균계
"오늘의AI위키"의 AI를 통해 더욱 풍부하고 폭넓은 지식 경험을 누리세요.
1. 개요
균계는 균사로 구성된 영양체, 포자를 통한 번식, 키틴질 세포벽 등의 특징을 가지는 생물군이다. 대부분의 균류는 유성 생식과 무성 생식을 모두 하며, 생활사는 규칙적이지 않다. 균류는 식물계와 구별되는 별개의 계로 약 10억 년 전에 분화되었으며, 진핵 세포 구조를 가지고 있다. 동물처럼 엽록체는 없지만, 세포벽과 액포를 가진다. 균류는 100종 이상에서 생물발광 현상을 보이며, 키틴-글루칸 복합체로 세포벽을 형성한다. 균류는 다양한 환경에서 서식하며, 부생, 기생, 공생 생활을 한다.
균류는 다양한 효소계를 활용하여 발효 식품, 의약품 등 다양한 산업 분야에 이용된다. 균류는 진균류, 즉 통곰팡이류, 접합균류, 자낭균류, 담자균류 등으로 분류되며, 이 중 자낭균류와 담자균류가 좁은 의미의 진균류로 다루어진다. 균류는 후편모생물에 속하며, 키트리디오균류, 네오칼리마스티고균류, 블라스토클라디오균류 등으로 세분된다.
균학은 균류를 연구하는 생물학의 한 분야로, 유전적, 생화학적 특성, 분류학, 활용, 위험성 등을 포함한다. 균류는 균사, 분생자병, 포자 등을 포함하는 다양한 형태를 가지며, 고체 기질 위나 내부에서 균사체 형태로, 또는 수생 환경에서 단세포 형태로 자란다. 균류의 번식은 유성 생식과 무성 생식을 통해 이루어지며, 감수분열을 통해 유성 생식이 일어난다.
균류는 화석 기록이 빈약하지만, 24억 년 전의 화석이 발견되었으며, 분자 계통 발생 연구를 통해 약 7억 6천만 년에서 10억 6천만 년 전에 출현한 것으로 추정된다. 균류는 육상 식물과 공진화하며, 곤충과도 공생 관계를 맺는다.
균류는 분류학적으로 7개의 문으로 분류되며, 자낭균문과 담자균문이 가장 큰 그룹이다. 균류는 식용, 식품 가공, 의약품, 생물학적 방제, 생물 정화 등 다양한 분야에서 활용되며, 모델 생물로도 사용된다. 그러나 일부 균류는 독성을 가지고 있어, 중독, 알레르기 반응, 심각한 질병을 유발할 수 있다.
더 읽어볼만한 페이지
- 민꽃식물 - 양치식물
양치식물은 석송문과 양치식물문으로 구성되며, 고사리류가 다양성의 대부분을 차지하고, 뿌리, 줄기, 잎을 가지며 포자체와 배우체가 세대교번하는 관속식물이다. - 민꽃식물 - 지의류
지의류는 균류와 조류 또는 시아노박테리아의 공생체로, 다양한 형태와 색깔을 가지며 극한 환경에서도 생존하는 복합 유기체로서, 대기오염 지표생물로 활용되는 등 환경 변화에 민감하며 다양한 분야에서 이용된다. - 균계 - 곰팡이
곰팡이는 균류의 일종으로, 유기물 분해를 통해 생태계에 기여하고 포자를 통해 번식하며, 식품 및 의약품 생산에 이용되기도 하지만 알레르기 반응이나 호흡기 질환을 유발하거나 건물 내에서 건강 문제를 야기할 수도 있다. - 균계 - 쌍핵균류
쌍핵균류는 자낭균문, 담자균문, 엔토르리자문을 포함하는 진균류 아계로, 각 문은 자낭포자를 형성하는 자낭균류, 다양한 종의 담자균류, 토양 생태계에서 중요한 역할을 하는 엔토르리자류를 포함하며, 분자생물학적 연구에 따라 분류가 수정되고 계통 유연 관계 연구가 활발히 진행 중이다. - 생물 계통도에 관한 - 눈표범
눈표범은 고양이과 동물로 중앙아시아와 남아시아의 고산 지대에 서식하며, 길고 두꺼운 털, 큰 발, 긴 꼬리가 특징이며, 유전자 분석 결과 호랑이와 가장 가까운 종으로 밝혀졌으며, 밀렵과 서식지 파괴로 인해 개체 수가 감소하여 여러 국가에서 보호 노력이 진행 중이다. - 생물 계통도에 관한 - 벵골호랑이
벵골호랑이는 인도아대륙에서 서식하는 호랑이 아종으로, 노란색~주황색 털과 검은 줄무늬를 가지며, 멧돼지, 사슴 등 우제류를 먹이로 하며, 서식지 파괴와 밀렵으로 인해 제한적인 지역에서 서식한다.
2. 특징
균계는 대부분 균사로 이루어진 영양체를 가지며, 유성 또는 무성생식으로 포자를 만들어 번식한다.[11][12] 세포벽은 대부분 키틴질로 되어 있다. 운동성이 있는 균류는 특수한 기관을 가진다. 일반적으로 단상(n) 세대가 우세하며, 복상(2n) 세대는 매우 짧다. 유성 세대와 무성 세대의 형태가 크게 다른 경우가 많아, 각각 다른 학명이 붙여지기도 한다.[59]
분자계통유전학적 방법이 도입되기 전에는 균류를 식물계의 구성원으로 간주했다.[11][12] 균류와 식물은 주로 움직이지 않고, 일반적인 형태와 서식지가 유사하기 때문이다. 식물처럼 균류는 종종 토양에서 자라며, 버섯의 경우 눈에 띄는 자실체를 형성하는데, 이는 때때로 이끼와 같은 식물과 유사하다. 그러나 균류는 식물, 동물과 구별되는 별개의 계로, 약 10억 년 전에 갈라진 것으로 보인다.
균류는 다른 생물과 공유하는 특징도 있지만, 고유한 특징도 가지고 있다.
다른 생물과의 공유하는 특징:
- 진핵생물로서, 막 결합된 핵을 포함하며, 핵에는 인트론과 엑손을 포함하는 염색체가 있다. 미토콘드리아, 스테롤을 함유한 막, 80S형 리보솜과 같은 막 결합 세포질 소기관을 가지고 있다. 당알코올(만니톨 등), 이당류(트레할로스 등), 다당류(글리코겐 등)를 포함한 특징적인 용해성 탄수화물과 저장 화합물을 가지고 있다.
- 동물처럼 엽록체가 없고 종속영양생물이므로, 에너지원으로 미리 형성된 유기 화합물이 필요하다.
- 식물처럼 세포벽과 액포를 가지고 있다. 유성 및 무성 생식을 통해 번식하며, 고사리, 이끼처럼 포자를 생성한다. 이끼류, 조류와 유사하게 일반적으로 반수체 핵을 가지고 있다.
- 유글레나류, 박테리아와 함께 고등 균류, 유글레나류, 일부 박테리아는 α-아미노아디페이트 경로에서 아미노산 L-라이신을 생성한다.
- 대부분의 균류 세포는 균사로 자라며, 각 끝에는 단백질, 지질 등으로 구성된 소포 집합체인 슈피첸쾨르퍼가 있다. 균류와 난균류는 모두 섬유상 균사 세포로 자란다. 균사를 형성하지 않는 단세포 균류(효모)도 있으며, 일부 균류는 균사와 효모 형태를 모두 가지고 있다.
- 100종 이상의 균류 종은 생물발광을 나타낸다.
균류만의 고유한 특징:
- 일부 종은 출아 또는 분열로 번식하는 단세포 효모로 자란다. 이형성 균류는 환경 조건에 따라 효모 단계와 균사 단계를 전환할 수 있다.
- 균류 세포벽은 키틴-글루칸 복합체로 만들어져 있다. 글루칸은 식물, 키틴은 절지동물의 외골격에서도 발견되지만, 균류는 세포벽에 이 두 가지 구조 분자를 결합하는 유일한 유기체이다. 식물, 난균류와 달리 균류 세포벽에는 셀룰로스가 없다.

대부분의 균류는 물과 영양분의 장거리 수송 시스템이 없다. 이를 극복하기 위해 ''Armillaria''와 같은 일부 균류는 균사속을 형성하는데, 이는 식물의 뿌리와 유사한 기능을 수행한다. 균류는 메발론산과 피로인산을 화학적 구성 요소로 사용하는 테르펜 생합성 경로를 가지고 있다. 식물은 엽록체에 추가적인 테르펜 생합성 경로를 가지고 있는데, 이는 균류에는 없는 구조이다. 균류는 식물이 만든 것과 구조가 유사하거나 동일한 여러 이차 대사산물을 생성한다. 이러한 화합물을 만드는 식물과 균류 효소는 서열과 기타 특성이 서로 달라, 균류와 식물에서 이러한 효소의 별개 기원과 수렴 진화를 나타낸다.
균류는 전 세계에 분포하며, 극한 환경과 심해 퇴적물에서도 자란다. 일부 균류는 우주 여행 중의 자외선과 우주 방사선을 견딜 수 있다. 대부분 육상 환경에서 자라지만, 수생 서식지에 서식하는 종도 있다. 키트리드균인 ''Batrachochytrium dendrobatidis''와 ''B. salamandrivorans''는 전 세계 양서류 개체 수 감소의 원인이 된 기생충이다. 이들은 운동성 유주자로서 수중에서 이동하고 양서류 숙주에 침입한다.

2020년 기준으로 약 148,000종의 균류가 분류학자들에 의해 기술되었지만, 균류계의 전 세계 생물 다양성은 완전히 이해되지 않았다. 2017년 추정에 따르면 220만~380만 종이 있을 수 있다.

곰팡이의 성장은 영양분을 효율적으로 추출하는 데 적합하며, 높은 표면적 대 부피 비를 가진다. 균사체는 고체 표면에서의 성장과 기질 및 조직 침입에 특히 적합하다. 균사체는 강력한 관통력을 가진 기계적 힘을 발휘할 수 있다. 예를 들어, ''Magnaporthe grisea''를 포함한 많은 식물 병원균은 식물 조직을 뚫는 부착기라는 구조를 형성하며, 표피에 8MPa을 초과하는 압력을 가할 수 있다.
부착기가 가하는 기계적 압력은 글리세롤과 같은 삼투질을 생성하여 세포 내 팽압을 증가시키는 생리적 과정에서 발생한다. 이러한 적응은 가수분해 효소에 의해 보완되어, 영양분을 흡수할 수 있도록 한다. 대부분의 사상균은 균사의 끝에서 신장함으로써 극성 방식으로 자란다.
균류는 전통적으로 종속영양생물로, 다른 유기체에 의해 고정된 탄소에만 의존하여 대사를 수행한다. 균류는 높은 수준의 대사적 다양성을 얻었으며, 다양한 유기 기질을 성장에 사용할 수 있다. 일부 종에서는 색소 멜라닌이 감마선과 같은 전리 방사선으로부터 에너지를 추출하는 데 역할을 할 수 있다.
3. 생태와 이용
균류는 유기물이 있는 곳이면 어디에서나 생활할 수 있으며, 수생, 육상, 심지어 극한 환경에서도 발견된다. 대부분 부생 생활을 하지만, 생물에 기생하여 질병을 일으키거나 식물과 공생하는 경우도 있다.[34][35]

균류는 다양한 효소계를 가지고 있어, 이를 이용한 여러 산업이 발달하였다. 녹말을 당으로 바꾸는 누룩곰팡이류, 당에서 알코올을 만드는 효모균, 녹말을 당으로, 당을 알코올로 바꾸는 거미줄곰팡이의 일종 등은 주류 및 알코올 제조에 중요하다. 알렉산더 플레밍은 푸른곰팡이속에서 페니실린을 발견하여 의약품으로서 항생물질 개발의 단서를 얻었다. 맥각은 호밀 꽃에 기생하는 일종의 자낭균 균핵으로, 출산 후 출혈을 멎게 하는 작용이 있다. 균류는 독특한 생리작용으로 특유의 지방, 단백질, 당분을 함유하여 식품적 가치가 있다. 효모류는 풍부한 단백질과 비타민 B 복합체, 비타민 D의 모체인 에르고스테롤을 함유하여 과자나 수프, 동물의 사료로 이용된다.
한국에서는 예로부터 버섯을 식용으로 이용해 왔으며, 된장, 간장, 고추장 등 전통 발효 식품 제조에 곰팡이가 중요한 역할을 한다.
4. 진균류
균류 키틴을 함유하는 균사벽이 있고 핵막이 있는 균류를 '진균류'라고 한다. 통곰팡이류, 접합균류, 자낭균류, 담자균류의 네 무리가 속하는데, 이 중 자낭균류와 담자균류만이 좁은 뜻의 진균류로 다루어진다.
원래 진균류라는 명칭은 세균류와 대립되는 것이었는데, 보통 넓은 뜻의 점균류는 제외한다. 오늘날에는 네 무리를 진균류로 묶는 것에 의문을 가지게 되어, 이것을 진균류가 아닌 4개의 독립된 균 무리(분류학상의 문)로 다루는 경향이 있다.
균류에 속하는 생물은 대부분 고착성이며, 현미경으로 보면 세포벽이 있는 세포로 구성되며, 정단 성장을 하는 것이 많다. 이는 고등식물과 공통되는 특징이며, 균류가 초기에는 식물로 여겨진 이유이기도 하다. 하지만 엽록체를 가지고 있지 않고 광합성을 하지 않는 종속영양생물이다. 그 점은 동물과 같지만, 체외의 유기물을 분해하여 세포 표면으로부터 흡수하는 영양 섭취 방식을 취한다.
형태적으로는 단세포 미생물인 것부터, 육안으로 볼 수 있는 크기 이상으로 발달하는 다세포생물까지 포함한다. 하지만, 다세포체를 가지는 것에서도, 균사라고 불리는 한 줄로 배열된 세포열까지밖에 가지지 않고, 진정한 조직을 발달시키지 않는다. 몸이 많은 균사로 구성되어 있는 것을 사상균이라고 부르고, 단세포 상태로 번식하는 것을 효모라고 부른다.
생식에는 포자를 형성하는 것이 많다. 생활사는 다양하지만, 무성생식과 유성생식을 포함하는 것이 많고, 각각에 다른 포자를 형성하는 것이 많다. 생활환에서는 핵이 단상(單相)의 상태가 우세하고, 복상(複相)의 기간은 제한적이다. 담자균 및 자낭균은 단상(n)의 일차균사가 체세포 접합에 의해 이핵(二核)의 이차균사가 되는 시기가 있으며, 다른 많은 유성생식을 하는 생물에서 볼 수 있는 복상(2n)에 대해 이것을 중상(n+n) 세대라고 부른다. 효모는 출아 또는 분열에 의해 증식하고, 세포의 융합을 하는 예도 있다.[59]
식물에 기생하는 것이 많고, 농업적으로 중요한 것도 많다. 한편, 균근 등, 식물과 공생하는 것도 알려져 있다. 동물에 기생하는 것은 적지만, 중요한 병원체도 포함된다. 자유생활을 하는 것은 다양한 생물의 사체나 배설물 등의 유기물을 영양원으로 하여 생태계에서 분해자로서 작용한다고 생각된다. 그 외 발효에 관여하여 중요한 것, 항생물질을 생산하는 것 등이 있다.
전통적으로 난균류(고전적인 의미에서의) 이외는 생활사의 어느 부분에서도 편모를 형성하지 않는다. 그것들은 유성생식(접합 후의 감수분열로 생기는 포자의 모양)으로 분류된다.
- 접합균은 접합포자낭을 형성하는 그룹으로, 털곰팡이 등을 포함한다.
- 자낭균은 자낭 속에 포자를 만드는 그룹으로, 맥주 효모 등을 포함한다.
- 담자균은 담자기에 포자를 외생하는 무리로, 버섯의 대부분을 포함하는 분류군이다.
5. 계통 분류
다음은 후편모생물의 계통 분류이다.[73][74][75][76]
{| class="wikitable"
|-
! style="text-align:left;" | 후편모생물
|-
|
{| class="wikitable"
|-
! style="text-align:left;" | 홀로미코타
|-
|
{| class="wikitable"
|-
! style="text-align:left;" | 크리스티디스코이데아
|-
|
|}
|-
! style="text-align:left;" | 균류/
오피스토스포리디아
|-
|
{| class="wikitable"
|-
| BCG2[77]
|-
|
{| class="wikitable"
|-
|
|-
|
{| class="wikitable"
|-
| BCG1[77]
|-
! style="text-align:left;" | 로젤라아계/
은진균문
|-
|
{| class="wikitable"
|-
| 로젤라목
|-
|
|}
|}
|}
|}
|}
|}
|-
! style="text-align:left;" | 홀로조아
|-
|
{| class="wikitable"
|-
| 이크티오스포레아
|-
|
{| class="wikitable"
|-
! style="text-align:left;" | 플루리포르메아
|-
|
|-
! style="text-align:left;" | 필로조아
|-
|
{| class="wikitable"
|-
| 필라스테레아
|-
! style="text-align:left;" | 깃편모충류
|-
|
|}
|}
|}
|}
|}
공식적인 생물 분류는 아니지만, 특징에 따라 다음과 같이 분류할 수 있다.
- 사생균 - 죽은 물질을 분해하여 영양을 섭취하므로 토양, 퇴비, 낙엽, 고목에서 자란다.
- 기생균 - 기생 대상 생물로부터 영양을 섭취하거나 동물과 곤충에도 기생하여 피해를 준다. (예: 자작나무버섯, 동충하초, 무좀균)
- 공생균 - 기생 대상 식물과 이익을 주고받으며 생활한다. 송이가 대표적인 예시이다. 균류는 인과 질소 등을 소나무에 공급하고, 나무는 당분을 균류에 공급한다.
균류는 식물보다 동물과 더 밀접한 관련이 있으며, 단계통 그룹인 후편모류에 속하는 동물과 함께 분류된다. 분자계통유전학을 이용한 분석은 균류의 단계통 기원을 지지한다.
6. 균학
균학은 균류의 유전적 및 생화학적 특성, 분류학, 의약품 및 식품으로서의 활용, 그리고 중독이나 감염과 같은 위험성 등을 연구하는 생물학의 한 분야이다. 많은 식물 병원균이 균류이기 때문에 식물병리학과 밀접하게 관련되어 있다.
17세기 현미경의 발달 이후 균학은 체계적인 과학으로 발전하기 시작했다. 지암바티스타 델라 포르타가 1588년에 최초로 균류의 포자를 관찰했지만, 균학 발전에 중요한 업적을 남긴 것은 피에르 안토니오 미켈리이다. 그는 1729년에 발표한 저서 ''Nova plantarum genera''에서 포자를 관찰했을 뿐만 아니라, 적절한 조건에서 포자를 원래 종과 같은 균류로 배양할 수 있다는 것을 보여주었다.[71]
카를 린네의 이명법을 확장하여, 크리스티안 헨드릭 페르손은 최초로 버섯의 분류 체계를 확립하여 현대 균학의 창시자로 여겨진다. 이후, 엘리아스 마그누스 프리스는 포자의 색깔과 현미경적 특징을 사용하여 균류의 분류를 더욱 발전시켰다.
20세기와 21세기에 들어 생화학, 유전학, 분자생물학, 생명공학, DNA 염기서열 분석 및 계통 분석의 발전으로 균류의 계통적 관계와 생물다양성에 대한 새로운 통찰력이 제공되었고, 전통적인 형태 기반의 균류 분류에 도전을 받게 되었다.
7. 형태
균계는 대부분 영양체가 균사로 되어 있고, 유성 또는 무성생식으로 포자를 만들어 번식한다. 세포벽은 대부분 키틴질로 되어 있다. 운동성이 있는 균은 특수한 기관을 가진다. 포자가 발아하여 일련의 상태를 거쳐 다시 포자 형성에 이르는 과정을 생활사라고 한다. 이끼나 양치식물의 생활사는 규칙적이지만, 균계는 특정한 경우를 제외하고는 규칙적인 생활사를 거치지 않는다.
분자계통유전학적 방법이 도입되기 전, 분류학자들은 생활 방식의 유사성 때문에 균류를 식물계의 구성원으로 간주했다. 균류와 식물은 주로 움직이지 않고, 일반적인 형태와 서식지에서 유사성을 보였다.[11][12] 균류는 식물, 동물과 구별되는 별개의 계로, 약 10억 년 전(신원생대 초)에 갈라진 것으로 보인다.
균류는 다른 진핵생물, 동물, 식물과 공유하는 특징과 고유한 특징을 모두 가지고 있다.
- 다른 진핵생물과 공유하는 특징: 균류 세포는 막 결합된 핵을 포함하며, 핵에는 인트론(비암호화 DNA)과 엑손(암호화 영역)을 포함하는 염색체가 있다. 미토콘드리아, 스테롤을 함유한 막, 80S형 리보솜과 같은 막 결합 세포질 소기관을 가진다. 당알코올(만니톨 등), 이당류(트레할로스 등), 다당류(글리코겐 등)를 포함한 특징적인 용해성 탄수화물과 저장 화합물을 가진다.
- 동물과 공유하는 특징: 엽록체가 없고 종속영양생물이므로 에너지원으로 미리 형성된 유기 화합물이 필요하다.
- 식물과 공유하는 특징: 세포벽과 액포를 가지고 있다. 유성 및 무성 방법으로 번식하며, 기저 식물 그룹처럼 포자를 생성한다. 이끼류, 조류와 유사하게 반수체 핵을 가진다.
- 유글레나류, 박테리아와 공유하는 특징: 고등 균류, 유글레나류, 일부 박테리아는 α-아미노아디페이트 경로라는 특정 생합성 단계에서 아미노산 L-라이신을 생성한다.
- 균사로 자라는 특징: 대부분의 균류 세포는 관 모양, 실 모양(섬유상) 구조인 균사로 자란다. 균류와 난균류 모두 섬유상 균사 세포로 자란다. 섬유상 녹조류와 같은 유기체는 세포 사슬 내에서 반복적인 세포 분열로 자란다. 균사를 형성하지 않는 단세포 균류(효모)도 있으며, 일부 균류는 균사와 효모 형태를 모두 가진다.
- 생물발광 특징: 일부 식물, 동물 종과 마찬가지로, 100종 이상의 균류 종은 생물발광을 나타낸다.
균류 고유의 특징:
- 일부 종은 출아 또는 분열로 번식하는 단세포 효모로 자란다. 이형성 균류는 환경 조건에 따라 효모 단계와 균사 단계를 전환할 수 있다.
- 균류 세포벽은 키틴-글루칸 복합체로 만들어진다. 글루칸은 식물, 키틴은 절지동물의 외골격에서도 발견되지만, 균류는 세포벽에 이 두 가지 구조 분자를 결합하는 유일한 유기체이다. 식물, 난균류와 달리 균류 세포벽에는 셀룰로스가 없다.
대부분의 균류는 식물의 물관, 체관처럼 물과 영양분을 장거리 수송하는 효율적인 시스템이 없다. 이를 극복하기 위해 ''Armillaria''와 같은 일부 균류는 균사속을 형성하는데, 이는 식물의 뿌리와 유사하며 비슷한 기능을 수행한다. 균류는 메발론산과 피로인산을 화학적 구성 요소로 사용하는 테르펜 생합성 생화학 경로를 가진다. 식물과 일부 다른 유기체는 엽록체에 추가적인 테르펜 생합성 경로를 가지는데, 이는 균류와 동물에는 없는 구조이다. 균류는 식물이 만든 것과 구조가 유사하거나 동일한 이차 대사산물을 생성한다. 이러한 화합물을 만드는 식물과 균류 효소는 펩타이드 서열 등에서 서로 다르며, 이는 균류와 식물에서 이러한 효소의 별개 기원과 수렴 진화를 나타낸다.
균류는 고착성 생물이며, 세포벽이 있는 세포로 구성되고, 정단 성장을 한다. 엽록체가 없고 광합성을 하지 않는 종속영양생물이다. 체외 유기물을 분해하여 세포 표면에서 흡수하는 영양 섭취 방식을 취한다.
형태적으로 단세포 미생물부터 육안으로 보이는 다세포생물까지 포함한다. 다세포체에서도 균사라고 불리는 한 줄로 배열된 세포열만 가지고, 진정한 조직을 발달시키지 않는다. 몸이 많은 균사로 구성된 것을 사상균, 단세포 상태로 번식하는 것을 효모라고 부른다.
생식에는 포자 형성이 많다. 생활사는 다양하며, 무성생식과 유성생식을 포함하고, 각각 다른 포자를 형성한다. 생활환에서 핵은 단상(單相) 상태가 우세하고, 복상(複相) 기간은 제한적이다. 담자균 및 자낭균은 단상(n)의 일차균사가 체세포 접합에 의해 이핵(二核)의 이차균사가 되는 시기(중상(n+n) 세대)가 있다. 효모는 출아 또는 분열로 증식하고, 세포 융합을 하는 경우도 있다.
7. 1. 미세 구조
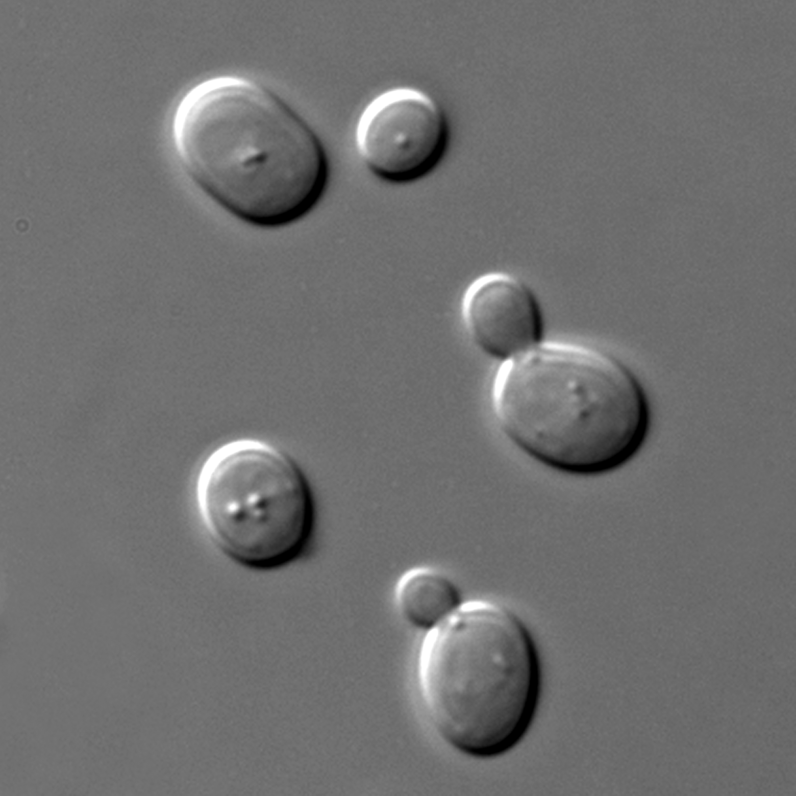
대부분의 균류는 균사로 자라는데, 이는 지름이 2~10μm이고 길이는 최대 수 센티미터에 달하는 원통형의 실 모양 구조이다. 균사는 끝에서 자라며, 새로운 균사는 '분지'라는 과정을 통해 기존 균사에서 새로운 끝이 나오거나, 자라는 균사 끝이 갈라져 두 개의 평행하게 자라는 균사를 형성하면서 만들어진다. 균사는 균사융합이라는 과정을 통해 서로 연결될 수 있으며, 이러한 성장 과정은 균사의 상호 연결된 네트워크인 균사체를 형성한다.균사는 격벽형이거나 사상형일 수 있다. 격벽형 균사는 격벽이라고 하는 내부 세포벽으로 분리된 구획으로 나뉘며, 각 구획에는 하나 이상의 핵이 포함된다. 반면 사상형 균사는 구획화되지 않아, 본질적으로 다핵의 초세포이다. 격벽에는 기공이 있어 세포질, 소기관, 때로는 핵이 통과할 수 있다. 담자균류의 도립격벽이 그 예이다.
많은 종에서 살아있는 숙주로부터 영양분을 흡수하기 위한 특수한 균사 구조가 발달했다. 예를 들어, 대부분의 균류문의 식물 기생 종의 흡기와 숙주 세포에 침투하여 영양분을 섭취하는 여러 균근균의 수지상균근이 있다.
7. 2. 거시 구조
균사는 맨눈으로도 볼 수 있는데, 예를 들어 축축한 벽이나 상한 음식과 같은 다양한 표면과 기질에서 볼 수 있으며, 일반적으로 곰팡이라고 부른다. 실험실 페트리 접시의 고체 한천 배지에서 자란 균사는 보통 콜로니라고 한다. 이러한 콜로니는 성장 형태와 색깔(포자 또는 색소 때문)을 보이는데, 이는 종이나 그룹을 식별하는 진단 특징으로 사용될 수 있다. 일부 개별 균류 콜로니는 900ha(3.5 평방 마일) 이상에 걸쳐 있으며 약 9,000년의 추정 수명을 가진 ''솔방울털낙엽버섯 (Armillaria solidipes)''의 클론 콜로니처럼 엄청난 크기와 수명에 이를 수 있다.자낭반(자낭균류의 유성생식에서 중요한 특수 구조)은 컵 모양의 자실체로 종종 육안으로 관찰 가능하며, 포자를 생성하는 세포가 포함된 조직층인 담자기층을 가지고 있다. 담자균류의 자실체(담자과)와 일부 자낭균류는 때때로 매우 크게 자랄 수 있으며, 많은 것들이 버섯으로 잘 알려져 있다.
8. 생장과 생리
균류는 균사체 또는 단세포 형태로 자라며, 높은 표면적 대 부피 비를 통해 영양분을 효율적으로 추출한다. 균사체는 고체 표면에서의 성장과 기질 및 조직 침입에 특히 적합하며, 강력한 관통력을 가진 기계적 힘을 발휘할 수 있다. 예를 들어, ''Magnaporthe grisea''를 포함한 많은 식물 병원균은 식물 조직을 뚫도록 진화한 부착기라는 구조를 형성하며, 부착기가 식물 표피에 가하는 압력은 8MPa을 초과할 수 있다.
대부분의 균류는 물과 영양분의 장거리 수송을 위한 효율적인 시스템이 없지만, ''Armillaria''와 같은 일부 균류는 균사속을 형성하여 식물의 뿌리와 유사한 기능을 수행한다.
진핵생물로서 균류는 메발론산과 피로인산을 화학적 구성 요소로 사용하는 테르펜을 생성하기 위한 생합성 경로를 가지고 있다. 균류는 식물이 만든 것과 구조가 유사하거나 동일한 여러 이차 대사산물을 생성한다. 이러한 화합물을 만드는 식물과 균류 효소의 대부분은 서열과 기타 특성이 서로 다르며, 이는 균류와 식물에서 이러한 효소의 별개의 기원과 수렴 진화를 나타낸다.
일부 종에서는 색소 멜라닌이 감마선과 같은 전리 방사선으로부터 에너지를 추출하는 데 역할을 할 수 있다. 이러한 "방사성 영양" 성장 형태는 소수의 종에서만 설명되었으며, 성장률에 대한 영향은 미미하고, 기본적인 생물 물리학적 및 생화학적 과정은 잘 알려져 있지 않다. 이 과정은 가시광선을 통한 CO2 고정과 유사할 수 있지만, 대신 전리 방사선을 에너지원으로 사용한다.
9. 생식
균류의 번식은 복잡하며, 이는 다양한 생물계 내에서의 생활 방식과 유전적 구성의 차이를 반영한다. 모든 균류의 3분의 1은 두 가지 이상의 번식 방법을 사용하는 것으로 추정되는데, 예를 들어 한 종의 생활사 내에서 뚜렷하게 구분되는 두 단계, 즉 텔레오모프(유성생식)와 아나모프(무성생식)에서 번식이 일어날 수 있다. 환경 조건은 유전적으로 결정된 발달 단계를 촉발하여 유성 또는 무성 생식을 위한 특수 구조를 만든다. 이러한 구조는 포자 또는 포자를 포함하는 영양체의 효율적인 분산을 통해 번식을 돕는다.
무성생식은 영양 생식 포자(분생포자) 또는 균사 분절을 통해 일어난다. 균사 분절은 균류의 균사가 여러 조각으로 분리되고, 각 조각이 별개의 균사로 자라는 과정이다. 균사 분절과 영양 생식 포자는 특정 서식지에 적응된 클론 집단을 유지하며, 유성 생식보다 더 빠른 분산을 가능하게 한다. "불완전균류"(유성 생식 단계가 없는 균류) 또는 불완전균류는 관찰 가능한 유성 생식 주기가 없는 모든 종을 포함한다. 불완전균류는 받아들여지는 분류군이 아니며, 현재는 단순히 유성 생식 단계가 알려지지 않은 균류를 의미한다.
감수분열을 통한 유성 생식은 글로메로균문을 제외한 모든 균류 문에서 직접 관찰되었다. (유전자 분석은 글로메로균문에서도 감수 분열이 있음을 시사한다). 이는 동물이나 식물의 유성 생식과 여러 면에서 다르다. 균류 그룹 간에도 차이가 있으며, 유성 구조와 생식 전략의 형태학적 차이를 통해 종을 구별하는 데 사용할 수 있다. 균류 분리주 간의 교배 실험은 생물학적 종 개념에 따라 종을 확인할 수 있다. 주요 균류 그룹은 처음에 유성 구조와 포자의 형태를 기반으로 구분되었다. 예를 들어, 포자를 포함하는 구조인 자낭과 담자기는 각각 자낭균류와 담자균류를 확인하는 데 사용될 수 있다. 균류는 두 가지 교배계를 사용한다. 이형접합 종은 반대 교배형의 개체 사이에서만 교배를 허용하는 반면, 동형접합 종은 다른 개체 또는 자신과 교배하여 유성 생식을 할 수 있다.
대부분의 균류는 생활환에 일배체와 이배체 단계를 모두 가지고 있다. 유성 생식을 하는 균류에서, 서로 호환되는 개체는 균사를 서로 융합하여 상호 연결된 네트워크를 형성할 수 있다. 이 과정인 균사연합은 유성 주기의 시작에 필요하다. 많은 자낭균류와 담자균류는 이핵체 단계를 거치는데, 이때 두 부모로부터 물려받은 핵은 세포 융합 후 즉시 결합하지 않고 균사 세포 내에서 별개로 남아있다(이핵현상 참조).
자낭균류에서, 자실층(포자를 맺는 조직층)의 이핵체 균사는 균사 격벽에 특징적인 '갈고리'(크로지어)를 형성한다. 세포 분열 동안 갈고리의 형성은 새로 분열된 핵을 정점과 기저 균사 구획으로 적절하게 분배하는 것을 보장한다. 그런 다음 핵융합이 일어나는 자낭(복수: 자낭)이 형성된다. 자낭은 자낭과 또는 자실체에 내장되어 있다. 자낭에서 핵융합은 감수분열과 자낭포자 생성으로 즉시 이어진다. 분산 후 자낭포자는 발아하여 새로운 일배체 균사체를 형성할 수 있다.
담자균류의 유성 생식은 자낭균류와 유사하다. 호환되는 일배체 균사가 융합하여 이핵체 균사체를 생성한다. 그러나 이핵체 단계는 담자균류에서 더 광범위하며, 영양 생장 균사체에서도 종종 나타난다. 협압이라고 하는 특수한 해부학적 구조가 각 균사 격벽에서 형성된다. 자낭균류의 구조적으로 유사한 갈고리와 마찬가지로, 담자균류의 협압은 세포 분열 중 핵의 조절된 전달에 필요하며, 각 균사 구획에 두 개의 유전적으로 다른 핵을 가진 이핵체 단계를 유지한다. 곤봉 모양의 구조인 담자기가 핵융합과 감수분열 후 일배체 담자포자를 생성하는 담자과가 형성된다. 가장 일반적으로 알려진 담자과는 버섯이지만, 다른 형태를 취할 수도 있다.
이전에 접합균류로 분류되었던 균류에서는 두 개체의 일배체 균사가 융합하여 접합자낭을 형성하는데, 이것은 수정능력이 있는 배우자 생성 세포가 된다. 접합자낭은 배우자의 결합에 의해 형성된 두꺼운 벽을 가진 포자인 접합포자로 발달한다. 접합포자가 발아하면 감수분열을 거쳐 새로운 일배체 균사를 생성하고, 그 후 무성 포자낭포자를 형성할 수 있다. 이 포자낭포자는 균류가 빠르게 분산되어 새로운 유전적으로 동일한 일배체 균류 균사체로 발아할 수 있게 한다.
대부분의 연구된 균류 종의 포자는 바람에 의해 운반된다.[14][15] 이러한 종들은 종종 물을 흡수하지 않고 빗방울에 의해 쉽게 흩어지는 건조하거나 소수성 포자를 생성한다.[14][16][17] 다른 종에서는 무성 포자와 유성 포자 또는 포자낭포자가 종종 생식 구조에서 강제로 방출됨으로써 활발하게 분산된다. 이러한 방출은 생식 구조에서 포자의 배출과 장거리 공중 이동을 보장한다.
자웅동체(homothallic) 유성생식에서는 같은 개체에서 유래한 두 개의 반수체 핵이 융합하여 접합자를 형성하고, 이후 감수분열을 거친다. 자웅동체 균류에는 여러 속에 존재하는 ''아스퍼질루스''(Aspergillus) 유사 무성생식 단계(분생포자형, anamorphs)를 가진 종들이 포함되며,[19] 여러 ''코클리오볼루스''(Cochliobolus) 속 자낭균류 종들[20]과 자낭균류 ''폐포자충 지로베치''(Pneumocystis jirovecii)[21]도 포함된다. 진핵생물에서 가장 초기의 유성생식 방식은 아마도 자웅동체, 즉 자가수정 가능한 단성 생식이었을 것이다.[22]
감수 분열을 통한 일반적인 유성 생식 외에도, ''페니실리움속''과 ''아스퍼질러스속''과 같은 특정 균류는 균사체 사이의 연합과 균류 세포의 핵융합에 의해 시작되는 이성 생식 과정을 통해 유전 물질을 교환할 수 있다. 이성 생식 사건의 빈도와 상대적 중요성은 불분명하며 다른 유성 과정보다 낮을 수 있다. 이는 종내 잡종화에 역할을 하는 것으로 알려져 있으며, 종 간 잡종화에 필요할 가능성이 높은데, 이는 균류 진화의 주요 사건과 관련이 있다.
10. 진화

균류의 초기 화석 기록은 부족한 편이다. 균류 자실체의 특성상 부드럽고 다육질이며 쉽게 분해되는 조직인데다, 대부분의 균류 구조가 미세하여 눈에 잘 띄지 않기 때문이다. 균류 화석은 다른 미생물 화석과 구별하기 어려우며, 현존하는 균류와 유사할 때 가장 쉽게 식별된다.
균류의 전형적인 특징을 가진 가장 오래된 화석은 약 24억 년 전(2400 Ma) 팔레오프로테로조익세 시대의 것이다. 이 다세포 저서 생물은 연접이 가능한 섬유상 구조를 갖고 있었다.[23] 다른 연구(2009)에서는 약 7억 6천만 년에서 10억 6천만 년 전에 균류 생물이 출현했다고 추정한다. 분자 구성으로부터 확인된 가장 오래된 화석 균사체는 7억 1500만 년에서 8억 1000만 년 전의 것이다.[24]
고생대(5억 4200만 년~2억 5100만 년 전) 대부분 동안 균류는 수생 생물이었으며, 편모를 가진 포자를 가진 현존하는 키트리드와 유사한 생물로 구성되어 있었던 것으로 보인다. 수생 생활에서 육상 생활로의 진화적 적응은 영양분을 얻기 위한 생태 전략의 다양화, 즉 기생, 부생 영양, 그리고 균근과 지의류와 같은 상리 공생 관계의 발달을 필요로 했다.
2019년 5월, 과학자들은 캐나다 북극에서 발견된 “우라스파이라 기랄다에(Ourasphaira giraldae)”라는 화석화된 균류를 보고했는데, 이는 식물이 육지에 서식하기 훨씬 이전인 10억 년 전에 육지에서 자랐을 가능성이 있다.[25][26][27] 중국 남부 도우샨투오층(약 6억 3500만 년 전)에서 균류와 유사한 미세화석이 보고되었다.[28] 이전에는 균류가 캄브리아기(5억 4200만 년~4억 8830만 년 전) 동안 육지를 식민지화했을 것으로 추정되었다.
위스콘신 주 오르도비스기(4억 6000만 년 전)에서 발견된 화석 균사체와 포자는 현대 글로메랄레스와 유사하며, 육상 식물상이 비관속 태류와 유사한 식물로만 구성되어 있었던 시대에 존재했다. 아마도 균류 또는 지의류였을 ''프로토탁시테스(Prototaxites)''는 후기 실루리아기와 초기 데본기의 가장 키가 큰 생물이었을 것이다. 균류 화석은 초기 데본기(4억 1600만 년~3억 5920만 년 전)까지는 흔하지도 않고 논란의 여지가 없지만, 그 시기부터 라인 쳐트에서 풍부하게 발견되며, 대부분 접합균류와 키트리드균류이다. 거의 같은 시기, 약 4억 년 전에 자낭균류와 담자균류가 갈라졌으며, 모든 현대 균류 강이 후기 석탄기(펜실베이니아기, 3억 1810만 년~2억 9900만 년 전)까지 존재했다.
지의류는 초기 육상 생태계의 구성 요소를 형성했으며, 가장 오래된 육상 지의류 화석의 추정 연령은 4억 1500만 년 전이다. 이 날짜는 가장 오래된 자실체 화석인 라인 쳐트에서 발견된 ''팔레오피레노마이시테스(Paleopyrenomycites)'' 종의 연령과 거의 일치한다. 현대 담자균류와 유사한 미세 구조를 가진 가장 오래된 화석은 펜실베이니아기의 양치류와 함께 광물화된 ''팔레오안키스트러스(Palaeoancistrus)''이다.
페름기-트라이아스기 멸종 사건(2억 5140만 년 전) 이후 얼마 지나지 않아 균류 급증 현상이 나타났는데, 이는 균류가 이 시대의 지배적인 생물이었음을 시사한다. 그러나 조류 종에 의해 형성된 포자에 대한 균류 포자의 상대적 비율을 평가하기는 어렵다.
6500만 년 전, 대부분의 공룡을 멸종시킨 백악기-팔레오기 멸종 사건 직후에 균류의 증거가 극적으로 증가했다. 대부분의 식물과 동물 종의 죽음은 "거대한 퇴비 더미"와 같은 거대한 균류 번성으로 이어졌다.[29]
11. 분류
균류의 분류는 DNA 비교에 기반한 연구로 인해 끊임없이 변화하고 있다. 특히 2007년의 한 연구에서는 균계에 7개의 문이 인정되었으며, 그중 자낭균문과 담자균문이 가장 큰 그룹을 이루는 이중핵아계로 분류되었다. 이들은 대부분의 버섯, 식품 부패 곰팡이, 식물 병원성 균류, 그리고 맥주, 와인, 빵 제조에 사용되는 효모 등을 포함한다.
최근에는 미포자충이 균류의 한 무리로 간주되고 있다.[77] 반면, 과거 균계에 포함되었던 변형균은 제외되었다.[62]
다음은 2019년 기준으로 확인된 균류의 주요 9개 계통을 나타낸 표이다.
12. 균류와 인간의 관계
균류는 영양을 흡수하기 위해 효소를 이용하여 다른 동식물을 구성하는 고분자를 분해한다. 특히 셀룰로스, 리그닌, 콜라겐과 같이 다른 생물이 분해하기 어려운 고분자를 탄소, 질소, 인의 저분자 화합물로 분해하여 생태계 순환에 되돌리는 분해자 역할을 한다.[49][50][51][52][53]
예를 들어, 숲에서는 생산자인 식물의 현존량 중 상당 부분이 소비자에게 이용되기 전에 나무와 낙엽 등의 죽은 부분으로 축적된다. 이들은 셀룰로스, 리그닌이 주성분이며 질소, 인 등의 함량이 적어 많은 동물이 직접 이용할 수 없다. 그러나 균류가 이를 분해하고 주변에서 무기 질소 화합물 등을 흡수하여 자신의 몸을 만듦으로써, 동물은 식물 유체와 균류를 동시에 섭취하여 먹이로 이용할 수 있게 된다.
균류의 역사적 이용과 사회적 영향에 대한 연구는 민속균학으로 알려져 있다. 균류는 항생 물질 등 생물학적 활성을 가진 천연물을 생산하여 항생제 생산, 비타민, 항암제, 콜레스테롤 저하제 생산에 사용된다. 균류의 유전자 조작 방법이 개발되어, 대사 공학을 통해 효모 종을 유전자 변형하여 효율적인 제약 생산이 가능해졌다. 균류 기반 산업은 바이오 경제의 주요 부분으로 간주되며, 섬유, 육류 대체, 균류 생명공학 등 다양한 분야에서 연구 개발이 진행되고 있다.
12. 1. 식용 및 식품 가공
인간은 오래전부터 버섯을 식품으로 이용해 왔다. 전 세계적으로 약 1,000종의 식용 버섯이 알려져 있으며, 일본에서는 80~100종 정도가 식용으로 여겨진다.[67] 표고버섯, 새송이버섯처럼 버섯 재배되는 것은 적고, 많은 식용 버섯은 재배되지 않는다.[67] 건조시킨 Trockenpilz|말린 버섯de(건조 버섯)은 비타민 D와 B1이 증가하는 등 영양 변화가 일어난다.[68]
서양에서 가장 널리 재배되는 종은 양송이(''Agaricus bisporus'')로, 작을 때는 버튼 버섯, 클 때는 포르토벨로 버섯으로 판매되며, 샐러드, 수프 및 기타 많은 요리에 사용된다. 많은 아시아산 버섯이 상업적으로 재배되고 있으며 서양에서 인기가 높아지고 있다. 볏짚버섯 (''Volvariella volvacea''), 팽이버섯 (''Pleurotus ostreatus''), 표고버섯 (''Lentinula edodes''), 팽이버섯(''Flammulina'' spp.)을 포함하여 신선한 버섯을 식료품점과 시장에서 쉽게 구할 수 있다.

많은 다른 버섯 종류는 개인 소비나 상업적 판매를 위해 야생에서 채취된다. 젖버섯, 곰보버섯, 꾀꼬리버섯, 송로버섯, 검은 깔때기버섯, 그리고 그물버섯(''Boletus edulis'') (킹 볼레트로도 알려짐)은 시장에서 높은 가격으로 거래된다. 이들은 종종 고급 요리에 사용된다.
각종 발효 산업에서 곰팡이와 효모는 세균과 함께 가장 중요한 위치를 차지하고 있다. 효모는 포도당, 자당을 에탄올로 발효시킨다. 이 능력은 맥주, 와인, 청주와 같은 알코올 음료의 양조에 이용되고 있다. 청주, 소주, 간장, 된장 등 일본 고유의 발효식품에서는 누룩곰팡이를 곡물에 배양하여 번식시킨 누룩을 이용하여 양조한다.

빵효모 (''Saccharomyces cerevisiae'')는 단세포 진균으로 빵, 피자 도우, 만두와 같은 다른 밀 기반 제품을 만드는 데 사용된다. ''사카로마이세스'' 속의 효모 종은 발효를 통해 알코올 음료를 생산하는 데에도 사용된다. 간장 누룩곰팡이(아스페르길루스 오리제)는 간장과 사케 양조 및 된장 제조에 필수적인 재료이며, ''리조푸스'' 종은 템페를 만드는 데 사용된다. 이러한 곰팡이 중 여러 종은 유해한 마이코톡신을 생성하지 않고 식품을 발효시키는 능력에 따라 개량 또는 선별된 재배 종이다. 매우 밀접하게 관련된 아스페르길루스 플라부스 종은 마이코톡신을 생성한다.
빵에는 무발효의 것도 있지만, 효모(이스트)를 사용하여 발효시키면 부드러움과 향기가 크게 향상되어 맛있어지기 때문에 일반적인 빵의 대부분은 효모에 의한 발효를 거친 것이다. 또한, 곰팡이와 효모는 치즈를 만드는 데 중요한 역할을 하고 있으며, 푸른곰팡이 치즈와 흰곰팡이 치즈 등이 알려져 있다.
특정 유형의 치즈는 균류 종으로 우유 응유를 접종하여 치즈에 독특한 풍미와 질감을 부여한다. 예를 들어, 스틸톤이나 로크포르와 같은 치즈의 푸른색은 ''Penicillium roqueforti''를 접종하여 만들어진다. 치즈 생산에 사용되는 곰팡이는 무독성이므로 인체에 안전하다. 그러나 치즈 숙성 또는 저장 중 다른 균류의 성장으로 인해 마이코톡신 (예: 아플라톡신, 로크포르틴 C, 파툴린 또는 기타)이 축적될 수 있다.
가쓰오부시는 식재료를 서늘하고 어두운 곳에 보관하여 표면에 곰팡이를 띄워 숙성시키는 식품도 많으며, 금화햄도 그 중 하나이다.
그 외에도 귀부 와인의 생산에는 과일에 붙는 보트리티스 시네레아가 필요한 등, 곰팡이가 관련된 식품은 다양하다.
12. 2. 의약품
많은 균류 종들이 약리학적으로 활성이 있는 대사산물을 생성하며, 이는 항생 물질, 항암제, 콜레스테롤 저하제 등 의약품 개발에 활용된다.[49][50][51][52][53] 알렉산더 플레밍은 푸른곰팡이속에서 페니실린을 발견하여 의약품으로서 항생물질 개발의 단서를 얻었다.[54] 균류는 유전자 조작을 위한 방법이 개발되어, 대사 공학을 통해 제약 생산 방법을 개선할 수 있게 되었다.맥각은 호밀 꽃에 기생하는 일종의 자낭균 균핵으로, 출산 후 출혈을 멎게 하는 작용이 있다. 특정 버섯은 민간요법, 예를 들어 중국 전통 의학에서 치료제로 사용되기도 한다. 이러한 용도의 역사를 가진 버섯으로는 ''아가리쿠스 서브루페센스'', ''영지'', ''동충하초''가 있다.
그 외에도 시클로스포린[69], 크레스틴[70] 등이 균류에서 유래하는 의약품으로 사용되어 왔다.
12. 3. 유해성
일부 균류는 인간에게 중독, 알레르기 반응, 심각한 질병을 일으킬 수 있다.많은 균류가 생물학적으로 활성이 있는 화합물을 생성하는데, 그중 여러 가지는 동물이나 식물에 유독하여 마이코톡신(곰팡이 독소)이라고 불린다. 인간과 특히 관련이 있는 것은 식품 부패를 일으키는 곰팡이와 독버섯이 생성하는 마이코톡신이다.[71] 특히 악명 높은 것은 일부 ''독우산광대버섯속'' 버섯에 있는 치명적인 아마톡신과 맥각중독증(성 안토니우스의 불)의 심각한 유행을 일으킨 맥각균(Ergot alkaloids)이다. 다른 주목할 만한 마이코톡신으로는 아플라톡신, 오크라톡신, 파툴린, 트리코테센(예: T-2 마이코톡신) 및 푸모니신이 있다.
![(6aR,9R)-N-((2R,5S,10aS,10bS)-5-벤질-10b-히드록시-2-메틸-3,6-디옥소옥타히드로-2H-옥사졸로[3,2-a]피롤로[2,1-c]피라진-2-일)-7-메틸-4,6,6a,7,8,9-헥사히드로인돌로[4,3-fg]퀴놀린-9-카르복사마이드](https://cdn.onul.works/wiki/source/194cbb34e7d_0b9a2f98.png?width=240)
많은 버섯 종류는 인간에게 독성이 있으며, 경미한 소화 문제, 알레르기 반응, 환각, 심각한 장기 부전 및 사망을 포함한 다양한 반응을 일으킨다. 치명적인 독소를 함유한 버섯을 가진 속에는 ''Conocybe'', ''Galerina'', ''Lepiota'' 그리고 가장 악명 높은 ''Amanita''가 포함된다. 이 중 ''Amanita'' 속에는 파괴의 천사 ''(A. virosa)''와 죽음의 모자 ''(A. phalloides)''가 포함되며, 이는 치명적인 버섯 중독의 가장 흔한 원인이다. 독우산광대버섯(Amanita muscaria) 버섯도 간혹 치명적이지 않은 중독을 일으킨다.
일부 균류는 아스퍼질루스증, 칸디다증, 콕시디오이도미코시스, 크립토코쿠스증, 히스토플라스마증, 미세토마, 및 파라콕시디오이도미코시스를 포함한 인간에게 심각한 질병을 일으킬 수 있다. 또한 면역결핍 환자는 ''아스퍼질루스속'', ''칸디다'', ''크립토코쿠스'', ''히스토플라스마속'', 및 ''폐렴구균''과 같은 속의 균에 의한 질병에 더 취약하다. 다른 균류는 무좀과 족부 백선과 같은 국소 감염을 유발할 수 있다. 균류 포자는 알레르기의 원인이 되기도 하며, 서로 다른 분류군의 균류가 알레르기 반응을 유발할 수 있다.

12. 4. 생물학적 방제
농업에서 균류는 병원균성 미생물(예: 박테리아 또는 다른 균류)과 영양분과 공간을 두고 적극적으로 경쟁하거나(경쟁적 배타 원리) 이러한 병원균의 기생충으로 작용하여 유용할 수 있다. 예를 들어, 특정 종은 해충인 곤충, 응애, 잡초, 선충 및 주요 작물 식물의 질병을 유발하는 다른 균류와 같이 해로운 식물 병원균의 성장을 제거하거나 억제한다. 이러한 이유로 농업 해충의 생물적 방제에 균류를 사용하는 것에 대한 관심이 높다.곤충병원성 균류는 곤충을 적극적으로 죽이기 때문에 생물농약으로 사용될 수 있다. 생물학적 살충제로 사용되어 온 예로는 '''Beauveria bassiana''', '''Metarhizium''' spp., '''Hirsutella''' spp., '''Paecilomyces''' (''Isaria'') spp. 및 '''Lecanicillium lecanii'''가 있다.

'''Epichloë''' 속의 풀의 내생균인 '''Epichloë coenophiala|E. coenophiala'''는 다양한 무척추동물과 척추동물 초식동물에 독성이 있는 알칼로이드를 생성한다. 이러한 알칼로이드는 풀 식물을 초식동물로부터 보호하지만, 여러 가지 내생균 알칼로이드는 소와 양과 같은 방목 동물에게 독이 될 수 있다. '''Epichloë''' 내생균으로 목초 또는 사료 풀의 재배 품종을 감염시키는 것은 풀 육종 프로그램에서 사용되는 한 가지 방법이며, 균주는 곤충과 같은 초식 동물에 대한 저항성을 높이는 알칼로이드만 생성하고 가축에는 무독성인 것을 선택한다.
12. 5. 생물 정화
특정 균류는 살충제, 제초제, 펜타클로로페놀, 크레오소트, 콜타르 및 중질유를 분해하여 이산화탄소, 물 및 기본 원소로 전환할 수 있다. 균류는 우라늄 산화물을 생물광물화하는 것으로 나타났으며, 이는 방사성 오염 지역의 생물정화에 활용될 수 있음을 시사한다.12. 6. 모델 생물
빵곰팡이( ''Neurospora crassa'')를 이용한 실험을 통해 일 유전자-일 효소 가설이 나왔다. 아스페르길루스 니둘란스( ''Aspergillus nidulans'')와 효모인 사카로마이세스 세레비지애( ''Saccharomyces cerevisiae'') 및 쉬조사카로마이세스 폼베( ''Schizosaccharomyces pombe'')는 진핵생물 세포생물학과 유전학에서 세포 주기 조절, 염색질 구조, 유전자 조절 연구에 오랫동안 사용되었다.의학, 식물병리학 및 산업적 용도와 관련된 특정 생물학적 질문을 해결하기 위해 다른 곰팡이 모델도 등장했다. 예를 들어, 칸디다 알비칸스( ''Candida albicans'')는 기회 감염성 인간 병원체이고, 벼 도열병균( ''Magnaporthe grisea'')은 식물 병원체이며, 피치아 파스토리스( ''Pichia pastoris'')는 진핵 단백질 생산에 널리 사용되는 효모이다.
참조
[1]
웹사이트
Record Details: Fungi R.T. Moore, Bot. Mar. 23(6): 371 (1980)
https://www.indexfun[...]
Index Fungorum
2024-06-18
[2]
음성발음
[3]
논문
New concepts of kingdoms or organisms. Evolutionary relations are better represented by new classifications than by the traditional two kingdoms
1969-01-01
[4]
논문
A revised six-kingdom system of life
http://journals.camb[...]
2023-10-08
[5]
논문
Stop neglecting fungi
2017-07-25
[6]
서적
Observationes Mycologicae: Part 1
https://web.archive.[...]
Peter Philipp Wolf
2019-03-30
[7]
서적
Scottish Cryptogamie Flora: Or Coloured Figures and Descriptions of Cryptogamic Plants, Belonging Chiefly to the Order Fungi
https://babel.hathit[...]
Maclachland and Stewart
2019-03-30
[8]
서적
The English Flora of Sir James Edward Smith
https://babel.hathit[...]
Longman, Rees, Orme, Brown, Green & Longman
2019-03-31
[9]
웹사이트
LIAS Glossary
http://glossary.lias[...]
2013-08-14
[10]
웹사이트
IUCN SSC acceptance of Fauna Flora Funga
https://web.archive.[...]
Fungal Conservation Committee, IUCN SSC
2021-11-11
[11]
웹사이트
Fifth-Grade Elementary School Students' Conceptions and Misconceptions about the Fungus Kingdom
https://www.research[...]
2022-10-05
[12]
웹사이트
Common Student Ideas about Plants and Animals
https://www.cpp.edu/[...]
2022-10-05
[13]
웹사이트
Fungi in Mulches and Composts
https://ag.umass.edu[...]
2022-12-15
[14]
웹사이트
Spore Dispersal in Fungi
http://www.botany.ha[...]
2018-12-28
[15]
웹사이트
Dispersal
https://herbarium.us[...]
2018-12-28
[16]
논문
Mushrooms as Rainmakers: How Spores Act as Nuclei for Raindrops
2015-10-28
[17]
논문
Vortex-induced dispersal of a plant pathogen by raindrop impact
2019-03-12
[18]
웹사이트
Stipitate hydnoid fungi, Hampshire Biodiversity Partnership
http://www.hampshire[...]
2019-11-13
[19]
논문
Sexual development and cryptic sexuality in fungi: insights from ''Aspergillus'' species
2012-01-01
[20]
논문
Evolution of the fungal self-fertile reproductive life style from self-sterile ancestors
[21]
논문
Functional and expression analyses of the ''Pneumocystis'' MAT genes suggest obligate sexuality through primary homothallism within host lungs
[22]
논문
Evolution of sexual reproduction: A view from the fungal kingdom supports an evolutionary epoch with sex before sexes
[23]
논문
Fungus-like mycelial fossils in 2.4-billion-year-old vesicular basalt
https://escholarship[...]
2019-07-15
[24]
웹사이트
First mushrooms appeared earlier than previously thought
https://phys.org/new[...]
2023-10-14
[25]
뉴스
How Did Life Arrive on Land? A Billion-Year-Old Fungus May Hold Clues – A cache of microscopic fossils from the Arctic hints that fungi reached land long before plants.
https://www.nytimes.[...]
2019-05-23
[26]
논문
Early fungi from the Proterozoic era in Arctic Canada
Springer Science and Business Media LLC
2019-05-22
[27]
웹사이트
Billion-year-old fossils may be early fungus
https://arstechnica.[...]
2019-05-23
[28]
논문
Cryptic terrestrial fungus-like fossils of the early Ediacaran Period
2021-01-28
[29]
논문
Fungi and the Rise of Mammals
2012-08-16
[30]
웹사이트
Palaeos Fungi: Fungi
http://palaeos.com/f[...]
[31]
논문
High-level classification of the Fungi and a tool for evolutionary ecological analyses
2018-02-22
[32]
서적
Actinobacteria : application in bioremediation and production of industrial enzymes
https://www.crcpress[...]
CRC Press, Taylor & Francis Group
2013
[33]
웹사이트
An Introduction to Soil Biology
https://www.humankin[...]
2019-11-13
[34]
논문
Underground networking
2016-04-15
[35]
웹사이트
Trees Have Their Own Internet
https://www.theatlan[...]
2019-03-09
[36]
논문
Nutritional dynamics during the development of xylophagous beetles related to changes in the stoichiometry of 11 elements
2017-03-00
[37]
서적
Saproxylic Insects
https://depot.ceon.p[...]
Springer, Cham
2018-00-00
[38]
서적
Saproxylic Insects
Springer, Cham
2018-00-00
[39]
논문
Fungal transformation of tree stumps into a suitable resource for xylophagous beetles via changes in elemental ratios
2016-00-00
[40]
논문
The role of effectors of biotrophic and hemibiotrophic fungi in infection
2011-00-00
[41]
웹사이트
'Asterotremella gen. nov. albida', an anamorphic tremelloid yeast isolated from the agarics 'Asterophora lycoperdoides' and 'Asterophora parasitica'
https://www.research[...]
2019-04-19
[42]
논문
Mycoviruses of filamentous fungi and their relevance to plant pathology
2009-01-00
[43]
논문
Mycoviruses: a new dimension in microbiology
1972-10-00
[44]
뉴스
Mushrooms communicate with each other using up to 50 'words', scientist claims
https://www.theguard[...]
2022-05-13
[45]
뉴스
Do mushrooms really use language to talk to each other? A fungi expert investigates
https://phys.org/new[...]
2022-05-13
[46]
논문
Language of fungi derived from their electrical spiking activity
[47]
뉴스
Fungi may offer 'jaw-dropping' solution to climate change
https://thehill.com/[...]
2023-06-06
[48]
웹사이트
Fungi stores a third of carbon from fossil fuel emissions and could be essential to reaching net zero, new study reveals
https://www.eurekale[...]
UNIVERSITY OF SHEFFIELD
2023-06-06
[49]
논문
Growing a circular economy with fungal biotechnology: a white paper
2020-04-02
[50]
논문
Leather-like material biofabrication using fungi
2021-01-00
[51]
웹사이트
Plant-based meat substitutes - products with future potential
https://biooekonomie[...]
2022-05-25
[52]
웹사이트
Mushroom meat substitutes: A brief patent overview
https://blogs.biomed[...]
2022-01-28
[53]
논문
The importance of fungi and mycology for addressing major global challenges*
2014-12-00
[54]
논문
Comparative genomics of Alexander Fleming's original ''Penicillium'' isolate (IMI 15378) reveals sequence divergence of penicillin synthesis genes
2020-09-00
[55]
논문
Increased global integration in the brain after psilocybin therapy for depression
2022-04-00
[56]
논문
Taxonomic proposals for the classification of marine yeasts and other yeast-like fungi including the smuts
https://doi.org/10.1[...]
[57]
웹사이트
卵菌類(きんるい)とは
https://kotobank.jp/[...]
コトバンク
2019-07-23
[58]
웹사이트
菌類(きんるい)とは
https://kotobank.jp/[...]
コトバンク
2019-07-23
[59]
서적
(제목 없음)
1985-00-00
[60]
논문
Phylogenetic taxon definitions for Fungi, Dikarya, Ascomycota and Basidiomycota
[61]
서적
(제목 없음)
yyyy-mm-00
[62]
논문
Revisions to the Classification, Nomenclature, and Diversity of Eukaryotes
2018-09-26
[63]
웹사이트
ラブディオフリス目
http://protist.i.hos[...]
法政大学
2021-08-06
[64]
웹사이트
真核生物の高次分類体系の改訂―Adl et al. (2019)について―
https://doi.org/10.1[...]
日本動物分類学会
2020-02-29
[65]
웹사이트
菌類の概要
https://www.pref.kyo[...]
2021-08-12
[66]
논문
The Prokaryote-Eukaryote Dichotomy: Meanings and Mythology
[67]
서적
FOOD'S FOOD 新版 食材図典 生鮮食材編
小学館
2003-03-20
[68]
웹사이트
乾燥させて大変身 キノコの栄養をたっぷり摂る方法
https://weathernews.[...]
2024-02-04
[69]
웹사이트
シクロスポリン
https://doi.org/10.1[...]
公益社団法人 日本薬学会
1986-09-01
[70]
논문
Krestin (PSK)
1984-06-00
[71]
서적
標準微生物学
[72]
일반
[73]
저널
The Ediacaran emergence of bilaterians: congruence between the genetic and the geological fossil records
http://rstb.royalsoc[...]
2008-04-27
[74]
저널
Estimating the timing of early eukaryotic diversification with multigene molecular clocks
2011-08-16
[75]
저널
Novel Predators Reshape Holozoan Phylogeny and Reveal the Presence of a Two-Component Signaling System in the Ancestor of Animals
[76]
저널
High-level classification of the Fungi and a tool for evolutionary ecological analyses
2018-02-22
[77]
일반
[78]
저널
High-level classification of the Fungi and a tool for evolutionary ecological analyses
2018-02-22
본 사이트는 AI가 위키백과와 뉴스 기사,정부 간행물,학술 논문등을 바탕으로 정보를 가공하여 제공하는 백과사전형 서비스입니다.
모든 문서는 AI에 의해 자동 생성되며, CC BY-SA 4.0 라이선스에 따라 이용할 수 있습니다.
하지만, 위키백과나 뉴스 기사 자체에 오류, 부정확한 정보, 또는 가짜 뉴스가 포함될 수 있으며, AI는 이러한 내용을 완벽하게 걸러내지 못할 수 있습니다.
따라서 제공되는 정보에 일부 오류나 편향이 있을 수 있으므로, 중요한 정보는 반드시 다른 출처를 통해 교차 검증하시기 바랍니다.
문의하기 : help@durumis.com
