맥을 거치지만, 회장에서는 아케이드가 4~5열이 되고 직접 정맥부는 짧다.[27]
2. 3. 회장 (돌창자)
회장(돌창자)은 공장에 이어지는 소화관으로 소장 길이의 약 3/5를 차지한다. 공장보다 좁고 혈관 분포가 적어 붉은색이 덜하다.[27] 회장은 주로 비타민 B12와 담즙산, 그리고 다른 영양소를 흡수하는 기능을 한다. 특히 담즙산과 내인자가 결합한 비타민 B12는 회장 말단에서만 흡수된다.[27]회장 말단은 대장과 연결되며, 이 연결 부위에는 회맹판이 있어 대장 내용물이 역류하는 것을 방지한다. 회장을 수술로 제거하면 담즙산의 장간순환 장애와 비타민 B12 부족으로 인한 문제가 발생할 수 있다.
2. 4. 혈액 공급
소장은 복강동맥과 상장간막동맥으로부터 혈액 공급을 받는다. 이 두 동맥은 모두 대동맥의 가지이다. 십이지장은 상췌십이지장동맥을 통해 복강동맥으로부터, 하췌십이지장동맥을 통해 상장간막동맥으로부터 혈액을 공급받는다. 이 두 동맥은 모두 정중선에서 만나 문합(서로 연결)하는 전방 및 후방 가지를 가지고 있다. 공장과 회장은 상장간막동맥으로부터 혈액을 공급받는다.[14] 상장간막동맥의 가지는 장간막 내에서 여러 겹으로 이루어진 동맥 아케이드로 알려진 일련의 아치를 형성한다. 곧은 혈관이라고 알려진 직장 혈관은 회장 및 공장과 가장 가까운 아케이드에서 기관 자체로 이동한다.[14]2. 5. 미세 해부학
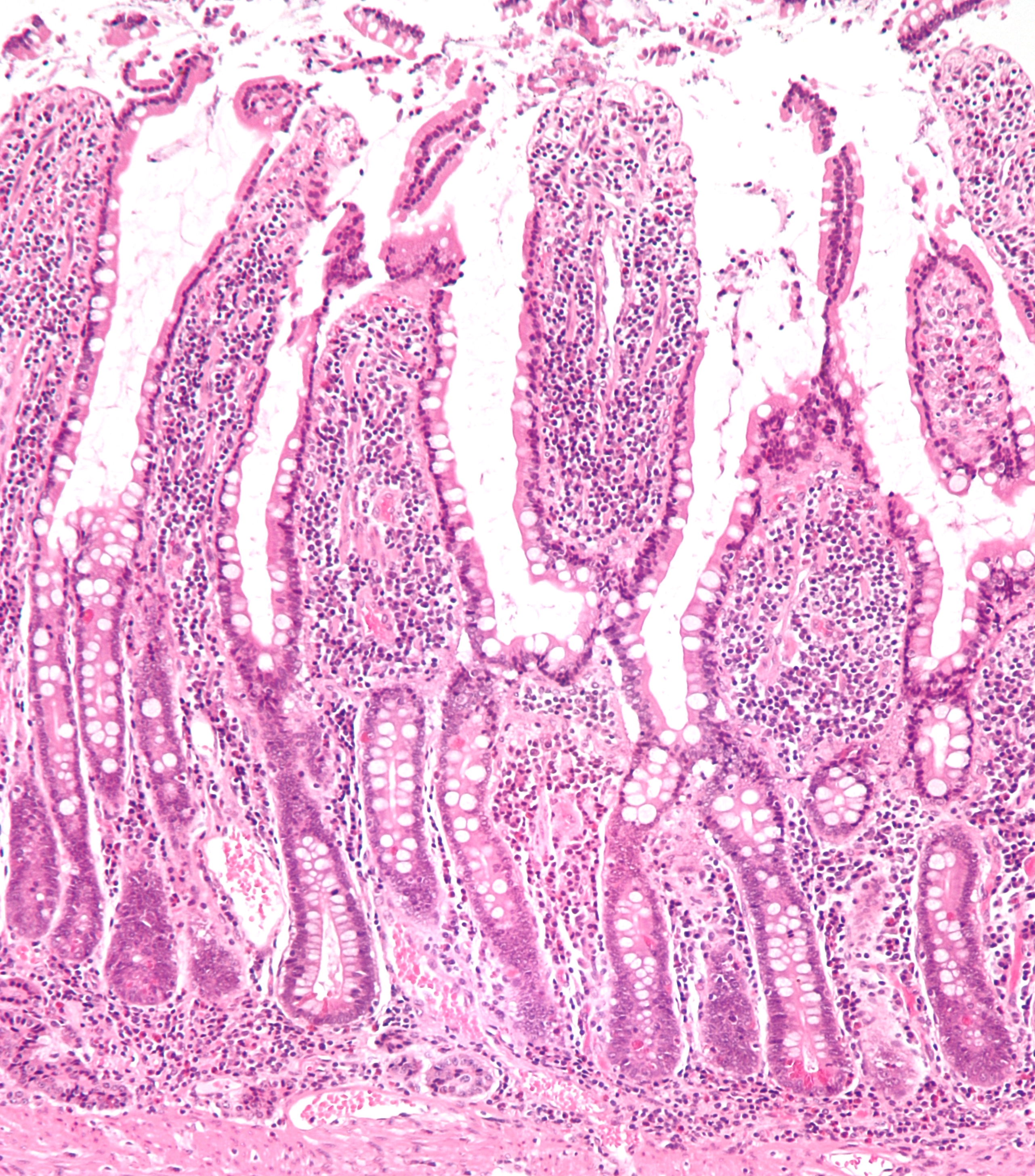
소장 점막은 점막상피, 고유층, 점막근판으로 구성된다.[24]소장 내측 점막에는 윤상 주름이 있다. 이는 십이지장 상부에서 점차 증가하여 공장 전방에서 현저하게 발달하고, 회장에 이르면 불규칙하고 작아지면서 말단에서 사라진다.[24] 점막에는 높이 0.5~1.2mm 정도의 돌기인 창자융모가 1mm2당 30개씩 밀집해 있으며, 소장 전체에는 500만 개 이상 존재한다. 창자융모 안에는 모세 림프관이 하나 지나가고, 그것을 모세혈관이 둘러싼 구조를 가진다. 창자융모 표면에 있는 와인 잔 모양의 배상 세포는 미세융모로 덮여 있는데, 세포 1개당 약 600개이다. 영양분은 이 미세융모 표면에서 흡수되므로, 소장의 내벽 면적은 윤상 주름이 3배, 창자융모가 10배, 미세융모가 20배까지 넓어져 총 면적은 200m2로 체표면의 100배가 된다. 소장에서 흡수된 탄수화물과 단백질은 혈관에 흡수되어 간으로 운반된다. 지질은 림프관이 흡수한다.[24] 창자융모 틈새에는 장샘 (리버쿤 샘[26])이 분비를 하는 작은 개구부가 있다.[24]
점막 위에는 깨알 크기의 고립 림프 소절이 흩어져 있다. 이것이 모여 2~4cm 크기가 되고, M세포로 덮인 부분이 특히 회장의 하부에 많으며, 이것을 페이예르판이라고 한다. M세포는 이물질의 항원을 추출하여 내포하는 대식세포나 림프구에 정보를 제공한다. 이 림프구는 페이예르판 내에서 증식하여 형질 세포로 분화해 항원을 공격하는 면역 글로불린 A를 분비하는 기능을 갖는다.

소장의 세 부분은 현미경 수준에서 서로 비슷하게 보이지만 몇 가지 중요한 차이점이 있다.
2. 6. 유전자 및 단백질 발현
사람 세포에서 약 20,000개의 단백질 코딩 유전자가 발현되며, 이 유전자 중 70%가 정상적인 샘창자에서 발현된다.[15][16] 이러한 유전자 중 약 300개는 샘창자에서 더욱 특이적으로 발현되며, 소장에서만 발현되는 유전자는 매우 적다. 해당 특정 단백질은 지방산 결합 단백질(FABP6)과 같이 점막의 선 세포에서 발현된다. 소장에서 더욱 특이적으로 발현되는 유전자 대부분은 FABP2 및 파네트 세포의 분비 과립에서 발현되는 DEFA6 단백질과 같이 샘창자에서도 발현된다.[17]2. 7. 발생
작은창자는 원시 내장관의 중장에서 발달한다.[18] 배아의 5주차에 회장이 매우 빠른 속도로 길어지기 시작하여 U자 모양의 굽이를 형성하는데, 이를 1차 장 루프라고 한다. 이 루프는 길이가 너무 빨리 자라 복부를 벗어나 배꼽을 통해 튀어나온다. 10주차까지 루프는 복부로 다시 들어간다. 6주에서 10주 사이에 작은창자는 배아의 정면에서 볼 때 시계 반대 방향으로 회전한다. 복부로 다시 이동한 후 180도를 더 회전한다. 이 과정은 큰창자의 뒤틀린 모양을 만든다.[18]3. 기능
위에서 나온 음식물은 유문괄약근이라는 근육에 의해 유문을 통해 십이지장으로 들어간다. 소장은 대부분의 화학적 소화가 일어나는 곳이다. 소장에서 작용하는 많은 소화 효소는 췌장과 간에서 분비되어 췌관을 통해 소장으로 들어간다. 췌장 효소와 담즙은 영양소의 존재에 대한 반응으로 생성되는 호르몬 콜레시스토키닌에 반응하여 담낭에서 소장으로 들어간다. 소장에서 생성되는 또 다른 호르몬인 세크레틴은 췌장에 추가적인 영향을 미치며, 위에서 오는 잠재적으로 유해한 산을 중화하기 위해 탄산수소염의 십이지장으로의 방출을 촉진한다.
소화 과정을 거치는 세 가지 주요 영양소는 단백질, 지질(지방) 및 탄수화물이다.
- '''단백질'''은 흡수되기 전에 작은 펩타이드와 아미노산으로 분해된다.[19] 화학적 분해는 위에서 시작되어 소장에서 계속된다.
- '''지질(지방)'''은 지방산과 글리세롤로 분해된다.
- '''탄수화물''' 중 일부는 단순 당 또는 단당류(예: 포도당)로 분해된다.
소장의 움직임에는 연동 운동, 분절 운동, 진자 운동의 3가지가 있다.[27]
- '''연동 운동'''은 주로 륜주근이 조이면서 위쪽에서 대장 쪽으로 이동하여 내용물을 밀어낸다. 이는 십이지장에 음식이 들어간 단계부터 시작하여 대장까지 전파되도록 이어진다.
- '''분절 운동'''도 륜주근의 작용에 의한 것이지만, 교대로 수축하는 부분과 이완된 부분이 생겨 내용물을 혼합하는 역할을 한다.
- '''진자 운동'''은 종주근에 의한 것으로, 일부가 수축함으로써 내용물을 혼합한다.[26]
소장은 신체의 면역 체계를 지원한다.[20] 장내 세균총의 존재는 숙주의 면역 체계에 긍정적으로 기여하는 것으로 보인다.
3. 1. 소화
췌장에서 분비되는 췌액과 간에서 분비되어 쓸개에 저장된 담즙, 그리고 소장 점막에서 분비되는 장액은 소화에 중요한 역할을 한다. 이들은 탄수화물, 단백질, 지질(지방)을 분해하는 데 필요한 소화 효소를 포함하고 있다.[19]특히 한국인의 식단에서 많은 부분을 차지하는 탄수화물은 췌장의 아밀레이스와 소장 점막의 말타아제, 수크라아제, 락타아제 등에 의해 분해된다. 췌액은 탄산 수소 나트륨을 포함하는 약알칼리성 액체로, 전분을 말토스로 분해하는 아밀레이스, 단백질을 펩타이드로 분해하는 트립신과 키모트립신, 지방을 지방산과 모노글리세리드로 분해하는 리파아제, 핵산을 분해하는 누클레아제를 포함한다. 췌액은 하루에 1~1.5L 분비된다.[26] 십이지장샘에서 하루에 1.5~3L 분비되는 장액은 소장 상피 세포의 소화 효소와 함께 소화를 수행한다. 장액에는 말토스를 포도당으로 분해하는 말타아제, 자당을 포도당과 과당으로 분해하는 수크라아제, 유당을 포도당과 갈락토스로 분해하는 락타아제, 그리고 리파아제와 누클레아제, 췌액 중의 트립시노겐을 트립신으로 변화시키는 엔테로키나아제가 포함된다.[26]
사람을 포함한 포유류는 락타아제를 가지고 태어나지만, 성장하면서 락타아제의 생산이 줄어드는 경우가 많다. 특히 한국인의 경우 유당불내증을 가진 사람이 많아 락타아제 부족으로 유당 소화에 어려움을 겪을 수 있다. 유당불내증이 있는 사람은 유당이 포함된 유제품을 섭취했을 때 복부 팽만, 복통, 설사 등의 증상을 경험할 수 있다.
3. 2. 흡수
소화된 음식은 확산 또는 능동 수송을 통해 창자 벽의 혈관으로 들어갈 수 있다. 작은창자는 섭취한 음식에서 대부분의 영양소가 흡수되는 부위이다. 작은창자의 내벽 또는 점막은 창자 상피로 덮여 있으며, 구조적으로 원형 주름으로 덮여 있다. 원형 주름에서 융모라고 불리는 미세한 손가락 모양의 조직 조각이 돌출되고, 개별 상피 세포에도 미세 융모라고 알려진 손가락 모양의 돌출부가 있다. 원형 주름, 융모, 미세 융모의 기능은 영양소 흡수에 사용할 수 있는 표면적을 늘리고, 해당 영양소가 창자 동물군에 손실되는 것을 제한하는 것이다.각 융모는 표면에 가까운 모세 혈관과 유미관이라고 하는 미세한 림프관 네트워크를 가지고 있다. 융모의 상피 세포는 창자의 내강에서 이러한 모세 혈관(아미노산과 탄수화물)과 유미관(지질)으로 영양소를 수송한다. 흡수된 물질은 혈관을 통해 신체의 여러 기관으로 운반되어 신체에 필요한 단백질과 같은 복잡한 물질을 만드는 데 사용된다. 소화되지 않고 흡수되지 않은 물질은 큰창자로 들어간다.
대부분의 영양소 흡수는 공장에서 일어나지만, 다음과 같은 예외가 있다.
- 철은 샘창자에서 흡수된다.
- 엽산(비타민 B9)은 샘창자와 공장에서 흡수된다.
- 비타민 B12와 담즙산은 말단 회장에서 흡수된다. 비타민 B12는 내인자라고 알려진 단백질에 결합된 후에만 회장에서 흡수된다.[24]
- 물은 삼투에 의해, 지질은 작은창자 전체에서 수동 확산에 의해 흡수된다.
- 탄산수소나트륨은 능동 수송에 의해 흡수되고, 포도당과 아미노산은 공동 수송에 의해 흡수된다.
- 과당은 촉진 확산에 의해 흡수된다.
사람의 소장은 위에 이어 대장으로 연결되는 소화관이다. 길이는 약 6m이지만 생체 내에서는 근육의 수축으로 3m 전후까지 줄어든다. 굵기는 3~4cm이며, 복강 안에서 굽이쳐 있다. 소장은 십이지장, 공장, 회장의 3곳으로 구분된다.[24]
소장의 점막은 점막상피, 고유층, 점막근판으로 구성된다. 소장의 내측 점막은 윤상 주름을 가지는데, 이는 십이지장 상부에서 점차 증가하며 공장 전방에서 현저하게 발달해 회장에 이르면 불규칙하고 작아지면서 말단에서 사라진다.[24] 점막에는 높이 0.5~1.2mm 정도의 돌기인 창자융모가 1mm2당 30개나 되는 밀집 상태로, 소장 전체에는 500만 개 이상이 존재한다. 창자융모 안에는 모세 림프관이 하나 지나가고, 그것을 모세혈관이 둘러싼 구조가 있다. 창자융모 표면에 있는 와인 잔 모양의 배상 세포는 길이 1μm, 굵기 0.1μm, 세포 1개당 약 600개의 미세융모로 덮여 있다. 영양분은 이 미세융모 표면에서 흡수되므로, 소장의 내벽 면적은 윤상 주름이 3배, 창자융모가 10배, 미세융모가 20배까지 넓어져 총 면적은 200m2로 체표면의 100배가 된다.[24] 소장에서 흡수된 탄수화물과 단백질은 혈관에 흡수되어 간으로 운반된다. 지질은 림프관이 흡수한다.[24] 창자융모 틈새에는 장샘 (리버륀 샘[26])이 분비를 하는 작은 개구부가 있다.[24]
소장에는 불필요한 물질(약물 등의 이물질)을 흡수하지 않도록 흡수해도 장관 내로 되돌리는 기전도 존재한다. 또한, 약물의 초회 통과 효과가 일어나는 장소로는 간이 잘 알려져 있지만, 소장의 점막에도 약물을 분해하는 효소(시토크롬 P450)가 존재하며, 여기서도 약물의 일부가 분해된다.
소장과 대장에서 흡수할 수 있는 유기 화합물의 분자량의 크기 한계를 조사한 연구 결과1)에 따르면, 소장에서는 분자량 600 이하, 대장에서는 분자량 300 이하이었다. 랫트와 인간의 장관에서의 흡수 동태에는 매우 좋은 직선성의 상관 관계가 있어 인간에게도 마찬가지일 것으로 생각된다2). 소장에서 분자량 600 이하가 흡수된다는 지견은 경구 의약품 개발 시 유용한 「리핀스키 규칙3)」의 하나인 분자량 500 이하라는 법칙에도 부합한다.
- 인용 문헌 1) Toshikiro Kimura: Biol.Pharm.Bull.17(2). 327-333 ,1994.
- 인용 문헌 2) CHIOU, W. L. & BARVE, A:''Pharm Res,'' 15, 1792-5,1998.
- 인용 문헌 3) CA Lipinski, Adv. Drug Del. Rev. 1997, 23, 3.
3. 3. 면역
소장은 신체의 면역 체계를 지원한다.[20] 장내 세균총의 존재는 숙주의 면역 체계에 긍정적으로 기여하는 것으로 보인다.소장의 회장에 위치한 페이에르판은 소화관의 국소 면역 체계의 중요한 부분이다. 이들은 림프계의 일부이며, 잠재적으로 해로운 박테리아 또는 기타 미생물에서 유래된 항원을 소화관에서 샘플링하여 면역 체계에 제시하는 장소를 제공한다.[21]
점막 위에는 깨알 크기의 고립 림프 소절이 흩어져 있다. 이것이 모여 2~4cm 크기가 되고, M세포로 덮인 부분이 특히 회장의 하부에 많으며, 이것을 페이에르판이라고 한다. M세포는 이물질의 항원을 추출하는 작용을 하며, 내포하는 대식세포나 림프구에 정보를 제공한다. 이 림프구는 페이에르판 내에서 증식하여 형질 세포로 분화해 항원을 공격하는 면역 글로불린 A를 분비하는 기능을 갖는다.
4. 임상적 의의
소화기 질환 참고
작은창자는 복잡한 기관이므로, 소장의 기능에 영향을 미칠 수 있는 다양한 질환이 존재한다. 한국인에게 흔한 질환으로는 과민성 대장 증후군, 크론병, 소장 세균 과증식 등이 있다.
작은창자 관련 질환은 다음과 같다.
- 소장 폐쇄 또는 폐쇄성 질환
- 태변성 장폐색
- 마비성 장폐색
- 장염전
- 탈장
- 장중첩증
- 유착
- 외부 압력에 의한 폐쇄
- 내강 내 종괴에 의한 폐쇄 (이물, 베조아르, 담석)
- 감염성 질환
- 지알디아증
- 요충증
- 열대성 스프루
- 촌충 (''광절열두조충'', ''갈고리촌충'', ''요코가와흡충'')
- 구충 (예: ''아메리카구충'', ''십이지장충'')
- 선충 (예: ''회충'')
- 기타 원생동물 (예: ''크립토스포리디움 파르붐'', ''사이클로스포라'', ''미포자충'', ''이질아메바'')
- 세균 감염
- 독소생성 ''대장균''
- ''살모넬라 엔테리카''
- ''캄필로박터''
- ''이질균''
- ''예르시니아''
- ''클로스트리디오이데스 디피실'' (항생제 관련 대장염, ''가성막 대장염'')
- ''미코박테리움'' (파라결핵균, 파종성 ''결핵균'')
- 휘플병
- ''비브리오'' (콜레라)
- 장티푸스열 (''살모넬라 엔테리카'' var. typhii) 및 파라티푸스열
- ''바실루스 세레우스''
- ''클로스트리디움 퍼프린젠스'' (가스 괴저)
- 바이러스 감염
- 로타바이러스
- 노로바이러스
- 아스트로바이러스
- 아데노바이러스
- 칼리시바이러스
- 신생물 (암)
- 선암종
- 유암종
- 위장관 기질 종양(GIST)
- 림프종
- 육종
- 평활근종
- 전이성 종양, 특히 SCLC 또는 흑색종
- 소장암
- 발달, 선천적 또는 유전적 질환
- 십이지장(소장) 폐쇄
- 거대결장증
- 메켈 게실
- 유문 협착증
- 췌장 분리증
- 이소성 췌장
- 장 중복 낭종
- 내장 역위
- 낭성 섬유증
- 회전이상
- 지속성 요막관
- 제대 탈출증
- 위열개
- 이당류 분해효소 (락타아제) 결핍증
- 일차성 담즙산 흡수 불량
- 가드너 증후군
- 가족성 선종성 용종증 (FAP) 증후군
- 기타 질환
- 크론병 및 보다 일반적인 염증성 장 질환
- 장티푸스 (면역 억제된 사람의 호중구 감소증 대장염)
- 셀리악병 (스프루 또는 비열대성 스프루)
- 장간막 허혈
- 상장간막 동맥 또는 상장간막 정맥의 색전 또는 혈전
- 동정맥 기형
- 위 덤핑 증후군
- 과민성 대장 증후군
- 십이지장(소화성) 궤양
- 위장관 천공
- 갑상선 기능 항진증
- 게실염
- 방사선 장염
- 장간막 낭종
- 복막 감염
- 경화성 후복막 섬유증
- 소장 세균 과증식
- 자궁내막증
4. 1. 단장 증후군 (SBS)
질병이나 부상으로 소장의 상당 부분을 잃은 상태를 단장 증후군(SBS)이라고 하며, 남은 소장의 길이가 성인의 경우 150cm 미만, 소아의 경우 75cm 미만이 기준이 된다.[28] 성인에서는 크론병이나 장 혈류 장애, 소아에서는 선천성 거대 결장증이나 장 회전 이상으로 소장을 대폭 절제한 후에 단장 증후군이 되는 경우가 많으며, 일본 국내에서는 추정 환자 수가 1,000명 정도이다.[28] 치료 초기에는 수액으로 영양을 보충하며, 장 점막은 사용하지 않아도, 너무 많이 사용해도 손상되므로 식사나 경장 영양제를 서서히 늘려나간다.[28] 남은 장은 융모를 늘려 점막의 총 면적을 넓히는 순응(장관 순응)[28][29]으로 오랜 시간을 들여 기능을 조금이라도 회복시키려 한다. 이를 촉진하는 신약이 2021년부터 일본의 공적 의료 보험의 대상이 되었으며, 위루에 의한 영양 보급, 장관 연장 수술이나 타인으로부터의 이식이 시행되기도 한다.[29]5. 다른 동물
작은창자는 모든 사지동물과 조기어류에서 발견되지만, 형태와 길이는 종에 따라 크게 다르다. 조기어류에서 작은창자는 비교적 짧으며, 일반적으로 물고기 몸 길이의 1.5배 정도이다. 소화된 음식의 전반적인 표면적을 늘리는 데 도움이 되는 작은 주머니 모양의 구조인 ''유문 맹장''이 창자 길이를 따라 여러 개 있는 경우가 많다. 조기어류에는 회맹판이 없으며, 작은창자와 직장 사이의 경계는 소화 상피의 끝 부분으로만 표시된다.[22]
사지동물에서는 회맹판이 항상 존재하며, 결장으로 열린다. 작은창자의 길이는 조기어류보다 사지동물에서 일반적으로 더 길지만, 초식동물뿐만 아니라 포유류와 조류에서 특히 길다. 이들은 양서류나 파충류보다 더 높은 신진대사율을 가지고 있다. 작은창자의 내벽에는 모든 척추동물에서 표면적을 늘리기 위한 미세한 주름이 있지만, 이러한 주름이 진정한 융모로 발달하는 것은 포유류뿐이다.[22]
십이지장, 공장, 회장의 경계는 인간에게도 다소 모호하며, 다른 동물의 해부학을 논할 때는 이러한 구분이 무시되거나 본질적으로 임의적이다.[22]
상어, 철갑상어, 폐어와 같은 비조기어류에서는 작은창자가 존재하지 않는다. 대신, 소화 기관은 위에서 직장으로 연결되는 '''나선창자'''를 형성한다. 이러한 유형의 창자에서 창자 자체는 비교적 곧지만, 내면에 나선형으로 길게 뻗어 있으며, 때로는 수십 바퀴 회전한다. 이 판막은 표면적과 창자의 유효 길이를 크게 증가시킨다. 나선창자의 내벽은 조기어류와 비포유류 사지동물의 작은창자와 유사하다.[22]
칠성장어에서 나선판막은 극도로 작으며, 이는 식단이 소화를 거의 필요로 하지 않기 때문일 수 있다. 먹장어는 나선판막이 전혀 없으며, 소화는 창자의 거의 전체 길이에 걸쳐 발생하며, 서로 다른 구획으로 세분되지 않는다.[22]
Kolb 1974에서 인용[30]된 자료에 따르면 동물의 소장 용량은 다음과 같다.
참조
[1]
서적
Essentials of Human Physiology
[2]
웹사이트
human body | Britannica.com
http://www.britannic[...]
[3]
서적
Principles of Anatomy & Physiology
https://archive.org/[...]
Wiley
[4]
서적
Gray's Anatomy
Elsevier
[5]
서적
Short Bowel Syndrome: Practical Approach to Management
https://books.google[...]
CRC Press
2016
[6]
학술지
Small bowel faeces sign in patients without small bowel obstruction
[7]
학술지
Overview of short bowel syndrome and intestinal transplantation
[8]
웹사이트
Small-Bowel Obstruction Imaging
http://emedicine.med[...]
2016-09-22
[9]
웹사이트
Abdominal X-ray - Abnormal bowel gas pattern
http://www.radiology[...]
2017-02-07
[10]
학술지
Efficacy of CT in distinguishing small-bowel obstruction from other causes of small-bowel dilatation.
[11]
학술지
Surface area of the digestive tract – revisited
[12]
서적
Gray's anatomy for students
Elsevier/Churchill Livingstone
[13]
서적
Gray's anatomy for students
Elsevier/Churchill Livingstone
[14]
서적
Gray's anatomy for students
Elsevier/Churchill Livingstone
[15]
웹사이트
The human proteome in small intestine - The Human Protein Atlas
https://www.proteina[...]
2017-09-26
[16]
학술지
Tissue-based map of the human proteome
2015-01-23
[17]
학술지
The human gastrointestinal tract-specific transcriptome and proteome as defined by RNA sequencing and antibody-based profiling
2015-01-01
[18]
서적
Larsen's human embryology
Churchill Livingstone/Elsevier
2009
[19]
학술지
Progress report. Peptide absorption in man
[20]
웹사이트
Intestinal immune cells play an unexpected role in immune surveillance of the bloodstream
http://www.massgener[...]
Massachusetts General Hospital
2012-12-13
[21]
학술지
Bacteria in the Intestine, Helpful Residents or Enemies from Within?
[22]
서적
The Vertebrate Body
Holt-Saunders International
[23]
서적
Medicine : a history of healing
Diane Pub Co
1997
[24]
문서
解剖学第2版、pp.79-81、第4章 6.小腸
[25]
문서
Bogart & Ort (2011)、p.96-99、5.腹部 十二指腸
[26]
문서
佐藤・佐伯(2009)、pp.128-134、第6章 消化と吸収 4)小腸small inteseineの構造と機能
[27]
문서
Bogart & Ort (2011)、p.99-102、5.腹部 空腸と回腸
[28]
뉴스
[すこやかゼミ]知っておきたい「短腸症候群」栄養障害への対処が鍵 症状安定すれば仕事も可能
東京新聞
2023-02-15
[29]
뉴스
栄養・水分、十分吸収できない短腸症候群 小腸粘膜の面積増やす薬も
https://www.asahi.co[...]
朝日新聞デジタル
2023-01-10
[30]
서적
数値で見る生物学
シュプリンガー・ジャパン
[31]
서적
Essentials of Human Physiology
[32]
문서
대한의협 의학용어 사전, 대한해부학회 의학용어 사전
https://www.kmle.co.[...]
본 사이트는 AI가 위키백과와 뉴스 기사,정부 간행물,학술 논문등을 바탕으로 정보를 가공하여 제공하는 백과사전형 서비스입니다.
모든 문서는 AI에 의해 자동 생성되며, CC BY-SA 4.0 라이선스에 따라 이용할 수 있습니다.
하지만, 위키백과나 뉴스 기사 자체에 오류, 부정확한 정보, 또는 가짜 뉴스가 포함될 수 있으며, AI는 이러한 내용을 완벽하게 걸러내지 못할 수 있습니다.
따라서 제공되는 정보에 일부 오류나 편향이 있을 수 있으므로, 중요한 정보는 반드시 다른 출처를 통해 교차 검증하시기 바랍니다.
문의하기 : help@durumis.com
