스피로놀락톤
"오늘의AI위키"의 AI를 통해 더욱 풍부하고 폭넓은 지식 경험을 누리세요.
1. 개요
스피로놀락톤은 심부전, 부종성 질환, 고혈압, 저칼륨혈증, 속발성 알도스테론증, 콘 증후군 등의 치료에 사용되는 약물이다. 항안드로겐 활성을 통해 여성의 여드름, 다모증, 남성형 탈모 등 피부과 질환 치료에도 사용되며, 트랜스젠더 여성의 호르몬 요법에도 활용된다. 부작용으로는 빈뇨, 고칼륨혈증, 전해질 불균형 등이 나타날 수 있으며, 임신 중에는 남성 태아에게 여성화 위험이 있어 권장되지 않는다. 스피로노락톤은 항광질코르티코이드, 항안드로겐, 약한 스테로이드 생성 억제 등의 약리학적 특성을 가지며, 다양한 약물과의 상호작용이 보고되어 있다.
스피로노락톤은 주로 심부전, 부종성 질환(예: 신증후군 또는 간 질환 환자의 복수), 본태성 고혈압, 저칼륨혈증(혈중 칼륨 수치 감소), 속발성 알도스테론증 (예: 간경변증 발생) 및 콘 증후군(원발성 알도스테론증)을 치료하는 데 사용된다.[101] 스피로노락톤의 가장 흔한 용도는 심부전 치료이다.[101] 스피로노락톤 단독으로는 주로 소량의 나트륨이 재흡수되는 원위 네프론(집합관)을 표적으로 하기 때문에 약한 이뇨제일 뿐이지만, 효능을 높이기 위해 다른 이뇨제와 함께 사용할 수 있다. 스피로노락톤을 "칼륨 보존 이뇨제"로 분류하는 것은 시대에 뒤떨어진 것으로 묘사되었다.[24] 스피로노락톤은 또한 칼륨 수치를 높이는 능력 때문에 바터 증후군 치료에도 사용된다.[25]
스피로놀락톤 투여가 금지되는 경우는 다음과 같다.[298]
2. 의학적 용도
스피로노락톤은 항안드로겐 활성을 가지고 있다. 이러한 이유로 안드로겐이 역할을 하는 다양한 피부과 질환을 치료하는 데 사용된다. 이러한 용도 중 일부에는 여성의 여드름, 지루, 다모증 및 남성형 탈모가 있다.[26] 스피로노락톤은 미국에서 다모증 치료에 사용된다.[27] 상당한 항안드로겐 효과가 필요한 고용량의 스피로노락톤은 여성화 및 기타 부작용의 위험이 높아 남성에게는 권장되지 않는다. 스피로노락톤은 다낭성 난소 증후군으로 인한 것과 같은 고안드로겐혈증의 증상을 치료하는 데 사용할 수 있다.[28]
고혈압증(본태성, 신성 등), 심성 부종(울혈성 심부전), 신성 부종, 간성 부종, 특발성 부종, 원발성 알도스테론증의 진단 및 증상 개선, 악성 종양에 따른 부종 및 복수, 영양실조성 부종
치료 저항성 고혈압(ACE 억제제/ARB + Ca 길항제 + 티아지드계 이뇨제로 수축기 혈압이 진찰실 혈압 ≥ 140mmHg(DM 합병증으로 ≥ 135mmHg) 또는 가정 혈압 ≥ 130mmHg)에 대해 스피로노락톤 등 또는 위약을 추가한 결과, 스피로노락톤군에서는 수축기 가정 혈압이 위약에 비해 8.70mmHg 감소하여 통계적으로 유의한 차이(p<0.001)를 보였다[297]。 혈압 조절이 양호해진 환자의 비율(가정 혈압 < 135mmHg를 달성한 비율)은 스피로노락톤군에서 58.0%였다.
2. 1. 심부전
스피로놀락톤은 주로 심부전, 부종성 질환, 본태성 고혈압, 저칼륨혈증, 속발성 알도스테론증, 콘 증후군 치료에 사용된다.[101] 루프 이뇨제가 대부분의 심부전 환자에게 1차 치료제로 남아있지만, 스피로놀락톤은 여러 연구에서 이환율과 사망률을 모두 감소시키는 것으로 나타났다.[29] 미국 심장 협회는 좌심실 박출률이 35% 미만인 NYHA Class II-IV 심부전 환자에게 스피로놀락톤 사용을 권고한다.[29]
스피로놀락톤은 보존된 박출률을 가진 심부전 환자의 좌심실 이완 기능을 향상시키지만, 사망률과 입원에는 영향을 미치지 않는다.[30][31]
스피로놀락톤은 항안드로겐 특성으로 인해 남성에서 안드로겐 수치 감소 및 성선 기능 저하증과 관련된 부작용을 일으킬 수 있다. 이러한 이유로 남성의 경우 심부전의 급성 악화와 같이 짧은 기간 동안만 스피로놀락톤을 처방하는 것이 일반적이다. 새로운 약물인 에플레레논은 식품의약국에서 심부전 치료제로 승인되었으며, 스피로놀락톤의 항안드로겐 효과가 없어 장기적인 약물 치료가 필요한 남성에게 더 적합하지만, 심부전으로 인한 사망률 감소에는 스피로놀락톤 또는 칸레논만큼 효과적이지 않을 수 있다.[32]
2. 2. 고혈압
스피로노락톤은 심부전, 부종성 질환, 고혈압, 저칼륨혈증, 속발성 알도스테론증, 콘 증후군 (원발성 알도스테론증)을 치료하는 데 사용된다.[101] 고혈압 환자 100명 중 약 1명은 알도스테론 수치가 높은데, 이들에게 스피로노락톤은 다른 고혈압 치료제보다 효과적일 수 있다.[33] 이는 스피로노락톤이 높은 혈압의 근본 원인을 표적으로 하기 때문이다.
한국에서는 2015년 연구에서 치료 저항성 고혈압(ACE 억제제/ARB + Ca 길항제 + 티아지드계 이뇨제로 수축기 혈압이 진찰실 혈압 ≥ 140mmHg(DM 합병증으로 ≥ 135mmHg) 또는 가정 혈압 ≥ 130mmHg)에 대해 스피로노락톤을 추가 투여했을 때 위약 대비 유의미한 혈압 감소 효과를 보였다.[297] 스피로노락톤군에서는 수축기 가정 혈압이 위약에 비해 8.70mmHg 감소했으며, 혈압 조절이 양호해진 환자의 비율은 58.0%였다.[297]
2. 3. 고알도스테론증
스피로노락톤은 고알도스테론증(높은 알도스테론 수치) 치료에 사용되며, 예를 들어 원발성 알도스테론증(콘 증후군)이 있다.[34] 스피로노락톤과 에플레레논과 같은 항무기질 코르티코이드는 고알도스테론증의 1차 치료제이다.[34] 이 약물들은 원발성 알도스테론증 환자에서 혈압과 칼륨 수치를 개선하고, 좌심실 비대, 알부민뇨, 경동맥 내중막 두께를 개선한다.[34] 편측 알도스테론 생성 부신 피질 선종으로 인한 고알도스테론증 환자의 경우, 항무기질 코르티코이드 대신 부신 절제술을 선호해야 한다.[34]
스피로노락톤은 주로 심부전, 부종성 질환(예: 신증후군 또는 간 질환 환자의 복수), 본태성 고혈압, 저칼륨혈증(혈중 칼륨 수치 감소), 속발성 알도스테론증 (예: 간경변증 발생)을 치료하는 데 사용된다.[101]
스피로노락톤은 남성 태아에게 항안드로겐 관련 기형 유발 위험이 있으므로 임신 중 원발성 알도스테론증 치료에 사용해서는 안 된다.[35][36][37][38]
2. 4. 피부 및 모발 질환
스피로놀락톤은 항안드로겐 활성 덕분에 여성의 여드름, 지루증, 다모증(여성의 과도한 얼굴/몸 털 성장), 남성형 탈모증(안드로겐성 탈모증) 치료에 매우 효과적이다.[48][106][49][39][40] 안드로겐인 테스토스테론과 DHT는 이러한 피부 질환의 병인에 중요한 역할을 한다.[39][40] 완전한 안드로겐 불감증 증후군(CAIS)을 가진 여성은 피지를 생성하지 않거나 여드름이 생기지 않으며, 체모, 음모, 겨드랑이 털이 거의 없거나 전혀 없는 것이 이를 뒷받침한다.[41][42]
스피로놀락톤은 피부에서 자연적으로 생성되는 유분을 감소시켜 지성 피부 치료에도 사용될 수 있다.[106][107][40] 약물 사용의 주된 목적은 아니지만, 문제성 피부 및 여드름 질환에 도움이 되는 유익한 부작용으로 밝혀졌다.[106][107]
여드름 치료를 위해 스피로놀락톤은 경구 피임약과 함께 처방되는 경우가 많으며, 이 두 약물의 병용은 긍정적인 결과를 보인다.[106][107] 하지만 효과는 최대 3개월까지 나타나지 않을 수 있다.[106][107] 경구 피임약 자체도 기능적인 항안드로겐이며 안드로겐 의존성 피부 및 모발 질환 치료에 독립적으로 효과적이므로, 항안드로겐의 효과를 증강시킬 수 있다.[173][55] 스피로놀락톤은 충분히 높은 용량에서 여드름을 50~100% 개선하는 것으로 보고되었다.[186]
스피로놀락톤은 여성의 다모증 치료에 일반적으로 사용되며, 이 적응증에 대한 1차 항안드로겐으로 간주된다.[63] 여성형 탈모증(여성의 패턴 두피 탈모) 치료에도 사용될 수 있지만, 이를 뒷받침하는 증거는 잠정적이고 낮은 품질이다.[50][51]
스피로놀락톤은 남성 특이적인 기형 유발 물질로, 남성 태아를 여성화시킬 수 있는 항안드로겐 효과를 가지고 있다.[173][53][54] 따라서 생식 연령의 여성에게는 적절한 피임과 함께 사용해야 한다.[173][53][54] 스피로놀락톤은 여성화 부작용 때문에 남성의 안드로겐 의존성 피부 질환 치료에는 일반적으로 사용되지 않지만, 남성에서도 유사하게 효과적이다.[50]
국소 약물 스피로놀락톤도 여드름 치료에 효과적이다.[60]
스피로놀락톤, 5α-환원효소 억제제 피나스테리드, 비스테로이드성 항안드로겐 플루타미드는 모두 다모증 치료에 비슷한 효과를 보인다.[63][64][65] 스피로놀락톤과 피나스테리드의 병용은 단독 사용보다 다모증에 더 효과적이다.[63] 스피로놀락톤은 다모증의 1차 치료제로 간주되며, 피나스테리드와 스테로이드성 항안드로겐 사이프로테론 아세테이트는 2차 치료제로 간주된다.[63]
스피로놀락톤을 경구 피임약과 병용하여 여드름을 치료하는 것은 경구 피임약 단독 사용과 비슷한 효과를 보인다.[106] 스피로놀락톤의 여드름 및 다모증 치료 효과는 용량 의존적인 것으로 보이며, 고용량이 저용량보다 더 효과적이지만, 생리 불순과 같은 부작용도 더 크다.[78][79][80][106]
2. 5. 트랜스젠더 호르몬 요법
역설적 반응에도 불구하고, 스피로놀락톤은 특히 미국(여기서는 시프로테론 아세테이트를 사용할 수 없음)에서 트랜스젠더 여성의 여성호르몬 요법의 구성 요소로, 보통 에스트로겐과 함께 허가 외 사용된다.[81][57][58][59] 비칼루타미드와 같은 대체 약물은 이와 비슷한 수준의 인기를 얻지 못하고 있다.[82] 스피로놀락톤의 항안드로겐 효과는 고용량에서만 나타나므로, 안드로겐 수용체에 더 선택적으로 작용하는 항안드로겐에서는 발견되지 않는 광범위한 부작용을 가질 수 있다.[13][14][15] 에스트라디올과 함께 사용하면 트랜스젠더 여성에게서 남성형 체모 감소, 유방 발달 유도, 전반적인 여성화 촉진, 자발적인 발기 감소 등의 효과가 나타난다.[59]
2. 6. 기타 용도
스피로놀락톤은 심부전, 부종성 질환(예: 신증후군 또는 간 질환 환자의 복수), 본태성 고혈압, 저칼륨혈증(혈중 칼륨 수치 감소), 속발성 알도스테론증 (예: 간경변증 발생) 및 콘 증후군(원발성 알도스테론증)을 치료하는 데 사용된다.[101] 원위 네프론(집합관)을 표적으로 하기 때문에 약한 이뇨제일 뿐이지만, 효능을 높이기 위해 다른 이뇨제와 함께 사용할 수 있다.[24] 바터 증후군 치료에도 사용된다.[25]
항안드로겐 활성을 가지고 있어 여성의 여드름, 지루, 다모증 및 남성형 탈모등 다양한 피부과 질환을 치료하는데 사용된다.[26] 미국에서는 다모증 치료에 사용된다.[27] 다낭성 난소 증후군으로 인한 고안드로겐혈증의 증상을 치료하는 데 사용할 수 있다.[28]
3. 금기
말기 신부전 환자는 고칼륨혈증 위험이 높아 신장 투석을 받는 환자를 제외하고 투여가 금지된다.[160][90] 특정 신경 질환이 있는 사람, 무뇨증, 급성 신장 손상 또는 고칼륨혈증의 위험이 있는 신부전을 경험하거나 경험한 사람에게도 주의해서 사용해야 한다.[160]
4. 부작용
스피로노락톤의 가장 흔한 부작용 중 하나는 빈뇨이다.[113] 다른 일반적인 부작용으로는 탈수, 저나트륨혈증(낮은 나트륨 수치), 경미한 저혈압(낮은 혈압), 운동실조(근육 협응 불량), 졸음, 어지럼증, 피부 건조, 발진이 있다.[113]
항안드로겐 활성으로 인해 스피로노락톤은 유방 압통, 여유증(유방 발달), 전반적인 여성화 및 남성성 감소를 유발할 수 있으며, 성욕 감퇴 및 발기 부전을 포함한 성 기능 장애도 유발할 수 있지만 이러한 부작용은 일반적으로 고용량의 스피로노락톤에 국한된다.[174] 여성의 경우 스피로노락톤은 월경 불순, 유방 압통 및 유방 비대를 유발할 수 있다.[26][106][91]
스피로노락톤의 부작용 대부분은 용량 의존적이다.[48] 저용량 스피로노락톤은 일반적으로 내약성이 매우 좋다.[48] 100 mg/일과 같은 더 높은 용량의 스피로노락톤도 대부분의 개인에서 내약성이 좋다.[48] 스피로노락톤의 용량 의존적 부작용으로는 월경 불순, 유방 압통 및 비대, 기립성 저혈압 및 고칼륨혈증이 있다.[48]
첨부 문서에 기재된 주요 부작용은[298],
- 전해질 이상(고칼륨혈증, 저나트륨혈증, 대사성 산증 등) 및 이에 따른 부정맥, 전신 권태감, 탈력 등,
- 급성 신부전
- 독성 표피 괴사용해(Toxic Epidermal Necrolysis: TEN), 피부 점막 안 증후군 (스티븐스-존슨 증후군)이다.
발진, 두드러기, 여성형 유방, 유방 종창, 성욕 감퇴, 음위, 월경 불순, 무월경, 폐경 후 출혈 등은 0.1~5% 미만으로 발생한다[298]。
4. 1. 일반적인 부작용
스피로노락톤의 가장 흔한 부작용 중 하나는 빈뇨이다.[113] 다른 일반적인 부작용으로는 탈수, 저나트륨혈증(낮은 나트륨 수치), 경미한 저혈압(낮은 혈압), 운동실조(근육 협응 불량), 졸음, 어지럼증, 피부 건조, 발진이 있다.[113]항안드로겐 활성으로 인해 스피로노락톤은 유방 압통, 여유증(유방 발달), 전반적인 여성화 및 남성성 감소를 유발할 수 있으며, 성욕 감퇴 및 발기 부전을 포함한 성 기능 장애도 유발할 수 있지만 이러한 부작용은 일반적으로 고용량의 스피로노락톤에 국한된다.[174] 여성의 경우 스피로노락톤은 월경 불순, 유방 압통 및 유방 비대를 유발할 수 있다.[26][106][91]
스피로노락톤의 부작용 대부분은 용량 의존적이다.[48] 저용량 스피로노락톤은 일반적으로 내약성이 매우 좋다.[48] 100 mg/일과 같은 더 높은 용량의 스피로노락톤도 대부분의 개인에서 내약성이 좋다.[48] 스피로노락톤의 용량 의존적 부작용으로는 월경 불순, 유방 압통 및 비대, 기립성 저혈압 및 고칼륨혈증이 있다.[48]
첨부 문서에 기재된 주요 부작용은[298],
- 전해질 이상(고칼륨혈증, 저나트륨혈증, 대사성 산증 등) 및 이에 따른 부정맥, 전신 권태감, 탈력 등,
- 급성 신부전
- 독성 표피 괴사용해(Toxic Epidermal Necrolysis: TEN), 피부 점막 안 증후군 (스티븐스-존슨 증후군)이다.
발진, 두드러기, 여성형 유방, 유방 종창, 성욕 감퇴, 음위, 월경 불순, 무월경, 폐경 후 출혈 등은 0.1~5% 미만으로 발생한다[298]。
4. 2. 내분비계 부작용
스피로노락톤은 항안드로겐 활성으로 인해 남성에게 유방 압통, 여유증(유방 발달), 전반적인 여성화 및 남성성 감소를 유발할 수 있으며, 성욕 감퇴 및 발기 부전을 포함한 성 기능 장애도 유발할 수 있다.[174] 매우 고용량(400mg/일)의 경우 고환 위축 및 가역적인 불임과 관련이 있으며, 여기에는 남성의 정자 수 감소 및 정자 운동성 감소와 같은 정액 이상이 포함된다.[114][98]여성의 경우 월경 불순, 유방 압통 및 유방 비대를 유발할 수 있다.[26][106][91] 이러한 부작용 외에 고용량의 스피로노락톤을 복용하는 여성의 부작용은 미미하며 내약성이 좋다.[106][113][92]
스피로노락톤에 의한 여유증의 발병 시간은 저용량에서 27 ± 20개월, 고용량에서 9 ± 12개월로 나타났다.[253] 일반적으로 약물 중단 후 몇 주 후에 완화되지만,[114] 충분한 기간(예: 1년) 동안 여유증이 존재한 후에는 조직의 유리질화와 섬유증이 발생하여 약물로 인한 여유증이 되돌릴 수 없게 될 수 있다.[120][121]
고용량의 스피로노락톤은 여성에게 부작용으로 월경 불순을 유발할 수 있다.[48] 이러한 불순에는 자궁 출혈 (월경 사이의 출혈), 무월경 (월경의 부재), 파탄 출혈이 포함된다.[48] 스피로노락톤의 중간 용량을 복용하는 대부분의 여성은 무월경을 겪으며, 투약을 중단하면 2개월 이내에 정상적인 월경이 돌아오는 경우가 많다.[98] 불규칙한 월경과 무배란 형태의 월경 주기를 유발하며,[113] 여성의 상당수에서 자궁 출혈 및 월경 과다 (과다 월경)와 관련이 있고,[111] 빈발 월경 (짧은 월경 주기)과도 관련이 있다.[122][123]
| 부작용 | (n = 326) | 증례 연쇄 (n = 663) | ||
|---|---|---|---|---|
| 수 | % | 수 | % | |
| 월경 불순 | 38 | 13.4 (of 283) | 216 | 33.4 (of 646) |
| 유방 압통 | 8 | 2.5 | 30 | 4.5 |
| 유방 비대 | 7 | 2.1 | 13 | 2.0 |
| 어지럼증/현기증/경미한 현기증 | 11 | 3.4 | ≥19a | ≥2.9 |
| 두통 | 5 | 1.5 | ≥10a | ≥1.5 |
| 메스꺼움 및/또는 구토 | 6 | 1.8 | 24 | 3.6 |
| 체중 증가b | 5 | 1.5 | 1 | 0.2 |
| 복통 | 0 | 0 | ≥11a | ≥1.7 |
| 다뇨 | 2 | 0.6 | 8 | 1.2 |
| 피로/무기력 | 1 | 0.3 | ≥12a | ≥1.8 |
| 각주: a = 부적절한 보고로 인해 정확한 값을 사용할 수 없음. b = 대부분의 연구에서 모니터링되지 않음. | ||||
발진, 두드러기, 여성형 유방, 유방 종창, 성욕 감퇴, 음위, 월경 불순, 무월경, 폐경 후 출혈 등은 0.1~5% 미만으로 발생한다[298]。
4. 3. 고칼륨혈증
스피로놀락톤은 혈중 칼륨 수치를 상승시키는 고칼륨혈증을 유발할 수 있으며, 드물게 치명적일 수 있다.[98] 심장 질환자의 경우 일반적인 용량에서 10~15%가 고칼륨혈증을 겪고, 6%는 심각한 수준을 보인다.[98] 1999년 무작위 알닥톤 평가 연구(RALES) 발표 이후 스피로놀락톤 처방 증가와 함께 고칼륨혈증으로 인한 입원율과 사망률이 급증했다는 보고가 있다.[98][99][100][101]고칼륨혈증 위험은 노인, 만성 신장 질환 또는 당뇨병성 신병증과 같은 신장 기능 저하 환자, 억제제, 안지오텐신 II 수용체 차단제, 비스테로이드성 소염 진통제, 항생제 트리메토프림, 칼륨 보충제를 복용하는 사람, 그리고 고용량 스피로놀락톤 복용자에게서 더 크다.[98][101][104][105]
하지만, 건강한 젊은 여성이 피부과 질환으로 고용량 스피로놀락톤을 복용했을 때 고칼륨혈증 발생률이 대조군과 다르지 않았다는 연구 결과도 있다.[106][107][108] 이러한 연구들은 해당 집단에서 정기적인 칼륨 수치 모니터링이 불필요할 수 있음을 시사한다.[106][107][108] 그러나 다른 출처에서는 정상 신장 기능과 위험 요인이 없는 사람에게도 고칼륨혈증이 발생할 수 있다고 주장한다.[101] 위험 요인이 있는 사람들의 경우, 개별적인 상황에 따라 검사를 수행하는 것이 정당화될 수 있다.[106]
고칼륨혈증을 나타낼 수 있는 증상으로는 메스꺼움, 피로, 특히 근육 쇠약이 있으며, 지속될 경우 혈청 칼륨 검사가 필요할 수 있다.[106]
첨부 문서에 따르면 주요 부작용으로는 전해질 이상(고칼륨혈증, 저나트륨혈증, 대사성 산증 등)과 이에 따른 부정맥, 전신 권태감, 탈력 등, 급성 신부전, 독성 표피 괴사용해, 피부 점막 안 증후군 (스티븐스-존슨 증후군)이 있다.[298] 발진, 두드러기, 여성형 유방, 유방 종창, 성욕 감퇴, 음위, 월경 불순, 무월경, 폐경 후 출혈 등은 0.1~5% 미만으로 발생한다.[298]
4. 4. 기타 부작용
스피로놀락톤의 가장 흔한 부작용 중 하나는 빈뇨이다. 다른 일반적인 부작용으로는 탈수, 저나트륨혈증, 경미한 저혈압,[113] 운동실조, 졸음, 어지럼증,[113] 피부 건조, 발진이 있다. 항안드로겐 활성으로 인해 스피로노락톤은 유방 압통, 여유증, 전반적인 여성화 및 남성성 감소를 유발할 수 있으며, 성욕 감퇴 및 발기 부전을 포함한 성 기능 장애도 유발할 수 있지만 이러한 부작용은 일반적으로 고용량의 스피로노락톤에 국한된다.[174]스피로노락톤은 메스꺼움, 구토, 설사, 경련 및 위염과 같은 위장 문제의 위험을 높일 수 있다.[160][94] 또한 이 약물의 사용과 위 및 십이지장의 출혈 사이의 연관성을 시사하는 일부 증거가 있었지만,[160] 이 둘 사이의 인과 관계는 확립되지 않았다.[95][96] 또한 스피로노락톤은 사르코이드증 치료에 면역 억제 효과가 있다.[97]
스피로노락톤의 부작용 대부분은 용량 의존적이다.[48] 저용량 스피로노락톤은 일반적으로 내약성이 매우 좋다.[48] 100 mg/일과 같은 더 높은 용량의 스피로노락톤도 대부분의 개인에서 내약성이 좋다.[48] 스피로노락톤의 용량 의존적 부작용으로는 월경 불순, 유방 압통 및 비대, 기립성 저혈압 및 고칼륨혈증이 있다.[48] 스피로노락톤의 부작용은 일반적으로 경미하며 중단으로 이어지는 경우는 드뭅니다.[48]
고용량의 스피로노락톤은 여성에게 부작용으로 월경 불순을 유발할 수 있다.[48] 이러한 불순에는 자궁 출혈 (월경 사이의 출혈), 무월경 (월경의 부재), 파탄 출혈이 포함된다.[48] 이러한 증상은 스피로노락톤 치료 중에 흔하게 나타나며, 중간 용량에서는 여성의 10~50%에서, 고용량에서는 거의 모든 여성에서 나타난다.[113][98]
스피로놀락톤과 같은 항알도스테론제가 기분에 긍정적인 영향을 미치는지 부정적인 영향을 미치는지에 대한 연구는 혼조를 보이고 있다.[129][130][131] 어쨌든 스피로놀락톤은 우울증 증상의 위험을 증가시킬 가능성이 있다.[129][130][131]
스피로노락톤은 다낭성 난소 증후군(PCOS)을 앓는 여성에게 사용되는 비교적 높은 용량에서 LDL 콜레스테롤("나쁜" 콜레스테롤)을 증가시키고 HDL 콜레스테롤("좋은" 콜레스테롤) 수치를 감소시키는 것으로 밝혀졌다.[133][134] 따라서, 이 맥락에서 혈액 지질 지질 프로파일에 좋지 않은 영향을 미칠 수 있다.[133][134]
스피로놀락톤은 고칼륨혈증 외에도 드물게 아나필락시스, 신부전,[139] 간염 (보고된 두 건, 모두 심각하지 않음),[140] 무과립구증, DRESS 증후군, 스티븐스-존슨 증후군 또는 독성 표피 괴사용해와 같은 부작용을 일으킬 수 있다.[141][142]
첨부 문서에 기재된 주요 부작용은[298],
- 전해질 이상(고칼륨혈증, 저나트륨혈증, 대사성 산증 등) 및 이에 따른 부정맥, 전신 권태감, 탈력 등,
- 급성 신부전
- 독성 표피 괴사용해 (Toxic Epidermal Necrolysis: TEN), 피부 점막 안 증후군 (스티븐스-존슨 증후군)이다.
발진, 두드러기, 여성형 유방, 유방 종창, 성욕 감퇴, 음위, 월경 불순, 무월경, 폐경 후 출혈 등은 0.1~5% 미만으로 발생한다[298]。
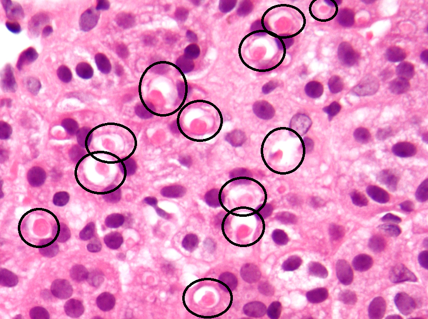
4. 5. 스피로노락톤 소체
스피로놀락톤을 장기간 투여하면 부신 피질에서 특징적인 조직학적 소견인 "스피로노락톤 소체"가 나타날 수 있다. 스피로노락톤 소체는 헤마톡실린과 에오신으로 염색된 표본에서 맑은 후광으로 둘러싸인 호산성, 둥근, 동심원상의 적층형 세포질 내 봉입체이다.[143] 현미경 사진 (H&E 염색)은 스피로노락톤 소체를 보여준다.
4. 6. 임신 및 수유
스피로놀락톤은 태반을 통과할 수 있다.[111] 항안드로겐이기 때문에 이론적으로 충분한 용량에서 남성 태아의 여성화를 일으킬 가능성이 있어, 임신 중에는 권장되지 않는다.[144][145][150]스피로노락톤은 쥐의 새끼에게서 기형 발생과 관련이 없다는 연구 결과가 있지만,[144][145][146] 후속 연구에서 인간에게 일반적으로 사용되는 용량보다 5배 높은 용량(200mg/kg/일)으로 투여받은 쥐의 수컷 새끼에게서 생식기의 부분적인 여성화가 발생했다는 사실이 밝혀졌다.[144][146] 또 다른 연구에서는 더 낮은 용량(50~100mg/kg/일)에서 양쪽 성별의 쥐 새끼에게서 영구적이고 용량 관련 생식기 이상이 발견되었다.[146]
그러나 실제로는 경험이 제한적이긴 하지만, 스피로노락톤이 인간에게서 관찰 가능한 여성화 또는 기타 선천적 결함을 유발했다는 보고는 아직 없다.[144][145][147][148] 임신 첫 삼 분기에 스피로노락톤에 노출된 31명의 신생아에게서 특정한 선천적 결함의 징후는 없었다.[148] 세 쌍둥이를 임신한 여성에게 스피로노락톤을 처방했고, 세 명 모두(남자아이 한 명과 여자아이 두 명) 건강하게 출산했으며, 남자아이에게서 여성화는 나타나지 않았다는 사례 보고도 있었다.[148] 또한, 스피로노락톤은 바터 증후군을 앓고 있는 임산부를 치료하기 위해 고용량으로 사용되었으며, 영아들(남자아이 3명, 여자아이 2명) 중 어느 누구도 독성을 보이지 않았고, 수컷 영아의 여성화도 나타나지 않았다.[149][144] 2019년 체계적 검토 결과, 스피로노락톤이 인간에게서 선천적 결함을 유발한다는 충분한 증거는 발견되지 않았으나, 유발하지 않는다는 것을 확신할 만한 충분한 증거도 없었다.[151]
스피로노락톤과 그 대사체인 칸레논은 모유로 아주 소량만 들어가며, 모유 수유 중인 유아가 섭취하는 양(어머니 복용량의 <0.5%)은 미미한 것으로 간주된다.[149][160]
5. 약물 상호 작용
스피로놀락톤은 혈청 내 칼륨 수치를 높여 고칼륨혈증을 유발할 수 있다. 따라서 칼륨 보충제와 칼륨 함유 염분 대체물 섭취를 피하는 것이 권장된다.[153] 의사는 스피로놀락톤 복용 환자의 칼륨 수치를 주기적으로 관찰해야 하며, 특히 사용 초기나 용량 증가 시 주의해야 한다. 일부 환자는 칼륨이 풍부한 음식 섭취를 제한해야 할 수 있지만, 최근 연구에 따르면 건강한 젊은 여성의 경우 칼륨 모니터링 및 식이 제한이 불필요할 수 있다.[108][110]
스피로놀락톤은 트리메토프림/설파메톡사졸과 병용 시 고칼륨혈증 위험을 높이며, 특히 노인에게서 더 위험하다. 트리메토프림은 신장에서 칼륨 배설을 억제하는 작용을 한다.[154]
스피로놀락톤은 효소 CYP3A4 및 특정 UDP-글루쿠로노실트랜스퍼라제(UGT)를 유도하여 다양한 약물과 상호 작용을 일으킬 수 있다.[233][155][156] 스피로놀락톤의 대사산물은 CYP3A4를 비가역적으로 억제하기도 한다.[157] 스피로놀락톤은 경구 에스트라디올의 생체 이용률을 감소시키고, UGT2B7을 억제하는 것으로 알려져 있다.[158][159] 디곡신 등 심장 및 혈압 관련 약물과도 상호 작용할 수 있다.[160]
감초는 스피로놀락톤의 항광물질 코르티코이드 효과를 억제할 수 있다.[266][161][162] 아스피린 및 기타 비스테로이드성 소염제(NSAID)는 스피로놀락톤의 이뇨 및 나트륨뇨 효과를 약화시키지만, 혈압 강하 효과에는 영향을 주지 않는다.[25][165]
일부 연구에서는 스피로놀락톤이 항우울제 효과를 방해할 수 있다고 보고되었으나,[166][167] 다른 연구에서는 스피로놀락톤이 항우울 효과를 낼 수 있다고 제시한다.[168]
6. 약리학
6. 1. 약력학
스피로놀락톤의 약력학은 높은 항광질코르티코이드 활성, 적당한 항안드로겐 활성, 약한 스테로이드 생성 억제를 특징으로 하며, 다른 사소한 활성도 가지고 있다.[243][174][118] 스피로놀락톤은 전구약물이므로, 대부분의 작용은 실제로 다양한 활성 대사체에 의해 매개된다.[243] 스피로놀락톤의 주요 활성 형태는 7α-티오메틸스피로놀락톤 (7α-TMS)과 칸레논 (7α-데스티오아세틸-δ6-스피로놀락톤)이다.[89][243]
스피로놀락톤은 강력한 항광질코르티코이드이다.[89] 즉, 알도스테론과 11-데옥시코르티코스테론과 같은 광질코르티코이드의 생물학적 표적인 광질코르티코이드 수용체 (MR)의 길항제이다.[89] 스피로놀락톤은 MR을 차단하여 신체 내 광질코르티코이드의 효과를 억제한다.[89] 스피로놀락톤의 항광질코르티코이드 활성은 부종, 고혈압, 심부전, 고알도스테론증, 간경변으로 인한 복수 치료에 있어서 치료적 효능을 나타내는 원인이다.[170][171] 또한, 빈뇨, 탈수, 저나트륨혈증, 저혈압, 피로, 어지럼증, 대사성 산증, 신장 기능 저하, 고칼륨혈증 위험과 같은 스피로놀락톤의 많은 부작용의 원인이기도 하다.[172] 스피로놀락톤의 항광질코르티코이드 활성으로 인해 알도스테론 수치가 약물에 의해 현저히 증가하며, 이는 아마도 신체가 항상성을 유지하려는 시도를 반영하는 것으로 보인다.[173][113]
스피로놀락톤은 적당한 항안드로겐이다.[174][125][156] 즉, 테스토스테론과 디하이드로테스토스테론 (DHT)과 같은 안드로겐의 생물학적 표적인 안드로겐 수용체 (AR)의 길항제이다.[174][125][156] 스피로놀락톤은 AR을 차단하여 신체 내 안드로겐의 효과를 억제한다.[174][125][156] 스피로놀락톤의 항안드로겐 활성은 주로 여드름, 지루, 다모증, 남성형 탈모와 같은 안드로겐 의존성 피부 및 모발 질환과 여성의 고안드로겐혈증, testotoxicosis를 가진 소년의 성조숙증, 여성호르몬 치료의 구성 성분으로 치료 효과를 나타낸다.[125][158][175] 또한 유방 압통, 여유증, 여성화, 남성의 남성화 감소와 같은 부작용의 주요 원인이기도 하다.[114][175] 유방에서 안드로겐 신호 전달 차단은 이 조직에서 에스트로겐의 작용을 억제한다.[176] 스피로놀락톤은 남성에 비해 테스토스테론 수치가 낮은 여성에게 항안드로겐으로 유용하지만,[177][178] 비교적 약한 항안드로겐 활성을 갖는 것으로 묘사된다.[179][175][180][181]
스피로놀락톤은 약한 스테로이드 생성 억제제이다.[174][118][125][182] 즉, 스테로이드 호르몬 생산과 관련된 스테로이드 생성 효소 또는 효소를 억제한다.[174][118][125][182] 스피로놀락톤 및/또는 그 대사체는 ''생체 외''에서 콜레스테롤 측쇄 절단 효소, 17α-하이드록실라제, 17,20-리아제, 5α-환원 효소, 3β-하이드록시스테로이드 탈수소 효소, 11β-하이드록실라제, 21-하이드록실라제, 알도스테론 합성 효소 (18-하이드록실라제)를 포함한 광범위한 스테로이드 생성 효소를 약하게 억제하는 것으로 밝혀졌다.[125][182][183][184] 그러나, 스피로놀락톤의 매우 높은 용량은 동물에서 스테로이드 호르몬 수치를 상당히 감소시킬 수 있지만, 스피로놀락톤은 임상 연구에서 높은 임상 용량에서도 스테로이드 호르몬 수치에 대해 혼합되고 일관되지 않은 효과를 보였다.[106][174][118][125][156] 어쨌든, 테스토스테론과 코르티솔을 포함한 대부분의 스테로이드 호르몬 수치는 일반적으로 인간에서 스피로놀락톤에 의해 변하지 않으며, 이는 부분적으로 그들의 합성에 대한 보상적 상향 조절과 관련이 있을 수 있다.[174][118][185] 스피로놀락톤의 약한 스테로이드 생성 억제는 어느 정도 항안드로겐 효능에 기여할 수 있으며 여성의 생리 불순 부작용을 설명할 수 있다.[174][114] 그러나, 안드로겐 합성 억제는 임상적으로 무시할 수 있을 것이다.[186]
일부 연구에서 스피로놀락톤은 에스트라디올, 에스트로겐의 수치를 증가시키는 것으로 나타났지만, 다른 많은 연구에서는 에스트라디올 수치에 변화가 없는 것으로 나타났다.[174][118] 스피로놀락톤이 에스트라디올 수치를 증가시키는 기전은 불분명하지만, 에스트라디올을 에스트론으로 불활성화하는 것을 억제하고 테스토스테론을 에스트라디올로 말초 전환을 증가시키는 것과 관련될 수 있다.[187][188] 스피로놀락톤은 ''생체 외''에서 에스트라디올을 에스트론으로 전환하는 데 관여하는 효소인 17β-하이드록시스테로이드 탈수소 효소 2의 약한 억제제로 작용하는 것으로 밝혀졌다.[189][190] 스피로놀락톤으로 에스트라디올 수치가 증가하면 골밀도 유지와 여성 및 남성의 유방 압통, 유방 비대, 여유증과 같은 부작용에 관여할 수 있다.[187][191][192]
스피로놀락톤의 항광질코르티코이드 활성에 대한 반응으로, 그리고 항상성을 유지하기 위해, 신체는 부신 피질에서 알도스테론 생성을 증가시킨다.[193][195][194] 일부 연구에 따르면 부신 피질에서도 생성되는 글루코코르티코이드 호르몬인 코르티솔의 수치가 증가했다.[195][194][196] 스피로놀락톤은 "상부-원위 세뇨관의 기저외측면과 집합관에서 작용하며," 이러한 특정 부위에서 글루코코르티코이드와 유사한 효과가 없으며, 알도스테론 과다를 특징으로 하는 글루코코르티코이드-개선성 알도스테론증 환자에게 글루코코르티코이드의 대안으로 처방될 수 있다.[125][197][80][198] “스피로놀락톤을 복용하는 환자에서, 코르티솔 변화와 HbA1c 변화 사이에는 유의한 양의 상관관계가 있었다(r = 0.489, P = .003).”[199] 스피로놀락톤을 복용하는 환자는 어지럼증, 두통, 피로, 설사, 고트리글리세리드혈증 및 간 효소 상승을 포함한 부작용에 대해 모니터링해야 한다.[200][201]
스피로놀락톤의 다른 활성으로는 에스트로겐 수용체 및 프로게스테론 수용체와의 매우 약한 상호 작용과 프레그난 X 수용체의 작용제가 포함될 수 있다.[80][202] 이러한 활성은 스피로놀락톤의 생리 불순 및 유방 부작용과 각각 약물 상호 작용에 기여할 수 있다.[203][204][205]
6. 1. 1. 항광물질코르티코이드 작용
는 스피로놀락톤의 주요 활성 형태로, 스피로놀락톤의 칼륨 보존 효과의 약 80%를 차지한다.[89][230][219] 은 스피로놀락톤의 두 번째 주요 활성 형태로, 스피로놀락톤의 칼륨 보존 효과의 약 10~25%를 차지한다.[169]스피로놀락톤은 광물질코르티코이드 수용체 (MR)의 길항제로, 알도스테론과 11-데옥시코르티코스테론과 같은 광물질코르티코이드의 효과를 억제한다.[89] 이러한 항광물질코르티코이드 작용은 부종, 고혈압, 심부전, 고알도스테론증, 간경변으로 인한 복수 치료에 효과적이다.[170][171]
하지만, 스피로놀락톤은 빈뇨, 탈수, 저나트륨혈증, 저혈압, 피로, 어지럼증, 대사성 산증, 신장 기능 저하, 고칼륨혈증 등의 부작용을 유발할 수 있다.[172] 이는 스피로놀락톤이 광물질코르티코이드 수용체를 차단하여 나타나는 작용이다.
6. 1. 2. 항안드로겐 작용
스피로놀락톤은 적당한 수준의 항안드로겐이다.[174][125][156] 즉, 테스토스테론과 디하이드로테스토스테론 (DHT)과 같은 안드로겐의 생물학적 표적인 안드로겐 수용체 (AR)의 길항제이다.[174][125][156] 스피로놀락톤은 AR을 차단하여 신체 내 안드로겐의 효과를 억제한다.[174][125][156] 스피로놀락톤의 항안드로겐 활성은 주로 여드름, 지루, 다모증, 남성형 탈모와 같은 안드로겐 의존성 피부 및 모발 질환과 여성의 고안드로겐혈증, testotoxicosis를 가진 소년의 성조숙증, 여성호르몬 치료의 구성 성분으로 치료 효과를 나타낸다.[125][158][175] 또한 유방 압통, 여유증, 여성화, 남성의 남성화 감소와 같은 부작용의 주요 원인이기도 하다.[114][175] 유방에서 안드로겐 신호 전달 차단은 이 조직에서 에스트로겐의 작용을 억제한다.[176] 스피로놀락톤은 남성에 비해 테스토스테론 수치가 낮은 여성에게 항안드로겐으로 유용하지만,[177][178] 비교적 약한 항안드로겐 활성을 갖는 것으로 묘사된다.[179][175][180][181]6. 1. 3. 스테로이드 생성 억제
스피로놀락톤은 약한 스테로이드 생성 억제제이다.[174][118][125][182] 즉, 스테로이드 호르몬 생산과 관련된 스테로이드 생성 효소 또는 효소를 억제한다.[174][118][125][182] 스피로놀락톤 및/또는 그 대사체는 ''생체 외''에서 콜레스테롤 측쇄 절단 효소, 17α-하이드록실라제, 17,20-리아제, 5α-환원 효소, 3β-하이드록시스테로이드 탈수소 효소, 11β-하이드록실라제, 21-하이드록실라제, 알도스테론 합성 효소 (18-하이드록실라제)를 포함한 광범위한 스테로이드 생성 효소를 약하게 억제하는 것으로 밝혀졌다.[125][182][183][184] 그러나, 스피로놀락톤의 매우 높은 용량은 동물에서 스테로이드 호르몬 수치를 상당히 감소시킬 수 있지만, 스피로놀락톤은 임상 연구에서 높은 임상 용량에서도 스테로이드 호르몬 수치에 대해 혼합되고 일관되지 않은 효과를 보였다.[106][174][118][125][156] 어쨌든, 테스토스테론과 코르티솔을 포함한 대부분의 스테로이드 호르몬 수치는 일반적으로 인간에서 스피로놀락톤에 의해 변하지 않으며, 이는 부분적으로 그들의 합성에 대한 보상적 상향 조절과 관련이 있을 수 있다.[174][118][185] 스피로놀락톤의 약한 스테로이드 생성 억제는 어느 정도 항안드로겐 효능에 기여할 수 있으며 여성의 생리 불순 부작용을 설명할 수 있다.[174][114] 그러나, 안드로겐 합성 억제는 임상적으로 무시할 수 있을 것이다.[186]6. 1. 4. 기타 작용
스피로놀락톤은 에스트로겐 수용체 및 프로게스테론 수용체와 매우 약하게 상호작용하며, 프레그난 X 수용체의 작용제로 작용할 수 있다.[80][202] 이러한 작용은 스피로놀락톤의 생리 불순 및 유방 관련 부작용과 약물 상호 작용에 각각 영향을 줄 수 있다.[203][204][205]6. 2. 약동학
스피로놀락톤의 약동학은 잘 연구되지 않았는데, 이는 부분적으로 1950년대에 개발된 오래된 약물이기 때문이다.[119] 그럼에도 불구하고, 수십 년 동안 스피로노락톤의 약동학에 대해 많은 것이 밝혀졌다.[206][207][208][89][209][210][211][212]
== 흡수 ==
스피로노락톤은 경구 투여시 생체이용률이 60~90%이다.[89][6][7] 스피로노락톤과 그 대사 산물의 생체이용률은 스피로노락톤을 음식과 함께 복용할 때 유의하게 증가(수준이 +22~95% 증가)하지만, 이것이 약물의 치료 효과를 더 증가시키는지 여부는 불확실하다.[216][214][215] 생체이용률 증가는 스피로노락톤의 위 용해 및 흡수 촉진, 그리고 초회 통과 효과 감소로 인한 것으로 생각된다.[216][217][218] 스피로노락톤의 주요 활성 대사 산물인 칸레논의 단일 투여량과 혈장 수준 간의 관계는 25~200mg의 스피로노락톤 투여 범위에서 선형적인 것으로 나타났다.[179] 스피로노락톤의 정상 상태 농도는 치료 시작 8~10일 이내에 달성된다.[219][220]
국소용 스피로노락톤은 전신 흡수가 거의 또는 전혀 관찰되지 않았다.[221]
== 분포 ==
스피로놀락톤과 그 대사체인 칸레논은 혈장 단백질 결합률이 매우 높으며, 각각 88.0%와 99.2%이다.[89][222] 스피로놀락톤은 알부민과 α1-산성 당단백질에 동일하게 결합하는 반면, 칸레논은 알부민에만 결합한다.[89][222] 스피로놀락톤과 그 대사체인 7α-티오스피로놀락톤은 성 호르몬 결합 글로불린(SHBG)에 대한 친화성이 매우 낮거나 거의 없다.[223][224] 이에 따라, 고용량 스피로놀락톤 치료 연구에서 SHBG 또는 코르티코스테로이드 결합 글로불린(CBG)과 관련된 스테로이드 결합 능력이 변하지 않는다는 것을 발견했는데, 이는 스피로놀락톤이 스테로이드 호르몬을 해당 운반체 단백질로부터 밀어내지 않는다는 것을 시사한다.[225] 이는 스피로놀락톤이 SHBG로부터 에스트라디올을 밀어냄으로써 유리 에스트라디올 수치를 증가시킨다는 광범위한 진술과 모순된다.[80][226]
스피로놀락톤은 혈액-뇌 장벽을 통과하는 것으로 보인다.[227][228]
== 대사 ==

스피로노락톤은 경구 투여 후 간에서 빠르게 광범위하게 대사되며, 1.4시간의 매우 짧은 생물학적 반감기를 갖는다.[89][6] 스피로노락톤의 주요 대사 물질은 7α-티오메틸스피로노락톤 (7α-TMS), 6β-히드록시-7α-티오메틸스피로노락톤 (6β-OH-7α-TMS), 칸레논 (7α-데스치오아세틸-δ6-스피로노락톤)이다.[89][6][230] 이들 대사 물질은 각각 13.8시간, 15.0시간, 16.5시간으로 스피로노락톤보다 훨씬 긴 제거 반감기를 가지며, 약물의 치료 효과를 담당한다.[89][6] 따라서 스피로노락톤은 전구약물이다.[231] 스피로노락톤의 7α-티오메틸화 대사 물질은 수년 동안 알려지지 않았으며, 원래 칸레논이 약물의 주요 활성 대사 물질로 생각되었지만, 후속 연구에서 7α-TMS가 주요 대사 물질로 확인되었다.[89][230][219] 스피로노락톤의 다른 알려진 부차적인 대사 물질로는 주요 스피로노락톤 대사 물질의 중요한 대사 중간체인 7α-티오스피로노락톤 (7α-TS)과 스피로노락톤의 7α-메틸 에틸 에스터 및 스피로노락톤의 6β-히드록시-7α-메틸 에틸 에스터가 있다.[232]
스피로노락톤은 카르복실에스터라아제에 의해 C7α 위치의 티오에스터에서 7α-TS로 가수 분해 또는 탈아세틸화된다.[233][234] 7α-TS가 형성된 후, 플라빈 함유 모노옥시게나아제에 의해 ''S''-산화되어 친전자성 설펜산 대사 물질을 형성한다.[233] 이 대사 물질은 스피로노락톤의 CYP450 억제에 관여하며, 다른 단백질에도 공유 결합한다.[233] 7α-TS는 또한 티올 S-메틸트란스퍼라아제에 의해 촉매되는 변환인 티올 ''S''-메틸화되어 7α-TMS로 변환된다.[233] 관련 약물인 에플레레논과 달리, 스피로노락톤은 CYP3A4에 의해 대사되지 않는다고 한다.[235] 그러나 간 CYP3A4는 7α-TMS의 6β-수산화를 6β-OH-7α-TMS로 만드는 데 관여할 가능성이 높다.[236][237] 7α-TMS는 C3α 및 C3β 위치에서 수산화될 수도 있다.[238] 스피로노락톤은 칸레논으로 탈티오아세틸화된다.[239] 마지막으로, 스피로노락톤의 C17 γ-락톤 고리는 파라옥소나아제 PON3에 의해 가수 분해된다.[240][241] 원래 PON1에 의해 가수 분해될 것으로 생각되었지만, 이는 PON3에 의한 오염 때문이었다.[240]
| 화합물 | 최고 농도 (1일차) | 최고 농도 (15일차) | 곡선하 면적 농도 (15일차) | 제거 반감기 |
|---|---|---|---|---|
| 스피로노락톤 | 72 ng/mL (173 nmol/L) | 80 ng/mL (192 nmol/L) | 231 ng•시간/mL (555 nmol•시간/L) | 1.4 시간 |
| 칸레논 | 155 ng/mL (455 nmol/L) | 181 ng/mL (532 nmol/L) | 2,173 ng•시간/mL (6,382 nmol•시간/L) | 16.5 시간 |
| 7α-티오메틸스피로노락톤 | 359 ng/mL (924 nmol/L) | 391 ng/mL (1,006 nmol/L) | 2,804 ng•시간/mL (7,216 nmol•시간/L) | 13.8 시간 |
| 6β-히드록시-7α-티오메틸스피로노락톤 | 101 ng/mL (250 nmol/L) | 125 ng/mL (309 nmol/L) | 1,727 ng•시간/mL (4,269 nmol•시간/L) | 15.0 시간 |
스피로노락톤의 소실 반감기는 2상성이며, α상: 1.8시간, β상: 11.6시간이지만[298], 스피로노락톤은 3가지 활성 대사체(7α-티오메틸스피로노락톤, 6β-히드록시-7α-티오메틸스피로노락톤, 칸레논)[299]로 변화하며, 그 결과 활성의 반감기는 길어진다(13.8~16.5시간).
== 배설 ==
대부분의 스피로놀락톤은 신장을 통해 배설되며, 미량만이 담즙을 통해 배설된다.[242]
6. 2. 1. 흡수
스피로노락톤은 생체이용률이 경구 투여시 60~90%이다.[89][6][7] 스피로노락톤과 그 대사 산물의 생체이용률은 스피로노락톤을 음식과 함께 복용할 때 유의하게 증가(수준이 +22~95% 증가)하지만, 이것이 약물의 치료 효과를 더 증가시키는지 여부는 불확실하다.[216][214][215] 생체이용률 증가는 스피로노락톤의 위 용해 및 흡수 촉진, 그리고 초회 통과 효과 감소로 인한 것으로 생각된다.[216][217][218] 스피로노락톤의 주요 활성 대사 산물인 칸레논의 단일 투여량과 혈장 수준 간의 관계는 25~200mg의 스피로노락톤 투여 범위에서 선형적인 것으로 나타났다.[179] 스피로노락톤의 정상 상태 농도는 치료 시작 8~10일 이내에 달성된다.[219][220]
국소용 스피로노락톤은 전신 흡수가 거의 또는 전혀 관찰되지 않았다.[221]
6. 2. 2. 분포
스피로놀락톤과 그 대사체인 칸레논은 혈장 단백질 결합률이 매우 높으며, 각각 88.0%와 99.2%이다.[89][222] 스피로놀락톤은 알부민과 α1-산성 당단백질에 동일하게 결합하는 반면, 칸레논은 알부민에만 결합한다.[89][222] 스피로놀락톤과 그 대사체인 7α-티오스피로놀락톤은 성 호르몬 결합 글로불린(SHBG)에 대한 친화성이 매우 낮거나 거의 없다.[223][224] 이에 따라, 고용량 스피로놀락톤 치료 연구에서 SHBG 또는 코르티코스테로이드 결합 글로불린(CBG)과 관련된 스테로이드 결합 능력이 변하지 않는다는 것을 발견했는데, 이는 스피로놀락톤이 스테로이드 호르몬을 해당 운반체 단백질로부터 밀어내지 않는다는 것을 시사한다.[225] 이는 스피로놀락톤이 SHBG로부터 에스트라디올을 밀어냄으로써 유리 에스트라디올 수치를 증가시킨다는 광범위한 진술과 모순된다.[80][226]스피로놀락톤은 혈액-뇌 장벽을 통과하는 것으로 보인다.[227][228]
6. 2. 3. 대사
스피로노락톤은 경구 투여 후 간에서 빠르게 광범위하게 대사되며, 1.4시간의 매우 짧은 생물학적 반감기를 갖는다.[89][6] 스피로노락톤의 주요 대사 물질은 7α-티오메틸스피로노락톤 (7α-TMS), 6β-히드록시-7α-티오메틸스피로노락톤 (6β-OH-7α-TMS), 칸레논 (7α-데스치오아세틸-δ6-스피로노락톤)이다.[89][6][230] 이들 대사 물질은 각각 13.8시간, 15.0시간, 16.5시간으로 스피로노락톤보다 훨씬 긴 제거 반감기를 가지며, 약물의 치료 효과를 담당한다.[89][6] 따라서 스피로노락톤은 전구약물이다.[231] 스피로노락톤의 7α-티오메틸화 대사 물질은 수년 동안 알려지지 않았으며, 원래 칸레논이 약물의 주요 활성 대사 물질로 생각되었지만, 후속 연구에서 7α-TMS가 주요 대사 물질로 확인되었다.[89][230][219] 스피로노락톤의 다른 알려진 부차적인 대사 물질로는 주요 스피로노락톤 대사 물질의 중요한 대사 중간체인 7α-티오스피로노락톤 (7α-TS)과 스피로노락톤의 7α-메틸 에틸 에스터 및 스피로노락톤의 6β-히드록시-7α-메틸 에틸 에스터가 있다.[232]
스피로노락톤은 카르복실에스터라아제에 의해 C7α 위치의 티오에스터에서 7α-TS로 가수 분해 또는 탈아세틸화된다.[233][234] 7α-TS가 형성된 후, 플라빈 함유 모노옥시게나아제에 의해 ''S''-산화되어 친전자성 설펜산 대사 물질을 형성한다.[233] 이 대사 물질은 스피로노락톤의 CYP450 억제에 관여하며, 다른 단백질에도 공유 결합한다.[233] 7α-TS는 또한 티올 S-메틸트란스퍼라아제에 의해 촉매되는 변환인 티올 ''S''-메틸화되어 7α-TMS로 변환된다.[233] 관련 약물인 에플레레논과 달리, 스피로노락톤은 CYP3A4에 의해 대사되지 않는다고 한다.[235] 그러나 간 CYP3A4는 7α-TMS의 6β-수산화를 6β-OH-7α-TMS로 만드는 데 관여할 가능성이 높다.[236][237] 7α-TMS는 C3α 및 C3β 위치에서 수산화될 수도 있다.[238] 스피로노락톤은 칸레논으로 탈티오아세틸화된다.[239] 마지막으로, 스피로노락톤의 C17 γ-락톤 고리는 파라옥소나아제 PON3에 의해 가수 분해된다.[240][241] 원래 PON1에 의해 가수 분해될 것으로 생각되었지만, 이는 PON3에 의한 오염 때문이었다.[240]
| 화합물 | 최고 농도 (1일차) | 최고 농도 (15일차) | 곡선하 면적 농도 (15일차) | 제거 반감기 |
|---|---|---|---|---|
| 스피로노락톤 | 72 ng/mL (173 nmol/L) | 80 ng/mL (192 nmol/L) | 231 ng•시간/mL (555 nmol•시간/L) | 1.4 시간 |
| 칸레논 | 155 ng/mL (455 nmol/L) | 181 ng/mL (532 nmol/L) | 2,173 ng•시간/mL (6,382 nmol•시간/L) | 16.5 시간 |
| 7α-티오메틸스피로노락톤 | 359 ng/mL (924 nmol/L) | 391 ng/mL (1,006 nmol/L) | 2,804 ng•시간/mL (7,216 nmol•시간/L) | 13.8 시간 |
| 6β-히드록시-7α-티오메틸스피로노락톤 | 101 ng/mL (250 nmol/L) | 125 ng/mL (309 nmol/L) | 1,727 ng•시간/mL (4,269 nmol•시간/L) | 15.0 시간 |
스피로노락톤의 소실 반감기는 2상성이며, α상: 1.8시간, β상: 11.6시간이지만[298], 스피로노락톤은 3가지 활성 대사체(7α-티오메틸스피로노락톤, 6β-히드록시-7α-티오메틸스피로노락톤, 칸레논)[299]로 변화하며, 그 결과 활성의 반감기는 길어진다(13.8~16.5시간).
6. 2. 4. 배설
대부분의 스피로놀락톤은 신장을 통해 배설되며, 미량만이 담즙을 통해 배설된다.[242]7. 화학
스피로놀락톤은 ''7α-아세틸티오스피로락톤''이라고도 하며, 스테로이드성 17α-스피로락톤이다.[243] 프로게스테론의 유도체로,[253][254][220] C17α 위치에 수산기가 치환되고(예: 17α-히드록시프로게스테론), C17β 위치의 아세틸기는 C17α 수산기와 고리화되어 스피로 21-카르복실산 γ-락톤 고리를 형성하며, 아세틸티오기가 C7α 위치에 치환되었다.[280][250][251] 이러한 구조적 변형은 경구 생체 이용률과 효능을 증가시키고,[244] 강력한 항안드로겐 활성을 가지며, 프로게스테론 활성은 크게 감소한다.[245] C7α 치환은 스피로놀락톤의 항안드로겐 활성과 관련이 있을 가능성이 높으며, 7α-티오프로게스테론(SC-8365)은 프로게스테론과 달리,[246] 스피로놀락톤과 유사한 AR에 대한 친화성을 가진 항안드로겐이다.[247] 또한 C7α 치환은 SC-5233과 같이 프로게스테론 활성의 손실과 스피로놀락톤의 우수한 경구 생체 이용률을 담당하는 것으로 보이며, C7α 치환이 없는 스피로놀락톤의 유사체는 프로게스테론과 유사하게 강력한 프로게스테론 활성을 가지지만 경구 생체 이용률은 매우 낮다.[246][248][249]
8. 역사
프로게스테론의 나트륨 이뇨 효과는 1955년에 입증되었으며, 곧이어 프로게스테론의 합성 화합물 구조적 유사체로서의 스피로노락톤이 개발되었다.[253][254][255][256] 스피로노락톤은 1957년에 처음 화학 합성되었으며,[17][255][256] 1958년에서 1961년 사이에 특허를 받았고,[257][258] 1959년에 항광물질 코르티코이드로 처음 판매되었다.[259][260]
1962년에는 여성형 유방이 스피로노락톤과 관련하여 처음 보고되었으며,[243][261] 1969년에는 이 약물의 항안드로겐 활성이 처음 기술되었다.[262] 이는 1967년에 여성형 유방이 AR 길항제의 중요하고 주요한 부작용이라는 발견에 따른 것이었다.[263][264]
스피로노락톤은 1978년에 여성의 다모증 치료에 처음 연구되었다.[265][266][267][268][269] 이후 미국에서 여성의 피부과 적응증에 가장 널리 사용되는 항안드로겐이 되었다.[86][270][271][272] 1986년에는 트랜스젠더 여성에서 항안드로겐으로 처음 연구되었으며, 이후 이 목적으로 널리 채택되었으며, 특히 시프로테론 아세테이트를 사용할 수 없는 미국에서 더욱 그러하다.[273][274][275]
초기 경구용 스피로노락톤 정제는 흡수가 잘 되지 않았다.[276] 이 제형은 결국 50 μg 미만의 미세화된 입자 크기 제형으로 변경되었으며, 이는 약 4배의 효능 증가를 가져왔다.[276][277]
9. 사회와 문화
9. 1. 일반명
스피로놀락톤의 영어, 프랑스어 및 일반 이름은 스피로노락톤이며, 이는 국제 일반 명칭(INN), 미국 채택 명칭(USAN), 미국 약전(USP), 영국 승인 명칭(BAN), 프랑스 일반 명칭(DCF), 일본 허용 명칭(JAN)이다.[278][279][280][281] 라틴어로는 스피로놀락토눔/spironolactonumla, 독일어로는 스피로놀락톤/Spironolactonde, 스페인어와 포르투갈어로는 에스피로놀락토나/espironolactonaes, 이탈리아어로는 스피로놀라토네/spironolattoneit (이것은 또한 이탈리아 일반 명칭(DCIT)이다)이다.[278][279][281]
스피로노락톤은 또한 개발 코드명 SC-9420 및 NSC-150339로 알려져 있다.[278][279][280]
9. 2. 상품명
스피로노락톤은 전 세계적으로 다양한 상표명으로 판매된다.[278][279] 스피로노락톤의 원래 상품명은 알닥톤(Aldactone)이다.[278][279] 다른 상표명으로는 알닥톤-A(Aldactone-A), 베를락톤(Berlactone), 카로스피르(CaroSpir), 에스피로노락토나(Espironolactona), 에스피로노락토나 젠파(Espironolactona Genfar), 노보-스피로톤(Novo-Spiroton), 프릴락톤(Prilactone) (수의학), 스피락틴(Spiractin), 스피리돈(Spiridon), 스피릭스(Spirix), 스피로크탄(Spiroctan), 스피로덤(Spiroderm) (단종),[88] 스피로감마(Spirogamma), 스피로헥살(Spirohexal), 스피롤론(Spirolon), 스피롤론(Spirolone), 스피론(Spiron), 스피로노락톤 악타비스(Spironolactone Actavis), 스피로노락톤 오리온(Spironolactone Orion), 스피로노락톤 테바(Spironolactone Teva), 스피로톤(Spirotone), 템포라(Tempora) (수의학), 유락톤(Uractone), 유락토넘(Uractonum), 베로스피론(Verospiron), 비비타(Vivitar) 등이 있다.[278][279]스피로노락톤은 또한 히드로클로로티아지드와 알닥타지드(Aldactazide), 히드로플루메티아지드와 알닥타이드(Aldactide), 라실락톤(Lasilacton), 라실락톤(Lasilactone), 스피로마이드(Spiromide), 알티지드와 알닥타신(Aldactacine) 및 알닥타진(Aldactazine), 푸로세미드와 프루셀락(Fruselac), 베나제프릴과 카르달리스(Cardalis) (수의학), 메톨라존과 메톨락톤(Metolactone), 벤드로플루메티아지드와 살리-알도푸르(Sali-Aldopur), 토라세미드와 디토르 플러스(Dytor Plus), 톨락톤(Torlactone) 및 자토르 플러스(Zator Plus)를 포함한 다양한 다른 약물과 복합 제형으로 구성된다.[279]
9. 3. 이용
스피로놀락톤은 전 세계적으로 판매되고 있다.[278][279]10. 연구
10. 1. 전립선 질환
스피로놀락톤은 전립선 비대증 치료에 고용량으로 연구되었다.[282][283][284] 3개월 치료 후 증상 완화 측면에서 위약보다 나은 것으로 나타났으나,[282][283] 6개월 후에는 이러한 효과가 대부분 사라져 장기적인 효과는 미미했다.[282][283][284] 잔뇨량이나 전립선 크기에 관해서는 스피로놀락톤과 위약 간에 차이가 없었다.[282][283] 약 5%의 사람들에게서 여성형 유방이 관찰되었다.[283] 이러한 결과로 스피로놀락톤은 전립선 비대증 치료에 역할이 없는 것으로 평가된다.[283]스피로놀락톤은 전립선암 치료에 제한적으로 연구 및 사용되어 왔다.[285][286][25]
10. 2. 엡스타인-바 바이러스
스피로놀락톤은 감염성 바이러스 생산에 필수적인 EBV 단백질 SM의 기능을 억제하여 엡스타인-바 바이러스(EBV) 및 기타 사람 헤르페스바이러스의 생산을 차단하는 것으로 밝혀졌다.[287] 스피로놀락톤의 이러한 효과는 항광물질코르티코이드 작용과는 무관한 것으로 확인되었다.[287]10. 3. 기타
스피로놀락톤은 남성과 여성 모두의 주사비 치료에 연구되어 왔다.[288][289][290][56][291] 여성의 섬유근육통 치료에도 연구되었다.[292][293] 또한 여성의 신경성 폭식증 치료에도 연구되었지만 효과가 없는 것으로 나타났다.[294]참조
[1]
서적
The Guide to Off-label Prescription Drugs: New Uses for FDA-approved Prescription Drugs
https://books.google[...]
Simon and Schuster
2016-11-06
[2]
서적
Pharmacology
https://books.google[...]
Lippincott Williams & Wilkins
2011-12-15
[3]
웹사이트
Aldactone 25 mg Film-Coated TabletsSummary of Product Characteristics (SmPC)
https://www.medicine[...]
2022-02-03
[4]
웹사이트
Qaialdo EPAR
https://www.ema.euro[...]
2023-07-25
[5]
웹사이트
Qaialdo
https://ec.europa.eu[...]
2023-05-31
[6]
간행물
Mineralocorticoid receptor antagonists and endothelial function
2008-09
[7]
간행물
Spironolactone
2017-02
[8]
서적
Oxford Textbook of Heart Failure
https://books.google[...]
OUP Oxford
2011-07-14
[9]
웹사이트
Spironolactone
https://www.drugs.co[...]
The American Society of Health-System Pharmacists
2015-10-24
[10]
간행물
Spironolactone for Adult Female Acne
2015-10
[11]
서적
Integrative Women's Health
https://books.google[...]
Oxford University Press
2015
[12]
웹사이트
Spironolactone Pregnancy and Breastfeeding Warnings
https://www.drugs.co[...]
The American Society of Health-System Pharmacists
2015-11-29
[13]
간행물
Anti-Androgenic Effects Comparison Between Cyproterone Acetate and Spironolactone in Transgender Women: A Randomized Controlled Trial
2021-07
[14]
간행물
Review of adult gender transition medications: mechanisms, efficacy measures, and pharmacogenomic considerations
2023
[15]
웹사이트
The Case Against Spironolactone
https://moderntransh[...]
2018-01
[16]
서적
Drug & Device Selection in Heart Failure
https://books.google[...]
JP Medical Ltd
2014-01-30
[17]
서적
Nuclear Receptors As Drug Targets
https://books.google[...]
John Wiley & Sons
2008-07-09
[18]
서적
The Practice of Medicinal Chemistry
https://books.google[...]
Academic Press
2008-07-24
[19]
서적
Pharmaceutical Manufacturing Encyclopedia
https://books.google[...]
William Andrew
[20]
서적
The selection and use of essential medicines 2023: web annex A: World Health Organization model list of essential medicines: 23rd list (2023)
World Health Organization
[21]
웹사이트
The Top 300 of 2022
https://clincalc.com[...]
2024-08-30
[22]
웹사이트
Spironolactone Drug Usage Statistics, United States, 2013 - 2022
https://clincalc.com[...]
[23]
간행물
Spironolactone with Physiological Female Steroids for Presurgical Therapy of Male-To-Female Transsexualism
1989
[24]
간행물
Mineralocorticoid receptor antagonists: the evolution of utility and pharmacology
2000-04
[25]
서적
Diuretics
Springer
[26]
간행물
Tolerance of spironolactone
1988-05
[27]
서적
Handbook of Hair in Health and Disease
https://books.google[...]
Springer Science & Business Media
2012-01-01
[28]
간행물
Evaluation and therapy of polycystic ovarian syndrome
1988-12
[29]
간행물
2013 ACCF/AHA guideline for the management of heart failure: a report of the American College of Cardiology Foundation/American Heart Association Task Force on Practice Guidelines
2013-10
[30]
간행물
Effects of spironolactone in heart failure with preserved ejection fraction: A meta-analysis of randomized controlled trials
2018-08
[31]
간행물
Role of spironolactone in the treatment of heart failure with preserved ejection fraction
2018-12
[32]
간행물
Eplerenone is not superior to older and less expensive aldosterone antagonists
2012-08
[33]
간행물
Spironolactone for hypertension
2010-08
[34]
간행물
Mineralocorticoid Receptor Antagonists in Primary Aldosteronism
2018
[35]
간행물
Primary aldosteronism in pregnancy
2022-05
[36]
논문
Primary aldosteronism and pregnancy
2016-06
[37]
논문
Progress in primary aldosteronism: mineralocorticoid receptor antagonists and management of primary aldosteronism in pregnancy
2015-01
[38]
논문
Treatment of primary hyperaldosteronism
2020-10
[39]
논문
Androgen action on human skin -- from basic research to clinical significance
[40]
논문
Oily Skin: A review of Treatment Options
2017-08
[41]
서적
Acne Vulgaris
https://books.google[...]
CRC Press
2011-03-21
[42]
서적
Pathogenesis and Treatment of Acne and Rosacea
https://books.google[...]
Springer
2014-07-28
[43]
논문
5alpha-reductase: history and clinical importance
[44]
서적
Biology of Women
https://books.google[...]
Cengage Learning
2017-07-05
[45]
서적
Penn Clinical Manual of Urology E-Book: Expert Consult - Online
https://books.google[...]
Elsevier Health Sciences
2017-07-05
[46]
서적
Intersex
https://books.google[...]
Berg
2017-07-05
[47]
서적
Hair Growth and Disorders
https://books.google[...]
Springer Science & Business Media
2017-07-16
[48]
논문
Oral Spironolactone in Post-teenage Female Patients with Acne Vulgaris: Practical Considerations for the Clinician Based on Current Data and Clinical Experience
2012-03
[49]
논문
Effectiveness of spironolactone for women with acne vulgaris (SAFA) in England and Wales: pragmatic, multicentre, phase 3, double blind, randomised controlled trial
2023-05
[50]
논문
Use of spironolactone in dermatology
[51]
논문
Hair loss in women
2015-03
[52]
논문
Female pattern hair loss in complete androgen insensitivity syndrome
2010-05
[53]
논문
An overview of animal toxicology studies with bicalutamide (ICI 176,334)
1997-05
[54]
서적
Medicinal Chemistry – Fusion of Traditional and Western Medicine
https://books.google[...]
Bentham Science Publishers
2013-04-04
[55]
서적
Gynecology: Integrating Conventional, Complementary, and Natural Alternative Therapy
https://books.google[...]
Lippincott Williams & Wilkins
2017-07-05
[56]
논문
Other antiandrogens
1998
[57]
웹사이트
Standards of Care for the Health of Transsexual, Transgender, and Gender Nonconforming People
http://www.wpath.org[...]
2012-05-27
[58]
논문
Endocrine treatment of transsexual persons: an Endocrine Society clinical practice guideline
2009-09
[59]
논문
Spironolactone with physiological female steroids for presurgical therapy of male-to-female transsexualism
1989-02
[60]
논문
Antiandrogens and acne. A topical approach?
1992-09
[61]
논문
Facial contact dermatitis due to spironolactone in an anti-acne cream
1993-11
[62]
서적
Diagnosis and Management of Polycystic Ovary Syndrome
Springer
[63]
논문
Hirsutism: an evidence-based treatment update
2014-07
[64]
논문
Interventions for hirsutism (excluding laser and photoepilation therapy alone)
2015-04
[65]
논문
Treatment Options for Hirsutism: A Systematic Review and Network Meta-Analysis
2018-04
[66]
논문
Update on idiopathic hirsutism: diagnosis and treatment
2013
[67]
논문
Combined Oral Contraception and Bicalutamide in Polycystic Ovary Syndrome and Severe Hirsutism: A Double-Blind Randomized Controlled Trial
2018-03
[68]
서적
Advanced Dermatologic Therapy II
https://books.google[...]
W. B. Saunders
2019-01-02
[69]
서적
Current Management of Polycystic Ovary Syndrome
https://books.google[...]
Cambridge University Press
2019-01-02
[70]
논문
Flutamide-induced hepatotoxicity: ethical and scientific issues
2017-03
[71]
논문
A Review of hormone-based therapies to treat adult acne vulgaris in women
2017-03
[72]
논문
Hirsutism, Acne, and Hair Loss: Management of Hyperandrogenic Cutaneous Manifestations of Polycystic Ovary Syndrome
[73]
논문
Hormonal therapies for acne
2017
[74]
논문
The use of hormonal agents in the treatment of acne
2016-06
[75]
논문
Androgens in women: Hormone-modulating therapies for skin disease
2019-06
[76]
논문
Hormonal therapy for acne: why not as first line therapy? facts and controversies
2010
[77]
논문
Interventions for female pattern hair loss
2016-05
[78]
논문
Acne in the adult female patient: a practical approach
2012-10
[79]
논문
Spironolactone versus placebo or in combination with steroids for hirsutism and/or acne
2009-04
[80]
서적
Hair and Hair Diseases
Springer
[81]
논문
Spironolactone, a possible selective androgen receptor modulator, should be used with caution in patients with metastatic carcinoma of the prostate
2012-02
[82]
논문
Gender-Affirming Hormone Therapy for Transgender Females
2018-12
[83]
서적
European Drug Index: European Drug Registrations
https://books.google[...]
CRC Press
2017-11-29
[84]
서적
Gibaldi's Drug Delivery Systems in Pharmaceutical Care
https://books.google[...]
ASHP
2016-12-01
[85]
서적
Handbook of Pharmaceutical Manufacturing Formulations, Second Edition: Volume One, Compressed Solid Products
https://books.google[...]
CRC Press
2016-12-01
[86]
서적
Systemic Drug Treatment in Dermatology: A Handbook
https://books.google[...]
CRC Press
2016-12-01
[87]
웹사이트
Drugs@FDA: FDA Approved Drug Products
http://www.accessdat[...]
U.S. [[Food and Drug Administration]] (FDA)
2018-08-14
[88]
서적
Diagnosis and Management of Polycystic Ovary Syndrome
https://books.google[...]
Springer Science & Business Media
2016-11-06
[89]
논문
Pharmacokinetics and pharmacodynamics of mineralocorticoid blocking agents and their effects on potassium homeostasis
2005-01
[90]
서적
Cardio-Renal Clinical Challenges
https://books.google[...]
Springer
2018-08-17
[91]
서적
Reproductive Endocrinology and Infertility: Integrating Modern Clinical and Laboratory Practice
https://books.google[...]
Springer Science & Business Media
2016-10-06
[92]
서적
Pediatric Endocrinology: Mechanisms, Manifestations, and Management
https://books.google[...]
Lippincott Williams & Wilkins
[93]
논문
Hyperkalemia and Acute Kidney Injury with Spironolactone Use Among Patients with Heart Failure
2020-11
[94]
웹사이트
Spironolactone
https://medlineplus.[...]
U.S. National Library of Medicine
2019-10-31
[95]
논문
Spironolactone and risk of upper gastrointestinal events: population based case-control study
2006-08
[96]
논문
Spironolactone use and the risk of upper gastrointestinal bleeding: a population-based case-control study
2008-08
[97]
논문
"[Aldactone in the treatment of sarcoidosis of the lungs (author's transl)]"
1977-07
[98]
서적
Meyler's Side Effects of Cardiovascular Drugs
https://books.google[...]
Elsevier
2016-10-16
[99]
논문
Safety profile of mineralocorticoid receptor antagonists: Spironolactone and eplerenone
2015-12
[100]
논문
Rates of hyperkalemia after publication of the Randomized Aldactone Evaluation Study
2004-08
[101]
서적
Critical Care Nephrology E-Book
https://books.google[...]
Elsevier Health Sciences
2018-08-17
[102]
논문
Mineralocorticoid receptor antagonists for heart failure with reduced ejection fraction: integrating evidence into clinical practice
2012-11
[103]
논문
Spironolactone use and renal toxicity: population based longitudinal analysis
2010-05
[104]
논문
Trimethoprim-sulfamethoxazole induced hyperkalaemia in elderly patients receiving spironolactone: nested case-control study
2011-09
[105]
논문
Trimethoprim-sulfamethoxazole and risk of sudden death among patients taking spironolactone
2015-03
[106]
논문
Oral Spironolactone for Acne Vulgaris in Adult Females: A Hybrid Systematic Review
2017-04
[107]
논문
Guidelines of care for the management of acne vulgaris
2016-05
[108]
논문
Low Usefulness of Potassium Monitoring Among Healthy Young Women Taking Spironolactone for Acne
2015-09
[109]
논문
The Utility of Potassium Monitoring in Gender-Diverse Adolescents Taking Spironolactone
2019-05
[110]
논문
The Utility of Monitoring Potassium in Transgender, Gender Diverse, and Nonbinary
2022-10
[111]
서적
Principles and Practice of Endocrinology and Metabolism
https://books.google[...]
Lippincott Williams & Wilkins
2018-05-06
[112]
논문
Managing hirsutism in gynaecological practice
1998-07
[113]
논문
Current aspects of antiandrogen therapy in women
1999-09
[114]
서적
Diuretic Agents: Clinical Physiology and Pharmacology
https://books.google[...]
Academic Press
1997-09-23
[115]
서적
Interventional Therapies for Secondary and Essential Hypertension
https://books.google[...]
Springer
2016-10-16
[116]
서적
Side Effects of Drugs Annual: A worldwide yearly survey of new data in adverse
https://books.google[...]
Elsevier Science
2014-12-01
[117]
서적
Clinical Pharmacology and Therapeutics of Hypertension
https://books.google[...]
Elsevier
2016-10-06
[118]
논문
Drug-induced gynecomastia
1993
[119]
서적
Therapy in Nephrology and Hypertension E-Book: A Companion to Brenner & Rector's
https://books.google[...]
Elsevier Health Sciences
2018-08-17
[120]
논문
Drug-induced gynecomastia
2008-11
[121]
논문
Gynecomastia: pathomechanisms and treatment strategies
1997
[122]
논문
Spironolactone for hirsutism in polycystic ovary syndrome
2005-09
[123]
논문
Spironolactone as a single agent for long-term therapy of hirsute patients
2000-05
[124]
논문
Treatment of hyperandrogenism in women
[125]
논문
Hirsutism and the effectiveness of spironolactone in its management
1993-12
[126]
논문
Absence of progestational activity of oral spironolactone
1989-07
[127]
논문
The Menstrual Cycle and Risk of Breast Cancer: A Review
2020
[128]
서적
Hidradenitis Suppurativa
https://books.google[...]
Springer Science & Business Media
2018-08-15
[129]
논문
The brain mineralocorticoid receptor and stress resilience
2015-02
[130]
학위논문
The Role of the Mineralocorticoid Receptor for Cognitive Function, Mood and
https://refubium.fu-[...]
2018-12-27
[131]
논문
The rationale for corticotropin-releasing hormone receptor (CRH-R) antagonists
1999
[132]
서적
Current Concepts in Transgender Identity
Taylor & Francis
2019-01-02
[133]
논문
The cardiometabolic effect of current management of polycystic ovary syndrome:
2018-02
[134]
논문
Short term effects of spironolactone on blood lipid profile: a 3-month study
2009-10
[135]
논문
2018 AHA/ACC/AACVPR/AAPA/ABC/ACPM/ADA/AGS/APhA/ASPC/NLA/PCNA Guideline on
2019-06
[136]
논문
Standards of Care for the Health of Transgender and Gender Diverse People,
2022-08
[137]
논문
Sex, plasma lipoproteins, and atherosclerosis: prevailing assumptions and outstanding
1987-12
[138]
논문
Pharmacological Approaches to Controlling Cardiometabolic Risk in Women with
2020-12
[139]
논문
Safety of spironolactone use in ambulatory heart failure patients
2008-11
[140]
논문
Spironolactone-induced hepatitis
2001-08
[141]
웹사이트
Aldactazide (spironolactone/hydrochlorothiazide) Tablets
https://www.fda.gov/[...]
2014-03-03
[142]
웹사이트
online.lexi.com/lco/[...]
[143]
논문
Spironolactone bodies in aldosteronomas and in the attached adrenals. Enzyme histochemical study of 19 cases of primary aldosteronism and a case of aldosteronism due to bilateral diffuse hyperplasia of the zona glomerulosa
1981-06
[144]
서적
Drugs and Pregnancy: A Handbook
https://books.google[...]
CRC Press
2006-09-29
[145]
서적
Prescribing in Pregnancy
https://books.google[...]
John Wiley & Sons
2008-04-30
[146]
서적
Drugs in Pregnancy and Lactation: A Reference Guide to Fetal and Neonatal Risk
https://books.google[...]
Lippincott Williams & Wilkins
[147]
서적
Cardiac Problems in Pregnancy: Diagnosis and Management of Maternal and Fetal Heart Disease
https://books.google[...]
John Wiley & Sons
1998-06-23
[148]
서적
Drugs During Pregnancy and Lactation: Handbook of Prescription Drugs and Comparative Risk Assessment
https://books.google[...]
Gulf Professional Publishing
[149]
서적
Neonatal Formulary: Drug Use in Pregnancy and the First Year of Life
https://books.google[...]
John Wiley & Sons
2014-11-10
[150]
서적
Australian Drug Guide
https://books.google[...]
Black Inc.
[151]
논문
Lack of evidence for feminization of males exposed to spironolactone in utero: A systematic review
2019-04
[152]
논문
The evolution of aldosterone antagonists
2004-03
[153]
웹사이트
Advisory Statement
http://www.losalt.co[...]
Klinge Chemicals / LoSalt
2007-03-15
[154]
논문
Life-threatening hyperkalemia: a potentially lethal drug combination
2013-09
[155]
서적
Opioids in Cancer Pain
https://books.google[...]
OUP Oxford
2016-10-06
[156]
논문
Spironolactone in dermatologic therapy
1991-02
[157]
서적
Comprehensive Dermatologic Drug Therapy
https://books.google[...]
Elsevier Health Sciences
2017-05-07
[158]
논문
Hormonal Treatment of Transgender Women with Oral Estradiol
2018
[159]
서적
Encyclopedia of Drug Metabolism and Interactions
Wiley
[160]
웹사이트
Aldactone- spironolactone tablet, film coated
https://dailymed.nlm[...]
2020-01-01
[161]
논문
Treatment of polycystic ovary syndrome with spironolactone plus licorice
2007-03
[162]
논문
Inhibition of the "mineralocorticoid" activity of licorice by spironolactone
1962-11
[163]
논문
Licorice abuse: time to send a warning message
2012-08
[164]
논문
An unusual cause of hypokalemic paralysis: chronic licorice ingestion
2003-03
[165]
논문
Mineralocorticoid receptor antagonists
2007-03
[166]
논문
The Rationale for Corticotropin-Releasing Hormone Receptor (CRH-R) Antagonists to Treat Depression and Anxiety
1999
[167]
논문
Modulation of the mineralocorticoid receptor as add-on treatment in depression: a randomized, double-blind, placebo-controlled proof-of-concept study
2010-04
[168]
논문
Antidepressant-like effects of mineralocorticoid but not glucocorticoid antagonists in the lateral septum: interactions with the serotonergic system
2011-09
[169]
서적
Ascites and Renal Dysfunction in Liver Disease: Pathogenesis, Diagnosis, and Treatment
https://books.google[...]
John Wiley & Sons
2018-05-06
[170]
서적
Heart Failure: Pharmacologic Management
https://books.google[...]
John Wiley & Sons
2018-08-13
[171]
서적
Pharmacology
https://books.google[...]
Wolter Kluwer Health
2015-06-15
[172]
논문
Diuretics in the treatment of hypertension. Part 2: loop diuretics and potassium-sparing agents
2014-04
[173]
논문
Androgens and therapeutic aspects of antiandrogens in women
1995
[174]
논문
Spironolactone and endocrine dysfunction
1976-11
[175]
논문
The spironolactone renaissance
2001-05
[176]
서적
Yen and Jaffe's Reproductive Endocrinology
https://books.google[...]
Elsevier Health Sciences
2013-09-13
[177]
논문
Treatment of hirsutism with spironolactone
1986-05
[178]
서적
Essentials of Strength Training and Conditioning 4th Edition
https://books.google[...]
Human Kinetics
2015-09-23
[179]
서적
Comprehensive Dermatologic Drug Therapy E-Book
https://books.google[...]
Elsevier Health Sciences
2012-10-18
[180]
서적
Chronic Hyperandrogenic Anovulation
https://books.google[...]
CRC Press
1990-12-15
[181]
논문
Antiandrogen therapy in dermatology
1996-11
[182]
논문
Chemical suppression of steroidogenesis
1981-04
[183]
논문
Polycystic ovary syndrome: chemical pharmacotherapy
2015-06
[184]
논문
Contrasting effects of eplerenone and spironolactone on adrenal cell steroidogenesis
2009-01
[185]
서적
Brody's Human Pharmacology - E-Book
https://books.google[...]
Elsevier Health Sciences
2009-04-01
[186]
논문
Antiandrogen and hormonal treatment of acne
1996-10
[187]
논문
On the inhibitory action of 29 drugs having side effect gynecomastia on estrogen production
2002-10
[188]
논문
Pathophysiology of spironolactone-induced gynecomastia
1977-10
[189]
논문
Inhibitors of 17 beta-hydroxysteroid dehydrogenases
2003-03
[190]
논문
Advances in development of inhibitors of 17beta hydroxysteroid dehydrogenases
2009-07
[191]
논문
Spironolactone use and the risk of breast and gynecologic cancers
2013-12
[192]
논문
Type 2 17-β hydroxysteroid dehydrogenase as a novel target for the treatment of osteoporosis
2015
[193]
서적
Pharmacologic Approaches to Heart Failure, An Issue of Heart Failure Clinics, E-Book
https://books.google[...]
Elsevier Health Sciences
2014-10-28
[194]
논문
Blockade of the mineralocorticoid receptor in healthy men: effects on experimentally induced panic symptoms, stress hormones, and cognition
2007-01
[195]
논문
Role of mineralocorticoid receptors on the hypothalamus-pituitary-adrenal axis in humans
2013-02
[196]
논문
Mineralocorticoid receptor function in depressed patients and healthy individuals
2016-11
[197]
서적
Clinical Reproductive Medicine and Surgery
https://books.google[...]
Elsevier Health Sciences
2007-01-01
[198]
논문
Non-interaction of spironolactone medication and cortisol metabolism in man
1978-02
[199]
논문
Effect of eplerenone versus spironolactone on cortisol and hemoglobin A1(c) levels in patients with chronic heart failure
2010-11
[200]
서적
Hepatology: Textbook and Atlas
https://books.google[...]
Springer Science & Business Media
2009-03-11
[201]
서적
Williams Textbook of Endocrinology E-Book
https://books.google[...]
Elsevier Health Sciences
2011-05-12
[202]
논문
The nuclear pregnane X receptor: a key regulator of xenobiotic metabolism
2002-10
[203]
논문
Spironolactone and intermenstrual bleeding in polycystic ovary syndrome with normal BMI
2016-09
[204]
논문
Mineralocorticoid receptor antagonists: the evolution of utility and pharmacology
2000-04
[205]
논문
The human orphan nuclear receptor PXR is activated by compounds that regulate CYP3A4 gene expression and cause drug interactions
1998-09
[206]
논문
Spironolactone: disposition, metabolism, pharmacodynamics, and bioavailability
1978
[207]
논문
Aspects on pharmacokinetics of some diuretics
1984
[208]
논문
The metabolism and biopharmaceutics of spironolactone in man
1987
[209]
논문
Update in diuretic therapy: clinical pharmacology
2011-11
[210]
논문
Molecular pharmacology of the mineralocorticoid receptor: prospects for novel therapeutics
2012-03
[211]
논문
Mineralocorticoid receptor antagonists-pharmacodynamics and pharmacokinetic differences
2016-04
[212]
서적
Steroidal and Novel Non-steroidal Mineralocorticoid Receptor Antagonists in Heart Failure and Cardiorenal Diseases: Comparison at Bench and Bedside
Springer
2017
[213]
논문
Simultaneous determination of spironolactone and its metabolites in human plasma
1996-06
[214]
논문
Influence of food on the bioavailability of spironolactone
1986-11
[215]
논문
Enhancement by food of canrenone bioavailability from spironolactone
1977-07
[216]
논문
Pharmacological treatment of aldosterone excess
2015-10
[217]
논문
Biological actions and metabolism of currently used pharmacological agents for the treatment of congestive heart failure
2009-03
[218]
논문
Spironolactone
[219]
서적
Some Thyrotropic Agents
https://books.google[...]
World Health Organization
2016-10-06
[220]
서적
Aldosterone
https://books.google[...]
Elsevier Science
2019-01-23
[221]
논문
Lack of endocrine systemic side effects after topical application of spironolactone in man
1988-04
[222]
논문
Interactions of aldosterone antagonist diuretics with human serum proteins
1997-04
[223]
논문
Interaction of digitalis and spironolactone with human sex steroid receptors
1978-02
[224]
논문
Transport of steroid hormones: interaction of 70 drugs with testosterone-binding globulin and corticosteroid-binding globulin in human plasma
1981-07
[225]
논문
"[Binding capacity of sex hormone binding globulin and corticosteroid-binding globulin in serum of male patients with liver cirrhosis (author's transl)]"
1980-02
[226]
서적
The Breast: Comprehensive Management of Benign and Malignant Diseases
https://books.google[...]
Elsevier Health Sciences
2009-09-09
[227]
논문
Genetic, molecular and clinical determinants for the involvement of aldosterone and its receptors in major depression
2014
[228]
논문
Psychopathological symptoms in patients with primary hyperaldosteronism--possible pathways
2012-03
[229]
논문
High-performance liquid chromatographic determination of spironolactone and its metabolites in human biological fluids after solid-phase extraction
1992-02
[230]
논문
A safe and practical method for the preparation of 7α-thioether and thioester derivatives of spironolactone
2013-01
[231]
서적
Oxford Textbook of Medicine: Vol. 1
https://books.google[...]
Oxford University Press
[232]
서적
Pharmaceutical Chemistry of Antihypertensive Agents
https://books.google[...]
CRC Press
1990-12-19
[233]
서적
Biotransformation of Xenobiotics
https://books.google[...]
McGraw-Hill
[234]
서적
Metabolism of Drugs and Other Xenobiotics
https://books.google[...]
John Wiley & Sons
2012-02-23
[235]
서적
Pharmacology for Nurses
https://books.google[...]
Jones & Bartlett Publishers
2014-11-01
[236]
서적
Casarett & Doull's Toxicology: The Basic Science of Poisons, Seventh Edition
https://books.google[...]
McGraw Hill Professional
2007-12-11
[237]
서적
Cytochrome P450: Structure, Mechanism, and Biochemistry
https://books.google[...]
Springer
2015-03-13
[238]
논문
Hepatic metabolism of spironolactone. Production of 3-hydroxy-thiomethyl metabolites
1994
[239]
서적
Hypertension: A Companion to Braunwald's Heart Disease
https://books.google[...]
Elsevier Health Sciences
2006-12-28
[240]
논문
Pharmacogenetics of paraoxonases: a brief review
2004-01
[241]
서적
Advances in Clinical Chemistry
https://books.google[...]
Academic Press
2012-12-31
[242]
서적
Analytical Profiles of Drug Substances and Excipients
https://books.google[...]
Academic Press
2002-11-26
[243]
논문
30 YEARS OF THE MINERALOCORTICOID RECEPTOR: Mineralocorticoid receptor antagonists: 60 years of research and development
2017-07
[244]
논문
Micronized progesterone: vaginal and oral uses
1995-12
[245]
논문
Molecular mechanisms of mineralocorticoid receptor antagonism by eplerenone
2005-08
[246]
간행물
Pharmacology of estrogens and progestogens: influence of different routes of administration
2005-08
[247]
간행물
SC 25152: A potent mineralocorticoid antagonist with reduced affinity for the 5 alpha-dihydrotestosterone receptor of human and rat prostate
1978-07
[248]
간행물
Progestational activity of certain steroid-17-spirolactones
1958-11
[249]
서적
The British Encyclopaedia of Medical Practice: Medical progress
https://books.google[...]
Butterworth & Company
2018-02-02
[250]
웹사이트
Spironolactone
https://pubchem.ncbi[...]
2017-07-04
[251]
웹사이트
Spironolactone {{pipe}} C24H32O4S
http://www.chemspide[...]
Royal Society of Chemistry
2017-07-04
[252]
간행물
Synthetic approaches towards the multi target drug spironolactone and its potent analogues/derivatives
2017-02
[253]
간행물
The 45-year story of the development of an anti-aldosterone more specific than spironolactone
2004-03
[254]
서적
Endocrinology - E-Book: Adult and Pediatric
https://books.google[...]
Elsevier Health Sciences
2010-05-18
[255]
간행물
Action of new steroids in blocking effects of aldosterone and desoxycorticosterone on salt
1957-11
[256]
간행물
Sodium diuresis induced by steroidal antagonists of aldosterone
1957-11
[257]
서적
Pharmaceutical Substances, 5th Edition, 2009: Syntheses, Patents and Applications of the most relevant APIs
https://books.google[...]
Thieme
2016-12-27
[258]
서적
Pharmaceutical Innovation: Revolutionizing Human Health
https://books.google[...]
Chemical Heritage Foundation
2016-12-27
[259]
서적
Aging and Heart Failure: Mechanisms and Management
https://books.google[...]
Springer Science & Business Media
2016-12-27
[260]
서적
The Practice of Medicinal Chemistry
https://books.google[...]
Academic Press
2011-05-02
[261]
간행물
Spironolactone and gynaecomastia
[262]
간행물
Anti-androgenic activity of spironolactone
1969-10
[263]
간행물
Antiandrogens and the skin
1978-04
[264]
간행물
Endocrinology: Relationship Between the Plasma Levels of Luteinizing Hormone and Progesterone During the Normal Menstrual Cycle
[265]
간행물
Androgen antagonists in androgen target tissues
1984
[266]
간행물
Spironolactone in the treatment of polycystic ovary syndrome
2016-09
[267]
간행물
Spironolactone therapy for hirsutism in a hyperandrogenic woman
1978-11
[268]
간행물
New therapeutic approach to the hirsute patient
1979-09
[269]
간행물
A novel use of spironolactone: treatment of hirsutism
1980-09
[270]
서적
Glass' Office Gynecology
https://books.google[...]
Lippincott Williams & Wilkins
[271]
서적
The Polycystic Ovary Syndrome
https://books.google[...]
Orient Blackswan
2017-07-04
[272]
서적
Practical Pediatric and Adolescent Gynecology
https://books.google[...]
John Wiley & Sons
2017-07-04
[273]
간행물
Physical Aspects of Transgender Endocrine Therapy
[274]
간행물
Spironolactone in the presurgical therapy of male to female transsexuals: Philosophy and experience of the Vancouver Gender Dysphoria Clinic
[275]
서적
Management of Gender Dysphoria
Springer
[276]
서적
Steroidal Activity in Experimental Animals and Man
https://books.google[...]
Elsevier Science
2016-12-05
[277]
서적
Aldosterone: International Series of Monographs in Pure and Applied Biology
https://books.google[...]
Elsevier Science
2020-12-31
[278]
서적
Index Nominum 2000: International Drug Directory
https://books.google[...]
Taylor & Francis
2000-01
[279]
웹사이트
Spironolactone
https://www.drugs.co[...]
2016-12-01
[280]
서적
The Dictionary of Drugs: Chemical Data: Chemical Data, Structures and Bibliographies
https://books.google[...]
Springer
2014-11-14
[281]
서적
Concise Dictionary of Pharmacological Agents: Properties and Synonyms
https://books.google[...]
Springer Science & Business Media
1999-10-31
[282]
서적
Benign Prostatic Hypertrophy
https://books.google[...]
Springer Science & Business Media
2017-07-30
[283]
저널
Endocrine treatment of benign prostatic hypertrophy: current concepts
1991-01
[284]
저널
A double-blind, controlled, clinical trial of spironolactone for benign prostatic hypertrophy
1971-07
[285]
저널
Hormonal Therapy of Prostatic Cancer
1980-04
[286]
저널
New methods of endocrine management of prostatic cancer
1987-01
[287]
저널
Spironolactone blocks Epstein-Barr virus production by inhibiting EBV SM protein function
2016-03
[288]
저널
Rosacea: II. Therapy
2004-10
[289]
저널
Rosacea and its comorbidities
[290]
서적
Pathogenesis and Treatment of Acne and Rosacea
Springer
[291]
저널
Spironolactone may reduce the risk of incident rosacea
2013-10
[292]
저널
Long-term efficacy of spironolactone on pain, mood, and quality of life in women with fibromyalgia: An observational case series
2014-04
[293]
저널
From patient observation to potential new therapies-Is old spironolactone a new analgesic?
2014-04
[294]
저널
Current pharmacotherapy options for bulimia nervosa and binge eating disorder
2012-10
[295]
서적
新獣医薬理学 第二版
近代出版
[296]
저널
Topical Mineralocorticoid Receptor Blockade Limits Glucocorticoid-Induced Epidermal Atrophy in human Skin
http://www.nature.co[...]
2015-03-29
[297]
웹사이트
治療抵抗性高血圧の約6割がスピロノラクトンで血圧コントロール良好に
http://mtpro.medical[...]
MT Pro
2015-09-05
[298]
웹사이트
アルダクトンA細粒1%/アルダクトンA錠25mg/アルダクトンA錠50mg 添付文書
https://www.info.pmd[...]
2012-10
[299]
웹사이트
アルダクトンA細粒10%/ アルダクトンA錠25mg/ アルダクトンA錠50mg インタビューフォーム
https://www.info.pmd[...]
PMDA
2021-08-30
[300]
서적
The Guide to Off-label Prescription Drugs: New Uses for FDA-approved Prescription Drugs
https://books.google[...]
Simon and Schuster
[301]
서적
Pharmacology
https://books.google[...]
Lippincott Williams & Wilkins
2011-12-15
[302]
웹인용
Spironolactone
https://www.drugs.co[...]
The American Society of Health-System Pharmacists
2015-10-24
[303]
서적
Diagnosis and Management of Polycystic Ovary Syndrome
https://books.google[...]
Springer Science & Business Media
2009-02-27
[304]
저널
Pharmacokinetics and Pharmacodynamics of Mineralocorticoid Blocking Agents and their Effects on Potassium Homeostasis
[305]
저널
Mineralocorticoid receptor antagonists and endothelial function
[306]
저널
Spironolactone
[307]
저널
Interactions of Aldosterone Antagonist Diuretics with Human Serum Proteins
[308]
서적
Biotransformation of Xenobiotics
https://books.google[...]
McGraw-Hill
[309]
서적
Casarett & Doull's Toxicology: The Basic Science of Poisons, Seventh Edition
https://books.google[...]
McGraw Hill Professional
2007-12-11
[310]
저널
Hepatic metabolism of spironolactone. Production of 3-hydroxy-thiomethyl metabolites
http://dmd.aspetjour[...]
1994
[311]
서적
Hypertension: A Companion to Braunwald's Heart Disease
https://books.google[...]
Elsevier Health Sciences
2006-12-28
[312]
저널
Pharmacogenetics of paraoxonases: a brief review
2004-01
[313]
서적
Oxford Textbook of Heart Failure
https://books.google[...]
OUP Oxford
2011-07-14
본 사이트는 AI가 위키백과와 뉴스 기사,정부 간행물,학술 논문등을 바탕으로 정보를 가공하여 제공하는 백과사전형 서비스입니다.
모든 문서는 AI에 의해 자동 생성되며, CC BY-SA 4.0 라이선스에 따라 이용할 수 있습니다.
하지만, 위키백과나 뉴스 기사 자체에 오류, 부정확한 정보, 또는 가짜 뉴스가 포함될 수 있으며, AI는 이러한 내용을 완벽하게 걸러내지 못할 수 있습니다.
따라서 제공되는 정보에 일부 오류나 편향이 있을 수 있으므로, 중요한 정보는 반드시 다른 출처를 통해 교차 검증하시기 바랍니다.
문의하기 : help@durumis.com